中文English
ISSN 1001-5256 (Print)
ISSN 2097-3497 (Online)
CN 22-1108/R
2021 No.10
Theme Issue: Basic and clinical of primary biliary cholangitis
Executive Chief Editor: Han Ying  
Xijing Hospital,Air Force Medical University

Display Method:
Editorial
Diagnosis and treatment of primary biliary cholangitis: Current status and challenges
Lu WANG, Ying HAN
2021, 37(10): 2257-2261. DOI: 10.3969/j.issn.1001-5256.2021.10.001
Abstract(2042) HTML (437) PDF (2005KB)(311)
Abstract:
Primary biliary cholangitis is an autoimmune liver disease often observed in women, with the main features of positive antimitochondrial antibodies in serum and progressive non-pyogenic inflammatory destruction of small intrahepatic bile ducts. At present, primary biliary cholangitis is considered the result of interaction between chronic immune injury and biliary epithelium under the combined effect of inheritance and environment. Ursodeoxycholic acid is the first-line drug for primary biliary cholangitis; for patients who cannot tolerate ursodeoxycholic acid or have suboptimal response, the second-line drug obeticholic acid, an FXR agonist, can be considered, and the peroxisome proliferator-activated receptor agonists fibrates can be regarded as second-line alternative drugs. Baseline characteristics (such as young age, male sex, and advanced disease) and blood biochemical parameters (especially bilirubin and alkaline phosphatase) are used for disease risk stratification and response evaluation. Management of the symptoms such as pruritus and weakness cannot be ignored.
Discussions by experts
The relationship between primary biliary cholangitis and Sjögren's syndrome
Qiufeng XIAO, Yunyun FEI
2021, 37(10): 2262-2268. DOI: 10.3969/j.issn.1001-5256.2021.10.002
Abstract(2320) HTML (563) PDF (2106KB)(243)
Abstract:
Both primary biliary cholangitis and Sjögren's syndrome belong to chronic autoimmune epithelitis, and they often occur at the same time. This article reviews the general features, clinical manifestations, serological features, pathogenesis, treatment regimens, and common features of primary biliary cholangitis and Sjögren's syndrome and explores the common pathogenesis of the two diseases, so as to provide ideas for developing new therapies and management strategies for patients.
Research advances in central nervous system changes in patients with primary biliary cholangitis
Yinan HU, Yulong SHANG, Xinming ZHOU
2021, 37(10): 2269-2271. DOI: 10.3969/j.issn.1001-5256.2021.10.003
Abstract(1057) HTML (262) PDF (1897KB)(136)
Abstract:
Primary biliary cholangitis (PBC) is an autoimmune liver disease manifesting as cholestasis and is often observed in the middle-aged and elderly women. About 50% of the patients have fatigue and itching, and 20% have depression or mood changes. In recent years, a number of studies have shown that the non-specific symptoms of patients with primary biliary cholangitis (PBC), such as fatigue, itching, and cognitive changes, are associated with the structural and functional changes of the central nervous system. Early identification of preclinical PBC patients through brain imaging changes may be one of the ways for the early diagnosis of this disease.
Diagnosis and management of primary biliary cholangitis with osteoporosis
Wen ZHANG, Shuyan CHEN, Tingting LYU, Hong YOU
2021, 37(10): 2272-2276. DOI: 10.3969/j.issn.1001-5256.2021.10.004
Abstract(1225) HTML (347) PDF (1899KB)(179)
Abstract:
Primary biliary cholangitis (PBC) is a chronic progressive cholestatic liver disease often observed in the middle-aged and elderly women and it can eventually lead to liver cirrhosis or liver failure. Osteoporosis is one of the common complications in PBC patients and is characterized by decreased bone mass and increased susceptibility to fractures. Osteoporosis and fractures caused by osteoporosis seriously affect the quality of life of PBC patients, and with the improvement of PBC treatment strategies and the increase in life expectancy, early diagnosis, prevention, and treatment of PBC with osteoporosis is of particular importance. This article briefly summarizes the epidemiology, pathogenesis, and diagnosis and treatment of patients with PBC and osteoporosis and proposes current challenges and future research directions.
Considerations on the elevation of aminotransferases in primary biliary cholangitis
Mingli HU, Qixia WANG, Xiong MA
2021, 37(10): 2277-2279. DOI: 10.3969/j.issn.1001-5256.2021.10.005
Abstract(1695) HTML (527) PDF (1872KB)(205)
Abstract:
Primary biliary cholangitis (PBC) is an autoimmune-mediated chronic cholestatic liver disease, with the typical biochemical manifestation of significantly elevated alkaline phosphatase (ALP) and gamma-glutamyl transpeptidase (GGT), with or without mild-to-moderate elevation of aminotransferases. ALP and GGT play an important role in the diagnosis and monitoring of PBC. With a deeper understanding of PBC, the significance of elevated aminotransferases in diagnosis and treatment has attracted more and more attention. This article briefly summarizes the significance of elevation of aminotransferases in PBC patients.
Research advances in animal models of primary biliary cholangitis
Yafei XU, Zhibin ZHAO, Zhexiong LIAN
2021, 37(10): 2280-2285. DOI: 10.3969/j.issn.1001-5256.2021.10.006
Abstract(2501) HTML (709) PDF (1944KB)(348)
Abstract:
Primary biliary cholangitis (PBC) is an inflammatory and cholestatic liver disease caused by autoimmune response targeting the small- and medium-sized intrahepatic bile ducts. The most specific manifestations of this diseases in clinical practice were positive anti-mitochondrial antibody and selective destruction of small- and medium-sized bile ducts based on liver histology. Since it is difficult to obtain the clinical samples of early-stage PBC, the construction and optimization of mouse models is an important method to investigate the pathogenesis of PBC. An understanding of the modeling principles of PBC animal models and disease features in serology, histology, and cytology not only helps to improve the awareness of PBC, but also helps to design scientific and rational research protocols.
Guidelines
Expert consensus on diagnosis and treatment of chronic hepatitis B virus with persistently normal alanine aminotransferase
Viral Hepatitis Group, Hepatology Branch of Chinese Research Hospital Association
2021, 37(10): 2286-2291. DOI: 10.3969/j.issn.1001-5256.2021.10.007
Abstract(2067) HTML (643) PDF (1923KB)(456)
Abstract:
Expert consensus on antiviral therapy for HBV/HCV-related hepatocellular carcinoma: A 2021 update
Liver Cancer Study Group, Chinese Society of Hepatology, Chinese Medical Association
2021, 37(10): 2292-2302. DOI: 10.3969/j.issn.1001-5256.2021.10.008
Abstract(1508) HTML (1149) PDF (2029KB)(398)
Abstract:
With the development of anti-HBV and HCV therapy, experts in related fields organized by the Liver Cancer Study Group, Chinese Society of Hepatology, Chinese Medical Association updated "Experts Consensus on Antiviral Therapy for HBV/ HCV-related Hepatocellular Carcinoma". On the basis of previous expert recommendations/consensus and the new evidence in recent years, this new consensus was developed, and the relevant recommendations are provided to hepatologists, epidemiologists, medical doctors and specialists working in community service centers and primary health care institutions for guidance of hepatocellular carcinoma antiviral treatment.
Original articles_Viral hepatitis
Risk factors for gestational diabetes mellitus in pregnant women with chronic HBV infection and its influence on maternal and fetal outcomes
Lu LI, Huaibin ZOU, Manman XU, Yu CHEN
2021, 37(10): 2303-2307. DOI: 10.3969/j.issn.1001-5256.2021.10.009
Abstract(1285) HTML (266) PDF (1894KB)(89)
Abstract:
  Objective  To investigate the factors for gestational diabetes mellitus (GDM) in pregnant women with chronic hepatitis B virus (HBV) infection, their pregnancy outcome, and related influence on neonates.  Methods  A retrospective analysis was performed for 317 pregnant women with chronic HBV infection who were treated, gave birth, and were followed up in Beijing YouAn Hospital, Capital Medical University, from January to December 2017, and according to the presence or absence of GDM, they were divided into chronic HBV+GDM group and chronic HBV control group. Related data were recorded, including HBV serology, liver function, HBV DNA quantification, pregnancy comorbidities, mode of delivery, and the condition of neonates at birth. The t-test or t′-test was used for comparison of normally distributed continuous data between two groups, and the Mann-Whitney U test was used for comparison of non-normally distributed continuous data between two groups; the chi-square test or the Fisher's exact test was used for comparison of categorical data between two groups; a binary logistic regression analysis was used to investigate the risk factors for GDM in mothers with chronic HBV infection.  Results  Among the 317 mothers, 64 (20.19%) had chronic HBV infection and GDM, and there were 253 mothers (79.81%) in the control group. Compared with the control group, the chronic HBV+GDM group had significantly higher age (Z=-2.652, P < 0.05), baseline alanine aminotransferase (Z=-4.393, P < 0.05), baseline aspartate aminotransferase (Z=-2.457, P < 0.05), and HBV DNA quantification (P < 0.05). The logistic regression analysis showed that HBV DNA quantification (odds ratio [OR]=23.40, 95% confidence interval [CI]: 7.10-77.14, P < 0.001) and old age (OR=10.10, 95% CI: 1.02-1.17, P=0.01) were independent risk factors for GDM in pregnant women with chronic HBV infection. The pregnant women with chronic HBV infection and GDM were more likely to experience premature rupture of membranes during delivery (χ2=4.514, P=0.034), and the neonates born to these women were more likely to experience preterm birth (χ2=9.293, P=0.002) and fetal intrauterine distress (P=0.018).  Conclusion  HBV DNA quantification and old age are risk factors for GDM in mothers with chronic HBV infection, and GDM in pregnant women with chronic HBV infection may increase the incidence rate of premature rupture of membranes, fetal intrauterine distress, and premature delivery.
Mechanism of action of Xiaochaihu decoction in the treatment of hepatitis B based on network pharmacology
Shaohang LAN, Qiuyuan TANG, Nana LI, Ran TAO, Nansheng LIAO, Yinjie MENG, Cao HE, Dewen MAO
2021, 37(10): 2308-2315. DOI: 10.3969/j.issn.1001-5256.2021.10.010
Abstract(1753) HTML (893) PDF (3600KB)(117)
Abstract:
  Objective  To investigate the mechanism of action of Xiaochaihu decoction in the treatment of hepatitis B based on network pharmacology.  Methods  The TCMSP database was used to obtain the main chemical components and action targets of the seven traditional Chinese medicines in Xiaochaihu decoction; the GeneCards and OMIM databases were used to obtain the targets associated with hepatitis B; the STRING online platform was used to construct a PPI network of potential targets, and R language was used to perform gene ontology (GO) functional enrichment analysis and KEGG pathway analysis; Cytoscape 3.7.2 was used to construct an "active component-core target" network and perform a topology analysis of this network; AutoDock vina and related software were used to perform molecular docking and visualized analysis of the active components with high value and the core targets in the network.  Results  A total of 193 main chemical components (including quercetin, kaempferol, wogonin, and naringenin) and 247 related targets were screened out, among which the key targets included RELA, MAPK1, TP53, ESR1, EGFR, and AKT1. A total of 2612 enrichment items were obtained by GO functional enrichment analysis, which were mainly involved in regulating the biological processes such as cell response to chemical stress, response to drugs, oxidative stress response, and lipopolysaccharide response. A total of 174 pathways were obtained by the KEGG pathway analysis, mainly involving hepatitis B, PI3K-AKT signaling pathway, and MAPK signaling pathway. Molecular docking results showed that the main active components had strong binding force to core targets, and the protein crystal complex had a stable conformation.  Conclusion  This study preliminarily shows that Xiaochaihu decoction exerts a therapeutic effect on hepatitis B through multiple components, targets, and pathways.
Influencing factors for the 90-day prognosis of patients with HBV-related acute-on-chronic liver failure
Dongqing ZHANG, Ruidan ZHENG, Minghua LIN, Wenjun WU, Shenglong LIN, Xiangmei WANG, Huaxi MA, Qin LI, Hanhui YE, Haibing GAO
2021, 37(10): 2316-2319. DOI: 10.3969/j.issn.1001-5256.2021.10.011
Abstract(1278) HTML (197) PDF (2130KB)(103)
Abstract:
  Objective  To investigate the risk factors for short-term prognosis in patients with HBV-related acute-on-chronic liver failure (ACLF).  Methods  A retrospective analysis was performed for the clinical data of 119 patients with HBV-related ACLF who were admitted to Mengchao Hepatobiliary Hospital of Fujian Medical University from October 2019 to October 2020, and according to their survival status on day 90, they were divided into death group and survival group. The patients were given antiviral therapy with entecavir or tenofovir. Related clinical data were collected, including alanine aminotransferase (ALT), aspartate aminotransferase, cholinesterase (ChE), albumin (Alb), cholesterol, alpha-fetoprotein, and HBV DNA at baseline, as well as the incidence rate of important complications. Model for End-Stage Liver Disease (MELD) score was also calculated. The t-test or the Mann-Whitney U test was used for comparison of continuous data between two groups, and the chi-squared test was used for comparison of categorical data between two groups; a logistic regression analysis was used to investigate the influencing factors for the 90-day prognosis of patients with HBV-related ACLF and establish a new predictive model; the receiver operating characteristic (ROC) curve was used to evaluate the diagnostic efficiency of the new model in predicting the prognosis of HBV-related ACLF.  Results  Of all patients, 33 died within 90 days, resulting in a mortality rate of 27.7%. There were significant differences between the survival group and the death group in age, ALT, Alb, ChE, MELD score, and incidence rates of hepatic encephalopathy, primary peritonitis, and hepatorenal syndrome (all P < 0.05). The logistic regression analysis showed that baseline hepatic encephalopathy (odds ratio [OR]=10.404, 95% confidence interval [CI]: 2.522-42.926, P=0.001), serum Alb at baseline (OR=0.853, 95%CI: 0.764-0.952, P=0.005), and MELD score at baseline (OR=1.143, 95%CI: 1.036-1.261, P=0.008) were independent predictive factors for the short-term prognosis of patients with HBV-related ACLF. A new predictive model was established based on the combination of these three indices, and the ROC curve analysis showed that this new model had an area under the curve of 0.833, while MELD score had an area under the ROC curve of 0.672.  Conclusion  As for the evaluation of the 90-day prognosis of patients with HBV-related ACLF, the new prognostic model established based on hepatic encephalopathy, Alb, and MELD score has a better predictive value than MELD score alone.
Association of inosine triphosphate pyrophosphatase gene polymorphisms with ribavirin combined with direct-acting antiviral agent in treatment of hepatitis C patients with hemolytic anemia
Jinfeng XU, Lixia QIU, Haibin YU, Yirong LIU, Jing ZHANG, Yali LIU, Wei LIN
2021, 37(10): 2320-2323. DOI: 10.3969/j.issn.1001-5256.2021.10.012
Abstract(920) HTML (281) PDF (1925KB)(69)
Abstract:
  Objective  To investigate the influencing factors for ribavirin (RBV)-induced hemolytic anemia in the treatment of chronic hepatitis C, and to provide a reference for the early prediction of ribavirin-related hemolytic anemia in clinical practice.  Methods  A total of 49 patients with chronic hepatitis C who attended or were hospitalized in Hebei Petrochina Central Hospital from January 2018 to July 2019 and received antiviral therapy with direct-acting antiviral agent (DAA) and RBV were enrolled, with a major allele of C allele and a minor allele of A allele at the rs1127354 locus of the inosine triphosphate pyrophosphatase (ITPA) gene, and the patients with AA and AC genotypes were compared with those with CC genotype. During treatment, RBV was reduced to 600 mg when hemoglobin (Hb) level was < 100 g/L and was withdrawn when Hb level was < 85 g/L. Routine blood test, liver function, liver stiffness measurement, HCV RNA, HCV genotype, and ITPA genotype were measured before antiviral therapy, and the routine blood test was performed at weeks 2, 4, 8, and 12 of treatment. The Mann-Whitney U test was used for comparison of non-normally distributed continuous data between groups.  Results  A total of 49 patients were enrolled in this study, among whom 22 had chronic hepatitis C and 27 had liver cirrhosis, with a sustained virologic response (SVR) rate of 95.9%. The dose of RBV was reduced in 3 patients (2 in the AA/AC group and 1 in the CC group) due to anemia, and RBV was withdrawn in 3 patients (1 in the AA/AC group and 2 in the CC group); all these 6 patients had liver cirrhosis and finally achieved SVR. During the anti-HCV therapy with DAA+RBV, there was relatively mild RBV-related hemolysis, and the maximum reduction in Hb from baseline was compared between the patients with AA/AC genotype at ITPA rs1127354 and those with CC genotype, which showed no significant difference between the two groups (Z=-0.18, P=0.87).  Conclusion  During the treatment with RBV+DAA, RBV is withdrawn or reduced for liver cirrhosis patients due to anemia, and no obvious statistical relation is observed between ITPA genotype and the maximum reduction in Hb from baseline. Therefore, detection of ITPA genotype before the application of RBV does not improve safety during treatment, and it is not recommended to perform conventional detection of ITPA gene polymorphisms.
Original articles_Liver neoplasms
HBV RNA level in patients with HBV-related hepatocellular carcinoma after long-term antiviral therapy with nucleos(t)ide analogues and its clinical significance
Jing LI, Yu CAO, Yongmei FENG, Yuanqiang GUO, Bei JIANG, Chunyan WANG
2021, 37(10): 2324-2326. DOI: 10.3969/j.issn.1001-5256.2021.10.013
Abstract(915) HTML (398) PDF (1874KB)(92)
Abstract:
  Objective  To investigate HBV RNA level in patients with HBV-related hepatocellular carcinoma after long-term antiviral therapy and its clinical significance.  Methods  A total of 60 patients with HBV-related hepatocellular carcinoma who were admitted to Tianjin Second People's Hospital from June 2019 to August 2020 were enrolled in this study. These patients received antiviral therapy with nucleos(t)ide analogues (NAs) for at least two years, and high-sensitivity HBV DNA detection showed a HBV RNA level of < 20 IU/mL at least twice at an interval of 3 months. Liver function, HBV serum markers, and HBV RNA level were measured for all patients. The Kruskal-Wallis H test was used for comparison between multiple groups, and the Wilcoxon rank-sum test was used for comparison between two groups; a Pearson correlation analysis was used to investigate the influencing factors for HBV RNA.  Results  Among the 60 patients with HBV-related hepatocellualr carcinoma who received long-term antiviral treatment, 9 (15%) tested positive for HBV RNA. According to the level of alpha-fetoprotein (AFP), the patients were divided into AFP positive group and AFP negative group, and there was no significant difference in HBV RNA level between the two groups [0(0-3.57) vs 0(0-2.00), Z=-1.474, P=0.141). According to Barcelona Clinic Liver Cancer (BCLC) stage, they were divided into BCLC stage A group and BCLC stage B+C+D group, and there was no significant difference in HBV RNA level between the two groups [0(0-2.0) vs 0(0-2.0), Z=-0.607, P=0.544]. According to HBeAg level, the patients were divided into HBeAg positive group and HBeAg negative group, and there was a significant difference in HBV RNA level between the two groups [2.99(0-4.80) vs 0(0-0.50), Z=-3.400, P=0.001]. According to the titer of HBsAg, they were divided into HBsAg≤100 IU/mL group, 100 IU/mL < HBsAg < 1500 IU/mL group, and HBsAg ≥1500 IU/mL group, and there was a significant difference in HBV RNA level between the three groups [0(0-0.0) vs 0(0-0.20) vs 2.00(0.0-4.54), H=-7.899, P=0.019]. A Pearson correlation analysis was performed for age, alanine aminotransferase, aspartate aminotransferase, gamma-glutamyl transpeptidase, alkaline phosphatase, alpha-fetoprotein, HBsAg, and HBeAg, and the results showed that HBsAg level was correlated with HBV RNA quantification (r=0.292, P < 0.05).  Conclusion  In patients with HBV-related hepatocellualr carcinoma receiving long-term antiviral therapy with NAs, HBV RNA can still be detected after HBV DNA is lower than the lower limit of detection. HBsAg titer may be correlated with serum HBV RNA level.
Value of serum autophagy-related protein 7 in diagnosis of HBV-related hepatocellular carcinoma
Chuanshang HUO, Huijuan FENG, Zhi YE, Ying LIN, Li CHEN, Fei PENG, Lijuan LIU
2021, 37(10): 2327-2331. DOI: 10.3969/j.issn.1001-5256.2021.10.014
Abstract(1049) HTML (211) PDF (2613KB)(78)
Abstract:
  Objective  To investigate the clinical significance of autophagy-related protein 7 (ATG7) in the diagnosis of HBV-related hepatocellular carcinoma (HBV-HCC) by measuring the expression level of serum ATG7 in patients with HBV-HCC.  Methods  A total of 50 patients with chronic hepatitis B (CHB) and 89 patients with HCC who were hospitalized in Mengchao Hepatobiliary Hospital of Fujian Medical University from June 2018 to December 2020 were enrolled, among whom 67 patients had HBV-HCC (HBV-HCC group) and 22 patients had no HBV-HCC (non-HBV-HCC group), and 20 healthy volunteers who underwent physical examination were enrolled as healthy control (HC) group. Demographic data and laboratory data including alpha-fetoprotein (AFP) were collected from each group, and ELISA was used to measure the serum level of ATG7. The receiver operating curve (ROC) was plotted for ATG7 and AFP used alone or in combination, and the area under the ROC curve (AUC) was compared. The Kruskal-Wallis H test was used for comparison of non-normally distributed continuous data between multiple groups, and the Mann-Whitney U test was used for comparison between two groups; the chi-square test was used for comparison of categorical data between groups; a Spearman correlation analysis was used to investigate correlation.  Results  The serum level of ATG7 was 22.88(19.79-23.04) ng/mL in the HBV-HCC group, 17.06(14.45-19.40) ng/mL in the non-HBV-HCC group, 19.21(16.65-20.82) ng/mL in the CHB group, and 13.82(8.70-17.82) ng/mL in the HC group, with a significant difference between groups (χ2=65.144, P < 0.001). ATG7 had an AUC of 0.818 (95% confidence interval [CI]: 0.743-0.879) and AFP had an AUC of 0.777 (95% CI: 0.698-0.843) in the diagnosis of HBV-HCC, suggesting that ATG7 had a slightly higher AUC than AFP (Z=0.852, P=0.394). ATG7 combined with AFP had an AUC of 0.859 (95% CI: 0.790-0.913) in the diagnosis of HBV-HCC, which was significantly higher than the AUC of ATG7 alone (Z=2.192, P=0.028) and AFP alone (Z=2.076, P=0.038).  Conclusion  ATG7 is a good marker for the diagnosis of HBV-HCC, and combined measurement of ATG7 and AFP can significantly improve the diagnostic rate for HBV-HCC.
Influence of interleukin-6 on the expression and function of programmed death-1 in CD8+ T cells from patients with hepatocellular carcinoma
Song XUE, Gaobo HUANG, Xiaofei YANG, Ye ZHANG, Yu LI
2021, 37(10): 2332-2337. DOI: 10.3969/j.issn.1001-5256.2021.10.015
Abstract(1645) HTML (206) PDF (3487KB)(67)
Abstract:
  Objective  To investigate the influence of interleukin-6(IL-6) on the expression and function of programmed death-1(PD-1) in patients with hepatocellular carcinoma (HCC) by measuring the plasma level of IL-6 and the expression of PD-1 in peripheral blood CD8+ T cells from HCC patients.  Methods  A total of 44 HCC patients who attended Shaanxi Provincial People's Hospital or The Second Affiliated Hospital of Air Force Medical University & Tangdu Hospital of Fourth Military Medical University from January to September 2019 were enrolled as HCC group, and 19 healthy controls, matched for age and sex, were enrolled as HC group. Peripheral blood was collected, and plasma and peripheral blood mononuclear cells were isolated to separate CD8+ T cells. ELISA was used to measure the plasma level of IL-6, and flow cytometry was used to measure the expression level of PD-1 in CD8+ T cells. The separated CD8+ T cells were stimulated with anti-IL-6 neutralizing antibody for 24 hours; CCK-8 assay was used to measure cell proliferation, ELISA was used to measure the levels of interferon-γ (IFNγ) and tumor necrosis factor-α (TNFα) in supernatant, real-time PCR was used to measure the relative mRNA expression levels of perforin, granzyme B, and granulysin, and Western blot was used to measure the phosphorylation levels of STAT3 and Src. The t-test or the paired t-test was used for comparison of continuous data between two groups, and the chi-square test was used for comparison of categorical data between groups.  Results  Compared with the HC group, the HCC group had a significant increase in the plasma level of IL-6 (99.67±20.92 pg/mL vs 81.05±16.76 pg/mL, t=3.427, P=0.001 1). There was no significant difference in the percentage of CD3+CD8+ T cells between the HCC group and the HC group, while there was a significant increase in the percentage of PD-1+CD8+ cells in HCC patients (3.79%±1.36% vs 2.20%±0.47%, t=5.335, P < 0.000 1). In the patients with HCC, although anti-IL-6 neutralizing antibody for inhibiting IL-6 in CD8+ T cells did not affect cell proliferation, it downregulated the expression of PD-1 (2.67%±0.91% vs 3.33%±1.12%, t=2.177, P=0.035) and increased the secretion of IFNγ (13.50±3.82 pg/mL vs 10.82±1.37 pg/mL, t=3.170, P=0.002 8), and there were also significant increases in the relative mRNA expression levels of perforin and granzyme B (t=6.161 and 14.140, both P < 0.000 1) and a significant reduction in the level of phosphorylated STAT3 (P < 0.000 1).  Conclusion  Anti-IL-6 neutralizing antibody can enhance the function of CD8+ T cells in HCC patients possibly by increasing the levels of perforin and granzyme B, improving the secretion of cytokines, and inhibiting the expression of PD-1.
Mechanism of action of Fuzheng Huayu prescription in treatment of liver cancer based on network pharmacology
Jingshu QI, Dabing PING, Xin SUN, Jingbo XUE, Yanyan TAO, Yuan PENG, Chenghai LIU
2021, 37(10): 2338-2342. DOI: 10.3969/j.issn.1001-5256.2021.10.016
Abstract(1488) HTML (445) PDF (2138KB)(107)
Abstract:
  Objective  To investigate the mechanism of Fuzheng Huayu(FZHY) decoction in the treatment of liver cancer based on network pharmacology.  Methods  TCMSP, BATMAN, and Drugbank databases were searched for the main chemical components and corresponding targets of FZHY, and STRING database was used to perform a PPI network analysis. Cytoscape software was used to establish a drug-disease network model and perform a network analysis, and R language was used to perform GO and KEGG enrichment analysis of targets.  Results  A total of 192 intersection genes between FZHY and liver cancer and 95 potential compounds were screened out, among which quercetin and luteolin were the active components with an important regulatory role. INS, IL-6, and EGFR were the key targets for the potential effect of FZHY. The GO enrichment analysis showed the involvement in various biological processes such as response to drug and response to oxygen level, and the KEGG enrichment analysis showed the involvement in the signaling pathways including apoptosis and tumor necrosis factor signaling pathways.  Conclusion  Based on the method of network pharmacology, this study reveals the mechanism of action of multiple targets and targets of FZHY in the treatment of liver cancer, which provides a theoretical basis for clinical and basic scientific research.
Screening of differentially expressed circular RNAs in intrahepatic cholangiocarcinoma based on microarray technique and potential mechanism of circRNA_000585
Fengming YI, Longxiang XIN, Long FENG
2021, 37(10): 2343-2347. DOI: 10.3969/j.issn.1001-5256.2021.10.017
Abstract(932) HTML (225) PDF (3552KB)(61)
Abstract:
  Objective  To screen out and validate the abnormally expressed circular RNAs (circRNAs) in intrahepatic cholangiocarcinoma (iCCA) by comparing the circRNA microarray results of iCCA tissue and adjacent tissue, and to investigate their potential mechanism in iCCA.  Methods  Tumor tissue specimens were collected from three patients with iCCA who were admitted from July to December, 2019, and microarray hybridization was used to measure the differential expression of circRNAs between iCCA tissue and adjacent tissue. A total of 15 patients with iCCA who were treated during the same period of time were enrolled, and quantitative real-time PCR was used for validation of differentially expressed circRNAs. A bioinformatics analysis was performed to identify the downstream molecules of differentially expressed circRNAs, and quantitative real-time PCR was used for validation of potential molecules. The paired samples t-test was used for comparison of continuous data between groups, and the chi-square test or the Fisher's exact test was used for comparison of categorical data between groups.  Results  With 1.5-fold as the cut-off value for differential expression, there were 171 upregulated circRNAs and 104 downregulated circRNAs in iCCA tissue compared with the adjacent tissue. With 3-fold as the cut-off value for differential expression, there were 10 upregulated circRNAs (circRNA_002172, circRNA_002144, circRNA_001588, circRNA_000166, circRNA_000585, circRNA_000167, circRNA_402608, circRNA_006853, circRNA_001589, and circRNA_008882) and 3 downregulated circRNAs (circRNA_406083, circRNA_104940, and circRNA_006349) compared with the adjacent tissue. Pathologically confirmed iCCA tissue samples and adjacent tissue samples were collected from 15 patients, and quantitative real-time PCR was used for the validation of differentially expressed circRNAs; the results showed that circRNA_000585 was significantly upregulated in iCCA tissue (t=3.607, P=0.003). Further bioinformatics analysis showed that circRNA_000585/miR-615-5p/AMOT/YAP might be the potential pathway involved in the pathogenesis of iCCA, and quantitative real-time PCR showed that for this pathway, miR-615-5p was significantly downregulated in iCCA (t=5.724, P < 0.001) and AMOT and YAP were significantly upregulated in iCCA (t=2.664 and 2.986, P=0.019 and 0.009 8).  Conclusion  Abnormal expression of various circRNAs is observed in iCCA, among which circRNA_000585 is significantly upregulated in iCCA and may play an important role in the pathogenesis of iCCA via the circRNA_000585/miR-615-5p/AMOT/YAP pathway.
Original articles_Other liver diseases
Association of serum uric acid-to-creatinine ratio with nonalcoholic fatty liver disease
Cuiping SHAO, Youqing XU
2021, 37(10): 2348-2351. DOI: 10.3969/j.issn.1001-5256.2021.10.018
Abstract(1759) HTML (413) PDF (1887KB)(141)
Abstract:
  Objective  To investigate the association of serum uric acid (sUA)-to-creatinine (Cr) ratio with nonalcoholic fatty liver disease (NAFLD).  Methods  A retrospective analysis was performed for the clinical data of 97 patients with NAFLD (NAFLD group) who attended Beijing Tiantan Hospital, Capital Medical University, from January to December 2020, and according to the results of abdominal ultrasound, they were divided into mild group with 33 patients, moderate group with 31 patients, and severe group with 33 patients. Related data were also collected from 36 healthy adults (control group) who underwent physical examination in our hospital during the same period of time. The above groups were compared in terms of sex, age, fasting blood glucose, alanine aminotransferase (ALT), aspartate aminotransferase (AST), total cholesterol (TC), triglyceride (TG), high-density lipoprotein (HDL), low-density lipoprotein (LDL), gamma-glutamyl transpeptidase (GGT), sUA, serum Cr, and sUA/Cr ratio. The independent samples t- test was used for comparison of normally distributed continuous data between two groups, and an analysis of variance was used for comparison between three groups; the Mann-Whitney U test was used for comparison of non-normally distributed continuous data between groups; the chi-square test was used for comparison of categorical data between groups. The Spearman test was used for correlation analysis, and a multivariate logistic regression analysis was used to investigate the risk factors for NAFLD.  Results  Compared with the control group, the NAFLD group had significantly higher levels of ALT, AST, TG, GGT, sUA, and sUA/Cr ratio (Z=-4.881, -4.616, -4.221, and -3.563, t=12.974 and 10.710, all P < 0.05) and a significantly lower level of HDL (Z=-5.682, P < 0.05). The severity of NAFLD (mild, moderate or severe) was positively correlated with ALT, TC, and LDL (r=0.291, 0.272, and 0.253, all P < 0.05). The multivariate logistic regression analysis showed that sUA/Cr ratio was an independent risk factor for NAFLD (odds ratio=1.885, 95% confidence interval: 1.162-3.06, P < 0.05).  Conclusion  There is a significant correlation between sUA/Cr ratio and NAFLD, and sUA/Cr ratio is an independent predictive factor for NAFLD. The sUA/Cr ratio can be monitored to predict the onset of NAFLD, so as to achieve early identification, early diagnosis, and early treatment and improve prognosis.
Clinical significance of homocysteine and neutrophil-to-lymphocyte ratio in patients with nonalcoholic fatty liver disease and type 2 diabetes mellitus
Peiru LEI, Yingjie LI, Jing LI
2021, 37(10): 2352-2356. DOI: 10.3969/j.issn.1001-5256.2021.10.019
Abstract(992) HTML (250) PDF (2111KB)(82)
Abstract:
  Objective  To investigate the levels and clinical significance of homocysteine (Hcy) and neutrophil-to-lymphocyte ratio (NLR) in patients with nonalcoholic fatty liver disease (NAFLD) and type 2 diabetes mellitus (T2DM).  Methods  A total of 528 patients with NAFLD who were treated in Department of Endocrinology, The First Affiliated Hospital of Jinzhou Medical University, from January to December 2019 were enrolled, and according to the presence or absence of T2DM, they were divided into non-T2DM group and T2DM group. A total of 79 T2DM patients without NAFLD were selected randomly. General data and laboratory markers were recorded for the three groups. A one-way analysis of variance was used for comparison of normally distributed continuous data between groups, and the chi-square test was used for comparison of categorical data between groups; a binary logistic regression analysis was used to determine risk factors, and odds ratio (OR) and its 95% confidence interval (CI) were used to represent relative risk; the receiver operating characteristic (ROC) curve was used to evaluate predictive efficiency.  Results  The T2DM group had significantly higher systolic blood pressure (SBP), diastolic blood pressure, and body mass index than the non-T2DM group (all P < 0.05), and there were significant differences between any two of the three groups in Hcy, NLR, alanine aminotransferase, aspartate aminotransferase, gamma-glutamyl transpeptidase, uric acid, and fasting blood glucose (all P < 0.05). There were significant differences in neutrophil count, lymphocyte count, and high-density lipoprotein cholesterol (HDL-C) between the T2DM group and the non-T2DM group (all P < 0.05), and there was a significant difference in total cholesterol between the T2DM group and the simple T2DM group and between the non-T2DM group and the simple T2DM group (P < 0.05). SBP (OR=1.040, 95%CI: 1.015-1.065), HDL-C (OR=0.040, 95%CI: 0.007-0.228), NLR (OR=6.285, 95%CI: 1.504-27.108), and Hcy (OR=1.291, 95%CI: 1.127-1.423) were independent risk factors for NAFLD with T2DM. Hcy had an area under the ROC curve (AUC) of 0.741 (95%CI: 0.698-0.783, P < 0.01) in predicting NAFLD with T2DM, with a Youden index of 0.394, a sensitivity of 69.6%, and a specificity of 69.8% at the optimal cut-off value of 15.31 μmol/L. NLR had an AUC of 0.782 (95%CI: 0.744-0.820, P < 0.01) in predicting NAFLD with T2DM, with a Youden index of 0.443, a sensitivity of 72.1%, and a specificity of 72.2% at the optimal cut-off value of 2.12. Hcy combined with NLR had an AUC of 0.845 (95%CI: 0.812-0.878, P < 0.01) in predicting NAFLD with T2DM, with a Youden index of 0.549, a sensitivity of 71.8%, and a specificity of 83.1%.  Conclusion  Hcy and NLR are risk factors for NAFLD with T2DM and have a certain predictive value. Combined measurement of Hcy and NLR can improve the diagnostic efficiency of NAFLD with T2DM and help clinicians with diagnosis in the early stage.
Association between thyroxine level and nonalcoholic fatty liver disease
Tian TIAN, Wenwei HU, Xue LI, Jie WU, Dan ZHANG, Changzheng LI
2021, 37(10): 2357-2363. DOI: 10.3969/j.issn.1001-5256.2021.10.020
Abstract(1572) HTML (465) PDF (2146KB)(106)
Abstract:
  Objective  To investigate the association between thyroxine level and nonalcoholic fatty liver disease (NAFLD).  Methods  A retrospective analysis was performed for 3289 subjects who underwent physical examination in PLA Rocket Force Characteristic Medical Center from July 2015 to April 2019, and according to medical history and thyroid function, they were divided into subclinical hypothyroidism group with 210 subjects and normal thyroid function group with 3079 subjects. According to the results of abdominal color Doppler ultrasound, the normal thyroid function group was divided into NAFLD group with 516 subjects and non-NAFLD group with 2563 subjects; according to body mass index (BMI), the normal thyroid function group was divided into non-obese group (BMI < 25 kg/m2) and obese group (BMI ≥25 kg/m2); according to the age, the normal thyroid function group was divided into elderly group (age ≥60 years) and young and middle-aged group (age < 60 years). The normal thyroid function group was typed based on age and body type. Related data were collected, including sex, age, BMI, blood pressure, waist circumference, fasting blood glucose, uric acid, total cholesterol, triglyceride, high-density lipoprotein, low-density lipoprotein, free triiodothyronine, free thyroxine, triiodothyronine, thyroxine, and thyroid stimulating hormone (TSH). The two-independent-samples t test was used for comparison of normally distributed continuous data between two groups, and the Mann-Whitney U test was used for comparison of non-normally distributed continuous data between two groups; the chi-square test used for comparison of categorical data between two groups. A multivariate logistic regression analysis was used to investigate risk factors, and the receiver operator characteristic (ROC) curve was used to analyze the cut-off values of related indices in predicting NAFLD.  Results  The subclinical hypothyroidism group had a higher prevalence rate of NAFLD than the normal thyroid function group (22.38% vs 16.76%, χ2=4.380, P=0.036), and in the subclinical hypothyroidism group, the NAFLD patients had a higher level of TSH than the non-NAFLD patients(Z=-1.994, P=0.046). In the subclinical hypothyroidism group, there were no significant differences in thyroid parameters between the NAFLD group and the non-NAFLD group (all P > 0.05); after stratification based on age and body type, in the obese-young and middle-aged subgroup, male sex, low free thyroxine, fasting blood glucose, and triglyceride were independent risk factors for NAFLD (odds ratio=4.729, 0.067, 1.814, and 1.717, P=0.003, 0.010, 0.011, and 0.014). The cut-off values of free thyroxine, fasting blood glucose, and triglyceride were 1.123 ng/dL, 5.15 mmol/L, and 1.02 mmol/L, respectively, in predicting NAFLD, and the area under the ROC curve was 0.832 for combined prediction.  Conclusion  There is a high prevalence rate of NAFLD in the population with subclinical hypothyroidism, and when thyroid function is within the normal range, low free thyroxine is associated with the onset of NAFLD in the young and middle-aged obese people.
Expression levels of gastrointestinal hormones in the progression of liver fibrosis in patients with nonalcoholic fatty liver disease
Humin ZHU, Xudong LIU, Lu HUANG, Pinhua LI, Tiexiong WU, Huazhen PANG
2021, 37(10): 2364-2368. DOI: 10.3969/j.issn.1001-5256.2021.10.021
Abstract(986) HTML (249) PDF (1909KB)(59)
Abstract:
  Objective  To investigate the changes in gastrointestinal hormones during the progression of liver fibrosis in patients with nonalcoholic fatty liver disease (NAFLD), and to provide a basis for digestive function impairment.  Methods  A prospective analysis was performed for 326 patients with NAFLD who attended the outpatient service and were hospitalized and treated in Ruikang Hospital Affiliated to Guangxi University of Chinese Medicine from October 2018 to June 2020, and FibroTouch was used to measure liver stiffness measurement (LSM). According to the presence or absence of liver fibrosis, they were divided into non-liver fibrosis group (group A, 161 patients with LSM < 7.3 kPa) and liver fibrosis group (group B, 165 patients with LSM ≥7.3 kPa). According to the fibrosis degree, the patients were further divided into F0-1 group (LSM < 7.3 kPa), F2 group (7.3 kPa ≤LSM < 9.7 kPa), F2-3 group (9.7 kPa ≤LSM < 12.4 kPa), F3-4 group (12.4 kPa ≤LSM < 17.5 kPa), and F4 group (LSM ≥17.5 kPa). Related data were collected, including age, sex, liver function parameters, and gastrointestinal hormones. The independent samples t-test and the one-way analysis of variance were used for comparison of normally distributed continuous data between groups, and the nonparametric Mann-Whitney U test and the Kruskal-Wallis H test were used for comparison of non-normally distributed continuous data between groups. A Spearman correlation analysis was used to investigate the correlation between LSM and liver function parameters.  Results  Comparison of liver function and gastrointestinal hormones showed that there were significant differences between groups A and B in alanine aminotransferase (ALT) (Z=-3.778, P < 0.001), aspartate aminotransferase (AST) (Z=-3.320, P=0.001), gamma-glutamyl transpeptidase (GGT) (Z=-3.040, P=0.002), cholecystokinin (CCK) (t=-2.944, P=0.003), and lipopolysaccharide (LPS) (Z=-2.317, P=0.020). There were significant differences in ALT (χ2=23.113, P < 0.001), AST (χ2=23.415, P < 0.001), ALP (χ2=15.962, P=0.003), GGT (χ2=20.172, P < 0.001), and CCK (F=2.687, P=0.031) between the F0-1 group with 161 patients, the F2 group with 89 patients, the F2-3 group with 46 patients, the F3-4 group with 16 patients, and the F4 group with 14 patients. LSM was positively correlated with direct bilirubin, ALT, AST, alkaline phosphatase, and GGT (r=0.128, 0.266, 0.225, 0.137, and 0.213, all P < 0.05).  Conclusion  Liver fibrosis progression in NAFLD can affect gallbladder contraction function and gastrointestinal function, and measurement of the serum levels of CCK and LPS has an important clinical value in the early diagnosis and treatment of digestive diseases related to gallbladder contraction function and gastrointe stinal function in NAFLD patients with liver fibrosis.
Clinical features of liver injury induced by anti-tuberculosis drugs and related risk factors
Deliang HUANG, Wei DAI, Jun CHEN, Xiaoguang YE
2021, 37(10): 2369-2375. DOI: 10.3969/j.issn.1001-5256.2021.10.022
Abstract(1235) HTML (812) PDF (1921KB)(112)
Abstract:
  Objective  To investigate the clinical features of liver injury induced by anti-tuberculosis drugs and related risk factors.  Methods  A total of 129 patients who were diagnosed with liver injury induced by anti-tuberculosis drugs in Shenzhen Third People's Hospital from January 2017 to December 2018 were enrolled and divided into abnormal liver function group with 51 patients (39.53%) and drug-induced liver injury (DILI) group with 78 patients (60.47%), and among these 129 patients, 13 (10.08%) had liver failure. A retrospective analysis was performed for their laboratory markers as well as treatment and prognosis data. The chi-square test was used for comparison of categorical data between two groups; the independent samples t-test was used for comparison of normally distributed continuous data between two groups, and the Mann-Whitney U test was used for comparison of non-normally distributed continuous data between two groups. The multivariable logistic regression model was used to investigate the risk factors for DILI and liver failure.  Results  There were significant differences between the DILI group and the abnormal liver function group in chronic HBV co-infection (χ2=5.616, P=0.018), asymptomatic liver injury (χ2=9.451, P=0.002), liver failure (χ2=9.453, P=0.002), need to adjust anti-tuberculosis regimen (χ2=16.787, P < 0.001), time to identification of liver injury (Z=-4.001, P < 0.001), time to liver function recovery (Z=-1.735, P < 0.001), and hepatic encephalopathy (χ2=4.114, P=0.043). The multivariate logistic regression analysis showed that time to identification of liver injury > 8 weeks (odds ratio [OR]=3.94, 95% confidence interval [CI]: 1.02-15.25, P=0.047) and asymptomatic liver injury (OR=7.64, 95% CI: 1.63-35.86, P=0.010) were independent risk factors for DILI; chronic HBV co-infection (OR=14.42, 95% CI: 2.66-78.09, P=0.002) and time to identification of liver injury > 8 weeks (OR=11.97, 95% CI: 2.03-70.50, P=0.006) were independent risk factors for liver failure, while albumin ≥35 g/L (OR=0.07, 95% CI: 0.01-0.51, P=0.010) was a protective factor.  Conclusion  Anti-tuberculosis drugs may induce severe liver injury, and HBV co-infection, asymptomatic liver injury, long time to identification of liver injury, and low albumin level may increase the risk of severe liver injury. Regular follow-up, liver function monitoring, appropriate nutritional support, and HBV screening are important for reducing the risk of liver injury during anti-tuberculosis therapy.
Correlation of the levels of fat-soluble vitamins with biochemical parameters in infants with cholestatic liver disease
Jing LI, Jing XIA, Jie WU
2021, 37(10): 2376-2379. DOI: 10.3969/j.issn.1001-5256.2021.10.023
Abstract(994) HTML (235) PDF (1885KB)(78)
Abstract:
  Objective  To investigate the correlation of the levels of fat-soluble vitamins (FSVs) with the changes of related indicators in infants with cholestatic liver disease, and to provide a basis for the supplementation of FSVs in infants with cholestatic liver disease.  Methods  A total of 136 children with cholestatic liver disease who were hospitalized in Department of Pediatric Gastroenterology, Shengjing Hospital of China Medical University, from January 2018 to December 2020 were enrolled as observation group, and 30 healthy infants who underwent physical examination in our hospital during the same period of time were enrolled as control group. Related data were recorded, including gestational age, age in days, sex, and etiology, and related examinations were performed, including liver function, serum calcium, serum phosphorus, coagulation function, etiology, radiological examination, and gene detection. The serum levels of vitamins A, D, E, and K were also measured. The Mann-Whitney U test was used for comparison of non-normally distributed continuous data between two groups, and the chi-square test was used for comparison of categorical data between groups.  Results  There were significant differences in the levels of FSVs between the observation group and the control group (vitamin A: Z=-2.850, P= 0.004; vitamin D3: Z=-5.705, P < 0.001; vitamin E: Z=-5.894, P < 0.001; vitamin K: Z=-2.482, P= 0.013), and there were no significant differences in the levels of FSVs between the full-term infants and the preterm infants (all P > 0.05). Serum total bilirubin was significantly correlated with vitamins A and D3 (vitamin A: r=-0.178, P=0.038; vitamin D3: r=-0.296, P < 0.001), and serum direct bilirubin and total bile acid were significantly correlated with vitamin D3 (r=-0.328 and -0.194, both P < 0.05); serum alkaline phosphatase was significantly correlated with vitamins A and D3 (vitamin A: r=-0.282, P= 0.001; vitamin D3: r=-0.514, P < 0.001). Serum vitamin D3 level was positively correlated with serum calcium (r=0.303, P < 0.001) and phosphorus (r=0.310, P < 0.001) and was negatively correlated with alkaline phosphatase (r=-0.514, P < 0.001). There was no significant correlation between serum vitamin K level and coagulation markers (all P > 0.05), while there was a significant change in vitamin K level after treatment (Z=-5.662, P < 0.001).  Conclusion  The levels of FSVs in children with cholestatic liver disease are significantly lower than those in healthy infants of the same age in days. An increase in serum total bilirubin can indicate the deficiency of vitamins A and D3; increases in serum direct bilirubin and total bile acid can indicate vitamin D3 deficiency; an increase in serum alkaline phosphatase can indicate the deficiency of vitamins A and D3.
Application of optical trocar insertion in laparoscopic surgery after previous abdominal surgery
Xiang'an WU, Yue SHI, Xueshuai WAN, Jue WANG, Yuke ZHANG, Bao JIN, Xiao LIU, Haifeng XU, Yongchang ZHENG, Xin LU, Yilei MAO, Xinting SANG, Shunda DU
2021, 37(10): 2380-2383. DOI: 10.3969/j.issn.1001-5256.2021.10.024
Abstract(1220) HTML (345) PDF (2199KB)(64)
Abstract:
  Objective  To investigate the value of optical trocar insertion technique in establishing pneumoperitoneum in patients undergoing laparoscopic surgery after previous abdominal surgery.  Methods  A total of 29 patients, with a history of abdominal surgery, who planned to undergo laparoscopic liver surgery were enrolled and randomly divided into optical trocar insertion group and open approach group. The independent samples t-test was used for comparison of normally distributed continuous data between groups, and the Mann-Whitney U test was used for comparison of non-normally distributed continuous data between groups; the Fisher's exact test was used for comparison of categorical data between groups; the Mann-Whitney U test was used for comparison of ranked data between groups.  Results  There were no procedure-related complications in either group. Compared with the open approach group, the optical trocar insertion group had a significantly shorter time required to establish pneumoperitoneum [35.00 (21.00-46.00) seconds vs 180.00 (152.50-252.50) seconds, U=0, P < 0.001] and a significantly smaller incision length [1.10(1.00-1.20) cm vs 2.80(2.45-3.00) cm, U=0, P < 0.001].  Conclusion  Both optical trocar insertion and open approach for establishing pneumoperitoneum is relatively safe in patients undergoing laparoscopic liver surgery after previous abdominal surgery, while optical trocar insertion has the advantages of high efficiency and minimal invasiveness in establishing pneumoperitoneum.
Value and clinical application of multiplex bead-based flow fluorescent immunoassay in the detection of autoantibodies in primary biliary cholangitis
Zhan WANG, Lin WANG, Yuan YAO, Jing LIU, Guirong SUN, Mingjun LIU
2021, 37(10): 2384-2388. DOI: 10.3969/j.issn.1001-5256.2021.10.025
Abstract(1232) HTML (376) PDF (2231KB)(79)
Abstract:
  Objective  To investigate the value of multiplex bead-based flow fluorescent immunoassay (MBFFI) in the diagnosis of primary biliary cholangitis (PBC) by analyzing its results in detecting antimitochondrial antibody M2 subtype (AMA-M2), gp210 antibody, and sp100 antibody.  Methods  A total of 340 patients who attended The Affiliated Hospital of Qingdao University from August 2018 to June 2020 and were diagnosed with PBC were enrolled as PBC group, and 143 patients with other diseases and 117 individuals undergoing physical examination were also enrolled. MBFFI and immunoblotting test (IBT) were used to detect AMA-M2, gp210, and sp100 autoantibodies in serum, and the Kappa-test was used to compare the consistency of the two methods in detecting the same autoantibody; the receiver operating characteristic (ROC) curve was used to evaluate the value of MBFFI detection of three antibodies in the diagnosis of PBC; the chi-square test was used to compare positive.  Results  In the PBC group, the two methods showed the best consistency in detecting AMA-M2(Kappa=0.874) and showed relatively good consistency in detecting gp210 and sp100 antibodies (Kappa=0.713 and 0.749). MBFFI had the highest sensitivity of 72.06% in detecting AMA-M2; it had a sensitivity of 44.71% in the combined detection of gp210 and sp100 antibodies, which was higher than its sensitivity in detecting each antibody alone; it had a sensitivity of 82.65% in the combined detection of AMA-M2, gp210, and sp100 antibodies, which was higher than its sensitivity in detecting each antibody alone. Combined detection of the three antibodies had the largest area under the ROC curve of 0.907 0 in the diagnosis of PBC.  Conclusion  MBFFI has good consistency with IBT in detecting autoantibodies associated with PBC, and the combined detection of AMA-M2, gp210, and sp100 antibodies by MBFFI has higher sensitivity and value in the diagnosis of PBC.
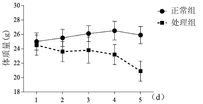
A transcriptomic analysis of acute hepatotoxicity induced by aristolochic acid Ⅰ in mice
Gerui ZHU, Jing WANG, Kai HUANG, Yuan PENG, Chenghai LIU, Yanyan TAO
2021, 37(10): 2389-2394. DOI: 10.3969/j.issn.1001-5256.2021.10.026
Abstract(1508) HTML (634) PDF (2591KB)(86)
Abstract:
  Objective  To investigate the molecular mechanism of aristolochic acid Ⅰ (AAⅠ) inducing acute hepatotoxicity in mice.  Methods  A total of 15 male C57BL/6 mice were randomly divided into normal group with 6 mice and treatment group with 9 mice. The mice in the treatment group were given intraperitoneal injection of AAⅠ at a dose of 20 mg/kg for 5 consecutive days and were sacrificed to collect samples on day 6. The serum levels of alanine aminotransferase (ALT) and aspartate aminotransferase (AST) were measured, and HE staining was used to observe liver histological changes; three liver tissue samples were randomly selected from each group, and RNA was extracted for high-throughput transcriptome sequencing. Bioinformatics analysis and functional prediction were used to screen out differentially expressed genes, and quantitative real-time PCR (qRT-PCR) was used for validation. The t-test was used for comparison of continuous data between two groups.  Results  Compared with the normal group, the treatment group had significant increases in the activities of ALT and AST (t=4.331 and 4.947, both P < 0.01), as well as disordered structure of hepatic lobules and spotted necrosis in hepatic lobules shown by HE staining. A total of 1352 differentially expressed genes were obtained based on the screening conditions of logFC > 2 and P < 0.05, among which there were 703 upregulated genes and 649 downregulated genes. The GO and KEGG enrichment analyses of these differentially expressed genes showed significant enrichment in GO terms (such as small molecular catabolism, immune response involving neutrophils, cytoplasmic vesicle lumen in secretory granules, cytoplasmic vesicle lumen, extracellular structural organization, and extracellular matrix) and KEGG pathways (such as chemical carcinogenesis, retinol metabolism, arachidonic acid metabolism, steroid hormone biosynthesis, transcriptional dysregulation in cancer, protein digestion and absorption, regulation of TRP channel by inflammatory mediators, drug metabolism, complement and coagulation cascade, glutathione metabolism, and the PPAR signaling pathway). A cluster analysis (P < 0.05) showed that significantly downregulated genes included Srd5a1, Lipc, Aqp8, Hba-a1, Slco1a1, and Pklr, which were validated by qRT-PCR (all P < 0.05).  Conclusion  AA Ⅰ can lead to significant acute hepatotoxicity, which mainly involves the processes such as chemical carcinogenesis, retinol metabolism, arachidonic acid metabolism, steroid hormone biosynthesis, and transcriptional dysregulation in cancer.
Original articles_Biliary diseases
Value of SpyGlass single-operator choledochoscopy system in the diagnosis and treatment of patients with biliary tract diseases
Si ZHAO, Xueru WU, Linlin YIN, Lin MIAO, Guozhong JI, Xiuhua ZHANG
2021, 37(10): 2395-2399. DOI: 10.3969/j.issn.1001-5256.2021.10.027
Abstract(2477) HTML (634) PDF (2327KB)(122)
Abstract:
  Objective  To investigate the value of SpyGlass single-operator choledochoscopy system in the diagnosis and treatment of patients with unexplained biliary stricture, complex bile duct stones, or other biliary tract diseases.  Methods  A retrospective analysis was performed for the clinical data of the patients with biliary tract diseases who were diagnosed and treated with SpyGlass in The Second Affiliated Hospital of Nanjing Medical University from December 2017 to June 2020. For the patients with biliary stricture, the biliary lesions were fully visualized under the guidance of SpyGlass, and SpyBite biopsy was performed if necessary; the patients with bile duct stones were treated with SpyGlass-guided direct-view laser lithotripsy; for the patients with gallbladder disease, the cystic duct was superselected with the assistance of SpyGlass. The SpyGlass system was analyzed in terms of its sensitivity, specificity, and accuracy rate in diagnosis and treatment, lithotripsy success rate, stone clearance rate, procedure success rate, and incidence rate of complications.  Results  A total of 58 patients underwent SpyGlass procedure. SpyGlass was used to evaluate biliary stricture of unknown nature in 44 (76%) patients; SpyGlass visual impression had a diagnostic sensitivity of 92% (24/26), a specificity of 94% (17/18), and an accuracy of 93% (41/44), and SpyBite biopsy had a diagnostic sensitivity of 71% (15/21), a specificity of 92% (11/12), and an accuracy of 79% (26/33). SpyGlass was used for the treatment of bile duct stones in 8 patients (14%), with a lithotripsy success rate of 83% (5/6) and a stone clearance rate of 88% (7/8). A guide wire under the SpyGlass system was to superselect the cystic duct in 5 patients (9%), with a procedure success rate of 80% (4/5). In one patient (1%), SpyGlass was used to assist the removal of common bile duct stones after liver transplantation and the treatment of bile duct anastomotic stricture. A total of 5 patients (9%) experienced complications after surgery.  Conclusion  The SpyGlass choledochoscopy system is accurate, safe, and effective in the diagnosis and treatment of unexplained biliary stricture, complex bile duct stones, and other biliary tract diseases.
Original articles_Pancreatic diseases
Value of serum miR-486-5p combined with carbohydrate antigen 19-9 in predicting resectable or borderline resectable pancreatic cancer
Yi ZHANG, Weiwei ZHANG, Fangyu XIE, Wenli LI, Dalei JIANG, Xiaojuan JIA, Lailin FU, Yao WANG, Bin CHEN, Min SONG, Lisha JI, Xiangjun XIE
2021, 37(10): 2400-2404. DOI: 10.3969/j.issn.1001-5256.2021.10.028
Abstract(742) HTML (217) PDF (2657KB)(45)
Abstract:
  Objective  To investigate the expression level of serum miR-486-5p in patients with pancreatic cancer and the value of serum miR-486-5p combined with carbohydrate antigen 19-9 (CA19-9) in predicting the resectability of pancreatic cancer.  Methods  A total of 60 patients who were diagnosed with pancreatic cancer in Qingdao Municipal Hospital from September 2018 to December 2020 were enrolled, among whom 32 patients had resectable or borderline resectable pancreatic cancer (operable group) and 28 had unresectable pancreatic cancer (non-operable group), and a benign pancreatic disease group with 30 patients and a healthy control group with 44 individuals were also established. Quantitative real-time PCR was used to measure the serum level of miR-486-5p in each group, and the relative expression level of miR-486-5p was calculated to analyze its association with the clinical features of pancreatic cancer, including age, sex, tumor location, tumor size, TNM stage, lymphatic metastasis, and distant metastasis. The Mann-Whitney U test was used for comparison of non-normally distributed continuous variables between two groups, and the chi-square test was used for comparison of categorical variables. The receiver operating characteristic (ROC) curve was plotted, and a binary logistic regression analysis was used to calculate the combined predictive value and then investigate the value of serum miR-486-5p combined with CA19-9 in predicting the resectability of pancreatic cancer.  Results  The relative expression level of serum miR-486-5p in the operable group [2.16 (1.38~3.30)] and the non-operable group [4.65 (2.80~9.90)] was significantly higher than that in the benign pancreatic disease group [1.01 (0.52~1.53)] and the healthy control group [0.99 (0.24~1.01)] (all P < 0.001). There were significant differences in the number of patients with low or high expression of miR-486-5p between the patients with different TNM stages, presence or absence of lymphatic metastasis, and presence or absence of distant metastasis (χ2=13.765, 5.157, and 6.638, all P < 0.05). Compared with CA19-9 alone, miR-486-5p+CA19-9 had a significantly better value in distinguishing the operable group from the benign pancreatic disease group (area under the ROC curve [AUC]=0.87, 95% confidence interval [CI]: 0.760-0.942; with a sensitivity of 81.3% and a specificity of 83.3%), distinguishing the operable group from the healthy control group (AUC=0.92, 95% CI: 0.836-0.970; with a sensitivity of 90.6% and a specificity of 86.4%), and distinguishing the operable group from the non-operable group (AUC=0.94, 95%CI: 0.884-0.998; with a sensitivity of 85.7% and a specificity of 93.7%) (Z=2.841, 2.510, and 2.387, all P < 0.05), and the optimal cut-off values were 3.12, 3.21, and 6.63, respectively.  Conclusion  MiR-486-5p can be used as a serum biomarker for the diagnosis of pancreatic cancer, and miR-486-5p combined with CA19-9 has a better clinical value than CA19-9 alone in predicting the resectability of pancreatic cancer in the patients with benign pancreatic diseases and the healthy population.
Case reports
Hepatitis E virus infection after liver transplantation: A case report
Shuang QIU, Hong CHEN, Tieyan FAN, Qing ZHANG, Jun LI
2021, 37(10): 2405-2407. DOI: 10.3969/j.issn.1001-5256.2021.10.029
Abstract(788) HTML (197) PDF (1871KB)(74)
Abstract:
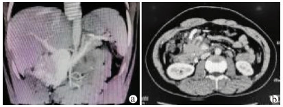
A case of decompensated liver cirrhosis complicated by abdominal necrotizing fasciitis
Guozhi WU, Xianglei ZHANG, Jia XU, Jinjun WANG, Wei LI
2021, 37(10): 2408-2410. DOI: 10.3969/j.issn.1001-5256.2021.10.030
Abstract(1236) HTML (303) PDF (2392KB)(87)
Abstract:
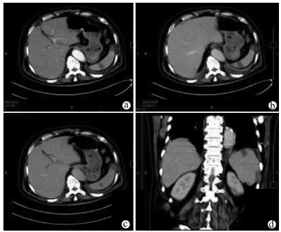
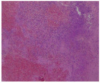
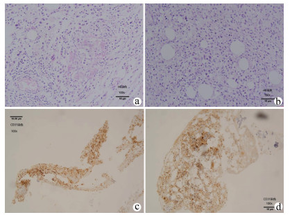
Primary biliary cholangitis with hepatic angiosarcoma: A case report
Jiamin ZHAO, Zhiyuan CHEN, Chengliang DING, Lili YUAN, Jingjing QIAN, Chunyang XU, Lingyun ZUO
2021, 37(10): 2411-2413. DOI: 10.3969/j.issn.1001-5256.2021.10.031
Abstract(818) HTML (189) PDF (2456KB)(80)
Abstract:
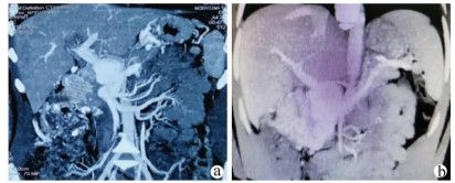
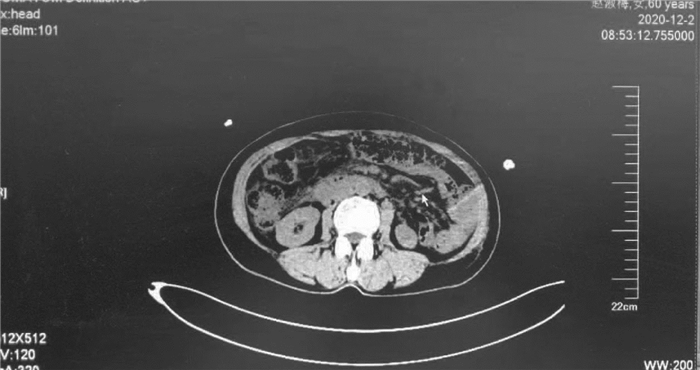
Massive hemorrhage caused by total gastrointestinal varices and recurrent heterotopic varices due to portal vein tumor: A case report
Qin LIU, Heye LIANG
2021, 37(10): 2414-2416. DOI: 10.3969/j.issn.1001-5256.2021.10.032
Abstract(787) HTML (348) PDF (3571KB)(67)
Abstract:
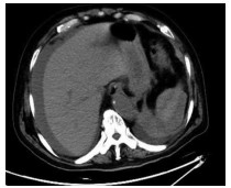
A case of acute cerebral infarction with splenic rupture secondary to splenic infarction
Qin YU, Chen CHEN, Qian XIA, Jin CHEN
2021, 37(10): 2417-2419. DOI: 10.3969/j.issn.1001-5256.2021.10.033
Abstract(973) HTML (292) PDF (2433KB)(58)
Abstract:
Reviews
Noninvasive diagnostic models for chronic hepatitis B liver fibrosis
Qin YANG, Huaie LIU, Jing YOU, Jie DING, Danyang CHEN
2021, 37(10): 2420-2424. DOI: 10.3969/j.issn.1001-5256.2021.10.034
Abstract(1324) HTML (266) PDF (2068KB)(117)
Abstract:
Hepatitis B virus (HBV) infection is still a public problem that seriously threatens human health. Evaluation of liver fibrosis progression with an efficient noninvasive model is of great significance for condition assessment, disease management, and prognostic evaluation in patients with chronic HBV infection. This article reviews the noninvasive models commonly used in the diagnosis of liver fibrosis in recent years, summarizes the research background, methods, related studies, and advantages and disadvantages of these models, and analyzes the current research status and possible development trends of liver fibrosis assessment models. Recent studies have shown that although current models are not perfect for Chinese patients with chronic HBV infection as the main predisposing factor for liver fibrosis, the excellent performance of noninvasive models in liver fibrosis assessment provides a reference for the assessment of liver fibrosis in patients with chronic HBV infection and can replace liver biopsy to a certain extent.
Mechanism of estrogen against liver fibrosis in postmenopausal women with chronic liver disease
Wenqian XU, Yaoqi WU, Jinyuan ZHANG, Tianchuang YANG, Heguo LI, Min GUO
2021, 37(10): 2425-2428. DOI: 10.3969/j.issn.1001-5256.2021.10.035
Abstract(1572) HTML (286) PDF (2263KB)(82)
Abstract:
Metabolic disorders are observed in women after menopause, and the postmenopausal women suffering from chronic liver diseases have an increased risk of progression to liver fibrosis, with a higher risk than male patients of the same age, which may be associated with the decline of ovarian function and the reduction of estrogen level after menopause. This article summarizes the research advances in the molecular mechanism of progression to liver fibrosis from the aspects of estrogen and oxidative stress, activation of hepatic stellate cells, accumulation of extracellular matrix, and immune regulation. It is pointed out supplementation with an appropriate amount of estrogen in the perimenopausal period and the early menopausal period can reduce the risk of liver fibrosis and delay or even reverse the process of liver fibrosis, thereby improving quality of life and prolonging survival time in elderly female patients.
Role and mechanism of exosome non-coding RNA in liver fibrosis
Nannan QIAN, Lulu TANG, Taohua WEI, Yue YANG, Wenjie HAO, Wenming YANG
2021, 37(10): 2429-2434. DOI: 10.3969/j.issn.1001-5256.2021.10.036
Abstract(1092) HTML (430) PDF (1916KB)(71)
Abstract:
Liver fibrosis is the initial stage of the development of various chronic liver diseases into liver cirrhosis and is a reversible process. As a subset of extracellular vesicles that can carry active substances such as proteins, lipids, and RNA, exosomes are involved in intercellular signal communication and have attracted more and more attention in recent years. Studies have shown that non-coding RNAs in exosomes play an important role in the development and progression of liver fibrosis. This article discusses the mechanism of action of exosome long non- coding RNAs (including MALAT1, H19, GAS5, MEG3, PVT1, and P21), exosome short non-coding RNAs (including micro-RNA, small nucleolus RNA, PIWI-interacting RNA, and small interference RNA), and exosome circular RNA in the development and progression of liver fibrosis, and it is concluded that exosomes from different sources (such as hepatocytes and cholangiocytes) carrying non-coding RNAs mainly affect the activation, proliferation, migration, and transformation of hepatic stellate cells. In-depth studies of exosome non-coding RNAs in the future are expected to find potential new targets for the treatment of liver fibrosis.
Research advances in cirrhotic portal hypertension with spontaneous portosystemic shunt
Xue LI, Ying TU, Bin TANG, Xin YAO, Hao LI, Shanhong TANG
2021, 37(10): 2435-2438. DOI: 10.3969/j.issn.1001-5256.2021.10.037
Abstract(1571) HTML (864) PDF (1892KB)(195)
Abstract:
Liver cirrhosis is the end stage of various chronic liver diseases, and portal hypertension is a main complication of liver cirrhosis. In this pathological state, spontaneous portosystemic shunt (SPSS), as the collateral circulation of the portal venous system, has not attracted enough attention in terms of occurrence mechanism and clinical value. The analysis shows that although SPSS is a natural shunt channel, further studies are still needed to clarify whether it can be used as a decompression method for portal hypertension, and a deeper understanding of SPSS will provide important guiding significance for the diagnosis and treatment of portal hypertension.
Predictive factors for the therapeutic effect of terlipressin combined with albumin in hepatorenal syndrome
Qianmei CAO, Zhechuan MEI
2021, 37(10): 2439-2443. DOI: 10.3969/j.issn.1001-5256.2021.10.038
Abstract(1002) HTML (337) PDF (1903KB)(84)
Abstract:
Hepatorenal syndrome (HRS) is a serious complication of end-stage liver disease often observed in advanced liver cirrhosis patients with circulatory dysfunction and tends to have poor prognosis. At present, terlipressin combined with albumin is the preferred drug treatment regimen for HRS. Many studies have been conducted on the predictive factors for the therapeutic effect of terlipressin combined with albumin, but there lacks a comprehensive report of these studies. This article reviews the latest research advances in this disease and its treatment from the pathogenesis of HRS and the mechanism of action of drugs, as well as the research advances in the predictive factors for the therapeutic effect of terlipressin combined with albumin in terms of baseline data, changes after treatment, and treatment regimens. It is pointed out that early identification of factors that can help predict treatment response has important clinical significance.
Advances in direct-acting antiviral therapy for liver transplant recipients with HCV-related hepatocellular carcinoma
Qian ZHU, Mingyuan ZHANG, Junqi NIU
2021, 37(10): 2444-2447. DOI: 10.3969/j.issn.1001-5256.2021.10.039
Abstract(1119) HTML (195) PDF (1891KB)(87)
Abstract:
The launch of direct-acting antiviral agents is a milestone in the treatment of hepatitis C, but further studies are needed to explore its specific timing and effectiveness in liver transplantation for HCV-related hepatocellular carcinoma (HCC). This article summarizes related guidelines, consensus statements, and recommendations in China and globally and the advantages of different treatment timing strategies. Furthermore, a retrospective analysis of related studies is performed to investigate the controversial topic of the impact of direct-acting antiviral agents on the recurrence rate of HCV-related HCC after liver transplantation, and it is pointed that direct-acting antiviral agents can reduce the risk of HCC recurrence in liver transplant recipients with HCV-related HCC. The selection of treatment timing should consider various factors such as liver function, waiting time for donors, and utilization of HCV-positive organs.
Research advances in Kupffer cells participating in the regulation of hepatocellular carcinoma
Pingfu XIONG, Hao CHEN, Wenguang FU, Peng TAN, Yonglang CHENG, Jing LI
2021, 37(10): 2448-2451. DOI: 10.3969/j.issn.1001-5256.2021.10.040
Abstract(1801) HTML (337) PDF (2208KB)(142)
Abstract:
Hepatocellular carcinoma (HCC) is a common type of primary liver cancer with high mortality worldwide. Among the common malignant tumors in China, HCC ranks fourth in terms of incidence rate and ranks second in terms of mortality, which seriously threatens the health and life safety of the Chinese people. This article mainly introduces the dual role of Kupffer cells (KCs) in HCC and briefly describes its interaction with liver parenchymal cells and nonparenchymal cells and related targeted treatment methods. The analysis shows that in-depth research on KCs in the regulation of HCC helps to provide new ideas for further treatment of HCC.
Mechanism of KLF4 in the development and progression of hepatocellular carcinoma
Fei SUN, Weiwei SU, Yanhua FU, Jingwei WANG
2021, 37(10): 2452-2455. DOI: 10.3969/j.issn.1001-5256.2021.10.041
Abstract(1585) HTML (520) PDF (2222KB)(78)
Abstract:
The pathogenesis of hepatocellular carcinoma is complex and has not been fully clarified. KLF4, also known as gut-enriched Kruppel-like factor (GKLF), plays the dual regulatory role of tumor suppressor and tumor promoter. KLF4 plays an anti-cancer role in liver cancer. This article introduces the biological function and regulatory mechanism of KLF4 in the progression of liver cancer, and research on the mechanism of action of KLF4 in liver cancer is expected to provide new ideas for targeted therapy and prognosis monitoring of liver cancer.
Role of regulatory T/T helper 17 cells in the pathogenesis of autoimmune hepatitis and related therapeutic targets
Wendi DONG, Hairong ZHANG, Rui LI, Yuyan ZHANG, Jie ZHU
2021, 37(10): 2456-2460. DOI: 10.3969/j.issn.1001-5256.2021.10.042
Abstract(1686) HTML (332) PDF (2214KB)(98)
Abstract:
The etiology and pathogenesis of autoimmune hepatitis (AIH) remain unclear and are currently considered to be associated with genetic susceptibility and environmental factors. Regulatory T (Treg) cells play an immunosuppressive role by secreting IL-10 and TGFβ, while T helper 17 (Th17) cells mainly promote inflammatory response, suggesting that Treg cells, Th17 cells, and the dynamic balance between them may be involved in the development and progression of AIH; however, further studies are needed to explore related participation mechanisms. This article reviews the association between Treg/Th17 cells and AIH in recent years and elaborates on their mechanism of action and therapeutic targets.
Influence of the intake of different oils on non-alcoholic fatty liver disease
Ziwen WANG, Ruifeng WANG, Liansheng GUO, Rui ZHANG, Min XU, Xiaobing WANG
2021, 37(10): 2461-2464. DOI: 10.3969/j.issn.1001-5256.2021.10.043
Abstract(1241) HTML (289) PDF (1894KB)(88)
Abstract:
At present, there are no universally accepted hepatoprotective drugs that are recommended for the conventional treatment of nonalcoholic fatty liver disease (NAFLD), and the main prevention and treatment methods for NAFLD include diet control, exercise, and weight-loss surgery. Diet control is the most basic intervention method, and scientific and reasonable dietary guidance is of particular importance. This article briefly summarizes the influence of several kinds of oils commonly contained in diet on hepatic steatosis, inflammation, and oxidative stress of NAFLD, and it is pointed out that fish oil, olive oil, virgin coconut oil, and pine nut oil are beneficial to NAFLD, while excessive intake of lard and palm oil will aggravate NAFLD.
The association between obesity measurement indices and nonalcoholic fatty liver disease
Cong TONG, Yanian LI, Da GU, Xiang'an ZHAO, Xiaoxing XIANG
2021, 37(10): 2465-2468. DOI: 10.3969/j.issn.1001-5256.2021.10.044
Abstract(1280) HTML (336) PDF (2047KB)(98)
Abstract:
Nonalcoholic fatty liver disease (NAFLD) is a type of metabolic disorder syndrome of abnormal lipid deposition in hepatocytes, and with the improvement of living standards, the incidence rate of NAFLD has reached a worrying level. Several anthropometric indicators, including waist circumference, waist-hip ratio, and waist-height ratio, have been used in the evaluation of obesity and the correlation study of various metabolic diseases. This article introduces the association between NAFLD and various anthropometric indicators for obesity and points out that anthropometric indicators for obesity can be used for the prevention and control of NAFLD.
Influence of circadian rhythm disorder on nonalcoholic fatty liver disease and related hepatocellular carcinoma
Jinxia ZHU, Guangwei LIU, Peiwei YANG
2021, 37(10): 2469-2473. DOI: 10.3969/j.issn.1001-5256.2021.10.045
Abstract(1501) HTML (674) PDF (2143KB)(91)
Abstract:
The influence of circadian rhythm disorder on nonalcoholic fatty liver disease (NAFLD) has attracted more and more attention in recent years, and studies in China and globally have shown that individuals who work in shifts at night or often stay up late have a higher incidence rate of NAFLD-related hepatocellular carcinoma (NAFLD-HCC) than those with regular work and rest. This article summarizes the research advances in the effect of circadian rhythm system on the pathogenesis of NAFLD-HCC by regulating lipid metabolism, glucose metabolism, and intestinal flora, and it is pointed out that restoration of normal circadian rhythm has potential clinical significance in delaying the development and progression of disease.
Risk factors for polycystic ovary syndrome with nonalcoholic fatty liver disease
Dongxu WANG, Chuan XING, Bo LYU, Han ZHAO, Bing HE
2021, 37(10): 2474-2477. DOI: 10.3969/j.issn.1001-5256.2021.10.046
Abstract(1069) HTML (586) PDF (1887KB)(77)
Abstract:
Polycystic ovary syndrome (PCOS) manifests as a series of disorders in reproductive system, endocrine, and metabolism, and there is a significant increase in the prevalence rate of nonalcoholic fatty liver disease (NAFLD) in the population with PCOS. At present, the risk factors for PCOS with NAFLD have not been fully clarified. This article introduces the research advances in PCOS with NAFLD from the aspects of hyperandrogenism, insulin resistance, obesity, dyslipidemia, chronic low-grade inflammation, and intestinal flora imbalance, so as to provide ideas and methods for improving the awareness and management of PCOS with NAFLD.
Role of exosomes in the development and progression of nonalcoholic fatty liver disease
Kun XU, Qinglan SHI, Zhenbin HU, Xu ZHANG, Ying LI
2021, 37(10): 2478-2481. DOI: 10.3969/j.issn.1001-5256.2021.10.047
Abstract(1650) HTML (266) PDF (1898KB)(87)
Abstract:
With the increasing incidence rates of metabolic diseases such as obesity and type 2 diabetes, the incidence rate of nonalcoholic fatty liver disease (NAFLD) has also gradually increased year by year. NAFLD has complex underlying pathogeneses which have not yet been fully clarified. As the carrier of intercellular communication, exosomes play an important role in the development and progression of liver diseases. This article summarizes the mechanism of action of exosomes in the pathogenesis of NAFLD and their effect on lipid metabolism, insulin resistance, liver inflammation, and fibrosis, and it is pointed out that exosomes have great potential in the diagnosis and treatment of diseases, which will be the focus of future research.
Mechanism of action of bile acid metabolism in regulating cholestatic liver disease and the research and development of drugs
Jing LI, Kuiyang ZHENG, Beibei ZHANG
2021, 37(10): 2482-2487. DOI: 10.3969/j.issn.1001-5256.2021.10.048
Abstract(2337) HTML (1306) PDF (2146KB)(201)
Abstract:
Bile acids are the end products of cholesterol metabolism and are classified as primary bile acids and secondary bile acids. They can promote nutrition absorption and regulate immune response, glucose/lipid/energy metabolism, and microbiota homeostasis by acting on bile acid nuclear receptors and membrane receptors. Cholestatic liver disease (CLD) is a type of liver disease caused by abnormalities of the hepatobiliary system due to cholestasis, with the initial manifestations of hepatocyte and/or bile duct injury, which further leads to abnormal bile acid synthesis, secretion, and excretion. In-depth studies have gradually revealed the role and mechanism of bile acids in CLD, and drugs targeting the action sites of bile acids are under research and development. This article elaborates on the role and mechanism of bile acid metabolism in CLDand summarizes the research and development of drugs for CLD treatment based on bile acid metabolism, so as to provide a reference for future research on the prevention and treatment of CLD.
Expression mechanism and clinical significance of absent in melanoma 2 in liver diseases
Yingyu LE, Rongzhen ZHANG, Tingshuai WANG, Ningfang CHEN, Dewen MAO
2021, 37(10): 2488-2492. DOI: 10.3969/j.issn.1001-5256.2021.10.049
Abstract(920) HTML (254) PDF (1911KB)(47)
Abstract:
Absent in melanoma 2 (AIM2) is a cytoplasmic double-stranded DNA (dsDNA) sensing protein that can recognize the dsDNA released during cell disturbance and pathogen invasion and trigger the activation of inflammasome cascade. Activation of inflammasomes leads to the maturation and release of inflammatory cytokines (interleukin-1β and interleukin-18), induces pyroptosis, and initiate innate immune response. Among these inflammasomes, AIM2 and its mechanism of action and clinical significance in liver diseases has become a research hotspot at present. This article summarizes and discusses the importance of AIM2 in the pathogenesis of various liver diseases including nonalcoholic fatty liver disease, hepatitis B virus infection, liver fibrosis, liver cirrhosis, and hepatocellular carcinoma, so as to provide new ideas and a reference for clinical treatment.
Value of L3 skeletal muscle index in nutritional diagnosis of end-stage liver disease
Nan GENG, Ming KONG, Yu CHEN, Zhongping DUAN
2021, 37(10): 2493-2496. DOI: 10.3969/j.issn.1001-5256.2021.10.050
Abstract(1581) HTML (289) PDF (1882KB)(158)
Abstract:
Patients with end-stage liver disease often have malnutrition caused by reduced nutrient intake, increased energy consumption, impaired fasting adaptability, reduced liver glycogen reserve, and increased protein consumption. L3 skeletal muscle index (L3-SMI) (skeletal muscle cross-sectional area at the level of L3/square of height) is an important indicator for evaluating malnutrition in end-stage liver disease, with the advantages of strong objectivity, little influence by water-sodium retention, and good repeatability. This article reviews the application of L3-SMI in the nutritional diagnosis of liver cirrhosis, liver failure, liver cancer, and liver transplantation. The analysis shows that L3-SMI can effectively evaluate nutritional status and the effect of nutritional intervention in patients with end-stage liver disease, and therefore, it is expected to become an important method for nutritional diagnosis in end-stage liver disease.