中文English
ISSN 1001-5256 (Print)
ISSN 2097-3497 (Online)
CN 22-1108/R

留言板

尊敬的读者、作者、审稿人, 关于本刊的投稿、审稿、编辑和出版的任何问题, 您可以本页添加留言。我们将尽快给您答复。谢谢您的支持!

姓名
邮箱
手机号码
标题
留言内容
验证码
2023年 第6期
“慢性乙型肝炎及其一体化防治的中医、中西医结合治疗——— 从‘十一五’到‘十三五’的回顾与展望”重点号
执行主编:叶永安
北京中医药大学中医肝病研究院,北京中医药大学东直门医院


显示方式:
述评
慢性乙型肝炎及其相关疾病一体化治疗的中西医结合研究
叶永安
2023, 39(6): 1257-1266. DOI: 10.3969/j.issn.1001-5256.2023.06.001
摘要(1539) HTML (431) PDF (2108KB)(178)
摘要:
慢性乙型肝炎及其相关疾病仍是我国乃至全球的重要公共卫生问题和医疗难题,目前尚缺乏有效的根治手段。本文回顾了在“十一五”至“十三五”国家科技重大专项(艾滋病和病毒性肝炎等重大传染病防治专项)支持下,针对乙型肝炎全链条(包括HBV携带者、慢性乙型肝炎、肝纤维化、肝硬化、肝细胞癌癌前病变、肝癌、肝衰竭等不同疾病阶段)形成的中医、中西医结合治疗方案及研究亮点,对中医药在慢性乙型肝炎及其相关疾病一体化治疗中发挥的作用进行了总结与展望。
专家论坛
补肾法治疗HBeAg阳性慢性HBV感染者临床及相关机制研究
邢宇锋, 韩志毅, 周大桥, 童光东
2023, 39(6): 1267-1273. DOI: 10.3969/j.issn.1001-5256.2023.06.002
摘要(908) HTML (306) PDF (1760KB)(94)
摘要:

慢性HBV感染是HBV自然史中的重要阶段,但对于该阶段的治疗存在一定的争议。中医药自古以来在病毒性肝炎的防治中具有优势,在我国病毒性肝炎的防治中占有重要地位,深圳市中医院团队根据慢性HBV感染的病理过程,认为慢性HBV感染中医核心病机是“肾虚疫毒之邪伏于肝血”,并创立了补肾法治疗慢性HBV感染者;在国家“艾滋病和病毒性肝炎等重大传染病防治”科技重大专项“十一五”“十二五”“十三五”项目支持下,开展了慢性HBV感染者的证候规律研究和系列临床研究,通过多中心、随机、双盲、安慰对照研究了补肾法的临床疗效,为中医药治疗慢性HBV感染者进行了初步探索,探讨了其疗效机制,但慢性HBV感染者的发病机制及其治疗仍然存在较大的难点,随着中医药的传承创新与现代化,相信中医药能够为解决慢性HBV感染者的治疗提供可靠方案。

补肾健脾利湿法治疗慢性乙型肝炎临床效果及相关机制研究
朱晓骏, 张景豪, 孙学华, 张鑫, 高月求
2023, 39(6): 1274-1279. DOI: 10.3969/j.issn.1001-5256.2023.06.003
摘要(974) HTML (315) PDF (1745KB)(86)
摘要:
慢性乙型肝炎是世界范围内的公共健康问题,核苷酸类似物和干扰素治疗可以有效抑制HBV复制,但存在无法实现对HBV cccDN进行彻底清除、HBsAg阴转率低等不足。“补肾法治疗慢性乙型肝炎”的学术观点的提出为乙型肝炎的治疗提供了新的思路和方法;曙光医院肝病科在长期的临床实践中明确“脾肾亏虚、兼湿热未尽”是慢性乙型肝炎持续进展的关键病机,并确立了补肾健脾利湿为基本治法的慢性乙型肝炎论治方案,历经“十一五”至“十三五”的国家科技重大专项的临床研究验证了该方案确切的临床疗效,明确了补肾健脾利湿法治疗慢性乙型肝炎的主要作用机制在于调节机体免疫功能。
中医药防治慢性乙型肝炎肝纤维化的现状、挑战与思考
施梅姐, 萧焕明, 谢玉宝, 黎胜, 曾佛来, 池晓玲
2023, 39(6): 1280-1286. DOI: 10.3969/j.issn.1001-5256.2023.06.004
摘要(1649) HTML (305) PDF (1918KB)(153)
摘要:
近年来,中医药防治慢性乙型肝炎肝纤维化的相关研究取得了重大突破。在临床研究方面,产生了数个多中心的随机双盲对照研究,并以肝病理学变化为主要疗效评价指标,提高了中医药防治肝纤维化临床研究的证据级别。在基础研究方面,主要围绕影响肝星状细胞活化、凋亡与自噬、抑制肝脏炎症损伤、调节免疫、抑制肝窦毛细血管化等多个层面,深入研究了中医药抗肝纤维化的作用机制,突出了中医药“多成分、多靶点、多通路”的作用优势与研究难点。在《中医药振兴发展重大工程实施方案》的指引下,未来如何做更高质量的中医药抗肝纤维化的临床与基础研究,产出更高质量的行业成果,助力中医药抗肝纤维化走向世界是关键。
指南与规范
肿瘤合并肝损伤患者血小板减少症管理中国专家共识(2022版)
中国抗癌协会肿瘤支持治疗专业委员会
2023, 39(6): 1287-1294. DOI: 10.3969/j.issn.1001-5256.2023.06.005
摘要(1640) HTML (655) PDF (2739KB)(273)
摘要:
血小板减少症和肝损伤是肿瘤患者常见且严重的临床问题。肿瘤合并肝损伤患者血小板减少症(TCLI)的病因更加复杂,但常见于肝损伤和肿瘤治疗。肿瘤治疗所致血小板减少症的管理已逐渐形成规范,肝损伤相关血小板减少症随着相关药物的获批上市,管理日益明晰。但肿瘤合并肝损伤患者血小板减少症的管理仍是空白,血小板减少症和肝损伤的叠加进一步增加了肿瘤治疗的难度。为此,中国抗癌协会肿瘤支持治疗专业委员会组织专家对文献进行分析和讨论,形成肿瘤合并肝损伤患者血小板减少症管理中国专家共识(2022版),以指导临床实践。
指南解读
《慢性乙型肝炎防治指南(2022年版)》修订过程中关于慢性HBV感染自然史的讨论
庄辉
2023, 39(6): 1295-1298. DOI: 10.3969/j.issn.1001-5256.2023.06.006
摘要(1648) HTML (390) PDF (1724KB)(321)
摘要:
本文介绍了《慢性乙型肝炎防治指南(2022年版)》修订过程中关于慢性HBV感染自然史的讨论,包括命名和定义;HBV感染;免疫耐受期患者的HBV DNA阈值;不确定期与自然史;临床诊断与自然史;非活动期患者的HBV DNA阈值。
慢性乙型肝炎抗病毒治疗适应证的变迁
刘津津, 张梦阳, 孙亚朦, 尤红
2023, 39(6): 1299-1303. DOI: 10.3969/j.issn.1001-5256.2023.06.007
摘要(1517) HTML (318) PDF (1730KB)(257)
摘要:
为减轻慢性乙型肝炎(CHB)相关疾病负担,提高CHB治疗率,2005—2022年中华医学会发布的《慢性乙型肝炎防治指南》中,抗病毒适应证呈逐渐放宽、简化的趋势。本文旨从HBeAg阳性和阴性CHB抗病毒适应证的趋同、HBV DNA治疗阈值的降低、血清丙氨酸转氨酶治疗阈值的降低、对疾病进展风险因素的重视,以及肝硬化患者病毒学指标要求逐步放宽五个方面来阐述CHB抗病毒治疗适应证的变迁。
论著_病毒性肝炎
低病毒载量HBV感染者肝脏炎症及纤维化情况分析
姜曼蕾, 许飞, 张伦理
2023, 39(6): 1304-1307. DOI: 10.3969/j.issn.1001-5256.2023.06.008
摘要(1110) HTML (157) PDF (1724KB)(106)
摘要:
  目的  探讨低病毒载量慢性HBV感染者肝脏炎症、纤维化情况。  方法  选取2019年4月—2022年6月赣州市第五人民医院就诊HBsAg阳性患者,筛选出20 IU/mL<HBV DNA<2 000 IU/mL患者41例,完善血生化、肝硬度、肝穿刺病理检查,明确肝脏炎症和纤维化情况;根据HBV DNA、ALT、肝硬度值、年龄对比分析肝脏炎症情况。计数资料组间比较采用χ2检验。  结果  36.59%(15/41)低病毒载量HBV感染者肝脏炎症和/或纤维化≥G2/S2。15例慢性乙型肝炎患者中,HBV DNA为>200~2 000 IU/mL患者11例(73.33%),HBV DNA为20~200 IU/mL患者4例(26.67%);肝脏炎症活动度分级G2占比73.33%(11/15)、纤维化程度分期S2占比46.67%(7/15);ALT≤30 U/L占比46.67%(7/15);年龄≥30岁占比86.66%(13/15);LSM>17 kPa占比6.67%(1/15),LSM 12.4~17 kPa占比46.67%(7/15),LSM 9.4~12.4 kPa占比33.33%(7/15)。  结论  低病毒载量慢性HBV感染者有较高的炎症和纤维化进展风险;ALT水平不能作为低病毒载量HBV感染者是否抗病毒治疗的依据;瞬时弹性成像肝硬度检测可作为筛查低病毒载量慢性乙型肝炎患者的无创检查,当低病毒载量HBV感染者>30岁、肝硬度值持续>9.4 kPa时应考虑给予抗病毒治疗。
血小板计数及相关评分模型对HBV相关慢加急性肝衰竭预后的预测价值
涂颖, 李雪, 陈美娟, 徐华谦, 汤善宏
2023, 39(6): 1308-1312. DOI: 10.3969/j.issn.1001-5256.2023.06.009
摘要(772) HTML (171) PDF (1996KB)(71)
摘要:
  目的  探究血小板(PLT)计数与HBV相关慢加急性肝衰竭(HBV-ACLF)预后的相关性,建立新的PLT相关评分模型并评估其在HBV-ACLF短期预后中的预测价值。  方法  选取2018年1月—2022年1月于西部战区总医院消化内科住院治疗的HBV-ACLF患者作为回顾性研究队列。收集所有患者入院24 h内的临床资料,根据随访180天后的生存情况将患者分为生存组和死亡组。符合正态分布的计量资料组间比较采用成组t检验;不符合正态分布的计量资料组间比较采用Mann-Whitney U检验;计数资料组间比较采用χ2检验。采用Pearson相关系数分析各指标之间相关性。采用Logistic回归模型进行预后影响因素分析。采用受试者工作曲线评估预后模型预测价值。通过Kaplan-Meier曲线分析患者生存情况。  结果  共纳入236例患者,180天生存率为75.85%(179/236)。死亡组年龄[(53.98±10.45)岁vs (47.44±12.46)岁,P=0.001]、INR[1.78(1.46~2.04) vs 1.47(1.23~1.68),P<0.001]、TBil[275.60(165.00~451.45) μmol/L vs 230.60(154.90~323.70) μmol/L,P=0.035]、MELD评分[21.47(18.14~24.76)分vs 18.67(15.70~21.62)分,P<0.001]、ALBI评分[-1.06(-1.64~-0.86)分vs-1.32(-1.73~-1.01)分,P=0.034] 高于生存组,PLT水平[80.00(50.00~124.50)×109/L vs 115.00(82.00~143.00)×109/L,P=0.001]、PWR[13.40(9.54~20.70) vs 18.49(13.95~24.74),P=0.001]低于生存组,差异均有统计学意义。Pearson相关性分析显示,PLT与肝硬化的发生及INR呈负相关(r值分别为-0.332、-0.194,P值分别为<0.001、0.003)。多因素Logistic回归分析显示,年龄、PLT、INR为HBV-ACLF患者180天预后的独立影响因素(OR值分别为1.045、0.990、2.591,95%CI分别为1.015~1.076、0.983~0.998、1.363~4.925)。获得新的预测模型:AIP=0.006×年龄+0.187×INR-0.001×PLT。AIP评分模型对预测HBV-ACLF患者180天生存率曲线下面积(AUC)为0.718 (敏感度为81.1%,特异度为54.1%),而PLT、PWR、LPACLF评分、MELD评分、ALBI评分的AUC分别为0.673、0.659、0.588、0.647、0.578。AIP评分模型的cut-off值为0.48。Kaplan-Meier生存分析发现,高AIP评分组的生存率明显低于低AIP评分组(P<0.001)。  结论  PLT相关评分模型对HBV-ACLF预后的预测价值优于其他模型,高PLT水平HBV-ACLF患者的整体生存率更高。
长期使用恩替卡韦对慢性乙型肝炎患者肾小管功能的影响
车媛梅, 李嫒, 王亮, 张伦理, 李小鹏
2023, 39(6): 1313-1317. DOI: 10.3969/j.issn.1001-5256.2023.06.010
摘要(1830) HTML (435) PDF (1738KB)(124)
摘要:
  目的  分析长期使用恩替卡韦抗病毒治疗对慢性乙型肝炎(CHB)患者肾功能的可能影响,探索早期判断肾损伤的敏感指标。  方法  纳入2021—2022年南昌大学第一附属医院感染科门诊就诊的CHB患者,对125例恩替卡韦治疗1年以上的CHB患者(治疗组)和44例未进行抗病毒治疗的慢性HBV感染者(对照组)的血肌酐、肾小球滤过率(eGFR)以及尿α1微球蛋白(α1-MG)、β2微球蛋白(β2-MG)和N-乙酰β-D氨基葡萄糖苷酶(NAG)水平变化进行研究。计数资料两组间比较采用χ2检验或Fisher精确概率检验。计量资料两组间比较采用成组t检验或Mann-Whitney U检验。采用Logistic回归分析治疗组中尿α1-MG、β2-MG及NAG异常的独立影响因素。  结果  治疗组和对照组血肌酐水平和eGFR的差异均无统计学意义(t值分别为0.999、-1.259,P值均>0.05),且均在正常值范围内。但治疗组的尿α1-MG、β2-MG异常率(47.2%、42.4%)高于对照组(13.6%、13.6%),组间差异均有统计学意义(χ2值分别为15.693、12.567,P值均<0.001)。同时,这两个指标高于两倍正常值上限的比例,治疗组(18.4%、21.6%)亦高于对照组(2.3%、4.5%),组间差异均有统计学意义(P值均<0.05);而尿NAG异常率治疗组和对照组比较(8.0% vs 6.8%),差异无统计学意义(P>0.05),其大于两倍正常值上限的比例(8.8% vs 6.8%),差异亦无统计学意义(P>0.05)。两个以上肾小管损伤指标存在异常的比例在治疗组(33.6%)明显高于对照组(11.4%),组间差异有统计学意义(χ2=8.519,P<0.05);但是单个指标异常率比较(16.0% vs 11.4%),差异无统计学意义(P>0.05)。  结论  恩替卡韦长期治疗CHB存在导致肾小管功能损伤的风险,两个以上肾损伤指标异常可帮助临床判断患者可能存在肾小管功能损伤,以便及时调整相关治疗。
论著_脂肪性肝病
幽门螺杆菌感染联合传统危险因素预测代谢相关脂肪性肝病发生风险的价值分析
包萨如拉, 杜晓旭, 戈宏焱
2023, 39(6): 1318-1324. DOI: 10.3969/j.issn.1001-5256.2023.06.011
摘要(931) HTML (263) PDF (1769KB)(90)
摘要:
  目的  研究幽门螺杆菌(HP)感染与新命名的“代谢相关脂肪性肝病(MAFLD)”之间的关系,并分析HP感染与传统危险因素对MAFLD的联合作用。  方法  对内蒙古民族大学附属医院2017年1月—2021年12月收治的350例接受碳13尿素呼气试验住院患者进行回顾性分析。按腹部超声是否确诊脂肪肝将其分为MAFLD组(n=190)和非脂肪肝组(n=160)。正态分布计量资料两组间比较采用成组t检验;非正态分布计量资料两组间比较采用Mann-Whitney U秩和检验;计数资料组间比较采用χ2检验。MAFLD的危险因素分析采用二元Logistic回归分析。  结果  与非脂肪肝组相比,MAFLD组受试者的BMI(t=8.73)、收缩压(Z=-3.67)、舒张压(Z=-3.62)、TG(Z=-8.93)、空腹血糖(Z=-9.13)、AST(Z=-2.03)、GGT(Z=-8.56)水平,以及男性(χ2=12.09)、高血压(χ2=37.91)、糖尿病(χ2=73.62)、超重/肥胖(χ2=42.82)、高甘油三酯血症(χ2=59.12)、HP感染(χ2=4.53)比例均较高,HDL-C(Z=-6.81)水平较低(P值均<0.05)。Logistic回归结果显示,空腹血糖(OR=1.255,95%CI: 1.091~1.445)、HP感染(OR=1.899,95%CI: 1.048~3.440)、高血压(OR=2.589, 95%CI: 1.468~4.567)、糖尿病(OR=2.202,95%CI: 1.123~4.315)、超重/肥胖(OR=4.571,95%CI: 2.308~9.052)、高甘油三酯血症(OR=4.187,95%CI: 2.411~7.271)是MAFLD发生的危险因素(P值均<0.05)。Logistic回归分析结果显示,联合作用后HP感染提高了糖尿病、超重/肥胖、高甘油三酯血症、高血压受试者的MAFLD发病风险(OR分别为12.267、14.005、7.911、7.364,P值均<0.05)。  结论  HP感染与MAFLD的发病风险增高有关,与传统危险因素的联合可能进一步增加MAFLD的发病风险。
血浆致动脉粥样硬化指数预测2型糖尿病发生代谢相关脂肪性肝病的价值分析
高梦雅, 秦迁, 王守俊
2023, 39(6): 1325-1331. DOI: 10.3969/j.issn.1001-5256.2023.06.012
摘要(832) HTML (899) PDF (2586KB)(73)
摘要:
  目的  探讨血浆致动脉粥样硬化指数(AIP)与2型糖尿病(T2DM)合并代谢相关脂肪性肝病(MAFLD)的关系。  方法  2021年9月—2022年9月于郑州大学第一附属医院内分泌科住院治疗的T2DM患者375例,根据是否合并MAFLD分为T2DM合并MAFLD组(T2DM+MAFLD组,n=245)和T2DM组(T2DM组,n=130)。记录患者的临床资料,并计算AIP。根据AIP四分位数将受试者分为四组:Q1组,AIP≤0.20;Q2组: 0.20<AIP≤0.24;Q3组:0.24<AIP≤0.48;Q4组: AIP>0.48。正态分布的计量资料组间比较采用成组t检验;非正态分布计量资料组间比较采用Wilcoxon秩和检验;计数资料趋势性分析采用趋势χ2检验。采用多因素Logistic回归探讨AIP对MAFLD的影响;采用受试者工作特征曲线(ROC曲线)评估AIP、BMI、ALT等指标对T2DM合并MAFLD的预测价值。  结果  与T2DM组相比,T2DM+MAFLD组BMI、收缩压、尿酸、空腹血糖、糖化血红蛋白、ALT、AST、GGT、ALP、甘油三酯、低密度脂蛋白、AIP水平均明显升高,而高密度脂蛋白水平降低(P值均<0.05)。趋势χ2检验显示T2DM患者MAFLD的患病率随AIP水平的升高而呈增加趋势(χ趋势2=20.338,P<0.05)。多因素Logistic回归分析显示与Q1组相比,Q4组(OR=2.396,95%CI:1.018~5.640)发生MAFLD的风险增加(P=0.045)。ROC曲线分析结果显示,AIP联合ALT、BMI作为诊断模型有最佳的诊断效能(AUC=0.816),最佳临界值为0.670,灵敏度为70.2%,特异度78.5%。  结论  AIP是T2DM合并MAFLD的独立危险因素,其中AIP联合BMI、ALT对T2DM合并MAFLD有较好的预测价值。
儿童鞍区肿瘤术后垂体功能减退合并非酒精性脂肪性肝病的临床特征分析
杜婷婷, 姚辉, 陈晓红, 罗杰, 杨禄红, 丰利芳, 陈晓倩, 胡曼, 罗娟
2023, 39(6): 1332-1339. DOI: 10.3969/j.issn.1001-5256.2023.06.013
摘要(877) HTML (286) PDF (1762KB)(61)
摘要:
  目的  总结儿童鞍区肿瘤术后垂体功能减退合并非酒精性脂肪性肝病(NAFLD)的临床特征,探索儿童垂体功能减退与NAFLD之间的临床联系。  方法  回顾性分析2017年1月—2021年12月于华中科技大学同济医学院附属武汉儿童医院规律随访的鞍区肿瘤术后垂体功能减退出现NAFLD的患儿临床资料,分析临床特点。  结果  共32例规律随访且临床资料完整的鞍区肿瘤术后患者,其中10例(31.25%)出现NAFLD,其中男5例,女5例,9例为颅咽管瘤,均手术治疗,1例为生殖细胞瘤,局部放射治疗。10例患儿诊断垂体功能减退时的中位年龄为8.4(6.2~9.8)岁;诊断NAFLD的中位年龄为11.9(8.7~12.6)岁。从诊断垂体功能减退至诊断NAFLD的中位年数为2.0(1.4~4.0)年。诊断NAFLD时,10例患者均为肥胖,BMI较诊断垂体功能减退时平均增加(7.26±4.25)kg/m2;10例患者空腹血糖均正常,平均为(4.67±0.55)mmol/L,平均空腹胰岛素水平为(25.40±5.93)μIU/mL;胰岛素抵抗指数(HOMA-IR)平均为(5.26±1.29);9例患者有高甘油三酯血症,1例患者甘油三酯升高,平均为(3.08±1.09)mmol/L;6例患者有高胆固醇血症,平均为(5.67±1.25)mmol/L;8例患者有高低密度脂蛋白胆固醇血症,平均为(3.97±1.27)mmol/L。2例患者诊断NAFLD予重组人生长激素联合二甲双胍治疗,治疗后患儿BMI、HOMA-IR及甘油三酯均较治疗前下降,总胆固醇、低密度脂蛋白胆固醇均降至正常范围。  结论  鞍区肿瘤术后患儿可出现体质量增加及垂体功能减退,继而出现胰岛素抵抗及血脂异常,从而导致NAFLD的发生。对这类患儿应进行体质量管理和积极的垂体激素替代治疗,并予以常规的脂肪肝相关筛查和管理。
旋覆花汤对高脂高果糖高胆固醇饮食诱导非酒精性脂肪性肝炎小鼠模型的影响
辛一敬, 陈逸云, 杨海琳, 卓蕴慧, 张定棋, 周峰峰
2023, 39(6): 1340-1350. DOI: 10.3969/j.issn.1001-5256.2023.06.014
摘要(1240) HTML (557) PDF (4624KB)(72)
摘要:
  目的  探讨旋覆花汤对高脂高果糖高胆固醇饮食诱导小鼠非酒精性脂肪性肝炎(NASH)的干预作用。  方法  32只雄性C57/BL6J小鼠随机分为正常组、模型组、旋覆花汤组和奥贝胆酸组,每组8只。高脂高果糖高胆固醇饮食造模第24周开始,各组给予相应药物干预,旋覆花汤组给药剂量为14.19 g/kg灌胃,奥贝胆酸组给药剂量为10 mg/kg灌胃,灌胃体积均为20 mL/kg,每天给药1次,连续6周。HE染色、油红O染色、天狼星红染色及Masson染色观察肝组织病理学变化、脂质沉积及胶原沉积;试剂盒检测血清ALT、AST、TC、TG、LDL-C和葡萄糖水平,肝组织TG及羟脯氨酸(Hyp)含量;实时荧光定量聚合酶链式反应检测肝组织脂质代谢相关、炎症相关以及纤维化相关基因的表达;免疫组化染色观察肝组织F4/80和α-SMA阳性表达。计量资料多组间比较采用单因素方差分析,进一步两两比较采用LSD-t检验。  结果  与正常组相比,模型组小鼠体质量、肝湿重、血清AST、ALT、TC、TG、LDL-C和葡萄糖水平均显著增高(P值均<0.01);HE染色显示,模型组小鼠肝组织可见肝细胞脂肪变,大量脂肪空泡,肝细胞气球样变以及炎症细胞浸润,且非酒精性脂肪性肝病活动度评分(NAS)较正常组显著增加(P<0.01);油红O染色显示,模型组小鼠肝细胞内有大量红色脂滴沉积,大小不一,油红O染色面积百分比和肝脏TG含量较正常组均显著增加(P值均<0.01);天狼星红染色和Masson染色显示,模型组小鼠窦周、中央静脉以及汇管区胶原纤维增生明显,且肝组织Hyp含量较正常组显著增加(P<0.05)。与模型组比较,旋覆花汤组小鼠血清AST、ALT、TC、TG、LDL-C及葡萄糖水平均明显降低(P值均<0.05);肝组织脂肪变、炎症浸润、脂滴沉积以及胶原纤维增生明显改善,且NAS、油红O染色面积百分比、肝脏TG含量及Hyp含量均显著降低(P值均<0.05)。与正常组相比,模型组小鼠肝组织脂质代谢相关基因SREBP-1c、FASN、SCD1、PPARγ和CD36,炎症相关基因F4/80、TNFα、CCL2和CD11b,以及纤维化相关基因α-SMA mRNA表达水平均显著增高(P值均<0.05);免疫组化染色结果显示,F4/80和α-SMA阳性表达显著增加(P值均<0.01)。与模型组比较,旋覆花汤组小鼠肝组织SREBP-1c、FASN、SCD1、PPARγ、CD36、F4/80、TNFα、CCL2、CD11b及α-SMA mRNA表达均显著降低(P值均<0.05),免疫组化染色F4/80和α-SMA阳性表达明显减少(P值均<0.01)。  结论  旋覆花汤对高脂高果糖高胆固醇诱导的小鼠NASH具有良好的干预作用,其可显著抑制肝脏脂质沉积、炎症反应及肝纤维化。
论著_肝纤维化及肝硬化
蒙药蓝盆花抑制肝星状细胞增殖的作用及机制初探
颜羽昕, 高晓阳, 张春艳, 金蓉, 袁宏伟, 马月宏
2023, 39(6): 1351-1357. DOI: 10.3969/j.issn.1001-5256.2023.06.015
摘要(847) HTML (251) PDF (2342KB)(52)
摘要:
  目的  利用细胞实验探究蓝盆花对肝星状细胞增殖的作用及机制。  方法  取20只Wistar大鼠随机分为对照组和给药组,每组10只,对照组以生理盐水灌胃,给药组予蓝盆花灌胃制备含药血清。分别加入对照组血清(10%)、蓝盆花含药血清低剂量(10%)、蓝盆花含药血清中剂量(15%)及蓝盆花含药血清高剂量(20%),用以孵育HSC-T6细胞。MTT法检测不同药物浓度在不同时间段对细胞的影响;流式细胞术检测细胞凋亡情况;qRT-PCR及Western blot检测HSC细胞中纤维化标志物(α-SMA、Collagen Ⅰ)及PI3K/Akt信号通路相关因子mRNA、蛋白表达情况。多组间比较采用单因素方差分析,进一步两两比较采用LSD-t检验。  结果  与对照组比较,蓝盆花含药血清低、中、高剂量组细胞OD值均显著降低(P值均<0.05),细胞总凋亡率均显著增高(P值均<0.05)。qRT-PCR结果显示,与对照组比较,蓝盆花含药血清低、中、高剂量组α-SMA、Collagen Ⅰ、PI3K、Akt mRNA表达显著下调,PTEN mRNA表达显著增高(P值均<0.05);Western blot结果显示,与对照组比较,蓝盆花含药血清低、中、高剂量组α-SMA、Collagen Ⅰ、PI3K、Akt、p-Akt蛋白表达显著下调,PTEN蛋白表达显著增高(P值均<0.05)。  结论  蒙药蓝盆花可抑制HSC-T6细胞增殖且促进其凋亡,其机制可能是通过调控纤维化标志物和PI3K/Akt信号通路来发挥抗肝纤维化作用。
论著_其他肝病
陕西省2009—2019年药物性肝损伤患者的临床特征分析
王倩, 刘咪咪, 贺恺妮, 郭晓燕
2023, 39(6): 1358-1365. DOI: 10.3969/j.issn.1001-5256.2023.06.016
摘要(1789) HTML (503) PDF (2639KB)(167)
摘要:
  目的  探讨药物性肝损伤(DILI)患者的临床特点。  方法  回顾性收集陕西省内20家医院2009—2019年收治的以RUCAM量表为诊断标准的1 376例药物性肝损伤患者的临床资料,分析性别、年龄、基础疾病、可疑肝损伤药物、临床表现、实验室检查、治疗经过及预后。计量资料2组间比较采用成组t检验或Wilcoxon秩和检验;计数资料组间比较采用χ2检验;多分类有序资料比较采用Kruskal-Wallis H秩和检验。  结果  1 376例患者中男577例(41.93%),女799例(58.07%),男女比为0.72∶1;各年龄段中40~60岁年龄段高发,占比44.77%;各年龄组中男女性别分布差异有统计学意义(χ2=20.784,P=0.008),三种临床分型中,男女发病占比差异无统计学意义(χ2=1.409,P=0.494),各年龄组中临床分型分布差异有统计学意义(χ2=47.025,P<0.001)。引起肝损伤的药物中,居前三位的依次为:中药(41.13%)、抗结核药(11.70%)、解热镇痛药(7.27%)。临床分型以肝细胞损伤型为主,占比65.77%(905例);住院时间平均15.31天,以1~4周居多,占比91.86 %;痊愈45例(3.27%),好转1 322例(96.08%),整体预后较好。不同临床分型的预后不同,差异具有统计学意义(H=59.300,P=0.011),进一步比较显示,肝细胞损伤型和混合型预后好于胆汁淤积型(P<0.05),肝细胞损伤性和混合型预后差异无统计学意义(P>0.05)。  结论  DILI在女性及中老年的占比较高,中药是引起DILI的首位原因,不同临床分型的预后不同,整体预后较好。
肝移植术后感染病原菌分布及耐药性分析
韩铎, 何宏, 王宏伟, 田婷婷, 李静
2023, 39(6): 1366-1373. DOI: 10.3969/j.issn.1001-5256.2023.06.017
摘要(1039) HTML (304) PDF (3720KB)(87)
摘要:
  目的  分析肝移植术后感染病原菌分布及耐药性,为临床合理应用抗菌药物提供科学依据。  方法  对2014年3月—2021年12月青岛大学附属医院904例肝移植术后感染患者送检的各类标本分离出的病原菌分布及耐药性进行分析。采用WHONET 5.6软件对菌株列表及细菌耐药率进行统计;采用Excel对标本来源、构成比及病原菌分布情况等进行统计分析。  结果  共分离出非重复性病原菌2 208株,主要分离自呼吸道(31.25%)、胆汁(22.28%)、腹水(13.18%)、血液(8.38%)和引流液(4.62%),前10位病原菌为肺炎克雷伯菌肺炎亚种(10.69%)、屎肠球菌(10.42%)、大肠埃希菌(8.24%)、铜绿假单胞菌(8.24%)、表皮葡萄球菌(8.06%)、鲍曼不动杆菌(7.93%)、嗜麦芽窄食单胞菌(6.61%)、阴沟肠杆菌(3.22%)、溶血葡萄球菌(3.08%)和金黄色葡萄球菌(2.94%),共占比69.43%。呼吸道标本的主要致病菌为铜绿假单胞菌、嗜麦芽窄食单胞菌、肺炎克雷伯菌肺炎亚种和鲍曼不动杆菌,胆汁、腹水和引流液标本的主要致病菌为屎肠球菌,血液标本的主要致病菌为大肠埃希菌、表皮葡萄球菌和肺炎克雷伯菌肺炎亚种。药敏数据显示:肠杆菌目细菌对头孢菌素类和氟喹诺酮类均有较高的耐药率,对氨基糖苷类中阿米卡星的耐药率<10%,未检出对替加环素耐药菌株,其中肺炎克雷伯菌肺炎亚种对美罗培南、亚胺培南的耐药率分别为14.71%、11.35%,均高于大肠埃希菌(5.66%、6.29%);非发酵菌对碳青霉烯类药物均有较高的耐药率,但对替加环素和黏菌素耐药率均<10%。革兰阳性球菌中,屎肠球菌对万古霉素和奎奴普丁/达福普汀的耐药率分别为6.17%和2.44%,未发现对替加环素和利奈唑胺耐药的屎肠球菌;表皮葡萄球菌对大环内酯类、氟喹诺酮类、磺胺类和林可霉素类抗菌药物的耐药率均>50%,少部分菌株对利奈唑胺和奎奴普丁/达福普汀耐药(<3%),未检出对替加环素和万古霉素耐药的表皮葡萄球菌。重点监测耐药菌287株,占比13%,分别为耐碳青霉烯类鲍曼不动杆菌128株、耐碳青霉烯类铜绿假单胞菌88株、耐碳青霉烯类肺炎克雷伯菌肺炎亚种26株、耐碳青霉烯类大肠埃希菌11株、耐甲氧西林金黄色葡萄球菌23株和耐万古霉素肠球菌11株,其中,耐碳青霉烯类肺炎克雷伯菌肺炎亚种主要产丝氨酸碳青霉烯酶,耐碳青霉烯类大肠埃希菌主要产金属β-内酰胺酶。  结论  肝移植术后感染的病原菌以革兰阴性菌为主,不同标本类型病原菌的种类分布不同,部分菌株耐药率呈增长趋势,需要加强医院感染和抗菌药物的管理。
论著_胰腺疾病
急性胰腺炎合并脂肪肝患者脂肪肝严重程度动态变化的影响因素分析
陈强, 蒋明宽, 张苗, 罗琳, 张利荣
2023, 39(6): 1374-1381. DOI: 10.3969/j.issn.1001-5256.2023.06.018
摘要(791) HTML (212) PDF (1811KB)(48)
摘要:
  目的  探讨急性胰腺炎(AP)合并脂肪肝(FLAP)患者脂肪肝(FL)动态变化规律及其影响因素。  方法  选取内蒙古科技大学包头医学院第一附属医院2017年12月—2021年12月收治的136例FLAP患者为研究对象。以入院后首次CT检查为研究起点,出院前最后一次CT检查为研究终点,根据患者FL的变化程度将研究对象分为FL加重组、FL轻度缓解组和FL明显缓解组。比较各组患者一般资料及临床资料的差异。一般资料包括:年龄、性别、住院时间、AP病因以及患者的体质量变化和体温变化等;临床资料包括治疗方式以及实验室指标和AP严重程度的变化。计数资料组间比较采用χ2检验或Fisher精确概率法。符合正态分布的计量资料多组间比较采用单因素方差分析,进一步两两比较采用LSD-t检验;不符合正态分布的计量资料多组间比较采用Kruskal-Wallis H检验,并以Bonferroni校正的Mann-Whitney U检验进行组间两两比较。数据的动态变化以其在研究终点与研究起点的差值表示,采用协方差分析进行动态变化数据的比较。采用Spearman相关检验进行差异指标与FL变化程度的相关性分析。  结果  136例FLAP患者中61例在研究终点表现为FL轻度缓解,59例表现为明显缓解,16例表现为FL加重。3组患者的住院时间(χ2=16.215,P<0.001)以及体质量的变化(F=3.908,P=0.023)差异均有统计学意义;FL明显缓解组患者体质量降低幅度更大,住院时间更长。3组患者的禁食水天数(χ2=11.020,P=0.004)以及C反应蛋白(F=8.589,P<0.001)、白细胞计数(F=5.448,P=0.005)和CT严重程度指数(F=7.544,P=0.001)的变化幅度差异亦均有统计学意义;FL明显缓解组患者C反应蛋白、白细胞计数和CT严重程度指数降低幅度更大且禁食水时间更长。患者的住院时间(r=0.352,P<0.001)、禁食水天数(r=0.372,P<0.001)以及C反应蛋白(r=-0.365,P<0.001)和CT严重程度指数(r=-0.350,P<0.001)的变化与FL的变化存在显著相关性。  结论  FLAP患者的FL大多呈缓解趋势,其动态变化与患者C反应蛋白和CT严重程度指数的变化密切相关。
重症急性胰腺炎继发持续性炎症-免疫抑制-分解代谢综合征的影响因素及预测模型构建
李婵, 梁志海, 唐国都
2023, 39(6): 1382-1390. DOI: 10.3969/j.issn.1001-5256.2023.06.019
摘要(983) HTML (258) PDF (3410KB)(64)
摘要:
  目的  探讨重症急性胰腺炎(SAP)继发持续性炎症-免疫抑制-分解代谢综合征(PICS)的影响因素,并构建预测模型。  方法  回顾性分析2012年5月—2022年5月广西医科大学第一附属医院163例因SAP收入重症医学科、急诊重症监护室患者的临床资料。依据PICS诊断标准分成2组:PICS组(65例,SAP发生PICS患者)和非PICS组(98例,SAP未发生PICS患者)。符合正态分布的计量资料2组间比较采用成组t检验;不符合正态分布的计量资料2组间比较采用Mann-Whitney U秩和检验。计数资料2组间比较采用χ2检验或Fisher确切概率法。计算方差膨胀因子、相关系数矩阵热图评估变量间多重共线性,采用Lasso回归及多因素Logistic回归筛选出独立危险因素,构建列线图预测模型。采用受试者工作特征曲线、校准曲线及Hosmer-Lemeshow拟合优度检验对模型进行内部验证;采用临床决策曲线评估模型的临床实用性。  结果  单因素分析结果显示,平均动脉压、血红蛋白、红细胞压积(HCT)、中性粒细胞与淋巴细胞比值、血小板与淋巴细胞比值(PLR)、尿素、肌酐、格拉斯哥昏迷评分(GCS)、APACHE Ⅱ、SOFA、机械通气、急性呼吸窘迫综合征、急性肾损伤(AKI)、急性肝损伤、低血容量性休克、脓毒症、腹腔高压、腹腔出血、多器官功能障碍综合征在PICS组和非PICS组间比较差异均有统计学意义(P值均<0.05)。Lasso回归筛选的预测变量包括PLR、HCT、APACHE Ⅱ、SOFA、机械通气、AKI、低血容量性休克、腹腔高压。多因素Logistic回归显示,PLR、机械通气、AKI、低血容量性休克是SAP发生PICS的独立危险因素(OR分别为1.006、4.324、3.432、6.910,P值均<0.05)。将上述因素进行模型拟合,经bootstrap内部验证列线图模型曲线下面积为0.874(95%CI:0.822~0.925),校准曲线接近参考曲线,Hosmer-Lemeshow拟合优度检验表明该模型具有良好的拟合度(χ2=8.895,P=0.351)。临床决策曲线分析显示预测模型具有良好的临床实用性。  结论  PLR、机械通气、AKI、低血容量性休克是SAP继发PICS的独立危险因素,构建的列线图模型具有良好的区分度、校准度和临床实用性。
五种评分系统预测高甘油三酯血症性急性胰腺炎严重程度的比较
王鵷臻, 员雅玲, 谢娟, 黄李雅
2023, 39(6): 1391-1397. DOI: 10.3969/j.issn.1001-5256.2023.06.020
摘要(954) HTML (294) PDF (2228KB)(70)
摘要:
  目的  探讨PASS评分、BISAP评分、APACHE-Ⅱ评分、HAPS评分和Ranson评分五种评分系统对高甘油三酯血症性急性胰腺炎(HTGAP)病情和预后评估的价值。  方法  回顾性分析宁夏医科大学总医院2016年1月—2022年1月收治的300例HTGAP患者的临床资料,根据患者病情程度分为轻症急性胰腺炎、中度重症急性胰腺炎、重症急性胰腺炎三个组别,比较三组患者的临床资料和评分系统差异,计数资料组间比较采用χ2检验,正态方差齐的计量资料采用方差分析,非正态分布的计量资料三组间比较采用Kruskal-Wallis H检验。根据病情程度是否重症,绘制受试者工作特征曲线(ROC曲线),比较指标的ROC曲线下面积(AUC)。  结果  三组间PASS评分(χ2=219.351)、Ranson评分(χ2=83.084)、APACHE-Ⅱ评分(χ2=43.388)和BISAP评分(χ2=50.785)差异均有统计学意义(P值均<0.01)。在病情严重程度的评估和预测方面, PASS评分的敏感度(0.945)和AUC(0.963)高于其他四种评分系统,Ranson评分的敏感度(0.655)和AUC(0.819)次之。  结论  对于HTGAP患者,PASS评分可以更准确地评估HTGAP患者的病情严重程度及预后,有望在临床中更好的推广应用。
血浆致动脉粥样硬化指数联合急性胰腺炎床旁严重度指数对重症高甘油三酯血症性急性胰腺炎的早期预测价值
戢奇, 黄燨, 佘琛怡, 张松, 徐维田, 吴清明
2023, 39(6): 1398-1403. DOI: 10.3969/j.issn.1001-5256.2023.06.021
摘要(1016) HTML (228) PDF (2004KB)(66)
摘要:
  目的  探讨血浆致动脉粥样硬化指数(AIP)与高甘油三酯血症性急性胰腺炎(HTG-AP)严重程度的相关性,评估AIP及联合急性胰腺炎床旁严重度指数(BISAP)对于重症HTG-AP(sHTG-AP)的早期预测价值。  方法  回顾性分析2017年1月—2021年12月中部战区总医院170例HTG-AP住院患者的临床资料,根据指南分为sHTG-AP组(n=28)和非sHTG-AP组(n=142)。所有患者均于入院24 h内完成外周血采集,比较两组患者性别、年龄、实验室检查结果、AIP、BISAP评分和MCTSI评分等。计数资料组间比较采用χ2检验或Fisher精确概率法。计量资料两组间比较采用Mann-Whitney U检验。采用Spearman秩相关检验分析各因素与HTG-AP严重程度的相关性,二元Logistic回归分析sHTG-AP的独立危险因素。绘制受试者工作特征曲线分析各指标预测效能。  结果  两组患者糖尿病病史、LYM、Alb、Ca2+、TG、HDL-C、AIP、BISAP评分、MCTSI评分、住院天数、住院费用之间均存在统计学差异(P值均<0.05)。sHTG-AP组住院时间更长,住院费用更高,AIP值更大。AIP(OR=1.244,95%CI: 1.062~1.458,P=0.007)、BISAP评分(OR=5.525,95%CI: 1.646~18.543,P=0.006)和MCTSI评分(OR=2.029,95%CI: 1.245~3.305,P=0.004)是sHTG-AP患者的危险因素。AIP、BISAP和MCTSI均与HTG-AP严重程度呈正相关(P值均<0.001),相关系数分别为0.291、0.631、0.649;AIP与BISAP评分、MCTSI评分正相关(P值均<0.05),相关系数分别为0.190、0.215。AIP预测sHTG-AP的最佳截断值为1.095,AIP、BISAP评分及AIP联合BISAP评分的曲线下面积分别为0.759、0.887、0.925,敏感度分别为0.821、0.857、0.786,特异度分别为0.627、0.817、0.937(P值均<0.001)。  结论  AIP是sHTG-AP的危险因素并与疾病严重程度相关,联合BISAP评分对于sHTG-AP具有较高的早期预测价值。
病例报告
原发性胆汁性胆管炎合并结缔组织病及免疫性血小板减少症1例报告
刘庆夏, 张成港, 唐浩淋, 渠文静, 季慧范, 郭晓林
2023, 39(6): 1404-1407. DOI: 10.3969/j.issn.1001-5256.2023.06.022
摘要(838) HTML (239) PDF (1904KB)(82)
摘要:
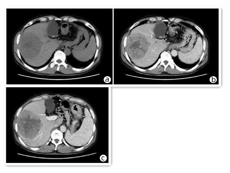
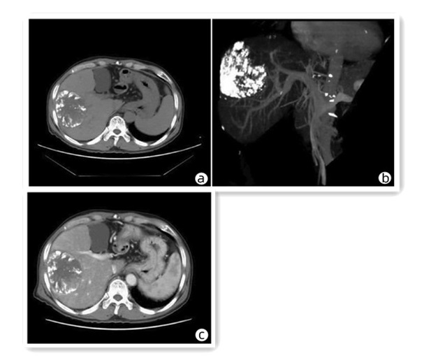
先天性左肝缺如合并肝细胞癌1例报告
王海林, 李敬东, 武国
2023, 39(6): 1408-1410. DOI: 10.3969/j.issn.1001-5256.2023.06.023
摘要(825) HTML (191) PDF (2003KB)(56)
摘要:
多学科联合诊疗原发性肝脏神经内分泌瘤1例报告
赵凯越, 严哲, 黄缘
2023, 39(6): 1411-1413. DOI: 10.3969/j.issn.1001-5256.2023.06.024
摘要(789) HTML (185) PDF (2153KB)(60)
摘要:
骨髓增生性疾病所致门静脉海绵样变性1例报告
韩冰, 涂传涛
2023, 39(6): 1414-1417. DOI: 10.3969/j.issn.1001-5256.2023.06.025
摘要(798) HTML (257) PDF (2374KB)(45)
摘要:
综述
抑制性受体TIGIT与慢性HBV感染中免疫紊乱的关系
周玉霞, 王彩红, 姚晓文, 王蓉, 郑晓凤, 于晓辉, 张久聪
2023, 39(6): 1418-1423. DOI: 10.3969/j.issn.1001-5256.2023.06.026
摘要(743) HTML (348) PDF (2165KB)(46)
摘要:
持续HBV感染改变了天然免疫细胞和获得性免疫细胞表面受体的表达,由此引发的多种免疫紊乱,可导致免疫逃逸,最终使疾病慢性化。研究表明,抑制性受体的上调是患者免疫紊乱的主要原因,阻断抑制性受体可一定程度上恢复患者的免疫功能。T淋巴细胞免疫球蛋白和免疫受体酪氨酸抑制性基序结构域(TIGIT)是目前较为关注的一种新型抑制性受体,在NK细胞和T淋巴细胞中高水平表达。研究发现,TIGIT在慢性病毒感染中发挥重要作用,现就TIGIT与慢性HBV感染中免疫紊乱的相关性研究进展进行简要综述。
免疫检查点抑制剂抗肿瘤治疗与HBV再激活的关系
陈顺, 解有成, 王俊科, 赵宝银, 张久聪, 王盼, 于晓辉
2023, 39(6): 1424-1430. DOI: 10.3969/j.issn.1001-5256.2023.06.027
摘要(983) HTML (332) PDF (2118KB)(79)
摘要:
近年来,免疫检查点抑制剂(ICI)单药和联合治疗在从实体瘤到淋巴瘤等多种恶性肿瘤中取得了广泛的疗效,并且成为了多种癌症的标准化和系统化治疗模式。然而,在HBV感染的恶性肿瘤患者中,ICI应用的安全性研究尚不多见。有早期研究陆续报道在临床中ICI抗肿瘤治疗所致的HBV再激活。本文通过回顾已有文献,对近年来ICI在慢性病毒感染的癌症患者中的临床试验及应用进展进行综述,阐明这类特殊群体应用ICI的有效性及安全性,以期为临床用药提供一定参考。
巨细胞病毒性肝炎研究进展
曾庆贺, 孟艳, 李玉香
2023, 39(6): 1431-1439. DOI: 10.3969/j.issn.1001-5256.2023.06.028
摘要(1749) HTML (277) PDF (2175KB)(173)
摘要:
巨细胞病毒性肝炎是由人巨细胞病毒感染引起的,儿童和免疫功能低下肝病人群中最常见的一种肝脏疾病。该病无特异性表现,临床上易与其他病毒性肝炎混淆,导致失治误治。巨细胞病毒性肝炎的早期诊断至关重要,以便给予及时有效治疗,合理选择抗病毒药物及疗程。本文对巨细胞病毒性肝炎的病原学、流行病学、发病机制及临床表现、诊断治疗及预防的近年研究进展作一综述。
肝内微环境诱导的自噬在非酒精性脂肪性肝病中的作用
寇萱萱, 张华, 邓婧鑫, 张建刚
2023, 39(6): 1440-1445. DOI: 10.3969/j.issn.1001-5256.2023.06.029
摘要(1058) HTML (407) PDF (1858KB)(53)
摘要:
非酒精性脂肪性肝病(NAFLD)是以肝细胞内脂质过度沉积为主要特征的一系列肝脏异常病变,也是全球范围内最常见的慢性肝病。自噬是细胞降解自身成分、参与维持器官功能及机体稳态的一种基本细胞过程,与NAFLD的进展存在密切联系。机体遭受的高脂、缺氧和压力等在肝脏内形成了细胞外微环境的异常改变,这些异常微环境可能通过诱导的肝脏细胞自噬促进NAFLD的发生发展。本文基于肝脏内的多种微环境特征,对肝细胞、Kupffer细胞、肝星状细胞等肝脏细胞的自噬在NAFLD进展中的作用和机制进行综述。
HIV感染者非酒精性脂肪性肝病的临床研究进展
芦佳骏, 费发珠, 任宾
2023, 39(6): 1446-1453. DOI: 10.3969/j.issn.1001-5256.2023.06.030
摘要(946) HTML (423) PDF (1816KB)(108)
摘要:

非酒精性脂肪性肝病(NAFLD)在全球总人口中的患病率呈现逐步增加趋势,由NAFLD导致的肝脏恶性肿瘤的发病率也不断上升。肥胖是NAFLD发生的独立危险因素。在体质量正常的HIV感染者中,25%患有NAFLD,消瘦型NAFLD在HIV感染者中较为常见。本文在查阅国内外文献的基础上,对HIV感染者NAFLD的流行病学、病理生理学、组织学、诊断、筛查、干预措施、治疗及临床管理进行概述,以期提高公众、临床医师及相关管理机构对HIV感染者NAFLD的认识。

活性氧/活性氮与NF-κB信号通路级联交互在肝纤维化中的作用
闵远骞, 李姗, 刘湘花, 杨艺, 李宁宁, 禄保平
2023, 39(6): 1454-1460. DOI: 10.3969/j.issn.1001-5256.2023.06.031
摘要(1594) HTML (614) PDF (2107KB)(72)
摘要:
肝纤维化是慢性肝损伤后组织修复过程中的代偿反应,也是诸多慢性肝病发展必经的病理过程。在病理状态下,肝脏氧化系统与抗氧化系统失衡,造成活性氧/活性氮产生过多或清除不足,诱导肝细胞损伤,扩大炎症反应,促进肝纤维化的发生发展。NF-κB作为炎症反应和氧化应激的主调控器,在肝纤维化进程中发挥关键作用。因此,活性氧/活性氮与NF-κB信号通路的级联交互关系对于进一步阐明肝纤维化的发病机制,探索有效的防治策略起到重要的指导作用。本文即对两者之间的交互关系及在肝纤维化进程中的重要作用进行综述和讨论,以期为肝纤维化的靶向治疗提供策略和参考。
肝硬化肾损伤的发病机制与诊治进展
刘清清, 杨婧, 胡绍山, 李苹菊, 金秋, 马红琳
2023, 39(6): 1461-1467. DOI: 10.3969/j.issn.1001-5256.2023.06.032
摘要(1033) HTML (341) PDF (1755KB)(90)
摘要:
肝硬化失代偿期患者常因严重的肝功能不全导致扩血管物质灭活减少、血流动力学紊乱、体内免疫系统紊乱、感染等因素引起肾功能的下降,若不及时干预则会由早期的肾前性损伤逐步发展至晚期的肾衰竭,患者存活率低、治疗难度大。随着肾损伤的分类和诊断标准逐渐明确,以及越来越多的肾损伤标志物得以发现,早期诊断及定位肾损伤的阶段对改善患者预后非常重要。本文分析了近年来肝硬化患者肾损伤的发病机制、诊断标准及治疗方面的新进展。以期为临床肝硬化肾损伤患者的诊治提供帮助。
肝细胞癌早期筛查和诊断的研究进展
韩家鑫, 宓余强, 徐亮
2023, 39(6): 1468-1475. DOI: 10.3969/j.issn.1001-5256.2023.06.033
摘要(1549) HTML (467) PDF (1928KB)(200)
摘要:
针对高危人群,早期筛查、早期诊断是实现肝癌很好控制、减轻肝癌负担的重要措施。其中,确定肝癌的高危人群和制定适合的肝癌筛查策略是实现肝癌早期筛查和诊断的关键。肝癌风险评估模型是对肝癌的高危人群便捷和快速识别的重要手段。在肝癌风险分层评估的基础上,应用影像学技术、血清学标志物、液体活组织检查、代谢组学及糖组学等方法,实现肝癌精准早筛、早诊,从而达到早治目的。
基于NK细胞的免疫治疗在肝癌中的研究进展
程世纪, 匡天瑞, 董可帅, 余佳
2023, 39(6): 1476-1481. DOI: 10.3969/j.issn.1001-5256.2023.06.034
摘要(1475) HTML (482) PDF (1747KB)(125)
摘要:
自然杀伤细胞(NK细胞)是人体重要的免疫细胞,也是肝内主要的淋巴细胞,被认为是抵御肿瘤的第一道防线,对肝癌发生发展有重大影响。NK细胞所具有的特性,使其成为免疫治疗的新选择,基于NK细胞的免疫疗法或将在肝癌治疗中取得成功。本文就NK细胞的生物学特征、其在肝癌发生发展中的作用及相关治疗中的研究进展进行综述。
联合肠系膜上/门静脉汇合部胰十二指肠切除术后左侧门静脉高压症的研究现状
邹洪, 朱桥, 文艺, 梁鸿寅, 周明梅, 石珂辉, 吴俊, 汤礼军
2023, 39(6): 1482-1487. DOI: 10.3969/j.issn.1001-5256.2023.06.035
摘要(1136) HTML (292) PDF (2120KB)(58)
摘要:
外科手术是胰腺癌最主要的治疗手段,临床上胰腺癌进行根治性外科手术时,往往需要联合肠系膜上/门静脉汇合部胰十二指肠切除术以期达到R0切除。然而,进行脾静脉离断术后可能会并发严重的左侧门静脉高压症(LSPH),进而产生一系列病理性改变,如脾脏淤血性肿大、血小板降低、脾静脉流域回流受阻并发胃肠道静脉曲张,更有甚者会出现致命性消化道大出血、失血性休克。因此,为了临床上更好地处理LSPH,本文旨在对联合肠系膜上/门静脉汇合部胰十二指肠切除术后LSPH发生机制、治疗方案以及防治策略进行系统性分析回顾,并基于当前的研究提出相应建议。
嘌呤信号在肝脏免疫调节中的作用
马发祥, 涂正坤
2023, 39(6): 1488-1496. DOI: 10.3969/j.issn.1001-5256.2023.06.036
摘要(928) HTML (890) PDF (2540KB)(65)
摘要:
嘌呤主要由ATP、NAD+和核酸组成,除了具有关键的细胞内功能外,NAD+和ATP及其水解产物包括ADP、AMP和腺苷,是参与生理过程和病理状况的重要细胞外信号。嘌呤信号在肝脏微环境的免疫调节中发挥重要作用。本文主要总结了嘌呤信号对肝脏免疫细胞的调控,以及嘌呤信号通过调节肝脏免疫细胞炎性和抗炎性反应影响肝脏疾病进展。
肝豆状核变性发病机制、临床表型-基因型关系及药物治疗研究进展
玛力帕提·艾尔肯江, 凯迪日亚·库尔班, 徐玲, 孙晓风
2023, 39(6): 1497-1504. DOI: 10.3969/j.issn.1001-5256.2023.06.037
摘要(1647) HTML (1437) PDF (2259KB)(126)
摘要:
肝豆状核变性又称Wilson病(WD),WD中铜与铜蓝蛋白结合受损,导致游离铜主要在肝脏、大脑和其他器官中沉积。WD的患病率为1/30 000。在临床上,大多数WD患者都是年轻人,其特征是锥体外系症状、肝硬化、角膜K-F环、血清低铜蓝蛋白水平(<50 mg/L)和24 h高尿铜排泄(>100 mg/L)。目前WD主要的治疗措施为药物治疗。在一些终末期肝病或急性肝衰竭的病例中,肝移植是提高生存率的一种选择。本综述结合国内外对WD发病机制、临床表型与基因型的关系及药物治疗进展的研究作出了概述。
致谢
本期审稿专家
2023, 39(6): 1357-1357. DOI: 10.3969/j.issn.1001-5256.2023.6.zhixie1
摘要(353) HTML (131) PDF (767KB)(35)
摘要: