中文English
ISSN 1001-5256 (Print)
ISSN 2097-3497 (Online)
CN 22-1108/R
2021 No.2
Theme Issue: Advances in liver transplantation for liver cancer
Executive Chief Editor: Zhu Jiye 
Department of Hepatobilliary Surgery, Peking University People's Hospital

Display Method:
Editorial
Liver transplantation for liver cancer in the era of immunotherapy
Zhao LI, Jiye ZHU
2021, 37(2): 249-252. DOI: 10.3969/j.issn.1001-5256.2021.02.001
Abstract(1427) HTML (780) PDF (1921KB)(183)
Abstract:

Most patients with liver cancer in China cannot get radical surgical treatment at the time of diagnosis, and the breakthrough of immunotherapy for liver cancer in recent years has brought new hope to the patients with advanced liver cancer. In the field of liver transplantation for liver cancer, immunotherapy has attracted much attention because of its dual role in tumor immunity and transplantation immunity. There are also innovative applications of immunotherapy in preoperative down-staging treatment and the treatment of tumor recurrence after transplantation. In the era of immunotherapy, how to apply the thinking of transplant oncology to benefit liver cancer patients undergoing liver transplantation is a brand-new topic, and this requires multidisciplinary collaboration in clinical practice to explore the best treatment strategies for liver cancer patients undergoing liver transplantation and finally improve the prognosis of patients with advanced liver cancer.

Discussions by experts
Transplant oncology creates a new era of liver transplantation for the treatment of liver cancer
Chengzuo HAN, Qiang WEI, Xiao XU
2021, 37(2): 253-256. DOI: 10.3969/j.issn.1001-5256.2021.02.002
Abstract(1304) HTML (249) PDF (1848KB)(109)
Abstract:
In recent years, the integration of surgery, oncology, immunology, pharmacology, and imaging has gradually formed the new discipline of transplant oncology. With the development of transplant oncology, liver transplantation plays an increasingly important role in the treatment of hepatobiliary and pancreatic malignant tumors. This article reviews the evolution of transplant oncology and summarizes its characteristics, and particularly elaborates on the important role of transplant oncology in the precise treatment of liver cancer, especially the selection of recipients and expansion of the source of donor liver. It is highlighted that the prevention and treatment of tumor recurrence after liver transplantation for liver cancer and exploration of related mechanisms are still the major research directions in transplant oncology.
Advances in conversion therapy strategies for liver transplantation for liver cancer
Qian LU, Xuan TONG, Rui TANG
2021, 37(2): 257-259. DOI: 10.3969/j.issn.1001-5256.2021.02.003
Abstract(1886) HTML (620) PDF (1901KB)(145)
Abstract:
Liver transplantation can completely remove the tumor and the diseased liver at the same time and is the best choice for patients with liver cancer and liver cirrhosis. With the advances in multimodality therapy for liver cancer in recent years, the concept of conversion therapy has been introduced into the fields of surgical treatment of liver cancer and liver transplantation, and successful conversion therapy is expected to help ineligible liver cancer patients to meet the criteria for liver transplantation and thus improve their prognosis. This article briefly introduces the advances in conversion therapy for liver transplantation for liver cancer.
Indications for liver transplantation in children with hepatic malignancies
Haiming ZHANG, Zhijun ZHU
2021, 37(2): 260-262. DOI: 10.3969/j.issn.1001-5256.2021.02.004
Abstract(884) HTML (289) PDF (1836KB)(74)
Abstract:
There are significant differences in origin and development between pediatric liver malignancies and adult liver malignancies, and even for the same type of liver cancer, there are still differences in its development, progression, therapies, and treatment outcome between children and adults. The histological manifestation and anatomical location of pediatric liver malignancies can reflect the characteristics of invasion and metastasis, the difficulty in surgical treatment, and the sensitivity of drug therapy. Therefore, treatment modalities should be selected based on these characteristics. Pediatric liver malignancies are more sensitive to adjuvant therapy such as chemotherapy, and the combination with adjuvant therapies, such as chemotherapy, before or after liver transplantation may achieve satisfactory results and thus expand the indications for liver transplantation. Among pediatric liver malignancies, hepatoblastoma, hepatocellular carcinoma, and undifferentiated embryonal sarcoma is more common and can be treated by liver transplantation with satisfactory prognosis. Liver transplantation should be considered for children with malignant liver tumors confined to the liver and poor response to liver resection.
Application of immunosuppressants after liver transplantation for hepatocellular carcinoma
Yang YANG, Yinan DENG
2021, 37(2): 263-266. DOI: 10.3969/j.issn.1001-5256.2021.02.005
Abstract(1460) HTML (338) PDF (1848KB)(103)
Abstract:
Liver transplantation has become an important method for radical treatment of hepatocellular carcinoma (HCC), but postoperative recurrence and metastasis severely limit the efficacy of liver transplantation for HCC. In recent years, scholars in China and globally have conducted a series of studies on the association of the application of immunosuppressants after liver transplantation with the recurrence and metastasis of HCC. This article briefly introduces the strategies and suggestions for the clinical application of immunosuppressants after liver transplantation for HCC, in order to provide guidance for clinical practice.
Advances in the prevention and treatment of hepatocellular carcinoma recurrence after liver transplantation
Zhaobo LIU, Guangming LI
2021, 37(2): 267-271. DOI: 10.3969/j.issn.1001-5256.2021.02.006
Abstract(1810) HTML (962) PDF (1864KB)(147)
Abstract:
Liver transplantation is an effective radical treatment method for patients with hepatocellular carcinoma (HCC), but HCC recurrence after liver transplantation seriously affects the long-term survival of patients receiving transplantation. Active preventive measures, adjustment of immunosuppressant, early identification of HCC recurrence, and development of comprehensive intervention measures after recurrence can help to improve the clinical outcome and long-term survival of HCC patients receiving liver transplantation. In order to further improve the prognosis of patients receiving liver transplantation, this article summarizes the latest research advances in the prevention and treatment of HCC recurrence after liver transplantation from the aspects of recurrence prevention and treatment after recurrence.
Academic contention
Should patients in the immune tolerance stage of chronic hepatitis B virus infection be treated?
Hui ZHUANG
2021, 37(2): 272-277. DOI: 10.3969/j.issn.1001-5256.2021.02.007
Abstract(1750) HTML (471) PDF (2175KB)(285)
Abstract:
Major international guidelines have not yet reached a consensus on the definition of the immune tolerance stage of chronic hepatitis B virus infection; however, almost all guidelines do not recommend starting treatment for patients in the immune tolerance stage of chronic hepatitis B. This article discusses the latest evidence for the treatment of such patients to prevent liver cirrhosis and hepatocellular carcinoma.
Guidelines
Chinese expert consensus on multidisciplinary treatment of liver cancer
Chinese Society of Liver Cancer, Chinese Anti-Cancer Association
2021, 37(2): 278-285. DOI: 10.3969/j.issn.1001-5256.2021.02.008
Abstract(3314) HTML (853) PDF (2013KB)(726)
Abstract:
Guideline for stratified screening and surveillance of primary liver cancer (2020 edition)
Professional Committee for Prevention and Control of Hepatobiliary and Pancreatic Diseases of Chinese Preventive Medicine Association, Professional Committee for Hepatology, Chinese Research Hospital Association, Chinese Society of Hepatology, Chinese Medical Association, Prevention of Infection Related Cancer (PIRCA) Group, Specialist Committee of Cancer Prevention and Control of Chinese Preventive Medicine Association
2021, 37(2): 286-295. DOI: 10.3969/j.issn.1001-5256.2021.02.009
Abstract(3362) HTML (984) PDF (2056KB)(821)
Abstract:
The age-adjusted incidence of primary liver cancer (PLC) has been declining in China. However, PLC cases in China account for 55% globally. The disease burden is still high and the 5-year survival rate was not improved significantly in the past two decades. This guideline outlines PLC screening in the risk populations, both in hospital and community. Liver cirrhosis and chronic hepatitis B are the main causes of PLC in China. For better PLC surveillance and screening in clinical practices, it is recommended to stratify population at the risk into 4 risk levels, namely, low-risk, intermediate-risk, high-risk, and extremely high-risk. The lifelong surveillance is suggested for those at the risk of PLC. The intervals and tools for surveillance and screening are recommended based on the risk levels. Abdominal ultrasonography combined with serum alpha-fetoprotein examination (routine surveillance) every 6 months is recommended for those at a high risk of PLC. Routine surveillance every 3 months and enhanced CT/MRI examination every 6-12 months are recommended for those at an extremely high risk of PLC. The surveillance interval can be extended every 1 year or longer for those at a low-risk or at an intermediate-risk of PLC, because their annual incidence of PLC is very low. The cost-effectiveness of these recommendations remains to be evaluated.
Consensus on radiation therapy for primary liver cancer (2020)
Precise Radiotherapy Study Group, Chinese Society of Liver Cancer, Chinese Medical Doctor Association, Liver Cancer Study Group, Committee of Radiation Oncology, Chinese Research Hospital Association, Committee of Tumor Radiobiology and Multimodal Imaging and Therapy, Chinese Research Hospital Association, Liver Cancer Study Group, Precise Radiotherapy Branch, Chinese Society of Biomedical Engineering
2021, 37(2): 296-301. DOI: 10.3969/j.issn.1001-5256.2021.02.010
Abstract(1011) HTML (429) PDF (1932KB)(172)
Abstract:
An excerpt of BSG/BASL: Guidelines on the management of ascites in cirrhosis
Fangbo GAO, Zhaohui BAI, Su LIN, Xingshun QI
2021, 37(2): 302-303. DOI: 10.3969/j.issn.1001-5256.2021.02.011
Abstract(1096) HTML (507) PDF (1881KB)(269)
Abstract:
Original articles_Viral hepatitis
Value of interleukin-32 combined with Model for End-Stage Liver Disease in predicting the prognosis of patients with hepatitis B virus-related acute-on-chronic liver failure
Jing GU, Yan WANG, Wei SUN, Weifeng ZHAO, Jianhe GAN
2021, 37(2): 304-308. DOI: 10.3969/j.issn.1001-5256.2021.02.012
Abstract(1069) HTML (199) PDF (2025KB)(79)
Abstract:
  Objective  To investigate the value of interleukin-32 (IL-32) combined with Model for End-Stage Liver Disease (MELD) in predicting the prognosis of patients with hepatitis B virus (HBV)-related acute-on-chronic liver failure (HBV-ACLF).  Methods  A total of 92 patients with HBV-ACLF who were hospitalized in The First Affiliated Hospital of Soochow University from January 2015 to December 2018 were enrolled, and according to the follow-up results at 3 months after diagnosis, the patients were divided into survival group with 40 patients and death group with 52 patients. ELISA was used to measure the serum level of IL-32. Clinical data of the patients were collected, including age, sex, underlying diseases, major complications, white blood cell count (WBC), platelet count (PLT), hematocrit (HCT), total bilirubin (TBil), alanine aminotransferase (ALT), aspartate aminotransferase (AST), albumin (Alb), serum creatinine (SCr), prothrombin time (PT), international normalized ratio (INR), and HBV DNA. The t-test was used for comparison of normally distributed continuous data between two groups, and the Mann-Whitney U test was used for comparison of non-normally distributed continuous data between two groups; the chi-square test was used for comparison of categorical data between two groups; a Pearson correlation analysis was performed for IL-32 and other variables; a binary logistic regression analysis was performed to investigate the independent risk factors for the prognosis of patients with HBV-ACLF. The receiver operating characteristic(ROC) curve(AUC) was used to evaluate the value of IL-32 combined with MELD score in predicting the prognosis of patients with HBV-ACLF. The normal Z test was used for comparison of AUC.  Results  There were significant differences between the two groups in HCT, PLT, TBil, SCr, PT, INR, HBV DNA, IL-32, and MELD score (all P < 0.05). IL-32 was positively correlated with TBil (r=0.952, P < 0.001) and MELD score (r=0.850, P < 0.001). IL-32 (odds ratio [OR]=1.137, 95% confidence interval [CI]: 1.040-1.243, P=0.005) and MELD score (OR=1.055, 95% CI: 1.001-1.109, P=0.025) were independent risk factors for the death of HBV-ACLF patients. IL-32 combined with MELD score had the highest value in predicting the prognosis of patients with HBV-ACLF (AUC=0.992, 95% CI: 0.981-1.000), with a significantly higher AUC than IL-32 (0.992 vs 0.984, Z=2.265, P < 0.05) and MELD score (0.992 vs 0.877, Z=3.182, P < 0.05).  Conclusion  Both IL-32 and MELD score can predict the prognosis of patients with HBV-ACLF, and the combination of these two indicators has a better predictive value.
Original articles_Liver fibrosis and liver cirrhosis
Clinical effect of Fuzheng Huayu tablets combined with entecavir in the treatment of chronic hepatitis B liver fibrosis
Hongtu GU, Honglian GUI, Lieming XU, Qing GUO, Qing XIE, Changqing ZHAO
2021, 37(2): 309-313. DOI: 10.3969/j.issn.1001-5256.2021.02.013
Abstract(2686) HTML (1705) PDF (1871KB)(130)
Abstract:
  Objective  To investigate the efficacy and safety of Fuzheng Huayu tablets (FZHY) combined with entecavir (ETV) in the treatment of chronic hepatitis B (CHB) liver fibrosis.  Methods  A total of 52 patients with CHB liver fibrosis with an Ishak stage of ≥F3 who were treated in Ruijin Hospital, Shanghai Jiao Tong University School of Medicine and Shuguang Hospital Affiliated to Shanghai University of Traditional Chinese Medicine from April 2011 to January 2013 were enrolled and divided into FZHY combined with ETV group (combination group) and placebo combined with ETV group (control group), with 26 patients in each group, and the course of treatment was 48 weeks for both groups. Liver biopsy was performed before and after these treatment; clinical outcome was determined based on the reversal rate of Ishak stage for liver fibrosis and the improvement rate of histological activity index (HAI) for inflammation grade, and safety was evaluated based on electrocardiographic findings. Three datasets (full analysis set, per-protocol set, and safety dataset) were identified for analysis; the t-test or the Wilcoxon test was used for comparison of continuous data between two groups, and the CMH chi-square test, the chi-square test, or the Fisher's exact test was used for comparison of categorical data between groups.  Results  Of all 52 patients, 46 underwent the two liver biopsies before and after treatment, with 22 in the combination group and 24 in the control group. At week 48 of treatment, there was a significant difference in the proportion of patients with Ishak stage reduced by ≥1 stage between the combination group and the control group (81.8% vs 54.2%, χ2=5.297, P=0.021). There was also a significant difference in the improvement rate of HAI grade between the combination group and the control group were (59.1% vs 25.0%, χ2=6.822, P=0.009). There were no significant differences between the two groups in the incidence rates of adverse events and serious adverse events, the safety analysis of vital signs, and laboratory safety indicators (all P > 0.05).  Conclusion  FZHY combined with ETV has significant advantages over ETV alone in improving liver fibrosis and inflammation, and antiviral therapy combined with anti-fibrosis therapy can bring better hepatic histological improvement for CHB patients. FZHY combined with ETV has good safety in the treatment of patients with CHB liver fibrosis.
Virological response to direct-acting antiviral therapy and changes in liver fibrosis indices in chronic hepatitis C patients with different alanine aminotransferase and aspartate aminotransferase levels in a real-world setting
Hongyu CHEN, Qian KANG, Hao LUO, Ning TAN, Jiali PAN, Ran CHENG, Yifan HAN, Yuqing YANG, Dan LIU, Hongli XI, Min YU, Xiaoyuan XU
2021, 37(2): 314-317. DOI: 10.3969/j.issn.1001-5256.2021.02.014
Abstract(1278) HTML (299) PDF (1858KB)(80)
Abstract:
  Objective  To investigate the virologic response to direct-acting antiviral (DAA) therapy and the changes in liver stiffness measurement (LSM), fibrosis-4 (FIB-4), and aspartate aminotransferase-to-platelet ratio index (APRI) after treatment in chronic hepatitis C (CHC) patients with different alanine aminotransferase (ALT) and aspartate aminotransferase (AST) levels at baseline in a real-world setting.  Methods  CHC patients who attended the outpatient service of Department of Infectious Diseases, Peking University First Hospital, from December 2017 to May 2020 were enrolled, and virologic response rate was calculated. The Wilcoxon rank-sum test was used to compare LSM, FIB-4, and APRI between groups at baseline and at 12 weeks after treatment, and the chi-square test was used for comparison of categorical data between groups.  Results  A total of 48 CHC patients were enrolled, among whom 33.3% had abnormal ALT or AST at baseline. Among these patients, the virologic response rate was 85.4% at week 4 of treatment and 100% at the end of treatment and at 12, 24, and 48 weeks after treatment, and there were significant changes from baseline to 12 weeks after treatment in LSM [6.1 (5.1-12.4) kPa vs 8.6 (5.7-16.9) kPa, Z=-1.676, P=0.043] and APRI [0.24(0.19-0.48) vs 0.42(0.23-1.17), Z=-2.050, P=0.027]. From baseline to 12 weeks after treatment, the patients with abnormal ALT or AST at baseline had significant changes in LSM [8.9(5.6-13.1) kPa vs 14.4(8.0-28.2) kPa, Z=-1.679, P=0.047] and APRI [0.44(0.25-0.50) vs 1.29(0.99-2.09), Z=-3.427, P=0.001].  Conclusion  CHC patients achieve a high sustained virologic response rate after DAA therapy, and the patients with abnormal ALT or AST at baseline tend to have more significant improvements in LSM and APRI than those without such abnormality.
Efficacy and safety of rifaximin in the prevention of spontaneous bacterial peritonitis: A Meta-analysis
Shuping CHENG, Ming LI, Qingyu ZHANG, Shiyun TAN
2021, 37(2): 318-325. DOI: 10.3969/j.issn.1001-5256.2021.02.015
Abstract(1250) HTML (654) PDF (2830KB)(136)
Abstract:
  Objective  To evaluate the efficacy and safety of rifaximin in the prevention of spontaneous bacterial peritonitis (SBP).  Methods  CNKI, Wanfang Data, CBM, PubMed, Embase, and Cochrane Library were searched for randomized controlled trials (RCTs) and cohort studies on rifaximin in the prevention of SBP published up to July 5, 2020. The articles were screened according to the inclusion and exclusion criteria, and data extraction and quality assessment were performed. RevMan 5.3 software was used to conduct the meta-analysis.  Results  A total of 13 studies (with 2207 patients in total) were included, among which there were 6 RCTs and 7 cohort studies. The results of the meta-analysis showed that compared with the non-prevention group, the rifaximin group had significantly lower incidence rate of SBP (odds ratio [OR]=0.36, 95% confidence interval [CI]: 0.14-0.96, P=0.04) and mortality rate (OR=0.59, 95% CI: 0.37-0.95, P=0.03); compared with the norfloxacin group, the rifaximin group had significantly lower incidence rate of SBP (OR=0.39, 95% CI: 0.25-0.62, P < 0.001), mortality rate (OR=0.55, 95% CI: 0.34-0.92, P=0.02), and adverse reactions (OR=0.36, 95% CI: 0.22-0.59, P < 0.001). The subgroup analysis based on the type of prevention showed that there was no significant difference in primary prevention between the two groups (OR=0.56, 95% CI: 0.23-1.35, P=0.20), and in secondary prevention, the rifaximin group had a significantly lower incidence rate of SBP (OR=0.18, 95% CI: 0.08-0.43, P < 0.001). In addition, it was also found that rifaximin significantly reduced the incidence rate of hepatorenal syndrome (OR=0.34, 95% CI: 0.15-0.77, P=0.01) and hepatic encephalopathy (OR=0.55, 95% CI: 0.32-0.95, P=0.03).  Conclusion  Rifaximin is safe and effective for the primary and secondary prevention of SBP. Rifaximin is superior to norfloxacin in secondary prevention, which still needs to be confirmed by high-quality multicenter RCTs.
Changes in gut microbiota after transjugular intrahepatic portosystemic shunt in cirrhotic patients with mild hepatic encephalopathy in different prognosis groups
Menghao LI, Kai LI, Shihao TANG, Zhengyu WANG, Wengang GUO, Zhanxin YIN, Guohong HAN
2021, 37(2): 326-330. DOI: 10.3969/j.issn.1001-5256.2021.02.016
Abstract(1218) HTML (270) PDF (2149KB)(87)
Abstract:
  Objective  To investigate the changes in gut microbiota after transjugular intrahepatic portosystemic shunt (TIPS) in cirrhotic patients with mild hepatic encephalopathy (MHE) in different prognosis groups.  Methods  A total of 28 MHE cirrhotic patients who were hospitalized and underwent TIPS in Xijing Hospital of Digestive Diseases from July 2016 to July 2017 were enrolled. Fecal samples and related clinical data were collected on days 1-3 before surgery and at 1 month after surgery. According to the prognosis after surgery, the patients were divided into none-hepatic encephalopathy (HE) group with 8 patients, MHE group with 12 patients, and overt hepatic encephalopathy (OHE) group with 8 patients. Fecal samples were analyzed by 16S rRNA sequencing to obtain the relative abundance of gut microbiota, and SPSS and R packages were used to analyze the biodiversity, postoperative changes, and differences in such changes of gut microbiota at the genus level between groups. The chi-square test was used for comparison of categorical data between groups; the Kruskal-Wallis H test was used for comparison of continuous data between three groups; the Bonferroni method was used for multiple comparisons of multiple samples; the Wilcoxon signed-rank test was used for comparison before and after surgery within each group. For microbiome beta-diversity analyses, a principal coordinate analysis (PCoA) was performed based on Bray-Curtis distance matrix, and the Adonis method (PerMANOVA) was used for comparison between groups.  Results  PCoA based on Bray-Curtis distance matrix showed that only the MHE group had a significant change in beta diversity after surgery (F=2.71, P=0.049). After surgery, the non-HE group had significant increases in the abundance of the native flora Dialister, Coprococcus, Ruminococcaceae_uncultured, Flavonifractor, and Clostridium_sensu_stricto_1 (Z=2.521, 2.1, 2.1, 2.1, and 1.96, all P < 0.05); the MHE group had significant reductions in the abundance of the harmful flora Granulicatella(Z=2.521, P=0.012), Enterococcus(Z=2.51, P=0.012), Streptococcus(Z=2.432, P=0.015), and Rothia(Z=2.001, P=0.045) and significant increases in the abundance of Veillonella(Z=2.353, P=0.019) and Megasphaera(Z=1.955, P=0.05); the OHE group only had a significant increase in the abundance of Veillonella after surgery (Z=2.38, P=0.017). There was a significant difference in the change in gut microbiota (postoperative abundance/preoperative abundance) between the non-HE group, the MHE group, and the OHE group [2.00 (1.11-91.61) vs 1.21 (0.26-6.79) vs 0.09 (0.01-0.92), χ2=6.249, P=0.043].  Conclusion  There is a significant difference in the change in gut microbiota after TIPS between patients with different prognoses, and the increase in the abundance of native flora may have a certain influence on the remission of MHE.
Role of probiotics in primary prevention of esophagogastric variceal bleeding
Qun ZHANG, Shuaishuai NIU, Xianbo WANG
2021, 37(2): 331-335. DOI: 10.3969/j.issn.1001-5256.2021.02.017
Abstract(1167) HTML (335) PDF (1939KB)(81)
Abstract:
  Objective  To investigate the effect of probiotics on the risk of esophagogastric variceal bleeding (EVB) within 1 year in cirrhotic patients with gastroesophageal varices.  Methods  A retrospective analysis was performed for the clinical data of 692 cirrhotic patients with gastroesophageal varices who were hospitalized in Beijing Ditan Hospital, Capital Medical University, from February 2008 to February 2017 and were followed up for more than 1 year. Among these patients, 346 patients who received probiotics during the 1-year follow-up were enrolled as probiotics cohort (probiotics group), and then, by using the 1:1 propensity score method, 346 patients who did not receive probiotics treatment were enrolled as non-probiotics group after adjustment for Child-Pugh class, degree of varices, and red color sign. All patients were managed according to the primary prevention strategy recommended by related guidelines, and in addition, the patients in the probiotics group were given probiotic therapy. The incidence rate of EVB within 1 year was compared between the two groups. The t-test or the Mann-Whitney U test was used for comparison of continuous data between two groups, and the chi-square test was used for comparison of categorical data between two groups. Univariate and multivariate backward Cox regression analyses were used to screen out the influencing factors for EVB. The Kaplan-Meier analysis was used to investigate the cumulative incidence rate of EVB in both groups, and the log-rank test was used for comparison.  Results  Probiotic therapy was an independent protective factor against EVB in cirrhotic patients (adjusted hazard ratio=0.510, 95% confidence interval: 0.299-0.870, P=0.013). A total of 61 patients experienced EVB during the 1-year follow-up, with 23 patients in the probiotics group and 38 in the non-probiotics group, and the probiotics group had a significantly lower cumulative incidence rate of EVB within 1 year than the non-probiotics group (6.6% vs 11.0%, χ2=4.045, P=0.042). The probiotics group had a significantly longer median time from baseline to the occurrence of EVB than the non-probiotics group [137.0 (85.0-258.0) days vs 123.0(72.5-206.5) days, Z=-1.101, P=0.271].  Conclusion  Probiotics can effectively reduce the incidence rate of EVB within 1 year in cirrhotic patients with gastroesophageal varices, with a tendency to delay the occurrence of bleeding events.
Application of CRISPR/Cas9 lentiviral vector in construction of rat hepatic stellate cells with COX-2 gene knockout
Min PENG, Ting CAO, Xuefeng YANG, Shijie YI, Nian FU, Kebing ZHOU, Jianwu LONG
2021, 37(2): 336-342. DOI: 10.3969/j.issn.1001-5256.2021.02.018
Abstract(2072) HTML (399) PDF (6689KB)(111)
Abstract:
  Objective  To obtain HSC-T6 cells with stable expression of Cas9 protein and HSC-T6-COX-2-/- cells with COX-2 gene defect by transfecting HSC-T6 cells with CRISPR/Cas9 lentiviral vector, and to provide a good method for further functional research and new strategies for the clinical treatment of liver fibrosis.  Methods  The COX-2 gene-specific sgRNAs (COX-2-sgRNA-1, COX-2-sgRNA-2, COX-2-sgRNA-3) were designed, synthesized, and connected to the GV371 vector, and the recombinant plasmid and the packaging plasmid were transfected into 293T cells to form lentivirus particles; the fluorescence method was used to measure virus titer. The most appropriate amount of the virus was calculated based on MOI. Lenti-Cas9-puro was transfected into HSC-T6 cells, and HSC-T6-Cas9 cells were screened out by puromycin; Lenti-COX-2-sgRNA-EGFP was transfected into HSC-T6-Cas9 cells to obtain HSC-T6-COX-2-/- cells. Cruiser enzyme digestion and Western blot were used to verify gene knockout at the gene and protein levels. An analysis of variance was used for comparison of continuous data between multiple groups, and the least significant difference t-test was used for further comparison between two groups.  Results  Sequencing verified that the COX-2-sgRNA expression vector was constructed successfully. Recombinant expression plasmids and packaging plasmids were transfected into 293T cells to form lentivirus particles, and the fluorescence method showed a virus titer of > 1×108. HSC-T6 cells with stable expression of Cas9 protein and HSC-T6-COX-2-/- cells with COX-2 gene defect were successfully constructed. The HSC-T6-Cas9 group had significantly higher relative mRNA expression of LV-Cas9-Puro than the CON group (541.93±105.76 vs 1.00±0.02, t=12.995, P < 0.01). Cruiser enzyme digestion and Western blot showed that the CRISPR/Cas9 lentivirus expression vectors played a role in the target, among which COX-2-sgRNA-2 knockout had the most significant effect, and this group had a significant reduction in the protein expression level of COX-2 compared with the CON group and the NC group (both P < 0.05), suggesting that COX-2-sgRNA was active.  Conclusion  A CRISPR/Cas9 lentivirus vector is successfully constructed for COX-2 target gene, and HSC-T6-COX-2-/- cells with stable COX-2 gene knockout are obtained.
Original articles_Liver neoplasms
Three-year follow-up outcomes of hepatocellular carcinoma patients undergoing liver resection versus liver transplantation
Chunxia PING, Jing ZHANG, Wei ZHAO, Liang MA, Da FANG, Shichang CUI
2021, 37(2): 343-347. DOI: 10.3969/j.issn.1001-5256.2021.02.019
Abstract(1202) HTML (321) PDF (2202KB)(76)
Abstract:
  Objective  To investigate the three-year follow-up outcomes of hepatocellular carcinoma patients undergoing liver resection (LR) versus liver transplantation (LT).  Methods  A retrospective analysis was performed for 171 patients with hepatocellular carcinoma who underwent surgical treatment in Beijing YouAn Hospital, Capital Medical University, from March 2009 to March 2014, and according to the treatment method, they were divided into LR group(n=83) and LT group(n=88). Related clinical data were compared between the two groups. The chi-square test was used for comparison of categorical data between two groups; the Kaplan-Meier survival curve and the log-rank test were used for comparison of disease-free survival and overall survival between two groups, and the Cox proportional hazards model was used for the univariate and multivariate analyses of disease-free survival and overall survival.  Results  Compared with the LR group, the LT group had a significantly higher proportion of patients with single tumor [45.78% (38/83) vs 85.23% (75/88), χ2=29.649, P < 0.001], tumor size < 3 cm [15.66% (13/83) vs 67.05% (59/88), χ2=46.383, P < 0.001], or high Child-Pugh class [9.64% (8/83) vs 26.14% (23/88), χ2=7.833, P=0.005] and a significantly lower recurrence rate of tumor [48.19%(40/83) vs 32.95%(29/88), χ2=4.121, P=0.042]. There was a significant difference in disease-free survival rate between the LR group and the LT group (46.02% vs 80.71%, P=0.006); the LT group had a higher overall survival rate than the LR group (86.99% vs 76.44%, P=0.219). Both univariate and multivariate analyses showed that treatment method was an independent risk factor for disease-free survival (risk ratio [RR] =3.383, 95% confidence interval[CI]: 1.334-8.579;RR=0.239, 95%CI:0.093-0.612, both P < 0.05), but the prediction of overall survival by treatment method did not reach statistical significance(P=0.232).  Conclusion  LT is recommended for patients with early-stage hepatocellular carcinoma and can achieve a satisfactory three-year disease-free survival rate.
Effect of oncogene Yap1 silencing combined with tanshinone ⅡA on Huh-7 hepatoma cells
Yinghui HONG, Mingliang YE, Jie LUO, Chun WANG, Jialiang LIU, Chao REN, Siyu LAN, Qiu ZHAO, Ying CHANG
2021, 37(2): 348-353. DOI: 10.3969/j.issn.1001-5256.2021.02.020
Abstract(891) HTML (435) PDF (3256KB)(48)
Abstract:
  Objective  To investigate the effect of the Yap1 gene and tanshinone ⅡA on the proliferation, migration, and invasion abilities of Huh-7 hepatoma cells.  Methods  A total of 10 pairs of human hepatocellular carcinoma (HCC) samples and adjacent tissue samples were collected in Zhongnan Hospital of Wuhan University from June 1 to December 1, 2019. Quantitative real-time PCR and Western blotting were used to measure the expression of the Yap1 gene and phenotype-related molecules. MTT cell proliferation detection reagent was used to measure the inhibition rate of cell proliferation after the treatment with different concentrations of tanshinone ⅡA. Western blotting was used to measure the changes in the expression of apoptosis-and migration-related markers after different interventions. Flow cytometry and Transwell assay were used to measure apoptosis and cell migration and invasion abilities. The data of 375 cases of liver cancer and 50 cases of relatively normal liver tissue samples were downloaded from The Cancer Genome Atlas, including clinicopathological information. The t-test was used for comparison of continuous data between two groups, and the chi-square test was used for comparison of categorical data between two groups.  Results  In 8 of the 10 pairs of HCC samples and adjacent tissue samples, HCC samples had significantly higher expression of Yap1 than the adjacent tissue samples. Compared with the normal human liver epithelial cells L02, the Huh-7 and HCCL-M3 hepatoma cells had a significant increase in the expression of Yap1. The silencing efficiency of si-Yap1-3 transfection reached 87.004% at the protein level. MTT results showed that tanshinone ⅡA effectively inhibited the proliferation of Huh-7 cells, with a half inhibitory concentration of 8.683 μmol/L. After the cells were treated with si-Yap1-3 and tanshinone ⅡA, there was an increase in the expression of the downstream marker for proliferation and migration E-cadherin and a reduction in the expression of vimentin, and the results of Transwell assay showed that compared with the si-NC group, the tanshinone ⅡA+si-Yap1-3 group had significant reductions in the migration and invasion abilities of Huh-7 cells (migration: 43.19±2.88 vs 132.20±10.03, t=8.527, P=0.001; invasion: 53.95±4.20 vs 179.10±11.11, t=4.484, P=0.011). The group treated with si-Yap1-3 and tanshinone ⅡA had an increase in the expression of the apoptosis-related marker Bax and a reduction in the expression of Bcl-2, as well as a significantly higher early apoptosis rate than the si-NC group (25.98% vs 9.21%, χ2=4.078, P < 0.05).  Conclusion  Oncogene Yap1 silencing combined with tanshinone ⅡA can promote the apoptosis of Huh-7 hepatoma cells and inhibit their migration and invasion, which can provide certain guiding significance for clinical medication.
Effect of hypoxia-inducible factor-1α on stemness and epirubicin sensitivity of HepG2 hepatoma cells
Jinjin ZHAO, Haiguang ZHANG, Feifei CUI, Lei WANG, Qingjiang MO, Luyang JIAO
2021, 37(2): 354-357. DOI: 10.3969/j.issn.1001-5256.2021.02.021
Abstract(913) HTML (296) PDF (2169KB)(57)
Abstract:
  Objective  To investigate the effect of hypoxia-inducible factor-1α (HIF-1α) on the stemness and epirubicin sensitivity of hepatoma cells.  Methods  Hepatoma cells were selected for experiment. HepG2 hepatoma cells transfected with HIF-1α overexpression plasmid were selected as experimental group, and those transfected with pcDNA3.1 empty plasmid were selected as control group; HepG2 cells alone were selected as HepG2 group. Quantitative real-time PCR was used to measure the mRNA expression of HIF-1α; Western blot was used to measure the protein expression of HIF-1α; flow cytometry was used to measure the expression of CD133 on the surface of hepatoma cells. The three groups of cells were treated with epirubicin at different concentrations (0, 6.25, 12.5, 25, and 50 μmol/L) for 24 hours; MTT assay was used to measure cell viability, and flow cytometry was used to measure apoptosis after treatment with epirubicin (50 μmol/L). A one-way analysis of variance was used for comparison of continuous data between multiple groups, and the t-test was used for further comparison between two groups.  Results  Compared with the HepG2 group and the control group, the experimental group had a significant increase in the mRNA expression of HIF-1α (both P < 0.001), and Western blot showed high expression of HIF-1α in the experimental group. The percentage of CD133 cells was 0.040%±0.003% in the HepG2 group, 0.030%±0.010% in the control group, and 20.110%±0.600% in the experimental group, and the experimental group had a significantly higher positive rate of CD133+ than the HepG2 group and the control group (both P < 0.001). At an epirubicin concentration of 25 and 50 μmol/L, the HepG2 group and the control group had significantly inhibited cell viability and a significantly lower cell viability than the experimental group (both P < 0.05). After the treatment with 50 μmol/L epirubicin for 48 hours, the experimental group had a significantly lower cell apoptosis rate than the HepG2 group (67.9%±2.5% vs 93.6%±1.5%, P < 0.001) and the control group (67.9%±2.5% vs 93.0%±1.2%, P < 0.001).  Conclusion  HepG2 cells are successfully transfected with HIF-1α overexpression plasmid, and HIF-1α can increase the percentage of liver cancer stem cells and improve their resistance to epirubicin.
Differentially expressed mRNA involved in the resistance of liver cancer to anlotinib
Junmou GU, Libo WANG, Dejun ZENG, Qinwei LU, Kai DONG, Ruopeng LIANG, Weijie WANG, Rongtao ZHU, Yuling SUN
2021, 37(2): 358-363. DOI: 10.3969/j.issn.1001-5256.2021.02.022
Abstract(1158) HTML (360) PDF (3072KB)(54)
Abstract:
  Objective  To screen out the mRNAs involved in the resistance of hepatoma cells to anlotinib using ceRNA microarray.  Methods  High-dose shock combined with low-dose induction was used to culture hepatoma cells resistant to anlotinib, and CCK8 assay was used to verify the difference in the proliferation of drug-resistant hepatoma cells treated by anlotinib. The ceRNA microarray was used to screen out the differentially expressed genes between drug-resistant hepatoma cells and normal hepatoma cells, and real-time PCR was used to verify the differentially expressed genes detected by some microarrays. the independent samples t-test was used for comparison of continuous data between two groups, and the Kaplan-Meier method was used to analyze the overall survival of hepatoma cells samples, and the log-rank test was used to compare survival rates. Fisher's exact test was used for chip screening.  Results  There was a significant difference in gene expression between drug-resistant hepatoma cells and normal hepatoma cells, and 10 genes with the greatest difference were screened out for analysis by reducing the range. There were 4 genes associated with drug resistance and tumor growth, i.e., BIRC2, BIRC7, ABCC2, and MAPK8. There were significant reductions in the expression levels of BIRC2, ABCC2, and MAPK8 (P=0.001 4, 0.001 2, and 0.011 8), and there was a significant increase in the expression of BIRC7 (P < 0.001). The results of real-time PCR were consistent with those of microarray (t=10.74, 32.65, 18.34, and 2.80; P=0.000 4, 0.000 1, 0.000 1, and 0.044 8). The high expression of BIRC7 and the low expression of MAPK8 were associated with the significant reduction in survival time (P=0.022 0 and 0.005 6).  Conclusion  BIRC2, BIRC7, ABCC2, and MAPK8 are differentially expressed between anlotinib-resistant hepatoma cells and normal hepatoma cells and may be involved in the resistance of hepatoma cells to anlotinib.
Role of differential expression and regulatory mechanism of miR-152-3p target proteins in the recurrence of hepatocellular carcinoma
Chenxia LIU, Kai CHANG, Wanlin NA, Yanyan WANG, Dong MOU, Hua LI, Zhongyong JIANG, Yuan LIU, Jie XIONG
2021, 37(2): 364-369. DOI: 10.3969/j.issn.1001-5256.2021.02.023
Abstract(1130) HTML (357) PDF (4086KB)(57)
Abstract:
  Objective  To investigate the difference in protein expression between hepatocellular carcinoma (HCC) patients with recurrence and those with good prognosis, the differential expression and regulatory mechanism of miR-152-3p target proteins, and the role of miR-152-3p in the recurrence of HCC.  Methods  TMT-labeled proteomic sequencing and RT-PCR were used to measure the expression of proteins and the expression of miR-152-3p in the HCC tissue of six patients with recurrence at 2 years after HCC resection and six patients with good prognosis at 5 years. Six databases were used to analyze the target genes of miR-152-3p, and Gene Ontology, DAVID, and REACTOME databases were used to perform target gene screening, enrichment annotation, and signal transduction pathway enrichment analysis. Gene mutation frequency and survival curve analysis were performed for the target genes of miR-152-3p to verify the role of miR-152-3p target genes in patients with HCC recurrence. The independent samples t-test was used for comparison of continuous data between two groups, and a Kaplan-Meier analysis was performed to investigate the survival rates of liver-related genes.  Results  Compared with the patients with HCC recurrence, the patients with good prognosis after HCC resection had a significantly higher transcriptional expression level of miR-152-3p in HCC tissue (P < 0.05). The results of protein sequencing showed that there were 365 differentially expressed proteins in HCC tissue between the patients with good prognosis and the patients with recurrence, and the analysis of HCC recurrence databases showed that 17 proteins were regulated by miR-152-3p. Further analysis of the signaling pathways showed that the function of the 17 target genes regulated by miR-152-3p was enriched in the translation and regulation of mitochondria and ribosome, and multiple enrichment revealed that six target genes were closely associated with mitochondrial respiratory chain complex, i.e., AKAP1, FOXRED1, MRPL28, MRPL50, SHC1, and STAU1. Gene mutation frequency and survival curve analysis showed that the loss or weakening of the function of mitochondrial respiratory chain-related target proteins seriously affected the prognosis and survival rate of patients.  Conclusion  There is a significant difference in the expression of miR-152-3p in HCC tissue between patients with good prognosis and those with recurrence after HCC resection, and miR-152-3p may lead to the recurrence of HCC by regulating the target genes AKAP1, FOXRED1, MRPL28, MRPL50, SHC1, and STAU1, acting on the mitochondrial respiratory chain, and affecting the oxidative respiratory function of cells.
Original articles_Other liver diseases
Evaluation and influencing factors of the short-term prognosis of severe alcoholic hepatitis with different underlying liver diseases
Ping ZHU, Heping ZHAO, Tao HAN, Qing YE, Tinghong LI, Huiling XIANG
2021, 37(2): 370-374. DOI: 10.3969/j.issn.1001-5256.2021.02.024
Abstract(1016) HTML (250) PDF (2142KB)(72)
Abstract:
  Objective  To investigate the clinical features of patients with severe alcoholic hepatitis (AH) with different underlying liver diseases and the influencing factors for short-term prognosis.  Methods  A retrospective analysis was performed for the clinical data of 170 patients with severe AH who were admitted to Tianjin Third Central Hospital from August 2004 to August 2018, and according to the underlying liver disease, they were divided into group A (27 patients without liver cirrhosis), group B (52 patients with compensated liver cirrhosis), and group C (91 patients with decompensated liver cirrhosis). Related scores were calculated, including Maddrey's discriminant function (MDF) score, Chronic Liver Failure-Sequential Organ Failure Assessment (CLIF-SOFA) score, Model for End-Stage Liver Disease (MELD) score, age-bilirubin-international normalized ratio-creatinine (ABIC) score, and Glasgow alcoholic hepatitis score (GAHS). An analysis of variance or the Kruskal-Wallis H test was used for comparison of continuous data between multiple groups, and the chi-square test was used for comparison of categorical data between multiple groups. Univariate and multivariate Cox regression analyses were used to screen out the independent influencing factors for the short-term prognosis of patients with severe AH. The Kaplan-Meier method was used to plot survival curves, and the log-rank test was used for comparison of survival rate between groups. The receiver operating characteristic (ROC) curve was used to calculate the area under the ROC curve (AUC) and 95% confidence interval (CI), sensitivity, and specificity for each predictive model, and the DeLong method was used for comparison.  Results  The 28-day survival rates of patients in groups A, B, and C were 88.9%, 80.8%, and 51.6%, respectively, with a significant difference between the three groups (χ2=19.83, P < 0.001). The AUCs (95% CIs) of MELD score, MDF score, GAHS score, ABIC score, and CLIF-SOFA score were 0.584 (0.493-0.676), 0.696 (0.605-0.786), 0.644 (0.554-0.735), 0.745 (0.662-0.827), and 0.795 (0.726-0.863), respectively, in predicting 28-day mortality rate, and there were significant differences between CLIF-SOFA score and MDF, MELD, and GAHS scores (all P < 0.05); CLIF-SOFA score had a sensitivity of 79.0% and a specificity of 67.9% at the optimal cut-off value of 8.50 points in predicting 28-day mortality rate. Different underlying liver diseases (hazard ratio [HR]=2.296, 95% CI: 1.356-3.887, P=0.002) and hepatic encephalopathy (HR=1.911, 95% CI: 1.059-3.449, P=0.031) at disease onset were risk factors for 28-day prognosis.  Conclusion  Patients with severe AH with different underlying liver diseases have different clinical features and short-term prognoses. Different underlying liver diseases and hepatic encephalopathy at disease onset are closely associated with the 28-day prognosis of patients with severe AH. CLIF-SOFA score can predict the 28-day prognosis of patients with severe AH.
Correlation between systemic immune-inflammation index and prognosis in patients with hepatic alveolar echinococcosis
Xiaobin CHEN, Jiaqi YUAN, Zhixin WANG, Haining FAN, Zhaojun XU, Xuepeng MEI, Haijiu WANG, Jiamin MA, Ying ZHOU, Lizhao HOU
2021, 37(2): 375-379. DOI: 10.3969/j.issn.1001-5256.2021.02.025
Abstract(768) HTML (252) PDF (2281KB)(42)
Abstract:
  Objective  To investigate the correlation between systemic immune-inflammation index (SⅡ) and prognosis in patients with hepatic alveolar echinococcosis.  Methods  A retrospective analysis was performed for the clinical data of 242 patients who were admitted to Department of Hepatopancreatobiliary Surgery, Qinghai University Affiliated Hospital, from January 2015 to December 2018 and underwent surgery for hepatic alveolar echinococcosis, and SⅡ was calculated. The chi-square test was used for comparison of categorical data between two groups, and a Spearman correlation analysis was performed. The receiver operating characteristic (ROC) curve was used to determine the optimal cut-off value of SⅡ; the Kaplan-Meier method was used to plot survival curves and analyze overall survival time in the two groups, and the log-rank test was used for comparison of survival rates between the two groups; univariate and multivariate Cox regression analyses were used to identify the influencing factors for the prognosis of patients with hepatic alveolar echinococcosis.  Results  The Spearman correlation analysis showed that SⅡ was positively correlated with the postoperative fatality rate of patients with hepatic alveolar echinococcosis (r=0.267, P < 0.001). The ROC curve showed that the optimal cut-off value of SⅡ before surgery was 758.92, and based on this, 242 patients with hepatic alveolar echinococcosis were divided into low SⅡ (SⅡ ≤758.92) group with 126 patients and high SⅡ (SⅡ >758.92) group with 116 patients. The low SⅡ group had 1-, 3-, and 5-year survival rates of 98.20%, 88.47%, and 66.10%, respectively, and the high SⅡ group had 1-, 3-, and 5-year survival rates of 90.80%, 53.05%, and 27.40%, respectively. The low SⅡ group had a cumulative survival rate of >50% and a mean survival time of 55.584 months (95% confidence interval[CI]: 53.550-57.617), while the high SⅡ group had a cumulative survival rate of < 50%, a mean survival time of 39.384 months (95% CI: 35.070-43.698), and a median survival time of 43 months (95% CI: 34.694-51.306). The low SⅡ group had a significantly better survival rate than the high SⅡ group, and there was a significant difference in overall survival rate between the two groups (χ2=46.979, P < 0.05). The univariate analysis showed that SⅡ >758.92 (hazard ratio [HR]=5.907, 95% CI: 3.386-10.306, P=0.001) was an influencing factor for the overall survival time of patients with hepatic alveolar echinococcosis, and the multivariate Cox regression analysis showed that preoperative peripheral blood SⅡ (HR=3.507, 95% CI: 1.911-6.435, P=0.001) was an independent risk factor for the overall survival rate of patients with hepatic alveolar echinococcosis.  Conclusion  Preoperative SⅡ level is clearly correlated with the prognosis of patients with hepatic alveolar echinococcosis and can thus be used as a clinical indicator to evaluate the prognosis of patients. The higher the peripheral blood SⅡ before surgery, the worse the prognosis of patients.
Clinical and genetic features of patients with glycogen storage disease type Ⅸa: An analysis of 20 cases
Yuchuan LI, Yi LU, Jiayan FENG, Jianshe WANG
2021, 37(2): 380-384. DOI: 10.3969/j.issn.1001-5256.2021.02.026
Abstract(1566) HTML (342) PDF (2251KB)(107)
Abstract:
  Objective  To investigate the clinical and genetic features of patients with glycogen storage disease type Ⅸa (GSD Ⅸa), and to improve the clinical understanding of the disease.  Methods  A retrospective analysis was performed for the clinical data of 20 patients who were hospitalized and genetically diagnosed with GSD Ⅸa in Children's Hospital of Fudan University from January 2015 to December 2018, and their clinical and genetic features were summarized.  Results  All 20 patients with GSD Ⅸa were male, with a median age of 2.5 years at the time of confirmed diagnosis. All patients had hepatomegaly and elevated aminotransferases; of all patients, there were 5 patients (25.0%) with growth retardation, 19 (95.0%) with fasting hypoglycemia, 14 (70.0%) with hyperlactatemia, 9 (45.0%) with hypertriglyceridemia, and 5 (25.0%) with hypercholesterolemia. Fasting blood ketone was measured for 8 patients and all of these patients had an increase in blood ketone; all patients had normal uric acid, and 5 patients (25.0%) had positive urine ketone. Liver biopsy was performed for 18 patients, among whom 15 had mild to moderate liver fibrosis. A total of 16 mutations were detected in the PHKA2 gene, among which 5 were known pathogenic mutations and 11 were novel mutations, and most of the mutations were detected in the c.3614 locus. All patients were treated with uncooked cornstarch, and most patients achieved an improvement in clinical manifestations.  Conclusion  GSD Ⅸa is more common in male patients. This disease should be considered for patients with hepatomegaly, elevated aminotransferases, growth retardation, fasting hypoglycemia, elevated fasting blood ketone, and normal uric acid. Liver biopsy may help with the diagnosis of this disease, and clinical biochemical parameters and gene detection can be used to confirm diagnosis and classification. Most patients have mild clinical manifestations, while some patients may have liver fibrosis, and treatment with uncooked cornstarch can improve the condition of this disease.
Effect of hepatocyte fatty degeneration induced by free fatty acid on macrophage polarization
Xiaoyun LI, Xixi NI, Jing HUA
2021, 37(2): 385-389. DOI: 10.3969/j.issn.1001-5256.2021.02.027
Abstract(2274) HTML (492) PDF (2265KB)(150)
Abstract:
  Objective  To investigate the effect of hepatocyte fatty degeneration induced by free fatty acid on macrophage polarization and the possible mechanism.  Methods  Primary hepatocytes of C57BL/6 mice were isolated by in situ collagenase perfusion, and then the hepatocytes were divided into control (NC) group and mixed free fatty acid (FFA) treatment group. A conditioned medium (CM) was prepared for hepatocytes and was used for the intervention of RAW264.7 macrophages. Oil red O staining was used to observe lipid deposition in hepatocytes; real-time PCR was used to measure the mRNA expression of lipid metabolism genes and macrophage M1/M2 polarization markers; ELISA was used to measure the levels of cytokines in supernatant; Western blot was used to measure the expression of proteins involved in the Toll-like receptor 4 (TLR4)/nuclear factor-kappa B (NF-κB) pathway in macrophages. The independent samples t-test was used for comparison between two groups; a one-way analysis of variance was used for comparison between multiple groups, and the Tukey test was used for further comparison between two groups.  Results  Compared with the NC group, the FFA treatment group had the deposition of massive lipid droplets in hepatocytes and significant increases in triglyceride and total cholesterol (t=15.65 and 3.49, both P < 0.05). Besides, FFA significantly increased the mRNA expression of the lipid synthesis genes SREBP1C and FASN (t=2.89 and 2.82, both P < 0.05) and reduced the mRNA expression of the lipid decomposition genes ACOX1 and CPT1A (t=14.30 and 3.36, both P < 0.05) in hepatocytes. FFA also induced significant increases in the levels of the inflammatory cytokines interleukin-6 (IL-6), interleukin-1β, and tumor necrosis factor-α (TNF-α) in supernatant (all P < 0.05). Compared with the CM-NC group, the CM-FFA group had significant increases in the mRNA expression of the M1 phenotype markers iNOS2, TNF-α, and IL-6 (all P < 0.05) and a significant reduction in the mRNA expression of the M2 phenotype marker interleukin-10 (P < 0.05). Moreover, Western blot showed that CM-FFA significantly upregulated the protein expression of TLR4, p-NF-κBp65, and p-ⅠκBα in macrophages (t=2.88, 3.69, and 3.54, all P < 0.05).  Conclusion  FFA-induced hepatocyte fatty degeneration and inflammation can promote M1 macrophage polarization, thereby initiating and triggering the development and progression of nonalcoholic fatty liver disease.
Original articles_Pancreatic diseases
Effect of different cytopathological grading standards on the diagnosis of pancreatic cancer by endoscopic ultrasound-guided fine needle aspiration
Hailun MENG, Suwen LI, Yulin SONG, Junjun BAO, Heng LIU, Qiao MEI
2021, 37(2): 390-395. DOI: 10.3969/j.issn.1001-5256.2021.02.028
Abstract(1258) HTML (370) PDF (1985KB)(65)
Abstract:
  Objective  To investigate the effect of different cytopathological grading standards on the efficiency of endoscopic ultrasound-guided fine needle aspiration (EUS-FNA) in the diagnosis of pancreatic cancer.  Methods  Related clinical data and pancreatic cytopathological results were collected from 256 patients with pancreatic space-occupying lesions who underwent EUS-FNA in The First Affiliated Hospital of Anhui Medical University from May 2011 to March 2019, and the influencing factors for the diagnostic efficiency of EUS-FNA were analyzed based on surgical pathology and follow-up results. The independent samples t-test or the Mann-Whitney U test was used for comparison of continuous data between two groups, and the chi-square test was used for comparison of categorical data between two groups. The receiver operating characteristic (ROC) curve was used to evaluate the value of different cytopathological grading standards in the diagnosis of pancreatic cancer.  Results  A total of 67 patients who were lost to follow-up were excluded, and a total of 189 patients were included in the study. According to the Papanicolaou cytopathological standard, there were 47 cases of heterotypic cells, 25 cases of suspected cancer cells, 20 cases of cancer cells, and 97 cases without tumor cells based on EUS-FNA. A total of 133 patients were confirmed to have pancreatic cancer by postoperative pathology and follow-up results, among whom 52 had no tumor cells, 36 had heterotypic cells, 25 had suspected cancer cells, and 20 had cancer cells based on cytopathological results. EUS-FNA had a true positive rate of 60.90% (81 patients) and a false negative rate of 39.10% (52 patients) in the diagnosis of pancreatic cancer; for the 56 patients without pancreatic cancer, EUS-FNA had a false positive rate of 19.64% (11 patients) and a true negative rate of 80.36% (45 patients). EUS-FNA had an area under the ROC curve of 0.643 (95% confidence interval: 0.561-0.724) in the diagnosis of pancreatic cancer. In combination with different cytopathological grading standards and with the diagnostic criteria of "the identification of heterotypic cells or suspected cancer cells or cancer cells was considered positive", "the identification of suspected cancer cells or cancer cells was considered positive", and "the identification of cancer cells was considered positive", the results showed that the diagnostic criteria of "the identification of heterotypic cells or suspected cancer cells or cancer cells was considered positive" improved the efficiency of EUS-FNA in the diagnosis of pancreatic cancer, with a sensitivity of 50.38% and a specificity of 75.00%. Among the 189 patients, 13 (6.88%) experienced complications after EUS-FNA, which included hyperamylasemia and abdominal pain.  Conclusion  The combination of different cytopathological grading standards can help improve the efficiency of EUS-FNA in the diagnosis of pancreatic cancer.
Brief reports
Clinical features of Dubin-Johnson syndrome: An analysis of 10 cases
Yongle WU, Hui LIU, Xinye QIU, Yanan SUN, Qinghuan ZENG, Yuanzhi LIU, Peng LI, Shibin ZHANG
2021, 37(2): 396-399. DOI: 10.3969/j.issn.1001-5256.2021.02.029
Abstract(1124) HTML (343) PDF (2389KB)(100)
Abstract:
Case reports
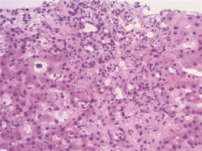
Differential diagnosis and treatment of jaundice after comprehensive treatment of advanced primary liver cancer: A case report
Si XIE, Ming YANG, Yuan HUANG, Lai WEI
2021, 37(2): 400-402. DOI: 10.3969/j.issn.1001-5256.2021.02.030
Abstract(920) HTML (401) PDF (2088KB)(73)
Abstract:
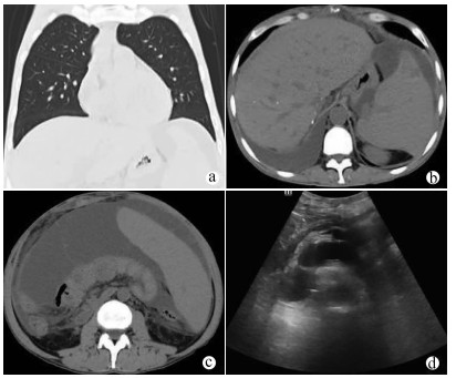
Tuberculous polyserositis after liver transplantation: A case report
Junwei HAN, Guangdong WU, Rui TANG, Hong CHEN, Qian LU
2021, 37(2): 403-404. DOI: 10.3969/j.issn.1001-5256.2021.02.031
Abstract(935) HTML (281) PDF (2200KB)(61)
Abstract:
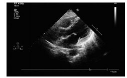
Viridans streptococci sepsis with liver abscess and hepatic vein thrombosis: A case report
Lina FENG, Yao WANG, Bo MA, Jianjie HUANG, Xiaoxue ZHANG, Xiaoyu WEN, Junqi NIU, Qinglong JIN
2021, 37(2): 405-407. DOI: 10.3969/j.issn.1001-5256.2021.02.032
Abstract(986) HTML (427) PDF (2002KB)(59)
Abstract:
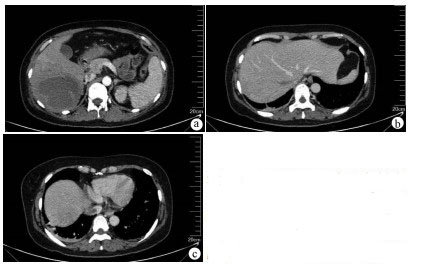
Pyogenic liver abscess caused by Streptococcus mitis: A case report
Likui FENG, Guosheng DU
2021, 37(2): 408-410. DOI: 10.3969/j.issn.1001-5256.2021.02.033
Abstract(1131) HTML (566) PDF (2226KB)(71)
Abstract:
Neonatal cerebrotendinous xanthomatosis with cholestatic jaundice as the initial manifestation: A case report
Maoyan ZHANG, Lin LI, Cheng WU
2021, 37(2): 411-413. DOI: 10.3969/j.issn.1001-5256.2021.02.034
Abstract(844) HTML (521) PDF (1998KB)(60)
Abstract:
Reviews
Role of T helper 17 cell/regulatory T cell imbalance in the progression of HBV-related liver diseases
Guangjun TANG, Jing YOU, Huai'e LIU, Yujuan PENG
2021, 37(2): 414-418. DOI: 10.3969/j.issn.1001-5256.2021.02.035
Abstract(1239) HTML (372) PDF (1935KB)(79)
Abstract:
Patients with chronic hepatitis B (CHB) often have immune-mediated liver injury, and it is considered that the interaction between viral infection and immune response is an important cause of disease progression. CHB can progress to liver fibrosis, liver cirrhosis, and even hepatocellular carcinoma (HCC). This article reviews the discovery of T helper 17 (Th17) cells and regulatory T (Treg) cells, describes their own features, and elaborates on their role and mechanism of action in maintaining the stability of the immune system. This article also analyzes the role of Th17/Treg cell imbalance in CHB, liver fibrosis, liver cirrhosis, and HCC and points out that Th17/Treg cell imbalance may promote the aggravation of HBV-related liver diseases.
Advances in the application of transient elastography in chronic hepatitis B
Kaimin SONG, Jun LIU
2021, 37(2): 419-424. DOI: 10.3969/j.issn.1001-5256.2021.02.036
Abstract(1423) HTML (250) PDF (1897KB)(96)
Abstract:
Liver biopsy is the gold standard for the diagnosis of liver diseases, and gastroscopy is the gold standard for the diagnosis of esophageal and gastric varices; however, both methods have limited clinical application due to invasiveness. In recent years, transient elastography has been widely used in clinical practice as a noninvasive examination. This article introduces the latest advances in the application of transient elastography in liver fibrosis, hepatic steatosis, liver cirrhosis, and liver cancer in patients with chronic hepatitis B. More studies can be conducted for the early combined diagnosis and treatment of hepatitis B cirrhosis and liver cancer in the future.
Association between intestinal microecology and spontaneous bacterial peritonitis
Yu LIU, Yuyi ZHANG, Ying ZOU, Wei YUAN, Hongying GUO, Xue MEI, Jiefei WANG, Zhiping QIAN
2021, 37(2): 425-428. DOI: 10.3969/j.issn.1001-5256.2021.02.037
Abstract(1043) HTML (250) PDF (1856KB)(81)
Abstract:
Spontaneous bacterial peritonitis (SBP) is a common serious complication of end-stage liver disease. Intestinal microecology is closely associated with the development, progression, and prognosis of SBP, and bacterial translocation is the key pathogenesis of SBP. This article summarizes the intestinal microecology in patients with liver cirrhosis and briefly describes the mechanism of action of intestinal flora in the development and progression of SBP, thus providing a theoretical basis for the clinical regulation of intestinal microecology and treatment of SBP.
Latest advances in the pathogenesis of hepatogenous diabetes
Han HU, Caiyun TIAN, Guoyuan ZHANG, Shide LIN
2021, 37(2): 429-432. DOI: 10.3969/j.issn.1001-5256.2021.02.038
Abstract(1455) HTML (314) PDF (1865KB)(143)
Abstract:
Hepatogenous diabetes (HD) is a common complication of end-stage liver disease, and many studies have confirmed its adverse effect on prognosis. In recent ten years, a great number of studies have been conducted on the pathogenesis of HD and some progress has been made. This article reviews the research advances in the pathogenesis of HD, in order to provide a reference for the diagnosis and treatment of HD by clinicians.
Advances in the models for predicting the risk of liver cancer during antiviral therapy in patients with chronic hepatitis B
Baiguo XU, Huiling XIANG, Tao HAN
2021, 37(2): 433-436. DOI: 10.3969/j.issn.1001-5256.2021.02.039
Abstract(1060) HTML (313) PDF (1863KB)(122)
Abstract:
Hepatitis B virus infection is one of the primary causes of liver cirrhosis and liver cancer. The use of antiviral drugs significantly reduces the risk of liver cancer in patients with chronic hepatitis B (CHB), but some of the patients who receive antiviral drugs for a long time still develop liver cancer. Therefore, it is necessary to early identify and predict the risk of liver cancer in such patients. Currently, several models for predicting the risk of liver cancer during antiviral therapy in CHB patients have been developed based on the risk factors such as liver cirrhosis, age, sex, liver stiffness, virology, serological markers, alcohol consumption, and history of diabetes, including REACH-B, PAGE-B, mPAGE-B, APA-B, CAMD, AASL, and REAL-B. This article reviews the research advances in the models for predicting the risk of liver cancer during antiviral therapy in CHB patients.
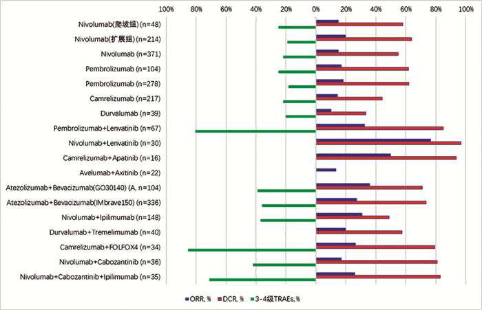
Advances in the application of programmed death-1/programmed death-ligand 1 inhibitors in the treatment of hepatocellular carcinoma
Zhaoyue WANG, Lai WEI, Yuan HUANG
2021, 37(2): 437-443. DOI: 10.3969/j.issn.1001-5256.2021.02.040
Abstract(1194) HTML (476) PDF (2049KB)(97)
Abstract:
Hepatocellular carcinoma (HCC) is one of the most common malignancies in China, and due to the lack of specific symptoms, more than half of these patients are in the advanced stage at the time of initial diagnosis. Targeted therapy and systemic chemotherapies are the main treatment methods for advanced HCC with limited efficacy. In recent years, immunotherapy has been developed rapidly. This article introduces the current status of the immune checkpoint inhibitors, programmed death-1 (PD-1)/programmed death-ligand 1 (PD-L1) inhibitors, in the treatment of HCC, summarizes the latest data of several clinical trials, and analyzes the safety and efficacy of monotherapy and combination therapy. The analysis shows that immunotherapy has become one of the important methods for systemic treatment, and combination therapy can significantly improve the outcome of HCC with a manageable safety profile, which is an important direction for future development.
Association between cancer-associated fibroblasts and liver cancer
Xiao HU, Dewen MAO, Chengyu YA
2021, 37(2): 444-447. DOI: 10.3969/j.issn.1001-5256.2021.02.041
Abstract(923) HTML (896) PDF (1862KB)(79)
Abstract:
Liver cancer has always been a threat to national health since liver disease has a high incidence rate in China. At present, methods for the prevention and treatment of liver cancer have unsatisfactory effects in clinical practice, and with in-depth studies, scholars have changed their focus to cancer-associated fibroblasts (CAFs) in tumor microenvironment. More and more evidence has shown that CAFs may provide a new target for the prevention and treatment of liver cancer. This article summarizes the role of CAFs in the development and progression of liver cancer and the potential of CAFs in the treatment of liver cancer.
Current status of research on circulating microRNAs as diagnostic markers for hepatocellular carcinoma
Huijun XIE, Nasot Rashed, Yong NING, Chuan GAO
2021, 37(2): 448-451. DOI: 10.3969/j.issn.1001-5256.2021.02.042
Abstract(1248) HTML (307) PDF (1859KB)(91)
Abstract:
Hepatocellular carcinoma (HCC) is the most common primary liver cancer, and its high mortality rate is closely associated with the unsatisfactory diagnostic and monitoring methods for HCC at present. Some microRNAs (miRNAs) play an important role in the development and progression of HCC, and their abnormal expression is a common phenomenon in HCC pathology; in addition, miRNAs can be released into the circulating blood and remain stable in blood. By reviewing the research advances in the role of miRNAs in HCC, it is pointed out that miRNAs are expected to become potential markers for the early diagnosis, monitoring and treatment, and prognostic evaluation of HCC, and this article also analyzes related issues in the clinical verification of such potential markers.
Advances in the etiology and treatment of non-obese nonalcoholic fatty liver disease
Yangyang LI, Zhengyuan XIE
2021, 37(2): 452-457. DOI: 10.3969/j.issn.1001-5256.2021.02.043
Abstract(1346) HTML (1234) PDF (2502KB)(126)
Abstract:
With the prevalence of nonalcoholic fatty liver disease (NAFLD) in the non-obese population, more and more studies have explored the significance of NAFLD in such population. Compared with the patients with obese NAFLD, the patients with non-obese NAFLD lack the phenotype of obesity, but they still have metabolic disorders and higher risk of metabolic and cardiovascular diseases. At present, there are no effective drugs for the treatment of non-obese NAFLD, and the existing treatment methods have their own advantages and limitations in clinical practice. This article reviews the advances in the etiology and treatment of non-obese NAFLD, in order to provide a reference for guiding the clinical treatment of non-obese NAFLD.
Mechanism of action of traditional Chinese medicine in treatment of nonalcoholic fatty liver disease
Sutong LIU, Zhongjie YU, Wenxia ZHAO
2021, 37(2): 458-462. DOI: 10.3969/j.issn.1001-5256.2021.02.044
Abstract(2247) HTML (916) PDF (2123KB)(164)
Abstract:
Nonalcoholic fatty liver disease (NAFLD) is one of the most important liver diseases worldwide. Traditional Chinese medicine has a significant effect in the treatment of NAFLD, possibly by improving lipid metabolism, reducing liver inflammation, regulating intestinal flora, improving innate immunity, and reducing liver fibrosis. This article summarizes the current data on the mechanism of action of traditional Chinese medicine in the treatment of NALFD, so as to provide a reference for clinical application.
Role of lipotoxicity in the development and progression of nonalcoholic fatty liver disease
Lihui ZHANG, Minghao LIU, Wenxia ZHAO
2021, 37(2): 463-466. DOI: 10.3969/j.issn.1001-5256.2021.02.045
Abstract(1706) HTML (876) PDF (1962KB)(134)
Abstract:
Nonalcoholic fatty liver disease (NAFLD) is currently the leading cause of abnormal liver biochemical parameters, but the mechanism of its development and progression remains unclear and there is a lack of effective treatment methods. This article reviews that lipotoxicity drives the transformation of NAFLD to nonalcoholic steatohepatitis and liver cirrhosis by triggering the three pathological responses in the liver, i.e., endoplasmic reticulum stress, cell death, and inflammation. It is believed that lipotoxicity is an important factor that promotes the progression of NAFLD to inflammation and fibrosis, which provides a new method for the prevention and treatment of NAFLD.
Mechanism of action of estrogen and its receptor in the development and progression of nonalcoholic fatty liver disease
Juan PENG, Liangping LI
2021, 37(2): 467-470. DOI: 10.3969/j.issn.1001-5256.2021.02.046
Abstract(1503) HTML (511) PDF (1860KB)(97)
Abstract:
The incidence rate of nonalcoholic fatty liver disease (NAFLD) has increased sharply, and there is still a lack of effective pharmacotherapy at present. Although great achievements have been made in the research on the pathogenesis of NAFLD, we still do not know enough about the gender differences of NAFLD. As an important sex hormone, estrogen affects the development and progression of NAFLD by regulating mood and energy homeostasis, adipose tissue function and distribution, inflammatory response, insulin resistance, liver fat accumulation, and liver immunity. An adequate understanding of the mechanism of action of estrogen and its receptor in NAFLD may provide new ideas for the treatment of NAFLD.
Role of microRNA-335 in chronic liver diseases
Yajie YUAN, Haojie DING, Qingming KONG
2021, 37(2): 471-474. DOI: 10.3969/j.issn.1001-5256.2021.02.047
Abstract(1033) HTML (224) PDF (2858KB)(64)
Abstract:
In recent years, the regulatory role of microRNAs in liver pathological process has attracted more and more attention. In viral hepatitis and steatohepatitis, microRNA-335 (miRNA-335) regulates the progression of hepatitis via the transcription factor sex-determining region Y-box 4; in the development and progression of progressive liver fibrosis and liver cancer, miRNA-335 affects collagen production, deposition, and degradation in the liver via the target genes including hypoxia-inducible factor 1α, phosphatase and tensin homologue, Rho-associated coiled-coil containing protein kinase 1, plasminogen activator inhibitor-1, twist family bHLH transcription factor 1, and mesenchymal-epithelial transition factor and thus regulates the migration and invasion of hepatic stellate cells and hepatoma cells. This article summarizes the research advances in the role of miRNA-335 in hepatitis, liver fibrosis, and liver cancer in recent years, and based on existing data, it is pointed out that the miRNA-335/QSOX1 regulatory axis may mediate artesunate against schistosomal liver fibrosis by inhibiting hepatic stellate cell activation, so as to provide new ideas for the treatment of liver fibrosis and other liver diseases.
Association between human leukocyte antigen gene polymorphism and drug-induced liver injury
Luyuan WANG, Minjie JIANG, Pujun GAO
2021, 37(2): 475-479. DOI: 10.3969/j.issn.1001-5256.2021.02.048
Abstract(1806) HTML (366) PDF (1927KB)(120)
Abstract:
Drug-induced liver injury (DILI) is one of the common adverse drug reactions in clinical practice, and it is difficult to diagnose and treat and may easily develop into acute liver failure. Related pharmacogenomics studies have found a strong genetic correlation between human leukocyte antigen (HLA) genes and DILI. This article reviews the research advances in HLA gene polymorphism in DILI, in order to reveal the role of immune factors in the pathogenesis of DILI, identify related genetic biomarkers, and improve the safety of clinical medication.
Mechanism of action of bile acid-farnesoid X receptor-intestinal microecological axis in the development of liver failure and liver regeneration
Yanyan CHEN, Yanmei LAN, Minggang WANG, Dewen. MAO
2021, 37(2): 480-484. DOI: 10.3969/j.issn.1001-5256.2021.02.049
Abstract(1431) HTML (383) PDF (1878KB)(76)
Abstract:
Liver failure is a common critical medical disease, and extensive liver cell necrosis within a short period of time exceeds the regeneration capacity of liver cells and thus results in an extremely high fatality rate. Promotion of effective liver regeneration is the key to antagonizing liver failure. Recent studies have shown that bile acid, farnesoid X receptor (FXR), and intestinal microecology play an important role in liver failure and liver regeneration. This article reviews the association between bile acid, FXR, and intestinal microecology and their role in liver failure and liver regeneration, so as to provide new ideas for the treatment of liver failure in clinical practice.
Association between Toll-like receptor 4 and pancreatic cancer
Chenglong CHU, Chaohui TANG, Luyao XU, Changxu LI, Yingchao WANG
2021, 37(2): 485-488. DOI: 10.3969/j.issn.1001-5256.2021.02.050
Abstract(1033) HTML (205) PDF (1862KB)(58)
Abstract:
Toll-like receptor 4 (TLR4) is a key regulator of innate and adaptive immune response. The role of TLR4 in pancreatic diseases is a research hotspot in recent years, and a large number of studies have shown that TLR4 is closely associated with pancreatic cancer. This article mainly discusses the abnormal expression and regulation mechanism of TLR4 in pancreatic cancer and its potential in cancer treatment, so as to provide new ideas for the pathogenesis and treatment of pancreatic cancer.