中文English
ISSN 1001-5256 (Print)
ISSN 2097-3497 (Online)
CN 22-1108/R
Volume 37 Issue 11
Nov.  2021
Turn off MathJax
Article Contents

Hepatocyte-specific TM6SF2 knockout aggravates hepatic steatosis in mice with nonalcoholic fatty liver disease

DOI: 10.3969/j.issn.1001-5256.2021.11.024
Research funding:

National Natural Science Foundation of China (31770837)

  • Received Date: 2021-04-26
  • Accepted Date: 2021-06-04
  • Published Date: 2021-11-20
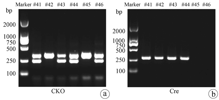
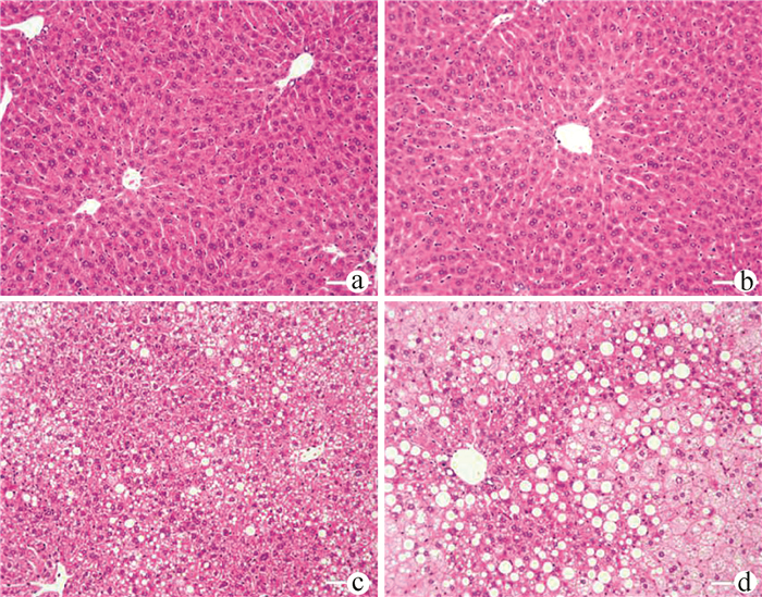
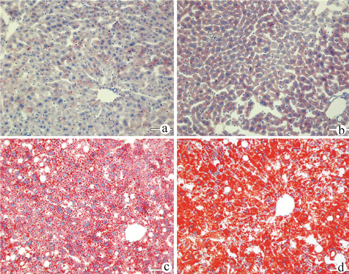
  •   Objective  To establish a mouse model of hepatocyte-specific TM6SF2 knockout, and to investigate the role of TM6SF2 in the development of nonalcoholic fatty liver disease (NAFLD).  Methods  The CRISPR/Cas9 technique and the Cre/LoxP strategy were used to establish a stable mouse model of hepatocyte-specific TM6SF2 knockout. The mice with hepatocyte-specific TM6SF2 knockout and the control mice were given a normal diet or a high-fat diet (HFD) for 16 weeks, and related indices were measured, including general status (body weight and liver weight), glucose metabolic indices (fasting blood glucose and insulin), and lipid metabolism (plasma triglyceride, cholesterol, and liver triglyceride). The t-test was used for comparison of normally distributed continuous data between two groups.  Results  Under the condition of HFD, compared with the control mice, the mice with hepatocyte-specific TM6SF2 knockout had significantly higher liver weight (2.235±0.175 g vs 1.258±0.106 g, t=4.789, P < 0.01) and liver index (4.970%±0.298% vs 3.210%±0.094%, t=5.630, P < 0.01), and the loss of the TM6SF2 gene in hepatocytes aggravated the abnormal level of alanine aminotransferase induced by HFD (62.517±1.526 U/L vs 25.991±5.947 U/L, t=5.949, P < 0.01). Compared with the control mice under the condition of normal diet or HFD, the mice with TM6SF2 knockout had a significant increase in plasma insulin level (normal diet: 37.203±0.836 mIU/L vs 34.835±0.426 mIU/L, t=2.520, P=0.025; HFD: 41.093±1.226 mIU/L vs 35.817±0.500 mIU/L, t=3.985, P=0.007), while there were no significant differences in the other indices associated with glucose metabolism (all P > 0.05). Under the condition of HFD, there were no significant differences in the levels of plasma triglyceride and cholesterol between the mice with hepatocyte-specific TM6SF2 knockout and the control group (P > 0.05), while the mice with hepatocyte-specific TM6SF2 knockout had a significant increase in the level of liver triglyceride compared with the control mice (23.969±0.978 mg/g vs 18.229±1.633 mg/g, t=3.015, P=0.024).  Conclusion  Hepatocyte-specific knockout of TM6SF2 can aggravate liver lipid accumulation and liver injury in mice with NAFLD.

     

  • loading
  • [1]
    COBBINA E, AKHLAGHI F. Non-alcoholic fatty liver disease (NAFLD) - pathogenesis, classification, and effect on drug metabolizing enzymes and transporters[J]. Drug Metab Rev, 2017, 49(2): 197-211. DOI: 10.1080/03602532.2017.1293683.
    [2]
    WU TF, LIAO XH, ZHONG BH. Epidemiology of nonalcoholic fatty liver disease in some regions of China[J]. J Clin Hepatol, 2020, 36(6): 1370-1373. DOI: 10.3969/j.issn.1001-5256.2020.06.039.

    吴挺丰, 廖献花, 钟碧慧. 中国部分地区非酒精性脂肪肝病的流行情况[J]. 临床肝胆病杂志, 2020, 36(6): 1370-1373. DOI: 10.3969/j.issn.1001-5256.2020.06.039.
    [3]
    YOUNOSSI Z, ANSTEE QM, MARIETTI M, et al. Global burden of NAFLD and NASH: Trends, predictions, risk factors and prevention[J]. Nat Rev Gastroenterol Hepatol, 2018, 15(1): 11-20. DOI: 10.1038/nrgastro.2017.109.
    [4]
    BYRNE CD, TARGHER G. EASL-EASD-EASO clinical practice guidelines for the management of non-alcoholic fatty liver disease: Is universal screening appropriate?[J]. Diabetologia, 2016, 59(6): 1141-1144. DOI: 10.1007/s00125-016-3910-y.
    [5]
    LEUNG C, RIVERA L, FURNESS JB, et al. The role of the gut microbiota in NAFLD[J]. Nat Rev Gastroenterol Hepatol, 2016, 13(7): 412-425. DOI: 10.1038/nrgastro.2016.85.
    [6]
    KOZLITINA J, SMAGRIS E, STENDER S, et al. Exome-wide association study identifies a TM6SF2 variant that confers susceptibility to nonalcoholic fatty liver disease[J]. Nat Genet, 2014, 46(4): 352-356. DOI: 10.1038/ng.2901.
    [7]
    SOOKOIAN S, CASTAÑO GO, SCIAN R, et al. Genetic variation in transmembrane 6 superfamily member 2 and the risk of nonalcoholic fatty liver disease and histological disease severity[J]. Hepatology, 2015, 61(2): 515-525. DOI: 10.1002/hep.27556.
    [8]
    KRAWCZYK M, RAU M, SCHATTENBERG JM, et al. Combined effects of the PNPLA3 rs738409, TM6SF2 rs58542926, and MBOAT7 rs641738 variants on NAFLD severity: A multicenter biopsy-based study[J]. J Lipid Res, 2017, 58(1): 247-255. DOI: 10.1194/jlr.P067454.
    [9]
    GOFFREDO M, CAPRIO S, FELDSTEIN AE, et al. Role of TM6SF2 rs58542926 in the pathogenesis of nonalcoholic pediatric fatty liver disease: A multiethnic study[J]. Hepatology, 2016, 63(1): 117-125. DOI: 10.1002/hep.28283.
    [10]
    ANDRIKOPOULOS S, BLAIR AR, DELUCA N, et al. Evaluating the glucose tolerance test in mice[J]. Am J Physiol Endocrinol Metab, 2008, 295(6): E1323-1332. DOI: 10.1152/ajpendo.90617.2008.
    [11]
    MA Y, YU L, PAN S, et al. CRISPR/Cas9-mediated targeting of the Rosa26 locus produces Cre reporter rat strains for monitoring Cre-loxP-mediated lineage tracing[J]. FEBS J, 2017, 284(19): 3262-3277. DOI: 10.1111/febs.14188.
    [12]
    FAN Y, LU H, GUO Y, et al. Hepatic Transmembrane 6 superfamily member 2 regulates cholesterol metabolism in mice[J]. Gastroenterology, 2016, 150(5): 1208-1218. DOI: 10.1053/j.gastro.2016.01.005.
    [13]
    GUPTA D, BHATTACHARJEE O, MANDAL D, et al. CRISPR-Cas9 system: A new-fangled dawn in gene editing[J]. Life Sci, 2019, 232: 116636. DOI: 10.1016/j.lfs.2019.116636.
    [14]
    HRYHOROWICZ M, LIPIŃSKI D, ZEYLAND J, et al. CRISPR/Cas9 immune system as a tool for genome engineering[J]. Arch Immunol Ther Exp (Warsz), 2017, 65(3): 233-240. DOI: 10.1007/s00005-016-0427-5.
    [15]
    YANG J, ZHU D, JU B, et al. Hepatoprotective effects of Gentianella turkestanerum extracts on acute liver injury induced by carbon tetrachloride in mice[J]. Am J Transl Res, 2017, 9(2): 569-579.
    [16]
    HWANG YP, CHOI JH, JEONG HG. Protective effect of the Aralia continentalis root extract against carbon tetrachloride-induced hepatotoxicity in mice[J]. Food Chem Toxicol, 2009, 47(1): 75-81. DOI: 10.1016/j.fct.2008.10.011.
    [17]
    Diagnosis and Treatment Center of Hepatology of South China Alliance of TCM, National Administration of Traditional Chinese Medicine. Diagnosis and treatment scheme of Ganpi (non-alcoholic steatohepatitis)[J/CD]. Chin J Liver Dis: Electronic Edition, 2021, 13(1): 1-9. DOI: 10.3969/j.issn.1674-7380.2021.01.001

    国家中医药管理局华南区中医肝病诊疗中心联盟. 肝癖(非酒精性脂肪性肝炎)诊疗方案[J/CD]. 中国肝脏病杂志(电子版), 2021, 13(1): 1-9. DOI: 10.3969/j.issn.1674-7380.2021.01.001
    [18]
    PETERSEN MC, VATNER DF, SHULMAN GI. Regulation of hepatic glucose metabolism in health and disease[J]. Nat Rev Endocrinol, 2017, 13(10): 572-587. DOI: 10.1038/nrendo.2017.80.
    [19]
    WATT MJ, MIOTTO PM, de NARDO W, et al. The liver as an endocrine organ-linking nafld and insulin resistance[J]. Endocr Rev, 2019, 40(5): 1367-1393. DOI: 10.1210/er.2019-00034.
  • 加载中

Catalog

    通讯作者: 陈斌, bchen63@163.com
    • 1. 

      沈阳化工大学材料科学与工程学院 沈阳 110142

    1. 本站搜索
    2. 百度学术搜索
    3. 万方数据库搜索
    4. CNKI搜索

    Figures(5)  / Tables(4)

    Article Metrics

    Article views (1912) PDF downloads(136) Cited by()
    Proportional views
    Related

    /

    DownLoad:  Full-Size Img  PowerPoint
    Return
    Return