中文English
ISSN 1001-5256 (Print)
ISSN 2097-3497 (Online)
CN 22-1108/R
2021 No.1
Theme Issue: Systemic and multimodality therapy for liver cirrhosis
Executive Chief Editor: Jia Jidong 
Liver Research Center, Beijing Friendship Hospital, Capital Medical University

Display Method:
A joint review by Chinese Journal of Hepatology, Journal of Clinical Hepatology, and Chinese Hepatology
Recognize, disclose and manage conflicts of interest to protect academic integrity
Chengwei Chen, Hong Ren, Junqi Niu, Jinlin Hou, Jidong Jia
2021, 37(1): 10-11. DOI: 10.3969/j.issn.1001-5256.2021.01.001
Abstract(859) HTML (504) PDF (1997KB)(98)
Abstract:
Editorial
Pay attention to the multimodality therapy and long-term management for liver cirrhosis
Jidong JIA
2021, 37(1): 12-13. DOI: 10.3969/j.issn.1001-5256.2021.01.002
Abstract(1417) HTML (737) PDF (1997KB)(272)
Abstract:
Liver cirrhosis is the end-stage of various liver diseases including chronic hepatitis B, hepatitis C, alcoholic and nonalcoholic fatty liver diseases, with the main manifestations of hepatocyte dysfunction, portal hypertension and a series of complications. A clinical diagnosis of liver cirrhosis can be made based on medical history and the results of endoscopy, radiology, biochemistry, and hematological tests. Etiology, disease stage, and liver function reserve should be clarified for the diagnosis of liver cirrhosis. Treatment should include etiological therapy, comprehensive supportive therapy, and measures for various complications, aiming to prolong survival and improve quality of life. Long-term follow-up should be performed to monitor disease progression, evaluate therapeutic efficacy.
Discussions by experts
Definition, etiology, and epidemiology of liver cirrhosis
Shan SHAN, Lianhui ZHAO, Hong MA, Xiaojuan OU, Hong YOU, Jidong JIA
2021, 37(1): 14-16. DOI: 10.3969/j.issn.1001-5256.2021.01.003
Abstract(7799) HTML (1191) PDF (2021KB)(1069)
Abstract:
Liver cirrhosis is the leading cause of liver-related death globally, and the most common causes of liver cirrhosis are chronic hepatitis B and C, alcoholic liver disease, and nonalcoholic fatty liver disease. Recent studies have shown that despite an increase in the number of deaths due to liver cirrhosis around the world, there is a reduction in age-standardized death. In China, there are increases in number of patients with liver cirrhosis, prevalence rate of liver cirrhosis, number of deaths due to liver cirrhosis, and mortality rate of liver cirrhosis, while there are reductions in age-standardized prevalence rate and mortality rate; chronic hepatitis B remains the main cause of liver cirrhosis, with a gradual increase in the proportion of liver cirrhosis cases caused by alcoholic and nonalcoholic fatty liver diseases.
Clinical diagnosis, staging, and therapeutic principles of liver cirrhosis
Yu WANG, Min WANG, Guanhua ZHANG, Fuliang HE, Xiaojuan OU, Jidong JIA
2021, 37(1): 17-21. DOI: 10.3969/j.issn.1001-5256.2021.01.004
Abstract(5529) HTML (629) PDF (2052KB)(708)
Abstract:
With in-depth studies on the pathogenesis, pathophysiology, treatment, and prognosis of liver cirrhosis in recent years, there have been great changes in staging and treatment concepts among scholars in China and globally. Besides the traditional staging system of compensated and decompensated liver cirrhosis, liver cirrhosis can be divided into five stages based on ascites, variceal bleeding, and severe infection, which highlights the features of this disease in different disease stages and this provides potential targets and basis for treatment. At present, the comprehensive management of liver cirrhosis, including etiological treatment, treatment targeting key pathogenesis and major complications, nutritional support, exercise guidance, and lifestyle adjustment (smoking cessation, alcohol withdrawal, and improvement of oral hygiene), is the key to delaying disease progression and improving prognosis, and liver transplantation remains the most effective approach for end-stage liver cirrhosis.
Principles for the prevention and treatment of complications related to cirrhotic portal hypertension
Wei WEI, Yiping HONG
2021, 37(1): 22-25. DOI: 10.3969/j.issn.1001-5256.2021.01.005
Abstract(1972) HTML (386) PDF (2039KB)(255)
Abstract:
Liver cirrhosis is the most common cause of portal hypertension. Portal hypertension can cause complications such as esophageal and gastric varices, spontaneous bacterial peritonitis, hepatorenal syndrome, and hepatic encephalopathy. For the standardized diagnosis and treatment of portal hypertension, we should pay attention to primary diseases and whole-course treatment, emphasize whole-course chain management including early screening and early diagnosis, active prevention, and reasonable emergency treatment, and formulate individualized and precise prevention and treatment plans for patients.
Prevention and treatment of malnutrition, sarcopenia, and osteoporosis in patients with liver cirrhosis
Huijuan XIAO, Tao HAN
2021, 37(1): 26-30. DOI: 10.3969/j.issn.1001-5256.2021.01.006
Abstract(1926) HTML (470) PDF (2048KB)(229)
Abstract:
Malnutrition, sarcopenia, and osteoporosis are common nutrition-related complications in patients with liver cirrhosis. Sarcopenia is an important manifestation of malnutrition, while malnutrition and sarcopenia are risk factors for osteoporosis. There is a close relationship among them, and they all have adverse effects on the clinical outcomes and prognosis of patients with liver cirrhosis. Therefore, it is necessary to identify them as early as possible and take active measures for prevention and treatment. Insufficient intake of nutrients, metabolic disorders, abnormal hormone levels, and lack of physical activity all contribute to the development of malnutrition, sarcopenia, and osteoporosis in patients with liver cirrhosis. In addition, medications commonly used in the treatment of liver diseases, such as glucocorticoids and some antiviral drugs, may have potential impact on bone metabolism, which needs to be taken seriously in clinical practice. Reasonable nutritional intervention, appropriate exercise, and treatment of underlying diseases are the basis of the prevention and treatment of malnutrition, sarcopenia, and osteoporosis. Some targeted drugs can improve these nutrition-related complications, which needs to be confirmed by further studies.
Treatment and management of patients with end-stage liver cirrhosis
Ming YANG, Yuan HUANG, Lai WEI
2021, 37(1): 31-35. DOI: 10.3969/j.issn.1001-5256.2021.01.007
Abstract(2745) HTML (1485) PDF (2053KB)(265)
Abstract:
End-stage liver cirrhosis usually refers to chronic liver failure caused by decompensated liver cirrhosis and brings a heavy burden to human health. Liver transplantation is the most effective treatment, but its clinical application is limited by the shortage of liver source and high cost. Artificial liver support system is often used as bridging therapy to liver transplantation. The development of cell therapy brings new hope to this disease. This article summarizes the etiological treatment of end-stage liver cirrhosis and the management of related complications and introduces the indications and timing for artificial liver support system, cell therapy, and liver transplantation in patients with end-stage liver cirrhosis.
Guidelines
Brief introduction of APASL clinical practice guidelines on metabolic associated fatty liver disease (Treatment Part)
Qianqian XIAO, Mengyu WANG, Jiangao FAN
2021, 37(1): 41-45. DOI: 10.3969/j.issn.1001-5256.2021.01.009
Abstract(1500) HTML (495) PDF (2038KB)(256)
Abstract:
Original articles_Viral hepatitis
Association of the expression of HBsAg and HBcAg in liver tissue with antiviral response in children with chronic hepatitis B
Limin WANG, Shuhong LIU, Shishu ZHU, Yi DONG, Zhiqiang XU, Fuchuan WANG, Jianguo YAN, Pu WANG, Aiqin LI, Lili CAO, Pan ZHAO, Min ZHANG
2021, 37(1): 46-50. DOI: 10.3969/j.issn.1001-5256.2021.01.010
Abstract(886) HTML (241) PDF (2054KB)(92)
Abstract:
  Objective  To investigate the association of the expression of HBsAg and HBcAg in liver tissue with antiviral response in children with chronic hepatitis B (CHB).  Methods  Clinical data were collected from 276 children, aged 6 months to 16 years, who were hospitalized and diagnosed with CHB in Department of Adolescent Liver Diseases in The Fifth Medical Center of Chinese PLA General Hospital from January 2014 to December 2017, and based on the results of immunohistochemical staining for HBsAg and HBcAg, there were 249 children in the positive HBsAg group, 27 in the negative HBsAg group, 163 in the positive HBcAg group, and 113 in the negative HBcAg group. Clinical features were compared between groups, as well as the difference in antiviral response between the children with different expression patterns of HBsAg and HBcAg in liver tissue. The Mann-Whitney U test was used for comparison of continuous data between groups, and the chi-square test or the Fisher's exact test was used for comparison of categorical data between groups. A logistic regression analysis was performed with positive or negative staining of HBsAg and HBcAg in liver tissue as dependent variables and related significant factors affecting their expression intensity as independent variables.  Results  The age of 276 children ranged from 0.5 to 16 years, and there were 167 boys, accounting for 60.51%. Of all children, 14 (5.07%) had negative HBeAg. As for liver inflammation grade (G), 52.54% had G2 inflammation, 6.88% had G2-3 inflammation, and 7.61% had G3 inflammation; as for liver fibrosis stage (S), 7.25% had S3 fibrosis, 1.45% had S3-4 fibrosis, and 3.62% had S4 fibrosis. The positive HBsAg group had significantly higher age and serum HBsAg quantification than the negative HBsAg group (Z=1.854, Z=2.447, both P < 0.05). Compared with the negative HBcAg group, the positive HBcAg group had a significantly higher positive rate of HBeAg (χ2=2.650, P < 0.05) and significantly lower ALT (Z=2.473, P < 0.05), AST (Z= 1.813, P < 0.05), and proportion of children with S≥3 liver fibrosis (χ2=2.086, P < 0.05). The logistic regression analysis showed that serum HBsAg quantification was an influencing factor for positive HBsAg staining in liver tissue (P < 0.05) and negative or positive HBeAg was an influencing factor for positive HBcAg staining in liver tissue (P < 0.05). Among the 276 children, 186 completed the 6-month follow-up after antiviral therapy with IFNα or lamivudine alone, and 155 (83.33%) achieved HBeAg seroconversion, among whom 76 (40.86%) had HBsAg seroconversion. The higher the expression intensity of HBsAg in liver tissue, the lower the seroconversion rate of serum HBsAg; the higher the expression intensity of HBcAg in liver tissue, the lower the seroconversion rate of serum HBeAg. The children with negative expression of HBsAg and HBcAg in liver tissue had the highest HBsAg seroconversion rate of 100%, and the children with positive HBsAg and negative HBcAg in liver tissue had the lowest HBsAg seroconversion rate of 32.31%.  Conclusion  CHB children with negative HBsAg and HBcAg in liver tissue had the highest HBsAg seroconversion rate after antiviral therapy.
Noninvasive indicators of indications for antiviral therapy in HBeAg-negative chronic HBV infection patients with alanine aminotransferase ≤40 U/L
Chunxia LI, Bing DONG, Lulu ZHOU, Dandan REN, Ruiqin ZHANG, He GUO, Guanghua XU, Na LIU
2021, 37(1): 51-55. DOI: 10.3969/j.issn.1001-5256.2021.01.011
Abstract(1354) HTML (252) PDF (2131KB)(124)
Abstract:
  Objective  To investigate the noninvasive indicators of indications for antiviral therapy in HBeAg-negative chronic hepatitis B virus (HBV) infection patients with alanine aminotransferase (ALT) ≤40 U/L under the guidance of liver pathology.  Methods  A retrospective analysis was performed for the clinical data of 377 HBeAg-negative chronic HBV infection patients with ALT ≤40 U/L who were hospitalized in Affiliated Hospital of Yan'an University, from October 2013 to August 2018 and underwent liver biopsy, among whom the patients with inflammatory activity < A2 and fibrosis stage < F2 were enrolled as non-antiviral therapy group(n=266), and the patients with inflammatory activity ≥A2 or fibrosis stage ≥F2 were enrolled as antiviral therapy group(n=111). The chi-square test was used for comparison of categorical data between two groups; the t-test was used for comparison of normally distributed continuous data between two groups, and the Mann-Whitney U test was used for comparison of non-normally distributed continuous data between two groups; univariate and multivariate binary logistic regression analyses were used to screen out the influencing factors for the initiation of antiviral therapy; the receiver operating characteristic (ROC) curve was plotted to evaluate the diagnostic efficiency of each indicator in determining the need for antiviral therapy in HBeAg-negative chronic HBV infection patients with ALT ≤40 U/L.  Results  Of all 377 patients, 266 (70.6%) did not need antiviral therapy for the time being, and 111 (29.4%) had marked liver damage and thus needed active antiviral therapy. The multivariate analysis showed that liver stiffness measurement (LSM) (odds ratio [HR]=2.003, 95% confidence interval [CI]: 1.647-2.437, P < 0.05), HBsAg (HR=1.563, 95% CI: 1.110-2.200, P < 0.05), HBV DNA (HR=1.519, 95% CI: 1.173-1.966, P < 0.05), and albumin (HR=0.939, 95% CI: 0.884-0.998, P < 0.05) were independent influencing factors for the initiation of antiviral therapy. The ROC curve analysis showed that the area under the ROC curve (AUC) was 0.749 (95% CI: 0.699-0.799) for LSM, 0.642 (95% CI: 0.586-0.699) for HBV DNA, and 0.565 (95% CI: 0.507-0.623) for HBsAg, and the combination of LSM, HBV DNA, and HBsAg had a larger AUC of 0.779 (95% CI: 0.732-0.827).  Conclusion  The levels of LSM, HBV DNA, and HBsAg have a reference value in determining the initiation of antiviral therapy in HBeAg-negative chronic HBV infection patients with ALT≤40 U/L.
Influencing factors for the short-term prognosis of patients with HBV-related acute-on-chronic liver failure
Chenrui LIU, Yaping LI, Sen LUO, Dandan FENG, Fengping WU, Song ZHAI, Shuangsuo DANG
2021, 37(1): 56-62. DOI: 10.3969/j.issn.1001-5256.2021.01.012
Abstract(1537) HTML (390) PDF (2081KB)(107)
Abstract:
  Objective  To investigate the influencing factors for the short-term prognosis of patients with HBV-related acute-on-chronic liver failure (HBV-ACLF).  Methods  Clinical data were collected from 240 HBV-ACLF patients without liver transplantation who were admitted To The Second Affiliated Hospital of Xi'an Jiaotong University from January 2009 to December 2019, and the patients were divided into groups according to survival on days 28 and 90 after admission (28-day survival group with 164 patients and 28-day death group with 76 patients; 90-day survival group with 140 patients and 90-day death group with 100 patients). The data collected included predisposing factors, liver function parameters, Model for End-Stage Liver Disease (MELD) score, MELD combined with serum sodium concentration (MELD-Na) score, and complications. The Mann-Whitney U test was used for comparison of continuous data between two groups, and the chi-square test was used for comparison of categorical data between two groups. The receiver operating characteristic (ROC) curve was plotted to calculate the area under the ROC curve (AUC), and a multivariate logistic regression analysis was used to investigate the risk factors for the short-term prognosis of HBV-ACLF.  Results  The main predisposing factors of HBV-ACLF included spontaneous activation of HBV (55.6%) and HBV activation caused by the withdrawal of or resistance to nucleoside analogues (25.2%). There were significant differences in age, prothrombin time activity (PTA), neutrophil-lymphocyte ratio (NLR), serum sodium, MELD score, MELD-Na score, and total bilirubin (TBil) at baseline between the 28-day survival group and the 28-day death group (Z=-2.400, -6.015, -5.070, -5.103, -5.044, -7.430, and -6.637, all P < 0.05), and there were also significant differences in age, PTA, NLR, serum sodium, MELD score, MELD-Na, TBil, and cholesterol at baseline between the 90-day survival group and the 90-day death group (Z=-2.205, -7.728, -3.335, -4.015, -6.053, -7.908, -6.655, and -3.607, all P < 0.05). The multivariate logistic regression analysis showed that TBil > 260.20 mmol/L (odds ratio [OR]=4.572, 95% confidence interval [CI]: 1.321-15.823, P < 0.05), PTA < 24.8% (OR=8.934, 95%CI: 3.026-26.374, P < 0.05), NLR > 5.63 (OR=2.632, 95%CI: 1.126-6.152, P < 0.05), serum sodium < 130.8 mmol/L (OR=27.467, 95%CI: 6.113-123.423, P < 0.05), MELD score > 17.84 (OR=4.303, 95%CI: 1.048-17.663, P < 0.05), and MELD-Na score > 25.1 (OR=3.453, 95%CI: 1.614-7.387, P < 0.05) were independent risk factors for 28-day survival; TBil > 260.20 mmol/L (OR=5.148, 95%CI: 1.918-13.822, P < 0.05), PTA < 25.5% (OR=15.718, 95%CI: 5.161-47.866, P < 0.05), serum sodium < 135.3 mmol/L (OR=10.080, 95%CI: 3.244-31.323, P < 0.05), MELD score > 17.84 (OR=11.157, 95%CI: 2.580-48.254, P < 0.05), MELD-Na score > 25.1 (OR=4.391, 95%CI: 2.057-9.372, P < 0.05) were independent risk factors for 90-day survival. Among the 240 patients, 160 (66.7%) experienced infection within 90 days, among whom 140 had bacterial infection, 12 had viral infection, and 8 had fungal infection. The 160 patients with infection had a significantly higher 90-day mortality rate than the patients without infection (46.3% vs 32.5%, χ2=6.720, P=0.010). Of all 240 patients, 176 had ascites, 44 had pleural effusion, 36 had acute renal injury, 60 had hepatic encephalopathy, and 12 had gastrointestinal bleeding within 28 days, and there were significant differences in the proportion of patients with acute renal injury, grade Ⅲ-Ⅳ hepatic encephalopathy, or gastrointestinal bleeding between the 28-day survival group and the 28-day death group (χ2=64.088, 29.811, 7.797, all P < 0.05).  Conclusion  TBil, PTA, serum sodium, MELD score, and MELD-Na score at baseline are independent risk factors for the 28- and 90-day prognosis of HBV-ACLF. Liver inflammation and necrosis caused by HBV activation may be the initiating factor for ACLF, and infection, acute renal injury, hepatic encephalopathy, and gastrointestinal bleeding are the main complications affecting the prognosis of patients.
Original articles_Liver fibrosis and liver cirrhosis
Risk factors of portal vein thrombosis in cirrhotic patients with esophageal varices
Huaiwen ZUO, Qimei SHA, Jiao SUN, Zhihui CAI, Hongwei XU, Hui LIU
2021, 37(1): 63-67. DOI: 10.3969/j.issn.1001-5256.2021.01.013
Abstract(1462) HTML (280) PDF (2249KB)(120)
Abstract:
  Objective  To investigate the risk factors for portal vein thrombosis (PVT) in cirrhotic patients with esophageal varices, and to establish a nomogram for predicting the risk of PVT.  Methods  A retrospective analysis was performed for the clinical data of 283 cirrhotic patients with esophageal varices who attended Shandong Provincial Hospital Affiliated to Shandong University from December 2013 to December 2018, and according to imaging findings, the patients were divided into PVT group with 119 patients and non-PVT group with 164 patients. The t-test or the Mann-Whitney U test was used for comparison of continuous data between two groups, and the chi-square test was used for comparison of categorical data between two groups. A multivariate logistic regression analysis was used to screen out independent risk factors; a nomogram was established and validated based on the results of the multivariate logistic regression analysis, and C-index and calibration curve were used to evaluate its performance.  Results  The univariate analysis showed that compared with the non-PVT group, the PVT group had significantly higher Child-Pugh class (χ2=9.388, P=0.009), proportion of patients with a history of splenectomy (χ2=26.805, P < 0.001), white blood cell count (Z=-2.248, P=0.025), platelet count (Z=-3.323, P=0.001), D-dimer(Z=-6.236, P < 0.001), and spleen thickness (Z=-2.432, P=0.015) and a significantly lower level of triglyceride (TG) (Z=-4.150, P < 0.001). The multivariate logistic regression analysis showed that a reduction in TG (odds ratio [OR]=0.441, 95% confidence interval [CI]: 0.190-0.889), an increase in D-dimer (OR=1.151, 95%CI: 1.041-1.272), prolonged prothrombin time (PT) (OR=1.160, 95%CI: 1.025-1.313), and a history of splenectomy (OR=2.933, 95%CI: 1.164-7.389) were independent risk factors for PVT in cirrhotic patients with esophageal varices. In addition, a nomogram was established based on the results of the multivariate regression analysis, with a C-index of 0.745, and the calibration curve showed good consistency between the observed and predicted values for the development of PVT.  Conclusion  A reduction in TG, an increase in D-dimer, prolonged PT, and a history of splenectomy are independent risk factors for PVT in cirrhotic patients with esophageal varices, and the nomogram developed based on these results can provide a quantitative and intuitive tool for clinicians to assess the risk of PVT.
Risk factors for hemostatic failure in emergency gastroscopic sclerotherapy combined with tissue adhesive injection for esophagogastric variceal bleeding with portal vein embolus
Pengpeng DING, Canghai WANG, Li LI, Jianhong CHEN, Xiaobao QI, Yanling WANG, Zheng LU, Wenhui ZHANG, Hong LIU
2021, 37(1): 68-72. DOI: 10.3969/j.issn.1001-5256.2021.01.014
Abstract(1245) HTML (329) PDF (2048KB)(76)
Abstract:
  Objective  To investigate the risk factors for failure in emergency endoscopic injection sclerotherapy (EIS) combined with sequential histoacryl injection (HI) for esophagogastric variceal bleeding (EGVB) with portal vein embolus (PVE).  Methods  A total of 109 EGVB patients with PVE who underwent emergency gastroscopy in Beijing Shijitan Hospital, Capital Medical University, and The Fifth Medical Center of Chinese PLA General Hospital from January 2018 to December 2019 were enrolled, and according to the outcome of hemostatic treatment under emergency gastroscopy, the patients were divided into hemostatic failure group with 28 patients and hemostatic success group with 81 patients. The two groups were compared in terms of general information, varices and bleeding manifestations under gastroscopy, blood biochemical parameters, Child-Pugh class, and Model for End-Stage Liver Disease (MELD) score, and the risk factors for hemostatic failure were analyzed. The t-test or the Mann-Whitney U test was used for comparison of continuous data between groups, and the chi-square test was used for comparison of categorical data between groups; a logistic regression analysis was used for multivariate analysis.  Results  Compared with the hemostatic success group, the hemostatic failure group had significantly higher peripheral white blood cell count (WBC), total bilirubin (TBil), Child-Pugh class, and MELD score (Z=3.794, Z=4.751, χ2=40.104, Z=6.412, all P < 0.001) and significantly lower prothrombin time activity (PTA), albumin (Alb), and cholinesterase (CHE) (t=9.653, Z=3.093, Z=4.092, P < 0.001, P=0.002, and P < 0.001). WBC (odds ratio [OR]=28.543, 95% confidence interval [CI]: 1.285-634.113, P < 0.05), PTA(OR=0.194, 95%CI: 0.045-0.835, P < 0.05), TBil (OR=2.197, 95%CI: 1.004-4.810, P < 0.05), Alb (OR=0.448, 95%CI: 0.209-0.961, P < 0.05), and Child-Pugh class (OR=5.164, 95%CI: 1.307-20.406, P < 0.05) were independent risk factors for hemostatic failure.  Conclusion  WBC, PTA, TBil, Alb, and Child-Pugh class are independent risk factors for failure in emergency EIS combined with sequential HI in the treatment of EGVB with PVE, and adequate preoperative evaluation and correction may help to improve the success rate of hemostasis.
Original articles_Liver neoplasms
Effect of hemihepatic vascular exclusion versus total hepatic vascular exclusion in hepatectomy for primary liver cancer: A Meta-analysis
Ying LIU, Benjian GAO, Xiaoli YANG, Cheng FANG, Song SU, Bo LI
2021, 37(1): 73-78. DOI: 10.3969/j.issn.1001-5256.2021.01.015
Abstract(1523) HTML (396) PDF (3827KB)(82)
Abstract:
  Objective   To systematically evaluate the effect of Pringle's measure (PM) versus hemihepatic vascular occlusion (HVO) in hepatectomy for primary liver cancer.   Methods   Related Chinese and English databases were searched for control studies on HVI versus PM in the treatment of primary liver cancer published up to June 2020. After quality evaluation and data extraction of the included studies, RevMan5.3 software was used for the meta-analysis.   Results   A total of 10 studies were included in the Meta-analysis, with 1272 patients in total. On days 1 and 3 after surgery, the HVO group had a significantly lower level of alanine aminotransferase than the PM group (day 1: mean difference [MD]=-172.71, 95% confidence interval [CI]: -289.26 to -56.16, P=0.004; day 3: MD=-130.35, 95%CI: -221.25 to -39.45, P=0.005). On day 3 after surgery, the HVO group had a significantly lower level of aspartate aminotransferase than the PM group (MD=-84.56, 95%CI: -166.47 to -2.65, P=0.04), and on days 1 and 3 after surgery, the HVO group had a significantly higher level of albumin than the PM group (day 1: MD=1.31, 95%CI: 0.06-2.56, P=0.04; day 3: MD=1.81, 95%CI: 0.27-3.35, P=0.02). The HVO group had a significantly longer time of operation than the PM group (MD=8.95, 95%CI: 4.30-13.60, P < 0.01).   Conclusion   HVO is a safe and effective method for vascular occlusion, and compared with PM, it can effectively alleviate liver injury. However, surgeons should select a suitable method for occlusion based on their own personal experience, patients' conditions, and specific situation during surgery.
Association of the expression level of the long non-coding RNA TINCR in peripheral blood with Th1/Th2 balance and prognosis after transcatheter arterial chemoembolization in patients with hepatocellular carcinoma
Tao BAI, Jingli WANG, Xudong HU, Bing XIA, Hailin CHENG, Juan WANG
2021, 37(1): 79-83. DOI: 10.3969/j.issn.1001-5256.2021.01.016
Abstract(1158) HTML (381) PDF (2128KB)(90)
Abstract:
  Objective  To investigate the association of the expression level of the long non-coding RNA (lncRNA) TINCR in peripheral blood with Th1/Th2 balance and prognosis after transcatheter arterial chemoembolization (TACE) in patients with hepatocellular carcinoma (HCC).  Methods  A retrospective analysis was performed for the clinical data of 85 patients with HCC who were treated with TACE in Jinyintan Hospital from March 2015 to March 2017, and 30 healthy volunteers who underwent physical examination in our hospital were randomly selected as control group. The expression of lncRNA TINCR and Th1/Th2 cytokines in peripheral blood were measured on day 7 after TACE for HCC patients and the control group. The t-test was used for comparison of continuous data, the chi-square test was used for comparison of categorical data, and the Kruskal-Wallis H test was used for comparison of ranked data. A Spearman correlation analysis was used to investigate the correlation of the relative expression of lncRNA TINCR with Th1/Th2 cytokines. The Kaplan-Meier survival curves were used to investigate the influence of the relative expression of lncRNA TINCR on survival, and the log-rank test was used for comparison of survival curves.  Results  The HCC group had significantly higher relative expression of lncRNA TINCR in peripheral blood than the control group (1.784±0.429 vs 0.926±0.263, t=10.277, P < 0.05). The relative expression of lncRNA TINCR was associated with vascular invasion, tumor size, tumor stage, and serum alpha-fetoprotein (t=3.958, 4.499, 3.361, and 4.949, P < 0.001, P < 0.001, P=0.001, and P < 0.001). Compared with the control group, the HCC group had significantly lower serum levels of interferon-γ (IFNγ)[(13.48±5.20) pg/ml vs (27.49±7.21) pg/ml, t=11.408, P < 0.05] and interleukin-2 (IL-2) [(21.89±6.45) pg/ml vs (32.05±7.89) pg/ml, t=6.986, P < 0.05] and significantly higher serum levels of interleukin-4 (IL-4) [(13.73±3.35) pg/ml vs (9.36±2.73) pg/ml, t=6.426, P < 0.05] and interleukin-10 (IL-10) [(12.75±2.74) pg/ml vs (8.93±2.16) pg/ml, t=6.909, P < 0.05]. In HCC patients, the relative expression of lncRNA TINCR in peripheral blood was negatively correlated with the serum levels of IFNγ and IL-2(r=-3.164 and -3.270, both P < 0.001) and was positively correlated with the serum levels of IL-4 and IL-10 (r=2.963 and 3.044, P=0.007 and P < 0.001). With the relative expression of lncRNA TINCR of ≥1.700 as high expression, there were 47 HCC patients with high expression and 38 HCC patients with low expression. The log-rank test showed that the patients with low expression of lncRNA TINCR had significantly better survival than those with high expression (χ2=4.182, P < 0.05).  Conclusion  HCC patients have significantly higher expression of lncRNA TINCR in peripheral blood than the healthy population, and the expression of lncRNA TINCR is closely associated with the pathological features and Th1/Th2 immune balance of patients and can thus be used as one of the potential indicators for predicting the survival and prognosis of patients.
Association of tuberous sclerosis gene 1/2 mutations with the progression of hepatocellular carcinoma and prognosis
Yong ZHANG, Zhengfa MAO
2021, 37(1): 84-88. DOI: 10.3969/j.issn.1001-5256.2021.01.017
Abstract(1233) HTML (265) PDF (2115KB)(69)
Abstract:
  Objective  To investigate the association of tuberous sclerosis gene 1/2 (TSC1/2) mutation with disease severity and prognosis in patients with hepatocellular carcinoma (HCC), and to provide a feasible basis for the diagnosis and treatment of HCC.  Methods  A total of 492 patients with HCC who were admitted to The Affiliated Hospital of Jiangsu University from January 2012 to January 2020 were enrolled, among whom 59 had TSC1/2 mutations (20 with TSC1 mutations, 41 with TSC2 mutations, and 2 had both TSC1 and TSC2 mutations). The clinical features of patients with TSC1/2 mutations were analyzed, and the association of TSC1/2 mutations with the clinical stage of HCC was analyzed. The 35 patients in the mutation group and 35 in the non-mutation group were followed up for 3 years to observe the effect of TSC1/2 mutations on the prognosis of HCC. The chi-square test was used for comparison of categorical data between groups; the Kruskal-Wallis H test was used for comparison of ranked data between groups; a multivariate logistic regression analysis was used to investigate association; the Kaplan-Meier survival analysis was used to analyze follow-up data.  Results  For the 492 patients with HCC, the overall TSC1/2 mutation rate was 11.99%. There were no significant differences in sex, age, Child score, and tumor size between the TSC1/TSC2 mutation group and the non-mutation group (all P > 0.05), while there were significant differences in tumor number, extrahepatic metastasis, and PS score between the two groups (all P < 0.05). The logistic regression analysis showed that TSC1/TSC2 gene mutation was positively correlated with the severity of HCC (odds ratio=1.706, P < 0.05). The follow-up results showed that the TSC1/2 mutation group had a significantly lower survival rate than the non-mutation group, and there was a significant difference in 3-year mortality rate between the TSC1/2 mutation group and the non-mutation group (60.3% vs 38.6%, χ2=3.923, P < 0.05).  Conclusion  TSC1/TSC2 gene mutation may predict the malignant progression of HCC in the early stage, and patients with TSC1/2 mutation tend to have poor prognosis. Targeted drug therapy for gene mutations may have a certain effect in delaying the progression of HCC.
Original articles_Other liver diseases
Traditional Chinese medicine syndrome types and syndrome elements of nonalcoholic fatty liver disease
Gaiya GAO, Sha LI, Jingdong XUE, Yanyan BAI, Youyi HUI
2021, 37(1): 89-93. DOI: 10.3969/j.issn.1001-5256.2021.01.018
Abstract(2408) HTML (341) PDF (2031KB)(160)
Abstract:
  Objective  To investigate the distribution of traditional Chinese medicine (TCM) syndrome types and syndrome elements of nonalcoholic fatty liver disease (NAFLD).  Methods  Related databases (CNKI, Wanfang Dota, and VIP)were searched for articles on the syndrome differentiation of NAFLD published up to July 2020. Two investigators independently performed literature screening and collection and summarization of syndrome types based on the inclusion and exclusion criteria, and an Excel 2010 database was established after the standardization of syndrome names, re-decomposition of syndrome types, and extraction of syndrome elements. The data were imported into SPSS 25.0 statistical software for the analysis of frequency distribution.  Results  A total of 45 qualified articles were collected, with a total of 8703 cases reported. A total of 14 syndrome types were obtained after standardization, and 10 syndrome elements reflecting the nature of disease and 4 syndrome elements of disease location were obtained after the syndrome types were disassembled. Stagnation of liver Qi and spleen deficiency syndrome (26.47%) and damp-heat accumulation syndrome (22.16%) were the most common syndrome types, followed by stagnation of phlegm dampness, intermingled phlegm and blood stasis, and stagnation of liver Qi and Qi stagnation. Dampness (23.75%), Qi stagnation (19.82%), Qi deficiency (17.12%), phlegm (15.43%), and heat (12.13%) were the most common syndrome elements reflecting the nature of disease, followed by stasis, Yin deficiency, and Yang deficiency, while fire and cold were relatively uncommon. Qi stagnation and Qi deficiency (26.63%), dampness and heat (22.30%), phlegm and dampness (16.17%), and phlegm and stasis (12.19%) were the most common combinations of syndrome elements. The liver and the spleen were the most common syndrome elements of disease location, accounting for 90.95% of the constituent ratio, and the combination of the liver and the spleen with the same disease accounted for 54.01%. The combination of one, two, three, or four syndrome elements was observed, and the combination of two syndrome elements accounted for 76.03%.  Conclusion  Stagnation of liver Qi and spleen deficiency are the basic pathogeneses of NAFLD, and liver, spleen, dampness, Qi stagnation, Qi deficiency, phlegm, and heat are common syndrome elements. Dampness, phlegm, and heat are important factors for the development and progression of this disease.
Association of nonalcoholic fatty liver disease with the severity of hyperlipidemic acute pancreatitis
Pei MEI, Zhengle ZHANG, Jing TAO
2021, 37(1): 94-98. DOI: 10.3969/j.issn.1001-5256.2021.01.019
Abstract(1093) HTML (329) PDF (2049KB)(97)
Abstract:
  Objective  To investigate the association of nonalcoholic fatty liver disease (NAFLD) with the severity of hyperlipidemic acute pancreatitis (HLAP).  Methods  A retrospective analysis was performed for 895 patients with acute pancreatitis (AP) who were admitted to Department of Pancreatic Surgery in Renmin Hospital of Wuhan University from February 20, 2018 to January 20, 2020, among whom 101 patients with HLAP were screened out. According to the presence or absence of NAFLD, the 101 patients with HLAP were divided into non-NAFLD group with 41 patients and NAFLD group with 60 patients. Related clinical data were collected, including general information (sex, age, body mass index, diabetes, and hypertension), biochemical parameters (amylase, lipase, alanine aminotransferase, aspartate aminotransferase, albumin, total bilirubin, blood urea, serum creatinine, blood glucose, blood sodium, blood calcium, cholesterol, triglyceride, lactate dehydrogenase, and high-sensitivity C-reactive protein), white blood cell count (WBC), severity of AP, local complications under CT scan, systemic inflammatory response syndrome, bacteremia, organ failure, hospitalization, and recurrence of HLAP [length of hospital stay, rate of admission to the intensive care unit (ICU), 1-year recurrence rate of HLAP, and number of HLAP attacks within 1 year]. The independent samples t-test was used for comparison of normally distributed continuous data between two groups, and the Mann-Whitney U test was used for comparison of non-normally distributed continuous data between two groups; the chi-square test or the Fisher's exact test was used for comparison of categorical data between two groups.  Results  Compared with the non-NAFLD group, the NAFLD group had significantly higher blood glucose and WBC and a significantly lower blood sodium level on admission (Z=-2.241, t=2.187, t=-2.533, all P < 0.05). Compared with the non-NAFLD group, the NAFLD group had a significantly higher proportion of patients with severe AP (75.0% vs 53.7%, χ2= 4.968, P < 0.05), as well as significantly higher incidence rates of local complications, systemic inflammatory response syndrome, bacteremia, and respiratory failure (χ2=6.059, 4.611, 4.056, and 4.568, all P < 0.05). There was no significant difference in length of hospital stay between the two groups (P > 0.05), and the NAFLD group had a significantly higher rate of admission to the ICU than the non-NAFLD group (23.3% vs 7.3%, χ2= 4.463, P < 0.05). In addition, there were no significant differences in 1-year recurrence rate of HLAP and number of HLAP attacks within 1 year between the two groups (both P > 0.05).  Conclusion  NAFLD is significantly associated with the severity of HLAP, and furthermore, NAFLD may play an important role in the early severity assessment, disease progression, and prognosis prediction of HLAP.
Effect of amitriptyline on lipid deposition and biochemical metabolism in a cell model of nonalcoholic fatty liver disease
Qin LIU, Qiang ZHANG, Fangxiong WU, Rong YAN, Rong LI, Jia WANG, Chunyan NIU
2021, 37(1): 99-104. DOI: 10.3969/j.issn.1001-5256.2021.01.020
Abstract(1581) HTML (329) PDF (2482KB)(67)
Abstract:
  Objective  To investigate the effect of amitriptyline on lipid deposition and biochemical metabolism in a cell model of nonalcoholic fatty liver disease (NAFLD) by regulating the acid sphingomyelinase (ASM)/ceramide (CE) pathway.  Methods  HepG2 and L02 cells were cultured in vitro to establish a cell model of NAFLD. MTT colorimetry was used to measure cell proliferation rate, and oil red O staining was used to observe the change of lipid droplets in cells. In the experiment, the cells were divided into normal control group, model group, Ami group, TNFα group, and Ami+TNFα group. An automatic biochemical analyzer was used to measure the levels of triglyceride (TG) and total cholesterol (TC) in cells and the levels of alanine aminotransferase (ALT) and aspartate aminotransferase (AST) in supernatant; ELISA was used to measure the levels of CE and ASM in cells; Western blot was used to measure the protein expression ASM in cells, and RT-PCR was used to measure the mRNA expression of ASM in cells. A one-way analysis of variance was used for comparison of continuous data between multiple groups, and the Turkey test was used for further comparison between two groups.  Results  Compared with the normal control group, the NAFLD model group had significant increases in the protein and mRNA expression of ASM and the levels of CE, TG, TC, ALT, and AST (all P < 0.05). Compared with the model group, the Ami group had significant reductions in the protein and mRNA expression of ASM and the levels of CE, TG, TC, ALT, and AST (all P < 0.05), and the TNFα group had significant increases in the protein and mRNA expression of ASM and the levels of CE, TG, ALT, and AST (all P < 0.05). Compared with the TNFα group, the Ami+TNFα group had significant reductions in the protein and mRNA expression of ASM and the levels of CE, TG, TC, ALT, and AST (all P < 0.05).  Conclusion  The ASM/CE pathway promotes lipid accumulation and may lead to hepatocyte steatosis, and amitriptyline can alleviate lipid deposition in NAFLD hepatocytes by inhibiting the ASM/CE pathway.
Protective effect of tanshinone I in a mouse model of hepatic ischemia-reperfusion injury
Xiaokang YI, Yichao DU, Baolin QIAN, Zhiwei HUANG, Qiu LI, Wenguang FU, Jian WEN
2021, 37(1): 105-109. DOI: 10.3969/j.issn.1001-5256.2021.01.021
Abstract(1450) HTML (428) PDF (2500KB)(92)
Abstract:
  Objective  To investigate the protective effect of tanshinone I (T-I) on hepatic ischemia-reperfusion injury (HIRI) in mice.  Methods  A total of 36 C57BL/6J mice were randomly divided into sham-operation group, ischemia-reperfusion (IR) group, IR+T-I (5 mg/kg) group, IR+T-I (10 mg/kg) group, IR+T-I (20 mg/kg) group, and IR+T-I (40 mg/kg) group, with 6 mice in each group. Each group was given intraperitoneal injection. The mice in the sham-operation group and the IR group were injected with an equal volume of the solvent olive oil; the mice in the IR+T-I groups were administered once a day for 7 consecutive days, a model of 70% HIRI was established at 2 hours after the last administration, and serum and liver samples were collected after 6 hours of reperfusion. Related kits were used to measure the serum level of alanine aminotransferase (ALT) and aspartate aminotransferase (AST) and the content of superoxide dismutase (SOD), malondialdehyde (MDA), caspase-3, and reduced glutathione (GSH) in liver tissue; HE staining was used to observe liver histopathology; the TUNEL method was used to measure the level of hepatocyte apoptosis; immunohistochemistry was used to measure the protein expression of caspase-3 and heme oxygenase-1 (HO-1). A one-way analysis of variance was used for comparison of continuous data between multiple groups, and the least significant difference t-test was used for further comparison between two groups.  Results  Compared with the IR group, the IR+T-I (20mg/kg) group had significant reductions in the serum levels of ALT (192.48±23.67 U/L vs 336.90±41.52 U/L, P < 0.01) and AST (123.19±9.16 U/L vs 206.90±18.81 U/L, P < 0.01), and thus 20 mg/kg was determined as the optimal concentration. Compared with the IR group, the IR+T-I (20 mg/kg) group had significant reductions in MDA (1.34±0.21 μmol/mg vs 3.48±0.95 μmol/mg, P < 0.05) and caspase-3 (0.69±0.97 μmol/mg vs 1.04±0.35 μmol/mg, P < 0.05) and significant increases in SOD (274.47±30.53 U/mg vs 160.29±27.37 U/mg, P < 0.05) and GSH (2.12±0.27 μmol/mg vs 1.03±0.42 μmol/mg, P < 0.05). HE staining showed that the IR group had disordered structure of hepatic lobules and focal or extensive degeneration and necrosis of hepatocytes; compared with the IR group, the IR+T-I (20 mg/kg) group had a reduction in the area of hepatocyte necrosis and a basically complete structure of the liver. Immunohistochemistry showed that compared with the IR group, the IR+T-I (20 mg/kg) group had significant reductions in the number of apoptotic hepatocytes and the protein expression of caspase-3 and a significant increase in the protein expression of HO-1.  Conclusion  T-I exerts a protective effect against HIRI in mice by inhibiting liver oxidative stress response and hepatocyte apoptosis.
Clinical features of culture-negative liver abscess
Jianhong HAO, Na YAO, Minyuan BI, Gufen ZHANG, Linxu WANG, Jianqi LIAN, Chunfu WANG
2021, 37(1): 110-114. DOI: 10.3969/j.issn.1001-5256.2021.01.022
Abstract(1242) HTML (243) PDF (2057KB)(87)
Abstract:
  Objective  To investigate the clinical features and prognosis of culture-negative liver abscess (CNLA) versus culture-positive liver abscess (CPLA), and to provide a reference for early diagnosis and effective treatment.  Methods  A retrospective analysis was performed for the clinical data of 371 patients with liver abscess who were admitted to The Second Affiliated Hospital of Air Force Medical University from 2005 to 2018, among whom 145 (39.1%) had positive results of pathogen test (CPLA group) and 226 (60.9%) had negative results (CNLA group). The two groups were compared in terms of clinical features, laboratory examination, imaging data, and prognosis. The t-test was used for comparison of normally distributed or approximately normally distributed continuous data between two groups, and the Mann-Whitney U test was used for comparison of non-normally distributed continuous data between two groups; the chi-square test or the Fisher's exact test was used for comparison of categorical data between two groups.  Results  Compared with the CNLA group, the CPLA group had a significantly older age (t=-3.464, P=0.001) and a significantly higher proportion of patients with diabetes (χ2=17.362, P < 0.001) or cardiovascular disease (χ2=10.827, P=0.001), and compared with the CPLA group, the CNLA group had a significantly higher proportion of patients with AIDS (χ2=4.354, P=0.037). Compared with the CNLA group, the CPLA group had significantly greater increases in leukocyte count, percentage of neutrophils, alkaline phosphatase, gamma-glutamyl transpeptidase, and total bilirubin (U=20393, 19711, 18586, 19349, and 18496, all P < 0.05), a significantly greater reduction in albumin (t=3.348, P=0.001), and a significantly higher proportion of patients with a baseline APACHE Ⅱ score of ≥16 (χ2=9.550, P=0.002). Compared with the CNLA group, the CPLA group had a significantly higher proportion of tumors with a diameter of > 5 cm (χ2=53.61, P < 0.001). In the CNLA group, 19.9% of the patients were treated with anti-infective therapy alone, while for both groups, anti-infective therapy combined with ultrasound- or CT-guided percutaneous drainage was the main treatment method. There were no significant differences in the length of hospital stay, recurrence rate, and mortality rate between the two groups (all P > 0.05).  Conclusion  Compared with CPLA patients, CNLA patients tend to have a younger age and are less likely to develop severe inflammatory response and liver insufficiency, with a smaller diameter of abscess which is less likely to be treated by percutaneous drainage, while there is no significant difference in prognosis between CPLA patients and CNLA patients.
Clinical features of hepatic myelopathy: An analysis of 562 cases
Mingzhi YANG, Dan WU, Liang TANG, Liangzhi WEN, Dongfeng CHEN, Hongli CUI
2021, 37(1): 115-119. DOI: 10.3969/j.issn.1001-5256.2021.01.023
Abstract(1498) HTML (503) PDF (2042KB)(124)
Abstract:
  Objective  To investigate the clinical features of patients with hepatic myelopathy (HM) in China.  Methods  The articles on HM, published in China from January 2009 to December 2018, were collected to analyze the clinical features, laboratory examination results, diagnosis, treatment, and prognosis of HM patients.  Results  A total of 94 articles were included, with 562 patients in total, among whom there were 489 male patients and 73 female patients. Their age ranged from 17-81 years, with a mean age of 46.3±17.5 years. Hepatitis B cirrhosis was the most common etiology (64.4%), followed by alcoholic cirrhosis (10.3%) and hepatitis C cirrhosis (9.2%). The clinical manifestations of HM mainly included decline of muscle strength (89.50%), tendon hyperreflexia (76.87%), ataxia, and movement disorder (76.51%). Laboratory examination showed an increase in blood ammonia by 92.31% and a reduction in albumin by 88.96%. Imaging diagnosis mainly depended on electromyography (64.92%) and spinal cord MRI (22.82%), and abdominal color Doppler ultrasound, CT, or MRI alone has limited clinical value. After comprehensive medical treatment, no patient (0%) was cured, 106 patients (18.86%) were improved, 211 patients (37.54%) had no response, 31 patients (5.52%) worsened, 129 patients (22.95%) died, and 53 patients (9.43%) were not explained. A total of 39 patients underwent liver transplantation, with an improvement rate of 56.41%.  Conclusion  HM is a rare complication of end-stage liver disease and is mainly observed in middle-aged men. It has the main manifestation of chronic and progressive spastic paraplegia of both lower limbs. Currently, there is no effective treatment method, and liver transplantation is feasible for some patients, with poor treatment response and poor prognosis.
Mechanism of Ganshuang granule extract in alleviating N-acetyl-p-aminophenol-induced hepatocellular injury
Qiao WU, Pengfei YU, Yanzhen BI, Baozeng WANG, Zixuan WANG, Zhijie LI, Yu CHEN, Zhongping DUAN
2021, 37(1): 120-125. DOI: 10.3969/j.issn.1001-5256.2021.01.024
Abstract(1506) HTML (482) PDF (3021KB)(97)
Abstract:
  Objective  To investigate the ability of Ganshuang granule (a liver-protecting drug widely used in clinical practice) extract to reduce N-acetyl-p-aminophenol (APAP)-induced hepatotoxicity and possible mechanisms.  Methods  A total of five cell culture groups were set up in this experiment, i.e., normal control group, APAP injury group, and three injury protection groups treated with different concentrations of Ganshuang granule extract. Then 20 mmol/L APAP was added to the cell culture medium and incubated for 24 hours to establish an in vitro model of drug-induced liver injury, and the injury protection groups were treated with different concentrations of Ganshuang granule extract (0.2, 1, and 5 μg/ml) in advance for 8 hours of incubation before APAP were added for 24 hours. Related markers were measured, including the markers for hepatocellular injury [alanine aminotransferase (ALT), aspartate aminotransferase (AST), and lactate dehydrogenase (LDH)], the markers for mitochondrial injury [mitochondrial membrane potential, and glutamate dehydrogenase (GDH)], and antioxidant and oxidative stress markers [glutathione (GSH), superoxide dismutase (SOD), malondialdehyde (MDA), and reactive oxygen species (ROS)]. Related mechanism was discussed based on the experimental results. A one-way analysis of variance was used for comparison of continuous data between multiple groups, and the least significant difference t-test was used for further comparison between two groups.  Results  Ganshuang granule extract alleviated APAP-induced hepatotoxicity, improved cell viability (P < 0.001), and reduced the levels of AST, ALT, and LDH in supernatant (P < 0.001, P < 0.001, and P < 0.05). Ganshuang granule extract inhibited APAP-induced hepatocellular oxidative stress, and compared with the APAP group, the Ganshuang granule extract groups had significant reductions in the oxidative stress indicators ROS and MDA (both P < 0.01). Ganshuang granule extract alleviated the loss of mitochondrial membrane potential induced by APAP (P < 0.05) and reduced the content of the mitochondrial injury marker GDH in supernatant (P < 0.001) in a dose-dependent manner. Ganshuang granule extract inhibited the expression of CYP2E1/1A2 (both P < 0.05) and increased the expression of phase Ⅱ enzymes in hepatocytes. Ganshuang granule extract induced the expression of Nrf2 and its downstream genes NQO-1 and GCLC (all P < 0.05).  Conclusion  Ganshuang granule extract can prevent APAP-induced hepatocellular injury through two ways. The first way is that Ganshuang granule extract downregulates the expression of CYP2E1/1A2 and thus reduces the production of NAPQI, a toxic product of APAP; the second way is that Ganshuang granule extract upregulates the expression of the detoxification pathway, which can activate Nrf2 to increase the expression of antioxidant enzymes (SOD and GSH) and phase Ⅱ enzymes and thus accelerate the harmless metabolism of APAP.
Composition and functional change of intestinal microbiota in infantile cholestasis
Jianli ZHOU, Zhaoxia WANG, Shaoming ZHOU, Qiao ZHANG, Xia QIAN
2021, 37(1): 126-130. DOI: 10.3969/j.issn.1001-5256.2021.01.025
Abstract(1750) HTML (477) PDF (4055KB)(82)
Abstract:
  Objective  To investigate the composition and functional change of intestinal microbiota in infantile cholestasis (IC).  Methods   A total of 42 infants with IC who were admitted to Shenzhen Children's Hospital from September 2014 to February 2016 were enrolled as IC group, and 32 normal infants during the same period of time were enrolled as control group. Fecal samples were collected, and shotgun sequencing was used to investigate the features of intestinal microbiota. The Kyoto Encyclopedia of Genes and Genomes (KEGG) and eggNOG database were used to investigate the functional changes of intestinal microbiota. The Wilcoxon rank-sum test was used for comparison of continuous data between groups, and the chi-square test was used for comparison of categorical data between groups. Shannon coefficient, the Wilcoxon Rank sum test, and DESeq2 were used to calculate and analyze the data of strains and the functional pathways of genes, and Cytoscape was used to give a visual representation of abundant strains and their association.  Results  As for the etiology of IC in the IC group, 11(26.2%) had biliary atresia, 4(9.5%) had Citrin deficiency, 4(9.5%) had bile duct dysplasia, and 23(54.8%) had unknown cause. There was a significant difference in the composition of intestinal microbiota at the phylum level between the two groups (Z=0.000 046, P < 0.05), and the IC group had significant increases in Firmicutes and Bacteroidetes. There were also significant differences between the two groups at the species level (Z=0.000 014, P < 0.05), and the IC group had significant reductions in the probiotic bacteria including Bifidobacterium and significant increases in the potential pathogens including Veillonella and Niastella koreensis. There was a significant difference in the function of intestinal microbiota between the two groups (Z=0.019 8, P < 0.05), and the IC group had significant reductions in the functions of intestinal microbiota such as amino acid metabolism and carbohydrate metabolism.  Conclusion  Changes in the composition and function of intestinal microbiota are observed in infants with IC, with a significant reduction in probiotic bacteria and a significant increase in potential pathogens, and supplementation with probiotic bacteria including Bifidobacterium can reduce the production of potential pathogens and change disease progression.
Influence of endoplasmic reticulum stress on the secretion of some inflammatory mediators in hepatic alveolar echinococcosis
Yao LI, Jingchao WANG, Jiaqi YUAN, Hao WEN, Ying ZHOU, Haining FAN, Zhixin WANG
2021, 37(1): 131-134. DOI: 10.3969/j.issn.1001-5256.2021.01.026
Abstract(1197) HTML (241) PDF (2198KB)(60)
Abstract:
  Objective  To investigate the influence of endoplasmic reticulum stress (ERS) on some inflammatory mediators during the progression of hepatic alveolar echinococcosis (HAE) and its clinical significance.  Methods  A total of 15 patients with HAE who underwent partial liver resection in Qinghai University Affiliated Hospital from June 2018 to September 2019 were enrolled, and the marginal zone of HAE lesion was resected as AE group; 15 normal liver tissue samples collected during the same period of time were selected as control group. Western blot and qRT-PCR were used to measure the protein and mRNA expression of protein kinase R-like ER kinase (PERK), CCAAT/enhancer-binding protein homologous protein (CHOP), caspase-12, and glucose-regulated protein-78 (GRP-78), and q-PCR was used to measure the mRNA expression of interleukin-1β (IL-1β), interleukin-6 (IL-6), and tumor necrosis factor (TNF). The Mann-Whitney U test was used for comparison of non-normally distributed continuous data between two groups, and the t-test was used for comparison of normally distributed continuous data between two groups; a Pearson correlation analysis was performed to investigate the correlation between two variables.  Results  Compared with the control group, the AE group had significantly higher protein expression levels of PERK, CHOP, caspase-12, and GRP78 (U=4.165, 3.461, 2.577, and 3.344, all P < 0.001) and their mRNA expression levels (t= 34.003, 4.461, 53.573, and 55.224, all P < 0.001). The AE group had significantly higher mRNA expression levels of IL-1β, IL-6, and TNF than the control group (t=6.090, 12.578, and 53.573, all P < 0.001). The protein expression levels of PERK, CHOP, caspase-12, and GRP-78 were positively correlated with the mRNA expression levels of IL-1β, IL-6, and TNF (all r > 0.700, all P≤0.05).  Conclusion  Positive correlation is observed between the activation of ERS and inflammatory mediators in HAE, and excessive activation of ERS can change the secretion of several inflammatory mediators to exacerbate liver injury, while further studies are needed to clarify the specific mechanism.
Screening and a preliminary study of specific microRNA for hepatic alveolar echinococcosis
Bin REN, Haining FAN, Haijiu WANG, Li REN
2021, 37(1): 135-141. DOI: 10.3969/j.issn.1001-5256.2021.01.027
Abstract(992) HTML (309) PDF (3353KB)(66)
Abstract:
  Objective  To investigate new biomarkers for hepatic alveolar echinococcosis by screening out differentially expressed microRNAs (miRNAs) in the tissues and plasma of patients with hepatic alveolar echinococcosis, since hepatic alveolar echinococcosis is caused by the infection of multilocular hydatid cyst.  Methods  Patients with hepatic alveolar echinococcosis diagnosed in Qinghai University Affilrated Hospital from June 2016 to May 2018 were in cluded. Two marginal tissue samples and three adjacent normal tissue samples were collected from patients with hepatic alveolar echinococcosis, and plasma samples were collected from three patients with hepatic alveolar echinococcosis and three healthy controls. Agilent Human miRNA microarray was used to obtain the miRNA expression profile in tissue and plasma, and differentially expressed miRNAs were screened out based on fold change (FC > 1.2) and P value (P < 0.05). Plasma miRNAs and tissue miRNAs associated with liver diseases were selected based on target gene prediction of differentially expressed miRNAs and literature reports, and quantitative real-time PCR (qRT-PCR) was used for validation. The t-test was used for comparison of continuous data between two groups. A spearman analysis was used to investigate correlcction.  Results  There was a significant difference in microRNA expression profile between the patients with hepatic alveolar echinococcosis and the health individuals, and qRT-PCR found that three miRNAs (hsa-miR-4644, hsa-miR-136-5p, hsa-miR-483-3p) were significantly differentially expressed in patients with hepatic alveolar echinococcosis (P < 0.05), among which hsa-miR-4644 and hsa-miR-483-3p were significantly upregulated (P < 0.05) and hsa-miR- 136-5p was significantly downregulated (P < 0.05) in patients with hepatic alveolar echinococcosis. Target gene prediction was performed for miRNAs based on TargetScan, PITA, and microRNAorg databases, and the intersection of the target genes predicted by these three databases showed that 137 genes were targeted with miRNAs. The differentially expressed miRNA hsa-miR-483-3p was involved in the target regulation of the genes (IL17A, IL5, CD40LG, TAP2, and TNF) associated with immune response and liver diseases. Gene ontology and Kyoto Encyclopedia of Genes and Genome analyses showed that the target genes of hsa-miR-483-3p played an important role in the primary immunodeficiency signaling pathway, the IL-17 signaling pathway, and the TNF signaling pathway.  Conclusion  Hepatic alveolar echinococcosis has a unique microRNA expression profile, among which hsa-miR-483-3p can be used as a new biomarker for hepatic alveolar echinococcosis, and the target genes regulated by this miRNA are mainly involved in the primary immunodeficiency signaling pathway, the IL-17 signaling pathway, and the TNF signaling pathway. However, further studies are needed to verify the regulatory relationship between these miRNAs and hepatic alveolar echinococcosis.
Original articles_Pancreatic diseases
Clinical features of elderly patients with acute pancreatitis aged ≥80 years
Jin XU, Xin JIANG, Yongfeng YAN, Rui ZHONG, Yan PENG, Xiaowei TANG, Chuankang TANG
2021, 37(1): 142-146. DOI: 10.3969/j.issn.1001-5256.2021.01.028
Abstract(1858) HTML (302) PDF (2055KB)(77)
Abstract:
  Objective  To investigate the clinical features of elderly patients with acute pancreatitis (AP) aged ≥80 years.  Methods  A retrospective analysis was performed for 3642 patients with pancreatitis who were admitted to Department of Gastroenterology in The Affiliated Hospital of Southwest Medical University from January 2013 to December 2019, and according to age, they were divided into young group (aged < 65 years) with 2955 patients, middle-aged group (aged 65-79 years) with 558 patients, and elderly group (aged ≥80 years) with 129 patients. Related clinical data were collected and analyzed, including sex, age, etiology, predisposing factors, past medical history, disease severity, complication, and clinical outcome. The independent samples one-way ANOVA-test was used for comparison of normally distributed continuous data between groups and the least significant difference t-test was used for comparison within each group; the Mann-Whitney U test was used for comparison of non-normally distributed continuous data between groups; the chi-square test or the Fisher's exact test was used for comparison of categorical data between groups; the Kruskal-Wallis H test was used for comparison of ordinal categorical variables.  Results  In the young group, there were 1721 male patients and 1234 female patients; in the middle-aged group, there were 214 male patients and 334 female patients; in the elderly group, there were 48 male patients and 81 female patients; the middle-aged group and the elderly group had a significantly higher proportion of female patients than the young group (62.8% vs 61.6% vs 41.8%, P < 0.05). High-fat diet was the main predisposing factor for all three groups, and compared with the young group, the elderly group had a significantly lower proportion of patients with AP induced by alcohol or high-fat diet+alcohol (P < 0.05). The elderly group had a significantly higher proportion of patients with the etiology of biliary diseases than the middle-aged group and the young group (79.8% vs 69.2% vs 41.4%, χ2=204.127, P < 0.05), as well as a significantly lower proportion of patients with the etiology of hyperlipidemia, alcohol, or biliary diseases+hyperlipidemia (all P < 0.05). Among the 129 patients in the elderly group, 83 (64.3%) had mild AP, 23 (17.8%) had moderate-severe AP, and 23 (17.8%) had severe AP; there was a significant difference in the constituent ratio of disease severity between the elderly group and the middle-aged/young groups (H=1972.5, P < 0.05). The elderly group and the middle-aged group had a significantly lower proportion of patients with recurrence than the young group (both P < 0.05). There were no significant differences in local complications between the three groups (all P > 0.05), and as for systemic complications, compared with the young group, the elderly group had a significantly higher proportion of patients with pneumonia (3.9% vs 2.2%, P < 0.05), acute kidney injury (AKI) (6.2% vs 2.5%, P < 0.05), or multiple organ dysfunction syndrome (MODS) (7.8% vs 4.0%, P < 0.05). Compared with the middle-aged group and the young group, the elderly group had a significantly lower proportion of cured patients (67.4% vs 76.3% vs 82.0%, P < 0.05) and a significantly higher proportion of patients with improvement (23.3% vs 14.7%/12.7%, P < 0.05). The elderly group and the middle-aged group had a significantly higher proportion of patients withdrawn from treatment than the young group (8.5%/5.9% vs 3.4%, P < 0.05). There was 1 death in the elderly group (0.8%), 9 deaths in the middle-aged group (1.6%), and 16 deaths in the young group (0.5%), and there was no significant difference between the three groups (P > 0.05). There were no significant differences in length of hospital stay and hospital costs between the three groups (P > 0.05).  Conclusion  AP patients aged ≥80 years are mainly female and are often caused by biliary factors, and they are likely to develop the complications such as pneumonia, AKI, and MODS.
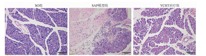
Artemisia capillaris Thunb. decoction exerts a protective effect on rats with severe acute pancreatitis by regulating the lncRNA PVT1/miRNA-30a-5p signaling pathway
Hong XIANG, Fenglin HU, Xufeng TAO, Xin QI, Jinnan ZHANG, Dong SHANG
2021, 37(1): 147-152. DOI: 10.3969/j.issn.1001-5256.2021.01.029
Abstract(1120) HTML (529) PDF (6634KB)(67)
Abstract:
  Objective  To investigate the protective effect and mechanism of Artemisia capillaris Thunb. decoction (YCHT), a classic heat-clearing and cholagogic traditional Chinese medicine (TCM) prescription, on rats with severe acute pancreatitis (SAP) induced by sodium taurocholate.  Methods  A total of 30 Sprague-Dawley rats were randomly divided into sham-operation (SO) group, SAP model group, and YCHT (4.0 g/kg) treatment group, with 10 rats in each group. At 24 hours after successful modeling, pancreatic tissue and plasma samples were collected for analysis. HE staining was used to observe pathological injury of the pancreas; ELISA was used to measure the plasma levels of amylase, tumor necrosis factor-α (TNFα), and interleukin-1β (IL-1β); immunofluorescent staining was used to measure the fluorescence intensity of LC-3 protein, and TUNEL was used to measure cell apoptosis. Western blot was used to measure the protein expression of LC-3, Beclin-1, X-linked inhibitor of apoptosis protein (XIAP), caspase-3, and nuclear factor-kappa B (NF-κB) in the pancreas, and quantitative real-time PCR was used to measure the expression levels of lncRNA PVT1 and miRNA-30a-5p. A one-way analysis of variance and the Tukey's test were used to analyze the differences between multiple independent samples.  Results  YCHT significantly alleviated the pathological injury of the pancreas of SAP rats, such as edema, necrosis, hemorrhage, and inflammatory cell infiltration. Compared with the SO group, the SAP group had significant increases in the plasma levels of amylase and the inflammatory factors TNFα and IL-1β, and there were significant reductions in the plasma levels of amylase, TNFα, and IL-1β after YCHT treatment (all P < 0.05). Compared with the SO group, the SAP group had significant increases in LC-3II/LC-3I ratio and the protein expression of Beclin-1, XIAP, caspase-3, and NF-κB, and compared with the SAP group, the YCHT group had significant reductions in LC-3II/LC-3I ratio and the protein expression of Beclin-1, XIAP, and NF-κB (all P < 0.05). Compared with the SO group, the SAP group had a significant increase in the expression of lncRNA PVT1 and a significant reduction in the expression of miRNA-30a-5p in the pancreas (both P < 0.05), and compared with the SAP group, the YCHT group had a significant reduction in the expression of lncRNA PVT1 and a significant increase in the expression of miRNA-30a-5p (both P < 0.05).  Conclusion  Cell autophagy and apoptosis mediated by lncRNA PVT1/miRNA-30a-5p may be a drug target for YCHT treatment of SAP, which provides experimental and theoretical bases for further development of the TCM prescription YCHT for the treatment of SAP.
Case reports
A case of spontaneous bacterial peritonitis caused by Neisseria. subflava in liver cirrhosis
Zhenjiao GAO, Xingshun QI, Hongyu LI, Xiaozhong GUO
2021, 37(1): 153-155. DOI: 10.3969/j.issn.1001-5256.2021.01.030
Abstract(1267) HTML (1238) PDF (2092KB)(81)
Abstract:
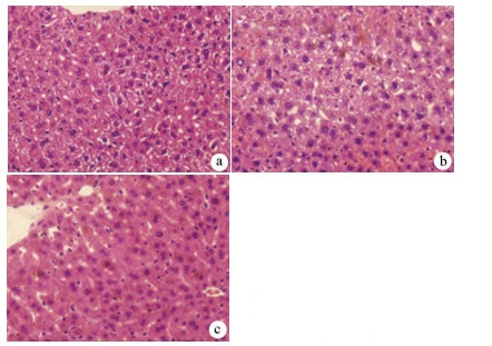
Hepatocellular carcinoma with intraspinal metastasis initially manifesting as cervical cord compression: A case report
Fu WEI, Jian WANG, Caini HE, Yunyu ZHAO, Fengtao LI, Fanpu JI
2021, 37(1): 156-157. DOI: 10.3969/j.issn.1001-5256.2021.01.031
Abstract(1121) HTML (362) PDF (2235KB)(56)
Abstract:
Multiple myeloma with gastrointestinal bleeding due to portal hypertension as the initial manifestation: A case report
Jie SU, Ying WANG, Yu PAN, Rui HUA
2021, 37(1): 158-159. DOI: 10.3969/j.issn.1001-5256.2021.01.032
Abstract(815) HTML (312) PDF (2077KB)(87)
Abstract:
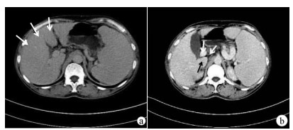
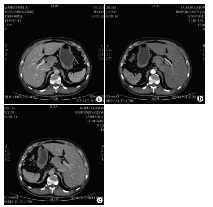
Long-term survival of malignant melanoma with porta hepatis metastasis: A case report
Shuxuan LI, Kai KOU, Guoyue LYU
2021, 37(1): 160-162. DOI: 10.3969/j.issn.1001-5256.2021.01.033
Abstract(1413) HTML (947) PDF (2605KB)(73)
Abstract:
Hepatic Artery; Mesenteric Artery, Superior; Pancreatic Neoplasms
Allamyradov Aly, Yan DU, Tongtai LIU, Xiaodong WANG, Kai YAO
2021, 37(1): 163-164. DOI: 10.3969/j.issn.1001-5256.2021.01.034
Abstract(860) HTML (274) PDF (2322KB)(50)
Abstract:
Reviews
Research advances in the regulation of epithelial-mesenchymal transition and targeted therapy for liver fibrosis
Yongjuan WANG, Xiaoli XIE, Huiqing JIANG
2021, 37(1): 165-168. DOI: 10.3969/j.issn.1001-5256.2021.01.035
Abstract(1665) HTML (405) PDF (2046KB)(104)
Abstract:
The pathological basis of liver fibrosis is the deposition of extracellular matrix (ECM), and myofibroblasts are the main source of ECM. Epithelial-mesenchymal transition (EMT) is one of production mechanisms of myofibroblasts. At present, a large number of studies have shown that intervention of key EMT molecules and signaling pathways as targets can reduce liver fibrosis. Based on literature review, this article summarizes the signaling pathways associated with EMT, important regulatory molecules, and drugs targeting EMT in the treatment of liver fibrosis, so as to provide new ideas for the treatment of liver fibrosis.
Effects of different subtypes of Numb protein subtypes on liver fibrosis-related signaling pathways
Yannan XU, Ping LIU, Yongping MU
2021, 37(1): 169-172. DOI: 10.3969/j.issn.1001-5256.2021.01.036
Abstract(933) HTML (338) PDF (2042KB)(54)
Abstract:
Liver fibrosis is the only way for various chronic liver diseases to develop into liver cirrhosis and is a reversible pathological state. However, how to prevent or reverse the development and progression of liver fibrosis is still an important scientific problem to be solved in clinical practice. As an important cell fate determinant, Numb has been shown to be closely associated with the development of many diseases. In the fibrotic environment, different subtypes of Numb protein are translated due to the selective shear action of the Numb gene, which have different regulatory effects on the activation of different signaling pathways and the differentiation of liver stem cells. At present, there are few reports on the role of Numb protein subtypes in liver fibrosis. This article reviews the regulatory effect of different Numb protein subtypes on the Notch, Hedgehog, and P53 signaling pathways and liver stem cells and elaborates on their potential application prospects in the treatment of liver fibrosis.
Current status and prospects of long-term albumin treatment in patients with cirrhotic ascites
Yu TIAN, Jia HONG, Bingqiong WANG, Hong YOU
2021, 37(1): 173-175. DOI: 10.3969/j.issn.1001-5256.2021.01.037
Abstract(2274) HTML (1264) PDF (2020KB)(185)
Abstract:
At present, albumin is mainly used to prevent post-paracentesis circulatory dysfunction in patients with cirrhotic ascites, prevent renal dysfunction in patients with spontaneous peritonitis, and treat hepatorenal syndrome. Recent studies have shown that long-term albumin treatment can reduce the incidence rate of complications and improve overall prognosis in patients with cirrhotic ascites, which brings new insights into the indication for clinical application of albumin. This article reviews the clinical studies on the long-term administration of albumin in patients with cirrhotic ascites, aiming to provide evidence-based advice for further clinical research on long-term application of albumin in China.
Biomarkers for the early diagnosis of hepatocellular carcinoma
Xichen LIU, Yiying WANG, Manman TONG, Junjie QIN
2021, 37(1): 176-179. DOI: 10.3969/j.issn.1001-5256.2021.01.038
Abstract(1261) HTML (475) PDF (2041KB)(122)
Abstract:
Patients with advanced hepatocellular carcinoma (HCC) often have poor prognosis, and early diagnosis and effective treatment measures can significantly improve the survival rate of patients. At present, alpha-fetoprotein (AFP) is the most widely used serum marker for the diagnosis of HCC in the world; however, no increase in AFP was found in some HCC patients. This article analyzes the application potential of AFP, hepatitis B core-related antigen, liquid biopsy technology, microRNA, long non-coding RNA, and exosomes in the early diagnosis of HCC and reviews related research advances, so as to provide a basis for exploring new methods for the early diagnosis of HCC.
Application of associating liver partition and portal vein ligation for staged hepatectomy in unresectable hepatocellular carcinoma
Bohui LIN, Yimeng OU
2021, 37(1): 180-183. DOI: 10.3969/j.issn.1001-5256.2021.01.039
Abstract(1226) HTML (313) PDF (2048KB)(67)
Abstract:
For hepatocellular carcinoma patients with insufficient residual liver volume, associating liver partition and portal vein ligation for staged hepatectomy (ALPPS) can achieve the goal of rapidly increasing residual liver volume and removing the tumor, but there are still drawbacks and uncertainties. As a new technique in the field of hepatobiliary surgery, the range of application of ALPPS has been expanded and its technique has been further improved in the past 10 years since its inception. This article summarizes the experience in implementing ALPPS in patients with hepatocellular carcinoma in China and globally, analyzes the key issues of the application of ALPPS in hepatocellular carcinoma patients, and discusses its opportunities and challenges in the era of targeted therapy and immunotherapy.
Research advances in the association of the tyrosine kinase receptor Axl and its ligand Gas6 with hepatocellular carcinoma
Yu WU, Ping'an QIAN, Xingliang FAN, Junfeng ZHU
2021, 37(1): 184-187. DOI: 10.3969/j.issn.1001-5256.2021.01.040
Abstract(1664) HTML (665) PDF (2047KB)(68)
Abstract:
As one of the tyrosine kinase receptors, Axl is an important downstream regulator of epithelial-mesenchymal transition (EMT) and can bind to its ligand Gas6 protein. By activating the downstream signal transduction pathways, Axl is closely associated with vascular invasion, tumor metastasis, recurrence, and low survival rate of hepatocellular carcinoma. Current studies on the Gas6/Axl signaling pathway have confirmed that Axl inhibitors play an important role in the treatment of liver cancer and the Gas6/Axl signaling pathway may be a potential therapeutic target for liver cancer. This article mainly introduces the association of Axl and its ligand Gas6 with the development and progression of liver cancer and their application in the diagnosis and treatment of liver cancer, in order to provide new ideas for the early diagnosis of liver cancer and clinical research on anti-cancer treatment.
The role and mechanism of invariant natural killer T cells in liver anti-tumor immunity
Xiangjin HU, Yao GAO, Jun LYU
2021, 37(1): 188-191. DOI: 10.3969/j.issn.1001-5256.2021.01.041
Abstract(1371) HTML (497) PDF (2039KB)(105)
Abstract:
Invariant natural killer T (iNKT) cells are a T lymphocyte subset derived from the thymus and can express both natural killer cell-related receptors and T cell receptor. The iNKT cells are widely distributed in the body and are enriched in the liver, and they exhibit unique functional characteristics and can secrete cytokines and regulate the activity of other immune cells in microenvironment, so as to achieve the role of immune surveillance and disease prevention; especially in tumor microenvironment, iNKT cells can stimulate anti-tumor immune response and reverse immunosuppressive microenvironment in the liver. This article reviews the biological characteristics of iNKT cells and their special role in liver immune homeostasis, especially the anti-tumor effect and mechanism of iNKT cells.
Impact of obstructive sleep apnea on nonalcoholic fatty liver disease
Qingqing XU, Haiying TANG, Jingwei MAO
2021, 37(1): 192-195. DOI: 10.3969/j.issn.1001-5256.2021.01.042
Abstract(964) HTML (559) PDF (2049KB)(74)
Abstract:
Obstructive sleep apnea (OSA) may induce chronic intermittent hypoxia, which may lead to the disorders of multiple systems and organs and even sudden cardiac death in severe cases. Besides respiratory, cardiovascular, endocrine, and metabolic diseases, OSA is also closely associated with nonalcoholic fatty liver disease (NAFLD). This article briefly describes the current status of OSA and NAFLD, introduces the impact of OSA on NAFLD, and reviews the mechanisms of OSA in NAFLD. It is pointed out that clarifying the mechanisms of OSA in affecting NAFLD and discovering potential prevention and treatment targets for NAFLD from the aspect of OSA are of great significance in delaying and even blocking the progression of NAFLD.
Effect of glucagon-like peptide-1 receptor agonist in treatment of nonalcoholic fatty liver disease and related mechanism
Xiaohan YU, Yulu WANG, Xiaoyang XU, Jian PING, Changqing ZHAO
2021, 37(1): 196-199. DOI: 10.3969/j.issn.1001-5256.2021.01.043
Abstract(1470) HTML (868) PDF (2390KB)(72)
Abstract:
The incidence rate of nonalcoholic fatty liver disease (NAFLD) continues to rise around the world, and due to its complex pathogenesis, there is still a lack of effective treatment drugs. If NAFLD is not treated in time, it may increase the risk of related metabolic diseases such as diabetes and hyperlipidemia and even lead to liver fibrosis and liver cirrhosis. Glucagon-like peptide-1 is a hormone secreted by L-shaped cells of the small intestine and can regulate glucose-dependent stimulation of insulin secretion, reduce gastric emptying, and inhibit food intake. This article reviews the effect of glucagon-like peptide-1 receptor agonist in the treatment of NAFLD and related mechanism.
Clinical application of regional citrate anticoagulation in continuous renal replacement therapy for patients with liver failure
Yuanyuan JIN, Binghua ZHU, Xuejie FEI, Qian WANG
2021, 37(1): 200-203. DOI: 10.3969/j.issn.1001-5256.2021.01.044
Abstract(1673) HTML (380) PDF (2092KB)(70)
Abstract:
In vitro anticoagulation is a key technique in continuous renal replacement therapy (CRRT), and heparin was once the preferred anticoagulant for CRRT, but its clinical application is limited due to the high risk of bleeding. Citrate, as a new regional anticoagulant, has received more and more attention and recommendation in recent years, but there are still controversies over its application in patients with liver failure. With reference to relevant literature in China and globally, this article reviews the metabolic characteristics and monitoring methods of regional citrate anticoagulation and its safety in CRRT for patients with liver failure.
Research advances in animal models of acute liver failure
Fuli LONG, Yong LIN, Ziming PENG, Feng FENG, Jianling ZHANG, Dewen MAO, Ailing WEI
2021, 37(1): 204-208. DOI: 10.3969/j.issn.1001-5256.2021.01.045
Abstract(3387) HTML (598) PDF (2266KB)(472)
Abstract:
Acute liver failure is a serious and complex liver disease with a high short-term mortality rate. Its pathogenesis remains unknown and there is still a lack of effective drugs. Animal models play an important role in further revealing the pathogenesis of acute liver failure and the therapeutic mechanism of drugs, and the selection of experimental animals and preparation methods is the key to the effective implementation of research. This article summarizes the commonly used and new animal models of acute liver failure in recent years and the corresponding preparation methods and divides the animal models of acute liver failure into following four categories: chemical drug model, surgical model, infection model, and other models. Meanwhile, the above models are evaluated based on Terblanche and Hickman evaluation criteria for liver failure models, hoping to provide a reference for model selection and evaluation in basic research on this disease.
Pathogenesis of coronavirus disease 2019 with liver injury
Lu LI, Shuang LI, Yu CHEN
2021, 37(1): 209-211. DOI: 10.3969/j.issn.1001-5256.2021.01.046
Abstract(1984) HTML (657) PDF (2023KB)(72)
Abstract:
Coronavirus disease 2019 (COVID-19) has become a major threat to global public health. In addition to injury in the respiratory system, some patients may have varying degrees of liver injury. With reference to related articles, this article analyzes the etiological characteristics and pathogenesis of COVID-19 and discusses the possible causes of COVID-19 with liver injury, including the direct effect of virus, inflammatory cytokine storm, drug-induced liver injury, hypoxic liver injury, and immune dysfunction. It is suggested that reasonable drugs should be selected in clinical practice to protect the liver and reduce the incidence rate of liver injury.
The role of microRNA in autoimmune liver diseases
Mengqiang CAI, Sutong LIU, Junying LIU, Lihui ZHANG, Wenxia ZHAO
2021, 37(1): 212-215. DOI: 10.3969/j.issn.1001-5256.2021.01.047
Abstract(996) HTML (253) PDF (2040KB)(62)
Abstract:
MicroRNA(miRNA) affect various biological processes such as cell differentiation, proliferation, and apoptosis by inhibiting the translation of target genes after transcription and are widely involved in the regulation of immune and inflammatory responses in organisms. Autoimmune liver diseases are a group of chronic inflammatory diseases of the hepatobiliary system mediated by abnormal immunity, and abnormal immune inflammatory response of liver tissue with the involvement of miRNA is closely associated with the development and progression of autoimmune liver diseases. This article reviews the current research advances in miRNA in autoimmune liver diseases.
Research advances in congenital non-hemolytic jaundice
Jie LU, Wu LI, Ye LIU
2021, 37(1): 216-220. DOI: 10.3969/j.issn.1001-5256.2021.01.048
Abstract(1829) HTML (1139) PDF (2049KB)(161)
Abstract:
Congenital non-hemolytic jaundice is an important type of jaundice diseases, and except breast milk jaundice, the other types of this disease are relatively rare in clinical practice. Most of them belong to genetic and metabolic liver diseases, including Gilbert syndrome, Crigler-Najjar syndrome, and Lucey-Driscoll syndrome with an increase in unconjugated bilirubin and Dubin-Johnson syndrome and Rotor syndrome with an increase in conjugated bilirubin. With reference to the recent literature in China and foreign countries, this article reviews the pathogenesis, genetic characteristics, diagnosis, treatment, and differential diagnosis of six types of hereditary congenital unconjugated jaundice.
Research advances in primary biliary cholangitis with hyperlipidemia
Lina FENG, Xiaoxue ZHANG, Jianjie HUANG, Bo MA, Xiaoyu WEN, Manqiu CHEN, Qinglong JIN
2021, 37(1): 221-224. DOI: 10.3969/j.issn.1001-5256.2021.01.049
Abstract(1643) HTML (317) PDF (2037KB)(123)
Abstract:
Dyslipidemia is one of the most common complications of primary biliary cholangitis (PBC). This article reviews the latest research on lipid profile, the risk of cardiovascular diseases, and treatment of PBC with hyperlipidemia. Different from other liver diseases, PBC with hyperlipidemia has a unique lipid profile, which changes dynamically with disease progression. It is generally not considered that there are increased risks of atherosclerosis and cardiovascular disease. For those who have indications for treatment, statins are recommended as the first choice. In the future, more in-depth systematic studies are needed to clarify its diagnosis, treatment, and management processes.
Current status of the treatment of common bile duct stones after Billroth Ⅱ subtotal gastrectomy
Luyao XU, Changxu LI, Chaohui TANG, Chenglong CHU, Yingchao WANG
2021, 37(1): 225-228. DOI: 10.3969/j.issn.1001-5256.2021.01.050
Abstract(1472) HTML (368) PDF (2196KB)(56)
Abstract:
Common bile duct stones are a common of digestive system disease, and as one of the long-term complications after Billroth II subtotal gastrectomy, it has attracted more and more attention from clinicians. Common bile duct stones after Billroth II subtotal gastrectomy have a complex pathogenesis, including neurological, humoral, and mechanical factors. Even though there are many methods to remove stones, there are still controversies over the selection of digestive endoscopy, surgical operation, or percutaneous transhepatic approach. Clinicians should fully evaluate the specific conditions of patients and formulate individualized treatment regimens to achieve the best treatment outcome.
Advances in endoscopic therapy for difficult common bile duct stones
Yongpu FENG, Ye GAO, Lei XIN, Zhaoshen LI
2021, 37(1): 229-232. DOI: 10.3969/j.issn.1001-5256.2021.01.051
Abstract(1537) HTML (537) PDF (2040KB)(93)
Abstract:
Common bile duct stones (CBDSs) are a common biliary tract disease, and endoscopic therapy is the first-line treatment modality for this disease; however, some CBDSs are difficult to remove by conventional endoscopic techniques and are thus called difficult CBDSs. Therapies for difficult CBDSs include endoscopic papillary large balloon dilation, mechanical lithotripsy, choledochoscopy-assisted lithotripsy, and extracorporeal shockwave lithotripsy. This article reviews the advances in the above mentioned techniques for the treatment of difficult CBDSs, including indications, clinical effect, and adverse events.
Role of gut microbiota and its metabolites in severe acute pancreatitis-related acute respiratory distress syndrome
Yangyang XIONG, Dong WU, Jiaming QIAN
2021, 37(1): 233-236. DOI: 10.3969/j.issn.1001-5256.2021.01.052
Abstract(1399) HTML (563) PDF (2038KB)(93)
Abstract:
Acute respiratory distress syndrome (ARDS) is a common complication of severe acute pancreatitis (SAP) and a leading cause of early death in SAP patients, but its pathogenesis is still unclear. In recent years, the role of gut microbiota and its metabolites in regulating SAP-related ARDS has attracted more and more attention, and in-depth studies on the pathogenesis of "intestine-lung axis" may provide new ideas for the research and development of drugs for SAP-related ARDS. This article summarizes the recent research advances in gut microbiota and its metabolites in SAP-related ARDS.