中文English
ISSN 1001-5256 (Print)
ISSN 2097-3497 (Online)
CN 22-1108/R

2022 No.11
Theme Issue: Early Diagnosis and Treatment Strategy for Chronic Hepatitis B Special Populations
Executive Chief Editor: DOU Xiaoguang  
Shengjing Hospital, China Medical University

Display Method:
Editorial
Focus on the special population with hepatitis B virus infection: Early diagnosis, early treatment, and early benefits
Yanwei LI, Xiaoguang DOU
2022, 38(11): 2441-2443. DOI: 10.3969/j.issn.1001-5256.2022.11.001
Abstract(1271) HTML (382) PDF (1926KB)(227)
Abstract:
Hepatitis B virus (HBV) infection is a major public health problem worldwide. With the extensive prophylactic vaccination with hepatitis B vaccine for neonates and an increasing number of patients receiving antiviral treatment, remarkable achievements have been made in HBV infection among Chinese children. However at present, there is still a high HBsAg-positive rate among the adults in China, and with more and more special populations, it is necessary to perform timely screening and diagnosis and give antiviral therapy as early as possible, so as to prevent or delay the progression to liver cirrhosis, liver failure, and hepatocellular carcinoma after HBV infection. The selection of treatment timing and drugs should not only focus on HBV virology and liver function, but also consider chronic underlying diseases, mother-to-child transmission, and reactivation of HBV in patients receiving chemotherapy and immunosuppressants, thereby realizing the timely screening, diagnosis, and treatment of the population at a high risk of HBV and special populations and bringing more benefits to patients.
Discussions by Experts
Anti-HBV therapy timing and drug selection in various populations
Yeqiong ZHANG, Qiumin LUO, Lu WANG, Liang PENG, Zhiliang GAO
2022, 38(11): 2444-2447. DOI: 10.3969/j.issn.1001-5256.2022.11.002
Abstract(1506) HTML (337) PDF (1871KB)(239)
Abstract:
Hepatitis B virus (HBV) infection is still a serious disease threatening human health. Anti-HBV treatment is an extremely important means to reduce the threat of hepatitis B. In recent years, there has been no consensus on the timing and drug selection of anti-HBV therapy. The timing and drug selection of anti-HBV therapy in various populations are discussed in this article.
Antiviral therapy for pregnant women and children with chronic HBV infection
Aoxue CUI, Xiaoguang DOU, Yang DING
2022, 38(11): 2448-2451. DOI: 10.3969/j.issn.1001-5256.2022.11.003
Abstract(1182) HTML (207) PDF (2029KB)(246)
Abstract:
The most important measure for preventing mother-to-child transmission of HBV and reducing chronic HBV infection in children is enhancing the standardized management of chronic HBV infection in pregnant women and their infants. Pregnant women and children are special populations, and antiviral therapy for pregnant women and children with chronic HBV infection differs from that of general population in terms of drug selection and efficacy evaluation. This article will review the selection and efficacy of antiviral drugs for pregnant women and children with chronic HBV infection, in order to help clinicians manage and treat this special population more effectively.
Selection of antiviral drugs for patients with hepatitis B virus-associated hepatocellular carcinoma
Mingyang FENG, Hui WANG
2022, 38(11): 2452-2456. DOI: 10.3969/j.issn.1001-5256.2022.11.004
Abstract(1383) HTML (258) PDF (1882KB)(141)
Abstract:
Hepatitis B virus (HBV) infection is a key risk factor for the development and progression of hepatocellular carcinoma (HCC) and it promotes the progression of HCC by inducing liver fibrosis, genetic and epigenetic alterations, and the expression of active virally encoded proteins. Many studies have confirmed the influence of viral status on the prognosis of HCC, and effective antiviral therapy can help prevent or delay the recurrence of HBV-associated HCC, increase the overall survival time of patients undergoing radical or systemic, and improve the prognosis after multimodality therapy. Therefore, correct selection of antiviral drugs is crucial for the antiviral treatment of patients with HBV-associated HCC. This article briefly reviews the selection of antiviral drugs for patients with HBV-associated HCC, so as to provide a reference for clinical practice.
Efficiency and safety of immune checkpoint inhibitors in cancer patients with chronic liver disease: A systematic review
Dan LIU, Tiantian YAO, Yuhan ZHANG, Guiqiang WANG, Yan WANG
2022, 38(11): 2457-2461. DOI: 10.3969/j.issn.1001-5256.2022.11.005
Abstract(1246) HTML (256) PDF (1885KB)(99)
Abstract:
Immune checkpoint inhibitors (ICIs) have recently been approved for the treatment of cancer, and the number of cancer patients with chronic liver disease (CLD) receiving ICIs is growing rapidly. However, whether CLD affects the efficiency and safety of ICIs is becoming a research focus. This review summarizes the efficiency and safety of ICIs in cancer patients with CLD, including chronic viral hepatitis, non-alcoholic fatty liver disease, autoimmune liver disease, and cirrhosis. Specifically, data on hepatitis B virus reactivation of patients with chronic hepatitis B after ICIs treatment were reviewed, which may help to perfect and standardize the guidelines of treatment and following-up for ICIs in CLD patients.
Original Articles_Viral Hepatitis
Evaluation of quality of life instruments for chronic diseases-chronic hepatitis(V2.0)based on classical test theory and item response theory
Ye LIU, Jie LU, Dingchun LI, Wu LI, Yihui CHEN
2022, 38(11): 2470-2477. DOI: 10.3969/j.issn.1001-5256.2022.11.007
Abstract(1043) HTML (265) PDF (1895KB)(59)
Abstract:
  Objective  Each item of the Chronic Hepatitis Quality of Life Scale (V2.0) was thoroughly analyzed and evaluated according to classical test theory (CTT) and item response theory (IRT).  Methods  The QLICD-CH (V2.0) scale was used to assess the life quality of 226 patients with chronic hepatitis who were hospitalized in the Department of Infectious Diseases from March 2019 to January 2020. By using CTT's coefficient of variation method, factor analysis method, Cronbach's alpha coefficient method and correlation coefficient method, macroscopic statistical analysis on the scale results was performed. IRT was used to microscopically analyze the information content, discrimination coefficient and difficulty parameters of each item.  Results  CTT analysis revealed that 36 items of the QLICD-CH (V2.0) scale satisfied three of the four statistical methods. IRT analysis showed that the average information content of 36 items was greater than 0.108, with the degree of discrimination ranging from -0.387 to 3.574; the degree of discrimination of 40 items was greater than 0.30; the difficulty coefficient of each item ranged from -14.805 to 9.057, with 31 items conformed to [-4, 4] and a monotonically increasing trend from b1 to b4.  Conclusion  The majority of items on the QLICD-CH (V2.0) scale perform well, but there are a few items that could be improved, optimized, or removed.
Value of age and D-dimer combined with Model for End-Stage Liver Disease in predicting the prognosis of patients with hepatitis B virus-related acute-on-chronic liver failure
Shaoyu DONG, Changyu SUN, Fangfang QIAO, Xiao LIU, Jianying ZHANG
2022, 38(11): 2478-2482. DOI: 10.3969/j.issn.1001-5256.2022.11.008
Abstract(1034) HTML (259) PDF (2124KB)(91)
Abstract:
  Objective  To investigate the value of age and D-dimer (D-D) combined with Model for End-Stage Liver Disease (MELD) score in predicting the prognosis of patients with hepatitis B virus-related acute-on-chronic liver failure (HBV-ACLF).  Methods  A total of 111 patients with HBV-ACLF who were hospitalized in The First Affiliated Hospital of Zhengzhou University from December 2019 to October 2021 were enrolled, and according to their prognosis on day 90 after confirmed diagnosis, they were divided into survival group with 49 patients and death group with 62 patients. Related clinical data were collected, including age, sex, underlying liver diseases, alanine aminotransferase (ALT), aspartate aminotransferase (AST), total bilirubin (TBil), Albumin (Alb), D-D, prothrombin time (PT), plasma fibrinogen (FIB), prothrombin activity (PTA), international normalized ratio (INR), serum creatinine (SCr), and serum sodium (Na), and MELD score was calculated. Immunoturbidimetric assay was used to measure the plasma level of D-D. The t-test or the Mann-Whitney U test was used for comparison of continuous data between the two groups, and the chi-square test was used for comparison of categorical data between the two groups; a binary Logistic regression analysis was used to investigate the independent risk factors for the prognosis of patients, and the receiver operating characteristic (ROC) curve was used to predict the accuracy of variables.  Results  There were significant differences between the two groups in age, TBil, D-D, PT, PTA, INR, SCr, Na, and MELD score (all P < 0.05). The binary Logistic regression analysis showed that age (odds ratio [OR]=1.088, 95% confidence interval [CI]: 1.001-1.183, P=0.047), D-D (OR=1.521, 95%CI: 1.078-2.145, P=0.017), and MELD score (OR=1.892, 95%CI: 1.408-2.543, P < 0.001) were independent risk factors for the prognosis of HBV-ACLF patients. Age, MELD score and D-D had an area under the ROC curve (AUC) of 0.664, 0.869, and 0.887, respectively, in predicting the prognosis of HBV-ACLF, while D-D combined with age, age combined with MELD score, D-D combined with MELD score, and the combination of these three indicators had an AUC of 0.895, 0.906, 0.965, and 0.970, respectively. A combination of the three indices had a significantly increased AUC compared with other indices except D-D combined with MELD score. and the combination of these three indicators had relatively high sensitivity (0.935) and specificity (0.918).  Conclusion  Age, D-D, and MRLD score are independent risk factors for the prognosis of HBV-ACLF, among which D-D and MELD score have a good value in predicting prognosis, and the combination of these three indicators has a significantly better predictive value.
Original Articles_Autoimmune Liver Disease
Expression of autophagy marker in peripheral blood T and B lymphocytes of patients with autoimmune hepatitis and its clinical significance
Huili WU, Hongbo SHI, Yanmin LIU, Yan YAN, Lingling WANG, Mei DING, Zhenglai MA, Hui LIU, Zhongping DUAN
2022, 38(11): 2483-2487. DOI: 10.3969/j.issn.1001-5256.2022.11.009
Abstract(1137) HTML (203) PDF (1886KB)(65)
Abstract:
  Objective  To investigate the expression of autophagy marker in peripheral blood T and B lymphocytes of patients with autoimmune hepatitis (AIH) and its clinical significance.  Methods  Peripheral blood samples were collected from 62 AIH patients who were treated in Beijing YouAn Hospital affiliated to Capital Medical University from October 2019 to October 2020 who were treated in Beijing YouAn Hospital affiliated to Capital Medical University from October 2019 to October 2020 and 8 healthy controls to detect autophagy of T and B lymphocyte subsets, and then subgroup analyses were performed based on treatment, diagnostic type, and presence or absence of liver cirrhosis and liver failure. The t-test was used for comparison of normally distributed continuous data between two groups; the Kruskal-Wallis H test was used for comparison of non-normally distributed continuous data between multiple groups, and the Mann-Whitney U test was used for comparison between two groups; the chi-square test or the Fisher's exact test was used for comparison of categorical data between two groups.  Results  Compared with the healthy control group, the AIH group had a significantly higher mean fluorescence intensity (MFI) of the autophagy marker LC3B in CD4+ T, CD8+ T, CD19+ B, and CD4+CD25+ T lymphocytes (all P < 0.05), especially in CD19+ B lymphocytes. The non-treatment group and the partial remission group had a significantly higher MFI of autophagy marker in CD19+ B lymphocytes than the complete remission group (P=0.037 and 0.040); the idiopathic AIH (I-AIH) group and the drug-induced AIH(DI-AIH) group had a significantly higher MFI than the primary biliary cholangitis (PBC)-AIH overlap syndrome group (P=0.037 and 0.031); the non-cirrhosis group and the decompensated cirrhosis group had a significantly higher MFI than the compensated cirrhosis group (P=0.009 and 0.003); the liver failure group had a significantly higher MFI than the non-liver failure group (P=0.042). The PBC-AIH group had a significantly higher MFI of autophagy marker in CD4+CD25+ T lymphocytes than the I-AIH group and the DI-AIH group (P=0.042 and 0.044), the compensated cirrhosis group had a significantly lower MFI than the non-cirrhosis group (P=0.037), and the non-liver failure group had a significantly higher MFI than the liver failure group (P=0.043).  Conclusion  AIH patients have a significant increase in the expression of autophagy marker in peripheral blood T and B lymphocyte subsets compared with healthy individuals, and the level of autophagy is associated with treatment, diagnostic type, and disease severity.
Original Articles_Liver Fibrosis and Liver Cirrhosis
Value of liver stiffness measured by acoustic radiation force impulse in diagnosis of cirrhotic portal hypertension
Xixuan WANG, Liangzi DING, Yang CHENG, Hao HAN, Jian YANG, Jiangqiang XIAO, Yi WANG, Ming ZHANG, Feng ZHANG, Yuzheng ZHUGE
2022, 38(11): 2488-2492. DOI: 10.3969/j.issn.1001-5256.2022.11.010
Abstract(845) HTML (193) PDF (2125KB)(59)
Abstract:
  Objective  To investigate the accuracy of liver stiffness (LS) as a noninvasive index in predicting hepatic venous pressure gradient (HVPG) in patients with decompensated liver cirrhosis and the value of LS in the diagnosis of decompensated liver cirrhosis.  Methods  A retrospective analysis was performed for the clinical data of 88 patients with decompensated cirrhosis due to viral hepatitis or decompensated alcoholic cirrhosis who received both HVPG measurement and LS measurement by acoustic radiation force impulse (ARFI) in Department of Gastroenterology, Nanjing Drum Tower Hospital, from April 2013 to June 2021, and according to HVPG, the patients were divided into serious portal hypertension (SPH) (HVPG≥20 mmHg) group with 24 patients and non-SPH (HVPG < 20 mmHg) group with 64 patients. The two groups were compared in terms of LS, spleen stiffness, portal vein velocity, and related biochemical parameters. The t-test or the Mann-Whitney U rank sum test was used for comparison of continuous data between two groups, and the chi-square test was used for comparison of categorical data between two groups. A Pearson correlation analysis was used to investigate the correlation of different noninvasive indices with HVPG, and a Logistic regression analysis was used to investigate the association of different noninvasive indices with the risk of SPH. Receiver operating characteristic (ROC) curves were plotted for different noninvasive indices in predicting HVPG≥20 mmHg, and the area under the ROC curve (AUC), sensitivity, specificity, maximum Youden index, and corresponding cut-off value were calculated to investigate the value of each index in predicting SPH.  Results  Among the 88 patients, 76 had decompensated cirrhosis due to viral hepatitis and 12 had decompensated alcoholic cirrhosis. There were no significant differences between the SPH group and the non-SPH group in age, sex, white blood cell count, hemoglobin, platelet count, prothrombin time, alanine aminotransferase, aspartate aminotransferase, albumin, serum sodium, creatinine, Child-Pugh class, and spleen stiffness, while there was a significant difference in LS between the two groups (t=-3.970, P < 0.01). The correlation analysis showed that HVPG was positively correlated with LS (r=0.458, P < 0.001). The Logistic regression analysis showed that LS was a risk factor for SPH (odds ratio=3.941, 95% confidence interval: 1.245-12.476, P=0.020). The ROC curve analysis showed that LS had an AUC of 0.751 in predicting the onset of SPH, with a sensitivity of 54.17% and a specificity of 90.63% at the optimal cut-off value of 2.295 m/s.  Conclusion  In patients with decompensated cirrhosis, LS measured by ARFI is correlated with HVPG and has a certain value in the non-invasive diagnosis of decompensated cirrhosis with HVPG≥20 mmHg.
Developing the prediction model of esophagogastric variceal rebleeding in patients with liver cirrhosis based on artificial neural network
Qun ZHANG, ke SHI, Xianbo WANG
2022, 38(11): 2493-2498. DOI: 10.3969/j.issn.1001-5256.2022.11.011
Abstract(1142) HTML (293) PDF (2385KB)(683)
Abstract:
  Objective  To develop an artificial neural network model to predict the risk of rebleeding within one year in cirrhotic patients with esophagogastric variceal bleeding.  Methods  We retrospectively collected 441 cirrhotic patients with esophagogastric variceal bleeding hospitalized at Beijing Ditan Hospital, Capital Medical University, from August 2008 to October 2017. The enrolled patients were followed up for one year. According to the primary endpoint which was rebleeding within one year, patients were divided into rebleeding (249 cases) and non-rebleeding (192 cases) groups. Fisher exact test or chi-square test were used for comparison of categorical data. Comparison of continuous data with normal distribution between groups was performed using t test, while comparison of non-normally distributed data was performed by Mann-Whitney U test. Cox univariate and multivariate regression were used to identify independent factors affecting rebleeding within one year in cirrhotic patients with esophagogastric variceal bleeding, and then an artificial neural network prediction model was constructed using identified factors. The predictive performance of the model was evaluated using the area under the receiver operating characteristic curve (AUC).  Results  In total, 249 (56.5%) patients developed esophagogastric variceal rebleeding within one year. Cox multivariate regression showed INR (AHR=1.566, 95%CI: 1.023~2.398, P=0.039) and NLR (AHR=1.033, 95%CI: 1.009~1.058, P=0.006) were risk factors for 1-year rebleeding, while CHB (AHR=0.769, 95%CI: 0.597~0.991, P=0.042), Na (AHR=0.967, 95%CI: 0.936~0.999, P=0.044), endoscopic (AHR=0.829, 95%CI: 0.743~0.926, P=0.001) and surgical treatment (AHR=0.246, 95%CI: 0.120~0.504, P < 0.001) were protective factors. Using the above six independent influence factors, we successfully constructed an artificial neural network model (https://lixuan.me/annmodel/myg-v3/). The model's ability to predict 1-year rebleeding had an AUC of 0.782 (95%CI: 0.740-0.825), which was higher than 0.672 (95%CI: 0.622-0.722, P < 0.001) of Cox regression model, 0.557 (95%CI: 0.504-0.610, P < 0.001) of Child-Pugh and 0.562 (95%CI: 0.509-0.616, P < 0.001) of MELD scores.  Conclusion  The artificial neural network model has good individualized prediction performance and can be used as a risk assessment tool for esophagogastric variceal rebleeding.
Establishment of a model for predicting the efficacy of third-generation cephalosporin in treatment of community-acquired spontaneous bacterial peritonitis
Longchuan ZHU, Wei WU, Bo ZOU, Dakai GAN, Xue LIN, Wei ZHOU, Molong XIONG
2022, 38(11): 2499-2504. DOI: 10.3969/j.issn.1001-5256.2022.11.012
Abstract(730) HTML (209) PDF (2187KB)(53)
Abstract:
  Objective  To investigate the factors for predicting the efficacy of third-generation cephalosporin (3rd GC) in the treatment of community-acquired spontaneous bacterial peritonitis (CASBP), and to establish and validate an efficacy predictive model for 3rd GC in the treatment of CASBP.  Methods  A retrospective analysis was performed for the clinical data of the patients with liver cirrhosis and CASBP who received 3rd GC monotherapy for initial treatment in The Ninth Hospital of Nanchang, and according to their treatment outcome, they were divided into non-response group and response group. The patients hospitalized from 2013 to 2018 were included in the modeling cohort (55 patients the non-response group and 110 in the response group), and those hospitalized from 2019 to 2020 were included in the validation cohort (17 patients in the non-response group and 43 in the response group). In the modeling cohort, the two groups were compared in terms of the indices including general information, underlying diseases, past history, clinical manifestation, and laboratory test results. Univariate analyses (the t-test was used for comparison of normally distributed continuous data between groups, and the Mann-Whitney U test was used for comparison of non-normally distributed continuous data between groups; the chi-square test or the Fisher's exact test was used for comparison of categorical data between groups) and a binary Logistic regression analysis were used to identify efficacy predictors, and an efficacy predictive model was established based on the logistic regression equation. The receiver operating characteristic (ROC) curve was plotted to perform internal and external validations of the model in the modeling cohort and the validation cohort, respectively.  Results  The study population had a mean age of 51.6±12.0 years, and male patients accounted for 80.0%; hepatitis B was the main cause of liver cirrhosis (66.7%), and 3rd GC had an overall response rate of 68.0%. In the modeling cohort, compared with the response group, the non-response group had significantly lower proportion of patients with the first onset of SBP, polymorphonuclear (PMN) count in ascites, and leukocyte count in ascites (all P < 0.05), as well as significantly higher proportion of patients with exposure to broad-spectrum antibiotic and platelet count (both P < 0.05). The Logistic regression analysis showed that the first onset of SBP (odds ratio [OR]=0.158, 95% confidence interval [CI]: 0.064-0.392, P < 0.001), ascites PMN count (OR=0.728, 95%CI: 0.530-0.998, P=0.046), exposure to broad-spectrum antibiotic (OR=9.152, 95%CI: 1.513-55.351, P=0.016), and platelet count (OR=1.012, 95%CI: 1.006-1.019, P < 0.001) were independent predictive factors for non-response to 3rd GC. The efficacy predictive model had an area under the ROC curve (AUC) of 0.840, and based on the maximum Youden index, predictive score ≥ 0.207 was the optimal cut-off value for predicting non-response, with a corresponding Youden index of 0.536, a sensitivity of 89.1%, a specificity of 63.6%, a positive predictive value of 55.1%, and a negative predictive value of 92.1%. This model had an AUC of 0.837 in the validation cohort.  Conclusion  The first onset of SBP and higher ascites PMN count are the protective factors against non-response to 3rd GC for the treatment of CASBP, and exposure to broad-spectrum antibiotic and higher platelet count are the risk factors for such non-response. The model established for predicting the efficacy of 3rd GC in the treatment of CASBP has good predictive performance and thus holds promise for clinical application.
Effect of probiotics in preventing overt hepatic encephalopathy in patients with minimal hepatic encephalopathy: A Meta-analysis
Yuhao YAO, Jiaxin ZHANG, Xiao XIA, Shun ZHU, Xiaoke LI, Yong'an YE
2022, 38(11): 2505-2509. DOI: 10.3969/j.issn.1001-5256.2022.11.013
Abstract(876) HTML (320) PDF (3743KB)(87)
Abstract:
  Objective  To review and analyze the effect of probiotics in preventing the overt hepatic encephalopathy (OHE) in patients with minimal hepatic encephalopathy (MHE).  Methods  Studies about this subject were searched in PubMed, Web of Science, Cochrane Library, Chinese journal full-text database (CNKI), WanFang data knowledge service platform (WanFang Data) from their establishment to November 2021. Meta-analysis was performed using RevMan 5.4. Description analysis was used for data that could not be pooled. The relative risk (RR) and 95% confidence interval (CI) were used to present pooled data.  Results  Six RCT studies with a total of 404 patients were included in this meta-analysis. The results showed probiotics users had a significant reduction of the OHE incidence, as compared with the controls (RR=0.46, 95%CI: 0.26 - 0.81; P=0.007), but an increase in the reversal MHE rate (RR=4.94, 95%CI: 2.82-8.66; P < 0.000 01).  Conclusion  This finding demonstrated that probiotics were able to effectively reduce the OHE incidence and improve the reversal MHE rate in the patients with MHE. This study could provide novel evidence for probiotics treatment of MHE.
Original Articles_Liver Neoplasms
Short-term mortality and death causes after TACE in patients with primary liver cancer
Zhao LIU, Zhi LI, Kailun YANG, Siyin LI, Xiaoli ZHU, Caifang NI
2022, 38(11): 2510-2513. DOI: 10.3969/j.issn.1001-5256.2022.11.014
Abstract(1479) HTML (241) PDF (2070KB)(80)
Abstract:
  Objective  To investigate the short-term mortality of transcatheter arterial chemoembolization (TACE) in patients with primary liver cancer, and explore the possible causes of death and countermeasures.  Methods  All patients who underwent TACE at the Department of Interventional Radiology, First Affiliated Hospital of Soochow University from January 2015 to December 2020 were studied, but those with metastatic liver cancer or receiving combined treatment were excluded. The clinical and imaging data of all patients were collected before and 30 days after TACE, and the clinical characteristics of the patients with short-term postoperative death were analyzed. Death within 30 days after TACE was defined as short-term death.  Results  A total of 1466 TACE in 741 patients with primary liver cancer were included. Ten patients (10/741, 1.35%) died within 30 days after TACE, with a mortality rate of 0.68% for all TACE. The mortality rate of d-TACE and c-TACE was 1.62% (3/185) and 0.55 % (7/1281), respectively. The mortality rates of patients at China Liver Cancer Staging Ⅰ, Ⅱ, and Ⅲ stages were 0.45% (2/448), 0.33% (2/599), and 1.43% (6/419), respectively. The mean diameter of the largest lesion in death cases was 10.1±0.8 cm. The possible causes of death were liver failure (4 cases), rupture bleeding (3 cases), myelotoxicity (1 case), pulmonary embolism (1 case), and heart failure (1 case).  Conclusion  The mortality rate after TACE in patients with primary liver cancer is low, with occasional short-term postoperative deaths. The death cases are characterized by a large tumor volume, and the most common causes of short-term death are liver failure and rupture bleeding.
Prognostic value of KRAS mutations in patients with advanced primary liver cancer treated with transcatheter arterial chemoembolization
Xuchu LIU, Shiyun QIN, Lijun CHEN, Juan CHEN, Xiaoguang YOU
2022, 38(11): 2514-2519. DOI: 10.3969/j.issn.1001-5256.2022.11.015
Abstract(1162) HTML (252) PDF (2594KB)(53)
Abstract:
  Objective  To assess the prognostic value of KRAS mutation in patients with advanced primary liver cancer treated with transcatheter arterial chemoembolization (TACE).  Methods  Ninety-seven patients with advanced primary liver cancer who received TACE treatment in The Third People's hospital from April 2017 to May 2020 were included. The mutation status of KRAS was detected, and its relationship with the prognosis of TACE was investigated. The t-test was used for comparison of continuous data between two groups, and the chi-square test was used for comparison of categorical data between two groups. Survival analysis was performed using Kaplan-Meier survival curve and compared using Log-rank test. Cox regression analysis was performed to identify the prognostic factors.  Results  Among 97 patients with advanced liver cancer, KRAS mutations were detected in 34 patients (35.05%), including 21 patients with codon 12 mutation (61.76%) and 13 patients with codon 13 mutation (38.24%). KRAS mutation was associated with liver cirrhosis, intrahepatic metastasis and the number of tumors (χ2=0.035, 3.965, and 6.593, all P < 0.05). Survival analysis showed that the progression free survival and overall survival were significantly longer in KRAS wild-type patients than in KRAS mutant patients (χ2=4.465 and 4.280, all P < 0.05). Multivariate Cox analysis revealed that KRAS mutation, intrahepatic metastasis, number of tumors and BCLC stage were important factors affecting the overall survival and prognosis of patients (all P < 0.05).  Conclusion  KRAS mutation is common in patients with advanced primary liver cancer and is closely associated with a poor prognosis after TACE. It may become a potential indicator of clinical prognosis.
Construction and validation of a nomogram model for microvascular invasion in hepatocellular carcinoma based on the characteristics on contrast-enhanced ultrasound Liver Imaging Reporting and Data System
Jing XI, Meiqin GU, Zuowei BAO
2022, 38(11): 2520-2525. DOI: 10.3969/j.issn.1001-5256.2022.11.016
Abstract(849) HTML (325) PDF (2938KB)(46)
Abstract:
  Objective  To construct and validate a nomogram model for predicting microvascular invasion (MVI) based on the characteristics on contrast-enhanced ultrasound (CEUS) Liver Imaging Reporting and Data System (LI-RADS) in patients with hepatocellular carcinoma (HCC).  Methods  A total of 262 patients with HCC who were diagnosed in Wujin Hospital Affiliated to Jiangsu University from January 2017 to July 2020 were enrolled and randomly divided into modeling group and validation group at a ratio of 1∶ 1, with 131 patients in each group. MVI was confirmed by postoperative microscopic pathological results, and there were 70 patients with MVI in the modeling group and 56 patients with MVI in the validation group. CEUS was used to evaluate LI-RADS characteristics for the two groups. The independent samples t-test was used for comparison of continuous data between the two groups, and the chi-square test was used for comparison of categorical data between the two groups. Univariate and multivariate Logistic regression analyses were used to identify the risk factors for MVI in the modeling group; the receiver operating characteristic (ROC) curve was plotted, and the area under the ROC curve (AUC) was calculated for the model in predicting MVI to evaluate the accuracy of prediction; a decision curve analysis was used to evaluate the consistency of the model, and dispersion was compared between the calibration curve and the standard curve for the model in predicting MVI.  Results  There were no significant differences in clinical data and CEUS findings between the modeling group and the validation group (all P > 0.05). The univariate analysis showed that compared with the MVI-negative patients, the MVI-positive patients had significant increases in serum alpha fetoprotein (AFP) level, tumor diameter, and LR-5 "late and mild washout" and LR-M "early washout" on LI-RADS, as well as a significantly higher LI-RADS grade (all P < 0.05). The multivariate analysis showed that AFP 20-400 ng/mL (odds ratio [OR]=2.65, P < 0.001), AFP≥400 ng/mL (OR=3.98, P < 0.001), tumor diameter ≥30 mm (OR=2.12, P < 0.001), and LR-M on CEUS (OR=3.24, P < 0.001) were independent risk factors for MVI. The ROC curve analysis showed that the nomogram had an AUC of 0.867 and 0.821 in predicting MVI in the modeling group and the validation group, respectively. The nomogram model had a C-Index of 0.765 (95% confidence interval: 0.701-0.834). The calibration curves of the nomogram model were close to the standard curve in both groups.  Conclusion  The nomogram model based on LI-RADS obtained by CEUS in combination with AFP and tumor diameter has a good application value and can guide the preoperative screening for patients at a high risk of MVI and the development of appropriate surgical plans in clinical practice.
Original Articles_Other Liver Diseases
Clinical efficacy of low-dose plasma exchange combined with double plasma molecular absorption system/hemoperfusion in treatment of acute-on-chronic liver failure
Jie LU, Dingchun LI, Ye LIU, Linna YUAN, Zhiwen DUAN, Wu LI
2022, 38(11): 2526-2531. DOI: 10.3969/j.issn.1001-5256.2022.11.017
Abstract(990) HTML (350) PDF (1882KB)(78)
Abstract:
  Objective  To investigate the clinical efficacy of low-dose plasma exchange (PE) combined with artificial liver in the treatment of acute-on-chronic liver failure (ACLF) and its effect on mortality rate after stratification.  Methods  A total of 272 ACLF patients who were admitted to Department of Infection and Hepatology, The First Affiliated Hospital of Kunming Medical University, from January 2018 to December 2020 were enrolled and divided into low-dose PE+double plasma molecular absorption system (DPMAS)/hemoperfusion (HP) group (n=190) and medical treatment group(n=82). Laboratory markers were collected before and after treatment, and clinical outcome was compared between the two groups; stratified analysis (early stage, early-middle stage, late stage or types A, B, C) was performed for the two groups according to Diagnostic and treatment guidelines for liver failure (2018 edition), and all patients were followed up to observe general status and death at 12 weeks (short-term) and 48 weeks (long-term) after discharge. The independent samples t-test was used for comparison of normally distributed continuous data between two groups, and the paired samples t-test was used for comparison before and after treatment; the Mann-Whitney U test was used for comparison of non-normally distributed continuous data between two groups, and the Wilcoxon test was used for comparison before and after treatment; the chi-square test was used for comparison of categorical data between groups.  Results  Both low-dose PE combined with DPMAS/HP and medical treatment alone could reduce the levels of alanine aminotransferase (ALT), aspartate aminotransferase, total bilirubin (TBil), and blood ammonia and increase the level of albumin (Alb), and both groups had significant changes in these indices after treatment (all P < 0.05). Compared with medical treatment alone, low-dose PE combined with DPMAS/HP better reduced ALT, TBil, and blood ammonia and improved Alb, with significant changes in these indices after treatment (all P < 0.05). Low-dose PE combined with DPMAS/HP could significantly reduce bile acid, international normalized ratio, neutrophil-lymphocyte ratio, and MELD score and increase platelet-to-white blood cell ratio (all P < 0.05), while medical treatment alone could not improve the above indices (all P > 0.05). Compared with medical treatment alone, low-dose PE combined with DPMAS/HP could reduce the short-term mortality rate of ACLF patients, especially the short-term mortality rate of ACLF patients with early-stage, early-middle-stage or type A ACLF, and there were significant differences between the two groups (all P < 0.05). In the low-dose PE+DPMAS/HP group, the patients with early-stage ACLF had significantly lower short- and long-term mortality rates than those with late-stage ACLF, and the patients with type A ACLF had significantly lower short- and long-term mortality rates than those with type C ACLF (all P < 0.05).  Conclusion  Low-dose PE combined with DPMAS/HP has good clinical efficacy and can effectively reduce the short-term mortality rate of ACLF, especially the short-term mortality rate of patients with early-stage, early-middle-stage, or type A ACLF.
Risk factors for acute variceal bleeding in acute-on-chronic liver failure and its influence on prognosis
Wanshu LIU, Lijun SHEN, Qinghui ZHAI, Shaojie XIN, Shaoli YOU
2022, 38(11): 2532-2536. DOI: 10.3969/j.issn.1001-5256.2022.11.018
Abstract(917) HTML (194) PDF (2154KB)(49)
Abstract:
  Objective  To investigate the risk factors for acute variceal bleeding (AVB) in acute-on-chronic liver failure (ACLF) and its influence on prognosis.  Methods  A total of 1409 ACLF patients who were admitted to The Fifth Medical Center of Chinese PLA General Hospital from 2009 to 2015 were followed up for 6 months, and according to the presence or absence of AVB, they were divided into AVB group and non-AVB group. The Student's t-test was used for comparison of normally distributed continuous data between two groups, and the Mann-Whitney U test was used for comparison of non-normally distributed continuous data between two groups. The Kaplan-Meier curves were plotted and the Log-rank test was performed to analyze mortality rate and progression during follow-up, and a binary Logistic regression analysis was used to investigate the risk factors for AVB.  Results  Among these 1409 patients, 167 (11.85%) experienced AVB. The 30-day survival rate was 43.42% in the AVB group and 67.79% in the non-AVB group (χ2=33.558, P < 0.001), and the 180-day survival rate was 18.91% in the AVB group and 53.97% in the non-AVB group (χ2=76.881, P < 0.001). The Log-rank test showed significant differences in 30- and 180-day survival rates between the AVB group and the non-AVB group (χ2=40.950 and 89.320, both P < 0.05). The Logistic regression analysis showed that pleural effusion (odds ratio [OR]=1.522, 95% confidence interval [CI]: 1.071-2.162, P=0.019), acute kidney injury (AKI) (OR=2.201, 95%CI: 1.415-3.426, P < 0.001), ABC subtype of ACLF (OR=2.491, 95%CI: 1.489-4.168, P=0.001), ACLF stage (OR=2.403, 95%CI: 1.687-3.421, P < 0.001), and urea(OR=2.567, 95%CI: 1.570-4.196, P < 0.001)were independently associated with AVB in ACLF patients.  Conclusion  AVB is an important influencing factor for the short-term survival of ACLF patients, and pleural effusion, AKI, BC subtype of ACLF, advanced ACLF, and urea are independent risk factors for the onset of AVB.
Original Articles_Biliary Diseases
Application value of indocyanine green fluorescence imaging in laparoscopic cholecystectomy of difficult gallbladder
Qizhu FENG, Siyu WANG, Chao ZHANG
2022, 38(11): 2537-2541. DOI: 10.3969/j.issn.1001-5256.2022.11.019
Abstract(1354) HTML (240) PDF (2744KB)(76)
Abstract:
  Objective  To investigate the clinical utility of indocyanine green (ICG) fluorescence imaging in difficult laparoscopic cholecystectomy (LC).  Methods  The clinical data of LC patients from October 2021 to December 2021 in the First Affiliated Hospital of Anhui Medical University were retrospectively analyzed. Based on whether ICG fluorescence imaging was used and whether gallbladder difficulties were detected, the patients were divided into four groups: ICG common gallbladder (Group A), ICG difficult gallbladder (Group B), common gallbladder (Group C), and difficult gallbladder (Group D). The operative time, intraoperative bleeding, length of hospital stay, hospitalization cost and postoperative complications were compared. Comparison of normally distributed continuous data between groups was performed by t test. Comparison of categorical data between groups was performed using the chi-square test or Fisher's exact probability method.  Results  The operative time, intraoperative bleeding, length of hospital stay, hospitalization cost and intraoperative complications in group A were comparable to those in Group C (all P > 0.05). The operative time and intraoperative bleeding were (75.41±12.96) min and (18.27±6.97) mL in group B, vs (106.78±19.21) min and (23.99±8.43) mL in group D, respectively, and the differences were statistically significant (all P < 0.05), while the length of hospitalization, hospitalization cost and postoperative complications in group B were comparable to those in group D (all P > 0.05).  Conclusion  The benefits of ICG fluorescence imaging during LC in patients with the common gallbladder are not obvious. However, in difficult gallbladder cases, ICG fluorescence imaging can improve biliary tract exposure and reduce operation time and intraoperative bleeding.
Application and clinical evaluation of ultrasound-guided biliary drainage tube replacement technology
Anhong ZHANG, Ruixin ZHANG, jie MA, Bo QIU, Xin YI, Zhihua LU, Lijie ZHENG, Hanguang DONG, Tian HAN, Li ZHANG, Yuanhui JIANG, Jun XU
2022, 38(11): 2542-2545. DOI: 10.3969/j.issn.1001-5256.2022.11.020
Abstract(1275) HTML (362) PDF (1987KB)(37)
Abstract:
  Objective  To summarize the preliminary application results of ultrasound-guided biliary drainage tube replacement, present the corresponding technical points, and discuss the operation strategy and clinical application value.  Methods  The clinical data of 60 patients who underwent ultrasound-guided biliary drainage tube replacement in Qilu Hospital of Shandong University between August 2014 and August 2020 were retrospectively analyzed. The operation procedure, clinical applications, and postoperative complications were summarized and analyzed.  Results  Fifty-eight of the 60 patients (96.67%) were successfully replaced with drainage tubes along the original sinus. Among them, dilated sinus tracts of 47 patients were placed with coarse-grade drainage tubes, and dilated sinus tracts of the remaining 11 patients were placed with the original type of drainage tubes, with the mean operation time of 15.8(12.0-19.0) min under local anesthesia. In total, bile was drained from 28 patients receiving PTCD drainage, 23 patients receiving gallbladder drainage, and 9 patients receiving T-tube drainage. The post-operation evaluation revealed that the drainage situation has improved, with a 100% effective rate. No obvious abnormality was found in the postoperative follow-up visit.  Conclusion  The replacement of drainage tube under ultrasound guidance is simple, safe and feasible, and it provides further promotion in clinical practice with sufficient data support.
Effect of trimetazidine on a rat model of bile duct ischemia-reperfusion injury and its mechanism
Jinrui ZHANG, Hao WU, Yi BAI, Yamin ZHANG
2022, 38(11): 2546-2550. DOI: 10.3969/j.issn.1001-5256.2022.11.021
Abstract(994) HTML (284) PDF (3322KB)(48)
Abstract:
  Objective  To investigate the effect of trimetazidine on ischemic bile duct injury in rats and related mechanism.  Methods  A total of 40 male Sprague-Dawley rats were randomly divided into sham-operation group (Sham group with 10 rats), bile duct ischemia-reperfusion injury group (BIRI group with 10 rats), 6-hour trimetazidine pretreatment group (TMZ-6h group with 10 rats), and 3-day trimetazidine pretreatment group (TMZ-3d group with 10 rats). The ischemia time was 30 minutes, and samples were collected after 24 hours of reperfusion. HE staining was used to observe bile duct injury, and the serum levels of alanine aminotransferase (ALT), alkaline phosphatase (ALP), and direct bilirubin (DBil) were measured, as well as the activity of superoxide dismutase (SOD) and the level of malondialdehyde (MDA) in bile duct tissue; Western Blot was used to measure the levels of the signal molecules related to oxidative stress and apoptosis, such as nuclear factor erythroid 2-related factor 2 (Nrf2), heme oxygenase-1 (HO-1), B-cell lymphoma-2 (Bcl-2), and caspase-3. A one-way analysis of variance was used for comparison of continuous data between multiple groups, and the Sidak t-test was used for further comparison between two groups.  Results  HE staining showed continuous interruption, necrosis, and exfoliation of bile duct epithelial cells in the BIRI group and no significant change in bile duct tissue in the TMZ-6h group, and in the TMZ-3d group, the bile duct epithelial cells had clear boundaries with a small amount of necrotic and exfoliated cells. Compared with the Sham group, the BIRI group had significant increases in the levels of ALT, ALP, DBil, and MDA (all P < 0.05); compared with the BIRI group, the TMZ-3d group had significant reductions in the levels of ALT, ALP, DBil, and MDA (all P < 0.05); there were no significant differences between the TMZ-6h group and the BIRI group (all P > 0.05). Compared with the Sham group, the BIRI group had a significant reduction in SOD activity (P < 0.05), the TMZ-3d group had a significant increase compared with the BIRI group (P < 0.05), and there was no significant difference between the TMZ-6h group and the BIRI group (P > 0.05). Compared with the Sham group, the BIRI group had significant increases in the expression levels of Nrf2, HO-1, and caspase-3 (all P < 0.05) and a significant reduction in the expression level of Bcl-2 (P < 0.05); compared with the BIRI group, the TMZ-3d group had significant increases in the expression levels of Nrf2, HO-1, and Bcl-2 (P < 0.05) and a significant reduction in the expression level of caspase-3 (P < 0.05); there were no significant differences in Nrf2, HO-1, Bcl-2, and caspase-3 between the TMZ-6h group and the BIRI group (all P > 0.05).  Conclusion  Trimetazidine can reduce bile duct ischemia-reperfusion injury in rats, possibly by inhibiting the level of oxidative stress in bile duct cells and reducing cell apoptosis.
Original Articles_Pancreatic Diseases
Value of different scoring systems in predicting the severity and prognosis of hyperlipidemic acute pancreatitis
Qiu JIN, Jing YANG, Honglin MA, Pingju LI, Shaoshan HU, Qingqing LIU
2022, 38(11): 2551-2557. DOI: 10.3969/j.issn.1001-5256.2022.11.022
Abstract(1127) HTML (243) PDF (3145KB)(80)
Abstract:
  Objective  To investigate the best scoring systems for predicting the severity and prognosis of hyperlipidemic acute pancreatitis (HLAP) by comparing APACHEII, BISAP, MCTSI, MEWS, POP, SPS, and PANC3 scores.  Methods  A retrospective analysis was performed for the data of 123 patients with HLAP who were hospitalized and treated in The Second Affiliated Hospital of Kunming Medical University from October 2017 to January 2022. The patients were divided into mild acute pancreatitis (MAP) group with 24 patients, moderate- severe acute pancreatitis (MSAP) group with 56 patients, and severe acute pancreatitis (SAP) group with 43 patients, and the three groups were compared in terms of basic data and scores of the above scoring systems. The Kruskal-Wallis H test was used for comparison of non-normally distributed continuous data between multiple groups; the chi-square test was used for comparison of categorical data between groups. MedCalc software was used to plot the receiver operating characteristic (ROC) curve, and the area under the ROC curve (AUC) was used to compare the value of these scoring systems in predicting disease severity and local and systemic complications in HLAP patients.  Results  There were significant differences between the three groups in diabetes mellitus (χ2=6.880, P < 0.05), length of hospital stay (H=26.494, P < 0.001), local complications (χ2=52.211, P < 0.001), acute kidney injury (AKI) (χ2=38.247, P < 0.001), acute respiratory distress syndrome (ARDS) (χ2=79.201, P < 0.001), and multiple organ dysfunction syndrome (MODS) (χ2=45.032, P < 0.001). As for the scores of the above scoring systems, there were significant differences between the three groups in APACHE Ⅱ, BISAP, MCTSI, MEWS, POP, SPS, and PANC3 (H=47.525, 42.662, 53.545, 31.664, 49.233, 48.543, and 9.443, all P < 0.05). APACHE Ⅱ score had a significantly higher value than MEWS score in predicting SAP (Z=2.090, P < 0.05), and the other scores had a similar value, among which POP score had the largest AUC of 0.883. MCTSI score had the highest value in predicting local complications (AUC=0.886), with a sensitivity of 84.7% and a specificity of 74.5% at the cut-off value of 5. APACHE Ⅱ and POP scores had an AUC of 0.911 (95% confidence interval [CI]: 0.835-0.986, P < 0.001) and 0.920 (95%CI: 0.866-0.974, P < 0.001), respectively, in predicting AKI; APACHE Ⅱ score had a higher predictive value than MCTSI and MEWS scores, POP score had a higher predictive value than MCTSI, MEWS, and BISAP scores, and SPS score had a higher predictive value than MCTSI score. APACHE Ⅱ score had an AUC of 0.914 (95%CI: 0.854-0.973, P < 0.001) in predicting ARDS and had a higher predictive value than BISAP and MEWS (Z=2.152 and 3.015, both P < 0.05). APACHE Ⅱ and POP scores had an AUC of 0.969 (95%CI: 0.941-0.996, P < 0.001) and 0.932 (95%CI: 0.880-0.984, P < 0.001), respectively, in predicting MODS, and APACHE Ⅱ score had a higher predictive value than SPS, BISAP, MEWS, and MCTSI.  Conclusion  POP score has the highest value in predicting SAP, with a comparable predictive ability to all the other scoring systems except MEWS. APACHEII and POP scores have a good value in predicting systemic complications and show a high accuracy in predicting AKI and MODS, and APACHEII score is highly accurate in predicting ARDS.
Selection of treatment regimens for pancreatic duct stones: A comparative analysis
Jinbin DONG, Weibing FANG, Yihai SHI
2022, 38(11): 2558-2564. DOI: 10.3969/j.issn.1001-5256.2022.11.023
Abstract(839) HTML (936) PDF (2050KB)(88)
Abstract:
  Objective  To investigate the clinical efficacy of endoscopic retrograde cholangiopancreatography (ERCP), laparoscopy, and laparotomy in the treatment of pancreatic duct stones (PDS) by collecting related clinical data, to summarize the experience in selecting treatment regimens for PDS, and to further explore feasible treatment regimens that could maximize and optimize the benefits of PDS patients.  Methods  A retrospective analysis was performed for the clinical data of 131 PDS patients who were treated in Gongli Hospital Affiliated to Naval Medical University from June 2014 to December 2018, and according to the surgical procedure, they were divided into ERCP group with 69 patients, laparoscopy group with 32 patients, and laparotomy group with 30 patients. Related indices were monitored before and after treatment, and surgical outcome was compared between the laparoscopy group and the laparotomy group. The independent samples t-test was used for comparison of normally distributed continuous data between two groups; a one-way analysis of variance was used for comparison between multiple groups, and the least significant difference t-test or the SNK-q test was used for further comparison between two groups. The Mann-Whitney U test was used for comparison of continuous data with skewed distribution between two groups, and the Kruskal-Wallis H test was used for comparison between multiple groups. An repeated measures analysis of variance and the Friedman test were used for comparison of related indices before and after surgery, and the chi-square test was used for comparison of categorical data between groups.  Results  Among the 131 PDS patients, there were 40 patients with type Ⅰ PDS, 76 with type Ⅱ PDS, and 15 with type Ⅲ PDS. There was no significant difference in the distribution of main surgical methods between the laparoscopy group and the laparotomy group (χ2=1.93, P > 0.05). There were significant differences between the laparoscopy group and the laparotomy group in the dynamic changes of white blood cell count, C-reactive protein, procalcitonin, and Homeostasis Model Assessment of Insulin Resistance after surgery (F=24.68, χ2=227.66, F=45.37, F=106.71, all P < 0.05). Compared with the laparotomy group, the laparoscopy group had significantly shorter time of operation, significantly lower intraoperative blood loss, significantly shorter time to first flatus after surgery, a significantly lower frequency of use of pain-relieving drugs, shorter time to extraction of abdominal drainage tube, lower incidence rates of short-term postoperative complications, and a significantly shorter length of postoperative hospital stay (t=-4.80, t=-9.43, Z=-6.78, t=-11.59, Z=-6.77, χ2=9.24, t=-3.60, all P < 0.05). The incidence rate of short-term postoperative complications was 24.64% in the ERCP group, 28.13% in the laparoscopy group, and 66.67% in the laparotomy group, with a significant difference between groups (χ2=17.12, P < 0.05), and the ERCP group and the laparoscopy group had a significantly lower incidence rate of short-term postoperative complications than the laparotomy group (χ2=15.78 and 9.24, P < 0.05 and P=0.02). The treatment response rate was 91.30% in the ERCP group, 93.75% in the laparoscopy group, and 73.33% in the laparotomy group, with a significant difference between the three groups (χ2=7.70, P=0.02), and the ERCP group and the laparoscopy group had a significantly better response rate than the laparotomy group (χ2=5.56 and 4.77, P=0.02 and 0.03).  Conclusion  ERCP is the preferred method for minimally invasive treatment of some patients with type Ⅰ/Ⅱ PDS and is safe and effective with few serious complications. Surgical operation is an important method for the treatment of complex PDS, but with complicated techniques and difficult operation. Compared with laparotomy, laparoscopy has the advantages of small trauma, few serious complications, and high abdominal pain remission rate and can significantly shorten the time of operation, reduce intraoperative blood loss, and shorten the length of postoperative hospital stay. Therefore, laparoscopy should be the preferred regimen for the treatment of complex PDS.
Case Reports
A diagnosis of atypical autoimmune hepatitis: A case report
Mengting ZHOU, Hongmei HAN
2022, 38(11): 2565-2567. DOI: 10.3969/j.issn.1001-5256.2022.11.024
Abstract(1057) HTML (309) PDF (2703KB)(84)
Abstract:
A case of type 3 progressive familial intrahepatic cholestasis
Tianying ZHANG, Chao ZHOU, Weihui LIU, Zhenmao LI, Liangping LI, Lei LEI
2022, 38(11): 2568-2570. DOI: 10.3969/j.issn.1001-5256.2022.11.025
Abstract(1115) HTML (546) PDF (2717KB)(60)
Abstract:
Hereditary hemochromatosis with multiple organ damage caused by HJV gene mutation in adults: A case report
Shuduo WU, Yibo ZHAN, Xinhua LI, Changlei XU, Minling CAO, Xiaoling CHI
2022, 38(11): 2571-2574. DOI: 10.3969/j.issn.1001-5256.2022.11.026
Abstract(874) HTML (332) PDF (3477KB)(48)
Abstract:
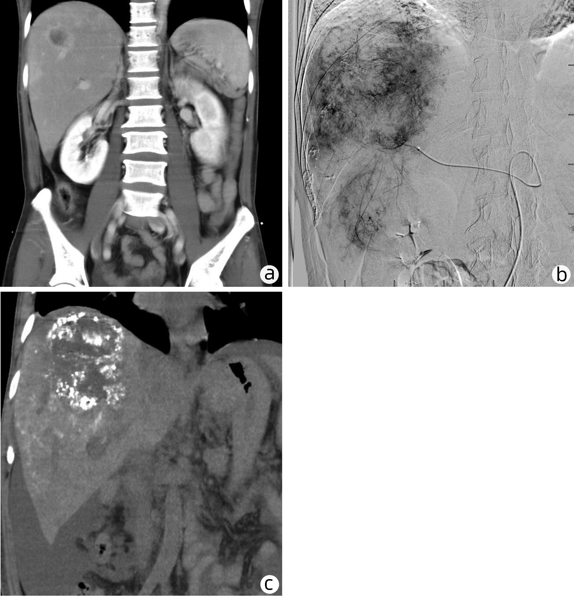
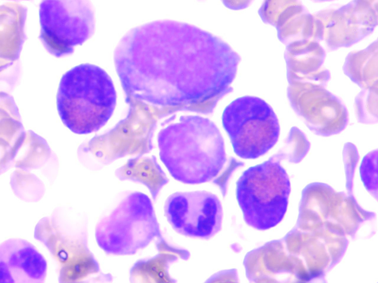
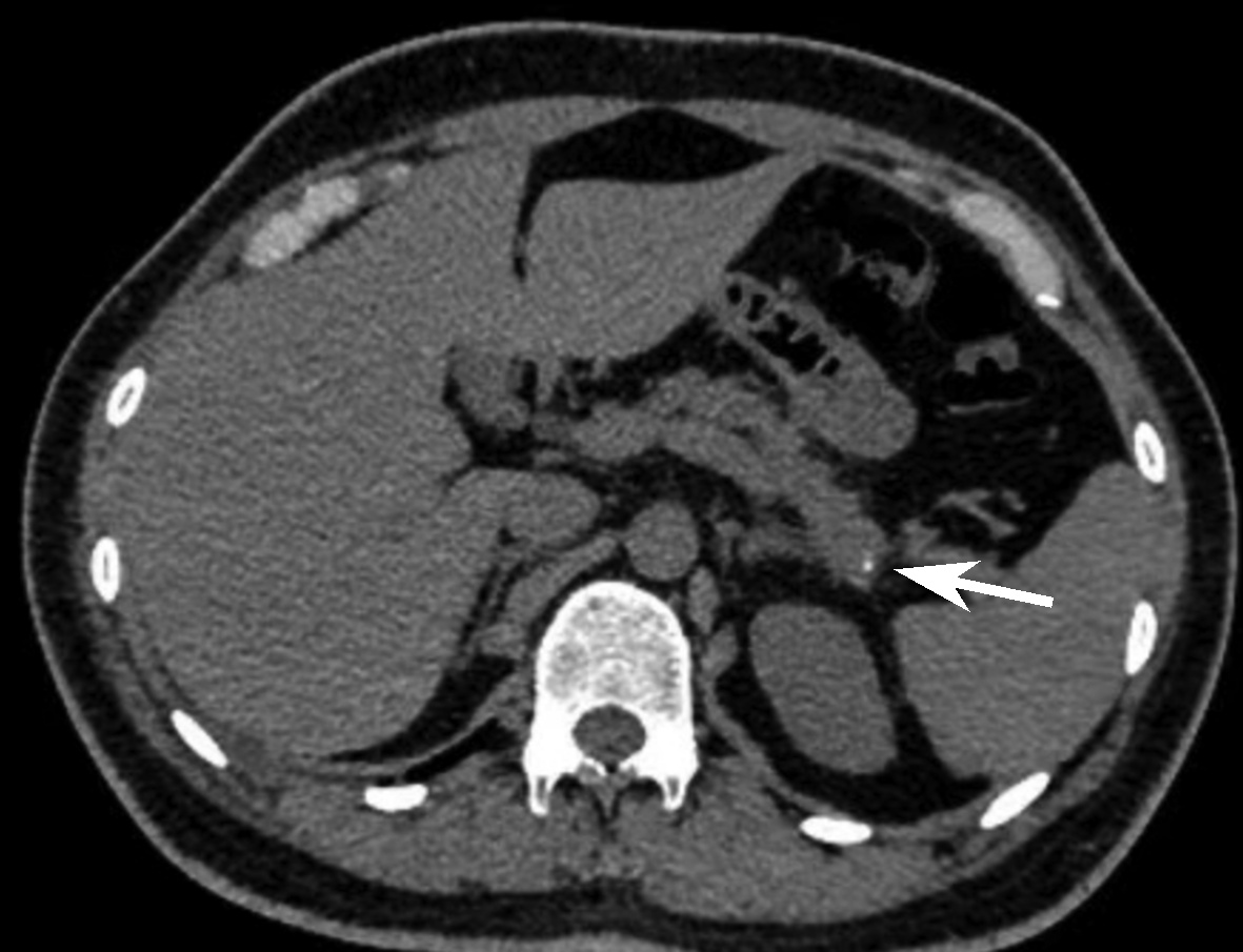
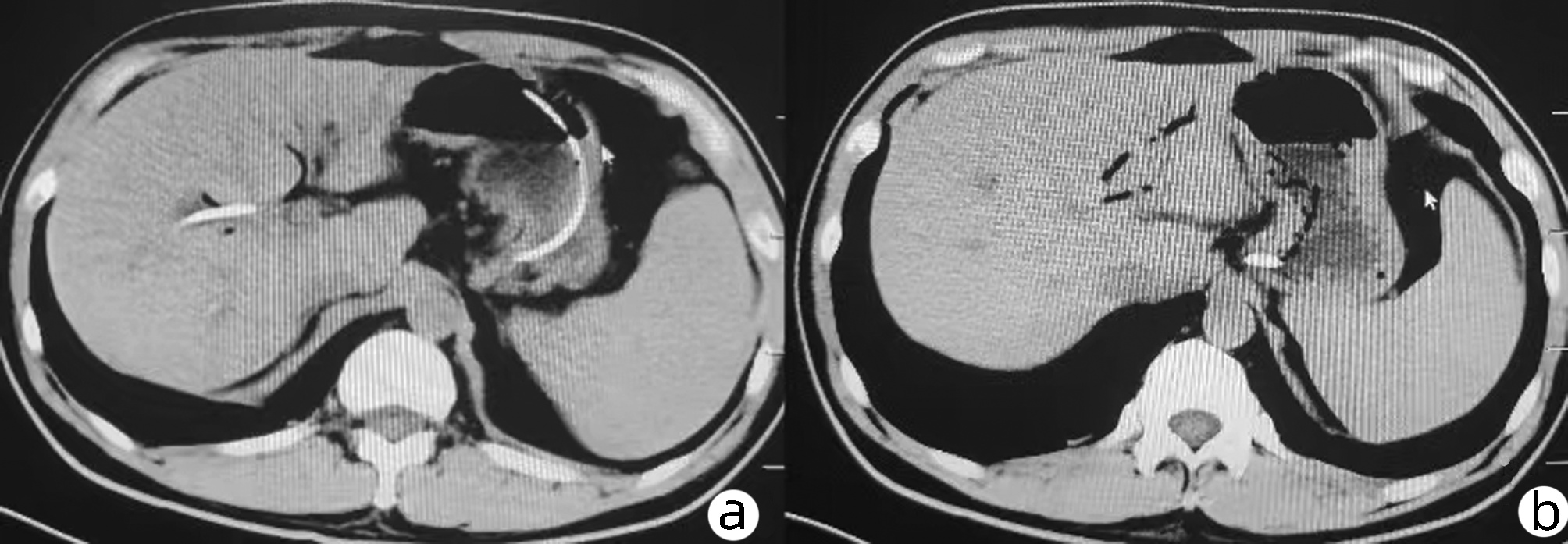
A case of idiopathic hypereosinophilic syndrome presenting with progressive multiple vascular lesions
Qingfang XIONG, Hao REN, Hui ZHOU, Xiaoning FENG, Duxian LIU, Yandan ZHONG, Yongfeng YANG
2022, 38(11): 2575-2577. DOI: 10.3969/j.issn.1001-5256.2022.11.027
Abstract(776) HTML (250) PDF (2289KB)(41)
Abstract:
Chronic pancreatitis caused by incomplete pancreas division: A case report
Meili DONG, Ruihua ZHANG, Tengfei LI, Yang WANG, Xiaoyu WEN
2022, 38(11): 2578-2580. DOI: 10.3969/j.issn.1001-5256.2022.11.028
Abstract(859) HTML (576) PDF (2085KB)(55)
Abstract:
Reviews
Influencing factors for HBeAg seroconversion in patients with chronic hepatitis B
Ziyang GU, Anhui WANG, Wenchang HE, Jiayu LI, Changxing HUANG
2022, 38(11): 2581-2585. DOI: 10.3969/j.issn.1001-5256.2022.11.029
Abstract(2180) HTML (356) PDF (1886KB)(186)
Abstract:
HBeAg seroconversion refers to the disappearance of HBeAg and the appearance of anti-HBe in chronic hepatitis B (CHB) patients with positive HBeAg in the past. HBeAg seroconversion marks the reductions in viral replication, immune tolerance, and liver inflammation and is an important monitoring indicator for evaluating disease conditions and the effect of CHB antiviral therapy, and it also indicates the endpoint of satisfactory treatment. Exploring the influencing factors for HBeAg seroconversion is of great significance to the selection of treatment regimens and the prognostic evaluation of CHB patients. This article mainly elaborates on the association of HBV with HBeAg seroconversion in CHB patients from the aspects of virological factors, host genetic factors, drug factors, and immunological factors.
Research advances in the relationship between nonalcoholic fatty liver disease and chronic kidney disease
Mengru YANG, Rui HAN
2022, 38(11): 2586-2591. DOI: 10.3969/j.issn.1001-5256.2022.11.030
Abstract(1322) HTML (642) PDF (2061KB)(89)
Abstract:
More and more studies have shown that nonalcoholic fatty liver disease (NAFLD) is closely associated with chronic kidney disease (CKD). Although the causal relationship has not been clarified, the mechanisms, such as metabolic disorders, diet-intestinal microbiota axis disorders, oxidative stress, platelet activation, and genetic and epigenetic regulation, play an important role in the disease interaction network. This article reviews the evidence for the association between NAFLD and CKD and the potential mechanisms under which NAFLD and its related factors may increase the risk of CKD, and moreover, it proposes related patient management recommendations and treatment strategies.
Risk factors for cognitive impairment associated with nonalcoholic fatty liver disease
Cheng ZHOU, Ran JIA, Jingjing WEI, Chenlu ZHAO, Dongfang SHANG, Wenxia ZHAO
2022, 38(11): 2592-2595. DOI: 10.3969/j.issn.1001-5256.2022.11.031
Abstract(806) HTML (299) PDF (1863KB)(59)
Abstract:
At present, non-alcoholic fatty liver disease (NAFLD) has become one of the most common chronic liver diseases in the world. Recent studies have shown that varying degrees of central nervous system dysfunction can occur during the progression of NAFLD, including cognitive impairment and emotional imbalance. This article summarizes the main risk factors for NAFLD-related cognitive impairment at different stages, so as to provide a basis and ideas for the early prevention and clinical treatment of this disease.
Effects of antiviral therapy on the reversal of liver fibrosis
Xin LUO, Ying QU, Xiaobo CAI, Lungen LU
2022, 38(11): 2596-2598. DOI: 10.3969/j.issn.1001-5256.2022.11.032
Abstract(1812) HTML (1165) PDF (1849KB)(141)
Abstract:
As an inevitable stage in the progression of various chronic liver diseases, liver fibrosis eventually develops into liver cirrhosis or cancer. Because viral infection is a major cause of liver fibrosis, antiviral therapy is critical in the seroconversion and reversal of liver fibrosis in viral hepatitis. This review summarizes the clinical effects and underlying molecular mechanisms of antiviral therapy in the pathological reversal of liver fibrosis, as well as the current limitations, with the goal of providing literature references for upcoming clinical and basic research.
Research progress on signal pathways in hepatic fibrosis and targeted regulation mechanisms of active ingredients from traditional Chinese medicine
Wenyan FAN, Junyu HAO, Hongxiu CHEN, Guangwei LIU
2022, 38(11): 2599-2605. DOI: 10.3969/j.issn.1001-5256.2022.11.033
Abstract(1587) HTML (483) PDF (1916KB)(62)
Abstract:
Hepatic fibrosis is a common pathological stage of many chronic liver diseases. Activation of hepatic stellate cells is considered as a key event in the progression of hepatic fibrosis. The pathogenesis of liver fibrosis is modulated by various cytokines involved in several signal pathways, including NF-κB, TGF-β/Smad, Wnt/β-catenin, Hedgehog etc. With the rapid development of modern pharmacology and biotechnology, the underlying molecular mechanism of anti-liver fibrosis of active components from traditional Chinese medicine has been further elucidated. This article summarizes scientific outcomes of signal pathways involved in liver fibrosis and how active components of Chinese herbal medicines exhibit anti-liver fibrosis effects, aiming to provide a potential drug candidate as a treatment for liver fibrosis and to open up a new research field of therapeutics for liver fibrosis.
TIPS for treatment of refractory ascites in cirrhosis
Lanjing WANG, Xin YAO, Jianping QIN, Shanhong TANG
2022, 38(11): 2606-2610. DOI: 10.3969/j.issn.1001-5256.2022.11.034
Abstract(1032) HTML (224) PDF (1882KB)(65)
Abstract:
Refractory ascites (RA) is one of the complications of portal hypertension in decompensated cirrhosis. It is hard to treat RA and there is high mortality in patients with RA. Nowadays, Transjugular Intrahepatic Portosystemic Shunt (TIPS) is used as a second-line treatment for RA. TIPS can improve the clinical symptoms of ascites by reducing the pressure of portal vein. Accumulated studies have proposed that applications of polytetrafluoroethylene covered stents and careful selection of applied patients can improve the prognosis of RA patients. Therefore, some scholars propose that TIPS can be used as one of the first-line treatments for RA. This review will comprehensively summarize current understanding of TIPS in treating RA patients and elaborate the most recently updated progress of the relevant researches, aiming to promote the development of studies on using TIPS as a treatment for RA patients in China.
Mechanism of NLRP3 inflammasome promoting hepatic stellate cell activation
Jing PENG, Wei YUAN, Sihan YIN, Kewei SUN
2022, 38(11): 2611-2615. DOI: 10.3969/j.issn.1001-5256.2022.11.035
Abstract(1560) HTML (1175) PDF (2985KB)(109)
Abstract:
Liver fibrosis is the common result of various chronic liver injuries and can progress to liver cirrhosis and even liver cancer, and at present, there is still no effective means to reverse liver fibrosis. The transformation of activated hepatic stellate cells (HSC) in perisinusoidal space into myofibroblasts and the secretion of collagen are a central event in the process of liver fibrosis. NLRP3 inflammasome can be activated by various injury stimuli and mediate inflammatory response and pyroptosis. Recent studies have found that the activation of NLRP3 inflammasome is closely associated with HSC activation. This article introduces the activation of NLRP3 inflammasome in different pathways in HSC under various pathological factors and role of NLRP3 inflammasome in the formation of extracellular inflammatory microenvironment, thereby mediating HSC activation and playing an important role in promoting liver fibrosis.
Current research status and prospect of circulating tumor DNA in hepatocellular carcinoma
Zhiyuan HOU, Yuan LIU, Chaoran YANG, Jisen ZHAO, Shujie CHENG
2022, 38(11): 2616-2620. DOI: 10.3969/j.issn.1001-5256.2022.11.036
Abstract(1061) HTML (622) PDF (1902KB)(73)
Abstract:
Hepatocellular carcinoma (HCC) is one of the most common malignant tumors in the world, with the features of insidious onset, low surgical resection rate, and frequent early metastasis and recurrence. With the development of new molecular biology technology in recent years, a liquid biopsy technology, circulating tumor DNA (ctDNA) detection, has achieved encouraging results. This article reviews the current research status and future prospects of ctDNA as a key component of liquid biopsy in patients with HCC, in order to provide new ideas for the clinical treatment of HCC.
Function and regulatory mechanism of T lymphocytes in tumor immune microenvironment of hepatocellular carcinoma
Mengkui HAN, Jin LI, Xiaohua YANG
2022, 38(11): 2621-2626. DOI: 10.3969/j.issn.1001-5256.2022.11.037
Abstract(1243) HTML (1140) PDF (2540KB)(95)
Abstract:
As the key immune cells in tumor immune microenvironment, T lymphocytes can affect the proliferation and migration of hepatocellular carcinoma (HCC) cells and control tumor progression through the secretion of cytokines, cytotoxic enzymes (perforin, granzyme B), and other pathways. At the same time, immune cells such as dendritic cells and myeloid-derived suppressor cells in tumor immune microenvironment can regulate the immune function of different T cell subsets through various pathways. This article summarizes the influence of common immune cells in tumor immune microenvironment on the function of T lymphocytes and the mechanism of action of key signaling pathways associated with the functional regulation of T lymphocytes in HCC, so as to provide ideas and clues for developing better therapeutic strategies for HCC.
Role of signal transducer and activator of transcription 1 in regulation of Treg/Th17 balance in hepatocellular carcinoma
Rui SONG, Jing LI, Hongju YANG, Minyue LI, Jing YOU
2022, 38(11): 2627-2631. DOI: 10.3969/j.issn.1001-5256.2022.11.038
Abstract(1226) HTML (444) PDF (2152KB)(51)
Abstract:
The regulatory T cells (Treg) and helper T cells 17 (Th17) play an important role in regulation of the tumor microenvironment in hepatocellular carcinoma (HCC) because Treg/Th17 imbalance was associated with HCC cell invasion and progression. Moreover, the suppressor of cytokine signaling 1 (SOCS1), a negative regulator of the Janus kinase (JAK)/signal transducers and activators of transcription (STAT) pathway, regulates Treg and Th17 proliferation and differentiation. This review summarized and discussed the recent advancement and progress in control of the Treg/Th17 balance in HCC and the immunity-related mechanisms in HCC development and progression, i.e., the SOCS1 structure and functions, SOCS1 role in regulation of Treg/Th17 balance in HCC, and future research direction of the field.
Regulatory effect of immune checkpoint TIGIT/CD155 on the immune microenvironment of primary liver cancer and its application prospects
Fan YAO, Xin YIN
2022, 38(11): 2632-2635. DOI: 10.3969/j.issn.1001-5256.2022.11.039
Abstract(1495) HTML (370) PDF (2121KB)(98)
Abstract:
With the application of immune checkpoint inhibitors in various solid tumors, problems such as drug resistance and poor response gradually occur, and therefore, in order to better improve the prognosis of patients, it is urgent to explore better immunotherapy regimens. This article introduces an emerging immune checkpoint TIGIT and its high-affinity ligand CD155 and summarizes the regulatory effect of the TIGIT/CD155 pathway on the immune microenvironment of liver cancer and the application of inhibitors targeting TIGIT in immunotherapy for liver cancer. It is believed that TIGIT/CD155 can change the immune microenvironment of liver cancer through immune cells and stromal cells, thereby causing immune escape and worsening of disease conditions. The analysis shows that the targeted therapy for TIGIT will become a new direction for the development of liver cancer therapy and play an important role in combined immunotherapy.
Research advances in traditional Chinese medicine in regulating epithelial-mesenchymal transformation to inhibit hepatocellular carcinoma metastasis
Jue WANG, Chunlei ZHANG, Kaiyue TANG, Peiyong ZHENG, Haiyan SONG
2022, 38(11): 2636-2642. DOI: 10.3969/j.issn.1001-5256.2022.11.040
Abstract(1156) HTML (580) PDF (2270KB)(66)
Abstract:
Metastasis is an important factor for the high recurrence and mortality rates of hepatocellular carcinoma (HCC), and epithelial-mesenchymal transition (EMT) is an important mechanism of HCC metastasis. EMT is regulated by the transcription factors such as Snail, Twist, and ZEB which are mediated by a variety of signaling pathways including TGF-β, Wnt/β-catenin, and Notch. Inhibition of EMT-related molecules and signal pathways in HCC is considered as an important approach to inhibit the invasion and metastasis of HCC. Recent studies have shown that a variety of compound traditional Chinese medicine (TCM) formula or their effective constituents can inhibit the invasion and metastasis of HCC by arresting or reversing EMT in HCC. This article reviews the role and mechanism of EMT and recent studies on TCM drugs and their derived natural compounds in inhibiting the invasion and metastasis of HCC by regulating cell EMT, so as to provide a scientific basis for the TCM prevention and treatment of HCC metastasis and new ideas for HCC treatment.
Research advances in bone marrow mesenchymal stem cells and its exosomes in treatment of end-stage liver disease
Yue LIANG, Yonghong HU, Wei LIU, Yongping MU, Jiamei CHEN, Ping LIU
2022, 38(11): 2643-2648. DOI: 10.3969/j.issn.1001-5256.2022.11.041
Abstract(1320) HTML (357) PDF (2513KB)(90)
Abstract:
End-stage liver disease is the late stage of various acute and chronic liver diseases with high mortality and seriously threatens people's health. Liver transplantation is currently an effective treatment method for this disease, but its clinical application is greatly limited by the factors such as shortage of donors and high costs. In recent years, clinical and basic studies have shown that bone marrow mesenchymal stem cell and its exosomes have good clinical application prospects in the treatment of end-stage liver disease. This article reviews the mechanism of action and clinical application of bone marrow mesenchymal stem cell and its exosomes in the treatment of end-stage liver disease, so as to provide a reference for further research.
Mechanism of action of macrophage polarization in non-neoplastic liver diseases and related targeted therapies
Weiyu CHEN, Xiaobin QIN, Yingyu LE, Han WANG, Xiaorong LONG, Dewen MAO
2022, 38(11): 2649-2653. DOI: 10.3969/j.issn.1001-5256.2022.11.042
Abstract(1287) HTML (571) PDF (1885KB)(52)
Abstract:
Macrophages, as important immune cells, are involved in the key processes that maintain the homeostasis of intrahepatic microenvironment. Recent studies have shown that different liver diseases can induce macrophage polarization (MPP) and form M1 and M2 phenotypes with mutual antagonism. The former promotes the clearance of pathogens and inhibits tumor progression, while the latter exerts an anti-inflammatory effect and promotes tissue repair. However, there are significant differences in the mechanism of action and phenotypic switching of MPP in different liver diseases or at different pathological stages of the disease. This article focuses on the origin and polarization characteristics of intrahepatic macrophages and summarizes the research advances in the role of MPP in the pathogenesis and therapeutic drugs of non-neoplastic liver diseases such as viral hepatitis, alcoholic liver disease, non-alcoholic fatty liver disease, and liver fibrosis, in order to explore the potential of MPP in regulating the immune response and inflammatory response of liver diseases.
Regulation of hepatocyte polarity
Yuanpeng MAO, Hongshan WEI
2022, 38(11): 2654-2658. DOI: 10.3969/j.issn.1001-5256.2022.11.043
Abstract(1057) HTML (744) PDF (1881KB)(100)
Abstract:
Hepatocytes are highly polarized cells, and the establishment and maintenance of hepatocyte polarity are critical for the various functions of hepatocytes. The dynamic stability of hepatocyte polarity is associated with various factors including intercellular junctions, polarity complex proteins, and several signaling pathways. Abnormal hepatocyte function is often observed when polarity gets destroyed, which may eventually lead to various liver diseases. At present, there are still a few studies on the regulation of hepatocyte polarity, and many key factors have not been fully elucidated. This article briefly introduces the recent research advances in the regulation of hepatocyte polarity.
The role of competitive endogenous RNA in the development of cholangiocarcinoma
Baolin XU, Yu CHENG, Yong WEI
2022, 38(11): 2659-2662. DOI: 10.3969/j.issn.1001-5256.2022.11.044
Abstract(793) HTML (243) PDF (1861KB)(31)
Abstract:
Cholangiocarcinoma is a highly malignant tumor with a poor prognosis, limited treatment options, and complicated pathogenesis. Competitive endogenous RNA is a kind of transcripts that can competitively bind miRNA, including long non-coding RNA and circular RNA. Competitive endogenous RNA is known to be involved in a variety of tumors. It can modulate the occurrence and development of cholangiocarcinoma by regulating the biological behavior, cell metabolism, inflammatory process and epithelial-mesenchymal transition of cholangiocarcinoma cells. Here we review recent research progress on the role of long non-coding RNA and circular RNA in cholangiocarcinoma to help better understand the pathogenesis of cholangiocarcinoma.
Molecular mechanism of liver injury in acute pancreatitis
Wenqian XU, Min GUO, Xiao WANG, Yaoqi WU, Jinyuan ZHANG, Heguo LI
2022, 38(11): 2663-2668. DOI: 10.3969/j.issn.1001-5256.2022.11.045
Abstract(1669) HTML (761) PDF (4435KB)(145)
Abstract:
Acute pancreatitis often progresses rapidly, and if it is not controlled in time, it may lead to multiple organ injury and even death due to organ failure. At present, there is still a high proportion of patients with acute pancreatitis who died due to liver failure. The liver and the pancreas are interrelated physiologically and affect each other pathologically. This article elaborates on the molecular mechanism of liver injury in acute pancreatitis from the six aspects of the physiological relationship between the pancreas and the liver, cytokines, inflammatory response, oxidative stress, microcirculation disturbance, and intestinal flora translocation.
Correlation of systemic immune-inflammation index and pancreatic cancer prognosis, recent research progress
Faquan ZHOU, Shi CHEN, Hongyu SUN, Lijun TANG
2022, 38(11): 2669-2672. DOI: 10.3969/j.issn.1001-5256.2022.11.046
Abstract(800) HTML (581) PDF (1863KB)(50)
Abstract:
Inflammation is associated with cancer development and plays a crucial role in pancreatic cancer progression. Inflammatory cell infiltration in the tumor lesion is a part of the tumor microenvironment, which could promote tumor cell proliferation, invasion, and metastasis. Recently developed systemic immune-inflammation index (SII) based on level of neutrophils, lymphocytes, and platelets was used to predict prognosis of cancer patients, including pancreatic cancer patients. This review summarized and discussed recent research progress on correlation of systemic immune-inflammation index and pancreatic cancer prognosis to provide appropriate treatment selections.
Introduction of High-quality Articles in Foreign Journals
Journal of Viral Hepatitis|Reversibility of acute-on-chronic liver failure syndrome in hepatitis B virus-infected patients with and without prior decompensation
2022, 38(11): 2545-2545. DOI: 10.3969/j.issn.1001-5256.2022.11.gwjpwzjj1
Abstract(486) HTML (195) PDF (860KB)(58)
Abstract:
Hepatology|Combinatorial targeting of G-protein-coupled bile acid receptor 1 and cysteinyl leukotriene receptor 1 reveals a mechanistic role for bile acids and leukotrienes in drug-induced liver injury
2022, 38(11): 2550-2550. DOI: 10.3969/j.issn.1001-5256.2022.11.gwjpwzjj2
Abstract(574) HTML (158) PDF (855KB)(46)
Abstract:
Journal of Viral Hepatitis|240-week entecavir maleate treatment in Chinese chronic hepatitis B predominantly genotype B or C
2022, 38(11): 2662-2662. DOI: 10.3969/j.issn.1001-5256.2022.11.gwjpwzjj3
Abstract(588) HTML (199) PDF (860KB)(35)
Abstract:
Thanks
Current reviewers
2022, 38(11): 2570-2570. DOI: 10.3969/j.issn.1001-5256.2022.11.zhixie1
Abstract(320) HTML (128) PDF (1350KB)(35)
Abstract: