中文English
ISSN 1001-5256 (Print)
ISSN 2097-3497 (Online)
CN 22-1108/R

Vol.40 No.10 (288 in total) Oct. 2024
Theme Issue: Advances in Traditional Chinese Medicine Treatment of Fatty Liver
Executive Chief Editor: LI Xiuhui  
Beijing YouAn Hospital,Capital Medical University

Display Method:
Editorial
Research advances in traditional Chinese medicine syndromes of fatty liver disease
Junting SAI, Xiuhui LI
2024, 40(10): 1929-1932. DOI: 10.12449/JCH241001
Abstract(2966) HTML (780) PDF (595KB)(184)
Abstract:
Fatty liver disease can be classified into alcoholic fatty liver disease and nonalcoholic fatty liver disease based on etiology, and it has become the most important liver disease worldwide. Due to the differences in the etiology and pathological mechanism of fatty liver disease, it may manifest as different traditional Chinese medicine syndromes during different pathological stages. The syndrome is based on the pathogenesis in a certain stage and is the basis for syndrome differentiation in traditional Chinese medicine. At present, there is still a lack of unified studies on the syndrome of fatty liver disease, and different methods for syndrome differentiation have obtained different syndrome types, which affects the syndrome differentiation-based treatment in clinical practice. This article briefly introduces the clinical studies on the syndrome types of fatty liver disease conducted by doctors of all dynasties and modern doctors and further emphasizes the significance of standard and accurate determination of the traditional Chinese medicine syndrome types of fatty liver disease in syndrome differentiation-based treatment.
Expert Forum
Active components of traditional Chinese medicine and their compound prescriptions in prevention and treatment of nonalcoholic fatty liver disease: Current status and prospects
Yuqing PAN, Aojie MAO, Chuchu YU, Yiyang HU
2024, 40(10): 1933-1941. DOI: 10.12449/JCH241002
Abstract(2673) HTML (987) PDF (838KB)(278)
Abstract:
Nonalcoholic fatty liver disease (NAFLD) is currently a chronic liver disease with the highest prevalence rate in the world, with complex pathogeneses and limited clinical treatment methods. Over the past 20 years, the discovery of active components for NAFLD treatment from traditional Chinese medicine and compound prescriptions of the components that can exert a multi-target effect has been one of the research hotspots. Based on the chemical components of traditional Chinese medicine, this article elaborates on the active components with a promising future in the treatment of NAFLD, including flavonoids, phenols, terpenoids, alkaloids, and saponins, as well as the compound prescriptions of active components with a synergistic effect, in order to provide new ideas for the strategies of pharmacotherapy for NAFLD.
Effect and mechanism of external therapy of traditional Chinese medicine in treatment of nonalcoholic fatty liver disease
Wenxia ZHAO, Peiwei YANG
2024, 40(10): 1942-1948. DOI: 10.12449/JCH241003
Abstract(2530) HTML (711) PDF (860KB)(144)
Abstract:
Nonalcoholic fatty liver disease (NAFLD) is a common metabolic disease, and in recent years, the incidence rate of NAFLD is gradually increasing, which seriously threatens human health. As a traditional treatment method, external therapy of traditional Chinese medicine (TCM) has shown unique advantages and potential in the treatment of NAFLD. This article provides a detailed analysis of the TCM understanding of the etiology and pathogenesis of NAFLD, the application of TCM external therapy in clinical research, and the research on its therapeutic mechanism, in order to provide reference and guidance for further research in this field.
Theoretical and clinical practice of metabolic associated fatty liver disease based on the theory of “six stagnation diseases”
Guangdong TONG, Yuxin SUN
2024, 40(10): 1949-1953. DOI: 10.12449/JCH241004
Abstract(2144) HTML (381) PDF (664KB)(119)
Abstract:
Metabolic associated fatty liver disease (MAFLD) has become the most common liver disease in the world, including simple hepatic steatosis, steatohepatitis, liver fibrosis/cirrhosis, and liver cancer, and it is often associated with metabolic syndrome. MAFLD has complex pathological manifestations, and there are still no new drugs on the market in China. In the past, traditional Chinese medicine often treated this disease from the perspective of food, phlegm-dampness, damp-heat, or liver depression and spleen deficiency, but a detailed analysis showed that the pathological process of the disease was consistent with the theory of “six stagnation diseases” in traditional Chinese medicine. This article briefly introduces the origin of the pathogenic theory of “six stagnation diseases”, the pathological features of the “six stagnation diseases” leading to fatty liver disease, the key points of syndrome differentiation and treatment, and clinical practice, so as to promote clinical treatment through an in-depth understanding of the traditional Chinese medicine pathogenesis of MAFLD.
Research advances in the pathogenesis of metabolic associated fatty liver disease
Shukun YAO, Jing LIU, Tianhui ZHOU
2024, 40(10): 1954-1958. DOI: 10.12449/JCH241005
Abstract(1962) HTML (810) PDF (679KB)(167)
Abstract:
Metabolic associated fatty liver disease (MAFLD) is currently the most common liver disease around the world. MAFLD may easily progress to the adverse outcomes such as hepatitis, liver fibrosis, and liver cirrhosis, and it is often accompanied by comorbidities such as diabetes, hypertension, hyperlipidemia, hyperuricemia, and cardiovascular and cerebrovascular diseases. Etiological treatment is the cornerstone of MAFLD treatment, and due to the complexity and adverse outcome of MAFLD, it is of great significance to explore the pathogenesis of MAFLD and develop effective prevention and treatment regimens and drugs. This article reviews the pathogenesis of MAFLD from the aspects of genetic factors, improper diet and oxidative stress, spleen-stomach damp-heat and insulin resistance, damp-heat and pathogenic Qi, organic acid metabolism, and intestinal microecology.
Guideline
Expert consensus on Traditional Chinese Medicine diagnosis and treatment of jaundice(2023)
Branch of Gastrointestinal Diseases, China Association of Chinese Medicine
2024, 40(10): 1959-1966. DOI: 10.12449/JCH241006
Abstract(2438) HTML (1594) PDF (1067KB)(298)
Abstract:
Jaundice is one of the common clinical symptoms,which is characterized by eyes stained yellow especially. The classification and prescription of jaundice are improved continuously. This consensus describes the history of jaundice,etiology and pathogenesis,common symptoms,clinical treatment,evaluation of therapeutic effect,preventive regimen and regression follow-up,highlighting its clinical practicality and reflecting the latest research progress.
Chinese expert consensus on single-incision laparoscopic cholecystectomy (2024 edition)
Minimally Invasive Surgery Committee of the Chinese Research Hospital Association
2024, 40(10): 1967-1972. DOI: 10.12449/JCH241007
Abstract(2523) HTML (1492) PDF (908KB)(493)
Abstract:
An excerpt of American College of Gastroenterology guidelines: Management of acute pancreatitis (2024)
Yingxiao SONG, Huiyun ZHU, Yiqi. DU
2024, 40(10): 1973-1975. DOI: 10.12449/JCH241008
Abstract(3917) HTML (1853) PDF (478KB)(920)
Abstract:
The American College Gastroenterology (ACG) recently released the 2024 edition of Guidelines for the management of acute pancreatitis. The guidelines first discuss the diagnosis, etiology, severity, and early management of acute pancreatitis, as well as the management of complications, especially pancreatic necrosis, and then the guidelines propose the clinical decisions such as antibiotics, nutrition, endoscopy, radiology, and surgical intervention. This article makes an excerpt of the key concepts and recommendations in the guidelines.
Viral Hepatitis
Risk factors for the prognosis of elderly patients with hepatitis B virus-related acute-on-chronic liver failure and construction of a nomogram model for risk prediction
Shihua ZHANG, Chengzhi BAI, Chunyan LI, Limao XU, Huaqian XU, Shanhong TANG
2024, 40(10): 1976-1984. DOI: 10.12449/JCH241009
Abstract(1258) HTML (289) PDF (1398KB)(129)
Abstract:
  Objective  To investigate the clinical features of elderly patients with hepatitis B virus-related acute-on-chronic liver failure (HBV-ACLF) and the risk factors affecting the short-term prognosis of patients.  Methods  A retrospective analysis was performed for 417 patients with HBV-ACLF who were admitted to The General Hospital of Western Theater Command from January 2015 to January 2023, and related clinical data were collected, including general status, routine blood test results, biochemical parameters, and conditions of liver cirrhosis and decompensated events (ascites, hepatic encephalopathy, and their severities). The patients were followed up to observe 90-day survival. According to the age, the patients were divided into elderly group (with 106 patients aged ≥60 years) and non-elderly group (with 311 patients aged<60 years), and according to the 90-day survival, the elderly group were further divided into survival group with 41 patients and death/transplantation group with 65 patients. The independent-samples t test or the Mann-Whitney U test was used for comparison of quantitative data between two groups, and the chi-square test was used for comparison of qualitative data between two groups. The binary logistic regression analysis was used to determine the independent influencing factors for the risk of death within 90 days in elderly patients with HBV-ACLF, and a nomogram model was constructed for predicting the risk of death. The receiver operating characteristic (ROC) curve was used to investigate the value of the model in predicting the prognosis of HBV-ACLF patients in both the training set and the validation set. Calibration curve and decision curve were plotted for the models constructed in the training set and the validation set, and the model was assessed in terms of the degree of fitness and predicting benefits.  Results  The elderly patients had a significantly higher 90-day mortality rate than the non-elderly patients (P<0.05), and compared with the non-elderly group, the elderly group had significantly higher incidence rate in female individuals, basic incidence rate of liver cirrhosis, incidence rate and grade of hepatic encephalopathy, incidence rate of ascites, and liver fibrosis markers (aspartate aminotransferase-to-platelet ratio index and fibrosis-4) (all P<0.05), as well as significantly lower total cholesterol, high-density lipoprotein, albumin, alpha-fetoprotein, and lymphocytes (all P<0.05). As for the elderly patients with HBV-ACLF, there were significant differences between the survival group and the death/transplantation group in total cholesterol, total bilirubin, international normalized ratio (INR), alpha-fetoprotein, platelet, creatinine, serum sodium, monocytes, and the incidence rate and grade of hepatic encephalopathy (all P<0.05). In addition, the multivariate logistic regression analysis showed that INR (odds ratio [OR]=11.351, 95% confidence interval [CI]: 1.942‍ ‍—‍ ‍66.362, P<0.05), monocyte count (OR=23.636, 95%CI: 1.388‍ ‍—‍ ‍402.529, P<0.05), total bilirubin (OR=1.007, 95%CI: 1.001‍ ‍—‍ ‍1.013, P<0.05), and platelet count (OR=0.968, 95%CI: 0.945‍ ‍—‍ ‍0.993, P<0.05) were independent influencing factors for the 90-day prognosis of elderly patients with HBV-ACLF, and the nomogram model constructed based on these factors had a relatively high predictive value, with an area under the ROC curve of 0.915, a sensitivity of 88.0%, and a specificity of 86.7%. The nomogram model showed relatively high efficiency and degree of fitness in the verification set, and the decision curve suggested that the model had good benefits, with a higher prediction efficiency compared with the commonly used prediction models such as MELD score and COSSH-ACLF Ⅱ score.  Conclusion  Elderly HBV-ACLF patients may have a high short-term mortality rate due to the reductions in liver synthesis, reserve function, and regenerative ability and immune dysfunction. INR, monocyte count, total bilirubin, and platelet count have a relatively high value in predicting the risk of death in elderly HBV-ACLF patients, and the nomogram model constructed based on these factors has a relatively high prediction efficiency.
Influence of metabolism-related factors on the short-term prognosis of patients with hepatitis B virus-related acute-on-chronic liver failure and establishment of a predictive model
Wenling LUO, Yu ZENG, Xuemei ZHANG, Yunjian SHENG
2024, 40(10): 1985-1991. DOI: 10.12449/JCH241010
Abstract(839) HTML (329) PDF (903KB)(98)
Abstract:
  Objective  To investigate the influence of metabolism-related factors (overweight and/or obesity, hyperglycemia, hypertension and dyslipidemia)on the 90-day prognosis of patients with hepatitis B virus-related acute-on-chronic liver failure (HBV-ACLF), and to establish a predictive model.  Methods  A retrospective analysis was performed for the clinical data of 365 patients with HBV-ACLF who were hospitalized in Department of Infectious Diseases, The Affiliated Hospital of Southwest Medical University, from June 2018 to June 2022, and according to the 90-day follow-up results, they were divided into survival group with 273 patients and death group with 92 patients. General information and related laboratory markers were collected from all patients. The t-test was used for comparison of normally distributed continuous data between groups, and the Mann-Whitney U test was used for comparison of non-normally distribution continuous data between groups; the chi-square test was used for comparison of categorical data between groups. A Logistic regression analysis was used to determine whether metabolism-related factors were independent risk factors for the 90-day prognosis of HBV-ACLF patients, and the Kaplan-Meier analysis was used to investigate the correlation between metabolism-related factors and the 90-day survival rate of HBV-ALCF patients. The area under the ROC curve (AUC) was used to compare the value of different scoring models in predicting the 90-day prognosis of HBV-ACLF patients.  Results  The multivariate Logistic regression analysis showed that hypertension (odds ratio [OR]=4.698, 95% confidence interval [CI]: 1.904‍ ‍—‍ ‍11.593, P=0.001), alanine aminotransferase (OR=0.999, 95%CI: 0.999‍ ‍—‍ ‍1.000, P=0.010), triglyceride (TG) (OR=4.979, 95%CI: 2.433‍ ‍—‍ ‍10.189, P<0.001), high-density lipoprotein cholesterol (OR=0.258, 95%CI: 0.087‍ ‍—‍ ‍0.762, P=0.012), apolipoprotein B (OR=0.118, 95%CI: 0.026‍ ‍—‍ ‍0.547, P=0.006), and CLIF-C OF score (OR=2.275, 95%CI: 1.150‍ ‍—‍ ‍4.502, P<0.001) were independent influencing factors for the short-term prognosis of HBV-ACLF. The combined predictive model of metabolism-related factors had a larger AUC than the predictive model of a single factor, among which the predictive model of hypertension+TG+CLIF-C OF score had the largest AUC of 0.886. The patients with metabolism-related factors tended to have higher incidence rate of liver complications and 30- and 90-day mortality rates.  Conclusion  The presence of the metabolism-related factors such as hypertension and dyslipidemia can increase the severity of HBV-ACLF and the risk of short-term mortality, and the hypertension+TG+CLIF-C OF score predictive model has a good value in predicting the short-term prognosis of HBV-ACLF patients.
Fatty Liver Disease
The genetic association between nonalcoholic fatty liver disease and type 2 diabetes mellitus in different body mass index categories: A bidirectional Mendelian randomization study
Haoxin DUAN, Yuyong JIANG, Tingyu WU, Feixiang XIONG, Yandan JIANG, Qin ZHANG, Saisai ZHAO, Hao YU
2024, 40(10): 1992-1999. DOI: 10.12449/JCH241011
Abstract(1461) HTML (527) PDF (3023KB)(99)
Abstract:
  Objective  To investigate the genetic association between nonalcoholic fatty liver disease (NAFLD) and type 2 diabetes mellitus (T2DM) using bidirectional two-sample Mendelian randomization (MR), as well as the causal relationship between NAFLD and T2DM across different body mass index (BMI) categories.  Methods  The data were derived from genome-wide association studies conducted in European populations, with a sample size of 32 941 cases for NAFLD, 312 646 cases for T2DM, and 681 275 cases for BMI. The univariate and multivariate MR methods were used to assess the bidirectional causal relationship between NAFLD and T2DM in the general population and across different BMI subtypes. The methods of inverse-variance weighting, MR-Egger regression, constrained maximum likelihood and model averaging, and weighted median were used to conduct the MR analysis, and MR-Pleiotropy Residual Sum and Outlier, radial MR, the MR-Egger intercept method, and the Cochrane Q test were used for sensitivity analysis.  Results  The univariate MR analysis revealed a bidirectional causal relationship between NAFLD and T2DM in the general population (forward analysis: odds ratio [OR]=9.75, 95% confidence interval [CI]: 2.57‍ ‍—‍ ‍37.00, P<0.001; reverse analysis: OR=1.01, 95%CI: 1.00‍ ‍—‍ ‍1.01, P<0.01). After adjustment for BMI, the multivariate MR analysis showed that the causal relationship between NAFLD and T2DM remained significant in the general population (OR=33.12, 95%CI: 7.57‍ ‍—‍ ‍144.95, P<0.000 1). The subgroup analysis showed a causal relationship between NAFLD and T2DM across all BMI subtypes (lean subgroup: OR=12.19, 95%CI: 3.35‍ ‍—‍ ‍44.40, P<0.001; overweight subgroup: OR=4.30, 95%CI: 1.69‍ ‍—‍ ‍10.92, P<0.01; obese subgroup: OR=1.67, 95%CI: 1.14‍ ‍—‍ ‍2.44, P<0.01).  Conclusion  This study reveals the causal relationship between NAFLD and T2DM in the general population of NAFLD and across different BMI subtypes from a genetic perspective.
Effect of Bacillus licheniformis preparation on hepatic steatosis and intestinal mucosal barrier function in a rat model of nonalcoholic fatty liver disease
Chunyan ZHAO, Yiqun LI, Li LI
2024, 40(10): 2000-2007. DOI: 10.12449/JCH241012
Abstract(948) HTML (293) PDF (4213KB)(83)
Abstract:
  Objective  To investigate the effects of Bacillus licheniformis on liver histopathology and intestinal mucosal barrier function in rats with nonalcoholic fatty liver disease(NAFLD).  Methods  A total of 30 male Sprague-Dawley rats were randomly divided into normal control group (Control group with 5 rats), model group (Mod group with 15 rats), low-dose Bacillus licheniformis group (BLL group with 5 rats), and high-dose Bacillus licheniformis group (BLH group with 5 rats). The rats in the Control group were fed with normal diet, and those in the Mod, BLL, and BLH groups were fed with high-fat diet for 16 weeks; after 8 weeks of feeding with high-fat diet, the rats in the BLL and BLH groups were given Bacillus licheniformis preparation by gavage once a day for 8 consecutive weeks at a dose of 2.5×107 CFU/kg and 5.0×107 CFU/kg, respectively. The serum levels of alanine aminotransferase (ALT), aspartate aminotransferase (AST), total cholesterol (TC), triglyceride (TG), fasting plasma glucose (FPG), superoxide dismutase (SOD), catalase (CAT), malondialdehyde (MDA), interleukin-6 (IL-6), interleukin-1β (IL-1β), and tumor necrosis factor-α (TNF-α) were measured after the 8 weeks of intervention; HE staining was used to observe the histopathological changes of rat liver, and NAFLD activity score (NAS) was used for scoring; transmission electron microscopy was used to observe the tight junction of the intestinal mucosa; immunohistochemical staining was used to measure the expression of myosin light chain kinase (MLCK) in intestinal mucosa, and quantitative real-time PCR was used to measure the mRNA expressional level of MLCK in intestinal mucosa; high-throughput 16S rRNA sequencing was used to analyze the composition of intestinal microbiota. A one-way analysis of variance was used for comparison between groups, and the Bonferroni method was used for multiple comparisons.  Results  Compared with the Mod group, the BLH and BLL groups had significant reductions in the serum levels of ALT, AST, TC, TG, FPG, IL-1β, and TNF-α, a significant increase in the level of SOD, significant alleviation of hepatocyte steatosis, a significant reduction in NAS score, recovery of the tight junction of intestinal mucosa, and significant reductions in the protein and mRNA expression levels of MLCK (all P<0.05). In addition, compared with the Mod group, the BLH group had a significant increase in CAT and significant reductions in MDA and IL-6 (all P<0.05). Compared with the BLL group, the BLH group had significant reductions in the serum levels of MDA, IL-6, and TNF-α and a significant increase in CAT, as well as significant reductions in the protein and mRNA expression levels of MLCK (all P<0.05). The analysis of intestinal microbiota showed that compared with the Mod group, the BLH and BLL groups had recovery of the relative abundances of Firmicutes and Bacteroidetes, and the relative abundances of Firmicutes and Bacteroidetes in the BLH group were closer to those in the Control group.  Conclusion  Bacillus licheniformis preparation can effectively alleviate hepatic steatosis in NAFLD rats, possibly by downregulating the expression level of MLCK and improving the tight junction structure of intestinal mucosa.
Liver Fibrosis and Liver Cirrhosis
Efficacy and safety of tenofovir alafenamide fumarate in patients with first-time hepatitis B virus-related decompensated cirrhosis
Xinxin RONG, Yuanyuan XU, Guangde YANG, Xia WANG, Juanjuan FU, Li LI, Xiucheng PAN
2024, 40(10): 2008-2013. DOI: 10.12449/JCH241013
Abstract(2755) HTML (391) PDF (736KB)(181)
Abstract:
  Objective  To investigate the application value of tenofovir alafenamide fumarate (TAF) in patients with first-time hepatitis B virus-related decompensated cirrhosis (HBV-DC) and its impact on renal function and lipid metabolism.  Methods  A total of 57 patients with first-time HBV-DC who were hospitalized and received TAF antiviral therapy in The Affiliated Hospital of Xuzhou Medical University from January 1, 2020 to December 31, 2022 were enrolled, and all of them received TAF antiviral therapy. Related data were collected at baseline and at weeks 12, 24, and 48 of treatment, including virological and serological indicators, liver and renal function, serum phosphorus, and blood lipids. The paired t-test or single group repeated measures ANOVA were used for comparison of normally distributed continuous data, the Friedman test was used for comparison of non-normally distributed continuous data, and the chi-square test or the Fisher’s exact test were used for categorical data.  Results  A total of 52 patients completed the 48 weeks of follow-up. After 12, 24, and 48 weeks of treatment, the patients achieving HBV DNA seroconversion accounted for 38.5%, 63.5%, and 84.6%, respectively; the alanine aminotransferase normalization rate were 71.2%, 82.7%, and 82.7%, respectively; the proportion of the patients with Child-Pugh class A disease increased to 55.8%, 73.1%, and 92.3%, respectively. Within the 48 weeks of treatment, there were significant increases in the levels of cystatin C (χ2=35.163, P<0.001) and serum phosphorus (F=8.600, P<0.001) and low-density lipoprotein cholesterol (χ2=10.064,P=0.018). The ratio of total cholesterol/high-density lipoprotein cholesterol decreased continuously from 3.61 (2.61~5.84) to 3.27 (2.70~4.36) (χ2=5.000, P=0.172).  Conclusion  TAF can rapidly inhibit HBV replication and significantly improve liver function in HBV-DC patients, with no significant impact on renal function. However, blood lipid should be closely monitored.
Liver Neoplasm
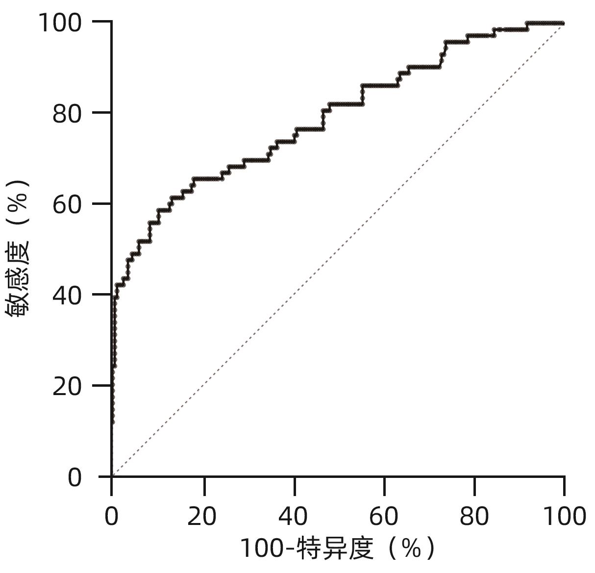
Efficacy of des-γ-carboxy-prothrombin in the diagnosis of hepatocellular carcinoma and its association with the clinical features of hepatocellular carcinoma
Zhi LIU, Xiaohong DU, Wengang CHAI
2024, 40(10): 2014-2018. DOI: 10.12449/JCH241014
Abstract(1240) HTML (803) PDF (917KB)(131)
Abstract:
  Objective  To investigate the value of des-γ-carboxy-prothrombin (DCP) in hepatocellular carcinoma (HCC).  Methods  A retrospective analysis was performed for the clinical data of 179 HCC patients who were admitted to The First Hospital of Jilin University from January 2020 to July 2021, and 207 healthy controls were enrolled as normal group. Magnetic particle chemiluminescence immunoassay was used to measure the serological levels of alpha-fetoprotein (AFP) and DCP. The receiver operating characteristic (ROC) curve was plotted for each indicator measured alone or in combination, and the area under the ROC curve (AUC) was calculated to investigate the value of DCP combined with AFP versus AFP alone in the diagnosis of HCC and the diagnostic efficacy of DCP in AFP-negative patients. The Mann-Whitney U test was used for comparison of non-normally distributed continuous data between groups; the ROC curve was used to evaluate diagnostic efficiency; the Spearman correlation analysis was used to investigate the correlation of tumor markers with the pathological features of HCC.  Results  The patients with HCC had significantly higher serum levels of AFP and DCP than the normal group (Z=-9.562 and -11.678, P<0.05), and combined measurement of DCP and AFP had a better value than AFP measured alone (Z=5.309, P<0.01). DCP had certain capability in the diagnosis of AFP-negative HCC patients, with an AUC of 0.789 (P<0.000 1), a sensitivity of 61.64%, and a specificity of 86.47%. Serum DCP level was positively correlated with tumor size (r=0.546, P<0.001), TNM stage (r=0.306, P<0.001), and microvascular invasion (r=0.358,P<0.001) and was negatively correlated with the degree of tumor differentiation (r=-0.220, P<0.05).  Conclusions  The combined measurement of AFP and DCP can improve the detection rate of HCC, and DCP can be used for supplementary screening in AFP-negative HCC patients. The expression level of DCP is correlated with the clinicopathological features of HCC, including tumor size, TNM stage, microvascular invasion, and the degree of tumor differentiation.
Clinical features and prognosis of hepatocellular carcinoma: A single-center study of 850 cases
Meng REN, Yi YANG, Ziming LI, Renqian ZHANG, Yufeng SHI, Junxiu TAO
2024, 40(10): 2019-2026. DOI: 10.12449/JCH241015
Abstract(1410) HTML (1015) PDF (1142KB)(114)
Abstract:
  Objective  To investigate the clinical features and prognosis of hepatocellular carcinoma (HCC).  Methods  Medical records were collected from 850 HCC patients who were admitted to Hubei Provincial Hospital of Traditional Chinese Medicine from December 2014 to May 2022, and their clinical and prognostic features were analyzed. The chi-square test were used for comparison of categorical data between groups; the Kaplan-Meier method was used to calculate survival time and survival rate, and the log-rank test was used for comparison of survival time based on baseline features.  Results  Among the 850 HCC patients, male patients accounted for 82.6%, and the median age at initial diagnosis was 58.0 (49.0, 66.0) years, with the highest proportion of patients aged 50 ‍—‍ 69 years (59.8%). The patients with HBV infection accounted for the highest proportion of 77.4%; at initial diagnosis, 49.2% of the patients had portal vein tumor thrombus, and 20.2% of the patients had extrahepatic metastasis, among which pulmonary metastasis accounted for the highest proportion of 44.2% (76/172). The patients with Barcelona Clinic Liver Cancer (BCLC) stage A (0), B, C, and D HCC accounted for 20.4%, 22.5%, 41.5%, and 15.6%, respectively. There was a significant difference in the distribution of BCLC stages between different groups based on sex (χ2=16.631, P=0.001), age (χ2=24.261, P=0.019), place of residence (χ2=39.776, P<0.001), presence or absence of viral hepatitis (χ2=8.338, P=0.040), and presence or absence of regular antiviral therapy before initial diagnosis (χ2=26.140, P<0.001). Follow-up was performed for 489 patients till death, with a median survival time of 19.99 months (95% confidence interval [CI]: 14.86 ‍—‍ 25.12), and the 1-, 3-, 5-, and 10-year cumulative survival rates were 60.7%, 39.9%, 29.4%, and 22.7%, respectively. There was a significant difference in survival time between different groups based on age (χ2=13.452, P=0.009), history of viral hepatitis (χ2=6.123, P=0.013), regular antiviral therapy before initial diagnosis (χ2=15.505, P<0.001), comorbidity with type 2 diabetes (χ2=9.820, P=0.002), the number of tumors (χ2=57.713, P<0.001), maximum tumor diameter (χ2=41.862, P<0.001), portal vein tumor thrombus (χ2=293.909, P<0.001), extrahepatic metastasis at initial diagnosis (χ2=118.329, P<0.001), BCLC stage (χ2=465.638, P<0.001), surgical resection (χ2=78.86, P<0.001), local treatment (χ2=36.216, P<0.001), immune checkpoint inhibitor treatment and/or anti-tumor angiogenesis therapy (χ2=7.182, P=0.007), traditional Chinese medicine decoction treatment (χ2=30.050, P<0.001), and comprehensive treatment regimens (χ2=13.221, P=0.004). Progression-free survival (PFS) was recorded for 259 patients (30.5%), with a median PFS of 10.98 months (95%CI: 8.54 ‍—‍ 13.42).  Conclusion  HCC patients exhibit epidemiological characteristics in terms of sex, age, place of residence, presence or absence of viral hepatitis, regular antiviral therapy before initial diagnosis, tumor characteristics, treatment modality, and prognosis, with a low early detection rate and a short overall survival time, and therefore, it is urgent to perform early screening, early diagnosis, and early treatment.
Efficacy of transjugular intrahepatic portosystemic shunt in treatment of hepatocellular carcinoma comorbid with esophagogastric variceal bleeding
Xiang GAO, Xiaofeng ZHANG, Yimin CAO, Jinjun CHEN, Xiaoqin LUO
2024, 40(10): 2027-2033. DOI: 10.12449/JCH241016
Abstract(1122) HTML (320) PDF (1038KB)(74)
Abstract:
  Objective  To investigate the efficacy of transjugular intrahepatic portosystemic shunt (TIPS) in preventing rebleeding in patients with hepatocellular carcinoma (HCC) comorbid with esophagogastric variceal bleeding and the influencing factors for prognosis.  Methods  A retrospective analysis was performed for the clinical data of 35 HCC patients comorbid with esophagogastric variceal bleeding who were admitted to Zengcheng Branch of Nanfang Hospital, Southern Medical University, and were treated with TIPS from July 2019 to April 2023. The Kaplan-Meier curve was used to assess rebleeding rate and survival rate after TIPS, and the Cox regression model was used to investigate the influencing factors for postoperative rebleeding and survival.  Results  The TIPS procedure was technically successful in all patients, with a median follow-up time of 16.4 months. During follow-up, 11 patients (31.4%) experienced esophagogastric variceal rebleeding, with the 1-month, 3-month, and 1-year rebleeding rates of 5.7%, 17.1%, and 28.6%, respectively. White blood cell count (WBC) (risk ratio [HR]=1.31, 95% confidence interval [CI]: 1.04 ‍—‍ 1.64, P=0.021), number of tumors ≥3 (HR=35.68, 95%CI: 1.74 ‍—‍ 733.79, P=0.021), and portal pressure gradient before TIPS (HR=0.85, 95%CI: 0.73 ‍—‍ 0.99, P=0.032) were independent predictive factors for rebleeding after TIPS. Shunt dysfunction was observed in 5 patients after surgery. A total of 19 patients died during follow-up, with a median survival time of 9.6 months. Portal vein tumor thrombosis (PVTT) (HR=7.04, 95%CI: 1.31 ‍—‍ 37.78, P=0.023), total bilirubin (TBil) (HR=1.02, 95%CI: 1.00 ‍—‍ 1.03, P=0.042), and serum albumin (HR=0.82, 95%CI: 0.72 ‍—‍ 0.94, P=0.004) were independent predictive factors for survival after TIPS.  Conclusion  TIPS procedure can be used as a therapeutic option to prevent esophagogastric variceal rebleeding in patients with HCC. Patients with a relatively high level of WBC or TBil or those with PVTT tend to have a poorer prognosis, and the application of TIPS treatment in such patients should be determined with caution.
Efficacy and safety of camrelizumab monoclonal antibody combined with molecular-targeted therapy in elderly patients with advanced hepatocellular carcinoma
Long CHENG, Yue ZHANG, Yushen LIU, Zhaoqing DU, Zhaoyang GUO, Yangwei FAN, Ting LI, Xu GAO, Enrui XIE, Zixuan XING, Wenhua WU, Yinying WU, Mingbo YANG, Jie LI, Yu ZHANG, Wen KANG, Wenjun WANG, Fanpu JI, Jiang GUO, Ning GAO
2024, 40(10): 2034-2041. DOI: 10.12449/JCH241017
Abstract(1117) HTML (309) PDF (1217KB)(80)
Abstract:
  Objective  To investigate the efficacy and safety of camrelizumab monoclonal antibody combined with molecular-targeted therapy in elderly patients with unresectable or advanced hepatocellular carcinoma (HCC).  Methods  A retrospective analysis was performed for the patients with unresectable/advanced HCC who attended six hospitals from January 1, 2019 to March 31, 2021, and all patients received camrelizumab monoclonal antibody treatment, among whom 84.8% also received targeted therapy. According to the age of the patients, they were divided into elderly group (≥65 years) and non-elderly group (<65 years). The two groups were assessed in terms of overall survival (OS), progression-free survival (PFS), objective response rate (ORR), disease control rate (DCR), and immune-related adverse events (irAE). The chi-square test or the Fisher’s exact test was used for comparison of categorical data between groups; the independent samples t-test was used for comparison of normally distributed continuous data, and the Mann-Whitney U test was used for comparison of non-normally distributed continuous data between two groups. The Kaplan-Meier method was used for survival analysis, and the log-rank test was used for comparison of survival curves. Univariate and multivariate Cox proportional hazards regression analyses were used to determine the independent influencing factors for PFS and DCR at 6 months.  Results  A total of 99 HCC patients were enrolled, with 27 in the elderly group and 72 in the non-elderly group. The elderly group had an OS rate of 67.8%, an ORR of 44.4%, and a DCR of 74.1% at 12 months and a median PFS of 6.4 (95% confidence interval [CI]: 3.0‍ ‍—‍ ‍12.4) months, with no significant differences compared with the non-elderly group (all P>0.05). The median OS was unavailable for the elderly group, while the non-elderly group had an OS of 18.9 (95%CI: 13.0‍ ‍—‍ ‍24.8) months; there was no significant difference between the two groups (P=0.485). The univariate and multivariate Cox regression analyses showed that major vascular invasion (MVI) was an independent risk factor for PFS (hazard ratio [HR]=2.603, 95%CI: 1.136‍ ‍—‍ ‍5.964, P=0.024) and DCR (HR=3.963, 95%CI: 1.671‍ ‍—‍ ‍9.397, P=0.002) at 6 months, while age, sex, etiology of HBV infection, presence of extrahepatic metastasis, Child-Pugh class B, and alpha-fetoprotein>400 ng/mL were not associated with PFS or DCR at 6 months. For the elderly group, the incidence rates of any irAE and grade 3/4 irAE were 51.9% and 25.9%, respectively, with no significant differences compared with the non-elderly group (P>0.05), and skin disease was the most common irAE in both groups (39.4%).  Conclusion  Camrelizumab monoclonal antibody combined with molecular-targeted therapy has similar efficacy and safety in patients with unresectable/advanced HCC aged ≥65 years and those aged <65 years. MVI is associated with suboptimal response to immunotherapy and poor prognosis.
Differences and application value of plasma bile acids in tumors of the liver
Ru JIA, Pingping ZHANG, Yuan YUAN, Yiyang HU, Qin FENG
2024, 40(10): 2042-2048. DOI: 10.12449/JCH241018
Abstract(1464) HTML (528) PDF (1078KB)(87)
Abstract:
  Objective  To investigate the levels of plasma bile acids (BA) in patients with primary liver cancer (PLC) or metastatic liver cancer (MLC) and their correlation with clinical indicators, as well as the value of plasma BAs combined with alpha-fetoprotein (AFP) in the diagnosis of PLC.  Methods  This study was conducted among 75 patients with PLC and 79 patients with MLC who attended Shuguang Hospital Affiliated to Shanghai University of Traditional Chinese Medicine from August 2020 to September 2021 and had a confirmed diagnosis based on histopathological and imaging findings. Peripheral blood samples were collected from all patients, and serum and plasma were separated. Colorimetry and chromatography were used to measure biochemical parameters; electrochemiluminescence immunoassay was used to measure the levels of tumor markers; liquid chromatography-tandem mass spectrometry was used to measure the content of BA. The t-test was used for comparison of normally distributed continuous data, and the Mann-Whitney U test was used for comparison of non-normally distributed continuous data; the Spearman’s coefficient was used for correlation analysis; the receiver operating characteristic (ROC) curve was used to evaluate clinical diagnostic efficacy.  Results  The PLC group had significantly lower levels of total cholesterol, triglyceride, low-density lipoprotein cholesterol, and apolipoprotein B than the MLC group (U=1 598, 1 255, 909, and 889, all P<0.05). Compared with the MLC group, the PLC group had a significantly higher level of AFP and a significantly lower level of carcinoembryonic antigen (U=1 873 and 926, both P<0.05). Compared with the MLC group, the PLC group had significantly higher levels of TBA, CA, CDCA, UDCA, TCA, TCDCA, GCA, GCDCA, TUDCA, and GUDCA and a significantly lower level of DCA (all P<0.05). In the total population, the levels of TBA, CDCA, GCA, GCDCA, GUDCA, TCA, TCDCA, and TUDCA were significantly positively correlated with the level of AFP (all P<0.05). In the patients with PLC, the levels of GCA, TCA, TCDCA, and TUDCA were significantly positively correlated with the level of AFP (all P<0.05). Combined measurement of AFP+TCA+GCA+TCDCA had an area under the ROC curve of 0.822 (95% confidence interval: 0.746‍ ‍—‍ ‍0.898, P<0.000 1), suggesting that it had the highest diagnostic efficacy.  Conclusion  There are significant differences in the levels of plasma BA between the patients with PLC and those with MLC, and the differentially expressed BAs are closely associated with liver function impairment and the increase in AFP. BAs combined with AFP has a better clinical value in the diagnosis of PLC.
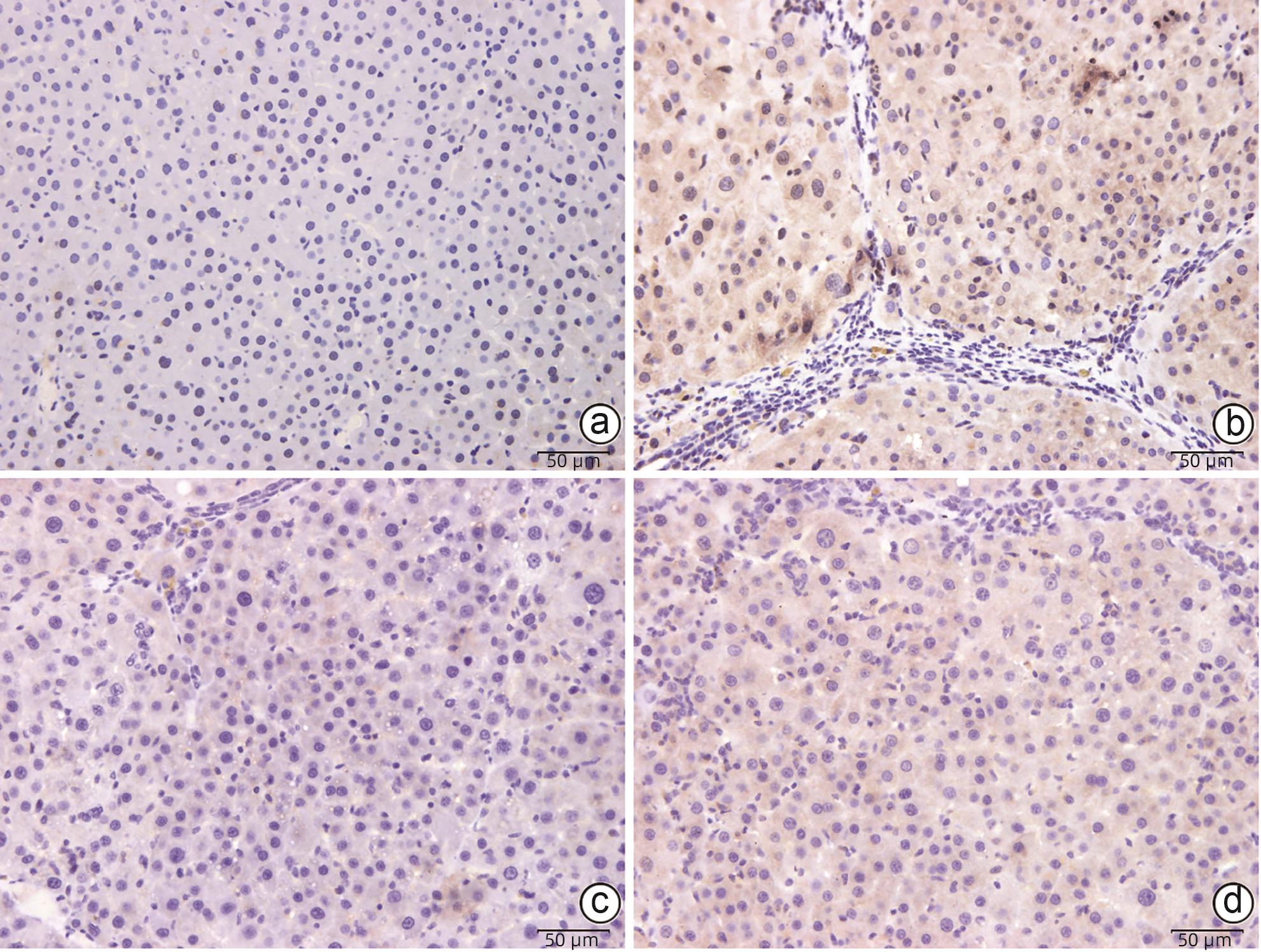
Regulatory effect of Kangxian Yiai Prescription in a rat model of precancerous lesions of liver cancer: A study based on the mTOR/HIF-1α/VEGF signaling pathway
Zhiguo LI, Xun MA, Yongan YE, Xianzhao YANG
2024, 40(10): 2049-2054. DOI: 10.12449/JCH241019
Abstract(1175) HTML (412) PDF (1845KB)(69)
Abstract:
  Objective  To investigate the effect of Kangxian Yiai Prescription (KXYA) on the mTOR/HIF-1α/VEGF signaling pathway in a rat model of precancerous lesions of liver cancer.  Methods  A total of 40 male Wistar rats were divided into normal group, model group, KXYA group, and Biejia Rangan Tablets (BJRG) group, with 10 rats in each group. The rats in the normal group were given intraperitoneal injection of normal saline at a dose of 0.4 mL/100 g, and those in the other three groups were given intraperitoneal injection of diethylnitrosamine at a dose of 50 mg/kg to establish a rat model of the precancerous lesions of liver cancer. Immunohistochemistry and Western Blot were used to measure the expression level of GST-Pi, and quantitative real-time PCR and Western Blot were used to measure the mRNA and protein expression levels of mTOR, HIF-1α, VEGF, PKM2, and GLUT1. A one-way analysis of variance or the Kruskal-Wallis H test was used for comparison of continuous data between multiple groups, and the least significant difference t-test was used for further comparison between two groups.  Results  Compared with the normal group, the model group had a significant increase in the protein expression level of GST-Pi in liver tissue (P<0.01), and compared with the model group, the KXYA group had a significant reduction in the protein expression level of GST-Pi (P<0.05). Compared with the normal group, the model group had significant increases in the mRNA expression levels of GLUT1 and PKM2 in liver tissue (P<0.01), and compared with the model group, the BJRG group and the KXYA group had a significant reduction in the mRNA expression level of GLUT1 (P<0.05). Compared with the normal group, the model group had significant increases in the protein expression levels of GLUT1 and PKM2 in liver tissue (P<0.01). Compared with the normal group, the model group had significant increases in the mRNA expression levels of mTOR, HIF-1α, and VEGF in liver tissue (P<0.01); compared with the model group, the BJRG group had significant reductions in the mRNA expression levels of mTOR and VEGF (P<0.05), and the KXYA group also had significant reductions in the mRNA expression levels of mTOR and VEGF (P<0.01). Compared with the normal group, the model group had significant increases in the protein expression levels of mTOR, HIF-1α, and VEGF in liver tissue (P<0.01); compared with the model group, the BJRG group had a significant reduction in the protein expression level of mTOR (P<0.01), and the KXYA group had significant reductions in the protein expression levels of mTOR, HIF-1α, and VEGF (P<0.05); compared with the BJRG group, the KXYA group had a significantly higher protein expression level of mTOR (P<0.01).  Conclusion  KXYA can inhibit the precancerous lesions of liver cancer by regulating the mTOR/HIF-1α/VEGF signaling pathway.
Other Liver Disease
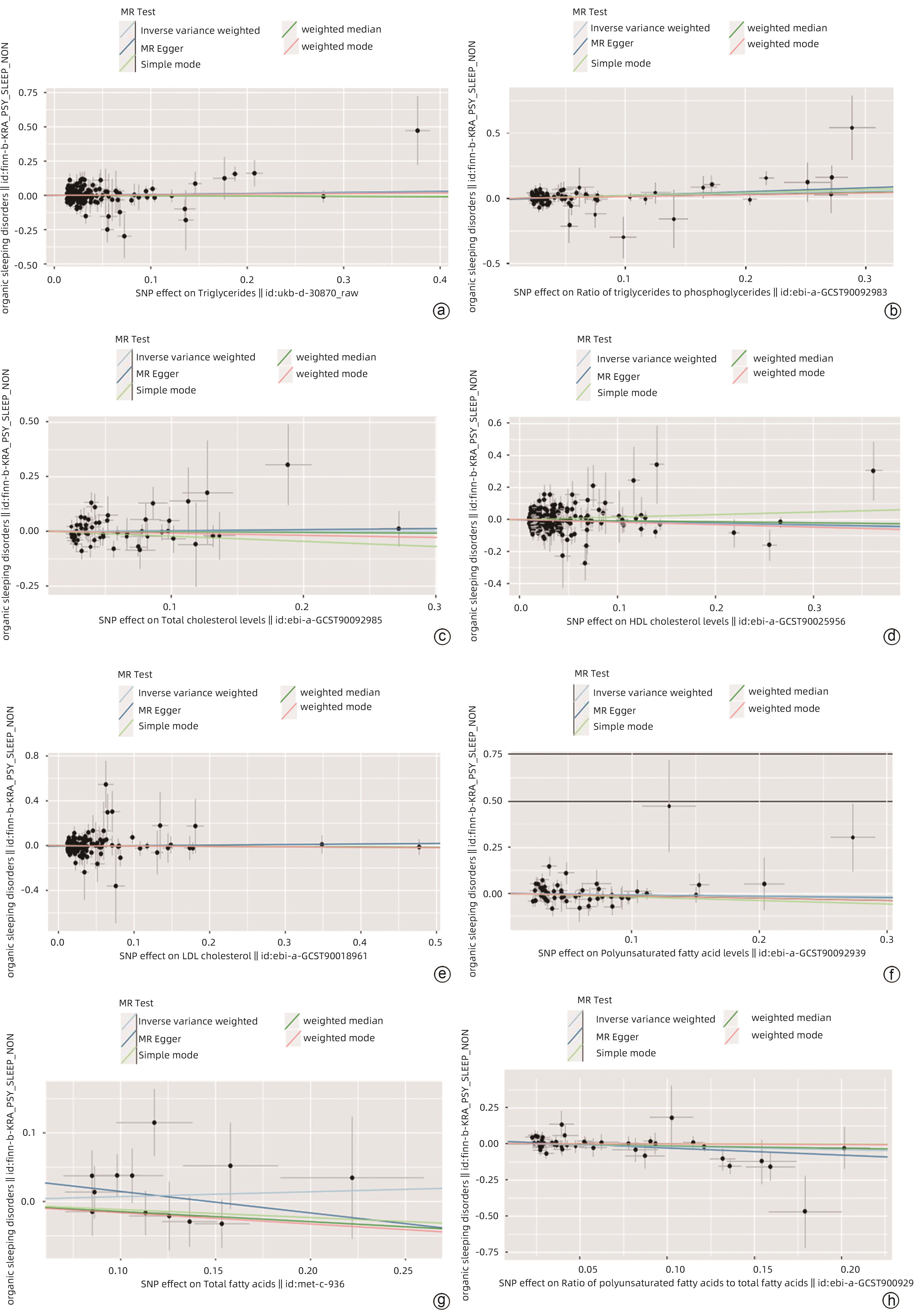
Causal association of liver function and lipid metabolism levels with sleep disorders based on Mendelian randomization
Wei HE, Shuke ZHU, Chunyu LI, Xue DU, Jiarui LI
2024, 40(10): 2055-2061. DOI: 10.12449/JCH241020
Abstract(1114) HTML (422) PDF (2416KB)(86)
Abstract:
  Objective  To investigate the causal association of liver function and lipid metabolism levels with sleep disorders based on the Mendelian randomization analysis.  Methods  The analysis was conducted using the data from genome-wide association studies, with the exposure factors of liver function and lipid metabolism levels (alanine aminotransferase [ALT], aspartate aminotransferase [AST], gamma-glutamyl transpeptidase [GGT], albumin [Alb], serum total protein [TP], total bilirubin [TBil], alkaline phosphatase [ALP], triglyceride [TG], triglyceride-to-glycerol-3-phosphate [TG/G3P] ratio, total cholesterol [TC], high-density lipoprotein cholesterol [HDL-C], low-density lipoprotein cholesterol [LDL-C], poly-unsaturated fatty acids [PUFA], total fatty acids [TFA], PUFA/TFA ratio) and the outcome factor of sleep disorders (nonorganic). The regression models including inverse variance weighted, MR-Egger, Simple mode, weighted median, and Weighted mode were used to perform the Mendelian randomization analysis.  Results  Serum Alb (odds ratio [OR]=0.728, 95% confidence interval [CI]: 0.535 ‍—‍‍ 0.989, P<0.05), HDL-C (OR=0.879, 95%CI: 0.784 ‍—‍ 0.986, P<0.05), and PUFA/TFA ratio (OR=0.800, 95%CI: 0.642 — 0.998, P<0.05) were negatively associated with sleep disorders, while TG/G3P ratio (OR=1.222, 95%CI: 1.044 ‍—‍ 1.431, P<0.05) was positively associated with sleep disorders. The results of Mendelian randomization did not show a causal association of ALT, AST, GGT, TP, TBil, ALP, TG, TC, LDL-C, PUFA, and TFA with sleep disorders (all P>0.05). The results of the MR-Egger intercept test showed no pleiotropy (P>0.05), and Mendelian randomization was a valid method for causal inference in this study.  Conclusion  According to the results of the Mendelian randomization analysis, liver function and lipid metabolism show significant association with sleep disorders. Liver function and lipid metabolism can be used as indicators for predicting the risk of sleep disorders and performing intervention.
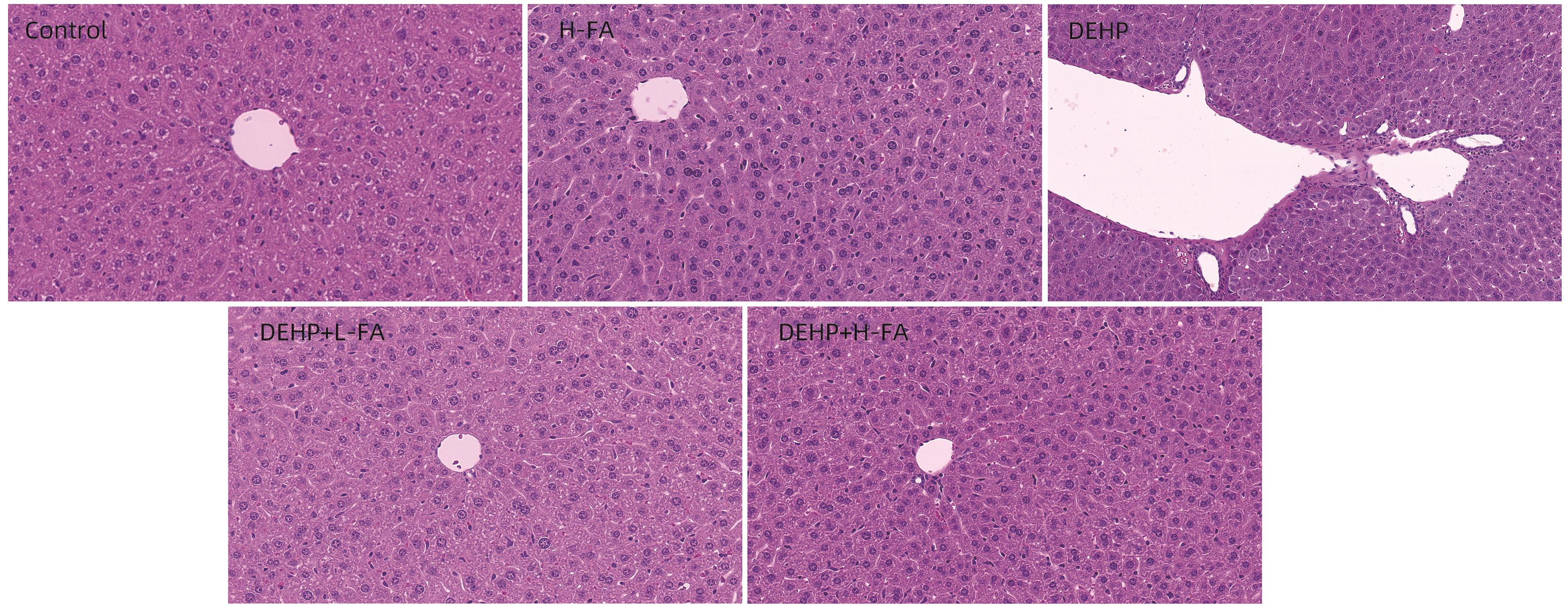
Protective effect of folic acid against cholestatic liver injury in mice caused by bis(2-ethylhexyl) phthalate exposure
Mengzhen HOU, Yun YU, Qianqian HUANG, Lun ZHANG, Wenkang TAO, Yue JIANG, Jianqing WANG
2024, 40(10): 2062-2069. DOI: 10.12449/JCH241021
Abstract(890) HTML (502) PDF (3319KB)(84)
Abstract:
  Objective  To investigate the protective effect of folic acid against cholestatic liver injury in mice induced by bis(2-ethylhexyl) phthalate (DEHP) exposure and its mechanism.  Methods  ICR mice were randomly divided into control group, high-dose folic acid (H-FA) group, DEHP group, DEHP+low-dose folic acid (DEHP+L-FA) group, and DEHP+high-dose folic acid (DEHP+H-FA) group, with 6 mice in each group. The mice in the H-FA group, the DEHP+L-FA group, and the DEHP+H-FA group were given folic acid by gavage at the corresponding dose, and those in the control group and the DEHP group were given an equal volume of PBS solution by gavage. After 2 hours, the mice in the DEHP group, the DEHP+L-FA group, and the DEHP+H-FA group were given corn oil containing 200 mg/kg DEHP, and those in the control group and the H-FA group were given an equal volume of pure corn oil, by gavage for 4 weeks. Body weight and food intake were recorded every day, and blood and liver tissue samples were collected. A biochemical analyzer was used to measure the serum levels of total bile acid (TBA) and alkaline phosphatase(ALP); HE staining was used to observe the histopathological changes of liver tissue; kits were used to measure the content of malondialdehyde (MDA) and superoxide dismutase (SOD) in the liver; LC-MS/MS was used to measure serum bile acid profiles; Western blot was used to measure the expression levels of proteins associated with hepatic bile acid metabolism. A one-way analysis of variance was used for comparison of continuous data between multiple groups, and the least significant difference t-test was used for further comparison between two groups.  Results  Compared with the control group, the daily food intake of the mice in the DEHP group decreased significantly, and the body weight decreased significantly from day 10 (P<0.05), and compared with the DEHP group, the DEHP+L-FA group and the DEHP+H-FA group had basically unchanged body weight and daily food intake (P>0.05). Compared with the control group, the DEHP group had significant increases in liver weight index and the serum levels of TBA and ALP (all P<0.05), with enlarged portal area, bile duct deformity and hyperplasia, and a small amount of inflammatory cell infiltration in liver tissue; compared with the DEHP group, the DEHP+L-FA group and the DEHP+H-FA group had a significant reduction in liver weight index (P<0.01), and the DEHP+H-FA group had significant reductions in the serum levels of TBA and ALP (P<0.05), with a significant improvement in liver histomorphology and structure after folic acid intervention. Compared with the control group, the DEHP group had a significant reduction in the content of SOD (P<0.05) and a significant increase in the content of MDA in the liver (P<0.01), and compared with the DEHP group, the DEHP+H-FA group had significant reductions in the content of MDA and SOD (P<0.05). Compared with the control group, the DEHP group had significant increases in the serum levels of α-muricholic acid (α-MCA),β- muricholic acid (β-MCA),deoxycholic acid (DCA), lithocholic acid (LCA), taurocholic acid (TCA), taurodeoxycholic acid (TDCA), tauroursodeoxycholic acid (TUDCA), tauro-β-muricholic acid (T-β-MCA), tauro-α-muricholic acid (T-α-MCA), taurohyodeoxycholic acid (THDCA), and taurolithocholic acid (TLCA)P<0.05) and a significant reduction in ursodeoxycholic acid (UDCA)(P<0.05); compared with the DEHP group, the DEHP+H-FA group had significant reductions in the serum levels of DCA, LCA, TCA, TDCA, TUDCA, T-β-MCA, T-α-MCA, THDCA, and TLCA (P<0.05). Compared with the control group, the DEHP group had significant increases in the protein expression levels of FXR and CYP3A11 in the liver (P<0.01) and significant reductions in the protein expression levels of CYP7A1 and MRP2 (P<0.01); compared with the DEHP group, the DEHP+L-FA group and the DEHP+H-FA group had significant reductions in the protein expression levels of FXR and CYP3A11 in the liver (P<0.05) and a significant increase in the protein expression level of MRP2 (P<0.05), and the DEHP+H-FA group had a significant increase in the protein expression level of CYP7A1 (P<0.05).  Conclusion  Folic acid has a protective effect against cholestatic liver injury in mice induced by DEHP exposure, possibly by regulating bile acid synthesis, catabolism, and transport and maintaining bile acid homeostasis.
Biliary Disease
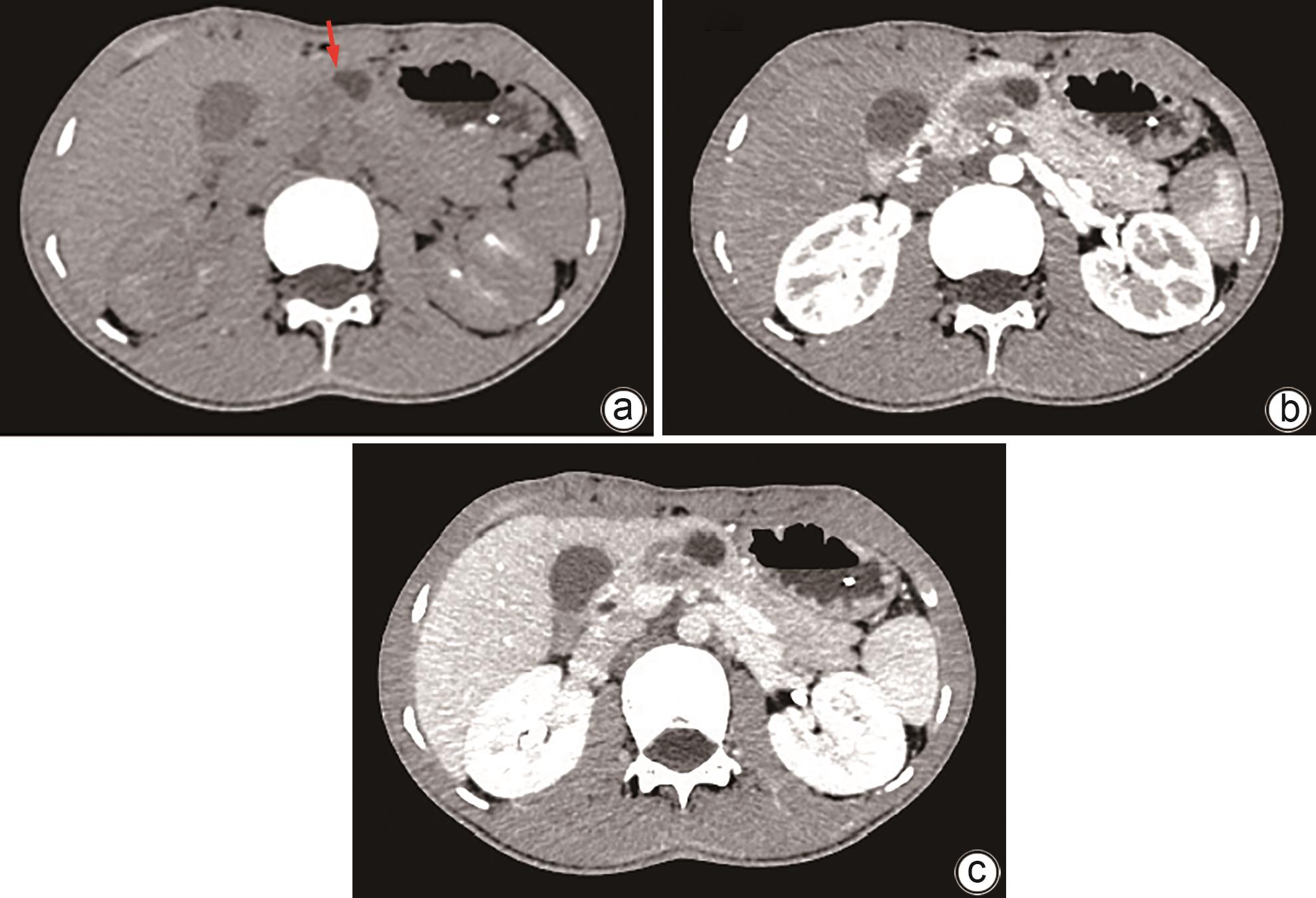
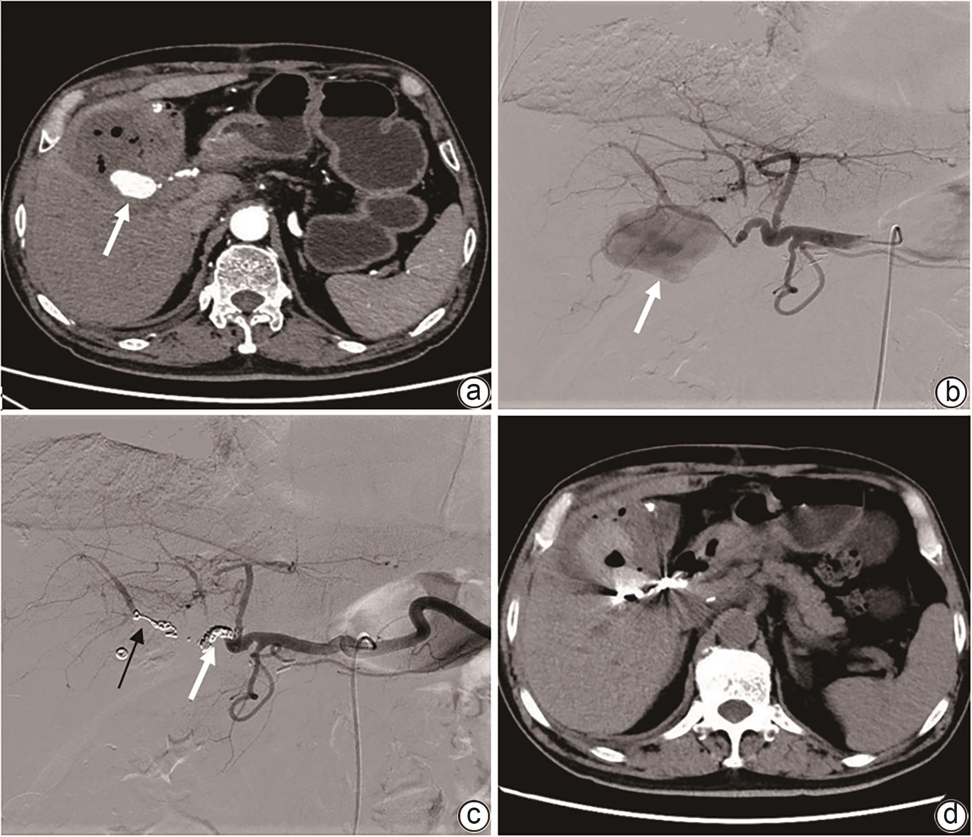
Imaging features and therapeutic strategies for lethal iatrogenic hemobilia
Chen WANG, Min WANG, Ke ZHANG, Jinxing ZHANG, Li LIU, Zhining FAN
2024, 40(10): 2070-2074. DOI: 10.12449/JCH241022
Abstract(1032) HTML (357) PDF (2026KB)(84)
Abstract:
  Objective  To investigate the imaging features and pathogenesis of lethal iatrogenic hemobilia (LIH) and the value of transarterial intervention in the treatment of LIH.  Methods  A total of 269 patients with upper gastrointestinal bleeding who were admitted to The First Affiliated Hospital of Nanjing Medical University from August 2009 to July 2023 were enrolled, among whom 24 had a confirmed diagnosis of LIH and received treatment, and a retrospective analysis was performed for the clinical data of these 24 patients, including the iatrogenic causes, angiographic findings, and arterial interventions of LIH. Among the 24 patients, 23 received transarterial embolization (TAE) with gelatin sponge particles and coils, and 1 received a covered stent for isolation. The main criteria for assessing treatment outcome included the technical success rate of surgery, procedure-related complications, and long-term clinical follow-up.  Results  Among the 24 patients with LIH, 12 had LIH caused by interventional procedures, and 12 had LIH caused by hepatobiliary and pancreatic surgery. The main clinical manifestations included a significant reduction in blood pressure or a persistent reduction in hemoglobin in 13 patients and upper gastrointestinal bleeding in 18 patients. Among the 24 patients, 2 developed symptoms during surgery, 4 developed symptoms within 24 hours, and 18 developed symptoms after 24 hours. Angiography showed a positive bleeding rate of 100% (24/24), and imaging findings included pseudoaneurysms in 15 patients, hepatic artery truncation in 3 patients, extravasation of contrast medium in 5 patients, and hepatic arteriobiliary fistula in 3 patients. Among the 24 patients, 23 received TAE and 1 received stent implantation. Successful hemostasis was achieved for 23 patients, with a technical success rate of 95.8% (23/24). Four patients developed hepatic necrosis and abscess after TAE, and there was no rebleeding or recurrence after hemostatic treatment.  Conclusion  Various iatrogenic injuries may result in LIH with diverse clinical and imaging findings, and integrated diagnostic imaging combined with transarterial intervention is the best effective life-saving measure for LIH.
Case Report
The extreme reduction in cholinesterase caused by compound heterozygous mutations in the BCHE gene: A case report
Sa LYU, Bing ZHU, Tianjiao XU, Shaoli YOU
2024, 40(10): 2075-2078. DOI: 10.12449/JCH241023
Abstract(1446) HTML (344) PDF (1397KB)(88)
Abstract:
Serum cholinesterase (ChE) level is important for the diagnosis and prognostic evaluation of various diseases such as liver diseases and toxic diseases, and butyrylcholinesterase (BuChE) is an important component of ChE. Mutations in the BCHE gene can cause a significant reduction in the level of BuChE, with extensive reports in European and American populations and relatively few reports in Eastern countries, particularly China. This study describes a male patient, aged 35 years, who was misdiagnosed with organophosphorus pesticide poisoning due to an extreme reduction in ChE level and was given detoxification therapy, but such diagnosis was excluded by various biochemical examinations. Finally whole-exome sequencing and Sanger sequencing revealed the complex heterozygous mutations of c.1027dup and c.401dup at exon 2 of the BCHE gene, and hereditary BuChE deficiency due to these mutations is the cause of the extreme reduction in ChE level.
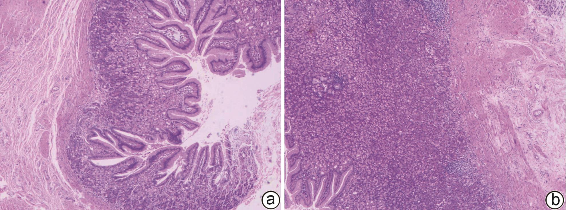
Pancreatic hamartoma: A case report
Quankai FENG, Jie LI
2024, 40(10): 2079-2081. DOI: 10.12449/JCH241024
Abstract(935) HTML (254) PDF (1146KB)(221)
Abstract:
Pancreatic hamartoma is a rare benign lesion of the pancreas characterized by a lack of typical clinical symptoms and imaging features, which leads to the difficulty in diagnosis before surgery. Since surgical intervention is often performed due to the inability to exclude the risk of malignant tumor, it may cause damage to normal pancreatic tissue. In addition, the presence of gastric mucosal tissue in pancreatic hamartoma has not been reported in the literature. This article reviews the articles on pancreatic hamartoma in China and globally and summarizes its clinical and imaging features, so as to provide help for preoperative diagnosis.
Review
Therapeutic paradigms and potential therapies for nonalcoholic steatohepatitis
Feng LI, Maowei LI, Yushan WANG
2024, 40(10): 2082-2086. DOI: 10.12449/JCH241025
Abstract(1328) HTML (780) PDF (723KB)(148)
Abstract:
In recent years, steady progress has been made in the epidemiology, pathogenesis, and therapeutic targets of nonalcoholic steatohepatitis (NASH), while there has been slow progress in the field of therapeutic drug development. This article reviews the advances in lifestyle intervention, surgical methods, gut microbiota, and drugs in the treatment of NASH, especially the role of insulin sensitizers, antioxidants, cholesterol-lowering drugs, thyroid hormone mimetics, incretins, and cytokines in the treatment of NASH, in order to provide more methods and options for the treatment of NASH in the future.
The role of CD8+ T cells in nonalcoholic steatohepatitis
Yiming ZHAO, Kaiyang LI, Mei YANG, Qi ZHAO
2024, 40(10): 2087-2091. DOI: 10.12449/JCH241026
Abstract(942) HTML (294) PDF (842KB)(81)
Abstract:
Nonalcoholic steatohepatitis (NASH) is a liver disease closely associated with metabolic syndrome, and its pathogenesis includes insulin resistance, lipid metabolism disorders, and inflammatory response. This article briefly describes how CD8+ T cells exert a cytotoxic effect through the three pathways of the Fas-Fas ligand signaling pathway, the release of perforin and granzymes, and the secretion of tumor necrosis factor-α and other cytokines, and these mechanisms allow CD8+ T cells to specifically kill virus-infected cells and tumor target cells, thereby participating in immune regulation. At the same time, this article summarizes that CD8+ T cells promote the recruitment of macrophages cooperate with natural killer T cells to participate in the development of adipose tissue inflammation, and lead to liver injury through automatic attack and epigenetic mechanisms, finally promoting the pathogenesis of NASH. It is concluded that CD8+ T cells may become a new therapeutic target for NASH, and in-depth research on the specific mechanism of CD8+ T cells affecting the pathogenesis in NASH in the future may help to further guide clinical treatment.
Research advances in the mechanism of action of nucleotide-binding oligomerization domain-like receptor protein 3 inflammasome in autoimmune hepatitis
Lifei WANG, Longlong LUO, Guojing XING, Lixia LU, Bin LI, Jiucong ZHANG, Xiaohui YU
2024, 40(10): 2092-2097. DOI: 10.12449/JCH241027
Abstract(995) HTML (576) PDF (1474KB)(96)
Abstract:
Autoimmune hepatitis (AIH) is chronic hepatitis caused by the attack of live cells by the immune system, and at present, the pathogenesis of AIH remains unclear. Inflammasomes are important components of innate immunity and are involved in a variety of pathophysiological processes. Studies have shown that inflammatory response associated with nucleotide-binding oligomerization domain-like receptor protein 3 (NLRP3) plays an important role in the pathogenesis of AIH, which mainly mediates the release of proinflammatory factors and pyroptosis, thereby participating in the pathophysiological process of AIH. Therefore, the development and progression of AIH can be delayed by inhibiting the activation of NLRP3 inflammasomes, which provides new ideas for the prevention and treatment of AIH.
High-risk factors for early postoperative recurrence of hepatocellular carcinoma and related prediction methods
Ye LU, Shaoshan HAN, Qingguang LIU
2024, 40(10): 2098-2103. DOI: 10.12449/JCH241028
Abstract(1620) HTML (905) PDF (663KB)(200)
Abstract:
Hepatocellular carcinoma (HCC) is a malignant tumor with high incidence and mortality rates, and although surgical resection is a possible method for cure, the prognosis of HCC is still affected by its high recurrence rate. Early recurrence (within 2 years after surgery) is defined as true recurrence and is usually caused by the intrahepatic spread of primary tumor. Early recurrence of HCC tends to have a poorer prognosis than late recurrence. Therefore, it is of great importance to fully understand the high-risk factors and prediction methods for early recurrence, which is essential to the selection of preoperative treatment regimens, postoperative follow-up, and prognosis. This article reviews the high-risk factors and prediction methods for early recurrence of HCC after surgery.
Role of statins in chronic liver disease
Xikun YANG, Hui LI, Zijian ZENG, Xuan WU, Kaixin WANG
2024, 40(10): 2104-2108. DOI: 10.12449/JCH241029
Abstract(1400) HTML (365) PDF (649KB)(163)
Abstract:
Chronic liver disease is the “devil’s trilogy” in which the liver progresses from inflammation and fibrosis to liver cirrhosis and hepatocellular carcinoma, which poses a great challenge for hepatologists worldwide. Statins have played a significant role in the treatment of cardiovascular diseases and hyperlipidemia since their introduction, and in recent years, they have also demonstrated the potential to improve hepatic steatosis, exert an anti-inflammatory effect, regulate the phenotype of hepatic stellate cells, reduce portal venous pressure, and improve hepatic microcirculation in chronic liver disease. This article reviews the latest advances in the basic and clinical studies of statins in chronic liver disease, in order to provide new insights into the research, prevention, and treatment of chronic liver disease.
Recurrent hyperlipidemic acute pancreatitis: Etiology and prevention and treatment strategies
Lina QI, Ping CHEN
2024, 40(10): 2109-2115. DOI: 10.12449/JCH241030
Abstract(2147) HTML (699) PDF (768KB)(128)
Abstract:
The incidence rate of hyperlipidemic acute pancreatitis (HLAP) is gradually increasing, with the features of young age, severe conditions, frequent recurrence, and poor prognosis, and recurrent HLAP has become a difficult issue that needs to be solved urgently in clinical practice. This article summarizes the risk factors for HLAP recurrence and corresponding prevention and treatment strategies. The risk factors for HLAP recurrence include dyslipidemia, abnormal glucose metabolism, obesity, smoking, and drinking. In addition to the early treatment in the acute stage, HLAP requires long-term management, including effective control of blood glucose and lipids, diet regulation, and cigarette and alcohol withdrawal. As for patients with unexplained recurrent HLAP, genetic testing and gene therapy may provide novel diagnosis and treatment strategies.
The association between gallstone and biliary pancreatitis
Weijia LI, Zhenfang LI, Qian ZHANG, Cong LI, Fengjiao WANG, Qi ZHAO
2024, 40(10): 2116-2120. DOI: 10.12449/JCH241031
Abstract(1090) HTML (814) PDF (996KB)(145)
Abstract:
Acute pancreatitis is one of the most common acute abdominal diseases in clinical practice, and the common etiologies of acute pancreatitis include biliary diseases, alcohol, pancreatic duct diseases, metabolic disorders (hypertriglyceridemia and hypercalcemia), excessive eating, and diseases of the descending duodenum (periampullary duodenal diverticula). According to the etiology, acute pancreatitis is classified into biliary pancreatitis and hyperlipidemic pancreatitis, and although there are various pathogenic factors for biliary pancreatitis, biliary diseases including bile duct stones remain the most important etiology of biliary pancreatitis. Obstructed biliopancreatic duct drainage and abnormal pressure due to various causes, bile reflux into the pancreatic duct, obstruction of pancreatic juice drainage, and abnormal activation of pancreatic enzymes are the central links in the development of biliary pancreatitis. The location, size, texture, number and shape of bile duct stones are associated with the incidence rate and severity of biliary pancreatitis to a certain degree.
Current status of the application of artificial intelligence in the diagnosis and treatment of pancreatic cancer
Yu MA, Feng JIA, Kaiyu LIU, Yahui LIU
2024, 40(10): 2121-2126. DOI: 10.12449/JCH241032
Abstract(1603) HTML (839) PDF (728KB)(93)
Abstract:
Pancreatic cancer is a common malignant tumor of the digestive system, with a low early diagnosis rate, a high surgical mortality rate, a low cure rate, and a poor overall prognosis. In recent years, with the continuous development of artificial intelligence in the medical field, artificial intelligence techniques, such as machine learning and deep learning, have been widely used in medical research. This article reviews the application of artificial intelligence techniques in the screening, diagnosis, treatment, complications, and prognosis prediction of pancreatic cancer, so as to provide a basis and new ideas for the application of artificial intelligence in the diagnosis and treatment of pancreatic cancer.
Current status and prospects of the application of Mendelian randomization in pancreatic cancer research
Kaihao DU, Lizhao HOU, Lanminghui LUO, Xiaoge DONG, Wei JIANG, Zhan WANG
2024, 40(10): 2127-2136. DOI: 10.12449/JCH241033
Abstract(1442) HTML (786) PDF (1051KB)(88)
Abstract:
Pancreatic cancer often has an insidious onset and difficulties in treatment, with various limitations in early diagnosis and treatment. This article reviews the application of Mendelian randomization (MR) in exploring the risk factors for pancreatic cancer, with a special focus on the causal relationships of factors such as gut microbiota, lifestyle, and metabolic diseases. Leveraging data from large-scale genome-wide association studies (GWAS), MR analysis has revealed several biomarkers associated with the risk of pancreatic cancer. The two-sample MR approach is commonly used in current research, including the methods such as Inverse Variance Weighted, Weighted Median, and MR-Egger, which helps to explain the causal network of the disease from a genetic perspective. While MR strategy provides a new perspective for understanding the etiology of pancreatic cancer, caution is still needed in data synthesis, selection of instrumental variables, and pleiotropy assessment. The use of emerging analytical models such as BWMR, CAUSE, and MVMR offers new possibilities for the comprehensive evaluation of multiple risk factors and their interaction. In the future, with the combination of these methods and the ever-increasing genetic epidemiological data, MR analysis is expected to provide more solid evidence for identifying potential therapeutic targets for pancreatic cancer and formulating prevention strategies.
Introduction of High - quality Articles in Foreign Journals
MedComm|Detection of minimal hepatic encephalopathy in patients with cirrhosis based on the Stroop-CN model (NCRCID-CHESS 2106): a prospective multicenter study
2024, 40(10): 2018-2018. DOI: 10.12449/JCH2410.gwqkjpwzjj1
Abstract(400) HTML (190) PDF (892KB)(42)
Abstract:
Hepatology|Health-Related quality of life (HRQL) assessments in a 52-week, double-blind, randomized, placebocontrolled phase 3 study of resmetirom (MGL-3196) in patients with metabolic dysfunction associated steatohepatitis (MASH) and fibrosis
2024, 40(10): 2120-2120. DOI: 10.12449/JCH2410.gwqkjpwzjj2
Abstract(512) HTML (534) PDF (890KB)(71)
Abstract:
Journal of Hepatology|Association of food insecurity with the prevalence and liver-related mortality of metabolic dysfunction-associated steatotic liver disease (MASLD)
2024, 40(10): 2126-2126. DOI: 10.12449/JCH2410.gwqkjpwzjj3
Abstract(373) HTML (398) PDF (900KB)(47)
Abstract:
Acknowledgements
Current reviewers
2024, 40(10): 2048-2048. DOI: 10.12449/JCH2410.zhixie
Abstract(285) HTML (147)
Abstract: