显示方式:
2021, 37(4): 780-780.
摘要:
2021, 37(4): 862-862.
摘要:
2021, 37(4): 881-881.
摘要:
2021, 37(4): 907-907.
摘要:


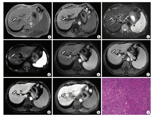
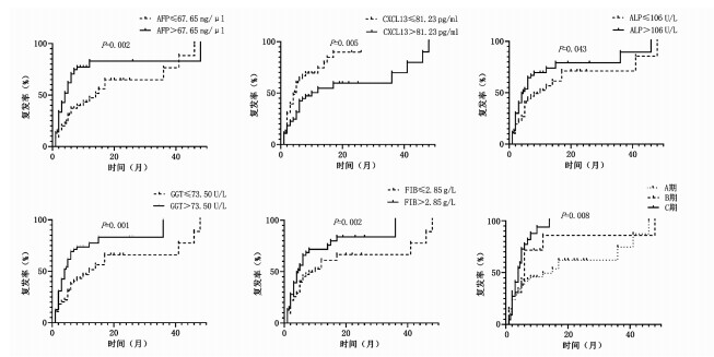
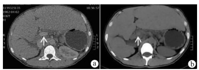
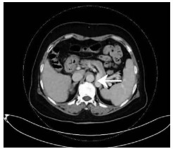
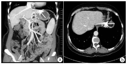
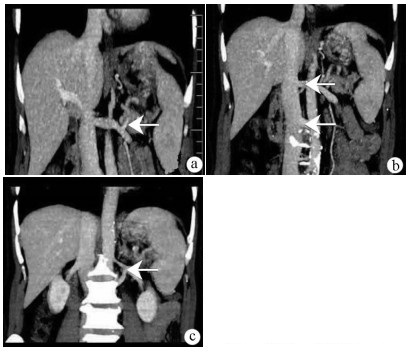
摘要
HTML
PDF (3250KB)





