中文English
ISSN 1001-5256 (Print)
ISSN 2097-3497 (Online)
CN 22-1108/R

Vol.40 No.11 (289 in total) Nov. 2024
Theme Issue: Eliminating Mother-to-Child Transmission of HBV
Executive Chief Editor: HOU Jinlin  
Nanfang Hospital, Southern Medical University

Display Method:
Editorial
Toward zero mother-to-child transmission of hepatitis B virus: From controversy to consensus
Zhihua LIU, Jinlin. HOU
2024, 40(11): 2137-2140. DOI: 10.12449/JCH241101
Abstract(1011) HTML (2470) PDF (582KB)(226)
Abstract:
Mother-to-child transmission is the major route of transmission for hepatitis B virus (HBV), and prevention of the mother-to-child transmission of HBV is the key link in the prevention and control of hepatitis B and one of the five essential core strategies for achieving the global elimination of hepatitis B by 2030. Combined immunization for neonates born to HBV-infected mothers and maternal antiviral intervention during pregnancy are important measures for blocking mother-to-child transmission, and thereby, the implementation of the comprehensive strategy of combined immunization and maternal antiviral intervention will help to accelerate the process of eliminating mother-to-child transmission. Chinese scholars have put forward the concept of “zero mother-to-child transmission of hepatitis B” and launched “Shield Program” in China, aiming to promote the implementation of the preventive strategy for mother-to-child transmission and lay a solid foundation for eliminating viral hepatitis in China. The Shield Program has provided detailed implementation strategies, successful practice experience, and reliable data for blocking the mother-to-child transmission of hepatitis B, fostering the consensus on the zero mother-to-child transmission of HBV in the academic community, and it also has an important reference value for eliminating the mother-to-child transmission of HBV in China and globally.
Expert Forum
Hotspots and challenges in blocking the mother-to-child transmission of hepatitis B virus
Xueru YIN, Ruixuan HONG, Zhihua LIU, Jinlin HOU
2024, 40(11): 2141-2144. DOI: 10.12449/JCH241102
Abstract(1149) HTML (1254) PDF (564KB)(187)
Abstract:
Chronic hepatitis B virus (HBV) infection remains a major public health challenge in China, affecting over 70 million people and posing great challenges to the prevention and control of the disease. At present, both the government and sectors of the society are making efforts to achieve the goal of eliminating viral hepatitis as a public health threat by 2030. Mother-to-child transmission is the main route of transmission of HBV, and therefore, blocking the mother-to-child transmission of HBV is the key link in eliminating viral hepatitis. At present, several critical issues still remain unresolved, including the long-term safety of tenofovir alafenamide fumarate during pregnancy, the safety of antiviral therapy in early pregnancy, the effectiveness of immunoglobulin-free strategy, and the risk of HBV transmission through germ cells. Addressing these challenges is important for promoting the blocking of the mother-to-child transmission of HBV and accelerating the progress toward the 2030 goals.
Experience in eliminating the mother-to-child transmission of hepatitis B virus in China
Yali LUO, Wei WANG, Yuchen PAN, Jing JIANG, Hanlong ZHENG, Xueli WU, Hui CHEN, Shiben ZHU, Jinlin HOU
2024, 40(11): 2145-2151. DOI: 10.12449/JCH241103
Abstract(1648) HTML (1749) PDF (713KB)(155)
Abstract:
Reducing the mother-to-child transmission of hepatitis B virus (HBV) is crucial for achieving HBV elimination. Launched in July 2015 at the Great Hall of the People in Beijing, China, the “Zero Hepatitis B Mother-to-Child Transmission Project” (Shield Project) is a public welfare initiative integrating scientific prevention and applied research and aims to perform standardized management of pregnant women with hepatitis B using the mobile application of “Shield Project”, in order to further reduce or eliminate the mother-to-child transmission of HBV. At present, the Shield Project has expanded nationwide, offering detailed implementation strategies, successful practices, and reliable data to support the global effort to eliminate the mother-to-child transmission of HBV. This article introduces the implementation strategies and outcomes of the Shield Project in four representative cases, in order to provide strong evidence for further understanding and preventing the mother-to-child transmission of HBV.
Advances and challenges in eliminating mother-to-child transmission of hepatitis B virus worldwide
Hongqiao ZHENG, Ailing WANG
2024, 40(11): 2152-2157. DOI: 10.12449/JCH241104
Abstract(1423) HTML (1669) PDF (672KB)(163)
Abstract:
At present, there are policies for hepatitis B testing in 89.8% of countries and regions around the world. In 2022, the global hepatitis B vaccine birth dose coverage reached 45%, while the third-dose coverage reached 85%. Approximately 3% of pregnant women with high viral loads have received antiviral therapy, and the prevalence rate of HBsAg is about 0.7% among children aged≤5 years. While significant progress has been made in various countries towards eliminating mother-to-child transmission of hepatitis B virus (HBV), there are still large gaps across countries and numerous challenges. There are differences in the prevalence of hepatitis B, vaccination, and access to antiviral drugs across the globe, and in addition, the factors such as insufficient laboratory testing capacity and difficulties in ensuring sustained access to treatment among pregnant and parturient women with HBV infection pose obstacles to eliminating the mother-to-child transmission of HBV.
New advances in antiviral therapy during pregnancy to block mother-to-child transmission of hepatitis B virus
Guorong HAN, Hongxiu JIANG
2024, 40(11): 2158-2163. DOI: 10.12449/JCH241105
Abstract(1615) HTML (1983) PDF (663KB)(160)
Abstract:
Mother-to-child transmission of hepatitis B virus (HBV) is one of the primary causes of the high disease burden of chronic hepatitis B in China, and blocking this route of transmission has an important strategic significance for eliminating hepatitis B. While immediate combined immunoprophylaxis for neonates upon birth is the fundamental strategy to block the mother-to-child transmission of HBV, there is still a mother-to-child transmission rate of 9% in mothers with high viral loads. In recent years, breakthroughs have been made in the research on antiviral therapy during pregnancy for blocking mother-to-child transmission, which marks a pivotal milestone in eliminating the mother-to-child transmission of hepatitis B. Comprehensive prophylaxis of antiviral therapy during pregnancy and immunoprophylaxis for infants after birth has become the key strategy for eliminating the mother-to-child transmission of hepatitis B. This article summarizes the development and latest advances in antiviral therapy during pregnancy for blocking mother-to-child transmission, as well as related intervention strategies and indications, in order to provide a reference for clinicians and public health physicians.
Hepatitis flare and treatment in postpartum women with chronic hepatitis B virus infection
Jing CHEN, Yang DING
2024, 40(11): 2164-2167. DOI: 10.12449/JCH241106
Abstract(925) HTML (1283) PDF (548KB)(149)
Abstract:
Hepatitis flare can happen in postpartum women with chronic hepatitis B virus (HBV) infection due to the changes in immune function and hormone levels. In order to delay disease progression in parturients and ensure the safety of mothers and infants, it is crucial to strengthen the monitoring of liver function, serum HBV markers, and HBV DNA in postpartum women with chronic HBV infection and optimize the strategies for antiviral therapy. This article elaborates on the clinical features, pathogenesis, predictive factors, and treatment strategies for hepatitis flare in postpartum women with chronic HBV infection, in order to help clinicians with the monitoring and treatment of hepatitis flare in postpartum women with chronic HBV infection.
Molecular virological mechanism of the mother-to-child transmission of hepatitis B virus
Yarong SONG, Jie WANG, Jie LI
2024, 40(11): 2168-2172. DOI: 10.12449/JCH241107
Abstract(1006) HTML (2071) PDF (593KB)(132)
Abstract:
Chronic hepatitis B virus (HBV) infection is a major global public health threat. In areas with moderate to high prevalence of HBV, mother-to-child transmission (MTCT) remains the main source of chronic HBV infection. With the application of combined immunization of hepatitis B vaccine and hepatitis B immunoglobulin in neonates, there has been a significant reduction in the incidence rate of HBV MTCT, but there is still a high risk of HBV MTCT in infants born to mothers with positive HBeAg and high viral loads. Although antiviral therapy for pregnant women with high HBV viral loads in late pregnancy can further reduce the risk of HBV MTCT, it is still difficult to completely block HBV MTCT. A deep understanding of the molecular virological mechanisms of HBV MTCT can provide clear ideas for blocking HBV MTCT, which is of great significance for the prevention and management of HBV MTCT.
Hotspot·Perspective·Viewpoint
Unified consensus and evolution of the definition of acute-on-chronic liver failure: Seeking common ground while reserving differences
Manman XU, Yu. CHEN
2024, 40(11): 2173-2176. DOI: 10.12449/JCH241108
Abstract(1013) HTML (1813) PDF (1061KB)(148)
Abstract:
The concept of acute-on-chronic liver failure (ACLF) has been introduced for nearly 30 years, and with extensive research on its pathogenesis, diagnostic criteria, and treatment strategies, related consensus statements and guidelines have been constantly updated in China and globally; however, there is still a lack of a unified definition of ACLF, and such differences in definition may inevitably hinder the application and implementation of various treatment methods, prognostic scoring systems, and clinical recommendations. In recent years, hepatology experts have continuously proposed methods to unify the definition of ACLF, seeking common ground while reserving differences and drawing on the strengths of various definitions, in order to achieve a more unified definition of ACLF.
Guideline
An excerpt of American College of Gastroenterology Guidelines: Focal liver lesions(2024)
Yang LIU, Teng ZHAO, Xiaohui FU
2024, 40(11): 2177-2182. DOI: 10.12449/JCH241109
Abstract(1529) HTML (1442) PDF (2385KB)(185)
Abstract:
In 2024, the American College of Gastroenterology released the recommendations for the diagnosis and management of common focal liver lesions based on the optimal evidence-based medicine evidence, including both solid and cystic liver lesions, making a comprehensive update to the 2014 edition of the guidelines for focal liver lesions. The guidelines introduce 51 key concepts and 18 detailed recommendations and provides a certain reference for the diagnosis and treatment of benign liver lesions in China. However, given the insidious onset and complex conditions of focal liver lesions, the difficulties in diagnosis, and the lack of high-grade evidence-based medicine evidence, the recommendations in the guidelines should serve as general guidelines rather than rigid protocols and should be used with reference to the situation of China. The guidelines set a benchmark for high-quality evidence-based hepatobiliary surgery guidelines, and the moderate- to low-grade evidence-based medicine evidence and controversies listed in the guidelines provide future directions for the research on focal liver lesions.
Guideline Interpretation
Interpretation of REDISCOVER international guidelines on the perioperative care of surgical patients with borderline-resectable and locally advanced pancreatic cancer (2024)
Jiahui ZENG, Kongyuan WEI, Weikun QIAN, Zheng WANG, Liang HAN
2024, 40(11): 2183-2190. DOI: 10.12449/JCH241110
Abstract(1146) HTML (1887) PDF (901KB)(101)
Abstract:
The REDISCOVER international guidelines on the perioperative care of surgical patients with borderline-resectable and locally advanced pancreatic cancer were released in July 2024, and based on the existing clinical challenges, the guidelines provide important recommendations for the diagnosis, staging, and surgical treatment of borderline-resectable and locally advanced pancreatic cancer from an evidence-based perspective. This article gives an interpretation of the guidelines, in order to better guide clinical practice.
Viral Hepatitis
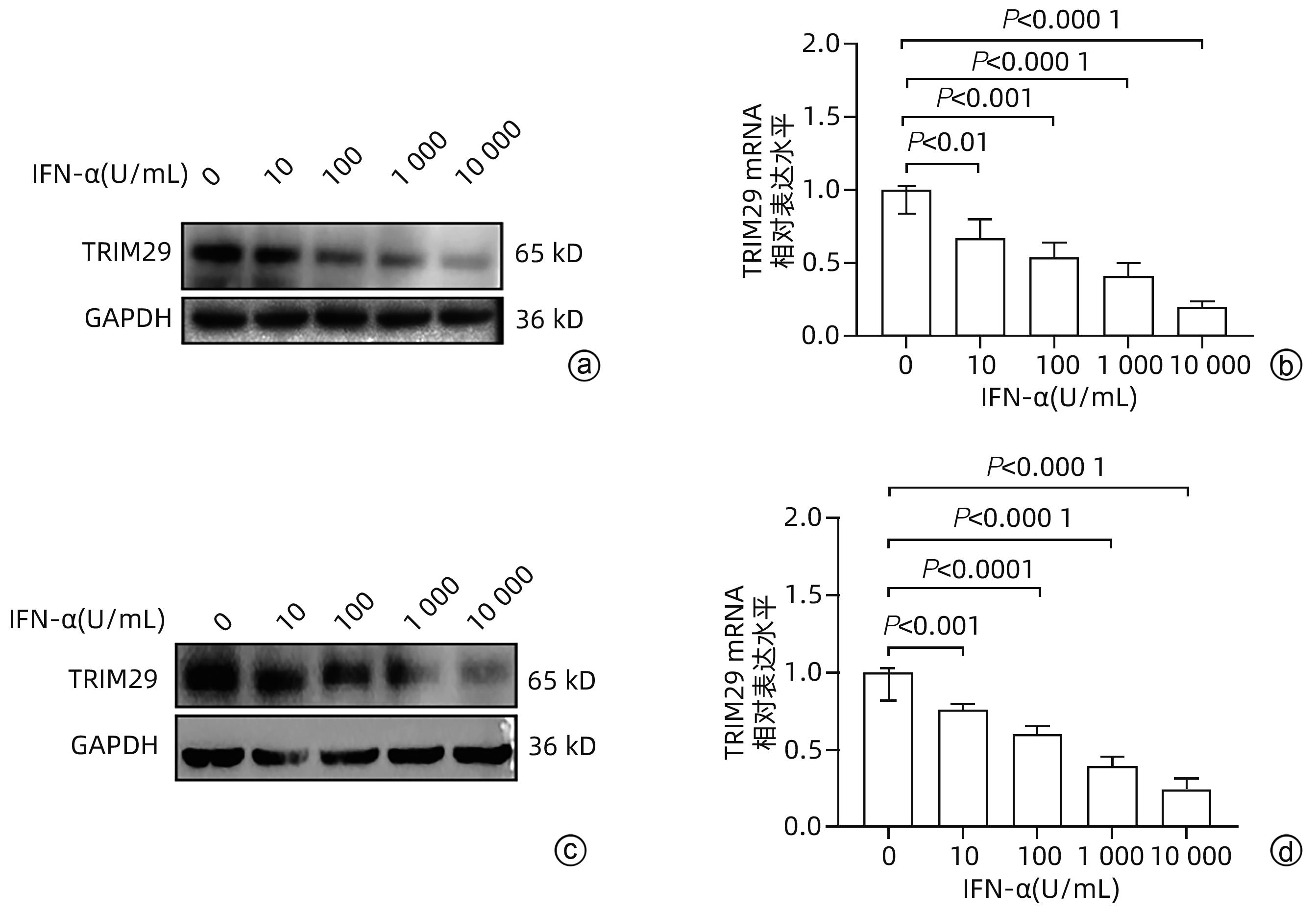
Association of TRIM29 with HBV replication and the antiviral effect of pegylated interferon α-2b
Xin LIAO, Baofang ZHANG
2024, 40(11): 2191-2200. DOI: 10.12449/JCH241111
Abstract(1174) HTML (2154) PDF (1873KB)(86)
Abstract:
  Objective  To preliminarily investigate the association of TRIM29 with HBV replication and the antiviral effect of pegylated interferon α-2b (PEG-IFN-α-2b), since TRIM29 protein is involved in the development and progression of a variety of diseases and is closely associated with the replication of some DNA and RNA viruses.  Methods  A total of 64 chronic hepatitis B (CHB) patients who attended the outpatient service of Department of Infectious Diseases, The Affiliated Hospital of Guizhou Medical University, from October 2021 to June 2022 were enrolled, among whom there were 34 treatment-naïve patients and 30 patients treated with PEG-IFN-α-2b, and 30 healthy volunteers in Physical Examination Center were enrolled as controls. Related data were collected, including age, sex, alanine aminotransferase, aspartate aminotransferase, total bilirubin, direct bilirubin, HBV DNA, and peripheral blood mononuclear cells (PBMCs). HepG2 and HepG2.2.15 cells were used as cell models and were transfected with TRIM29-specific overexpressed plasmid or siRNA and control plasmid. HepG2 cells and Huh7 cells were treated with PEG-IFN-α-2b (0, 10, 100, 1 000, and 10 000 U/mL), and HepG2.2.15 cells were treated with TRIM29-specific siRNA or negative control combined with PEG-IFN-α-2b. ELISA was used to measure the concentrations of HBsAg and HBeAg; qRT-PCR was used to measure the relative expression levels of TRIM29 and HBV RNA; Western blot was used to measure the protein expression levels of STING, p-TBK1, TBK1, pIRF3, IRF3, MX1, and IFIT1; co-immunoprecipitation assay was used to observe the interaction between TRIM29 and STING protein. The independent-samples t test was used for comparison of normally distributed continuous data between two groups, and a one-way analysis of variance was used for comparison between multiple groups, with the least significant difference t-test for further comparison between two groups; the chi-square test or the Fisher’s exact test was used for comparison of categorical data between two groups.  Results  The CHB patients had a significantly higher expression level of TRIM29 in peripheral blood than the healthy controls (P<0.001). In cell experiments, the expression levels of HBsAg, HBeAg, and HBV RNA increased with the upregulation of TRIM29 expression and decreased with downregulation of TRIM29 expression (P<0.05). TRIM29 bound to STING and degraded STING via protease, and compared with the control group, there were no significant changes in the total protein levels of TBK1 and IRF3 after overexpression of TRIM29, while there were significant reductions in the expression levels of STING, p-TBK1, and p-IRF3 (P<0.05). The protein and mRNA expression levels of TRIM29 decreased with the increase in the concentration of PEG-IFN-α-2b for the treatment of HepG2 and Huh7 cells (P<0.01). During the treatment with PEG-IFN-α-2b, the CHB patients had a gradual reduction in the mRNA expression level of TRIM29, and there was a significant difference between the early response group and the non-response group (P<0.05). In the context of treatment with an equal volume of PEG-IFN-α-2b, compared with the control group, there were significant increases in the protein expression levels of Mx1 and IFIT1 in HepG2.2.15 cells after TRIM29 knockdown (P<0.05). There was a gradual reduction in the expression of TRIM29 in CHB patients during the early stage of PEG-IFN-α-2b treatment.  Conclusion  TRIM29 targets and degrades STING and promotes HBV replication by inhibiting the STING-TBK1-IRF3 signaling pathway. TRIM29 interferes with the antiviral effect of PEG-IFN-α-2b, and the expression level of TRIM29 in PBMCs of CHB patients may be used as an indicator for predicting the response of patients to PEG-IFN-α-2b therapy.
Efficacy and safety of sofosbuvir/velpatasvir/voxilaprevir in hepatitis C patients with previous direct-acting antiviral agent failure
Mengying ZHU, Ping YU, Guohong GE, Yuqi MA, Xiling FU, Jiabao CHANG
2024, 40(11): 2201-2204. DOI: 10.12449/JCH241112
Abstract(1260) HTML (1926) PDF (691KB)(93)
Abstract:
  Objective  To investigate the efficacy and safety of sofosbuvir/velpatasivr/voxilaprevir (SOF/VEL/VOX) in patients with HCV infection experiencing failure in previous direct-acting antiviral agent (DAA) therapy.  Methods  A retrospective analysis was performed for the chronic hepatitis C patients who experienced failure in previous DAA antiviral therapy and were treated with SOF/VEL/VOX (400 mg/100 mg/100 mg/tablet, 1 tablet/day) for 12 weeks in Nanjing Second Hospital, Wuxi Fifth People’s Hospital, and The Third People’s Hospital of Zhenjiang from June 2020 to June 2023. Sustained virological response at 12 weeks (SVR12) was observed after the end of treatment, and the changes in biochemical parameters and the incidence rate of adverse reactions were assessed to evaluate drug safety. The paired t-test was used for comparison of continuous data between two groups.  Results  A total of 36 patients were enrolled, among whom there were 27 non-liver cirrhosis patients and 9 patients with compensated liver cirrhosis, and 4 patients experienced failure in the previous two or more sessions of DAA therapy. Two patients were lost to follow-up after treatment, and the remaining 34 patients (34/36, 94.4%) achieved SVR12. Among the 36 patients enrolled, the most common adverse events were pruritus, nausea, fatigue, and headache, and one patient (2.78%) experienced serious adverse events; there were no adverse events that resulted in the discontinuation of therapeutic agents or the death of patients.  Conclusion  For chronic hepatitis C patients who experience failure in previous DAA therapy, SOF/VEL/VOX salvage therapy has a relatively high rate of SVR12, with good tolerability and safety.
Fatty Liver Disease
Effect of Qizhu prescription on a mouse model of non-alcoholic fatty liver disease incluced by high-fat, high-fructose, and high-cholesterol diet and its mechanism
Jiahao CHEN, Zhenhua ZHOU
2024, 40(11): 2205-2212. DOI: 10.12449/JCH241113
Abstract(1077) HTML (2027) PDF (4620KB)(88)
Abstract:
  Objective  To investigate the therapeutic effect and mechanism of action of Qizhu prescription in mice with non-alcoholic fatty liver disease (NAFLD).  Methods  A total of 60 male C57BL/6J mice were randomly divided into normal group, model group, low-dose Qizhu prescription group (4.75 g/kg), middle-dose Qizhu prescription group (9.50 g/kg), high-dose Qizhu prescription group (19.00 g/kg), Yishanfu group (228 mg/kg), with 10 mice in each group. After 16 weeks of modeling with a high-fat high-cholesterol diet and 20% fructose water, each group was given the corresponding drug once a day for 8 weeks. The serum levels of alanine aminotransferase (ALT), aspartate aminotransferase (AST), total cholesterol (TC), triglyceride (TG), and low-density lipoprotein (LDL) were measured; ELISA was used to measure the serum levels of free fatty acid (FFA), tumor necrosis factor-α (TNF-α), interleukin-1β (IL-1β), superoxide dismutase (SOD), and malondialdehyde (MDA); HE staining and oil red O staining were used to the pathological changes of liver tissue; Western blot was used to measure the protein expression levels of LC3BⅡ/Ⅰ, p62/SQSTM1, Beclin-1, and Drp1, and real-time PCR was used to measure the mRNA expression levels of Drp1, Beclin-1, and p62/SQSTM1. A one-way analysis of variance was used for comparison of continuous data between multiple groups, and the least significant difference t-test was used for further comparison between two groups.  Results  Compared with the normal group, the model groups had significant increases in the serum levels of TG, TC, ALT, AST, LDL, FFA, TNF-α, IL-1β, and MDA and a significant reduction in the serum level of SOD (P<0.05). HE staining showed that the mice in the model group had hepatocyte steatosis and a large number of fat vacuoles in liver tissue, and oil red O staining showed that the mice in the model group had a large number of red lipid droplets of varying sizes in hepatocytes, with a significant increase in the percentage of oil red O staining area compared with the normal group (P<0.05). Real-time PCR showed that compared with the normal group, the model group had significant increases in the mRNA expression levels of Drp1 and Beclin-1 and a significant reduction in the mRNA expression level of p62/SQSTM1 in liver tissue (all P<0.05), and Western blot showed that compared with the normal group, the model group had significant increases in the protein expression levels of Drp1, Beclin-1, and LC3BⅡ/Ⅰ and a significant reduction in the protein expression level of p62/SQSTM1 in liver tissue (all P<0.05). Compared with the model group, some Qizhu prescription groups and the Yishanfu group had significant reductions in the serum levels of TG, TC, ALT, AST, LDL, FFA, TNF-α, IL-1β, and MDA and a significant increase in the serum level of SOD (all P<0.05). Compared with the model group, each administration group had a significant improvement in steatosis of liver tissue, a significant reduction in the percentage of oil red O staining area, significant reductions in the mRNA expression levels of Drp1 and Beclin-1, and a significant increase in the mRNA expression level of p62/SQSTM1 (all P<0.05); there were significant reductions in the protein expression levels of Drp1, Beclin-1, and LC3BⅡ/Ⅰ, while some administration groups had a significant increase in the protein expression level of p62/SQSTM1 (all P<0.05), with a significantly better effect in the middle- and high-dose Qizhu prescription groups (all P<0.01).  Conclusion  Qizhu prescription improves lipid metabolism and inflammation in mice with NAFLD possibly by regulating hepatocyte mitophagy.
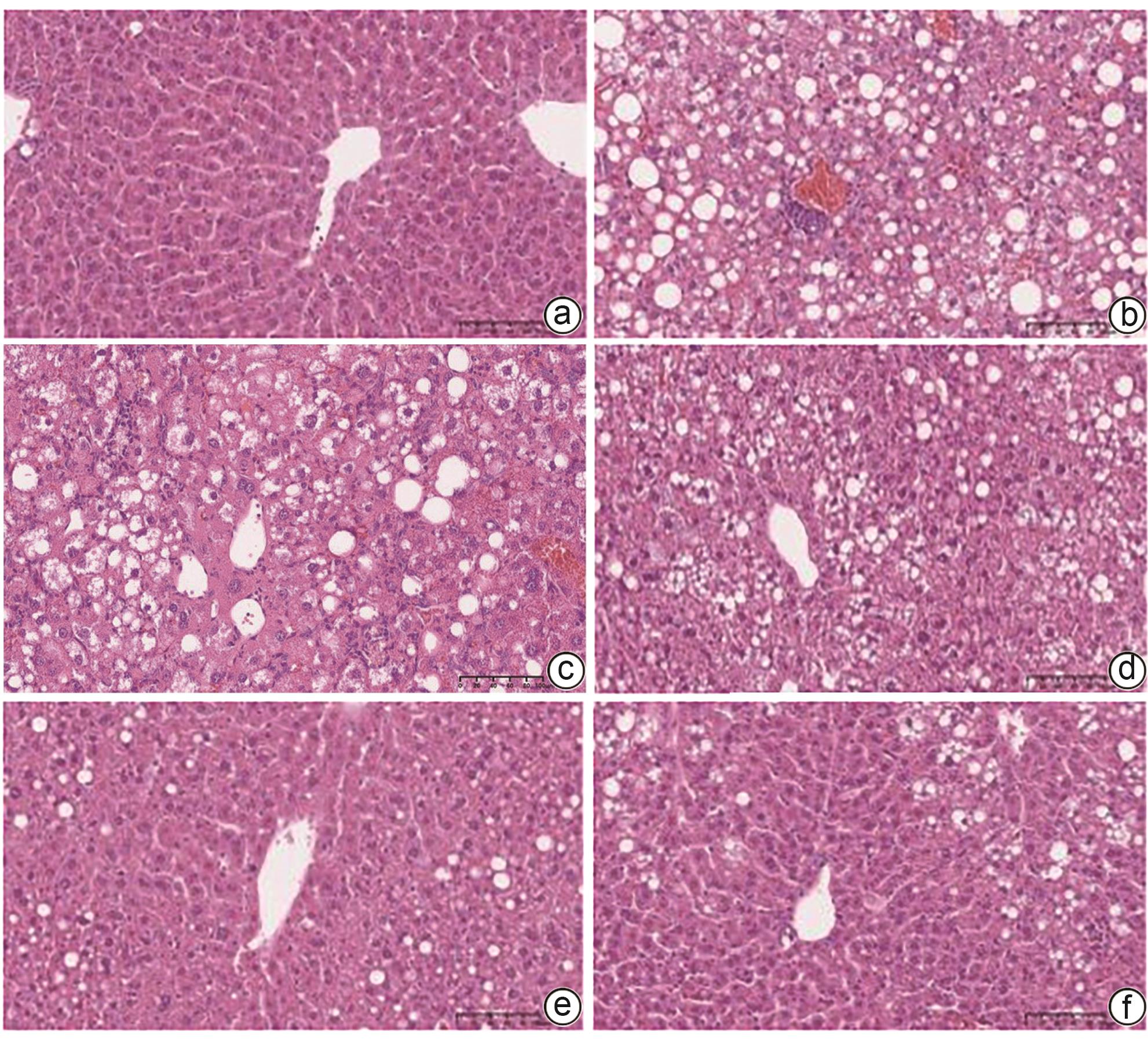
Effect of Xiayuxue Decoction against renal injury in mice with non-alcoholic fatty liver disease and its mechanism
Xin ZHAO, Zhiyi WANG, Le TAO, Guangyue YANG, Wei ZHANG, Liu WU, Wenting MA, Qian CHEN, Xuling LIU, Cheng LIU
2024, 40(11): 2213-2220. DOI: 10.12449/JCH241114
Abstract(1061) HTML (1309) PDF (3843KB)(83)
Abstract:
  Objective  To investigate the effect of non-alcoholic fatty liver disease (NAFLD) induced by high-fat diet (HFD) on the kidneys of mice and the protective effect and mechanism of Xiayuxue Decoction.  Methods  A total of 25 healthy controls and 25 NAFLD patients who attended Putuo Hospital Affiliated to Shanghai University of Traditional Chinese Medicine from September 2020 to September 2021 were enrolled, and the levels of total cholesterol (TC), triglyceride (TG), blood urea nitrogen (BUN), creatinine (Cr), and uric acid (UA) were measured. A total of 24 male C57BL/6 mice were randomly divided into low-fat diet (LFD) group, HFD group, and HFD+Xiayuxue Decoction group (XYXD group), with 8 mice in each group, and since week 13, XYXD was administered by gavage once a day for 6 weeks till the end of week 18. The level of TC, TG, BUN, and Cr were measured for each group. HE staining and oil red staining were used to observe the pathological changes of the liver and the kidneys; immunohistochemical double staining was used to measure the expression levels of CD68 and alpha-smooth muscle actin (α-SMA); quantitative real-time PCR was used to measure the expression levels of sterol regulatory element binding protein 1 (SREBP1), fatty acid synthase (FASN), interleukin-6 (IL-6), tumor necrosis factor-α (TNF-α), Desmin, and α-SMA in renal tissue; Western blot was used to measure the protein expression levels of SREBP1 and TNF-α. A one-way analysis of variance was used for comparison of continuous data between multiple groups, and the least significant difference t-test was used for pairwise comparison; the independent-samples t-test was used for comparison between two groups.  Results  Compared with the healthy controls, NAFLD patients showed significant increases in the levels of TC, TG, BUN, Cr, and UA (all P<0.05). Compared with the LFD group, the HFD group had significant increases in body weight, TC, TG, BUN, and Cr (all P<0.001), and compared with the HFD group, the XYXD group showed significant inhibition of the expression of TC, TG, BUN, and Cr (all P<0.001). Liver pathological examination showed that compared with the LFD group, the HFD group showed significant increases in hepatic steatosis and inflammatory infiltration, while the XYXD group showed significant alleviation of lesions. Renal pathological examination showed that compared with the LFD group, the HFD group had significant inflammatory infiltration, steatosis, and collagen formation in renal tissue, and compared with the HFD group, XYXD significantly alleviated inflammatory infiltration and inhibited steatosis and collagen formation. Quantitative real-time PCR showed that compared with the LFD group, the HFD group had significant increases in the relative mRNA expression levels of SREBP1, FASN, IL-6, TNF-α, Desmin, and α-SMA in renal tissue (all P<0.001), and compared with the HFD group, the XYXD group had significant reductions in the relative expression levels of these indicators (all P<0.001). Western blot showed that compared with the LFD group, the HFD group had significant increases in the protein expression levels of SREBP1 and TNF-α (P<0.05), and compared with the HFD group, the XYXD group had significant reductions in the protein expression levels of SREBP1 and TNF-α (P<0.05). Immunohistochemical staining showed that compared with the LFD group, the HFD group had significant increases in the positive staining or the double positive staining of α- SMA and CD68 (P<0.05), and compared with the HFD group, the XYXD group showed significant reductions (P<0.05).  Conclusion  HFD can induce renal steatosis, inflammatory infiltration, and collagen formation, and XYXD might exert a protective effect on the kidneys by inhibiting the expression of macrophages and myofibroblasts in renal tissue.
Liver Fibrosis and Liver Cirrhosis
Risk factors for death within 30 days after admission in patients with decompensated liver cirrhosis and acute kidney injury and construction of a nomogram model
Xueyun GUO, Xuan ZHONG, Tingting ZHANG, Sihai CHEN, Wang ZHANG, Bimin LI, Xuan ZHU, Anjiang WANG
2024, 40(11): 2221-2228. DOI: 10.12449/JCH241115
Abstract(779) HTML (346) PDF (1318KB)(98)
Abstract:
  Objective  To investigate the predictive factors for death within 30 days after admission in patients with decompensated liver cirrhosis and acute kidney injury (AKI), and to establish and validate a nomogram prediction model.  Methods  The Joint Medical Record Management System of The First Affiliated Hospital of Nanchang University was used to obtain the patients with decompensated liver cirrhosis who were hospitalized in Department of Gastroenterology and Department of Infectious Diseases from January 2015 to December 2020, among whom 330 patients who met the 2015 International Club of Ascites diagnostic criteria for AKI were enrolled and divided into training group with 193 patients and validation group with 137 patients. A Cox regression analysis was used to investigate the predictive factors for death, and then a nomogram prediction model for the risk of death within 30 days after admission was established and validated. The independent-samples t-test was used for comparison of normally distributed continuous data between two groups, and a one-way analysis of variance was used for comparison between multiple groups, while the least significant difference t-test was used for further comparison between two groups; The Mann-Whitney U test was used for comparison of non-normally distributed continuous data between two groups, while the Kruskal-Wallis H test was used for comparison between multiple groups. The chi-square test or the Fisher’s exact test was used for comparison of categorical data between groups.  Results  The prevalence rate of AKI was 16.5% in patients with decompensated liver cirrhosis. The 330 patients included in the study had a mean age of 53.6±12.4 years, and male patients accounted for 79.1%. The mortality rate was 50.0% within 30 days after admission, with a mortality rate of 46.6% in the training group and 54.7% in the validation group. The presence of acute-on-chronic liver failure (ACLF) on admission was an independent risk factor for the progression of AKI into stage 1 (odds ratio=2.571, 95% confidence interval: 1.143‍ ‍—‍ ‍5.780, P=0.022). The nomogram based on white blood cell count, international normalized ratio, presence or absence of hepatic encephalopathy, and AKI stage on admission could well predict the risk of death with 30 days after admission, with a C-index of 0.680 in the training group and 0.683 in the validation group, and it was not inferior to CTP score and MELD score.  Conclusion  ACLF is an independent risk factor for the progression of AKI into stage 1. The nomogram prediction model established in this study can effectively predict the risk of death within 30 days after admission and thus has important guiding significance for the early identification and management of patients with decompensated liver cirrhosis and AKI.
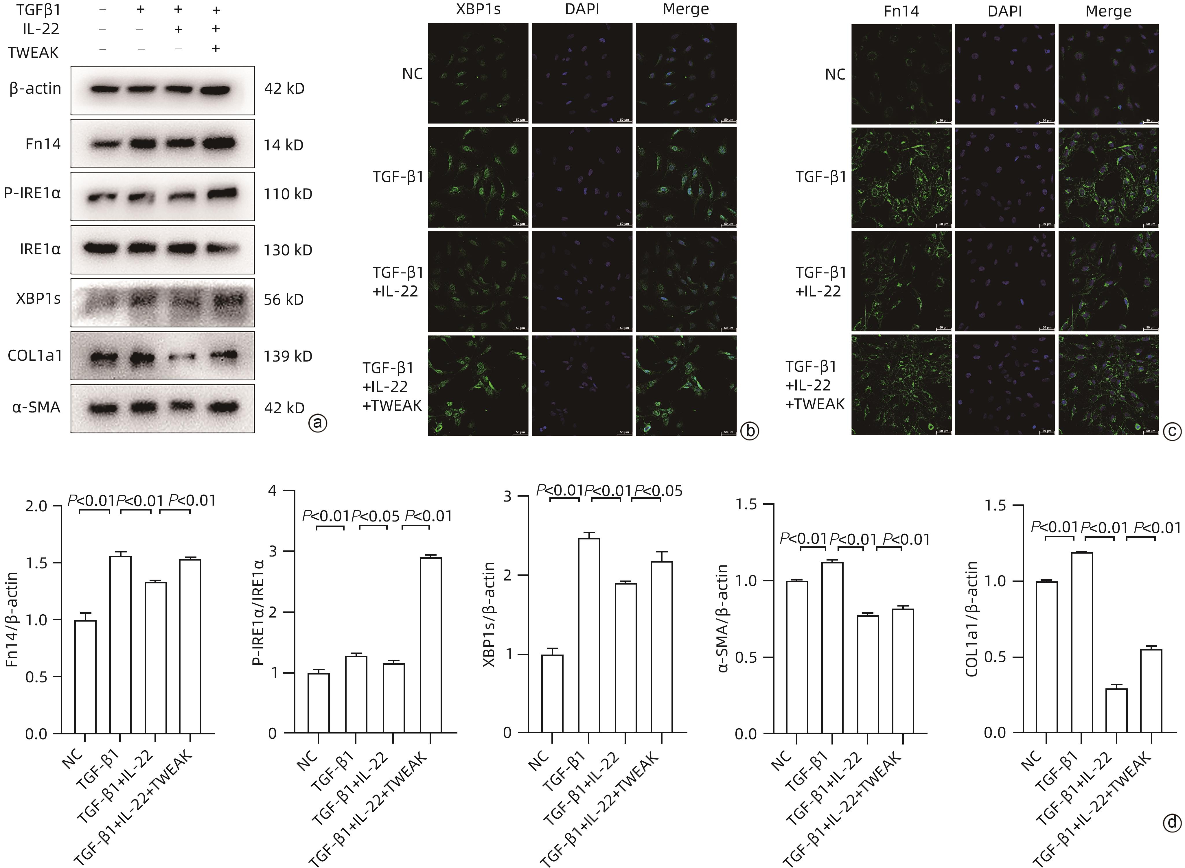
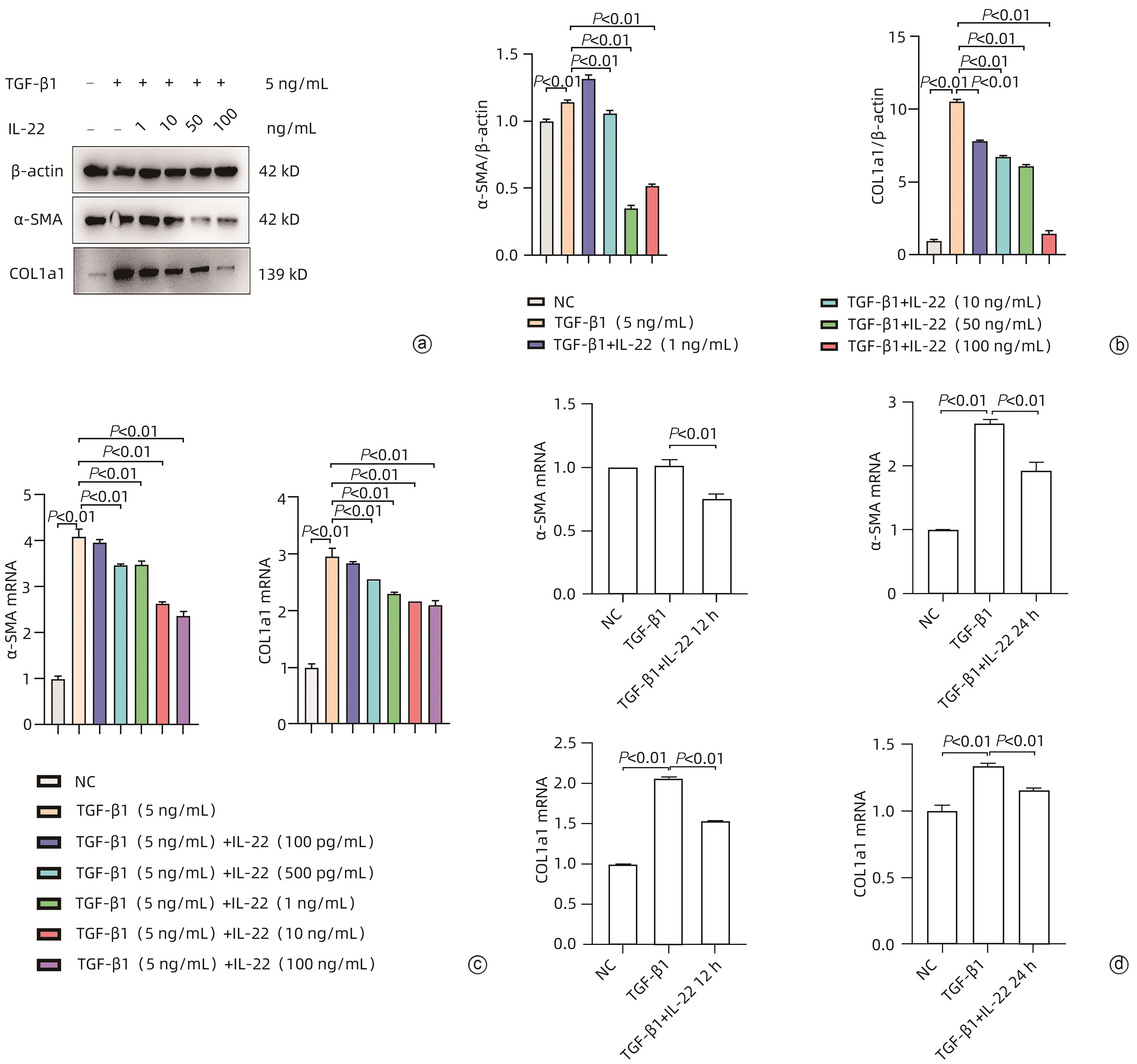
Effect of interleukin-22 on hepatic stellate cell activation and its mechanism
Jun GAO, Huan CHEN, Yan LIU, Feng ZHANG, Yuzheng ZHUGE
2024, 40(11): 2229-2237. DOI: 10.12449/JCH241116
Abstract(1122) HTML (461) PDF (4369KB)(70)
Abstract:
  Objective  To investigate the effect of interleukin-22 (IL-22) on the activation of hepatic stellate cells (HSCs) and its mechanism.  Methods  The human HSC LX-2 cells were selected for the study, and the LX-2 cells induced by TGF-β1 were used to establish a model of HSC activation. LX-2 cells were treated with IL-22 at gradient concentrations, and Western blot and qRT-PCR were used to measure the expression levels of the activation markers COL1A1 and α-SMA and determine the appropriate working concentration and time of the drug. Western blot, qRT-PCR, and immunofluorescence assay were used to determine the levels of Fn14 and the markers for endoplasmic reticulum stress (ERS) and activation in activated HSCs treated by IL-22. ERS in LX-2 cells was induced by tunicamycin (TM), and Western blot and qRT-PCR were used to measure the levels of markers for ERS and activation in LX-2 cells treated by IL-22. TNF-like weak inducer of apoptosis (TWEAK) and small interfering RNA were used to upregulate and downregulate Fn14, and then the mRNA and protein expression levels of p-IRE1α, IRE1α, XBP1s, COL1A1, and α-SMA were measured. After LX-2 cells induced by TGF-β1 were treated by IL-22, TWEAK was used to upregulate Fn14, and Western blot and immunofluorescence assay were used to measure the levels of Fn14 and the markers for ERS and activation. The independent-samples t-test was used for comparison of continuous data between two groups; a one-way analysis of variance was used for comparison between multiple groups, and the Sidak’s multiple comparison test was used for further comparison between two groups.  Results  Compared with the TGF-β1 group, the TGF-β1+IL-22 group had significant reductions in the protein and mRNA expression levels of COL1A1 and α-SMA, with a more significant effect after treatment with 10 ng/mL IL-22 for 24 hours (all P<0.01). Compared with the TGF-β1 group, the TGF-β1+IL-22 group had significant reductions in the expression levels of Fn14, p-IRE1α, and XBP1s (all P<0.05). Compared with the TM group, the TM+IL-22 group had significant reductions in the expression levels of p-IRE1α, XBP1s, COL1A1, and α-SMA (all P<0.05). Compared with the silenced control group, the Fn14 siRNA group had significant reductions in the expression levels of p-IRE1α, XBP1s, COL1A1, and α-SMA (all P<0.05). Compared with the normal control group, the TWEAK group had significant increases in the expression levels of Fn14, p-IRE1α, XBP1s, COL1A1, and α-SMA (all P<0.01). Compared with the TGFβ1+IL-22 group, the TGF-β1+IL-22+TWEAK group had significant increases in the expression levels of Fn14, p-IRE1α, XBP1s, COL1A1, and α-SMA (all P<0.05).  Conclusion  IL-22 negatively regulates ERS in HSCs by inhibiting Fn14, thereby inhibiting the activation of HSCs.
Liver Neoplasm
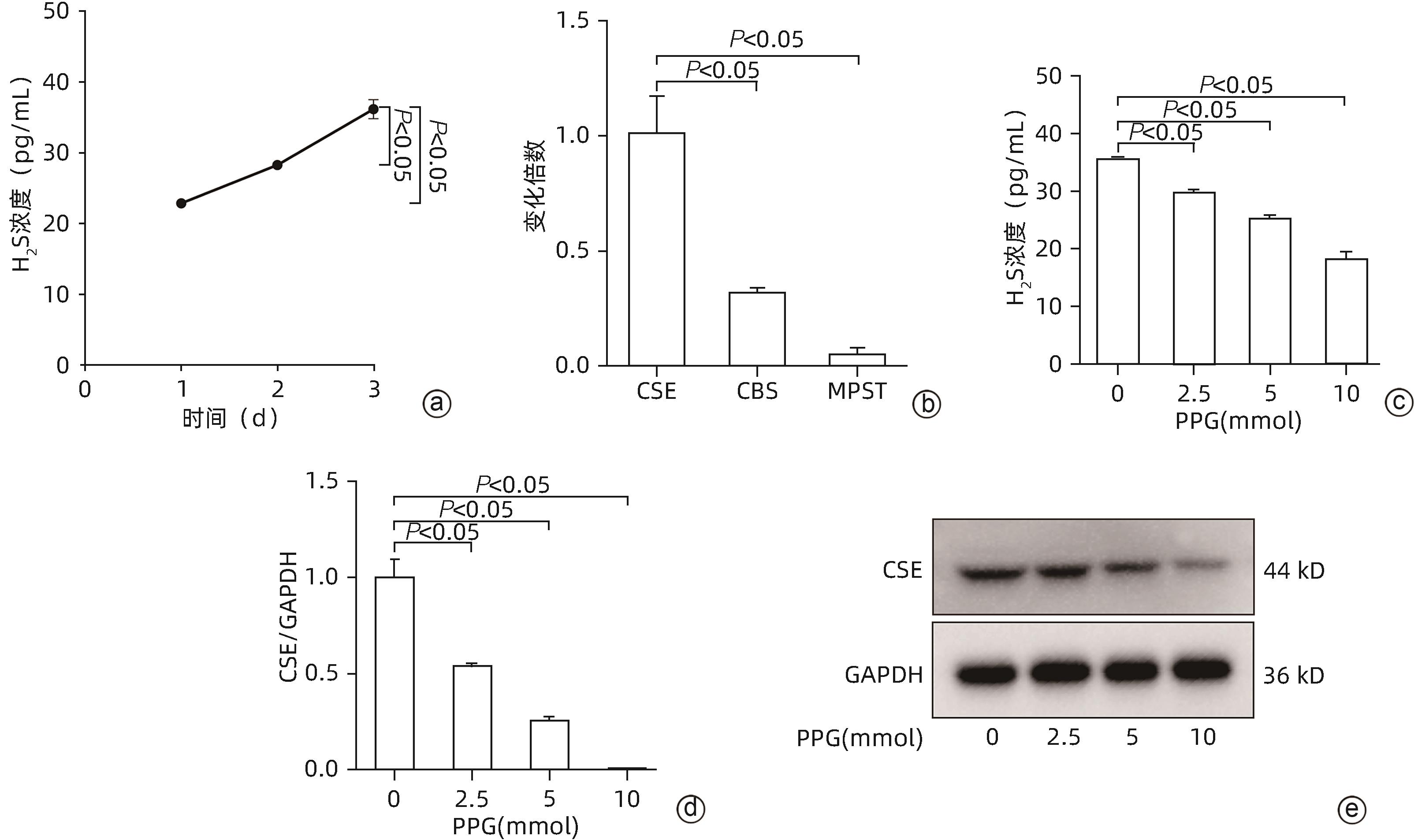
Role and mechanism of hepatic stellate cells in regulating the apoptosis of hepatocellular carcinoma cells through cystathionine γ-lyase/hydrogen sulfide
Hongwei SHANG, Yanan MA, Xin LU, Lingna LYU, Huiguo DING
2024, 40(11): 2238-2245. DOI: 10.12449/JCH241117
Abstract(1002) HTML (309) PDF (3446KB)(67)
Abstract:
  Objective  As important components in the microenvironment of hepatocellular carcinoma (HCC), hepatic stellate cells (HSCs) and hydrogen sulfide (H2S) participate in various biological processes that regulate the development and progression of HCC. Through the co-culture of HSCs and HCC cells, this article aims to investigate the role and mechanism of HSCs in regulating the apoptosis of HCC cells by secreting H2S.  Methods  The HSC cell line (LX-2) and HCC cell lines (HepG2 and PLC/PRF/5) were used for experiment. RT-qPCR and Western Blot (WB) were used to measure the mRNA and protein expression levels of cystathionine γ-lyase (CSE), a key synthase for H2S; ELISA was used to measure the concentration of H2S in supernatant; next-generation sequencing, cell immunofluorescence assay, chromatin immunoprecipitation (ChIP), and WB were used to measure the JNK/JunB-TNFSF14 signaling pathway genes, binding sites, and related proteins after HepG2 cells were treated by H2S. LX-2 cells were co-cultured with HepG2 or PLC/PRF/5 cells in a Transwell chamber; CCK-8 assay and flow cytometry were used to measure the viability and apoptosis of HCC cells, and WB was used to measure the H2S-TNFSF14 signaling pathway-related proteins. All cell experiments were repeated three times. The independent-samples t test was used for comparison of continuous data between two groups; a one-way analysis of variance or the analysis of variance with repeated measures was used for comparison between multiple groups, and the Dunnett-t test was used for further comparison between two groups.  Results  LX-2 cells synthesized H2S mainly through CSE, and the concentration of H2S in supernatant of LX-2 cells gradually increased over time (22.89±0.08 pg/mL vs 28.29±0.15 pg/mL vs 36.19±1.90 pg/mL, F=79.63, P<0.05). In LX-2 cells, the mRNA expression level of CSE was significantly higher than that of CBS and MPST (1.008±0.13 vs 0.320±0.014 vs 0.05±0.02, F=80.84, P<0.05). When CSE was inhibited by PPG, the concentration of H2S decreased with the increase in the concentration of PPG (P<0.05). LX-2 cells were co-cultured with HepG2 or PLC/PRF/5 cells, and over the time of culture, there were significant reductions in the viability of HepG2 cells (87.48%±0.82% vs 70.48%±0.641% vs 52.89%±0.57% vs 45.20%±0.69%, F=1 517.13, P<0.001) and PLC/PRF/5 cells (92.41%±0.48% vs 74.10%±0.73% vs 53.70%±0.60% vs 44.00%±0.27%, F=2626.21, P<0.001) and significant increases in the apoptosis of HepG2 cells (12.88%±0.64% vs 15.5%±0.16% vs 18.43%±0.37% vs 13.01%±0.58%, F=142.15, P<0.001) and PLC/PRF/5 cells (8.51±0.05 vs 12.80±0.33 vs 15.59±0.21 vs 10.72±0.30, F=676.40, P<0.001), with the most significant changes on day 3. Next-generation sequencing showed that endogenous H2S and NaHS (endogenous H2S donor) were involved in regulating the expression of various genes in HepG2 cells. By releasing H2S, NaHS and LX2 activated the JNK/JunB signaling pathway and upregulated the expression of the apoptosis gene TNFSF14 in HCC cells, with increased binding between p-JunB and the transcriptional regulatory regions of the TNFSF14 gene.  Conclusion  In the microenvironment of HCC, HSCs activate the JNK/JunB signaling pathway in HCC cells through the signal molecules CSE/H2S, and there is an increase in the expression of TNFSF14, thereby promoting the apoptosis of HCC cells.
Effect of amlodipine and levamlodipine on the pharmacokinetics of lenvatinib in rats and related mechanisms
Bin YAN, Gexi CAO, Yanru DENG, Ying LI, Zhanjun DONG, Wanjun BAI
2024, 40(11): 2246-2252. DOI: 10.12449/JCH241118
Abstract(1005) HTML (1394) PDF (1381KB)(76)
Abstract:
  Objective  To investigate the effect of amlodipine and levamlodipine on the pharmacokinetics of lenvatinib and related mechanisms.  Methods  A total of 18 male Sprague-Dawley rats were randomly divided into lenvatinib (1.2 mg/kg) group, amlodipine (1.0 mg/kg)+lenvatinib group, and levamlodipine (0.5 mg/kg)+lenvatinib group, with 6 rats in each group. The rats were pretreated with 0.5% sodium carboxymethyl cellulose, amlodipine or levamlodipine by gavage for 8 days, and lenvatinib was given after the last intragastric administration. Blood samples were collected from the intraocular canthus venous plexus at the specified time points. Ultra-performance liquid chromatography-tandem mass spectrometry was used to measure the plasma concentration of lenvatinib in rats, and a non-compartment model was used to calculate pharmacokinetic parameters. RT-qPCR was used to measure the mRNA expression levels of cytochrome P450 3A1 (CYP3A1), P-glycoprotein (P-gp), and breast cancer resistance protein (BCRP) in rat liver tissue. A one-way analysis of variance was used for comparison of normally distributed continuous data between multiple groups, and the Dunnett-t test was used for further comparison between two groups; the Kruskal-Wallis H test was used for comparison of non-normally distributed continuous data between groups.  Results  There were significant differences between the three groups in the area under the concentration-time curve AUC0-∞F=4.567, P<0.05), clearance rate CLz/FF=5.038, P<0.05), and peak concentration CmaxF=11.667, P<0.01). Compared with the lenvatinib group, the amlodipine+lenvatinib group had an increase in AUC0-∞ by 36.1% (P<0.05), a reduction in CLz/F by 26.1% (P<0.05), and an increase in Cmax by 56.7% (P<0.01), and the levamlodipine+lenvatinib group had an increase in Cmax by 37.7% (P<0.05). RT-qPCR showed that there were significant differences in the mRNA expression levels of CYP3A1, P-gp, and BCRP between the three groups (F=10.160, 5.350, and 5.237, all P<0.05), and compared with the lenvatinib group, the amlodipine+lenvatinib group had significant reductions in the mRNA expression levels of CYP3A1, P-gp, and BCRP in rat liver tissue (all P<0.05), while the levamlodipine+lenvatinib group had a significant reduction in the mRNA expression level of CYP3A1 in rat liver tissue (P<0.05).  Conclusion  Amlodipine can increase the invivo exposure of lenvatinib possibly by inhibiting the mRNA expression of CYP3A1, P-gp, and BCRP in the liver, while levamlodipine only increases the peak concentration of lenvatinib.
Biliary Disease
Risk factors for biliary stricture and prognosis after orthotopic liver transplantation
Decai KONG, Xiaojing ZHANG, Yangguang YUN, Haoyu DUAN, Junfeng YE
2024, 40(11): 2253-2259. DOI: 10.12449/JCH241119
Abstract(777) HTML (251) PDF (861KB)(84)
Abstract:
  Objective  To investigate the risk factors for biliary stricture within two years after orthotopic liver transplantation, and analyze the survival.  Methods  A retrospective analysis was performed for the data of 495 patients who underwent liver transplantation at Liver Transplantation Center of The First Hospital of Jilin University from January 2014 to January 2022, and according to the presence or absence of biliary stricture within two years after liver transplantation, the 495 patients were divided into stricture group with 89 patients and non-stricture group with 406 patients. The risk factors for biliary stricture and prognosis were analyzed. The independent-samples t-test was used for comparison of normally distributed continuous data between two groups, and the Mann-Whitney U test was used for comparison of non-normally distributed continuous data between two groups; the chi-square test was used for comparison of categorical data between two groups. Univariate and multivariate Cox regression analyses were used for the analysis of risk factors, and the Kaplan-Meier method was used for survival analysis.  Results  Recipient sex (hazard ratio [HR]=1.808, 95% confidence interval [CI]: 1.055‍ ‍—‍ ‍3.098, P=0.031), preoperative total bilirubin of the recipient (HR=1.002, 95%CI: 1.001 ‍—‍ 1.003, P=0.001), cold ischemia time (HR=1.003, 95%CI: 1.001 ‍—‍ 1.005, P=0.007), history of abdominal surgery for the recipient (HR=3.851, 95%CI: 2.273 ‍—‍ 6.524, P<0.001), and mismatch of donor-recipient bile ducts (HR=1.962, 95%CI: 1.041 ‍—‍ 3.698, P=0.037) were identified as independent risk factors for biliary stricture within two years after transplantation. The median follow-up time was 4.09 years, and the 1-, 3-, and 5-year survival rates were 92.7%, 80.5%, and 75.4%, respectively, after liver transplantation. The onset of biliary stricture within two years after liver transplantation had no significant impact on the survival of patients undergoing orthotopic liver transplantation.  Conclusion  Recipient sex, preoperative total bilirubin of the recipient, cold ischemia time, history of abdominal surgery for the recipient, and mismatch of donor-recipient bile ducts are independent risk factors for biliary stricture within two years after transplantation. The onset of biliary stricture within two years after transplantation does not affect the survival time of patients undergoing orthotopic liver transplantation.
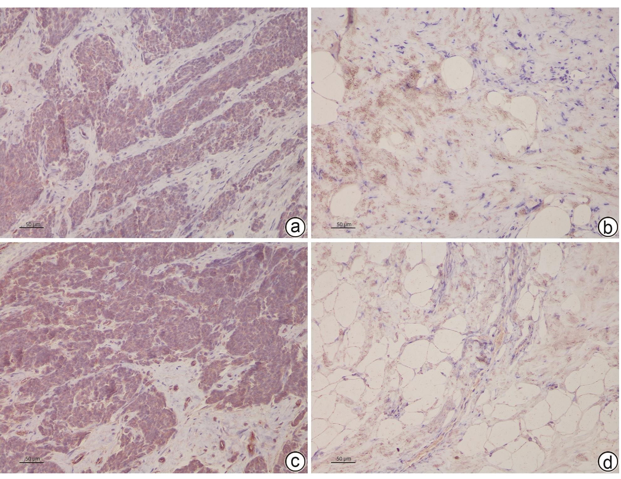
Expression of CXCL10 and CXCL12 in gallbladder carcinoma and their mechanism of action in tumor invasion
Bohua ZHANG, Yan XU, Song ZHANG, Hua HU
2024, 40(11): 2260-2265. DOI: 10.12449/JCH241120
Abstract(833) HTML (350) PDF (2736KB)(68)
Abstract:
  Objective  To investigate the expression levels of CXCL10 and CXCL12 in gallbladder carcinoma and their mechanism of action in tumor invasion.  Methods  Tumor tissue samples and adjacent tissue samples were collected from 56 patients with gallbladder carcinoma who underwent surgical resection in General Hospital of Central Theater Command from April 2020 to April 2023. RT-PCR was used to measure the mRNA expression levels of CXCL10 and CXCL12 in cancerous tissue and adjacent tissue, and the correlation of the mRNA expression levels of CXCL10 and CXCL12 in cancerous tissue with clinicopathological parameters was analyzed. The human gallbladder carcinoma cell line GBC-SD was used to construct gallbladder carcinoma cells with low expression of CXCL10 and CXCL12. CCK8 assay was used to observe the effect of low expression of CXCL10 and CXCL12 on the proliferation of gallbladder carcinoma cells, Transwell assay was used to observe the effect of low expression of CXCL10 and CXCL12 on the invasion ability of gallbladder carcinoma cells, and Western blot was used to measure the expression of the PI3K/Akt pathway in gallbladder carcinoma cells. The paired t-test or independent-samples t-test was used for comparison of measurement data between two groups; an analysis of variance was used for comparison between multiple groups, and the least significant difference t-test was used for further comparison between two groups.  Results  In the patients with gallbladder carcinoma, the relative mRNA expression levels of CXCL10 and CXCL12 in cancerous tissue were significantly higher than those in adjacent tissue (CXCL10: 1.857±0.315 vs 1.024±0.203, t=16.342, P<0.05; CXCL12: 2.038±0.374 vs 1.064±0.221, t=16.778, P<0.05). There were significant differences in the relative mRNA expression levels of CXCL10 and CXCL12 between the patients with different TNM stages, presence or absence of lymph node metastasis or distant metastasis, and tumor diameters (all P<0.05). Compared with the control group and the si-RNA group, the si-CXCL10 group had significantly lower relative mRNA and protein expression levels of CXCL10 and CXCL12, CCK-8 absorbance values, number of cell migration, and protein expression levels of p-PI3K and p-Akt (all P<0.05).  Conclusion  There are increases in the expression of CXCL10 and CXCL12 in gallbladder carcinoma tissue, and the proliferation and invasion of gallbladder carcinoma cells are significantly inhibited after inhibition of the expression of CXCL10 and CXCL12, which might be associated with the inhibition of the phosphorylation of the PI3K/Akt pathway.
Pancreatic Disease
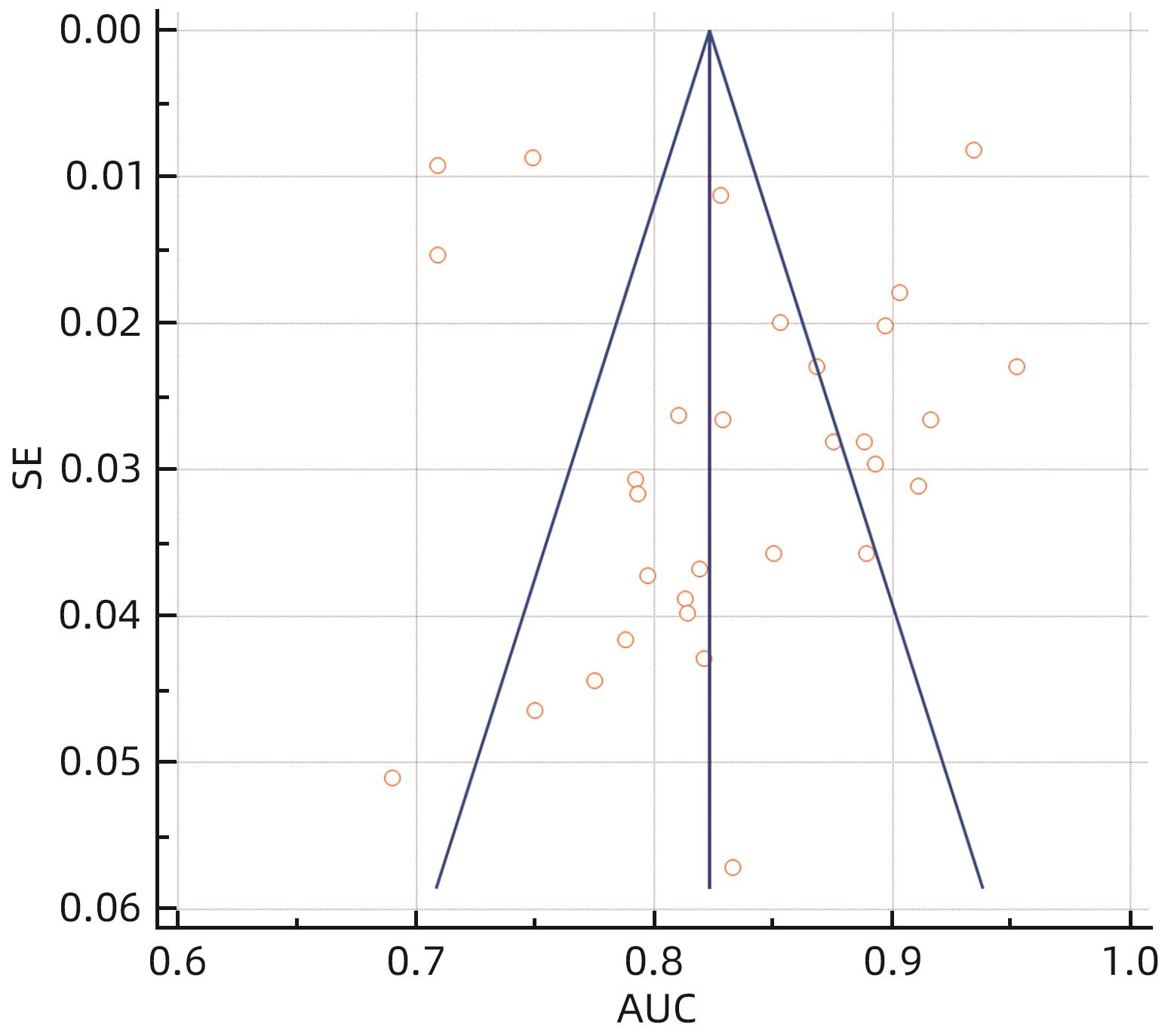
Risk prediction models for pancreatic fistula after pancreaticoduodenectomy: A systematic review and a Meta-analysis
Zaichun PU, Ping JIA, Juan LIU, Yushuang SU, Li WANG, Qin ZHANG, Danyang GUO
2024, 40(11): 2266-2276. DOI: 10.12449/JCH241121
Abstract(1308) HTML (572) PDF (2569KB)(87)
Abstract:
  Objective  To systematically review the risk prediction models for postoperative pancreatic fistula (POPF) after pancreaticoduodenectomy (PD), and to provide a reference for the clinical screening and application of POPF-related risk models.  Methods  This study was conducted according to the PRISMA guidelines, with a PROSPERO registration number of CRD42023437672. PubMed, Scopus, Embase, Web of Science, the Cochrane Library, CNKI, VIP, Wanfang Data, China Medical Journal Full-text Database, and CBM were searched for studies on establishing risk prediction models for POPF after PD published up to April 26, 2024. The PROBAST tool was used to assess the quality of articles, and RevMan 5.4 and MedCalc were used to perform the Meta-analysis.  Results  A total of 36 studies were included, involving 20 119 in total, and the incidence rate of POPF after PD was 7.4%‍ ‍—‍ ‍47.8%. A total of 55 risk prediction models were established in the 36 articles, with an area under the receiver operating characteristic curve (AUC) of 0.690‍ ‍—‍ ‍0.952, among which 52 models had an AUC of >0.7. The quality assessment of the articles showed high risk of bias and good applicability. MedCalc was used to perform a statistical analysis of AUC values, and the results showed a pooled AUC of 0.833 (95% confidence interval: 0.808‍ ‍—‍ ‍0.857). The Meta-analysis showed that body mass index, amylase in drainage fluid on the first day after surgery, preoperative serum albumin, pancreatic duct diameter, pancreatic texture, fat score, tumor location, blood loss, sex, time of operation, main pancreatic duct index, and pancreatic CT value were predictive factors for POPF (all P<0.05).  Conclusion  The risk prediction models for POPF after PD is still in the exploratory stage. There is a lack of calibration methods and internal validation for most prediction models, and only the univariate analysis is used to for the screening of variables, which leads to the high risk of bias. In the future, it is necessary to improve the methods for model establishment, so as to develop risk prediction models with a higher prediction accuracy.
Efficacy and safety of irreversible electroporation combined with immunotherapy in treatment of unresectable pancreatic cancer: A Meta-analysis
Jian YE, Junfeng YANG, Liwen DU, Jiansheng LIU
2024, 40(11): 2277-2282. DOI: 10.12449/JCH241122
Abstract(914) HTML (406) PDF (1024KB)(80)
Abstract:
  Objective  To systematically review the safety and efficacy of irreversible electroporation (IRE) combined with immunotherapy in patients with unresectable pancreatic cancer.  Methods  This study was conducted according to the PRISMA guideline, with a PROSPERO registration unmber of CRD42024531984. Datebases including PubMed, Embase the Cochrane Library, Web of Science, CNKI, Wanfang Data, and VIP were searched for related articles on IRE combined with immunotherapy for unresectable pancreatic cancer published up to February 2024. The articles were screened and related data were extracted according to the established inclusion and exclusion criteria, and the quality of the articles was assessed. Review Manager 5.3 and Stata 17.0 software were used to perform the meta-analysis.  Results  Six studies were finally included, with three prospective studies, two retrospective studies, and one randomized controlled trial. There were 376 patients with unresectable pancreatic cancer in total, among whom there were 222 patients in the IRE group and 154 patients in the IRE+immunotherapy group. The meta-analysis showed that compared with IRE alone, IRE combined with immunotherapy significantly prolonged progression-free survival (hazard ratio [HR]=0.82, 95% confidence interval [CI]: 0.72 ‍—‍ 0.92, P=0.001) and overall survival (HR=0.86, 95%CI: 0.80 ‍—‍ 0.93, P=0.000 1), increased T lymphocyte count in the patients (mean difference=217.93, 95%CI: 192.87 ‍—‍ 242.99, P<0.000 01), and improved the immune function of patients. However, there were no significant differences between the two groups in reducing the incidence rate of adverse events (odds ratio [OR]=1.43, 95%CI: 0.76 ‍—‍ 2.72, P=0.27) and improving the objective remission rate of patients (OR=1.49, 95%CI: 0.87 ‍—‍ 2.56, P=0.15).  Conclusion  IRE combined with immunotherapy is safe and effective in patients with unresectable pancreatic cancer and can significantly improve overall survival and progression-free survival and enhance immune function, with little effect on objective remission rate and the incidence rate of adverse events.
Case Report
Clinical effect of Foley catheter through sinus tract in treatment of complex pancreatic fistula with massive venous hemorrhage after pancreaticoduodenectomy: A case report
Yu FU, Yang WANG, Wanbin HAN, Rongxing ZHOU
2024, 40(11): 2283-2287. DOI: 10.12449/JCH241123
Abstract(907) HTML (346) PDF (1087KB)(76)
Abstract:
At present, vascular intervention and surgery are the main methods for the treatment of pancreatic fistula with bleeding after pancreaticoduodenectomy, but these treatment methods have certain drawbacks, such as the complications of pancreatic fistula, bleeding, and abdominal infection after surgical treatment, and interventional treatment sometimes fails to identify the bleeding site. This article reports a case of complex pancreatic fistula with massive venous hemorrhage after pancreaticoduodenectomy treated with Foley catheter balloon compression through the drainage tube sinus. Bleeding was arrested and gastrointestinal fistula was cured after catheter balloon compression and effective drainage, with no complications such as pancreatic pseudocyst, intestinal ischemia, and portal hypertension.
Review
Value of liver biopsy in the diagnosis and clinical trial of non-alcoholic fatty liver disease
Qichao GE, Lungen LU
2024, 40(11): 2288-2292. DOI: 10.12449/JCH241124
Abstract(874) HTML (600) PDF (596KB)(92)
Abstract:
Non-alcoholic fatty liver disease (NAFLD) constitutes a series of histological lesions characterized by varying degrees of hepatocyte damage, fat accumulation, inflammation, and fibrosis. Currently, liver biopsy is considered the “gold standard” for evaluating the degree of hepatic steatosis, inflammation, and fibrosis, and it also serves as the cornerstone for accurate grading of NAFLD. This article reviews the value and application of liver biopsy in the clinical diagnosis, staging, and clinical trials of NAFLD.
Research advances of noninvasive diagnosis of fibrotic non-alcoholic steatohepatitis
Gong FENG, Rongyao KONG, Jiaxue WANG, Tianyue WU, Xiaohui WU, Juning WANG, Qinqin YAN, Man MI
2024, 40(11): 2293-2299. DOI: 10.12449/JCH241125
Abstract(1079) HTML (364) PDF (694KB)(103)
Abstract:
A subset of patients with non-alcoholic fatty liver disease (NAFLD) can progress to nonalcoholic steatohepatitis (NASH). When NASH reaches a fibrosis degree of F≥2 and a NAS score of≥4, this stage of NASH is referred to as fibrotic NASH, which is a key focus in clinical drug trials. Currently, liver biopsy is the gold standard for assessing the histological changes of the liver, but its clinical application is limited by its invasiveness, and therefore, it is of particular importance to develop noninvasive detection methods for fibrotic NASH. This article summarizes the recent research achievements in novel noninvasive diagnostic methods for fibrotic NASH and elaborates on these new diagnostic methods for predicting fibrotic NASH in terms of current status, challenges faced, and prospects for future development.
The role of endoplasmic reticulum stress in non-alcoholic fatty liver disease and related targeted therapies
Xiuyan LI, Na LEI, Hongfei SONG, Ling ZENG, Dong WANG, Jie MU
2024, 40(11): 2300-2305. DOI: 10.12449/JCH241126
Abstract(1908) HTML (608) PDF (1161KB)(103)
Abstract:
Non-alcoholic fatty liver disease (NAFLD) is a series of diseases characterized by hepatic steatosis and is also a metabolism-associated disease and an important factor for liver fibrosis, liver cirrhosis, and hepatocellular carcinoma. Endoplasmic reticulum is a core organelle for the regulation of lipid metabolism, and unfolded protein response is an important process of endoplasmic reticulum stress (ERS). Based on the important stress role of endoplasmic reticulum in metabolism-associated diseases, this article explores the influencing mechanism between ERS and NAFLD and reviews the research advances in lipid metabolism, inflammatory response, hepatocyte death, fibrosis, and ERS-targeted therapies in the pathological development of NAFLD.
Systemic therapy for advanced hepatocellular carcinoma
Jiahao XU, Dongxu YIN, Yuchen LI, Fujie CHEN, Mingda WANG, Tian YANG
2024, 40(11): 2306-2314. DOI: 10.12449/JCH241127
Abstract(1753) HTML (444) PDF (1021KB)(378)
Abstract:
Hepatocellular carcinoma (HCC) is one of the most common malignancies with high morbidity and mortality rates worldwide. With the advances in molecular biology and tumor immunology, molecular-targeted agents represented by tyrosine kinase inhibitors (such as sorafenib and lenvatinib) and immunotherapy represented by PD-1/PD-L1 monoclonal antibodies have brought hope for patients with advanced HCC. The combination of immunotherapy and anti-angiogenic therapy can further improve the treatment outcome of patients. In addition, the optimization and integration of stereotactic body radiotherapy, local treatment, and systemic treatment may maximize the benefits of patients. In the future, through a deep understanding of the heterogeneity of HCC, the development of precision molecular subtyping and individualized treatment, and the establishment of a multidisciplinary collaborative diagnosis and treatment system, systemic therapy is expected to achieve long-term management of advanced HCC. This article reviews the current status and advances in systemic therapy for advanced HCC.
The mechanism of autophagy inducing drug resistance of hepatocellular carcinoma
Runbing ZHANG, Tingting SHI, Yang WU, Jiucong ZHANG, Xiaofeng ZHENG
2024, 40(11): 2315-2319. DOI: 10.12449/JCH241128
Abstract(809) HTML (247) PDF (866KB)(66)
Abstract:
Treatment resistance of hepatocellular carcinoma (HCC) is an important factor restricting its treatment outcome. Autophagy is a process involving multiple steps and targets and is closely associated with the proliferation and apoptosis of tumor cells. At the same time, there is significant crosstalk between autophagy and tumor treatment resistance. Therefore, autophagy may be one of the key factors hindering tumor cell death after medical intervention. Transforming growth factor-β (TGF-β), epithelial-mesenchymal transition (EMT), and long non-coding RNA (lncRNA) are important factors leading to drug resistance of HCC. This article discusses the possible mechanism of TGF-β, EMT, and lncRNA mediating complex molecular networks and inducing drug resistance of HCC, in order to provide new ideas for improving the sensitivity of HCC treatment.
The role of tumor necrosis factor-α in the development and progression of hepatocellular carcinoma
Lingling ZHU, Yani ZHANG, Tingting SHI, Yang WU, Chun GAO, Xiaohui YU, Yujing HE, Jiucong ZHANG
2024, 40(11): 2320-2325. DOI: 10.12449/JCH241129
Abstract(1003) HTML (372) PDF (1143KB)(75)
Abstract:
Tumor necrosis factor-α (TNF-α) is involved in the regulation of multiple biological processes such as the proliferation, invasion, migration, and chemotherapy resistance of hepatocellular carcinoma (HCC) cells through TNF receptor-mediated signaling pathways. At the same time, TNF-α also plays a role in inducing the apoptosis of HCC cells. Some TNF-α inhibitors have been shown to inhibit the progression of HCC and prolong survival time. At present, the potential mechanism of action of TNF-α in HCC remains unclear, and exploration of the interaction between TNF-α and HCC can help to determine the potential therapeutic targets for HCC. This article summarizes the latest research advances in the mechanism of action of TNF-α in HCC and introduces the possibility of targeting TNF-α as a treatment method for HCC, in order to provide a theoretical basis for the prevention and treatment of liver cancer and drug research and development.
Preventive and therapeutic effects of berberine on liver diseases and its mechanism
Huili WANG, Wenhao QIN, Dangdang YANG, Yaqian NING, Shan LIN, Songlin DAI, Bing HU
2024, 40(11): 2326-2331. DOI: 10.12449/JCH241130
Abstract(2465) HTML (1323) PDF (972KB)(104)
Abstract:
Berberine is an antipyretic and detoxicating drug commonly used in clinical practice, and it is currently used for the routine treatment of gastrointestinal diseases such as bacterial gastroenteritis and diarrhea. However, several recent studies have shown that berberine can exert a therapeutic effect on the diseases such as autoimmune hepatitis, viral hepatitis, nonalcoholic fatty liver disease, and liver cancer by regulating the AMPK and TGF-β pathways and altering the composition of intestinal flora. This provides new drugs for the treatment of these diseases, expands the potential indications of berberine, and provides clues for the follow-up research and development of similar drugs. This article summarizes the therapeutic effect and mechanism of berberine on various liver diseases, in order to provide a reference for effective clinical application.
Mechanism of cuproptosis and its role in liver diseases
Mingqiang ZHU, Xing XIE, Qicheng LIAO, Xiao HE, Youming DING, Xiaohua WANG
2024, 40(11): 2332-2337. DOI: 10.12449/JCH241131
Abstract(1336) HTML (1809) PDF (1108KB)(116)
Abstract:
Cuproptosis is a new type of cell death that depends on intracellular copper accumulation to trigger the aggregation of mitochondrial lipoacylated protein and the degradation of iron-sulfur cluster protein, with a different mechanism of action from autophagy, ferroptosis, pyroptosis, and necroptosis. Cuproptosis is closely association with the development of liver cancer and resistance to antitumor drugs, as well as the progression of various liver diseases such as hereditary liver diseases, nonalcoholic fatty liver disease, viral hepatitis, and liver cirrhosis. This article summarizes the mechanism of cuproptosis and its role in liver diseases, in order to provide a reference for further research and treatment of liver diseases.
Advances in the application of endoscopic ultrasonography in the diagnosis and treatment of cholangiocarcinoma
Hongzhao SONG, Tongtong LI, Zhenan LI, Junmin WANG
2024, 40(11): 2338-2344. DOI: 10.12449/JCH241132
Abstract(910) HTML (461) PDF (657KB)(89)
Abstract:
Endoscopic ultrasonography (EUS) can not only directly observe the morphology of the lumens of the digestive tract through the endoscope, but also perform real-time dynamic ultrasound scanning to obtain the layers of the lumen and the structure of surrounding organs. With the wide application and technical improvement of EUS, we gradually realize that it plays an important role in the diagnosis and treatment of cholangiocarcinoma. This article reviews the application of EUS in the diagnosis and treatment of cholangiocarcinoma.
Introduction of High - quality Articles in Foreign Journals
Hepatology|Harnessing ZIKV NS2A RNA for alleviating acute hepatitis and cytokine release storm by targeting translation machinery
2024, 40(11): 2182-2182. DOI: 10.12449/JCH2411.gwqkjpwzjj1
Abstract(399) HTML (182) PDF (1244KB)(48)
Abstract:
Journal of Hepatology|Functional cure of hepatitis B in patients with cancer undergoing immune checkpoint inhibitor therapy
2024, 40(11): 2237-2237. DOI: 10.12449/JCH2411.gwqkjpwzjj2
Abstract(432) HTML (182) PDF (1225KB)(62)
Abstract:
Hepatology|Integrated ubiquitomics characterization of hepatocellular carcinoma
2024, 40(11): 2245-2245. DOI: 10.12449/JCH2411.gwqkjpwzjj3
Abstract(482) HTML (210) PDF (832KB)(74)
Abstract:
Acknowledgements
Current reviewers
2024, 40(11): 2299-2299. DOI: 10.12449/JCH2411.zhixie
Abstract(264) HTML (139) PDF (817KB)(58)
Abstract: