中文English
ISSN 1001-5256 (Print)
ISSN 2097-3497 (Online)
CN 22-1108/R
2021 No.11
Theme Issue: Mechanism and clinical practice of drug-induced liver injury
Executive Chief Editor: Yang Changqing  
Department of Gastroenterology, Tongji Hospital Affiliated to Tongji University

Display Method:
Editorial
Drug-induced liver injury: Advances and confusions in treatment
Shuai CHEN, Changqing YANG
2021, 37(11): 2505-2509. DOI: 10.3969/j.issn.1001-5256.2021.11.001
Abstract(1985) HTML (367) PDF (2004KB)(406)
Abstract:
Drug-induced liver injury (DILI) is one of the most common and serious adverse drug reactions and can lead to acute liver failure and even death in severe cases. The pathogenesis of DILI has not been fully clarified, and there is significant individual difference. There is no effective treatment for advanced DILI except liver transplantation, and therefore, early diagnosis and precise treatment are of particular importance. This article reviews the important research advances and difficult issues in the treatment of DILI in recent years.
Discussions by experts
Epidemiology of drug-induced liver injury
Xiaoyun LI, Jieting TANG
2021, 37(11): 2510-2514. DOI: 10.3969/j.issn.1001-5256.2021.11.002
Abstract(2579) HTML (860) PDF (1902KB)(536)
Abstract:
The incidence rate of drug-induced liver injury (DILI) is increasing year by year, and DILI has become one of the common liver diseases in clinical practice and has attracted the attention of the whole world. It is known that a variety of drugs, including Chinese herbal medicine and dietary supplements, can cause various types of acute or chronic liver injury, and acute liver failure may occur in severe cases, leading to death or liver transplantation. This article elaborates on the global prevalence of DILI and the distribution of common suspected drugs.
Pathogenesis of drug-induced liver injury: Current understanding and future needs
Yuecheng YU, Chengwei CHEN
2021, 37(11): 2515-2524. DOI: 10.3969/j.issn.1001-5256.2021.11.003
Abstract(4165) HTML (588) PDF (4898KB)(555)
Abstract:
The risk factors for drug-induced liver injury (DILI) involve host factors (including general non-genetic factors and idiosyncratic genetic and immune factors), drug-related factors, and environmental factors. The pathogenesis of DILI can be classified as intrinsic (or direct) hepatotoxicity, idiosyncratic hepatotoxicity, and indirect hepatotoxicity, as well as tumorigenicity and carcinogenicity of some drugs to the liver. The pathogenesis of different types of hepatotoxicity not only has significant differences, but also has internal correlation at multiple links. The three-step model centered on mitochondrial permeability transition (MPT) and a two-stage model with liver cell regeneration and liver tissue repair capacity as the determinants of different outcomes display the mechanism progress of DILI from different perspectives. Clarification of the complex pathogenesis of DILI needs long-term collection of clinical cases and systematic studies, which is of great significance for the scientific prevention, diagnosis, and treatment of DILI.
Clinical manifestations and typing of drug-induced liver injury
Wanna YANG, Wen XIE
2021, 37(11): 2525-2529. DOI: 10.3969/j.issn.1001-5256.2021.11.004
Abstract(3456) HTML (616) PDF (1907KB)(418)
Abstract:
Drug-induced liver injury (DILI) is one of the most common and severe adverse drug reactions in humans, which may lead to liver failure and even death in some patients. Liver injury caused by different drugs has various clinical manifestations and severities, and most patients with DILI have no symptoms or have mild symptoms. There are various typing methods for DILI based on clinical features, course of disease, and pathogenesis. According to the R value, DILI can be classified into hepatocellular injury type (R ≥5), cholestasis type (R ≤2), and mixed type (2 < R < 5); according to the course of the disease, DILI can be classified into acute DILI and chronic DILI; according to the pathogenesis, DILI can be classified into intrinsic DILI, idiosyncratic DILI, and indirect DILI. A comprehensive understanding of the clinical manifestations and typing methods of DILI helps to reveal its pathogenesis and perform diagnosis and treatment in a timely manner.
Pathological features and pathological diagnosis of drug-induced liver injury
Yongfeng YANG
2021, 37(11): 2530-2533. DOI: 10.3969/j.issn.1001-5256.2021.11.005
Abstract(2217) HTML (371) PDF (2065KB)(306)
Abstract:
Based on liver histology, drug-induced liver injury (DILI) is classified as various pathological types of inflammatory necrosis, cholestasis, fatty degeneration and fatty liver disease, vascular injury, and minimal lesion. Histopathological examination is required for further differential diagnosis in suspected cases of DILI, liver injury that cannot be explained by DILI monogenesis, DILI cases with a history of exposure to various drugs in which the specific drug causing liver injury cannot be determined, DILI cases with unsatisfactory treatment outcome, and chronic DILI, and histopathological examination can also be used to evaluate the severity and prognosis of DILI. Since liver lesions are unevenly distributed in DILI, adequate tissue samples are needed to reduce sampling error. The histopathological manifestation of liver injury diseases has the features of "one cause with multiple results and one result with multiple causes", and a combination of pathological examination and clinical symptoms can help to make a confirmed diagnosis, suggesting that clinicopathological discussion is of great importance in the histological diagnosis of DILI.
Clinical features of drug-induced liver failure and related diagnosis and treatment strategies
Rongtao LAI, Qing XIE
2021, 37(11): 2534-2538. DOI: 10.3969/j.issn.1001-5256.2021.11.006
Abstract(1594) HTML (395) PDF (1937KB)(294)
Abstract:
The incidence of drug-induced liver injury (DILI) has risen considerably in recent years. Drug-induced liver failure tends to have severe conditions, limited therapeutic strategy, and a high mortality rate and should thus be taken seriously by clinicians. N-acetyl-p-aminophenol is the most common cause of acute liver failure (ALF) in Western countries; for ALF associated with idiosyncratic DILI (iDILI), since there is little in-deep understanding of host susceptibility and pathogenesis, it is difficult to identify ALF caused by iDILI in the early stage, and due to a low rate of spontaneous recovery and poor prognosis, it has become a major indication for emergency liver transplantation in many countries. A comprehensive understanding of the clinical features and prognostic prediction of drug-induced liver failure and the search for new reliable diagnostic methods and effective treatment strategies are of vital importance in reducing the disease burden of drug-induced liver failure.
Academic contention
Patients with chronic hepatitis B virus infection in the indeterminate phase may benefit from antiviral therapy
Jinghang XU, Xiaoyuan XU, Yanyan YU
2021, 37(11): 2539-2540. DOI: 10.3969/j.issn.1001-5256.2021.11.007
Abstract(872) HTML (156) PDF (1855KB)(188)
Abstract:
Patients in the indeterminate phase of chronic hepatitis B virus infection should receive active antiviral therapy
Jingyue WANG, Yuan HUANG
2021, 37(11): 2541-2541. DOI: 10.3969/j.issn.1001-5256.2021.11.008
Abstract(857) HTML (190) PDF (1875KB)(136)
Abstract:
Patients in the indeterminate phase of chronic hepatitis B virus infection should be treated
Yingying JIANG, Shan REN, Xinyue CHEN, Sujun ZHENG
2021, 37(11): 2543-2544. DOI: 10.3969/j.issn.1001-5256.2021.11.009
Abstract(869) HTML (178) PDF (1862KB)(121)
Abstract:
Antiviral therapy for chronic hepatitis B in the indeterminate phase is urgent
Jun JIANG, Fuzhong WU, Deyang WANG
2021, 37(11): 2545-2545. DOI: 10.3969/j.issn.1001-5256.2021.11.010
Abstract(808) HTML (187) PDF (1842KB)(117)
Abstract:
How far are we from the "Treat all" era of antiviral therapy for chronic hepatitis B
Yang DING, Xiaoguang DOU
2021, 37(11): 2546-2547. DOI: 10.3969/j.issn.1001-5256.2021.11.011
Abstract(932) HTML (198) PDF (1860KB)(147)
Abstract:
Guidelines
An excerpt of diagnosis, evaluation, and management of ascites and hepatorenal syndrome: 2021 Practice Guidance by the American Association for the Study of Liver Diseases
Jiaxuan HU, Tao HAN
2021, 37(11): 2548-2549. DOI: 10.3969/j.issn.1001-5256.2021.11.012
Abstract(1406) HTML (398) PDF (1857KB)(369)
Abstract:
An excerpt of EASL Clinical Practice Guidelines on non-invasive tests for evaluation of liver disease severity and prognosis-2021 update
Yue ZHANG, Xingyang SU, Jingyi XIE, Jue PAN, Fanpu JI
2021, 37(11): 2550-2553. DOI: 10.3969/j.issn.1001-5256.2021.11.013
Abstract(1874) HTML (589) PDF (3005KB)(381)
Abstract:
An excerpt of Budd-Chiari syndrome: Consensus guidance of the Asian Pacific Association for the Study of the Liver (APASL)
Xueying WANG, Wentao XU, Xiaowei DANG, Xingshun QI
2021, 37(11): 2555-2557. DOI: 10.3969/j.issn.1001-5256.2021.11.014
Abstract(1156) HTML (244) PDF (2151KB)(238)
Abstract:
Original articles_Liver fibrosis and liver cirrhosis
Association between liver fibrosis progression and endothelin-1/nitric oxide in patients with nonalcoholic fatty liver disease
Pinhua LI, Xudong LIU, Lu HUANG, Humin ZHU, Tiexiong WU, Huazhen PANG
2021, 37(11): 2558-2561. DOI: 10.3969/j.issn.1001-5256.2021.11.015
Abstract(1185) HTML (267) PDF (1938KB)(99)
Abstract:
  Objective  To investigate whether the progression of liver fibrosis affects endothelial function in patients with nonalcoholic fatty liver disease (NAFLD), and to early identify the warning of cardiovascular diseases caused by endothelial dysfunction by liver fibrosis progression.  Methods  A total of 280 patients who attended the outpatient service or were hospitalized in Department of Liver Disease, Ruikang Hospital Affiliated to Guangxi University of Chinese Medicine, from April 2019 to October 2020 were enrolled, and they were diagnosed with fatty liver disease by ultrasound and met the diagnostic criteria for NAFLD. General information and related serological markers were collected and recorded. FibroTouch technique was performed for the NAFLD patients diagnosed by ultrasound to record their fat attenuation parameter (FAP) and liver stiffness measurement (LSM), and according to LSM, the patients were divided into non-progressive fibrosis group (239 patients with LSM < 11 kPa) and progressive fibrosis group (41 patients with LSM ≥11 kPa) to analyze the association between liver fibrosis progression and endothelin-1 (ET-1)/nitric oxide (NO) in NAFLD. The t-test or the Mann-Whitney U test was used for comparison of continuous data between two groups, and the Spearman method was used for correlation analysis.  Results  There were no significant differences between the non-progressive fibrosis group and the progressive fibrosis group in the expression levels of ET-1(Z=-0.190, P=0.849) and NO(Z=-1.509, P=0.131), and there were significant differences between the two groups in body mass index (BMI), alanine aminotransferase (ALT), aspartate aminotransferase (AST), gamma-glutamyl transpeptidase (GGT), triglyceride (TG), and high-density lipoprotein cholesterol (HDL-C) (Z=-3.977, -4.162, -3.471, -3.201, -3.202, and -3.311, all P < 0.05). The Spearman analysis showed that LSM was not correlated with ET-1, NO, and NO/ET-1 (rs=-0.046, 0.086, and 0.104, all P > 0.05). Further analysis of the correlation of ET-1 and NO with each index showed that ET-1 was not correlated with age, NO, ALT, AST, GGT, total cholesterol, TG, HDL-C, low-density lipoprotein cholesterol (LDL-C), FAP, and BMI (rs=-0.017, 0.054, -0.067, -0.016, -0.031, 0.004, 0.051, -0.084, -0.030, 0.080, and 0.044, all P > 0.05), and NO was not correlated with age, ET-1, ALT, AST, GGT, total cholesterol, TG, HDL-C, LDL-C, FAP, and BMI (rs=0.004, 0.054, 0.011, 0.052, 0.004, -0.051, -0.052, -0.012, -0.076, -0.013, and -0.021, all P > 0.05).  Conclusion  This study shows that liver fibrosis progression in NAFLD has no impact on ET-1 and NO, suggesting that fibrosis progression may have no influence on endothelial function.
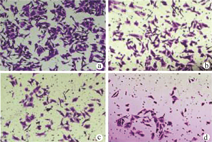
Therapeutic effect of Taohong Siwu decoction on a mouse model of carbon tetrachloride-induced liver fibrosis and its mechanism
Xuling LIU, Guangyue YANG, Wei ZHANG, Tiantian SUN, Wenting MA, Liu WU, Dongying XUE, Cheng LIU, Le TAO
2021, 37(11): 2563-2568. DOI: 10.3969/j.issn.1001-5256.2021.11.016
Abstract(1348) HTML (662) PDF (4249KB)(115)
Abstract:
  Objective  To investigate the therapeutic effect of Taohong Siwu decoction on a mouse model of carbon tetrachloride (CCl4)-induced liver fibrosis and its mechanism of action.  Methods  A total of 24 male C57BL/6 mice were randomly divided into normal group, model group, and Taohong Siwu decoction group, with 8 mice in each group. The mice in the model group and the Taohong Siwu decoction group were given intraperitoneal injection of 10% CCl4, and Taohong Siwu decoction was given by gavage since week 3 for 4 consecutive weeks. Liver function [alanine aminotransferase (ALT) and aspartate aminotransferase (AST)] was measured, and liver pathomorphology was observed. Real-time PCR was used to measure the mRNA expression of α-smooth muscle actin (α-SMA), hyaluronic acid synthase-2 (HAS-2), and collagen type Ⅰ(Col1), and Western blotting was used to measure the protein expression of α-SMA, Col1, and HAS-2. Primary hepatic stellate cells (HSCs) were isolated, and HAS-2 was silenced by siRNA to observe its influence on HSC activation. The t-test was used for comparison of continuous data between two groups; a one-way analysis of variance was used for comparison between multiple groups, and the SNK or least significant difference t-test was used for further comparison between two groups.  Results  Compared with the normal group, the model group had significant increases in serum liver function parameters (ALT, AST) and the Taohong Siwu decoction group had significant reductions in the serum levels of ALT and AST (all P < 0.01). Pathological staining showed that the model group had marked inflammatory cell infiltration and formation of fibrous septa by proliferated collagen fibers, and the Taohong Siwu decoction group had loose fibrous septa and alleviated inflammatory cell infiltration. Compared with the model group, the Taohong Siwu decoction group had significant reductions in the mRNA and protein expression of α-SMA and Col1(all P < 0.001). Compared with the normal group, the model group had a significant increase in the mRNA expression level of HAS-2 in liver tissue (t=6.14, P < 0.05), and compared with the model group, the Taohong Siwu decoction group had a significant reduction in the protein expression level of HAS-2 (0.29±0.10 vs 1.00±0.12, t=70.73, P < 0.001). After HAS-2 was silenced by siRNA, the Si HAS-2+transforming growth factor β (TGFβ) group (treated with TGFβ) had significant reductions in the mRNA expression levels of α-SMA and Col-Ⅰ compared with the NC+TGFβ group (P < 0.01).  Conclusion  Taohong Siwu decoction exerts a marked therapeutic effect on CCl4-induced liver fibrosis in mice by inhibiting HAS-2.
Risk factors for rebleeding after endoscopic selective variceal devascularization in patients with hepatitis B cirrhosis and acute variceal bleeding
Jiali MA, Yu JIANG, Julong HU, Zhenglin AI, Lingling HE, Yuling ZHOU, Xiuxia LIANG, Yijun LIN, Hongshan WEI, Ping LI
2021, 37(11): 2569-2574. DOI: 10.3969/j.issn.1001-5256.2021.11.017
Abstract(1352) HTML (354) PDF (3002KB)(93)
Abstract:
  Objective  To investigate the rebleeding rate after endoscopic selective variceal devascularization (ESVD) and the predictive factors for rebleeding in patients with hepatitis B cirrhosis and esophageal variceal bleeding (EVB).  Methods  The patients with hepatitis B cirrhosis and EVB who attended Beijing Ditan Hospital, Capital Medical University, from October 2010 to December 2019 and underwent ESVD for the first time were enrolled, and a total of 442 patients were screened out based on inclusion and exclusion criteria. Routine clinical indices, laboratory markers, imaging findings, and endoscopic findings were compared between patients, and the patients were followed up to observe rebleeding. The t-test was used for comparison of normally distributed continuous data between two groups, and the Mann-Whitney U test was used for comparison of non-normally distributed continuous data between two groups; the chi-square test was used for comparison of categorical data between two groups. The Kaplan-Meier method was used to describe rebleeding and survival status, and a Cox regression analysis was used to determine the independent risk factors for variceal rebleeding.  Results  The 1-, 2-, 3-, 4-, and 5-year cumulative rebleeding rates after first ESVD treatment were 25.11%, 33.94%, 39.82%, 42.08%, and 45.02%, respectively. The univariate analysis showed that age, systolic pressure, duration of antiviral therapy ≥1 year, ascites, white blood cell count, neutrophil, and direct bilirubin were associated with rebleeding (all P < 0.05), and the multivariate analysis showed that duration of antiviral therapy ≥1 year (hazard ratio [HR]=0.504, 95% confidence interval [CI]: 0.357-0.711, P < 0.001) and ascites (HR=1.424, 95%CI: 1.184-1.714, P < 0.001) were independent influencing factors for variceal rebleeding.  Conclusion  ESVD has a low rebleeding rate in the treatment of hepatitis B cirrhosis with EVB, and presence of ascites and a short duration of antiviral therapy are independent risk factors for rebleeding after treatment.
Original articles_Liver neoplasms
Value of albumin-bilirubin grade in predicting liver function changes and prognosis of hepatocellular carcinoma patients undergoing transarterial chemoembolization: A Meta-analysis
Weiming YU, Wenqian HONG, Binglun SUN, Jingzhao HAN, Hongfang TUO
2021, 37(11): 2575-2583. DOI: 10.3969/j.issn.1001-5256.2021.11.018
Abstract(2172) HTML (403) PDF (3075KB)(97)
Abstract:
  Objective  To investigate the value of albumin-bilirubin (ALBI) grade in evaluating liver function changes and prognosis of hepatocellular carcinoma (HCC) patients undergoing transarterial chemoembolization (TACE).  Methods  PubMed, the Cochrane Library, EMbase, Web of Science, OVID, CNKI, Wanfang Data, VIP, and CBM databases were searched for studies on ALBI grade for evaluating liver function changes and prognosis of HCC patients undergoing TACE published up to December 2020. After quality assessment and data extraction, RevMan 5.3 was used to perform a meta-analysis of the studies included. The chi-square test was used to evaluate heterogeneity between studies; hazard ratio (HR)/odds ratio (OR) and corresponding 95% confidence interval (CI) were used to evaluate outcome measures; funnel plots were used to assess publication bias.  Results  A total of 18 articles were included, with 9940 patients in total. The meta-analysis showed that the HCC patients with higher ALBI grades after TACE had a shorter overall survival time than those with lower ALBI grades (2nd vs 1st: HR=1.48, 95%CI: 1.39-1.57, P < 0.000 01; 3rd vs 1st: HR=2.45, 95%CI: 1.92-3.13, P < 0.000 01; 3rd vs 2nd: HR=1.91, 95%CI: 1.71-2.13, P < 0.000 01). The degree of deterioration of ALBI caused by 2 times of TACE was higher than that caused by 1 time of TACE (OR=1.91, 95%CI: 1.27-2.88, P < 0.05); the degree of deterioration of ALBI caused by 3 times of TACE was higher than that caused by 1 time of TACE (OR=3.21, 95%CI: 1.95-5.28, P < 0.05); the degree of deterioration of ALBI caused by 3 times of TACE was higher than that caused by 2 times of TACE (OR=1.70, 95%CI: 1.07-2.70, P < 0.05). In addition, ALBI grade could predict the onset of acute-on-chronic liver failure (ACLF) after TACE (OR=4.57, 95%CI: 2.76-7.57, P < 0.000 01).  Conclusion  Repeated TACE treatment can cause continuous deterioration of liver function based on ALBI, and ALBI has an important clinical value in predicting prognosis and the risk of ACLF after TACE.
Construction of a new patient-derived xenograft model of human liver cancer in mice with normal immunity
Huixin TANG, Shanshan LI, Feng HONG, Yanzhen BI, Quanyi WANG, Xiaobei ZHANG, Shumin CHENG, Zhongping DUAN, Zhenfeng SHU, Yu CHEN
2021, 37(11): 2584-2588. DOI: 10.3969/j.issn.1001-5256.2021.11.019
Abstract(2475) HTML (633) PDF (3030KB)(178)
Abstract:
  Objective  To establish a new patient-derived xenograft (PDX) model of human liver cancer by inoculating the complex of human primary liver cancer cells and a novel microcarrier (microcarrier 6) into mice with normal immune function.  Methods  Primary liver cancer cells were isolated and extracted from the fresh human liver cancer tissue of five patients and were then co-cultured with microcarrier 6 to construct a three-dimensional tumor cell culture model in vitro. According to the type of graft, 75 male C57BL/6 mice were divided into cell control group, microcarrier control group, and experimental group (each sample corresponded to three groups, with 15 groups in total and 5 mice in each group). The liver cancer cell-microcarrier complex was implanted into the mice by subcutaneous inoculation, and tumor formation time, tumor formation rate, and histopathological manifestations were observed. The Fisher's exact test was used for comparison of categorical data between two groups.  Results  As for the liver cancer cells from the five patients, tumor formation was observed in the mice corresponding to three patients. In these three experiments, tumor formation was not observed in the control groups and was only observed in the experimental groups, and 12 of the 15 mice in the experimental groups had successful tumor formation, with a tumor formation rate as high as 80%, which was significantly different from that in the cell control groups and the microcarrier control groups (all P < 0.05). The tumor formation time was 5-7 days; the xenograft tumor grew rapidly, and HE staining showed nested or flaky cells with obvious heteromorphism, with the presence of pathological mitosis; immunohistochemical staining showed positive CK8/18, Hep, and Gpc-3, which was in accordance with the characteristics of human liver cancer cells.  Conclusion  This experiment successfully establishes a new PDX model of human liver cancer based on the complex of microcarrier 6 and human primary liver cancer cells in mice with normal immunity. This model can be used to better elucidate the mechanism of the development and progression of liver cancer in the body with normal immunity, and besides, it also provides a new animal model with higher value for the precise treatment of liver cancer.
Effect of atractylone on the viability and apoptosis of hepatoma HepG2 cells and related mechanism
Xueli YANG, Jianhua XUE, Tianyang CHEN, Jian PING, Tianlu HOU, Jianjie CHEN, Yang CHENG
2021, 37(11): 2589-2594. DOI: 10.3969/j.issn.1001-5256.2021.11.020
Abstract(1518) HTML (242) PDF (4218KB)(99)
Abstract:
  Objective  To investigate the effect of atractylone on the viability and apoptosis of hepatoma HepG2 cells and its mechanism of action.  Methods  Hepatoma HepG2 cells were selected and divided into low-, middle-, and high-dose atractylone groups (5, 10, and 20 μmol/L), and the cells in the control group were added with an equal volume of DMSO. MTT colorimetry was used to measure the viability of HepG2 cells after treatment with different concentrations of atractylone; flow cytometry was used to measure the apoptosis rate and mitochondrial membrane potential of HepG2 cells; the DCFH-DA fluorescent probe labeling method was used to measure the level of reactive oxygen species (ROS) in HepG2 cells; Transwell assay was used to evaluate the effect of atractylone on the migration ability of HepG2 cells; Western blot was used to measure the protein expression levels of Bcl-2, Bax, and cleaved caspase-3. A one-way analysis of variance was used for comparison of continuous data between multiple groups, and the least significant difference t-test was used for comparison between two groups.  Results  After 24 and 48 hours of treatment with atractylone, compared with the control group, the low-, middle-, and high-dose atractylone groups had a tendency of reduction in cell viability (all P < 0.05), with a half inhibitory concentration of 26.19 μmol/L in atractylone treatment of HepG2 cells for 72 hours. The low-, middle-, and high-dose atractylone groups had a significantly higher apoptosis rate than the control group (14.34%/29.32%/50.12% vs 0.32%, all P < 0.05). Compared with the control group, the low-, middle-, and high-dose atractylone groups had a significant increase in the fluorescence intensity of ROS in HepG2 cells (all P < 0.05). After 48 hours of treatment with atractylone, compared with the control group, the low-, middle-, and high-dose atractylone groups had a significant reduction in the number of migrated cells (132.67±18.36/57.00±9.26/31.00±2.45 vs 258.11±38.54, P < 0.05). Compared with the control group, the low-, middle-, and high-dose atractylone groups had a significant reduction in the expression of the anti-apoptotic factor Bcl-2 and significant increases in the expression of the apoptotic factors Bax and cleaved caspase-3 (all P < 0.05).  Conclusion  Atractylone can induce the apoptosis and inhibit the migration of HepG2 cells, which provides an experimental basis for further development and utilization of atractylone.
Original articles_Other liver diseases
A real-world data analysis of the use of hepatoprotective drugs in outpatients in six cities of China from 2015 to 2019
Zinan ZHAO, Junling LYU, Lei YANG, Yatong ZHANG
2021, 37(11): 2595-2599. DOI: 10.3969/j.issn.1001-5256.2021.11.021
Abstract(1290) HTML (521) PDF (2429KB)(170)
Abstract:
  Objective  To investigate the use of hepatoprotective drugs in China in recent years, and to put forward related suggestions.  Methods  The outpatient prescription data of hepatoprotective drugs were collected from 85 hospitals in 6 cities of China from 2015 to 2019, and a real-world data analysis was performed to analyze the payment method, issuing department, drug category, and use of hepatoprotective drugs.  Results  A total of 1 113 575 prescriptions were extracted, involving 38 hepatoprotective drugs such as compound glycyrrhizin, polyene phosphatidylcholine, and bicyclol. Hepatoprotective drugs were mainly in tertiary hospitals, and the highest number of prescriptions containing hepatoprotective drugs were observed in department of infectious diseases, department of gastroenterology, and department of tuberculosis. Anti-inflammatory hepatoprotective drugs accounted for the highest proportion of all prescriptions, mainly compound glycyrrhizin, polyene phosphatidylcholine, and bicyclol. Of all prescriptions, 253 429 (22.76%) had the combination of multiple hepatoprotective drugs, with the highest number of 6 drugs, among which polyene phosphatidylcholine combined with bicyclol accounted for the highest proportion.  Conclusion  There are large quantities of hepatoprotective drugs used by outpatients in China. At present, the hepatoprotective drugs are clinically applied rationally, but there are still some problems to be solved, such as the combination of drugs.
Prevalence rate of non-obese fatty liver disease and related influencing factors
Jiang DENG, Zhiyi HAN, Cailan XIAO, Yating SUN, Yajun JI, Li AO, Yonghong ZHANG, Xiaolan LU
2021, 37(11): 2600-2604. DOI: 10.3969/j.issn.1001-5256.2021.11.022
Abstract(1346) HTML (291) PDF (1908KB)(125)
Abstract:
  Objective  To investigate the prevalence rate of non-obese fatty liver disease and its influencing factors, and to provide a reference for the prevention and treatment of fatty liver disease.  Methods  A total of 23 545 individuals who underwent physical examination in Karamay Central Hospital from January to December 2015 and had complete data of abdominal ultrasound, body mass index (BMI), age, and sex were screened out to analyze the prevalence rate of fatty liver disease, and 7484 individuals with normal BMI who had complete data of triglyceride (TG), fasting blood glucose, and alanine aminotransferase (ALT) were further screened out to perform a multivariate analysis. The t-test was used for comparison of normally distributed continuous data between two groups, and the Mann-Whitney U test was used for comparison of non-normally distributed continuous data between two groups; the chi-square test was used for comparison of categorical data between groups. A multivariate logistic regression analysis was performed to investigate independent influencing factors for non-obese fatty liver disease.  Results  In 2015, the prevalence rate of fatty liver disease was 30.2% (7116/23 545) among the individuals who underwent physical examination in Karamay Central Hospital. A stratified analysis based on BMI showed that the individuals with emaciation, normal BMI, overweight, and obesity had a prevalence rate of 0.8% (6/706), 9.3% (919/9899), 38.4% (3404/8870), and 68.5% (2787/4070), respectively (all P < 0.05), and male individuals had a significantly higher prevalence rate of fatty liver disease than female individuals (all P < 0.05). Among the 919 patients with non-obese fatty liver disease, young, middle-aged, and elderly patients accounted for 40.7% (374/919), 46.1% (424/919), and 13.2% (121/919), respectively. For the individuals with normal BMI, there was no significant difference in the prevalence rate of fatty liver disease between middle-aged and elderly individuals (14.5% vs 16.8%, P > 0.05), while both of them had a significantly higher prevalence rate than the young individuals (14.5%/16.8% vs 6.0%, P < 0.05). Young and middle-aged male individuals had a significantly higher prevalence rate of fatty liver disease than their female counterparts (χ2=99.40 and 43.29, both P < 0.001), while the elderly male individuals had a significantly lower prevalence rate than their female counterparts (χ2=9.81, P=0.002). For the individuals with normal BMI, the individuals with normal TG had a prevalence rate of fatty liver disease of 5.0% (311/6273), while those with elevated TG had a prevalence rate of 26.8% (325/1211), with a significant difference between the two groups (χ2=624.90, P < 0.001). The multivariate logistic regression analysis showed that age, BMI, ALT, fasting blood glucose, TG, and serum uric acid level were independent influencing factors for fatty liver disease in individuals with normal BMI (all P < 0.001).  Conclusion  There is a relatively high prevalence rate of non-obese fatty liver disease among individuals undergoing physical examination in Karamay Central Hospital, and 61.5% of the patients with non-obese fatty liver disease have glucose or lipid metabolic disorders. Serum TG level may be used as a simple and effective screening index for non-obese fatty liver disease.
A serum metabolomics study on the intervention of nonalcoholic fatty liver disease by equicaloric low-carbohydrate high-protein diet combined with aerobic exercise
Meiying LI, Wanli JI, Wangzhenzu LIU, Tao WANG, Shengnan DU, Jingjing GAO, Yuanye JIANG, Cheng HU
2021, 37(11): 2605-2610. DOI: 10.3969/j.issn.1001-5256.2021.11.023
Abstract(1664) HTML (369) PDF (4093KB)(95)
Abstract:
  Objective  To collect the serum samples of patients with nonalcoholic fatty liver disease (NAFLD), and to investigate the changes in serum metabolic biomarkers before and after lifestyle intervention.  Methods  A total of 23 patients who were diagnosed with NAFLD in Department of Gastroenterology and Inpatient Department, Putuo District Central Hospital of Shanghai, from January 2019 to January 2020 were enrolled, and all patients received the intervention with aerobic exercise and equicaloric low-carbohydrate high-protein diet. A total of 13 healthy volunteers who underwent physical examination in Physical Examination Center were enrolled as control group. For the patients with NAFLD, basic information was collected before and after intervention, blood samples were collected twice to measure liver function, blood glucose, and blood lipids, and part of serum was used for serum metabolomics analysis. The serum samples were analyzed by ultra-performance liquid chromatography/tandem high-resolution mass spectrometry. The data collected were processed in Compound Discover, and then principal component analysis (PCA) and orthogonal partial least squares discriminant analysis were used to establish the profile of differentially expressed blood metabolites between patients and healthy people and perform the enrichment analysis of differentially expressed metabolic pathways. The independent samples t-test was used for comparison of normally distributed continuous data between two groups, and the Wilcoxon non-parametric test was used for comparison of non-normally distributed continuous data between two groups.  Results  After lifestyle intervention, the patients had significant reductions in body mass index (P < 0.01), body weight (P < 0.01), and serum biochemical parameters alkaline phosphatase, albumin, gamma-glutamyl transpeptidase, and alanine aminotransferase (all P < 0.05), as well as a significant reduction in total protein (P < 0.01), while there were no significant improvements in cholinesterase, aspartate aminotransferase, and glucose. As for the four items for blood lipids, there was a significant reduction in triglyceride (P < 0.01), while there were no significant improvements in high-density lipoprotein cholesterol, low-density lipoprotein cholesterol, and total cholesterol. The metabolomics analysis showed that 33 serum metabolites changed significantly after lifestyle intervention. In addition, PCA results showed that after intervention, the level of metabolites in patients tended to be normal. The signaling pathway analysis showed that exercise and diet mainly affected the pathways of bile acid, unsaturated fatty acid synthesis, and phenylalanine metabolism.  Conclusion  Lifestyle intervention can achieve varying degrees of reduction in the body weight of patients with NAFLD, improve serum biochemical parameters, and regulate the abnormal metabolic pathway in patients with NAFLD, which has important clinical value and significance for guiding clinicians to formulate reasonable diet and exercise strategies for patients with NAFLD and prevent the progression of NAFLD.
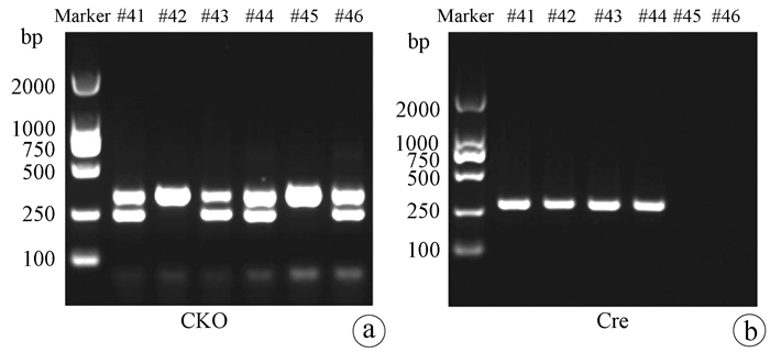
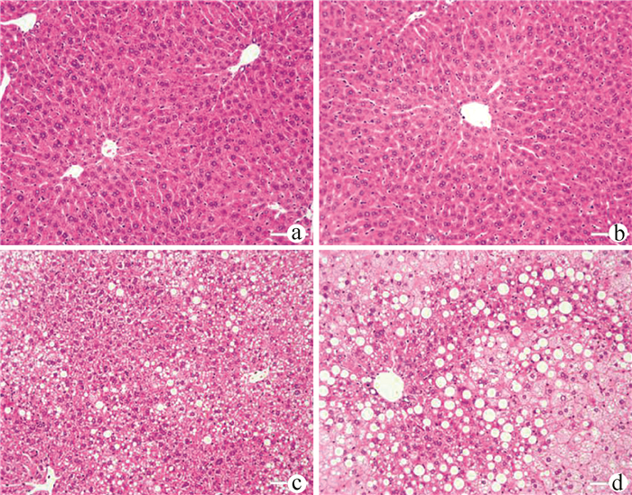
Hepatocyte-specific TM6SF2 knockout aggravates hepatic steatosis in mice with nonalcoholic fatty liver disease
Jie ZHANG, Xuefeng MA, Yifen WANG, Mengke WANG, Likun ZHUANG, Shousheng LIU, Yongning XIN
2021, 37(11): 2612-2616. DOI: 10.3969/j.issn.1001-5256.2021.11.024
Abstract(2206) HTML (590) PDF (3743KB)(175)
Abstract:
  Objective  To establish a mouse model of hepatocyte-specific TM6SF2 knockout, and to investigate the role of TM6SF2 in the development of nonalcoholic fatty liver disease (NAFLD).  Methods  The CRISPR/Cas9 technique and the Cre/LoxP strategy were used to establish a stable mouse model of hepatocyte-specific TM6SF2 knockout. The mice with hepatocyte-specific TM6SF2 knockout and the control mice were given a normal diet or a high-fat diet (HFD) for 16 weeks, and related indices were measured, including general status (body weight and liver weight), glucose metabolic indices (fasting blood glucose and insulin), and lipid metabolism (plasma triglyceride, cholesterol, and liver triglyceride). The t-test was used for comparison of normally distributed continuous data between two groups.  Results  Under the condition of HFD, compared with the control mice, the mice with hepatocyte-specific TM6SF2 knockout had significantly higher liver weight (2.235±0.175 g vs 1.258±0.106 g, t=4.789, P < 0.01) and liver index (4.970%±0.298% vs 3.210%±0.094%, t=5.630, P < 0.01), and the loss of the TM6SF2 gene in hepatocytes aggravated the abnormal level of alanine aminotransferase induced by HFD (62.517±1.526 U/L vs 25.991±5.947 U/L, t=5.949, P < 0.01). Compared with the control mice under the condition of normal diet or HFD, the mice with TM6SF2 knockout had a significant increase in plasma insulin level (normal diet: 37.203±0.836 mIU/L vs 34.835±0.426 mIU/L, t=2.520, P=0.025; HFD: 41.093±1.226 mIU/L vs 35.817±0.500 mIU/L, t=3.985, P=0.007), while there were no significant differences in the other indices associated with glucose metabolism (all P > 0.05). Under the condition of HFD, there were no significant differences in the levels of plasma triglyceride and cholesterol between the mice with hepatocyte-specific TM6SF2 knockout and the control group (P > 0.05), while the mice with hepatocyte-specific TM6SF2 knockout had a significant increase in the level of liver triglyceride compared with the control mice (23.969±0.978 mg/g vs 18.229±1.633 mg/g, t=3.015, P=0.024).  Conclusion  Hepatocyte-specific knockout of TM6SF2 can aggravate liver lipid accumulation and liver injury in mice with NAFLD.
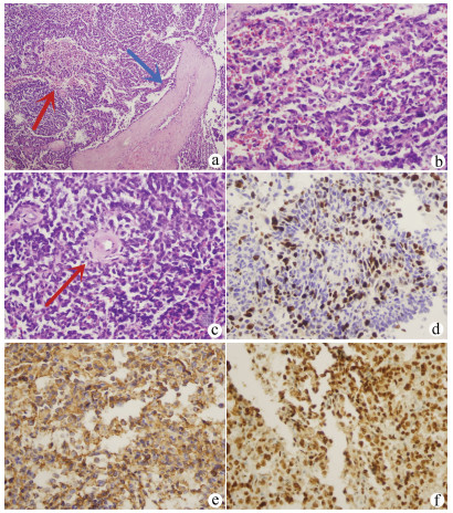
Clinical features and prognosis of primary myelofibrosis with hepatic vascular disease and/or portal hypertension
Jing WANG, Xiaofeng LIU, Jun TIE
2021, 37(11): 2617-2621. DOI: 10.3969/j.issn.1001-5256.2021.11.025
Abstract(1429) HTML (374) PDF (2515KB)(94)
Abstract:
  Objective  To investigate the clinical features, liver histopathological features, treatment, and prognosis of primary myelofibrosis (PMF)-associated hepatic vascular disease and portal hypertension.  Methods  A retrospective analysis was performed for the clinical and pathological features of 68 patients who were diagnosed with PMF in 960 Hospital of the PLA Joint Logistics Support Force and Xijing Hospital of Digestive Diseases, Air Force Medical University, from July 2010 to December 2020, among whom 22 patients had hepatic vascular disease/portal hypertension as the main manifestation. The patients were divided into two groups according to the presence or absence of thrombosis, and treatment and prognosis were summarized. The Kaplan-Meier method was used to plot survival curves, and the log-rank test was used to compare long-term survival rate between the two groups.  Results  Among the 68 patients with PMF, 22 had hepatic vascular disease and/or portal hypertension, resulting in a prevalence rate of 32.35%, and among these 22 patients, 13 (59.1%) had extrahepatic portal vein occlusion, 1 (4.5%) had Budd-Chiari syndrome, and 8 (36.4%) had portal hypertension. Biopsy was performed for 7 patients, and pathological results showed extramedullary hematopoiesis in the liver and varying degrees of infiltration of lymphocytes, plasma cells, and eosinophils at the lobular and portal areas, but the lobular structure was normal. A total of 7 patients died during follow-up, among whom 5 died of complications associated with thrombosis or portal hypertension. The overall median survival time was 57.99 months for all patients; the median survival time was 45.33 months in patients with thrombosis and 64.00 months in patients without thrombosis, and although there was no significant difference between the two groups (χ2=3.035, P=0.081), the non-thrombosis group tended to have better survival and prognosis than the thrombosis group.  Conclusion  The possibility of PMF as the primary disease should be considered for patients with hepatic vascular disease and portal hypertension. Patients with PMF should be screened for hepatic vascular disease, and early intervention should be given. The patients without thrombosis tend to have better survival and prognosis than those with thrombosis.
A preliminary study on percutaneous transhepatic drainage combined with sequential percutaneous nephroscopy in treatment of refractory liver abscess
Changhu DUAN, Xiaochen LIU, Jianlong DING, Jianfeng DUAN, Xirong ZHAO, Fan YANG, Ling WU, Lifei ZHAO, Sheng TAI
2021, 37(11): 2622-2625. DOI: 10.3969/j.issn.1001-5256.2021.11.026
Abstract(1123) HTML (227) PDF (2925KB)(75)
Abstract:
  Objective  To investigate the clinical effect of percutaneous transhepatic drainage combined with sequential percutaneous nephroscopy for necrosectomy and drainage in the treatment of refractory liver abscess after transcatheter arterial embolization (TACE).  Methods  A retrospective analysis was performed for three patients with refractory liver abscess after TACE in The Affiliated 3201 Hospital of Xi'an Jiaotong University School of Medicine from January 2018 to December 2020, and among the three patients, one had the formation of liver abscess after TACE for hepatic metastases after pancreaticoduodenectomy, one had liver abscess after repeated TACE for massive hepatocellular carcinoma, and one had secondary liver abscess after TACE for traumatic hepatic rupture. All three patients received percutaneous transhepatic drainage and sequential percutaneous nephroscopy for the treatment of refractory liver abscess, and their specific treatment process was summarized.  Results  All three patients were diagnosed with refractory liver abscess based on CT, routine blood test, procalcitonin, blood culture, and clinical manifestation. Percutaneous transhepatic catheterization under the guidance of conventional ultrasonography or CT and effective antibiotics had an unsatisfactory therapeutic effect, and after sequential percutaneous nephroscopy was performed for necrosectomy and drainage, liver abscess was cured and the patients had good prognosis.  Conclusion  For refractory liver abscess after TACE, when routine puncture treatment has an unsatisfactory therapeutic effect or a patient cannot tolerate surgical operation, percutaneous transhepatic drainage combined with sequential percutaneous nephroscopy is safe and effective in the treatment of refractory liver abscess.
Establishment and evaluation of a nomogram for predicting post-hepatectomy complications in two types of hepatic echinococcosis
Bing GUO, Mingquan PANG, Xiaolei XU, Junwei HAN, Haijiu WANG
2021, 37(11): 2626-2631. DOI: 10.3969/j.issn.1001-5256.2021.11.027
Abstract(968) HTML (209) PDF (2502KB)(59)
Abstract:
  Objective  To establish a nomogram for predicting the risk of post-hepatectomy complications (PHC) in hepatic echinococcosis by analyzing the risk factors for PHC in two types of hepatic echinococcosis, and to investigate its value in clinical practice.  Methods  A retrospective analysis was performed for the clinical data of 263 patients with two types of hepatic echinococcosis who underwent hepatectomy in Qinghai University Affiliated Hospital from January 2015 to August 2020, and among these patients, 93 were enrolled as PHC group and 170 were enrolled as control group. The Mann-Whitney U test was used for comparison of non-normally distributed continuous data between two groups, and the independent samples t-test was used for comparison of normally distributed continuous data between two groups; the chi-square test and the Fisher's exact test were used for comparison of categorical data between two groups. Univariate and multivariate logistic regression analyses were used to screen out independent risk factors for PHC, and a nomogram risk prediction model was established based on the weight of each independent risk factor. The Bootstrap resampling method was used for internal verification of the model; the receiver operating characteristic (ROC) curve was plotted to evaluate the discriminatory ability of the model; calibration curve and the Hosmer-Lemeshow test were used to evaluate the consistency of the model; decision curve analysis (DCA) was performed to verify the clinical effectiveness of the model.  Results  Albumin-bilirubin (ALBI) score (odds ratio [OR]=3.694, 95% confidence interval [CI]: 1.860-7.336, P < 0.05), time of operation (OR=2.848, 95%CI: 1.384-5.859, P < 0.05), intraoperative blood loss (OR=4.832, 95%CI: 2.384-9.793, P < 0.05), and hydatid diameter (OR=3.073, 95%CI: 1.528-6.177, P < 0.05) were independent risk factors for PHC in two types of hepatic echinococcosis. A nomogram risk prediction model was established based on the weight of the above four independent risk factors, and the model had an area under the ROC curve of 0.877 (95%CI: 0.831-0.923). The model had a consistency index of 0.871 after internal verification using the Bootstrap resampling method, suggesting that the model had good discriminatory ability. The fitting of the observed value and the actual value of the calibration curve and the Hosmer-Lemeshow test (P=0.905) showed that the predicted value of the nomogram risk prediction model had good consistency with the actual observed value. When the threshold probability was 35.6%, DCA showed a net clinical benefit of 22%, and the model had good clinical applicability within the threshold probability ranging from 8% to 89%.  Conclusion  ALBI score, time of operation, intraoperative blood loss, and hydatid diameter are independent risk factors for PHC in patients with two types of hepatic echinococcosis, and the nomogram risk prediction model established based on these factors has good accuracy, consistency, and clinical practicability.
Original articles_Biliary diseases
Endoscopic ultrasound features of distal biliary stricture
Hongye LI, Yarong WEI, Huihui LI, Hao DING, Jianglong HONG, Hailun MENG, Zhangwei XU, Junjun BAO, Qiao MEI
2021, 37(11): 2632-2635. DOI: 10.3969/j.issn.1001-5256.2021.11.028
Abstract(1065) HTML (656) PDF (1888KB)(83)
Abstract:
  Objective  To investigate the endoscopic ultrasound (EUS) features of distal biliary stricture (DBS), and to provide a clinical basis for the evaluation of DBS by EUS.  Methods  Related clinical data were collected from 175 patients with DBS who underwent EUS examination in The First Affiliated Hospital of Anhui Medical University from April 2016 to March 2020 to analyze their clinical manifestation, laboratory examination results, imaging findings, and EUS findings, and the patients were followed up to summarize the EUS features of DBS. The chi-square test was used for comparison of categorical data between groups, and the t-test was used for comparison of continuous data between groups.  Results  Among the 175 patients with DBS, 85(48.57%) had benign DBS and 90(51.43%) had malignant DBS. Compared with the patients with benign DBS, the patients with malignant DBS had a significantly longer length of stricture on EUS (14.1±3.0 mm vs 7.9±3.0 mm, t=13.358, P < 0.001) and significantly higher incidence rates of the characteristic changes on EUS such as hypoechoic space-occupying lesions in lumen (57.8% vs 34.1%, χ2=9.843, P=0.002), peripheral lymph node enlargement (26.7% vs 12.9%, χ2=5.147, P=0.023), and pancreatic duct dilatation (51.1% vs 28.2%, χ2=9.532, P=0.002). EUS combined with magnetic resonance cholangiopancreatography had a sensitivity of 70.6% in the diagnosis of benign DBS and a sensitivity of 92.2% in the diagnosis of malignant DBS.  Conclusion  The characteristic EUS features of DBS, such as long length of stricture, hypoechoic lesion, peripheral lymph node enlargement, and pancreatic duct dilatation, may help with the differential diagnosis of DBS in clinical practice.
Effectiveness and safety of two-step percutaneous transhepatic choledochoscopic lithotomy in treatment of complex hepatolithiasis
Changhu DUAN, Xiaochen LIU, Jianfeng DUAN, Jianlong DING, Xirong ZHAO, Fan YANG, Lin WU, Lifei ZHAO, Sheng TAI
2021, 37(11): 2636-2641. DOI: 10.3969/j.issn.1001-5256.2021.11.029
Abstract(1219) HTML (808) PDF (1978KB)(100)
Abstract:
  Objective  To investigate the clinical effect of two-step percutaneous transhepatic choledochoscopic lithotomy (PTCSL) in the treatment of complex hepatolithiasis.  Methods  A retrospective analysis was performed for the clinical data of 118 patients with complex hepatolithiasis who were admitted to 3201 Hospital of Xi'an Jiaotong University Health Science Center from January 2018 to June 2020, and according to the surgical procedure, they were divided into PTCSL group with 60 patients and surgery group with 58 patients. All patients were followed up for half a year to 3 years via telephone and outpatient service. The two groups were compared in terms of general information, perioperative indicators (including time of operation, intraoperative blood loss, incision length, time to first flatus and time to first defecation after surgery, time to extraction of abdominal drainage tube, and length of hospital stay), changes in liver function and inflammatory indicators, postoperative complications (bile leakage, acute cholangitis, wound infection, and venous thrombosis of lower extremities), stone clearance rate and recurrence rate, and quality of life. The two-independent-samples t-test was used for comparison of continuous data between two groups; the paired t-test was used for comparison between different periods of time within group; the chi-square test was used for comparison of categorical data between two groups.  Results  Compared with the surgery group, the PTCSL group had significantly shorter time of operation, time to first flatus and time to first defecation after surgery, and time to extraction of abdominal drainage tube, a significantly lower intraoperative blood loss, and a significantly shorter incision length (all P < 0.05). On day 1 after surgery, both groups had significant reductions in alanine aminotransferase (ALT) and aspartate aminotransferase (AST) (P < 0.05) and a significant increase in white blood cell count (WBC) (P < 0.05), and the PTCSL group had significantly lower levels of ALT, AST, and WBC than the surgery group (all P < 0.05). Compared with the surgery group, the PTCSL group had significantly lower incidence rates of postoperative bile leakage (5.0% vs 17.2%, P < 0.05), acute cholangitis (3.3% vs 13.8%, P < 0.05), wound infection (1.7% vs 10.3%, P < 0.05), and venous thrombosis of lower extremities (1.7% vs 12.1%, P < 0.05). Compared with the surgery group, the PTCSL group had a significantly higher stone clearance rate (58.3% vs 37.9%, P < 0.05) and a significantly lower long-term stone recurrence rate (10.0% vs 20.7%, P < 0.05). The PTCSL group had significantly higher quality of life scores than the surgery group (all P < 0.05).  Conclusion  For the treatment of complex hepatolithiasis, two-step PTCSL can effectively remove stones, with the advantages of fast postoperative recovery, low recurrence rate and incidence rate of complications, and high quality of life, and therefore, it is an effective alternative surgical procedure.
Case reports
A case of secondary hemochromatosis with subacute hepatic failure
Sansan YANG, Anhai CHEN
2021, 37(11): 2642-2643. DOI: 10.3969/j.issn.1001-5256.2021.11.030
Abstract(772) HTML (151) PDF (1858KB)(85)
Abstract:
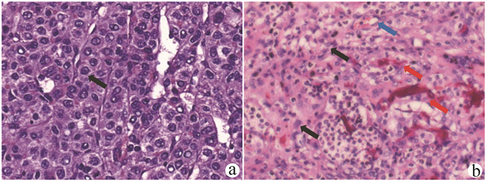
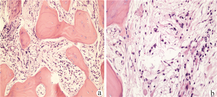
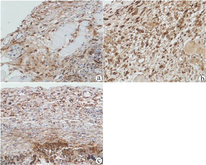
Liver biopsy diagnosis of hepatic extramedullary hematopoiesis: A case report
Lilin JIANG, Juanjuan FU, Linxin TANG, Zhi WANG, Zhonghua LU
2021, 37(11): 2644-2645. DOI: 10.3969/j.issn.1001-5256.2021.11.031
Abstract(1162) HTML (543) PDF (2617KB)(82)
Abstract:
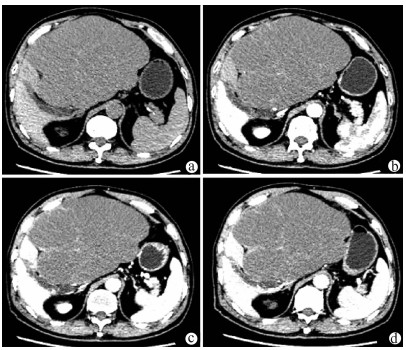
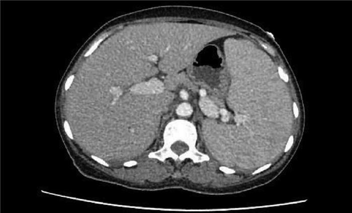
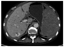
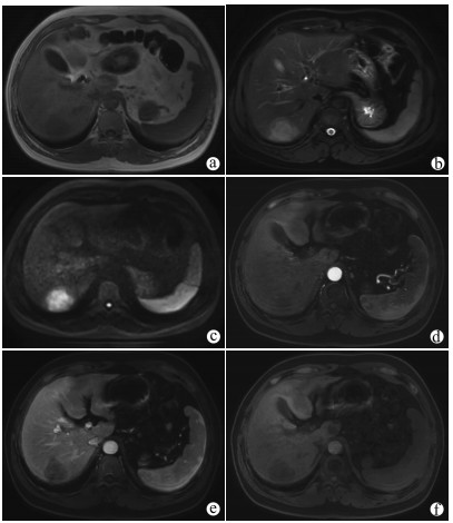
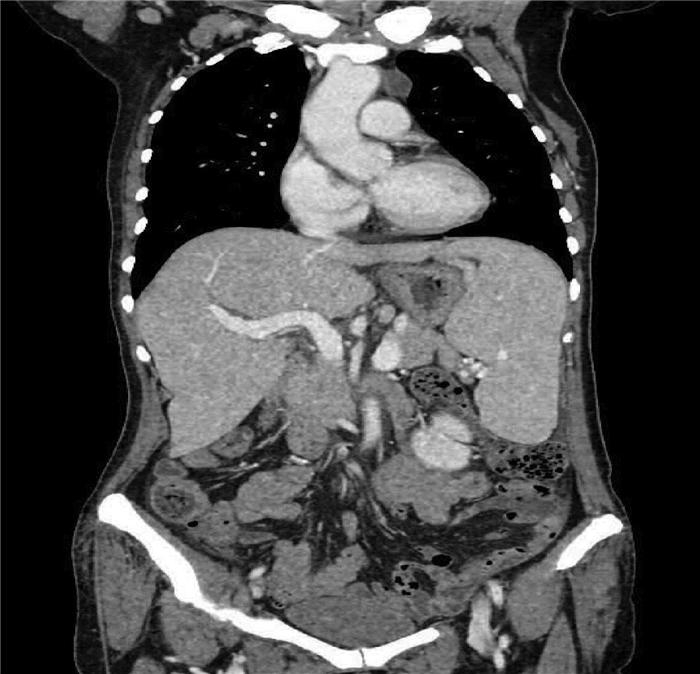
A case of hepatic angiosarcoma with Kasabach-Merritt syndrome
Mengnan LI, Gongchen WANG, Zhiming ZHANG
2021, 37(11): 2646-2648. DOI: 10.3969/j.issn.1001-5256.2021.11.032
Abstract(840) HTML (320) PDF (2149KB)(67)
Abstract:
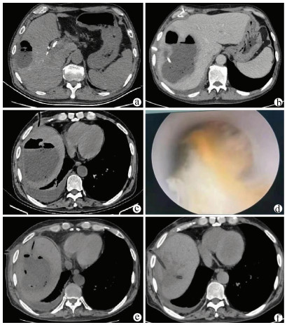
Surgical resection of liver metastases of ovarian cancer and the affected diaphragm and lung lobes via the intercostal approach: A case report
Daqun LIU, Ziyue WANG, Yushi CAO, Xing LYU, Guoyue LYU
2021, 37(11): 2649-2650. DOI: 10.3969/j.issn.1001-5256.2021.11.033
Abstract(773) HTML (441) PDF (2420KB)(53)
Abstract:
A case of huge intrahepatic biliary papillomatosis
Ziyue WANG, Daqun LIU, Jiaao YU, Jingxuan ZHANG, Guoyue LYU
2021, 37(11): 2651-2652. DOI: 10.3969/j.issn.1001-5256.2021.11.034
Abstract(849) HTML (182) PDF (2663KB)(60)
Abstract:
Complete rupture of the pancreas and duodenum caused by car accident in children: A case report
Lijian YANG, Honglai XU, Yuelong HUANG, Xueli LI, Xiubing CHEN
2021, 37(11): 2653-2654. DOI: 10.3969/j.issn.1001-5256.2021.11.035
Abstract(873) HTML (378) PDF (2032KB)(58)
Abstract:
A case of primary splenic angiosarcoma
Huijun WANG, Jianxiang NIU, Xiaoyan XU, Weihua ZHENG, Pengfei LI, Yibo LIU, Junjing ZHANG
2021, 37(11): 2655-2657. DOI: 10.3969/j.issn.1001-5256.2021.11.036
Abstract(872) HTML (527) PDF (3488KB)(80)
Abstract:
Reviews
Mechanism of taurocholic acid in promoting the progression of liver cirrhosis
Yingbiao YUE, Kunhua WANG, Lei ZOU
2021, 37(11): 2658-2662. DOI: 10.3969/j.issn.1001-5256.2021.11.037
Abstract(2090) HTML (447) PDF (3064KB)(144)
Abstract:
Bile acid is the main component of bile, and the external secretion of bile acid into the intestine can help with the absorption of lipids and fat-soluble vitamins; in addition, bile acid acts as a signal molecule to regulate bile acid metabolism and help maintain intestinal homeostasis. The process of liver cirrhosis is accompanied by varying degrees of cholestasis, causing bile duct injury, and exposure of liver cells to a high concentration of bile acid will accelerate the progression of liver cirrhosis and form a vicious circle. Among these abnormally elevated bile acids, taurocholic acid (TCA) shows the greatest increase, suggesting that TCA may play an important role in the process of liver cirrhosis. At present, there are relatively few studies on the mechanism of TCA in liver cirrhosis, and current studies in China and globally have shown that TCA at a high concentration (≥50 μmol/L) can promote the progression of liver cirrhosis by acting on liver cells (hepatic stellate cells, hepatocytes, hepatic progenitor cells, and bile duct epithelial cells). This article discusses the detailed mechanism of TCA in promoting liver cirrhosis and points out that TCA has the clinical potential as a biomarker and therapeutic target for liver cirrhosis.
Role of erythropoietin-producing hepatocyte receptors in the pathogenesis of liver fibrosis and hepatocellular carcinoma
Weizhao TONG, wei LIU, Guoxin HU
2021, 37(11): 2663-2666. DOI: 10.3969/j.issn.1001-5256.2021.11.038
Abstract(1401) HTML (671) PDF (2646KB)(88)
Abstract:
Erythropoietin-producing hepatocyte (Eph) receptors are the largest subgroup of the receptor tyrosine kinase family and are involved in the physiological processes such as embryonic development, angiogenesis, and axon guidance. Recent studies have shown that Eph receptors are overexpressed in liver fibrosis and hepatocellular carcinoma tissues and play an important role in the growth, invasion, and metastasis of hepatocellular carcinoma. This article explores the mechanism of action of Eph receptors in liver fibrosis and hepatocellular carcinoma and points out that Eph receptors may be important molecules in the development and progression of liver fibrosis and hepatocellular carcinoma.
Impact of nonalcoholic fatty liver disease on intestinal immune cells
Yalan LEI, Jian BI, Jingwei MAO
2021, 37(11): 2667-2671. DOI: 10.3969/j.issn.1001-5256.2021.11.039
Abstract(912) HTML (242) PDF (1908KB)(74)
Abstract:
Nonalcoholic fatty liver disease (NAFLD) interacts with the intestinal immune system due to enterohepatic circulation and immune cell recruitment and recirculation. Intestinal immune imbalance promotes liver inflammation and fibrosis in the process of NAFLD, and meanwhile, NAFLD can cause disorders in the number and function of immune cells in the liver and intestinal tract. This article mainly elaborates on the impact of NAFLD on intestinal immune cells and briefly summarizes the new treatment methods for NAFLD targeting at intestinal immune cells, in order to provide a new understanding of the pathogenesis and treatment of NAFLD.
Research advances in the association between nonalcoholic fatty liver disease and colorectal adenomatous polyps
Jinhong TANG, Long WANG
2021, 37(11): 2672-2675. DOI: 10.3969/j.issn.1001-5256.2021.11.040
Abstract(803) HTML (287) PDF (1892KB)(85)
Abstract:
Nonalcoholic fatty liver disease (NAFLD) and colorectal adenomatous polyps are closely associated with the various components of metabolic syndrome. This article summarizes the recent studies on the association between NAFLD and colorectal adenomatous polyps, and the results show that NAFLD is associated with an increased risk of colorectal adenomatous polyps, while related mechanism remains unclear, which may be associated with insulin resistance, chronic inflammatory response, adipokines, and intestinal flora disturbance.
Effect of diet-gut microbiota axis on nonalcoholic fatty liver disease
Shenglan ZENG, Rongzhen ZHANG, Na WANG, Tingshuai WANG, Liting TAN, Dewen MAO
2021, 37(11): 2676-2679. DOI: 10.3969/j.issn.1001-5256.2021.11.041
Abstract(1185) HTML (249) PDF (1900KB)(92)
Abstract:
The incidence rate of nonalcoholic fatty liver disease (NAFLD) is increasing. Diet is considered one of the main driving forces regulating the composition of intestinal microbiota, and the intestine and the liver are closely linked through the portal vein, so changes in gut microbiota may affect liver function and promote inflammation, insulin resistance, and steatosis, thereby causing NAFLD. This article elaborates on the relationship between diet, gut microbiota, and the liver and the research advances in how this axis promotes the progression of NAFLD, as well as the change in potential mechanism due to intestinal dysbacteriosis and related treatment methods.
Role of angiopoietin-like proteins in the development of nonalcoholic fatty liver disease
Peiyu ZHENG, Xiuqin AN, Jinchun LIU
2021, 37(11): 2680-2683. DOI: 10.3969/j.issn.1001-5256.2021.11.042
Abstract(1138) HTML (393) PDF (2088KB)(75)
Abstract:
Angiopoietin-like proteins (ANGPTLs) are a family of secretory glycoproteins recently found to be constitutionally homologous with angiogenin and play a role in the regulation of angiogenesis. In recent years, more and more studies have shown that ANGPTLs play an important role in glucose and lipid metabolism, inflammation, and tumor. As we all know, nonalcoholic fatty liver disease and its disease spectrum are closely associated with metabolism, inflammation, and tumor. This article reviews the role of ANGPTLs in various diseases associated with nonalcoholic fatty liver disease, in order to provide new ideas for the prevention and treatment of nonalcoholic fatty liver disease in clinical practice.
Value of circular RNA in the diagnosis and treatment of nonalcoholic fatty liver disease
Shengnan DU, Jingjing GAO, Tao WANG, Yuanye JIANG, Qin CAO
2021, 37(11): 2684-2688. DOI: 10.3969/j.issn.1001-5256.2021.11.043
Abstract(1189) HTML (351) PDF (1904KB)(89)
Abstract:
The prevalence rate of nonalcoholic fatty liver disease (NAFLD) is increasing year by year and it has become one of the most common chronic liver diseases in the world. Studies have shown that circular RNA (circRNA) is closely associated with NAFLD and is considered a potential diagnostic biomarker and therapeutic target for NAFLD. This article summarizes the regulatory role of circRNA in the pathogenesis of NAFLD and its value in diagnosis and treatment and points out that circRNA plays an important role in the development and progression of NAFLD and may have important clinical significance in the diagnosis and treatment of NAFLD.
Mechanism of autophagy in the development and progression of autoimmune hepatitis
Peiwei YANG, Guangwei LIU, Wenxia ZHAO
2021, 37(11): 2689-2691. DOI: 10.3969/j.issn.1001-5256.2021.11.044
Abstract(858) HTML (249) PDF (1883KB)(67)
Abstract:
Autophagy is a process of self-defense and self-repair of cells and tissues and plays an important role in regulating the body's immune inflammatory response and maintaining the homeostasis of liver cells. This article summarizes the mechanism of autophagy in the development and progression of autoimmune hepatitis (AIH) from the aspects of the role of autophagy in regulating immune inflammatory response, regulating immune signal transduction, and preventing overactivated innate immune response. It is believed that autophagy may reveal the mechanism of AIH and provide new ideas and methods for the research on AIH.
Association between myostatin and sarcopenia in end-stage liver disease
Qin ZHAO, Junjie YANG, Yanping ZHONG, Shan LI, Yuanyuan LIU, Xu LEI, Long LIU, Huabing TAN
2021, 37(11): 2692-2700. DOI: 10.3969/j.issn.1001-5256.2021.11.045
Abstract(1088) HTML (473) PDF (1890KB)(84)
Abstract:
Patients with end-stage liver disease (ESLD) are often accompanied by various complications such as sarcopenia and cachexia including lipopenia, and it was believed in the past that such status was associated with malnutrition, while recent studies have shown that myostatin (MSTN) is associated with the progression of ESLD. MSTN can lead to sarcopenia and cachexia by affecting the metabolism of glucose, fat, and protein and the number of myocytes, and it can be used as a screening indicator for hepatocellular carcinoma (HCC) and an indicator for disease progression. Intervention via the MSTN pathway might be an effective method for controlling sarcopenia and cachexia in patients with ESLD, and MSTN may be an effective indicator for predicting the progression of liver cirrhosis to HCC.
Immunotherapy for acute-on-chronic liver failure
Xiaobin QIN, Rongzhen ZHANG, Cong WU, Shenglan ZENG, Yingyu LE, Dewen MAO
2021, 37(11): 2696-2700. DOI: 10.3969/j.issn.1001-5256.2021.11.046
Abstract(1087) HTML (305) PDF (1909KB)(99)
Abstract:
Acute-on-chronic liver failure (ACLF) is a life-threatening disease with a high risk of multiple organ failure, sepsis, and death. ACLF activates innate and acquired immune responses in human body and thus leads to the progression of persistent systemic inflammatory response syndrome and multiple organ dysfunction, leading to the high mortality rate of this disease. Dysregulated immune response plays a key role in disease progression, and immunotherapy may help to target immune-mediated organ damage and inhibit the progression of liver failure. This article reviews the role and mechanism of drugs and means with a potential immune regulatory effect in ACLF, in order to provide a reference for immunotherapy for ACLF.
Current status of research on the prognostic markers for acute-on-chronic liver failure
Jian LI, Yaqiu DU, Dezhao LI, Huifan JI, Chenggang ZHANG, Qingxia LIU, Xiaolin GUO
2021, 37(11): 2701-2705. DOI: 10.3969/j.issn.1001-5256.2021.11.047
Abstract(990) HTML (449) PDF (1916KB)(94)
Abstract:
Acute-on-chronic liver failure (ACLF) is a syndrome characterized by multiple organ failure and high short-term mortality rate, and it has always been a research hotspot in the field of severe liver diseases. Therefore, early and accurate risk stratification and timely intervention are of great significance to improve prognosis. This article summarizes the serum biomarkers identified in recent years for evaluating the prognosis of patients with ACLF, and it is pointed out that new serum biomarkers have an important guiding significance in the prognostic evaluation of ACLF patients.
Role of alpha-fetoprotein in prognostic evaluation of patients with liver failure
Hong WU, Hao LI, Shanhong TANG
2021, 37(11): 2706-2709. DOI: 10.3969/j.issn.1001-5256.2021.11.048
Abstract(1669) HTML (700) PDF (1903KB)(140)
Abstract:
China is a big country with liver diseases, and various hepatitis viruses, drug poisons, and alcohol can cause liver injury and even liver failure. The key to the prognosis of patients with liver failure is liver self-repair and regeneration. Alpha-fetoprotein (AFP) has been extensively studied as a tumor marker in liver cancer, but its role in liver regeneration in patients with liver failure awaits further studies. This article summarizes the basic research on AFP in liver regeneration and the clinical research on AFP in acute liver failure and acute-on-chronic liver failure (ACLF), as well as the previous research findings of our group that AFP is an important prognostic index and regeneration factor for liver regeneration after hepatitis B virus-related ACLF. The analysis shows that further studies on the role of AFP in the prognosis of various types of liver failure and the mechanism of liver regeneration will help deepen our understanding of AFP and liver regeneration, thereby providing new ideas and methods for the clinical diagnosis, treatment, and prognostic evaluation of patients with various types of liver failure.
Research advances in the association between liver failure and intestinal barrier injury
Lingyan XIAO, Awen XING, Shanzhong TAN
2021, 37(11): 2710-2714. DOI: 10.3969/j.issn.1001-5256.2021.11.049
Abstract(1219) HTML (395) PDF (1911KB)(77)
Abstract:
Liver failure and intestinal barrier injury, especially intestinal microflora imbalance, interacts as both the cause and effect of each other. Intestinal barrier injury is observed during liver failure, including the injuries of chemical, mechanical, immune, and microbial barriers, and meanwhile, gut dysbiosis, increased bacterial endotoxins, and abnormal bile acid metabolism may affect hepatocyte regeneration, increase complications, and aggravate the conditions of liver failure. The maintenance of intestinal barrier function should be taken seriously in the treatment of liver failure, and the treatment targeting intestinal barrier injury, especially microecological disturbance, is a promising method.
Role of Y-box binding protein-1 in the development and progression of chronic liver diseases
Ting LIU, Xiaoli XIE, Huiqing JIANG
2021, 37(11): 2715-2718. DOI: 10.3969/j.issn.1001-5256.2021.11.050
Abstract(865) HTML (265) PDF (1943KB)(61)
Abstract:
Chronic liver diseases have various etiologies and often have poor long-term prognosis in clinical practice. Y-box binding protein-1 (YB-1) is a multifunctional protein, and in-depth studies in recent studies have found that it plays a key role in the development and progression of chronic liver diseases such as liver fibrosis and hepatocellular carcinoma (HCC). This article summarizes the role of YB-1 in chronic liver diseases such as liver fibrosis, HCC (proliferation, apoptosis, metastasis, prognosis, and drug resistance), and liver failure, so as to provide a theoretical basis for the diagnosis and treatment of chronic liver diseases.
Role of N6-methyladenosine methylation in liver diseases
Yanzhen MA, Furong WU, Jiafu ZHANG, Chang FAN, Shaopeng HUANG, Sen CHEN, Hui JIANG
2021, 37(11): 2719-2722. DOI: 10.3969/j.issn.1001-5256.2021.11.051
Abstract(1186) HTML (307) PDF (2093KB)(82)
Abstract:
N6-methyladenosine (m6A) is a chemical modification that exists in a variety of RNAs and is most commonly observed in mRNA. The liver is a vital metabolic and digestive organ in human body, and m6A methylation plays an important role in the physiological and pathological processes of the liver. This article reviews the biological role and potential application value of m6A methylation in liver physiology and liver diseases such as viral hepatitis, nonalcoholic fatty liver disease, liver fibrosis, and hepatocellular carcinoma, and it is pointed out that m6A methylation can regulate related factors and is involved in the development and progression of liver diseases, which provides new ideas and targets for clinical diagnosis and treatment.
Association between genotype and phenotype of ABCB4 gene mutation
Yuhang WENG, Yongfeng YANG
2021, 37(11): 2723-2726. DOI: 10.3969/j.issn.1001-5256.2021.11.052
Abstract(1411) HTML (524) PDF (1937KB)(127)
Abstract:
ABCB4-related disease is the syndrome of bile secretion disorder caused by gene mutations and can cause bile duct injury, portal hypertension, and liver cirrhosis in clinical practice. With the development of genetics and gene sequencing techniques in recent years, more and more mutation sites have been identified; however, since this is a relatively complex disease, the pathogenicity and pathogenic mechanism of mutations remain unclear. Meanwhile, since this disease is rare, it is difficult to determine the pathogenicity of ABCB4 mutations based on basic research or clinical data. Therefore, it is urgent to establish the association between ABCB4 genotypes and phenotypes and construct a complete system in basic research and clinical practice.
Advances in the treatment of acute intermittent porphyria
Ru LI, Yi REN, Jianhong WANG, Jing YANG
2021, 37(11): 2728-2731. DOI: 10.3969/j.issn.1001-5256.2021.11.053
Abstract(1895) HTML (1258) PDF (2834KB)(171)
Abstract:

Acute intermittent porphyria (AIP) is a rare disease caused by enzyme deficiency due to HMBS gene mutation and is often life-threatening during acute attack. This article introduces the traditional treatment methods for AIP, such as high-carbohydrate therapy and intravenous heme infusion, as well as several emerging therapies targeting the etiology of AIP, including enzyme replacement therapy and gene therapy with multiple strategies of DNA gene augmentation, mRNA gene augmentation, and RNAi gene silencing. It is worth noting that breakthroughs have been made in Givosiran, a drug based on RNAi gene silencing, and it has been used in clinical practice. Gene therapy targeting the etiology of AIP may become a new trend in the treatment of rare diseases in the future.

Current status of the application of robot-assisted laparoscopic hepatectomy
Lei WANG, Kangwei LIU, Yuling DUAN, Xinyao LI, Cijun PENG
2021, 37(11): 2732-2736. DOI: 10.3969/j.issn.1001-5256.2021.11.054
Abstract(1370) HTML (219) PDF (1918KB)(84)
Abstract:
Robot-assisted laparoscopy hepatectomy (RALH) is a new technique for surgical operation. Compared with conventional laparoscopic hepatectomy, RALH is more frequently used in complex liver tumor and liver tumor with special locations, but this technique is still under development and is limited by the burden of high costs and surgical devices. Meanwhile, there is a lack of generally accepted and confirmed clinical data, and therefore, the role of RALH is still under debate. This article reviews the surgical indication, learning curve, advantages, and limitations of RALH.
Current status of endoscopic diagnosis and treatment of benign biliary stricture
Wencong YUAN, Qiao HE, Zhixin WANG, Haining FAN, Haijiu WANG, Bin REN, Li REN
2021, 37(11): 2737-2741. DOI: 10.3969/j.issn.1001-5256.2021.11.055
Abstract(1702) HTML (823) PDF (1910KB)(86)
Abstract:
Benign biliary stricture (BBS) refers to complete or incomplete stricture of the biliary tract caused by a series of non-malignant diseases. BBS often has complex and diverse etiologies, and severe complications may occur if it is not adequately treated. Diagnostic methods currently used in clinical practice include imaging, endoscopic retrograde cholangiopancreatography, endoscopic ultrasonography, and choledochoscopy, and treatment methods include balloon dilatation, stent implantation, percutaneous transhepatic biliary drainage, and surgical treatment. At present, endoscopic diagnosis and treatment of BBS has become the preferred method. However, there is still no clear classification of BBS, which needs further investigation. By consulting related literature in China and globally, this article summarizes the issues associated with the endoscopic diagnosis and treatment of BBS.
Research advances in surgical margin of hilar cholangiocarcinoma
Yirui WANG, Shuochen LIU, Xiangcheng LI
2021, 37(11): 2742-2744. DOI: 10.3969/j.issn.1001-5256.2021.11.056
Abstract(1902) HTML (1063) PDF (1881KB)(105)
Abstract:
Hilar cholangiocarcinoma (HCCA) is the most common biliary malignancy, and surgical operation is the only possible treatment method at present. The nature of surgical margin is an important influencing factor for the long-term survival of patients, and radical resection can bring great survival benefits to patients. The determination of radial margin for HCCA can help to evaluate the nature of surgical margin and predict the prognosis of patients more accurately. This article reviews the latest research advances in the surgical margin of HCCA.