中文English
ISSN 1001-5256 (Print)
ISSN 2097-3497 (Online)
CN 22-1108/R

留言板

尊敬的读者、作者、审稿人, 关于本刊的投稿、审稿、编辑和出版的任何问题, 您可以本页添加留言。我们将尽快给您答复。谢谢您的支持!

姓名
邮箱
手机号码
标题
留言内容
验证码
2023年 第3期
“肝脏病理和肝病精准诊治”  重点号
执行主编:杨永峰
南京中医药大学附属南京医院

显示方式:
述评
临床医生视角看肝脏病理
杨永峰
2023, 39(3): 489-490. DOI: 10.3969/j.issn.1001-5256.2023.03.001
摘要(1227) HTML (544) PDF (1786KB)(235)
摘要:
肝组织病理学在肝脏疾病分级分期和不明原因肝病病因探寻方面起着至关重要的作用。作为临床医生,要充分了解肝组织活检的适应证和禁忌证、肝脏疾病的病理特征、肝组织病理学的地位和作用、临床病理沟通重要性等内容。本文对上述内容作一概述,以帮助临床医生更好的应用肝组织病理学这一有创诊断方法。
专家论坛
非酒精性脂肪性肝病诊断——病理的重要性
田爱平, 杨永峰
2023, 39(3): 491-497. DOI: 10.3969/j.issn.1001-5256.2023.03.002
摘要(2439) HTML (2040) PDF (3621KB)(577)
摘要:
对于非酒精性脂肪性肝病的明确诊断、单纯性脂肪肝(NAFL)及非酒精性脂肪性肝炎(NASH)区分及疾病严重程度的分级评分,均需依靠肝穿刺活检组织病理学评估完成,而临床上仍多依赖于血液学及影像学检测手段。尽管目前已有大量相关研究针对非酒精性脂肪性肝病的无创纤维化评估、疾病诊断模型出现,其敏感性及特异性仍有待提高。本文拟分别从NAFL及NASH的主要病理学特征、纤维化及分级分期评分方法,NASH肝硬化的病理学诊断等方面进行论述,以期提高临床医师对于该疾病组织学诊断的重视。
不明原因肝硬化的病理诊断思路
张誉, 杨永峰
2023, 39(3): 498-503. DOI: 10.3969/j.issn.1001-5256.2023.03.003
摘要(2178) HTML (791) PDF (1771KB)(369)
摘要:
肝硬化是各类慢性肝病发展的终末阶段,常见的病因包括慢性病毒性肝炎、非酒精性脂肪性肝病、自身免疫性肝病、遗传代谢性肝病等。明确病因诊断是对因治疗的重要前提。“不明原因”肝硬化指经过常规病史询问、体格检查及辅助检查后无法明确病因的肝硬化。此时,肝组织病理学检查既是肝硬化诊断的“金标准”,也是探究肝硬化病因的重要依据。通过对肝纤维化模式、炎症损伤类型及伴随病理改变等进行评估,同时结合相关病史、体征、实验室检查及影像学检查结果综合分析,有助于不明原因肝硬化的病因诊断。本文将对不明原因肝硬化的病理特征及诊断思路进行综述。
自身免疫性肝炎诊治——病理必不可缺
王丽, 杨永峰
2023, 39(3): 504-510. DOI: 10.3969/j.issn.1001-5256.2023.03.004
摘要(1630) HTML (431) PDF (2286KB)(256)
摘要:
自身免疫性肝炎现已成为国内主要的非感染性肝炎类型,本文从临床及病理角度归纳并论述了其特征性表现及诊治现状,总结出病理组织学在自身免疫性肝炎诊治中必不可缺的地位。
原发性胆汁性胆管炎诊治——病理是否必需?
刘红丽, 杨永峰
2023, 39(3): 511-516. DOI: 10.3969/j.issn.1001-5256.2023.03.005
摘要(1438) HTML (347) PDF (2564KB)(255)
摘要:
原发性胆汁性胆管炎(PBC)是一种慢性肝内胆汁淤积性疾病。本文归纳了PBC病理组织学特征、病理检查在PBC的诊断和治疗中的作用,对病理在分期预后、不典型PBC的诊断、重叠综合征诊断、熊去氧胆酸UDCA应答不佳原因分析和鉴别疾病或排除其他合并疾病等中的作用进行综述,提高临床医生对病理检查对PBC作用的认识。
“基本正常肝组织”的病理鉴别诊断思路
张萌萌, 孟尧, 赵新颜
2023, 39(3): 517-522. DOI: 10.3969/j.issn.1001-5256.2023.03.006
摘要(1366) HTML (2461) PDF (5545KB)(361)
摘要:
肝脏病理活检是明确肝脏疾病诊断的关键手段,对判断病情严重程度、决策治疗时机、预测疗效及预后具有重要价值。病理专家通过识别肝脏病理损伤模式判断病变性质,作为诊断及鉴别诊断依据,其中一类病理损伤模式,看似“基本正常”,实则需要细致入微地观察易被忽略的病理变化,从而减少误诊或漏诊。本文重点介绍了“基本正常”的肝组织病理诊断思路及鉴别诊断要点。
学术争鸣
绿茶提取物可致特异质型肝损伤?——与美国最新版药物性肝损伤指南商榷
高云娟, 赵旭, 朱敬肖, 柏兆方, 王伽伯, 肖小河
2023, 39(3): 523-526. DOI: 10.3969/j.issn.1001-5256.2023.03.007
摘要(1231) HTML (419) PDF (1739KB)(138)
摘要:
近年来,绿茶提取物的潜在肝毒性越来越多的引起了人们的关注。本文通过现有绿茶提取物肝损伤相关研究,结合最新药物肝毒性分类,对其肝损伤的客观性和成因机制进行了系统的阐述和分析。进一步根据绿茶提取物致肝损伤的主要风险因素,提出了安全合理使用此类产品的相关建议,以期为绿茶提取物肝损伤机制的深入研究和风险的防控提供有价值的见解,同时,也为绿茶提取物改善健康状况的治疗性使用提供重要的参考。
指南与规范
肝硬化门静脉高压食管胃静脉曲张出血的防治指南
中华医学会肝病学分会, 中华医学会消化病学分会, 中华医学会消化内镜学分会
2023, 39(3): 527-538. DOI: 10.3969/j.issn.1001-5256.2023.03.znygf
摘要(2980) HTML (587) PDF (2570KB)(942)
摘要:

为了规范肝硬化门静脉高压食管胃静脉曲张出血的诊断、治疗和管理,中华医学会肝病学分会、消化病学分会和消化内镜学分会组织国内有关专家,结合近年来国内外肝硬化门静脉高压食管胃静脉曲张出血相关临床研究的最新进展,遵循循证医学的证据,修定了《肝硬化门静脉高压食管胃静脉曲张出血的防治指南》,对肝硬化门静脉高压食管胃静脉曲张出血的诊断、治疗和管理提出了推荐意见,旨在提高临床医生对于肝硬化门静脉高压食管胃静脉曲张出血的临床救治水平。

论著_病毒性肝炎
12周索磷布韦联合可洛派韦治疗慢性丙型肝炎的效果和安全性分析
张伟, 翟嵩, 杜虹, 景富春, 王丽梅, 张野, 亢必勃, 王九萍, 党双锁, 连建奇, 姜泓
2023, 39(3): 539-545. DOI: 10.3969/j.issn.1001-5256.2023.03.009
摘要(1481) HTML (327) PDF (2213KB)(157)
摘要:
  目的  分析索磷布韦联合盐酸可洛派韦12周方案治疗中国西北地区慢性丙型肝炎的效果和安全性。  方法  本研究纳入2021年7月1日—2021年12月31日空军军医大学第一附属医院、空军军医大学第二附属医院、西安交通大学第二附属医院、陕西省宝鸡市中心医院4家医院的慢性丙型肝炎(CHC)接受索磷布韦(400 mg) 联合盐酸可洛派韦(60 mg)治疗12周的101例患者,其中肝硬化13例,无肝硬化88例。无论是否有肝硬化、任何基因分型均未加用利巴韦林等其他抗病毒药物。提取患者基线、治疗12周及停药后12周的HCV RNA定量、肝生化指标等临床资料。主要评估治疗结束后12周持续病毒学应答(SVR12)和治疗12周时的安全性。其次评估治疗12周对肝生化指标的影响。不满足正态分布的计量资料采用M(P25~P75)表示,两组间比较采用Mann-Whitney U检验。  结果  共101例患者纳入分析,其中男性55例(54.5%),中位年龄53岁,12.8%有肝硬化,1.0%合并肝癌,3.0%为经治患者,3.0%合并有2型糖尿病。基因型分布:1型8%,2型60%,3型19%,6型6%,未检测基因型7%。101例患者经12周治疗HCV RNA均低于检测下限,SVR12达100%,与基线相比治疗12周血清ALT水平明显降低(P<0.05)。有阿托伐他汀钙、阿司匹林、二甲双胍、硝苯地平、双环醇、复方甘草酸苷等合并用药的患者为22.7%。任何不良事件发生率为16.8%,疲乏(12.9%)最常见。  结论  12周索磷布韦联合盐酸可洛派韦治疗西北地区CHC患者可获得较高的SVR12,抗病毒治疗安全性良好,治疗12周时患者血清ALT异常明显改善。
论著_脂肪性肝病
甘油三酯葡萄糖乘积指数联合肥胖指标对阻塞性睡眠呼吸暂停患者发生非酒精性脂肪性肝病的预测价值
蒋绒, 李永霞
2023, 39(3): 546-551. DOI: 10.3969/j.issn.1001-5256.2023.03.010
摘要(1134) HTML (300) PDF (1893KB)(126)
摘要:
  目的  探讨甘油三酯葡萄糖乘积指数(TyG)、TyG联合BMI及TyG联合腰围(WC)预测阻塞性睡眠呼吸暂停(OSA)患者发生非酒精性脂肪性肝病(NAFLD)的价值。  方法  回顾性分析2020年1月—2021年12月在昆明医科大学第二附属医院行睡眠呼吸监测并诊断为OSA的患者190例,依据超声检查结果分为OSA合并NAFLD组107例及对照组83例。计量资料两组间比较采用t检验或Mann-Whitney U检验;计数资料两组间比较采用χ2检验。采用二元Logistic回归分析探讨OSA患者发生NAFLD的影响因素。绘制TyG、TyG联合BMI及TyG联合WC预测OSA患者发生NAFLD的受试者工作特征曲线(ROC曲线),计算曲线下面积(AUC)。AUC的比较采用Z检验。  结果  与对照组相比,OSA合并NAFLD患者的BMI、颈围、WC、AHI、ODI、ALT、GGT、TG、FPG、TyG较高,年龄、Average SpO2、LSaO2、HDL-C较低(P值均<0.05)。二元Logistic分析显示TyG(OR=1.961,95%CI:1.03~3.73,P=0.040)、BMI(OR=1.203,95%CI:1.03~1.41,P=0.020)、WC(OR=1.074,95%CI:1.01~1.14,P=0.026)为OSA患者发生NAFLD的独立危险因素。TyG、TyG联合BMI及TyG联合WC预测OSA患者发生NAFLD的AUC(95%CI)分别为0.696(0.625~0.760)、0.787(0.722~0.843)和0.803(0.739~0.857),最佳截断点分别为8.72、0.36和0.60。TyG联合BMI对OSA患者发生NAFLD的预测价值高于TyG(Z=2.542,P=0.011),TyG联合WC的预测价值也高于TyG(Z=2.976,P=0.002 9)。  结论  TyG、TyG联合BMI及TyG联合WC对OSA发生NAFLD具有良好的预测价值,以TyG联合WC的预测价值最佳,有望成为OSA患者发生NAFLD风险的预测指标。
微粒体甘油三酯转运蛋白基因rs1800591变异与老年人群非酒精性脂肪性肝病发生风险的关系
赵锦涵, 张晶, 张洋, 徐潇艺, 勾钰淞, 徐航飞, 万妍, 吴剑
2023, 39(3): 552-561. DOI: 10.3969/j.issn.1001-5256.2023.03.011
摘要(940) HTML (333) PDF (1938KB)(100)
摘要:
  目的  探讨老年人群微粒体甘油三酯转运蛋白(MTTP)基因rs1800591多态性与非酒精性脂肪性肝病(NAFLD)发病风险的关系。  方法  本研究的临床队列建立在北京京煤集团总医院门矿医院,2020年1月11日—2021年9月30日在北京门头沟社区共招募参加健康体检1098例老年志愿者,其中NAFLD患者614例,非NAFLD患者484例,采用基因芯片法检测MTTP rs1800591基因型,收集人口学资料并检测受试者的血液生化指标。符合正态分布的计量资料两组间比较采用独立样本t检验;对非正态分布的计量资料两组间比较采用Mann-Whitney U检验;计数资料两组间比较采用χ2检验。应用χ2检验分析基因型频率的分布是否符合Hardy-Weinberg (H-W) 平衡检验以确认样本的群体代表性。以非条件Logistic回归模型计算比值比(OR)及其95%CI以评估基因多态性与NAFLD发生风险及其他合并症的关系。  结果  两组间性别、年龄差异均有统计学意义(P值均<0.05)。相比于非NAFLD组,NAFLD组的BMI、腰臀比、TG、ALT、AST、CAP、LSM水平均显著提高,而HDL明显降低(P值均<0.05)。NAFLD组中高血压、糖尿病、肥胖及代谢综合征患者的比例也均高于非NAFLD组(P值均<0.05)。MTTP rs1800591多态性在对照组基因型频率分布符合Hardy-Weinberg平衡(χ2=1.097,P=0.29)。MTTP rs1800591不同基因型及等位基因分布在NAFLD患者与对照组中均有显著性差异(P值均<0.001)。总人群中T等位基因(GT+TT,n=351)携带率在男性中比例偏低,而BMI和CAP值显著高于非携带者(GG,n=747)(P值均<0.001)。相比于非携带者,T等位基因携带者(GT+TT,n=232)中肥胖患者比例明显提高,但NFS评分却显著降低(P值均<0.05)。在NAFLD受试者中,T等位基因携带者男性比例和腰臀比显著降低, T等位基因携带者HDL高于非携带者(GG,n=382),T等位基因携带者NFS评分仍明显低于非携带者(P值均<0.05)。非条件Logistic回归分析表明,在校正性别、年龄、BMI混杂因素后,MTTP rs1800591 GT+TT型仍显著增加了NAFLD的发生风险(OR=1.643, 95%CI:1.226~2.203, P=0.001),而T等位基因携带则增加了总人群中肥胖的发生风险(OR=1.371, 95%CI:1.051~1.788, P=0.02)。  结论  老年人群中MTTP rs1800591多态性与NAFLD的发生有关,T等位基因携带者可能促进了NAFLD肝脏脂肪变性,增加肥胖症发生风险,但可能抑制了肝纤维化进展。
代谢相关脂肪性肝病患儿外周血黏膜相关恒定T淋巴细胞的频率、表型及功能改变
姜涛, 欧阳文献, 谭艳芳, 康桢, 李双杰
2023, 39(3): 562-566. DOI: 10.3969/j.issn.1001-5256.2023.03.012
摘要(885) HTML (261) PDF (1753KB)(92)
摘要:
  目的  探讨代谢相关脂肪性肝病(MAFLD)患儿外周血黏膜相关恒定T(MAIT)淋巴细胞的变化及其临床意义。  方法  选取2022年3月—2022年5月在湖南省儿童医院就诊的18例MAFLD患儿(MAFLD组)及同期20例正常对照儿童(对照组),采集外周血,流式细胞仪检测MAIT淋巴细胞(CD3+CD161+TCRVα7.2+细胞)及其不同MAIT淋巴细胞亚型(CD4+CD8-MAIT淋巴细胞、CD4-CD8-MAIT淋巴细胞、CD4-CD8+MAIT淋巴细胞和CD4+CD8+MAIT淋巴细胞)比例,表达PD-1、CD69、穿孔素、CD107α、CXCR3、CXCR6和CCR6的MAIT淋巴细胞比例,分析MAIT淋巴细胞频率与肝脏炎症、脂肪含量和纤维化程度的相关性。符合正态分布的计量资料两组间比较采用t检验;非正态分布计量资料两组间比较采用Mann-Whitney U检验;相关性分析采用Spearman相关分析法。  结果  与对照组相比,MAFLD组中外周血MAIT淋巴细胞比例及表达PD-1、CD69、CD107α、CXCR3、CXCR6和CCR6的MAIT淋巴细胞比例均明显升高(P值均<0.05);MAIT淋巴细胞亚型中CD4+CD8-MAIT淋巴细胞、CD4+CD8+MAIT淋巴细胞所占MAIT淋巴细胞比例明显升高(P值均<0.001),CD4-CD8+MAIT淋巴细胞所占MAIT淋巴细胞比例降低(P<0.001);CD4+CD8+MAIT淋巴细胞(r=-0.474,P=0.047)和CD107α阳性MAIT淋巴细胞比例(r=-0.550,P=0.018)与ALT呈负相关。  结论  外周血MAIT淋巴细胞向肝脏趋化聚集,在儿童MAFLD肝脏炎症中发挥保护作用。
论著_自身免疫性肝病
两样本孟德尔随机化分析原发性硬化性胆管炎与结直肠癌发生风险的关系
李镇圻, 杜宁, 和红阳
2023, 39(3): 567-572. DOI: 10.3969/j.issn.1001-5256.2023.03.013
摘要(1834) HTML (800) PDF (2338KB)(215)
摘要:
  目的  运用两样本孟德尔随机化(TSMR)评估原发性硬化性胆管炎(PSC)与结直肠癌(CRC)之间的关联。  方法  PSC与CRC相关的单核苷酸多态性(SNP) 数据分别来自芬兰生物银行及英国生物银行,对基于全基因组关联研究(GWAS)的所有汇总数据进行二次数据分析,选择与PSC密切关联的遗传位点作为工具变量,分别以孟德尔随机化Egger回归法、中位数加权法、IVW随机效应模型、最大似然比法、线性中位数加权法、IVW radial法、IVW固定效应模型七种方法做TSMR,以OR值评价PSC和CRC风险之间的因果关系。  结果  基因预测的PSC对CRC存在正向因果关系,以IVW固定效应模型为例,遗传决定的患PSC患者发生CRC风险增加(OR=1.002 243,95%CI:1.001 319~1.003 167)。TSMR结果不存在异质性(P=0.87),无水平多效性(P=0.95)。本次所选PSC的3个工具变量为强工具变量(F=11.86)。  结论  TSMR发现PSC具有与CRC风险相关的遗传证据。无论是否合并炎症性肠病,在PSC患者中积极进行肠镜筛查或可有利于CRC的早期发现与及时干预。
论著_肝纤维化及肝硬化
肝肌信号强度比及血清标志物对慢性乙型肝炎肝纤维化的诊断价值
温雅, 屈兆宇, 鲁景楠, 阴玮灵, 黄晓旗
2023, 39(3): 573-579. DOI: 10.3969/j.issn.1001-5256.2023.03.014
摘要(903) HTML (277) PDF (2480KB)(111)
摘要:
  目的  结合ALT和肝脏硬度值水平分组,探讨磁敏感加权成像(SWI)的肝肌信号强度比(LMR)及血清标志物诊断慢性乙型肝炎纤维化严重程度的价值。  方法  回顾性收集2018年10月—2021年9月就诊于延安大学附属医院的慢性乙型肝炎患者255例,将患者分为严重肝纤维化(SLF)组77例与非SLF组178例,SLF组定义为ALT水平在正常范围内且肝脏硬度大于9.0 kPa,或ALT水平高于正常值上限1~5倍且肝脏硬度大于12.0 kPa的患者。在SWI序列下测量肝脏的平均SWI值(SWIliver)及竖脊肌信号强度并计算LMR。正态分布的计量资料2组间比较采用t检验,非正态分布的计量资料2组间比较采用Mann-Whitney U检验。计数资料组间比较采用χ2检验。利用二元Logistic回归分析SLF的影响因素。采用受试者工作特征(ROC)曲线分析LMR及其联合血清学的诊断效能,使用DeLong检验比较不同AUC的差异。  结果  SLF组较非SLF组的ALT(Z=-3.569, P<0.001)、AST(Z=-5.495, P<0.001)、透明质酸(HA)(Z=-6.746, P<0.001)、层粘连蛋白(LN)(Z=-5.459, P<0.001)、Ⅳ型胶原(Ⅳ-C)(Z=-8.470, P<0.001)、Ⅲ型前胶原(PCⅢ)(Z=-6.326, P<0.001)、APRI(Z=-9.004, P<0.001)、FIB-4(Z=-8.357, P<0.001) 高,较非SLF组的PTA(t=10.088, P<0.001)、PLT(t=9.163, P<0.001)、SWIliver(t=2.347, P=0.02)、LMR× 10(Z=-4.447, P<0.001)低。PTA、HA、Ⅳ-C、LMR×10为发生SLF的独立影响因素(P值均<0.05)。LMR×10诊断SLF的ROC曲线下面积(AUC)为0.675(95%CI: 0.614~0.732), 高于SWIliver的0.594(95%CI: 0.531~0.655)(Z=3.984, P<0.001),PTA+HA+Ⅳ-C+LMR×10(AUC=0.937, 95%CI: 0.896~0.966)的诊断效能优于PTA+HA+Ⅳ-C(AUC=0.905, 95%CI: 0.858~0.941)(Z=2.228, P=0.026)。  结论  LMR及血清标志物可较准确区分SLF,LMR为一项定量、客观的影像学指标,优于SWIliver,并可提升血清学标志物对临床判定SLF的诊断效能。
P-I-R分型和Laennec分级与乙型肝炎肝硬化患者抗病毒治疗后组织学和预后的关系
吕采红, 宋铮, 罗婧, 常秀娟, 杨永平
2023, 39(3): 580-589. DOI: 10.3969/j.issn.1001-5256.2023.03.015
摘要(973) HTML (602) PDF (3408KB)(104)
摘要:
  目的  研究P-I-R分型和Laennec分级评价乙型肝炎肝硬化患者接受抗病毒治疗后的组织学改变,及两种评价系统与临床预后的关系。  方法  连续筛选2013年10月—2014年10月来自14个中心的218例患者,病理(Ishak评分≥5分)诊断肝硬化接受抗病毒治疗72周完成2次肝组织活检,并符合P-I-R分型标准。218例患者分为无肝细胞癌(HCC)组(n=186)和HCC组(n=32)。计数资料组间比较采用χ2检验和Fisher精确检验。比较抗病毒治疗后HCC发生情况时,连续变量采用非参数检验Mann-Whitney U检验;比较P-I-R分型与Laennec分级不同组间差异时,连续变量采用非参数检验Kruskal-Wallis H检验。采用单因素和多因素Cox比例风险回归分析并计算风险比(HR)和95%CI。采用Kaplan-Meier法计算HCC的累积发生率。  结果  抗病毒治疗72周后无HCC组和HCC组间P-I-R分型情况比较差异有统计学意义(P<0.001)。抗病毒治疗前后Laennec分级和P-I-R分型的分布均有统计学差异(P值均<0.001)。抗病毒治疗后,按照Laennec分级分为4A组(n=33)、4B组(n=71)、4C组(n=114),3组间PLT(H=36.429,P<0.001)、LSM(H=13.983, P=0.004)、Ishak评分(χ2=23.060, P<0.001)、HAI评分(P<0.001)比较差异均有统计学意义。抗病毒治疗72周后,按照P-I-R分型分为R组(n=70)、I组(n=52)和P组(n=96),3组间PLT(H=7.193,P=0.028)、LSM(H=6.238, P=0.045)、Ishak评分(χ2=7.986, P<0.001)、HAI评分(P=0.002)、HCC发生情况(P<0.001)比较,差异均有统计学意义。P-I-R分型P组和R组HCC发生率有显著差异(HR=24.21; 95%CI: 0.46~177.99, P=0.002)。经过调整其他混杂因素后,P-I-R分型是预测HCC发生的独立指标(HR=12.69; 95%CI: 4.63~34.80, P=0.002)。  结论  P-I-R分型和Laennec分级均能反应患者抗病毒治疗前后纤维化的特征及改变情况,其中P-I-R分型对抗病毒治疗后纤维化的改变更敏感。P-I-R分型(治疗后)可用于预测抗病毒治疗后患者HCC发生的风险。
不同评分模型对肝硬化患者经颈静脉肝内门体分流术后生存的预测价值
刘钰懿, 慕之勇, 胡辂, 王军, 熊伟, 胡鸿, 刘爱民, 安选, 许愈强, 余灏东, 王金能, 文良志, 陈东风
2023, 39(3): 590-598. DOI: 10.3969/j.issn.1001-5256.2023.03.016
摘要(1064) HTML (427) PDF (3395KB)(150)
摘要:
  目的  探讨Child-Pugh评分、终末期肝病模型(MELD)评分、联合血清钠离子的终末期肝病模型(MELD-Na)评分、慢性肝衰竭联盟-急性失代偿(CLIF-C AD)评分和经颈静脉肝内门体分流术(TIPS)术后生存Freiburg指数(FIPS)评分对肝硬化患者生存的预测价值。  方法  回顾性分析2014年1月—2021年2月我国西南地区多家医院行TIPS治疗的447例肝硬化患者的临床资料,其中生存组306例,死亡组62例。计算五种评分模型分值,并基于五种评分模型分别对患者进行生存分析。正态分布的计量资料组间比较采用独立样本的t检验;不符合正态分布的计量资料组间比较采用非参数Mann-Whitney U检验;计数资料组间比较采用Pearson χ2检验;采用Cox回归分析各评分模型对TIPS患者预后的影响;Kaplan-Meier法分析不同评分水平的患者死亡风险的差异,并采用Log-rank检验。各模型预测能力采用受试者工作特征曲线下面积(AUC)、不同时间点C指数及决策曲线进行评估。  结果  生存组患者年龄(Z=2.884)低于死亡组,Alb(t=3.577)、Na+(Z=-3.756)均高于死亡组,而酒精性肝硬化患者比例(χ2=22.674)、AST(Z=2.141)、PT(Z=2.486)、INR(Z=2.429)、TBil(Z=3.754)、腹水严重程度(χ2=14.186)及五种模型评分均低于死亡组(P值均<0.05)。生存分析显示,各评分模型均能有效对TIPS患者预后进行风险分层。对各评分模型不同时间点C指数比较发现,Child-Pugh评分对术后生存预测能力较高,其次为MELD-Na评分、MELD评分和CLIF-C AD评分,而FIPS评分预测能力相对较差,此外,随时间延长,各评分预测效能均减弱。Child-Pugh评分术后1年生存率的预测效能最大(AUC=0.832),MELD-Na评分术后3年生存率的预测效能最大(AUC=0.726),而FIPS评分术后在1年和3年生存预测能力比较中均较差。  结论  五种评分模型均可作为肝硬化TIPS术后患者生存的预测方法,且都可为肝硬化TIPS患者提供有效的预后风险分层。在短期预测上Child-Pugh评分生存预测能力更好,长期预测上MELD-Na评分生存预测能力更好,而FIPS评分预测能力均相对较差。
论著_肝脏肿瘤
血清甲胎蛋白联合碱性磷酸酶评分对可切除肝细胞癌患者预后的预测价值
卢晶, 张雅敏, 李华, 缪妍
2023, 39(3): 599-605. DOI: 10.3969/j.issn.1001-5256.2023.03.017
摘要(1035) HTML (455) PDF (2441KB)(136)
摘要:
  目的  建立一个基于术前血清甲胎蛋白(AFP)与碱性磷酸酶(ALP)的评分系统,并探讨其在可切除肝细胞癌(HCC)患者中的预后价值。  方法  回顾性纳入2016年1月—2019年8月在天津市第一中心医院以肝切除术作为初始治疗的154例HCC患者。通过受试者工作特征(ROC)曲线确定血清AFP与ALP的最佳临界值。采用Kaplan-Meier曲线和Log-rank检验进行生存分析,以评估AFP联合ALP评分与HCC患者无病生存(DFS)的关系。通过单因素及多因素Cox回归分析确定HCC患者的独立预后因素。符合正态分布的计量资料组间比较采用独立样本t检验;不符合正态分布的计量资料组间比较采用Mann-Whitney U检验。计数资料组间比较采用χ2检验。  结果  ROC曲线显示,血清AFP预测DFS的最佳临界值为250.0 ng/mL,曲线下面积(AUC)为0.674 (95%CI:0.580~0.767);血清ALP的最佳临界值为95.5 U/L, AUC为0.745 (95%CI:0.652~0.838)。生存分析结果展示术前血清高AFP(≥250.0 ng/mL)和高ALP(≥95.5 U/L)均与HCC患者不良预后显著相关(P值均<0.001)。AFP联合ALP评分进一步将HCC患者分为0分(AFP<250.0 ng/mL且ALP<95.5 U/L)、1分(AFP≥250.0 ng/mL,ALP<95.5 U/L或AFP<250.0 ng/mL,ALP≥95.5 U/L)和2分(AFP≥250.0 ng/mL且ALP≥95.5 U/L)共3个研究组。生存曲线展示0分、1分和2分组患者的中位DFS分别为60.0(56.7~67.3)个月、20.0(1.4~36.6)个月和13.0(7.9~18.0)个月,组间生存差异均有统计学意义(P值均<0.05)。血清AFP联合ALP评分(1分vs 0分:HR=4.060, 95%CI: 2.050~8.039,P<0.001;2分vs 0分:HR=4.583, 95%CI: 2.385~8.805,P<0.001)是HCC患者的独立预后因素。  结论  基于血清AFP与ALP的联合评分能够有效识别预后不良的HCC患者,可作为HCC临床治疗中一项简便、可靠的预后评估工具。
论著_其他肝病
总胆红素反弹率与总胆红素清除率在人工肝治疗重症药物性肝损伤预后评估中的作用
刘莹, 朱萍, 梁静, 向慧玲
2023, 39(3): 606-612. DOI: 10.3969/j.issn.1001-5256.2023.03.018
摘要(1516) HTML (659) PDF (2448KB)(124)
摘要:
  目的  评估总胆红素反弹率(TBRR)、总胆红素清除率(TBCR)及治疗1周后总胆红素清除率(ΔTBCR)在人工肝治疗重症药物性肝损伤短期预后评估中的作用。  方法  回顾性分析2013年9月—2021年12月在天津市第三中心医院住院并行人工肝治疗的重症药物性肝损伤患者203例,收集患者的一般资料、生化指标及临床分型,根据患者出院时病情转归分为好转组和未愈组,并计算MELD评分、TBRR、TBCR及ΔTBCR。正态分布的计量资料,两组间比较采用独立样本t检验;非正态分布的计量资料两组间比较采用Mann-Whitney U检验;计数资料两组间比较采用χ2检验。绘制受试者工作特征曲线(ROC曲线)用来评估各个评价指标对患者预后的预测价值。Kaplan-Meier法用来描述不同评价指标下患者住院时间的差异。  结果  好转组患者的年龄(t=-2.762)、WBC(Z=-3.184)、TBil(t=-2.809)、CBil(t=-2.739)、INR(Z=-2.357)、MELD评分(t=-3.090)、TBRR(t=-4.749)低于未愈组,而Alb(t=2.198)、PTA(t=2.018)、TBCR(t=2.166)、ΔTBCR(t=9.549)则高于未愈组(P值均<0.05)。MELD评分、TBRR、TBCR及ΔTBCR的ROC曲线下面积分别为0.656、0.727、0.611和0.879,ΔTBCR在预测价值上优于TBRR(Z=3.169,P=0.001 5)。TBRR、ΔTBCR最佳临界值为22.5%(敏感度94.6%,特异度45.2%)、27.4%(敏感度77.7%,特异度86.5%)。而对于不同的临床病理分型,ΔTBCR均显示出良好的预测价值,特别是对混合型DILI患者进行人工肝治疗的疗效评价具有极高的敏感度(91.4%)和特异度(100.0%)。  结论  TBRR、ΔTBCR对人工肝治疗重症药物性肝损伤患者短期预后评估中作用优于MELD评分,其中ΔTBCR评分的预测价值更高。
风险评估模型预测人工肝治疗肝衰竭患者发生静脉血栓栓塞症的价值分析
陆素芳, 黄睿, 赵红利, 王丹丹, 丁玉珍, 周红
2023, 39(3): 613-619. DOI: 10.3969/j.issn.1001-5256.2023.03.019
摘要(1053) HTML (278) PDF (1949KB)(118)
摘要:
  目的  探讨风险评估模型对人工肝治疗肝衰竭患者静脉血栓栓塞症(VTE)发生风险的预测价值。  方法  回顾性选取2018年3月—2021年12月于南京大学医学院附属鼓楼医院行人工肝治疗的肝衰竭患者184例,其中并发VTE组患者41例,未并发VTE患者(对照组)143例。比较两组患者临床资料,并采用Caprini风险评估模型对两组患者进行评分及风险分级。计量资料两组间比较采用t检验;计数资料两组间比较采用χ2检验;等级资料两组间比较采用Mann-Whitney U秩和检验。采用Logistic回归分析人工肝治疗肝衰竭患者发生VTE的独立危险因素。采用受试者工作特征曲线(ROC曲线)分析Caprini量表评分、多因素预测模型及二者联合对VTE的预测价值。  结果  并发VTE组患者Caprini量表评分为(4.39±1.10)分,明显高于对照组(3.12±1.04)分(t=6.805, P<0.001)。两组患者Caprini量表危险度分级存在明显差异(Z=-4.872, P<0.001),并发VTE的患者中,高危、极高危组占比更高。单因素分析结果显示,并发VTE组与对照组患者在年龄(t=6.400,P<0.001)、置管方式(χ2=14.413,P<0.001)、人工肝治疗次数(Z=-4.720,P<0.001)、活动情况(Z=-6.282,P<0.001)、合并感染(χ2=33.071,P<0.001)、D-二聚体(t=8.746,P<0.001)、28 d死亡率(χ2=5.524,P=0.022)比较差异均有统计学意义。多因素分析结果显示,人工肝治疗次数(X1)(OR=0.251, 95%CI: 0.111~0.566, P=0.001)、活动情况(X2)(OR=0.122, 95%CI: 0.056~0.264, P<0.001)、D-二聚体(X3)(OR=2.921, 95%CI: 1.114~7.662, P=0.029)为影响肝衰竭人工肝治疗患者VTE发生的独立危险因素。个体预测概率方程为P=1/[1+e-(7.425-1.384X1-2.103X2+1.072X3)]。ROC曲线分析结果显示,Caprini评分曲线下面积为0.802(95%CI: 0.721~0.882, P<0.001),多因素模型曲线下面积为0.768(95%CI: 0.685~0.851, P<0.001),二者联合运用曲线下面积为0.957(95%CI: 0.930~0.984, P<0.001)。  结论  Caprini风险评估模型对人工肝治疗肝衰竭患者VTE发生风险具有较高的预测效能,联合多因素预测模型后可更为显著地提高对VTE的预测价值。
短篇论著
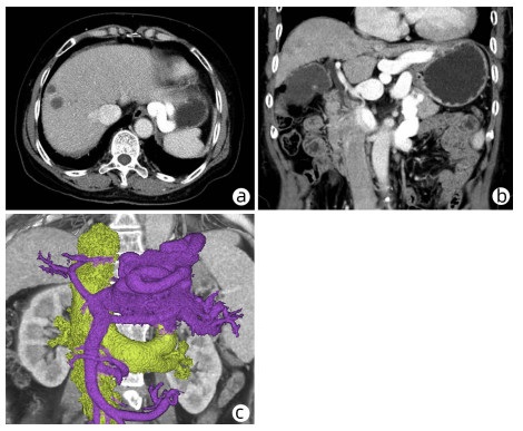
5例Abernethy畸形门静脉高压患者的临床特征分析
白婷婷, 李琴, 文良志, 张艳梅, 魏艳玲, 王斌, 陈东风, 邢寒阳
2023, 39(3): 620-625. DOI: 10.3969/j.issn.1001-5256.2023.03.020
摘要(690) HTML (366) PDF (3579KB)(126)
摘要:
病例报告
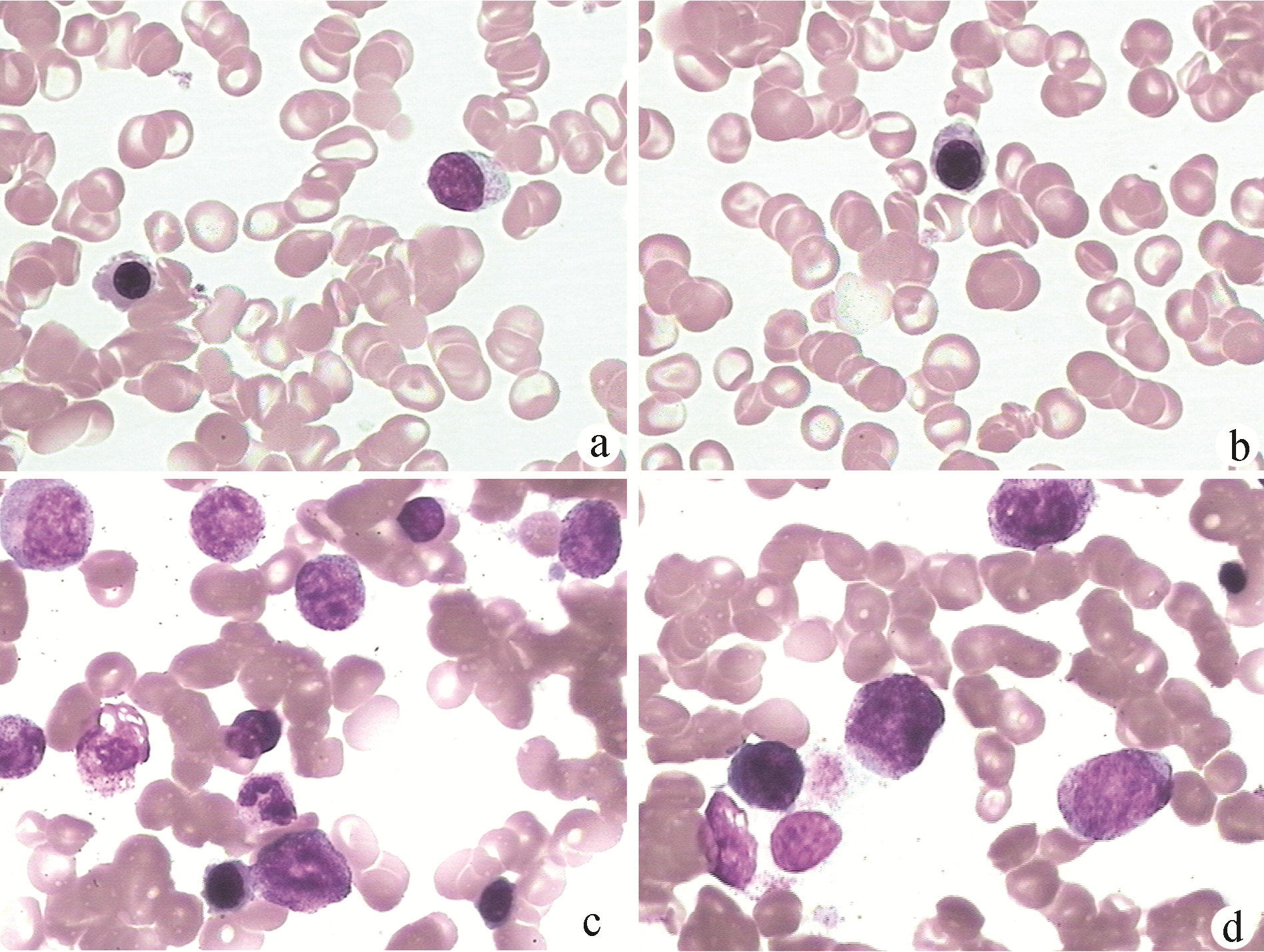
急性乙型肝炎合并一过性再生障碍性贫血1例报告
张玉, 田雨, 董美丽, 张瑞华, 王阳, 温晓玉
2023, 39(3): 626-629. DOI: 10.3969/j.issn.1001-5256.2023.03.021
摘要(943) HTML (291) PDF (2880KB)(127)
摘要:
以反复肝功能异常为表现的Danon病1例报告
蒲蕾蕾, 朱蓉
2023, 39(3): 630-633. DOI: 10.3969/j.issn.1001-5256.2023.03.022
摘要(1082) HTML (374) PDF (2430KB)(148)
摘要:
鱼刺致星座链球菌肝脓肿1例报告
李佳佳, 王鹤, 郭继东, 王超, 齐文杰
2023, 39(3): 634-636. DOI: 10.3969/j.issn.1001-5256.2023.03.023
摘要(1201) HTML (341) PDF (2208KB)(127)
摘要:
内镜下序贯套扎治疗食管胃伴十二指肠静脉曲张1例报告
文皓, 何朝晖, 蒋彤, 石国庆
2023, 39(3): 637-639. DOI: 10.3969/j.issn.1001-5256.2023.03.024
摘要(891) HTML (275) PDF (2676KB)(111)
摘要:
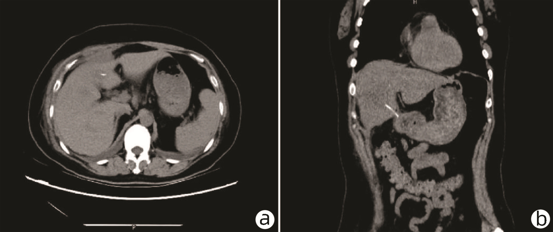
巨大肝血管瘤伴弥漫性动脉-门静脉瘘1例报告
周帮健, 杨俊, 印于, 朱晓黎, 倪才方, 王万胜
2023, 39(3): 640-643. DOI: 10.3969/j.issn.1001-5256.2023.03.025
摘要(1061) HTML (229) PDF (3500KB)(116)
摘要:
综述
新型血清学指标在评估转氨酶正常的慢性HBV感染者肝病进展中的作用
王源, 刘怀鄂, 丁洁, 王晴晴, 王爱丽, 孙慧, 曹惠
2023, 39(3): 644-650. DOI: 10.3969/j.issn.1001-5256.2023.03.026
摘要(1253) HTML (367) PDF (1777KB)(182)
摘要:
抗病毒治疗是国内外慢性乙型肝炎管理指南中改善预后的基础治疗措施。但对于转氨酶正常的慢性HBV感染者,准确评价肝炎进展程度,筛选合适的需要抗病毒的患者成为临床难题。为了能够客观、准确的评价此类患者肝脏炎症活动程度,除了开展传统的肝组织活检外,越来越多的无创评估指标被人们所关注。本文将近年来研究中发现的能够反映正常转氨酶水平的慢性HBV感染者肝脏炎症和/或纤维化程度的新型血清学指标进行综述,希望为此类患者抗病毒决策提供参考。
HBV相关肾小球肾炎的研究进展
李朝霞, 李楠, 辛桂杰
2023, 39(3): 651-656. DOI: 10.3969/j.issn.1001-5256.2023.03.027
摘要(1579) HTML (363) PDF (2004KB)(249)
摘要:
慢性HBV感染人群数量庞大,HBV不仅损害肝脏,肾脏也是主要受累器官之一,HBV相关肾小球肾炎(HBV-GN)是由HBV感染引起的继发性肾小球肾炎,是HBV感染最常见的肝外并发症之一。HBV-GN多见于儿童及中青年人,男性多见,临床上以不同程度蛋白尿为主要表现,可伴有血尿和高血压,最常见病理类型为膜性肾病,其次为系膜增生性肾小球肾炎和IgA肾病。HBV-GN起病隐匿,缺乏特征性的症状及病理学表现,易与各种肾小球肾炎混淆,导致漏诊误诊。HBV-GN发病机制复杂,涉及免疫紊乱、病毒直接损伤、遗传等诸多环节,其中免疫复合物沉积学说已得到广泛认可。近年来关于HBV-GN发病机制、诊断及治疗方面的研究取得了一些重要进展。本文将对此进行综述,希望为临床诊治提供参考。
血清高尔基体蛋白73在非酒精性脂肪性肝病中的作用
张航, 刘近春
2023, 39(3): 657-662. DOI: 10.3969/j.issn.1001-5256.2023.03.028
摘要(1296) HTML (326) PDF (1767KB)(128)
摘要:
高尔基体蛋白73是一种可经切割释放入血的高尔基体跨膜蛋白。越来越多的研究表明,血清高尔基体蛋白73的升高与非酒精性脂肪性肝病的发生发展密切相关,有望作为诊断和评估非酒精性脂肪性肝病的潜在血清学标志物。本文就现有研究对血清高尔基体蛋白73在非酒精性脂肪性肝病中的研究进展进行综述,并简析其发挥作用的潜在机制,以期为非酒精性脂肪性肝病的治疗靶点提供新的选择。
中药有效成分干预自身免疫性肝炎相关信号通路的研究进展
郝君玉, 刘光伟, 谢露, 范文艳, 陈虹秀
2023, 39(3): 663-670. DOI: 10.3969/j.issn.1001-5256.2023.03.029
摘要(1633) HTML (422) PDF (2445KB)(146)
摘要:
自身免疫性肝炎作为一种由免疫耐受缺失导致的慢性肝脏炎症,其发病受多种信号通路的调控,例如NF-κB/NLRP3通路、SIRT1/Nrf2/HO-1通路、Hippo-YAP/TAZ通路、JAK/STAT通路、PI3K/Akt通路和TRAF6/JNK通路等,这些通路能够通过参与细胞因子的增殖和凋亡、免疫反应以及氧化应激等过程来发挥抗免疫性肝炎的作用。针对临床应用激素和免疫制剂治疗自身免疫性肝炎出现的应答不佳、不良反应明显及复发率高等问题,本文对自身免疫性肝炎相关信号传导通路的研究文献进行了总结,并梳理了苷类、萜类、黄酮类、醌类及酚类中药有效成分通过以上信号通路干预自身免疫性肝炎疾病进程的机制,以期为科学有效地利用中药有效成分研发抗自身免疫性肝炎药物提供理论参考依据。
肝硬化患者肌肉减少症与肝性脑病的关系
朱伊静, 李伟, 赵守松
2023, 39(3): 671-676. DOI: 10.3969/j.issn.1001-5256.2023.03.030
摘要(1205) HTML (262) PDF (1759KB)(137)
摘要:
肌肉减少症(简称肌少症)是肝硬化患者营养不良的表现形式之一。大多数研究表明,肌少症与显性肝性脑病导致肝硬化患者生活质量下降、临床预后不良甚至死亡等事件风险增加,但关于肌少症与轻微性肝性脑病之间的关系研究不多。通过对肌少症与肝性脑病的相关研究进展进行综述,指出改善患者的营养状况可预防轻微性肝性脑病发生,甚至降低显性肝性脑病的发生,从而改善患者预后,提高生存质量,降低死亡风险。
近红外荧光成像在肝细胞癌肝切除术中的应用
段彦亨, 安家泽
2023, 39(3): 677-683. DOI: 10.3969/j.issn.1001-5256.2023.03.031
摘要(1015) HTML (352) PDF (1773KB)(125)
摘要:
肝细胞癌(HCC)的治疗是以手术为主的综合治疗,肝切除术需要切除原发性肿瘤并最大限度地保留正常肝组织。然而,在临床手术中,肉眼和触诊难以精确识别肿瘤组织及其边界,往往导致切除不足或过度切除。近红外荧光(NIRF)成像是一种实时、低成本、无创、高灵敏度的成像技术,在引导手术切除肿瘤的应用中得到了广泛的研究。随着荧光成像系统和荧光探针的发展,可以实现术中肿瘤定位和边界确定,使手术更加准确。本文回顾了用于HCC术中导航的各种NIRF探针的发展,并讨论了这些探针的当前挑战和潜在机遇。
肿瘤微环境与肝癌干细胞相互作用对肝细胞癌发生发展的影响
田堰鑫, 李娜, 高雷, 武佳, 朱英
2023, 39(3): 684-692. DOI: 10.3969/j.issn.1001-5256.2023.03.032
摘要(1581) HTML (663) PDF (2670KB)(143)
摘要:
近几年,肝癌干细胞(LCSC)被认为是肝细胞癌(HCC)治疗失败和复发的主要原因之一。许多研究已经表明LCSC是肝癌肿瘤中具有自我更新、分化和致瘤能力的一小部分细胞,它能启动HCC的发生,并影响其增殖、侵袭、转移、复发和耐药。最近以肿瘤微环境(TME)为基础的治疗已经开展,许多研究发现靶向TME的相关元素比靶向肿瘤细胞本身更具治疗价值。TME是LCSC和肝癌细胞生长的微环境,它与LCSC相互作用,发挥协同效应,对HCC的发生发展起着积极作用。本文介绍了TME中的各种细胞成分和非细胞成分如何与LCSC相互作用,调节肝癌的发生、发展。此外,还描述了TME中主要成分与LCSC相关联的一些分子靶点及治疗方法或药物,以期能在它们的基础上寻求更安全、更有效的HCC靶向治疗方法。
叶酸与肝癌发生发展的关系
李应雯, 师丽, 刘敏, 袁浩, 郑亚, 王玉平, 郭庆红
2023, 39(3): 693-698. DOI: 10.3969/j.issn.1001-5256.2023.03.033
摘要(1135) HTML (1050) PDF (2215KB)(140)
摘要:
迄今为止,肝癌仍是我国高发、恶性程度极高的肿瘤,严重影响我国人民的生命和健康。以往研究发现,肝癌的发生与病毒、吸烟、饮酒及非酒精性脂肪性肝病等诸多因素相关。随着不断探索,越来越多的研究指出,营养因素及生活环境与肝癌的发生发展相关。叶酸作为机体细胞生长和繁殖所必需的营养物质,其在人体内的水平高低均对肿瘤细胞的生长产生影响,与肝癌的关系密不可分。本文对近年来叶酸与肝癌之间关系的研究进展予以综述,以期为肝癌的预防和治疗提供新的参考和依据。
干细胞衍生的外泌体在肝脏疾病治疗中的作用
王卓然, 朱冰, 余丽梅, 游绍莉
2023, 39(3): 699-706. DOI: 10.3969/j.issn.1001-5256.2023.03.034
摘要(1457) HTML (671) PDF (2300KB)(160)
摘要:
肝脏容易受多种病因影响发生肝损伤,严重情况下可引起其合成、解毒、代谢和生物转化等功能发生障碍,当前针对肝衰竭、失代偿性肝硬化等终末期肝病仍缺乏高效的临床治疗手段。近年来间充质干细胞的临床疗效已被证实,基于干细胞外泌体的相关治疗成为研究热点。本文介绍了干细胞外泌体治疗的优势、机制研究进展、临床前研究现状等。从目前研究结果来看,干细胞衍生的外泌体治疗肝脏疾病具有良好应用前景,但临床前研究仍需进一步深入,临床研究有待开展。
消皮素D在肝脏疾病病理进展中的作用
李飞燕, 王明刚, 毛德文, 桂雄斌
2023, 39(3): 707-712. DOI: 10.3969/j.issn.1001-5256.2023.03.035
摘要(1070) HTML (233) PDF (1767KB)(53)
摘要:
消皮素D(GSDMD)在免疫炎症反应效能放大及细胞焦亡过程中扮演重要角色。其被caspase-1切割活化后,GSDMD-N端快速释放,锚定在细胞膜上并形成孔隙,随即引发细胞焦亡,同时伴随强促炎因子IL-1β和IL-18大量释放。急/慢性肝脏炎症反应、细胞死亡是病毒性肝炎、酒精性肝病、非酒精性脂肪性肝病、自身免疫性肝病、肝衰竭及肝细胞癌等肝脏疾病的共有病理特征。本文在概述GSDMD基本结构特点后,详细分析了其在多种肝脏疾病病理进展所扮演的重要角色。此外,提出了针对GSDMD为潜在治疗靶点的防治策略,可为肝脏疾病临床防治下一步研究的重点方向提供新的思路。
重症肝病合并感染的纳米抗菌治疗趋势
罗珍群, 罗新华
2023, 39(3): 713-717. DOI: 10.3969/j.issn.1001-5256.2023.03.036
摘要(977) HTML (214) PDF (1748KB)(99)
摘要:
重症肝病合并感染一直是临床治疗的重点难点。研究者们通过对纳米材料的不断探索发现,纳米材料由于其特殊理化性质可实现靶向抗菌及免疫调节作用。从纳米材料无抗生素的靶向抗菌、纳米药物递送系统的靶向抗菌、靶向免疫调节治疗方面,结合新近文献进展对重症肝病合并感染相关的纳米治疗可能机制作一总结,拟为临床上有效治疗重症肝病合并感染提供新的治疗策略。
激酶锚定蛋白12在慢性肝病中的作用
董海舰, 李晖, 陶雨静, 郭佳玲, 钟宇汝, 曾子键
2023, 39(3): 718-722. DOI: 10.3969/j.issn.1001-5256.2023.03.037
摘要(965) HTML (260) PDF (1987KB)(104)
摘要:
激酶锚定蛋白(AKAP)12是一种支架蛋白,通过将细胞内信号蛋白组装成特定的复合体来提高时空信号的特异性和效率。近年来,AKAP12在慢性肝病中的作用越来越受到关注。本文介绍了AKAP12的生理功能,并对AKAP12在慢性肝病中的作用进行了总结,以期为AKAP12小分子作为新的慢性肝病治疗靶点研究奠定基础。
医源性胆管损伤的治疗进展
古丽米拉·亚森江, 吐尔干艾力·阿吉
2023, 39(3): 723-728. DOI: 10.3969/j.issn.1001-5256.2023.03.038
摘要(960) HTML (624) PDF (1755KB)(135)
摘要:
医源性胆管损伤(IBDI)指由于治疗过程中医源性因素如外科手术或其他有创性诊疗操作意外造成的胆管损伤。随着外科手术及微创技术的日渐成熟,现关于胆管损伤的治疗方式包括内镜治疗、胆管空肠Roux-en-Y吻合术、胆管对端吻合术、肝切除术及肝移植术等。针对IBDI,选择合理及有效的治疗方式是目前胆道外科的重点与难点。通过系统性回顾目前有关IBDI治疗的文献,对IBDI不同治疗方式进一步分析及总结。
读者·作者·编者
《临床肝胆病杂志》常见异形词
2023, 39(3): 619-619.
摘要(349) HTML (278) PDF (783KB)(103)
摘要:
《临床肝胆病杂志》推荐使用的规范医学名词术语
2023, 39(3): 676-676.
摘要(354) HTML (199) PDF (783KB)(68)
摘要:
《临床肝胆病杂志》关于利益冲突声明和作者贡献声明的要求
2023, 39(3): 728-728.
摘要(444) HTML (323) PDF (781KB)(93)
摘要:
消息
《临床肝胆病杂志》2023年1-10期重点号选题及各期执行主编
2023, 39(3): 545-545.
摘要(354) HTML (278) PDF (781KB)(54)
摘要:
《临床肝胆病杂志》关于不法人员冒用本刊名义实施邮件诈骗的严正声明
2023, 39(3): 639-639.
摘要(325) HTML (210) PDF (1253KB)(92)
摘要:
《临床肝胆病杂志》对基金项目论文免费审理并优先发表
2023, 39(3): 643-643.
摘要(322) HTML (169) PDF (781KB)(58)
摘要:
志谢
本期审稿专家
2023, 39(3): 683-683. DOI: 10.3969/j.issn.1001-5256.2023.03.zhixie1
摘要(407) HTML (179) PDF (781KB)(76)
摘要: