中文English
ISSN 1001-5256 (Print)
ISSN 2097-3497 (Online)
CN 22-1108/R
2021 No.12
Theme Issue: Portal hypertension: Chronic multiple organ failure involving various critical severe diseases
Executive Chief Editor: Tang Chengwei
Department of Gastroenterology, West China Hospital, Sichuan University

Display Method:
Special comment by Chinese Journal of Hepatology, Journal of Clinical Hepatology, and Chinese Hepatology
Standardize the development of guidelines and improve the quality of guidelines
Jiyao WANG, Jun XIA
2021, 37(12): 2753-2755. DOI: 10.3969/j.issn.1001-5256.2021.12.001
Abstract(974) HTML (497) PDF (1934KB)(116)
Abstract:
Editorial
Portal hypertension: Chronic multiple organ failure involving various critical severe diseases
Chengwei TANG
2021, 37(12): 2756-2759. DOI: 10.3969/j.issn.1001-5256.2021.12.002
Abstract(1523) HTML (278) PDF (1868KB)(196)
Abstract:
Globally, the population living with liver cirrhosis is growing. There is the largest number of cirrhosis patients in China throughout the world. Acute-on-chronic liver failure (ACLF) is a clinical syndrome of sudden hepatic decompensations such as variceal bleeding, spontaneous bacterial peritonitis, hepatic encephalopathy and hepatorenal syndrome seen in patients with liver cirrhosis. ACLF leads to poor quality of life and high mortality. Portal hypertension is not only a consequence of the development of cirrhosis, but also a secondary or even superimposed attack to the development of cirrhosis. It is necessary to early reduce intrahepatic resistance by transjugular intrahepatic portosystemic shunt and drugs to improve the prognosis.
Discussions by experts
Protect the portal vein: From pathophysiology to clinical decision making
Zhiyin HUANG, Jinhang GAO
2021, 37(12): 2760-2763. DOI: 10.3969/j.issn.1001-5256.2021.12.003
Abstract(1479) HTML (450) PDF (1875KB)(198)
Abstract:
The portal vein system is the main blood supply system of the liver, and damage to the portal vein system caused by cirrhotic portal hypertension may be the second hit to the liver. Protection of the portal vein will ensure sufficient blood supply of the liver and maintain its structure and function. Starting from the physiological structure and pathological changes of the portal vein, this article elaborates on the adverse effect of portal hypertension on the liver from the three new perspectives of thrombosis of the portal system, abnormal angiogenesis, and disturbance of hepatic sinusoidal homeostasis. It is suggested to change the current status of passive treatment of portal hypertension complications and encourage scientific exploration to reduce portal hypertension from multiple angles as early as possible to avoid repeated endoscopic devascularization of collateral circulation and splenectomy, so as to reduce various factors for the damage of the portal system, maintain the homeostasis of the portal system, and protect the liver.
Esophageal and gastric variceal bleeding in liver cirrhosis: Embolization or shunt
Zhen LI, Chunqing ZHANG
2021, 37(12): 2764-2766. DOI: 10.3969/j.issn.1001-5256.2021.12.004
Abstract(1402) HTML (415) PDF (1856KB)(199)
Abstract:
Esophageal and gastric variceal bleeding (EGVB) is a serious complication of portal hypertension, and it is necessary to control the progression of esophageal and gastric varices in clinical practice and prevent and treat EGVB; however, the mortality rate associated with variceal rupture and bleeding remains high at present. As for clinical treatment, risk classification of patients should be performed based on clinical and hemodynamic features and individualized treatment should be adopted, taking into account the balance of "embolization, shunt, and perfusion" of portal hypertension, so as to improve the clinical outcome and prognosis of patients with liver cirrhosis.
Malnutrition in liver cirrhosis: Benefits from improving portal hypertension
Bo GAO, Yuzheng ZHUGE
2021, 37(12): 2767-2769. DOI: 10.3969/j.issn.1001-5256.2021.12.005
Abstract(1544) HTML (399) PDF (1861KB)(157)
Abstract:
Malnutrition is common in patients with liver cirrhosis, especially with a high incidence rate in the decompensated stage, which mainly manifests as protein-energy malnutrition and has a negative impact on the prognosis of patients. The main causes of malnutrition in liver cirrhosis are insufficient intake and increased consumption. Body composition assessment is an important method to evaluate the type of malnutrition in liver cirrhosis. European Society for Parenteral and Enteral Nutrition (ESPEN) guidelines suggest that Nutritional Risk Screening 2002 (NRS2002) should be used for nutritional risk screening, and cirrhotic patients with an NRS2002 score of ≥3 are considered at the risk of malnutrition. ESPEN guidelines recommend a daily energy intake of 30-35 kcal/kg and a daily protein intake of 1.2-1.5 g/kg for patients with liver cirrhosis. Transjugular intrahepatic portosystemic shunt can effectively reduce portal hypertension in patients with liver cirrhosis and help to improve their nutritional status.
Mechanism and treatment of portal-systemic circulatory imbalance in hepatorenal syndrome
Lihong YANG, Jinhui YANG
2021, 37(12): 2770-2773. DOI: 10.3969/j.issn.1001-5256.2021.12.006
Abstract(1350) HTML (292) PDF (1874KB)(136)
Abstract:
Hepatorenal syndrome (HRS) is a serious complication of end-stage liver disease, and its pathogenesis is associated with the systemic hemodynamic changes such as portal hypertension, arterial vasodilation, reduced cardiac output, reduced effective circulating blood volume, and renal artery contraction, as well as portal-systemic circulatory imbalance. For the treatment of HRS at present, vasoactive agents and interventional treatment are used to change systemic hemodynamics and portal-systemic circulatory imbalance, and early intervention can improve the prognosis of patients.
Hepatic encephalopathy: Modern views on the treatment of abnormal portosystemic shunt
Shuaijie QIAN, Hao WU
2021, 37(12): 2774-2777. DOI: 10.3969/j.issn.1001-5256.2021.12.007
Abstract(1547) HTML (651) PDF (1876KB)(147)
Abstract:
Hepatic encephalopathy (HE) is a type of serious brain dysfunction caused by acute or chronic liver failure or portosystemic shunt, with the clinical manifestation of neuropsychiatric abnormalities. The incidence rate of HE is 16%-21% in patients with liver cirrhosis. Spontaneous portosystemic shunt (SPSS) is one of the major pathogenesis of HE and is observed in 60%-70% of the patients with liver cirrhosis, and the size, number, and location of SPSS are directly associated with the development of HE. The development and wide application of imaging technology help to achieve a more convenient and accurate diagnosis of SPSS. Although interventional vascular embolization of SPSS has achieved a satisfactory clinical outcome in some cirrhotic patients with HE, high-quality clinical studies are still needed.
Academic contention
Distribution and treatment of patients in the indeterminate phase of chronic hepatitis B virus infection
Hui ZHANG, Xinru WANG, Li XIAO, Jianchun XIAN
2021, 37(12): 2778-2779. DOI: 10.3969/j.issn.1001-5256.2021.12.008
Abstract(984) HTML (202) PDF (1847KB)(126)
Abstract:
Thoughts on whether patients in the indeterminate phase of chronic hepatitis B virus infection should receive antiviral therapy
Zhihua LIU
2021, 37(12): 2780-2781. DOI: 10.3969/j.issn.1001-5256.2021.12.009
Abstract(805) HTML (162) PDF (1847KB)(121)
Abstract:
Guidelines
An excerpt of APASL clinical practice guideline on hepatitis B reactivation related to the use of immunosuppressive therapy (2021)
Shan ZHANG, Dong JI, Guofeng CHEN
2021, 37(12): 2782-2786. DOI: 10.3969/j.issn.1001-5256.2021.12.010
Abstract(1570) HTML (382) PDF (2110KB)(280)
Abstract:
An excerpt of malnutrition, frailty, and sarcopenia in patients with cirrhosis: 2021 practice guidance by the American Association for the Study of Liver Diseases
Xiaoting SONG, Wentao XU, Yu CHEN, Xingshun QI
2021, 37(12): 2787-2789. DOI: 10.3969/j.issn.1001-5256.2021.12.011
Abstract(1188) HTML (491) PDF (1849KB)(206)
Abstract:
An excerpt of AGA clinical practice guideline on the management of coagulation disorders in patients with cirrhosis (2021)
Bingqiong WANG, Zhiying HE, Xiaoning WU, Hong YOU
2021, 37(12): 2790-2792. DOI: 10.3969/j.issn.1001-5256.2021.12.012
Abstract(1192) HTML (778) PDF (1850KB)(260)
Abstract:
Original articles_Viral hepatitis
Value of magnetic resonance imaging-proton density fat fraction and FibroScan in quantitative evaluation of liver fat content in patients with chronic hepatitis B
Yiming YANG, Yupin LIU, Lixia HUANG, Zhiyuan CHEN, Shuman OUYANG, Jing PENG
2021, 37(12): 2793-2797. DOI: 10.3969/j.issn.1001-5256.2021.12.013
Abstract(1857) HTML (238) PDF (2431KB)(102)
Abstract:
  Objective  To investigate the value of magnetic resonance imaging-proton density fat fraction (MRI-PDFF) and FibroScan in the quantitative evaluation of liver fat content in patients with chronic hepatitis B (CHB).  Methods  A total of 96 patients with CHB who were hospitalized in Department of Hepatology, The Second Clinical Medical College of Guangzhou University of Chinese Medicine, from February 2017 to July 2020 were enrolled, and all patients were diagnosed based on liver pathological examination. MRI-PDFF and FibroScan were performed before surgery. According to the results of liver biopsy, the patients were divided into non-fatty liver disease group with 44 patients, mild fatty liver disease group with 33 patients, and moderate-to-severe fatty liver disease group with 19 patients. A one-way analysis of variance was used for comparison of normally distributed continuous data between multiple groups, and the least significant difference t-test was used for further comparison between two groups; the Kruskal-Wallis H test was used for comparison of non-normally distributed continuous data between multiple groups, and the Mann-Whitney U test was used for further comparison between two groups; Bonferroni correction was also performed. The receiver operating characteristic (ROC) curve was plotted to analyze the area under the ROC curve (AUC) of hepatic fat fraction (HFF) and controllable attenuation parameters (CAP) in the diagnosis of fatty liver disease and obtain their sensitivities, specificities, and optimal cut-off values. The intraclass correlation coefficient was used to investigate the consistency of MRI-PDFF data.  Results  The moderate-to-severe fatty liver disease group had a significant increase in MRI-PDFF HFF compared with the non-fatty liver disease group and the mild fatty liver disease group (all P < 0.05), and the mild fatty liver disease group had a significant increase in MRI-PDFF HFF compared with the non-fatty liver disease group(P < 0.05). The moderate-to-severe fatty liver disease group had a significant increase in FibroScan CAP compared with the non-fatty liver disease group and the mild fatty liver disease group (all P < 0.05), and the mild fatty liver disease group had a significant increase in FibroScan CAP compared with the non-fatty liver disease group (P < 0.05). In the diagnosis of mild fatty liver disease, MRI-PDFF HFF had an AUC of 0.901 (P < 0.001), a sensitivity of 90.9%, and a specificity of 82.7% at the optimal cut-off value of 5.1%, and in the diagnosis of moderate-to-severe fatty liver disease, MRI-PDFF HFF had an AUC of 0.972 (P < 0.001), a sensitivity of 96.1%, and a specificity of 89.5% at the optimal cut-off value of 9.7%. In the diagnosis of mild fatty liver disease, FibroScan CAP had an AUC of 0.829 (P < 0.001), a sensitivity of 77.3%, and a specificity of 78.8% at the optimal cut-off value of 258.5 dB/m, and in the diagnosis of moderate-to-severe fatty liver disease, FibroScan CAP had an AUC of 0.830 (P < 0.001), a sensitivity of 76.6%, and a specificity of 78.9% at the optimal cut-off value of 285.5 dB/m.  Conclusion  Both MRI-PDFF and FibroScan can objectively evaluate the degree of fatty liver disease in patients with CHB. MRI-PDFF HFF and FibroScan CAP can be used as noninvasive markers for the quantitative analysis of CHB with hepatic steatosis, and MRI-PDFF HFF tends to have higher diagnostic efficiency.
Expression level of serum HBV RNA in HBeAg-positive chronic hepatitis B patients at different periods and its value of measurement
Chengkang WANG, Shourong LIU
2021, 37(12): 2798-2801. DOI: 10.3969/j.issn.1001-5256.2021.12.014
Abstract(1213) HTML (247) PDF (1906KB)(96)
Abstract:
  Objective  To investigate the expression level and potential clinical value of serum HBV RNA in HBeAg-positive chronic hepatitis B (CHB) patients at different periods.  Methods  A total of 61 CHB patients who attended the outpatient and inpatient services of Department of Hepatology, Hangzhou Xixi Hospital, from August 2019 to December 2020 were enrolled, and according to the antiviral therapy for HBeAg-positive CHB patients, they can be divided into group A with untreated HBeAg-positive CHB (HBeAg+ and HBV DNA+) patients, group B with treatment-experienced patients before HBeAg seroconversion (HBeAg+ and HBV DNA-), and group C with treatment-experienced patients after HBeAg seroconversion (HBeAg- and HBV DNA-). Peripheral blood HBV RNA load was measured at different periods, and its correlation with HBsAg and HBV DNA was analyzed. The t-test was used for comparison of normally distributed continuous data between groups, and the Mann-Whitney U test was used for comparison of non-normally distributed continuous data between two groups; the chi-square test was used for comparison of categorical data between groups; a Pearson or Spearman correlation analysis was used to describe the correlation between two variables.  Results  The positive rates of HBV RNA in these three groups were 100% (22/22), 88.2% (15/17), and 22.7% (6/22), respectively. In group A, HBV RNA was positively correlated with HBsAg and HBV DNA (r=0.612 and 0.922, both P < 0.01), while in groups B and C, there was no correlation between HBV RNA and HBsAg. Group B had significantly higher levels of HBV RNA and HBsAg than group C (Z=-4.44 and -2.41, both P < 0.05). The HBV DNA-positive group had a significantly higher level of HBV RNA than the HBV DNA-negative group (Z=-6.16, P < 0.01).  Conclusion  After HBV DNA clearance achieved by antiviral therapy with nucleos(t)ide analogues in CHB patients, serum HBV RNA can still be detected in some of these patients. Since HBV RNA only comes from cccDNA in the liver, it can better reflect viral replication activity in the liver than HBV DNA and thus has a certain clinical value in the management of CHB patients.
Establishment of a predictive model for the prognosis of patients with hepatitis B virus-related acute-on-chronic liver failure treated with plasma exchange and double plasma molecular adsorption system alone or in combination
Beibei HUANG, Ling NING, Wenyuan LI, Xiaowei ZHENG, Yue ZHANG, Shouwei JIANG, Zhenhua ZHANG, Lei LI
2021, 37(12): 2802-2807. DOI: 10.3969/j.issn.1001-5256.2021.12.015
Abstract(1302) HTML (235) PDF (2400KB)(87)
Abstract:
  Objective  To observe the 24-week survival status of patients with hepatitis B virus-related acute-on-chronic liver failure (HBV-ACLF) treated with plasma exchange (PE) and double plasma molecular adsorption system (DPMAS) alone or in combination, and to establish a predictive model for 24-week prognosis.  Methods  Related clinical data were collected from 133 patients with HBV-ACLF who received PE and DPMAS alone or in combination in The Affiliated Provincial Hospital of Anhui Medical University from January 2015 to December 2019, and according to the survival status at the 24-week follow-up after treatment, they were divided into survival group with 71 patients and death group with 62 patients. A total of 55 patients with HBV-ACLF who received PE and DPMAS alone or in combination in The Second Affiliated Hospital of Anhui Medical University from January 2018 to January 2020 were enrolled as validation group to validate the performance of the model. Related clinical data included mode of artificial liver support therapy, age, sex, total bilirubin (TBil), international normalized ratio (INR), creatinine (Cr), serum sodium, platelet count (PLT), albumin (Alb), and presence or absence of ascites, hepatorenal syndrome, hepatic encephalopathy, and gastrointestinal bleeding. The t-test was used for comparison of normally distributed continuous data between two groups, and the Wilcoxon rank-sum test was used for comparison of continuous data with skewed distribution between two groups; the chi-square test and the Fisher's exact test were used for comparison of categorical data between groups. The Cox regression model was used to analyze the influencing factors for the prognosis of HBV-ACLF patients after PE and DPMAS alone or in combination and establish a predictive model; the receiver operator characteristic (ROC) curve was plotted and the DeLong method was used to compare the area under the ROC curve (AUC) between the new predictive model and Model for End-Stage Liver Disease (MELD)/MELD combined with serum sodium concentration (MELD-Na) scores.  Results  At 24 weeks after treatment, 71 patients survived and 62 patients died in the modeling group. The Cox regression analysis showed age (hazard ratio [HR]=1.030, P=0.013), TBil (HR=1.018, P < 0.001), INR (HR=1.517, P < 0.001), and PLT (HR=0.993, P=0.04) were independent influencing factors for 24-week survival. According to the results of the Cox regression analysis, a prognostic model for HBV-ACLF patients treated with PE and DPMAS alone or in combination was established as ATIP=0.029×age (years)+0.018×TBil (mg/dL)+0.417×INR-0.007×PLT (109/L). Both the modeling group and the validation group showed that the ATIP model had a better predictive performance than MELD and MELD-NA scores(all P < 0.05).  Conclusion  Age, TBil, INR, and PLT are independent influencing factors for the 24-week survival of HBV-ACLF patients treated with PE and DPMAS alone or in combination, and the ATIP model has a good performance in predicting the 24-week prognosis of HBV-ACLF patients treated with PE and DPMAS alone or in combination.
Original articles_Liver fibrosis and liver cirrhosis
The cut off value of liver stiffness measurement needs to be lowered to predict liver fibrosis after sustained virologic response in chronic hepatitis C patients
Lixia QIU, Jingjing SONG, Shan LIANG, Yali LIU, Jing ZHANG
2021, 37(12): 2808-2812. DOI: 10.3969/j.issn.1001-5256.2021.12.016
Abstract(982) HTML (190) PDF (2135KB)(78)
Abstract:
  Objective  To further verify the ability of noninvasive diagnostic method for liver fibrosis in predicting liver fibrosis in chronic hepatitis C patients followed up after sustained virologic response (SVR) based on liver biopsy.  Methods  A prospective cohort study was performed for the chronic hepatitis C patients who attended Beijing YouAn Hospital, Capital Medical University, from October 2015 to December 2017, and all patients were followed up regularly after SVR and underwent liver biopsy. The diagnostic efficiency of the noninvasive diagnostic method for liver fibrosis was verified based on pathological results. The receiver operating characteristic (ROC) curve was used to evaluate the ability of LSM, aspartate aminotransferase-to-platelet ratio index (APRI), and fibrosis-4 (FIB-4) in the diagnosis of liver fibrosis, and STATA and R language were used to compare the area under the ROC curve (AUC).  Results  A total of 96 patients were successfully enrolled. The LSM after SVR was significantly lower than that at baseline, and LSM had a significantly larger AUC than APRI (0.89 vs 0.67, P < 0.05) and FIB (0.89 vs 0.69, P < 0.05) in the diagnosis of liver cirrhosis after SVR. LSM at a cut-off value of 7.95 kPa, and based on the best specificity, the diagnosis of liver cirrhosis could be considered when LSM was greater than 9.15 kPa, with a positive likelihood ratio of 5.91%; progressive liver fibrosis could be excluded based on LSM < 6.85 kPa, with a negative predictive value of 0.98. Follow-up time and antiviral regimen had no influence on the diagnostic ability of LSM.  Conclusion  The cut off value of LSM needs to be lowered to predict liver fibrosis after SVR in chronic hepatitis C patients.
Association between serum macrophage polarization-related factors and liver fibrosis in echinococcosis multilocularis
Weijian E, Yongliang LU, Bingmin QI, Mingquan PANG, Zhixin WANG, Lingqiang ZHANG, Haining FAN
2021, 37(12): 2813-2818. DOI: 10.3969/j.issn.1001-5256.2021.12.017
Abstract(882) HTML (442) PDF (3391KB)(58)
Abstract:
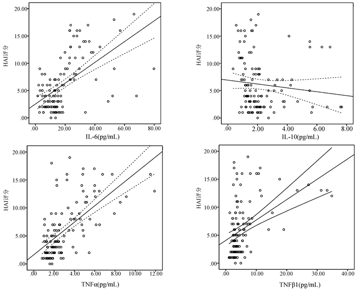
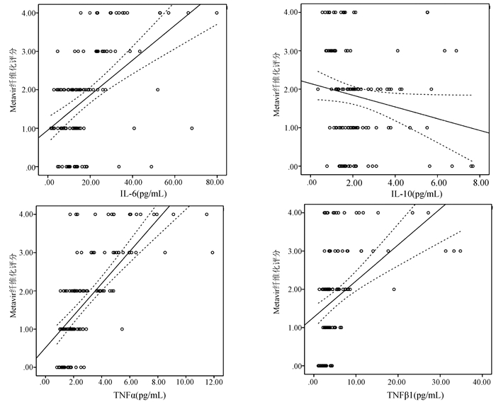
  Objective  To investigate the association between serum macrophage polarization-related factors and liver fibrosis in patients with alveolar echinococcosis (AE).  Methods  A total of 120 patients with AE who attended Department of Hepatobiliary and Pancreatic Surgery in The Affiliated Hospital of Qinghai University from September 2018 to October 2020 were enrolled as AE group, and 33 healthy controls were enrolled as normal control group. The two groups and the patients with varying degrees of liver fibrosis were compared in terms of the levels of interleukin-6 (IL-6), interleukin-10 (IL-10), tumor necrosis factor-α (TNF-α), and transforming growth factor-β1 (TGF-β1). Comparison of normally distributed continuous data between two groups was made by the independent samples t-test, while comparison of non-normally distributed continuous data was made by the Mann-Whitney U test or Kruskal-Wallis H test. Comparison of categorical data between groups was made by the chi-square test. Univariate and multivariate logistic regression analyses were used to investigate the association between serum macrophage polarization-related factors and liver fibrosis in patients with AE, and the receiver operating characteristic (ROC) curve was used to analyze the value of serological examination in the diagnosis of liver fibrosis in patients with AE. A Spearman correlation analysis was used to analyze the correlation of each index with HAI score and Metavir score.  Results  Compared with the normal control group, the AE group had significant increases in the serum levels of IL-6 [13.97 (9.64-23.62) pg/mL vs 1.30 (0.35-2.71) pg/mL, Z=-5.980, P < 0.001], TNF-α [2.26 (1.65-4.13) pg/mL vs 1.40 (1.04-2.10) pg/mL, Z=-3.114, P < 0.01], and TGF-β1 [3.64(2.71-5.72) pg/mL vs 2.91(2.20-3.35) pg/mL, Z=-2.594, P < 0.05], and increases in the serum levels of IL-6 (hazard ratio [HR]=2.721, 95% confidence interval [CI]: 1.730-4.280, P < 0.05) and TNF-α(HR=3.527, 95%CI: 1.158-10.747, P < 0.05) were independent risk factors for the onset of liver fibrosis in AE patients. The ROC curve analysis showed that hydatid IgG combined with the serum levels of IL-6 and TNF-α had a sensitivity of 88.4%, a specificity of 95.8%, and an area under the ROC curve of 0.951(95%CI: 0.937-0.964) in the diagnosis of liver fibrosis, which were significantly higher than those of IL-6, TNF-α, or hydatid IgG alone (Z=-3.458, -4.011, and 2.379, all P < 0.05). The Spearman analysis showed that the serum levels of IL-6, TNF-α, and TGF-β1 were positively correlated with HAI score (r=0.560, 0.644, and 0.465, all P < 0.001) and Metavir fibrosis score (r=0.530, 0.758, and 0.567, all P < 0.001), and the serum level of IL-10 was negatively correlated with HAI score (r=-0.232, P=0.011) and Metavir fibrosis score (r=-0.288, P=0.001).  Conclusion  Macrophage polarization is often observed in patients with hepatic AE, and the levels of the macrophage polarization-related factors IL-6, TNF-α, and TGF-β1 are associated with the development and progression of liver fibrosis, which can provide certain reference information for predicting the onset of liver fibrosis.
Value of FibroScan and platelet count-to-spleen thickness ratio in predicting the degree of esophageal and gastric varices in liver cirrhosis
Shuang FENG, Huifen FENG, Jing XU, Gongchao YU, Shan ZHENG
2021, 37(12): 2819-2823. DOI: 10.3969/j.issn.1001-5256.2021.12.018
Abstract(1145) HTML (270) PDF (2392KB)(93)
Abstract:
  Objective  To investigate the value of transient elastography (FibroScan) and platelet count-to-spleen thickness (PC/ST) ratio in predicting the degree of esophageal and gastric varices (EGV) in liver cirrhosis.  Methods  A total of 210 patients with liver cirrhosis who underwent FibroScan, color Doppler ultrasound, electronic gastroscopy, and blood biochemical examination within three days after admission to The Fifth Affiliated Hospital of Zhengzhou University from January 2017 to September 2020 were enrolled, and according to the "gold standard" of gastroscopy, the patients were divided into none, mild, moderate, and severe EGV groups. A one-way analysis of variance or the Kruskal-Wallis H test were used for comparison of continuous data between multiple groups. Receiver operating characteristic (ROC) curves were plotted for liver stiffness measurement (LSM), PC/ST ratio, and LSM+PC/ST, and the diagnostic performance of these ROC curves was compared using the Delong method.  Results  There were significant differences between the none, mild, moderate, and severe EGV groups in LSM (F=32.00, P < 0.01) and PC/ST ratio (H=49.58, P < 0.01). For the mild EGV group, LSM, PC/ST ratio, and LSM+PC/ST had an area under the ROC curve (AUC) of 0.762, 0.656, and 0.770, respectively, with a positive predictive value of 75.4%, 60.2%, and 82.5%, respectively, and a negative predictive value of 75.0%, 75.8%, and 65.4%, respectively. For the moderate EGV group, LSM, PC/ST ratio, and LSM+PC/ST had an AUC of 0.841, 0.796, and 0.896, respectively, with a positive predictive value of 86.1%, 68.0%, and 74.1%, respectively, and a negative predictive value of 79.7%, 80.5%, and 90.2%, respectively. For the severe EGV group, LSM, PC/ST ratio, and LSM+PC/ST had an AUC of 0.834, 0.830, and 0.903, respectively, with a positive predictive value of 80.5%, 71.4%, and 79.5%, respectively, and a negative predictive value of 82.5%, 83.6%, and 85.0%, respectively. PC/ST ratio and LSM+PC/ST had significantly different AUC in predicting mild, moderate, and severe EGV (Z=2.66, P=0.007; Z=2.71, P=0.007; Z=2.37, P=0.018).  Conclusion  LSM, PC/ST ratio, and LSM+PC/ST have a good predictive value for moderate-to-severe EGV in liver cirrhosis.
Risk factors for liver cirrhosis in acute-on-chronic liver failure patients without liver cirrhosis in the convalescence stage
Shanshan LI, Manman XU, Zhongping DUAN, Yu CHEN
2021, 37(12): 2824-2829. DOI: 10.3969/j.issn.1001-5256.2021.12.019
Abstract(971) HTML (189) PDF (2248KB)(76)
Abstract:
  Objective  To investigate the risk factors for liver cirrhosis after hepatocyte necrosis in acute-on-chronic liver failure (ACLF) patients without liver cirrhosis in the convalescence stage.  Methods  A retrospective analysis was performed for the clinical data of ACLF patients who were treated in Beijing YouAn Hospital, Capital Medical University, from January 2015 to June 2019. A total of 57 ACLF patients without liver cirrhosis who had a survival time of > 48 weeks and complete clinical data were enrolled, and according to the presence or absence of liver cirrhosis at week 48 of follow-up, they were divided into non-cirrhosis group and cirrhosis group. The two groups were compared in terms of clinical indices, noninvasive liver fibrosis scores, and prognostic scores to screen out independent influencing factors for progression to liver cirrhosis. The t-test was used for comparison of normally distributed continuous data between two groups, and the Mann-Whitney U test was used for comparison of non-normally distributed continuous data between two groups; the chi-square test or the Fisher's exact test was used for comparison of categorical data between two groups. Univariate and multivariate logistic analyses were used to investigate the risk factors for progression to liver cirrhosis within 48 weeks, and the receiver operating characteristic (ROC) curve was used to evaluate the predictive efficiency of independent risk factors.  Results  Among the 57 patients, 9(15.8%) developed liver cirrhosis within 4 weeks of follow-up and showed disappearance of liver cirrhosis at week 48 of follow-up; at week 48 of follow-up, 26 patients (45.6%) developed liver cirrhosis, and the patients were divided into non-cirrhosis group with 31 patients and cirrhosis group with 26 patients. Compared with the non-cirrhosis group, the cirrhosis group had significantly lower levels of cholinesterase (ChE) (2844.32±961.05 U/L vs 4137.59±1604.83 U/L, t=3.177, P=0.003) and platelet count (PLT) [(100.04±57.28)×109/L vs (138.84±56.46)×109/L, t=2.564, P=0.013] and a significantly higher fibrosis-4 score [7.81 (3.92-11.36) vs 4.45 (2.14-7.80), Z=258.0, P=0.030]. The above indices were included in the univariate and multivariate logistic analyses, and the results showed that low levels of ChE (odds ratio [OR]=1.001, 95% confidence interval [CI]: 1.000-1.002, P=0.010) and PLT(OR=1.015, 95%CI: 1.002-1.028, P=0.027) were independent risk factors for liver cirrhosis in ACLF patients without liver cirrhosis in the convalescence stage. The ROC curve analysis showed that the combination of ChE and PLT had a greater value in predicting the onset of liver cirrhosis in ACLF patients without liver cirrhosis in the convalescence stage.  Conclusion  Low levels of ChE and PLT are independent risk factors for liver cirrhosis in ACLF patients without liver cirrhosis in the convalescence stage, and the combination of ChE and PLT has certain advantages.
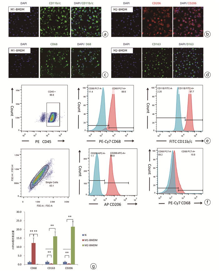
Effect of polarized bone marrow-derived macrophage transplantation on the progression of CCl4-induced liver fibrosis in rats
Xun JIAN, Danyang WANG, Yannan XU, Jiamei CHEN, Wei LIU, Gaofeng CHEN, Hua ZHANG, Ping LIU, Yongping MU
2021, 37(12): 2830-2837. DOI: 10.3969/j.issn.1001-5256.2021.12.020
Abstract(2381) HTML (1095) PDF (6875KB)(139)
Abstract:
  Objective  To investigate the effect of polarized bone marrow-derived macrophage (BMDM) transplantation on the progression of CCl4-induced liver fibrosis in rats.  Methods  Rat BMDMs were isolated and induced to differentiate into M1 phenotype (M1-BMDM) by lipopolysaccharide (5 ng/mL) or M2 phenotype (M2-BMDM) by the supernatant of L929 cells. A rat model of liver fibrosis was established by subcutaneous injection of 30% CCl4 for 6 weeks, and at week 7, the model rats were randomly divided into model control group (M group), M1-BMDM group, and M2-BMDM group and were given a single injection of normal saline, M1-BMDM, and M2-BMDM, respectively, via the caudal vein, and subcutaneous injection of 30% CCl4 was given until the end of week 9. Related indices were observed, including liver function, liver histopathology, hydroxyproline (Hyp) content in liver tissue, hepatic stellate cell activation, liver fibrosis, and expression of inflammatory cytokines. The continuous data were expressed as mean±standard deviation; an analysis of variance was used for comparison between multiple groups, and the SNK-q test was used for further comparison between two groups.  Results  Compared with the M group, both M1-BMDM and M2-BMDM significantly inhibited liver inflammation and liver fibrosis progression and significantly reduced serum alanine aminotransferase and aspartate aminotransferase activities (P < 0.01) and Hyp content in liver tissue (P < 0.05). M1-BMDM and M2-BMDM significantly inhibited the activation of hepatic stellate cells and significantly reduced the mRNA expression levels of TGF-β, Col1A1, and Col4 (all P < 0.05). Both M1-BMDM and M2-BMDM significantly increased the expression level of CD163 protein in liver tissue (P < 0.01), and the M2-BMDM group had a significantly higher level than the M1-BMDM group (P < 0.05); both M1-BMDM and M2-BMDM significantly reduced the mRNA expression levels of MMP-2 and TIMP-1 in liver tissue (P < 0.05) and significantly increased the mRNA expression level of MMP-13 (P < 0.01); in addition, M2-BMDM significantly reduced the expression level of CD68 protein in liver tissue (P < 0.01). Both M1-BMDM and M2-BMDM significantly increased the mRNA expression levels of IL-6 and IL-10 and the protein expression level of albumin in liver tissue (all P < 0.05), and the above indices in the M2-BMDM group were significantly higher than those in the M1-BMDM group (all P < 0.05).  Conclusion  Both M1-BMDM and M2-BMDM can effectively inhibit the progression of CCl4-induced liver fibrosis in rats, possibly by inhibiting the activation of hepatic stellate cells and promoting the activation of anti-inflammatory macrophages. Moreover, M2-BMDM can also inhibit the activation of pro-inflammatory macrophages and thus has a better comprehensive intervention effect than M1-BMDM.
Original articles_Liver neoplasms
Value of the inflammatory markers albumin, C-reactive protein, erythrocyte sedimentation rate, and interleukin-6 in predicting hepatocellular carcinoma with different types of portal vein thrombosis
Pengge ZHOU, Gaofeng LU, Xiaoying REN, Tao ZHANG
2021, 37(12): 2838-2842. DOI: 10.3969/j.issn.1001-5256.2021.12.021
Abstract(863) HTML (263) PDF (2273KB)(75)
Abstract:
  Objective  To investigate the biochemical and routine blood parameters in hepatocellular carcinoma (HCC) patients with portal vein blood thrombus (PVBT) or portal vein tumor thrombosis (PVTT), as well as the expression level and clinical significance of inflammatory indices in patients with different types of PVBT.  Methods  A total of 51 HCC patients with PVBT and 37 HCC patients with PVTT who were diagnosed and treated in The Second Affiliated Hospital of Zhengzhou University from January 2016 to December 2020 were enrolled as PVBT group and PVTT group, respectively, and 50 HCC patients without portal vein thrombosis who were hospitalized during the same period of time were enrolled as control group. General clinical data and laboratory test results were collected from the three groups. The chi-square test or the Kruskal-Wallis rank sum test was used for comparison of categorical data between groups; a one-way analysis of variance was used for comparison of normally distributed continuous data between groups, and the Kruskal-Wallis rank sum test was used for comparison of non-normally distributed continuous data between groups. The receiver operating characteristic (ROC) curve was plotted to investigate the expression levels of albumin (Alb), C-reactive protein (CRP), erythrocyte sedimentation rate (ESR), and interleukin-6 (IL-6) in the PVBT group and the PVTT group, and the area under the ROC curve (AUC) was calculated to analyze their value in predicting different types of thrombosis.  Results  There were no significant differences in general data and conventional biochemical parameters between the three groups (all P > 0.05), while there were significant differences in the inflammatory indices Alb, CRP, ESR, and IL-6 between the three groups (H=10.207, 24.465, 8.917, and 37.584, P=0.006, P < 0.001, P=0.012, and P < 0.001), and further analysis between two groups showed that the PVTT group had a significantly lower level of Alb and significantly higher levels of CRP, ESR, and IL-6 than the PVBT group and the control group, and the PVBT group had significantly higher levels of CRP and IL-6 than the control group (all P < 0.05). The ROC curve analysis showed that Alb, CRP, ESR, and IL-6 had an AUC of 0.659, 0.826, 0.679, and 0.873, respectively, in the PVTT group, as well as an AUC of 0.508, 0.635, 0.503, and 0.701, respectively, in the PVBT group.  Conclusion  HCC patients with PVTT tend to have high expression levels of the inflammatory indices IL-6, CRP, and ESR and a low expression level of Alb, and their predictive value decreases successively, while HCC patients with PVBT tend to have relatively low expression levels IL-6, CRP, and ESR and a relatively high expression level of Alb. IL-6 and CRP have a certain value in predicting PVBT, while ESR and ALB have little predictive value.
Global research hotspots and trends in the field of immunotherapy for liver cancer in 2011-2020 based on CiteSpace analysis
Zhichun ZHANG, Lichao SUN, Qiuyue SUN, Liang PENG, Gu TIAN
2021, 37(12): 2843-2848. DOI: 10.3969/j.issn.1001-5256.2021.12.022
Abstract(922) HTML (242) PDF (1985KB)(79)
Abstract:
  Objective  To investigate the research hotspots and trends in the field of immunotherapy for liver cancer in 2011-2020 based on bibliometric methods.  Methods  The Web of Science-SCI Expanded database was searched with the following search strategy: #1 TS = (Liver Neoplasms OR Neoplasms, Hepatic OR Neoplasms, Liver OR Liver Neoplasm OR Neoplasm, Liver OR Hepatic Neoplasms OR Hepatic Neoplasm OR Neoplasm, Hepatic OR Cancer of Liver OR Hepatocellular Cancer OR Cancers, Hepatocellular OR Hepatocellular Cancers OR Hepatic Cancer OR Cancer, Hepatic OR Cancers, Hepatic OR Hepatic Cancers OR Liver Cancer OR Cancer, Liver OR Cancers, Liver OR Liver Cancers OR Cancer of the Liver OR Cancer, Hepatocellular) AND #2 TS = (Immunotherapy OR Immunotherapies OR Immunity therapy); time span: 2011-2020; type of literature: Article; language: English. CiteSpace software was used to perform a visualized analysis of the articles in the field of immunotherapy for liver cancer published in 2011-2020 from the aspects of the distributions of year, country, institution, author, journal, and fund, times cited, and keywords, and the frequency, centrality, and clustering of keywords were discussed.  Results  A total of 1972 articles on immunotherapy for liver cancer were included, and the analysis showed that China was the country with the largest number of articles, Sun Yat-sen University was the institution with the largest number of articles, and Journal for Immunotherapy of Cancer was the journal with the largest number of articles. The research hotspots in this field included tumor-associated macrophages, oncolytic virus (such as adenovirus), tumor vaccine therapy, adoptive cellular immunotherapy, immune checkpoint inhibitors, and combined immunotherapy. The trend of this field was tumor vaccine therapy → immunotherapy for oncolytic virus → adoptive cellular immunotherapy → immune checkpoint inhibitor therapy.  Conclusion  Immunotherapy for liver cancer has undergone continuous development in the recent ten years, and with the research and development of tumor vaccine therapy, oncolytic virus, and immune checkpoint inhibitors and the improvement of immune checkpoint inhibitors, combined treatment based on immunotherapy is expected to further improve the clinical outcome of liver cancer.
Original articles_Other liver diseases
Effect of dapagliflozin on metabolic markers and autonomic function in patients with type 2 diabetes mellitus and metabolic associated fatty liver disease
Zhenzhen ZHANG, Yaoyi ZHANG, Kai WANG, Chenguang TIAN
2021, 37(12): 2849-2853. DOI: 10.3969/j.issn.1001-5256.2021.12.023
Abstract(1449) HTML (583) PDF (1893KB)(120)
Abstract:
  Objective  To investigate the effect of dapagliflozin on metabolic markers, hepatic fat content, and autonomic nervous function in patients with type 2 diabetes mellitus (T2DM) and metabolic associated fatty liver disease (MAFLD).  Methods  A total of 90 patients with T2DM and MAFLD who were admitted to The Second Affiliated Hospital of Zhengzhou University from October 2019 to October 2020 were enrolled and randomly divided into control group and dapagliflozin group, with 45 patients in each group. All patients were given conventional treatment before enrollment; the patients in the control group were treated with the original hypoglycemic regimen, and those in the dapagliflozin group were given dapagliflozin in addition to the treatment in the control group. The treatment cycle was 24 weeks. General information was collected before and after treatment, and the two groups were compared in terms of the changes in body mass index (BMI), glycosylated hemoglobin (HbA1c), fasting blood glucose (FPG), blood lipids, serum uric acid (SUA), Homeostasis Model Assessment of Insulin Resistance (HOMA-IR), liver function, liver fat content, and heart rate variability after treatment. The paired t-test was used for comparison of normally distributed continuous data within each group, and the independent samples t-test was used for comparison between groups; the Wilcoxon rank-sum test was used for comparison of non-normally distributed continuous data within each group, and the Mann-Whitney U test was used for comparison between groups. The Chi-square test was used for comparison of categorical data between two groups.  Results  A total of 43 patients in the dapagliflozin group and 40 patients in the control group completed the study. After 24 weeks of treatment, the dapagliflozin group had significant reductions in BMI, HbA1c, FBG, triglyceride (TG), SUA, alanine aminotransferase (ALT), aspartate aminotransferase (AST), HOMA-IR, and liver fat content (t=8.781, 8.765, 8.813, 3.485, 6.199, 5.694, 3.428, 6.492, and 4.925, all P < 0.05) and significant increases in high-density lipoprotein cholesterol, standard deviation of all normal R-R intervals (SDNN), standard deviation of average NN intervals (SDANN), root mean square of successive differences, percent of the number whose difference between adjacent NN interval are more than 50 ms (pNN50), high frequency (HF), and low frequency (LF) (t=-2.055, -6.307, -7.696, -3.388, and -7.928, Z=-3.339 and -3.309, all P < 0.05), while the control group had significant reductions in HbA1c, FBG, and HOMA-IR (t=9.220, 7.214, and 3.340, all P < 0.05). Compared with the control group after treatment, the dapagliflozin group had significantly lower levels of BMI, HbA1c, TG, SUA, HOMA-IR, ALT, AST, and liver fat content (t=-4.055, -2.670, -2.056, -2.496, -3.976, -3.703, -2.123, and -5.184, all P < 0.05) and significantly higher levels of SDNN, SDANN, pNN50, LF, and HF (t=4.136, 5.433, and 5.971, Z=-2.333 and -2.010, all P < 0.05).  Conclusion  For patients with T2DM and MAFLD, dapagliflozin can reduce BMI, HbA1c, TG, SUA, and liver fat content, improve insulin resistance and liver function, reduce the activity of sympathetic nerve, and regulate autonomic nerve function.
Association between metabolic associated fatty liver disease and sleep disorders
Jiahui LYU, Xiaofei LI, Lianyi GUO
2021, 37(12): 2854-2860. DOI: 10.3969/j.issn.1001-5256.2021.12.024
Abstract(1484) HTML (319) PDF (1917KB)(100)
Abstract:
  Objective  To investigate the association between metabolic associated fatty liver disease (MAFLD) and sleep disorders.  Methods  A total of 222 patients with MALFD who were admitted to Panjin Central Hospital from February 2020 to February 2021 and 270 healthy individuals were enrolled as subjects. According to age, the patients with MALFD were divided into youth group with 93 patients, middle-aged group with 76 patients, and elderly group with 53 patients; according to controlled attenuation parameter (CAP) of liver fat, the patients were divided into non-steatosis group with 23 patients, mild steatosis group with 85 patients, moderate steatosis group with 76 patients, and severe steatosis group with 38 patients; according to liver stiffness measurement (LSM), the patients were divided into non-progressive fibrosis group with 124 patients and progressive fibrosis group with 98 patients. Related data were collected, including general information such as age and sex and laboratory markers such as routine blood test results and biochemistry, and after informed consent was obtained, three sleep scales, i.e., Pittsburgh Sleep Quality Index (PSQI) scale, Epworth Sleepiness Scale (ESS), and Morningness-Eveningness Questionnaire (MEQ), were completed independently. The MAFLD group and the healthy control group were compared in terms of general information and laboratory markers to investigate the association between MAFLD and sleep disorders under different grouping criteria. The chi-square test was used for comparison of categorical data between two groups; the t-test was used for comparison of normally distributed continuous data between two groups, and the Mann-Whitney U rank sum test was used for comparison of non-normally distributed continuous data between two groups; the Kruskal-Wallis H test was used for comparison between the groups of MAFLD patients with different ages and degrees of hepatic steatosis and pairwise comparison within each group. A logistic regression analysis was used to investigate the independent risk factors for MAFLD, and a Spearman correlation analysis was used to investigate the correlation of hepatic steatosis degree and fibrosis degree with sleep quality, somnolence, and circadian rhythm.  Results  There were significant differences in age, sex, hypertension, diabetes, and smoking between the MAFLD group and the healthy control group (all P < 0.05). Compared with the healthy control group, the MAFLD group had significantly higher hemoglobin, white blood cell count, lymphocyte percentage, alanine aminotransferase, aspartate aminotransferase, gamma-glutamyl transpeptidase, serum uric acid, low-density lipoprotein, total bilirubin, total cholesterol, triglyceride, and body mass index and significantly lower albumin and high-density lipoprotein (all P < 0.05). Compared with the healthy control group, the MAFLD group had significantly higher PSQI score (t=35.529, P < 0.001) and ESS score (t=24.647, P < 0.001) and significantly lower MEQ score (t=-22.416, P < 0.001) and sleep time (t=-8.660, P < 0.001). With the increase in age in the MAFLD group, hepatic steatosis degree, liver fibrosis degree, and PSQI score showed an increasing trend, and pairwise comparison of each scoring factor between groups showed statistical significance (all P < 0.05). Compared with the healthy control group, the MAFLD group had a significantly higher proportion of patients with definitely evening type, moderately evening type, or intermediate type and a significantly lower proportion of patients with moderately morning type or definitely morning type (all P < 0.05), and MEQ score tended to decrease with the increase in hepatic steatosis degree and liver fibrosis degree, with significant differences between two groups (all P < 0.05). The multivariate logistic regression analysis showed that overweight/obesity (odds ratio [OR]=3.166, P=0.027), diabetes (OR=6.811, P=0.045), increase in white blood cell count (OR=2.301, P < 0.001), increase in lymphocyte percentage (OR=1.316, P=0.002), poor sleep quality (OR=8.493, P < 0.001), a high degree of somnolence (OR=5.420, P < 0.001), and circadian rhythm disturbance (OR=3.805, P < 0.001) were risk factors for MAFLD. The Spearman correlation analysis showed that in the MAFLD group, hepatic steatosis degree was positively correlated with PSQI score (r=0.444, P < 0.001) and ESS score (r=0.339, P < 0.001) and was negatively correlated with MEQ score (r=-0.195, P=0.004), and liver fibrosis degree was positively correlated with PSQI score (r=0.518, P < 0.001) and ESS score (r=0.373, P < 0.001) and was negatively correlated with MEQ score (r=-0.250, P=0.004).  Conclusion  Compared with healthy individuals, the patients with MAFLD often have sleep disorders, and the severity of sleep disorders increases with age, hepatic steatosis degree, and liver fibrosis degree. Obesity, diabetes, and sleep disorders are risk factors for the onset of MAFLD.
Establishment of screening models for nonalcoholic fatty liver disease in the adult Blang population
Yebei LIANG, Chunguang YANG, Huadong ZENG, Ruwei TAO, Qiuming HU, Xiaoying TANG, Huaxiang SHI, Wei WU, Xuhong HOU, Weiping JIA
2021, 37(12): 2861-2868. DOI: 10.3969/j.issn.1001-5256.2021.12.025
Abstract(874) HTML (250) PDF (1933KB)(67)
Abstract:
  Objective  To establish simple screening models for nonalcoholic fatty liver disease (NAFLD) in the adult Blang population.  Methods  Based on the survey data of metabolic diseases in the Blang people aged 18 years or above in 2017, 2993 respondents were stratified by sex and age (at an interval of 5 years) and then randomly divided into modeling group with 1497 respondents and validation group with 1496 respondents. Related information was collected, including demographic data, smoking, drinking, family history of diseases and personal medical history, body height, body weight, waist circumference, and blood pressure, and related markers were measured, including fasting plasma glucose, 2-hour postprandial plasma glucose or blood glucose at 2 hours after glucose loading, triglyceride, total cholesterol, high-density lipoprotein cholesterol, low-density lipoprotein cholesterol, alanine aminotransferase (ALT), aspartate aminotransferase (AST), and gamma-glutamyl transpeptidase. The chi-square test was used for comparison of categorical data between two groups. Logistic regression analysis was used to establish the screening model. The area under the receiver operating characteristic curve (AUC), sensitivity, specificity, positive likelihood ratio, negative likelihood ratio, positive predictive value, and negative predictive value were used to evaluate the screening performance of established models versus existing models in the study population, and the DeLong method was used for comparison of AUC.  Results  Three screening models for NAFLD were established based on physical and biochemical measurements, i.e., simple noninvasive model 1 (age, body mass index, and waist circumference), noninvasive model 2 with the addition of blood pressure, and model 3 with the combination of hematological parameters (diabetes and ALT/AST). In the modeling group, the three models had an AUC of 0.881 (95% confidence interval [CI]: 0.864-0.897), 0.892 (95%CI: 0.875-0.907), and 0.894 (95%CI: 0.877-0.909), respectively, and there was a significant difference between model 1 and models 2/3 (P=0.004 0 and P < 0.001); in the validation group, the three models had an AUC of 0.891 (95%CI: 0.874-0.906), 0.892 (95%CI: 0.875-0.907), and 0.893 (95%CI: 0.876-0.908), respectively, and there was no significant difference between the three groups (P > 0.05). Based on the overall consideration of screening performance, invasiveness, and cost, the simple noninvasive model 1 was considered the optimal screening model for NAFLD in this population. Model 1 had the highest Youden index at the cut-off value of 5 points, and when the score of ≥5 points was selected as the criteria for NAFLD, the model had a sensitivity of 86.5%, a specificity of 79.7%, a positive predictive value of 50.3%, and a negative predictive value of 96.1% in the modeling group and a sensitivity of 85.6%, a specificity of 80.6%, a positive predictive value of 51.7%, and a negative predictive value of 95.8% in the validation group.  Conclusion  The NAFLD screening models established for the adult Blang population based on age and obesity indicators have relatively higher sensitivity, specificity, and negative predictive value, and this tool is of important practical significance for the intervention of NAFLD and its closely related metabolic diseases in this population.
Performance of controlled attenuation parameter measured by FibroScan in the diagnosis of nonalcoholic fatty liver disease and its association with traditional Chinese medicine syndrome types
Jianpeng LIU, Zhongjie YU, Hanxiao WANG, Wenxia ZHAO
2021, 37(12): 2869-2873. DOI: 10.3969/j.issn.1001-5256.2021.12.026
Abstract(1147) HTML (633) PDF (1896KB)(61)
Abstract:
  Objective  To investigate the application value of controlled attenuation parameter (CAP) of hepatocyte steatosis measured by FibroScan in the diagnosis and traditional Chinese medicine (TCM) syndrome differentiation of nonalcoholic fatty liver disease (NAFLD).  Methods  A retrospective analysis was performed for related data of 364 patients with NAFLD who attended The First Affiliated Hospital of Henan University of Traditional Chinese Medicine from January 2017 to December 2019, including basic information (age, sex, and body mass index [BMI]), CAP measured by FibroScan, ultrasound findings of the liver, gallbladder, spleen, and pancreas, liver function parameters, and blood lipid parameters. TCM syndrome differentiation was performed based on the information obtained by four diagnostic methods, and then the patients were divided into liver depression and spleen deficiency group, damp turbidity and stagnation group, damp-heat accumulation group, intermingled phlegm and blood stasis group, and spleen-kidney deficiency group. The association of CAP, color Doppler ultrasound findings, liver function parameters, blood lipid parameters, and BMI with TCM syndrome was analyzed. A one-way analysis of variance was used for comparison of normally distributed continuous data between multiple groups, and the least significant difference t-test was used for further comparison between two groups; the Kruskal-Wallis H rank sum test with multiple sets of independent samples was used for comparison of non-normally distributed continuous data between multiple groups and further comparison between two groups. The chi-square test or Kruskal-Wallis H rank sum test was used for comparison of categorical data between multiple groups and further comparison between two groups. A Spearman's rank correlation analysis was used to investigate the correlation between CAP and ultrasound grading.  Results  Among the 364 patients with NAFLD, 169 had the syndrome of liver depression and spleen deficiency, 71 had the syndrome of damp turbidity and stagnation, 60 had the syndrome of damp-heat accumulation, 41 had the syndrome of intermingled phlegm and blood stasis, and 23 had the syndrome of spleen-kidney deficiency. There was a significant difference in CAP value between the different syndrome types (F=14.839, P < 0.001), and further comparison between two groups showed that the spleen-kidney deficiency group and the intermingled phlegm and blood stasis group had a significantly higher CAP value than the liver depression and spleen deficiency group, the damp turbidity and stagnation group, and the damp-heat accumulation group (all P < 0.05). There was a significant difference in ultrasound grading between the different syndrome types (χ2=22.947, P < 0.001); the liver depression and spleen deficiency group mainly had a mild grade (40.2%), the damp turbidity and stagnation group and the damp-heat accumulation group mainly had a moderate grade (53.5% and 53.3%, respectively), and the intermingled phlegm and blood stasis group and the spleen-kidney deficiency group mainly had a severe grade (68.3% and 43.5%, respectively). CAP was positively correlated with the severity of fatty liver (r=0.431, P < 0.001). The spleen-kidney deficiency group and the intermingled phlegm and blood stasis group had significantly higher levels of alanine aminotransferase, aspartate aminotransferase, gamma-glutamyl transpeptidase, and BMI than the other three groups (all P < 0.001).  Conclusion  Association is observed between CAP and the TCM syndrome types of NAFLD, and patients with the syndrome of spleen-kidney deficiency and the syndrome of intermingled phlegm and blood stasis have a higher CAP value than those with the other syndrome types. CAP has similar efficiency to color Doppler ultrasound in the diagnosis of NAFLD.
Application of transjugular liver biopsy in the diagnosis and treatment of complicated and severe liver diseases
Hua TIAN, Qiang YU, Shaoli YOU, Sa LYU, Shuhong LIU, Bing ZHU
2021, 37(12): 2874-2877. DOI: 10.3969/j.issn.1001-5256.2021.12.027
Abstract(1229) HTML (245) PDF (2586KB)(88)
Abstract:
  Objective  To investigate the application value of transjugular liver biopsy (TJLB) in the diagnosis and treatment of complicated and severe liver diseases.  Methods  A retrospective analysis was performed for the clinical data of 31 patients who underwent TJLB in The Fifth Medical Center of Chinese PLA General Hospital, including indication for puncture, success rate, and final diagnosis.  Results  Among the 31 patients, there were 15 male patients and 16 female patients. Percutaneous liver biopsy was unsuitable for 8 patients with liver failure and disturbances of blood coagulation, 13 with liver cirrhosis and ascites, and 10 with liver cirrhosis and thrombocytopenia (< 50×109/L), which were the indications for TJLB. The success rate of TJLB puncture was 100%, with 2-4 passes for puncture. No serious adverse event was observed. Of all 31 patients, 26 (83.87%) had a definite diagnosis at discharge, among whom there were 5 patients with idiopathic portal hypertension, 9 patients with drug-induced liver failure or liver cirrhosis, 5 patients with autoimmune liver disease, and 7 patients with liver cirrhosis or liver failure due to other causes, and 5 patients had unknown etiology. In addition, 3 patients underwent biopsy to confirm the diagnosis and decision of whether liver transplantation should be performed.  Conclusion  TJLB plays an important role in the diagnosis and treatment of complicated and severe liver diseases and still has certain limitations, and therefore, suitable patients should be selected in clinical practice.
Original articles_Biliary diseases
Association of primary intrahepatic lithiasis with the polymorphisms of the cystic fibrosis transmembrane conductance regulator gene
Xuan MEI, Haicong WU, Jing LIN, Jiaolong ZHENG, Bang LIU, Dongliang LI
2021, 37(12): 2878-2882. DOI: 10.3969/j.issn.1001-5256.2021.12.028
Abstract(805) HTML (453) PDF (1896KB)(59)
Abstract:
  Objective  To investigate the association of common polymorphism loci of the cystic fibrosis transmembrane conductance regulator (CFTR) gene with the onset of primary intrahepatic lithiasis (PIL) in the Chinese Han population.  Methods  A total of 104 patients with PIL who attended The 900th Hospital of PLA Joint Logistics Support Force from June to November 2018 were enrolled as PIL group, and 120 healthy controls who underwent physical examination during the same period of time were enrolled as control group. Sanger sequencing was used to detect the alleles and genotypes at the M470V, TG-repeats, and Poly-T loci of the CFTR gene. The two groups were compared in terms of age, sex ratio, age of onset, and allele and genotype frequencies, and the association of the above three polymorphism loci of the CFTR gene with the risk of PIL was analyzed. The K-S test was used to determine the normality of continuous variables. The independent samples t-test was used for comparison of normally distributed continuous data between two groups, and the chi-square test was used to compare categorical data and allele/genotype frequencies and analyze Hardy-Weinberg equilibrium. A binary logistic regression analysis was used to investigate the association of genotypes and alleles with the risk of the disease. The association of the loci deviating from Hardy-Weinberg equilibrium with the risk of PIL was expressed as adjusted odds ratio (OR).  Results  There were significant differences between the PIL group and the control group in the distribution of alleles (χ2=15.139, P < 0.01) and genotypes (χ2=22.889, P < 0.01) at the M470V locus, while there were no significant differences between the two groups in the distribution of alleles and genotypes at the TG-repeats and Poly-T loci (all P > 0.05). The PIL group had a significantly higher frequency of G allele at the M470V locus than the control group (60.1% vs 41.67%, P < 0.01). Compared with the individuals with AA genotype, the individuals with GG and AG genotypes had a significant increase in the risk of PIL (OR=4.680 and 2.500, both P < 0.01). As for the TG-repeats locus, the individuals with 12TG/13TG genotype had a significantly higher risk of PIL than those with 11TG/12TG genotype (OR=11.002, P=0.042), and as for the Poly-T locus, the individuals with 7T/5T genotype had a significantly lower risk of PIL than those with 7T/7T genotype (OR=0.079, P=0.047).  Conclusion  The M470V polymorphism of the CFTR gene is independently associated with the risk of PIL in the Chinese Han population, and G allele is a high-risk mutation for the onset of PIL.
Changes in intestinal flora in patients with extrahepatic cholangiocarcinoma
Tao LI, Panliang WANG, Zibo YUAN, Quankai FENG, Jie LI
2021, 37(12): 2883-2889. DOI: 10.3969/j.issn.1001-5256.2021.12.029
Abstract(1232) HTML (367) PDF (5925KB)(64)
Abstract:
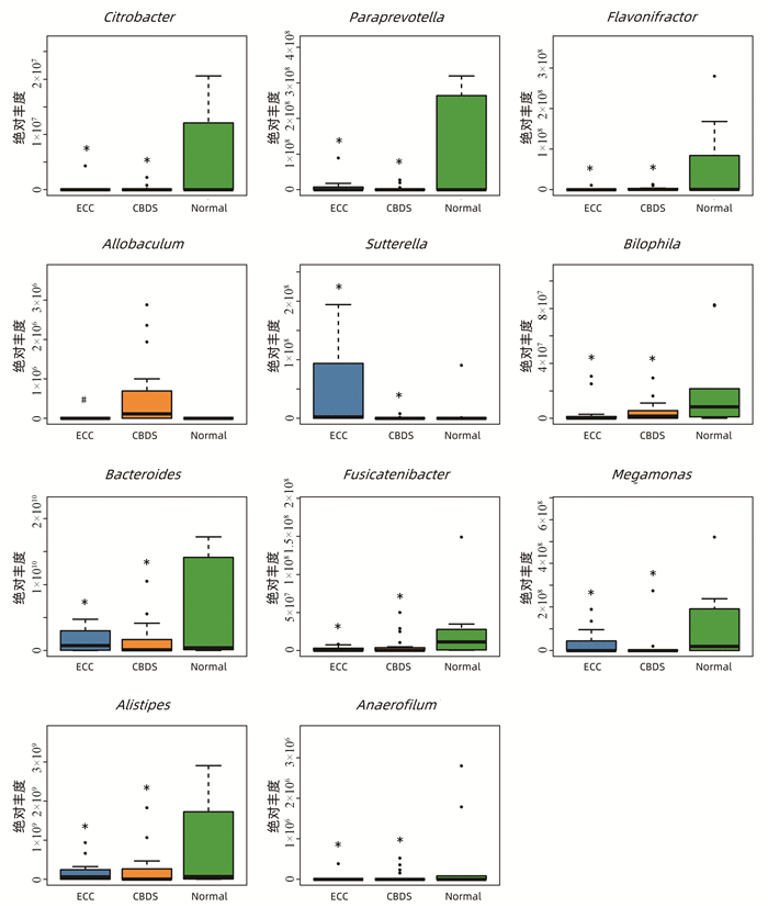
  Objective  To investigate the changes in intestinal flora in patients with extrahepatic cholangiocarcinoma (ECC) and related influencing factors.  Methods  Fecal samples were collected from 16 patients with ECC who were hospitalized and treated in Department of Hepatobiliary and Pancreatic Surgery, The First Affiliated Hospital of Zhengzhou University, from January to December 2020, and absolute quantitative bacterial 16S rRNA was used for sequencing. A comparison was made with 20 patients with common bile duct stones (CBDS group) and 10 healthy controls (normal group), and the three groups were compared in terms of the differences in intestinal flora and the association with clinical indices. A one-way analysis of variance was used for comparison of normally distributed data with homogeneity of variance between the three groups, the t-test was used for comparison between two groups; the Kruskal-Wallis H test was used for comparison of non-normally distributed data between the three groups, and the Nemenyi test was used for comparison between groups. The chi-square test or the Fisher's exact test were used for comparison of categorical data between the three groups, and a Spearman correlation analysis was used to investigate correlation.  Results  The ECC group had significantly higher levels of total bilirubin (TBil) and direct bilirubin (DBil) than the CBDS group and the normal group. The α diversity analysis showed that there were no significant differences in observed species, Chao1 Index, and Shannon Index between the three groups (all P > 0.05), while there were significant differences in Shannon Index and Simpson Index between the three groups. The ECC group had a similar species diversity to the normal group and a significantly greater species diversity than the CBDS group (P < 0.05), and the CBDS group had a significantly greater species diversity than the normal group (P < 0.05). The β diversity analysis showed that the structure of intestinal flora in the ECC group was significantly different from that in the normal group and the CBDS group (P < 0.05). The analysis of the difference in bacterial composition showed that Prevotella, Lactobacillus, Megasphaera, and Sutterella were significantly enriched in the ECC group. The correlation analysis showed that Prevotella was negatively correlated with the use of antibiotics, acid inhibitors, and liver-protecting drugs, and Lactobacillus, Megasphaera, and Sutterella were positively correlated with TBil and DBil.  Conclusion  There is a significant change in intestinal flora in patients with ECC, which is closely associated with liver function and the use of drugs.
Case reports
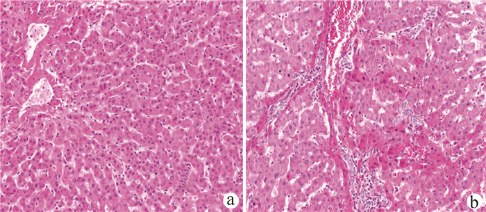
A case of primary carcinosarcoma of the liver
Wei YU, Chengbin ZHANG, Yan MA
2021, 37(12): 2890-2890. DOI: 10.3969/j.issn.1001-5256.2021.12.030
Abstract(760) HTML (212) PDF (3011KB)(72)
Abstract:
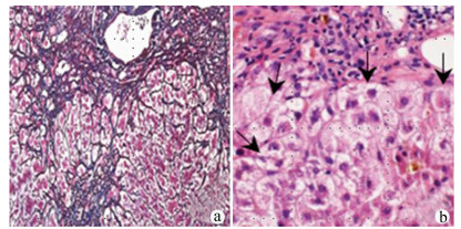
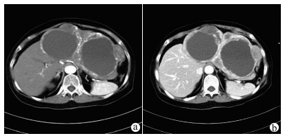
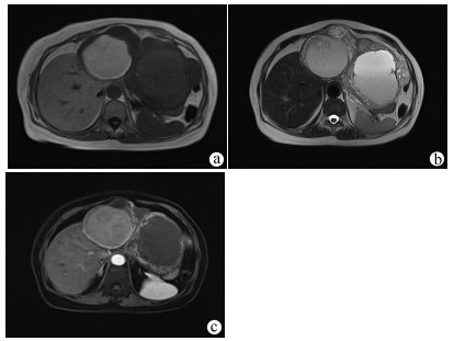
Recurrence after hepatectomy for primary gastrointestinal stromal tumor of the liver: A case report
Kangwei LIU, Xin GENG, Lei WANG, Cijun PENG
2021, 37(12): 2893-2895. DOI: 10.3969/j.issn.1001-5256.2021.12.031
Abstract(971) HTML (239) PDF (2357KB)(56)
Abstract:
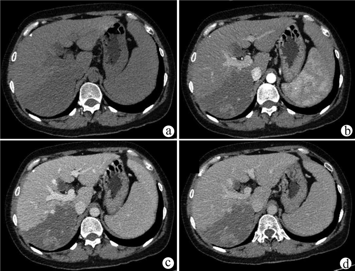
A case of autoimmune-like methimazole-induced liver injury
Shiyuan CUI, Meifang ZHENG, Wei ZHANG, Shanshan WANG, Runping GAO
2021, 37(12): 2896-2898. DOI: 10.3969/j.issn.1001-5256.2021.12.032
Abstract(1091) HTML (566) PDF (2414KB)(117)
Abstract:
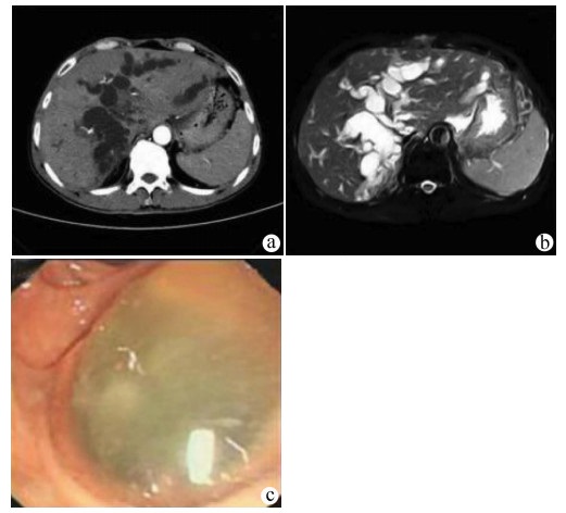
Successful liver transplantation in the treatment of acute liver failure caused by hemophagocytic syndrome: A case report
Jingsheng MA, Yajun WU, Wentao YANG, Jiake HE, Hongfei ZHU, Yanfei RAO, Lin ZHONG, Qigen. LI
2021, 37(12): 2899-2901. DOI: 10.3969/j.issn.1001-5256.2021.12.033
Abstract(1171) HTML (366) PDF (2171KB)(66)
Abstract:
Endoscopic retrograde cholangiopancreatography combined with Spyglass in diagnosis of common bile duct papillary myxoma: A case report
Xuan DING, Linheng WANG, Gui JIANG, Yifei YUN, Xinyu LU, Yupu YAO
2021, 37(12): 2902-2904. DOI: 10.3969/j.issn.1001-5256.2021.12.034
Abstract(1379) HTML (223) PDF (2331KB)(56)
Abstract:
Reviews
Advances in chronic hepatitis B with nonalcoholic fatty liver disease
Weihong LIU, Lei LI
2021, 37(12): 2905-2908. DOI: 10.3969/j.issn.1001-5256.2021.12.035
Abstract(1012) HTML (235) PDF (1891KB)(121)
Abstract:
With the change in lifestyle in recent years, the incidence rate of nonalcoholic fatty liver disease (NAFLD) keeps increasing, and there is also a gradual increase in the number of patients with both chronic hepatitis B (CHB) and NAFLD, which has been taken seriously by clinicians. However, the interaction between the two diseases and their clinical prognosis remain unclear. This article reviews the interaction, diagnosis, treatment, and prognosis of CHB with NAFLD by summarizing related articles on CHB with NAFLD, in order to provide help for the comprehensive understanding and active diagnosis and treatment of such diseases.
Current status of the treatment of chronic hepatitis B-related liver fibrosis/cirrhosis
Jiandan QIAN, Hong ZHAO, Guiqiang WANG
2021, 37(12): 2909-2913. DOI: 10.3969/j.issn.1001-5256.2021.12.036
Abstract(1845) HTML (1253) PDF (1901KB)(237)
Abstract:
Chronic hepatitis B (CHB) liver fibrosis is the process of liver tissue damage and repair caused by hepatitis B virus (HBV) infection and may develop into liver cirrhosis in severe cases, and there are still no specific drugs for the treatment of this disease. This article summarizes the main targets involved in the development and progression of CHB liver fibrosis, such as hepatic stellate cell activation, inflammation, and gut-liver axis, as well as the signal transduction pathways associated with fibrosis, and targeting these targets may have a certain anti-fibrogenic effect. At present, anti-HBV therapy combined with or followed by anti-fibrotic therapy can delay or even reverse liver fibrosis/cirrhosis in some patients; however, the reversal of advanced liver fibrosis/cirrhosis still faces great challenges, and there is still no consensus on the timing of combined or sequential therapy. It is believed that identification of therapeutic targets highly associated with CHB liver fibrosis/cirrhosis and combination therapy with compounds targeting multiple pathways associated with liver fibrosis will become the focus of future research.
Current status of research on elastography combined with serology in the diagnosis of chronic hepatitis B liver fibrosis
Qiao HE, Wencong YUAN, Haining FAN, He XU, Bin REN
2021, 37(12): 2914-2918. DOI: 10.3969/j.issn.1001-5256.2021.12.037
Abstract(1380) HTML (338) PDF (1905KB)(94)
Abstract:
Liver biopsy is the gold standard for the diagnosis of liver fibrosis stage in patients with chronic hepatitis B, but it has certain limitations due to its invasiveness. At present, elastography and serological examination have the advantages of convenience, good repeatability, and dynamic testing and are thus widely used in clinical practice. The accuracy of testing has been supported by a large number of studies, and they have been gradually recommended by various guidelines and expert consensus. However, the diagnostic accuracy of the two methods is affected by factors such as inflammation, obesity, ascites, eating, and intercostal space stenosis, and elastography combined with serological examination can greatly improve the accuracy, sensitivity, and specificity of liver fibrosis staging. With reference to related articles in China and globally, this article reviews the problems of the two methods in the staging of chronic hepatitis B liver fibrosis.
Role of exosomes in the development, progression, diagnosis, and treatment of liver fibrosis
Yehao LUO, Qiuxia CHEN, Ting LYU, Peiqi OU, Zhiyong CAO, Xuelin DUAN
2021, 37(12): 2919-2923. DOI: 10.3969/j.issn.1001-5256.2021.12.038
Abstract(1824) HTML (542) PDF (2707KB)(102)
Abstract:
An increasing number of studies have demonstrated that exosomes are closely associated with liver fibrosis and mediate the process of liver fibrosis by participating in cytokine secretion, macrophage activation, extracellular matrix remodeling, and hepatic stellate cell activation. This article summarizes that the resolution of liver fibrosis requires the reduction of pro-inflammatory and fibrotic cytokines, the reduction of extracellular matrix protein production, the increase of collagenase activity, and finally the loss of activated myofibroblasts. It is believed that exosomes play an important role in the treatment of liver fibrosis and are potential markers for diagnosis and treatment, and in future studies, it is necessary to improve exosome extraction techniques and standardization of treatment quantification.
Role of interleukin-22 in the development and progression of liver fibrosis
Yuxi MENG, Lijuan HUO
2021, 37(12): 2924-2927. DOI: 10.3969/j.issn.1001-5256.2021.12.039
Abstract(1346) HTML (227) PDF (1878KB)(84)
Abstract:
Liver fibrosis is the result of persistent inflammatory response and chronic scar healing response during chronic liver injury and may progress to liver cirrhosis, portal hypertension, and liver failure, which finally requires liver transplantation. Interleukin-22 (IL-22) belongs to the IL-10 family and is the only cytokine that is produced by immune cells but does not act on immune cells. IL-22 plays a role by binding to its receptors IL-22R1 and IL-10R2, which has attracted much attention in the field of liver disease research in recent years. IL-22 not only plays the role of anti-inflammation and promotion of liver regeneration and tissue repair, but also has a pro-inflammatory effect in liver diseases, and it exerts a protective effect on the liver by reducing fibrosis in some pathological conditions, but there are still controversies over its association with liver fibrosis. IL-22 has different effects and mechanisms in liver fibrosis caused by different etiologies. This article reviews the role and possible mechanisms of IL-22 in liver fibrosis caused by viral infection (HBV and HCV), alcohol, high-fat diet, and autoimmunity.
Changes in hemostasis and clinical significance of coagulation function test in patients with liver cirrhosis
Shiqi CHAI, Jinjun CHEN, Tingting QI
2021, 37(12): 2928-2931. DOI: 10.3969/j.issn.1001-5256.2021.12.040
Abstract(1857) HTML (253) PDF (1884KB)(148)
Abstract:
The liver plays an important role in procoagulant and anticoagulant mechanisms in human body. There are complex changes in hemostasis in patients with liver cirrhosis, with the presence of interaction between the portal venous system and the peripheral system and differences in etiology, and such patients have a dual trend of hemorrhage and thrombosis. At present, there are certain limitations in coagulation function tests commonly used in clinical practice. The primary etiology and results of various coagulation tests should be considered before initiation of anticoagulant therapy for patients with liver cirrhosis, so as to make the best clinical decisions for patients.
Association of sarcopenia with prognosis after transjugular intrahepatic portosystemic shunt in patients with liver cirrhosis
Bangting ZHANG, Ying XU, Xuefang YANG, Xue Zhang
2021, 37(12): 2932-2934. DOI: 10.3969/j.issn.1001-5256.2021.12.041
Abstract(1036) HTML (369) PDF (1867KB)(74)
Abstract:
Sarcopenia is a common and insidious complication in patients with liver cirrhosis and is closely associated with the prognosis of patients with liver cirrhosis. Transjugular intrahepatic portosystemic shunt (TIPS) is an important method for the treatment of portal hypertension-related complications. More and more studies have shown that sarcopenia is associated with the prognosis of cirrhotic portal hypertension after TIPS. This article reviews the research on sarcopenia and its association with TIPS in China and globally, in order to explore the association between them and guide clinical treatment.
Application of pathological indicators based on liver biopsy in the diagnosis of cirrhotic portal hypertension
Yajie XU, Wenzheng YOU, Wanlei REN, Quanhe LONG, Xiangjun JIANG, Doudou HU
2021, 37(12): 2935-2938. DOI: 10.3969/j.issn.1001-5256.2021.12.042
Abstract(996) HTML (539) PDF (1884KB)(67)
Abstract:
Hepatic venous pressure gradient (HVPG) is the "gold standard" for diagnosing portal hypertension and determining its severity, but its wide clinical application is limited due to its invasiveness and difficulties in operation. The replacement of HVPG by noninvasive methods has become a research hotspot in recent years; however, the accuracy of the existing serological and imaging methods remains to be discussed, and such methods cannot completely replace HVPG in clinical practice. Liver biopsy has been widely used in clinical practice for many years and is still an indispensable method for the diagnosis of some liver diseases. Recent studies have found that several pathological indicators after liver biopsy, such as collagen area, fibrous septal thickness, nodule size, microvascular density, and density and area of bile ducts and lymphatic vessels, can not only judge the severity of liver fibrosis, but also have a good correlation with portal venous pressure, which provides new ideas for diagnosing cirrhotic portal hypertension and evaluating the severity of portal hypertension.
Research advances in diaphragmatic hernia after thermal ablation for primary liver cancer
Yurong ZHANG, Xiaodong WANG, Xiaoning ZHU, Jing WANG
2021, 37(12): 2939-2942. DOI: 10.3969/j.issn.1001-5256.2021.12.043
Abstract(948) HTML (473) PDF (1883KB)(57)
Abstract:
Thermal ablation, including radiofrequency ablation and microwave ablation, is a frequently used method for local treatment of primary liver cancer with a marked clinical effect, and it has been widely used in clinical practice in recent years. Diaphragmatic hernia is a rare complication of thermal ablation, but its incidence rate tends to gradually increase in recent years. This article reviews the cases of diaphragmatic hernia after thermal ablation for primary liver cancer in China and globally and elaborates on possible risk factors, diagnosis and treatment, and prevention strategies, so as to improve the understanding of diaphragmatic hernia after thermal ablation for primary liver cancer among clinicians and achieve the goal of preoperative prevention, rapid diagnosis and intervention, and reduced mortality rate.
Research advances in systemic therapy for advanced hepatocellular carcinoma
Shisi LI, Zhitang GUO, Zhangbin CHEN, Yishan TENG
2021, 37(12): 2943-2946. DOI: 10.3969/j.issn.1001-5256.2021.12.044
Abstract(1275) HTML (505) PDF (1946KB)(98)
Abstract:
Hepatocellular carcinoma (HCC) is a common malignant tumor with poor prognosis, and surgical resection is the preferred method for the treatment of HCC, but it has a limited therapeutic effect on advanced HCC, while systemic treatment plays an important role in the treatment of advanced unresectable HCC. This article summarizes the advances in systemic therapy for unresectable liver cancer in China and globally in recent years, including a variety of tyrosine kinase inhibitors (sorafenib, lenvatinib, regorafenib, and cabozantinib) and immune checkpoint inhibitors (atezolizumab, pembrolizumab, and nivolumab). The analysis shows that for patients with unresectable HCC, systemic therapy can prolong the survival time of patients to a certain extent, and combined treatment regimen has become a new research hotspot. Individualized systemic treatment strategies will be further explored in the future.
Association between nonalcoholic fatty liver disease and colorectal neoplasms
Xiangqian HUANG, Xiaomeng YAN, Mingda ZHANG, Jing WU, Jianhong CHEN
2021, 37(12): 2947-2950. DOI: 10.3969/j.issn.1001-5256.2021.12.045
Abstract(1058) HTML (245) PDF (1896KB)(86)
Abstract:
Nonalcoholic fatty liver disease (NAFLD) is considered the liver manifestation of metabolic syndrome and is closely associated with the development and progression of colorectal neoplasms. This article reviews the association of NAFLD with colorectal adenoma (CRA) and colorectal cancer (CRC) and possible mechanism, and it is believed that NAFLD promotes the development of CRA and CRC and affects their prognosis, and various factors, such as insulin resistance, adipocytokine, inflammatory response, intestinal flora, and immunity, may be involved in this process.
Research advances in active components of traditional Chinese medicine in prevention and treatment of nonalcoholic fatty liver disease based on oxidative stress
Jing ZHOU, Dexin ZHANG
2021, 37(12): 2951-2956. DOI: 10.3969/j.issn.1001-5256.2021.12.046
Abstract(1334) HTML (533) PDF (1915KB)(62)
Abstract:
Nonalcoholic fatty liver disease (NAFLD) is a multifactorial pathological disease. Although the molecular mechanism of the onset of NAFLD has not been fully elucidated, oxidative stress is believed to play a key role in this process and can affect a variety of physiological functions. In recent years, the use of active components of traditional Chinese medicine in the prevention and treatment of NAFLD has become a research hotspot. This article summarizes the role of active components of traditional Chinese medicine in the treatment of NAFLD from the perspective of anti-oxidative stress effect, so as to provide a scientific basis for the prevention and treatment of NAFLD.
Research advances in traditional Chinese medicine in improving nonalcoholic steatohepatitis by regulating the Toll-like receptor 4/nuclear factor-kappa B signaling pathway
Gege TIAN, Enrui XIA, Suyan ZHANG, Shunzhen ZHAGN, Furong XU
2021, 37(12): 2957-2962. DOI: 10.3969/j.issn.1001-5256.2021.12.047
Abstract(2150) HTML (511) PDF (1998KB)(96)
Abstract:
Nonalcoholic steatohepatitis (NASH) is a serious type of nonalcoholic fatty liver disease (NAFLD) and can develop into life-threatening liver cirrhosis and liver cancer. Toll-like receptor 4 (TLR4) is a type of pattern recognition receptor in innate immunity, and after being activated, it can trigger a cascade reaction and activate nuclear factor-κB (NF-κB) which mediates inflammatory response. The TLR4/NF-κB signaling pathway is a classic inflammatory pathway. In clinical practice, traditional Chinese medicine has achieved a good effect in the treatment of NASH, and the TLR4/NF-κB signaling pathway is one of the approaches for traditional Chinese medicine to treat NASH. By searching the relevant literature, this article summarizes the active components and compounds of traditional Chinese medicine that can regulate the TLR4/NF-κB signaling pathway to alleviate NASH, so as to provide ideas for future research and medication.
Role of microRNAs in the development and progression of nonalcoholic steatohepatitis
Xinyu AN, Lingxi HU, Jie QIAO, Rongqi WANG, Yuemin NAN
2021, 37(12): 2963-2966. DOI: 10.3969/j.issn.1001-5256.2021.12.048
Abstract(1176) HTML (305) PDF (2298KB)(75)
Abstract:
Nonalcoholic steatohepatitis (NASH) has become the second leading cause of hepatitis and can further progress to liver fibrosis, liver cirrhosis, and even liver cancer; however, the detailed pathogenesis of NASH remains unclear, and there is still a lack of effective therapeutic drugs. MicroRNAs (miRNAs) are a class of non-coding, post-transcriptionally regulated, and highly conserved small RNAs in the body and play an important role in a variety of liver diseases. This article mainly reviews the role of miRNAs in the development and progression of NASH.
Research advances in improving the prognosis of recipients of fatty liver transplantation
Xing DAI, Ben GAO, Jiang LI
2021, 37(12): 2967-2971. DOI: 10.3969/j.issn.1001-5256.2021.12.049
Abstract(1285) HTML (379) PDF (1885KB)(80)
Abstract:
With the increasing demand for liver donors, more and more marginal donors have been used. How to use fatty liver grafts has become a new issue that physicians in the department of liver transplantation must face. Compared with the normal donor liver, fatty liver grafts have high incidence of postoperative complications and increase the difficulty of clinical cure. This review describes the measures to improve the prognosis of recipients of fatty liver transplantation, and points out that these measures can reduce the risk of fatty liver transplantation and thus increase the utilization of fatty liver grafts.
Association between immunoglobulin G4-related diseases and autoimmune hepatitis
Lili ZHANG, Aiwen GENG, Chuanwang QI, Jianchun XIAN
2021, 37(12): 2972-2975. DOI: 10.3969/j.issn.1001-5256.2021.12.050
Abstract(1414) HTML (887) PDF (1883KB)(107)
Abstract:
With the improvement in people's awareness of diseases and the level of diagnosis and treatment, the incidence rates of immunoglobulin G4-related disease (IgG4-RD) and autoimmune liver disease (AILD) are constantly increasing, and IgG4-related sclerosing cholangitis is the overlapping part of the disease spectrum of IgG4-RD and AILD, while the association between IgG4-related autoimmune hepatitis (IgG4-AIH) and these two diseases remains unclear. This article reviews the hepatic manifestation of IgG4-RD, summarizes the clinical features of IgG4-AIH, and analyzes whether IgG4-AIH is a subtype of AIH or a hepatic involvement of IgG4-RD. It is believed that IgG4-AIH has similar but different clinical manifestations and histopathological features from classical AIH, and IgG4-AIH may be classified as two types, i.e., a subtype of AIH and the liver manifestation of IgG4-RD. The research on the pathogenesis, clinical features, and clinical diagnosis and treatment of IgG4-AIH should be taken seriously in future.
Mechanism of pyroptosis and its role in the development and progression of liver diseases
Xinyue WANG, Deguan LI
2021, 37(12): 2976-2980. DOI: 10.3969/j.issn.1001-5256.2021.12.051
Abstract(1533) HTML (595) PDF (2837KB)(113)
Abstract:
Pyroptosis is a pattern of cell death to eliminate endogenous and exogenous harmful stimuli. GSDMD and GSDME, members of the Gasdermin protein family, are the main executors of pyroptosis, and after being cut by activated caspases, they can induce pyroptosis by perforating the cell membrane, and causing the release of intracellular inflammatory factors such as IL-18 and IL-1β. Recent studies have found that pyroptosis is involved and plays a "double-edged sword" role in the development and progression of liver diseases. This article elaborates on the molecular mechanism of pyroptosis and the research advances in the role of pyroptosis in the development and progression of liver diseases, so as to provide new targets and ideas for the prevention and treatment of liver diseases.
Research advances in intraductal papillary mucinous neoplasm of the bile tract
Ying XU, Jia TANG, Qingyun HE, Huichao WU
2021, 37(12): 2981-2985. DOI: 10.3969/j.issn.1001-5256.2021.12.052
Abstract(2678) HTML (838) PDF (2212KB)(168)
Abstract:
Intraductal papillary mucinous neoplasm of the bile duct (IPMN-B) is a special type of tumor occurring in the biliary system, with no specific clinical manifestations and imaging findings, and thus it is difficult to diagnose before surgery. It is often considered when a large amount of mucus is found in the bile duct during surgery and then it is forced to change the surgical plan. Clinicians lack an understanding of this disease due to its low incidence rate. This article reviews the recent research advances in the etiology and classification, clinical features, differential diagnosis, treatment, and prognosis of IPMN-B, so as to improve the clinical diagnosis and treatment of IPMN-B among clinicians.
Role of leukemia inhibitory factor in pancreatic ductal adenocarcinoma
Yaxing XIE, Chenguang SHI, Xiaohuan LIU, Yanbo MA
2021, 37(12): 2986-2989. DOI: 10.3969/j.issn.1001-5256.2021.12.053
Abstract(1321) HTML (159) PDF (2301KB)(68)
Abstract:
Pancreatic ductal adenocarcinoma is a highly invasive malignant tumor of the digestive system with an extremely poor prognosis. Leukemia inhibitory factor is an important member of the interleukin-6 family and can regulate multiple physiological processes such as cell differentiation, growth, and renewing. This article reviews the mechanism of action of leukemia inhibitory factor in pancreatic ductal adenocarcinoma and the research advances in leukocyte inhibitory factor-targeted therapy based on literature evidence, and the analysis shows that leukemia inhibitory factor plays an important role in the progression, immune escape, and chemotherapy resistance of pancreatic ductal adenocarcinoma and may gradually become a potential biomarker and therapeutic target for pancreatic ductal adenocarcinoma.
Conference overviews
Minutes of The Fifth (2021) Annual Meeting of APALD Tianjin Alliance and Digestion Forum (Continuing education class on the whole course management of portal hypertension in cirrhosis)
Qing ZHANG, Hai LI
2021, 37(12): 2990-2992. DOI: 10.3969/j.issn.1001-5256.2021.12.054
Abstract(955) HTML (486) PDF (2327KB)(50)
Abstract: