中文English
ISSN 1001-5256 (Print)
ISSN 2097-3497 (Online)
CN 22-1108/R

2021 No.7
Theme Issue: Concomitant chronic hepatitis B virus infection and nonalcoholic fatty liver disease
Executive Chief Editor: Zhao Jingmin 
The Fifth Medical Center of Chinese PLA General Hospital

Display Method:
Editorial
Current status and perspectives of the clinical and basic research on concomitant chronic hepatitis B virus infection and nonalcoholic fatty liver disease
Lina JIANG, Wei Li, Jingmin ZHAO
2021, 37(7): 1489-1494. DOI: 10.3969/j.issn.1001-5256.2021.07.001
Abstract(1607) HTML (361) PDF (2067KB)(229)
Abstract:
Chronic hepatitis B virus infection (CBI) and nonalcoholic fatty liver disease (NAFLD) are the two main etiologies of chronic liver diseases worldwide, and therefore, concomitant CBI and NAFLD (Co-CBI&NAFLD) is relatively common. There are still controversies over the influence of the interaction between CBI and NAFLD, especially NAFLD, on the progression, antiviral response, and outcome of chronic hepatitis B (CHB). Current clinical and basic research on Co-CBI&NAFLD have shown that NAFLD could inhibit HBV DNA replication to a certain degree, manifesting as a relatively low HBV DNA load, and it might increase HBsAg clearance rate in patients with CHB. Prospective or retrospective cohort studies have shown that patients with Co-CBI&NAFLD tend to have more rapid progression of liver fibrosis than those with CHB alone, as well as increased incidence rates of liver cirrhosis and hepatocellular carcinoma. Histologically, Co-CBI&NAFLD has the pathological changes of both CHB and NAFLD, and therefore, it is difficult to identify their own characteristic lesions. At present, the natural history and pathogenesis of Co-CBI&NAFLD remain unclear, and its pathological characteristics have not been fully identified. There is still a lack of high-level evidence-based supporting information on the influence of NAFLD on the course of CHB, especially its impact on antiviral response and disease outcome, and there are also no guidelines for the diagnosis/treatment or management of Co-CBI&NAFLD in China and globally. Solutions to the above issues will definitely deepen the understanding of Co-CBI&NAFLD, standardize and improve clinical diagnosis/treatment or management, and thus reduce the incidence and mortality rates of related end-stage liver diseases.
Discussions by experts
Interaction between hepatitis B virus replication and lipid metabolism in patients with chronic hepatitis B and NAFLD
Xiajie WEN, Guixin LI, Jie LI, Huiying RAO, Jidong JIA, Fengmin LU
2021, 37(7): 1495-1500. DOI: 10.3969/j.issn.1001-5256.2021.07.002
Abstract(2650) HTML (300) PDF (1978KB)(456)
Abstract:
There is still a large number of patients with chronic hepatitis B virus (HBV) infection in China, which greatly affects the health of Chinese people. With the change in lifestyle, the incidence rate of nonalcoholic fatty liver disease (NAFLD) is increasing year by year in China. Some clinical studies have shown that there is a relatively low incidence rate of chronic HBV infection with NAFLD, while there are still reports on NAFLD in promoting the progression of chronic hepatitis B-related diseases. Based on literature search and review, this article attempts to investigate the interaction between HBV replication, abnormal lipid metabolism, and fatty liver disease in patients with chronic hepatitis B and NAFLD, in order to provide ideas for HBV antiviral treatment and prevention of NAFLD.
Natural history and non-invasive diagnosis and clinical management of chronic HBV infection overlapping with nonalcoholic fatty liver disease
Liang XU, Ping LI, Lin CHEN, Yuqiang FU
2021, 37(7): 1501-1507. DOI: 10.3969/j.issn.1001-5256.2021.07.003
Abstract(1404) HTML (321) PDF (2001KB)(161)
Abstract:
Chronic HBV infection (CBI) overlapping with nonalcoholic fatty liver disease (NAFLD) is becoming more and more common. Most studies about the influence of overlapping with NAFLD on the natural history of CBI have shown that overlapping with NAFLD promotes not only the development of cirrhosis and hepatocellular carcinoma, but also all-cause mortality including death due to liver disease; however, some studies have reported different outcomes. The etiological diagnosis of liver injury in patients with CBI overlapping with NAFLD is a difficult issue in clinical practice, and liver histopathology is still the gold standard, while it is very important to explore noninvasive diagnostic methods. For patients with CBI overlapping with NAFLD, anti-HBV therapy should be given according to current diagnosis and treatment guidelines for CBI in addition to active prevention and treatment of NAFLD.
Chronic hepatitis B virus infection with nonalcoholic fatty liver disease: Problems faced by antiviral therapy
Yanhua TANG, Xingyu LU, Jian SUN
2021, 37(7): 1508-1514. DOI: 10.3969/j.issn.1001-5256.2021.07.004
Abstract(1529) HTML (622) PDF (1993KB)(169)
Abstract:
With an increase in the incidence rate of nonalcoholic fatty liver diseases (NAFLD), chronic hepatitis B virus (HBV) infection with NAFLD has become more and more common in clinical practice. In case of elevated alanine aminotransferase, identification of the underlying cause and timely implementation of effective management can prevent disease progression to liver cirrhosis and reduce the risk of hepatocellular carcinoma. Up to now, there is still a lack of recommendation on the clinical management of patients with chronic HBV infection and NAFLD in Chinese and international guidelines. This article reviews the latest guidelines for chronic HBV infection with NAFLD and discusses the influence of NAFLD on the indication for antiviral therapy, clinical outcome, and long-term prognosis in patients with chronic HBV infection and NAFLD, so as to provide a reference for the clinical management of such patients.
Role of mitochondrial injury in the development and progression of nonalcoholic fatty liver disease
Weichun XIAO, Wei AN
2021, 37(7): 1515-1521. DOI: 10.3969/j.issn.1001-5256.2021.07.005
Abstract(3229) HTML (1333) PDF (3281KB)(357)
Abstract:
Mitochondria are an important organelle and can regulate lipid metabolism, oxidative phosphorylation, and ATP synthesis. Disorder of mitochondria biosynthesis, loss of mitochondrial homeostasis, and even mitochondrial structural damage will lead to lipid metabolism disorders and oxidative stress. Nonalcoholic fatty liver disease (NAFLD) is a chronic liver disease characterized by lipid accumulation in hepatocytes. NAFLD is a progressive disease manifesting as the process from hepatocyte steatosis to steatohepatitis, liver fibrosis, and liver cirrhosis. It is currently believed that mitochondria play an important role in the onset of NAFLD, and thus NAFLD is also referred to as "mitochondrial disease". This article reviews the association of mitochondrial injury, such as lipid metabolism disorders, change in reactive oxygen species, and loss of mitochondrial homeostasis, with the development and progression of NAFLD.
Hotspot·Perspective·Viewpoint
Global elimination of viral hepatitis as a public health threat: Promoting diagnosis and treatment is the key to reducing mortality
Fuqiang CUI
2021, 37(7): 1522-1524. DOI: 10.3969/j.issn.1001-5256.2021.07.006
Abstract(1332) HTML (413) PDF (1927KB)(151)
Abstract:
According to Global progress report on HIV, viral hepatitis and sexually transmitted infections, 2021 - Accountability for the global health sector strategies 2016-2021: Actions for impact, released by WHO on May 20, 2021, there is still an estimated number of 296 million people with hepatitis B virus (HBV) infection and 58 million people with hepatitis C virus (HCV) infection in 2019. Among the individuals with chronic infections, only 30.4 million (10%) of those with chronic HBV infection were diagnosed, among whom 6.6 million (22%) received antiviral therapy. Globally, 15.2 million (21%) of those with HCV infection have been diagnosed, among whom 9.4 million (62%) received antiviral therapy. Although significant progress has been made in eliminating viral hepatitis globally by 2020, there is still a large gap from the 2030 goal, and global attention should be paid to eliminating viral hepatitis and promoting the diagnosis and treatment of viral hepatitis. WHO and all regions should continue to support the elimination of viral hepatitis, and meanwhile each member state should also actively implement the elimination of viral hepatitis, promote national strategies for diagnosis and treatment as soon as possible, and improve the coverage of diagnosis and treatment.
Academic contention
Diagnostic criteria should be reevaluated in immune-tolerant phase of chronic hepatitis B virus infection and research should be focused on the population aged > 35 years
Yihua ZHOU
2021, 37(7): 1525-1526. DOI: 10.3969/j.issn.1001-5256.2021.07.007
Abstract(872) HTML (231) PDF (1915KB)(131)
Abstract:
"Treat All" is not recommended in chronic HBV infection patients with normal ALT
Airong HU, Yaoren HU
2021, 37(7): 1527-1527. DOI: 10.3969/j.issn.1001-5256.2021.07.008
Abstract(1024) HTML (258) PDF (1901KB)(162)
Abstract:
Thoughts on recommendations for immune-tolerant phase of chronic hepatitisB virus infection in Guidelines for the management of hepatitis B (version 3.3) released by the Japan Society of Hepatology
Aiping WANG, Chunyang WEN
2021, 37(7): 1528-1528. DOI: 10.3969/j.issn.1001-5256.2021.07.009
Abstract(1285) HTML (413) PDF (1902KB)(183)
Abstract:
Value of a nomogram model in predicting significant liver injury in patients with immune-tolerant phase chronic hepatitis B
Chunyan WANG, Wucai YANG, Wenhui TAN, Ya DENG, Chang GUO, Shan ZHANG, Jianjun WANG, Guofeng CHEN, Dong JI
2021, 37(7): 1529-1533. DOI: 10.3969/j.issn.1001-5256.2021.07.010
Abstract(1581) HTML (307) PDF (2739KB)(122)
Abstract:
  Objective  To investigate the high-risk factors for significant liver injury in patients with immune-tolerant phase chronic hepatitis B (IT-CHB), and to establish a nomogram predictive model.  Methods  A retrospective analysis was performed for the data of 382 patients with chronic HBV infection who underwent liver biopsy in The Fifth Medical Center of Chinese PLA General Hospital from August 2002 to December 2017, and according to the presence or absence of significant liver injury, the patients were divided into significant liver injury group (≥G2/S2) with 82 patients and non-significant liver injury group with 300 patients. The independent samples t-test was used for comparison of normally distributed continuous data between groups, and the Mann-Whitney U test was used for comparison of non-normally distributed continuous data between groups; the Kruskal-Wallis H test was used for comparison between multiple groups; the chi-square test was used for comparison of categorical data between groups. The Spearman rank correlation test was used to investigate correlation. Univariate and multivariate logistic regression analyses were used to screen out high-risk factors and establish a nomogram model. Concordance index (C-index), the receiver operating characteristic (ROC) curve, calibration curve, and the bootstrap method were used to evaluate the discrimination and calibration abilities of the nomogram.  Results  There were significant differences between the two groups in age, HBV DNA load, alanine aminotransferase, aspartate aminotransferase (AST), and platelet count (PLT) (t=-7.071, Z=-4.924, -3.693, -6.945, -0.585 and -5.723, all P < 0.001). The logistic regression analysis showed that age (odds ratio [OR]=1.074, 95% confidence interval [CI]: 1.043-1.107, P < 0.001), HBV DNA load (OR=0.442, 95%CI: 0.314-0.624, P < 0.001), AST(OR=1.096, 95%CI: 1.051-1.142, P < 0.001), and PLT(OR=0.992, 95%CI: 0.986-0.998, P=0.006) were high-risk factors for significant liver injury. The nomogram model established based on the above factors had a C-index of 0.845 in predicting significant liver injury and had a well-fitted calibration curve, with an area under the ROC curve (AUC) of 0.845 (95%CI: 0.795-0.895), which was significantly better than aspartate aminotransferase-to-platelet ratio index (AUC=0.781, 95%CI: 0.723-0.840) and fibrosis-4(AUC=0.802, 95%CI: 0.746-0.859).  Conclusion  There is a high proportion of IT-CHB patients with significant liver injury. The nomogram model established based on age, HBV DNA, AST, and PLT has a good predictive accuracy and can be used to predict significant liver injury in IT-CHB patients individually, reduce the need for liver biopsy, and provide a reference for precise antiviral treatment.
Guidelines
In-hospital process for viral hepatitis C screening and management in China (Draft)
China Liver Health, Chinese Society of Hepatology, Chinese Medical Association, Chinese Society of Laboratory Medicine, Chinese Medical Association, Hospital Infection Management Committee of Chinese Hospital Association
2021, 37(7): 1534-1539. DOI: 10.3969/j.issn.1001-5256.2021.07.011
Abstract(1718) HTML (837) PDF (3399KB)(346)
Abstract:
Viral hepatitis C is one of the important causes of liver cirrhosis and hepatocellular carcinoma. There are approximately 10 million cases of chronic hepatitis C virus (HCV) infection in China. However, over 70% of HCV infections of China have not yet been detected. According to the goal of "eliminating viral hepatitis as a public health threat by 2030" of the World Health Organization Viral Hepatitis Stratrgy, and the fact that medical institutions remain the main places for detecting HCV infections or patients in China at present, we established the " In-hospital process for viral hepatitis C screening and management in China(Draft)", with intention to promote multidisciplinary collaboration and cooperation among the departments of clinic, laboratory, infection control, management, and etc. in medical institutions, and strengthen consultation and referral of patients with detected HCV antibodies and advance the diagnosis and antiviral treatment of patients with chronic hepatitis C.
Expert consensus on standardized treatment of decompensated liver cirrhosis with stem cell transplantation (2021)
Group of Stem Cell Engineering, Medical Engineering Society of Chinese Medical Association
2021, 37(7): 1540-1544. DOI: 10.3969/j.issn.1001-5256.2021.07.012
Abstract(2180) HTML (2592) PDF (1991KB)(759)
Abstract:
Expert consensus on integrated traditional Chinese and Western medicine rehabilitation after transcatheter arterial chemoembolization for primary liver cancer
National Science and Technology Major Project of the Ministry of Science and Technology of China-Prevention and Treatment of Major Infectious Diseases such as AIDS and Viral Hepatitis-Research Group of "Comprehensive Treatment Plan for Retarding Hepatitis B Related Liver Cancer Progression with Traditional Chinese Medicine", Oncology Expert Committee of Integrated Traditional Chinese and Western Medicine Branch of Chinese Medical Doctor Association, Digestive Rehabilitation Branch of Henan Rehabilitation Medical Association, Liver Disease Branch of Henan Society of Integrated Traditional Chinese and Western Medicine
2021, 37(7): 1545-1549. DOI: 10.3969/j.issn.1001-5256.2021.07.013
Abstract(1584) HTML (1103) PDF (2019KB)(243)
Abstract:
An excerpt of EASL position paper on the use of COVID-19 vaccines in patients with chronic liver diseases, hepatobiliary cancer and liver transplant recipients (2021)
Jiabao GENG, Yuecheng YU
2021, 37(7): 1550-1552. DOI: 10.3969/j.issn.1001-5256.2021.07.014
Abstract(1020) HTML (213) PDF (1965KB)(110)
Abstract:
Guideline interpretation
Interpretation of European Society for Clinical Nutrition and Metabolism practical guideline : Clinical nutrition in liver disease (2020)
Dandan JIA, Guiying ZHU, Shiyao LIAO, Hui ZHANG, Hui GUO, Lili YANG, Changmiao WANG
2021, 37(7): 1553-1557. DOI: 10.3969/j.issn.1001-5256.2021.07.015
Abstract(2261) HTML (415) PDF (1959KB)(495)
Abstract:
In December 2020, European Society for Clinical Nutrition and Metabolism (ESPEN) issued the latest practical guidelines for clinical nutrition in liver disease on the basis of the published ESPEN guidelines for clinical nutrition in liver disease and the latest clinical evidence. The guideline proposes 103 statements and recommendations for the nutritional and metabolic management of patients with acute liver failure, alcohol and nonalcoholic steatohepatitis, liver cirrhosis, and liver transplantation, which summarizes the principles and measures for clinical nutrition in diagnosis and treatment and provides more comprehensive guidance for nutrition program.
Original articles_Viral hepatitis
Clinical follow-up of children with immune-tolerant chronic hepatitis B receiving antiviral therapy
Pan ZHAO, Yi DONG, Jiaqi LIU, Xue GAO, Yiwei WU, Shishu ZHU, Limin WANG, Zhenman WEI
2021, 37(7): 1558-1560. DOI: 10.3969/j.issn.1001-5256.2021.07.016
Abstract(1138) HTML (229) PDF (2006KB)(108)
Abstract:
  Objective  To investigate the long-term clinical benefits of antiviral therapy in children with immune-tolerant chronic hepatitis B.  Methods  Long-term follow-up was performed for 46 children with immune-tolerant chronic hepatitis B who were enrolled in the treatment group of the previous randomized controlled trial, and clinical evaluation was performed at weeks 108, 120, 132, 144, 168, and 192 after the trial started.  Results  All 46 patients completed the follow-up. From week 96 (after the clinical trial started) to week 192 (when the follow-up ended), another 3 patients achieved serum HBV DNA clearance, another 7 patients achieved serum HBeAg clearance, another 6 patients achieved HBeAg seroconversion, and another 3 patients achieved HBsAg seroconversion, while there was no change in the number of patients who achieved serum HBsAg clearance, with a total number of 37 (80.4%), 22 (47.8%), 21 (45.7%), 10(21.7%), and 10(21.7%), respectively. Among these patients, 9(19.6%) did not achieve HBV DNA clearance and they all had virologic breakthrough after drug withdrawal.  Conclusion  Further large-sample clinical trials are needed to investigate antiviral therapy for children with immune-tolerant chronic hepatitis B.
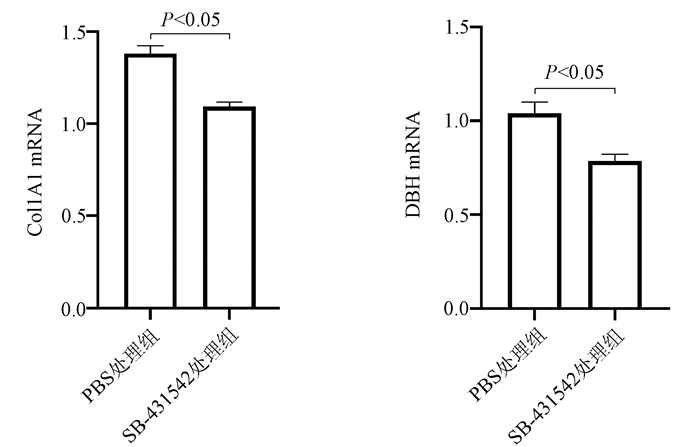
Effect of hepatitis B x gene-overexpressed hepatocytes on the proliferation and activation of hepatic stellate cells and related mechanism
Tingyu REN, Hezhongrong NIE, Lijia XIAO, Fangnan LIN, Daming WANG, Chunli SONG, Yiwen ZHOU
2021, 37(7): 1561-1566. DOI: 10.3969/j.issn.1001-5256.2021.07.017
Abstract(1575) HTML (459) PDF (3213KB)(100)
Abstract:
  Objective  To investigate the effect of hepatitis B virus (HBV) infection on the activation of hepatic stellate cells (HSCs) and its mechanism of action.  Methods  A total of 30 plasma samples of chronic hepatitis B patients, 42 plasma samples of hepatitis B cirrhosis patients, 30 plasma samples of hepatocellular carcinoma patients, and 18 plasma samples of the individuals undergoing physical examination were collected from November 2020 to January 2021, and ELISA was used to measure the content of hepatitis B X protein (HBx), transforming growth factor-β1 (TGFβ1), dopamine beta-hydroxylase (DBH), and hydroxyproline (HYP) in plasma and conditioned medium. LO2 cells were used to establish a cell line with stable overexpression of HBx (LO2-HBx) and negative control cells (LO2-con), and a conditioned medium was prepared for LO2-HBx, LO2-Con, and LO2 cells (Mock), respectively; human HSC cell line LX-2 was incubated and divided into LX-2/LO2-HBx, LX-2/LO2-con, and LX-2/Mock groups, and CCK-8 assay was used to measure the change in cell proliferation. LX-2 cells were stimulated by rhTGFβ1, and the cells in the LX-2/LO2-HBx group were treated with a TGFβ1 receptor inhibitor. Quantitative real-time PCR and Western blot were used to measure the expression of HBx in LO2 cells and the expression of alpha-smooth muscle actin (α-SMA), collagen type Ⅰ alpha 1 (Col1A1), DBH, and TGFβ1 in the above LX-2 cells. An analysis of variance was used for comparison between multiple groups, and the Bonferroni method was used for further comparison; the t-test was used for comparison between two groups; the Pearson method was used for correlation analysis.  Results  LO2-HBx stably expressed HBx protein and showed an increase in the content of TGFβ1 in supernatant (F=324.701, P < 0.01). The co-cultured LX-2/LO2-HBx group had a significant change in cell morphology, with the presence of cell shrinkage, extended cytoplasmic process, and reduced lipid droplets, and compared with the LX-2/LO2-con group, the LX-2/LO2-HBx group had significant increases in proliferative activity (P < 0.05) and the mRNA and protein expression levels of α-SMA and Col1A1 (mRNA: F=144.712 and 76.680, both P < 0.01; protein: F=234.142 and 528.708, both P < 0.001). The LX-2/LO2-HBx group had significant increases in the content of TGFβ1 (F=29.382, P < 0.01) and DBH (F=42.662, P < 0.01). With the increase in the stimulating concentration of rhTGFβ1, there were significant increases in the expression of α-SMA (F=1 794.031, P < 0.01), Col1A1 (F=91.340, P < 0.01), and DBH (F=2 501.011, P < 0.01), which reached the peak values at the rhTGFβ1 concentration of 10 ng/ml, and after a TGFβ1 receptor inhibitor was added to the conditioned medium, the LO2-HBx group had significant reductions in the expression of DBH and Col1A1 compared with the control group (t=3.603 and 5.798, both P < 0.05). Compared with the healthy control group, the chronic hepatitis B, liver cirrhosis, and hepatocellular carcinoma groups had significant increases in the plasma levels of TGFβ1 (F=51.188, P < 0.001), HBx (F=39.227, P < 0.001), DBH (F=34.431, P < 0.001), and HYP (F=16.211, P < 0.001), and a positive correlation was observed between plasma HBx and TGFβ1, between TGFβ1 and DBH, and between HYP and DBH (r= 0.931, 0.863, and 0.765, all P < 0.001).  Conclusion  HBx protein can promote the secretion of TGFβ1 in LO2 cells, induce the proliferation and activation of LX-2 cells, promote the development of liver fibrosis, and upregulate the expression of TGFβ1 and DBH in LX-2 cells, and rhTGFβ1 stimulation can induce the activation of LX-2 cells and the upregulation of DBH expression.
Original articles_Liver fibrosis and liver cirrhosis
Value of five noninvasive serum models in the diagnosis of chronic hepatitis B liver fibrosis
Xinlan ZHOU, Yanbing WANG, Wei LU, Xiufang LI, Dan HUANG, Zhanqing ZHANG, Rongrong DING
2021, 37(7): 1567-1571. DOI: 10.3969/j.issn.1001-5256.2021.07.018
Abstract(1767) HTML (508) PDF (1963KB)(132)
Abstract:
  Objective  To investigate the value of aspartate aminotransferase-to-platelet count ratio index (APRI), fibrosis-4 (FIB-4) score, gamma-glutamyl transpeptidase-to-platelet ratio (GPR), Göteborg University Cirrhosis Index (GUCI) score, and King's score in assessing liver fibrosis stage in patients with chronic hepatitis B (CHB).  Methods  A total of 612 patients with CHB who were hospitalized in Department of Hepatobiliary Medicine, Shanghai Public Health Clinical Center, from January 2016 to December 2018 and underwent liver biopsy and routine laboratory examinations were enrolled. The Scheuer method was used to determine inflammation grade (G) and fibrosis stage (S), and related clinical indicators were used to calculate APRI, FIB-4, GPR, GUCI score, and King's score. The t-test was used for comparison of normally distributed continuous data between groups, and the Mann-Whitney U test was used for comparison of non-normally distributed continuous data between groups; the chi-square test was used for comparison of categorical data between groups. A Spearman correlation analysis was used to investigate the correlation between two variables, and the area under the ROC curve (AUC) was used to compare diagnostic performance.  Results  There were significant differences in GPR, APRI, FIB-4, King's score, and GUCI score between the patients with S1-S2 fibrosis and those with S3-S4 fibrosis (Z=8.683, 7.372, 6.294, 7.204, and 7.795, all P < 0.001). GPR, APRI, FIB-4, King's score, and GUCI score were all positively correlated with liver fibrosis stage (r=0.54, 0.48, 0.44, 0.48, and 0.49, all P < 0.001). In the diagnosis of ≥S2, ≥S3, and S4 liver fibrosis, GPR had AUCs of 0.76, 0.80, and 0.82, respectively; APRI had AUCs of 0.75, 0.75, and 0.74, respectively; FIB-4 had AUCs of 0.70, 0.75 and 0.78, respectively; King's score had AUCs of 0.74, 0.76, and 0.77, respectively; GUCI had AUCs of 0.75, 0.76, and 0.76, respectively.  Conclusion  Among these five noninvasive models, GPR has the best diagnostic performance in determining liver fibrosis stage in patients with CHB.
Value of spleen stiffness measured by two-dimensional shear wave elastography combined with platelet count/spleen diameter ratio in evaluating moderate-to-severe gastroesophageal varices in patients with hepatitis B cirrhosis
Minrui YU, Jie YANG, Jinyong WANG, Bo ZHOU, Bin JIANG, Baocheng DENG
2021, 37(7): 1572-1577. DOI: 10.3969/j.issn.1001-5256.2021.07.019
Abstract(1357) HTML (307) PDF (2308KB)(81)
Abstract:
  Objective  To establish a noninvasive diagnostic model for moderate-to-severe gastroesophageal varices (GEV) in patients with hepatitis B cirrhosis.  Methods  The patients with hepatitis B cirrhosis who attended The First Affiliated Hospital of China Medical University from October 2017 to December 2019 were enrolled, and with the results of gastroscopy as the gold standard, the patients were divided into none-to-mild GEV group and moderate-to-severe GEV group. The Mann-Whitney U test was used for comparison of non-normally distributed continuous data between groups, and the chi-square test was used for comparison of categorical data. A logistic regression analysis was used to investigate the association of moderate-to-severe GEV with spleen stiffness measured by two-dimensional shear wave elastography (2D-SWE) and platelet count (PLT)/spleen diameter ratio in patients with hepatitis B cirrhosis, and with the backward method for independent variable screening, a regression equation, i.e., a diagnostic model, was established and validated. The receiver operating characteristic (ROC) curve was plotted to investigate the diagnostic value of noninvasive examination indices including liver and spleen stiffness, PLT/spleen diameter ratio, and the above diagnostic model and obtain their cut-off values, the DeLong test was used to compare whether there is a statistical significance between the ROC curves of the above noninvasive indices. Results A total of 168 patients with hepatitis B cirrhosis were enrolled, among whom 67 were diagnosed with moderate-to-severe GEV. There were significant differences in PLT, alanine aminotransferase, albumin, white blood cell count, and international normalized ratio between the none-to-mild GEV group and the moderate-to-severe GEV group (Z=-6.508, -2.132, -2.470, -4.510, and -5.298, all P < 0.05). There were also significant differences in spleen stiffness measured by 2D-SWE, spleen diameter, and PLT/spleen diameter ratio between the two groups (Z=-7.264, -5.924, and -7.028, all P < 0.05). The PLT/spleen diameter ratio had an area under the ROC curve (AUC) of 0.821 (95% confidence interval [CI]: 0.754-0.875) at the cut-off value of ≤6.7, with a sensitivity of 83.58% and a specificity of 74.26%; spleen stiffness had an AUC of 0.831 (95%CI: 0.766-0.885) at the cut-off value of ≥34.2 kPa, with a sensitivity of 85.07% and a specificity of 73.27%; liver stiffness had an AUC of 0.557 (95%CI: 0.479-0.634) at the cut-off value of ≥10.8 kPa, with a specificity of 79.10% and a sensitivity of 40.59%. There was a significant difference in AUC between liver stiffness and spleen stiffness, as well as between liver stiffness and PLT/spleen diameter ratio (Z=4.878 and 5.536, P < 0.001). The model of Y=-0.682+0.068×spleen stiffness-0.225 (PLT/spleen diameter ratio) was established for predicting moderate-to-severe GEV in patients with hepatitis B cirrhosis, which had an AUC of 0.860 (95%CI: 0.799-0.909), a sensitivity of 79.10%, a specificity of 81.19%, and an accuracy of 79.1%.  Conclusion  The noninvasive diagnostic model based on spleen stiffness measured by 2D-SWE and PLT/spleen diameter ratio can be used to assist the judgment of moderate-to-severe GEV in patients with hepatitis B cirrhosis, with a higher accuracy than liver stiffness or spleen stiffness alone.
Value of platelet-albumin-bilirubin score in predicting the short-term prognosis of patients with liver cirrhosis and acute upper gastrointestinal bleeding
Chen XU, Miao JIANG
2021, 37(7): 1578-1581. DOI: 10.3969/j.issn.1001-5256.2021.07.020
Abstract(1629) HTML (395) PDF (2087KB)(136)
Abstract:
  Objective  To investigate the value of platelet-albumin-bilirubin score (PALBI) in predicting the 30-day mortality of patients with liver cirrhosis and acute upper gastrointestinal bleeding (AUGIB).  Methods  A retrospective analysis was performed for the clinical data of 211 patients with liver cirrhosis who were admitted to Jinshan Hospital of Fudan University due to AUGIB from January 2016 to February 2020, and according to the survival status within 30 days, they were divided into death group with 24 patients and survival group with 187 patients. Epidemiological data (including age and sex) and laboratory examination results (including routine blood test results, hepatic and renal function, and coagulation function) were collected, and the scores of PALBI, albumin-bilirubin (ALBI), Child-Turcotte-Pugh (CTP), and Model for End-Stage Liver Disease (MELD) on admission were calculated and compared between the two groups. The t-test was used for comparison of continuous data between groups, and the chi-square test was used for comparison of categorical data between groups. With the application of 95% confidence interval, the receiver operating characteristic (ROC) curve and the area under the ROC curve (AUC) were used to evaluate the predictive ability of the model. The DeLong test was used for comparison of ROC curve.  Results  Compared with the survival group, the death group had significantly higher PALBI score (-1.47±0.35 vs -1.94±0.36, P < 0.001), ALBI score (-0.74±0.49 vs -1.38±0.51, P < 0.001), CTP score (10.25±1.98 vs 8.06±1.70, P < 0.001), and MELD score (17.25±4.68 vs 11.63±4.83, P < 0.001). PALBI, ALBI, CTP, and MELD scores had an AUC of 0.827, 0.824, 0.790, and 0.811, respectively, and there was no significant difference in AUC between any two scores (P > 0.05).  Conclusion  PALBI score has good performance in predicting the 30-day mortality of patients with liver cirrhosis and AUGIB and is comparable to CTP and MELD scores.
Role of thromboelastography in assessing the risk of spontaneous bleeding in patients with liver cirrhosis
Decui PEI, Sisi WEN, Haichun HU, Xiuxia ZHENG, Linfei LI, Jiewen DENG
2021, 37(7): 1582-1588. DOI: 10.3969/j.issn.1001-5256.2021.07.021
Abstract(1092) HTML (641) PDF (2243KB)(96)
Abstract:
  Objective  To investigate the association between thromboelastography (TEG) parameters and bleeding in patients with liver cirrhosis and whether TEG can be used to predict the risk of spontaneous bleeding in patients with liver cirrhosis, and to provide a basis for its preventive treatment.  Methods  A retrospective analysis was performed for the clinical data of 174 patients with liver cirrhosis who attended Huadu People's Hospital from May 2018 to April 2020 and did not receive invasive procedure, and according to the condition of bleeding, they were divided into non-bleeding group(n=64), gastrointestinal bleeding group(n=61), and mucocutaneous/oronasal bleeding group(n=49). The medical record system and laboratory information system were used to collect related information and laboratory test results for statistical analysis. The t-test was used for comparison of normally distributed continuous data between two groups; an analysis of variance was used for comparison between multiple groups, and the least significant difference t-test was used for further comparison between two groups. The Mann-Whitney U test was used for comparison of non-normally distributed continuous data between two groups, and the Kruskal-Wallis H test was used for comparison between multiple groups. MedCalc software was used for receiver operating characteristic (ROC) curve analysis, and the area under the ROC curve (AUC) was calculated for commonly used coagulation markers and TEG parameters in predicting the risk of bleeding in patients with liver cirrhosis. Cut-off value, sensitivity, specificity, positive predictive value, and negative predictive value were determined, and the Z test was used for comparison of indices in predicting mucocutaneous/oronasal bleeding.  Results  Of all 174 patients, 110 (63.2%) experienced spontaneous bleeding, among whom 61 (55.5%) had gastrointestinal bleeding and 49 (44.5%) had mucocutaneous/oronasal bleeding. There were significant differences in maximum amplitude (MA) and K between the bleeding group and the non-bleeding group (t=2.241 and -2.605, both P < 0.05). There were significant differences between the mucocutaneous/oronasal bleeding group and the non-bleeding/gastrointestinal bleeding groups in platelet count (PLT) and the TEG parameters of clot formation time, a-angle, MA, and coagulation index (CI) (F=3.947, H=12.867, F=4.007, F=8.498, F=5.420, all P < 0.05). Among the TEG parameters, reaction time and Lys30 were generally within the normal range, while there was a prolonged kinetics (K) time and reductions in a-angle, MA, and CI. PLT ≤40×109/L, MA ≤35.7 mm, K time > 4.2 minutes, a-angle ≤51.6, and CI ≤-5.9 could be used to predict spontaneous mucocutaneous/oronasal bleeding in patients with liver cirrhosis (all AUC > 0.7), with positive predictive values of 82.4, 88.9, 81.0, 72.7, and 73.7, respectively, and negative predictive values of 68.3, 72.5, 73.0, 69.4, and 66.7, respectively.  Conclusion  PLT and the TEG parameters of K time, a-angle, MA, and CI can predict spontaneous bleeding caused by abnormal coagulation in liver cirrhosis, while conventional coagulation parameters prothrombin time and activated partial thromboplastin time cannot predict such bleeding, which provides a basis for the treatment of coagulation disorder and transfusion of blood components for patients with liver cirrhosis.
Original articles_Liver neoplasms
Risk factors for hepatocellular carcinoma in patients with chronic hepatitis B
Long LIU, Ke SHI, Qun ZHANG, Chongping RAN, Jie HOU, Yi ZHANG, Xianbo WANG
2021, 37(7): 1589-1593. DOI: 10.3969/j.issn.1001-5256.2021.07.022
Abstract(1656) HTML (262) PDF (2229KB)(134)
Abstract:
  Objective  To investigate the risk factors for hepatocellular carcinoma (HCC) in patients with chronic hepatitis B (CHB).  Methods  A total of 1239 patients who were diagnosed with CHB in Beijing Ditan Hospital from January 2013 to June 2015 and were followed up for more than 3 years were enrolled, among whom 1108 had no liver cirrhosis and 131 had liver cirrhosis. General information and laboratory markers were collected. The chi-square test was used for comparison of categorical data between groups, and the t-test or the Mann-Whitney U test was used for comparison of continuous data between groups. The t-test was used for comparison of normally distributed continuous data between two groups, and the Mann-Whitney U test was used for comparison of non-normally distributed continuous data between two groups; the chi-square test for comparison of categorical data between two groups. A multivariate Cox regression analysis was used to identify the independent risk factors for HCC. The area under the ROC curve (AUC) was used to compare the ability of fibrosis-4 (FIB-4), modified FIB-4 (mFIB-4), and aspartate aminotransferase-to-platelet ratio index (APRI) scores to predict the development of HCC, and the DeLong test was used for comparison of AUC. Goodness of fit was used to evaluate the calibration ability of mFIB-4 score. The Kaplan-Meier method was used to analyze the development of HCC, and the log-rank test was used for comparison.  Results  The median follow-up time was 4.6 years, and of all patients, 37 (3.0%) developed HCC. The multivariate Cox regression analysis showed that age (hazard ratio [HR]=1.046, 95% confidence interval [CI]: 1.018-1.074, P=0.001), alanine aminotransferase (ALT) (HR=0.995, 95%CI: 0.992-0.999, P=0.008), aspartate aminotransferase (AST) (HR=0.994, 95%CI: 0.990-0.998, P=0.020), and platelet count (PLT) (HR=0.988, 95%CI: 0.981-0.994, P=0.001) were independent risk factors for HCC in CHB patients. The mFIB-4, FIB-4, and APRI scores had an AUC of 0.771, 0.658, and 0.676, respectively, and mFIB-4 score had a significantly higher AUC than FIB-4 score (Z=5.629, P < 0.000 1) and APRI score (Z=4.243, P < 0.000 1). Compared with the patients with mFIB-4 < 2.68, the patients with mFIB-4 ≥2.68 had a significantly higher risk of HCC (Z=37.840, P < 0.000 1).  Conclusion  Age, ALT, AST, and PLT are independent risk factors for HCC in CHB patients. Compared with FIB-4 and APRI scores, mFIB-4 s core has a higher value in predicting HCC in CHB patients. The patients with mFIB-4 ≥2.68 are the high-risk population of HCC.
Effectiveness and safety of ultrasound-guided ablation in treatment of primary liver cancer in dangerous areas
Ting WANG, Chunyan WANG, Jianyong LIU, Yonghe ZHOU, Wei LU, Jia LI, Li ZHOU
2021, 37(7): 1594-1598. DOI: 10.3969/j.issn.1001-5256.2021.07.023
Abstract(973) HTML (267) PDF (2312KB)(86)
Abstract:
  Objective  To investigate the effectiveness and safety of ultrasound-guided percutaneous local ablation in the treatment of liver cancer in dangerous areas.  Methods  A total of 179 patients with primary liver cancer who were admitted to Tianjin Second People's Hospital from January 2014 to September 2017 and underwent ultrasound-guided ablation for the first time were enrolled, and according to tumor location, the patients were divided into dangerous area group with 134 patients and non-dangerous area group with 45 patients. All patients received ablation therapy. The patients were followed up to observe tumor recurrence and death, and the patients without recurrence or death were followed up to September 2019. The two groups were compared in terms of complications after ablation, complete tumor response rate, tumor recurrence or progression, and postoperative survival. The two-independent-samples t-test was used for comparison of normally distributed continuous data between two groups; The Mann-Whitney U test was used for comparison of non- normally distributed continuous data between two groups, and the chi-square test was used for comparison of categorical data between two groups; the Kaplan-Meier method was used to analyze local tumor progression rate and cumulative survival rate, and the log-rank test was used for comparison between two groups.  Results  There were no significant differences in baseline levels between the two groups. There were no significant differences between the dangerous area group and the non-dangerous area group in the incidence rates of mild complications (42.5% vs 51.1%, χ2=1.002, P=0.317) and severe complications (6.0% vs 2.22%, χ2=0.453, P=0.290) and the reduction rate and normalization rate of alpha-fetoprotein within 1 month after ablation (reduction rate: 75.0% vs 80.0%, χ2=0.464, P=0.496; normalization rate: 33.9% vs 26.3%, χ2=0.381, P=0.537), and there was also no significant difference in complete tumor response rate between the two groups (91.8% vs 93.3%, P=0.990). The dangerous area group had 1- and 2-year progression-free survival rates of 60.7% and 37.1%, respectively, and the non-dangerous area group had 1- and 2-year progression-free survival rates of 63.5% and 55.0%, respectively, with a median progression-free survival time of 18 months and 27 months, respectively, and there was no significant difference between the two groups (χ2=0.573, P=0.449). The dangerous area group had 1- and 2-year cumulative survival rates of 96.8% and 90.3%, respectively, and the non-dangerous area group had 1- and 2-year cumulative survival rates of 93.3% and 87.8%, respectively, with no significant difference between the two groups (χ2=0.110, P=0.731).  Conclusion  Ultrasound-guided percutaneous local ablation is a feasible, safe, and effective method for the treatment of liver cancer in dangerous areas.
Expression of nucleolar spindle-associated protein 1 in hepatocellular carcinoma and its effect on clinical prognosis: A bioinformatics analysis
Xinmin JIN, Tongwang YANG, Qingguo XU, Huan LIU, Ge GUAN, Yunjin ZANG
2021, 37(7): 1599-1602. DOI: 10.3969/j.issn.1001-5256.2021.07.024
Abstract(1331) HTML (310) PDF (2591KB)(77)
Abstract:
  Objective  To investigate the expression of the nucleolar spindle-associated protein 1 (NUSAP1) gene in hepatocellular carcinoma (HCC) and its effect on clinical prognosis.  Methods  HCC microarray datasets GSE57957, GSE14520, GSE22058, GSE46444, GSE54236, GSE36376, GSE64041, GSE76297, GSE76427, and GSE102079 were downloaded from the Gene Expression Omnibus (GEO) database, and HCC RNA-Seq data were downloaded from The Cancer Genome Atlas (TCGA). R software 4.0 was used to investigate the difference in the expression of NUSAP1 between HCC tissue and adjacent tissue. The t-distributed stochastic neighbour embedding (t-SNE) method was used to perform dimensionality reduction of single-cell sequencing data and analyze the difference in the expression of NUSAP1 between HCC tissue and adjacent tissue. HCC tissue samples and adjacent tissue samples were collected from 42 patients with hepatitis B-related HCC who underwent liver transplantation in The Affiliated Hospital of Qingdao University from January 2018 to November 2019, and related clinical and pathological data were collected to analyze their correlation with the expression of the NUSAP1 gene. The chi-square test was used for comparison of paired data. The Kaplan-Meier method was used to analyze the correlation of the expression level of NUSAP1 with overall survival rate and disease-free survival, and the log-rank test was used for survival difference analysis; the results were visualized using Graphpad prim 7.  Results  NUSAP1 was highly expressed in HCC tissue in GEO and TCGA datasets (P < 0.001). The cells from HCC tissue had a significantly higher proportion of cells with high NUSAP1 expression than those from adjacent tissue. NUSAP1 showed high expression in HCC tissue of 29 patients and low expression in HCC tissue of 13 patients, and there were significant differences in Child-Pugh class, TNM stage, and Okuda stage between the high-expression group and the low-expression group (χ2=5.469, 6.836 and 4.617, all P < 0.05). The HCC patients with high expression of NUSAP1 had significantly lower overall survival rate and disease-free survival rate than those with low expression; compared with the patients with high expression, the patients with low expression had significantly higher 1-, 3-, and 5-year survival rates (92.96%/83.80%/76.76% vs 76.76%/67.60%/64.78%, P < 0.05), and the patients with high expression had a significantly shorter median survival time than those with low expression (61.7 months vs 108.6 months, P < 0.05).  Conclusion  NUSAP1 is highly expressed in cells from HCC tissue and may be used as a potential marker for poor prognosis of patients with hepatitis B-related HCC.
Original articles_Other liver diseases
Clinical features of children with hepatitis and granulocytopenia and risk factors for progression to aplastic anemia
Lili CAO, Jianguo YAN, Yi DONG, Shishu ZHU, Zhiqiang XU, Fuchuan WANG, Pu WANG, Aiqin LI, Limin WANG, Min ZHANG
2021, 37(7): 1603-1608. DOI: 10.3969/j.issn.1001-5256.2021.07.025
Abstract(1476) HTML (257) PDF (1975KB)(83)
Abstract:
  Objective  To investigate the incidence rate and clinical features of children with hepatitis and granulocytopenia and the risk factors for progression to aplastic anemia (AA).  Methods  A retrospective analysis was performed for 2944 children, aged ≤18 years, who were hospitalized due to abnormal liver function in Pediatric Liver Diseases Treatment and Research Center, The Fifth Medical Center of Chinese PLA General Hospital, from July 2014 to March 2020. Clinical features and prognosis were analyzed for children with new-onset neutropenia (< 1.5×109/L) during the course of the disease, and the risk factors for progression to AA were analyzed. The t-test was used for comparison of normally distributed continuous data between groups, and the Wilcoxon rank-sum test was used for comparison of non-normally distributed continuous data between groups; the chi-square test was used for comparison of categorical data between groups. A logistic regression analysis was used to investigate risk factors.  Results  Among the 2944 children admitted due to abnormal liver function, 38 had hepatitis with granulocytopenia, with an incidence rate of 1.3%. Among these 38 children, 68.4% (26/38) had drug-induced liver injury, 2.6% (1/38) had autoimmune hepatitis, and 28.9% (11/38) had unexplained liver injury; as for blood abnormalities, 21.1% (8/38) had granulocytopenia, 47.4% (18/38) had granulocytopenia and reductions in three lines of blood cells, 7.9% (3/38) had agranulocytosis, and 23.7% (9/38) had agranulocytosis and reductions in three lines of blood cells. Bone marrow cytology showed that among the 38 children, 14 (36.8%) were diagnosed with hepatitis-associated AA (HAAA) and 24 (63.2%) were diagnosed with non-HAAA. In order to analyze the risk factors for HAAA, there were significant differences in CD4+ (8.5% vs 17%, P=0.008) and CD4+/CD8+ ratio (0.17 vs 0.47, P=0.015) between the HAAA group and the non-HAAA group. Further multivariate logistic regression analysis showed that the reduction in CD4+ was a risk factor for HAAA (β=-4.757, P < 0.05). All 38 children were given routine liver-protecting, transaminase-lowering, and jaundice clearance treatment. Among the 14 children with HAAA, 6 had gradual recovery of hemogram after immunosuppressant therapy, 7 had gradual recovery of hemogram after allogeneic hematopoietic stem cell transplantation, and 1 died due to severe AA; among the 24 children with non-HAAA, 23 had hemogram gradually returning to normal after treatment, and 1 died of acute liver failure.  Conclusion  AA should be taken seriously for children with hepatitis and granulocytopenia, especially for those with drug-induced or unexplained liver injury, and the reduction in CD4+ may be used as a predictive factor for AA.
The change in the prevalence of fatty liver disease and related influencing factors among Karamay residents in 2009-2016 and related influencing factors
Jiang DENG, Yonghong ZHANG, Shuangsuo DANG, Yatao WANG, Haitao SHI, Limei BU, Zhiyi HAN, Xiaolan LU
2021, 37(7): 1609-1613. DOI: 10.3969/j.issn.1001-5256.2021.07.026
Abstract(958) HTML (315) PDF (1965KB)(64)
Abstract:
  Objective  To investigate the change in the prevalence rate of fatty liver disease (FLD) and related influencing factors among individuals undergoing physical examination in Karamay Central Hospital from 2009 to 2016, and to provide a reference for the prevention and treatment of FLD.  Methods  Abdominal ultrasound (230 330 cases) was performed in Karamay Central Hospital from January 2009 to December 2016, and related data were used to analyze the change in the prevalence rate of FLD and compare the difference between male and female individuals. A total of 33 195 individuals who underwent physical examination in 2016 and had complete data of age, body mass index (BMI), fasting blood glucose, and triglyceride were selected to analyze the prevalence rate of FLD among the individuals with different ages, BMIs, and sexes. A multivariate logistic regression analysis was used to investigate independent influencing factors for the development of FLD. The chi-square test was used for comparison of categorical data between groups; the t-test was used for comparison of normally distributed continuous data between groups, and the Mann-Whitney U test was used for comparison of non-normally distributed continuous data between groups.  Results  From 2009 to 2016, the prevalence rate of FLD increased from 19.4% to 31.9% among the individuals who underwent physical examination in Karamay Central Hospital (P < 0.001); the prevalence rate increased from 22.8% to 39.5% among male individuals (P < 0.001), and the prevalence rate increased from 11.8% to 21.6% among female individuals (P < 0.001), suggesting that male individuals had a significantly higher prevalence rate than female individuals in each year (P < 0.001). Among the individuals who underwent physical examination in 2016, the prevalence rate of FLD was 26.1% in 17 848 young individuals, 37.3% in 10 017 middle-aged individuals, and 41.7% in 5330 elderly individuals (P < 0.001); the young and middle-aged male individuals had a significantly higher risk of FLD than the female individuals in the same age group (both P < 0.001), and the elderly male individuals had a significantly lower risk of FLD than the female individuals in the same age group (P=0.022). There were 865 individuals with emaciation, 13 510 with normal body weight, 12 755 with overweight, and 6065 with obesity, with a prevalence rate of FLD of 0.8%, 9.5%, 39.6%, and 70.6%, respectively (P < 0.001), and the stratified analysis based on BMI showed that male individuals had a significantly higher prevalence rate of FLD than females individuals (P < 0.05). The multivariate logistic regression analysis showed that age, sex, BMI, systolic pressure, diastolic pressure, alanine aminotransferase, total bilirubin, fasting blood glucose, triglyceride, total cholesterol, and serum uric acid were independent influencing factors for FLD (all P < 0.05).  Conclusion  There is a rapid increase in the prevalence rate of FLD among the residents of Karamay, and there are various risk factors. It is recommended to strengthen policy intervention, provide public education, screen out the high-risk population, and implement preventive and treatment measures as early as possible, so as to reduce related medical burden.
Establishment of a model for evaluating the severity of nonalcoholic fatty liver disease based on transient elastography parameters
Mingjie YAO, Xiajie WEN, Leijie WANG, Qiong HE, Jianwen LUO, Jiangao FAN, Qing XIE, Chengwei CHEN, Qing Chun FU, Jun Ping SHI, Yongfeng YANG, Yun XU, Lungen LU, Fengmin LU
2021, 37(7): 1614-1618. DOI: 10.3969/j.issn.1001-5256.2021.07.027
Abstract(1573) HTML (396) PDF (1961KB)(198)
Abstract:
  Objective  To establish a model for evaluating the severity of nonalcoholic fatty liver disease (NAFLD) based on a combined analysis of transient elastography parameters.  Methods  A retrospective analysis was performed for the clinical information and liver elasticity parameters of 184 NAFLD patients who attended 7 hospitals in China from July 2014 to July 2017 and underwent liver biopsy for pathological diagnosis. Liver elasticity parameters were named as P1-P18 according to the amplitude, frequency, dispersion, and attenuation of ultrasound signals. The Spearman rank correlation test and the linear regression analysis were used to establish the models for evaluating steatosis degree, inflammatory activity, and fibrosis degree, and the receiver operating characteristic (ROC) curve was used to evaluate the value of each diagnostic model.  Results  The ultrasound parameters based on transient elastography were well correlated with steatosis degree, inflammatory activity, and liver fibrosis degree in NAFLD patients. The multivariate analysis showed that P1 and P12 were independent indicators for predicting steatosis degree; P1, P3, P6, and P11 were independent indicators for predicting inflammatory activity; P2 and P3 were significantly correlated with liver fibrosis degree. The model Y=0.013×P1+0.055×P12-0.318 5 for predicting steatosis degree established based on linear regression had an area under the ROC curve (AUC) of 0.895 (95% confidence interval [CI]: 0.842-0.936) and 0.939 (95%CI: 0.894-0.969), respectively, in the diagnosis of mild steatosis and moderate-to-severe steatosis, with a sensitivity of 82.35% and 86.26%, respectively, and a specificity of 89.23% and 93.27%, respectively (P < 0.001). The model Y=0.008×P1+0.030×P3+0.029×P6-1.875×10-4×P11+0.416 for predicting inflammatory activity had an AUC of 0.828 (95%CI: 0.793-0.865) and 0.874 (95%CI: 0.817-0.918), respectively, in the diagnosis of early-stage inflammation and significant inflammation, with a sensitivity of 70.6% and 73.96%, respectively, and a specificity of 85.7% and 93.33%, respectively (P < 0.001). The model Y=-0.003×P1 + 0.601×(lnP2)+0.285×(lnP3)+0.036×P15 + 0.078 for predicting liver fibrosis degree had an AUC of 0.805 (95%CI: 0.740-0.869), 0.767 (95%CI: 0.699-0.827), and 0.803 (95%CI: 0.701-0.906), respectively, in the diagnosis of significant fibrosis, severe fibrosis, and early liver cirrhosis, with a sensitivity of 72.27%, 77.63%, and 90.00%, respectively, and a specificity of 79.69%, 66.42%, and 66.47%, respectively (P < 0.001).  Conclusion  Different parameters of transient elastography can effectively reflect steatosis degree, inflammatory activity, and fibrosis degree in NAFLD patients, and a combined model can improve the accuracy of disease severity prediction in NAFLD patients.
Association of nonalcoholic fatty liver disease with the risk of colorectal adenoma and colorectal cancer: A Meta-analysis
Huaqiang ZHANG, Lixin LIU, Xiaohong GUO
2021, 37(7): 1619-1625. DOI: 10.3969/j.issn.1001-5256.2021.07.028
Abstract(1227) HTML (290) PDF (3069KB)(94)
Abstract:
  Objective  To systematically evaluate the association of the presence and severity of nonalcoholic fatty liver disease (NAFLD) with the risk of colorectal adenoma (CRA) and colorectal cancer (CRC).  Methods  PubMed, Embase, Web of Science, The Cochrane Library, CNKI, Wanfang Data, and VIP databases were searched for Chinese and English articles on the association of NAFLD with CRA and CRC published up to December 2019. Secondary screening, quality assessment, and data extraction were performed according to inclusion and exclusion criteria, and RevMan 5.3 software was used to perform the meta-analysis.  Results  A total of 3 longitudinal cohort studies and 18 cross-sectional studies were included, with 130 271 subjects in total. The meta-analysis showed that NAFLD patients had an increased risk of CRA (adjusted odds ratio [aOR]=1.27, 95% confidence interval [CI]: 1.18-1.36, P < 0.000 01) and advanced CRA/CRC (aOR=1.45, 95%CI: 1.27-1.65, P < 0.000 01). The severity of NAFLD affected such association, and patients with nonalcoholic steatohepatitis and/or advanced liver fibrosis had a significant increase in the risk of CRA/CRC (aOR=1.93, 95%CI: 1.61-2.31, P < 0.000 01).  Conclusion  The presence of NAFLD is associated with an increased risk of CRA and CRC, and the higher the severity of NAFLD, the higher the risk of CRA and CRC.
Clinical features of elderly patients with drug-induced liver failure: An analysis of 65 cases
Liping WANG, Tingting HE, Yanfei CUI, Zhongxia WANG, Yun ZHU, Jing JING, Yongqiang SUN, Wentao XU, Simiao YU, Xiuxiu SANG, Miao TIAN, Lifu WANG, Ruilin WANG
2021, 37(7): 1626-1631. DOI: 10.3969/j.issn.1001-5256.2021.07.029
Abstract(1232) HTML (477) PDF (2129KB)(95)
Abstract:
  Objective  To investigate the features and medication of elderly patients with drug-induced liver failure (DILF), and to provide a reference for clinical prevention and treatment of DILF in elderly patients.  Methods  A total of 65 elderly patients, aged ≥60 years, who were diagnosed with DILF in The Fifth Medical Center of Chinese PLA General Hospital from January 2015 to December 2019 were enrolled and divided into groups based on the criteria for clinical outcome evaluation. The patients who were cured or improved were enrolled as response group, and those who had no response or died were enrolled as non-response group. Related clinical data were collected and analyzed, including age, sex, underlying diseases, type of the drug used, clinical classification, complications, and prognosis. The t-test or the Mann-Whitney U test was used for comparison of continuous data between two groups, and the chi-square test or the Fisher's exact test was used for comparison of categorical data between two groups.  Results  Among the 65 elderly patients with DILF, there were 17 male patients (26.2%) and 48 female patients (73.8%), with a male/female ratio of 1∶ 2.82. Subacute liver failure (SALF) was the main type of DILF in the elderly patients (81.5%), and cholestasis type was the most common clinical type (40%). There were 26 patients in the response group and 39 in the non-response group, accounting for 40% and 60%, respectively, of all patients. As for complications, compared with the non-response group, the response group had a significantly higher proportion of patients with pleuroperitoneal fluid (61.5% vs 28.2%, P < 0.05), a significantly lower proportion of patients with hepatorenal syndrome (19.2% vs 56.4%, P < 0.05), a significantly higher proportion of patients without hepatic encephalopathy (80.8% vs 30.8%, P < 0.05), and a significantly lower proportion of patients with stage 4 hepatic encephalopathy (0 vs 20.5%, P < 0.05). The main drugs causing DILF included cardiovascular and cerebrovascular drugs (10.8%), antihypertensive drugs (9.2%), and antibiotics (7.7%); traditional Chinese medicine drugs were mainly Chinese patent drugs (35.4%) and Chinese herbal medicine (23.1%); healthcare product was the most common type of biological products (20.0%).  Conclusion  SALF is the most common type of DILF in the elderly, and cholestasis type is the main clinical type of DILF. Patients with hepatic encephalopathy and hepatorenal syndrome tend to have poor prognosis.
Value of high-density lipoprotein cholesterol in evaluating the severity and prognosis of hepatitis B virus-associated acute-on-chronic liver failure
Ying XU, Xiaoping HUANG, Li CHEN, Wei SUN, Wenting LI, Yan WANG, Jianhe GAN
2021, 37(7): 1632-1635. DOI: 10.3969/j.issn.1001-5256.2021.07.030
Abstract(1036) HTML (301) PDF (2128KB)(92)
Abstract:
  Objective  To investigate the association of high-density lipoprotein cholesterol (HDL-C) with the prognosis of hepatitis B virus-associated acute-on-chronic liver failure (HBV-ACLF) and its predictive value.  Methods  The patients with liver disease who were admitted to Department of Infectious Diseases, The First Affiliated Hospital of Soochow University, from January 2015 to January 2019 were enrolled, and according to the stage of disease progression, they were divided into HBV-ACLF group with 42 patients, liver cirrhosis group with 30 patients, and chronic hepatitis group with 25 patients. A total of 24 healthy individuals were enrolled as healthy control group. General clinical data were collected, including sex, age, prothrombin time (PT), albumin (Alb), total bilirubin (TBil), serum creatinine, blood urea nitrogen (BUN), total cholesterol (TC), triglyceride (TG), HDL-C, low-density lipoprotein cholesterol (LDL-C), and Model for End-Stage Liver Disease (MELD) score. The HBV-ACLF group was further divided into improvement group with 17 patients and non-improvement group with 25 patients, and the patients were followed up for 3 months. The Mann-Whitney U test was used for comparison of non-normally distributed continuous variables between two groups; the Kruskal-Wallis H test was used for comparison between multiple groups, and the Wilcoxon rank-sum test was used for comparison within each group. A binary logistic regression analysis was used to investigate independent risk factors for prognosis, and the receiver operating characteristic (ROC) curve was used to evaluate the accuracy of the variables in prediction.  Results  There were significant differences in PT, Alb, BUN, TBil, TC, TG, HDL-C, LDL-C, and MELD scores between the liver cirrhosis group, the HBV-ACLF group, the chronic hepatitis group, and the healthy control group (χ2=75.134, 44.638, 10.253, 80.357, 55.067, 19.858, 68.174, 52.492, and 64.359, all P < 0.05). Further comparison between two groups showed that the HBV-ACLF group had a significantly lower level of HDL-C than the liver cirrhosis group [0.12 (0.08-0.30) mmol/L vs 0.79 (0.60-1.01) mmol/L, Z=3.821, P < 0.001], the chronic hepatitis group [0.12 (0.08-0.30) mmol/L vs 1.06(0.88-1.44) mmol/L, Z=5.921, P < 0.001], and the healthy control group [0.12 (0.08-0.30) mmol/L vs 2.03 (1.36-2.98) mmol/L, Z=7.228, P < 0.001]. The improvement group had a significantly higher level of HDL-C than the non-improvement group [0.20 (0.11-0.49) mmol/L vs 0.10 (0.07-0.15) mmol/L, Z=-1.628, P=0.014]. The binary logistic regression analysis showed that HDL-C (odds ratio [OR]=0.003, 95% confidence interval [CI]: 0-0.548, P=0.029) and MELD score (OR=1.588, 95%CI: 1.032-2.443, P=0.035) were independent influencing factors for the prognosis of HBV-ACLF. HDL-C had an area under the ROC curve (AUC) of 0.807 in predicting the prognosis of HBV-ACLF, with a sensitivity of 0.706, a specificity 0.800, and a 95% CI of 0.677-0.937 at the optimal cut-off value of 0.175 mmol/L; MELD score had an AUC of 0.822, with a sensitivity of 0.760, a specificity of 0.765, and a 95% CI of 0.696-0.928 at the optimal cut-off value of 26.500.  Conclusion  HDL-C is an independent risk factor for the prognosis of patients with HBV-ACLF and has a good value in predicting the prognosis of HBV-ACLF.
Clinical features and prognosis of autoimmune hepatitis patients with different sexes
Huili WU, Hongbo SHI, Yanmin LIU, Mei DING, Zhenglai MA, Shuang LIU, Yu CHEN, Zhongping DUAN
2021, 37(7): 1636-1643. DOI: 10.3969/j.issn.1001-5256.2021.07.031
Abstract(1132) HTML (273) PDF (2040KB)(86)
Abstract:
  Objective  To investigate the differences between autoimmune hepatitis (AIH) patients with different sexes, since AIH is more common in female individuals and there are few studies on male AIH patients.  Methods  A retrospective analysis was performed for 398 patients who were hospitalized in Beijing YouAn Hospital from October 2009 to October 2019 and were diagnosed with AIH, and the patients were divided into female group and male group according to sex. General status, clinical features, and prognosis were analyzed. The primary outcome measure was death or liver transplantation. The t-test was used for comparison of normally distributed continuous data between two groups, and the Mann-Whitney U test was used for comparison of non-normally distributed continuous data between two groups; the chi-square test or the Fisher's exact test was used for comparison of categorical data between two groups. The Cox proportional hazards model was used to perform univariate and multivariate analyses.  Results  As for age, the peak of disease onset was observed in patients aged 51-60 years in both male and female groups, and compared with the female group, the male group had a significantly higher rate of confirmed diagnosis at the age of 21-30 years (8/48 vs 24/334, χ2=4.915, P=0.027) and a significantly lower rate of confirmed diagnosis at the age of 41-50 years (7/48 vs 97/334, χ2=4.428, P=0.035). As for AIH, compared with the female group, the male group had a significantly higher proportion of patients with idiopathic AIH (31/48 vs 170/350, χ2=4.329, P=0.037) and a significantly lower proportion of patients with other autoimmune diseases, especially hyperthyroidism (0/48 vs 39/348, P=0.008). As for laboratory examination, compared with the female group, the male group had significantly lower positive rates of anti-nuclear antibody (ANA)≥1∶ 100(42/48 vs 325/340, χ2=5.375, P=0.020) and SSA/SSB (2/48 vs 76/340, χ2=7.566, P=0.006), as well as a significantly lower proportion of patients with ANA ≥1∶ 1000 (P < 0.000 1). As for prognosis, compared with the female group, the male group had a significantly younger age at the time of death or liver transplantation (31.5±15.9 years vs 53.9±12.6 years, t=3.798, P=0.001) and a significantly higher proportion of patients with decompensated liver cirrhosis or hepatocellular carcinoma (both P < 0.05). Diabetes, liver cirrhosis, and blood albumin < 31.4 g/L were high-risk factors for reduced survival time in male patients, and liver failure, liver cirrhosis, ANA ≥1∶ 1000, direct bilirubin > 42 μmol/L, lymphocyte count < 1.2×109/L, and C3 < 0.588 g/L were high-risk factors for reduced survival time in female patients.  Conclusion  Sex difference has certain influence on the clinical manifestations and prognosis of AIH patients, and male patients tend to have a younger age and a poorer prognosis.
Original articles_Biliary diseases
Efficacy and safety of SpyGlass system combined with electrohydraulic lithotripsy during endoscopic retrograde cholangiopancreatography in treatment of difficult common bile duct stones
Yijun LIU, Qiao WU
2021, 37(7): 1644-1647. DOI: 10.3969/j.issn.1001-5256.2021.07.032
Abstract(1695) HTML (655) PDF (2277KB)(79)
Abstract:
  Objective  To investigate the efficacy and safety of SpyGlass system combined with electrohydraulic lithotripsy during endoscopic retrograde cholangiopancreatography (ERCP) in the treatment of difficult common bile duct stones.  Methods  A total of 20 patients who used the SpyGlass system combined with electrohydraulic lithotripsy during ERCP for the treatment of difficult common bile duct stones in Department of Hepatobiliary Surgery, The First Affiliated Hospital of Chongqing Medical University, from December 2019 to May 2020 were enrolled. Liver function, blood amylase, and blood lipase were measured after surgery; the patients were observed in terms of body temperature, abdominal pain, hematobilia, infection, and perforation; the presence or absence of residual common bile duct stones was reexamined after surgery.  Results  Of all 20 patients, 18 underwent successful lithotripsy on the first attempt without serious complications, and 2 underwent ERCP-guided basket extraction and biliary tract cleaning with balloon due to residual stones found in the reexamination after surgery and achieved complete removal of stones. No biliary tract perforation or massive hemorrhage was observed; there was mild pancreatitis after surgery, which was improved after pharmacotherapy; some patients had increased levels of blood amylase and lipase, without any clinical symptom; there was a significant improvement in liver function after surgery. Abdominal color Doppler ultrasound performed for all patients at 3 months after cholecystolithotomy showed no residual common bile duct stones.  Conclusion  SpyGlass system combined with electrohydraulic lithotripsy during ERCP has a high first-attempt success rate of complete removal of stones in the treatment of difficult common bile duct stones, without marked surgical complications.
Original articles_Pancreatic diseases
Value of contrast-enhanced endoscopic ultrasound versus contrast-enhanced computed tomography in the diagnosis of pancreatic solid space-occupying lesions
Jing LI, Xin LI, Hui ZHANG, Youqing XU
2021, 37(7): 1648-1651. DOI: 10.3969/j.issn.1001-5256.2021.07.033
Abstract(1577) HTML (1366) PDF (1936KB)(80)
Abstract:
  Objective  To investigate the value of contrast-enhanced endoscopic ultrasound (CE-EUS) versus contrast-enhanced computed tomography (CE-CT) in the diagnosis of pancreatic solid space-occupying lesions.  Methods  A total of 78 patients with pancreatic solid space-occupying lesions who attended Beijing Tiantan Hospital, Capital Medical University, from January 2014 to December 2019 were enrolled. All patients were diagnosed by EUS-guided fine needle aspiration or postoperative pathology, and CE-EUS and CE-CT were compared in terms of their accuracy, sensitivity, specificity, and Youden index in the diagnosis of pancreatic solid space-occupying lesions.  Results  In the diagnosis of pancreatic cancer, CE-EUS and CE-CT had accuracy rates of 97.9% and 87.2%, sensitivities of 97.7% and 88.9%, specificities of 100% and 50%, and Youden indices of 0.96 and 0.76, respectively. In the diagnosis of small pancreatic cancer, CE-EUS and CE-CT had accuracy rates of 84.6% and 61.5%, sensitivities of 80% and 70%, specificities of 100% and 33.3%, and Youden indices of 0.80 and 0.03, respectively. In the diagnosis of chronic pancreatitis with mass, CE-EUS and CE-CT had accuracy rates of 90.5% and 61.9%, sensitivities of 94.1% and 64.7%, specificities of 75% and 50%, and Youden indices of 0.69 and 0.15, respectively. In the diagnosis of pancreatic neuroendocrine tumors, CE-EUS and CE-CT had accuracy rates of 85.7% and 28.6%, sensitivities of 83.3% and 16.7%, specificities of 100% and 100%, and Youden indices of 0.83 and 0.17, respectively.  Conclusion  CE-EUS has certain advantages over CE-CT in the diagnosis of pancreatic solid space-occupying lesions.
Effect of Braun anastomosis on delayed gastric emptying after pancreaticoduodenectomy
Sijie YANG, Hui ZHANG, Zhengfeng WANG, Zhilong SHI, Wence ZHOU
2021, 37(7): 1652-1656. DOI: 10.3969/j.issn.1001-5256.2021.07.034
Abstract(1239) HTML (999) PDF (1961KB)(60)
Abstract:
  Objective  To investigate the effect of Braun anastomosis (BE) on delayed gastric emptying (DGE) after pancreaticoduodenectomy (PD).  Methods  A retrospective analysis was performed for the clinical data of 132 patients who underwent PD in The First Hospital of Lanzhou University from December 2016 to December 2019, and according to whether BE was performed during surgery, the patients were divided into BE group with 54 patients and non-BE group with 78 patients. The two groups were compared in terms of postoperative complications (DGE, pancreatic fistula, and biliary fistula), intraoperative condition, general examination indicators, postoperative treatment and recovery, and hospitalization to evaluate the effect of BE in preventing DGE after PD. The t-test was used for comparison of normally distributed continuous data between two groups, and the Mann-Whitney U test was used for comparison of non-normally distributed continuous data between two groups; the chi-square test and the Fisher's exact test were used for comparison of categorical data between two groups.  Results  Compared with the non-BE group, the BE group had a significantly lower incidence rate of grade C DGE after surgery (5.56% vs 19.23%, χ2=5.067, P < 0.05), a significantly shorter time to the first chemotherapy [45.00 (38.00-49.75) days vs 53.00 (44.00-65.00) days, H=-2.495, P=0.013], a significantly shorter length of postoperative hospital stay [15.00 (12.75-19.25) days vs 18.00 (15.00-25.50) days, H=-3.358, P < 0.05], and a significantly lower number of times of the use of antiemetic drugs [1.00(0-0.25) times vs 1.00(1.00-4.00) times, H=-2.347, P=0.019]. There were no significant differences between the two groups in the time of operation, intraoperative blood loss, hospital cost, survival time, duration of gastric tube placement, time to resume eating, and overall incidence rates of DGE, pancreatic fistula, biliary fistula, gastrointestinal fistula, abdominal bleeding, incision infection, wound dehiscence, and intestinal obstruction (all P > 0.05).  Conclusion  BE can effectively reduce the incidence rate of grade C DGE after PD.
Original articles_Splenic diseases
Change in follicular helper T cells in the peripheral blood and spleen of rats after Echinococcus multilocularis infection
Yaogang ZHANG, Jianhua LI, Jing HOU, Li SUN, Meiyuan TIAN, Yuan JIANG, Dengliang HUANG, Tao ZHANG, Yanyan MA, Haining FAN
2021, 37(7): 1657-1661. DOI: 10.3969/j.issn.1001-5256.2021.07.035
Abstract(1712) HTML (317) PDF (6477KB)(77)
Abstract:
  Objective  To investigate the level of follicular helper T (Tfh) cells in the peripheral blood and spleen of the host after Echinococcus multilocularis infection and its association with the progression of echinococcosis.  Methods  A total of 20 Sprague-Dawley rats were randomly divided into normal control group and model group, with 10 rats in each group. The rats in the model group were inoculated with about 2000 protoscoleces in the right liver under direct-view laparotomy, and those in the control group were not given any treatment. The rats were anesthetized and sacrificed after 3 months to collect peripheral blood and spleen cells, and with CD4+CXCR5+PD1+ as the marker of Tfh cells, flow cytometry was used to measure the level of Tfh cells in peripheral blood and spleen. The t-test was used for comparison of Tfh cells between the two groups.  Results  After 3 months of Echinococcus multilocularis infection, marked lesions were observed in the liver, and HE staining showed the presence of protoscoleces in the lesions. The proportion of CD4+CXCR5+PD1+Tfh cells in CD4+ cells in peripheral blood was 25.63%±3.47% in the model group and 11.12%±2.94% in the normal control group (t=10.230, P < 0.001), a nd the model group had a significantly lower proportion of CD4+CXCR5+PD1+Tfh cells in all cells than the normal control group (0.08%±0.02% vs 0.18%±0.05%, t=5.520, P < 0.001). For the model group, the proportion of CD4+CXCR5+PD1+Tfh cells in all cells in the spleen decreased to 3.00%±0.42%, which was significantly lower than the proportion of 5.30%±1.40% in the normal control group (t=4.769, P < 0.001).  Conclusion  Tfh cells in peripheral blood are closely associated with the progression of echinococcosis and are expected to become an indicator of Echinococcus multilocularis infection.
Case reports
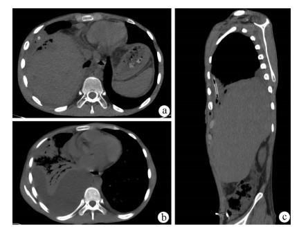
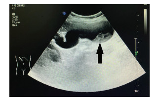
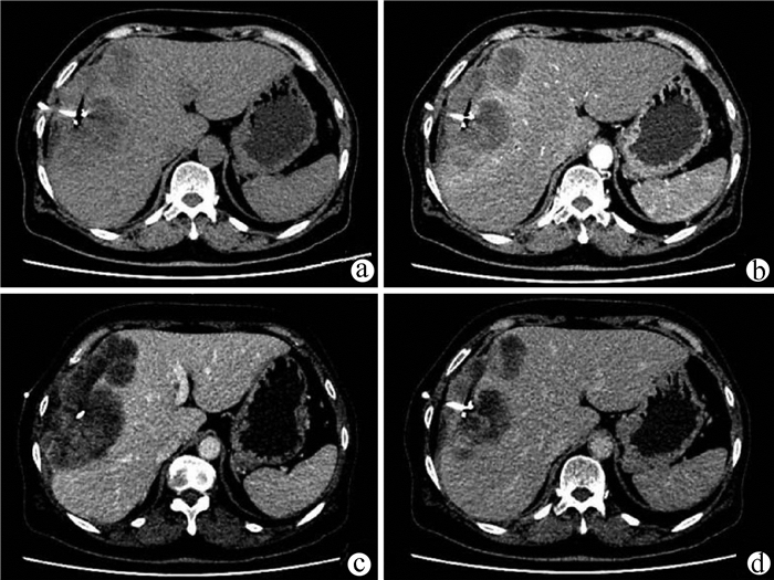
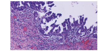
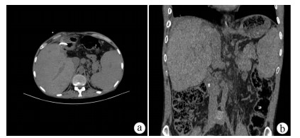
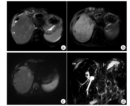
Jaundice and portal hypertension caused by hepatic epithelioid hemangioendothelioma: A case report
Ruihua ZHANG, Tingting QIN, Yueming SHAO, Yu ZHANG, Yang WANG, Xiaoyu WEN
2021, 37(7): 1662-1664. DOI: 10.3969/j.issn.1001-5256.2021.07.036
Abstract(1181) HTML (235) PDF (2873KB)(100)
Abstract:
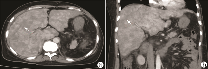
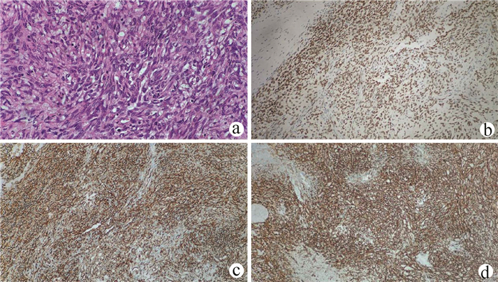
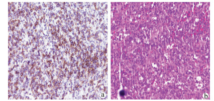
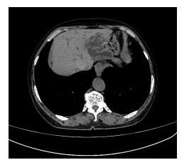
Primary fibrosarcoma of the liver misdiagnosed as hepatic abscess: A case report
Liuyang ZHU, Jiancun HOU, Long YANG, Wen TONG, Yamin ZHANG
2021, 37(7): 1665-1667. DOI: 10.3969/j.issn.1001-5256.2021.07.037
Abstract(896) HTML (266) PDF (3350KB)(81)
Abstract:
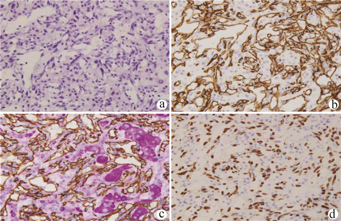
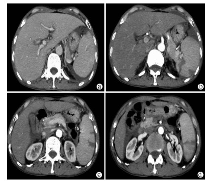
Primary splenic Kaposi sarcoma: A case report
Youchun LI, Guichao XU, Wenlei QI
2021, 37(7): 1668-1669. DOI: 10.3969/j.issn.1001-5256.2021.07.038
Abstract(891) HTML (222) PDF (2767KB)(51)
Abstract:
HIV infection with acute liver failure as the main manifestation: A case report
Fang YUAN, Jun SHI, Hailin TANG, Yiqun ZHOU, Fang XUE
2021, 37(7): 1670-1672. DOI: 10.3969/j.issn.1001-5256.2021.07.039
Abstract(975) HTML (379) PDF (2386KB)(62)
Abstract:
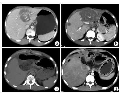
Bronchobiliary fistula after microwave ablation of hepatic hydatid disease: A case report
Liuxin ZHOU, Ya GUO, Jiaqi YUAN, Li REN, Haijiu WANG, Haining FAN, Zhixin WANG
2021, 37(7): 1673-1675. DOI: 10.3969/j.issn.1001-5256.2021.07.040
Abstract(1023) HTML (294) PDF (2158KB)(64)
Abstract:
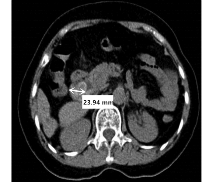
Intraductal papillary neoplasm of the bile duct with atrophy of the hepatic left lateral lobe: A case report
Jingzhong OUYANG, Ruili ZHU, Yanzhao ZHOU, Zhengzheng WANG, Xun CHEN, Jinxue ZHOU, Qingjun LI
2021, 37(7): 1676-1678. DOI: 10.3969/j.issn.1001-5256.2021.07.041
Abstract(964) HTML (382) PDF (2403KB)(58)
Abstract:
Primary splenic lymphoma with jaundice and spontaneous splenic rupture: A case report
Qiuyan YAO, Zesheng WU, Rongjie SHI, Liwei YANG
2021, 37(7): 1679-1681. DOI: 10.3969/j.issn.1001-5256.2021.07.042
Abstract(1159) HTML (360) PDF (2679KB)(67)
Abstract:
Reviews
Influencing factors for serum HBsAg clearance in people with chronic hepatitis B virus infection and its clinical significance
Jinwei DUAN, Peng ZHANG, Jing ZHANG, Wanjia ZENG, Fengmin LU
2021, 37(7): 1682-1685. DOI: 10.3969/j.issn.1001-5256.2021.07.043
Abstract(1756) HTML (562) PDF (1969KB)(181)
Abstract:
HBsAg clearance can significantly reduce the risk of end-stage liver disease and liver cancer in patients with chronic hepatitis B; however, HBsAg clearance rate is very low, either by spontaneous clearance or antiviral therapy. This article summarizes the influencing factors for spontaneous clearance of HBsAg and HBsAg clearance after antiviral therapy and the durability of HBsAg clearance. In addition, this article reviews the potential of new drugs in development, such as nucleic acid polymers and immunomodulators, in HBsAg clearance, so as to provide clues for the clinical cure of chronic hepatitis B in the future.
Application of machine learning in hepatitis B virus-related liver diseases
Fajuan RUI, Qi XUE, Cuihong LIU, Zhaoyang GUO, Hongli YANG, Chuanli LIU, Yayun XU, Wanhua REN, Chengyong QIN, Jie LI
2021, 37(7): 1686-1689. DOI: 10.3969/j.issn.1001-5256.2021.07.044
Abstract(1316) HTML (290) PDF (1956KB)(97)
Abstract:
Machine learning has been more and more widely used in the medical field in recent years, and new advances have been made in the diagnosis and treatment of breast cancer, diabetic retinopathy, neuropsychiatric diseases, and atherosclerosis. Machine learning is showing great potential in the diagnosis and prediction of liver diseases. With reference to patients' serological markers and imaging findings, the model established based on machine learning for the diagnosis and prediction of hepatitis B virus (HBV)-related liver diseases has been widely recognized. This article introduces the application, current status, advantages, and advances of machine learning in HBV-related liver diseases.
Advances in the treatment of liver cirrhosis with portal vein thrombosis
Xiaoke LI, Xinle YANG, Tong WANG, Shuwen XUE, Xiaolin GUO, Huifan JI
2021, 37(7): 1690-1693. DOI: 10.3969/j.issn.1001-5256.2021.07.045
Abstract(2002) HTML (384) PDF (1959KB)(215)
Abstract:
Portal vein thrombosis (PVT) is one of the most common complications of liver cirrhosis. Due to coagulation disorder and the risk of bleeding in liver cirrhosis, there are many controversies over the treatment of liver cirrhosis with PVT in clinical practice. Common therapies for PVT include anticoagulant therapy, intervention, and thrombolysis. This article elaborates on the current status of the treatment of liver cirrhosis with PVT, in order to provide help for the development of standard and reasonable clinical treatment strategies.
Gut microbiota regulation and diet therapy for hepatic encephalopathy
Yingyu LE, Rongzhen ZHANG, Weisong XIAO, Xiaobin QIN, Shenglan ZENG, Dewen MAO
2021, 37(7): 1694-1698. DOI: 10.3969/j.issn.1001-5256.2021.07.046
Abstract(1159) HTML (287) PDF (1971KB)(83)
Abstract:
Hepatic encephalopathy (HE) greatly increases the economic burden of patients with liver disease and seriously affects their quality of life. HE has a complex pathological basis and various influencing factors, and its pathogenesis has not been fully clarified. There is still no specific effective therapy for this disease, and drug therapy often has an unsatisfactory clinical effect, as many drugs have poor tolerability, low compliance, and common adverse effects. This article analyzes and summarizes the non-drug therapies for hepatic encephalopathy including protein food and gut microbiota regulation, in order to provide new ideas and high-quality regimens for clinical treatment.
Advances in investigational new drugs for nonalcoholic fatty liver disease
Kun XU, Xu ZHANG, Ying LI, Zhenbin HU
2021, 37(7): 1699-1703. DOI: 10.3969/j.issn.1001-5256.2021.07.047
Abstract(1096) HTML (361) PDF (1978KB)(110)
Abstract:
Nonalcoholic fatty liver disease (NAFLD) is the most common liver disease worldwide and is closely associated with obesity, insulin resistance, and other metabolic diseases. There are currently no drugs approved for treatment, and routine lifestyle management can hardly have a positive impact on this disease. This article reviews the investigational new drugs for NAFLD, including metabolic regulators, anti-inflammatory antioxidants, and anti-fibrosis agents, and summarizes the results of their clinical studies, so as to provide new ideas for the clinical treatment of NAFLD and the and development of related drugs.
Regulatory role of long non-coding RNAs in the development and progression of nonalcoholic fatty liver disease
Zhihua ZUO, Chuyi ZENG, Yao JIANG, Hualin TAO, Yongcan GUO
2021, 37(7): 1704-1707. DOI: 10.3969/j.issn.1001-5256.2021.07.048
Abstract(1222) HTML (513) PDF (1960KB)(90)
Abstract:
Nonalcoholic fatty liver disease (NAFLD) is characterized by fatty degeneration, lipid metabolism disorders, and abnormal deposition in hepatocytes, and it has become the most prevalent liver disease in the world. The role of long non-coding RNAs (lncRNAs) in the development and progression of NAFLD has become a hotspot at present. This article summarizes the key lncRNAs in NAFLD, which are mainly involved in the regulation of the signaling pathways including lipid metabolism, glucose metabolism, and inflammatory changes, and elaborates on the mechanism of action of lncRNAs in promoting the development of NAFLD or its transformation to hepatitis and liver fibrosis. It is pointed out that in-depth on polygenomics and proteomics will promote the precise targeted therapy of NAFLD.
Influence of estrogen deficiency on metabolic associated fatty liver disease in postmenopausal women
Chenlu ZHAO, Wenxia ZHAO
2021, 37(7): 1708-1712. DOI: 10.3969/j.issn.1001-5256.2021.07.049
Abstract(1327) HTML (1051) PDF (2193KB)(86)
Abstract:
Epidemiological data have shown that postmenopausal women have a significantly higher incidence rate of metabolic associated fatty liver disease (MAFLD) than premenopausal women and men of the same age. Aiming at this phenomenon, this article summarizes the potential influence mechanism of estrogen deficiency on MAFLD in postmenopausal women from the four aspects of insulin resistance, liver lipid metabolism, liver fibrosis, and intestinal flora, so as to provide a reference for the early clinical prevention and treatment of MAFLD in postmenopausal women.
Research advances in related factors for autophagy in the regulation of nonalcoholic fatty liver disease
Jiahe ZHAO, Xinyu MA, Jingya XU, Tingting DUAN, Chunlei ZHANG, Baolong LI
2021, 37(7): 1713-1717. DOI: 10.3969/j.issn.1001-5256.2021.07.050
Abstract(1522) HTML (261) PDF (2127KB)(104)
Abstract:
Nonalcoholic fatty liver disease (NAFLD) is a common disease characterized by the accumulation of lipid droplets (LDs) in hepatocytes. Clinical studies have shown that NAFLD not only has complex causes, but also can induce cardiovascular diseases and diabetes; however, there are still no effective therapies and specific drugs for this disease. Autophagy is ubiquitous in eukaryotes and has the function of maintaining cellular homeostasis. The mechanism of selective degradation of lipids in cells by autophagy is called lipophagy, which provides new thoughts for alleviating diseases caused by lipid accumulation. This article analyzes the association between autophagy and NAFLD in terms of the development and progression of NAFLD, the degradation of LDs, and related factors for the progression of liver inflammation and fibrosis, in order to provide a theoretical basis for the treatment of NAFLD from autophagy and provide targets for the development of related drugs.
Research advances in the role of the glucocorticoid-induced tumor necrosis factor receptor-related protein and its ligand in liver diseases
Yu HE, Jidong JIA, Ping WANG
2021, 37(7): 1718-1723. DOI: 10.3969/j.issn.1001-5256.2021.07.051
Abstract(1094) HTML (562) PDF (1976KB)(96)
Abstract:
Glucocorticoid-induced tumor necrosis factor receptor (GITR) is a member of the tumor necrosis factor receptor superfamily, and after it specifically binds to GITR ligand (GITRL), the downstream signals mediated by them can not only serve as a costimulatory molecule to promote the proliferation and cytokine secretion of effector T cells, but also affect the proliferation of regulatory T cells and inhibit the function of effector T cells, thereby regulating the inflammatory response and tumor cell-killing effect of effector T cells. GITRL is mainly expressed in antigen- presenting cells and has an intracellular domain, and the binding of GITRL to GITR can affect the function of antigen-presenting cells via receptor/ligand reverse signaling. In liver diseases, GITRL/GITR signal is not only involved in immune rejection after liver transplantation and gene therapy, but also associated with the formation of tumor immune microenvironment and the immune escape of tumor. Further studies are needed to explore the role of GITRL/GITR in the development and progression of other liver diseases.
Role of microRNA-122 in the development, progression, and diagnosis of liver disease
Zeshan CHEN, Bin WEN, Peirong QIU, Hongni LAN, Baote HUANG, Xin DENG
2021, 37(7): 1724-1728. DOI: 10.3969/j.issn.1001-5256.2021.07.052
Abstract(1721) HTML (471) PDF (1971KB)(162)
Abstract:
MicroRNA is a type of small non-coding RNA that participates in multiple links such as cell proliferation and apoptosis by regulating gene expression after transcription. More and more studies have shown that microRNA-122 (miRNA-122) is involved in the development and progression of a variety of liver diseases. With reference to related reports in the literature, this article summarizes advances in the role of miRNA-122 in various liver diseases including nonalcoholic fatty liver disease, hepatitis, liver fibrosis, and liver cancer and analyzes the potential of miRNA-122 as a new noninvasive biomarker, so as to provide a reference for exploring the diagnosis and treatment of liver disease.
Research advances in non-surgical treatment of distal cholangiocarcinoma
Shanshan CHEN, Wei LI
2021, 37(7): 1729-1732. DOI: 10.3969/j.issn.1001-5256.2021.07.053
Abstract(1259) HTML (828) PDF (1959KB)(78)
Abstract:
Distal cholangiocarcinoma is a type of extrahepatic cholangiocarcinoma with high invasiveness and poor prognosis, and due to its low rate of early detection, most patients are in the advanced stage at the time of diagnosis. In recent years, with the continuous improvement of medical techniques such as interventional treatment, ablation, and photodynamic therapy and further development of drug therapies including chemotherapy, targeted therapy, and immunotherapy, the role of non-surgical treatment in the multimodality therapy for distal cholangiocarcinoma has attracted more and more attention. This article reviews the advances in local treatment and systematic therapy for distal cholangiocarcinoma and summarizes related articles. The analysis shows that local treatment can relieve biliary obstruction, alleviate tumor burden, and improve quality of life, while systemic therapy may inhibit tumor growth, reduce postoperative recurrence, and prolong survival time. An individualized multimodality treatment regimen should be developed based on various non-surgical treatment methods, so as to provide more effective treatment options for patients with unresectable distal cholangiocarcinoma.
Research advances in the methods for measuring spleen volume
Yonghai CHEN, Yunfu LYU, Jinfang ZHENG
2021, 37(7): 1733-1736. DOI: 10.3969/j.issn.1001-5256.2021.07.054
Abstract(1703) HTML (1517) PDF (1952KB)(137)
Abstract:
Accurate measurement of spleen volume plays an important role in evaluating related diseases and prognosis. At present, there are various methods for measuring or estimating spleen volume. This article reviews the advances in several methods for measuring spleen volume, including the 5-rib unit estimating method, physical examination, ultrasound, multi-slice spiral CT, magnetic resonance imaging, and ex vivo water drainage, among which multi-slice spiral CT is recognized in clinical practice and has an accuracy of 95%. It is pointed out that on the basis of accurate measurement of spleen volume by multi-slice spiral CT, rapid and simple assessment of spleen volume will be the direction for future development.