中文English
ISSN 1001-5256 (Print)
ISSN 2097-3497 (Online)
CN 22-1108/R
Volume 40 Issue 11
Nov.  2024
Turn off MathJax
Article Contents

Expression of CXCL10 and CXCL12 in gallbladder carcinoma and their mechanism of action in tumor invasion

DOI: 10.12449/JCH241120
Research funding:

Hubei Provincial Natural Science Foundation (2021CFB001)

More Information
  • Corresponding author: HU Hua, ydiyaya@163.com (ORCID: 0009-0000-0904-2694)
  • Received Date: 2024-02-28
  • Accepted Date: 2024-05-10
  • Published Date: 2024-11-25
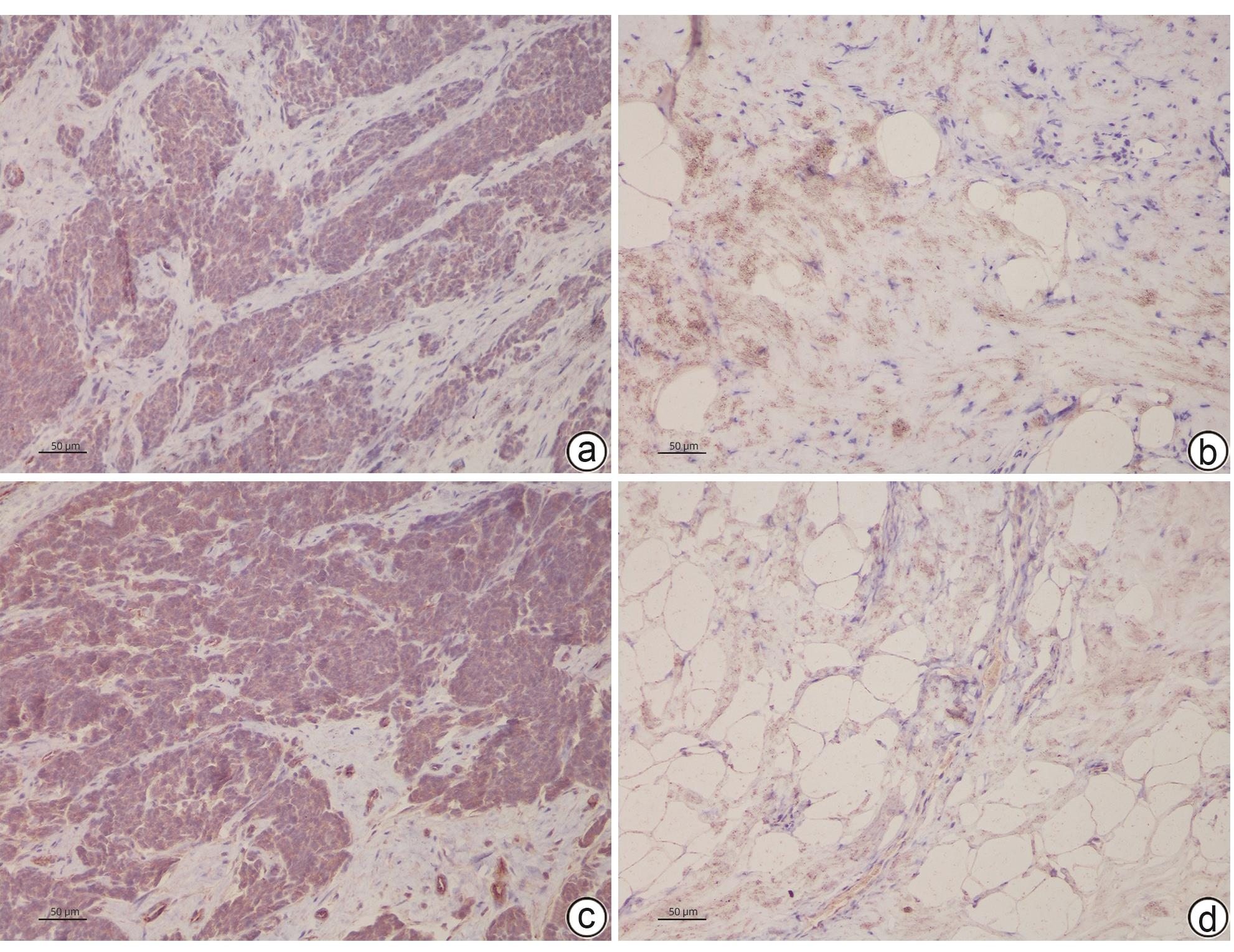
  •   Objective  To investigate the expression levels of CXCL10 and CXCL12 in gallbladder carcinoma and their mechanism of action in tumor invasion.  Methods  Tumor tissue samples and adjacent tissue samples were collected from 56 patients with gallbladder carcinoma who underwent surgical resection in General Hospital of Central Theater Command from April 2020 to April 2023. RT-PCR was used to measure the mRNA expression levels of CXCL10 and CXCL12 in cancerous tissue and adjacent tissue, and the correlation of the mRNA expression levels of CXCL10 and CXCL12 in cancerous tissue with clinicopathological parameters was analyzed. The human gallbladder carcinoma cell line GBC-SD was used to construct gallbladder carcinoma cells with low expression of CXCL10 and CXCL12. CCK8 assay was used to observe the effect of low expression of CXCL10 and CXCL12 on the proliferation of gallbladder carcinoma cells, Transwell assay was used to observe the effect of low expression of CXCL10 and CXCL12 on the invasion ability of gallbladder carcinoma cells, and Western blot was used to measure the expression of the PI3K/Akt pathway in gallbladder carcinoma cells. The paired t-test or independent-samples t-test was used for comparison of measurement data between two groups; an analysis of variance was used for comparison between multiple groups, and the least significant difference t-test was used for further comparison between two groups.  Results  In the patients with gallbladder carcinoma, the relative mRNA expression levels of CXCL10 and CXCL12 in cancerous tissue were significantly higher than those in adjacent tissue (CXCL10: 1.857±0.315 vs 1.024±0.203, t=16.342, P<0.05; CXCL12: 2.038±0.374 vs 1.064±0.221, t=16.778, P<0.05). There were significant differences in the relative mRNA expression levels of CXCL10 and CXCL12 between the patients with different TNM stages, presence or absence of lymph node metastasis or distant metastasis, and tumor diameters (all P<0.05). Compared with the control group and the si-RNA group, the si-CXCL10 group had significantly lower relative mRNA and protein expression levels of CXCL10 and CXCL12, CCK-8 absorbance values, number of cell migration, and protein expression levels of p-PI3K and p-Akt (all P<0.05).  Conclusion  There are increases in the expression of CXCL10 and CXCL12 in gallbladder carcinoma tissue, and the proliferation and invasion of gallbladder carcinoma cells are significantly inhibited after inhibition of the expression of CXCL10 and CXCL12, which might be associated with the inhibition of the phosphorylation of the PI3K/Akt pathway.

     

  • loading
  • [1]
    ROA JC, BASTURK O, ADSAY V. Dysplasia and carcinoma of the gallbladder: Pathological evaluation, sampling, differential diagnosis and clinical implications[J]. Histopathology, 2021, 79( 1): 2- 19. DOI: 10.1111/his.14360.
    [2]
    GIRALDO NA, DRILL E, SATRAVADA BA, et al. Comprehensive molecular characterization of gallbladder carcinoma and potential targets for intervention[J]. Clin Cancer Res, 2022, 28( 24): 5359- 5367. DOI: 10.1158/1078-0432.CCR-22-1954.
    [3]
    LIU ZX, ZHOU SB, ZHANG ZY, et al. SDC1 knockdown promotes invasion and migration of gallbladder cancer cells via ERK signaling pathway[J]. J Mod Oncol, 2021, 29( 21): 3726- 3731. DOI: 10.3969/j.issn.1672-4992.2021.21.006.

    刘子祥, 周少波, 张子艳, 等. 沉默SDC1通过ERK信号通路促进胆囊癌细胞的侵袭和迁移[J]. 现代肿瘤医学, 2021, 29( 21): 3726- 3731. DOI: 10.3969/j.issn.1672-4992.2021.21.006.
    [4]
    KORBECKI J, KOJDER K, KAPCZUK P, et al. The effect of hypoxia on the expression of CXC chemokines and CXC chemokine receptors-a review of literature[J]. Int J Mol Sci, 2021, 22( 2): 843. DOI: 10.3390/ijms22020843.
    [5]
    SUN XT, HE XK, ZHANG Y, et al. Inflammatory cell-derived CXCL3 promotes pancreatic cancer metastasis through a novel myofibroblast-hijacked cancer escape mechanism[J]. Gut, 2022, 71( 1): 129- 147. DOI: 10.1136/gutjnl-2020-322744.
    [6]
    Biliary Surgery Group of Surgery Branch of Chinese Medical Association. Guideline for the diagnosis and treatment of gallbladder carcinoma(2015 edition)[J]. J Clin Hepatol, 2016, 32( 3): 411- 419. DOI: 10.3969/j.issn.1001-5256.2016.03.002.

    中华医学会外科学分会胆道外科学组. 胆囊癌诊断和治疗指南(2015版)[J]. 临床肝胆病杂志, 2016, 32( 3): 411- 419. DOI: 10.3969/j.issn.1001-5256.2016.03.002.
    [7]
    YUAN B, ZHAO XF, WANG X, et al. Patient-derived organoids for personalized gallbladder cancer modelling and drug screening[J]. Clin Transl Med, 2022, 12( 1): e678. DOI: 10.1002/ctm2.678.
    [8]
    LIU YB, CHEN W. Current situation and prospect in the clinical treatment of gallbladder cancer[J]. Chin J Dig Surg, 2023, 22( 1): 81- 88. DOI: 10.3760/cma.j.cn115610-20230109-00013.

    刘颖斌, 陈炜. 胆囊癌临床治疗的现状与展望[J]. 中华消化外科杂志, 2023, 22( 1): 81- 88. DOI: 10.3760/cma.j.cn115610-20230109-00013.
    [9]
    KAMAYA A, FUNG C, SZPAKOWSKI JL, et al. Management of incidentally detected gallbladder polyps: Society of radiologists in ultrasound consensus conference recommendations[J]. Radiology, 2022, 305( 2): 277- 289. DOI: 10.1148/radiol.213079.
    [10]
    WANG LM, XU MF, KAO CY, et al. Small molecule JQ1 promotes prostate cancer invasion via BET-independent inactivation of FOXA1[J]. J Clin Invest, 2020, 130( 4): 1782- 1792. DOI: 10.1172/JCI126327.
    [11]
    WAN GQ, LIU YH, ZHU J, et al. SLFN5 suppresses cancer cell migration and invasion by inhibiting MT1-MMP expression via AKT/GSK-3β/β-catenin pathway[J]. Cell Signal, 2019, 59: 1- 12. DOI: 10.1016/j.cellsig.2019.03.004.
    [12]
    LEI JJ, ZHANG J, ZHANG D, et al. Research progress of perineural invasion in gallbladder cancer[J]. Chin J Dig Surg, 2023, 22( 7): 933- 937. DOI: 10.3760/cma.j.cn115610-20230606-00266.

    雷建军, 张健, 张东, 等. 胆囊癌神经浸润研究进展[J]. 中华消化外科杂志, 2023, 22( 7): 933- 937. DOI: 10.3760/cma.j.cn115610-20230606-00266.
    [13]
    ZHANG GL, LUO X, ZHANG W, et al. CXCL-13 regulates resistance to 5-fluorouracil in colorectal cancer[J]. Cancer Res Treat, 2020, 52( 2): 622- 633. DOI: 10.4143/crt.2019.593.
    [14]
    YANG YR, LI JY, LEI WR, et al. CXCL12-CXCR4/CXCR7 axis in cancer: From mechanisms to clinical applications[J]. Int J Biol Sci, 2023, 19( 11): 3341- 3359. DOI: 10.7150/ijbs.82317.
    [15]
    HEIDEGGER I, FOTAKIS G, OFFERMANN A, et al. Comprehensive characterization of the prostate tumor microenvironment identifies CXCR4/CXCL12 crosstalk as a novel antiangiogenic therapeutic target in prostate cancer[J]. Mol Cancer, 2022, 21( 1): 132. DOI: 10.1186/s12943-022-01597-7.
    [16]
    ZHANG YY, LI J, NIU YX, et al. Expression of CXC chemokine ligand 13 in cervical cancer and its effect on proliferation and migration of cervical cancer cells[J]. Chin J Gerontol, 2023, 43( 10): 2534- 2537. DOI: 10.3969/j.issn.1005-9202.2023.10.062.

    张燕怡, 李娟, 牛煜欣, 等. 宫颈癌中CXC趋化因子配体13表达及其对宫颈癌细胞增殖和迁移的影响[J]. 中国老年学杂志, 2023, 43( 10): 2534- 2537. DOI: 10.3969/j.issn.1005-9202.2023.10.062.
    [17]
    ZHOU Y, SHEN XN, CHEN ZH, et al. Expression and clinical significance of CC chemokine receptor 4 in colorectal cancer[J]. China Med Herald, 2023, 20( 11): 19- 22, 36. DOI: 10.20047/j.issn1673-7210.2023.11.04.

    周元, 沈徐宁, 陈治横, 等. 结直肠癌中CC趋化因子受体4的表达及临床意义[J]. 中国医药导报, 2023, 20( 11): 19- 22, 36. DOI: 10.20047/j.issn1673-7210.2023.11.04.
    [18]
    CHANG XD, LI HY, CHEN J, et al. The role and mechanism of human umbilical cord-derived mesenchymal stem cells in invasive of human pancreatic cancer cells[J]. Clin J Med Off, 2022, 50( 12): 1211- 1214. DOI: 10.16680/j.1671-3826.2022.12.01.

    常旭东, 李宏宇, 陈江, 等. 人脐带间充质干细胞对人胰腺癌细胞侵袭能力调控作用及机制研究[J]. 临床军医杂志, 2022, 50( 12): 1211- 1214. DOI: 10.16680/j.1671-3826.2022.12.01.
    [19]
    CHEN DL, SHENG H, ZHANG DS, et al. The circular RNA circDLG1 promotes gastric cancer progression and anti-PD-1 resistance through the regulation of CXCL12 by sponging miR-141-3p[J]. Mol Cancer, 2021, 20( 1): 166. DOI: 10.1186/s12943-021-01475-8.
    [20]
    D’ALTERIO C, GIARDINO A, SCOGNAMIGLIO G, et al. CXCR4-CXCL12-CXCR7 and PD-1/PD-L1 in pancreatic cancer: CXCL12 predicts survival of radically resected patients[J]. Cells, 2022, 11( 21): 3340. DOI: 10.3390/cells11213340.
    [21]
    HIRTH M, GANDLA J, HÖPER C, et al. CXCL10 and CCL21 promote migration of pancreatic cancer cells toward sensory neurons and neural remodeling in tumors in mice, associated with pain in patients[J]. Gastroenterology, 2020, 159( 2): 665- 681. e 13. DOI: 10.1053/j.gastro.2020.04.037.
    [22]
    GLAVIANO A, FOO ASC, LAM HY, et al. PI3K/AKT/mTOR signaling transduction pathway and targeted therapies in cancer[J]. Mol Cancer, 2023, 22( 1): 138. DOI: 10.1186/s12943-023-01827-6.
    [23]
    EDIRIWEERA MK, TENNEKOON KH, SAMARAKOON SR. Role of the PI3K/AKT/mTOR signaling pathway in ovarian cancer: Biological and therapeutic significance[J]. Semin Cancer Biol, 2019, 59: 147- 160. DOI: 10.1016/j.semcancer.2019.05.012.
  • 加载中

Catalog

    通讯作者: 陈斌, bchen63@163.com
    • 1. 

      沈阳化工大学材料科学与工程学院 沈阳 110142

    1. 本站搜索
    2. 百度学术搜索
    3. 万方数据库搜索
    4. CNKI搜索

    Figures(3)  / Tables(5)

    Article Metrics

    Article views (833) PDF downloads(68) Cited by()
    Proportional views
    Related

    /

    DownLoad:  Full-Size Img  PowerPoint
    Return
    Return