中文English
ISSN 1001-5256 (Print)
ISSN 2097-3497 (Online)
CN 22-1108/R
2023 NO.12

Theme Issue: 

Diagnosis and treatment of pancreatic disease-related dyspepsia

Executive Chief Editor: FU Deliang
Huashan Hospital of Fudan University

Display Method:
Editorial
The diagnosis and treatment of pancreatic disease-related dyspepsia
Xiaoyi WANG, Deliang FU
2023, 39(12): 2753-2756. DOI: 10.3969/j.issn.1001-5256.2023.12.001
Abstract(1102) HTML (545) PDF (592KB)(201)
Abstract:
Various pancreatic diseases can cause dyspepsia due to pancreatic exocrine insufficiency (PEI) caused by pancreatic parenchymal injury and/or pancreatic duct obstruction, which further leads to impaired digestive function and a series of severe clinical outcomes such as malnutrition, weight loss, and shortened survival time. Therefore, pancreatic disease-related dyspepsia should be taken seriously in clinical practice to improve its diagnosis and treatment rates, so as to improve the quality of life of patients with pancreatic diseases and prolong overall survival time.
Expert Forum
Advances in the diagnosis and treatment of dyspepsia in chronic pancreatitis patients
Lianghao HU, Zhendong JIN
2023, 39(12): 2757-2762. DOI: 10.3969/j.issn.1001-5256.2023.12.002
Abstract(1429) HTML (690) PDF (575KB)(151)
Abstract:
Dyspepsia is a common group of clinical symptoms and can be classified into organic and functional dyspepsia. Patients with chronic pancreatitis (CP) often have the symptoms of dyspepsia such as fatty diarrhea, abdominal distention, and abdominal pain, and most patients have pancreatic exocrine insufficiency (PEI), which belongs to organic dyspepsia. In clinical practice, the diagnosis of PEI and dyspepsia requires a comprehensive assessment of clinical manifestations, nutritional status, and pancreatic exocrine function, and an individualized treatment regimen should be developed based on such factors. However, some patients with normal exocrine function may have the symptoms of dyspepsia, and the diagnosis and treatment of such patients are still difficulties in clinical practice. This article reviews the advances in the diagnosis and treatment of dyspepsia in CP patients.
Current status of the diagnosis and treatment of pancreatic exocrine insufficiency after pancreatectomy
Ning PU, Yanfei AN, Wenhui LOU
2023, 39(12): 2763-2769. DOI: 10.3969/j.issn.1001-5256.2023.12.003
Abstract(918) HTML (552) PDF (605KB)(124)
Abstract:
Dyspepsia due to pancreatic exocrine insufficiency is a common complication after pancreatectomy; however, due to the lack of simple, efficient, and unified diagnostic methods, standardized treatment standards, and awareness of this disease among surgeons, it is difficult to get adequate diagnosis and treatment. Therefore, this article summarizes the research advances in the definition and pathogenesis of pancreatic exocrine insufficiency, the incidence rate of pancreatic exocrine insufficiency after different surgical procedures, and current diagnostic methods and treatment strategies, in order to provide a reference for further improving the diagnosis and treatment of pancreatic exocrine insufficiency after pancreatectomy.
Diagnosis and treatment of dyspepsia associated with pancreatic tumors
Guodong SHI, Zipeng LU, Kuirong JIANG
2023, 39(12): 2770-2774. DOI: 10.3969/j.issn.1001-5256.2023.12.004
Abstract(956) HTML (288) PDF (569KB)(88)
Abstract:
Dyspepsia is the one of the most common clinical manifestations of digestive system diseases and has various and complex causes, among which pancreatic tumor is a relatively uncommon cause and is easily neglected in clinical practice. The dual factors of tumor and dyspepsia may cause a significant reduction in the quality of life of patients. At present, there is still a lack of standardized diagnosis and treatment strategies for dyspepsia associated with pancreatic tumors, and this article reviews the diagnosis and treatment of this disease.
Guideline
Chinese expert consensus on targeted immunotherapy combined with local therapy for advanced hepatocellular cancer
Liver Oncology Branch, China Association for the Promotion of International Exchange in Healthcare, Immunology Branch
2023, 39(12): 2782-2792. DOI: 10.3969/j.issn.1001-5256.2023.12.006
Abstract(1341) HTML (2701) PDF (908KB)(588)
Abstract:
Key points in hepatitis C guidance 2023 update: American Association for the Study of Liver Diseases-Infectious Diseases Society of America recommendations for testing, managing, and treating hepatitis C virus infection
Huiying RAO
2023, 39(12): 2798-2803. DOI: 10.3969/j.issn.1001-5256.2023.12.008
Abstract(1279) HTML (577) PDF (525KB)(225)
Abstract:
The Infectious Diseases Society of America and the American Association for the Study of Liver Diseases have collaboratively developed evidence-based guidance regarding the diagnosis, management, and treatment of hepatitis C virus (HCV) infection since 2013. A panel of clinicians and investigators with extensive expertise in infectious diseases or hepatology specific to HCV infection periodically reviews related evidence and update existing recommendations or introduce new recommendations based on such evidence. This update focuses on the changes to the guidance since the update in 2020, including recommendations for extensive universal screening, simplified treatment and testing regimens, treatment of poor compliance, and management of unique and key populations such as children aged <3 years and patients undergoing transplantation.
Key points in pancreatic cancer: ESMO clinical practice guideline for diagnosis, treatment and follow-up (2023)
Zheran CHEN, Lei XIN, Luowei WANG
2023, 39(12): 2804-2808. DOI: 10.3969/j.issn.1001-5256.2023.12.009
Abstract(1324) HTML (589) PDF (1010KB)(259)
Abstract:
In September 2023, the European Society for Medical Oncology published Pancreatic cancer: ESMO Clinical Practice Guideline for diagnosis, treatment and follow-up in Annals of Oncology. The guideline provides recommendations on the epidemiology, diagnosis, and treatment of pancreatic cancer (PC). The guideline highlights the high-risk populations of PC and recommended screening methods, clarifies the diagnostic process of PC and various radiological and molecular biology tests, and mentions the appropriate treatment methods for different types of PC. This article makes an excerpt of this guideline and introduces related recommendations for the clinical treatment of PC, in order to provide a reference for clinical practice.
Viral Hepatitis
Predictors of HBsAg clearance in HBeAg-negative chronic hepatitis B patients treated with pegylated interferon α-2b and the construction of a nomogram model
Jialu WANG, Deyang XI, Xuebing YAN, Fang JI, Chunyang LI
2023, 39(12): 2809-2816. DOI: 10.3969/j.issn.1001-5256.2023.12.010
Abstract(1069) HTML (500) PDF (1393KB)(123)
Abstract:
  Objective  To establish an early predictive model using serological markers based on LASSO regression for predicting the possibility of HBsAg clearance in HBeAg-negative chronic hepatitis B (CHB) patients treated with pegylated interferon α-2b (PEG-IFNα-2b), and to investigate the diagnostic value of the model.  Methods  A total of 136 HBeAg-negative CHB patients who received PEG-IFNα-2b treatment in the Affiliated Hospital of Xuzhou Medical University from April 2020 to October 2021 were enrolled, among whom 47 received PEG-IFNα-2b for the first time (previously untreated) and 89 received PEG-IFNα-2b after 48 weeks of treatment with nucleos(t)ide analogues (treatment-experienced). The patients were randomly assigned to a training set with 95 patients and a validation set with 41 patients at a ratio of 7∶3, and related data were collected for both groups, including virological markers, routine blood test results, and liver function at baseline and week 12 of treatment. According to HBsAg status at week 48 of treatment, the patients were divided into seroconversion group with 38 patients and non-seroconversion group with 98 patients. The independent-samples t test was used for comparison of normally distributed continuous data between two groups, and the Wilcoxon rank-sum test was used for comparison of non-normally distributed continuous data between two groups; the chi-square test was used for comparison of categorical variables between two groups. The LASSO regression analysis and univariate and multivariate logistic regression analyses were used to establish a nomogram model; the receiver operating characteristic (ROC) curve was used to assess its predictive ability, and the area under the ROC curve (AUC) was used for comparison of predictive value.  Results  In the training set, 95 HBeAg-negative CHB patients were treated with PEG-IFNα-2b for 48 weeks, among whom there were 27 patients in the seroconversion group and 68 in the non-seroconversion group. The univariate Logistic regression analysis, with P<0.2 as the criterion for screening, showed that 9 indicators were included in the LASSO regression analysis, i.e., sex, baseline HBV DNA level, the reduction in HBV DNA in 0 — 12 weeks, baseline HBsAg level, the reduction in HBsAg in 0 — 12 weeks, baseline aspartate aminotransferase (AST) level, the reduction in AST in 0 — 12 weeks, baseline alanine aminotransferase (ALT) level, and the reduction in ALT in 0 — 12 weeks. The LASSO regression analysis showed that sex, baseline HBsAg level, the reduction in HBsAg in 0 — 12 weeks, and the reduction in ALT in 0 — 12 weeks were non-zero variables and were included in the multivariate Logistic regression analysis. The multivariate Logistic regression analysis obtained 4 independent predictive factors, i.e., sex (odds ratio [OR]=5.38, 95% confidence interval [CI]: 1.11 — 34.21, P=0.049), baseline HBsAg level (OR=0.12, 95%CI: 0.04 — 0.26, P<0.001), the reduction in HBsAg in 0 — 12 weeks (OR=5.54, 95%CI: 1.97 — 19.18, P=0.003), and the reduction in ALT in 0 — 12 weeks (OR=0.99, 95%CI: 0.97 — 1.00, P=0.039). A nomogram model was established based on the results of the multivariate Logistic regression analysis, and the ROC curve was used to assess the predictive value of this nomogram model. This nomogram model had an AUC of 0.934 (95%CI: 0.886 — 0.981) in the training set and an AUC of 0.921 (95%CI: 0.838 — 1.000) in the validation set. In addition, the results of calibration curve and decision curve analyses showed that the model had good consistency and accuracy.  Conclusion  Based on general information and serological markers, the LASSO regression analysis is used to establish a nomogram model using sex, baseline HBsAg level, the reduction in HBsAg in 0 — 12 weeks, and the reduction in ALT in 0 — 12 weeks, and this model can be used to predict the probability of achieving HBsAg clearance in HBeAg-negative CHB patients treated with PEG-IFNα-2b, which provides important reference and theoretical support for the clinical treatment of patients.
Autoimmune Liver Disease
Effect of depression on response to ursodeoxycholic acid and the occurrence of liver cirrhosis in patients with primary biliary cholangitis
Haifeng LIU, Simin ZHOU, Jiwen LI, Jiangpeng LIU, Bangmao WANG, Lu ZHOU
2023, 39(12): 2817-2823. DOI: 10.3969/j.issn.1001-5256.2023.12.011
Abstract(934) HTML (313) PDF (868KB)(96)
Abstract:
  Objective  Depression is common in patients with primary biliary cholangitis (PBC), but the role of depression in disease progression remains unclear. This study aims to investigate the association between depression and treatment response and the impact of depression on liver cirrhosis in PBC patients.  Methods  A retrospective analysis was performed for the clinical data of 141 patients with PBC who attended the outpatient service of autoimmune liver diseases in General Hospital of Tianjin Medical University from January 2018 to December 2020 and received standard ursodeoxycholic acid (UDCA) monotherapy for 1 year, and 170 healthy controls, matched for age and sex, who underwent physical examination in Physical Examination Center were enrolled as healthy control group. Patient Health Questionnaire-9 (PHQ-9) was used to evaluate depressive state in the patients with PBC and the healthy controls. The independent-samples t test was used for comparison of normally distributed continuous data between two groups, and the Mann-Whitney U test was used for comparison of non-normally distributed continuous data between two groups; the chi-square test was used for comparison of categorical data between two groups. The binary logistic regression model and the decision tree model were used to analyze the influencing factors for liver cirrhosis in patients with PBC, as well as the influence of depression and the HLA-DRB1 gene on liver cirrhosis. The receiver operating characteristic (ROC) curve, the area under the ROC curve (AUC), and goodness of fit were used to evaluate model performance. All 13 variables were used to establish a classification and regression tree (CART) model, i.e., age, sex, PHQ-9 score, the DRB1*03∶01 gene, and the serum levels of alanine aminotransferase, aspartate aminotransferase, alkaline phosphatase (ALP), gamma-glutamyl transpeptidase (GGT), total bilirubin, immunoglobulin G, immunoglobulin M (IgM), C3, and C4. The indications including AUC, sensitivity, and specificity were used to evaluate the performance of CART model in the model cohort.  Results  Compared with the normal control group, the PBC group had a significantly higher proportion of the patients with depression (53.9% vs 15.3%, χ2=57.836, P<0.001). Compared with the PBC patients without depression, the PBC patients with depression had a significantly poorer response to UDCA treatment (χ2=7.549, P=0.006) and significant increases in the serum levels of ALP (Z=-2.157, P=0.031), GGT (Z=-2.180, P=0.029), and IgM (Z=-2.000, P=0.046). Compared with the PBC patients without depression, the PBC patients carrying the HLA-DRB1*03∶01 allele had a significant increase in the risk of liver cirrhosis (P<0.001). The binary logistic regression model analysis showed that PHQ-9 score (OR=1.148, 95%CI: 1.050 — 1.255, P=0.002), the HLA-DRB1*03∶01 gene (OR=5.150, 95%CI: 1.362 — 19.478, P=0.016), age (OR=1.057, 95%CI: 1.009 — 1.106, P=0.018), and serum ALP level (OR=1.009, 95%CI: 1.001 — 1.017, P=0.020) were independent risk factors for liver cirrhosis in patients with PBC. The decision tree analysis showed that PHQ-9 score ≥3.5 was also a risk factor for liver cirrhosis in PBC patients.  Conclusion  Depression is associated with poor treatment response in patients with PBC, and it is an independent risk factor for liver cirrhosis in patients with PBC. This study highlights the important clinical significance of the identification and early management of depressive state in patients with PBC.
Liver Fibrosis and Liver Cirrhosis
Association between spontaneous portosystemic shunt and hepatorenal syndrome in liver cirrhosis
Huan ZHANG, Tenglong XING, Pan ZHANG, Runrun SHANG, Mingmei WANG, Yuying ZHAO, Wanbo XU
2023, 39(12): 2824-2830. DOI: 10.3969/j.issn.1001-5256.2023.12.012
Abstract(883) HTML (272) PDF (776KB)(89)
Abstract:
  Objective  To investigate the association between spontaneous portosystemic shunt (SPSS) and hepatorenal syndrome (HRS) in patients with liver cirrhosis.  Methods  A retrospective analysis was performed for 93 patients with SPSS from Dezhou Hospital, Qilu Hospital of Shandong University, from January 2015 to January 2022, and the patients were followed up for 12 months with the onset of HRS as the observation endpoint. According to the presence or absence of HRS, the 93 patients with SPSS were divided into HRS group with 38 patients (40.86%) and non-HRS group with 55 patients (59.14%), and the two groups were compared in terms of clinical data, laboratory data, complication, and shunt diameter. Based on the maximum shunt vein diameter of 1.5 cm, the 93 patients with SPSS were divided into high shunt group with 52 patients (55.91%) and low shunt group with 41 patients (44.09%), and with the onset of HRS as the observation endpoint, the two groups were compared in terms of the incidence rate of HRS and survival time curve. The independent-samples t test was used for comparison of normally distributed continuous data with homogeneity of variance between two groups, and the chi-square test was used for comparison of categorical data between two groups. The receiver operating characteristic (ROC) curve was used to predict cut-off values, the Kaplan-Meier curve was used for comparison of survival time, and the Log-rank test was used to compare the differences in survival curves. The multivariate Cox regression analysis was used to investigate risk factors.  Results  Compared with the non-HRS group, the HRS group had significant increases in Child-Pugh score, Child-Pugh class, MELD score, serum creatinine, blood urea nitrogen, alanine aminotransferase, aspartate aminotransferase, maximum shunt vein diameter, the incidence rates of hepatic encephalopathy and spontaneous bacterial peritonitis, and the degree of ascites, as well as significant reductions in main portal vein diameter, serum sodium and albumin (all P<0.05). Compared with the low shunt group, the high shunt group had a significant increase in the incidence rate of HRS (51.92% vs 26.83%, χ²=5.974, P=0.015) and a significant reduction in the time to the onset of HRS (Log-rank P=0.033). A maximum shunt vein diameter of >1.5 cm (hazard ratio [HR]=1.123, 95% confidence interval [CI]: 1.041‍ ‍—‍ ‍1.211, P=0.003), an increase in MELD score (HR=1.205, 95%CI: 1.076‍ ‍—‍ ‍1.437, P=0.039), a reduction in serum albumin (HR=0.890, 95%CI: 0.814‍ ‍—‍ ‍0.974, P=0.011), an increase in the degree of ascites (HR=2.099, 95%CI: 1.066‍ ‍—‍ ‍4.130, P=0.032), and spontaneous bacterial peritonitis (HR=2.259, 95%CI: 1.020‍ ‍—‍ ‍5.003, P=0.045) were independent risk factors for the onset of HRS in SPSS patients.  Conclusion  There is an association between SPSS and HRS, and shunt diameter >1.5 cm was an independent risk factor for HRS in SPSS patients, which should be taken seriously and require early intervention in clinical practice.
Clinical features of bone mass loss in liver cirrhosis and its association with sarcopenia
Qiu JIN, Jing YANG, Honglin MA, Zhenghao SUN, Qingqing LIU, Shaoshan HU, Pingju LI
2023, 39(12): 2831-2838. DOI: 10.3969/j.issn.1001-5256.2023.12.013
Abstract(920) HTML (281) PDF (750KB)(67)
Abstract:
  Objective  To investigate the influence of sarcopenia on bone mass loss, the risk factors for bone mass loss in liver cirrhosis, and the correlation between body composition and bone mineral density (BMD) by comparing the clinical features of bone mass loss in patients with liver cirrhosis.  Methods  A total of 92 patients who were hospitalized and diagnosed with liver cirrhosis in Department of Gastroenterology, The Second Affiliated Hospital of Kunming Medical University, from April to December of 2022 were enrolled, and based on the results of dual-energy X-ray absorptiometry, they were divided into bone mass loss group (osteopenia/osteoporosis) with 57 patients and normal bone mass group with 35 patients. The two groups were compared in terms of general data, laboratory examination, imaging data, and body composition analysis. The independent samples t-test or the Mann-Whitney U test was used for comparison of continuous data between two groups, and the chi-square test or the continuity correction chi-square test was used for comparison of categorical data between two groups; Pearson correlation analysis and Spearman correlation analysis were used to investigate correlation; a binary logistic regression analysis was used to investigate the risk factors for bone mass loss in liver cirrhosis.  Results  Compared with the normal bone mass group, the bone mass loss group had significantly higher age (t=-3.597, P<0.05), proportion of female patients (χ2=8.393, P<0.05), N-terminal middle molecular fragment of osteocalcin (N-MID) (Z=-3.068, P<0.05), β isomer of C-terminal telopeptide of type I collagen (β-CTX) (t=-2.784, P<0.05), and proportion of patients with sarcopenia (χ2=13.884, P<0.05) and significantly lower calcitonin (CT) (Z=-2.340, P<0.05) and L3 skeletal muscle index (L3-SMI) (t=4.621, P<0.05). Compared with the normal bone mass group, the bone mass loss group had significantly lower total muscle mass (Z=-2.952, P<0.05), right upper limb muscle mass (Z=-2.929, P<0.05), left upper limb muscle mass (Z=-2.680, P<0.05), right lower limb muscle mass (Z=-3.366, P<0.05), left lower limb muscle mass (Z=-3.374, P<0.05), presumed bone mass (t=2.842, P<0.05), body water mass (Z=-2.779, P<0.05), basal metabolic rate (BMR) (Z=-3.153, P<0.05), and BMD of L1— L4 and femoral neck (t=9.789, t=10.280, t=10.832, Z=-7.298, t=8.945, all P<0.05). Total muscle mass, muscle mass of trunk and limbs, presumed bone mass, BMR, and body water mass in body component analysis were positively correlated with L1 — L4 BMD and femoral neck BMD (all P<0.05), and fat mass was positively correlated with L1 — L4 BMD (all P<0.05). Sarcopenia (odds ratio [OR]=8.737, 95% confidence interval [CI]: 2.237 — 34.129, P=0.002), age (OR=1.094, 95%CI: 1.019 — 1.175, P=0.013), and N-MID (OR=1.095, 95%CI: 1.019 — 1.176, P=0.014) were independent risk factors for bone mass loss in patients with liver cirrhosis.  Conclusion  Old age, female sex, sarcopenia, elevated N-MID, elevated β-CTX, reduction in CT, low muscle mass, low presumed bone mass, low BMR, and low body water mass are the features of bone mass loss in patients with liver cirrhosis, and sarcopenia, age, and N-MID are independent risk factors for bone mass loss in patients with liver cirrhosis. Detailed assessment of body composition changes can help to identify abnormal BMD in patients with liver cirrhosis.
Value of Model for End-Stage Liver Disease score and albumin-bilirubin score combined with β2-microglobulin in predicting liver cirrhosis with acute kidney injury
Peng WANG, Zeyu LI, Yating JIANG, Cheng SHANG, Hong WANG
2023, 39(12): 2839-2844. DOI: 10.3969/j.issn.1001-5256.2023.12.014
Abstract(683) HTML (324) PDF (682KB)(62)
Abstract:
  Objective  To investigate the value of combined determination of Model for End-Stage Liver Disease (MELD) score, albumin-bilirubin (ALBI) score, and β2-microglobulin in the diagnosis of liver cirrhosis with acute kidney injury (AKI).  Methods  Clinical data were collected from 258 patients with liver cirrhosis who attended The First Affiliated Hospital of Zhengzhou University from October 2019 to October 2022, and according to the presence or absence of AKI, they were divided into AKI group with 117 patients and non-AKI group with 141 patients. The changes in each index were compared between the two groups and between the patients with different stages of kidney injury. The independent samples t-test was used for comparison of normally distributed continuous data between two groups, and a one-way analysis of variance was used for comparison between multiple groups; the Mann-Whitney U test was used for comparison of non-normally distributed continuous data between two groups, and the Kruskal-Wallis H test was used for comparison between multiple groups; the chi-square test was used for comparison of categorical data between groups. The receiver operating characteristic (ROC) curve was plotted to evaluate the efficacy of each index in the diagnosis of liver cirrhosis with AKI.  Results  Compared with the non-AKI group, the AKI group had significantly higher age (t=2.307, P=0.022), proportion of patients with hepatic encephalopathy (χ2=18.064, P<0.001) or with spontaneous peritonitis (χ2=16.397, P<0.001), mortality rate (χ2=45.251, P<0.001), levels of creatinine (Z=-8.737, P<0.001) and β2-microglobulin (Z=-8.829, P<0.001), and scores of CTP (Z=-4.058, P<0.001), ALBI (t=2.563, P=0.011), and MELD (Z=-5.628, P<0.001), as well as a significantly shorter length of hospital stay (Z=-3.391, P=0.001). There were significant differences in creatinine, β2-microglobulin, MELD score, and ALBI score between the patients with stage 1, 2 or 3 AKI (P<0.05), while there was no significant difference in CTP score between these three groups (P>0.05). The combined determination of ALBI score, MELD score, and β2-microglobulin had an area under the ROC curve (AUC) of 0.837 (95% confidence interval [CI]: 0.782 — 0.892), with a sensitivity of 75.2% and a specificity of 90.8%; ALBI score combined with MELD score had an AUC of 0.700 (95%CI: 0.636 — 0.764), ALBI score combined with β2 microglobulin had an AUC of 0.823 (95%CI: 0.765 — 0.881), and MELD combined with and β2 microglobulin had an AUC of 0.835 (95%CI: 0.779 — 0.890), suggesting that combined determination of ALBI score, MELD score, and β2-microglobulin had a better diagnostic efficacy than ALBI score, MELD score, or β2-microglobulin used alone or in pairs, as well as a better diagnostic efficacy than creatinine.  Conclusion  Combined determination of ALBI score, MELD score, and β2-microglobulin has a relatively high value in the diagnosis of liver cirrhosis with AKI.
Mechanism of microRNA-223-3p inhibiting hepatic stellate cell activation by targeting microtubule-associated protein 1B
Wentao XIE, Kangkang YU, Qi CHENG, Ning LI
2023, 39(12): 2845-2850. DOI: 10.3969/j.issn.1001-5256.2023.12.015
Abstract(680) HTML (366) PDF (1203KB)(57)
Abstract:
  Objective  To investigate the effect of microRNA-223-3p (miR-223-3p) on hepatic stellate cell (HSC) activation and its mechanism.  Methods  Human HSC LX2 cells were selected for the study, and LX2 cells were stimulated by TGF-β to establish a model of HSC activation; quantitative real-time PCR was used to measure the change in the expression level of miR-223-3p during HSC activation. After LX2 cells were transfected with miR-223-3p mimic, quantitative real-time PCR, Western blot, and immunofluorescence assay were used to clarify the regulatory effect of miR-223-3p on HSC activation, and dual-luciferase reporter assay was used to verify the association between miR-223-3p and the target gene MAP1B. After LX2 cells were transfected with MAP1B siRNA, Western blot was used to clarify the influence of inhibiting MAP1B expression on HSC activation; after LX2 cells were transfected with miR-223-3p, quantitative real-time PCR and Western blot were used to verify the regulatory effect of miR-223-3p on MAP1B. The independent-samples t test was used for comparison of continuous data between two groups.  Results  HSC in the activated state had a significant reduction in the expression level of miR-223-3p compared with those in the resting state (t=9.12, P<0.001). Overexpression of miR-223-3p inhibited the mRNA and protein expression levels of the markers for HSC activation alpha-smooth muscle actin and collagen type Ⅰ (mRNA expression: t=8.35 and 12.23, both P<0.01; protein expression: t=16.24 and 20.90, both P<0.001). The dual-luciferase reporter assay confirmed that MAP1B was a potential target gene of miR-223-3p. Compared with the control group, LX2 cells with miR-223-3p overexpression had significant reductions in the mRNA and protein expression levels of MAP1B (mRNA expression: t=5.95, P<0.01; protein expression: t=11.12, P<0.001).  Conclusion  This study shows that miR-223-3p can inhibit HSC activation by targeting MAP1B.
Efficacy of human umbilical cord mesenchymal stem cells via different transplantation approaches in treatment of rats with liver cirrhosis
Yingqi QIU, Hongwei WANG, Hongyan ZHU, Hongliang YU, Fan XIE, Cuibao JIANG
2023, 39(12): 2851-2857. DOI: 10.3969/j.issn.1001-5256.2023.12.016
Abstract(1010) HTML (479) PDF (2070KB)(63)
Abstract:
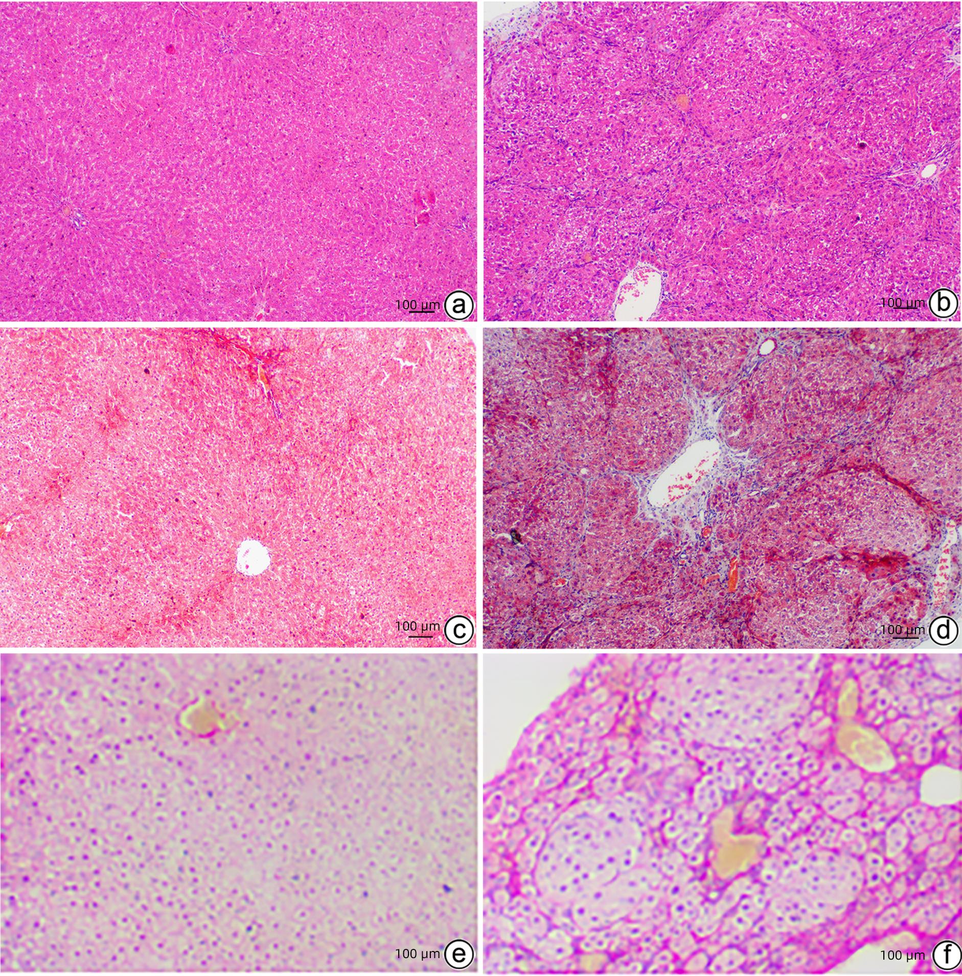
  Objective  To investigate the therapeutic effect of the frozen and fresh preparations of human umbilical cord mesenchymal stem cells (hUC-MSC) on a rat model of liver cirrhosis after transplantation via the portal vein or the caudal vein.  Methods  A total of 70 specific pathogen-free healthy male Sprague-Dawley rats were randomly divided into normal group (13 rats fed with ordinary tap water and rat food) and liver cirrhosis model group (57 rats given subcutaneous multi-point injection of mixed carbon tetrachloride/olive oil solution). At week 8, the growth of rats was observed for both groups, and 3 rats were selected from each group for histopathological examination to confirm the formation of liver cirrhosis. A total of 50 rats were selected from the liver cirrhosis model and were divided into model group, portal vein group+fresh cell preparation group, portal vein+frozen cell preparation group, caudal vein+fresh cell preparation group, and caudal vein+frozen cell preparation group using a random number table, with 10 rats in each group. Fresh or frozen hUC-MSC were transplanted via the portal vein or the caudal vein, and after 4 weeks of administration, the different groups were compared in terms of the changes in liver function parameters and liver fibrosis degree. Continuous data were expressed as mean±standard deviation, and the independent-samples t test was used for comparison between two groups; a one-way analysis of variance was used for comparison between multiple groups, and the least significant difference t-test was used for further comparison between two groups.  Results  At week 8 of modeling, the model group showed the formation of pseudolobules of different sizes in the liver and met the diagnostic criteria for liver cirrhosis, with significant increases in the levels of alanine aminotransferase (ALT), aspartate aminotransferase (AST), total bilirubin (TBil), and alkaline phosphatase (ALP) compared with the normal group (all P<0.001), suggesting that the rat model of liver cirrhosis was established successfully. There were significant differences in the levels of ALT, AST, TBil, and ALP between the five groups (F=232.00, 177.10, 112.30, 121.70, all P<0.001). Further comparison between two groups showed that the model group had significantly higher levels of ALT, AST, TBil, and ALP than the normal group (all P<0.01), and the portal vein group+fresh cell preparation group, the portal vein+frozen cell preparation group, the caudal vein+fresh cell preparation group, and the caudal vein+frozen cell preparation group had significantly lower levels of ALT, AST, TBil, and ALP than the model group (all P<0.01).  Conclusion  There are significant improvements in liver function and liver fibrosis degree in a rat model of liver cirrhosis at week 4 after the transplantation of hUC-MSC, and frozen or fresh cell preparation and different transplantation approaches have no significant influence on treatment outcome.
Liver Neoplasm
Role of HBV DNA polymerase in mediating the immune escape of tumor cells in HBV-related hepatocellular carcinoma
Hongxia LI, Yimeng SUN, Hongtao ZHANG, Shuwang HAN, Delin ZHANG, Haitao SHANG, Wu GUO, Junjian LIU, Zhonglian LI
2023, 39(12): 2858-2866. DOI: 10.3969/j.issn.1001-5256.2023.12.017
Abstract(676) HTML (209) PDF (2211KB)(59)
Abstract:
  Objective  To determine whether HBV DNA polymerase is associated with T-cell failure and thus mediates the immune escape of HBV-related hepatocellular carcinoma (HCC) tumor cells, and to investigate the specific molecular mechanisms.  Methods  Liver cancer cell lines Huh7 and HepG2 stably transfected with HBV DNA polymerase expression plasmid with Flag (Flag-HBV-P) and intercellular adhesion molecule-1 (ICAM1) were co-cultured with Jurkat cells, and MTT assay, qRT-PCR, and ELISA were used to measure Jurkat cell proliferation, activation (CD69 expression), and secretion of the cytokine IFN-γ. RNA-seq was used to screen for differentially expressed immune-associated molecules between stably transfected cell lines and control cells, and mRNA half-life and protein half-life assays were used to determine the specific levels of the immune-associated molecules that were affected by HBV DNA polymerase. Related websites were used to predict the transcription factors that may bind to the promoter region of this immune-associated molecule, Western blot was used to verify the effect of transcription factors on the immune-associated molecule, and rescue experiment was used to determine whether HBV DNA polymerase affects the expression level of the immune-associated molecule through this transcription factor. The independent-samples t test was used for comparison between two groups.  Results  The experimental group had significant reductions in Jurkat cell proliferation, activation, and cytokine secretion compared with the control group (all P<0.01). Compared with the control group, the experimental group (Huh7 and HepG2 cell lines) had significant reductions in the mRNA and protein expression levels of ICAM1 (all P<0.01). Website prediction identified the ICAM1 promoter and preliminarily highlighted NFKB1, RELA, and STAT3. Compared with the control group, the experimental group (Huh7 and HepG2 cell lines) had a significant reduction in the protein expression level of p65 (all P<0.01). After p65 overexpression, there was a significant increase in the protein expression level of ICAM1, and after the expression of p65 was reduced, there was a significant reduction in the protein expression level of ICAM1 (all P<0.01). In the rescue experiment, there was no significant difference in the protein expression level of ICAM1 between the control group and the experimental group after p65 overexpression (all P>0.05). After the overexpression of ICAM1, there were no significant differences in the proliferation, activation, and cytokine secretion of Jurkat cells between the control group and the experimental group (Huh7 and HepG2 cell lines) (all P>0.05).  Conclusion  HBV DNA polymerase downregulates the level of ICAM1 to mediate HCC immune escape by inhibiting the expression of p65 in NF-κB.
Other Liver Disease
Value of the serum levels of Clusterin and sphingosine 1-phosphate in assessing the prognosis of sepsis patients with acute liver injury
Dazhou XU, Shuxian ZHANG, Kun WANG, Chenyan ZUO, Yi ZENG, Qingwen YUAN, Zhimei ZHANG
2023, 39(12): 2867-2872. DOI: 10.3969/j.issn.1001-5256.2023.12.018
Abstract(940) HTML (247) PDF (699KB)(37)
Abstract:
  Objective  To investigate the value of the serum levels of Clusterin and sphingosine 1-phosphate (S1P) in assessing the prognosis of sepsis patients with acute liver injury.  Methods  A total of 127 sepsis patients with acute liver injury who were admitted to Lianyungang Hospital, Xuzhou Medical University, from March 2019 to May 2022 were enrolled, and according to their prognosis after 28 days of treatment, they were divided into death group with 35 patients and survival group with 92 patients. The independent-samples t test was used for comparison of continuous data between two groups, and the chi-square test was used for comparison of categorical data between groups. A pearson correlation analysis was used to investigate the correlation. The prognostic value of serum Clusterin and S1P was analyzed by receiver operating characteristic curve.  Results  There were significant differences between the two groups in the degree of liver injury, Acute Physiology and Chronic Health Evaluation Ⅱ (APACHEⅡ) score, Sequential Organ Failure Assessment (SOFA) score, the presence or absence of acute kidney injury, prothrombin time (PT), international normalized ratio (INR), Child-Pugh class, and C-reactive protein (all P<0.05). The death group had significantly lower serum levels of Clusterin and S1P than the survival group (t=11.094 and 10.390, both P<0.05). The patients with severe liver injury had significantly lower serum levels of Clusterin and S1P than those with mild or moderate liver injury (t=9.825 and 11.418, both P<0.05). The multivariate regression analysis showed that the degree of liver injury (odds ratio [OR]=1.260, 95% confidence interval [CI]: 1.081 — 1.468, P<0.05), APACHEII score (OR=1.031, 95%CI: 1.019 — 1.044, P<0.05), SOFA score (OR=1.066, 95%CI: 1.039 — 1.094, P<0.05), Clusterin (OR=0.899, 95%CI: 0.859 — 0.940, P<0.05), and S1P (OR=0.824, 95%CI: 0.749 — 0.908, P<0.05) were independent risk factors for the prognosis of patients with sepsis. The ROC curve analysis showed that serum Clusterin and S1P used alone or in combination had an area under the ROC curve of 0.864, 0.861, and 0.949, respectively. Serum Clusterin and S1P were significantly negatively correlated with alanine aminotransferase, total bilirubin, PT, and INR in sepsis patients with acute liver injury (all P<0.05).  Conclusion  The sepsis patients with acute liver injury who died had significant reductions in serum Clusterin and S1P compared with those who survived, and the levels of Clusterin and S1P are closely associated with the degree of liver injury. The combination of Clusterin and S1P has a good value in predicting the prognosis of sepsis patients with acute liver injury and is expected to become a potential marker for predicting the prognosis of sepsis patients with acute liver injury.
Protective effect of Zhizi Dahuang decoction in a mouse model of alcoholic liver disease
Yiwen HOU, Rongjie ZHANG, Longshan JI, Qian LI, Yueqiu GAO, Man LI
2023, 39(12): 2873-2884. DOI: 10.3969/j.issn.1001-5256.2023.12.019
Abstract(1160) HTML (261) PDF (3331KB)(58)
Abstract:
  Objective  To investigate the effect of Zhizi Dahuang decoction (ZZDHT) in the treatment of alcoholic liver disease (ALD) by improving oxidative stress in hepatic neutrophils.  Methods  Network pharmacology was used to obtain the chemical components of ZZDHT and their corresponding action targets and analyze the potential targets and functional pathways of ZZDHT in the treatment of ALD. The non-target metabolomics technology was used to observe the changes in the metabolites of ZZDHT in mouse serum and liver. The mice were given ZZDHT at a dose twice as much as the middle dose concentration by gavage, and serum and liver samples were collected at six time points after gavage (10 minutes, 30 minutes, 1 hour, 2 hours, 4 hours, and 6 hours) and were then mixed for mass spectrometry (administration group with 18 mice), while the 18 mice in the control group were given an equal volume of normal saline by gavage. Ultra-performance liquid chromatography was used for rapid isolation and identification of the metabolites of ZZDHT in serum and liver tissue, and the effective constituents of ZZDHT were validated. Male C57BL/6J mice, aged 8 weeks, were randomly and equally divided into control group, model group, and low-, middle-, and high-dose ZZDHT groups, with 10 mice in each group. All mice except those in the control group were used to establish a mouse model of ALD (NIAAA model mice), and at the same time, the mice in the administration groups were given low-, middle-, and high-dose ZZDHT by gavage, while those in the control group and the model group were given an equal volume of normal saline by gavage. The serum levels of alanine aminotransferase (ALT), aspartate aminotransferase (AST), and triglyceride (TG) were measured; PCR was used to measure the gene expression levels of related inflammation, oxidative stress, and neutrophil indicators in the liver; ELISA was used to measure the levels of related inflammation and oxidative stress indicators in serum; superoxide dismutase (SOD), glutathione peroxidase (GSH-Px), and malondialdehyde (MDA) were measured to observe the level of oxidative stress in the liver; HE staining, myeloperoxidase staining, and oil red staining were used to observe liver injury, neutrophil infiltration, and lipid deposition. A one-way analysis of variance was used for comparison of continuous data between multiple groups, and the least significant difference t-test was used for further comparison between two groups.  Results  A total of 53 active components and 227 target genes were obtained for ZZDHT, and there were 8685 target genes of ALD, resulting in 222 common target genes between these two groups of genes. Core pathways included the interleukin-6 signaling pathway and the TNF signaling pathway. The non-targeted metabolic analysis of ZZDHT obtained 225 metabolites in mouse liver and 227 metabolites in serum, among which there were 126 common metabolites. The core pathways of liver metabolites included glycerolipid metabolism and inflammatory mediator regulation of TRP channels, and the core pathways of serum metabolites included the AMPK signaling pathway and oxidative phosphorylation, all of which were associated with oxidative stress- and inflammation-related pathways. Compared with the model group, the low-, middle-, and high-dose ZZDHT groups had significant reductions in the serum levels of ALT, AST, and TG (all P<0.05), and the middle-dose ZZDHT group had significant reductions in the levels of Ly6g, Ncf1, Ncf2, IL-6, TNF-α, IL-1β, MDA, 4-HNE, Gp91, and P22 in the liver (all P<0.05), a significant increase in the level of SOD (P<0.05), a significant reduction in the serum level of 4-HNE (P<0.05), and a significant increase in the level of GSH-Px (P<0.05). There were significant improvements in fat deposition and neutrophil infiltration in the liver of mice in the middle-dose ZZDHT group (both P<0.05).  Conclusion  ZZDHT significantly reduces oxidative stress and inflammatory response in NIAAA model mice.
Biliary Disease
Efficacy and safety of endoscopic retrograde cholangiopancreatography during pregnancy and puerperium: A comparative analysis
Ronglai CAO, Liang ZHU, Zhengping YU, Jinli HE, Youxiang CHEN
2023, 39(12): 2885-2893. DOI: 10.3969/j.issn.1001-5256.2023.12.020
Abstract(697) HTML (233) PDF (680KB)(39)
Abstract:
  Objective  To investigate the efficacy and safety of endoscopic retrograde cholangiopancreatography (ERCP) during pregnancy and puerperium through a comparative analysis.  Methods  A retrospective analysis was performed for the clinical data of 22 patients in pregnancy and 39 patients in puerperium who received ERCP in Digestive Endoscopy Center of The First Affiliated Hospital of Nanchang University from January 2007 to August 2022. The two groups of patients were compared in terms of baseline data, diagnosis during ERCP, interventions, laboratory results before and after ERCP, post-ERCP complications, and delivery and fetal outcomes. The independent-samples t test was used for comparison of continuous data between two groups, and the chi-square test or the Fisher’s exact test was used for comparison of categorical data between two groups.  Results  There were no significant differences between the patients in pregnancy and those in puerperium in all baseline data (all P>0.05) except the rate of CT examination (22.73% vs 58.97%, χ2=7.44, P=0.006). During the ERCP procedure, compared with the patients in puerperium, the patients in pregnancy had a significantly lower proportion of the patients who underwent biliary stone extraction or endoscopic papillary balloon dilation (χ2=4.007 and 4.315, both P<0.05) and a significantly higher proportion of the patients who did not receive X-ray fluoroscopy (χ2=12.103, P=0.001). After ERCP, both groups had significant improvements in white blood cell count, total bilirubin, direct bilirubin, alanine aminotransferase, and aspartate aminotransferase (all P<0.05). The overall incidence rate of post-ERCP complications was 7.04% (5/71) for all patients, with post-ERCP biliary infection as the most common complication (3/71,4.23%), and there was no significant difference in the incidence rate of post-ERCP complications between the two groups (P>0.05). As for delivery and fetal outcomes, compared with the patients in puerperium, the patients in pregnancy had a significantly higher proportion of patients with early termination of pregnancy (50.00% vs 0,χ2=20.528, P<0.001) and a significantly lower proportion of patients with cesarean section (36.36% vs 76.92%, χ2=4.756, P=0.029). There were no significant differences in the incidence rates of adverse events such as abnormal fetal development and stillbirth between the two groups (P>0.05).  Conclusion  With strict control of ERCP indications and timing, ERCP is effective and relatively safe in both pregnancy and puerperium and has a comparable incidence rate of post-ERCP complications to that in the general population, with relatively good delivery and fetal outcomes.
Pancreatic Disease
Establishment of a prognostic prediction model for pancreatic cancer based on endoplasmic reticulum stress-related genes
Shengnan LYU, Xinyu PENG, Jian ZHANG, Huan LIU, Feng WEI
2023, 39(12): 2894-2900. DOI: 10.3969/j.issn.1001-5256.2023.12.021
Abstract(992) HTML (538) PDF (1296KB)(53)
Abstract:
  Objective  To investigate the role of endoplasmic reticulum stress genes in the prognosis of pancreatic cancer, and to establish a prognostic prediction model based on the prognostic markers for pancreatic cancer.  Methods  Transcriptome sequencing data were downloaded from TCGA and GTEx databases, and MsigDB website was used to obtain endoplasmic reticulum stress genes. A univariate Cox regression analysis was performed to obtain the genes associated with the prognosis of pancreatic cancer, and a consensus clustering analysis was used to construct the molecular typing of pancreatic cancer, while the differentially expressed genes between the two subgroups were obtained. A Lasso regression analysis was used to obtain the core genes associated with the prognosis of pancreatic cancer, which were used to construct a prognostic prediction model for pancreatic cancer. Related datasets were obtained from the GEO database to validate the predictive performance of the model. The CIBERSORT analysis was used to investigate the correlation between risk score and immune infiltration. Quantitative real-time PCR was used to measure the expression of genes in pancreatic cancer tissue and cell lines. The independent-samples t test was used for comparison of continuous data between two groups, and the chi-square test was used for comparison of categorical data between groups. Survival was compared using Log-rank test. The predictive value of the model was evaluated by evaluating the area under the ROC curve.  Results  The endoplasmic reticulum stress genes CEBPB, MARCKS, PMAIP1, and UBXN10 were independent risk factors for the prognosis of pancreatic cancer, and based on the expression characteristics of these genes, the TCGA pancreatic cancer cohort was divided into two subgroups, i.e., cluster A and cluster B, while the cluster A patients had a significantly shorter overall survival time than the cluster B patients (P<0.01). The Lasso regression analysis obtained 5 core genes from the differentially expressed genes affecting the prognosis of pancreatic cancer, and the risk scoring system was established as risk score=0.156×CDA+0.135×AHNAK2+0.020×RHOV+0.095×LY6D+0.054×SPRR1B. The ROC curve analysis showed that this model had good overall predictive performance, with the area under the ROC curve of 0.731 at 1 year, 0.712 at 3 years, and 0.686 at 5 years, and the low-risk group based on this model had a significantly longer overall survival time than the high-risk group (χ2=11.733, P=0.001). The model showed good predictive performance in the external dataset GSE57495. Quantitative real-time PCR results showed that the expression levels of CDA, AHNAK2, RHOV, LY6D, and SPRR1B in 40 pancreatic cancer tissue samples were significantly upregulated compared with those in normal adjacent tissue samples (t=2.529, 2.458, 3.314, 3.583, and 5.082, all P<0.05).  Conclusion  The expression characteristics of CDA, AHNAK2, RHOV, LY6D, and SPRR1B can be used to predict the prognosis of pancreatic cancer, and the high expression levels of these genes are associated with the poor prognosis of pancreatic cancer patients.
New Technology and Therapeutic Strategy
Application of Mengchao Liver Disease-Brain System version 2.0 in artificial intelligence-assisted clinical diagnosis and treatment: A preliminary study
Haitao LI, Hongzhi LIU, Gouxu FANG, Pengfei GUO, Zhenwei CHEN, Jingfeng LIU
2023, 39(12): 2901-2907. DOI: 10.3969/j.issn.1001-5256.2023.12.022
Abstract(1003) HTML (293) PDF (647KB)(59)
Abstract:
  Objective  To investigate the application of Mengchao Liver Disease-Brain System version 2.0 in clinical diagnosis and treatment.  Methods  This study was conducted among 160 patients who were admitted to the internal medicine and surgical departments from June 9 to 21, 2021, and their data were automatically captured by the intelligent information system of Southeast Big Data Institute of Hepatobiliary Health, Mengchao Hepatobiliary Hospital of Fujian Medical University. The completeness and accuracy of Mengchao Liver Disease-Brain System version 2.0 were evaluated based on the intelligent diagnostic tools such as auxiliary diagnosis of chronic hepatitis B, interpretation of liver fibrosis, staging model of chronic hepatitis B, auxiliary diagnosis of liver cirrhosis, auxiliary staining of liver cirrhosis, auxiliary diagnosis of primary liver cancer, BCLC stage of primary liver cancer, Chinese staging of primary liver cancer, Child-Pugh score, and APRI score.  Results  All auxiliary diagnostic tools had a complete rate of 94.17% in terms of the extraction of correct key dimensions within the test period. The artificial intelligence report had a structured accuracy of 97.55% in capturing data and an accuracy rate of 91.61% in text processing.  Conclusion  Mengchao Liver Disease-Brain System version 2.0 provides an innovative mode for the construction of big data platform in medical specialties and has a high accuracy as an auxiliary diagnostic tool in clinical diagnosis and treatment.
Review
Theory and practice of immunoregulatory therapy with traditional Chinese medicine for chronic hepatitis B
Xiaobin LI, Bowen LIU, Feng LI, Xiaopeng SU, Shiping HU
2023, 39(12): 2908-2913. DOI: 10.3969/j.issn.1001-5256.2023.12.023
Abstract(1060) HTML (326) PDF (674KB)(71)
Abstract:
Chronic hepatitis B (CHB) is still a malignant infectious disease that seriously threatens human health, and currently nucleos(t)ide analogues and interferon are the main treatment methods for CHB, but they cannot achieve functional cure. The development and progression of CHB are closely associated with immune function dysregulation in the host, and therefore, regulating host immunity has become a key link in the treatment of CHB. Recent studies have shown that traditional Chinese medicine exerts a therapeutic effect on CHB by regulating host immune function. This article introduces the relationship between traditional Chinese medicine theory and immunity and summarizes the theoretical basis and related studies for traditional Chinese medicine in the immune regulation of CHB, in order to provide new ideas for integrated traditional Chinese and Western medicine therapy for CHB.
Research advances in lean nonalcoholic fatty liver disease
Yujuan ZHANG, Xiqiao ZHOU
2023, 39(12): 2914-2919. DOI: 10.3969/j.issn.1001-5256.2023.12.024
Abstract(1163) HTML (355) PDF (593KB)(148)
Abstract:
Nonalcoholic fatty liver disease (NAFLD) is currently the main cause of chronic liver disease worldwide, and it can progress to hepatitis, liver fibrosis, liver cirrhosis, and even hepatocellular carcinoma. Although obesity plays a key role in the development of NAFLD, more and more studies have confirmed that NAFLD still exists in lean individuals, and lean NAFLD is associated with an increased risk of death and accelerated disease progression. Therefore, lean NAFLD also deserves careful evaluation and follow-up; however, we still know little about the pathophysiological mechanism of lean NAFLD. This article reviews the etiology, diagnosis, treatment, and prognosis of lean NAFLD.
Research advances in mesenchymal stem cells and their exosomes in treatment of autoimmune hepatitis
Longlong LUO, Lifei WANG, Ying ZHENG, Bin LI, Lixia LU, Chuyi LI, Xiaohui YU, Jiucong ZHANG
2023, 39(12): 2920-2925. DOI: 10.3969/j.issn.1001-5256.2023.12.025
Abstract(1107) HTML (313) PDF (830KB)(84)
Abstract:
Autoimmune hepatitis (AIH) is a type of chronic hepatitis caused by the autoimmune system attacking hepatocytes, and its chronic progression may lead to liver cirrhosis and even hepatocellular carcinoma. Currently, pharmacotherapy and liver transplantation are the main treatment methods for AIH, but both methods have their own limitations, which limits the clinical benefits of patients. Therefore, it is a critical issue to search for new therapeutic agents and methods. Recent studies have shown that mesenchymal stem cells (MSC) and their exosomes can improve the symptoms of patients with AIH by suppressing inflammatory response, enhancing the regeneration of hepatocytes, and regulating the immune system and thus have wide application prospects in the treatment of AIH. By summarizing related articles, this article reviews the possible mechanisms and application of MSC and their exosomes in the treatment of AIH, in order to provide new ideas for the clinical treatment of AIH.
Role of T lymphocytes in primary sclerosing cholangitis
Ziyi LI, Wanjie ZHANG, Fuchun WANG, Xiaorong MAO, Junfeng LI
2023, 39(12): 2926-2931. DOI: 10.3969/j.issn.1001-5256.2023.12.026
Abstract(742) HTML (510) PDF (803KB)(54)
Abstract:
Primary sclerosing cholangitis (PSC) is an immune-mediated chronic cholestatic liver disease and can progress to end-stage liver diseases such as liver cirrhosis and liver failure, and there are still no effective treatment methods at present. Studies have found that T lymphocytes are closely associated with the development and progression of PSC. This article reviews the role of T lymphocytes in PSC, so as to provide new ideas for research on the pathogenesis of PSC and the clinical diagnosis and treatment of PSC.
Research advances in signaling pathways associated with potential anti-liver fibrosis drugs and targets
Xin ZHOU, Zhi WANG, Xueru HE, Yuhao FU, Xuejiao XUN, Ying LI, Zhanjun DONG
2023, 39(12): 2932-2941. DOI: 10.3969/j.issn.1001-5256.2023.12.027
Abstract(1242) HTML (1157) PDF (1241KB)(120)
Abstract:
Liver fibrosis is a key step in the progression of chronic liver diseases to liver cirrhosis and even liver cancer. In recent years, a large number of studies have shown the necessity of intervening in the process of liver fibrosis, and various anti-liver fibrosis drugs and active ingredients have been discovered. Non-coding RNAs also play an important role in the process of liver fibrosis, and searching for upstream non-coding RNAs that can regulate signaling pathways can provide new insights for anti-liver fibrosis treatment. This article introduces the process of liver fibrosis mediated by the TGF-β, Wnt/β-catenin, PI3K/Akt/mTOR, NF-κβ, Hippo, and MAPK signaling pathways, lists the latest anti-liver fibrosis drugs or active components in each signaling pathway, and summarizes the research advances in anti-liver fibrosis targets and drugs mediated by related non-coding RNAs, so as to provide new research ideas and treatment methods for anti-liver fibrosis treatment.
Thoughts on the diagnosis and treatment of hepatic encephalopathy associated with blood ammonia in liver cirrhosis
Liang ZHANG, Hao LI, Shanhong TANG
2023, 39(12): 2942-2945. DOI: 10.3969/j.issn.1001-5256.2023.12.028
Abstract(885) HTML (867) PDF (529KB)(83)
Abstract:
Hepatic encephalopathy is a serious complication of liver cirrhosis and can cause neuropsychiatric symptoms such as cognitive impairment and motor impairment. More than 30% of patients with liver cirrhosis may develop hepatic encephalopathy, posing a huge economic burden to the health of patients and bringing many challenges to clinical diagnosis and treatment. Therefore, early identification, diagnosis, and treatment are the key to improving patient prognosis. Based on the clinical experience of our center, this article elaborates on hepatic encephalopathy from the aspects of pathogenesis, time dimension, minimal hepatic encephalopathy, and non-organic brain lesions, in order to provide new ideas or strategies for the diagnosis and treatment of hepatic encephalopathy in liver cirrhosis.
Mechanism of action of N7-methylguanosine in hepatocellular carcinoma
Chun GAO, Jingjing JIANG, Yuchun CHEN, Xiaohui YU, Jiucong ZHANG,
2023, 39(12): 2946-2951. DOI: 10.3969/j.issn.1001-5256.2023.12.029
Abstract(872) HTML (460) PDF (888KB)(42)
Abstract:
N7-methylguanosine (m7G) is one of the most popular RNA modifications at present and has attracted wide attention from researchers in China and globally. By influencing the metabolism of various RNA molecules (including messenger RNA, ribosomal RNA, microRNA, and transfer RNA), m7G modification actively participates in many biological processes such as cell proliferation, differentiation, and apoptosis. More and more evidence has shown that m7G plays a key role in the development of cancer, and abnormal m7G levels are closely associated with the development and progression of cancer by regulating the expression of multiple oncogenes and tumor suppressor genes. Hepatocellular carcinoma is the most common gastrointestinal tumor in China, and current treatment methods tend to have an unsatisfactory therapeutic effect. At present, the potential molecular mechanism of m7G modification in hepatocellular carcinoma remains unclear. This article reviews the potential mechanism of action of m7G modification in hepatocellular carcinoma and the m7G-related diagnosis and treatment strategies.
Regulatory role of mechanical forces in the formation of liver organoids
Ning WANG, Wenliang LYU
2023, 39(12): 2952-2958. DOI: 10.3969/j.issn.1001-5256.2023.12.030
Abstract(707) HTML (458) PDF (696KB)(73)
Abstract:
In recent years, the continuous advances in material sciences and techniques have helped with the establishment and development of liver organoids that can simulate the structure and function of organs in vivo. In addition to the research on traditional biological factors, the construction of microenvironments with different mechanical cues to investigate the influence of mechanical stimulation on the growth of liver organoids has also become a research focus. This article first discusses the development of liver organoids and then reviews the influence of mechanical forces of different properties on the formation of liver organoids, so as to lay a foundation for the construction of more complex and ordered liver organoids in vitro and provide ideal research models for understanding the interaction between biological and mechanical factors in the formation of liver organoids.
Evaluation of cholestatic liver disease animal model based on clinical syndrome characteristics of integrated traditional Chinese and Western medicine
Zhengwang ZHU, Pingsheng ZHU, Mingsan MIAO
2023, 39(12): 2959-2964. DOI: 10.3969/j.issn.1001-5256.2023.12.031
Abstract(1004) HTML (414) PDF (647KB)(38)
Abstract:
Cholestatic liver disease is a common disease of the hepatobiliary system. Its etiology and pathogenesis are complex. The establishment of an appropriate animal model of cholestatic liver disease is the basis for further study of its pathogenesis and prevention. This study summarized the existing modeling methods, mechanisms, and characteristics of this model, and analyzed its alignment with the clinical disease and syndrome characteristics of integrated traditional Chinese and Western medicine based on the modern clinical diagnostic criteria and traditional Chinese medicine syndrome characteristics of cholestatic liver disease, so as to provide a reference for establishing standard animal models and evaluation methods for cholestatic liver disease that accord better with the clinical practice of integrated traditional Chinese and Western medicine.
Research advances in targeted therapy for gallbladder carcinoma
Liwen DU, Jiansheng LIU
2023, 39(12): 2965-2969. DOI: 10.3969/j.issn.1001-5256.2023.12.032
Abstract(1441) HTML (794) PDF (562KB)(94)
Abstract:
Gallbladder carcinoma (GBC) is a type of malignant tumor with an extremely poor prognosis, and at present, surgical operation is the most effective treatment method for this disease. Unfortunately, due to a lack of typical symptoms in the early stage, most patients have progressed to the advanced stage at the time of confirmed diagnosis and lost the opportunity for radical surgery. Among the currently available adjuvant treatments, targeted therapy has higher specificity and fewer side effects and has improved the prognosis of a variety of malignancies. With reference to the latest research advances in targeted therapy for GBC, this article reviews the current research status, potential targets, and targeted medications of targeted therapy for GBC, in order to provide a reference for the clinical treatment of GBC patients.
Changes in intestinal microbiota and application of probiotics in patients with acute pancreatitis
Yanqing LYU, Jiajie LI, Kunyu LIU, Ruhua GUO, Huifan JI
2023, 39(12): 2970-2977. DOI: 10.3969/j.issn.1001-5256.2023.12.033
Abstract(1032) HTML (575) PDF (708KB)(79)
Abstract:
Intestinal microbiota is the most complex and important microecosystem in the human body, and gut microbiota dysbiosis is closely associated with the development and progression of acute pancreatitis. Targeted regulation of intestinal microecology in assisting the treatment of acute pancreatitis has attracted more attention in recent years. This article describes the changes in intestinal microbiota and related mechanisms in patients with acute pancreatitis, summarizes the current research status of the use of probiotics, points out the research direction of probiotics as the adjuvant treatment regime, and proposes a new method for predicting the dominant flora in patients with acute pancreatitis, in order to bring new ideas for the treatment of acute pancreatitis.
Research advances in machine learning models for acute pancreatitis
Minyue YIN, Jinzhou ZHU, Lu LIU, Jingwen GAO, Jiaxi LIN, Chunfang XU
2023, 39(12): 2978-2984. DOI: 10.3969/j.issn.1001-5256.2023.12.034
Abstract(891) HTML (665) PDF (631KB)(100)
Abstract:
Acute pancreatitis (AP) is a gastrointestinal disease that requires early intervention, and when it progresses to moderate-severe AP (MSAP) or severe AP (SAP), there will be a significant increase in the mortality rate of patients. Machine learning (ML) has achieved great success in the early prediction of AP using clinical data with the help of its powerful computational and learning capabilities. This article reviews the research advances in ML in predicting the severity, complications, and death of AP, so as to provide a theoretical basis and new insights for clinical diagnosis and treatment of AP through artificial intelligence.
Introduction of High - quality Articles in Foreign Journals
Hepatology International|Association of nonmalignant portal vein thrombosis and clinical outcomes in patients with cirrhosis and acute variceal bleeding: a multicenter observational study
2023, 39(12): 2792-2792. DOI: 10.3969/j.issn.1001-5256.2023.12.gwjpwzjj1
Abstract(420) HTML (182) PDF (1325KB)(46)
Abstract:
Hepatology International|A simpler definition of MAFLD precisely predicts incident metabolic diseases: a 7-year cohort study
2023, 39(12): 2941-2941. DOI: 10.3969/j.issn.1001-5256.2023.12.gwjpwzjj2
Abstract(448) HTML (412) PDF (846KB)(42)
Abstract:
Thanks
Current reviewers
2023, 39(12): 2595-2595. DOI: 10.3969/j.issn.1001-5256.2023.12.zhixie1
Abstract(317) HTML (172) PDF (842KB)(23)
Abstract: