中文English
ISSN 1001-5256 (Print)
ISSN 2097-3497 (Online)
CN 22-1108/R
Volume 37 Issue 11
Nov.  2021
Turn off MathJax
Article Contents

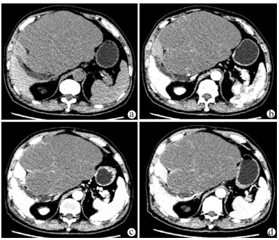
A case of huge intrahepatic biliary papillomatosis

DOI: 10.3969/j.issn.1001-5256.2021.11.034
Research funding:

Fund Project of Jilin Province Science and Technology Department (20130413021GH);

Fund Project of Jilin Provincial Development and Reform Commission (2016C040-2)

  • Received Date: 2021-03-10
  • Accepted Date: 2021-04-23
  • Published Date: 2021-11-20
  • loading
  • [1]
    LI LT, WU B, WANG SQ, et al. Intrahepatic biliary papillomatosis with local canceration: A case report[J]. J Clin Hepatol, 2018, 34(8): 1760-1762. DOI: 10.3969/j.issn.1001-5256.2018.08.035.

    李良涛, 武波, 王守乾, 等. 肝内胆管乳头状瘤伴局部癌变1例报告[J]. 临床肝胆病杂志, 2018, 34(8): 1760-1762. DOI: 10.3969/j.issn.1001-5256.2018.08.035.
    [2]
    LIU SL, ZHANG JW, WU H, et al. Intraductal papillary neoplasm of bile ducts with focal cancer infiltration: A case report[J]. J Clin Hepatol, 2018, 34(5): 1083-1085. DOI: 10.3969/j.issn.1001-5256.2018.05.031.

    刘守领, 张建伟, 吴昊, 等. 肝内胆管乳头状瘤病伴局灶性癌浸润1例报告[J]. 临床肝胆病杂志, 2018, 34(5): 1083-1085. DOI: 10.3969/j.issn.1001-5256.2018.05.031.
    [3]
    LUVIRA V, PUGKHEM A, BHUDHISAWASDI V, et al. Long-term outcome of surgical resection for intraductal papillary neoplasm of the bile duct[J]. J Gastroenterol Hepatol, 2017, 32(2): 527-533. DOI: 10.1111/jgh.13481.
    [4]
    HARADA F, MATSUYAMA R, MORI R, et al. Outcomes of surgery for 2010 WHO classification-based intraductal papillary neoplasm of the bile duct: Case-control study of a single Japanese institution's experience with special attention to mucin expression patterns[J]. Eur J Surg Oncol, 2019, 45(5): 761-768. DOI: 10.1016/j.ejso.2018.10.532.
    [5]
    UEMURA S, HIGUCHI R, YAZAWA T, et al. Prognostic factors for surgically resected intraductal papillary neoplasm of the bile duct: A retrospective cohort study[J]. Ann Surg Oncol, 2021, 28(2): 826-834. DOI: 10.1245/s10434-020-08835-6.
    [6]
    GORDON-WEEKS AN, JONES K, HARRISS E, et al. Systematic review and meta-analysis of current experience in treating IPNB: Clinical and pathological correlates[J]. Ann Surg, 2016, 263(4): 656-663. DOI: 10.1097/SLA.0000000000001426.
    [7]
    KUBOTA K, NAKANUMA Y, KONDO F, et al. Clinicopathological features and prognosis of mucin-producing bile duct tumor and mucinous cystic tumor of the liver: A multi-institutional study by the Japan Biliary Association[J]. J Hepatobiliary Pancreat Sci, 2014, 21(3): 176-185. DOI: 10.1002/jhbp.23.
    [8]
    TAN Y, MILIKOWSKI C, TORIBIO Y, et al. Intraductal papillary neoplasm of the bile ducts: A case report and literature review[J]. World J Gastroenterol, 2015, 21(43): 12498-12504. DOI: 10.3748/wjg.v21.i43.12498.
    [9]
    WU X, LI B, ZHENG C, et al. Intraductal papillary neoplasm of the bile duct: A single-center retrospective study[J]. J Int Med Res, 2018, 46(10): 4258-4268. DOI: 10.1177/0300060518792800.
    [10]
    WANG SD, WANG XW, LIU GH, et al. Research advances in intraductal papillary neoplasm of the bile duct[J]. J Clin Hepatol, 2020, 36(2): 476-480. DOI: 10.3969/j.issn.1001-5256.2020.02.054.

    王士东, 王小玮, 刘国红, 等. 胆管内乳头状肿瘤的研究现状[J]. 临床肝胆病杂志, 2020, 36(2): 476-480. DOI: 10.3969/j.issn.1001-5256.2020.02.054.
    [11]
    LIU Y, ZHONG X, YAN L, et al. Diagnostic performance of CT and MRI in distinguishing intraductal papillary neoplasm of the bile duct from cholangiocarcinoma with intraductal papillary growth[J]. Eur Radiol, 2015, 25(7): 1967-1974. DOI: 10.1007/s00330-015-3618-2.
    [12]
    HU L, SHU JE, LYU GH, et al. Imaging appearances of intraductal papillary mucinous neoplasm of the bile duct[J]. J Pract Radiol, 2019, 35(4): 671-673. DOI: 10.3969/j.issn.1002-1671.2019.04.040.

    胡亮, 舒锦尔, 吕光宏, 等. 肝内胆管内乳头状黏液性肿瘤影像表现[J]. 实用放射学杂志, 2019, 35(4): 671-673. DOI: 10.3969/j.issn.1002-1671.2019.04.040.
    [13]
    YOON HJ, KIM YK, JANG KT, et al. Intraductal papillary neoplasm of the bile ducts: Description of MRI and added value of diffusion-weighted MRI[J]. Abdom Imaging, 2013, 38(5): 1082-1090. DOI: 10.1007/s00261-013-9989-4.
    [14]
    KIM JR, JANG KT, JANG JY, et al. Clinicopathologic analysis of intraductal papillary neoplasm of bile duct: Korean multicenter cohort study[J]. HPB (Oxford), 2020, 22(8): 1139-1148. DOI: 10.1016/j.hpb.2019.11.007.
    [15]
    CASO MÓ, JUSTO ALONSO I, RODRÍGUEZ GIL Y, et al. Tumor recurrence after liver transplantation for diffuse biliary papillomatosis in the absence of invasive carcinoma[J]. Rev Esp Enferm Dig, 2018, 110(8): 526-528. DOI: 10.17235/reed.2018.5557/2018.
    [16]
    PARK HJ, KIM SY, KIM HJ, et al. Intraductal papillary neoplasm of the bile duct: Clinical, imaging, and pathologic features[J]. AJR Am J Roentgenol, 2018, 211(1): 67-75. DOI: 10.2214/AJR.17.19261.
    [17]
    YING S, YING M, LIANG W, et al. Morphological classification of intraductal papillary neoplasm of the bile duct[J]. Eur Radiol, 2018, 28(4): 1568-1578. DOI: 10.1007/s00330-017-5123-2.
  • 加载中

Catalog

    通讯作者: 陈斌, bchen63@163.com
    • 1. 

      沈阳化工大学材料科学与工程学院 沈阳 110142

    1. 本站搜索
    2. 百度学术搜索
    3. 万方数据库搜索
    4. CNKI搜索

    Figures(2)

    Article Metrics

    Article views (620) PDF downloads(27) Cited by()
    Proportional views
    Related

    /

    DownLoad:  Full-Size Img  PowerPoint
    Return
    Return