显示方式:
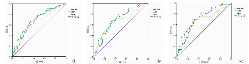
2021, 37(6): 1308-1308.
摘要:
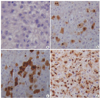
2021, 37(6): 1403-1403.
摘要:
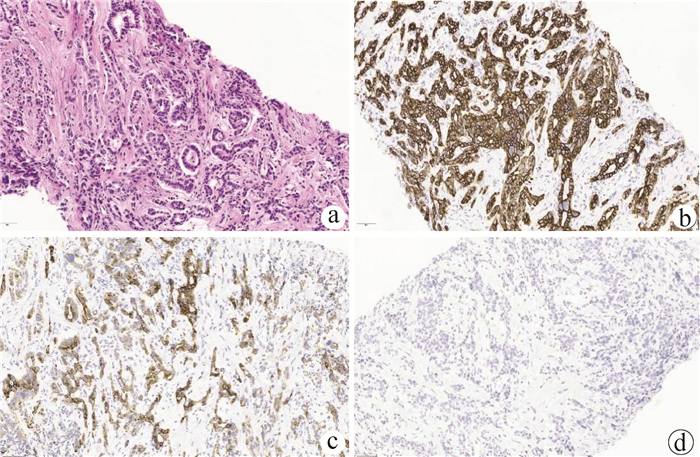
2021, 37(6): 1274-1274.
摘要:
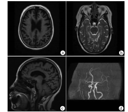
2021, 37(6): 1294-1294.
摘要:


摘要
HTML
PDF (1843KB)





