中文English
ISSN 1001-5256 (Print)
ISSN 2097-3497 (Online)
CN 22-1108/R

2023 No.8
Theme Issue: A New Understanding of Nonalcoholic Fatty Liver Disease/Metabolic Dysfunction-Associated Fatty Liver Disease
Executive Chief Editor: FAN Jiangao  
Xinhua Hospital Affiliated to Shanghai Jiao Tong University School of Medicine

Display Method:
Editorial
Should antiviral treatment be initiated for chronic hepatitis B patients with high-normal alanine aminotransferase?
Xinjie LI, Tao SHEN, Hui ZHUANG
2023, 39(8): 1769-1774. DOI: 10.3969/j.issn.1001-5256.2023.08.001
Abstract(1844) HTML (384) PDF (1773KB)(271)
Abstract:
Current guidelines recommend antiviral treatment for chronic hepatitis B (CHB) patients with elevated alanine aminotransferase (ALT) and positive HBV DNA. However, more and more studies have shown that CHB patients with high-normal ALT 0.5 to 1 times the upper limit of normal have significant necroinflammation and/or fibrosis in the liver and the risk of progressive liver diseases such as liver cirrhosis, hepatocellular carcinoma, hepatitis B-related complications, and even death. This article discusses the definition of high-normal ALT and the clinical and virological features of CHB patients with high-normal ALT, as well as whether antiviral treatment should be initiated for such patients.
A new understanding of nonalcoholic fatty liver disease and its rename
Ruixu YANG, Jiangao FAN
2023, 39(8): 1775-1779. DOI: 10.3969/j.issn.1001-5256.2023.08.002
Abstract(1400) HTML (628) PDF (1666KB)(338)
Abstract:
Nonalcoholic fatty liver disease (NAFLD) is a metabolic disease with multisystem involvement and is closely associated with insulin resistance and genetic susceptibility. At present, NAFLD has become the most common chronic liver disease in China and worldwide. This article reviews the hot topics of various expert forums such as the diagnosis and evaluation of NAFLD, non-drug treatment, comorbidity with chronic hepatitis B, therapeutic strategies targeting intestinal flora and its rename of NAFLD.
Expert Forum
Diagnosis and evaluation of nonalcoholic fatty liver disease
Xinyuan ZHANG, Yu LIU, Wenling WANG, Rongkuan LI
2023, 39(8): 1780-1788. DOI: 10.3969/j.issn.1001-5256.2023.08.003
Abstract(2791) HTML (740) PDF (1717KB)(422)
Abstract:
Nonalcoholic fatty liver disease (NAFLD) is one of the most common causes of liver disease, and its incidence rate continues to increase globally. NAFLD includes nonalcoholic steatosis and can further progress to nonalcoholic steatohepatitis, liver cirrhosis, and hepatocellular carcinoma. So far, liver biopsy has been regarded as the "gold standard" for evaluating hepatic steatosis and fibrosis; however, due to the limitations of biopsy in large-scale screening, noninvasive tests used to evaluate various stages of NAFLD have become increasingly important in the diagnosis and prognosis management of patients. This article summarizes the latest advances in diagnosis and evaluation of NAFLD.
Progress of lifestyle interventions for metabolic dysfunction-associated fatty liver disease
Tongtong JI, Xinfei LI, Yanyan YU, Xiaoyuan XU, Jinghang XU
2023, 39(8): 1789-1796. DOI: 10.3969/j.issn.1001-5256.2023.08.004
Abstract(1480) HTML (898) PDF (1706KB)(246)
Abstract:
The global prevalence of metabolic dysfunction-associated fatty liver disease (MAFLD) is as high as 25%-30%. MAFLD is closely associated with the morbidity and mortality of liver cirrhosis, hepatocellular carcinoma, extrahepatic malignancies, diabetes mellitus, and cardiovascular diseases, resulting in substantial burden of diseases. Lifestyle interventions using diet and exercise to achieve weight loss remains a first-line therapy in patients with MAFLD. This article reviews the progress of lifestyle interventions for MAFLD to provide a reference for the treatment of this disease.
Chronic hepatitis B comorbid with nonalcoholic fatty liver disease: Contemporary insights and controversies
Tao YANG, Jun LI
2023, 39(8): 1797-1804. DOI: 10.3969/j.issn.1001-5256.2023.08.005
Abstract(1358) HTML (333) PDF (1704KB)(258)
Abstract:
In China, a substantial number of patients suffer from chronic hepatitis B (CHB), and the incidence rate of nonalcoholic fatty liver disease (NAFLD) has been increasing in recent years, with a tendency of increase in the prevalence rate of CHB and NAFLD. Since the outcome of CHB or NAFLD is liver cirrhosis and hepatocellular carcinoma (HCC), the comorbidity of these two diseases has attracted wide attention and extensive research. Currently, there are still controversies over the risk of HCC due to CHB comorbid with NAFLD, all-cause mortality rate, and the efficacy of antiviral therapy, and the mechanism of interaction remains unknown. Therefore, this article briefly reviews CHB comorbid with NAFLD and discusses the association between the two diseases, in order to provide a reference for clinical management.
Role of intestinal microbiota and metabolites in the development, progression, and treatment of nonalcoholic fatty liver disease
Yongqiang LI, Wenjuan TANG, Yongjian ZHOU
2023, 39(8): 1805-1810. DOI: 10.3969/j.issn.1001-5256.2023.08.006
Abstract(1816) HTML (693) PDF (1684KB)(297)
Abstract:
Nonalcoholic fatty liver disease (NAFLD) is the most common chronic liver disease around the world. There is a close structural and functional relationship between the liver and the intestine, namely "the gut-liver axis", in which intestinal microbiota can participate in the development and progression of NAFLD through microbial translocation, production of endogenous ethanol, abnormal regulation of bile acid metabolism and choline metabolism, and endotoxemia. This article reviews the role of intestinal microbiota and metabolites in the development, progression, and treatment of NAFLD.
Guideline
Guidelines for identification, management, and assessment of drug-induced liver injury in clinical trials
Center for Drug Evaluation, National Medicine Products Administration
2023, 39(8): 1811-1816. DOI: 10.3969/j.issn.1001-5256.2023.08.007
Abstract(1285) HTML (1435) PDF (1750KB)(265)
Abstract:
An excerpt of use of albumin infusion for cirrhosis-related complications: an international position statement in 2022
Zhaohui BAI, Yongping YANG, Li YANG, Xingshun QI
2023, 39(8): 1817-1818. DOI: 10.3969/j.issn.1001-5256.2023.08.008
Abstract(1148) HTML (373) PDF (1625KB)(231)
Abstract:
Recently, 33 investigators from 19 countries with expertise in managing cirrhosis-related complications have proposed 12 international position statements regarding the use of human albumin infusion for cirrhosis-related complications after a three-round Delphi consensus process. This article gives an excerpt of the main contents of this international position statement in Chinese language.
Original Article_Viral Hepatitis
Effect of pegylated interferon α-2b on serum HBsAg clearance rate in treatment of patients with chronic hepatitis B
Kuan LI, Huibin NING, Huiming JIN, Zhen PENG, Jia SHANG
2023, 39(8): 1819-1824. DOI: 10.3969/j.issn.1001-5256.2023.08.009
Abstract(2015) HTML (610) PDF (1687KB)(199)
Abstract:
  Objective  To investigate the effect of pegylated interferon α-2b (PEG-IFNα-2b) on HBsAg clearance in the treatment of chronic hepatitis B (CHB) in a real-world setting.  Methods  A retrospective analysis was performed for 411 CHB patients who attended Department of Infectious Diseases, Henan Provincial People's Hospital, from June 2017 to January 2021, and all these patients were treated with PEG-IFNα-2b. Related clinical data were collected, including sex, age, antiviral treatment regimen, baseline HBsAg level, and post-treatment HBsAg level, and HBsAg clearance rate was observed at 24, 48, and 96 weeks. HBsAg clearance rate at different time points of follow-up was compared between the patients with different baseline HBsAg levels (< 500 IU/mL, 500-1 500 IU/mL, and 1 501-5 000 IU/mL) or with the use of PEG-IFNα-2b after different previous treatment conditions and regimens. The independent-samples t test was used for comparison of continuous data between two groups, and the chi-square test and the trend chi-square test were used for comparison of categorical data between groups.  Results  The HBsAg clearance rate was 9.9% (26/263) in the patients who completed 24 weeks of treatment, 19.7% (25/127) in the patients who completed 48 weeks of treatment, and 41.7% (30/72) in the patients who completed 96 weeks of treatment. There was a significant difference in HBsAg clearance rate between the patients with different baseline HBsAg levels at 24, 48, and 96 weeks of treatment (χ2=52.265, 32.764, and 30.918, all P < 0.01), and HBsAg clearance rate gradually increased over the time of treatment (χtrend2=44.517, 29.147, and 22.260, all P < 0.01). Compared with the HBsAg < 500 IU/mL group, the 500-1 500 IU/mL group and the 1 501-5 000 IU/mL group had a significant reduction in HBsAg clearance rate at 24, 48, and 96 weeks of follow-up (all P < 0.001). As for the comparison of the patients with different treatment conditions (previously untreated or treatment-experienced) and treatment regimens (monotherapy or combined therapy) at 24, 48, and 96 weeks of treatment, there was a significant difference in fame/female ration between the previously untreated group and the treatment-experienced group (χ2=5.029, P=0.025), and there was no significant difference in HBsAg clearance rate between the previously untreated group and the treatment-experienced group and between the monotherapy group and the combined therapy group (all P > 0.05).  Conclusion  PEG-IFNα-2b has a marked effect on HBsAg clearance in the treatment of CHB, and patients with a lower baseline HBsAg level tend to have a higher HBsAg clearance rate. HBsAg clearance rate tends to increase over the time of treatment. A baseline HBsAg level of 500 IU/mL can be used as the cut-off point to identify the dominant population.
Value of serum PreS1 in early prediction of HBsAg clearance after IFN-α treatment in children with HBeAg-positive chronic hepatitis B
Peiyao FAN, Fuchuan WANG, Yinjie GAO, Zhiqiang XU, Yi DONG, Jianguo YAN, Lili CAO, Danni FENG, Yanwei ZHONG, Min ZHANG
2023, 39(8): 1825-1831. DOI: 10.3969/j.issn.1001-5256.2023.08.010
Abstract(915) HTML (347) PDF (2264KB)(68)
Abstract:
  Objective  To investigate the value of PreS1 level in predicting HBsAg clearance in children with HBeAg-positive chronic hepatitis B (CHB) after 48 weeks of IFN-α treatment.  Methods  A total of 88 children with HBeAg-positive CHB, aged 1-16 years, who received 48 weeks of IFN-α treatment from June 2016 to January 2020 were enrolled. HBsAg quantification (qHBsAg), HBV DNA quantification, and alanine aminotransferase were measured every three months, and magnetic particle chemiluminescence immunoassay (double-antibody sandwich) was used to measure the level of PreS1. According to whether HBsAg clearance was achieved at the end of IFN-α treatment for 48 weeks, the 88 children were divided into HBsAg clearance group with 17 children and non-HBsAg clearance group with 71 children. The Mann-Whitney U test was used for comparison of quantitative data between the two groups, and the chi-square test or the Fisher's exact test was used for comparison of qualitative data between the two groups. The Spearman rank correlation test was used to evaluate the correlation of PreS1 level with other biomarkers, and the area under the ROC curve (AUC) was used to investigate the value of different markers in predicting HBsAg clearance at the end of 48-week IFN-α treatment.  Results  PreS1 level was positively correlated with the serum levels of qHBsAg and HBV DNA (r=0.912 and 0.535, both P < 0.05), and baseline PreS1/qHBsAg ratio (AUC=0.694) had a better value than PreS1 level (AUC=0.530) and qHBsAg level (AUC=0.514) in predicting HBsAg clearance at week 48. PreS1 level (AUC=0.867, P < 0.001) and the reduction in PreS1/qHBsAg ratio (AUC=0.800, P=0.002) at week 12 of treatment had a good value in predicting HBsAg clearance at week 48. PreS1 level, qHBsAg level, and HBV DNA at week 24 of treatment could effectively predict HBsAg clearance at week 48, with AUCs of 0.917, 0.949, and 0.762, respectively (all P < 0.001).  Conclusion  Serum PreS1 level and the reduction in PreS1/qHBsAg ratio at week 12 of treatment can be used as candidate markers for predicting HBsAg clearance in children with CHB during IFN-α treatment.
Predictive value of anti-HBs+anti-HBe for seroconversion of HBeAg in patients with positive HBsAg/HBeAg/anti-HBc
Yafeng TAN, Fenglan SUN, Wei XIA, Yaoling OUYANG, Chengbin LI, Zhenxia CHEN, Song WU, Yunyun YU, Tao JIANG
2023, 39(8): 1832-1840. DOI: 10.3969/j.issn.1001-5256.2023.08.011
Abstract(975) HTML (689) PDF (2625KB)(73)
Abstract:
  Objective  To establish a predictive model for HBeAg seroconversion in patients with positive HBsAg/HBeAg/anti- HBc and anti-HBe, and to investigate the predictive value of this model.  Methods  A total of 6 055 patients with hepatitis B who received the quantification of the serum markers for hepatitis B and HBV DNA in Jingzhou Hospital Affiliated to Yangtze University from April 1, 2018 to August 1, 2022 were enrolled, and according to the pattern of serological markers for hepatitis B, they were divided into negative HBsAg group, positive HBsAg/anti-HBe/anti-HBc group, positive HBsAg/HBeAg/anti-HBc+positive anti-HBe group, positive HBsAg/HBeAg/anti- HBc+positive anti-HBs group, and positive HBsAg/HBeAg/anti-HBc group. The characteristics of different patterns of serological markers were analyzed, and the level of HBeAg was compared between groups. The Kruskal-Wallis H test was used for comparison of non-normally distributed continuous variables between multiple groups; the chi-square test was used for comparison of categorical data between groups. The linear regression analysis was used to analyze the difference in HBeAg content between different groups; the logistic regression analysis was used to screen for independent influencing factors and obtain the optimal predictive factors. The receiver operating characteristic (ROC) curve analysis was used to validate the predictive performance of the model. R Studio4.2.1 was used to establish and validate the predictive model.  Results  Compared with the positive HBsAg/anti-HBe/anti-HBc group, the positive HBsAg/HBeAg/anti-HBc+positive anti-HBe group and the positive HBsAg/HBeAg/anti-HBc+positive anti-HBs group had a significant reduction in the level of HBeAg (both P < 0.01). The multivariate logistic regression analysis showed that anti-HBe was an independent influencing factor for HBeAg seroconversion (P=0.014), and the Lasso regression analysis showed that anti-HBe+anti-HBs was the optimal predictive factor for HBeAg seroconversion in the patients with positive HBsAg/HBeAg/anti- HBc and positive anti-HBe. The ROC curve analysis showed that anti-HBe+ anti-HBs had an area under the ROC curve (AUC) of 0.733 (95% confidence interval: 0.588-0.878, P=0.004 8). Anti-HBe+anti-HBs was included to establish a predictive model, which had good discriminatory ability (AUC=0.733), accuracy (C=0.733, B=0.20, P=0.946), predictive performance, and stability (C=0.726 based on the enhanced Bootstrap test).  Conclusion  The presence of anti-HBs or anti-HBe in patients with hepatitis B promotes the reduction in HBeAg level, and anti-HBe had a stronger ability than anti-HBs in promoting such reduction. Anti-HBe+anti-HBs can be used to predict HBeAg seroconversion in patients with positive HBsAg/HBeAg/anti-HBc+positive anti-HBe.
Value of monocyte to high-density lipoprotein cholesterol ratio in predicting the short-term prognosis of hepatitis B virus-related acute-on-chronic liver failure
Lin LIU, Ling WANG, Shanhong TANG
2023, 39(8): 1841-1847. DOI: 10.3969/j.issn.1001-5256.2023.08.012
Abstract(930) HTML (237) PDF (1966KB)(73)
Abstract:
  Objective  To investigate the value of monocyte to high-density lipoprotein cholesterol ratio (MHR) in predicting the short-term prognosis of patients with hepatitis B virus-related acute-on-chronic liver failure (HBV-ACLF).  Methods  A total of 131 patients with HBV-ACLF who were hospitalized in Department of Gastroenterology, The General Hospital of Western Theater Command, from January 1, 2015 to December 31, 2021 were enrolled in this study, and according to the prognosis on day 90 after admission, they were divided into survival group with 87 patients and death group with 44 patients. A retrospective analysis was performed for the data on age, sex, body mass index (BMI), and the results of blood routine test, biochemical parameters, and coagulation function within 24 hours after admission, and monocyte-to-lymphocyte ratio (MLR), MHR, and MELD score were calculated. The independent-samples t test was used for comparison of normally distributed continuous data between two groups, and the Mann-Whitney U test was used for comparison of non-normally distributed continuous data between two groups; the chi-square test was used for comparison of categorical data between two groups. The binary logistic regression analysis was used to investigate the association between each factor and the short-term prognosis of HBV-ACLF; the receiver operating characteristic (ROC) curve was plotted to analyze the value of MHR in predicting short-term prognosis of HBV-ACLF patients; the Kaplan-Meier method was used to analyze the short-term death of patients in the high MHR group and the low MHR group.  Results  There were significant differences between the two groups in age, body mass index (BMI), white blood cell count, neutrophil count, lymphocyte count, monocyte count, alpha- fetoprotein, Na+, total bilirubin, international normalized ratio, triglyceride (TG), MLR, MHR, and MELD score (all P < 0.05). The binary logistic regression analysis showed that age, BMI, Na+, TG, MLR, MHR, and MELD score were independent risk factors for the short-term prognosis of HBV-ACLF (all P < 0.05). MHR had an area under the ROC curve of 0.627 (95% confidence interval: 0.522-0.732, P=0.018) in predicting the 90-day survival rate of HBV-ACLF patients, with a sensitivity of 0.591 and a specificity of 0.690 at the optimal cut-off value of 2.472. The Kaplan-Meier survival analysis showed that the high MHR group (MHR≥2.472) had a significantly lower 90-day survival rate than the low MHR group (MHR < 2.472)(P=0.001).  Conclusion  After severe cardiovascular disease is excluded, MHR can be used as a clinical predictive factor for the short-term prognosis of HBV-ACLF, and studies with a larger sample size are needed to further investigate its predictive value.
Differentially expressed microRNAs in plasma exosomes from patients with chronic hepatitis B or hepatitis B virus-related acute-on-chronic liver failure: A bioinformatics analysis
Shuyang ZHANG, Yanzhen BI, Shousheng LIU, Sheng LIU, Yongning XIN
2023, 39(8): 1848-1856. DOI: 10.3969/j.issn.1001-5256.2023.08.013
Abstract(952) HTML (285) PDF (5016KB)(56)
Abstract:
  Objective  To investigate the differences in plasma exosomal microRNA (miRNA) expression profile between patients with chronic hepatitis B (CHB) and those with hepatitis B virus-related acute-on-chronic liver failure (HBV-ACLF), as well as their functions and biological processes, and to provide a reference for the clinical diagnosis of HBV-ACLF.  Methods  Six patients with CHB who were hospitalized in Department of Infectious Diseases, Qingdao Municipal Hospital, and six patients with HBV-ACLF who were treated in Blood Purification Center of Qingdao Sixth People's Hospital from October 2021 to June 2022 were enrolled. Illumina high-throughput sequencing was used to analyze the plasma exosomal miRNAs of these patients to obtain the differentially expressed miRNAs between the two groups. The differentially expressed miRNAs were screened, and a functional enrichment analysis was performed to identify the biological processes involving such miRNAs. The Mann-Whitney U rank sum test was used for comparison of continuous data between two groups, and the chi-square test was used for comparison of categorical data between groups.  Results  A total of 249 differentially expressed exosomal miRNAs were obtained according to the criteria of upregulation >2-fold or downregulation >2-fold, with P < 0.05, and compared with the CHB group, there were 126 upregulated miRNAs and 123 downregulated miRNAs. The bioinformatics analysis showed that these differentially expressed miRNAs were mainly involved in the biological processes such as gonadal development, regulation of protein stability, and cellular response to external stimuli, and they were closely associated with the signaling pathways such as hepatitis B, the role of proteoglycans in cancer, regulation of stem cell pluripotency, MAPK, Hippo, TNF, and lipid metabolism.  Conclusion  The differentially expressed miRNAs identified by Illumina high-throughput sequencing may be used as biomarkers for the early diagnosis and prognostic evaluation of HBV-ACLF.
Original Article_Fatty Liver Disease
Construction and analysis of a noninvasive diagnostic model for steatohepatitis in metabolic associated fatty liver disease
Zhiheng CHEN, Bowen GAO, Bei GUI, Meijie SHI, Huanming XIAO, Yubao XIE, Sheng LI, Xiaoling CHI
2023, 39(8): 1857-1866. DOI: 10.3969/j.issn.1001-5256.2023.08.014
Abstract(1279) HTML (419) PDF (2592KB)(164)
Abstract:
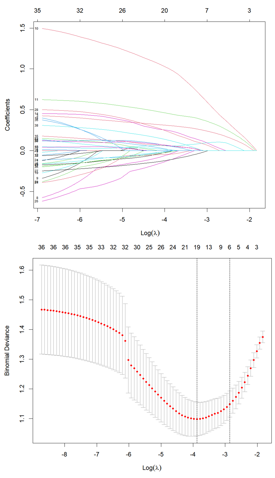
  Objective  To establish a diagnostic model for steatohepatitis in metabolic associated fatty liver disease (MAFLD) based on LASSO and logistic regression analyses by using general clinical data, serological parameters, and noninvasive liver elastography, and to evaluate the diagnostic value of this model.  Methods  A total of 299 patients who were diagnosed with MAFLD and underwent liver biopsy in Guangdong Provincial Hospital of Traditional Chinese Medicine from January 2018 to December 2021 were enrolled as subjects, and according to NAS score, they were divided into steatohepatitis group with 170 patients and non-steatohepatitis group with 129 patients. The LASSO regression analysis and the multivariate logistic regression analysis were used to identify the influencing factors for steatohepatitis in MAFLD, and a noninvasive diagnostic model was established, visualized in the form of nomogram, and internally validated by the enhanced Bootstrap method. The receiver operating characteristic (ROC) curve and the calibration curve were plotted for the model, and its diagnostic efficacy was observed in the MAFLD+NAFLD and MAFLD+cHBVi subgroups, which was then compared with other diagnostic models. The chi-square test was used for comparison of categorical data between groups; the independent-samples t test was used for comparison of normally distributed continuous data between groups, and the Mann-Whitney U test was used for comparison of non-normally distributed continuous data between groups. A multivariate logistic regression analysis was used to determine optimal diagnostic factors, and a nomogram diagnostic model was established; the ROC curve was plotted, and the area under the ROC curve (AUC) was calculated; the enhanced Bootstrap method was used for internal validation of the model, and the calibration curve was plotted to show the level of calibration.  Results  There were significant differences between the two groups in body mass index (BMI), alanine aminotransferase, aspartate aminotransferase (AST), adenosine deaminase, alkaline phosphatase, gamma-glutamyl transpeptidase, total bile acid, total carbon dioxide concentration, uric acid, HbA1c (all P < 0.05). As for FibroScan, there were significant differences between the two groups in liver stiffness measurement (LSM) and controlled attenuation parameter (CAP) (both P < 0.001); as for pathology, there were significant differences between the two groups in fibrosis degree, steatosis score, lobular inflammation score, ballooning degeneration score, and total NAS score (all P < 0.001). In the subgroup analysis, there were 63 patients with steatohepatitis and 48 patients without steatohepatitis in the MAFLD+NAFLD group, and there were 90 patients with steatohepatitis and 71 patients without steatohepatitis in the MAFLD+cHBVi group. The LASSO regression analysis showed that LSM, CAP, BMI, and AST were the best diagnostic factors for the presence or absence of steatohepatitis in MAFLD patients, and the LCBA model was established based on these indices. The LCBA model showed an AUC of 0.816 in the total MAFLD population, 0.866 in the MAFLD+NAFLD population, and 0.764 in the MAFLD+cHBVi population (all P < 0.001), and comparisons based on the ROC curve showed that they were superior to the acNASH, HSI, and NFS models.  Conclusion  The LCBA model has a stable performance in the diagnosis of steatohepatitis in patients with MAFLD and is superior to acNASH, HSI, and NFS. Therefore, it holds promise for clinical application.
Association of 25-hydro xyvitamin D and ferritin with metabolic associated fatty liver disease and fibrosis-4 index
Wenhao LI, Zhiping LIU, Zhiwei ZHAO, Jinhua ZHANG
2023, 39(8): 1867-1873. DOI: 10.3969/j.issn.1001-5256.2023.08.015
Abstract(1106) HTML (258) PDF (2200KB)(111)
Abstract:
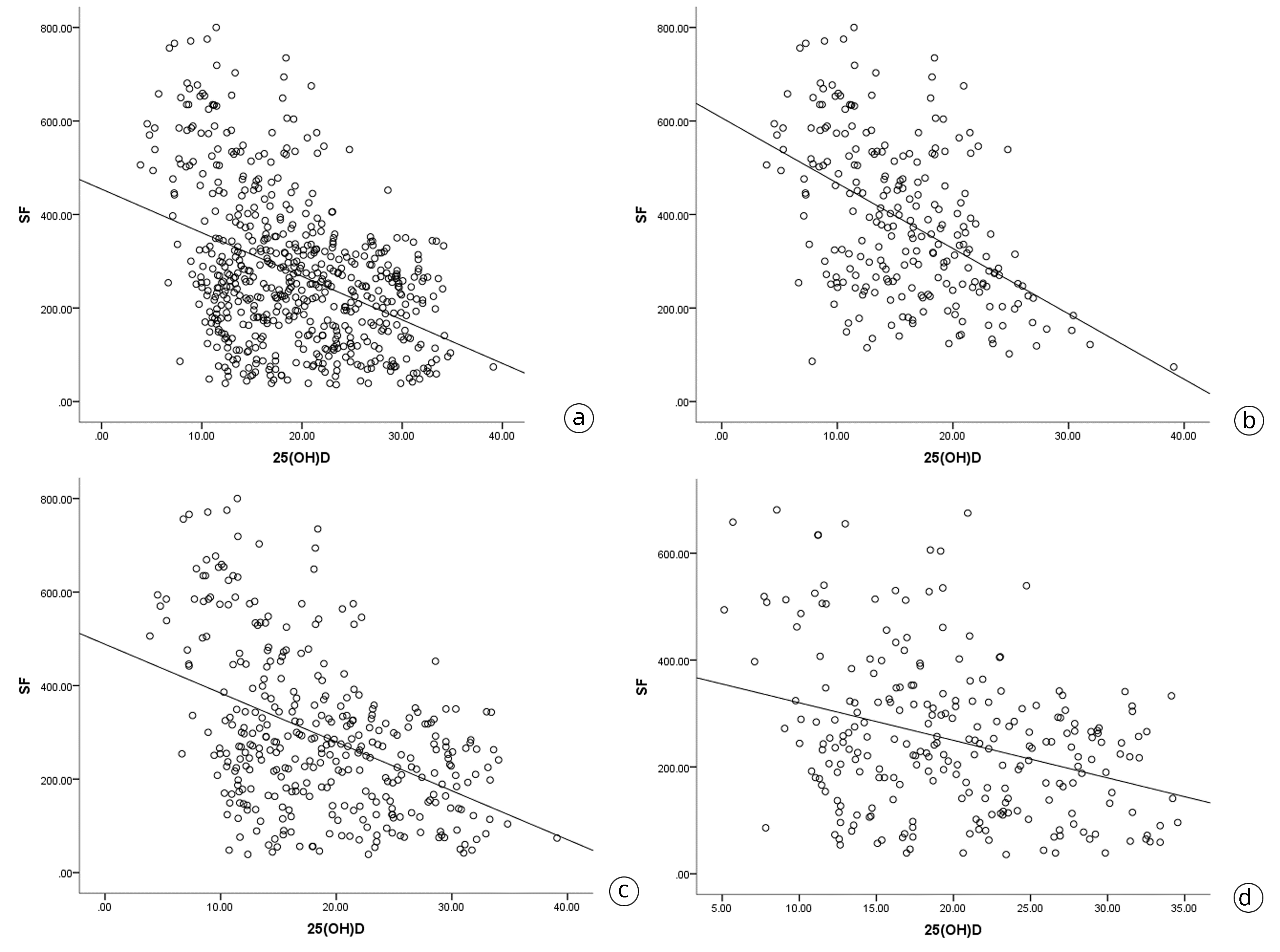
  Objective  To investigate the association of serum 25-hydroxyvitamin D [25(OH)D] and serum ferritin (SF) with metabolic associated fatty liver disease (MAFLD) and fibrosis-4 (FIB-4) index.  Methods  A retrospective analysis was performed for the clinical data of 595 patients who were hospitalized in Department of Gastroenterology, Wuhan Hankou Hospital, from August 2020 to December 2021. Clinical features were compared between 242 patients with MAFLD and 353 patients without MAFLD, and the prevalence rate of MAFLD and SF level were compared between the groups with different 25(OH)D levels. The non-normally distributed continuous data were expressed as M(P25-P75), and the Mann-Whitney U test was used for comparison between two groups; the chi-square test was used for comparison of categorical data between groups. A Spearman correlation analysis was used to investigate the correlation between serum 25(OH)D and SF in different populations; a binary logistic regression analysis was used to investigate the association of 25(OH)D and SF with the risk of MAFLD and FIB-4 index; the receiver operating characteristic (ROC) curves were used to assess the value of 25(OH)D and SF in the diagnosis of liver fibrosis in patients with MAFLD.  Results  Compared with the non-MAFLD patients, the MAFLD patients had a significant reduction in serum 25(OH)D level [15.35(11.26-20.02) vs 21.71(15.39-27.84), Z=-9.761, P < 0.05] and a significant increase in SF level [365.50(251.75-525.00) vs 205.00(112.50-275.00), Z=-13.317, P < 0.05]. The prevalence rate of MAFLD and SF level tended to increase with the reduction in serum 25(OH)D level (Z=75.512, P < 0.05). Serum 25(OH)D level was significantly negatively correlated with SF in MAFLD patients (r=-0.460, P < 0.05). The logistic regression analysis showed that the reduction in serum 25(OH)D level (odds ratio [OR]=0.934, 95% confidence interval [CI]: 0.879-0.992, P=0.028) and the increase in SF level (OR=1.009, 95%CI: 1.006-1.013, P < 0.001) were independent risk factors for MAFLD, and the reduction in serum 25(OH)D level (OR=0.852, 95%CI: 0.752-0.965, P=0.012) was also an independent risk factor for elevated FIB-4 index (> 2.67) in MAFLD patients. The ROC curve analysis showed that serum 25(OH)D, SF, and their combination had an area under the ROC curve of 0.793, 0.829, and 0.851, respectively, in predicting elevated FIB-4 index (> 2.67) in MAFLD patients (all P < 0.05).  Conclusion  Serum 25(OH)D is negatively correlated with SF, and the reduction in serum 25(OH)D and the increase in SF are associated with the risk of MAFLD and elevated FIB-4 index. Serum 25(OH)D and SF levels have a certain value in predicting liver fibrosis in patients with MAFLD.
Influence of metabolic associated fatty liver disease on the degree of carotid stenosis
Zimeng JIANG, Yuhang CHEN, Zhijiao ZHANG, Mengyao ZHENG, Weihua LI, Hua HUANG, Gongfang ZHAO
2023, 39(8): 1874-1879. DOI: 10.3969/j.issn.1001-5256.2023.08.016
Abstract(793) HTML (243) PDF (1685KB)(64)
Abstract:
  Objective  To investigate the influence of metabolic associated fatty liver disease (MAFLD) on carotid stenosis.  Methods  This study was conducted among the patients who underwent abdominal ultrasound and cervical vascular ultrasound at the same time during hospitalization in Department of Gastroenterology, The Second Affiliated Hospital of Kunming Medical University, from January 1, 2014 to June 30, 2020, and baseline data and clinical diagnosis were collected. According to medical history, clinical tests, and imaging indicators, they were divided into MAFLD group with 469 patients and non-MAFLD group with 365 patients. Carotid artery were assessed as normal carotid artery, carotid stenosis < 50%, and carotid stenosis ≥50% according to the degree of stenosis. The independent-samples t test was used for comparison of normally distributed continuous data between two groups, and the Mann-Whitney U rank sum test was used for comparison of non-normally distributed quantitative data between two groups; the chi-square test was used for comparison of qualitative data between two groups. The univariate and multivariate logistic regression analyses were used to investigate the influencing factors carotid stenosis.  Results  Compared with the non-MAFLD group, the MAFLD group had a significantly higher proportion of patients with carotid stenosis ≥50% (10.66% vs 5.21%, χ2=8.050, P=0.005). The univariate logistic regression analysis showed that there were significant differences between the two groups in the proportion of male patients, smoking, MAFLD, body mass index (BMI), total cholesterol, high-density lipoprotein (HDL), administration of lipid-lowering drugs, systolic pressure, hypertension or medication, type 2 diabetes, insulin resistance, and aspartate aminotransferase (AST). After adjustment for sex, smoking, HDL, BMI, history of hypertension or medication, type 2 diabetes, and AST, the multivariate logistic regression analysis showed that MAFLD was a risk factor for carotid stenosis (≥50%) (odds ratio=1.979, 95% confidence interval: 1.055-3.713, P=0.033).  Conclusion  MAFLD is an independent risk factor for carotid stenosis (≥50%).
Original Article_Liver fibrosis and liver cirrhosis
Clinical value of C-reactive protein/albumin ratio in the diagnosis of alcoholic cirrhosis with spontaneous bacterial peritonitis
Feixiang XIONG, Peipei MENG, Yuyong JIANG, Qin ZHANG, Yandan JIANG, Haoxin DUAN, Saisai ZHAO
2023, 39(8): 1880-1885. DOI: 10.3969/j.issn.1001-5256.2023.08.017
Abstract(936) HTML (229) PDF (1848KB)(76)
Abstract:
  Objective  To investigate the clinical value of C-reactive protein/albumin ratio (CAR) in determining spontaneous bacterial peritonitis (SBP) in patients with alcoholic cirrhosis (ALC).  Methods  A retrospective analysis was performed for 329 ALC patients with SBP who were hospitalized in Beijing Ditan Hospital, Capital Medical University, from August 2020 to February 2022, and according to the presence or absence of SBP on admission, they were divided into non-SBP group with 246 patients and SBP group with 83 patients. The two groups were compared in terms of sex, age, comorbidities, complications, blood routine, liver and renal function, blood lipids, and coagulation markers. The independent-samples t test was used for comparison of normally distributed quantitative data between two groups, and the Mann-Whitney U test was used for comparison of non-normally distributed quantitative data between two groups; the chi-square test was used for comparison of qualitative data between two groups. A multivariate binary logistic regression analysis was used to identify the risk factors for SBP. The receiver operating characteristic (ROC) curve was plotted for CAR to calculate the area under the ROC curve (AUC), the optimal cut-off value, and 95% confidence interval (CI).  Results  Compared with the non-SBP patients, the SBP patients had significantly higher inflammatory indicators (WBC, neutrophils, NLR, monocytes, C-reactive protein, and CAR), significantly higher aspartate aminotransferase, total bilirubin, international normalized ratio, and MELD score, and significantly lower levels of albumin and high-density lipoprotein (all P < 0.05). The multivariate logistic regression analysis showed that CAR (odds ratio [OR]=20.628, 95%CI: 6.720-74.052, P < 0.01) and red blood cell count (OR=0.600, 95%CI: 0.381-0.932, P=0.025) were independent risk factors for determining SBP in ALC patients. CAR had a significantly larger AUC than NLR and WBC (0.825 vs 0.725/0.651) and an optimal cut-off value of 0.324. The patients were divided into high-risk group and low-risk group, and the analysis showed that the high-risk group had a significantly higher proportion of patients with SBP than the low-risk group [63.2% (55/87) vs 11.6%(28/242), χ2=90.495, P < 0.01].  Conclusion  CAR is a good marker for determining SBP in patients with ALC.
Mechanism of action of sphingosine kinase 1 inhibitor in a rat model of liver fibrosis
Yan WANG, Li MA, Xiong XIAO, Dongmei LEI, Fengru ZHAO, Liyuan GUO, Xiaozhong WANG
2023, 39(8): 1886-1894. DOI: 10.3969/j.issn.1001-5256.2023.08.018
Abstract(1190) HTML (587) PDF (4489KB)(62)
Abstract:
  Objective  To investigate the therapeutic effect of sphingosine kinase 1 (SphK1) inhibitor in different liver fibrosis models.  Methods  A total of 170 Sprague-Dawley rats were randomly divided into normal group (30 rats), HFE group (45 rats given high-fat emulsion), CCl4 group (45 rats induced by CCl4), and CCl4+HFE group (50 rats given HFE and CCl4). After successful modeling confirmed by pathology and laboratory examination, the SphK1 inhibitor PF-543 was given, and the rats in the same group were given normal saline as control. Liver tissue samples were collected on days 1, 7, and 14 for Masson staining; the percentage of liver fibrosis area was compared; the formation of autophagosome was observed under a transmission electron microscope; real-time PCR was used to measure the mRNA expression levels of markers associated with liver fibrosis and autophagy. A one-way analysis of variance was used for comparison between multiple groups, and the LSD method was used for further comparison between two groups; a Spearman correlation analysis was also performed.  Results  Compared with the normal group, the CCl4 group and the HFE+CCl4 group had a significant increase in the percentage of liver fibrosis area (6.93±5.81/10.89±2.67 vs 0.57±0.13, both P < 0.01), the CCl4 group and the HFE+CCl4 group had a significant reduction in the percentage of liver fibrosis area on day 7 (both P < 0.01). Compared with the normal group, the HFE group, the CCl4 group, and the HFE+CCl4 group had a significant reduction in the expression level of SphK1 (all P < 0.01), and the HFE+CCl4 group had significant increases in the mRNA expression levels of alpha-smooth muscle actin, transforming growth factor-β, and collagen type Ⅰ alpha 1 (all P < 0.01), while there were no significant changes in these indices after intervention (all P > 0.05). The expression levels of Atg5, Atg12, and Becn1 were negatively correlated with the area of liver fibrosis (r=-0.715, -0.640, and -0.632, all P < 0.01), and the expression level of SphK1 was positively correlated with the mRNA expression of Atg5, Atg12, Becn1, and Map1lc3a (r=0.603, 0.561, 0.510, and 0.498, all P < 0.01). Electron microscopy showed that the CCL4 group had slight edema, abundant organelles, and mild swelling in liver tissue, mainly the expansion of rough endoplasmic reticulum, and nine autolysosome (ASS) structures were seen in this field, while no typical ASS structure was observed on day 7 of PF-543 intervention. The HFE+CCL4 group had mild edema, unclear structure, and abundant rough endoplasmic reticulum with marked expansion and few ribosome particles attached to its surface in liver tissue, and 6 ASS structures were seen in this field, while no typical ASS structure was observed on day 7 of PF-543 intervention.  Conclusion  PF-543 significantly inhibits autophagy and is associated with a reduction in fibrosis area. It is suggested that targeting SphK1 can affect the level of liver autophagy, thereby alleviating the state of liver fibrosis in two liver fibrosis models.
Original Article_Liver Neoplasm
Expression of miR-409-3p in hepatoma HepG2 cells and its mechanism in cell proliferation
Changqing WANG, Ling CHEN, Ping XU, Xiaojuan ZHU, Zheng LIU
2023, 39(8): 1895-1902. DOI: 10.3969/j.issn.1001-5256.2023.08.019
Abstract(937) HTML (334) PDF (2369KB)(67)
Abstract:
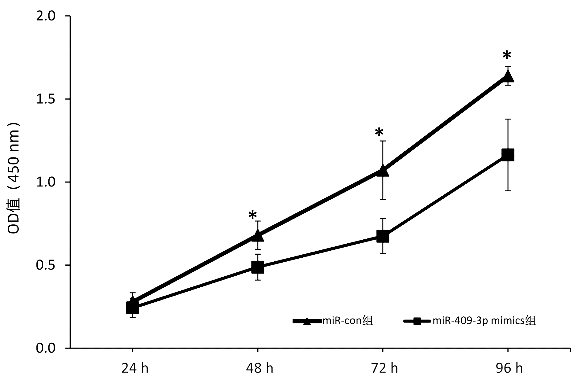
  Objective  To investigate the expression and significance of miR-409-3p in hepatoma carcinoma cell lines and possible molecular mechanism.  Methods  Quantitative real-time PCR was used to measure the expression of miR-409-3p in normal LO2 hepatocytes and four hepatoma cell line (HepG2, BEL-7402, SMMC-7721, and MHCC-97H). Hepatoma HepG2 cells were transiently transfected with miR-409-3p mimics and microRNA mimics control using the cationic liposome method, and then CCK8, plate colony formation assay, and flow cytometry were used to observe the effect of miR-409-3p on the proliferation, cell cycle, and apoptosis of hepatoma cells in vitro. Western blot was used to measure the change in the expression of c-Met protein in HepG2 cells with overexpression of miR-409-3p, and luciferase reporter gene assay was used to identify targeting relationship. The independent-samples t test was used for comparison between two groups, and a one-way analysis of variance was used for comparison between multiple groups, followed by the SNK test.  Results  Based on the TCGA microRNA expression profile data of liver cancer, the expression level of miR-409-3p in liver cancer tissue was significantly lower than that in adjacent tissue (t=7.752, P < 0.05). Compared with the LO2 cells, the HepG2, SMMC-7721, MHCC-97H, and BEL-7402 cells had a significant reduction in the expression level of miR-409-3p (F=31.043, P < 0.05). Compared with the miR-con group, the HepG2 cells transfected with miR-409-3p mimics had a significant increase in the expression level of miR-409-3p (t=-8.836, P < 0.05), suggesting that the interference was effective. CCK8 assay showed that compared with the miR-con group, the HepG2 cells transfected with miR-409-3p mimics had a significant reduction in proliferative capacity at 48, 72, and 96 hours (t=2.876, 3.359, and 3.707, all P < 0.05). Plate colony formation assay showed that the miR-409-3p mimics group had a significantly lower plating efficiency than the miR-con group (t=2.846, P=0.047). Flow cytometry showed that compared with the miR-con group, overexpression of miR-409-3p resulted in the increased number of HepG2 cells in G2 phase (t=-3.763, P < 0.05), while there was no significant difference in apoptosis rate (t=0.714, P=0.515). Luciferase reporter gene assay showed that c-Met was a target gene of miR-409-3p (t=4.970, P=0.007). Compared with the miR-con group, the HepG2 cells transfected with miR-409-3p mimics had a significant reduction in the expression of c-Met protein (t=-8.509, P=0.001).  Conclusion  By inhibiting the protein expression of c-Met, miR-409-3p regulates downstream signaling pathways to induce cell cycle arrest in G2 phase and thus inhibits the proliferation of hepatoma HepG2 cells.
Original Article_Other Liver Disease
Efficacy of Astragali Radix extract in treatment of a mouse model of aristolochic acid Ⅰ-induced liver and renal injury by regulating the IL-6/STAT3 signaling pathway
Gerui ZHU, Yani PI, Jing WANG, Kai HUANG, Yuan PENG, Gaofeng CHEN, Chenghai LIU, Yanyan TAO
2023, 39(8): 1903-1910. DOI: 10.3969/j.issn.1001-5256.2023.08.020
Abstract(1325) HTML (289) PDF (2922KB)(82)
Abstract:
  Objective  To investigate the mechanism of action of Astragali Radix (AR) extract in improving aristolochic acid Ⅰ (AA Ⅰ)-induced acute liver and renal injury in mice by regulating the IL-6/STAT3 signaling pathway.  Methods  A total of 38 healthy male C57BL/6 mice were randomly divided into normal group with 8 mice, model group with 10 mice, AR group with 10 mice, and N-Acetyl-L-cysteine (NAC) group with 10 mice. The model group mice were intraperitoneally injected with 20 mg/kg AAⅠ once a day for 5 days. Normal mice were intraperitoneally injected with the same volume of Carboxymethyl cellulose sodium. AR group and NAC group received intraperitoneal injection of 20 mg/kg AAⅠ once a day for 3 days; On the 4th day, mice were gavaged with AR 75 mg/kg and NAC 150 mg/kg body mass doses, once a day, for 8 days. NAC was used as a positive control drug. After the end of administration and modeling, the mice were sacrificed to collect serum samples and liver and renal tissue samples. The kit was used to measure the serum levels of alanine aminotransferase (ALT), aspartate aminotransferase (AST), serum creatinine (SCr), and blood urea nitrogen (BUN); HE staining was used to observe liver and renal histopathology; quantitative real-time PCR and immunohistochemistry were used to measure the expression level of p-STAT3 in the liver and renal tissue; ELISA was used to measure the expression levels of interleukin-6 (IL-6), interleukin-1β (IL-1β), and tumor necrosis factor-α (TNF-α) in the liver and renal tissue. A one-way analysis of variance was used for comparison of continuous data between multiple groups, and the SNK-q test was used for further comparison between two groups.  Results  Compared with the normal group, the model group had a significant increase in kidney-to-body ratio (P < 0.05). Compared with the model group, the AR group had significant reductions in the levels of ALT, AST, SCr, and BUN (F=49.29, 31.31, 58.89, and 85.88, all P < 0.01). HE staining showed that AR could effectively alleviate AAⅠ -induced structural damage and inflammatory cell infiltration in the liver and renal tissue; quantitative real-time PCR and immunohistochemistry showed that AR could reduce the expression of p-STAT3 in the liver and renal tissues; ELISA showed that AR could downregulate the expression of IL-6, IL-1β, and TNF-α. NAC and AR had a similar effect with no significant differences.  Conclusion  AR exerts a protective effect against AAⅠ-induced acute liver and renal injury, possibly by inhibiting the activation of the IL-6/STAT3 signaling pathway and alleviating inflammatory response.
Original Article_Biliary Disease
Safety and efficacy of modified pancreatic duct stent in biliary drainage after complete bile duct stone removal by endoscopic retrograde cholangiopancreatography
Jialin LI, Likun REN, Xun RAN, Shaoxuan XIA, Yutong ZHOU, Xin HUANG, Min HAN
2023, 39(8): 1911-1918. DOI: 10.3969/j.issn.1001-5256.2023.08.021
Abstract(1519) HTML (652) PDF (2008KB)(68)
Abstract:
  Objective  To investigate the clinical application value of modified 7Fr pancreatic duct plastic stent in biliary drainage.  Methods  Clinical data were collected from 121 patients with choledocholithiasis who underwent endoscopic retrograde cholangiopancreatography (ERCP) lithotomy and biliary drainage in Department of Hepatobiliary Surgery, The Affiliated Hospital of Guizhou Medical University, from April 2021 to June 2022, and according to the method for postoperative biliary drainage, they were divided into modified stent group with 59 patients and nasobiliary drainage group with 60 patients. The patients in the modified stent group received drainage with the modified 7Fr pancreatic duct plastic stent, and those in the nasobiliary drainage group received nasobiliary drainage. A retrospective analysis was performed for their clinical data, and stent dislodgement was observed for the modified stent group. The two groups were compared in terms of clinical outcome, postoperative comfort, and postoperative complications. The independent-samples t test was used for comparison of normally distributed continuous data between groups, and the Mann-Whitney U test was used for comparison of non-normally distributed continuous data between groups; the chi-square test was used for comparison of categorical data between groups.  Results  Both groups achieved a stone clearance rate of 100%. There were significant differences between the two groups in the length of postoperative hospital stay and the total length of hospital stay (t=-3.997 and 2.317, both P < 0.05). After treatment, both groups had significant reductions in total bilirubin (TBil), direct bilirubin (DBil), indirect bilirubin (IBil), alkaline phosphatase (ALP), aspartate aminotransferase (AST), and gamma-glutamyl transpeptidase (all P < 0.05), and there were no significant differences between the two groups in the changes in TBil, DBil, IBil, ALP, alanine aminotransferase, and AST after treatment (all P>0.05). Also, no significant differences were observed between the two groups in the changes in biochemical parameters after treatment (all P>0.05). There were significant differences between the two groups in comfort score within 24 hours after surgery and the time to first eating and drinking after surgery (t=2.001, 3.579, and 4.604, all P < 0.05). There were no significant differences in complications between the two groups (all P>0.05). In the modified stent group, the rate of spontaneous stent dislodgement was 83.05%, and there were no complications such as stent occlusion, displacement, rupture, perforation, and infection.  Conclusion  After complete bile duct stone removal by ERCP, biliary drainage using the modified 7Fr pancreatic duct plastic stent has a similar effect to nasobiliary drainage and can shorten the length of postoperative hospital stay, improve postoperative comfort, and accelerate postoperative recovery, with a relatively high spontaneous dislodgement rate. Therefore, it is safe and effective in clinical practice.
Case Report
Chronic pancreatitis and pancreatic duct stones with ectopic pancreas in the jejunum: A case report
Xiaokang YI, Ping TIAN, Qiuxi LI, Xuebin LIAO, Jian WEN
2023, 39(8): 1919-1921. DOI: 10.3969/j.issn.1001-5256.2023.08.022
Abstract(809) HTML (416) PDF (2002KB)(94)
Abstract:
This article reports a case of chronic pancreatitis and pancreatic duct stones with ectopic pancreas in the jejunum and discusses its features and impact, including the possible impact of misdiagnosis. Since it was unable to identify the nature of the space-occupying lesion in the jejunum, resection was performed for the part of the jejunum with such lesion.
Severe hyperbilirubinemia induced by hereditary spherocytosis: A case report
ABUDUSALAMU·Tuersunmaimaiti, Yunfei ZHANG, Gang YAO, SHADIKE·Apaer, TUERHONGJIANG·Tuxun, Hao WEN
2023, 39(8): 1922-1925. DOI: 10.3969/j.issn.1001-5256.2023.08.023
Abstract(1487) HTML (313) PDF (2217KB)(120)
Abstract:
Hereditary spherocytosis is a type of hereditary hemolytic disease with human erythrocyte membrane defects and has the main symptoms of anemia, jaundice, and splenomegaly. Since its clinical symptoms are not typical, misdiagnosis or missed diagnosis is often observed. At present, there are rare cases with extremely high levels of total bilirubin and direct bilirubin in clinical practice, with few reports in China and globally. In this study, the patient had a total bilirubin level of 1 686.01 μmol/L and a direct bilirubin level of 1 166.6 μmol/L on admission. The patient was successfully discharged after surgical treatment and had good general conditions and high quality of life during follow-up. This article summarizes the experience in the diagnosis and surgical treatment of hereditary spherocytosis.
Sepsis with spontaneous splenic rupture and hemorrhage: A case report
Zhou LIU, Wenfang XIA, Liying ZHAN, Xiaoyu FANG, Liang ZHANG, Na ZHAN, Rong YU, Li HANG, Lei ZHU
2023, 39(8): 1926-1931. DOI: 10.3969/j.issn.1001-5256.2023.08.024
Abstract(1350) HTML (295) PDF (4249KB)(102)
Abstract:
Severe infections due to sepsis often result in multi-organ insufficiency, such as cardiac insufficiency, renal insufficiency, hypohepatia, septic encephalopathy, coagulation dysfunction etc. Severe infections not only cause inflammatory storm, but also induce spleen abscess, and even combined with spontaneous splenic rupture hemorrhage. Spontaneous splenic rupture has an insidious onset, usually without a history of trauma, and is easily missed diagnosis. In this case, the patient with sepsis had sudden onset of abdominal pain and progressive decrease in hematocrit, thus the abdominal CT was immediately performed. The perisplenic mixed high-density shadow indicated splenic hemorrhage. After consultation with the department of hepatobiliary surgery, emergency dissection was performed. Splenic hematoma and laceration were found during the operation, thus total splenectomy was conducted. Pathological indicated chronic inflammatory cell infiltration of spleen, spleen abscess with bleeding. After operation, the patient's hematocrit was stable, abdominal pain improved significantly, and he was discharged from hospital after systematic therapy.
Review
Effect of immune checkpoint molecules on the function of natural killer cells in patients with chronic hepatitis B virus infection
Jun HUANG, Huijuan SHAO, Xuefeng MA, Xiaohui YU, Xiaofeng ZHENG, Jiucong ZHANG
2023, 39(8): 1932-1938. DOI: 10.3969/j.issn.1001-5256.2023.08.025
Abstract(1124) HTML (225) PDF (2174KB)(92)
Abstract:
At present, the mechanism of chronic hepatitis B virus (HBV) infection has not been fully clarified, and HBV can cause immune cell dysfunction, immune imbalance and functional defects in the host, which might be one of the mechanisms of chronic HBV infection. In chronic HBV infection, the functions of natural killer (NK) cells are depleted, which may be associated with the upregulated expression of immune checkpoint molecules on the surface of NK cells, and blocking immune checkpoint molecules can restore the function of NK cells. This article systematically reviews the etiology of HBV, the mechanism of chronic HBV infection, and the effect of common immune checkpoint molecules on functions of NK cells in chronic hepatitis B, so as to provide new ideas for the treatment of chronic HBV infection.
Research advances in the association between microcirculation disturbance and microvascular system in metabolic associated fatty liver disease
Anqi LI, Yuqiang ZHAO, Peiran ZHAO, Rui WANG, Jing YANG
2023, 39(8): 1939-1945. DOI: 10.3969/j.issn.1001-5256.2023.08.026
Abstract(787) HTML (399) PDF (1692KB)(103)
Abstract:
Metabolic associated fatty liver disease (MAFLD) is considered a multisystem disease that can lead to multiple extrahepatic complications, among which cardiovascular disease (CVD) is the most common cause of death in MAFLD patients. MAFLD and its complications share many common metabolic risk factors, which increase the susceptibility to diabetes, hypertension, atherosclerosis, and venous thrombosis through the mechanisms such as inflammation, endothelial dysfunction, oxidative stress, insulin resistance, and abnormal lipid metabolism, and there is a complex interaction between such factors and the pathology of MAFLD, thereby promoting the occurrence of each other. During the progression of MAFLD, there might be changes in various parts of the liver microvasculature, resulting in hepatic microcirculation disturbance, and intrahepatic microvascular disturbance and microcirculation dysfunction are the key to the progression of extrahepatic complications, but MAFLD has not yet been taken seriously like other traditional risk factors. An in-depth understanding of the association between pathological changes of the microvasculature and microcirculation disturbance in MAFLD will help with the mechanism research and treatment of the extrahepatic complications of MAFLD, and more importantly, help MAFLD patients pay more attention to healthcare outside the liver.
The mechanism and potential of mammalian target of rapamycin complex 1(mTORC1) in treatment for nonalcoholic fatty liver disease
Shihang ZHENG, Jun YANG, Yue TAN, Changqing ZHENG
2023, 39(8): 1946-1951. DOI: 10.3969/j.issn.1001-5256.2023.08.027
Abstract(1083) HTML (633) PDF (1678KB)(68)
Abstract:
Nonalcoholic fatty liver disease (NAFLD) has become the most common chronic liver disease worldwide and can progress to nonalcoholic steatohepatitis, liver cirrhosis, and liver cancer. Mammalian target of rapamycin (mTOR) is an atypical serine/threonine protein kinase and plays an important role in the processes such as cell growth, apoptosis, autophagy, and metabolism. This article elaborates on the role of the mTOR complex 1 (mTORC1) signaling pathway in cell metabolism, growth, and differentiation during in the onset of NAFLD and further proposes the value and potential of the mTORC1 pathway in the research on therapeutic drugs for NAFLD.
Advances in the diagnosis and treatment of autoimmune liver disease overlap syndrome
Shangjuan YAO, Yilin LI, Mingjie CHEN, Qiang LI
2023, 39(8): 1952-1957. DOI: 10.3969/j.issn.1001-5256.2023.08.028
Abstract(1455) HTML (390) PDF (1686KB)(250)
Abstract:
Autoimmune liver disease overlap syndrome is one of the autoimmune diseases of the liver, and liver cirrhosis-related complications tend to have a high incidence rate and a poor prognosis. This article elaborates on the latest research advances in autoimmune liver disease overlap syndrome from the aspects of epidemiology, clinical characteristics, diagnosis, treatment, and prognosis and summarizes the diagnostic methods and effective treatment regimens for different types of overlap syndrome, so as to improve the understanding of such diseases among clinical workers and achieve timely diagnosis and treatment.
Influence of splenectomy on the course of liver cirrhosis and related mechanism
Zhenglong ZHENG, Xianpeng XU, Baixue LI, Yue SU, Yilan XIE, Quansheng FENG
2023, 39(8): 1958-1965. DOI: 10.3969/j.issn.1001-5256.2023.08.029
Abstract(1950) HTML (322) PDF (1706KB)(197)
Abstract:
Splenomegaly is a common pathological change of portal hypertension in liver cirrhosis and can progress to hypersplenism, leading to the reduction in blood cells and increasing the risk of clinical bleeding and infection. Splenectomy is an important method for the treatment of splenectomy with hypersplenism, but it faces the risks of infection, surgical bleeding, postoperative thrombosis, and postoperative pancreatic fistula. However, with the gradual deepening of modern research, it has been found that patients with liver cirrhosis have a certain degree of improvement after splenectomy, such as the reduced risk of gastrointestinal bleeding, a reduction in portal venous pressure, the improvement in the hemodynamics of internal organs, the promotion of liver tissue regeneration, the improvement in liver fibrosis, the regulation of immune function, the improvement in nutritional status, and the reduced risk of liver cancer. With reference to available clinical and experimental studies, this article reviews the influence of splenectomy on the course of liver cirrhosis and actively explores related mechanism, in order to provide reliable reference and basis for the selection and implementation of splenectomy in clinical practice.
Research advances in the influence of intraoperative factors during transjugular intrahepatic portosystemic shunt on the development of hepatic encephalopathy
Qi QI, Xin YAO, Guodong YANG, Jianping QIN
2023, 39(8): 1966-1971. DOI: 10.3969/j.issn.1001-5256.2023.08.030
Abstract(938) HTML (247) PDF (1681KB)(90)
Abstract:
Hepatic encephalopathy (HE) is one of the common complications after transjugular intrahepatic portosystemic shunt (TIPS), with complex influencing factors and an unknown pathogenesis, and how to reduce HE after TIPS has always been a clinical concern. There are reports on the influence of TIPS on postoperative HE both in China and globally, and a consensus has been reached on some of the research results, while there are still controversies over other results. This article reviews the influencing factors for postoperative HE, such as puncture of the left or right portal vein shunt during TIPS, balloon dilatation channels with different inner diameters, and the degree of reduction in hepatic venous pressure gradient, so as to provide a reference for optimizing the operation of TIPS and reducing the onset of postoperative HE.
Research advances in local treatment combined with systemic therapy for advanced hepatocellular carcinoma
Bailu CAO, Min AI, Ping HUANG, Yongfeng YANG
2023, 39(8): 1972-1976. DOI: 10.3969/j.issn.1001-5256.2023.08.031
Abstract(994) HTML (239) PDF (1673KB)(156)
Abstract:
Most patients with hepatocellular carcinoma (HCC) have reached the advanced stage at the time of diagnosis in China, and a single treatment regimen tends to have a low objective response rate (ORR), while combined therapy can significantly increase the ORR of patients with advanced HCC and prolong their survival time. The article elaborates on the latest research advances in the efficacy of local treatment combined with systemic therapy for advanced HCC.
Research advances in long non-coding small nucleolar RNA host gene in hepatocellular carcinoma
Yuhan LI, Beichen GUO, Feng ZHOU, Tao HAN
2023, 39(8): 1977-1982. DOI: 10.3969/j.issn.1001-5256.2023.08.032
Abstract(1050) HTML (518) PDF (2140KB)(85)
Abstract:
Hepatocellular carcinoma (HCC) is the most common type of primary liver cancer and is one of the leading causes of cancer-related deaths. Despite the in-depth research on HCC at present, the underlying molecular mechanisms are still unclear. Recent studies have revealed that long non-coding RNAs (lncRNAs) play an important role in the development and progression of HCC, and long non-coding RNA small nucleolar RNA host genes (lncRNA SNHGs) show abnormal expression in HCC and play regulatory roles in the proliferation, invasion, metastasis, angiogenesis, stemness, and drug resistance of tumor cells. This article reviews the mechanism and prognostic value of the lncRNA SNHG family in HCC, so as to provide new ideas for basic and clinical research in this field.
Role of circular RNA in the development, progression, diagnosis, and treatment of hepatocellular carcinoma
Shuying MIAO, Jun YANG, Wenyan GUAN, Biao ZHANG, Lu HE, Zhiwen FAN
2023, 39(8): 1983-1991. DOI: 10.3969/j.issn.1001-5256.2023.08.033
Abstract(1334) HTML (288) PDF (1709KB)(56)
Abstract:
As the most common type of primary liver cancer, hepatocellular carcinoma (HCC) is an invasive and fatal malignant tumor, and its development and progression involve multiple genes, steps, and stages. Circular RNA (circRNA), as a class of endogenous non-coding RNAs, mainly acts as a sponge by absorbing microRNA or RNA-binding proteins to regulate the expression of downstream target genes. This article comprehensively introduces the role and significance of circRNA in signal transduction, immunity, metabolism, drug resistance, and hepatitis B virus-related HCC and its potential value as a biomarker or therapeutic target for HCC, so as to provide new ideas for the diagnosis and treatment of HCC.
Changes and pathogenic mechanism of intestinal flora in acute-on-chronic liver failure
Guirong CHEN, Minggang WANG, Huaming LIN, Huiping YAN, Xiufeng WANG
2023, 39(8): 1992-1998. DOI: 10.3969/j.issn.1001-5256.2023.08.034
Abstract(929) HTML (576) PDF (2330KB)(87)
Abstract:
Acute-on-chronic liver failure (ACLF) has a rapid onset, a high mortality rate, and a poor prognosis, and there is still a lack of specific pharmacotherapy and treatment methods. In recent years, an increasing number of evidence has shown that intestinal flora plays a critical role in maintaining the homeostasis of human microenvironment. Comprehensive testing of intestinal flora profile using metagenomics has demonstrated an interaction association between intestinal flora and the development and progression of chronic liver diseases. Research on the pathogenesis of ACLF has found that intestinal flora plays an important role in the pathogenesis of ACLF. Based on this, this article summarizes the changes in intestinal flora and its pathogenic mechanism in the development and progression of ACLF, so as to provide new targets for the clinical treatment of ACLF from the new perspective of intestinal flora regulation.
Role of Golgi protein 73(GP73) in diagnosis of chronic liver diseases
Yangqing MA, Haina FAN, Xin SUN, Chenghai LIU
2023, 39(8): 1999-2004. DOI: 10.3969/j.issn.1001-5256.2023.08.035
Abstract(1473) HTML (878) PDF (1687KB)(95)
Abstract:
Early diagnosis and accurate assessment of liver inflammation and fibrosis is particularly important for the therapeutic intervention and prognosis of chronic liver diseases. This article summarizes the diagnostic efficacy of Golgi protein 73 (GP73) for chronic liver diseases by reviewing related clinical studies on GP73 and the diagnosis and prognosis of liver cancer, liver fibrosis, and liver inflammation. The analysis shows that besides liver cancer, GP73 is closely associated with the degree of liver fibrosis and prognosis and can better reflect liver inflammatory damage. GP73 combined with other serum markers can improve the noninvasive diagnosis of chronic liver diseases.
Research advances in the mechanism of tumor microenvironment and targeted therapy for pancreatic neuroendocrine tumor
Jiani YANG, Hairong ZHANG
2023, 39(8): 2005-2011. DOI: 10.3969/j.issn.1001-5256.2023.08.036
Abstract(1451) HTML (267) PDF (1697KB)(63)
Abstract:
The tumor microenvironment of pancreatic neuroendocrine tumor is a tumor-promoting microenvironment composed of tumor cells, immune/immunosuppressive cells, and extracellular matrix and has the marked feature of immunosuppression. It can lead to the immune escape, invasion, and metastasis of tumor cells by inhibiting antitumor immune response and promoting angiogenesis and is also the main cause of drug resistance to antitumor treatment. Therefore, it is of great significance to design new therapeutic strategies from the perspective of the tumor microenvironment of pancreatic neuroendocrine tumor to reverse suppressive tumor microenvironment and improve the treatment outcome of pancreatic neuroendocrine tumor. This article reviews the latest research advances in the composition and role of the tumor microenvironment of pancreatic neuroendocrine tumor and related targeted therapy.
Research advances in human brucellosis vaccines
Jihong AN, Tiantian DU, Zhanguo WANG
2023, 39(8): 2012-2016. DOI: 10.3969/j.issn.1001-5256.2023.08.037
Abstract(1371) HTML (325) PDF (1670KB)(130)
Abstract:
Brucellosis is the most common zoonotic disease and a common public health problem worldwide. It not only greatly harms the health of people, but also seriously affects the development of animal husbandry, and it also brings food safety risks. Practice has shown that vaccine immunization is the most effective measure to prevent the epidemic of infectious diseases, and Bifidobacterium abortus vaccine 104M strain is the only vaccine that has been approved for preventing human brucellosis in China. Although the 104M genome of Bifidobacterium abortus has been fully sequenced, genome annotation has not been completed at the moment. In addition, the main mechanisms of residual toxicity and vaccine-induced immune protection have not been clarified. This article mainly elaborates on the clinical manifestations and treatment of brucellosis and related research advances in vaccines.
Thanks
Current reviewers
2023, 39(8): 1971-1971. DOI: 10.3969/j.issn.1001-5256.2023.08.zhixie1
Abstract(351) HTML (182) PDF (739KB)(47)
Abstract: