中文English
ISSN 1001-5256 (Print)
ISSN 2097-3497 (Online)
CN 22-1108/R
2021 No.5
Theme Issue: Advances in research & development and clinical studies of novel anti-HBV drugs
Executive Chief Editor: Zhang Xiaodong 
College of Life Sciences, Nankai University

Display Method:
Editorial
Perspectives in the development of new drugs against hepatitis B virus
Xiaodong ZHANG, Lina ZHAO
2021, 37(5): 993-998. DOI: 10.3969/j.issn.1001-5256.2021.05.001
Abstract(1828) HTML (444) PDF (2445KB)(281)
Abstract:
Hepatitis B is a chronic infectious disease caused by hepatitis B virus (HBV) infection, with liver inflammatory lesions as the main clinical manifestation, and continuous replication of HBV can lead to abnormal liver function, liver cirrhosis, and even liver cancer. At present, a variety of anti-HBV drugs have been applied in clinical practice, but no satisfactory therapeutic effect has been achieved. Therefore, it is urgent to develop new anti-HBV drugs and constantly update the concept of anti-HBV treatment. This article reviews the research advances in anti-HBV drugs and drugs that block the interaction between the host and the virus, proposes the new idea of the combination of anti-HBV drugs and the drugs blocking the interaction between the host and the virus, and looks into the future of the development of new drugs against HBV, so as to improve the cure rate of hepatitis B.
Discussions by experts
Research advances in animal models of hepatitis B virus infection
Weifeng YANG, Zhenchuan MIAO, Xijun SONG, Ming YIN
2021, 37(5): 999-1005. DOI: 10.3969/j.issn.1001-5256.2021.05.002
Abstract(1977) HTML (2944) PDF (1968KB)(427)
Abstract:
For the ideal preclinical animal model of hepatitis B virus (HBV), its hepatocytes should allow HBV entry and cccDNA generation and have both innate and adaptive immune systems. However, HBV only naturally infects humans and chimpanzees due to highly restricted species specificity, and no effective model has been established so far to truly reflect the immune mechanism and pathogenesis of HBV infection. This article reviews five commonly used mouse models, i.e., HBV transgenic model, HBV plasmid DNA hydrodynamic injection model, AAV-HBV transfection model, cccDNA surrogate model, and human-mouse chimeric liver model, and looks forward to the new models that will appear in the future, such as hNTCP transgenic cynomolgus monkey, rhesus monkey, or pig models, so as to provide a reference for researchers to select these models, accelerate the process of drug screening, validate new therapies, and better solve the problems of HBV biological pathogenesis.
Clinical studies of new antiviral drugs for chronic hepatitis B
Hong ZHANG, Xiaoxue ZHU, Jiajia MAI, Hong CHEN, Jing ZHOU, Yue HU, Jia XU, Yanhua DING
2021, 37(5): 1006-1010. DOI: 10.3969/j.issn.1001-5256.2021.05.003
Abstract(1581) HTML (728) PDF (2154KB)(201)
Abstract:
Hepatitis B virus (HBV) infection is a major global public health issue. Clinical cure (also known as functional cure) of chronic hepatitis B (CHB) is the ideal therapeutic goal recommended by the latest guidelines for the prevention and treatment of CHB in China and globally. Optimized treatment regimens with direct-acting antiviral agents [e.g., nucleos(t)ide analogues] or immunomodulators (e.g., pegylated interferon-α) sequentially or in combination tend to have low cure rates. Rapid development has been achieved in the research and development of drugs for the treatment of CHB. This article reviews the clinical study of new antiviral drugs for CHB, including the selection of subjects, study design, dosage, dose escalation, adverse events, and efficacy evaluation. It is necessary to introduce the knowledge of quantitative pharmacology to analyze the association of drug exposure in body with efficacy and adverse reactions, and exploratory indicators should be incorporated for comprehensive analysis. This review provides related experience and new ideas for the clinical research and development of new anti-HBV drugs.
Current status of the treatment of chronic hepatitis B
Xuefu CHEN, Dongjing ZHANG, Xiaodan LUO, Ren CHEN
2021, 37(5): 1011-1015. DOI: 10.3969/j.issn.1001-5256.2021.05.004
Abstract(2373) HTML (444) PDF (1882KB)(320)
Abstract:
Chronic hepatitis B caused by hepatitis B virus (HBV) infection is a global public health issue. Antiviral therapy for chronic HBV infection plays a critical role, and the goal of antiviral therapy is mainly defined by virological, serological, and biochemical parameters. As the two types of antiviral drugs approved for marketing, both interferon and nucleos(t)ide analogues can alleviate liver inflammation and liver fibrosis and reduce the incidence rates of liver cirrhosis and hepatocellular carcinoma. However, the ideal goal of antiviral therapy is functional cure, which significantly improves the long-term outcome of chronic hepatitis B. The limitation of current treatment is that it can inhibit HBV replication, but cannot clear the virus, with low serological clearance rates of HBeAg and HBsAg. Development of new drugs with the goal of functional cure and evaluation of the synergistic and combined effects of existing drugs are important directions for HBV treatment and development.
Strategies and advances in targeting adaptive immunity to cure chronic hepatitis B
Wei ZHU, Xiaoyong ZHANG, Daqian ZHANG, Jinlin HOU
2021, 37(5): 1016-1021. DOI: 10.3969/j.issn.1001-5256.2021.05.005
Abstract(1256) HTML (326) PDF (1997KB)(166)
Abstract:
Chronic hepatitis B (CHB) is a major global public health issue, and although direct-acting antiviral agents can control hepatitis B virus (HBV) replication, it is difficult to achieve the cure of CHB. Host adaptive immune response plays a key role in eliminating HBV, and it is expected to achieve the functional cure of CHB by rebuilding the patient's adaptive immunity. Great progress has been made in therapeutic vaccines, cellular immunotherapy, immune checkpoint blockade, T cell metabolic reprogramming, and strategies of neutralizing antibody targeting adaptive immunity for the treatment of hepatitis B. This article summarizes the above-mentioned therapies for hepatitis B in recent years.
Academic contention
Patients in the immune-tolerant phase of chronic HBV infection should be precisely treated with antiviral therapy
Tingting LI, Yanfang JIANG
2021, 37(5): 1022-1023. DOI: 10.3969/j.issn.1001-5256.2021.05.006
Abstract(803) HTML (218) PDF (1839KB)(136)
Abstract:
Antiviral therapy for patients in the immune-tolerant phase of chronic HBV infection is beneficial for preventing liver cirrhosis and hepatocellular carcinoma
Hongyu JIA, Kezhou LIU
2021, 37(5): 1024-1025. DOI: 10.3969/j.issn.1001-5256.2021.05.007
Abstract(812) HTML (240) PDF (1891KB)(123)
Abstract:
Patients in the immune-tolerant phase of chronic HBV infection should be actively treated with antiviral therapy
Yuan HUANG
2021, 37(5): 1026-1026. DOI: 10.3969/j.issn.1001-5256.2021.05.008
Abstract(794) HTML (155) PDF (1825KB)(117)
Abstract:
Dynamic measurement of spleen size and liver stiffness helps to judge whether antiviral therapy is needed in the immune-tolerant phase of HBV infection
Fengxia SUN
2021, 37(5): 1027-1027. DOI: 10.3969/j.issn.1001-5256.2021.05.009
Abstract(789) HTML (193) PDF (1828KB)(98)
Abstract:
The concept of individualized reference values of aminotransferases should be considered in treatment of chronic hepatitis B
Chunxi WANG
2021, 37(5): 1028-1028. DOI: 10.3969/j.issn.1001-5256.2021.05.010
Abstract(726) HTML (266) PDF (1827KB)(98)
Abstract:
Guidelines
Chinese radiotherapy guidelines for primary hepatocellular carcinoma (2020 edition)
Chinese Association for Therapeutic Radiation Oncologists, Chinese Society for Therapeutic Radiology and Oncology, Chinese Medical Association, Committee of Radiation Oncology, Chinese Anti-Cancer Association
2021, 37(5): 1029-1033. DOI: 10.3760/cma.j.cn371439-20201208-00001
Abstract(1726) HTML (1801) PDF (1638KB)(589)
Abstract:
Expert consensus on emergency diagnosis and treatment of acute pancreatitis
Chinese Society for Emergency Medicine, Beijing-Tianjin-Hebei Alliance of Emergency Treatment and First Aid, Emergency Medicine Branch, Beijing Medical Association, Emergency Physicians Branch, Beijing Medical Doctor Association, Emergency Treatment and First Aid Branch, China Health Culture Association
2021, 37(5): 1034-1041. DOI: 10.3969/j.issn.1001-5256.2021.05.012
Abstract(2870) HTML (3026) PDF (1956KB)(1150)
Abstract:
An excerpt of vascular liver disorders, portal vein thrombosis, and procedural bleeding in patients with liver disease: 2020 practice guidance by the American Association for the Study of Liver Diseases
Wentao XU, Yue YIN, Yiling LI, Xingshun QI
2021, 37(5): 1042-1044. DOI: 10.3969/j.issn.1001-5256.2021.05.013
Abstract(1107) HTML (320) PDF (1842KB)(133)
Abstract:
An excerpt of AASLD expert panel consensus statement: Vaccines to prevent COVID-19 infection in patients with liver disease
Lianhui ZHAO, Jidong JIA
2021, 37(5): 1045-1046. DOI: 10.3969/j.issn.1001-5256.2021.05.014
Abstract(1153) HTML (290) PDF (1834KB)(127)
Abstract:
Original articles_Viral hepatitis
Dynamic changes of HBsAg and hepatitis B virus DNA in chronic hepatitis B patients with entecavir monotherapy for 5 years
Fengping WU, Miaoxian LI, Yikai WANG, Rui LU, Yixin LIU, Shuangsuo DANG
2021, 37(5): 1047-1052. DOI: 10.3969/j.issn.1001-5256.2021.05.015
Abstract(1835) HTML (1090) PDF (1991KB)(215)
Abstract:
  Objective  To investigate the dynamic changes of serum HBsAg and hepatitis B virus (HBV) DNA in chronic hepatitis B patients (CHB) with entecavir (ETV) monotherapy for 5 years.  Methods  A retrospective analysis was performed for the clinical data of 918 CHB patients who attended the Second Affiliated Hospital of Xi'an Jiaotong University from January 2012 to August 2020 and received ETV monotherapy for ≥5 years, among whom 556 had positive HBeAg and 362 had negative HBeAg at initial treatment. Serum HBsAg level and HBV DNA load at baseline and at 1, 2, 3, 4, and 5 years of treatment were collected to analyze their dynamic changes. The t-test was used for comparison of normally distributed continuous data between two groups, and the Mann-Whitney U test was used for comparison of non-normally distributed continuous data between two groups; log10 logarithmic transformation was performed for non-normally distributed repeated measurement data, and then a repeated-measures analysis of variance was used for comparison between groups or within each group; the chi-square test was used for comparison of categorical data between two groups.  Results  Both HBeAg-positive and HBeAg-negative patients had a significant reduction in HBsAg level over the time of ETV treatment (F=174.168 and 49.845, both P < 0.001). The HBeAg-positive patients had a baseline HBsAg level of 18 043.1 (7868.9-26 342.4) IU/ml, which significantly decreased to 1397.6 (626.4-3419.4) IU/ml after 5 years of ETV treatment (P < 0.001); the HBeAg-positive patients had a baseline HBV DNA load of (6.7±1.7) log10 IU/ml and achieved an HBV DNA clearance rate of 100% after 5 years of ETV treatment. The HBeAg-negative patients had a baseline HBsAg level of 2420.0 (662.6-5621.2) IU/ml, which significantly decreased to 407.2 (56.7-1104.7) IU/ml after 5 years of ETV treatment (P < 0.001); the HBeAg-negative patients had a baseline HBV DNA load of 4.9±1.4 log10 IU/ml and achieved an HBV DNA clearance rate of 100% after 5 years of ETV treatment. The HBeAg-positive patients had a significantly higher median HBsAg level than the HBeAg-negative patients at each time point (all P < 0.001). Both HBeAg-positive and HBeAg-negative patients showed a changing trend of rapid reduction followed by slow reduction in HBsAg, and the mean annual rate of reduction in HBsAg in the first 2 years of ETV treatment was significantly higher than that in the last 3 years of ETV treatment (HBeAg-positive: Z=-13.605, P < 0.001; HBeAg-negative: Z=-5.950, P < 0.001). The HBeAg-positive patients had a significantly lower HBV DNA clearance rate than the HBeAg-negative patients at 1 year of ETV treatment (χ2=71.013, P < 0.001), and both HBeAg-positive and HBeAg-negative patients achieved an HBV DNA clearance rate of 100% at 2, 3, 4, and 5 years of treatment. After 5 years of ETV treatment, the cumulative proportions of patients with HBsAg clearance, HBsAg < 200 IU/ml, HBsAg < 1000 IU/ml, and HBsAg < 1500 IU/ml were 3.6%, 23.9%, 57.0%, and 67.3%, respectively.  Conclusion  During the EVT treatment of CHB, the levels of HBsAg and HBV DNA gradually decrease, and the level of HBsAg shows a trend of rapid reduction followed by slow reduction. After 5 years of ETV monotherapy, 67.3% of the patients can achieve an HBsAg level of < 1500 IU/ml.
Antiviral effect of entecavir in chronic hepatitis B patients with rtA181V/T mutation
Shuqin LI, Jing ZHOU, Yuan GAO, Xiaoyan MA, Liping WANG
2021, 37(5): 1053-1058. DOI: 10.3969/j.issn.1001-5256.2021.05.016
Abstract(983) HTML (400) PDF (1906KB)(81)
Abstract:
  Objective  To investigate the clinical effect of entecavir (ETV) rescue treatment in chronic hepatitis B (CHB) patients at the onset of rtA181V/T mutation.  Methods  A total of 174 CHB patients who were treated in the outpatient and inpatient departments of The Affiliated Hospital of Xuzhou Medical University from January 2012 to January 2017 and underwent the detection of drug-resistance mutations of the genes in the reverse transcription (RT) polymerase region were enrolled, among whom there were 72 previously untreated patients and 102 treatment-experienced patients with virological breakthrough or poor response. The association between the previous medication history of nucleos(t)ide analogues and the mutation pattern (including rtA181V/T) was evaluated in the treatment-experienced CHB patients. A total of 155 patients were enrolled, among whom 72 patients had no drug-resistance mutations, 45 had rtA181V/T mutation, and 38 had rtA181V/T+rtN236T mutation. The three groups were compared in terms of virologic response and biochemical parameters at baseline and at weeks 24 and 48 of ETV rescue treatment. The t-test was used for comparison of normally distributed continuous data between two groups, and a one-way analysis of variance was used for comparison between multiple groups; the Kruskal-Wallis H test was used for comparison between multiple groups. The chi-square test was used for comparison of categorical data between two groups. A logistic regression analysis was used to screen out the influencing factors for poor prognosis.  Results  A analysis of the previous medication history of NAs and the mutation patterns for all patients suggested that the patients with the medication history of multiple NAs tended to have multisite mutations and multi-drug resistance (χ2=4.295, P < 0.05). The level of HBV DNA at the time of virological breakthrough was lower than that at the time of initial administration of NAs in the rtA181V/T mutation group [(6.22±1.48) log10 IU/ml vs (7.08±1.59) log10 IU/ml, t=3.098, P=0.002] and the rtA181V/T+rtN236T mutation group [(5.94±1.45) log10 IU/ml vs (6.94±1.61) log10 IU/ml, t=2.850, P=0.004]. At week 48 of ETV rescue treatment, there were no significant differences between the three groups in HBV DNA negative conversion rate (83.3% vs 82.2% vs 81.6%, P > 0.05) and HBeAg negative conversion rate (22.2% vs 17.8% vs 21.1%, P > 0.05), and there were also no significant differences in alanine aminotransferase normalization rate (77.1% vs 85.2% vs 83.3%, P > 0.05), aspartate aminotransferase normalization rate (80.4% vs 75.9% vs 76.0%, P > 0.05), and total bilirubin normalization rate (80.8% vs 79.3% vs 78.1%, P > 0.05). HBV DNA level at the beginning of ETV treatment was the risk factor for the treatment outcome of 48-week antiviral therapy (odds ratio = 1.655, 95% confidence interval: 1.128-2.428, P=0.01).  Conclusion  ETV has a good antiviral effect in treatment-experienced CHB patients with rtA181 drug-resistance mutation, and HBV DNA level at the initiation of ETV treatment can predict the outcome of 48-week ETV rescue treatment.
Mechanism of gamma-chain cytokines in regulating the expression of T-cell immunoglobulin and mucin domain-containing molecule 3 in CD8+ T cells of chronic hepatitis B patients
Xiaofei YANG, Linxu WANG, Changxing HUANG, Jie DONG, Haifeng HU, Zhanhu BI, Jianqi LIAN, Ye ZHANG
2021, 37(5): 1059-1064. DOI: 10.3969/j.issn.1001-5256.2021.05.017
Abstract(1042) HTML (302) PDF (3290KB)(61)
Abstract:
  Objective  To investigate the mechanism of gamma-chain (γC) cytokines in regulating the expression of T-cell immunoglobulin and mucin domain-containing molecule 3 (TIM-3) in CD8+ T cells of chronic hepatitis B (CHB) patients.  Methods  A total of 23 CHB patients who attended Tangdu Hospital, Fourth Military Medical University, from January to May, 2017, were enrolled. Peripheral blood was collected from all patients, and Ficoll density gradient centrifugation was used to isolate peripheral blood mononuclear cells (PBMCs). PBMCs were stimulated with interleukin-7 (IL-7), interleukin-15 (IL-15), and interleukin-21, respectively, and then anti-γC antibody and/or anti-IL-7Rα, anti-IL-2Rβ, and anti-IL-21R were added to the culture solution. After 96 hours of culture, flow cytometry was used to measure the expression of TIM-3, interleukin-2 (IL-2), interleukin-10 (IL-10), and interferon-γ (IFNγ) and the phosphorylation level of signal transducer and activator of transcription (STAT) in CD8+ T cells. A one-way analysis of variance and the least significant difference t-test were used for comparison of continuous data.  Results  The CD8+ T cells stimulated by IL-7 and IL-15 had a significantly higher percentage of TIM-3-positive CD8+ T cells than those without stimulation (t=9.966 and 9.074, P < 0.05), as well as significantly higher expression levels of IL-2, IL-10, and IFN-γ and phosphorylation levels of STAT-5 and STAT-1 (all P < 0.05). Stimulation with anti-IL-7Rα and anti-γC antibody significantly reduced the elevated expression levels of TIM-3, IL-2, and IL-10 in the IL-7 stimulation group (t=5.537, 6.224, and 4.500, P < 0.05). Stimulation with anti-IL-2Rβ alone or in combination with anti-γC antibody significantly reduced the expression levels of TIM-3 and IL-2 and the phosphorylation level of STAT-1 in the IL-15 stimulation group (P < 0.05).  Conclusion  IL-7 and IL-15 can upregulate the expression of TIM-3 in CD8+ T cells of CHB patients, possibly via the γC receptor-mediated STAT-cytokine signaling pathway.
Clinical effect of Jiedu Liangxue Jianpi prescription in treatment of patients with hepatitis B virus-associated acute-on-chronic liver failure in early and middle stages
Ke SHI, Yixin HOU, Jie HOU, Yuxin LI, Chongping RAN, Xianbo WANG
2021, 37(5): 1065-1069. DOI: 10.3969/j.issn.1001-5256.2021.05.018
Abstract(1358) HTML (297) PDF (1888KB)(71)
Abstract:
  Objective  To investigate the clinical effect of Jiedu Liangxue Jianpi prescription in the treatment of patients with hepatitis B virus-associated acute-on-chronic liver failure (HBV-ACLF) in early and middle stages.  Methods  A total of 75 patients who were diagnosed with HBV-ACLF in early and middle stages in Beijing Ditan Hospital from October 2017 to January 2019 were enrolled and randomly divided into integrated traditional Chinese and Western medicine group with 36 patients and control group with 39 patients. The patients in the control group were given Western medicine treatment, and those in the integrated traditional Chinese and Western medicine group were treated with Jiedu Liangxue Jianpi prescription in addition to Western medicine treatment. The course of treatment was 8 weeks for both groups. Cumulative response rate was observed for both groups, and the two groups were compared in terms of liver function, coagulation function, and routine blood test results before and after treatment. A univariate or multivariate analysis of variance with repeated measures was used for comparison between groups, and the chi-square test was used for comparison of categorical data between two groups.  Results  At week 4 of treatment, the integrated traditional Chinese and Western medicine group had a significantly higher cumulative response rate than the control group (77.7% vs 53.8%, χ2=4.734, P < 0.05). Compared with the control group, the integrated traditional Chinese and Western medicine group had a significant increase in albumin at weeks 1 and 2 of treatment (all P < 0.05), a significant increase in prothrombin activity at week 1 of treatment (P < 0.05), and significant reductions in neutrophil count and neutrophil-lymphocyte ratio at weeks 3 and 8 of treatment (all P < 0.05).  Conclusion  Jiedu Liangxue Jianpi prescription can improve the treatment response, liver function, and coagulation function and reduce neutrophil-lymphocyte ratio in patients with HBV-ACLF in early and middle stages.
Value of Model for End-Stage Liver Disease score combined with platelet-to-white blood cell ratio in predicting the prognosis of patients with hepatitis B virus-associated acute-on-chronic liver failure
Xinyi GAO, Li CHEN, Jianhe GAN
2021, 37(5): 1070-1074. DOI: 10.3969/j.issn.1001-5256.2021.05.019
Abstract(1424) HTML (249) PDF (1967KB)(112)
Abstract:
  Objective  To investigate the value of Model for End-Stage Liver Disease (MELD) score combined with platelet-to-white blood cell ratio (PWR) in predicting the short-term prognosis of patients with hepatitis B virus-associated acute-on-chronic liver failure (HBV-ACLF).  Methods  A retrospective analysis was performed for the clinical data of 123 HBV-ACLF patients who were admitted to The First Affiliated Hospital of Suzhou University from June 2014 to June 2019, and according to the prognosis on day 90 after admission, these patients were divided into survival group with 53 patients and death group with 70 patients. Related clinical data were recorded, including age, sex, and total bilirubin (TBil), alanine aminotransferase (ALT), aspartate aminotransferase (AST), gamma-glutamyl transpeptidase (GGT), alkaline phosphatase (ALP), serum creatinine (SCr), Albumin (Alb), prealbumin (PAB), international normalized ratio (INR), white blood cell count (WBC), lymphocyte count (LY), monocyte count (MO), neutrophil count (NE), hemoglobin (Hb), and platelet count (PLT) within 24 hours after admission, and PWR and MELD score were calculated. The t-test and the Mann-Whitney U test were used for comparison of continuous data between two groups; univariate and multivariate binary logistic regression analyses were used to analyze the association between each factor and the prognosis of HBV-ACLF; a predictive model of MELD score combined with PWR was established. The receiver operating characteristic (ROC) curve was plotted, and Youden index, cut-off value, sensitivity, and specificity were calculated; the area under the ROC curve (AUC) was calculated for MELD score alone or combined with PWR to compare their value in predicting the prognosis of HBV-ACLF patients.  Results  There were significant differences between the two groups in TBil, ALT, SCr, INR, WBC, MO, NE, Hb, PLT, PWR, and MELD score (all P < 0.05). TBil, SCr, INR, WBC, MO, NE, and MELD score were risk factors for prognosis of HBV-ACLF patients(all P < 0.05); PWR (odds ratio [OR]=0.883, 95% confidence interval [CI]: 0.798-0.977, P=0.016) and MELD score (OR=1.442, 95%CI: 1.225-1.698, P < 0.001) were independent predictive factors for the prognosis of HBV-ACLF patients. MELD score combined with PWR had a stronger predictive efficiency than MELD score alone in predicting the prognosis of HBV-ACLF patients [0.895 (95%CI: 0.827-0.943) vs 0.842 (95%CI: 0.765-0.902), P < 0.05].  Conclusion  MELD score combined with PWR can improve the efficiency of MELD score alone in predicting the prognosis of HBV-ACLF patients.
Clinical significance of serum protoporphyrin Ⅸ measurement in patients with HBV-related chronic liver diseases
Ying ZHANG, Ruochen CHENG, Rui GUO, Xia WANG, Kaige LIU
2021, 37(5): 1075-1080. DOI: 10.3969/j.issn.1001-5256.2021.05.020
Abstract(956) HTML (348) PDF (2602KB)(65)
Abstract:
  Objective  To investigate the value of serum protoporphyrin Ⅸ (PPIX) measurement in evaluating liver damage in patients with HBV-related chronic liver diseases.  Methods  A total of 110 patients who were diagnosed with HBV-related chronic liver diseases in The First Affiliated Hospital of Xi'an Medical University from October 2018 to October 2019 were enrolled as case group [chronic hepatitis B (CHB) group with 50 patients, liver cirrhosis (LC) group with 40 patients, and hepatocellular carcinoma (HCC) group with 20 patients], and 40 healthy individuals were enrolled as control group. High-performance liquid chromatography was used to measure serum PPIX. A one-way analysis of variance was used for comparison of normally distributed continuous data between groups, and the Mann-Whitney U test or the Kruskal-Wallis H test was used for comparison of non-normally distributed continuous data between groups; the chi-square test was used for comparison of categorical data between groups; the receiver operating characteristic (ROC) curve was plotted to analyze diagnostic value; a Spearman correlation analysis was also performed to investigate correlation.  Results  The CHB, HC, and HCC groups had a significantly higher level of PPIX than the control group [44.29 (25.99-85.36) ng/dl, 72.73 (48.28-90.43) ng/dl, and 91.79 (68.34-121.52) ng/dl vs 15.43 (10.87-20.16) ng/dl, all P < 0.05], and the patients with decompensated LC had a significant increase in the level of PPIX compared with those with compensated LC [54.50(29.14~85.65) vs 76.09(53.47~104.37), Z=-2.176, P < 0.05]. PPIX had a sensitivity of > 85% and a specificity of > 60% in the diagnosis of CHB, LC, and HCC. The patients in the latent stage of CHB had a significantly higher level of PPIX than those in the control group (Z=-4.303, P < 0.05). In the patients with LC, PPIX was moderately positively correlated with total bilirubin (TBil) (rs=0.587, P < 0.05) and moderately negatively correlated with albumin (rs=-0.408, P < 0.05); in the patients with HCC, PPIX was moderately positively correlated with TBil (rs=0.470, P < 0.05) and moderately negatively correlated with cholinesterase (rs=-0.459, P < 0.05).  Conclusion  Elevated serum PPIX is an early event of liver damage in patients with HBV-related chronic liver diseases and can thus be used as a sensitive parameter for the early warning and assessment of liver damage.
Original articles_Liver fibrosis and liver cirrhosis
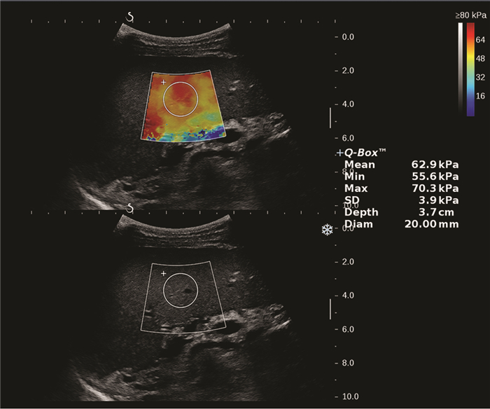
Clinical value of two-dimensional shear wave elastography in predicting esophageal varices in patients with hepatitis B cirrhosis by evaluating liver and spleen stiffness
Xuemei WANG, Yao ZHANG, Xueping YANG, Yue WANG, Mixue WANG
2021, 37(5): 1081-1084. DOI: 10.3969/j.issn.1001-5256.2021.05.021
Abstract(1416) HTML (293) PDF (2305KB)(79)
Abstract:
  Objective  To investigate the value of two-dimensional shear wave elastography (2D-SWE) in the noninvasive evaluation of the presence or absence of esophageal varices (EV) in patients with hepatitis B cirrhosis by liver stiffness measurement (LSM) and spleen stiffness measurement (SSM).  Methods  A total of 172 patients who were diagnosed with hepatitis B cirrhosis in Beijing Ditan Hospital, Capital Medical University, from April 2019 to February 2020 were enrolled in a prospective study, and according to the results of gastroscopy, they were divided into non-EV group and EV group. The two groups were compared in terms of spleen thickness (ST), spleen diameter (SD), LSM, and SSM. The independent samples t-test was used for comparison of normally distributed continuous data between two groups, and the Mann-Whitney U test was used for comparison of non-normally distributed continuous data between two groups; the chi-square test was used for comparison of categorical data. The receiver operating characteristic (ROC) curve was used to investigate the value of LSM and SSM in the diagnosis of EV, and the Z test was used to compare the diagnostic accuracy of LSM and SSM.  Results  There were 121 patients in the EV group and 51 patients in the non-EV group. There were significant differences between the two groups in ST (t=8.143, P < 0.001), SD (t=7.363, P < 0.001), LSM (Z=3.024, P=0.002), SSM (t=15.142, P < 0.001), and presence or absence of ascites (χ2=22.101, P < 0.001). LSM had an area under the ROC curve (AUC) of 0.646 (95% confidence interval [CI]: 0.570-0.718) in the diagnosis of EV, with a sensitivity (Se) of 83.47%, a specificity (Sp) of 47.06%, a positive predictive value (PPV) of 78.9%, and a negative predictive value (NPV) of 54.5% at the optimal cut-off value of 13.16. SSM had an AUC of 0.951 (95% CI: 0.907-0.978) in the diagnosis of EV, with an Se of 80.99%, an Sp of 96.08%, a PPV of 98.0%, and an NPV of 68.1% at the optimal cut-off value of 38.08. SSM had a better diagnostic accuracy than LSM (Z=6.096, P < 0.001).  Conclusion  LSM and SSM can be used to predict the presence or absence of EV in patients with hepatitis B cirrhosis. SSM has a higher accuracy than LSM and can provide accurate diagnostic information for clinical practice.
Value of albumin-bilirubin score in predicting the prognosis of patients with liver cirrhosis and esophagogastric variceal bleeding
Dezhao LI, Jian LI, Xiaolin GUO
2021, 37(5): 1085-1090. DOI: 10.3969/j.issn.1001-5256.2021.05.022
Abstract(1498) HTML (554) PDF (2209KB)(131)
Abstract:
  Objective  To investigate the value of albumin-bilirubin (ALBI) score in evaluating the prognosis of patients with liver cirrhosis and esophagogastric variceal bleeding, and to compare it with Child-Turcotte-Pugh (CTP) score and Model for End-stage Liver Disease combined with serum sodium concentration (MELD-Na) score.  Methods  A retrospective analysis was performed for the clinical data of 155 patients who were diagnosed with liver cirrhosis and esophagogastric variceal bleeding in The First Hospital of Jilin University from August 2018 to April 2019, and according to disease outcome after 1 year of follow-up, these patients were divided into survival group with 98 patients and death group with 57 patients. The influencing factors for prognosis were analyzed, and the value of ALBI score in predicting prognosis was assessed. The t-test was used for comparison of normally distributed continuous data between two groups, and the Mann-Whitney U test was used for comparison of non-normally distributed continuous data between two groups; the chi-square test was used for comparison of categorical data between two groups. A Spearman correlation analysis was performed to investigate the correlation between two variables. A multivariate logistic regression analysis was used to investigate independent influencing factors for death within 1 year. The receiver operating characteristic (ROC) curve was plotted, and the area under the ROC curve (AUC) was calculated; the optimal cut-off value was determined based on Youden index. The Z test was used for comparison of AUC between these three scoring systems.  Results  There were significant differences between the survival group and the death group in initial blood loss (U=1994.5, P=0.002), presence or absence of hepatic encephalopathy (χ2=14.154, P < 0.001), severity of ascites (χ2=10.537, P=0.005), total bilirubin (U=1694.0, P < 0.001), albumin (t=-6.633, P < 0.001), aspartate aminotransferase (U=2223.5, P=0.035), Na (U=1859.5, P=0.001), international normalized ratio (U=1259.5, P < 0.001), prothrombin time (U=1331.5, P < 0.001), white blood cell count (U=2008.5, P=0.004), red blood cell count (t=-2.633, P=0.009), red blood cell volume distribution width (U=1719.5, P < 0.001), hemoglobin (U=2150.0, P=0.017), ALBI grade (χ2=48.732, P < 0.001), and CTP class (χ2=34.646, P < 0.001). The death group had a significantly higher ALBI score on admission than the survival group (-1.11±0.59 vs -1.79±0.44, t=7.618, P < 0.001), as well as significantly higher MELD-Na score (18.0[14.5-24.0] vs 12.0[10.0-16.0], U=1176.0, P < 0.001) and CTP score (9.0[8.0-11.0] vs 7.0[6.0-8.0], U=1078.0, P < 0.001). The Spearman correlation analysis showed that ALBI score was positively correlated with CTP score and MELD-Na score (r=0.753 and 0.668, both P < 0.001). The multivariate logistic regression analysis showed that ALBI score (odds ratio [OR]=8.349, 95% confidence interval [CI]: 2.658-26.232), CTP score (OR=1.586, 95%CI: 1.157-2.175), and MELD-Na score (OR=1.188, 95%CI: 1.062-1.328) were independent risk factors for predicting death within 1 year. The optimal cut-off value was -1.485 for ALBI score, 8.5 for CTP score, and 17.5 for MELD-Na score in predicting the 1-year prognosis of patients, with an AUC of 0.818, 0.807, and 0.789, respectively. There was no significant difference between the three scoring systems in predicting the 1-year mortality rate (P > 0.05).  Conclusion  The performance of ALBI score is comparable to that of CTP and MELD-Na scores in predicting the risk of death within 1 year in patients with liver cirrhosis and esophagogastric variceal bleeding, and ALBI score has a good evaluation ability.
Original articles_Liver neoplasms
Effect of the expression level of diacylglycerol kinase gamma in paracancerous tissue on postoperative survival in patients with hepatocellular carcinoma
Xiangjun QIAN, Zhengyang GUO, Li WANG, Hanxiao NIE, Tao HE, Xiaoqian WANG, Baishun WAN, Mingjie YAO, Ling ZHANG
2021, 37(5): 1091-1096. DOI: 10.3969/j.issn.1001-5256.2021.05.023
Abstract(1024) HTML (241) PDF (2110KB)(63)
Abstract:
  Objective  To investigate the effect of the expression level of diacylglycerol kinase gamma (DGKγ) in paracancerous tissue on the postoperative prognosis of patients with hepatocellular carcinoma (HCC) and its clinical value.  Methods  Related clinical data were collected from 78 HCC patients who were admitted and underwent surgical resection from December 2008 to August 2012 in the Affiliated Cancer Hospital of Zhengzhou University. Quantitative real-time PCR was used to measure the mRNA expression level of DGKγ in paracancerous tissue, and then the 78 patients were divided into low expression group (DGKγ < 0.086 2, LEP group) and high expression group (DGKγ ≥0.086 2, HEP group). Basic data and clinical features were compared between the two groups. The t-test and the Mann-Whitney U test were used for comparison of continuous data, and the chi-square test and the corrected chi-square test were used for comparison of categorical data. Univariate and multivariate Cox regression analyses were used to investigate independent influencing factors for survival and prognosis, and the Kaplan-Meier method was used to analyze the overall survival trends of all patients and the LEP and HEP groups in each subgroup of Barcelona Clinic Liver Cancer (BCLC) stages.  Results  The multivariate Cox regression analysis showed that the expression level of DGKγ (HR=1.913, 95%CI: 1.111-3.296, P=0.019), HBsAg (HR=2.645, 95%CI: 1.264- 5.537, P=0.010), Alb (HR=0.952, 95%CI: 0.916-0.990, P=0.013), BCLC stage (HR=1.702, 95%CI: 1.267-2.286, P < 0.001) and tumor size (HR=1.083, 95%CI: 1.019-1.152, P=0.011) were independent influencing factors for long-term survival of HCC patients; the LEP group had a significantly longer median survival time than the HEP group (45.0 months vs 22.9 months, P= 0.002 5). The stratified analysis showed that for BCLC stage A HCC, the LEP group had significantly better long-term survival than the HEP group (P=0.034 5); for BCLC stage B/C HCC, the LEP group had a longer median survival time than the HEP group (16.5 months vs 10.8 months), but there was no significant difference in short- and long-term survival between the two groups (P > 0.05).  Conclusion  The expression level of DGKγ in paracancerous tissue may be a new index for predicting and evaluating the long-term survival risk of HCC patients after surgery and has certain value in clinical application.
Effect of aspirin on the incidence rate of liver cancer in patients with viral hepatitis: A Meta-analysis
Shun ZHU, Zhiguo LI, Shuo LI, Xu CAO, Xiaobin LI, Xiaoke LI, Yongan YE
2021, 37(5): 1097-1102. DOI: 10.3969/j.issn.1001-5256.2021.05.024
Abstract(1118) HTML (387) PDF (2235KB)(97)
Abstract:
  Objective  To evaluate the effect of the use of aspirin on the incidence rate of liver cancer in patients with viral hepatitis.  Methods  English databases including PubMed, Web of Science, and Cochrane Library were searched for studies on the use of aspirin and the incidence rate of liver cancer in patients with viral hepatitis published up to July 15, 2020. Hazard ratio (HR) and 95% confidence interval (CI) were selected as pooled indicators. RevMan 5.3 was used to perform the Meta-analysis, and a descriptive analysis was performed for data that could not be pooled.  Results  Nine studies were included, involving 132 066 patients with viral hepatitis. The results showed that the incidence rate of liver cancer was reduced by 31% in the patients with viral hepatitis who were treated with aspirin (HR=0.69, 95% CI: 0.65-0.74, P < 0.000 01). Four studies reported the incidence rate of gastrointestinal bleeding, suggesting that the use of aspirin did not significantly increase the risk of gastrointestinal bleeding in patients with viral hepatitis(P > 0.05).  Conclusion  Aspirin therapy may help to reduce the incidence rate of liver cancer in patients with viral hepatitis and does not significantly increase the risk of gastrointestinal bleeding in such patients and the patients with liver cirrhosis. Aspirin may have a positive significance in reducing liver cancer, but the mechanism behind this clinical phenomenon remains unclear, and therefore, more clinical observation studies are needed to verify its safety and efficacy.
Clinical effect of re-hepatic resection versus radiofrequency ablation in treatment of recurrent hepatocellular carcinoma in Asia: A Meta-analysis
Minjun LI, Zhujian DENG, Haotian LIU, Yuxian TENG, Rongrui HUO, Xiumei LIANG, Bangde XIANG, Lequn LI, Jianhong ZHONG
2021, 37(5): 1103-1109. DOI: 10.3969/j.issn.1001-5256.2021.05.025
Abstract(1720) HTML (358) PDF (2595KB)(83)
Abstract:
  Objective  To investigate the safety and efficacy of re-hepatic resection (rHR) versus radiofrequency ablation (RFA) in the treatment of recurrent hepatocellular carcinoma (RHCC) in Asia through a meta-analysis.  Methods  PubMed, CNKI, and Wanfang Data were searched for related studies published up to June 15, 2020. Two reviewers independently searched for the articles and extracted related data, and RevMan 5.4.1 was used to perform the meta-analysis.  Results  A total of 2 randomized controlled trials and 18 retrospective cohort studies met the inclusion criteria and involved 2903 patients with RHCC from Asian countries. The mortality rate in the perioperative period was 2% in the rHR group and 0 in the RFA group, and the incidence rate of perioperative complications was 22.4% in the rHR group and 3.3% in the RFA group. The 1-, 3-, and 5-year overall survival rates were 92.3%, 66.3%, and 51.1%, respectively, in the rHR group and 91.4%, 69.2%, and 39.9%, respectively, in the RFA group. The 1-, 3-, and 5-year disease-free survival rates were 67.9%, 48.3%, and 34.4%, respectively, in the rHR group and 57.5%, 27.9%, and 14.0%, respectively, in the RFA group. The Meta-analysis showed that there was no significant difference in overall survival rate between the two groups (hazard ratio [HR]=0.89, 95% confidence interval [CI]: 0.77-1.02, P=0.10), while the rHR group had a significantly higher disease-free survival rate than the RFA group (HR=0.79, 95% CI: 0.72-0.87, P < 0.001).  Conclusion  Current evidence shows that rHR may help to achieve a higher disease-free survival rate than RFA in the treatment of RHCC, while rHR and RFA have a similar overall survival rate.
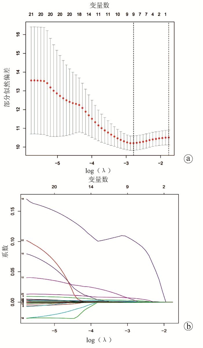
Value of a microRNA risk score model in predicting the prognosis of hepatocellular carcinoma
Xiuhong HUANG, Xiaoli XIE, Huiqing JIANG
2021, 37(5): 1110-1115. DOI: 10.3969/j.issn.1001-5256.2021.05.026
Abstract(1013) HTML (409) PDF (4272KB)(68)
Abstract:
  Objective  To screen out the microRNAs (miRNAs) associated with the prognosis of hepatocellular carcinoma (HCC) through data mining of miRNA transcriptome data of HCC downloaded from The Cancer Genome Atlas (TCGA) database, to establish a miRNA risk score model, and to investigate its value in predicting the prognosis of HCC.  Methods  The miRNA expression data and clinical data of HCC samples were downloaded from TCGA database and R language was used to screen out differentially expressed miRNAs between HCC tissue and adjacent tissue, which were randomly divided into training set and testing set after being integrated into clinical data. Univariate Cox regression analysis and least absolute shrinkage and selection operator (LASSO) Cox regression analysis were performed for the training set to screen out the miRNAs associated with the prognosis of HCC, and then a miRNA risk score model was established. The Kaplan-Meier method was used to evaluate the robustness of the model and whether it could predict the prognosis of patients in the same clinical stage. Finally, the receiver operating characteristic (ROC) curve was plotted and the area under the ROC curve (AUC) was calculated to compare the predictive accuracy of the model versus TNM staging in the training set, the testing set, and the entire set.  Results  A total of 300 differentially expressed miRNAs were screened out and the LASSO Cox regression analysis revealed that hsa-miR-139-5p, hsa-miR-1180-3p, hsa-miR-1269b, hsa-miR-3680-3p, hsa-miR-509-3-5p, and hsa-miR-31-5p were associated with the prognosis of HCC. The risk score was calculated for each sample according to the established miRNA risk score model, and the samples were divided into high-risk group and low-risk group according to the median risk score. The Kaplan-Meier curve showed that in both training and testing sets, the high-risk group had a significantly lower survival rate than the low-risk group (P < 0.05). The ROC curve was used to evaluate the prediction efficiency of this model, and the results showed that in the training set, the testing set, and the entire set, the miRNA model had an AUC of 0.817, 0.808, and 0.814, respectively, while TNM staging had an AUC of 0.667, 0.665, and 0.663, respectively. The results of independent prognostic analysis also showed that this miRNA score model could be used as an independent prognostic factor for HCC (P < 0.05).  Conclusion  Hsa-miR-139-5p, hsa-miR-1180-3p, hsa-miR-1269b, hsa-miR-3680-3p, hsa-miR-509-3-5p, and hsa-miR-31-5p are associated with the prognosis of HCC, and the miRNA risk score model has a better prediction accuracy than TNM staging in the training set, the testing set, and the entire set. The stratified analysis also shows that the model can predict the prognosis of patients within the same TNM stage, and therefore, it has a certain reference value in clinical practice and can be used as an independent model for predicting the prognosis of HCC patients.
Effect of AU-rich element RNA-binding factor 1 on the level of glypican 3 in hepatocellular carcinoma
Ting ZHANG, Guiwen GUAN, Jing ZHANG, Fengmin LU, Xiangmei CHEN
2021, 37(5): 1116-1120. DOI: 10.3969/j.issn.1001-5256.2021.05.027
Abstract(1125) HTML (277) PDF (3927KB)(53)
Abstract:
  Objective  To investigate the effect of AU-rich element RNA-binding factor 1 (AUF1) on glypican 3 (GPC3) in hepatocellular carcinoma (HCC) and its possible mechanism.  Methods  TCGA-HCC gene expression data were downloaded from Broad Institute Genome Data Analysis Center, and finally 371 HCC tissue samples with different etiologies and 50 adjacent tissue samples were included; LCI-HCC gene expression data were downloaded from GSE14520, and 214 patients with hepatitis B-associated HCC who had follow-up data were enrolled. A total of 35 primary liver cancer samples and corresponding adjacent tissue samples were collected from HCC patients who underwent radical surgery in Henan Provincial Cancer Hospital from 2009 to 2013. Immunohistochemistry was used to measure the protein expression of GPC3 and AUF1 in HCC tissue; Western Blot and qRT-PCR were used to measure the expression of GPC3 after AUF1 knockdown or overexpression in hepatoma cell lines; RNA-binding protein immunoprecipitation and RNA turnover assay were used to investigate the potential mechanism of AUF1 in regulating the expression of GPC3. The t-test was used for comparison of quantitative data between two groups, and the chi-square test was used for comparison of rates between two groups; the Kaplan-Meier method was used for survival analysis after surgery, and the log-rank test was used for comparison of survival rates.  Results  In TCGA and LCI databases, the expression of GPC3 in HCC tissue was significantly higher than that in adjacent tissue (P < 0.05), and in TCGA database, the high expression of GPC3 was associated with the poor prognosis of HCC patients (P < 0.05). Immunohistochemistry showed that both GPC3 and AUF1 proteins are highly expressed in HCC tissue, with a positive expression rate of 77.1% (27/35) and 74.3% (26/35), respectively. In vitro experiment showed that AUF1 knockdown significantly reduced the expression of GPC3 in HepG2 and Huh-7 cells (P < 0.05), while AUF1 overexpression significantly increased the expression of GPC3 (P < 0.05). AUF1 protein could bind to GPC3 mRNA, and AUF1 knockdown reduced the stability of GPC3 mRNA.  Conclusion  AUF1 is an important post-transcriptional regulator of the GPC3 gene, and the abnormal high expression of AUF1 and GPC3 may be involved in the development and progression of HCC.
Value of preoperative microRNA-192 in peripheral blood mononuclear cells in predicting microvascular invasion of solitary hepatocellular carcinoma
Xuemei DING, Shilun WU, Wenbing SUN
2021, 37(5): 1121-1125. DOI: 10.3969/j.issn.1001-5256.2021.05.028
Abstract(1116) HTML (239) PDF (1989KB)(58)
Abstract:
  Objective  To investigate the value of preoperative microRNA-192 (miR-192) in peripheral blood mononuclear cells (PBMCs) in predicting microvascular invasion (MVI) of solitary hepatocellular carcinoma (HCC).  Methods  A total of 136 patients with HCC who underwent surgical treatment in Department of Hepatobiliary-Pancreatic-Splenic Surgery, West Branch of Chaoyang Hospital, Capital Medical University, from March 2018 to April 2020 were enrolled and related data were collected. Ultrasound examination was performed and the expression of miR-192 in PBMCs was measured before surgery. According to the presence or absence of MVI after postoperative pathological examination, the patients were divided into MVI group with 41 patients and non-MVI group with 95 patients. The t-test was used for comparison of continuous data between two groups, and the chi-square test was used for comparison of categorical data between two groups. Univariate and multivariate logistic regression analyses were used to analyze the factors that may be associated with MVI, and the receiver operating characteristic (ROC) curve was used to analyze the value of preoperative miR-192 expression in predicting MVI.  Results  The MVI group had significantly lower preoperative relative expression of miR-192 in PBMCs than the non-MVI group (0.798±0.164 vs 1.086±0.215, t=7.663, P < 0.01). The multivariate logistic regression analysis showed that preoperative miR-192 (odds ratio [OR]=3.999, 95% confidence interval [CI]: 1.585-10.086, P=0.003), nodule type (OR=3.241, 95%CI: 1.154-9.106, P=0.026), and capsule type (OR=2.776, 95%CI: 1.088-7.084, P=0.033) were independent risk factors for MVI in HCC patients. The area under the ROC curve was 0.872 (95%CI: 0.768-0.931), with a sensitivity of 68.38% and a specificity of 70.59% at the optimal cut-off value of 0.858.  Conclusion  Preoperative miR-192 in PBMCs is closely associated with the development of MVI in patients with solitary HCC. Low preoperative miR-192, multiple nodules, and absence of capsule may increase the risk of MVI. Preoperative miR-192 level has a good value in predicting MVI in patients with solitary HCC.
Effect of circRNA hsa_circ_0091579 on the proliferation, migration, and invasion of hepatoma cells
Weikai YU, Tingting FENG, Xiaobing CHEN, Jiye LUO, Wanwen FENG, Yanli WANG
2021, 37(5): 1126-1131. DOI: 10.3969/j.issn.1001-5256.2021.05.029
Abstract(1761) HTML (300) PDF (4588KB)(85)
Abstract:
  Objective  To investigate the expression of circular RNA (cirRNA) hsa_circ_0091579 in human hepatocellular carcinoma (HCC) cell lines and its effect on the proliferation, migration, and invasion of HCC cells.  Methods  Human HCC cell lines SMMC-7721, Huh-7, MHCC-97H, and HepG2 and normal human liver cell line HL-7702 were cultured in vitro. RNA was extracted from cells and quantitative real-time PCR (qRT-PCR) was used to measure the expression of hsa_circ_0091579 in HCC cell lines and normal human liver cell line. Small interfering RNA (siRNA) was designed for the cyclic splicing site of hsa_circ_0091579, and HepG2 and Huh-7 cells were transfected with hsa_circ_0091579 siRNA in vitro; qRT-PCR was used to verify transfection efficiency. The experiment was divided into siRNA group (transfected with hsa_circ_0091579 siRNA) and NC group (transfected with negative control siRNA), and CCK-8 assay, flow cytometry, wound healing assay, and Transwell assay were used to investigate the effect of hsa_circ_0091579 on cell proliferation, apoptosis, migration, and invasion in HepG2 and Huh-7 cells. Dual luciferase reporter gene assay was used to verify the predicted target. The t-test was used for comparison of continuous data between the two groups.  Results  Compared with the normal human liver cell line HL-7702, the HCC cell lines SMMC-7721, Huh-7, MHCC-97H, and HepG2 had a significant increase in the expression level of hsa_circ_0091579 (t=14.27, 36.34, 26.70, and 36.16, all P < 0.001). Compared with the NC group, hsa_circ_0091579 siRNA effectively silenced hsa_circ_0091579 in HepG2 and Huh-7 cells (t=14.22 and 27.20, P=0.005 and 0.001). CCK-8 assay and flow cytometry showed that compared with the NC group, the siRNA group had a significant reduction in the proliferative activity of HepG2 and Huh-7 cells and a significant increase in apoptosis rate (all P < 0.05); wound healing assay and Transwell assay showed that compared with the NC group, the siRNA group had significant reductions in the migration and invasion abilities of HepG2 and Huh-7 cells (t=19.63, 13.61, 20.75, and 18.45, P=0.003, 0.005, 0.002, and 0.003). Luciferase reporter assay showed that compared with the NC group, miR-149, miR-490-5p, and miR-502-5p significantly reduced the activity of wild-type luciferase plasmids (t=10.01, 9.13, and 61.49, P=0.010, P=0.012, and P < 0.001).  Conclusion  Hsa_circ_0091579 is highly expressed in HCC cell lines and may play the role of oncogene by inhibiting miR-149, miR-490-5p, and miR-502-5p.
Original articles_Other liver diseases
Association between liver fibrosis and C-peptide in patients with type 2 diabetes and nonalcoholic fatty liver disease
Jiao LIU, Caiqin REN, Yali FENG, Jirui HE
2021, 37(5): 1132-1136. DOI: 10.3969/j.issn.1001-5256.2021.05.030
Abstract(1526) HTML (287) PDF (1916KB)(74)
Abstract:
  Objective  To investigate the effect of serum C-peptide level on the progression of liver fibrosis in patients with type 2 diabetes mellitus (T2DM) and nonalcoholic fatty liver disease (NAFLD).  Methods  A total of 484 patients with T2DM who were admitted to Department of Geriatrics, The Second Hospital of Lanzhou University, from December 2018 to July 2020 were enrolled, and according to the results of abdominal ultrasound examination, they were divided into simple T2DM group with 107 patients and T2DM+NAFLD group with 377 patients. According to NAFLD fibrosis score, the patients with T2DM and NAFLD were divided into fibrosis exclusion subgroup (T2DM+F0) with 136 patients, uncertain subgroup (T2DM+F1) with 146 patients, and fibrosis subgroup (T2DM+F2) with 95 patients. Medical history data and laboratory markers were collected. The chi-square test was used for comparison of categorical data; the t-test or the Mann-Whitney U test was used for comparison of continuous data, and a one-way analysis of variance or the Kruskal-Wallis H test was used for comparison between multiple groups; a logistic regression analysis was used to explore the risk factors for the progression of liver fibrosis; the receiver operating characteristic (ROC) curve was used to analyze the clinical value of serum C-peptide in predicting and diagnosing the progression of liver fibrosis.  Results  Compared with the simple T2DM group, the T2DM+NAFLD group had a significant increase in C-peptide level (Z=-6.040, P < 0.001); compared with the T2DM+F1 and T2DM+F0, the T2DM+F2 had significantly higher C-peptide level [2.89 (1.84-3.77) vs 1.97 (1.12-2.65)/1.87 (1.25-2.68), H=36.023, P < 0.001) and rate of fasting C-peptide (56.84% vs 23.29%/24.27%, χ2=37.583, P < 0.001). The logistic regression analysis showed that C-peptide (OR=1.435, 95% confidence interval: 1.227~1.678, P < 0.001) was a risk factor for liver fibrosis in patients with T2DM and NAFLD, and the ROC curve analysis also showed that C-peptide had great significance in predicting liver fibrosis in such patients, with an area under the ROC curve of 0.814, a sensitivity of 64.2%, a specificity of 89.7%, and a Youden index of 0.539 at the optimal cut-off value of 2.405 ng/ml.  Conclusion  C-peptide is an independent risk factor for the progression of liver fibrosis in patients with T2DM and NAFLD.
Association between monocyte-to-high-density lipoprotein cholesterol ratio and nonalcoholic fatty liver disease
Juan WANG, Yingchun WANG, Chunyu WANG
2021, 37(5): 1137-1141. DOI: 10.3969/j.issn.1001-5256.2021.05.031
Abstract(1137) HTML (345) PDF (2065KB)(81)
Abstract:
  Objective  To investigate the association between monocyte-to-high-density lipoprotein cholesterol ratio (MHR) and nonalcoholic fatty liver disease (NAFLD).  Methods  A total of 208 patients who were admitted to Department of Gastroenterology, Zhongshan Hospital Affiliated to Dalian University, from January 2018 to October 2020 and were diagnosed with NAFLD by abdominal CT were enrolled as NAFLD group, and 210 healthy individuals were enrolled as control group. All subjects underwent routine blood test, biochemical examination, and abdominal CT examination, and serum MHR was calculated. In addition, according to abdominal CT findings, the patients with NAFLD were divided into mild NAFLD group with 148 patients and moderate-to-severe NAFLD group with 60 patients, and the variables such as white blood cell count (WBC) and MHR were compared between the three groups. The independent samples t-test was used for comparison of normally distributed continuous data between two groups, and a one-way analysis of variance was used for comparison between multiple groups; the Mann-Whitney U test was used for comparison of data with skewed distribution between two groups, and the Kruskal-Wallis H test was used for comparison between multiple groups. The fourfold table chi-square test was used for comparison of categorical data between two groups, and the R×C table chi-square test was used for comparison between three groups. A Spearman correlation analysis was used to investigate the correlation of MHR with metabolic markers and the severity of NAFLD. The receiver operating characteristic (ROC) curve was used to evaluate the diagnostic value of MHR in predicting NAFLD.  Results  Compared with the control group, the NAFLD group had significant increases in body weight (t=-10.573, P < 0.001), body mass index (BMI) (t=-13.112, P < 0.001), smoking history (Z=14.667, P < 0.001), WBC (t=-7.359, P < 0.001), monocytes (Z=-9.932, P < 0.001), low-density lipoprotein cholesterol (t=-3.394, P=0.001), triglyceride (TG) (Z=-11.737, P < 0.001), cholesterol (t=-2.985, P=0.003), fasting blood glucose (FBG) (Z=-7.827, P < 0.001), alanine aminotransferase (ALT) (Z=-12.583, P < 0.001), and aspartate aminotransferase (AST) (Z=-9.514, P < 0.001) and a significant reduction in serum high-density lipoprotein cholesterol (HDL-C) (t=10.440, P < 0.001); in addition, MHR level had gender differences, and male patients had a significantly higher level than female patients (P < 0.001). Compared with the control group and the mild NAFLD group, the moderate-to-severe NAFLD group had a significant increase in serum MHR level (P < 0.001). The correlation analysis showed that serum MHR level was negatively correlated with HDL-C (r=-0.565, P < 0.001) and were positively correlated with smoking history, body weight, BMI, WBC, monocytes, TG, FBG, ALT, and AST (r=0.449, 0.482, 0.430, 0.478, 0.892, 0.333, 0.157, 0.386, and 0.281, all P < 0.01). At the same time, MHR level was positively correlated with the severity of NAFLD (r=0.629, P < 0.001). The ROC curve showed that MHR had an area under the ROC curve of 0.846 (95% confidence interval: 0.810-0.882, P < 0.001), with a sensitivity of 77.9% and a specificity of 74.3%.  Conclusion  Serum MHR level is associated with NAFLD and can be used as a predictive index for evaluating the progression of NAFLD.
Influencing factors for the clinical effect of emergency endoscopic therapy in treatment of acute-on-chronic liver failure with gastroesophageal variceal bleeding
Li LI, Pengpeng DING, Jianhong CHEN, Yadan WANG, Chunmei GUO, Mingming MENG, Yanling WANG, Xiaobao QI, Wenhui ZHANG, Hong LIU
2021, 37(5): 1142-1146. DOI: 10.3969/j.issn.1001-5256.2021.05.032
Abstract(1103) HTML (325) PDF (1883KB)(63)
Abstract:
  Objective  To investigate the influencing factors for the clinical effect of emergency endoscopic therapy in the treatment of patients with acute-on-chronic liver failure and gastroesophageal variceal bleeding.  Methods  A total of 51 patients with acute-on-chronic liver failure and gastroesophageal variceal bleeding who underwent emergency endoscopic therapy in Beijing Shijitan Hospital and The Fifth Medical Center of Chinese PLA General Hospital from January 2016 to December 2018 were enrolled, among whom 26 had successful hemostasis and 25 had failed hemostasis. The two groups were compared in terms of general information, varices grade and bleeding manifestations under endoscope, blood biochemical parameters, ultrasound findings, Child-Pugh class, and Model for End-Stage Liver Disease (MELD) score, and the influencing factors for the outcome of hemostasis were analyzed. The t-test or the Mann-Whitney U test was used for comparison of continuous data between two groups, and the chi-square test was used for comparison of categorical data between two groups; the logistic regression model was used to perform the multivariate analysis.  Results  Of all patients, 26 achieved successful hemostasis, with a success rate of hemostasis of 51%. There were no significant differences between the two groups in sex, age, etiology of liver cirrhosis, presence or absence of liver cancer, presence or absence of portal vein thrombosis, bleeding for the first time or not, white blood cell count, hemoglobin, platelet count, prothrombin time activity, alanine aminotransferase, total bilirubin, albumin, cholinesterase, MELD score, and bleeding site and bleeding manifestations under gastroscope (all P>0.05). Compared with the failed hemostasis group, the successful hemostasis group had a significantly longer course of disease (t=2.760, P=0.008) and significantly larger portal vein diameter and diameter of varicose veins under endoscope (t=-4.847, χ2=-6.590, both P < 0.05), and the failed hemostasis group had a significantly higher proportion of patients with Child-Pugh class C disease than the successful hemostasis group (χ2=5.684, P=0.017). Course of liver cirrhosis (odds ratio [OR]=0.913, 95% confidence interval [CI]: 0.838-0.994, P < 0.05), portal vein diameter (OR=1.925, 95%CI: 1.516-2.443, P < 0.05), and diameter of varicose veins (OR=23.254, 95%CI: 2.250-240.352, P < 0.05) were independent influencing factors for the clinical effect of endoscopic hemostasis.  Conclusion  There is a relatively low success rate of emergency endoscopic hemostasis in patients with acute-on-chronic liver failure, and course of liver cirrhosis, portal vein diameter, and diameter of varicose veins are independent influencing factors for the clinical effect of endoscopic hemostasis.
Value of prognostic nutritional index in predicting the prognosis of patients with hepatic alveolar echinococcosis
Xiaobin CHEN, Jiqi YUAN, Zhaojun XU, Haining FAN, Lizhao HOU, Haijiu WANG, Ying ZHOU, Pengjie CHEN, Zhixin WANG
2021, 37(5): 1147-1151. DOI: 10.3969/j.issn.1001-5256.2021.05.033
Abstract(996) HTML (225) PDF (2428KB)(53)
Abstract:
  Objective  To investigate the value of prognostic nutritional index (PNI) in predicting the prognosis of patients with hepatic alveolar echinococcosis.  Methods  A retrospective analysis was performed for the clinical data of 242 patients who were admitted to Department of Hepatopancreatobiliary Surgery, Qinghai University Affiliated Hospital, from January 2015 to December 2018 and underwent surgical treatment of hepatic alveolar echinococcosis. The results of routine blood test and liver function were collected at 1 week before surgery, and PNI was calculated. X-Tile software was used to determine the cut-off value of PNI, and according to this cut-off value, the patients were divided into high PNI group with 216 patients and low PNI group with 26 patients. The chi-square test was used for comparison of categorical data between groups; the Kaplan-Meier method was used to plot survival curves, and the log-rank test was used for comparison between groups; the Cox regression model was used to perform univariate and multivariate analyses, and hazard ratio (HR) and corresponding 95% confidence interval (CI) were calculated.  Results  PNI was associated with treatment modality, intraoperative blood loss, stage of echinococcosis, number of lesions, Child-Pugh class, aspartate aminotransferase, total bilirubin, albumin, alkaline phosphatase (ALP), prothrombin time (PT), and lymphocyte count (all P < 0.05). The low PNI group had 1-, 3-, and 5-year survival rates of 92.1%, 30.5%, and 20.3%, respectively, after surgery, while the high PNI group had 1-, 3-, and 5-year survival rates of 95.7%, 79.5%, and 56.9%, respectively. The mean survival time was 33.783 (95% CI: 26.450-51.355) months in the low PNI group and 51.355 (95% CI: 49.044-53.666) months in the high PNI group, and there was a significant difference between the two groups (χ2=24.626, P < 0.001). The univariate Cox regression analysis showed that PNI, surgical procedure, intraoperative blood loss, stage of echinococcosis, Child-Pugh class, complication, ALP, PT, neutrophils, and platelets were associated with the prognosis of patients with hepatic alveolar echinococcosis (all P < 0.05), and the multivariate Cox regression analysis showed that treatment modality (HR=1.461, 95%CI: 1.132-1.890, P=0.004), intraoperative blood loss (HR=6.078, 95%CI: 3.412-10.826, P < 0.001), PNI(HR=0.367, 95%CI: 0.192-0.701, P=0.002), complications (HR=2.007, 95%CI: 1.204-3.346, P=0.008), and neutrophils (HR=2.772, 95%CI: 1.304-5.891, P=0.008) were independent risk factors for the prognosis of patients with hepatic alveolar echinococcosis.  Conclusion  PNI can be used to predict the prognosis of patients with hepatic alveolar echinococcosis. The higher the peripheral blood PNI before surgery, the better the prognosis of patients.
Effect of pretreatment with adenosine monophosphate-activated protein kinase agonist on a rat model of hepatic ischemia-reperfusion injury and related mechanism
Ningbo PAN, Xuyang ZHANG, Yu ZHANG, Longcan YANG, Xi YU, Jiwei LI, Tianhao TANG, Ping HUANG, Ying ZHANG
2021, 37(5): 1152-1157. DOI: 10.3969/j.issn.1001-5256.2021.05.034
Abstract(1384) HTML (514) PDF (2519KB)(93)
Abstract:
  Objective  To investigate the effect of pretreatment with adenosine monophosphate-activated protein kinase (AMPK) agonist on rats with hepatic ischemia-reperfusion injury (HIRI) and the possible mechanism.  Methods  A total of 54 healthy specific pathogen-free male Sprague-Dawley rats were randomly and equally divided into 5-aminimidazole-4-formamide nucleotide (AICAR) treatment group (experimental group), ischemia-reperfusion group (control group), and sham-operation group. Samples were collected at 12, 24, and 72 hours after hepatic ischemia-reperfusion surgery to measure the serum levels of alanine aminotransferase (ALT), aspartate aminotransferase (AST), total bilirubin (TBil), tumor necrosis factor-α (TNFα), and interleukin-6 (IL-6) and the level of adenosine triphosphate (ATP) in the liver. HE staining was used to observe liver histological changes; quantitative real-time PCR was used to measure the relative mRNA expression levels of AMPK, mammalian target of rapamycin (mTOR), glucose transporter type 4 (GLUT4), and multidrug resistance-associated protein 2 (MRP2); Western blot was used to measure the protein expression levels of phosphorylated AMPK, phosphorylated mTOR, phosphorylated GLUT4, and MRP2. The repeated-measures analysis of variance was used for comparison between multiple groups, and the least significant difference t-test was used for further comparison between two groups.  Results  HE staining showed that the experimental group had milder liver injury than the control group at each time point. At 12, 24, and 72 hours after surgery, the control group had significantly higher serum levels of ALT, AST, TBil, IL-6, and TNFα than the experimental group and the sham-operation group, while the experimental group had significantly higher levels than the sham-operation group (all P < 0.05). At 12, 24, and 72 hours after surgery, the experimental group had a significantly higher level of ATP in liver tissue than the control group and the sham-operation group, and the control group had a significantly lower level than the sham-operation group (all P < 0.05). At 12, 24, and 72 hours after surgery, compared with the control group and the sham-operation group, the experimental group had significantly higher relative mRNA expression levels of AMPK, GLUT4, and MRP2 and protein expression levels of phosphorylated AMPK, phosphorylated GLUT4, and MRP2 (all P < 0.05); compared with the sham-operation group, the control group had significantly higher relative mRNA expression level of AMPK and protein expression level of phosphorylated AMPK, as well as significantly lower relative mRNA expression levels of GLUT4 and MRP2 and protein expression levels of phosphorylated GLUT4 and MRP2 (all P < 0.05). The experimental group had significantly lower relative mRNA expression level of mTOR and protein expression level of phosphorylated mTOR than the control group and the sham-o peration group (all P < 0.05), and compared with the sham-operation group, the control group had significantly higher relative mRNA expression level of mTOR and protein expression level of phosphorylated mTOR (both P < 0.05).  Conclusion  AICAR pretreatment can activate the AMPK signaling pathway, improve energy metabolism pathway, alleviate liver inflammation, and thus reduce the severity of HIRI.
Clinical and genetic features of neonatal intrahepatic cholestasis caused by citrin deficiency in northern China: A single-center analysis of 23 cases
Wenwen LIU, Xin MA, Meijuan WANG, Huijuan NING, Xuemei ZHONG
2021, 37(5): 1158-1163. DOI: 10.3969/j.issn.1001-5256.2021.05.035
Abstract(948) HTML (817) PDF (2205KB)(73)
Abstract:
  Objective  To investigate the clinical features and gene mutation characteristics of neonatal intrahepatic cholestasis caused citrin deficiency (NICCD) in northern China.  Methods  A total of 23 pediatric patients in northern China who were diagnosed with NICCD by blood tandem mass spectrometry and/or gene detection in Department of Gastroenterology, Children's Hospital Affiliated to Capital Institute of Pediatrics, from January 2015 to December 2018 were enrolled as NICCD group, and 36 pediatric patients with idiopathic neonatal cholestasis (INC) who had unclarified etiology after a series of examinations during the same period of time were enrolled as INC group. A retrospective analysis was performed for the clinical manifestation, laboratory examination, pathology, blood/urine metabolic screening, and gene sequencing results of the pediatric patients in the NICCD group, and follow-up was performed to observe their outcome; biochemical parameters were compared between the two groups. The independent samples t-test was used for comparison of normally distributed continuous data, and the Mann-Whitney U test was used for comparison of non-normally distributed continuous data; the chi-square test was used for comparison of categorical data between groups.  Results  Among the 23 patients in the NICCD group, 10 had hypoglycemia, 13 had hypoalbuminemia, 17 had hyperammonemia, and 15 had hyperlactacidemia; 15 had an increase in low-density lipoprotein, 6 had an increase in cholesterol, and 7 had an increase in triglyceride; 17 had prolonged prothrombin time, and 16 had prolonged activated partial thromboplastin time (APTT). Compared with the INC group, the NICCD group had significantly higher gamma-glutamyl transpeptidase (GGT), total bile acid (TBA), and APTT and a significantly lower albumin (Alb) level (Z=-2.487, Z=-3.528, t=3.532, t=-2.24, all P < 0.05). For the patients with NICCD, blood tandem mass spectrometry showed that the most common abnormalities were the increased levels of arginine, citrulline, methionine, free carnitine, and long-chain acylcarnitine, while urinary gas chromatography showed the increased levels of 4-hydroxyphenyllactic acid, galactose, galactitol, and galactonic acid. Gene detection was performed for all 23 patients and identified 16 pathogenic mutations, among which 7 were newly discovered, namely ivs14-9a>G, c1640 G>A, c.762T>A, c.736delG, c.1098 T del, c.851G>A, and c.550G>A. Except for the 2 patients who were lost to follow-up, the levels of aminotransferases and bilirubin gradually returned to normal in 21 patients after 2-6 months of treatment; none of them showed delayed growth and development after being followed up to the age of 1 year, and 2 of them developed dietary preference (they liked fish and meat and did not like staple food).  Conclusion  Abnormalities of blood GGT, TBA, Alb, and APTT may provide ideas for the differential diagnosis of NICCD and INC. NICCD gene mutations in northern China are heterogeneous and most patients tend to have a good prognosis.
Original articles_Pancreatic diseases
Clinical and prognostic features of hypertriglyceridemic pancreatitis during pregnancy
Yuqing CHEN, Peiling LI, Lu ZHANG, Huan XU, Yan PENG, Xiaowei TANG
2021, 37(5): 1164-1168. DOI: 10.3969/j.issn.1001-5256.2021.05.036
Abstract(1193) HTML (259) PDF (1881KB)(77)
Abstract:
  Objective  To investigate the clinical and prognostic features of hypertriglyceridemic pancreatitis (HTGP) during pregnancy.  Methods  A total of 77 patients with acute pancreatitis in pregnancy who were admitted to The Affiliated Hospital of Southwest Medical University from January 2013 to June 2020 were enrolled as subjects, and according to the presence or absence of HTGP, they were divided into HTGP group with 38 patients and non-HTGP group with 39 patients. The two groups were compared in terms of the clinical features including age, pregnancy, laboratory markers, complication, and prognostic indices. The independent samples t-test was used for comparison of normally distributed continuous data between two groups, and the Mann-Whitney U test was used for comparison of non-normally distributed continuous data between two groups; the chi-square test or the Fisher's exact test was used for comparison of categorical data between two groups, and the Mann-Whitney U test was used for comparison of ranked data between two groups. According to the trimester of pregnancy, the patients were divided into early pregnancy group with 4 patients, middle pregnancy group with 14 patients, and late pregnancy with 59 patients, and blood lipid levels were compared between groups; the Kruskal-Wallis H test was used for comparison between two groups or within each group.  Results  Compared with the non-HTGP group, the HTGP group had significantly higher mean age (t=-3.000, P=0.004) and proportion of patients with diabetes (χ2=8.867, P=0.003). Compared with the non-HTGP group, the HTGP group had a significantly higher proportion of patients with disease onset in the third trimester (P < 0.001) and a significantly lower serum level of sodium (Z=-6.328, P < 0.001). Compared with the non-HTGP group, the HTGP group had significantly higher incidence rates of acute peripancreatic fluid collection (76.3% vs 33.3%, χ2=14.342, P < 0.001) and systemic inflammatory response syndrome (81.6% vs 41.0%, χ2=13.310, P < 0.001). There were significant differences between the two groups in the length of hospital stay, the rate of admission to the intensive care unit, and hospital costs (Z=-2.077, χ2=11.537, Z=-3.525, all P < 0.05). The levels of total cholesterol and triglyceride in the third trimester were significantly higher than those in middle pregnancy (both P < 0.05).  Conclusion  Compared with the non-HTGP group, the HTGP group has a higher proportion of patients with disease onset in the third trimester of pregnancy, a higher risk of complications, a longer length of hospital stay, and higher hospital costs.
Case reports
Acute severe hepatitis C after surgery for lung cancer: A case report
Xiaofeng LI, Yanyan ZHAO, Yongtao SUN, Wen KANG
2021, 37(5): 1169-1170. DOI: 10.3969/j.issn.1001-5256.2021.05.037
Abstract(812) HTML (257) PDF (1844KB)(53)
Abstract:
Two cases of ulcerative colitis with liver injury
Hao WU, Man LIU, Na LI, Dan CHEN, Lei ZHU
2021, 37(5): 1171-1173. DOI: 10.3969/j.issn.1001-5256.2021.05.038
Abstract(1026) HTML (364) PDF (3754KB)(67)
Abstract:
Successful treatment of thyroid storm with liver failure and heart failure using the double plasma molecular absorption system: A case report
Tao WANG, Fenghui LI, Jing LIANG
2021, 37(5): 1174-1176. DOI: 10.3969/j.issn.1001-5256.2021.05.039
Abstract(996) HTML (352) PDF (2180KB)(59)
Abstract:
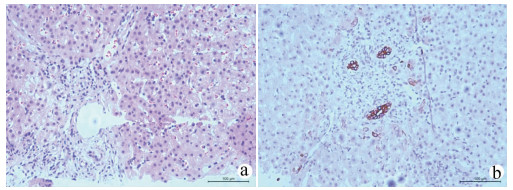
A case of hereditary hemochromatosis with diabetic ketoacidosis as the manifestation
Yingyue HU, Lisha LU, Zhenmao LI, Liangping LI, Lei LEI
2021, 37(5): 1177-1179. DOI: 10.3969/j.issn.1001-5256.2021.05.040
Abstract(1197) HTML (355) PDF (3389KB)(66)
Abstract:
Hereditary hemochromatosis caused by mutation in the SLC40A1 gene: A case report
Chengyu ZHU, Qi CHEN, Zhongxin FENG
2021, 37(5): 1180-1182. DOI: 10.3969/j.issn.1001-5256.2021.05.041
Abstract(1292) HTML (483) PDF (2385KB)(76)
Abstract:
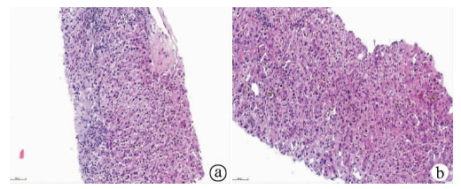
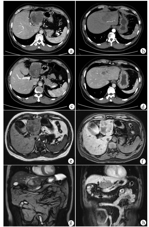
Hepatic alveolar echinococcosis misdiagnosed as intrahepatic cholangiocarcinoma: A case report
Kai ZHAO, Zhixin WANG, Shengbao WEN, Haijiu WANG, Haining FAN, Li REN
2021, 37(5): 1183-1185. DOI: 10.3969/j.issn.1001-5256.2021.05.042
Abstract(1037) HTML (359) PDF (2157KB)(63)
Abstract:
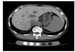
A case of splenic arteriovenous fistula with abdominal pain and gastrointestinal bleeding as the first symptoms
Yuanyuan CAI, Zhongwen WU, Juan LU
2021, 37(5): 1186-1188. DOI: 10.3969/j.issn.1001-5256.2021.05.043
Abstract(1061) HTML (301) PDF (2876KB)(57)
Abstract:
Reviews
Research advances in anti-hepatitis B virus therapy targeting covalently closed circular DNA
Yiying WANG, Xichen LIU, Rongli PIAO, Junjie QIN
2021, 37(5): 1189-1192. DOI: 10.3969/j.issn.1001-5256.2021.05.044
Abstract(1224) HTML (527) PDF (2143KB)(99)
Abstract:
The incurable chronic infection caused by hepatitis B virus (HBV) is the major health burden worldwide. Covalently closed circular DNA (cccDNA) exists in the nucleus of infected cells as a stable minichromosome, and when a new therapy realizes inactivation or eliminates persistent cccDNA in infected hepatocytes, the natural process of chronic infection and long-term antiviral therapy will no longer exist. This article introduces the methods targeting cccDNA, such as gene editing and epigenetic modification, so as to achieve the complete cure of HBV infection.
Application of sofosbuvir in HCV-infected patients with end-stage renal disease undergoing hemodialysis
Zujiang YU, Ye ZHANG, Jianqi LIAN
2021, 37(5): 1193-1196. DOI: 10.3969/j.issn.1001-5256.2021.05.045
Abstract(1107) HTML (256) PDF (1884KB)(76)
Abstract:
For chronic hepatitis C patents with end-stage renal disease (ESRD) undergoing hemodialysis, most guidelines recommend the use of direct-acting antivirals containing protease inhibitor (PI), yet dialysis patients with severe liver injury are often unable to receive such treatment due to contraindications to PIs. This article briefly introduces the unmet treatment needs in hepatitis C patients with ESRD undergoing dialysis, reviews the data from clinical trials and real-world studies investigating the use of PI-free sofosbuvir (SOF)-based regimens in such patients, and explores the value of SOF-based regimens in the treatment of dialysis patients in China and issues requiring further research. It is pointed out that full-dose SOF-based regimens have good clinical effect, tolerability, and safety in dialysis patients and thus provide additional safe and effective treatment options for such patients with moderate or severe liver injury.
Influence of glucose metabolism disorder on complications associated with liver cirrhosis
Caiyun TIAN, Han HU, Guoyuan ZHANG, Shide LIN
2021, 37(5): 1197-1200. DOI: 10.3969/j.issn.1001-5256.2021.05.046
Abstract(1121) HTML (533) PDF (1874KB)(87)
Abstract:
Both diabetes mellitus and liver cirrhosis have high incidence rate and mortality rate around the world, and in recent ten years, scholars in China and globally have conducted many studies on the association between diabetes mellitus and liver cirrhosis. This article systematically reviews the advances in the basic and clinical research on the influence of diabetes mellitus on liver cirrhosis and its complications and summarizes possible mechanisms. The results show that diabetes mellitus can accelerate the process of liver fibrosis, increase the risk of complications and progression to liver cancer in patients with liver cirrhosis, and reduce their survival rate.
Current status of research on hepatic encephalopathy after transjugular intrahepatic portosystemic shunt
Gonghai CHEN, Guangchuan WANG, Chunqing ZHANG
2021, 37(5): 1201-1204. DOI: 10.3969/j.issn.1001-5256.2021.05.047
Abstract(1517) HTML (416) PDF (1876KB)(111)
Abstract:
Hepatic encephalopathy (HE) is a common complication after transjugular intrahepatic portosystemic shunt (TIPS), and there are still no systematic strategies for prevention and treatment at present. Based on recent studies in China and foreign countries, this article analyzes and summarizes the risk factors for HE after TIPS and the advances in treatment and prevention. It is pointed out that early diagnosis and prevention of covert HE should be emphasized in further research, and it is important to standardize the prevention strategies for HE after TIPS.
Current developmental status of non-surgical treatment of hepatocellular carcinoma
Zhiyuan YU, Shiyu YANG, Jiaqi LI, Yan SUN
2021, 37(5): 1205-1207. DOI: 10.3969/j.issn.1001-5256.2021.05.048
Abstract(1067) HTML (228) PDF (1865KB)(88)
Abstract:
Hepatocellular carcinoma (HCC) is one of the most common malignant tumors with high mortality in clinical practice. With the development of imaging and interventional techniques, transcatheter arterial chemoembolization and local ablation are more and more widely used for treatment and can even achieve a similar effect as surgery in the treatment of some types of early-stage HCC. In addition, precision medicine and biomedicine have also developed vigorously; radiochemotherapy is more accurate and effective in the treatment of HCC, and molecular targeted therapy, immunotherapy, and gene therapy have become the directions for breakthrough in the future. This article reviews the latest advances in the non-surgical treatment of HCC.
Pathogenesis and prevention strategy of hepatocellular carcinoma in acute intermittent porphyria
Xixi CAO, Yi REN, Simin LIU, Jing YANG
2021, 37(5): 1208-1211. DOI: 10.3969/j.issn.1001-5256.2021.05.049
Abstract(965) HTML (485) PDF (1876KB)(59)
Abstract:
With the development of genetics and molecular biology, the research on acute intermittent porphyria (AIP) has been gradually deepened, and its complication hepatocellular carcinoma (HCC) has attracted more and more attention. This article mainly summarizes the research advances in the pathogenesis and prevention of HCC in AIP. The pathogenesis of AIP with HCC is associated with oxidative stress, p53 mutation, downregulation of Bcl-2, increase in inflammatory cytokines, and iron overload, and its prevention strategies include the use of statins, strict management, liver transplantation, gene therapy, and enzyme replacement therapy. This article reviews the latest advances in the pathogenesis and prevention of AIP with HCC.
Application of stereotactic body radiotherapy in small hepatocellular carcinoma
Wenjun LIU, Dan DU, Baojie CHEN, Ting YAO, Xianfu LI
2021, 37(5): 1212-1215. DOI: 10.3969/j.issn.1001-5256.2021.05.050
Abstract(1281) HTML (704) PDF (1879KB)(73)
Abstract:
At present, hepatic resection (HR) and radiofrequency ablation of (RFA) are the main radical treatment methods for small hepatocellular carcinoma (sHCC), while stereotactic body radiotherapy (SBRT) is developing rapidly and there is an increasing number of reports on the effective treatment of sHCC with SBRT. This article introduces the technical advantages, therapeutic dose, and fractionation scheme of SBRT in the treatment of sHCC, as well as the limit of normal liver tissue and the protection of surrounding organs at risk. This article also compares the efficacy of SBRT versus HR and RFA in the treatment of sHCC and briefly describes the adverse reactions of SBRT in the treatment of sHCC. Previous studies have shown that for some sHCC cases, SBRT has an equal or even better clinical effect than HR and RFA, with controllable toxicity. Therefore, SBRT is expected to become another radical treatment method for sHCC.
Advances of traditional Chinese medicine in prevention and treatment of recurrence and metastasis of liver cancer
Liu LIU, Qiuluo CHENG, Changchuan BAI, Ying ZHU
2021, 37(5): 1216-1220. DOI: 10.3969/j.issn.1001-5256.2021.05.051
Abstract(2102) HTML (451) PDF (2109KB)(125)
Abstract:
Great achievements have been made in traditional Chinese medicine in the prevention and treatment of liver cancer in recent years. Studies have shown that traditional Chinese medicine can reduce the recurrence and metastasis of liver cancer and prolong the survival time of patients by inhibiting cell proliferation, inducing cell apoptosis, inhibiting cell migration and invasion, inhibiting angiogenesis, regulating immunity, and reversing drug resistance. This article reviews the clinical and basic studies on the effect of traditional Chinese medicine in the prevention and treatment of recurrence and metastasis of liver cancer in the recent 10 years, and it is believed that traditional Chinese medicine has the advantages of low toxicity, multiple targets, and multiple pathways in the prevention and treatment of recurrence and metastasis of liver cancer. Future research should focus on how to screen out the effective constituents for liver cancer, how to understand the complete mechanism of action of traditional Chinese medicine, whether the consistency in the efficacy of traditional Chinese medicine between in vivo and in vitro studies can be guaranteed, and whether there is a difference in the role of investigational drugs between populations from different regions in multicenter clinical studies.
Role of ghrelin and obestatin in the progression of nonalcoholic fatty liver disease
Bingbing GAO, Honghua GUO
2021, 37(5): 1221-1225. DOI: 10.3969/j.issn.1001-5256.2021.05.052
Abstract(989) HTML (408) PDF (1885KB)(64)
Abstract:
Nonalcoholic fatty liver disease (NAFLD) is a disease caused by multiple factors and can progress to liver cirrhosis and hepatocellular carcinoma. At present, the pathogenesis of NAFLD remains unclear and there are still no effective therapeutic drugs in clinical practice; therefore, it is particularly important to search for new therapeutic drugs that have few side effects and can effectively delay or reverse disease progression. Some studies have shown that related hormones produced by gastric tissue have a variety of effects in the regulation of energy homeostasis and obesity, and the expression level of inflammation-related genes in gastric fundus is consistent with the severity of liver disease; thus we have reason to believe that the stomach is one of the important participants in NAFLD. This article summarizes the role of ghrelin and obestatin produced by the stomach in the progression of NAFLD, which provides a new idea for the pathogenesis of NAFLD and a new direction for treatment.
Role of interleukin-1β in the pathogenesis of alcoholic liver disease
Hui QUAN, Yuyong JIANG
2021, 37(5): 1226-1228. DOI: 10.3969/j.issn.1001-5256.2021.05.053
Abstract(1465) HTML (217) PDF (1866KB)(89)
Abstract:
Alcoholic liver disease (ALD) has become the second largest liver disease after viral liver disease in China. Chronic alcohol exposure increases the production of proinflammatory factors including interleukin-1β (IL-1β), which is closely associated with the main symptoms of alcoholic hepatitis such as pyrexia and elevated white blood cell count. This article introduces the production and function of IL-1β; in ALD, it promotes hepatic steatosis and inflammation by acting on liver parenchymal cells and nonparenchymal cells and accelerates liver fibrosis by regulating the proliferation of hepatic stellate cells. It is pointed out that interference with the IL-1β pathway may become one of the treatment strategies for ALD in the future.
Advances in clinical research on liver disease during pregnancy
Peng XIAO, Taotao BA, Mengmeng DING, Yanhang GAO
2021, 37(5): 1229-1232. DOI: 10.3969/j.issn.1001-5256.2021.05.054
Abstract(1314) HTML (399) PDF (1867KB)(178)
Abstract:
According to the association between liver injury and pregnancy, liver diseases during pregnancy can be classified as pregnancy-specific liver diseases and liver diseases with pregnancy. Pregnancy-specific liver diseases refer to the liver diseases that only occur during pregnancy, while liver diseases with pregnancy refer to pregnancy with previous liver diseases. Due to the particularity of maternal and fetal health during pregnancy, the diagnosis and treatment of liver diseases during pregnancy is challenging for both obstetricians and hepatologists. Rapid identification, diagnosis, and treatment of related diseases during pregnancy are very important for the prognosis of the mother and the fetus. This article summarizes and reviews the research advances in the epidemiology, pathogenesis, clinical manifestations, diagnosis, treatment, and prognosis of liver diseases during pregnancy, in order to provide a reference for more clinicians.