中文English
ISSN 1001-5256 (Print)
ISSN 2097-3497 (Online)
CN 22-1108/R
Volume 37 Issue 1
Jan.  2021
Turn off MathJax
Article Contents

Protective effect of tanshinone I in a mouse model of hepatic ischemia-reperfusion injury

DOI: 10.3969/j.issn.1001-5256.2021.01.021
  • Received Date: 2020-07-23
  • Accepted Date: 2020-08-24
  • Published Date: 2021-01-20
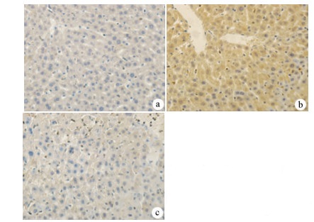
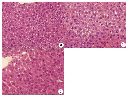
  •   Objective  To investigate the protective effect of tanshinone I (T-I) on hepatic ischemia-reperfusion injury (HIRI) in mice.  Methods  A total of 36 C57BL/6J mice were randomly divided into sham-operation group, ischemia-reperfusion (IR) group, IR+T-I (5 mg/kg) group, IR+T-I (10 mg/kg) group, IR+T-I (20 mg/kg) group, and IR+T-I (40 mg/kg) group, with 6 mice in each group. Each group was given intraperitoneal injection. The mice in the sham-operation group and the IR group were injected with an equal volume of the solvent olive oil; the mice in the IR+T-I groups were administered once a day for 7 consecutive days, a model of 70% HIRI was established at 2 hours after the last administration, and serum and liver samples were collected after 6 hours of reperfusion. Related kits were used to measure the serum level of alanine aminotransferase (ALT) and aspartate aminotransferase (AST) and the content of superoxide dismutase (SOD), malondialdehyde (MDA), caspase-3, and reduced glutathione (GSH) in liver tissue; HE staining was used to observe liver histopathology; the TUNEL method was used to measure the level of hepatocyte apoptosis; immunohistochemistry was used to measure the protein expression of caspase-3 and heme oxygenase-1 (HO-1). A one-way analysis of variance was used for comparison of continuous data between multiple groups, and the least significant difference t-test was used for further comparison between two groups.  Results  Compared with the IR group, the IR+T-I (20mg/kg) group had significant reductions in the serum levels of ALT (192.48±23.67 U/L vs 336.90±41.52 U/L, P < 0.01) and AST (123.19±9.16 U/L vs 206.90±18.81 U/L, P < 0.01), and thus 20 mg/kg was determined as the optimal concentration. Compared with the IR group, the IR+T-I (20 mg/kg) group had significant reductions in MDA (1.34±0.21 μmol/mg vs 3.48±0.95 μmol/mg, P < 0.05) and caspase-3 (0.69±0.97 μmol/mg vs 1.04±0.35 μmol/mg, P < 0.05) and significant increases in SOD (274.47±30.53 U/mg vs 160.29±27.37 U/mg, P < 0.05) and GSH (2.12±0.27 μmol/mg vs 1.03±0.42 μmol/mg, P < 0.05). HE staining showed that the IR group had disordered structure of hepatic lobules and focal or extensive degeneration and necrosis of hepatocytes; compared with the IR group, the IR+T-I (20 mg/kg) group had a reduction in the area of hepatocyte necrosis and a basically complete structure of the liver. Immunohistochemistry showed that compared with the IR group, the IR+T-I (20 mg/kg) group had significant reductions in the number of apoptotic hepatocytes and the protein expression of caspase-3 and a significant increase in the protein expression of HO-1.  Conclusion  T-I exerts a protective effect against HIRI in mice by inhibiting liver oxidative stress response and hepatocyte apoptosis.

     

  • loading
  • [1]
    YANG L, WANG W, WANG X, et al. Creg in hepatocytes ameliorates liver ischemia/reper fusion injury in a TAK1-dependent manner in mice[J]. Hepatology, 2019, 69(1): 294-313. DOI: 10.1002/hep.30203
    [2]
    ZHANG S, JIANG S, WANG H, et al. SIRT6 protects against hepatic ischemia/reperfusion injury by inhibiting apoptosis and autophagy related cell death[J]. Free Radic Biol Med, 2018, 115: 18-30. DOI: 10.1016/j.freeradbiomed.2017.11.005
    [3]
    ZAKI AM, EL-TANBOULY DM, ABDELSALAM RM, et al. Plumbagin ameliorates hepatic ischemia-reperfusion injury in rats: Role of high mobility group box 1 in inflammation, oxidative stress and apoptosis[J]. Biomed Pharmacother, 2018, 106: 785-793. DOI: 10.1016/j.biopha.2018.07.004
    [4]
    KATWAL G, BARAL D, FAN X, et al. SIRT3 a major player in attenuation of hepatic ischemia-reperfusion injury by reducing ROS via its downstream mediators: SOD2, CYP-D, and HIF-1 α[J]. Oxid Med Cell Longev, 2018, 2018: 2976957. http://downloads.hindawi.com/journals/omcl/2018/2976957.pdf
    [5]
    HAN JY, FAN JY, HORIE Y, et al. Ameliorating effects of compounds derived from Salvia miltiorrhiza root extract on microcirculatory disturbance and target organ injury by ischemia and reperfusion[J]. Pharmacol Ther, 2008, 117(2): 280-295. DOI: 10.1016/j.pharmthera.2007.09.008
    [6]
    ZHOU L, ZUO Z, CHOW MS. Danshen: An overview of its chemistry, pharmacology, pharmacokinetics, and clinical use[J]. J Clin Pharmacol, 2005, 45(12): 1345-1359. DOI: 10.1177/0091270005282630
    [7]
    PARK JH, OK P, CHO JH, et al. Anti-inflammatory effect of tanshinone I in neuroprotection against cerebral ischemia-reperfusion injury in the gerbil hippocampus[J]. Neurochem Res, 2014, 39(7): 1300-1312. DOI: 10.1007/s11064-014-1312-4
    [8]
    WANG S, JING H, YANG H, et al. Tanshinone I selectively suppresses pro-inflammatory genes expression in activated microglia and prevents nigrostriatal dopaminergic neurodegeneration in a mouse model of Parkinson's disease[J]. J Ethnopharmacol, 2015, 164: 247-255. DOI: 10.1016/j.jep.2015.01.042
    [9]
    JING X, WEI X, REN M, et al. Neuroprotective effects of Tanshinone I against 6-OHDA- induced oxidative stress in cellular and mouse model of parkinson's disease through upregulating Nrf2[J]. Neurochem Res, 2016, 41(4): 779-786. DOI: 10.1007/s11064-015-1751-6
    [10]
    TAO S, ZHENG Y, LAU A, et al. Tanshinone I activates the Nrf2-dependent antioxidant response and protects against As(Ⅲ)-induced lung inflammation in vitro and in vivo[J]. Antioxid Redox Signal, 2013, 19(14): 1647-1661. DOI: 10.1089/ars.2012.5117
    [11]
    GAO L, QIAN BL, CHEN H, et al. Hic-5 deficiency attenuates hepatic ischemia reperfusion injury through TLR4/NF-κB signaling pathways[J]. Life Sci, 2020, 249: 117517. DOI: 10.1016/j.lfs.2020.117517
    [12]
    KONISHI T, LENTSCH AB. Hepatic ischemia/reperfusion: Mechanisms of tissue injury, repair, and regeneration[J]. Gene Expr, 2017, 17(4): 277-287. DOI: 10.3727/105221617X15042750874156
    [13]
    LI J, LI RJ, LV GY, et al. The mechanisms and strategies to protect from hepatic ischemia-reperfusion injury[J]. Eur Rev Med Pharmacol Sci, 2015, 19(11): 2036-2047. http://www.ncbi.nlm.nih.gov/pubmed/26125267
    [14]
    LIANG R, NICKKHOLGH A, KERN M, et al. Green tea extract ameliorates reperfusion injury to rat livers after warm ischemia in a dose-dependent manner[J]. Mol Nutr Food Res, 2011, 55(6): 855-863. DOI: 10.1002/mnfr.201000643
    [15]
    HASSAN-KHABBAR S, COTTART CH, WENDUM D, et al. Postischemic treatment by trans-resveratrol in rat liver ischemia-reperfusion: A possible strategy in liver surgery[J]. Liver Transpl, 2008, 14(4): 451-459. DOI: 10.1002/lt.21405
    [16]
    CHENG F, LI Y, FENG L, et al. Effects of tetrandrine on ischemia/reperfusion injury in mouse liver[J]. Transplant Proc, 2008, 40(7): 2163-2166. DOI: 10.1016/j.transproceed.2008.07.082
    [17]
    GAO WQ, QIU XF, LI K, et al. Protective effect of Tanshinone I against renal ischemia /reperfusion injury[J]. J Southeast Univ(Med Sci Edi), 2018, 37(3): 372-379. (in Chinese) DOI: 10.3969/j.issn.1671-6264.2018.03.002

    高文强, 邱雪峰, 李凯, 等. 丹参酮Ⅰ在肾脏缺血再灌注损伤中的保护作用研究[J]. 东南大学学报(医学版), 2018, 37(3): 372-379. DOI: 10.3969/j.issn.1671-6264.2018.03.002
    [18]
    LI X, WU Y, ZHANG W, et al. Pre-conditioning with tanshinone ⅡA attenuates the ischemia/reperfusion injury caused by liver grafts via regulation of HMGB1 in rat Kupffer cells[J]. Biomed Pharmacother, 2017, 89: 1392-1400. DOI: 10.1016/j.biopha.2017.03.022
    [19]
    QI YY, XIAO L, ZHANG LD, et al. Tanshinone ⅡA pretreatment attenuates hepatic ischemia-reperfusion[J]. Front Biosci (Elite Ed), 2012, 4: 1303-1313.
    [20]
    WANG QQ, ZHAO X, CHEN YC, et al. Research advances in mechanisms and intervention of hepatic ischemia-reperfusion injury[J]. J Clin Hepatol, 2016, 32(6): 1225-1229. (in Chinese) DOI: 10.3969/j.issn.1001-5256.2016.06.049

    王清卿, 赵鑫, 陈玉超, 等. 肝脏缺血再灌注损伤机制及干预的研究进展[J]. 临床肝胆病杂志, 2016, 32(6): 1225-1229. DOI: 10.3969/j.issn.1001-5256.2016.06.049
    [21]
    WANG JY, LI SW, GONG JP, et al. Role of silent information regulator 1 in hepatic ischemia-reperfusion injury[J]. J Clin Hepatol, 2019, 35(6): 1388-1391. (in Chinese) DOI: 10.3969/j.issn.1001-5256.2019.06.047

    王敬元, 李生伟, 龚建平, 等. 沉默信息调节因子1在肝脏缺血再灌注损伤中的作用[J]. 临床肝胆病杂志, 2019, 35(6):1388-1391. DOI: 10.3969/j.issn.1001-5256.2019.06.047
    [22]
    ZHANG H, FORMAN HJ. Glutathione synthesis and its role in redox signaling[J]. Semin Cell Dev Biol, 2012, 23(7): 722-728. DOI: 10.1016/j.semcdb.2012.03.017
    [23]
    LU SC. Glutathione synthesis[J]. Biochim Biophys Acta, 2013, 1830(5): 3143-3153. DOI: 10.1016/j.bbagen.2012.09.008
    [24]
    HUANG TT, ZOU Y, CORNIOLA R. Oxidative stress and adult neurogenesis-effects of radiation and superoxide dismutase deficiency[J]. Semin Cell Dev Biol, 2012, 23(7): 738-744. DOI: 10.1016/j.semcdb.2012.04.003
    [25]
    SIEMS W, QUAST S, CARLUCCIO F, et al. Oxidative stress in chronic renal failure as a cardiovascular risk factor[J]. Clin Nephrol, 2002, 58(Suppl 1): s12-s19. http://europepmc.org/abstract/MED/12227720
    [26]
    ATEF Y, EL-FAYOUMI HM, ABDEL-MOTTALEB Y, et al. Quercetin and tin protoporphyrin attenuate hepatic ischemia reperfusion injury: Role of HO-1[J]. Naunyn Schmiedebergs Arch Pharmacol, 2017, 390(9): 871-881. DOI: 10.1007/s00210-017-1389-9
    [27]
    CHENG Y, RONG J. Therapeutic potential of heme oxygenase-1/carbon monoxide system against ischemia-reperfusion injury[J]. Curr Pharm Des, 2017, 23(26): 3884-3898. http://www.ncbi.nlm.nih.gov/pubmed/28412905
    [28]
    LIU X, LIU J. Tanshinone I induces cell apoptosis by reactive oxygen species-mediated endoplasmic reticulum stress and by suppressing p53/DRAM-mediated autophagy in human hepatocellular carcinoma[J]. Artif Cells Nanomed Biotechnol, 2020, 48(1): 488-497. DOI: 10.1080/21691401.2019.1709862
    [29]
    ESTOLANO-COBIÁN A, ALONSO MM, DÍAZ-RUBIO L, et al. Tanshinones and their derivatives: Heterocyclic ring-fused diterpene of biological interest[J]. Mini Rev Med Chem, 2020.[Online ahead of print]
  • 加载中

Catalog

    通讯作者: 陈斌, bchen63@163.com
    • 1. 

      沈阳化工大学材料科学与工程学院 沈阳 110142

    1. 本站搜索
    2. 百度学术搜索
    3. 万方数据库搜索
    4. CNKI搜索

    Figures(4)  / Tables(2)

    Article Metrics

    Article views (1217) PDF downloads(66) Cited by()
    Proportional views
    Related

    /

    DownLoad:  Full-Size Img  PowerPoint
    Return
    Return