中文English
ISSN 1001-5256 (Print)
ISSN 2097-3497 (Online)
CN 22-1108/R

Vol.40 No.1 (279 in total) Jan. 2024
Theme Issue: New Progress in the Diagnosis and Treatment of Hepatic Vascular Diseases
Executive Chief Editor: ZHUGE Yuzheng  
Nanjing Drum Tower Hospital Affiliated to Nanjing University Medical School

Display Method:
Editorial
Screening for the etiology of non-cirrhotic splanchnic vein thrombosis should be taken seriously in clinical practice
Yuzheng ZHUGE
2024, 40(1): 10-12. DOI: 10.12449/JCH240101
Abstract(785) HTML (390) PDF (487KB)(144)
Abstract:
Non-cirrhotic splanchnic vein thrombosis (NC-SVT) mainly includes portal vein thrombosis, superior mesenteric vein thrombosis, splenic vein thrombosis, and hepatic vein thrombosis (Budd-Chiari syndrome), and its prevalence rate is increasing with the increase in the incidence rates of related underlying diseases. Due to the harm of NC-SVT, there have been significant improvements in the awareness and ability for diagnosis among clinicians. However, anticoagulation and intervention therapies for thrombosis are often taken seriously in treatment, while the screening for risk factors or underlying diseases leading to SVT is ignored, which may affect the treatment outcome of thrombus in some patients and delay the diagnosis and treatment of the underlying disease. This article mainly introduces the acquired, hereditary, systemic, and local underlying diseases associated with the development of NC-SVT.
Expert Forum
Research advances in the diagnosis and treatment of hepatic vein occlusion-type Budd-Chiari syndrome
Xu GUO, Hao WU
2024, 40(1): 13-18. DOI: 10.12449/JCH240102
Abstract(1723) HTML (830) PDF (700KB)(205)
Abstract:
Budd-Chiari syndrome is a rare liver vascular disease and can be classified into hepatic vein occlusion type, inferior vena cava occlusion type, and mixed type according to the location of hepatic outflow tract obstruction. This article reviews the hepatic vein occlusion type from the aspects of epidemiology, subtypes, clinical diagnosis, and treatment strategies.
Research advances in porto-sinusoidal vascular disease
Fuliang HE, Jidong JIA
2024, 40(1): 19-23. DOI: 10.12449/JCH240103
Abstract(3024) HTML (310) PDF (582KB)(467)
Abstract:
Porto-sinusoidal vascular disease (PSVD) is a new disease nomenclature proposed in recent years, which is an important supplement to idiopathic non-cirrhotic portal hypertension. PSVD includes the patients with specific pathological conditions, but without portal hypertension symptoms, and the patients with portal vein thrombosis or viral hepatitis. This article elaborates on the naming, epidemiology, etiology, clinical manifestations, prognosis, and treatment of PSVD, in order to improve the understanding of this disease among clinicians.
Research advances in hepatic sinusoidal obstruction syndrome
Ming ZHANG
2024, 40(1): 24-28. DOI: 10.12449/JCH240104
Abstract(2216) HTML (432) PDF (603KB)(315)
Abstract:
Hepatic sinusoidal obstruction syndrome (HSOS), also known as hepatic veno-occlusive disease, is hepatic vascular disease of hepatic sinusoidal obstruction and hepatic venular occlusion and fibrosis due to various causes. This article systematically elaborates on the research advances in HSOS from the aspects of understanding and naming, etiology and pathogenesis, clinical manifestation, diagnosis and differential diagnosis, prevention, and treatment. HSOS can occur in patients receiving bone marrow hematopoietic stem cell transplantation, radiotherapy/chemotherapy, and medication containing pyrrolidine alkaloids, and the common clinical manifestations of HSOS include abdominal distension, distending pain in the liver area, ascites, jaundice, and hepatomegaly. The diagnostic criteria for HSOS vary with etiology, and it needs to be differentiated from other diseases such as drug-induced liver diseases and hepatic venous outflow tract obstruction. Defibrotide and low-molecular-weight heparin have a therapeutic effect on HSOS associated with hematopoietic stem cells and pyrrolidine alkaloids, respectively, and there are currently no effective drugs for HSOS caused by oxaliplatin chemotherapy.
Establishment and application of animal models for portal vein thrombosis
Zhuang LIU, Jihong CHEN, Xingshun QI, Xiangbo XU, Yuzheng ZHUGE
2024, 40(1): 29-32. DOI: 10.12449/JCH240105
Abstract(1292) HTML (341) PDF (537KB)(125)
Abstract:
Portal vein thrombosis (PVT) refers to thromboembolism that occurs in the extrahepatic main portal vein and/or intrahepatic portal vein branches. PVT is the result of the combined effect of multiple factors, but its pathogenesis remains unclear. Animal models are an important method for exploring the pathophysiological mechanism of PVT. Based on the different species of animals, this article reviews the existing animal models of PVT in terms of modeling methods, principles, advantages and disadvantages, and application.
Guideline
An excerpt of AASLD practice guidance on risk stratification and management of portal hypertension and varices in cirrhosis (2023)
Bohan LUO, Guohong HAN
2024, 40(1): 33-36. DOI: 10.12449/JCH240106
Abstract(2065) HTML (777) PDF (529KB)(424)
Abstract:
This Practice Guidance intends to coalesce best practice recommendations for the identification of portal hypertension (PH), for prevention of initial hepatic decompensation, for the management of acute variceal hemorrhage (AVH), and for reduction of the risk of recurrent variceal hemorrhage in chronic liver disease. The most significant changes in the current Guidance relate to recognition of the concept of compensated advanced chronic liver disease, codification of methodology to use noninvasive assessments to identify clinically significant PH (CSPH), and endorsement of a change in paradigm with the recommendation of early utilization of nonselective beta-blocker therapy when CSPH is identified. The updated guidance further explores potential future pharmacotherapy options for PH, clarifies the role of preemptive transjugular intrahepatic portosystemic shunt in AVH, discusses more recent data related to the management of cardiofundal varices, and addresses new topics such as portal hypertensive gastropathy and endoscopy prior to transesophageal echocardiography and antineoplastic therapy.
An excerpt of Asia-Pacific Association for the Study of the Liver guidelines on management of ascites in liver disease (2023)
Junyuan ZHU, Xiao LIU, Yawei CHENG, Qingchen WANG, Xiaochen LIU, Yuhua ZHU, Chunqing ZHANG
2024, 40(1): 37-41. DOI: 10.12449/JCH240107
Abstract(2258) HTML (348) PDF (553KB)(428)
Abstract:
Asia-Pacific Association for the Study of the Liver published the guidelines on management of ascites in liver disease in May 2023, which introduces the diagnosis, differential diagnosis, and treatment of ascites, hyponatremia, hepatic hydrothorax, and hepatorenal syndrome in patients with liver cirrhosis and acute-on-chronic liver failure. This article summarizes the main recommendations in the guidelines, so as to provide a reference for the treatment of ascites in patients with liver diseases in China.
An excerpt of an international Delphi consensus statement on metabolic dysfunction-associated fatty liver disease and risk of chronic kidney disease (2023)
Danqin SUN, Jiaqi SHEN, Minghua ZHENG
2024, 40(1): 42-45. DOI: 10.12449/JCH240108
Abstract(1865) HTML (408) PDF (546KB)(235)
Abstract:
In 2020, an international expert panel proposed to replace nonalcoholic fatty liver disease with metabolic associated fatty liver disease (MAFLD). Recent studies have shown that there is a higher risk of chronic kidney disease (CKD) in the MAFLD population and that MAFLD is an independent risk factor for CKD. However, up to now, there are still no guidelines on the prevention and treatment of MAFLD-related CKD. Based on the Delphi method, the authors led a multidisciplinary team of 50 authoritative experts from 26 countries to reach a consensus on some open-ended research issues about the association between MAFLD and CKD, which can help to clarify the important clinical association between MAFLD and the risk of CKD and improve the understanding of the epidemiology, pathogenesis, management, and treatment of MAFLD and CKD, so as to establish a framework for the early prevention and management of these two common and interrelated diseases.
Viral Hepatitis
Application value of liver/spleen CT value, controlled attenuation parameter, and magnetic resonance imaging-proton density fat fraction in chronic hepatitis B patients with hepatic steatosis
Jingnan LU, Yansong LI, Ya WEN, Xionghui WANG, Zhaoyu QU, Jianlong LI, Wei ZHANG
2024, 40(1): 46-51. DOI: 10.12449/JCH240109
Abstract(1682) HTML (954) PDF (1052KB)(104)
Abstract:
  Objective  To investigate the application value of liver/spleen CT value (CTL/S), controlled attenuation parameter (CAP), and magnetic resonance imaging-proton density fat fraction (MRI-PDFF) in chronic hepatitis B (CHB) patients with hepatic steatosis.  Methods  A retrospective analysis was performed for the clinical data of 213 CHB patients who underwent liver CT, CAP, and MRI-PDFF examinations in Affiliated Hospital of Yan’an University from October 2018 to December 2022. According to MRI-PDFF, the 213 patients were divided into CHB group with 111 patients (MRI-PDFF<5%) and CHB+hepatic steatosis group with 102 patients (MRI-PDFF≥5%), among whom there were 69 patients with mild hepatic steatosis and 33 patients with moderate to severe hepatic steatosis. The independent-samples t test was used for comparison of normally distributed continuous data between groups, and the Mann-Whitney U test was used for comparison of non-normally distributed continuous data between groups. The Bland-Altman plot was used to evaluate the consistency in MRI-PDFF measurement between two physicians. The Spearman’s correlation coefficient was used to analyze the correlation between CTL/S and MRI-PDFF and between CAP and MRI-PDFF. The receiver operating characteristic (ROC) curve was plotted and the area under the ROC curve (AUC) was calculated to investigate the value of CTL/S and CAP in the diagnosis of different degrees of hepatic steatosis, and the DeLong test was used to compare the AUCs of the two radiological examinations.  Results  MRI-PDFF had relatively high repeatability and stability in CHB patients. There is a significant negative correlation between CTL/S and MRI-PDFF (r=-0.800, P<0.001) and a significant positive correlation between CAP and MRI-PDFF (r=0.692, P<0.001). Both CTL/S and CAP had a relatively high accuracy in the diagnosis of hepatic steatosis in CHB patients, with an AUC of 0.951 and 0.902, respectively, and CTL/S had a better accuracy than CAP (P<0.05). In the diagnosis of mild and moderate-to-severe hepatic steatosis, CTL/S had an AUC of 0.921 and 0.895, respectively, and CAP had an AUC of 0.859 and 0.825, respectively, suggesting that CTL/S had a slightly higher diagnostic efficiency than CAP.  Conclusion  MRI-PDFF has high repeatability and stability in CHB patients, and CTL/S and CAP have a high diagnostic value for different degrees of hepatic steatosis in CHB patients.
Dynamic change and significance of Mindin protein in chronic hepatitis B treated with PEG-IFNα-2b
Yikai WANG, Fengping WU, Chenrui LIU, Miao HAO, Shasha LYU, Miaomiao ZHANG, Shuangsuo DANG, Xin ZHANG
2024, 40(1): 52-57. DOI: 10.12449/JCH240110
Abstract(845) HTML (270) PDF (775KB)(57)
Abstract:
  Objective  To investigate the change and potential role of Mindin protein in the treatment of chronic hepatitis B (CHB) with PEG-IFNα-2b.  Methods  A total of 29 CHB patients who received the treatment with PEG-IFNα-2b in The Second Affiliated Hospital of Xi’an Jiaotong University from January 2018 to December 2019 were enrolled, and according to their clinical outcome, they were divided into cured group with 17 patients and uncured group with 12 patients. Peripheral blood samples were collected from both groups at baseline, 12 weeks, and 24 weeks to measure blood routine indices, liver function parameters, hepatitis B markers, and Mindin protein. HBsAg, alanine aminotransferase (ALT), aspartate aminotransferase (AST), and Mindin protein at different time points were compared between the two groups. The independent-samples t test was used for comparison of normally distributed continuous data between two groups, and the Mann-Whitney U test was used for comparison of non-normally distributed continuous data between two groups; a Spearman correlation analysis was used to investigate correlation; a multiple linear regression analysis was used to investigate the influence of HBsAg and ALT on the content of Mindin protein.  Results  The analysis of baseline data showed that there were significant differences in the levels of HBsAg, HBeAb, albumin, and albumin/globulin ratio between the cured group and the uncured group (all P<0.05). The cured group tended to have a gradual increase in the level of Mindin, and the level of Mindin at 24 weeks was significantly higher than that at baseline (P<0.05). The cured group had a significantly higher level of Mindin protein than the uncured group at 24 weeks (P=0.019). The cured group had a significantly lower level of HBsAg than the uncured group (P<0.05), with a significant change from baseline to each time point within the cured group (P<0.05). In addition, the levels of ALT and AST in the cured group tended to first increase and then decrease, and the expression levels at 12 weeks were significantly higher than those at baseline (P<0.05). At 12 weeks, there was a strong linear correlation between Mindin protein levels and ALT in the untreated group (r=0.760 8, P<0.05), and further multiple linear regression analysis also demonstrated a linear relationship between the two (b=1.571, P=0.019).  Conclusion  There is a significant difference in the level of Mindin protein between the cured group and the non-cured group after 24 weeks of PEG-IFNα-2b antiviral treatment, and therefore, detecting the dynamic changes of Mindin protein can better predict the treatment outcome of CHB, which provides a reference for clinical practice.
Correlation between serum HBV RNA and duration of treatment with nucleos(t)ide analogues in patients with chronic hepatitis B
Xueli FAN, Aiqin ZHAN, Yi AN, Liyan TIAN
2024, 40(1): 58-63. DOI: 10.12449/JCH240111
Abstract(1096) HTML (461) PDF (721KB)(110)
Abstract:
  Objective  To investigate the serum level of HBV RNA in untreated or treatment-experienced patients with chronic hepatitis B (CHB) and the correlation between serum HBV RNA level and the duration of antiviral therapy with nucleos(t)ide analogues (NAs).  Methods  A total of 300 patients with CHB who attended Department of Infectious Diseases in The First Affiliated Hospital of Shihezi University School of Medicine from February to July, 2022, were enrolled as subjects. Related clinical data were collected, and according to the duration of antiviral therapy, they were divided into untreated group with 73 patients, treatment duration ≤1 year group with 91 patients, and treatment duration >1 year group with 136 patients. Serum HBV RNA load, HBV DNA load, and HBsAg concentration were measured for all patients. The Mann-Whitney U test was used for comparison of continuous data between two groups, and the Kruskal-Wallis H test was used for comparison between multiple groups, further pairwise comparison using Bonferroni method; the chi-square test was used for comparison of categorical data; a Spearman correlation analysis was used to investigate the degree of correlation between various indicators.  Results  The positive rate of HBeAg was 18.3%, and among the patients with negative HBV DNA, the patients with positive HBV RNA accounted for 44.1% (86/195). There was a significant difference in the distribution of the serum levels of HBV RNA, HBV DNA, and HBsAg between the positive HBeAg group and the negative HBeAg group (Z=10.740, 6.300, and 7.280, all P<0.05). There was a significant difference in the distribution of DNA level between the untreated group and the treatment duration ≤1 year group (P<0.05); there was a significant difference in the distribution of HBV RNA and HBV DNA levels between the untreated group and the treatment duration >1 year group (P<0.05); there was a significant difference in the distribution of HBV RNA, HBV DNA, and HBsAg levels between the treatment duration ≤1 year group and the treatment duration >1 year group (P<0.05). The correlation analysis between the duration of antiviral therapy and the levels of HBV RNA, HBV DNA, and HBsAg showed that the duration of antiviral therapy had an extremely weak negative correlation with the levels of HBV RNA and HBsAg (r=-0.247 and -0.138, both P<0.05) and a strong negative correlation with the level of HBV DNA (r=-0.771, P<0.001). There was a low degree of correlation between the serum level of HBV RNA and the serum levels of HBV DNA and HBsAg (r=0.360 and 0.442, both P<0.001). Further stratified analysis showed that in the untreated group, there was a strong positive correlation between HBV RNA and HBV DNA (r=0.752, P<0.001) and a moderate positive correlation between HBV RNA and HBsAg (r=0.559, P<0.001); in the treatment duration ≤1 year group, there was a low degree of positive correlation between HBV RNA and HBV DNA/HBsAg (r=0.396 and r=0.388, both P<0.001); in the treatment duration >1 year group, there was a low degree of positive correlation between HBV RNA and HBsAg (r=0.352, P<0.001).  Conclusion  Serum HBV RNA is negatively correlated with the duration of treatment with NAs, and the correlation of HBV RNA with HBV DNA and HBsAg gradually decreases with the increase in the duration of treatment. Therefore, it can be used as a supplementary indicator for monitoring the level of virologic response in CHB patients to a certain extent, with a relatively high accuracy in reflecting the level of viral replication in untreated patients.
Fatty Liver Disease
Role of salidroside in a mouse model of non-alcoholic fatty liver disease: A study based on nicotinamide phosphoribosyltransferase
Rongjun LI, Chunxia XU, Ting ZHANG, Zhihong ZHANG, Lyu WANG
2024, 40(1): 64-69. DOI: 10.12449/JCH240112
Abstract(1073) HTML (391) PDF (1759KB)(52)
Abstract:
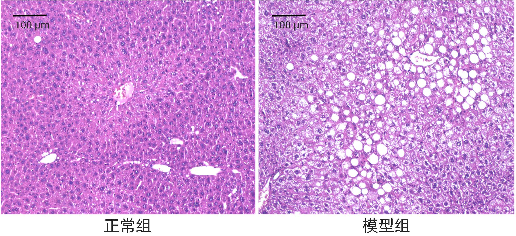
  Objective  To investigate the protective effect of salidroside against nonalcoholic fatty liver disease (NAFLD) and its mechanism of action.  Methods  A total of 24 male KM mice were randomly divided into normal group, HFD group, HFD+blank control group, and HFD+salidroside group, with 6 mice in each group. The mice in the normal group were given normal diet, and those in the other groups were given high-fat diet. After 14 weeks of modeling, the mice were given salidroside 100 mg/kg/day by gavage, and related samples were collected at the end of week 22. Enzyme-linked immunosorbent assay was used to measure the serum levels of related biochemical parameters including alanine aminotransferase (ALT), aspartate aminotransferase (AST), triglyceride (TG), total cholesterol (TC), high-density lipoprotein cholesterol (HDL-C), and low-density lipoprotein cholesterol (LDL-C); HE staining and NAFLD activity score (NAS) were used to observe the liver histopathology of mice; Western blot was used to measure the changes in the expression of NAMPT, Sirt1, AMPKα, and SREBP1 in liver tissue. A one-way analysis of variance was used for comparison between multiple groups, and the least significant difference t-test was used for further comparison between two groups.  Results  Compared with the normal group, the HFD group had obvious steatosis and extensive large lipid droplets in liver tissue, with significant increases in NAS score (P<0.01) and the content of AST, ALT, TG, TC, and LDL-C in peripheral blood (all P<0.05) and a significant reduction in the content of HDL-C (P<0.05), as well as significant reductions in the expression levels of NAMPT, AMPKα, and Sirt1 in liver tissue (all P<0.05) and a significant increase in the expression level of SERBP1 (P<0.01). Compared with the HFD group and the HFD+blank control group, the HFD+salidroside group had reductions in the distribution of vacuolar lipid droplets and intralobular inflammation in liver tissue, alleviation of the ballooning degeneration of hepatocytes, significant reductions in NAS score (P<0.01) and the content of AST, ALT, TG, and LDL-C in peripheral blood (all P<0.05), and a significant increase in the content of HDL-C (P<0.05), as well as significant increases in the expression levels of NAMPT, AMPKα, and Sirt1 in liver tissue (all P<0.05) and a significant reduction in the expression level of SERBP1 (P<0.01).  Conclusion  Salidroside can significantly improve the pathological state of mice with NAFLD induced by high-fat diet and exert a protective effect against NAFLD by increasing the expression of NAMPT, Sirt1, and AMPKα and reducing the expression of SERBP1.
Liver Fibrosis and Liver Cirrhosis
Changes in the total volume and contour density of oval cells in hepatic lobules of rats with carbon tetrachloride-induced hepatic fibrosis: A stereological study
Chuanlin WANG, Quanming LIU, Xia YANG, Zhengwei YANG, Xiaoping MEI, Bin PENG
2024, 40(1): 70-75. DOI: 10.12449/JCH240113
Abstract(1257) HTML (664) PDF (1547KB)(84)
Abstract:
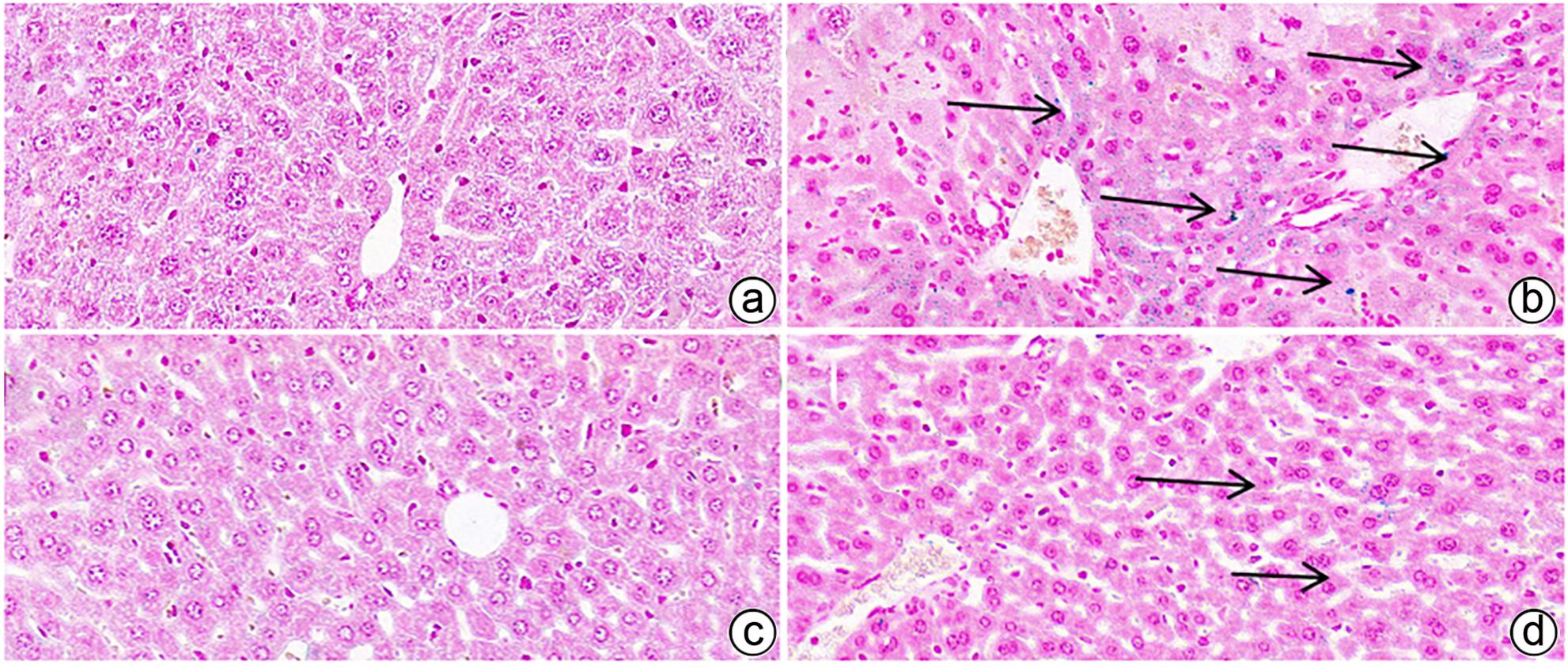
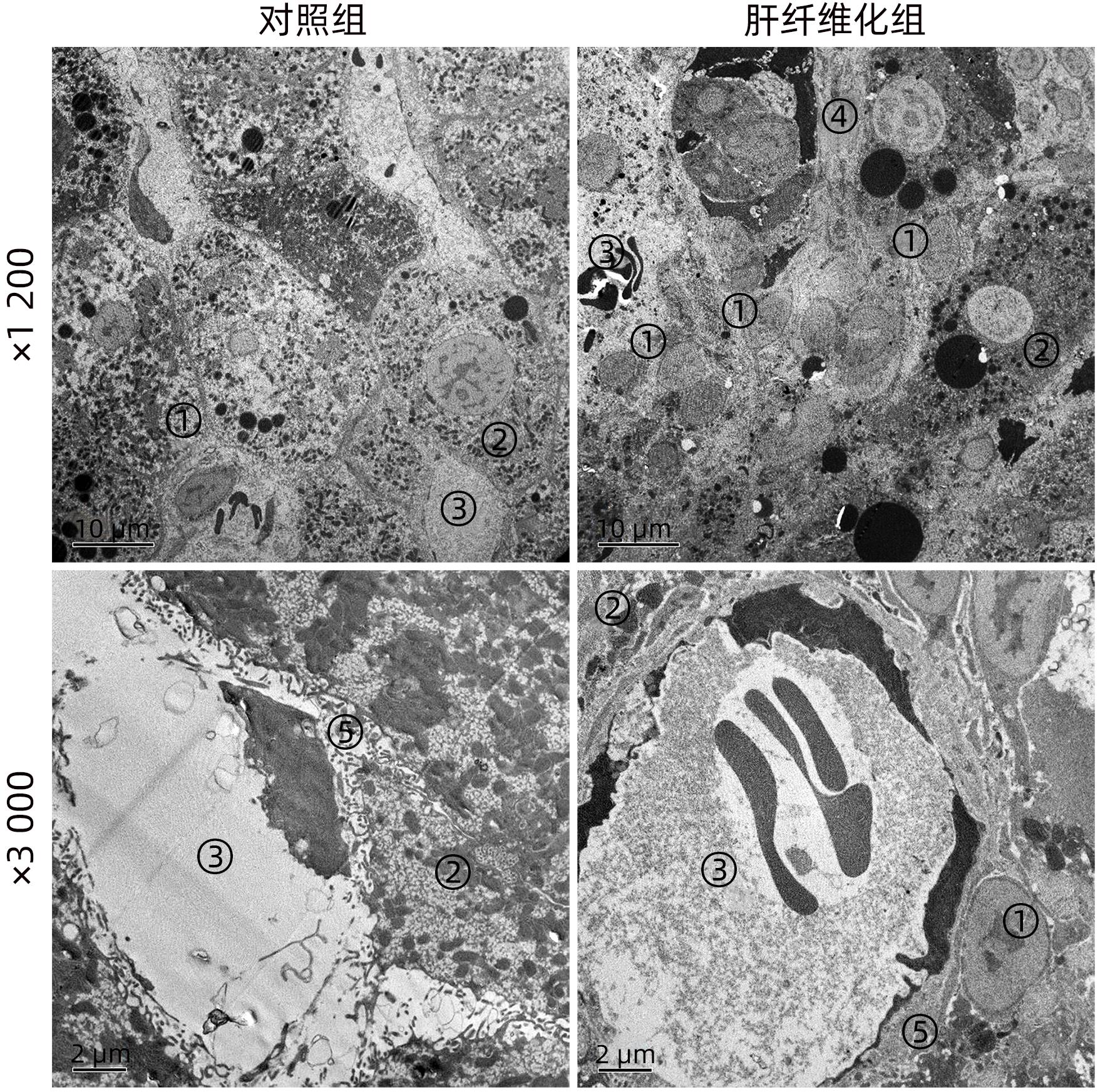
  Objective  To quantitatively investigate the changes in the total volume and contour density of hepatic oval cells (HOC) in hepatic lobules of rats with carbon tetrachloride (CCl4)-induced hepatic fibrosis.  Methods  A total of 11 healthy male Sprague-Dawley rats were randomly divided into control group with 5 rats and hepatic fibrosis group with 6 rats, and CCl4 and olive oil suspension were injected subcutaneously twice a week, 3 mL/kg each time. After five weeks of hepatic fibrosis modeling, five liver tissue blocks with a size of about 1 mm3 were randomly selected from the liver of each rat to prepare one Epon812 epoxy resin-embedded ultrathin section, and the stereological method and transmission electron microscopy were used for the quantitative analysis of the total volume and contour density of HOC in the hepatic lobules of rats. In addition, four liver tissue blocks with a thickness of 2 mm were randomly selected from the remaining liver of each rat to prepare two paraffin-embedded Masson staining sections, and the degree of liver fibrosis in each rat was qualitatively evaluated according to the Metavir staging criteria for liver fibrosis. The independent-samples t test was used for comparison of continuous data between groups.  Results  The quantitative stereological analysis showed that the total volume of HOC in hepatic lobules was 15.40±7.63 mm3 in the control group and 146.80±114.00 mm3 in the liver fibrosis group, and compared with the control group, the total volume of HOC in hepatic lobules of rats in the liver fibrosis group was significantly increased by 8.53 times (t=-2.551, P=0.031); the contour density of HOC in hepatic lobules was 56.20±40.40 in the control group and 566.50±317.00 in the liver fibrosis group, and compared with the control group, the contour density of HOC in hepatic lobules of rats in the liver fibrosis group was significantly increased by 9.08 times (t=-3.539, P=0.006). Qualitative observation showed that liver fibrosis stage of rats reached stage Ⅱ-Ⅲ according to the Metavir scoring criteria, and massive proliferation of HOC was observed around the proliferation site of hepatic stellate cells in the perisinusoidal space of rats.  Conclusion  CCl4 induces significant proliferation of HOC in hepatic lobules of rats with liver fibrosis.
Role and mechanism of action of phytoestrogen biochanin A in improving liver fibrosis in ovariectomized mice
Chaorong TAN, Xiaopiao LI, Junyan RAN, Ying XIONG, Shanggao LIAO, Jinjuan ZHANG, Xun HE
2024, 40(1): 76-82. DOI: 10.12449/JCH240114
Abstract(1015) HTML (414) PDF (1395KB)(51)
Abstract:
  Objective  To investigate the effect of phytoestrogen biochanin A (BCA) on liver fibrosis induced by CCl4 in female mice with bilateral oophorectomy (ovariectomized) and its mechanism.  Methods  A total of 50 ovariectomized Kunming mice were selected and given intraperitoneal injection of CCl4 to establish a model of liver fibrosis, and then according to body weight, they were randomly divided into model group, positive control group, and low-, middle-, and high-dose BCA groups, with 10 mice in each group. In addition, 10 female mice in the same litter were given resection of a small amount of adipose tissue near both ovaries to establish the sham-operation group. The mice in the positive control group were given estradiol 2 mg/kg by gavage, and those in the low-, middle-, and high-dose BCA groups were given BCA by gavage at a dose of 25, 50, and 100 mg/kg, respectively, once a day for 7 consecutive weeks; the mice in the sham-operation group and the model group were given an equal volume of 0.5% sodium carboxymethyl cellulose solution by gavage. The mice were anesthetized and sacrificed after administration to collect samples. Liver index and uterus index were measured; HE staining and Masson staining were used to observe liver histopathological changes; the biochemical analysis was used to measure the activity of aspartate aminotransferase (AST) and alanine aminotransferase (ALT); ELISA was used to measure the levels of interleukin-6 (IL-6) and tumor necrosis factor-α (TNF-α) in liver tissue, and Western blot was used to measure the relative protein expression levels of collagen Ⅰ, transforming growth factor-beta 1 (TGF-β1), alpha-smooth muscle actin (α-SMA), estrogen receptor beta (ERβ), and p-NF-κBp65/NF-κBp65 in liver tissue. The t-test was used for comparison of continuous data between two groups; a one-way analysis of various was used for comparison between multiple groups, and the least significant difference t-test was used for further comparison between two groups. The Kruskal-Wallis H test was used for comparison of non-normally distributed continuous data between multiple groups and further comparison between two groups.  Results  Compared with the sham-operated group, the model group had a significant increase in liver index and a significant reduction in uterus index, as well as significant increases in the activities of serum AST and ALT, the levels of IL-6 and TNF-α in liver tissue, and the protein expression levels of collagen Ⅰ, TGF-β1, α-SMA, and p-NF-κBp65/NF-κBp65 in liver tissue (all P<0.05), with no significant change in the expression of ERβ in liver tissue (P>0.05), and the model group showed significant fibrosis lesions in the liver, such as hepatocyte edema, steatosis, and necrosis with inflammatory cell infiltration and hyperplasia, deposition, and staggered distribution of collagen fibers. Compared with the model group, the low-, middle-, and high-dose BCA groups had significant reductions in liver index, the activities of serum AST and ALT, the levels of IL-6 and TNF-α, and the protein expression levels of collagen Ⅰ, TGF-β1, α-SMA, and p-NF-κBp65/NF-κBp65 in liver tissue (all P<0.05), with no significant change in uterine index (P>0.05), as well as a significant increase in the protein expression level of ERβ in liver tissue (P<0.05) and varying degrees of improvement in liver fibrosis lesions.  Conclusion  BCA can effectively improve CCL4-induced liver fibrosis in ovariectomized female mice, possibly by upregulating ERβ to inhibit the NF-κB signaling pathway and then alleviating inflammatory response.
Characteristics of the composition of intestinal flora in cirrhotic patients with malnutrition
Jiongjiong BI, Yingjie MA
2024, 40(1): 83-88. DOI: 10.12449/JCH240115
Abstract(1220) HTML (211) PDF (915KB)(74)
Abstract:
  Objective  To investigate the characteristics of the composition of intestinal flora and the serum level of endotoxin in cirrhotic patients with malnutrition, and to provide new diagnosis and treatment ideas for improving the nutritional status of patients with liver cirrhosis.  Methods  A total of 58 patients with liver cirrhosis who were hospitalized in Department of Gastroenterology, People’s Hospital of Zhengzhou, from March 2021 to November 2022 were enrolled as experimental group (LC group), and according to the Royal Free Hospital-Nutritional Prioritizing Tool, they were divided into low malnutrition risk group (LC-A group with 28 patients) and moderate/high malnutrition risk group (LC-B group with 30 patients); 25 individuals who underwent physical examination during the same period of time were enrolled as control group (HC group). Peripheral blood and feces samples were collected from all subjects. The limulus amebocyte lysate gel method was used to measure the concentration of endotoxin in peripheral blood, and high-throughput sequencing and bioinformatics analysis were used to investigate the characteristics of intestinal flora. The independent-samples t test was used for comparison of normally distributed continuous data between two groups; a one-way analysis of variance was used for comparison between multiple groups, and the least significant difference t-test were used for further comparison between two groups. The Mann-Whitney U test was used for comparison of non-normally distributed continuous data between two groups, and the Kruskal-Wallis H test was used for comparison between multiple groups. The chi-square test was used for comparison of categorical data between groups. The Spearman test was used for correlation analysis.  Results  There were significant differences between the three groups in the levels of alanine aminotransferase (H=7.054, P<0.05), gamma-glutamyl transpeptidase (H=9.644, P<0.05), albumin (Alb) (F=32.768, P<0.05), total bilirubin (TBil) (H=20.980, P<0.05), and serum endotoxin (F=108.672, P<0.05). There was a significant difference in Chao1 index between the three groups (F=5.110, P=0.008) and between the HC group and the LC-B group (P<0.05). Compared with the HC group, the LC-A group and the LC-B group had significant reductions in Chao1 index and Shannon index, and there was a significant difference in Chao1 index between the HC group and the LC-B group (P<0.05). At the phylum level, the intestinal flora in each group was mainly composed of Bacteroidota, Firmicutes, Proteobacteria, and Actinobacteriota, accounting for more than 95% of all phyla, and there was a significant difference in the relative abundance of Firmicutes between the HC group and the LC-B group (P<0.05). Serum endotoxin was significantly negatively correlated with Ruminococcaceae (r=-0.420, P=0.007), and spirochete was significantly positively correlated with TBil (r=0.419, P=0.007) and was significantly negatively correlated with Alb (r=-0.492, P=0.001).  Conclusion  There are unique changes in intestinal flora in cirrhotic patients with malnutrition, and differentially expressed flora are associated with endotoxemia. Improving intestinal microecology in liver cirrhosis may help to improve nutritional status.
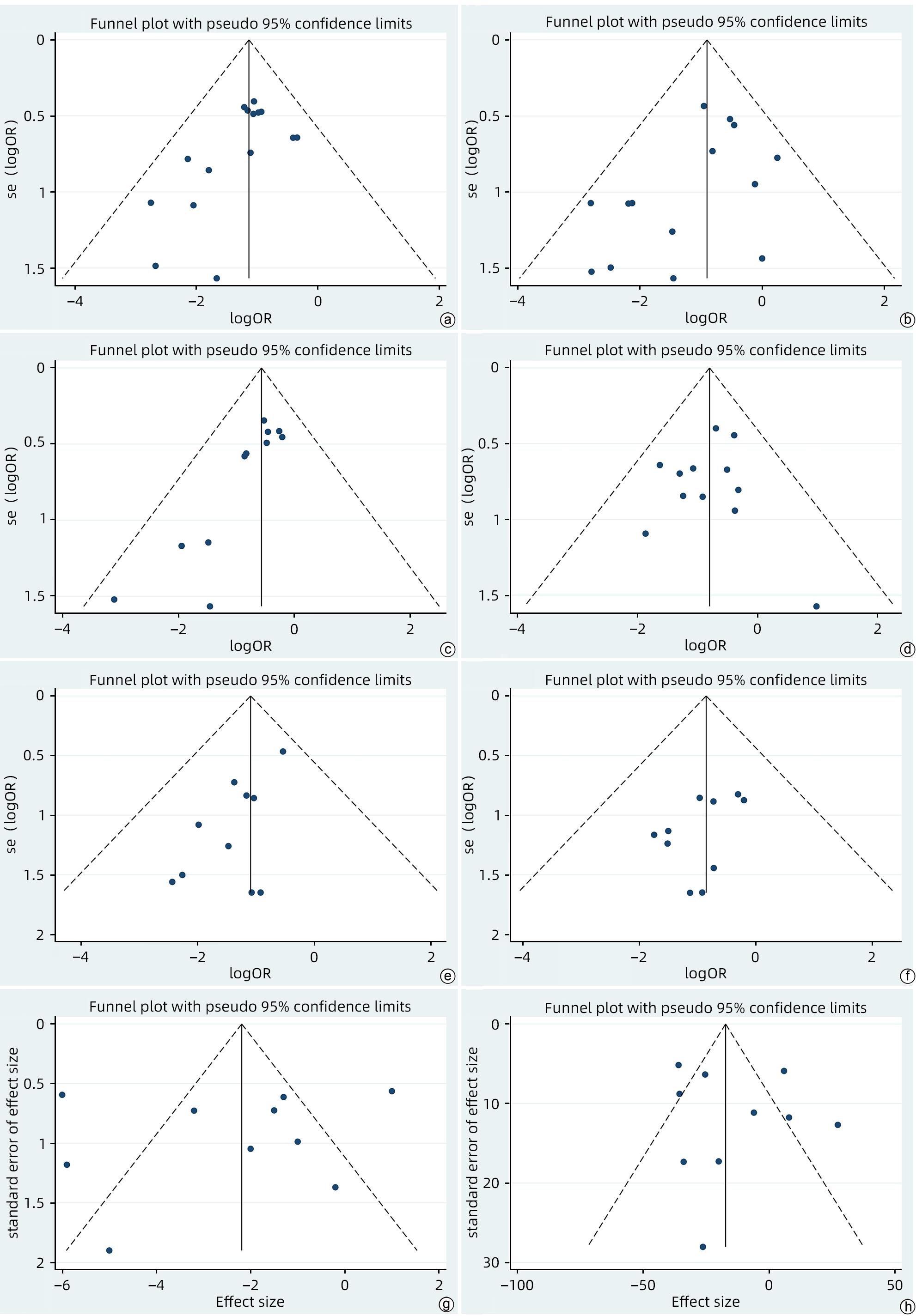
Efficacy of percutaneous transhepatic variceal embolization alone or in combination with partial splenic embolization in treatment of portal hypertensive hemorrhage in liver cirrhosis: A Meta-analysis
Junyuan ZHU, Yifu XIA, Yanmei DU, Chunqing ZHANG
2024, 40(1): 89-95. DOI: 10.12449/JCH240116
Abstract(1361) HTML (344) PDF (1357KB)(59)
Abstract:
  Objective  To investigate the efficacy of percutaneous transhepatic variceal embolization (PTVE) alone or in combination with partial splenic embolization (PSE) in the treatment of portal hypertensive hemorrhage in liver cirrhosis through a meta-analysis.  Methods  This study was conducted according to PRISMA guideline, with a PROSPERO registration number of CRD42023396690. Wanfang Med Online, CNKI, CBM, VIP Databases, PubMed, Embase, the Cochrane Library, and Web of Science databases were searched for articles on PTVE alone or in combination with PSE in the treatment of portal hypertensive hemorrhage in liver cirrhosis published up to December 23, 2022. The articles were selected based on inclusion and exclusion criteria, and related data were extracted. The RevMan 5.4.1 statistical analysis software was used to perform the meta-analysis.  Results  Eight articles were finally included, with a total sample size of 592 cases, among which there were 316 cases in the PTVE+PSE group and 276 cases in the PTVE group. The meta-analysis showed that compared with the PTVE group, the PTVE+PSE group had significantly lower postoperative portal vein pressure (standardized mean difference [SMD]=-1.75, 95% confidence interval [CI]: -2.33 to -1.16, P<0.05), postoperative diameter of the portal vein (SMD=-0.87, 95%CI: -1.64 to -0.10, P<0.05), postoperative rebleeding rate (odds ratio [OR]=0.17, 95%CI: 0.11 — 0.28, P<0.05), mortality rate (OR=0.13, 95%CI: 0.04 — 0.37, P<0.05), and incidence rate of postoperative portal hypertensive gastrointestinal disease (OR=0.17, 95%CI: 0.07 — 0.45, P<0.05], as well as a significantly higher postoperative platelet level (SMD=0.79, 95%CI: 0.52 — 1.06, P<0.05), while there were no significant differences between the two groups in the incidence rates of postoperative ascites.  Conclusion  Compared with PTVE alone, PTVE combined with PSE can effectively reduce the rebleeding rate and mortality rate of portal hypertensive hemorrhage in liver cirrhosis, the incidence rate of portal hypertensive gastrointestinal disease, and portal vein pressure, and it can also shorten the diameter of the portal vein and increase platelet level. Therefore, it is an effective interventional method for the treatment of portal hypertension hemorrhage in liver cirrhosis.
Therapeutic effect of transplantation of bone marrow mesenchymal stem cells co-cultured with bone marrow M2 macrophages on a rat model of liver cirrhosis
Xinrui ZHENG, Yannan XU, Danyang WANG, Feifei XING, Mengyao ZONG, Shihao ZHANG, Junyi ZHAN, Wei LIU, Gaofeng CHEN, Jiamei CHEN, Ping LIU, Yongping MU
2024, 40(1): 96-103. DOI: 10.12449/JCH240117
Abstract(1489) HTML (498) PDF (4389KB)(57)
Abstract:
  Objective  To investigate the effect of transplantation of bone marrow mesenchymal stem cells (BMSCs) co-cultured with bone marrow-derived M2 macrophages (M2-BMDMs), named as BMSCM2, on a rat model of liver cirrhosis induced by carbon tetrachloride (CCl4)/2-acetaminofluorene (2-AAF).  Methods  Rat BMDMs were isolated and polarized into M2 phenotype, and rat BMSCs were isolated and co-cultured with M2-BMDMs at the third generation to obtain BMSCM2. The rats were given subcutaneous injection of CCl4 for 6 weeks to establish a model of liver cirrhosis, and then they were randomly divided into model group (M group), BMSC group, and BMSCM2 group, with 6 rats in each group. A normal group (N group) with 6 rats was also established. Since week 7, the model rats were given 2-AAF by gavage in addition to the subcutaneous injection of CCl4. Samples were collected at the end of week 10 to observe liver function, liver histopathology, and hydroxyproline (Hyp) content in liver tissue, as well as changes in the markers for hepatic stellate cells, hepatic progenitor cells, cholangiocytes, and hepatocytes. A one-way analysis of variance was used for comparison of continuous data between multiple groups, and the least significant difference t-test was used for further comparison between two groups.  Results  Compared with the N group, the M group had significant increases in the activities of serum alanine aminotransferase (ALT) and aspartate aminotransferase (AST)P<0.01); compared with the M group, the BMSC and BMSCM2 groups had significant reductions in ALT and AST (P<0.01), and the BMSCM2 group had significantly better activities than the BMSC group (P<0.05). Compared with the N group, the M group had significant increases in Hyp content and the mRNA and protein expression levels of alpha-smooth muscle actin (α-SMA) in the liver (P<0.01); compared with the M group, the BMSC and BMSCM2 groups had significant reductions in Hyp content and the expression of α-SMAP<0.05), and the BMSCM2 group had a significantly lower level of α-SMA than the BMSC group (P<0.01). Compared with the N group, the M group had significant increases in the mRNA expression levels of the hepatic progenitor cell markers EpCam and Sox9 and the cholangiocyte markers CK7 and CK19 (P<0.01) and significant reductions in the expression levels of the hepatocyte markers HNF-4α and Alb (P<0.01); compared with the M group, the BMSC and BMSCM2 groups had significant reductions in the mRNA expression levels of EpCam, Sox9, CK7, and CK19 (P<0.05) and significant increases in the mRNA expression levels of HNF-4α and Alb (P<0.05), and compared with the BMSC group, the BMSCM2 group had significant reductions in the mRNA expression levels of EpCam and CK19 (P<0.05) and significant increase in the expression level of HNF-4α (P<0.05).  Conclusion  M2-BMDMs can enhance the therapeutic effect of BMSCs on CCl4/2-AAF-induced liver cirrhosis in rats, which provides new ideas for further improving the therapeutic effect of BMSCs on liver cirrhosis.
Other Liver Disease
Abnormal liver biochemical parameters in pregnancy during the epidemic of coronavirus disease 2019
Binbin LIU, Wen GAO, Xiaoyuan XU, Jianxiang LIU
2024, 40(1): 104-109. DOI: 10.12449/JCH240118
Abstract(845) HTML (250) PDF (667KB)(76)
Abstract:
  Objective  To investigate the differences in abnormal liver biochemical parameters in pregnant patients during the epidemic or non-epidemic period of coronavirus disease 2019 (COVID-19).  Methods  A retrospective analysis was performed for 539 pregnant women who were discharged from Department of Obstetrics, Peking University First Hospital, from October 2017 to March 2022 and had at least one abnormal liver biochemical parameter among alanine aminotransferase (ALT), aspartate aminotransferase (AST), gamma-glutamyl transpeptidase (GGT), total bilirubin (TBil), and total bile acid. The patients in the epidemic period of COVID-19 and those in the non-epidemic period of COVID-19 were compared in terms of etiology, coagulation parameters, aminotransferases, bile acid, and renal function. The independent samples t-test was used for comparison of continuous data between two groups, and the chi-square test was used for comparison of categorical data between two groups.  Results  Among the patients discharged from Department of Obstetrics during the non-epidemic period of COVID-19, 262 had abnormal liver biochemical parameters, accounting for 1.46%, while 277 patients had abnormal liver biochemical parameters during the epidemic period of COVID-19, accounting for 1.73% among the patients discharged from Department of Obstetrics during the same period of time, and there was a significant difference between these two groups (χ2=3.947, P=0.047). The etiological analysis of the patients with abnormal liver biochemical parameters during the two periods showed that there was no difference in the proportion of patients with four pregnancy-specific liver diseases (hyperemesis gravidarum, preeclampsia and eclampsia, intrahepatic cholestasis of pregnancy, and acute fatty liver of pregnancy). As for the patients with abnormal liver biochemical parameters in pregnancy, there was no significant difference in the proportion of patients with normal creatinine and stimated glomerular filtration rate (eGFR) between the epidemic period and the non-epidemic period (86.78% vs 87.90%, χ2=0.141, P=0.708). The patients with ALT≥5×upper limit of normal accounted for 7.94% in the epidemic period of COVID-19 and 9.54% in the non-epidemic period (χ2=0.433, P=0.511), and the patients with severe cholestasis accounted for 7.75% in the epidemic period of COVID-19 and 9.27% in the non-epidemic period (χ2=0.392, P=0.531). The proportion of patients with obstetric bleeding during the epidemic period of COVID-19 was significantly lower than that during the non-epidemic period (14.61% vs 24.19%, χ2=489.334, P<0.001).  Conclusion  There is no difference in the proportion of patients with pregnancy-specific liver diseases among the patients with abnormal liver biochemical parameters in pregnancy between the epidemic period and the non-epidemic period of COVID-19, and there is no change in the proportion of patients with normal creatinine and eGFR among these patients in the epidemic period of COVID-19.
Clinical effect of double plasma molecular adsorption system in treatment of patients with chronic liver failure in high-altitude areas
Bowen WANG, Mengjia PENG, Liheng JIANG, Fei FANG, Yuliang WANG, Yuandi SHEN
2024, 40(1): 110-115. DOI: 10.12449/JCH20240119
Abstract(906) HTML (312) PDF (743KB)(53)
Abstract:
  Objective  To investigate the differences in clinical features and mortality rate between native patients with chronic liver failure (CHF) and migrated patients with CHF after treatment with double plasma molecular adsorption system (DPMAS) in high-altitude areas.  Methods  A total of 63 patients with CHF who received DPMAS treatment in the intensive care unit of General Hospital of Tibet Military Command from January 2016 to December 2021 were enrolled, and according to their history of residence in high-altitude areas, they were divided into native group with 29 patients and migrated group with 34 patients. The two groups were compared in terms of baseline data and clinical features before and after DPMAS treatment. The independent-samples t test was used for comparison of normally distributed continuous data between groups, and the paired t-test was used for comparison before and after treatment within each group; the Mann-Whitney U test was used for comparison of non-normally distributed continuous data between groups, and the Wilcoxon signed rank sum test was used for comparison before and after treatment within each group; the chi-square test was used for comparison of categorical data between groups. The Kaplan-Meier method was used to plot survival curves, and the Log-rank test was used for comparison of the risk of death.  Results  Compared with the native group, the migrated group had a significantly higher proportion of Chinese Han patients (χ2=41.729, P<0.001), and compared with the migrated group, the native group had a significantly longer duration of the most recent continuous residence in high-altitude areas (Z=3.364, P<0.001). Compared with the native group, the migrated group had significantly higher MELD score and incidence rates of hepatic encephalopathy, hepatorenal syndrome, and gastrointestinal bleeding (Z=2.318, χ2=6.903, 5.154, and 6.262, all P<0.05). Both groups had significant changes in platelet count (PLT), hemoglobin count (HGB), alanine aminotransferase (ALT), aspartate aminotransferase (AST), albumin, total bilirubin (TBil), direct bilirubin (DBil), lactate dehydrogenase (LDH), creatinine (Cr), and international normalized ratio (INR) after DPMAS treatment (all P<0.05). Before DPMAS treatment, compared with the native group, the migrated group had significantly higher levels of ALT, AST, TBil, DBil, LDH, Cr, BUN, and INR (all P<0.05) and a significantly lower level of HGB (P<0.05); after DPMAS treatment, compared with the native group, the migrated group had significantly greater reductions in PLT and HGB (both P<0.05) and still significantly higher levels of ALT, AST, TBil, DBil, LDH, BUN, and INR (all P<0.05). The 60-day mortality rate of patients after DPMAS treatment was 52.5% (95% confidence interval [CI]: 41.7 — 63.8) in the native group and 81.3% (95%CI: 77.9 — 85.6) in the migrated group. Compared with the native group (hazard ratio [HR]=0.47, 95%CI: 0.23 — 0.95), the migrated group had a significant increase in the risk of death on day 60 (HR=2.14, 95%CI: 1.06 — 4.32, P=0.039).  Conclusion  Compared with the native patients with CHF in high-altitude areas, migrated patients have a higher degree of liver impairment, a lower degree of improvement in liver function after DPMAS treatment, and a higher mortality rate. Clinical medical staff need to pay more attention to migrated patients with CHF, so as to improve their survival rates.
Clinical features of patients with hepatolenticular degeneration aged above 35 years
Hongyun WO, Chengwei KANG, Lei ZHAN, Xiaobing PU
2024, 40(1): 116-120. DOI: 10.12449/JCH240120
Abstract(1280) HTML (909) PDF (819KB)(78)
Abstract:
  Objective  To investigate the clinical features of patients with hepatolenticular degeneration (HLD) aged above 35 years.  Methods  A retrospective analysis was performed for the clinical data of the patients with HLD, aged above 35 years, who attended West China School of Public Health, Sichuan University, from April 2018 to April 2023, and according to their clinical symptoms, they were divided into mixed type group with 13 patients, liver type group with 12 patients, and brain type group with 5 patients. Related data were collected, including general information (sex, clinical manifestation, age at confirmed diagnosis, time from initial symptoms to confirmed diagnosis, and family history), laboratory examination (routine blood test, liver and renal function, serum copper, serum ceruloplasmin, urinary copper, and coagulation function), and radiological examination. A one-way analysis of variance was used for comparison of normally distributed continuous data between multiple groups, and the Kruskal-Wallis H test was used for comparison of non-normally distributed continuous data between multiple groups; the Fisher’s exact test was used for comparison of categorical data between groups.  Results  For the 30 patients with HLD, the male/female ratio was 3∶1, and the mean age was 46.13±5.88 years; the patients with positive Kayser-Fleischer ring of the cornea accounted for 43.33%, and the patients with liver cirrhosis accounted for 66.67%. There were significant differences between the three groups in globulin, albumin/globulin ratio, alanine aminotransferase, prothrombin time, international normalized ratio, and activated partial thromboplastin time (F=5.893, 4.513, 4.424, 5.029, 5.248, and 4.942, all P<0.05).  Conclusion  Most patients are male among the patients diagnosed with HLD after 35 years of age, with the main clinical types of mixed type and liver type, and such patients tend to have poor liver and coagulation functions. For unexplained liver function abnormalities and liver cirrhosis in this age group, the indicators such as serum ceruloplasmin and urinary copper should be screened as early as possible, and liver and kidney function and coagulation function should be monitored.
Menaquinone-4 exerts a protective effect against carbon tetrachloride-induced acute liver injury in mice by alleviating ferroptosis
Lu YE, Fan ZHAO, Qianqian HUANG, Jiayi ZHANG, Jianqing WANG
2024, 40(1): 121-128. DOI: 10.12449/JCH240121
Abstract(893) HTML (456) PDF (2106KB)(68)
Abstract:
  Objective  To investigate whether menaquinone-4 (MK-4) can exert a protective effect against carbon tetrachloride (CCl4)-induced acute liver injury (ALI) in mice by alleviating ferroptosis.  Methods  After adaptive feeding, adult male ICR mice, aged 8 weeks, were divided into Control group, MK-4 group, CCl4 model group (6-hour, 12-hour, and 24-hour), and MK-4+CCl4 group (6-hour, 12-hour, and 24-hour), with 6 mice in each group. The mice in the Control group were given intraperitoneal injection of an equal dose of corn oil; the mice in the MK-4 group were given intraperitoneal injection of 40 mg/kg MK-4 solution, followed by an equal dose of corn oil after 1 hour; the mice in the MK-4+CCl4 group (6-hour, 12-hour, and 24-hour) were given intraperitoneal injection of 40 mg/kg MK-4 solution, and after 1 hour, the mice in this group and the CCl4 model group (6-hour, 12-hour, and 24-hour) were given intraperitoneal injection of 0.3 mL/kg CCl4 solution, with samples collected at 6, 12, and 24 hours. HE staining was used to observe the pathological changes of mouse liver; Prussian blue staining was used to observe iron accumulation in liver tissue; a biochemical analyzer was used to measure the serum levels of aspartate aminotransferase (AST) and alanine aminotransferase (ALT); related kits were used to measure the levels of tissue iron content and the oxidative stress indices malondialdehyde (MDA) and glutathione (GSH) in liver homogenate; RT-PCR was used to measure the expression levels of ferroptosis marker genes (acyl-CoA synthetase long-chain family member 4 [ACSL4], prostaglandin-endoperoxide synthase 2 [PTGS2], and glutathione peroxidase 4 [GPX4]) and iron metabolism-related genes (hemojuvelin [HJV], transferrin receptor 1 [TFR1], and ferroportin [FPN]), and Western blot was used to measure the protein expression level of GPX4. A one-way analysis of variance was used for comparison of continuous data between multiple groups, and the least significant difference t-test was used for further comparison between two groups.  Results  In the aging study, compared with the Control group, the CCl4 model group (6-hour, 12-hour, and 24-hour) had significant increases in liver weight coefficient and the serum levels of ALT and AST (all P<0.05), and HE staining also showed that liver injury gradually aggravated over time. Meanwhile, compared with the CCl4 model group (6-hour, 12-hour, and 24-hour), the MK-4+CCl4 (12-hour) group had significant reductions in liver weight coefficient and the serum levels of ALT and AST (all P<0.05), with a reduction in the necrotic area of liver tissue, and therefore, 12-hour mouse tissue samples were used for detection in the following study. Compared with the Control group, the CCl4 group had a significant increase in MDA and a significant reduction in GSH (both P<0.05), and compared with the CCl4 group, the MK-4+CCl4 group had a significant reduction in MDA and a significant increase in GSH (both P<0.05). Compared with the Control group, the CCl4 group had significant increases in the key ferroptosis indices ASCL4 and PTGS2 and a significant reduction in GPX4 (all P<0.05); compared with the CCl4 group, the MK-4+CCl4 group had significant reductions in the mRNA expression levels of ASCL4 and PTGS2 and a significant increase in the mRNA expression level of GPX4 (all P<0.05). Western blotting showed that compared with the Control group, the CCl4 group had a significant reduction in the protein expression level of GPX4 (P<0.05), and compared with the CCl4 group, the MK-4+CCl4 group had a significant increase in the protein expression level of GPX4 (P<0.05). Prussian blue staining showed that compared with the Control group, the CCl4 group had a significant increase in iron accumulation; after MK-4 intervention, compared with the CCl4 group, the MK-4+CCl4 group had a significant reduction in iron accumulation. As for the measurement of iron metabolism genes in mouse liver, compared with the Control group, the CCl4 group had a significant increase in iron content, significant reductions in the mRNA expression levels of FPN and HJV, and a significant increase in the mRNA expression level of TFR1 (all P<0.05); after protection with MK-4, there was a significant reduction in iron content, significant increases in the mRNA expression levels of FPN and HJV, and a significant reduction in the mRNA expression level of TFR1 (all P<0.05).  Conclusion  MK-4 intervention in advance can alleviate CCl4-induced ALI in mice, possibly by inhibiting ferroptosis and improving the expression of iron metabolism-related genes in mouse liver.
Pancreatic Disease
Efficacy and safety of omental wrapping technique for pancreaticojejunal anastomosis in preventing complications after pancreaticoduodenectomy: A Meta-analysis
Yabo SHI, Yang LI, Huabing LIU, Zhicong WANG, Changwen HUANG
2024, 40(1): 129-137. DOI: 10.12449/JCH240122
Abstract(1042) HTML (305) PDF (2134KB)(68)
Abstract:
  Objective  To systematically evaluate the efficacy and safety of omental wrapping technique for pancreaticojejunal anastomosis in preventing complications after pancreaticoduodenectomy.  Methods  This study was conducted according to the PRISMA guideline. English and Chinese databases including CNKI, Wanfang Data, VIP, CBM, the Cochrane Library, PubMed, Embase, and Web of Science were searched for clinical studies on omental wrapping technique for pancreaticojejunal anastomosis in preventing complications after pancreaticoduodenectomy published up to November 2022, and Stata 16 and Review Manager 5.4 were used to perform the meta-analysis.  Results  A total of 15 studies with 1 830 patients were included in this study. The meta-analysis showed that the omental wrapping group had a significantly lower overall incidence rate of postoperative pancreatic fistula (POPF) than the non-omental wrapping group (odds ratio [OR]=0.30, 95% confidence interval [CI]: 0.22‍ ‍—‍ ‍0.41, P<0.001), and the subgroup analysis showed that the omental wrapping group had a significantly lower incidence rate of grade B/C POPF than the non-omental wrapping group (OR=0.29, 95%CI: 0.21‍ ‍—‍ ‍0.39, P<0.001). Compared with the non-omental wrapping group, the omental wrapping group had significantly lower incidence rates of postoperative bile leakage (OR=0.30, 95%CI: 0.16‍ ‍—‍ ‍0.56, P<0.001), postoperative hemorrhage (OR=0.35, 95%CI: 0.24‍ ‍—‍ ‍0.53, P<0.001), delayed gastric emptying (OR=0.45, 95%CI: 0.31‍ ‍—‍ ‍0.64, P<0.001), abdominal infection (OR=0.55, 95%CI: 0.40‍ ‍—‍ ‍0.75, P<0.001), reoperation (OR=0.31, 95%CI: 0.18‍ ‍—‍ ‍0.54, P<0.001), and death within 30 days after surgery (OR=0.42, 95%CI: 0.22‍ ‍—‍ ‍0.80, P=0.009), a significantly earlier time to diet (mean difference [MD]=-0.98, 95%CI: -1.84 to -0.11, P=0.03), and a significantly shorter length of postoperative hospital stay (MD=-2.44, 95%CI: -4.10 to -0.77, P=0.004). There were no significant differences between the two groups in the time of operation (MD=-13.68, 95%CI: -28.31 to -0.95, P=0.07) and intraoperative blood loss (MD=-17.26, 95%CI: -57.55 to -23.03, P=0.40).  Conclusion  Omental wrapping can reduce the incidence rates of postoperative complications such as pancreatic fistula, bile leakage, postoperative hemorrhage, abdominal infection, and delayed gastric emptying, improve the prognosis of patients, and shorten the length of hospital stay, without increasing surgical difficulty or time of operation.
Value of a nomogram model in early recurrence of pancreatic ductal adenocarcinoma after laparoscopic pancreaticoduodenectomy
Shun LIU, Cheng XIE, Yahui LIU
2024, 40(1): 138-146. DOI: 10.12449/JCH240123
Abstract(1169) HTML (432) PDF (1060KB)(54)
Abstract:
  Objective  To investigate the risk factors for early tumor recurrence after laparoscopic pancreaticoduodenectomy (LPD) in patients with pancreatic ductal adenocarcinoma (PDAC), and to establish a predictive model.  Methods  A retrospective analysis was performed for the clinical data of 240 PDAC patients who underwent LPD in The First Hospital of Jilin University from April 2016 to July 2022, with early postoperative tumor recurrence (time to recurrence ≤12 months) as the study outcome. The patients were randomly divided into training group with 168 patients and validation group with 72 patients at a ratio of 7∶3. In the training group, there were 70 patients (41.67%) with early postoperative recurrence and 98 (58.33%) without early recurrence, and in the validation group, there were 32 (44.44%) with early postoperative recurrence and 40 (55.56%) without early recurrence. The chi-square test or the Fisher’s exact test was used for comparison of categorical data between groups; a logistic regression analysis was used to investigate the risk factors for early postoperative recurrence; the receiver operating characteristic (ROC) curve and the area under the ROC curve (AUC) were used to evaluate the discriminatory ability of the model, with AUC>0.75 indicating that the model had adequate discriminatory ability. The Bootstrap resampling method was used for validation after 1 000 times of random sampling, and the model was validated again in the validation group. The calibration curve and the Hosmer-Lemeshow goodness-of-fit test were used to evaluate the degree of calibration, and the decision curve analysis was used to evaluate clinical practicability.  Results  The univariate and multivariate analyses showed that preoperative CA19-9 level≥37 U/mL (odds ratio [OR]=6.265, 95% confidence interval [CI]: 1.938‍ ‍—‍ ‍20.249, P<0.05), maximum tumor diameter >3 cm (OR=10.878, 95%CI: 4.090‍ ‍—‍ ‍28.932, P<0.05), poor tumor differentiation (OR=3.679, 95%CI: 1.435‍ ‍—‍ ‍9.433, P<0.05), lymph node metastasis (OR=0.209, 95%CI: 0.080‍ ‍—‍ ‍0.551, P<0.05), and absence of adjuvant chemotherapy after surgery (OR=0.167, 95%CI: 0.058‍ ‍—‍ ‍0.480, P<0.05). A nomogram model was constructed based on these factors; the ROC curve analysis showed that the model had an AUC of 0.895 (95%CI: 0.846‍ ‍—‍ ‍0.943, P<0.001), and the calibration curve and the Hosmer-Lemeshow test showed that the model had a good degree of calibration (P=0.173). The decision curve analysis showed that the nomogram had a good clinical application value.  Conclusion  Preoperative CA19-9 level ≥37 U/mL, maximum tumor diameter >3 cm, poor tumor differentiation, lymph node metastasis, and absence of adjuvant chemotherapy after surgery are independent risk factors for the early recurrence of PDAC after LPD, and the nomogram model established based on these factors can effectively predict early postoperative recurrence.
Review
The mechanism of action of mitochondrial dysfunction in the development of non-alcoholic fatty liver disease
Bingqing YANG, Jingya YIN, Qi WANG
2024, 40(1): 147-150. DOI: 10.12449/JCH240124
Abstract(1603) HTML (977) PDF (561KB)(240)
Abstract:
Nonalcoholic fatty liver disease (NAFLD) has gradually become the main reason affecting human liver health, and many factors are involved in the development and progression of NAFLD. Mitochondria, as the “energy factory” of cells, plays an important role in maintaining normal physiological functions. Studies have shown that hepatic mitochondrial dysfunction promotes the development and progression of NAFLD. This article briefly introduces the latest research advances in the basic characteristics and physiological function of liver mitochondria and reviews new research findings in the association of mitochondrial dysfunction with obesity, simple fatty liver disease, and nonalcoholic steatohepatitis, in order to provide new ideas for the research on targeted mitochondrial therapy for NAFLD.
Research advances in primary biliary cholangitis with dyslipidemia
Shiyu YUAN, Huanhuan YANG, Yingmei TANG
2024, 40(1): 151-156. DOI: 10.12449/JCH240125
Abstract(1230) HTML (395) PDF (627KB)(90)
Abstract:
Primary biliary cholangitis (PBC) is an autoimmune liver disease characterized by progressive and non-purulent inflammation of small- and medium-sized bile ducts in the liver. Recent studies have shown that abnormal lipid metabolism is relatively common in patients with PBC, and 76% of PBC patients have dyslipidemia. The effects and harms of dyslipidemia have attracted much attention. Lipid metabolism disorders play an important role in the progression of PBC. This article mainly reviews the research advances in the manifestation, role, diagnosis, and treatment of lipid metabolism disorders in PBC, so as to provide new ideas for the treatment of PBC.
The role and impact of macrophages in the pathogenesis of primary biliary cholangitis
Di MA, Wenlin TAI
2024, 40(1): 157-160. DOI: 10.12449/JCH240126
Abstract(951) HTML (331) PDF (542KB)(71)
Abstract:
Primary biliary cholangitis (PBC) is a chronic autoimmune disease of cholestasis in which immune factors lead to progressive small bile duct destruction, cholestasis, and eventually liver fibrosis, liver cirrhosis, and even liver failure. Macrophages, as a group with functional heterogeneity, play different roles in the whole disease process of PBC. This article summarizes the possible ways by which macrophages are involved in the pathogenesis of PBC and discusses their impact on the disease and the potential therapeutic targets of macrophages. It is pointed out that macrophages are mainly involved in innate immunity in PBC injury and are associated with gut microbiota dysbiosis, and they are also associated with cholestasis, liver fibrosis, and liver cirrhosis in the later stages of the disease.
Research advances in traditional Chinese medicine regulation of programmed cell death in intervening against hepatic fibrosis
Liangjiang HUANG, Dewen MAO, Rongzhen ZHANG, Guochu HUANG, Han WANG, Weibin QIN, Chun YAO
2024, 40(1): 161-168. DOI: 10.12449/JCH240127
Abstract(2163) HTML (670) PDF (731KB)(55)
Abstract:
Hepatic fibrosis (HF) is a pathological process of abnormal repair of liver tissue structure caused by chronic liver injury, and its pathogenesis has not been fully clarified. Related studies have shown that programmed cell death may be associated with the onset of HF, and traditional Chinese medicine (TCM) has a significant effect in regulating programmed cell death to intervene against HF. This article reviews the main mechanism of the influence of programmed cell death on HF and discusses the possible mechanism of TCM regulation of programmed cell death in improving HF, which provides new ideas for TCM prevention and treatment of HF.
Portal vein thrombosis in liver cirrhosis: Risk factors and protection strategies
Wenjuan FENG, Ning ZHOU, Yulu WANG, Zhaoqin BAI
2024, 40(1): 169-174. DOI: 10.12449/JCH240128
Abstract(1111) HTML (289) PDF (626KB)(85)
Abstract:
Portal vein thrombosis (PVT) is one of the common complications during the natural course of liver cirrhosis and has an important influence on the progression of liver cirrhosis. This article mainly summarizes the research advances in the risk factors for PVT. There are many risk factors for PVT, and Virchow’s triad, namely venous stasis, hypercoagulability, and vascular endothelial injury and systemic inflammation caused by surgery or trauma, are considered the main reasons for the development and progression of PVT. At present, more prospective studies are still needed to validate the predictive models for the risk of PVT that have certain application prospects in clinical practice. Cirrhotic patients with PVT tend to have a poor prognosis, and complete obstructive PVT is associated with increased mortality after liver transplantation. Recent studies have shown that prophylactic anticoagulant therapy is safe and effective in patients with liver cirrhosis and can thus help with the prevention and treatment of PVT.
Current status and prospects of transarterial chemoembolization and its combined regimens in the treatment of hepatocellular carcinoma
Zexin HU, Jintao HUANG, Binyan ZHONG, Jian SHEN, Xiaoli ZHU
2024, 40(1): 175-180. DOI: 10.12449/JCH240129
Abstract(1278) HTML (1038) PDF (603KB)(153)
Abstract:
Transarterial chemoembolization (TACE) is currently the primary treatment method for advanced liver cancer. This article elaborates on the current status of application of TACE in hepatocellular carcinoma from the aspects of existing techniques, patient selection, and efficacy assessment and summarizes the research advances and prospects of TACE combined with local treatment and systemic therapy, so as to provide new ideas for clinical practice and experimental studies.
Role of exosomes in intrahepatic cholangiocarcinoma
Jinyuan TANG, Chenfenglin YANG, Dongle LIANG, Yuhao LUO
2024, 40(1): 181-186. DOI: 10.12449/JCH240130
Abstract(974) HTML (380) PDF (1357KB)(65)
Abstract:
Intrahepatic cholangiocarcinoma (ICC) is a special type of liver cancer with atypical clinical symptoms in the early stage, and most patients are already in the advanced stage at the time of initial diagnosis. Due to a lack of effective molecular markers and treatment options, ICC patients tend to have an extremely low five-year survival rate. Exosomes are vesicles secreted by cells that contain proteins, RNA, and lipids, and they are important carriers of intercellular communication. Recent studies have shown that exosomes play a crucial role in the development and progression of ICC, and this article reviews the role and mechanism of exosomes in the diagnosis and treatment of ICC and looks into the future treatment prospect and potential clinical application of exosomes.
Current research status of animal models for acute-on-chronic liver failure
Wei LIU, Lang BAI
2024, 40(1): 187-192. DOI: 10.12449/JCH240131
Abstract(1452) HTML (405) PDF (641KB)(160)
Abstract:
Acute-on-chronic liver failure has complex conditions, rapid progression, and a high mortality rate, and further studies are still needed to clarify its pathogenesis and etiology. The establishment of animal models for acute-on-chronic liver failure can not only provide a good basis for exploring the pathogenesis of acute-on-chronic liver failure, but also provide an experimental basis for clinical treatment. Through a literature review, this article summarizes the methods commonly used to establish the animal models of acute-on-chronic liver failure, including carbon tetrachloride combined with LPS/GaIN, thioacetamide combined with LPS, serum albumin, and bile duct ligation. This article analyzes the characteristics of various animal models, so as to provide documentary and experimental bases for further exploration of more ideal animal models.
Research advances in the immunomodulatory mechanism of galectin-9 and its role in liver diseases
Jun LING, Bing ZHU, Weiwei CHEN, Zhuoran WANG, Limei YU, Shaoli YOU
2024, 40(1): 193-198. DOI: 10.12449/JCH240132
Abstract(1546) HTML (574) PDF (734KB)(66)
Abstract:
Galectin-9 (Gal-9) is a member of the galectin family that can specifically recognize and bind to galactosides. Recent studies have shown that Gal-9 is highly expressed in the liver and can help to maintain intrahepatic immune homeostasis and perform biological functions in various liver diseases. This article reviews the immunomodulatory functions of Gal-9 and its role in different liver diseases. Studies have shown that Gal-9 has important biological functions in different liver diseases through multiple pathways. Research on the specific immunomodulatory mechanisms and functions of Gal-9 may help to discover the therapeutic role of Gal-9 in liver diseases.
Role of apical sodium-dependent bile acid transporter in hepatobiliary diseases
Xiaoxuan XIE, Lina DU, Ziyun GUO, Yan YANG
2024, 40(1): 199-203. DOI: 10.12449/JCH240133
Abstract(1695) HTML (339) PDF (606KB)(69)
Abstract:
Apical sodium-dependent bile acid transporter (ASBT) is a key transporter responsible for intestinal reabsorption of bile acid and plays an important role in maintaining bile acid and cholesterol homeostasis, and its expression is regulated by various factors including transcription factors, nuclear receptors, and intestinal microflora. The abnormal expression and function of ASBT can lead to disorders in the metabolism of bile acid and cholesterol, causing a variety of hepatobiliary diseases. At present, ASBT has attracted wide attention as a therapeutic target. This article elaborates on the biological characteristics and expression regulation mechanism of ASBT and reviews the role of ASBT in hepatobiliary diseases, in order to provide a new direction for the treatment of related diseases.
The pathogenesis of hyperlipidemic acute pancreatitis caused by pancreatic duct hypertension
Jiachen FENG, Ping ZHANG
2024, 40(1): 204-207. DOI: 10.12449/JCH240134
Abstract(1215) HTML (292) PDF (671KB)(67)
Abstract:
Compared with acute pancreatitis caused by other factors, hyperlipidemic acute pancreatitis often has a higher rate of severe conditions, greater difficulties in predicting prognosis, and a more complex and unclear pathogenesis. At present, the pathogenesis of hyperlipidemic acute pancreatitis may be associated with the elevation of serum free fatty acids, but the lipid-lowering treatment regimens do not reduce the incidence rate of this disease. Recent studies have further confirmed that pancreatic duct hypertension is an important pathogenesis of acute pancreatitis. The latest research advances have shown that hyperlipidemia can lead to pancreatic duct obstruction by causing pancreatic duct hyperplasia, forming protein embolism at the biliary-pancreatic junction, and damaging the secretory function of the pancreatic duct, while pancreatic duct obstruction can in turn cause pancreatic duct obstruction. This article reviews the latest research advances in hyperlipidemia in causing pancreatic duct obstruction and emphasizes that pancreatic duct hypertension is one of the important pathogeneses of hyperlipidemic acute pancreatitis, which will provide new ideas for exploring the pathogenesis of hyperlipidemic acute pancreatitis.
Introduction of High - quality Articles in Foreign Journals
Hepatology International|Gut microbiota regulates circadian oscillation in hepatic ischemia-reperfusion injury-induced cognitive impairment by interfering with hippocampal lipid metabolism in mice
2024, 40(1): 109-109. DOI: 10.12449/JCH2401.gwqkjpwzjj1
Abstract(415) HTML (258) PDF (1348KB)(36)
Abstract:
Hepatology International|3D automatic liver and spleen assessment in predicting overt hepatic encephalopathy before TIPS: a multi-center study
2024, 40(1): 128-128. DOI: 10.12449/JCH2401.gwqkjpwzjj2
Abstract(441) HTML (187) PDF (998KB)(26)
Abstract:
Hepatology International|The prevalence of HDV among HBsAg-positive populations with and without HIV-1 in China
2024, 40(1): 146-146. DOI: 10.12449/JCH2401.gwqkjpwzjj3
Abstract(448) HTML (157) PDF (1001KB)(24)
Abstract:
Thanks
Current reviewers
2024, 40(1): 23-23. DOI: 10.12449/JCH2401.zhixie
Abstract(328) HTML (167) PDF (956KB)(19)
Abstract: