中文English
ISSN 1001-5256 (Print)
ISSN 2097-3497 (Online)
CN 22-1108/R
Volume 37 Issue 11
Nov.  2021
Turn off MathJax
Article Contents

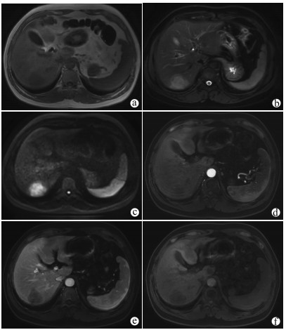
A case of hepatic angiosarcoma with Kasabach-Merritt syndrome

DOI: 10.3969/j.issn.1001-5256.2021.11.032
Research funding:

Projects of Technology in Gansu Province (18JR2FA001)

  • Received Date: 2021-04-12
  • Accepted Date: 2021-06-16
  • Published Date: 2021-11-20
  • loading
  • [1]
    HOLDEN CA, SPITTLE MF, JONES EW. Angiosarcoma of the face and scalp, prognosis and treatment[J]. Cancer, 1987, 59(5): 1046-1057. DOI: 10.1002/1097-0142(19870301)59:5<1046::aid-cncr2820590533>3.0.co;2-6.
    [2]
    LOCKER GY, DOROSHOW JH, ZWELLING LA, et al. The clinical features of hepatic angiosarcoma: A report of four cases and a review of the English literature[J]. Medicine (Baltimore), 1979, 58(1): 48-64. DOI: 10.1097/00005792-197901000-00003.
    [3]
    JI Y, YANG K, PENG S, et al. Kaposiform haemangioendothelioma: Clinical features, complications and risk factors for Kasabach-Merritt phenomenon[J]. Br J Dermatol, 2018, 179(2): 457-463. DOI: 10.1111/bjd.16601.
    [4]
    READ WL, WILLIAMS F. Metastatic angiosarcoma with Kasabach-Merritt syndrome responsive to gemcitabine and vinorelbine after failure of liposomal doxorubicin and paclitaxel: A case report[J]. Case Rep Oncol, 2016, 9(1): 177-181. DOI: 10.1159/000444747.
    [5]
    SINGH G, MILLS C, ASADI K, et al. Hepatic angiosarcoma as a cause of acute liver failure[J]. BMJ Case Rep, 2018, 2018: bcr2018225896. DOI: 10.1136/bcr-2018-225896.
    [6]
    SÁNCHEZ RODRÍGUEZ E, PINILLA PAGNON I, RÍOS LEON R, et al. Hepatic angiosarcoma in a patient with liver cirrhosis[J]. Gastroenterol Hepatol, 2019, 42(5): 304-305. DOI: 10.1016/j.gastrohep.2018.10.011.
    [7]
    CHAUDHARY P, BHADANA U, SINGH RA, et al. Primary hepatic angiosarcoma[J]. Eur J Surg Oncol, 2015, 41(9): 1137-1143. DOI: 10.1016/j.ejso.2015.04.022.
    [8]
    ZHU XX, LI ZW, ZHENG Y. A case of primary hepatic angiosarcoma with splenic metastasis and rupturet[J]. J Clin Hepatol, 2019, 35(3): 608-610. DOI: 10.3969/j.issn.1001-5256.2019.03.032.

    朱锡勋, 李志伟, 郑宇. 原发性肝血管肉瘤脾转移破裂出血1例报告[J]. 临床肝胆病杂志, 2019, 35(3): 608-610. DOI: 10.3969/j.issn.1001-5256.2019.03.032.
    [9]
    DROLET BA, TRENOR CC 3rd, BRANDǍO LR, et al. Consensus-derived practice standards plan for complicated Kaposiform hemangioendothelioma[J]. J Pediatr, 2013, 163(1): 285-291. DOI: 10.1016/j.jpeds.2013.03.080.
    [10]
    Society of Internal Medicaine, Chinese Medical Associatiol; WANG JX, ZHANG FC, et al. Expert consensus for diagnosis and treatment of thrombocytopenia in China[J]. Clin J Inern Med, 2020, 59(7): 498-510. DOI: 10.3760/cma.j.cn112138-20200424-00419.

    中华医学会内科学分会, 王建祥, 张奉春, 等. 中国成人血小板减少症诊疗专家共识[J]. 中华内科杂志, 2020, 59(7): 498-510. DOI: 10.3760/cma.j.cn112138-20200424-00419.
    [11]
    LI J, CHEN RY, ZHANG JX, et al. The CT manifestations and differential diagnosis of hepatic angiosarcoma[J]. J Clin Radiol, 2018, 37(6): 968-971. DOI: 10.13437/j.cnki.jcr.2018.06.021.

    李俊, 陈瑞莹, 张家雄, 等. 肝脏血管肉瘤的CT表现及鉴别诊断[J]. 临床放射学杂志, 2018, 37(6): 968-971. DOI: 10.13437/j.cnki.jcr.2018.06.021.
    [12]
    SHIMADA K, NAKAMOTO Y, ISODA H, et al. FDG PET for giant cavernous hemangioma: Important clue to differentiate from a malignant vascular tumor in the liver[J]. Clin Nucl Med, 2010, 35(12): 924-926. DOI: 10.1097/RLU.0b013e3181f9de11.
    [13]
    YOSHIDA Y, YOSHIZUMI T, WANG H, et al. Liver transplantation for cryptogenic liver failure caused by diffuse hepatic angiosarcoma: Case report[J]. Surg Case Rep, 2017, 3(1): 21. DOI: 10.1186/s40792-017-0296-0.
    [14]
    KATZ D, PALMERINI E, POLLACK SM. More than 50 subtypes of soft tissue sarcoma: Paving the path for histology-driven treatments[J]. Am Soc Clin Oncol Educ Book, 2018, 38: 925-938. DOI: 10.1200/EDBK_205423.
    [15]
    ZHENG YW, ZHANG XW, ZHANG JL, et al. Primary hepatic angiosarcoma and potential treatment options[J]. J Gastroenterol Hepatol, 2014, 29(5): 906-911. DOI: 10.1111/jgh.12506.
    [16]
    PARK YS, KIM JH, KIM KW, et al. Primary hepatic angiosarcoma: Imaging findings and palliative treatment with transcatheter arterial chemoembolization or embolization[J]. Clin Radiol, 2009, 64(8): 779-785. DOI: 10.1016/j.crad.2009.02.019.
    [17]
    CASTALDO ET, PINSON CW. Liver transplantation for non-hepatocellular carcinoma malignancy[J]. HPB (Oxford), 2007, 9(2): 98-103. DOI: 10.1080/13651820601156090.
    [18]
    LI KL, YAO W, QIN ZP, et al. Chinese expert consensus on diagnosis and treatment of Kasabach-Merritt phenomenon[J]. CJOMS, 2019, 17(2): 97-105. DOI:10.19438/j.cjoms.201 9.02.001.

    李克雷, 姚伟, 秦中平, 等. Kasabach-Merritt现象诊断与治疗中国专家共识[J]. 中国口腔颌面外科杂志, 2019, 17(2): 97-105. DOI: 10.19438/j.cjoms.2019.02.001.
    [19]
    QIAO Y, YANG J, LIU L, et al. Successful treatment with pazopanib plus PD-1 inhibitor and RAK cells for advanced primary hepatic angiosarcoma: A case report[J]. BMC Cancer, 2018, 18(1): 212. DOI: 10.1186/s12885-018-3996-3.
    [20]
    PAOLUZZI L, CACAVIO A, GHESANI M, et al. Response to anti-PD1 therapy with nivolumab in metastatic sarcomas[J]. Clin Sarcoma Res, 2016, 6: 24. DOI: 10.1186/s13569-016-0064-0.
  • 加载中

Catalog

    通讯作者: 陈斌, bchen63@163.com
    • 1. 

      沈阳化工大学材料科学与工程学院 沈阳 110142

    1. 本站搜索
    2. 百度学术搜索
    3. 万方数据库搜索
    4. CNKI搜索

    Figures(2)  / Tables(1)

    Article Metrics

    Article views (657) PDF downloads(31) Cited by()
    Proportional views
    Related

    /

    DownLoad:  Full-Size Img  PowerPoint
    Return
    Return