中文English
ISSN 1001-5256 (Print)
ISSN 2097-3497 (Online)
CN 22-1108/R

Vol.40 No.3 (281 in total) Mar. 2024
Theme Issue: Attention to Chronic HBV Infection and Metabolic Dysfunction
Executive Chief Editor: LI Jie  
Affiliated Drum Tower Hospital of Nanjing University Medical School

Display Method:
Editorial
Chronic hepatitis B virus infection and metabolic associated fatty liver disease: The known and unknown aspects
Nan GENG, Wenjing NI, Fajuan RUI, Jie LI
2024, 40(3): 441-445. DOI: 10.12449/JCH240301
Abstract(1546) HTML (346) PDF (591KB)(293)
Abstract:
Chronic hepatitis B virus (HBV) infection is the main cause of the disease burden of viral hepatitis worldwide, and meanwhile, due to changes in lifestyle and dietary habits, the incidence rate of metabolic associated fatty liver disease (MAFLD) is constantly increasing, making MAFLD the leading chronic liver disease around the world. Chronic HBV infection comorbid with MAFLD is becoming more and more common in clinical practice. Metabolic factors, rather than viral factors, are the main cause of chronic HBV infection comorbid with MAFLD. During disease progression, steatohepatitis and fibrosis, rather than steatosis, are the main influencing factors for the progression to liver cirrhosis and hepatocellular carcinoma. For patients with chronic HBV infection and MAFLD, integrated management of virus and metabolic factors is of great importance. This article reviews the tissues regarding the interaction, prognosis, and clinical management of chronic HBV infection and MAFLD.
Expert Forum
Basic research on chronic hepatitis B virus infection and metabolic dysfunction: Advances and controversies
Borong YU, Yuanwen CHEN
2024, 40(3): 446-452. DOI: 10.12449/JCH240302
Abstract(1585) HTML (538) PDF (732KB)(230)
Abstract:
Hepatitis B virus (HBV) is considered a “metabolic virus” that can influence a variety of metabolic processes. There is still a lack of definite conclusion on the association between chronic HBV infection and the various types of metabolic dysfunction, and little is known about the mechanism of the association of chronic HBV infection with the diseases characterized by metabolic disorder, such as metabolic syndrome, diabetes, and metabolic associated fatty liver disease. Currently it is believed that hepatitis B x gene (HBx), derived from HBV genome, might play an important role in mediating systemic metabolic alterations after HBV infection, and HBx influences the metabolism of carbohydrates and lipids and causes metabolic dysfunction by retgulating the expression profiles of the key proteins such as PPARγ, C/EBPα, SREBP, and FATP2. Nonalcoholic fatty liver disease (NAFLD) is the most severe manifestation of metabolic dysfunction in the liver, and since both NAFLD and HBV infection can cause liver injury, the research on the interaction between them has attracted more and more attention, with controversies requiring further exploration. Therefore, this article elaborates on the research advances in chronic HBV infection and metabolic dysfunction, so as to provide ideas for subsequent studies.
Epidemiology and clinical outcome of chronic hepatitis B virus infection and metabolic dysfunction
Jiaofeng HUANG, Qi ZHENG
2024, 40(3): 453-456. DOI: 10.12449/JCH240303
Abstract(1164) HTML (271) PDF (586KB)(155)
Abstract:
Chronic hepatitis B virus (HBV) infection is a worldwide public health issue and a leading cause of liver fibrosis, liver cirrhosis, liver failure, and primary liver cancer in China. The incidence rate of nonalcoholic fatty liver disease (NAFLD) is gradually increasing with the improvement in the living standards of people and the changes in dietary structure. Population-based studies have found that HBV infection can influence the development of NAFLD, but the mechanism remains unknown. Hepatic steatosis can also influence the expression of HBV serum pathogenic indicators, and its combination with NAFLD and other metabolic dysfunction diseases can increase the risk of liver fibrosis, liver cirrhosis, and liver cancer. Chronic HBV infection is closely associated with metabolic dysfunction, and more studies are needed in the future to better understand related mechanisms, so as to provide a theoretical foundation for clinical diagnosis and treatment.
Clinical management of chronic hepatitis B virus infection comorbid with metabolic dysfunction
Luping YANG, Junping SHI
2024, 40(3): 457-460. DOI: 10.12449/JCH240304
Abstract(1164) HTML (363) PDF (572KB)(169)
Abstract:
With the rapid growth of metabolic dysfunction (MD) worldwide, there is also a gradual increase in the number of patients with chronic hepatitis B virus (HBV) infection and MD. Comorbidity with metabolic disorders such as hyperglycemia, hypertension, and dyslipidemia may increase the risk of adverse liver outcomes and cardiovascular events in patients with chronic HBV infection and affect the response to anti-HBV therapy. The standardized management of patients with chronic HBV infection and MD has become a challenge at present, and further in-depth research on the interaction between MD and HBV and targeted management strategies will help to optimize the clinical management of patients with chronic HBV infection.
Guideline
Guidelines for traditional Chinese medicine diagnosis and treatment of liver cirrhosis
Branch of Hepatobiliary Diseases, China Association of Chinese Medicine
2024, 40(3): 461-472. DOI: 10.12449/JCH240305
Abstract(4729) HTML (1842) PDF (1106KB)(755)
Abstract:
In recent years, with the advances in basic and clinical research, medical workers have gained a deeper understanding of the clinical diagnosis and treatment of liver cirrhosis, and meanwhile, more studies have been conducted on the traditional Chinese medicine (TCM) syndromes and integrated traditional Chinese and Western medicine treatment of liver cirrhosis in China, especially in the field of anti-liver fibrosis treatment where TCM plays an important role. This guideline is revised based on the 2008 edition of Guidelines for the diagnosis and treatment of common diseases in Chinese internal medicine, and in accordance with related requirements in TCM standardization, evidence-based medicine, and technical guidance documents, the project team formed the guidelines for TCM diagnosis and treatment through literature research, expert interview, questionnaire survey, identification of clinical problems, grading of evidence, formation of recommendation opinions, and soliciting opinions, so as to provide practical and standardized guidelines for clinical diagnosis and treatment. This guideline has been approved by China Association of Chinese Medicine, with the standard number of T/CACM1576-2024.
Expert consensus on the molecular diagnosis of early-stage pancreatic cancer (2023 edition)
Professional Committee on Clinical Precision Medicine, Chinese Medical Doctor Association
2024, 40(3): 473-477. DOI: 10.12449/JCH240306
Abstract(2443) HTML (2733) PDF (632KB)(698)
Abstract:
Pancreatic cancer is a relatively common tumor of the digestive system, with difficulties in early-stage diagnosis and an extremely high degree of malignancy. Molecular diagnostic technology based on tumor biomarkers, combined with the existing gold standard in clinical practice, is of great clinical significance to achieve early accurate identification, timely treatment and intervention, and reduction in mortality. Previous studies have shown that miRNAs show high specificity in terms of types and expression levels in different pathological stages of pancreatic cancer and can thus be used in monitoring the development and progression of pancreatic cancer. Since a single miRNA has a limited diagnostic potential, the combination of different miRNAs may effectively improve the diagnostic efficiency of early-stage pancreas carcinogenesis. Based on related research advances in recent years, this consensus document aims to fill the gap in molecular diagnostic technology in the guidelines for the clinical diagnosis and treatment of pancreatic cancer and provide expert guidance and recommendations.
Key points of the international Kyoto guidelines for the management of intraductal papillary mucinous neoplasm of the pancreas (2023)
Jiasu LI, Hongxin SUN, Zhaoshen LI
2024, 40(3): 478-482. DOI: 10.12449/JCH240307
Abstract(4624) HTML (3080) PDF (1026KB)(761)
Abstract:
Recently, the International Association of Pancreatology published a revised edition of the guidelines for the management of intraductal papillary mucinous neoplasm (IPMN) of the pancreas. The guidelines mainly focus on five topics, i.e., revision of “high-risk stigmata” and “worrisome features”, surveillance of unresected IPMN, surveillance after resection of IPMN, revision of pathological aspects, and research on molecular markers in cyst fluid, in order to provide the best evidence-based reference for clinical practice. This article makes an excerpt of the key points in the guidelines.
Viral Hepatitis
Significance of high-sensitivity polymerase chain reaction in detecting hepatitis B virus in chronic hepatitis B patients with a very low viral load
Gongqin QIU, Dan XIE, Ziren CHEN, Shi OUYANG
2024, 40(3): 483-488. DOI: 10.12449/JCH240308
Abstract(2422) HTML (1064) PDF (702KB)(153)
Abstract:
  Objective  To investigate the significance of high-sensitive polymerase chain reaction (PCR) in detecting hepatitis B virus (HBV) among the population with a very low viral load (HBV DNA 10‍ — ‍99 IU/mL).  Methods  This study was conducted among the chronic hepatitis B (CHB) patients who were treated with nucleos(t)ide analogues for ≥48 weeks in The Fifth Affiliated Hospital of Guangzhou Medical University from September 2019 to February 2022 and had an HBV DNA load below the lower limit of ordinary-sensitivity detection (100 IU/mL). Then high-sensitivity HBV DNA detection was performed for all patients, and according to these results, the patients were divided into very low viral load group (VLVL group with an HBV DNA load of 10‍ — ‍99 IU/mL) and complete virologic response group (CVR group with an HBV DNA load of <10 IU/mL or without HBV DNA detected). The two groups were compared in terms of general characteristics, serum virological indicators, biochemical parameters, and noninvasive fibrosis markers; the value of related serum virological indicators in predicting the results of high-sensitivity HBV DNA above the lower limit of detection were assessed; the influencing factors for failure to achieve CVR were analyzed. The independent-samples t test was used for comparison of normally distributed continuous data between two groups, and the Mann-Whitney U test was used for comparison of non-normally distributed continuous data between two groups; the chi-square test or the Fisher’s exact test was used for comparison of categorical data between two groups. The receiver operating characteristic (ROC) curve was used to investigate the value of related serum virological indicators in predicting the results of high-sensitivity HBV DNA above the lower limit of detection, and a binary logistic regression analysis was used to investigate the influencing factors for failure to achieve CVR.  Results  A total of 106 CHB patients were enrolled, with 24 in the VLVL group and 82 in the CVR group. Compared with the CVR group, the VLVL group had a significantly younger age (P=0.004) and significantly higher quantitative hepatitis B surface antigen (qHBsAg) level (P=0.002), HBeAg positive rate (P=0.002), pgRNA positive rate (P=0.010), and alanine aminotransferase level (P=0.017). The qHBsAg level had an area under the ROC curve of 0.717 (P=0.002) in predicting the results of high-sensitivity HBV DNA above the lower limit of detection (>10 IU/mL), with an optimal cut-off value of 1 214.5 IU/mL, a sensitivity of 95.5%, and a specificity of 53.9%. Positive HBeAg (odds ratio [OR]=3.654, 95% confidence interval [CI]: 1.162‍ —‍ ‍11.489, P=0.027) and qHBsAg (OR=2.985, 95%CI: 1.058‍ — ‍8.422, P=0.039) were independent influencing factors for failure to achieve CVR.  Conclusion  Some CHB patients have an HBV DNA load of <100 IU/mL by ordinary-sensitivity detection, but with the presence of VLVL determined by high-sensitivity PCR. The VLVL group had significantly higher level of inflammatory damage and positive rates of pgRNA and HBeAg. Positive HBeAg and high qHBsAg level are independent influencing factors for failure to achieve CVR. Clinicians should not ignore the presence of VLVL in CHB patients, and high-sensitivity HBV DNA detection should be performed in a timely manner.
Efficacy of ursodeoxycholic acid in the prevention and treatment of COVID-19 in patients with chronic hepatitis B
Xinyu CUI, Yanyan LI, Na ZHU, Yingying LIN, Xin LI
2024, 40(3): 489-495. DOI: 10.12449/JCH240309
Abstract(2003) HTML (831) PDF (795KB)(114)
Abstract:
  Objective  To investigate the potential effect of ursodeoxycholic acid (UDCA) in the prevention and treatment of COVID-19 in patients with chronic hepatitis B.  Methods  Clinical data were collected from 324 patients with chronic hepatitis B who were treated in Beijing Ditan Hospital, Capital Medical University, from January to December 2022, and according to whether UDCA was administered, they were divided into UDCA group and control group. The propensity score matching (PSM) method was used to balance the confounding factors such as age, sex, and chronic complications, and the two groups were compared in terms of SARS-CoV-2 infection rate, symptoms, and recovery time after COVID-19. The two groups were also compared in terms of related laboratory markers (white blood cell count [WBC], hemoglobin [Hb], platelet count [PLT], alanine aminotransferase [ALT], aspartate aminotransferase [AST], albumin [Alb], alkaline phosphatase [ALP], total bilirubin [TBil], triglyceride [TG], and total cholesterol [TC]), vaccination, and the incidence rate of liver disease symptoms after COVID-19. The independent-samples t test was used for comparison of normally distributed continuous data between two groups, and the Mann-Whitney U test was used for comparison of data with skewed distribution between the two groups; the chi-square test and the continuously corrected chi-square test were used for comparison of categorical data between two groups. The binary Logistic regression model was used for univariate and multivariate analyses to investigate the influencing factors for COVID-19 after matching.  Results  There were 87 patients in the UDCA group and 237 patients in the control group, and after PSM, there were 78 patients in the UDCA group and 137 patients in the control group, with good balance between the two groups. There was a significant difference in SARS-CoV-2 infection rate between the UDCA group and the control group [82.1% (64/78) vs 95.6% (131/137), χ2=10.847, P=0.001]. After COVID-19, compared with the control group, the UDCA group had a significantly lower proportion of the patients with chill (10.9% vs 38.9%, χ2=16.124, P<0.001) and cough (56.3% vs 74.8%, χ2=6.889, P=0.009). There was a significant difference between the UDCA group and the control group in the proportion of the patients with a recovery time of ≤7 days after COVID-19 (79.7% vs 61.1%, χ2=6.760, P=0.009). Both univariate and multivariate logistic regression analyses showed that UDCA was an independent influencing factor for COVID-19 (odds ratio=0.21 and 0.17, both P<0.05).  Conclusion  UDCA is an protective factor against COVID-19 in patients with chronic hepatitis B and can alleviate related symptoms to some extent and shorten the recovery time, and therefore, it has an important value in the prevention and treatment of COVID-19.
Autoimmune Liver Disease
Value of alkaline phosphatase level after ursodeoxycholic acid treatment for one month and baseline red blood cell distribution width in predicting the treatment response of primary biliary cholangitis
Nan WANG, Rong HU, Shihui BIAN, Wei ZHONG, Pengfei ZHANG, Youwen TAN
2024, 40(3): 496-501. DOI: 10.12449/JCH240310
Abstract(1409) HTML (469) PDF (675KB)(109)
Abstract:
  Objective  To investigate the value of baseline red cell distribution width (RDW) and alkaline phosphatase (ALP) level after ursodeoxycholic acid (UDCA) treatment for one month in predicting the response to UDCA treatment in patients with primary biliary cholangitis (PBC).  Methods  A retrospective analysis was performed for the data of 127 patients with PBC who were diagnosed in Department of Hepatology, The Third People’s Hospital of Jiangsu University, from January 2015 to July 2022, with data collected at baseline, after one month of treatment, and after one year of follow-up. Based on the Paris-I criteria, the patients were divided into good response group and poor response group, and the two groups were analyzed in terms of clinical and laboratory features and their association with response to UDCA. The Logistic regression method was used to investigate the independent risk factors for response to UDCA treatment. The area under the ROC curve (AUC) was used to determine the optimal cut-off values of related indicators; the patients were divided into two groups based on such values, and the two groups were compared in terms of baseline indicators and response. The independent-samples t test was used for comparison of normally distributed continuous data between two groups, and the Mann-Whitney U test was used for comparison of non-normally distributed continuous data between two groups; the chi-square test was used for comparison of categorical data between two groups.  Results  Compared with the good response group, the poor response group had significantly higher levels of total bilirubin, aspartate aminotransferase/alanine aminotransferase, ALP, RDW, and RDW-CV at baseline and a significantly higher level of ALP after one month of UDCA treatment (Z=-4.792, -3.697, -2.399, -4.102, -3.220, and -4.236, all P<0.05). Compared with the good response group, the poor response group had significantly lower levels of albumin, hemoglobin, lymphocytes, hematocrit, and body mass index at baseline (Z=-3.592, -3.603, -2.602, -3.829, -2.432, all P<0.05), as well as significantly lower levels of prealbumin, albumin/globulin ratio, apolipoprotein A, and free triiodothyronine at baseline (t=4.530, 3.402, 3.485, and 3.639, all P<0.001). Compared with the poor response group, the good response group had a significantly lower proportion of patients with liver cirrhosis, gallstones/cholecystitis, or anemia (χ2=20.815, 3.892, and 12.283, all P<0.05). Baseline RDW (odds ratio [OR]=1.157, 95% confidence interval [CI]: 1.028‍ — ‍1.301, P=0.015) and ALP level after one month of treatment (OR=1.012, 95%CI: 1.005‍ — ‍1.020, P=0.002) were independent risk factors for response to UDCA, with an AUC of 0.713 and 0.720, respectively. The patients with baseline RDW≥upper limit of normal (ULN) and ALP≥2.2×ULN after one month of UDCA treatment had a lower UDCA response rate (42.6% vs 8.2%, χ2=20.813, P<0.001).  Conclusion  Patients with baseline RDW≥ULN and ALP≥2.2×ULN after one month of UDCA treatment tend to have a low biochemical response rate to UDCA.
Role and mechanism of action of Yinchenhao Decoction in inhibiting ferroptosis of hepatocytes in mice with autoimmune hepatitis
Zhurong LI, Chen CHEN, Di GUO, Sixue LYU, Jiawen WU, Na YANG, Yang LIU
2024, 40(3): 502-508. DOI: 10.12449/JCH240311
Abstract(1636) HTML (574) PDF (1234KB)(100)
Abstract:
  Objective  To investigate the role and mechanism of action of Yinchenhao Decoction in inhibiting ferroptosis of hepatocytes in mice with autoimmune hepatitis.  Methods  A total of 18 specific pathogen-free female C57BL/6 mice were selected and divided into normal group, model group, and treatment group using a random number table, with 6 mice in each group. The mice in the model group and the treatment group were injected with concanavalin A (Con A) via the caudal vein to establish a mouse model of autoimmune hepatitis, and those in the normal group were injected with normal saline. The mice in the treatment group were given prophylactic treatment with Yinchenhao Decoction (4.68 g crude drug/kg) by gavage at 14 days before modeling, and Con A was injected after the last gavage. The levels of alanine aminotransferase (ALT), aspartate aminotransferase (AST), interferon gamma (IFN-γ), tumor necrosis factor-α (TNF-α), iron ion, glutathione (GSH), reactive oxygen species (ROS), adenosine triphosphate (ATP), and malondialdehyde (MDA) were measured; liver index and spleen index were calculated; the expression levels of GPX4 and SLC7A11 were measured; liver histopathological changes were compared between groups. A one-way analysis of variance was used for comparison of normally distributed continuous data between three groups, and the least significant difference t-test was used for further comparison between two groups.  Results  Compared with the normal group, the model group had significant increases in liver index, spleen index, ALT, AST, IFN-γ, TNF-α, iron ion, ROS and MDA (all P<0.05) and significant reductions in the content of GSH and ATP and the protein expression levels of GPX4 and SLC7A11 (all P<0.05). Compared with the model group, the treatment group had significant reductions in liver index, spleen index, ALT, AST, IFN-γ, TNF-α, iron ion, ROS and MDA (all P<0.05) and significant increases in the content of GSH and ATP and the protein expression levels of GPX4 and SLC7A11 (all P<0.05). HE staining showed that compared with the normal group, the model group showed massive hepatocyte degeneration and necrosis and inflammatory cell aggregation at the portal area, and compared with the model group, the treatment group had alleviation of liver necrosis and inflammatory infiltration.  Conclusion  Liver injury induced by Con A may be associated with ferroptosis. Yinchenhao Decoction can increase the protein expression levels of SLC7A11 and GPX4 protein and thus inhibit ferroptosis of hepatocytes induced by Con A.
Liver Fibrosis and Liver Cirrhosis
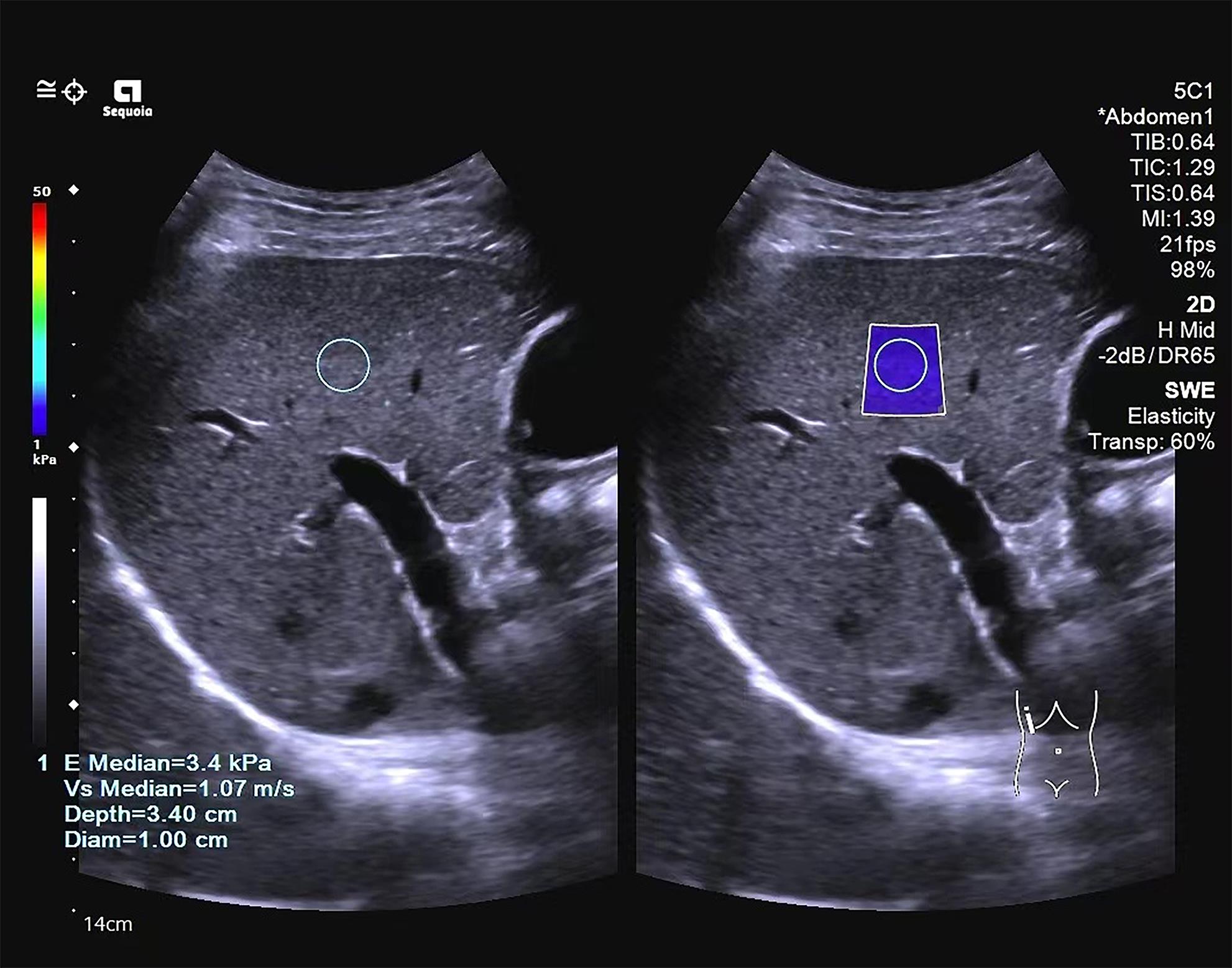
Application value of two-dimensional shear wave elastography and serological models in the staging of liver fibrosis in patients with chronic hepatitis B
Yujie HUANG, Siyi FENG
2024, 40(3): 509-515. DOI: 10.12449/JCH240312
Abstract(1117) HTML (280) PDF (1188KB)(84)
Abstract:
  Objective  To investigate the value of two-dimensional shear wave elastography (2D-SWE) or serological models used alone or in combination in determining the stage of liver fibrosis in patients with chronic hepatitis B.  Methods  A retrospective analysis was performed for the clinical data of 327 patients with chronic hepatitis B who were admitted to Mengchao Hepatobiliary Hospital of Fujian Medical University from August 2020 to August 2022 and underwent 2D-SWE and liver histopathological examination, including sex, age, serological markers, and 2D-SWE results. According to the degree of liver fibrosis, they were divided into S0-S1, S≥2, S≥3, and S=4 groups, and the serological models were calculated based on serological markers. A Spearman correlation analysis was used to investigate the correlation of 2D-SWE and serological models with liver fibrosis stage; the receiver operating characteristic curve was plotted with the results of liver histopathology as the standard to compare the efficiency of each parameter used alone or in combination in determining the stage of liver fibrosis; the Delong test was used to investigate the difference between different methods.  Results  Liver stiffness measurement measured by 2D-SWE was strongly correlated with the stage of liver fibrosis (r=0.741, P<0.001), and as for the serological model, six markers (APRI, FIB-4, GPR, GP, RPR, and S index), other than AAR, were positively correlated with the stage of liver fibrosis (all P<0.001). 2D-SWE had an area under the ROC curve (AUC) of 0.878, 0.932, and 0.942, respectively, in the diagnosis of S≥2, S≥3, and S=4 liver fibrosis (all P<0.001), with an optimal cut-off value of 6.9 kPa, 7.9 kPa, and 9.4 kPa, respectively. Among the serological models, APRI had the largest AUC of 0.788 and 0.875, respectively, in the diagnosis of S≥2 and S=4 liver fibrosis, and S index had the largest AUC of 0.846 in the diagnosis of S≥3 liver fibrosis. In the diagnosis of S≥2, S≥3, and S=4 liver fibrosis, 2D-SWE combined with APRI increased the AUC values to 0.887, 0.938, and 0.950, respectively, and 2D-SWE combined with S index increased the AUC values to 0.879, 0.935, and 0.941, respectively, while there were no significant differences between 2D-SWE and the above combinations (P>0.05).  Conclusion  2D-SWE has a better diagnostic efficacy than the above seven serological models in determining liver fibrosis stage. The serological models have a certain diagnostic value, among which APRI and S index have a relatively high diagnostic value. There is no significant difference between 2D-SWE and 2D-SWE combined with serological models, and such combinations cannot significantly improve diagnostic efficiency. Therefore, further studies are needed to explore new combinations of diagnostic methods.
Influencing factors for death within 30 days in patients with decompensated hepatitis B cirrhosis and hepatic encephalopathy
Yunyi HUANG, Ke SHI, Xianbo WANG
2024, 40(3): 516-520. DOI: 10.12449/JCH240313
Abstract(1515) HTML (369) PDF (734KB)(84)
Abstract:
  Objective  To investigate the influencing factors for death within 30 days in patients with decompensated hepatitis B cirrhosis and hepatic encephalopathy.  Methods  A retrospective analysis was performed for 616 patients with hepatitis B cirrhosis and hepatic encephalopathy in Beijing Ditan Hospital from January 2008 to April 2018, and all patients were followed up for 30 days. According to their prognosis, they were divided into survival group with 488 patients and death group with 128 patients. The Mann-Whitney U test was used for comparison of continuous data between two groups, and the chi-square test or the Fisher’s exact test was used for comparison of categorical data between two groups. The Cox regression analysis was used to investigate the independent risk factors for death within 30 days in patients with hepatitis B cirrhosis and hepatic encephalopathy.  Results  The multivariate Cox regression analysis showed that age (hazard ratio [HR]=1.029, 95% confidence interval [CI]: 1.014‍ — ‍1.044, P<0.001), Model for End-Stage Liver Disease (MELD) score (HR=1.118, 95%CI: 1.098‍ — ‍1.139, P<0.001), and neutrophil-to-lymphocyte ratio (NLR) (HR=1.036, 95%CI: 1.015‍ — ‍1.057, P=0.001) were independent risk factors for death within 30 days in patients with hepatitis B cirrhosis and hepatic encephalopathy. The stratified analysis showed that the patients with a MELD score of≥20 and an NLR of≥4 had a higher risk of death, with a 30-day mortality rate of 57.1% (80/140). The patients with a MELD score of<20 and an NLR of<4 had a 30-day mortality rate of 3.9% (9/232).  Conclusion  Age, MELD score, and NLR are independent risk factors for death within 30 days in patients with hepatitis B cirrhosis and hepatic encephalopathy, and patients with a MELD score of≥20 and an NLR of≥4 tend to have a high risk of death.
Establishment of a nomogram model for predicting liver cirrhosis with esophagogastric variceal bleeding based on aspartate aminotransferase-to-platelet ratio index and platelet-albumin-bilirubin score
Xinyi LI, Jiaojiao LI, Yingying LI, Honghe WEI, Yufan XIONG, Xinchi ZHANG, Wei SUN, Li CHEN
2024, 40(3): 521-526. DOI: 10.12449/JCH240314
Abstract(1080) HTML (375) PDF (918KB)(80)
Abstract:
  Objective  To investigate the value of aspartate aminotransferase-to-platelet ratio index (APRI) and platelet-albumin-bilirubin (PALBI) score in predicting the risk of esophagogastric variceal bleeding in patients with liver cirrhosis.  Methods  A total of 119 patients with liver cirrhosis who were admitted to The First Affiliated Hospital of Soochow University from May 2021 and June 2022 were enrolled, and clinical data, routine blood test results, serum biochemistry, and coagulation test results were collected from all patients. According to the presence or absence of esophagogastric variceal bleeding, the patients were divided into non-bleeding group with 59 patients and bleeding group with 60 patients, and a comparative analysis was performed for the two groups. The independent samples t-test was used for comparison of normally distributed continuous data between two groups, and the Mann-Whitney U test was used for comparison of non-normally distributed continuous data between two groups; the chi-squared test or the Fisher’s exact test was used for comparison of categorical data between groups. The multivariate Logistic regression analysis was used to identify the independent risk factors for esophagogastric variceal bleeding in patients with liver cirrhosis and establish a nomogram predictive model.  Results  The male patients accounted for 75.00% in the bleeding group and 40.68% in the non-bleeding group, and there was a significant difference in sex composition between the two groups (χ2=14.384, P<0.001). Chronic hepatitis B was the main etiology in both the bleeding group and the non-bleeding group (53.33% vs 38.98%), and there was no significant difference in composition ratio between the two groups (χ2=2.464, P=0.116). Compared with the non-bleeding group, the bleeding group had a significantly higher activity of AT-IIIA (t=3.329, P=0.001) and significantly lower levels of PLT, TBil, Ca, TC, and TT (all P<0.05). There were significant differences in APRI and PALBI between the two groups (χ2=6.175 and 19.532, both P<0.05). The binary logistic regression analysis showed that APRI (odds ratio [OR]=0.309, 95% confidence interval [CI]: 0.109‍ ‍—‍ ‍0.881, P=0.028), PALBI (OR=7.667, 95%CI: 2.005‍ ‍—‍ ‍29.327, P=0.003), Ca (OR=0.001, 95%CI: 0.000‍ ‍—‍ ‍0.141, P=0.007), TC (OR=0.469, 95%CI: 0.226‍ ‍—‍ ‍0.973, P=0.042), and TT (OR=0.599, 95%CI: 0.433‍ ‍—‍ ‍0.830, P=0.002) were independent influencing factors for esophagogastric variceal bleeding in liver cirrhosis. A nomogram model was established based on the above factors and had an index of concordance of 0.899 and a well-fitted calibration curve.  Conclusion  APRI and PALBI have a good value in predicting esophagogastric variceal bleeding in patients with liver cirrhosis, and the nomogram model established based on this study can predict the incidence rate of esophagogastric variceal bleeding in patients with liver cirrhosis.
Effect of human umbilical cord mesenchymal stem cells in treatment of mice with liver fibrosis and its mechanism
Pingji LIU, Lichao YAO, Xue HU, Zheng WANG, Zhiyu XIONG, Yingan JIANG
2024, 40(3): 527-532. DOI: 10.12449/JCH240315
Abstract(1383) HTML (719) PDF (1806KB)(102)
Abstract:
  Objective  To investigate the effect of human umbilical cord mesenchymal stem cells (hUCMSCs) in the treatment of mice with liver fibrosis and its mechanism.  Methods  A total of 18 specific pathogen-free C57BL/6 mice, aged 6 weeks, were selected and divided into control group (n=6), carbon tetrachloride (CCl4) model group (CCl4 group, n=6), and hUCMSCs treatment group (MSC group, n=6) using a random number table. The mice in the CCl4 group and the MSC group were given intraperitoneal injection of CCl4 solution to establish a mouse model of liver fibrosis, while those in the control group were injected with the same dose of corn oil, and the mice in the MSC group were injected with hUCMSCs via the caudal vein during the injection of CCl4. At the end of week 8, mouse serum was collected, and the mice were sacrificed to collect and fix the liver. Enzyme-linked immunosorbent assay was used to measure the levels of inflammatory factors; an automatic biochemical detector was used to measure liver function parameters; HE staining, Masson staining, Sirius Red staining, and α-SMA immunofluorescence assay were used to evaluate liver fibrosis. Hepatic stellate cells (HSCs) stimulated by TGF-β were co-cultured with hUCMSCs in the medium with or without chitinase-3 like-protein-1 (CHI3L1), and Western blot was used to measure the expression levels of proteins. A one-way analysis of variance was used for comparison of continuous data between multiple groups, and the Dunnett’s t-test was used for further comparison between two groups.  Results  Masson staining and Sirius Red staining showed that the CCl4 group had a significantly higher degree of fibrosis than the control group (both P<0.05), and the MSC group had significant alleviation of fibrosis compared with the CCl4 group (both P<0.05). Compared with the control group, the CCl4 group had significant increases in the levels of interleukin-1β, interleukin-6 (IL-6), aspartate aminotransferase (AST), alanine aminotransferase (ALT), and alkaline phosphatase (ALP) (all P<0.05), and compared with the CCl4 group, the MSC group had significant reductions in the levels of IL-6, AST, ALT, and ALP (all P<0.05). The CCl4 group had significantly higher expression levels of CHI3L1 and α-SMA than the control group and the MSC group (all P<0.05). The cell culture experiment showed that the MSC+HSC group had a significantly higher expression level of Bax than the HSC group and the MSC+CHI3L1 group (both P<0.05), suggesting that CHI3L1 reversed the pro-apoptotic effect of MSC on activated HSCs.  Conclusion  This study shows that hUCMSCs can improve liver fibrosis in mice, possibly by inhibiting CHI3L1 to promote the apoptosis of HSCs.
Role of podoplanin in hepatic stellate cell activation and liver fibrosis
Zhiyi WANG, Guangyue YANG, Wei ZHANG, Yaqiong PU, Xin ZHAO, Wenting MA, Xuling LIU, Liu WU, Le TAO, Cheng LIU
2024, 40(3): 533-538. DOI: 10.12449/JCH240316
Abstract(1780) HTML (595) PDF (1597KB)(81)
Abstract:
  Objective  To investigate the role and mechanism of podoplanin (PDPN) in hepatic stellate cell (HSC) activation and liver fibrosis.  Methods  Liver biopsy samples were collected from 75 patients with chronic hepatitis B who attended Department of Infectious Diseases, Putuo Hospital Affiliated to Shanghai University of Traditional Chinese Medicine, for the first time from September 2019 to June 2022, and RT-PCR and immunohistochemistry were used to measure the expression of PDPN in liver tissue of patients in different stages of liver fibrosis. A total of 12 male C57/BL6 mice were randomly divided into control group and model group. The mice in the model group were given intraperitoneal injection of 10% CCl4, and those in the control group were injected with an equal volume of olive oil, for 6 weeks. HE staining and Sirius Red staining were used to observe liver histopathological changes; primary mouse liver cells were separated to measure the mRNA expression of PDPN in various types of cells; primary mouse HSCs were treated with PDPN protein, followed by treatment with the NF-‍κB inhibitor BAY11-708, to measure the expression of inflammatory factors in HSCs induced by PDPN. The independent-samples t test was used for comparison of normally distributed continuous data between two groups; a one-way analysis of variance was used for comparison between multiple groups, and the least significant difference t-test was used for further comparison between two groups. The Spearman correlation analysis was used to investigate data correlation.  Results  As for the liver biopsy samples, there was a relatively low mRNA expression level of PDPN in normal liver, and there was a significant increase in the mRNA expression level of PDPN in liver tissue of stage S3 or S4 fibrosis (all P<0.001). Immunohistochemical staining showed that PDPN was mainly expressed in the fibrous septum and the hepatic sinusoid, and the PDPN-positive area in S4 liver tissue was significantly higher than that in S0 liver tissue (t=8.892, P=0.001). In normal mice, PDPN was mainly expressed in the hepatic sinusoid, and there was a significant increase in the expression of PDPN in CCl4 model mice (t=0.95, P<0.001), mainly in the fibrous septum. RT-PCR showed a significant increase in the mRNA expression of PDPN in the CCl4 model mice (t=11.25, P=0.002). Compared with hepatocytes, HSCs, Kupffer cells, and bile duct endothelial cells, hepatic sinusoidal endothelial cells showed a significantly high expression level of PDPN (F=20.56, P<0.001). Compared with the control group, the primary mouse HSCs treated by PDPN protein for 15 minutes showed significant increases in the mRNA expression levels of the inflammation-related factors TNFα, CCL3, CXCL1, and CXCR1 (all P<0.05), and there were significant reductions in the levels of these indicators after treatment with BAY11-7082 (all P<0.05).  Conclusion  There is an increase in the expression of PDPN mainly in hepatic sinusoidal endothelial cells during liver fibrosis, and PDPN regulates HSC activation and promotes the progression of liver fibrosis via the NF-κB signaling pathway.
Liver Neoplasm
Efficacy and safety of cryoablation combined with lenvatinib and anti-PD-1 monoclonal antibody in treatment of unresectable hepatocellular carcinoma
Teng LIU, Xiujuan CHANG, Quanwei HE, Ran XU, Yongping YANG
2024, 40(3): 539-549. DOI: 10.12449/JCH240317
Abstract(957) HTML (626) PDF (1848KB)(90)
Abstract:
  Objective  To investigate whether anti-PD-1 monoclonal antibody can improve the efficacy and safety of cryoablation combined with lenvatinib in the treatment of unresectable hepatocellular carcinoma (HCC).  Methods  A retrospective analysis was performed for 232 patients with unresectable HCC who were treated at The Fifth Medical Center of Chinese PLA General Hospital from January 2018 to December 2022, among whom 128 received cryoablation combined with lenvatinib (double combination) and 104 received cryoablation combined with lenvatinib and anti-PD-1 monoclonal antibody (triple combination). Propensity score matching was performed at a ratio of 1∶1, and finally there were 86 patients in each group. The two groups were evaluated in terms of objective response rate (ORR), disease control rate (DCR), overall survival (OS), progression-free survival (PFS), and adverse events (AEs). The independent-samples t test was used for comparison of normally distributed continuous data between two groups, and the Mann-Whitney U test was used for comparison of non-normally distributed continuous data between two groups; the chi-square test was used for comparison of categorical data between two groups. Survival curves were plotted, and the Kaplan-Meier method was used to calculate the survival rate of patients in both groups, while the log-rank test was used for comparison between the two groups. The Cox regression model was used to calculate hazard ratio (HR) and 95% confidence interval (CI) and perform the univariate and multivariate analyses of influencing factors for prognosis.  Results  The median follow-up time was 28 months, and there were 33 deaths (38.0%) in the triple combination group and 40 deaths (46.0%) in the double combination group. Compared with the double combination group, the triple combination group had significantly higher ORR (35.6% vs 14.5%, P=0.008) and DCR (86.1% vs 64.1%, P=0.003). OS and PFS in the triple combination group were significantly higher than those in the double combination group (P=0.045 and 0.026). The univariate and multivariate Cox proportional-hazards regression model analyses showed that treatment regimen (HR=0.60, P=0.038) and alpha-fetoprotein level (HR=2.37, P=0.001) were independent risk factors for OS, and treatment regimen (HR=0.65, P=0.025), diabetes mellitus (HR=1.94, P=0.005), whether or not to have received local treatment (HR=0.63, P=0.014), and distant metastasis (HR=0.58, P=0.009) were independent risk factors for PFS. There was no significant difference in the incidence rate of AEs between the two groups (P>0.05).  Conclusion  For patients with unresectable HCC, the triple combination of cryoablation, lenvatinib, and anti-PD-1 monoclonal antibody significantly improves the treatment outcome and survival of patients compared with the double combination of cryoablation and lenvatinib, without increasing AEs, which provides a clinical basis for optimizing the treatment regimen for unresectable HCC.
Efficacy and safety of transcatheter arterial chemoembolization combined with targeted therapy and immunotherapy in treatment of patients with stage Ⅱ‍b/Ⅲ‍a hepatocellular carcinoma based on China Liver Cancer Staging
Zexin HU, Jiaqing LI, Wanci LI, Binyan ZHONG, Shuai ZHANG, Jian SHEN, Xiaoli ZHU
2024, 40(3): 550-555. DOI: 10.12449/JCH240318
Abstract(1564) HTML (781) PDF (641KB)(107)
Abstract:
  Objective  To evaluate the efficacy and safety of first-line transcatheter arterial chemoembolization (TACE) combined with targeted therapy and immunotherapy in the treatment of patients with stage Ⅱb/Ⅲa hepatocellular carcinoma (HCC) based on China Liver Cancer Staging (CNLC).  Methods  A total of 198 patients who received first-line TACE combined with targeted therapy and immunotherapy or received TACE alone from January 2015 to December 2022 in the First Affiliated Hospital of Soochow University were enrolled in this study, and after propensity score matching, there were 50 patients in combination group and 50 patients in TACE group. The Kaplan-Meier method was used to calculate median overall survival (mOS) and median progression-free survival (mPFS). Modified Response Evaluation Criteria in Solid Tumors was used to evaluate objective response rate (ORR) and disease control rate (DCR), and Common Terminology Criteria for Adverse Events v5.0 was used to evaluate adverse events. The chi-square test was used for comparison of categorical data between two groups; the t-test was used for comparison of normally distributed continuous data between two groups, and the Wilcoxon rank-sum test was used for comparison of non-normally distributed continuous data between two groups. The Kaplan-Meier method was used to estimate survival time and calculate 95% confidence interval (CI), and the Log-rank test was used for comparison of mOS and mPFS between two groups.  Results  The combination group had an mOS of 30.1 months (95%CI: 21.9‍ ‍—‍ ‍38.3), and the TACE group had an mOS of 14.5 months (95%CI: 11.0 ‍—‍‍ ‍18.0), with a significant difference between the two groups (χ2=17.8, P<0.001); the combination group had an mPFS of 10.3 months (95%CI: 8.8‍ ‍—‍ ‍11.8), and the TACE group had an mPFS of 7.1 months (95%CI: 5.8‍ — ‍8.4), with a significant difference between the two groups (χ2=10.4, P<0.001). There were significant differences between the combination group and the TACE group in ORR (84% vs 58%, P<0.05) and DCR (94% vs 80%, P<0.05). There was no significant difference between the combination group and the TACE group in the incidence rate of adverse events (24% vs 16%, P=0.317), and no adverse event-related deaths were observed in either group.  Conclusion  Compared with TACE alone, TACE combined with targeted therapy and immunotherapy has a better efficacy in the treatment of patients with CNLC stage Ⅱb/Ⅲa HCC, without increasing the incidence rate of severe adverse events.
Other Liver Disease
Clinical efficacy of double plasma molecular absorption system and sequential plasma exchange combined with continuous renal replacement therapy in treatment of acute-on-chronic liver failure with acute kidney injury
Yuan WEN, Juanjuan ZHU
2024, 40(3): 556-561. DOI: 10.12449/JCH240319
Abstract(1717) HTML (438) PDF (704KB)(112)
Abstract:
  Objective  To investigate the clinical efficacy of double plasma molecular adsorption system (DPMAS) and sequential plasma exchange (PE) combined with continuous renal replacement therapy (CRRT) in the treatment of patients with acute-on-chronic liver failure (ACLF) and acute kidney injury (AKI).  Methods  A retrospective analysis was performed for the clinical data of 90 patients with ACLF and AKI who were hospitalized in The Affiliated Hospital of Guizhou Medical University from January 2019 to December 2022, and according to the method for blood purification, they were divided into DPMAS sequential PE+CRRT group (observation group with 31 patients) and DPMAS sequential PE group (control group with 59 patients). General data on admission and laboratory markers before and after blood purification were collected from all patients, including hepatic and renal function, coagulation function, and inflammation markers, and estimated glomerular filtration rate (eGFR) and MELD combined with serum sodium concentration (MELD-Na) score were calculated. The independent-samples t test was used for comparison of normally distributed continuous data between two groups; the Wilcoxon rank sum test was used for comparison of non-normally distributed continuous data within each group before and after treatment, and the Mann-Whitney U test was used for comparison between two groups; the chi-square test or the Fisher’s exact test was used for comparison of categorical data between two groups.  Results  The observation group had a significantly higher response rate than the control group [48.4% (15/31) vs 27.1% (16/59), χ2=4.071, P=0.044]. The methods for blood purification in both groups could effectively improve total bilirubin, alanine aminotransferase, aspartate aminotransferase (AST), prothrombin time activity, serum creatinine (Scr), procalcitonin (PCT), C-reactive protein, eGFR, and MELD-Na score (all P<0.05), and both groups had significant reductions in platelet count (PLT) and hemoglobin (Hb) after treatment (all P<0.05), while there were no significant changes in blood urea nitrogen, albumin, and international normalized ratio after treatment (all P>0.05). There were significant differences between the two groups in the changes in AST, Scr, PCT, eGFR, MELD-Na score, Hb, and PLT after treatment (all P<0.05).  Conclusion  DPMAS sequential PE combined with CRRT can effectively remove inflammatory mediators, improve renal function, stabilize the internal environment of human body, and achieve a relatively good clinical efficacy.
Influencing factors for the prognosis of patients with drug-induced liver injury and establishment of a nomogram model
Shimei WANG, Shuai JIN, Junru LI, Na WANG, Yan CHEN, Ying CUI, Mingming MA, Xiaoli HU
2024, 40(3): 562-567. DOI: 10.12449/JCH240320
Abstract(1532) HTML (409) PDF (852KB)(106)
Abstract:
  Objective  To investigate the influencing factors for the clinical outcome of patients with drug-induced liver injury (DILI), and to establish a nomogram prediction model for validation.  Methods  A retrospective analysis was performed for the general information and laboratory data of 188 patients with DILI who were admitted to Heilongjiang Provincial Hospital Affiliated to Harbin Institute of Technology from January 2017 to December 2022, and according to their clinical outcome, they were divided into good outcome group with 146 patients and poor outcome group with 42 patients. The independent-samples t test was used for comparison of normally distributed continuous data between two groups, and the Mann-Whitney U test was used for comparison of non-normally distributed continuous data between two groups; the chi-square test was used for comparison of categorical data between two groups. Univariate and multivariate Logistic regression analyses were used to investigate the independent influencing factors for the clinical outcome of DILI patients. R Studio 4.1.2 software was used to establish a nomogram model, and calibration curve, receiver operating characteristic (ROC) curve, and decision curve analysis (DCA) were used to perform internal validation.  Results  The univariate Logistic regression analysis showed that liver biopsy for the diagnosis of DILI, platelet count, cholinesterase, albumin, prothrombin time activity, IgM, and IgG were associated with adverse outcomes in patients with DILI. The multivariate Logistic regression analysis showed that liver biopsy for the diagnosis of DILI (odds ratio [OR]=0.072, 95% confidence interval [CI]: 0.022‍ ‍—‍ ‍0.213, P<0.001), clinical classification (OR=0.463, 95%CI: 0.213‍ ‍—‍ ‍0.926, P=0.039), alanine aminotransferase (OR=0.999, 95%CI: 0.998‍ ‍—‍ ‍1.000, P=0.025), prothrombin time activity (OR=0.973, 95%CI: 0.952‍ ‍—‍ ‍0.993, P=0.011), and IgM (OR=1.456, 95%CI: 1.082‍ ‍—‍ ‍2.021, P=0.015) were independent influencing factors for clinical outcome in patients with DILI. The nomogram prediction model was established, and after validation, the calibration curve was close to the reference curve. The area under the ROC curve was 0.829, and the DCA curve showed that the model had good net clinical benefit.  Conclusion  The nomogram prediction model established in this study has good clinical calibration, discriminative ability, and application value in evaluating the clinical outcome of patients with DILI.
Biliary Disease
Clinical significance of determining the level of biliary calprotectin in patients with cholangiocarcinoma or choledocholithiasis
Tingting JI, Bingqing BAI, Yufang CUI, Shaofei WANG, Jianglong HONG, Yang LI, Junjun BAO, Qiao MEI
2024, 40(3): 568-572. DOI: 10.12449/JCH240321
Abstract(907) HTML (453) PDF (643KB)(61)
Abstract:
  Objective  To investigate the difference in the level of biliary calprotectin between patients with cholangiocarcinoma and those with choledocholithiasis.  Methods  Clinical data and bile samples were collected from 34 patients with cholangiocarcinoma and 78 patients with choledocholithiasis who were diagnosed and treated with endoscopic retrograde cholangiopancreatography in The First Affiliated Hospital of Anhui Medical University from May 2021 to September 2022. Fluorescence lateral flow immunoassay was used to measure the levels of calprotectin, hemoglobin, and lactoferrin in bile. The Mann-Whitney U test was used for comparison of continuous data between two groups, and the chi-square test was used for comparison of categorical data between two groups; the Spearman correlation test was used for correlation analysis; the DeLong test was used for comparison of the area under the ROC curve (AUC).  Results  Compared with the choledocholithiasis group, the cholangiocarcinoma group had significant increases in the levels of calprotectin [4 795.50 (2 286.79‍ ‍—‍ ‍20 179.73) ng/mL vs 411.16 (67.03‍ ‍—‍ ‍1 991.88) ng/mL, Z=5.572, P<0.001] and fluoride [115.70 (109.10‍ — ‍125.50) mmol/L vs 106.60 (98.60‍ ‍—‍ ‍114.40) mmol/L, Z=2.702, P=0.007]. The patients with cholangiocarcinoma were further divided into high cholangiocarcinoma group and low cholangiocarcinoma group, and there was no significant difference between the two groups in the level of calprotectin [3 867.71 (2 235.66‍ — ‍26 407.40) ng/mL vs 4 795.50 (2 361.15‍ — ‍13 070.53) ng/mL, Z=0.129, P>0.05]. Biliary calprotectin level was correlated with white blood cell count, hemoglobin concentration, and lactoferrin concentration in bile (r=0.316, 0.353, and 0.464, all P<0.05). The ROC curve analysis showed that biliary calprotectin (with a sensitivity of 79.4% and a specificity of 75.6%), blood CA19-9 (with a sensitivity of 82.4% and a specificity of 78.2%), and their combination (with a sensitivity of 88.2% and a specificity of 73.1%) had good sensitivity and specificity in the diagnosis of cholangiocarcinoma.  Conclusion  There is an increase in the level of biliary calprotectin in patients with cholangiocarcinoma, and therefore, it might become a biomarker for the diagnosis of cholangiocarcinoma.
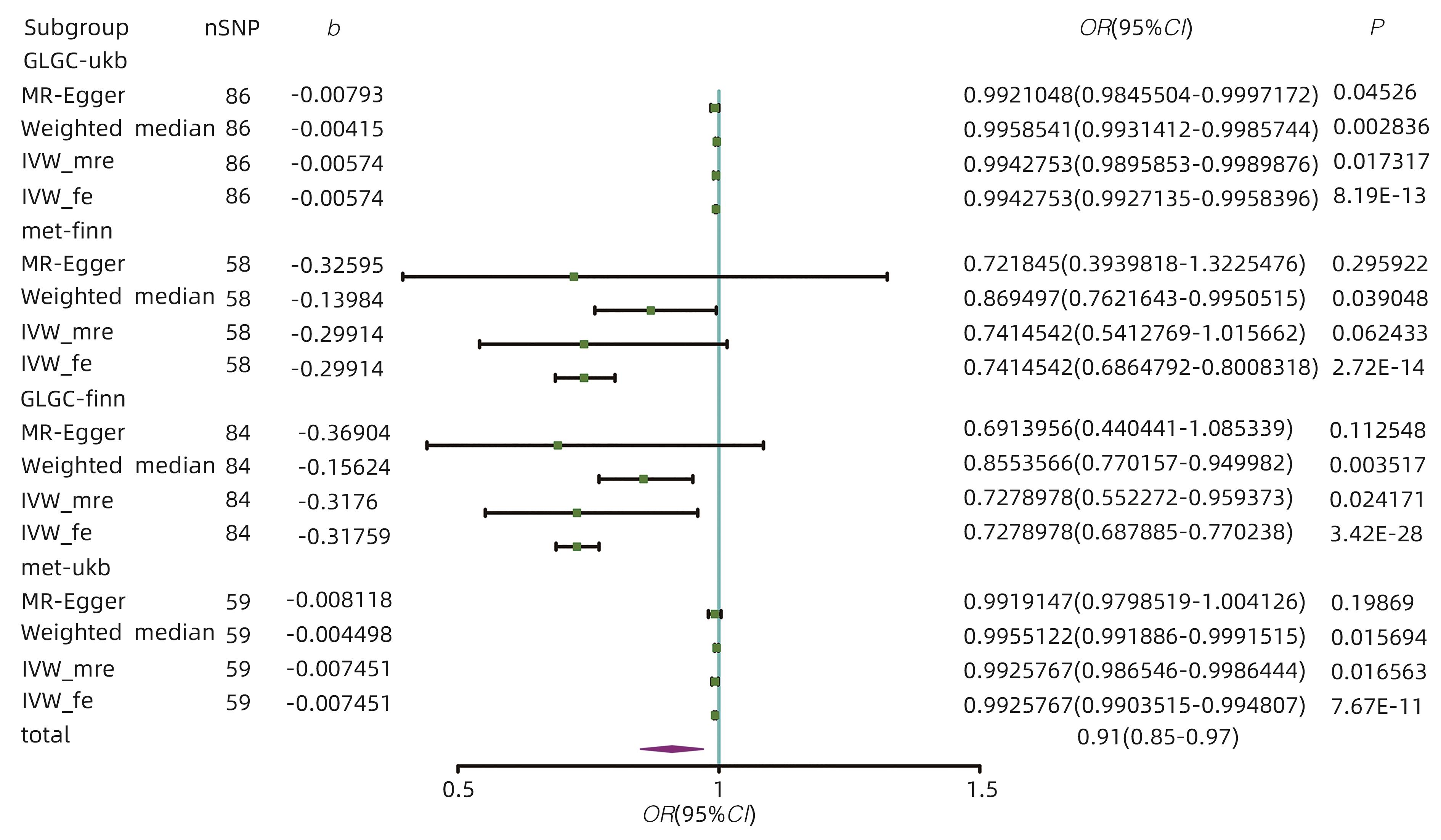
Association between the risk of increase in total cholesterol and the risk of cholelithiasis: A bidirectional Mendelian randomization study
Weiwei ZHAO, Xiaoxu DU, Hongyan GE
2024, 40(3): 573-580. DOI: 10.12449/JCH240322
Abstract(1778) HTML (527) PDF (2528KB)(95)
Abstract:
  Objective  To investigate the association between the risk of increase in total cholesterol (TC) and the risk of cholelithiasis by using bidirectional Mendelian randomization (MR).  Methods  The open gwas public database was used to obtain the single nucleotide polymorphism data associated with TC and cholelithiasis, and a secondary data analysis was performed for all summary data of genome-wide association studies. The genetic loci closely associated with TC or cholelithiasis were selected as exposure or outcome variables, and the bidirectional MR analysis was performed using the methods such as Egger regression, Weighted median, IVW random effects model, and IVW fixed effects model, with odds ratio (OR) values for evaluating the causal relationship between TC and cholelithiasis.  Results  With TC as the exposure and cholelithiasis as the outcome, TC-cholelithiasis had an overall OR value of 0.91 (95% confidence interval [CI]: 0.85‍ ‍—‍ ‍0.97) before elimination of heterogeneity and 0.93 (95%CI: 0.89‍ ‍—‍ ‍0.97) after elimination of heterogeneity. With cholelithiasis as the exposure and TC as the outcome, TC-cholelithiasis had an overall OR value of 0.20 (95%CI: 0.06‍ ‍—‍ ‍0.65) before elimination of heterogeneity and 0.28 (95%CI: 0.10‍ ‍—‍ ‍0.83) after elimination of heterogeneity. There was a bidirectional causal relationship between genetically predicted TC and cholelithiasis.  Conclusion  This study confirms the bidirectional causal relationship between TC and cholelithiasis. The risk of cholelithiasis decreases with the increase in alleles associated with the elevation of TC level; on the contrary, the risk of elevated TC level decreases with the increase in alleles associated with the onset of cholelithiasis.
Case Report
Erythropoietic protoporphyria with liver cirrhosis as the main manifestation: A case report
Zhendong WU, Guoqiang ZHOU, Yan XIANG, Xianling WANG, Jiandong SU, Sichun LIU
2024, 40(3): 581-584. DOI: 10.12449/JCH240323
Abstract(1004) HTML (412) PDF (719KB)(113)
Abstract:
Erythropoietic protoporphyria (EPP) is a rare inherited metabolic disease that often involves skin, blood, and nervous systems, and EPP with the main manifestations of severe liver damage and acute abdominal pain is extremely rare. By reviewing the clinical data and genetic testing results of a patient with EPP, this article discusses the clinical features and pathogenic genes of this disease, in order to improve the understanding of the disease among hepatologists and achieve early diagnosis and treatment.
ABCB4 gene mutation-associated liver cirrhosis with gallstones: A case report
Wendi LIU, Peng WANG, Heping HU, Huabang ZHOU
2024, 40(3): 585-588. DOI: 10.12449/JCH240324
Abstract(986) HTML (474) PDF (889KB)(84)
Abstract:
The disease spectrum of ABCB4 gene mutation involves various diseases such as progressive familial intrahepatic cholestasis type 3 (PFIC3), gallstone disease, intrahepatic cholestasis of pregnancy, portal hypertension, liver cirrhosis, and even primary hepatic and biliary malignancies. A young male patient was admitted to Department of Hepatobiliary Medicine, Eastern Hepatobiliary Surgery Hospital, and was initially diagnosed with liver cirrhosis and gallstones, and he was planned to receive laparoscopic cholecystectomy. Preoperative examination showed abnormal liver function, liver cirrhosis, splenomegaly, and mild esophageal varices, and next-generation sequencing was performed to make a confirmed diagnosis of ABCB4 gene mutation-associated liver cirrhosis with gallstones. The liver function of the patient gradually returned to normal after cholagogic treatment with ursodeoxycholic acid capsules.
Review
Application of Mendelian randomization analysis in exploring the etiology of nonalcoholic fatty liver disease
Ziwei GUO, Qingjuan WU, Yongan YE, Lanyu CHEN, Wenliang LYU
2024, 40(3): 589-593. DOI: 10.12449/JCH240325
Abstract(1504) HTML (1300) PDF (673KB)(131)
Abstract:
Nonalcoholic fatty liver disease (NAFLD) is an abnormal lipid metabolic disorder of the liver characterized by accumulation of a large amount of lipids in the liver, and it is currently the most common liver disease around the world. Mendelian randomization (MR) incorporates genomic data into traditional epidemiological study designs to infer the causal relationship between exposure factors and disease risk. In recent years, MR has been widely used in studies on inference of the etiology of NAFLD. This article systematically summarizes the advances in the application of MR in NAFLD research, so as to provide new ideas for understanding the nature of the disease and scientific interventions.
Role of Akkermansia muciniphila in nonalcoholic fatty liver disease
Liting ZHENG, Zhe WANG, Yuchun CHEN, Shanshan LIU, Youcheng XIE, Chuyi LI, Xiaohui YU
2024, 40(3): 594-599. DOI: 10.12449/JCH240326
Abstract(2006) HTML (962) PDF (867KB)(103)
Abstract:
Nonalcoholic fatty liver disease (NAFLD) has become the most common chronic liver disease in the world, and it is also one of the main causes of liver cirrhosis and hepatocellular carcinoma, so it is particularly important to curb the development and progression of NAFLD in a timely manner. However, due to its complex pathogeneses, there are currently no effective methods for radical treatment. As a new generation of probiotics, Akkermansia muciniphila (Akk bacteria) can improve metabolic disorders of the body, and more and more studies have shown that Akk bacteria have a potential therapeutic effect on metabolic diseases, especially NAFLD. Therefore, this article briefly reviews the mechanism of action of Akk bacteria in NAFLD, in order to provide new ideas for improving the treatment of NAFLD and creating new therapies.
Application of magnetic resonance imaging-proton density fat fraction in liver fat quantification
Chen YANG, Shanghai YU, Feipeng XU, Hua ZHANG
2024, 40(3): 600-605. DOI: 10.12449/JCH240327
Abstract(2894) HTML (2188) PDF (709KB)(332)
Abstract:
Hepatic steatosis can be observed in chronic liver diseases of different etiologies. The main predisposing factors for hepatic steatosis include chronic viral hepatitis, cholestatic liver disease, alcoholic liver disease, and nonalcoholic fatty liver disease. Simple fatty liver disease is the initial manifestation of hepatic steatosis, followed by steatohepatitis, liver fibrosis, liver cirrhosis, and even hepatocellular carcinoma. With the development of medical imaging technology, magnetic resonance imaging-proton density fat fraction (MRI-PDFF) has been widely used in the diagnosis of fatty liver disease (FLD) in clinical practice. MRI-PDFF is gradually becoming the gold standard for the noninvasive diagnosis of FLD due to its high accuracy and good repeatability. This article reviews the clinical application of MRI-PDFF in liver fat quantification and related research advances.
Current status of research on the genetic susceptibility of primary biliary cholangitis
Chunmei ZHAO, Di MA, Wenlin TAI
2024, 40(3): 606-610. DOI: 10.12449/JCH240328
Abstract(1036) HTML (556) PDF (613KB)(75)
Abstract:
Primary biliary cholangitis (PBC) is a liver autoimmune disease with a strong genetic tendency characterized by the degeneration and necrosis of bile duct epithelial cells, and it is often observed in middle-aged and elderly women. With the continuous development of genome-wide association studies, the genetic susceptibility of PBC has attracted more and more attention. This article elaborates on the research advances in the genetic susceptibility genes closely associated with PBC, in order to provide effective targets for the treatment of PBC.
Regulatory effect and mechanism of macrophage polarization in liver fibrosis
Xiaoyang BAI, Xu ZHANG, Long HAI, Xiangchun DING
2024, 40(3): 611-615. DOI: 10.12449/JCH240329
Abstract(2327) HTML (1299) PDF (684KB)(140)
Abstract:
Liver fibrosis is the healing reaction of chronic liver injury caused by various factors such as viral infection, alcohol, and chemical substances and is a key link in the progression of chronic liver diseases to liver cirrhosis and liver cancer. Liver macrophages are considered important mediators of liver injury and repair, and the polarization trend of macrophages has a bidirectional regulatory effect on liver fibrosis. This article reviews the role of different phenotypes of liver macrophages in the development and progression of liver fibrosis, in order to provide new ideas for the prevention and treatment of fibrosis.
Re-understanding of the mechanism of coagulation disorder in liver cirrhosis
Rongrong SUN, Na HE, Fenna ZHANG, Xinyi ZHANG, Ziyi WANG, Hui WANG, Nana BIAN, Honglin YAN
2024, 40(3): 616-620. DOI: 10.12449/JCH240330
Abstract(2428) HTML (403) PDF (622KB)(311)
Abstract:
The liver plays an important regulatory role in maintaining the dynamic balance of coagulation and anticoagulation in the body. Such dynamic balance is fragile in patients with liver cirrhosis, and the risk of bleeding can be increased due to reductions in coagulation factors and platelet count and excessive fibrinolysis; meanwhile, thrombus can be formed due to the increases in von Willebrand factor and coagulation factor Ⅷ, the reductions in anticoagulant protein C and anticoagulant protein S, the increase in thrombin-generating potential, and alterations in antifibrinolytic components. This article reviews the mechanisms of coagulation disorder in liver cirrhosis, so as to help clinicians with the prevention and treatment of bleeding or thrombotic disorders in patients with liver cirrhosis.
Diagnosis and treatment principles of liver injury induced by antithyroid drugs
Ruitao YANG, Rui YANG, Xun DENG, Senxiang ZENG, Xiaoyan YANG
2024, 40(3): 621-625. DOI: 10.12449/JCH240331
Abstract(1916) HTML (954) PDF (990KB)(210)
Abstract:
Pharmacotherapy is the primary treatment method for hyperthyroidism. Antithyroid drugs can induce liver injury, and the diagnosis of drug-induced liver injury is mostly exclusive based on medical history collection, clinical symptoms, serum biochemistry, radiological examination, and histology. According to the severity of liver injury, drug-induced liver injury can be classified into mild, moderate, severe, and fatal degrees. Drug withdrawal may not be necessary for patients with mild liver injury, but regular monitoring of liver function is required; in severe cases, patients may develop liver failure, which may lead to a mortality rate, and early identification, timely drug withdrawal, and reasonable pharmacotherapy can help to avoid fatal consequences. The treatment principles of liver injury induced by antithyroid drugs include promoting the recovery of liver injury, preventing the severe exacerbation and chronicity of liver injury, and reducing the risk of death. Standardized medication, timely monitoring, early identification, and early treatment are important measures for the prevention and treatment of liver injury induced by antithyroid drugs.
Mechanism of action of Polygonum multiflorum in inducing liver injury: A study based on signaling pathways
Zihan LIANG, Jiahui LI, Shuang CHENG, Zhuoya YUAN, Wenya RONG, Yajie LIU, Yujie HAO, Ruilin WANG
2024, 40(3): 626-632. DOI: 10.12449/JCH240332
Abstract(3073) HTML (1298) PDF (1173KB)(159)
Abstract:
Polygonum multiflorum (PM), a commonly used Chinese herbal medicine in clinical practice, has been associated with frequent reports of liver injury in recent years, and the medication safety of PM has attracted more and more attention in China and globally. This article reviews the recent research advances in the signaling pathways and mechanisms of PM in causing drug-induced liver injury (DILI) and aims to provide new ideas for the proper and rational use of PM in clinical practice. The results show that PM is involved in the regulation of various signaling pathways, and it leads to the death of hepatocytes by destroying mitochondrial function, exacerbating bile acid accumulation, and inducing immune response, oxidative stress, and endoplasmic reticulum stress, thereby inducing the development and progression of DILI through multiple targets, pathways, and levels.
Role of mesenchymal stem cells and their exosomes in the treatment of drug-induced liver injury
Guojing XING, Longlong LUO, Lifei WANG, Shunna WANG, Xiaofeng ZHENG, Lixia LU, Jiucong ZHANG
2024, 40(3): 633-638. DOI: 10.12449/JCH240333
Abstract(1074) HTML (725) PDF (908KB)(93)
Abstract:
The incidence rate of drug-induced liver injury (DILI) is increasing year by year with unknown mechanisms, and the treatment methods for DILI mainly include drugs, liver support systems, and liver transplantation, all of which have certain limitations. Therefore, the search for safer and more effective treatment methods has become a research hotspot at present. Studies have shown that mesenchymal stem cells and their exosomes can alleviate liver injury by reducing liver inflammation, promoting hepatocyte proliferation and regeneration, inhibiting the apoptosis of hepatocytes, improving oxidative stress, and regulating immunity. This article briefly reviews the role of mesenchymal stem cells and their exosomes in the treatment of DILI, so as to provide a reference for further research.
Research advances in neutrophil extracellular traps and liver diseases
Zhuoga RENZENG, Kangjie YANG, Yongliang LU, Zhixin WANG, Haijiu WANG
2024, 40(3): 639-643. DOI: 10.12449/JCH240334
Abstract(1565) HTML (797) PDF (1014KB)(113)
Abstract:
Neutrophils play an immune defense role by releasing the proteases such as neutrophil elastase and myeloperoxidase to form neutrophil extracellular trap (NET) and participate in the inflammatory response of various liver diseases, but the excessive release of NET may worsen liver tissue damage and has thus become one of the risk factors for liver diseases. In recent years, studies have shown that the excessive release of NET can promote the progression of liver diseases (such as viral hepatitis, nonalcoholic steatohepatitis, and hepatic ischemia-reperfusion injury) to liver cancer, and clarifying the mechanism of action of NET is of great importance for the diagnosis and progression of liver diseases. Therefore, this article elaborates on the latest research advances in NET in liver diseases, so as to provide new insights into the diagnosis and treatment of liver diseases and the prevention of liver cancer.
Application of endocrine indices and ultrasound examination in the early diagnosis of pediatric pancreatic injury
Mingjun JIN, Rongjuan SUN, Liang DONG, Jianghua ZHAN
2024, 40(3): 644-648. DOI: 10.12449/JCH240335
Abstract(1001) HTML (288) PDF (703KB)(61)
Abstract:
The incidence rate of abdominal trauma is increasing year by year in pediatric trauma, and traumatic pancreatic injury should be taken seriously by clinicians. The pancreas is located behind the peritoneum, and it is difficult to make an early diagnosis of pancreatic injury, especially in children with grade ‍Ⅰ‍/Ⅱ injury. Through a literature review, this article analyzes the application value of endocrine indices and abdominal ultrasound in the early diagnosis of pediatric pancreatic injury, so as to improve the rate of early diagnosis and avoid the onset of related complications. Changes of the endocrine indices such as serum insulin and C Peptide have certain advantages in diagnosing and evaluating the degree of pediatric pancreatic injury and can thus be used as early warning indices for pediatric pancreatic injury. Ultrasound elastography provides a new method for the diagnosis and differentiation of pancreatic injury; contrast-enhanced ultrasound, which has no radioactive damage, has relatively high specificity and sensitivity in identifying pediatric pancreatic injury, and therefore, it is expected to become an alternative to CT examination.
Introduction of High - quality Articles in Foreign Journals
Journal of Hepatology|Capsaicin receptor TRPV1 maintains quiescence of hepatic stellate cells in the liver via recruitment of SARM1
2024, 40(3): 508-508. DOI: 10.12449/JCH2403.gwqkjpwzjj1
Abstract(604) HTML (210) PDF (366KB)(60)
Abstract:
Journal of Hepatology|Development and validation of a prognostic model for 90-day survival in patients with alcohol-associated cirrhosis and acute decompensation
2024, 40(3): 520-520. DOI: 10.12449/JCH2403.gwqkjpwzjj2
Abstract(550) HTML (186) PDF (305KB)(51)
Abstract:
Acknowledgements
Current reviewers
2024, 40(3): 648-648. DOI: 10.12449/JCH2403.zhixie
Abstract(310) HTML (148) PDF (434KB)(40)
Abstract: