中文English
ISSN 1001-5256 (Print)
ISSN 2097-3497 (Online)
CN 22-1108/R

留言板

尊敬的读者、作者、审稿人, 关于本刊的投稿、审稿、编辑和出版的任何问题, 您可以本页添加留言。我们将尽快给您答复。谢谢您的支持!

姓名
邮箱
手机号码
标题
留言内容
验证码
2023年 第5期
“肝病的细胞治疗” 重点号
执行主编:王贵强
北京大学第一医院

显示方式:
述评
细胞疗法在肝脏疾病临床治疗中的应用及展望
王贵强
2023, 39(5): 1001-1003. DOI: 10.3969/j.issn.1001-5256.2023.05.001
摘要(1072) HTML (220) PDF (1914KB)(232)
摘要:
细胞疗法是区别于传统药物的新兴疗法,其中免疫细胞和间充质干细胞是目前治疗肝脏疾病最有前景的两类细胞,其展现的治疗效果已经初见成效。本文对肝脏疾病领域相关的细胞疗法进展进行总结,分析不同细胞疗法的挑战和应对策略,并对细胞疗法在肝脏相关疾病中的应用前景进行展望。
专家论坛
间充质干细胞治疗自身免疫性肝病的临床研究进展
史婉婉, 钱建丹, 王贵强
2023, 39(5): 1004-1009. DOI: 10.3969/j.issn.1001-5256.2023.05.002
摘要(1347) HTML (569) PDF (1882KB)(211)
摘要:
自身免疫性肝病因治疗选择和方式比较局限,因此迫切需要寻求新的治疗方法。间充质干细胞(MSC)作为干细胞治疗最常见的细胞来源,在调节先天和适应性免疫反应中发挥着重要作用,已广泛应用于临床试验,治疗自身免疫性疾病和炎症性疾病。最近的实验和临床研究表明,MSC及MSC-EV可以抑制肝脏多种促炎细胞的激活和增殖,如Th1、Th17和M1巨噬细胞,调节T淋巴细胞和B淋巴细胞不同亚群的分化,减少促炎细胞因子的分泌,同时促进抗炎细胞的增殖,从而发挥免疫调节作用。本文就MSC以及MSC-EV在自身免疫性肝病治疗方面的临床试验,及其免疫调节作用和促进肝细胞再生等机制进行综述,并简要概述了MSC以及MSC-EV在临床应用中的潜在用途和局限性。
间充质干细胞治疗终末期肝病的临床研究进展
冯宇, 陈俊峰, 林炳亮
2023, 39(5): 1010-1018. DOI: 10.3969/j.issn.1001-5256.2023.05.003
摘要(1290) HTML (475) PDF (1911KB)(195)
摘要:
终末期肝病(ESLD)包括失代偿期肝硬化和肝衰竭,其病情凶险,预后不佳。肝移植是唯一可以治愈ESLD的方法,但因肝源短缺、免疫排斥和费用昂贵等问题,其在临床中的应用受到很大限制。间充质干细胞(MSC)可分化为肝细胞样细胞,并可通过旁分泌调节机体免疫功能,改善肝纤维化,在治疗ESLD领域具有极广的应用前景。很多临床研究已经证明输注MSC治疗ESLD在短期内是安全有效的,其长期应用的安全性和有效性也有一定的临床证据支持。MSC分泌的外泌体没有完整的细胞结构,可通过多种机制促进肝细胞再生,其临床应用价值日益受到重视,但与之相关的临床研究仍寥寥可数。干细胞治疗ESLD的核心机制、制备干细胞的标准化流程等是当下亟待解决的问题。
嵌合抗原受体T细胞治疗原发性肝癌临床研究进展
李爽, 刘哲睿, 赵琦, 陆荫英
2023, 39(5): 1019-1029. DOI: 10.3969/j.issn.1001-5256.2023.05.004
摘要(1625) HTML (786) PDF (2322KB)(202)
摘要:
原发性肝癌具有起病隐匿以及早期诊断困难等特点,治疗手段有限且效果不佳。嵌合抗原受体(CAR)T细胞疗法是经基因编辑修饰的T淋巴细胞识别肿瘤特异性抗原并活化T淋巴细胞,发挥肿瘤杀伤作用。CAR-T细胞疗法治疗血液肿瘤取得重大进展,近年来在实体瘤领域也有了很好的临床疗效,尽管CAR-T细胞治疗技术已经从第一代发展到第五代,但在实体瘤领域仍存在诸多挑战。本文将对CAR-T细胞治疗原发性肝癌的机制以及相关研究进展进行全面的综述,包括目前CAR-T细胞疗法治疗原发性肝癌主要的靶点GPC3、AFP、MUC1、NKG2D等,CAR-T细胞治疗与溶瘤病毒,逐渐兴起的免疫检查点抑制剂等联合治疗,以及对以上靶点以及治疗方式的生物学研究、临床前研究和临床研究的回顾,并对CAR-T细胞治疗原发性肝癌面临的挑战及解决措施进行汇总。为未来CAR-T细胞疗法在肝癌领域的临床发展提供参考。
肿瘤浸润淋巴细胞治疗胆道癌研究进展
万雪帅, 谢小兵, 赵海涛, 谷为岳, 张恒辉
2023, 39(5): 1030-1036. DOI: 10.3969/j.issn.1001-5256.2023.05.005
摘要(1252) HTML (537) PDF (1885KB)(156)
摘要:
肿瘤浸润淋巴细胞(TIL)是存在于肿瘤实质和间质内的以T淋巴细胞为主的一类异质性淋巴细胞群体。将其从肿瘤组织消化和分离出来,经体外培养活化和扩增后,回输到患者体内可以起到杀伤肿瘤细胞的作用。TIL具有T淋巴细胞抗原受体的高度多样性、优异的浸润肿瘤部位能力以及低毒性等优势,被认为有希望用于治疗恶性实体肿瘤。目前,TIL疗法已在多种实体瘤中作为二线治疗进行临床试验并取得初步疗效。虽然目前尚无TIL应用于胆道癌单一病种的临床队列报道,近期的多癌种临床报道提供了少数接受TIL治疗的胆道癌患者的疗效信息,初步证实了安全性和有效性。但由于胆道癌一般被认为是大多数效应T淋巴细胞被隔离在肿瘤边缘的免疫排斥性肿瘤,TIL在胆道癌中的抗肿瘤作用仍难以预测。尝试与不同抗肿瘤方法的联合治疗以及开发新技术修饰细胞以增强TIL抗肿瘤能力是未来可能突破的发展方向。
学术争鸣
关于“隐匿性HBV感染”定义的拙见
薛荣荣, 王欣茹, 肖丽, 刘成元, 王蔚, 徐洪涛, 咸建春
2023, 39(5): 1037-1040. DOI: 10.3969/j.issn.1001-5256.2023.05.006
摘要(1354) HTML (272) PDF (1843KB)(185)
摘要:
隐匿性HBV感染(OBI)诊断的充分必要条件是指HBsAg阴性个体的肝脏和/或血清中存在具有复制能力的HBV DNA。我国学者近年来对其提出认为是更“严谨”的定义:即在此基础上,排除HBV窗口期(WP)感染,对应血清HBV DNA低于检测下限或低值阳性(<200 IU/mL)。因HBV感染WP的定义尚不明确、持续时间的高度可变性,而“HBV DNA<200 IU/mL”不是OBI患者的全部。故认为以“排除HBV感染WP”与“HBV DNA<200 IU/mL”为诊断OBI“严谨”条件的OBI定义还缺乏充分的依据与可操作性。
指南与规范
非酒精性脂肪性肝炎中医诊疗指南
中华中医药学会肝胆病分会
2023, 39(5): 1041-1048. DOI: 10.3969/j.issn.1001-5256.2023.05.007
摘要(2590) HTML (925) PDF (1893KB)(680)
摘要:
《2023年美国肝病学会实践指导:非酒精性脂肪性肝病的临床评估和管理》意见简介
倪文婧, 李婕, 范建高
2023, 39(5): 1049-1055. DOI: 10.3969/j.issn.1001-5256.2023.05.008
摘要(2654) HTML (1403) PDF (3058KB)(645)
摘要:
论著_病毒性肝炎
河南省18岁及以下住院患者HBV血清流行病学特征分析
李威, 康艳红, 张江峰, 殷辉, 刘俊平, 李玉魁, 康谊
2023, 39(5): 1056-1060. DOI: 10.3969/j.issn.1001-5256.2023.05.009
摘要(966) HTML (190) PDF (2003KB)(104)
摘要:
  目的  调查1~18岁住院患者HBV感染现状,分析乙型肝炎疫苗接种后免疫情况。  方法  收集2020年7月—2021年7月1~18岁河南省人民医院住院患者的乙型肝炎血清学标志物(HBsAg、抗-HBs、HBeAg、抗-HBe和抗-HBc)以及乙型肝炎疫苗接种等信息,分析HBV感染流行现状和疫苗接种后的免疫效果。趋势分析采用趋势χ2检验。  结果  共收集住院患者10 658例,男6 372例(59.79%),女4 286例(40.21%)。人群整体HBsAg阳性占比为0.28%(30/10 658),17、18岁年龄组HBsAg阳性占比较高,分别为0.68%和0.62%;抗-HBs阳性占比为51.82%(5 523/10 658),其中1~4岁年龄组抗-HBs阳性占比处于较高水平,均在63%以上,5~18岁年龄组抗-HBs阳性占比下降,波动在40%左右。随着年龄增长,无论男性还是女性,抗-HBs阳性均有下降趋势(男性:χ2=8.217, P=0.004,女性:χ2=10.048, P=0.002)。  结论  基于住院患者数据,河南省1~18岁人群HBV感染呈现低水平流行、高免疫特点,本地区计划免疫5年以上抗-HBs阳性占比下降的现象需要关注。
富马酸丙酚替诺福韦治疗青岛地区60岁及以上慢性乙型肝炎患者的有效性和安全性
宋玉文, 陈立震, 金文文, 耿宁, 张旸, 杜水仙, 赵本田, 段建平, 周永, 毕春花, 马磊, 胡欣欣, 张吉宏, 孙建涛, 谭杰, 辛永宁
2023, 39(5): 1061-1069. DOI: 10.3969/j.issn.1001-5256.2023.05.010
摘要(1687) HTML (617) PDF (2730KB)(167)
摘要:
  目的  探讨富马酸丙酚替诺福韦(TAF)在老年慢性乙型肝炎(CHB)患者中的应用价值,明确其对骨骼和肾脏的影响。  方法  选取2021年6月—2022年10月在青岛市市立医院、青岛大学附属医院、青岛市第六人民医院、青岛市城阳人民医院、青岛市即墨人民医院接受TAF抗病毒治疗的60岁及以上CHB患者36例。所有患者接受TAF(25 mg /d)抗病毒治疗。收集患者基线期、48周病毒学指标、生化指标、尿蛋白电泳指标以及甲胎蛋白(AFP)、肝脏超声瞬时弹性成像测定(FibroScan)、骨密度测定数据。收集24周病毒学指标,生化指标,尿蛋白电泳指标。正态分布计量资料治疗前后进行配对t检验,非正态分布计量资料治疗前后比较采用Wilcoxon符号秩和检验。计数资料的比较采用χ2检验或Fisher确切概率法。  结果  36例CHB患者完成了24周随访。TAF治疗24周后,完全病毒学应答率为83.3%(30/36),与基线期77.8%(28/36)比较,差异无统计学意义(χ2=0.36, P=0.55)。24周DBil(t=-2.42, P=0.02)、Cys C(t=-4.34, P<0.001) 显著下降,与基线比较差异均有统计学意义。18例CHB患者完成了48周随访。治疗48周后,完全病毒学应答率为94.4%(17/18),与基线期77.8%(14/18)比较,差异无统计学意义(χ2=2.22, P=0.34);IBil(t=2.43,P=0.03)和TBA(Z=-2.24,P=0.03)均升高,腰椎(t=2.92,P=0.01)及股骨颈骨密度(t=2.42, P=0.03)T评分均升高,LSM水平降低(t=-2.31, P=0.03),与基线比较差异均有统计学意义。β2-MG、URBP、α1-MG在治疗前后差异均无统计学意义(P值均>0.05)。  结论  TAF在60岁及以上CHB患者中有良好的抗病毒效果,使更多CHB患者达到完全病毒学应答,未发现对肾脏造成损害,能够改善骨密度及肝纤维化程度。
基线HBV血清标志物联合评分对核苷(酸)类似物抗病毒治疗慢性乙型肝炎患者HBeAg血清学转换的预测价值
王扬, 廖昊, 邓中平, 赵景, 卞丹丹, 任艳, 蒋莹莹, 刘霜, 陈煜, 鲁凤民, 段钟平, 郑素军
2023, 39(5): 1070-1075. DOI: 10.3969/j.issn.1001-5256.2023.05.011
摘要(966) HTML (268) PDF (1877KB)(141)
摘要:
  目的  评估基线血清指标HBV DNA、HBV RNA、HBsAg和HBcrAg联合对HBeAg阳性慢性乙型肝炎患者(CHB)核苷(酸)类似物治疗过程中HBeAg血清学转换的预测能力。  方法  以2007年6月—2008年7月首都医科大学附属北京佑安医院疑难肝病及人工肝中心组建的CHB前瞻性随访队列中83例HBeAg阳性患者为研究对象,回顾性分析基线血清HBV DNA、HBV RNA、HBsAg和HBcrAg水平。计量资料两组间比较采用成组t检验或Mann-Whitney U检验。计数资料两组间比较采用χ2检验。采用Spearman法进行相关性分析。构建Cox回归模型并计算HBeAg转换预测评分,时间依赖性受试者工作特征曲线评估病毒学标志物联合对HBeAg血清学转换的预测能力。不同组别累积转换率的计算使用Kaplan-Meier分析,差异比较采用Log-rank检验。  结果  83例HBeAg阳性患者中位随访108个月,其中44.58%(37/83)的患者发生HBeAg血清学转换。HBeAg转换组患者基线血清HBV DNA[6.23(1.99~9.28) log10IU/mL vs 7.69(2.05~8.96) log10IU/mL,Z=-2.345,P=0.019]和HBV RNA[4.81(1.40~7.53) log10拷贝/mL vs 6.22(2.00~8.49) log10拷贝/mL,Z=-1.702,P=0.010]水平显著低于未转换组;HBsAg和HBcrAg水平两组间比较,差异均无统计意义(P值均>0.05)。基于以上血清标志物构建Cox回归方程,计算联合预测HBeAg血清学转换评分中位数为0.95(范围0.37~3.45)。在总体患者中,联合评分与HBsAg、HBV DNA、HBV RNA和HBcrAg呈负相关,相关系数分别为-0.697、-0.787、-0.990和-0.819(P值均<0.001)。基于联合预测评分中位值,将患者分为高HBeAg转换组和低HBeAg转换组,预测36个月、60个月及84个月时HBeAg血清学转换率,高HBeAg转换组分别为43.90%、51.20%和63.10%,低HBeAg转换组分别为9.60%、17.00%和19.80%,两组间差异有统计学意义(χ2=11.6,P<0.001)。  结论  基于基线血清HBV标志物构建的联合预测评分可以预测CHB患者核苷(酸)类似物治疗过程中HBeAg的血清学转换。
内蒙古自治区蒙古族聚集区丁型肝炎流行现状分析
付春山, 冯笑梅, 迟秀梅, 訾君, 牛俊奇, 张专才
2023, 39(5): 1076-1080. DOI: 10.3969/j.issn.1001-5256.2023.05.012
摘要(981) HTML (284) PDF (2140KB)(106)
摘要:
  目的  探讨内蒙古自治区蒙古族聚集区丁型肝炎病毒(HDV)感染情况以及分子流行病学特点。  方法  纳入2019年4月—2020年10月在国际蒙医医院就诊的乙型肝炎表面抗原(HBsAg)阳性的患者230例,根据患者情况分为乙型肝炎合并肝硬化组(n=18)和乙型肝炎组(n=212);并以HBsAg定量值250 IU/mL为界限将患者分为HBsAg<250 IU/mL组(n=104)和HBsAg≥250 IU/mL组(n=126)。采用ELISA方法进行HDV抗体的检测,抗体阳性者进一步利用实时定量PCR方法进行HDV RNA检测。并对HDV RNA阳性标本进行分型检测。计数资料两组间比较采用χ2检验。  结果  HDV抗体检测阳性率为16.09%,抗体阳性患者中HDV RNA阳性率为91.89%。乙型肝炎合并肝硬化患者共18例,HDV抗体检测阳性率为44.44%,抗体阳性患者HDV RNA阳性率为100%。HBsAg<250 IU/mL的患者共104例,其中只有3例(2.88%)HDV抗体阳性。而HBsAg≥250 IU/mL的患者共126例,HDV抗体阳性率为26.98%。所有能测出分型的标本的基因分型均为1型。  结论  内蒙古自治区蒙古族聚集区HDV感染率较高,尤其是HBsAg≥250 IU/mL及肝硬化患者。需加强HBsAg阳性患者的丁型肝炎检测,及早诊断和治疗,防止肝炎进一步发展。
论著_脂肪性肝病
2型糖尿病患者合并非酒精性脂肪性肝病的影响因素分析
张顺宵, 张晟, 张妍, 李园园, 陈月, 孙明瑜
2023, 39(5): 1081-1088. DOI: 10.3969/j.issn.1001-5256.2023.05.013
摘要(1006) HTML (391) PDF (2079KB)(108)
摘要:
  目的  探讨2型糖尿病(T2DM)合并非酒精性脂肪性肝病(NAFLD)患者的相关影响因素。  方法  选取2021年5月—2022年3月上海市宝山区中西医结合医院中纳入国家标准化代谢性疾病管理中心的252例T2DM患者,根据患者的脂肪肝情况,分为单纯T2DM组(n=105)和T2DM合并NAFLD组(n=147)。分析患者一般资料,包括性别、年龄、血压、身高、体质量、颈围、甘油三酯(TG)、总胆固醇、高密度脂蛋白胆固醇(HDL-C)、低密度脂蛋白胆固醇、空腹血糖、糖化血红蛋白、超敏C反应蛋白、晨尿白蛋白/肌酐、促甲状腺激素、尿酸、肝内脂肪沉积情况、颈动脉内膜中层厚度以及踝臂脉搏波等。正态分布的计量资料两组间比较采用成组t检验;非正态分布的计量资料两组间比较采用Mann-Whitney U检验。计数资料组间比较采用χ2检验。多因素Logistic回归分析T2DM合并NAFLD的相关危险因素,应用受试者工作特征曲线(ROC曲线)评估相关影响因素的预测价值。  结果  按年龄分层统计分析发现,<50岁T2DM合并NAFLD患者的BMI、内脏脂肪、TG、肱踝脉搏波传导速度、晨尿白蛋白/肌酐、尿酸水平均显著高于单纯T2DM患者(P值均<0.05),血清HDL-C水平显著低于单纯T2DM患者(P<0.05);≥50岁T2DM合并NAFLD患者的血压、BMI、内脏脂肪、TG、肱踝脉搏波传导速度、晨尿白蛋白/肌酐、尿酸水平显著高于单纯T2DM患者(P值均<0.05),血清HDL-C水平显著低于单纯T2DM患者(P<0.05)。多因素Logistic回归分析结果显示,BMI(OR=1.408,95%CI:1.136~1.746,P=0.002)、HDL-C(OR=0.031,95%CI:0.001~0.647,P=0.025)、左肱踝脉搏波传导速度(OR=1.003,95%CI:1.001~1.006,P=0.003)、尿酸(OR=1.011,95%CI:1.005~1.016,P<0.001)是T2DM合并NAFLD的独立影响因素。ROC曲线结果显示,HDL-C、BMI、左肱踝脉搏波传导速度、尿酸评估T2DM合并NAFLD的曲线下面积分别为0.695(95%CI:0.574~0.812)、0.708(95%CI:0.628~0.788)、0.611(95%CI:0.523~0.698)、0.698(95%CI:0.617~0.779)。  结论  低水平HDL-C、BMI、左肱踝脉搏波传导速度及尿酸对T2DM患者NAFLD发生具有预测价值。
论著_肝纤维化及肝硬化
肝硬化合并脓毒症患者短期住院死亡的Cox比例风险预测模型建立及评价
薛淋淋, 李秉翰, 刘春云, 李卫昆, 常丽仙, 刘立
2023, 39(5): 1089-1097. DOI: 10.3969/j.issn.1001-5256.2023.05.014
摘要(898) HTML (357) PDF (2199KB)(99)
摘要:
  目的  构建肝硬化合并脓毒症患者短期住院死亡的Cox比例风险预测模型。  方法  回顾性收集2012年1月—2022年8月昆明市第三人民医院收治的336例肝硬化合并脓毒症患者的临床资料。依据患者短期住院期间是否死亡,分为死亡组(n=40)和生存组(n=296)。收集人口学资料、合并症及临床生化指标,比较各观察指标在两组中的差异。计量资料呈正态分布两组间比较采用成组t检验;计量资料呈偏态分布两组间比较采用Mann-Whitney U检验;计数资料两组间比较采用χ2检验。采用Cox多因素分析筛选变量,据此构建Cox比例风险预测模型并计算风险比(HR)及95%CI。计算C指数来检验其预测精度。绘制列线图可视化展示Cox比例风险预测模型,绘制校准曲线以观察模型预测结果与实际情况的符合程度。  结果  336例患者中男261例(77.7%),女75例(22.3%),平均年龄(50.0±10.6)岁。其中死亡40例,住院时间8.2~23.0天,平均住院时间(16.8±11.3)天。与生存组相比较,死亡组的年龄(≥60岁)、近2周有创操作史、消化道出血、HE、HRS、改良MEWS评分、PT、APTT、INR、D-D、CD4/CD8、Lac、WBC、NE、TBil、IL-6、PCT、hsCRP、BUN、Cr水平均较高,差异具有统计学意义(P值均<0.05);RBC、Hb、TP、白蛋白(Alb)、TC、LDL、HDL水平均较低,差异均有统计学意义(P值均<0.05)。多因素Cox回归分析,年龄(HR=2.602;95%CI:1.277~5.303,P=0.008)、HE(HR=2.516;95%CI:1.258~5.033,P=0.009)、HRS(HR=2.324;95%CI:1.010~5.349,P=0.047)、hsCRP(HR=1.008;95%CI:1.003~1.013,P=0.004)、改良早期预警评分(MEWS)(HR=1.205;95%CI:1.022~1.422,P=0.027)、PT(HR=1.076,95%CI:1.030~1.124,P=0.027)是肝硬化合并脓毒症患者死亡的独立影响因素。C-指数为0.857(95%CI:0.815~0.920),提示模型的预测准确性较高。绘制校准图提示模型预测风险与实际发生风险的一致性较好。  结论  构建的肝硬化合并脓毒症患者短期住院死亡Cox比例风险预测模型可用于预测新诊断肝硬化合并脓毒症患者在短期住院期间发生死亡的风险,从而指导临床医护人员采取针对性的干预措施,最终避免或降低患者发生死亡的可能性。
论著_其他肝病
查尔森共病指数对慢加急性肝衰竭患者预后的评估价值
王富春, 张万洁, 李子怡, 毛永武, 田爱平, 毛小荣, 李俊峰
2023, 39(5): 1098-1104. DOI: 10.3969/j.issn.1001-5256.2023.05.015
摘要(1246) HTML (648) PDF (2205KB)(104)
摘要:
  目的  评估查尔森共病指数(CCI)对慢加急性肝衰竭(ACLF)患者短期和长期死亡风险的预测价值。  方法  纳入2016年12月1日—2021年12月1日就诊于兰州大学第一医院的ACLF患者317例。按照患者预后结局分为死亡组(n=169)和存活组(n=148),分析基线临床资料及随访数据。计量资料两组间比较采用成组t检验或Mann-Whitney U检验。计数资料两组间比较采用χ2检验。使用单因素和多因素Cox风险比例模型分析ACLF患者预后的影响因素。通过Kaplan-Meier法绘制生存曲线,Log-rank检验比较不同CCI评分患者的生存时间差异,并采用受试者工作特征曲线(ROC曲线)评估CCI等指标对ACLF患者预后的评价效能。  结果  317例ACLF患者中,男225例(71.0%)。死亡组和存活组患者基线资料比较,年龄、Hb、WBC、TBil、Alb、MELD评分、PTA、CCI、年龄校正的查尔森共病指数(ACCI)以及随访时间差异均有统计学意义(P值均<0.05)。多因素Cox回归分析结果显示,CCI(HR=1.351,95%CI:1.112~1.641,P=0.002)、ACCI(HR=1.200,95%CI:1.011~1.423,P=0.037)和MELD评分(HR=1.076,95%CI:1.054~1.099,P<0.001)是ACLF患者预后的独立危险因素。根据CCI评分将ACLF患者分为3组:CCI≤4分组(n=167)、CCI=5分组(n=64)、CCI≥6分组(n=86),3组ACLF患者3年病死率分别为26.5%、83.2%和96.9%。随访3年和随访至2022年9月时,3组患者生存时间两两比较,差异均有统计学意义(P值均<0.001)。CCI、ACCI和MELD评分预测ACLF患者预后的ROC曲线下面积分别为0.845、0.811、0.790。  结论  CCI和ACCI评分作为常用的共病评价指标,对评估ACLF患者短期及长期预后具有一定价值。
91例以单纯性黄疸为表现的不明原因肝病患者病因谱及临床特征分析
郑玉凤, 张胥磊, 翁宇航, 杨永峰
2023, 39(5): 1105-1109. DOI: 10.3969/j.issn.1001-5256.2023.05.016
摘要(1143) HTML (251) PDF (1926KB)(115)
摘要:
  目的  分析表现为单纯性黄疸的不明原因肝病患者的病因和临床特征,以及全外显子测序对该类疾病的诊断价值。  方法  回顾性分析2017年2月—2021年12月因不明原因肝病于南京市第二医院就诊并且进行全外显子基因测序患者的临床资料,根据肝功能指标及影像学资料将所有病例进行临床表型归类,结合全外显子基因测序报告作出诊断。非正态分布的计量资料两组间比较采用Mann-Whitney U检验,多组间比较采用Kruskal-Wallis H检验。  结果  全外显子基因测序病例共519例,排除临床资料缺失或不完整病例102例,纳入417例患者,其中以单纯性黄疸为表现的患者有91例(21.82%,91/417)。通过全外显子基因测序仍无法明确黄疸升高病因者8例(8.79%,8/91)。结合基因检测结果报告分析,83例(91.21%,83/91)患者明确诊断,其中包括遗传性高胆红素血症68例(74.73%,68/91)、遗传性球形红细胞增多症3例(3.30%,3/91)、丙酮酸激酶缺乏症2例(2.20%,2/91)以及UGT1A1基因病合并其他疾病10例(10/91,10.99%)。遗传性高胆红素血症为主要病因,其中UGT1A1基因病61例(67.03%,61/91)、Dubin-Johnson综合征5例(5.49%,5/91)、Rotor综合征2例(2.20%,2/91)。以上各类诊断患者IBil/TBil水平存在显著性差异(H=22.835,P=0.001),UGT1A1基因病合并其他疾病患者的TBil水平明显高于单纯性UGT1A1基因病患者[95.8(37.5~187.1) μmol/L vs 51.4(34.8~267.1) μmol/L,Z=-2.372,P=0.018]。  结论  通过全外显子基因测序可诊断大部分表现为单纯性黄疸的不明原因肝病,其中遗传性高胆红素血症为主要病因,以UGT1A1基因病最为多见。对于表现为单纯性黄疸的不明原因肝病,全外显子基因测序技术可辅助临床诊断。
Toll样受体4在对乙酰氨基酚致小鼠肝损伤过程中对肝脏再生的影响
陈明月, 郑秀良, 乔亚琴, 沈海涛, 路燕
2023, 39(5): 1110-1118. DOI: 10.3969/j.issn.1001-5256.2023.05.017
摘要(1305) HTML (271) PDF (4566KB)(104)
摘要:
  目的  观察抑制Toll样受体4(TLR4)是否影响对乙酰氨基酚(APAP)致小鼠肝损伤过程中的肝脏再生,初步探讨TLR4参与肝脏再生的机制。  方法  将78只雄性CD-1小鼠采用随机数字表法分为9组,其中对照组(正常对照组、溶剂对照组、抑制剂对照组)每组6只,实验组(APAP 24 h组、TAK-242+APAP 24 h组、APAP 48 h组、TAK-242+APAP 48 h组、APAP 72 h组、TAK-242+APAP 72 h组)每组10只。实验组小鼠给予单剂量腹腔注射APAP(300 mg/kg),TAK-242在APAP注射前3 h以3 mg/kg剂量腹腔注射。在不同时间点收集各组小鼠血清和肝脏组织。采用生化方法检测小鼠血清ALT水平,HE染色检测肝脏组织病理改变。RT-PCR、Western blot、免疫组化方法检测Cyclin D1、PCNA、Ki-67、STAT3、p-STAT3的表达。正态分布的计量资料两组间比较采用成组t检验;多组间比较采用单因素方差分析,进一步两两比较采用LSD-t检验。非正态分布的计量资料两组间比较采用Mann-Whitney U检验;多组间比较及进一步两两比较均采用Kruskal-Wallis H检验。  结果  与正常对照组相比,APAP 24 h组和APAP 48 h组的血清ALT水平均明显较高(P值均<0.05);TAK-242+APAP 24 h和48 h组的血清ALT水平均明显高于同时间点APAP组(P值均<0.05)。HE染色结果显示,APAP处理的小鼠肝脏可见典型的小叶中心性坏死,TAK-242+APAP 24 h和48 h组小鼠肝脏的坏死面积均显著大于同时间点APAP组(P值均<0.05)。RT-PCR、Western blot、免疫组化结果显示,TAK-242+APAP 24 h、48 h和72 h组Cyclin D1 mRNA和蛋白表达水平均明显低于同时间点的APAP组(P值均<0.05);TAK-242+APAP 24 h、48 h和72 h组PCNA mRNA表达水平均明显低于同时间点的APAP组(P值均<0.05),TAK-242+APAP 24 h和48 h组PCNA蛋白表达水平均明显低于同时间点的APAP组(P值均<0.05);TAK-242+APAP 24 h和72 h组Ki-67 mRNA表达水平均明显低于同时间点的APAP组(P值均<0.05),TAK-242+APAP 24 h、48 h和72 h组Ki-67蛋白表达水平均明显低于同时间点的APAP组(P值均<0.05)。此外,TAK-242+APAP 24 h和48 h组STAT3磷酸化水平均显著低于同时点的APAP组(P值均<0.05)。  结论  TLR4可能通过提高STAT3磷酸化水平促进APAP诱导的小鼠肝损伤过程中的肝脏再生。
基于Keap1/Nrf2信号通路探讨丹葛解酲汤对酒精性肝病大鼠模型的作用机制
王铭, 徐建虎, 马丽
2023, 39(5): 1119-1125. DOI: 10.3969/j.issn.1001-5256.2023.05.018
摘要(1040) HTML (328) PDF (2919KB)(91)
摘要:
  目的  观察丹葛解酲汤对酒精性肝病(ALD)大鼠模型的治疗作用,探讨丹葛解酲汤抗氧化应激的作用机制。  方法  将96只SD大鼠随机分为空白组(n=13)和ALD组(n=83),ALD组采用白酒灌胃法建立ALD模型。随后将存活ALD组大鼠随机分为模型组、丹葛解酲汤高剂量组(24 g/kg)、丹葛解酲汤低剂量组(6 g/kg)及益肝灵片组(21 mg/kg),每组各17只,空白组和模型组给予生理盐水灌胃,其余组分别灌胃给予相应的药物,共干预4周。采用HE染色法观察大鼠肝组织的病理变化;Western Blot法检测肝脏组织Kelch样ECH相关蛋白1(Keap1)、核转录因子E2相关因子2(Nrf2)、血红素氧合酶1(HO-1)的蛋白含量;实时荧光定量PCR检测肝组织Keap1、HO-1 mRNA表达水平。计量资料多组间比较采用单因素方差分析,进一步两两比较采用LSD-t检验。  结果  与空白组相比,模型组肝细胞排列紊乱,出现肝细胞坏死,有大量炎性细胞浸润,并伴有大量的脂滴空泡;Keap1蛋白、Keap1 mRNA表达水平均明显上升(P值均<0.05),Nrf2蛋白、HO-1蛋白、HO-1 mRNA表达水平均明显下降(P值均<0.05)。与模型组相比,丹葛解酲汤高剂量组、丹葛解酲汤低剂量组及益肝灵片组肝细胞排列变整齐,坏死及炎性细胞减少,偶见或无脂滴空泡;Keap1蛋白、Keap1 mRNA表达水平显著降低(P值均<0.05),Nrf2蛋白、HO-1蛋白、HO-1 mRNA表达水平显著上升(P值均<0.05)。  结论  丹葛解酲汤可能通过调节Keap1/Nrf2信号通路,促使Nrf2入核,上调HO-1的表达,减轻氧化应激反应,进而对ALD大鼠发挥保护作用。
论著_胆道疾病
基于Nrf2信号通路探讨茵陈蒿汤对阻塞性黄疸大鼠肾氧化应激损伤的影响及其作用机制
刘军舰, 陈帅, 袁红霞, 许艳, 张西波, 李忠廉
2023, 39(5): 1126-1133. DOI: 10.3969/j.issn.1001-5256.2023.05.019
摘要(1217) HTML (266) PDF (2889KB)(81)
摘要:
  目的  探讨茵陈蒿汤对阻塞性黄疸大鼠肾氧化应激损伤的作用与调节核因子E2相关因子2(Nrf2)表达及核异位的关系。  方法  32只雄性SD大鼠,随机分为假手术组(S组)、模型组(O组)、低剂量茵陈蒿汤组(LY组)和高剂量茵陈蒿汤组(HY组),每组8只,S组大鼠仅游离上段胆总管但不予结扎,剩余各组大鼠胆总管中上1/3行双重结扎建立阻塞性黄疸模型,7天后LY组、HY组分别予茵陈蒿汤6.3 mL/kg和18.9 mL/kg灌胃,S组、O组每日给予等体积蒸馏水灌胃,连续7天,于第14天处理大鼠。采用ELISA法测定大鼠血清总胆红素(TBil)、直接胆红素(DBil)、丙氨酸转氨酶(ALT)、谷氨酰转移酶(GGT)、尿素氮(BUN)和血肌酐(Cr)水平;分光光度法检测大鼠肾组织氧化应激因子超氧化物歧化酶(SOD)和丙二醛(MDA)活性;实时荧光定量PCR和蛋白免疫印迹法分别检测肾组织中Nrf2、Kelch样环氧氯丙烷相关蛋白1(Keap1)、醌氧化还原酶1(NQO1)mRNA和蛋白表达水平;免疫组化检测肾组织中Nrf2蛋白的核异位情况。计量资料多组间比较采用单因素方差分析,组内进一步两两比较采用LSD-t检验。  结果  与S组比较,O组大鼠TBil、DBil、ALT、GGT、BUN、Cr水平升高,SOD活性减弱,MDA水平升高,差异均有统计学意义(P值均<0.05);与O组比较,LY组和HY组肝、肾功能指标水平均下降,SOD活性升高,MDA水平降低,差异均有统计学意义(P值均<0.05)。与S组比较,O组大鼠肾组织中Nrf2、NQO1 mRNA和蛋白表达水平均明显下降(P值均<0.05);与O组比较,LY组和HY组Nrf2、NQO1 mRNA和蛋白表达水平均明显升高(P值均<0.05);各组大鼠肾组织中Keap1蛋白表达水平无明显差异(P>0.05)。与S组比较,O组大鼠肾组织中Nrf2细胞核内阳性率显著降低(P<0.05);与O组比较,LY组和HY组Nrf2细胞核内阳性率均显著升高(P值均<0.05)。  结论  茵陈蒿汤可以有效减轻阻塞性黄疸引起的肾损伤,其作用机制可能是通过上调大鼠肾组织中Nrf2蛋白的表达,并调控Nrf2蛋白核异位,从而介导下游NQO1蛋白的表达,调节阻塞性黄疸引起的氧化应激反应,进而减轻大鼠肾损伤。
论著_胰腺疾病
Sonic Hedgehog信号通路在重症急性胰腺炎大鼠模型肠黏膜屏障损伤中的作用探讨
文琳, 曾家月, 马凤雨, 陈霞
2023, 39(5): 1134-1143. DOI: 10.3969/j.issn.1001-5256.2023.05.020
摘要(1351) HTML (466) PDF (5731KB)(83)
摘要:
  目的  探讨Sonic Hedgehog(Shh)信号通路在重症急性胰腺炎(SAP)大鼠肠道黏膜屏障损伤中的表达及作用。  方法  48只SD大鼠按随机数字表法分为:假手术组(Sham组)、SAP模型组(SAP组)、SAP模型组+Shh信号通路特异性激动剂嘌呤胺组(PUR+SAP组)、SAP模型组+Shh信号通路特异性抑制剂环巴胺组(CYC+SAP组),各组又分为12 h、24 h两个亚组,每个亚组6只大鼠。SAP造模采用5%牛磺胆酸钠胰胆管逆行注射,干预组分别在造模前腹腔注射0.69 mg/kg嘌呤胺及0.69 mg/kg环巴胺。在造模后12 h和24 h取材。HE染色观察大鼠胰腺及回肠病理学变化;ELISA法检测大鼠血清淀粉酶、脂肪酶、DAO和EndoCAb的表达水平;TUNEL法检测肠上皮细胞凋亡情况;Western Blot检测回肠组织Shh、Ptch1和Gli1的表达。计量资料符合正态分布时多组间比较采用单因素方差分析,进一步两两比较采用LSD-t检验法;计量资料不符合正态分布时多组间比较及进一步两两比较均采用Kruskal-Wallis H检验法。  结果  与Sham组相比,SAP组胰腺和回肠组织病理学评分均明显增加,血清脂肪酶、淀粉酶、DAO和EndoCAb水平明显升高,肠上皮细胞凋亡增加,回肠组织Shh、Ptch1和Gli1蛋白表达升高(P值均<0.05)。与SAP组对比,PUR+SAP组胰腺和肠道病理损伤及功能障碍减轻,肠道上皮细胞凋亡显著减少,回肠组织中的Shh、Ptch1和Gli1蛋白表达明显升高(P值均<0.05)。与SAP组对比,CYC+SAP组胰腺和肠道病理损伤及功能障碍加重,肠道上皮细胞凋亡显著增加,回肠组织中的Shh、Ptch1和Gli1蛋白表达明显降低(P值均<0.05)。  结论  Shh信号通路可能参与了SAP肠黏膜屏障损伤并且发挥保护作用。
短篇论著
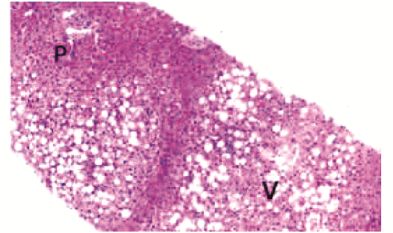
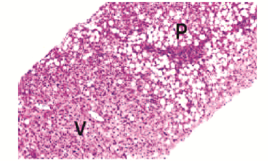
非酒精性脂肪性肝病儿童肝组织病理特征分析
刘敏, 陈卫坚, 周峥珍, 覃小梅, 文容, 姜楠, 匡林芝, 郑台青, 张丽琼, 李双杰
2023, 39(5): 1144-1149. DOI: 10.3969/j.issn.1001-5256.2023.05.021
摘要(861) HTML (394) PDF (3065KB)(80)
摘要:
病例报告
自身免疫性肝炎-原发性胆汁性胆管炎重叠综合征合并胃腺癌1例报告
李力晨, 汤绍辉
2023, 39(5): 1150-1153. DOI: 10.3969/j.issn.1001-5256.2023.05.022
摘要(749) HTML (229) PDF (2317KB)(95)
摘要:
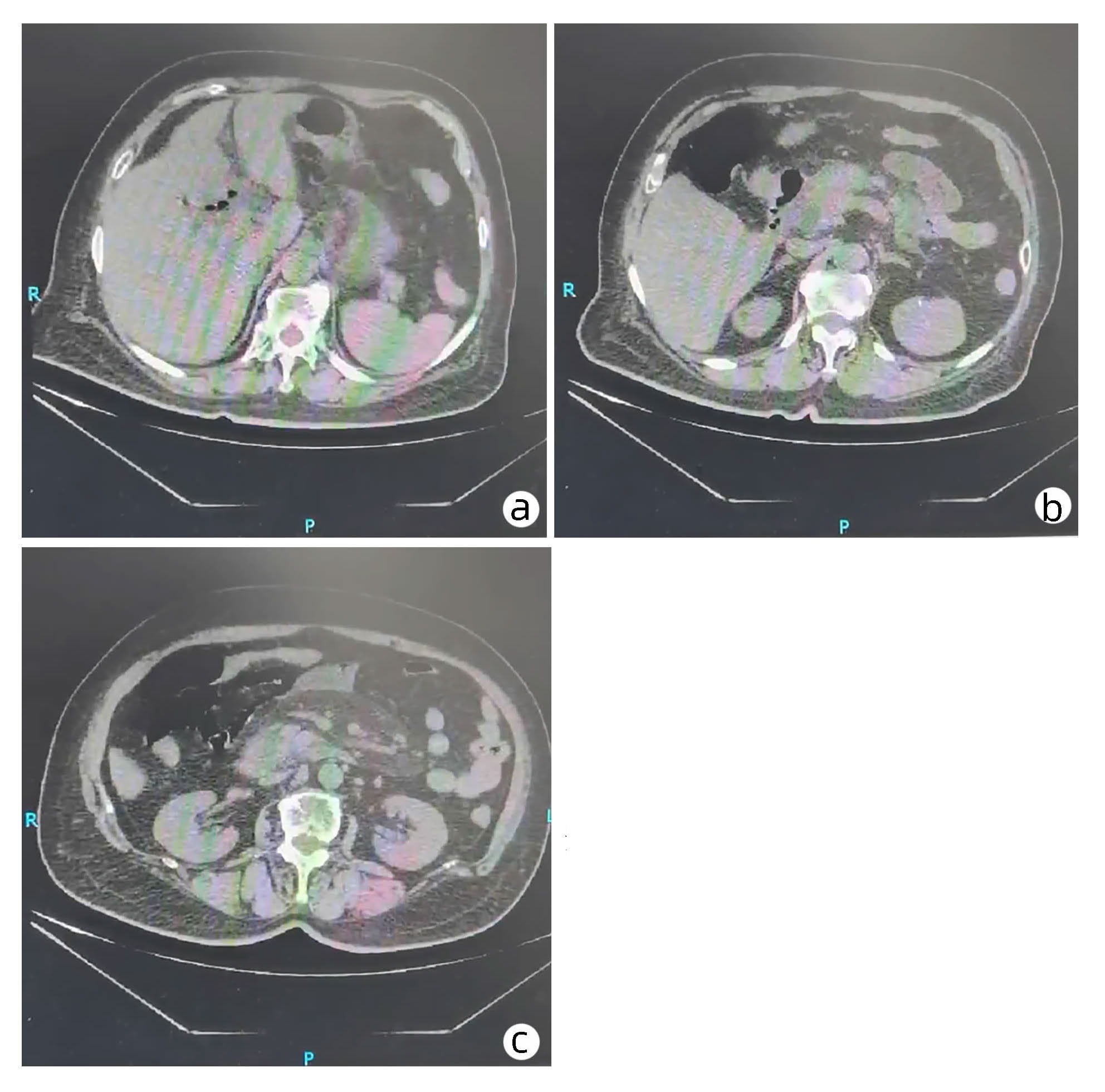
不典型肝血管瘤误诊为肝囊腺瘤1例报告
王莎, 张艳利, 陈圆圆, 马芹芹, 雷军强
2023, 39(5): 1154-1156. DOI: 10.3969/j.issn.1001-5256.2023.05.023
摘要(978) HTML (234) PDF (2557KB)(82)
摘要:
内镜逆行胰胆管造影联合经口子母胆道镜治疗胆总管结石合并胆囊颈部结石及胆囊息肉1例报告
陶丽莹, 王宏光, 郭庆梅, 杜迎亭, 朴连玉, 刘敬, 姜峰
2023, 39(5): 1157-1161. DOI: 10.3969/j.issn.1001-5256.2023.05.024
摘要(1432) HTML (534) PDF (2850KB)(92)
摘要:
内镜逆行胰胆管造影联合SpyGlass确诊胆囊黏液腺瘤1例报告
卢心毓, 王林恒, 江贵, 云逸飞, 黄朔, 张丽杰
2023, 39(5): 1162-1165. DOI: 10.3969/j.issn.1001-5256.2023.05.025
摘要(806) HTML (370) PDF (2680KB)(63)
摘要:
综述
胆汁酸与非酒精性脂肪性肝病的关系
王俊俊, 蔡晓波, 陆伦根
2023, 39(5): 1166-1171. DOI: 10.3969/j.issn.1001-5256.2023.05.026
摘要(1195) HTML (519) PDF (1878KB)(249)
摘要:
非酒精性脂肪性肝病(NAFLD)患病率的迅速增加亟需新的治疗方法来预防疾病进展为肝纤维化、肝硬化及肝癌。尽管已经为阐明NAFLD疾病进展的病理机制做出了不懈努力,但目前尚无有效的治疗方法。胆汁酸(BA)通过激活核受体和G蛋白偶联受体调控全身代谢,已被确定为参与脂质、葡萄糖和能量代谢的重要信号分子。BA稳态的失调与NAFLD疾病的严重程度有关。本文总结了BA代谢中的重要配体和其在NAFLD进展中的作用,以期为靶向BA信使治疗NAFLD提供依据。
骨形态发生蛋白4在非酒精性脂肪性肝病发病机制中的作用
王宇威, 刘近春, 柴茹
2023, 39(5): 1172-1177. DOI: 10.3969/j.issn.1001-5256.2023.05.027
摘要(922) HTML (201) PDF (2189KB)(64)
摘要:
非酒精性脂肪性肝病(NAFLD)目前已成为全球最常见的慢性肝病之一,严重危害人类健康。近年来研究发现骨形态发生蛋白4(BMP4)与NAFLD之间可能存在一定相关性。本综述旨在依据国内外关于BMP4与NAFLD相关研究的最新进展,探究BMP4作用于NAFLD的潜在机制,以期为NAFLD的预防及治疗提供新的思路。
非选择性β受体阻滞剂在肝硬化治疗中的应用
刘一锋, 王小泽, 杨丽
2023, 39(5): 1178-1183. DOI: 10.3969/j.issn.1001-5256.2023.05.028
摘要(1413) HTML (644) PDF (1883KB)(167)
摘要:
非选择性β受体阻滞剂(NSBB)是肝硬化患者门静脉高压并发症防治的一线药物,广泛用于食管胃静脉曲张出血的一级预防和二级预防。近年来,在临床显著性门静脉高压(CSPH)患者中,NSBB已被证实还可以预防静脉曲张出血以外的其他肝硬化失代偿事件,如腹水和肝性脑病等。然而,在非CSPH的代偿期患者中,目前的研究证据不支持使用NSBB。尽管目前有可靠数据支持NSBB用于终末期肝硬化,但对于部分顽固性腹水和自发性腹膜炎患者仍存在用药安全问题,给药剂量和时机仍有待研究。本文综述了目前关于肝硬化患者使用NSBB(尤其是卡维地洛)的相关临床研究进展,并总结NSBB在肝硬化全程管理中合理应用的治疗窗口,为临床决策提供依据。
脾脏硬度预测肝硬化患者门静脉高压及其并发症的研究现状
刘积庆, 孟繁坤, 丁惠国, 李建军, 黄群, 祖红梅, 张晶
2023, 39(5): 1184-1190. DOI: 10.3969/j.issn.1001-5256.2023.05.029
摘要(1628) HTML (457) PDF (1892KB)(170)
摘要:
肝脏硬度测量在临床上已经广泛应用于门静脉高压的预测。近年来,脾脏硬度测量(SSM)成为一种诊断工具,研究证明其可以预测慢性肝病患者门静脉高压及食管胃静脉曲张出血等并发症,辅助进行门静脉高压和食管胃静脉曲张出血风险分层管理;能够准确预测慢性肝病患者的临床显著性门静脉高压、高危食管胃静脉曲张、失代偿率和病死率。目前大部分研究中SSM数据都来自于使用肝脏设备FibroScan(SSM@50 Hz)检测。FibroScan 630是新的脾脏专用硬度扫描仪,拥有专用的脾脏硬度测量模式(SSM@100 Hz)。本文将介绍目前脾脏硬度用于预测门静脉高压的意义,并简要介绍新的脾脏硬度检测设备的优缺点。
经颈静脉肝内门体分流术预后模型的研究现状
李慧, 夏志波, 肖年军, 褚建国, 宁守斌, 韩者艺
2023, 39(5): 1191-1196. DOI: 10.3969/j.issn.1001-5256.2023.05.030
摘要(1032) HTML (363) PDF (1876KB)(71)
摘要:
经颈静脉肝内门体分流术(TIPS)是治疗失代偿期肝硬化门静脉高压并发症的一种安全有效的方法。目前存在多种预后评分工具用于TIPS不良预后的危险分层。简述了当前临床中应用较多的7种TIPS预后评分工具,并总结了每种评分工具的相关临床研究证据。通过文献综述表明,当前尚无充分研究证据能够明确TIPS的最优预后评分工具。未来临床研究应更全面地探究不同评分工具对TIPS近期及远期不良预后事件预测能力的优劣,以及结合新的预后相关标志物开发新的预后评分工具。
肝细胞癌免疫治疗研究进展
朱丽珍, 许晓磊, 阿卜杜萨拉木·艾尼, 王小娟, 周虎, 汤睿, 樊海宁, 卢倩
2023, 39(5): 1197-1203. DOI: 10.3969/j.issn.1001-5256.2023.05.031
摘要(1755) HTML (365) PDF (1884KB)(244)
摘要:
肝细胞癌发病隐匿,多数患者就诊时已处于中晚期,失去根治性手术切除的机会,预后较差。随着临床诊疗的不断进展,中晚期肝细胞癌治疗由过去相对单一、局限的治疗逐渐发展为系统性治疗的新模式。近年来,以免疫检查点抑制剂(ICI)为代表的免疫治疗在临床中的应用日益普及。目前关于免疫治疗联合局部、靶向抗肿瘤治疗的临床研究逐渐增多,尤其是ICI联合靶向治疗已经成为肝细胞癌治疗领域的研究热点。本文主要针对免疫治疗在肝细胞癌治疗中的研究进展进行综述。
巨噬细胞极化及其与邻近细胞串扰在肝细胞癌中的作用
苏会吉, 颜耿杰, 陈含笑, 班少群, 韦艾凌, 毛德文, 龙富立
2023, 39(5): 1204-1211. DOI: 10.3969/j.issn.1001-5256.2023.05.032
摘要(1536) HTML (1195) PDF (2693KB)(116)
摘要:
炎症与癌症的发生密切相关。肿瘤相关巨噬细胞参与肿瘤相关炎症,促进肿瘤的生长和转移,在一定条件下又表现出细胞毒性和肿瘤杀伤活性,从而抑制癌症的发展。肿瘤相关巨噬细胞与邻近细胞之间的串扰与肝细胞癌的进展和治疗耐药性密切相关。本文综述了巨噬细胞在肝细胞癌中的作用及其细胞间的串扰联系,以期为肝细胞癌的临床诊疗提供新的治疗策略。
肝癌微环境中肿瘤相关巨噬细胞的研究进展
汪鹏, 仇建南, 王忠夏, 吴俊华, 江春平
2023, 39(5): 1212-1218. DOI: 10.3969/j.issn.1001-5256.2023.05.033
摘要(1341) HTML (384) PDF (1890KB)(107)
摘要:
由于肝细胞癌早期临床症状不明显,患者确诊时大多已发展到晚期阶段。错失最佳手术机会的肝癌患者治疗手段有限,因此寻找新的治疗靶点变得十分重要。肿瘤相关巨噬细胞(TAM),是存在于肿瘤免疫微环境中一群巨噬细胞,影响着肝癌细胞的各种恶性行为和肿瘤内的免疫逃逸状态。介绍了TAM的起源和分类,归纳了TAM在肝癌血管增生、侵袭转移、干细胞特性的形成和维持、以及抗肿瘤免疫中的作用和机制,简述了当前针对TAM的治疗靶点的研究进展等,认为靶向TAM可能是一个有前景的临床治疗方向。
肝切除术前肝储备功能的评估方法
裴俊鹏, 丁佑铭
2023, 39(5): 1219-1226. DOI: 10.3969/j.issn.1001-5256.2023.05.034
摘要(1783) HTML (435) PDF (1908KB)(200)
摘要:
目前肝切除术已成为绝大多数肝胆良恶性病变的首选治疗方式。肝功能衰竭是肝切除术后的常见并发症,对于恶性疾病,如何最大程度清除病灶并降低术后肝功能衰竭发生率,是目前肝切除术面对的重点问题。术前对肝脏储备功能正确、充分的评估,可以为肝脏疾病进展、治疗效果及预后提供判断依据。目前,对肝脏储备功能及手术可行性的评估方法繁多,各有其优缺点,尚无单一全面性的评估方法,对目前常用评估方法的特点及进展进行综述。
急性胰腺炎相关腹腔积液的研究进展
王张鹏, 吴俊, 景光旭, 王旭阳, 邹洪, 孙红玉, 汤礼军
2023, 39(5): 1227-1233. DOI: 10.3969/j.issn.1001-5256.2023.05.035
摘要(1270) HTML (204) PDF (1890KB)(117)
摘要:
急性胰腺炎(AP)相关腹腔积液是AP患者常见的并发症,与患者疾病严重程度、局部及全身并发症的发生及预后密切相关。胰腺炎相关腹腔积液产生可能来源于腹腔内血管、淋巴管及胰管的渗漏等。近年来,研究发现通过腹腔穿刺引流早期积极清除胰腺炎相关腹腔积液有助于降低全身炎症水平及缓解胰腺炎相关器官损伤,从而改善重症AP患者病情及降低病死率。但胰腺炎相关腹腔积液如何加重全身炎症反应、参与胰腺和远处器官损害,以及如何导致AP患者病情恶化,尚不完全清楚。因而,本文就AP相关腹腔积液的概况及近年来的研究做一综述,为AP病理生理过程及治疗的探索提供一些方向。
百里醌在胰腺癌治疗中的作用
赵占学, 刘林勋, 李帅, 侯晓凡, 杨金煜
2023, 39(5): 1234-1244. DOI: 10.3969/j.issn.1001-5256.2023.05.036
摘要(1366) HTML (854) PDF (3990KB)(81)
摘要:
胰腺癌是预后最差的癌症之一,其高转移率和化疗药物耐药性一直是困扰医学界的难题。目前关于百里醌对胰腺癌影响的研究受到了人们的广泛关注,其可以通过抑制癌细胞增殖、促进癌细胞凋亡、抑制侵袭与转移、增强化疗药物敏感性、抗炎等方面发挥对胰腺癌的抗癌作用。该综述简要介绍了国内外对两者关系的研究现状,为下一步的研究提供参考。
国内外会议动态
会议通知|2023年欧洲肝病学会年会EASL Congress(2023)
2023, 39(5): 1133-1133. DOI: 10.3969/j.issn.1001-5256.2023.05.gnwhydd1
摘要(581) HTML (478) PDF (854KB)(57)
摘要:
国外期刊精品文章简介
Journal of Hepatology|Baveno Ⅶ算法在排除乙型肝炎肝硬化患者高危静脉曲张方面优于其他模型
2023, 39(5): 1003-1003. DOI: 10.3969/j.issn.1001-5256.2023.05.gwjpwzjj1
摘要(563) HTML (189) PDF (866KB)(62)
摘要:
Hepatology International|抗病毒治疗及产后停药对慢性HBV感染孕妇产后肝炎的影响
2023, 39(5): 1143-1143. DOI: 10.3969/j.issn.1001-5256.2023.05.gwjpwzjj2
摘要(492) HTML (203) PDF (860KB)(55)
摘要:
Hepatology Research |慢性乙型肝炎合并瘦型非酒精性脂肪性肝病患者的临床特征
2023, 39(5): 1171-1171. DOI: 10.3969/j.issn.1001-5256.2023.05.gwjpwzjj3
摘要(479) HTML (171) PDF (862KB)(49)
摘要:
消息
《临床肝胆病杂志》关于不法人员冒用本刊名义实施邮件诈骗的严正声明
2023, 39(5): 1055-1055.
摘要(324) HTML (149) PDF (1351KB)(40)
摘要:
《临床肝胆病杂志》 2023年1-12期重点号选题及各期执行主编
2023, 39(5): 1069-1069.
摘要(304) HTML (126) PDF (853KB)(43)
摘要:
致谢
本期审稿专家
2023, 39(5): 1060-1060. DOI: 10.3969/j.issn.1001-5256.2023.05.zhixie1
摘要(365) HTML (171) PDF (853KB)(52)
摘要:
《临床肝胆病杂志》第十七届编委会(2023—2026年)
《临床肝胆病杂志》第十七届编委会(2023—2026年)
2023, 39(5): 1245-1246.
摘要:
《临床肝胆病杂志》第五届审稿专家(2023—2026年)
《临床肝胆病杂志》第五届审稿专家(2023—2026年)
2023, 39(5): 1247-1248.
摘要: