中文English
ISSN 1001-5256 (Print)
ISSN 2097-3497 (Online)
CN 22-1108/R

2022 No.1
Theme Issue: Big Data and Artificial Intelligence Enable a New Era of Digital Diagnosis and Treatment in Liver Surgery
Executive Chief Editor: LIU Jingfeng  
Mengchao Hepatobiliary Hospital of Fujian Medical University

Display Method:
Editorial
Application status and prospect of artificial intelligence in surgical treatment of primary liver cancer
Hongzhi LIU, Jingfeng LIU
2022, 38(1): 10-14. DOI: 10.3969/j.issn.1001-5256.2022.01.001
Abstract(1834) HTML (486) PDF (1982KB)(228)
Abstract:
Primary liver cancer is one of the most common and fatal malignant tumors, and surgical treatment is the most important radical treatment method, but there is still a high postoperative recurrence rate and poor prognosis. In recent years, emerging techniques represented by artificial intelligence have achieved rapid innovation and are gradually integrated into the whole process of the diagnosis and treatment of primary liver cancer. Promoting the implementation of artificial intelligence in the surgical treatment of primary liver cancer is of great significance to the high-quality development of precision liver surgery. At present, researchers have extensively explored the application of artificial intelligence in treatment decision-making, preoperative evaluation, surgical implementation, postoperative management, and adjuvant therapy for primary liver cancer. This article reviews the advances in the application of artificial intelligence in the surgical treatment of primary liver cancer, so as to accelerate the application of artificial intelligence in clinical diagnosis and treatment, improve clinical service ability, and ultimately improve patients' prognosis.
Discussions by Experts
Application of bioinformatics in predicting the risk of hepatocellular carcinoma
Guoxu FANG, Qinghua ZHANG, Yongying HUANG, Jianmin WANG, Jingfeng LIU
2022, 38(1): 15-19. DOI: 10.3969/j.issn.1001-5256.2022.01.002
Abstract(1776) HTML (508) PDF (1986KB)(190)
Abstract:
Bioinformatics is an interdisciplinary science that combines the tools of mathematics, computer science, and biology to clarify and explore the biological implications of large amounts of biological data. With the continuous development of genome sequencing technology, a large number of biological data has been generated, and mining of the biological significance contained in big data has become one of the main tasks that need to be solved urgently. This article summarizes the risk prediction models for hepatocellular carcinoma (HCC) based on feature genes, so as to provide new perspectives for early identification, prognosis, and treatment optimization of HCC.
Application and prospect of deep learning in primary liver cancer-related diagnostic model
Qinghua ZHANG, Haitao LI, Guoxu FANG, Pengfei GUO, Jingfeng LIU
2022, 38(1): 20-25. DOI: 10.3969/j.issn.1001-5256.2022.01.003
Abstract(1613) HTML (703) PDF (1997KB)(222)
Abstract:
Deep learning is a process in which machine learning obtains new knowledge and skills by simulating the learning behavior of human brain through massive data training and analysis. With the development of medical technology, a large amount of data has been accumulated in the medical field, and the research on data may help to understand the relationships and rules within data and predict the onset and prognosis of human diseases. Deep learning can find the hidden information in data and has been increasingly used in the medical field. Primary liver cancer is a malignant tumor with high incidence and mortality rates, poor prognosis, and a high recurrence rate, and early diagnosis, timely treatment, and prediction of recurrence have always been the research hotspots in recent years. This article reviews the advances in the application of deep learning in the diagnosis and recurrence of liver cancer from the aspects of risk prediction, postoperative recurrence, and survival risk prediction.
Application of artificial intelligence in the diagnosis and treatment of primary liver cancer
Chihua FANG, Wei CAI
2022, 38(1): 26-29. DOI: 10.3969/j.issn.1001-5256.2022.01.004
Abstract(1816) HTML (339) PDF (1971KB)(205)
Abstract:
In the era of medical big data, artificial intelligence is increasingly widely used in medicine. Efficient management and information mining of massive medical data can obtain useful information on disease development, progression, survival, and prognosis. In recent years, some achievements have been made in the application of artificial intelligence in primary liver cancer. This article elaborates on the current status and prospects of its application in the diagnosis and treatment of liver cancer.
Application of artificial intelligence in liver transplantation
Zhixing LIANG, Linsen YE, Yang YANG
2022, 38(1): 30-34. DOI: 10.3969/j.issn.1001-5256.2022.01.005
Abstract(1385) HTML (499) PDF (1981KB)(151)
Abstract:
With the advent of the era of 5G and big data, complex medical data with multiple dimensions and a large sample size bring both opportunities and challenges for clinical medicine in the new era. Compared with conventional methods, artificial intelligence can detect the hidden patterns within large datasets, and more and more scholars are applying such advanced technology in the diagnosis and treatment of diseases. After development and perfection for more than half a century, liver transplantation has become the most effective treatment method for end-stage liver diseases. Unlike the analysis of "single-patient" data in other fields, liver transplantation usually requires the consideration of the features of both the donor and the recipient and the variables during transplantation, thus generating a larger volume of medical data than other diseases, which is particularly in line with the advantages of artificial intelligence. Effective application of artificial intelligence and its combination with clinical research will usher in the new era of precision medicine. The advantages and limitations of artificial intelligence technology should be comprehensively discussed for the cross-application of artificial intelligence in liver transplantation, and the future directions of this field should also be proposed.
Guidelines
Guidelines on the diagnosis and management of primary biliary cholangitis (2021)
Chinese Society of Hepatology
2022, 38(1): 35-41. DOI: 10.3760/cma.j.cn112138-20211112-00794
Abstract(5126) HTML (2846) PDF (2416KB)(1761)
Abstract:
In 2015, the Chinese Society of Hepatology and Chinese Society of Gastroenterology issued the consensus on the diagnosis and management of primary biliary cholangitis (PBC). In the past years, more clinical studies have been reported in the field of PBC. To provide guidance to the clinical diagnosis and management of patients with PBC, the Chinese Society of Hepatology invited a panel of experts assessed the new clinical evidence and formulated the current guidelines which comprises 26 clinical recommendations.
Guidelines on the diagnosis and management of autoimmune hepatitis (2021)
Chinese Society of Hepatology, Chinese Medical Association
2022, 38(1): 42-49. DOI: 10.3760/cma.j.cn112138-20211112-00796
Abstract(9862) HTML (1091) PDF (2917KB)(2321)
Abstract:
Autoimmune hepatitis (AIH) is characterized by elevated serum aminotransferase and immunoglobulin G levels, seropositive results for autoantibodies and moderate to severe interface hepatitis in histologic findings. It will be most helpful in improving survival and life quality, if patients are diagnosed in the early stage and treated appropriately, which also helps relieve social medical burdens. Chinese consensus on the diagnosis and management of autoimmune hepatitis (2015) has contributed to standardizing the diagnosis and treatment of AIH. On the basis of the first consensus, at the end of 2021, under the organization of Chinese Society of Hepatology, experts devise this guide with latest advances aiming to further improve the level of diagnosis and management of autoimmune hepatitis.
Guidelines on the diagnosis and management of primary sclerosing cholangitis (2021)
Chinese Society of Hepatology, Chinese Medical Association
2022, 38(1): 50-61. DOI: 10.3760/cma.j.cn112138-20211109-00786
Abstract(3097) HTML (702) PDF (2577KB)(831)
Abstract:
In 2015, the first Chinese consensus on the diagnosis and management of primary sclerosing cholangitis was issued. In the past years, more data have emerged from the literature. Herein, the Autoimmune Liver Disease Group of the Chinese Society of Hepatology organized an expert group to review the evidence and updated the recommendations to formulate the guidelines. There are 21 recommendations on PSC clinical practice. To facilitate the differentiation between PSC and IgG4-related sclerosing cholangitis, 10 recommendations on IgG4-SC are also attached. These guidelines aim to provide a working reference for the management of PSC and IgG4-SC.
Guideline on the management of cholestasis liver diseases(2021)
Chinese Society of Hepatology, Chinese Medical Association
2022, 38(1): 62-69. DOI: 10.3760/cma.j.cn112138-20211112-00795
Abstract(5137) HTML (3200) PDF (4200KB)(1870)
Abstract:
In 2015, the Chinese Society of Hepatology and Chinese Society of Gastroenterology issued the consensus on the diagnosis and management of cholestatic liver diseases. In the past years, more data have emerged from clinical practice. Herein, the Autoimmune Liver Disease Group of the Chinese Society of Hepatology organized an expert group to review the evidence and updated the recommendations to formulate the guidelines. There are 22 recommendations on clinical practice of cholestatic liver diseases. The guidelines aim to provide a working reference for the management of cholestatic liver diseases.
Interventional expert consensus on integrated traditional Chinese and Western medicine for the diagnosis and treatment of hepatocellular carcinoma(trial editionⅠ)
2019 Expert Committee on Clinical Coordination of Traditional Chinese and Western Medicine for Liver Cancer
2022, 38(1): 70-77. DOI: 10.3969/j.issn.1001-5256.2022.01.010
Abstract(2999) HTML (758) PDF (3410KB)(540)
Abstract:
This consensus is compiled by the experts of hepatocellular carcinoma(HCC) project team, which is under the "major and difficult diseases-the clinical cooperation project of traditional Chinese medicine and Western medicine" of the State Administration of Traditional Chinese Medicine of China. This HCC project team has established minimally-invasive radical ablation for early stage HCC and transcatheter arterial chemoembolization(TAE/TACE) sequential minimally-invasive interventional ablation for advanced HCC, and on the basis of traditional Chinese Medicine(TCM) theory of "determination of treatment based on differentiation of syndromes" the team has further developed a liver ablation system which is represented by hepatic segment ablation, including interventional embolization of labeled tumors, sequential minimally-invasive local ablation and anatomical mode ablation, and elimination of radiographically visible tumors, etc. Based on the TCM theory of "improving the general condition and eliminating the causative agents", reasonable and suitable therapeutic measures are adopted to improve the body's immune function, to remodel a micro-environment that is unsuitable for tumor growth, and to eliminate radiographically invisible tumors. After long-term efforts, the HCC project team has found out the overall solution of "integrated clinical cooperative treatment of HCC with traditional Chinese and Western medicine". This consensus is characterized by the combination of TCM micro-environment conditioning and micro-invasive ablation, it has fully played the TCM overall therapeutic advantages such as "improving the general condition and eliminating the causative agents", "determination of treatment based on differentiation of syndromes", accurately inactivating tumor with minimally-invasive ablation while effectively preserving the normal anatomical structure, physiological functions and immune functions, etc. The overall therapy combined with local ablation treatment and the TCM conditioning combined with minimally-invasive ablation have initiated a novel mode of minimally-invasive diagnosis and treatment of integrated traditional Chinese and Western medicine in treating HCC. After the implementation of this consensus, the treatment of BCLC stage A HCC can obtain the same radical effect as the open surgery. Moreover, the treatment of BCLC Stage B/C HCC that previously could not be treated with open surgery can also obtain radical effect. The above achievements have made the treatment of HCC entering a novel stage, in which a new mode of human cultural diagnosis and treatment becomes to be employed in clinical practice, and the implementation of this project can maximize the effect of health economics.
An excerpt of APASL guidance on stopping nucleos(t)ide analogues in chronic hepatitis B patients (2021)
Shan REN, Sujun ZHENG
2022, 38(1): 78-80. DOI: 10.3969/j.issn.1001-5256.2022.01.011
Abstract(1454) HTML (575) PDF (1949KB)(309)
Abstract:
Original Articles_Viral Hepatitis
Value of serum free triiodothyronine level in predicting the prognosis of patients with HBV-related acute-on-chronic liver failure
Jian ZHANG, Yu CHEN, Zhongping DUAN
2022, 38(1): 81-85. DOI: 10.3969/j.issn.1001-5256.2022.01.012
Abstract(1197) HTML (224) PDF (2175KB)(112)
Abstract:
  Objective  To investigate the value of serum free triiodothyronine (FT3) level in predicting the 90-day prognosis of patients with hepatitis B virus (HBV)-related acute-on-chronic liver failure (ACLF).  Methods  Related clinical data were collected from 122 patients with HBV-ACLF who were hospitalized in Beijing YouAn Hospital, Capital Medical University, from September 2018 to January 2020, and according to their prognosis on day 90 after confirmed diagnosis, they were divided into survival group with 77 patients and death group with 45 patients. ELISA was used to measure the serum level of FT3, which was then compared between the two groups; a logistic regression analysis was used to investigate the risk factors for prognosis and establish an FT3-related predictive model; the area under the receiver operating characteristic (ROC) curve (AUC) of the predicted probability value was used to evaluate the discriminatory ability of the predictive model, and a linear regression analysis was used to evaluate calibration degree. AUC was used to compare the predictive value of this model and Model for End-Stage Liver Disease (MELD) score. The t-test was used for comparison of normally distributed continuous data between two groups, and the Mann-Whitney U test was used for comparison of non-normally distributed continuous data between two groups; the chi-square test was used for comparison of categorical data between two groups; univariate and multivariate logistic regression analyses were used to investigate the influencing factors for prognosis.  Results  The death group had a significantly lower serum level of FT3 than the survival group (2.27±0.38 pmol/L vs 2.69±0.55 pmol/L, t=4.526, P < 0.001). FT3 (odds ratio [OR]=0.534, 95% confidence interval [CI]: 0.300-0.950, P=0.013) was an independent protective factor against poor prognosis, while age (OR=1.047, 95%CI: 1.013-1.082, P=0.007), total bilirubin (TBil) (OR=1.096, 95%CI: 1.059-1.134, P < 0.001), international normalized ratio (INR) (OR=1.101, 95%CI: 1.029-1.178, P < 0.005), and creatinine (Cr) (OR=4.583, 95%CI: 2.102-7.992, P < 0.001) were independent risk factors. In terms of discriminatory ability, the FT3-related predictive model had an AUC of 0.869 (95%CI: 0.831-0.907, P < 0.001), and for calibration ability, R2=0.340, P=0.268. The FT3-related formula was better than MELD score in predicting prognosis (P < 0.05).  Conclusion  FT3 is an independent influencing factor for 90-day prognosis in patients with HBV-ACLF, and the FT3-related predictive model based on FT3 in combination with age, TBil, INR, and Cr has a good value in predicting 90-day prognosis.
Prognosis of acute-on-chronic liver failure caused by hepatitis recurrence after withdrawal of nucleos(t)ide analogues in chronic hepatitis B patients with different HBeAg status
Jiacong SHEN, Xiaopeng LI, Xiaoyu CHENG, Yuanmei CHE, Wan LEI, Guanlin ZHOU, Lunli ZHANG
2022, 38(1): 86-90. DOI: 10.3969/j.issn.1001-5256.2022.01.013
Abstract(1455) HTML (267) PDF (1984KB)(94)
Abstract:
  Objective  To investigate the difference in the prognosis of hepatitis B virus-related acute-on-chronic liver failure (HBV-ACLF) caused by hepatitis recurrence after withdrawal of nucleos(t)ide analogues (NUC) and possible causes in HBeAg-positive versus HBeAg-negative chronic hepatitis B (CHB) patients.  Methods  A total of 108 CHB patients with HBV-ACLF caused by withdrawal of NUC who were admitted to The First Affiliated Hospital of Nanchang University from January 2017 to December 2018 were enrolled, and according to HBeAg status, these patients were divided into HBeAg-positive group with 57 patients and HBeAg-negative group with 51 patients. The two groups were compared in terms of sex, age, clinical manifestation, signs, levels of total bilirubin, direct bilirubin, alanine aminotransferase, aspartate aminotransferase, prothrombin time, activated partial thromboplastin time, prothrombin time/international normalized ratio, and HBV DNA quantification on admission, complications (including hepatic encephalopathy, hepatorenal syndrome, and spontaneous bacterial peritonitis), and prognosis of HBV-ACLF. In addition, 48 CHB patients with continuous NUC antiviral therapy for > 2 years and HBV DNA < 20 IU/mL were enrolled, and the serum level of HBV pgRNA was measured to investigate the possible causes of the difference in the prognosis of HBV-ACLF between the patients with different HBeAg statuses. The two-independent-samples t test was used for comparison of normally distributed continuous data between two groups, and the Kruskal-Wallis H test was used for comparison of non-normally distributed continuous data between two groups; the chi-square test was used for comparison of categorical data.  Results  For the 108 patients with HBV-ACLF caused by drug withdrawal and recurrence, the HBeAg-positive group had an improvement rate of 49.1% and the HBeAg-negative group had an improvement rate of 74.5%. The HBeAg-negative group had a significantly higher improvement rate than the HBeAg-positive group (χ2=2.811, P=0.006). The HBeAg-positive group had a significantly higher level of HBV DNA than the HBeAg-negative group on admission (t=-3.138, P=0.002). For the 48 CHB patients who achieved virologic response after long-term antiviral therapy, the HBeAg-positive group had a significantly higher HBV pgRNA load than the HBeAg-negative group (H=2.814, P=0.049).  Conclusion  Compared with the HBeAg-positive CHB patients, HBeAg-negative CHB patients have a significantly better improvement rate of HBV-ACLF caused by hepatitis recurrence after withdrawal of NUC antiviral therapy. The difference in baseline HBV pgRNA level may be associated with the difference in the prognosis of HBV-ACLF in patients with different HBeAg statuses.
Clinical effect of direct-acting antiviral agents in treatment of chronic hepatitis C patients with thrombocytopenia
Tao WANG, Fenghui LI, Jing LIANG, Huiling XIANG, Fang LIU, Hongmin LYU, Baoxin QIAN, Jiajun TIAN
2022, 38(1): 91-96. DOI: 10.3969/j.issn.1001-5256.2022.01.014
Abstract(1334) HTML (368) PDF (2173KB)(91)
Abstract:
  Objective  To investigate the clinical effect of direct-acting antiviral agent (DAA) in the treatment of chronic hepatitis C (CHC) patients with thrombocytopenia and its effect on platelet count (PLT).  Methods  A retrospective analysis was performed for 83 CHC patients with thrombocytopenia (PLT < 150×109/L) who received the DAA treatment regimen without interferon for 12-24 weeks in Tianjin Third Central Hospital from April 2018 to March 2019, and the changes in virologic response, liver function parameters, PLT, and liver stiffness measurement (LSM) were evaluated at the end of treatment (EOT) and at week 12 after EOT. Quantitative data accord with normal distribution were compared by repeated measures ANOVA. Normal transformation was performed before the comparison between skewed data, then repeated measures ANOVA was carried out. A logistic regression analysis was used to investigate the predictive factors for PLT elevation, and the receiver operating characteristic (ROC) curve was plotted to analyze the value of LSM in predicting PLT elevation after treatment.  Results  Among the 83 CHC patients with thrombocytopenia, 61.4% had liver cirrhosis, and the rate of sustained virologic response at week 12 after the end of treatment (SVR12) was 98.8%. From baseline to EOT and SVR12, the patients had significant reductions in the serum levels of aspartate aminotransferase, alanine aminotransferase, gamma-glutamyl transpeptidase, total bilirubin, and globin, a significant increase in the serum level of albumin, and a significant reduction in LSM (all P < 0.05). For all patients, PLT at EOT and SVR12 was significantly higher than that at baseline [EOT vs baseline: (110.4±44.6)×109/L vs (97.8±33.2)×109/L, P < 0.01; SVR12 vs baseline: (109.0±47.7)×109/L vs (97.8±33.2)×109/L, P < 0.01]. At SVR12, there were significant differences in the proportion of patients with liver cirrhosis, baseline LSM, and baseline white blood cell count between the PLT elevation group and the non-PLT elevation group (all P < 0.05). The multivariate logistic regression analysis showed that LSM was an independent predictive factor for significant PLT elevation after DAA treatment (odds ratio=0.929, 95% confidence interval: 0.864-0.999, P < 0.05). Baseline LSM had an area under the ROC curve of 0.644 in predicting PLT elevation, with a sensitivity of 81.0% and a specificity of 48.6% at a cut-off value of 20.15 kPa. The patients with PLT > 100×109/L at baseline had a greater increase in PLT(P < 0.05).  Conclusion  CHC patients with thrombocytopenia have significant improvements in liver function and LSM after receiving DAA treatment and obtaining SVR12, and baseline LSM is an independent predictive factor for PLT elevation. There is a significant increase in PLT from baseline to EOT and SVR12.
Original Articles_Liver Fibrosis and Liver Cirrhosis
Diagnostic value of transient elastography in the staging of hepatic fibrosis in patients with autoimmune liver disease: A Meta-analysis
Zhiran YANG, Linheng WANG, Yuan LI, Fusheng LIU, Yu WANG, Jianfang WANG, Runhua CHEN
2022, 38(1): 97-103. DOI: 10.3969/j.issn.1001-5256.2022.01.015
Abstract(1465) HTML (640) PDF (5357KB)(112)
Abstract:
  Objective  To investigate the value of transient elastography (TE) in the staging of hepatic fibrosis in patients with autoimmune liver disease (ALD).  Methods  PubMed, Embase, the Cochrane Library, CNKI, Wanfang Data, and VIP databases were searched for English and Chinese articles on TE in the staging of hepatic fibrosis in ALD published from January 2000 to January 2021. Two reviewers independently performed data extraction for the articles included, and QUADAS2 was used for quality assessment. The bivariate mixed effects model in Stata 15.0 software was used to perform the Meta-analysis.  Results  A total of 11 articles were included, with 1041 patients in total. In the diagnosis of significant hepatic fibrosis (F≥2), TE had a pooled sensitivity of 0.81 (95% CI: 0.75-0.86), a specificity of 0.87(95%CI 0.79-0.92), and an area under the receiver operating characteristic curve (AUC) of 0.91(95%CI 0.88-0.93); in the diagnosis of advanced hepatic fibrosis (F≥3), TE had a pooled sensitivity of 0.81(95%CI 0.74-0.87), a sensitivity of 0.90(95%CI 0.85-0.93), and an AUC of 0.92(95%CI 0.90-0.94); in the diagnosis of early-stage liver cirrhosis (F4), TE had a pooled sensitivity of 0.87(95%CI 0.74-0.93), a specificity of 0.93(95%CI 0.87-0.97), and an AUC of 0.96(95%CI 0.94-0.97).  Conclusion  TE has a good diagnostic value in evaluating significant liver fibrosis, advanced liver fibrosis, and early-stage liver cirrhosis in patients with ALD, especially with a relatively high diagnostic accuracy for early-stage liver cirrhosis.
Value of five noninvasive diagnostic methods for liver cirrhosis in diagnosis of traditional Chinese medicine syndrome types in patients with compensated hepatitis B cirrhosis
Zhongjie YU, Wenxia ZHAO, Leixin FENG, Hanxiao WANG, Jianpeng LIU
2022, 38(1): 104-109. DOI: 10.3969/j.issn.1001-5256.2022.01.016
Abstract(1489) HTML (271) PDF (2578KB)(85)
Abstract:
  Objective  To investigate the association of five noninvasive diagnostic methods for liver cirrhosis, i.e., liver stiffness measurement (LSM) on FibroScan, aspartate aminotransferase-to-platelet ratio index (APRI), fibrosis-4 (FIB-4), gamma-glutamyl transpeptidase-to-platelet ratio (GPR), and red blood cell distribution width-to-platelet ratio (RPR), with traditional Chinese medicine (TCM) syndrome types in patients with compensated hepatitis B cirrhosis.  Methods  A retrospective analysis was performed for the clinical data of 327 patients who were diagnosed with compensated hepatitis B cirrhosis in The First Affiliated Hospital of Henan University of Chinese Medicine from January 2017 to January 2020, and based on their TCM syndrome type, they were divided into liver depression and spleen deficiency group with 160 patients, liver-gallbladder damp-heat syndrome group with 84 patients, liver-kidney Yin deficiency group with 13 patients, spleen-kidney Yang deficiency group with 5 patients, and blood stasis obstructing the collaterals group with 65 patients. Related data were collected, including clinical data, routine blood test results, liver function, LSM, and color Doppler ultrasound findings of liver, gallbladder, spleen, and pancreas. TCM syndrome differentiation was performed, and the models of APRI, FIB-4, GPR, and RPR were established. A one-way analysis of variance was used for comparison of normally distributed continuous data between multiple groups, and the least significant difference t-test was used for further comparison between two groups; the multiple independent samples Kruskal-Wallis H rank sum test was used for comparison of non-normally distributed continuous data between multiple groups, and the one- way Kruskal-Wallis ANOVA (k-sample) was used for multiple comparison; the binary logistic regression analysis was used to investigate the association between TCM syndrome types and non-invasive diagnosis of liver cirrhosis; the receiver operating characteristic (ROC) curve was used to evaluate the diagnostic capability of five noninvasive methods for predicting TCM syndrome type in compensated hepatitis B cirrhosis.  Results  The logistic regression analysis showed that in the liver-gallbladder damp-heat syndrome group, aspartate aminotransferase OR=1.981, 95%CI: 1.8225-2.139, P < 0.05), and LSM (OR=2.002, 95%CI: 1.840-2.160, P < 0.05) were influencing factors for compensated hepatitis B cirrhosis; in the liver depression and spleen deficiency group, portal vein width (OR=4.402, 95%CI: 4.050-4.754, P < 0.05), LSM (OR=3.901, 95%CI: 3.589-4.213, P < 0.05), APRI (OR=1.891, 95%CI: 1.740-2.042, P < 0.05), and FIB-4 (OR=1.845, 95%CI: 1.697-1.993, P < 0.05) were influencing factors for compensated hepatitis B cirrhosis; in the blood stasis obstructing the collaterals group, LSM (OR=2.465, 95%CI: 2.268-2.662, P < 0.05), APRI (OR=1.298, 95%CI: 1.194-1.402, P < 0.05), and FIB-4 (OR=1.849, 95%CI: 1.701-1.997, P < 0.05) were influencing factors for compensated hepatitis B cirrhosis. The ROC curve analysis showed that LSM and RPR had a significantly better diagnostic value than the other methods in evaluating liver-gallbladder damp-heat syndrome, and LSM and FIB-4 had a significantly better diagnostic value than the other methods in evaluating liver depression and spleen deficiency; all five noninvasive diagnostic methods had a good value in evaluating the syndrome of blood stasis obstructing the collaterals.  Conclusion  The five noninvasive diagnostic methods have their own advantages in evaluating different syndrome types, which provide a reference for the diagnosis of TCM syndrome types in patients with compensated hepatitis B cirrhosis.
Original Articles_Liver Neoplasms
Establishment of a nomogram for survival rate after liver resection for primary small hepatocellular carcinoma based on SEER data and external validation
Haoyou TANG, Sheng LIU, Xin ZENG, Xiaobin HUANG, Yang YANG, Dawei DENG, Jianshui LI
2022, 38(1): 110-116. DOI: 10.3969/j.issn.1001-5256.2022.01.017
Abstract(1582) HTML (534) PDF (4273KB)(97)
Abstract:
  Objective  To establish a nomogram for overall survival rate after liver resection for primary small hepatocellular carcinoma based on SEER data and external validation of Chinese data.  Methods  The data of 1809 patients, registered in National Cancer Institute SEER database in 2004-2015, who underwent hepatectomy for primary small hepatocellular carcinoma were extracted as modeling group, and 158 patients with small hepatocellular carcinoma who underwent hepatectomy in Affiliated Hospital of North Sichuan Medical College from 2010 to 2017 were collected as validation group. The univariate Cox risk regression analysis, lasso regression analysis, and multivariate Cox hazard regression analysis were used to investigate the influencing factors for OS after hepatectomy in patients with small hepatocellular carcinoma. A nomogram was established based on the independent influencing factors for OS, and index of concordance (C-index), calibration curves, and receiver operating characteristic (ROC) curve were used to analyze the predictive ability of the nomogram. The Kaplan-Meier survival analysis and the log-rank test were used to investigate the difference in survival between the high- and low-risk groups.  Results  The multivariate Cox hazard regression analysis showed that sex (hazard ratio [HR]=1.22, 95% confidence interval [CI]: 1.05-1.41, P=0.010), Seer stage (HR=1.51, 95%CI: 1.23-1.85, P < 0.001; HR=10.31, 95%CI: 2.53-42.04, P=0.001), tumor diameter (HR=1.22, 95%CI: 1.06-1.39, P=0.004), vascular invasion or metastasis (HR=1.43, 95%CI: 1.24-1.65, P < 0.001), and alpha-fetoprotein (HR=1.33, 95%CI: 1.16-1.54, P < 0.001) were independent risk factors for OS after hepatectomy for small hepatocellular carcinoma. The modeling group had a C-index of 0.621, and its area under the ROC curve at 1, 2, and 3 years was 0.666(95%CI 0.628-0.704), 0.678(95%CI 0.647-0.708), and 0.663(95%CI: 0.635-0.690), respectively; the validation group had a C-index of 0.718, and its area under the ROC curve at 1, 2, and 3 years was 0.695(95%CI: 0.593-0.797), 0.781(95%CI: 0.706-0.856), and 0.759(95%CI 0.669-0.848), respectively. Risk stratification was performed based on the nomogram, and the Kaplan-Meier survival analysis showed that for both the modeling group and the validation group, the low-risk group had a significantly better prognosis than the high-risk group (P < 0.01).  Conclusion  The model established for survival rate after liver resection for primary small hepatocellular carcinoma can predict the 1-, 2-, and 3-year OS rates and can thus be used in clinical practice in China.
Expression of interleukin-33 in hepatocellular carcinoma patients and its role in regulating CD8+ T cell function
Haipeng WANG, Yi LIU, Donghui LI, Guanghui SHEN
2022, 38(1): 117-123. DOI: 10.3969/j.issn.1001-5256.2022.01.018
Abstract(1096) HTML (311) PDF (3969KB)(83)
Abstract:
  Objective  To investigate the change in interleukin-33 (IL-33) in the peripheral blood of hepatocellular carcinoma (HCC) patients and the role and potential mechanism of IL-33 in regulating CD8+ T cell function in HCC patients.  Methods  A total of 44 HCC patients who attended Shaanxi Provincial People's Hospital from April 2019 to January 2020 and 20 healthy controls were enrolled. Peripheral blood was collected, and plasma and peripheral blood mononucleated cells (PBMCs) were isolated; ELISA was used to measure the plasma levels of IL-33 and its receptor ST2, and quantitative real-time PCR was used to measure the relative mRNA expression levels of IL-33 and ST2 in PBMCs. CD8+ T cells were purified and stimulated with recombinant IL-33; CCK-8 assay was used to assess cell proliferation, enzyme-linked immunospot assay was used to measure the secretion of perforin and granzyme B, and flow cytometry was used to measure the expression of PD-1, LAG-3, and CTLA-4; changes in cell proliferation, secretion of cytotoxic molecules, and immune checkpoint molecules after IL-33 stimulation were compared. CD8+ T cells were co-cultured with HepG2 cells; the expression of lactate dehydrogenase was measured to calculate the proportion of dead HepG2 cells induced by CD8+ T cells, and the change in the killing function of CD8+ T cells after IL-33 stimulation was compared. The t-test or the paired t-test was used for comparison of continuous data between two groups, and a Pearson correlation analysis was performed.  Results  Compared with the control group, the HCC group had significantly lower plasma level of IL-33 (269.80±63.08 pg/ml vs 339.50±64.43 pg/ml, t=4.072, P < 0.001) and relative mRNA expression level of IL-33 in PBMCs (1.07±0.14 vs 2.45±0.87, t=10.250, P < 0.001). There were no significant differences in the plasma level of ST2 and the relative mRNA expression level of ST2 in PBMCs between the HCC group and the control group (P > 0.05). The proportion of CD8+ T cells was not correlated with the plasma level of IL-33 or ST2 (both P > 0.05). Compared with the control group, the HCC group had significantly lower levels of perforin and granzyme B (both P < 0.05) and a significantly higher proportion of CD8+ T cells with positive PD-1, LAG-3, and CTLA-4 (P < 0.05). Stimulation with recombinant IL-33 did not affect the proliferation of CD8+ T cells or the expression of immune checkpoint molecules (P > 0.05), but it promoted the secretion of perforin and granzyme B (P < 0.05). Compared with the control group, the HCC group had a significant reduction in the killing activity of CD8+ T cells (P < 0.05), and stimulation with recombinant IL-33 enhanced the killing function of CD8+ T cells, which was mainly reflected in the increases in the proportion of dead HepG2 cells (P < 0.05) and the secretion of IFNγ and TNFα (P < 0.05).  Conclusion  There is a reduction in the plasma level of IL-33 in HCC patients. IL-33 can enhance the killing activity of CD8+ T cells by promoting the secretion of perforin and granzyme B, which provides a new target for the treatment of HCC.
Original Articles_Other Liver Diseases
Effect of ideal cardiovascular health metrics on the incidence rate of nonalcoholic fatty liver disease
Dongna ZHAO, Qian LIU, Huijie LIANG, Haozhe CUI, Lingqun MENG, Huiliang E, Liying CAO
2022, 38(1): 124-128. DOI: 10.3969/j.issn.1001-5256.2022.01.019
Abstract(1063) HTML (254) PDF (1983KB)(65)
Abstract:
  Objective  To investigate the association of ideal cardiovascular health metrics with the incidence rate of nonalcoholic fatty liver disease (NAFLD), and to provide a basis for the prevention and control of NAFLD.  Methods  A prospective cohort study was conducted for the data of 50 511 employees of Kailuan Group who participated in physical examination from July 2006 to June 2007, and the onset of NAFLD was observed during follow-up once every two years. A one-way analysis of variance was used for comparison of normally distributed continuous data between multiple groups, and the Kruskal-Wallis H test used for comparison of continuous data with skewed distribution between multiple groups; the chi-square test was used for comparison of categorical data between groups. The subjects were divided into four groups according to the quartile of cardiovascular health score (CHS), and person-year incidence rate was used to calculate the incidence rate of NAFLD in each group. Restricted cubic spline (RCS) curve was used to calculate the dose-response relation between continuous variables and outcome events; the Cox proportional hazards model was used to analyze hazard ratio (HR) and 95% confidence interval (CI) in each group and investigate the effect of ideal cardiovascular health metrics on the incidence rate of NAFLD.  Results  During the mean follow-up time of 5.58 years, a total of 15 265 cases of NAFLD were observed, and the incidence rate of NAFLD was 77.88/1000 person-year in the Q1 group, 61.33/1000 person-year in the Q2 group, 46.37/1000 person-year in the Q3 group, and 33.69/1000 person-year in the Q4 group. RCS results showed a non-linear relationship between CHS continuous variable and the risk of NAFLD (P < 0.05). The multivariate Cox proportional risk model analysis showed that compared with the Q1 group in terms of the risk of NAFLD, the Q2, Q3, and Q4 groups had an HR of 0.78 (95%CI 0.74~0.81), 0.57 (95%CI 0.54~0.59), and 0.38 (95%CI 0.36~0.41), respectively, and similar results were observed in subjects stratified by sex and age. The analysis of each component showed that ideal body mass index (HR=0.37, 95%CI: 0.36~0.39), ideal blood glucose (HR=0.80, 95%CI: 0.77~0.84), ideal blood pressure (HR=0.72, 95%CI: 0.69~0.75), ideal cholesterol (HR=0.86, 95%CI: 0.83~0.89), and ideal diet (HR=0.94, 95%CI: 0.90~0.99) were protective factors against NAFLD.  Conclusion  Ideal cardiovascular health metrics are protective factors against NAFLD, and maintaining a healthy lifestyle may help to prevent the onset of NAFLD.
Value of lipid accumulation product and visceral fat index in predicting nonalcoholic fatty liver disease
Shaojie DUAN, Zunjing LIU, Jialiang CHEN, Shukun YAO
2022, 38(1): 129-134. DOI: 10.3969/j.issn.1001-5256.2022.01.020
Abstract(1867) HTML (309) PDF (2973KB)(132)
Abstract:
  Objective  To investigate the association of lipid accumulation product (LAP) and visceral fat index (VAI) with nonalcoholic fatty liver disease (NAFLD) and the value of LAP and VAI in predicting the risk of NAFLD.  Methods  A total of 708 subjects who underwent physical examination in China-Japan Friendship Hospital from September 2018 to May 2019 were enrolled and divided into NAFLD group (n=426) and non-NAFLD group (n=282), and the two groups were compared in terms of LAP, VAI, and related biochemical parameters. The independent samples t-test was used for comparison of normally distributed continuous data between groups, and the Mann-Whitney U test was used for comparison of non-normally distributed continuous data between groups.The chi-square test was used for comparison of categorical data between groups. The Spearman test was used for correlation analysis. The subjects were divided into L1-L4 groups based on LAP and V1-V4 groups based on VAI, and the distribution of NAFLD was compared between groups; a logistic regression analysis was used to calculate the risk of NAFLD at different levels of LAP and VAI, and the receiver operating characteristic (ROC) curves were plotted for LAP, VAI, waist circumference (WC), and body mass index (BMI) in predicting NAFLD in different sex and body weight subgroups, so as to evaluate the value of each index in the prediction and diagnosis of NAFLD.  Results  Compared with the non-NAFLD group, the NAFLD group had significantly higher age, proportion of male subjects, proportion of subjects with a smoking history, and levels of LAP, VAI, WC, BMI, systolic blood pressure, diastolic blood pressure, alanine aminotransferase, aspartate aminotransferase, total cholesterol, triglyceride, low-density lipoprotein cholesterol, fasting blood glucose, and serum uric acid, as well as a significantly lower level of high-density lipoprotein cholesterol (all P < 0.01). NAFLD was positively correlated with the levels of LAP and VAI (Cramer's V=0.552 and 0.464). The multivariate logistic regression analysis showed that after adjustment for related risk factors, the risk of NAFLD in the L4 group was still 8.811 (95% confidence interval [CI]: 4.335-17.910) times that in the L1 group (P < 0.001), and the risk of NAFLD in the V4 group was still 5.967 (95% CI: 3.263-10.912) times than that in the V1 group (P < 0.001). The ROC curve analysis showed that both LAP and VAI had an area under the ROC curve (AUC) of > 0.7 in predicting the onset of NAFLD in different sex and body weight subgroups; the AUCs of LAP and VAI in the female subgroup were significantly higher than those in the male subgroup (LAP: 0.886 vs 0.785, P < 0.05; VAI: 0.824 vs 0.748, P < 0.05), and the corresponding sensitivities and specificities of LAP and VAI in the female subgroup were also higher than those in the male subgroup (sensitivity: LAP: 79.8% vs 63.7%; VAI: 77.9% vs 77.0%; specificity: LAP: 85.0% vs 81.1%; VAI: 77.6% vs 62.3%).  Conclusion  The risk of NAFLD increases with the increase in the levels of LAP and VAI. Both LAP and VAI have a good value in predicting NAFLD in different sex and body weight subgroups, especially in predicting NAFLD in the female population.
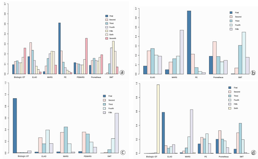
Efficacy of artificial liver support system in treatment of acute-on-chronic liver failure: A network Meta-analysis
Liangliang GAN, Jinzhou ZHANG, Xiandong WANG, Caihong FU, Jia SU, Xuemei TANG
2022, 38(1): 135-140. DOI: 10.3969/j.issn.1001-5256.2022.01.021
Abstract(2283) HTML (410) PDF (4674KB)(141)
Abstract:
  Objective  To systematically review the efficacy of different artificial liver support systems in the treatment of acute-on-chronic liver failure (ACLF) using a network Meta-analysis.  Methods  PubMed, Embase, the Cochrane library, Clinical Trial, CNKI, SinoMed, and Wanfang Data were searched for randomized controlled trials (RCTs) on different artificial liver support systems in the treatment of ACLF. Literature screening, data extraction, and method ological quality assessment were performed according to inclusion and exclusion criteria, and Stata15.1 software and R4.1.0 software were used to perform a network Meta-analysis.  Results  A total of 14 RCTs were included, with 1141 patients in total. The network meta-analysis showed different intervention methods had no significant difference in reducing mortality rate based on cross comparison (all P > 0.05). The probability ranking diagram showed that plasma exchange (PE) showed the best effect in reducing 30-day mortality rate, followed by extracorporeal liver assist device (ELAD), fractionated plasma separation and adsorption with Prometheus system, molecular adsorbent recirculating system (MARS), Biologic-DT liver dialysis device, and PE+MARS. PE showed the best effect in reducing 90-day mortality rate, followed by Prometheus, ELAD, and MARS. Biologic-DT showed the best effect in improving hepatic encephalopathy, followed by MARS, PE+MARS, and ELAD. Patients undergoing ELAD had the lowest risk of bleeding, and compared with standard medical treatment, Biologic-DT might increase the risk of bleeding [risk ratio=1.9×108, 95% confidence interval: (4.6-6.2)×1027].  Conclusion  PE might be the best option for reducing 30- and 90-day mortality rates in ACLF patients. Biologic-DT has a better effect in improving hepatic encephalopathy, but it may increase the risk of bleeding.
Diagnostic values of integrated evidence chain, Roussel Uclaf Causality Assessment Method, and Structured Expert Opinion Process method for drug-induced liver injury
Tingting HE, Qingsheng LIANG, Liping WANG, Longxin LIANG, Xiaohan LI, Yanfei CUI, Jing JING, Zhaofang BAI, Man GONG, Ruilin WANG
2022, 38(1): 141-147. DOI: 10.3969/j.issn.1001-5256.2022.01.022
Abstract(1552) HTML (266) PDF (2269KB)(102)
Abstract:
  Objective  To investigate the clinical applicability and different characteristics of three commonly used diagnostic methods for drug-induced liver injury from the two aspects of liver injury induced by Western medicine and liver injury induced by traditional Chinese medicine.  Methods  A prospective cohort study was performed for 289 hospitalized patients with acute drug-induced liver injury who were admitted to The Fifth Medical Center of Chinese PLA General Hospital from January 2015 to December 2020 and did not receive integrated traditional Chinese and Western medicine therapy, among whom 187 patients had herb-induced liver injury and 102 had Western medicine-induced liver injury. The 289 patients were diagnosed by the integrated evidence chain (IEC), Roussel Uclaf Causality Assessment Method (RUCAM), and the Structured Expert Opinion Process (SEOP) method, and related data at acute onset were collected, including general information, latency period, detailed medication, and laboratory markers such as alanine aminotransferase (ALT), aspartate aminotransferase (AST), gamma-glutamyl transpeptidase, alkaline phosphatase, and total bilirubin. A statistical analysis was performed to investigate the consistency between IEC, RUCAM, and SEOP in the diagnosis of Western medicine-induced liver injury and herb-induced liver injury and their own applicability. The Kruskal-Wallis H test was used for comparison of non-normally distributed continuous data; the chi-square was used for comparison of categorical data.  Results  The hepatocellular type was the main type of clinical liver injury in both Western medicine-induced liver injury and herb-induced liver injury, accounting for 81.4% and 74.3%, respectively, and laboratory examination showed higher levels of ALT and AST. Western medicine-induced liver injury cases were diagnosed by IEC, RUCAM, and SEOP, with a clinical diagnosis rate of 65.7%, 100%, and 63.7%, respectively, and the constituent ratio of Western medicine-induced liver injury was 23.2%, 35.3%, and 22.5%, respectively. Herb-induced liver injury cases were diagnosed by these three methods, with a clinical diagnosis rate of 47.6%, 100%, and 29.9%, respectively, and the constituent ratio of herb-induced liver injury was 30.8%, 64.7%, and 19.4%, respectively. The consistency test of the three diagnostic methods showed that in the diagnosis of Western medicine-induced liver injury cases, there was good consistency between IEC and SEOP (Kappa=0.785, P < 0.05), while there was poor consistency between RUCAM and IEC (Kappa=0.149, P > 0.05) and between RUCAM and SEOP (Kappa=0.117, P > 0.05); in the diagnosis of herb-induced liver injury cases, there was poor consistency between RUCAM and SEOP (Kappa=0.066, P > 0.05), while there was good consistency between RUCAM and IEC (Kappa=0.026, P < 0.05) and between IEC and SEOP (Kappa=0.437, P < 0.05).  Conclusion  The IEC method shows good applicability for both Western medicine-induced liver injury and herb-induced liver injury, and there is good consistency between IEC and SEOP in the diagnosis of Western medicine-induced liver injury cases, while there is a relatively low level of consistency between IEC and SEOP in the diagnosis of herb-induced liver injury. There is poor consistency between RUCAM and the other two methods. In the clinical diagnosis of Western medicine-induced liver injury, IEC, RUCAM, and SEOP should be used in combination to accurately judge the causal relationship between drugs and liver injury.
Clinical features and autoantibody characteristics of patients with drug-induced liver injury: An analysis of 419 cases
Fengxin CHEN, Zhan ZENG, Fangfang SUN, Leiping HU, Yao LU, Lu ZHANG, Minghui LI, XIE Yao
2022, 38(1): 148-153. DOI: 10.3969/j.issn.1001-5256.2022.01.023
Abstract(1365) HTML (289) PDF (2079KB)(114)
Abstract:
  Objective  To investigate the clinical features and autoantibody characteristics of patients with drug-induced liver injury (DILI).  Methods  A retrospective analysis was performed for the patients with abnormal liver function who were admitted to Beijing Ditan Hospital, Capital Medical University, from September 2014 to September 2018 and were diagnosed with DILI based on RUCAM score, and related data on admission were collected, including baseline liver function, renal function, routine blood test results, five immune indices, autoantibody, and liver biopsy results. The t-test was used for comparison of normally distributed continuous data between two groups, and the Mann-Whitney U test was used for comparison of non-normally distributed continuous data between two groups; the chi-square test was used to compare the detection rate of autoantibody between the patients with different sexes or types of liver injury. A logistic regression analysis was used to investigate whether autoantibody had a regression relationship with sex, age, and type of injury, and an ordinal logistic regression analysis was performed with baseline laboratory results as independent variables and anti-nuclear antibody (ANA) titer as the dependent variable.  Results  A total of 419 patients with DILI were enrolled in the study, with a median age of 47 (35-55) years, among whom male patients accounted for 32.5% (136/419) and female patients accounted for 67.5% (283/419). Among these 419 patients, 88 (21.5%) had hepatocellular-type liver injury, 87 (21.2%) had mixed-type liver injury, and 235 (57.3%) had cholestasis-type liver injury. The detection rate of autoantibodies was 50.6% (212/419), and the detection rate of ANA was 42.9% (180/419), with a titer of mainly 1∶ 100 (104/180). There was no significant difference in the detection rate of autoantibodies between the patients with different sexes (χ2=2.658, P=0.103) or different types of injury (χ2=0.859, P=0.651). The binary logistic regression analysis showed that autoantibody did not have a regression relationship with sex, age, and type of injury (all P > 0.05) There were significant differences in prothrombin time activity (PTA) and international normalized ratio (INR) between the positive autoantibody group and the negative autoantibody group (t=2.161, P=0.031; Z=-3.010, P=0.003). The ordinal logistic regression analysis showed that INR (odds ratio [OR]=3.101, P=0.040) and IgG (OR=1.043, P=0.014) were associated with ANA grade.  Conclusion  There is a relatively high detection rate of autoantibodies in patients with DILI, and the detection rate of autoantibodies is not associated with sex, age, or type of injury. There are differences in PTA and INR between autoantibody-positive patients and autoantibody-negative patients, and the levels of INR and IgG are correlated with antibody titer.
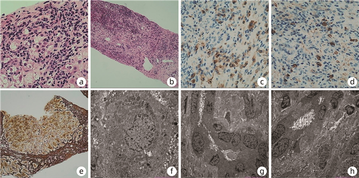
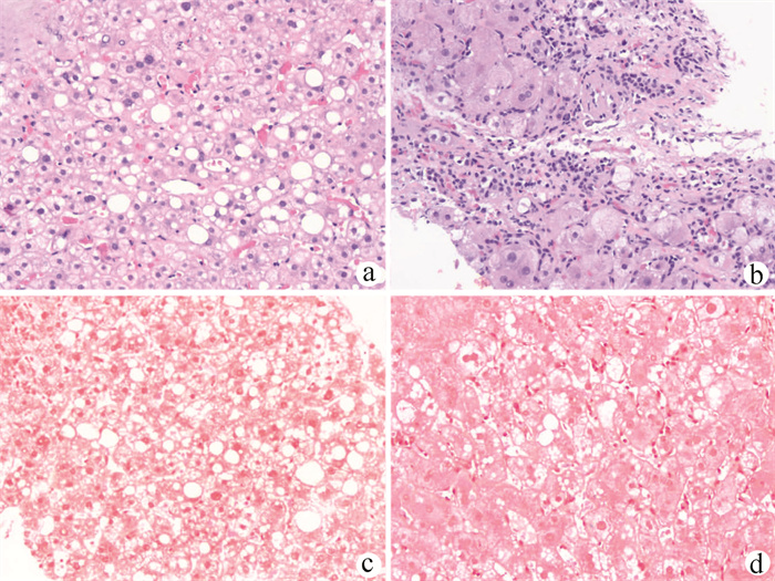
Clinical and pathological features of progressive familial intrahepatic cholestasis type 3
Yuhang WENG, Qingfang XIONG, Duxian LIU, Xulei ZHANG, Yongfeng YANG
2022, 38(1): 154-159. DOI: 10.3969/j.issn.1001-5256.2022.01.024
Abstract(1849) HTML (765) PDF (2621KB)(143)
Abstract:
  Objective  To investigate the clinical and pathological features of progressive familial intrahepatic cholestasis type 3 (PFIC3).  Methods  A retrospective analysis was performed for 1326 patients with unexplained liver disease who attended Nanjing Second Hospital from January 2017 to December 2019, among whom 8 patients were diagnosed with PFIC3 based on clinical/pathological manifestation and gene sequencing results (1 patient did not undergo liver biopsy due to contraindication). Clinical, laboratory, imaging, and pathological findings were analyzed and a literature review was performed for the pathology of ABCB4-related diseases to summarize the clinical and pathological features of PFIC-3.  Results  Among the 8 patients with PFIC3, there were 5 male patients and 3 female patients, with a median age of 29.5 years. Of all 8 patients, 4 (50%) manifested as chronic cholestasis and 4 (50%) manifested as biliary cirrhosis, among whom 3 (75%) had the manifestation of portal hypertension. As for biochemical examination, 75% (6/8) had an increase in alkaline phosphatase, and 100% (8/8) had an increase in gamma-glutamyl transpeptidase. As for imaging examination, 50% (4/8) had cholecystitis, 25% (2/8) had gallstones, 25% (2/8) had bile duct dilatation, 75% (6/8) had splenomegaly, and 25% (2/8) had liver cirrhosis. As for liver biopsy, all 7 patients manifested as bile duct injury and/or reduction, and 57.1% (5/7) had absence of the bile duct. Multidrug resistance P-glycoprotein 3 (MDR3) immunohistochemical staining showed normal expression in 42.9% (3/7) of the patients and reduced expression in 57.1% (4/7) of the patients. Literature review obtained 17 articles with a description of the bile duct or MDR3 immunohistochemistry. Among the 7 patients with low phospholipid-associated cholelithiasis, 71.4% (5/7) had normal bile duct, 14.3% (1/7) had bile duct reduction, and 14.3% (1/7) had absence of the bile duct; among the 6 patients with intrahepatic cholestasis of pregnancy, 16.7% (1/6) had normal bile duct, 50% (3/6) had bile duct reduction, and 33.3% (2/6) had absence of the bile duct; among the 8 patients with PFIC3, 25% (2/8) had bile duct reduction and 75% (6/8) had absence of bile duct; among the 21 patients with PFIC3, 9.5% (2/21) had normal expression of MDR3, 23.8% (5/21) had a reduction in the expression of MDR3, and 66.7% (14/21) had absence of the expression of MDR3.  Conclusion  PFIC3 mainly manifests as cholestasis, cholelithiasis, and hepatic fibrosis. Pathological manifestation includes bile duct injury and bile duct reduction or absence of the bile duct in severe cases, and the degree of injury is associated with disease severity. MDR3 immunohistochemistry may show normal expression, reduced expression, or absence of expression, and diagnosis cannot be excluded in patients with normal expression. Genetic testing can be performed for diagnosis when necessary.
Original Articles_Biliary Diseases
Application of indocyanine green cholangiography in accurate identification of the common bile duct in laparoscopic cholecystectomy
Jun YANG, Hao JIN
2022, 38(1): 160-163. DOI: 10.3969/j.issn.1001-5256.2022.01.025
Abstract(1590) HTML (739) PDF (2140KB)(103)
Abstract:
  Objective  To investigate the application of intraoperative indocyanine green (ICG) cholangiography in the accurate identification of the common bile duct since common bile duct injury is a common complication of laparoscopic cholecystectomy (LC), and to reduce the incidence rate of common bile duct injury during LC.  Methods  A total of 68 patients who underwent LC in Zhuhai People's Hospital from April 2021 to Jane 2021 were enrolled, among whom 56 patients underwent conventional LC and 12 patients underwent LC under the guidance of ICG cholangiography. The common bile duct, cystic duct, and gallbladder were examined by white light laparoscopy for the conventional LC group and near-infrared laparoscopy for the ICG cholangiography group. The propensity score matching method was used to balance the preoperative data between the two groups. The t-test and the chi-square test were used for comparison of intraoperative blood loss, time of operation, length of postoperative hospital stay, and incidence rate of common bile duct injury between the two groups.  Results  Compared with the conventional LC group, the ICG cholangiography group had significantly lower intraoperative blood loss 3.1±0.9 mL vs 10.8±2.3 mL, t=-22.709, P < 0.05), significantly shorter time of operation (20.2±1.6 min vs 48.3±5.1 min, t=-19.856, P < 0.05) and length of postoperative hospital stay (1.2±0.3 days vs 2.3±0.8 days, t=-19.507, P < 0.05), and a significantly lower incidence rate of complications (0 vs 8.3%, χ2=1.287, P < 0.05).  Conclusion  ICG cholangiography is an effective method to differentiate between the common bile duct and the cystic duct during LC and can prevent common bile duct injury. This method has great advantages in the treatment of patients with gallstones due to its high degree of identification of the biliary tract, long onset time, repeated application, convenient operation, and ability to be combined with intraoperative navigation device.
Case Reports
A case of severe allergic hepatitis caused by eosinophilia
Jie SU, Jingyu WANG, Xing HUANG, Yu PAN, Yue QI, Rui HUA
2022, 38(1): 164-166. DOI: 10.3969/j.issn.1001-5256.2022.01.026
Abstract(1605) HTML (311) PDF (2349KB)(103)
Abstract:
A compound heterozygous mutation in the ATP7B gene with acute fatty liver of pregnancy: A case report
Dan YANG, Cuiwei ZHANG, Mingming DENG
2022, 38(1): 167-169. DOI: 10.3969/j.issn.1001-5256.2022.01.027
Abstract(972) HTML (377) PDF (3181KB)(69)
Abstract:
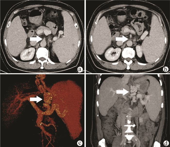
IgG4-related autoimmune hepatitis with subacute liver failure as the initial manifestation: A case report
Li JIANG, Huimin LIU, Qing MAO
2022, 38(1): 170-173. DOI: 10.3969/j.issn.1001-5256.2022.01.028
Abstract(1589) HTML (432) PDF (3941KB)(87)
Abstract:
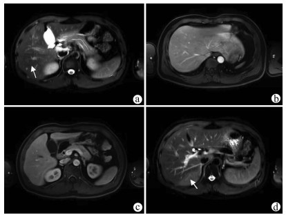
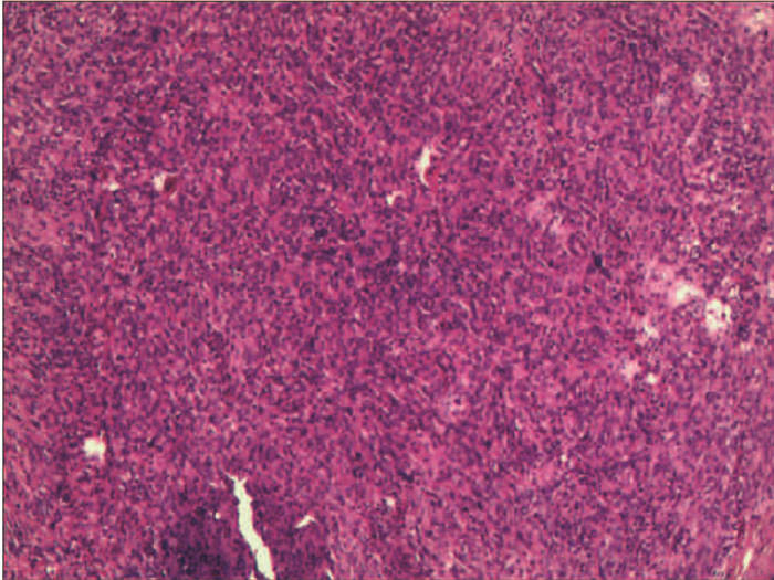
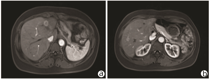
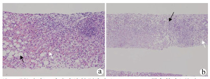
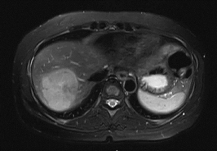
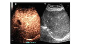
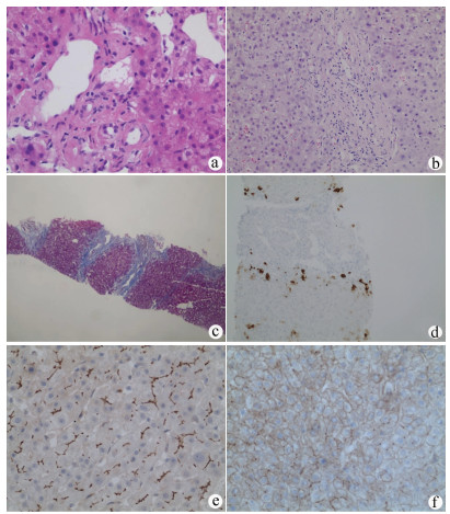
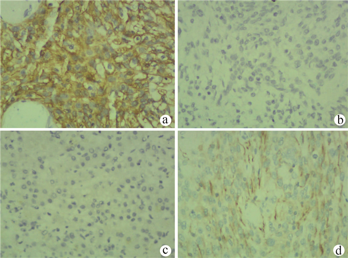
Follicular dendritic cell sarcoma of the liver: A case report
Chenguang LI, Jiyao JIA, Luanbiao SUN, Shuohui GAO
2022, 38(1): 174-176. DOI: 10.3969/j.issn.1001-5256.2022.01.029
Abstract(1641) HTML (462) PDF (2854KB)(73)
Abstract:
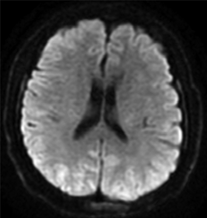
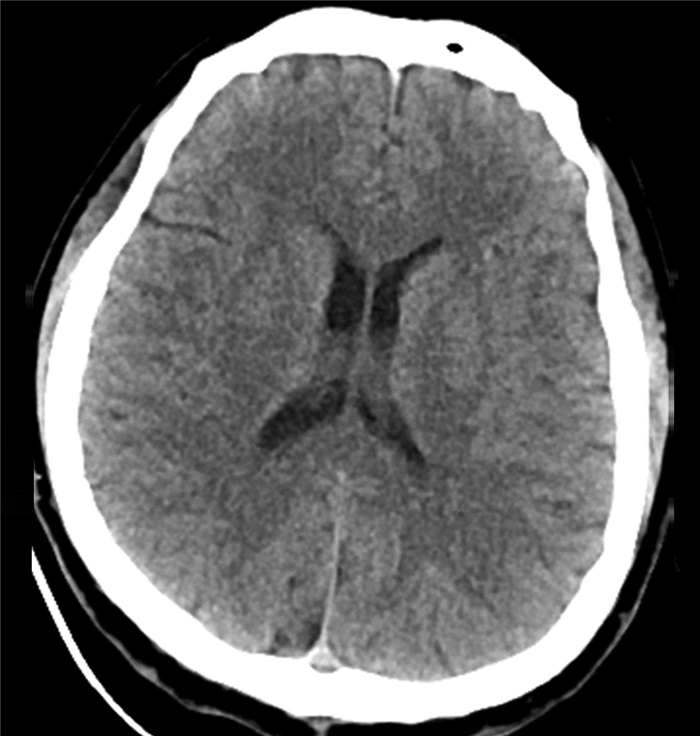
Endoscopic treatment of gastroesophageal varices complicated by posterior reversible encephalopathy syndrome: A case report
Tingting YU, Shanshan JIANG, Mengran ZHU, Yun BAI
2022, 38(1): 177-179. DOI: 10.3969/j.issn.1001-5256.2022.01.030
Abstract(830) HTML (198) PDF (3069KB)(60)
Abstract:
Reviews
Research advances in interferon-stimulated genes in treatment of hepatitis B virus infection
Yunwen LIAN, Xingrong ZHENG, Hewei WU, Zhiliang GAO, Xiyao CHEN, Chan XIE
2022, 38(1): 180-186. DOI: 10.3969/j.issn.1001-5256.2022.01.031
Abstract(1755) HTML (1226) PDF (3342KB)(304)
Abstract:
Hepatitis B virus (HBV) infection is closely associated with the adverse events such as liver cirrhosis, liver cancer, and liver failure and remains a serious threat to human health. Pegylated interferon is an indispensable drug for the treatment of chronic hepatitis B (CHB), and interferon-stimulated genes are associated with a variety of viruses, but few studies have mentioned their association with hepatitis B and their predictive effect after the treatment of hepatitis B with interferon. This article introduces the predictive factors for interferon treatment of CHB and summarizes the association of interferon-stimulated genes with hepatitis B and their predictive effect, so as to provide a reference for clinical work and basic research.
Association between intrahepatic bile duct alterations and liver fibrosis
Wenzheng YOU, Wanlei REN, Shiying XUAN, Doudou HU
2022, 38(1): 187-190. DOI: 10.3969/j.issn.1001-5256.2022.01.032
Abstract(1390) HTML (410) PDF (1972KB)(130)
Abstract:
Liver cirrhosis is a liver disease caused by various factors and is characterized by diffuse fibrous hyperplasia, lobular structural damage, and pseudolobule formation. Bile duct proliferation has been observed in a variety of animal models of liver cirrhosis and patients with liver cirrhosis caused by different etiologies, and it is regulated by signaling pathways with the involvement of multiple regulatory factors such as neuropeptides, neurotransmitters, and hormones. Moreover, the proliferated bile ducts promote the formation of liver fibrosis by mediating the proliferation and activation of hepatic stellate cells. This article summarizes the changes of the intrahepatic bile duct system in liver cirrhosis and its influence on the process of liver fibrosis, various signaling pathways associated with cholangiocyte proliferation and liver fibrosis, and the value of the dynamic evolution of bile duct structure in predicting the degree of liver fibrosis. It is pointed out that bile duct proliferation may become a potential target for the intervention of liver fibrosis, which provides new ideas and methods for early treatment and reversal of liver fibrosis.
Current status of the pathogenesis, diagnosis, and treatment of sarcopenia in patients with liver cirrhosis
Yuyi LIU, Dongfeng CHEN, Qixian YAN
2022, 38(1): 191-195. DOI: 10.3969/j.issn.1001-5256.2022.01.033
Abstract(1438) HTML (336) PDF (1987KB)(161)
Abstract:
Sarcopenia is a common complication in patients with liver cirrhosis, with an incidence rate of up to 40%-70%, which increases the incidence rate of complications in patients with liver cirrhosis and seriously affects patients' quality of life and survival time. Sarcopenia in liver cirrhosis has a complex pathogenesis, and its clinical manifestations are easily ignored. No consensus has been reached on diagnostic criteria, and there are few targeted therapeutic drugs. Therefore, it should be taken seriously by clinician and the research on pathogenesis and therapeutic drugs should be strengthened.
Research advances in nonalcoholic fatty liver disease-related hepatocellular carcinoma
Xuelian GU, Junfeng LI, Xiaorong MAO
2022, 38(1): 196-200. DOI: 10.3969/j.issn.1001-5256.2022.01.034
Abstract(1709) HTML (684) PDF (2546KB)(241)
Abstract:
The incidence rate of nonalcoholic fatty liver disease-related hepatocellular carcinoma (NAFLD-HCC) tends to increase worldwide, while its pathogenesis remains unclear. With reference to the literature in recent years, this article summarizes the role of adipose tissue inflammation, oxidative stress, gut microbiota, and insulin resistance in the pathogenesis of NAFLD-HCC and the advances in the prevention and treatment of the above mechanisms, so as to provide new ideas for the treatment of NAFLD-HCC.
Research advances in in vitro models for nonalcoholic fatty liver disease
Xiaochen LU, Hongmei HAN
2022, 38(1): 201-205. DOI: 10.3969/j.issn.1001-5256.2022.01.035
Abstract(1910) HTML (955) PDF (2000KB)(281)
Abstract:
The incidence rate of nonalcoholic fatty liver disease (NAFLD) is increasing year by year, with limited treatment methods, and its pathogenesis is a research hotspot at present. In order to better clarify its pathogenesis, it is urgent to develop advanced, safe, and effective in vitro or in vivo models to understand and develop treatment strategies for this disease. This article reviews the in vitro models commonly used in the preclinical study of NAFLD and discusses their advantages and disadvantages, so as to provide a theoretical basis for the pathogenesis and treatment of NAFLD.
Research advances in the protective effect of sulforaphane against liver injury and related mechanisms
Xinyu MA, Tingting DUAN, Jingya XU, Jiahe ZHAO, Chunlei ZHANG, Baolong LI
2022, 38(1): 206-209. DOI: 10.3969/j.issn.1001-5256.2022.01.036
Abstract(1273) HTML (520) PDF (1983KB)(56)
Abstract:
Sulforaphane is a phytochemical with a variety of biological activities that exists widely in Cruciferae plants. This article summarizes the recent experimental studies of sulforaphane in the treatment of various types of liver injury in China and globally and reviews the role and mechanism of sulforaphane in protecting against liver injury. Based on the experimental animal models of liver injury, this article summarizes the therapeutic effect of sulforaphane on the models of chemical liver injury, drug-induced liver injury, alcoholic liver injury, immunological liver injury, and ischemia/reperfusion liver injury and analyzes the mechanism of action of sulforaphane in improving experimental liver injury, so as to provide a reference for in-depth research on sulforaphane in protecting against liver injury.
Research advances in targeting autophagy to alleviate hepatic ischemia-reperfusion injury
Zhen LI, Ke WANG, Kaiqiang WANG, Kexian YU
2022, 38(1): 210-214. DOI: 10.3969/j.issn.1001-5256.2022.01.037
Abstract(1235) HTML (358) PDF (3164KB)(71)
Abstract:
Hepatic ischemia-reperfusion injury (HIRI) is a common clinical problem after hepatectomy and liver transplantation and is the main cause of liver dysfunction and liver failure after transplantation. In recent years, autophagy-mediated pathways have become a research hotspot in alleviating HIRI. Autophagy refers to the process in which a large number of substrates such as cytoplasm and damaged organelles are transported into lysosomes for digestion and degradation, so as to constantly renew, reshape, and reuse cells. This article summarizes the research advances in the mechanism of targeting autophagy to alleviate HIRI from the aspects of gene, protein, signaling pathway, inflammatory response, oxidative stress, and mitochondrial and endoplasmic reticulum stress, as well as existing problems and prospects in research, in order to provide theoretical support for the future research on alleviating HIRI by targeting autophagy.
Current status of research on nutritional support in end-stage liver disease
Honglin MA, Jing YANG, Qiu JIN, Run LUO, Jiao LENG, Xia WANG
2022, 38(1): 215-219. DOI: 10.3969/j.issn.1001-5256.2022.01.038
Abstract(1349) HTML (355) PDF (1987KB)(209)
Abstract:
There is a high prevalence rate of malnutrition in patients with end-stage liver disease, which often promotes disease progression and has a negative impact on the prognosis of patients. This article briefly describes the etiology of malnutrition in end-stage liver disease and introduces the research advances in nutrition screening, evaluation, and treatment in end-stage liver disease in China and globally, hoping to provide inspiration for nutritional support in patients with end-stage liver disease in China.
Research advances in adverse liver reactions caused by immune checkpoint inhibitors
Yu WANG, Zhaoying LI, Shuang LI, Chenghai LIU
2022, 38(1): 220-223. DOI: 10.3969/j.issn.1001-5256.2022.01.039
Abstract(2551) HTML (370) PDF (1985KB)(302)
Abstract:
Immune checkpoint inhibitors can enhance the anti-tumor effect of T cells by blocking the negative regulatory signal of T cells, and meanwhile, they may also cause the imbalance of immune tolerance or normal immune hyperfunction, thus leading to immune hepatitis. This article mainly reviews the therapeutic mechanism of immune checkpoint inhibitors, their mechanism in causing the adverse reaction of liver injury, related risk factors, and incidence rate and summarizes the treatment methods for liver injury caused by immune checkpoint inhibitors. It is believed that while promoting anti-tumor immunity, immune checkpoint inhibitors may cause non-homogeneous immune-related liver injury due to the specificity of non-tumor tissue targets, and the main purpose of treatment is to restore immune homeostasis. Therefore, the management of patients using immune checkpoint inhibitors often requires a balance between treatment window, toxicity, and treatment of specific injury, as well as multidisciplinary collaboration.
Research advances in the mechanism of action of TRPV4 ion channel protein in liver diseases
Laying ZHANG, Mingkai CHEN
2022, 38(1): 224-227. DOI: 10.3969/j.issn.1001-5256.2022.01.040
Abstract(1342) HTML (543) PDF (1981KB)(59)
Abstract:
As a member of the transient receptor potential ion channel family, transient receptor potential vanilloid 4 (TRPV4) is a non-selective cation channel and is widely distributed in a variety of tissues and organs. In recent years, more and more studies have shown that TRPV4 channel proteins are closely associated with liver diseases such as liver fibrosis, liver cancer, and polycystic liver disease. This article analyzes the articles on TRPV4 and liver disease and summarizes the exact signaling pathways and possible potential mechanism between TRPV4 and liver disease, so as to provide new ideas for clinical application and further studies.
Nutritional assessment and treatment management of infantile cholestatic liver disease
Lina DU, Lulu XIA, Jie YAN, Ziyun GUO, Yan YANG
2022, 38(1): 228-232. DOI: 10.3969/j.issn.1001-5256.2022.01.041
Abstract(1425) HTML (303) PDF (1989KB)(89)
Abstract:
Children with infantile cholestatic liver disease are often accompanied by malnutrition, which in turn can affect its progression and prognosis. There are many factors causing malnutrition and various methods for malnutrition assessment, but there is still a lack of uniform standard for nutritional assessment in patients with liver diseases, and a variety of indicators and methods are required for comprehensive analysis and assessment. This article analyzes the common causes of malnutrition in children with cholestatic liver disease, introduces the different methods for nutritional assessment, including anthropometric measurements, laboratory examination, and nutritional assessment tools, and elaborates on nutritional intervention treatment, so as to improve the understanding of nutritional problems in children with cholestatic liver disease. Early identification and rational interventions can help to improve the quality of life and prognosis of children.
Research advances in the molecular diagnosis of spontaneous bacterial peritonitis
Haoxin WU, Zhongjie HU
2022, 38(1): 233-235. DOI: 10.3969/j.issn.1001-5256.2022.01.042
Abstract(1016) HTML (279) PDF (1961KB)(99)
Abstract:
Spontaneous bacterial peritonitis (SBP) is the most common type of infection in end-stage liver disease, and the diagnosis and treatment of SBP are facing great difficulties and challenges. In recent years, great achievements have been made in molecular diagnostic techniques, but they have not been widely used in clinical practice. Based on the current status of the diagnosis of SBP, this article reviews the advances in molecular microbiological methods in the diagnosis of SBP. Bacterial qualitative analysis alone cannot clarify the association between bacterial DNA and clinical manifestations, and the combination of bacterial quantitative analysis and bacterial type can more accurately describe the biological characteristics of SBP, which may help with the diagnosis of SBP and its special types and the application of antimicrobial agents.
Research advances in the molecular mechanism of long non-coding RNA in invasion and metastasis of pancreatic cancer
Jian XU, Yanni PAN, Xinyuan LIU, Jianxin JIANG
2022, 38(1): 236-240. DOI: 10.3969/j.issn.1001-5256.2022.01.043
Abstract(1246) HTML (586) PDF (2998KB)(95)
Abstract:
As a highly malignant gastrointestinal tumor, pancreatic cancer is highly invasive and metastatic, which leads to the low overall survival rate of patients with pancreatic cancer. Studies have shown that long non-coding RNA (lncRNA) is involved in the development, progression, invasion, and metastasis of pancreatic cancer through epigenetic, transcriptional or post-transcriptional regulation. Dysregulated expression of lncRNA is observed in pancreatic cancer and induces epithelial mesenchymal transition (EMT) through specific regulatory mechanisms, thereby causing the changes in the biological behavior of tumor cells. This article reviews the mechanisms of lncRNA in promoting EMT, regulating tumor biological function as competing endogenous RNA, and affecting the development, invasion, and metastasis of pancreatic cancer via multiple pathways by regulating the ferroptosis, autophagy, and exosome of tumor cells, in order to provide a theoretical basis and new targets for the early diagnosis and treatment of pancreatic cancer.
Thanks
Current reviewers
2022, 38(1): 61-61. DOI: 10.3969/j.issn.1001-5256.zhixie
Abstract(906) HTML (245) PDF (971KB)(59)
Abstract:

YU Lecheng  Wan Hong  WANG Aiping  WANG Lei  KONG Yuanyuan  CHENG Yu  ZHU Ying  ZHU Xuan  QIAO Shixing  REN Yongqiang  LIU Jinchun  LIU Hui  LIU Hailin  LIU Binbin  LIU Mei  LIU Yinkun  LIU Hongling  XU Hongmei  SUN Changyu  SUN Mingyu  SU Zhijun  DU Xilin  LI Guangkuo  LI Hongyu  LI Zhenfang  XIAO Yonghong  XIAO Lin  WU Heshui  WU Biao  ZHANG Qiuzan  CHEN Hong  CHEN Jing  WU Xiaoyan  FAN Chunlei  JIN Jie  ZHAO Haiping  ZHAO Pan  HAO Jianyu  HU Zhongjie  ZHONG Bihui  GAO Yufeng  SHI Weiqun  GONG Man  DANG Xiaowei  HUANG Hua  CAO Wukui  HAN Tao  HAN Huanqin  HAN Juqiang  FU Xiaohui  LU Xiaolan  TONG Huan  ZENG Weizheng  FU Junliang  GUAN Xiaoqin  LIAO Baiming  FAN Yanhua  YAN Bingzhu  HUO Jirong  DAI Wei