显示方式:
2021, 37(5): 998-998.
摘要:
2021, 37(5): 1168-1168.
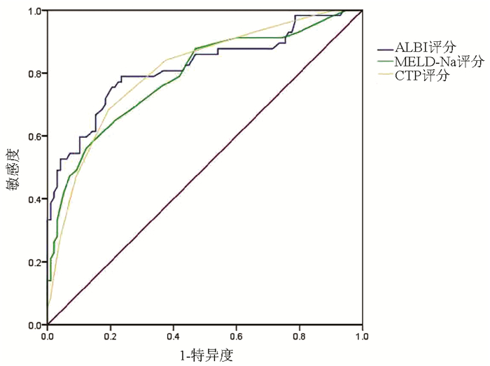
摘要:
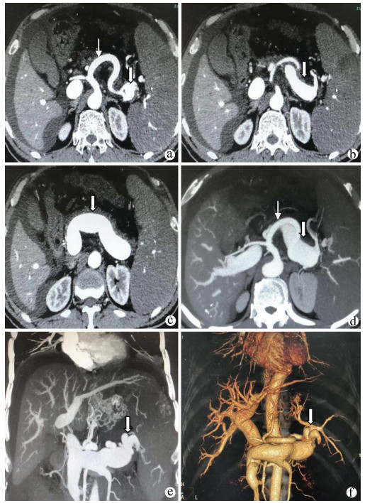
2021, 37(5): 1185-1185.
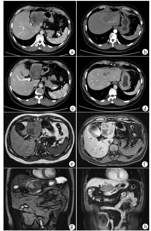
摘要:
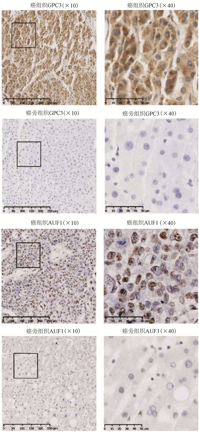
2021, 37(5): 1179-1179.
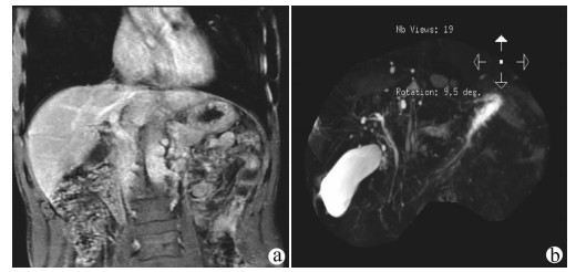
摘要:


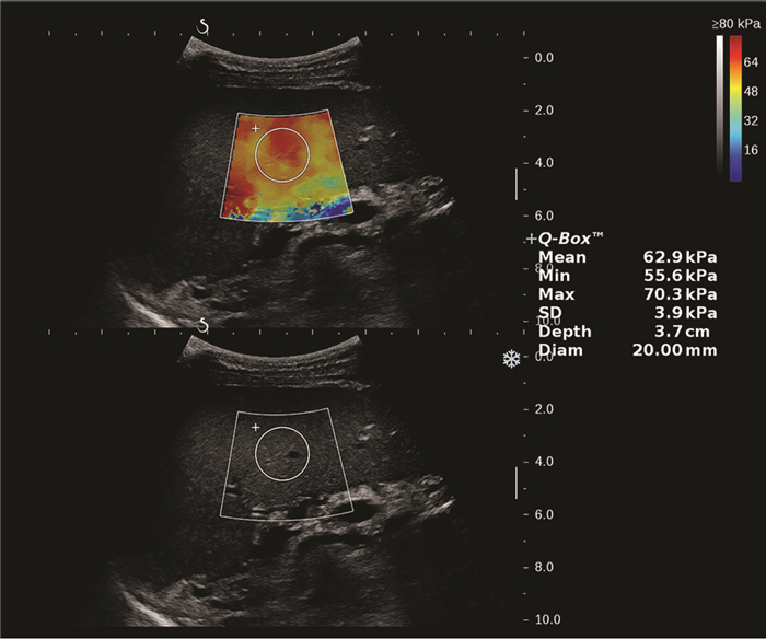
摘要
HTML
PDF (2445KB)





