中文English
ISSN 1001-5256 (Print)
ISSN 2097-3497 (Online)
CN 22-1108/R

留言板

尊敬的读者、作者、审稿人, 关于本刊的投稿、审稿、编辑和出版的任何问题, 您可以本页添加留言。我们将尽快给您答复。谢谢您的支持!

姓名
邮箱
手机号码
标题
留言内容
验证码
2022年 第2期
“儿童肝衰竭的诊断与治疗”重点号
执行主编:王建设
复旦大学附属儿科医院 儿童肝病中心

显示方式:
述评
重视儿童急性肝衰竭的诊治
谢新宝, 王建设
2022, 38(2): 257-259. DOI: 10.3969/j.issn.1001-5256.2022.02.001
摘要(1253) HTML (264) PDF (1982KB)(143)
摘要:
儿童急性肝衰竭(PALF)临床上虽少见, 但起病急, 进展快, 严重威胁着儿童的生命和健康。其病因多样, 目前较多患儿最终仍未能明确病因。PALF的临床表现与成人有所不同, 婴幼儿早期肝性脑病的判断有一定的难度。维持内环境的稳定及病因治疗对于PALF极为重要, 应避免乱用药、滥用血制品, 有指征的患儿可行血液净化治疗为自体肝功能恢复和肝移植赢得更多的时间。PALF的精准诊治需要受到更多的重视。
专家论坛
新生儿急性肝衰竭的病因、诊断及治疗
覃小梅, 李双杰
2022, 38(2): 260-263. DOI: 10.3969/j.issn.1001-5256.2022.02.002
摘要(2022) HTML (568) PDF (1913KB)(171)
摘要:
新生儿急性肝衰竭是发生在新生儿期的急性肝功能完全或大部分丧失、危及生命的一种少见疾病, 出生后即可有肝硬化表现, 病死率高。主要病因包括妊娠期自身免疫性肝病、病毒感染、血液病、代谢性疾病和缺血性损伤及其他罕见原因等。治疗手段主要为对因治疗, 病因不明或既定治疗无反应患者, 肝移植仍然是其一项重要的治疗选择。目前新生儿急性肝衰竭相关研究较少, 因此需要对影响治疗和预后的因素进行前瞻性研究。
儿童反复发热相关急性肝衰竭的诊治
李忠蝶, 黎佳琪, 库尔班江·阿布都西库尔
2022, 38(2): 264-267. DOI: 10.3969/j.issn.1001-5256.2022.02.003
摘要(1448) HTML (461) PDF (1916KB)(118)
摘要:
婴儿及儿童急性肝衰竭是严重危及生命的疾病, 病因复杂。反复发作的急性肝衰竭(RALF)是指出现两次或两次以上急性肝损伤且至少有一次达到肝衰竭的诊断标准。RALF患儿在急性肝损伤发病间期生化指标可完全恢复正常。临床上RALF患儿病因除了感染、免疫、药物及毒物等因素, 还有遗传性或代谢性疾病。部分遗传性肝病引起的RALF每次发作均与发热相关。本文讨论了NBAS、SCYL1及RINT1等基因缺陷病导致的反复发热相关急性肝衰竭诊治。
儿童肝豆状核变性急性肝衰竭的诊断与治疗
方微园, 陆怡
2022, 38(2): 268-272. DOI: 10.3969/j.issn.1001-5256.2022.02.004
摘要(1303) HTML (335) PDF (1942KB)(136)
摘要:
急性肝衰竭(ALF)是儿童肝豆状核变性(WD)一种特殊的临床表现形式, 相对罕见但极为严重;其特征为进行性加重的黄疸和显著的凝血功能障碍, 伴急性血管内溶血, 易并发肝性脑病、急性肾衰竭等严重并发症, 一旦起病, 进展迅速, 病死率高。目前, 表现为ALF的WD缺乏单一的快速诊断指标, 早期诊断困难。既往多认为肝移植是其唯一治疗方法, 现发现非肝移植的内科治疗可使部分儿童WD-ALF获得自体肝缓解和恢复。
可引起儿童急性肝衰竭的遗传代谢病
梁欢, 张惠文
2022, 38(2): 273-277. DOI: 10.3969/j.issn.1001-5256.2022.02.005
摘要(1405) HTML (497) PDF (1932KB)(102)
摘要:
引起儿童急性肝衰竭(ALF)的病因较为复杂, 其中遗传代谢病占比较高, 特别是在婴幼儿时期。遗传代谢病是一类代谢相关基因突变导致的细胞生理功能破坏的先天性疾病, 种类繁多, 临床表现多样, ALF是其引起的严重并发症之一, 由于部分缺乏特异性表现容易被忽视。应尽早识别这类病因引起的ALF, 以期逆转ALF的进程, 提高患者预后。本文对可引起儿童ALF的常见遗传代谢病予以归纳介绍, 以期提高医生对此类病因的认识。
儿童急性肝衰竭的肝移植治疗
王能里, 谢新宝
2022, 38(2): 278-281. DOI: 10.3969/j.issn.1001-5256.2022.02.006
摘要(1215) HTML (321) PDF (1950KB)(114)
摘要:
儿童急性肝衰竭(PALF)是一种罕见的综合征, 致死率高。肝移植仍然是目前PALF唯一疗效肯定的治疗方法。近年来, 我国儿童肝移植技术日趋成熟, 已显著改善PALF预后。但PALF进行肝移植仍存在许多问题, 充分讨论PALF患儿行肝移植术术前、术中和术后存在的客观问题, 将进一步改善PALF患儿的整体预后。
热点·视点·观点
慢性HBV感染者HBsAg血清学清除后为什么还发生肝细胞癌?
庄辉
2022, 38(2): 282-284. DOI: 10.3969/j.issn.1001-5256.2022.02.007
摘要(1148) HTML (265) PDF (3098KB)(142)
摘要:
本文综述了慢性HBV感染者HBsAg血清学清除后发生肝细胞癌的风险、机制及启示。
学术争鸣
HBV RNA作为常规指标指导慢性乙型肝炎治疗决策是否只有几步之遥?
庄辉
2022, 38(2): 285-287. DOI: 10.3969/j.issn.1001-5256.2022.02.008
摘要(1209) HTML (379) PDF (1969KB)(178)
摘要:
本文根据现有临床证据, 讨论了HBsAg和HBV RNA可否作为常规指标指导慢性乙型肝炎的治疗决策。
指南与规范
原发性肝癌诊疗指南(2022年版)
国家卫生健康委办公厅
2022, 38(2): 288-303. DOI: 10.3969/j.issn.1001-5256.2022.02.009
摘要(5098) HTML (10052) PDF (3290KB)(2840)
摘要:
终末期肝病合并感染诊治专家共识(2021年版)
中华医学会感染病学分会
2022, 38(2): 304-310. DOI: 10.3969/j.issn.1001-5256.2022.02.010
摘要(1901) HTML (532) PDF (2689KB)(520)
摘要:
终末期肝病(end-stage liver disease,ESLD)发生发展中,感染可以诱发或加重ESLD肝功能失代偿的发生,亦是ESLD发展过程中最易出现的并发症之一。ESLD合并感染的规范诊疗需求迫切,2018年7月, 中华医学会感染病学分会制订了我国第一部《终末期肝病合并感染诊治专家共识》,基于2018年至今的循证医学数据及治疗方案,进行本次修订。本共识旨在指导并提高临床医务工作者对ESLD合并感染疾病的综合诊治能力。
重症肝病合并侵袭性真菌感染诊治专家共识
中国研究型医院学会肝病专业委员会重症肝病学组, 中华医学会肝病学分会重型肝病与人工肝学组
2022, 38(2): 311-317. DOI: 10.3969/j.issn.1001-5256.2022.02.011
摘要(2645) HTML (352) PDF (2799KB)(514)
摘要:
重症肝病合并侵袭性真菌感染(IFI)预后差,临床表现常不典型,而抗真菌药物又多在肝脏代谢,毒副作用大,临床诊治困难。中国研究型医院学会肝病专业委员会和中华医学会肝病学分会组织相关专家,根据重症肝病患者的特点,形成专家共识,以供医务人员在制定重症肝病合并IFI诊治决策时参考。
《2022年亚太肝病学会临床实践指导:原发性胆汁性胆管炎的诊断与疾病管理》推荐意见
朱晶, 高沿航
2022, 38(2): 318-319. DOI: 10.3969/j.issn.1001-5256.2022.02.012
摘要(1115) HTML (330) PDF (1886KB)(197)
摘要:
《2021年欧洲肝病学会专家共识:肝细胞癌的系统治疗》摘译
黄娇凤, 李友炳, 吴银莲, 赖瑞敏, 康娜玲, 张滢, 江家骥
2022, 38(2): 320-321. DOI: 10.3969/j.issn.1001-5256.2022.02.013
摘要(720) HTML (264) PDF (1883KB)(121)
摘要:
论著_病毒性肝炎
尿α1-微球蛋白及N-乙酰-β-D-氨基葡萄糖苷酶/尿肌酐在慢性HBV感染相关肝病患者早期肾损伤中的检测价值
张静怡, 唐映梅, 杨娴, 杨文霞
2022, 38(2): 322-327. DOI: 10.3969/j.issn.1001-5256.2022.02.014
摘要(1166) HTML (389) PDF (1950KB)(69)
摘要:
  目的  探究尿α1-微球蛋白(α1-MG)、N-乙酰-β-D-氨基葡萄糖苷酶/尿肌酐(NAG/UCr)在慢性HBV感染相关肝病患者肾损伤中的临床价值。  方法  纳入2019年8月—2020年8月就诊于昆明医科大学第二附属医院的慢性HBV感染相关肝病患者85例,根据患者核苷(酸)类似物(NUC)治疗史,将患者分为NUC治疗组(n=57)和未经NUC治疗组(n=28),根据使用NUC种类,将患者分为ETV治疗组(n=32)和TDF治疗组(n=25);根据HBV血清抗原、抗体标志物检测结果,将患者分为HBeAg阴性组(n=57)和HBeAg阳性组(n=28);根据血清HBV DNA定量检测,将患者分为HBV DNA阴性组(n=47)和HBV DNA阳性组(n=38);根据腹部影像学检查结果,将患者分为非肝硬化组(n=47)和肝硬化组(n=38),收集纳入患者的病史资料及实验室指标,并进行组间比较。计量资料符合正态分布的两组间比较采用t检验;偏态分布两组间比较采用Mann-Whitney U检验。计数资料两组间比较采用χ2检验。采用McNemar检验比较不同指标检测的优劣性。采用Spearman相关性分析探讨各因素与α1-MG、NAG/UCr之间的相关性。采用多元线性回归分析α1-MG、NAG/UCr的独立影响因素。  结果  未经NUC治疗组、HBeAg阳性组、HBV DNA阳性组的尿α1-MG水平分别较NUC治疗组(Z=-2.054, P=0.04)、HBeAg阴性组(Z=-2.293, P=0.022)、HBV DNA阴性组(Z=-2.229, P=0.026)明显升高。HBV DNA阳性组、肝硬化组的NAG、NAG/UCr水平分别较HBV DNA阴性组(Z值分别为-2.908、-2.824,P值均<0.05)、非肝硬化组(Z值分别为-3.204、-3.412,P值均<0.05)患者明显升高。α1-MG异常患者占比(31.8%)与eGFR异常占比(20.0%)相比较,二者差异有统计学意义(χ2=7.178,P=0.007);α1-MG联合NAG/UCr检测异常占比(35.3%)较eGFR检测异常占比高,差异有统计学意义(χ2=8.049,P=0.005)。α1-MG联合NAG/UCr检测与eGFR检测优劣性比较,差异有统计学意义(P=0.015)。年龄(β=0.246)、HBeAg阳性(β=0.284)、合并肝癌(β=0.291)是α1-MG升高的独立危险因素(P值均<0.05);FIB-4值升高(β=0.352)、合并腹水(β=0.260)、食管胃底静脉曲张(β=-0.248)、HBV DNA阳性(β=0.197)、高水平TBil(β=0.257)均是NAG/UCr升高的独立危险因素(P值均<0.05)。  结论  慢性HBV感染相关肝病患者的肾损伤可能发生在病毒复制活跃期、肝硬化以及肝脏功能恶化的整个病程进展中,使用NUC抗病毒治疗可以缓解HBV对肾功能的损伤,在一定治疗疗程内是安全可靠的;联合检测尿α1-MG、NAG/UCr诊断早期肾功能损伤较eGFR更具优势,是慢性HBV感染相关肝病患者更有效的肾功能监测方法。
HIV/HCV合并感染者和HCV单纯感染者NS3/4A蛋白酶、NS5A抑制剂的天然耐药变异分析
邓浩辉, 李水凤, 冯倩嫦, 李凌华
2022, 38(2): 328-333. DOI: 10.3969/j.issn.1001-5256.2022.02.015
摘要(798) HTML (220) PDF (1939KB)(59)
摘要:
  目的  通过对抗病毒治疗前HIV/HCV合并感染者和HCV单纯感染者HCV NS3/4A蛋白酶、NS5A抑制剂相关耐药位点进行检测,探讨上述患者天然耐药变异的差异。  方法  收集2016年1月—2020年1月在广州医科大学附属市八医院住院或门诊就诊的246例HIV/HCV合并感染者和HCV单纯感染者的血清标本,使用Illumina二代测序平台进行测序,比较已在中国获批准的NS3/4A蛋白酶、NS5A抑制剂相关耐药变异在两组患者的差异,纳入分析的药物包括阿舒瑞韦/达拉他韦(ASV/DCV,基因1b型),艾尔巴韦/格拉瑞韦(EBR/GZR,基因1b型)和格卡瑞韦/哌仑他韦(GLE/PIB,泛基因型)。符合正态分布的计量资料两组间比较采用t检验,不符合正态分布的计量资料两组间比较采用Mann-Whitney U检验。计数资料两组间比较采用χ2检验或Fisher精确检验。  结果  本研究纳入的246例患者的血清样本中,239例(97.2%)成功进行PCR扩增并测序,包括102例HIV/HCV合并感染者和137例HCV单纯感染者。对ASV/DCV和EBR/GZR相关耐药变异分析结果提示:HCV 1b型的HIV/HCV合并感染者和HCV单纯感染者中存在Y56F、Q80K/L、S122N/R/T等ASV和GZR相关耐药变异,以及L31M、Y93H等DCV和EBR相关耐药变异;2例HIV/HCV合并感染者(均为Y56F+Y93H)和2例HCV单纯感染者(Q80L+L31M和Y56F+Y93H)对EBR/GZR双靶点同时存在耐药变异,两组患者各耐药变异差异均无统计学意义(P值均>0.05)。对泛基因型的GLE/PIB相关耐药变异分析结果提示,仅在HCV 3a型的患者中,存在3例PIB相关耐药变异,分别为HIV/HCV合并感染者中2例Y93H耐药变异和HCV单纯感染者中1例Y93H耐药变异(P=0.590),所有纳入分析的患者均不存在GLE/PIB双靶点耐药变异。  结论  HIV/HCV合并感染者和HCV单纯感染者的NS3/4A蛋白酶、NS5A抑制剂相关天然耐药变异无明显差异。
论著_肝纤维化及肝硬化
GDC-0449在CCl4联合二乙酰氨基芴诱导肝纤维化大鼠模型中的作用
胡永红, 肖准, 付亚东, 梁悦, 张霖璋, 刘伟, 慕永平, 刘成海, 刘平, 陈佳美
2022, 38(2): 334-341. DOI: 10.3969/j.issn.1001-5256.2022.02.016
摘要(1011) HTML (817) PDF (6040KB)(73)
摘要:
  目的  研究Hedgehog信号通路抑制剂维莫德吉(GDC-0449)对CCl4联合二乙酰氨基芴(2-AAF)诱导的大鼠肝纤维化的干预作用。  方法  将18只Fisher344雌性大鼠随机分为正常组、CCl4联合2-AAF模型组(CCl4/2-AAF组)和GDC-0449组,每组6只。CCl4/2-AAF组和GDC-0449组大鼠按2 mL/kg体质量皮下注射30% CCl4-橄榄油溶液,每周2次,持续造模6周;自第7周始,在注射CCl4-橄榄油溶液同时予2-AAF(100 mg·kg-1·d-1)灌胃,同时GDC-0449组大鼠按25 mg·kg-1·d-1灌胃干预,正常组大鼠予等体积橄榄油溶液注射及生理盐水灌胃,9周末处死取材。HE染色和天狼猩红(SR)染色观察各组大鼠肝组织病理及胶原沉积变化,SR阳性染色面积半定量分析和Ishak评分评估纤维化程度;碱水解法测定肝组织羟脯氨酸(Hyp)水平;免疫组化、Western Blot、实时荧光定量聚合酶链式反应(qRT-PCR)检测肝组织α平滑肌肌动蛋白(α-SMA)、Ⅰ型胶原(Col-Ⅰ)、Ⅳ型胶原(Col-Ⅳ)、细胞角蛋白(CK)19、CK7、上皮细胞黏附分子(Epcam)及Hedgehog信号通路表达变化;免疫荧光共染观察CK19和卵圆细胞标志物6(OV6)共定位情况。计量资料多组间比较采用单因素方差分析,进一步两两比较采用LSD-t检验。  结果  与正常组相比,CCl4/2-AAF组大鼠肝组织炎性细胞聚集、胶原纤维沉积明显,存在明显的假小叶结构;肝组织Hyp水平和胶原阳性面积比显著增加(P值均<0.05),Ishak评分显著上升(P<0.05);α-SMA、Col-Ⅰ、Col-Ⅳ、Epcam、CK19、CK7、跨膜转运蛋白Smoothened(Smo)、Hedgehog配体Desert Hedgehog(Dhh)、Indian Hedgehog结合膜受体Patched(Ptch2)、胶质瘤相关致癌基因(Gli1、Gli2、Gli3)的表达显著增多(P值均<0.05);免疫荧光共染显示CCl4/2-AAF组大鼠肝组织内CK19阳性细胞均表达OV6,且较正常组显著增多。与CCl4/2-AAF组相比,GDC-0449组肝组织炎性细胞聚集、胶原沉积明显减少;肝组织Hyp水平、胶原阳性面积比显著降低(P值均<0.05),Ishak评分显著下降(P<0.05);α-SMA、Epcam、CK19、CK7、Smo、Ptch2、Gli1、Gli2和Gli3的表达显著减少(P值均<0.05);免疫荧光共染显示肝组织内共表达OV6与CK19的阳性细胞数显著减少。  结论  Hedgehog信号通路抑制剂GDC-0449显著抑制了CCl4/2-AAF诱导的大鼠肝纤维化进展,且其作用机制与抑制肝星状细胞活化、胶原沉积,阻抑肝祖细胞活化增殖,并抑制其向胆管上皮细胞分化有关。
扶正化瘀方通过改变急性肝损伤小鼠模型肝脏CD8+T淋巴细胞表型功能预防肝纤维化的价值分析
黄辉, 徐列明, 平键, 周扬
2022, 38(2): 342-346. DOI: 10.3969/j.issn.1001-5256.2022.02.017
摘要(2071) HTML (585) PDF (2677KB)(71)
摘要:
  目的  观察应用扶正化瘀方后急性肝损伤小鼠模型肝脏CD8+ T淋巴细胞对共培养的肝星状细胞的影响,探讨扶正化瘀方预防肝纤维化的作用机制。  方法  18只SPF级雄性C57BL/6NCrl Vr小鼠随机分为正常组、模型组、扶正化瘀方组,每组6只。扶正化瘀方组提前给予扶正化瘀方灌胃5 d。实验前12 h以2 mL/kg体质量的剂量腹腔注射10%的CCl4,腹主静脉取血,留取血清并检测ALT、AST,留取部分肝脏做病理观察;应用流式细胞术分选小鼠肝脏CD8+ T淋巴细胞,预先小鼠体内用药,再与小鼠肝星状细胞株(JS 1)以2∶ 1比例共培养于96孔板中24 h、48 h,使用qPCR方法检测各组Col.Ⅰ mRNA和α-SMA mRNA表达变化。符合正态分布的计量资料多组间比较采用方差分析,进一步两两比较采用SNK-q或LSD-t检验。  结果  模型组的ALT和AST水平均显著高于正常组(P值均<0.000 1)。扶正化瘀方组小鼠的ALT升高的幅度明显小于模型组(P<0.001)。HE染色显示,扶正化瘀方组小鼠肝细胞变性、坏死程度较模型组有所减轻。与正常组比较, 模型组总淋巴细胞、CD45、CD4-CD8+T、CD8+CD28-T显著上升, 而扶正化瘀方组与模型组相比较, 上述淋巴细胞比例显著降低(P值均<0.001)。自各组小鼠肝脏分离的CD8+ T淋巴细胞与JS 1共培养48 h,模型组与对照组(JS 1单培养)和正常组相比α-SMA mRNA的表达明显增加(P值均<0.01);Col.Ⅰ mRNA表达也明显高于对照组和正常组(正常小鼠肝脏CD8+ T淋巴细胞与JS 1共培养)(P值均<0.001)。扶正化瘀方组α-SMA mRNA和Col.Ⅰ mRNA表达显著低于模型组(P值均<0.01)。  结论  扶正化瘀方能通过改变小鼠肝脏CD8+ T淋巴细胞功能表型间接抑制活化的肝星状细胞。
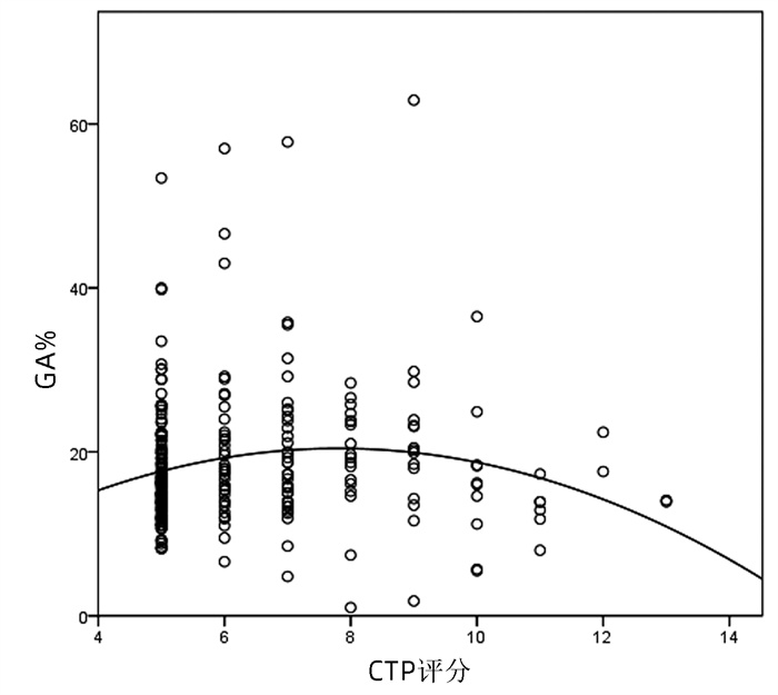
不同Child-Pugh分级肝硬化患者糖化白蛋白的测定及其应用价值
高艳颖, 张旭, 李凤慧, 向慧玲, 梁静, 刘华, 吕洪敏, 韩涛
2022, 38(2): 347-351. DOI: 10.3969/j.issn.1001-5256.2022.02.018
摘要(1160) HTML (794) PDF (2048KB)(107)
摘要:
  目的  探讨不同Child-Pugh分级肝硬化患者糖化白蛋白(GA)水平及其在预测肝功能方面的应用价值。  方法  纳入2019年1月1日—12月31日于天津市第三中心医院住院治疗的肝硬化患者486例,其中肝硬化未合并糖尿病患者227例,肝硬化合并糖尿病患者259例。按照Child-Turcotte-Pugh(CTP)评分进行分组,测定空腹血糖、糖化血红蛋白、糖化白蛋白百分比(GA%)。非正态分布的计量资料3组间比较采用Kruskal-Wallis H检验,进一步两两比较采用Dwass-Steel-Critchlow-Fligner检验。绘制CTP评分与GA%之间的散点图和拟合曲线,评估二者的关系,并计算cut-off值。  结果  肝硬化未合并糖尿病患者不同Child-Pugh分级之间GA%(χ2=24.809,P<0.001)、空腹血糖(χ2=11.899,P=0.003)、糖化血红蛋白(χ2=13.607,P=0.001)比较差异均有统计学意义,进一步两两比较显示,Child-Pugh A级、B级肝硬化未合并糖尿病患者与C级相比,GA%差异均有统计学意义(P值均<0.05);Child-Pugh A级患者空腹血糖水平明显高于Child-Pugh B级患者(P<0.05);Child-Pugh A级患者糖化血红蛋白水平明显高于Child-Pugh B级和C级患者(P值均<0.05)。肝硬化合并糖尿病患者不同Child-Pugh分级之间GA%(χ2=10.734,P=0.005)、空腹血糖(χ2=16.295,P<0.001)比较差异均有统计学意义,进一步两两比较显示,Child-Pugh C级肝硬化合并糖尿病患者GA%明显低于A级和B级(P值均<0.05);Child-Pugh A级患者空腹血糖水平低于B级患者(P<0.05)。拟合曲线结果显示,肝硬化未合并糖尿病患者随着CTP评分升高,GA%升高,在评分为6.5分时GA%最高,然后开始下降,评分为11.5分时GA%最低,呈曲线关系;肝硬化合并糖尿病患者的GA%随CTP评分增加呈现先升高后降低曲线,cut-off值为8分。  结论  随着肝硬化病情进展,GA%出现先升高后降低的变化。不同Child-Pugh分级肝硬化患者GA水平差异明显,提示GA的降低与终末期肝硬化肝功能失代偿密切相关。
GLIM标准下3种营养筛查工具对肝硬化患者的适用性分析
吴英珂, 李满, 陈辰, 张亦超, 苏洋, 王卫星
2022, 38(2): 352-358. DOI: 10.3969/j.issn.1001-5256.2022.02.019
摘要(2046) HTML (1112) PDF (2135KB)(143)
摘要:
  目的  探讨皇家自由医院-营养优先排序工具(RFH-NPT)与营养风险筛查2002(NRS2002)哪项更适合肝硬化患者的营养风险筛查,探讨主观全面营养评定(SGA)在肝硬化患者营养评估中的适用性。  方法  选取2020年8月—2021年6月在武汉大学人民医院住院的113例肝硬化患者,应用RFH-NPT和NRS2002进行营养风险筛查,应用SGA进行营养评估,将结果与全球(营养)领导层倡议营养不良(GLIM)诊断标准进行比较,分别计算出3种工具的敏感度、特异度、阳性预测值(PPV)、阴性预测值(NPV)。分别绘制3种筛查工具的受试者工作特征曲线(ROC曲线),并计算曲线下面积(AUC)。分析患者营养状况与短期预后的关系。计量资料两组间比较采用独立样本t检验或Mann-Whitney U检验,计数资料两组间比较采用χ2检验。NRS2002、RFHNPT、SGA与GLIM标准的相关性采用Spearman秩相关进行分析。  结果  GLIM标准下有69.9%的患者被诊断为营养不良,RFH-NPT和NRS2002分别筛查出72.6%和51.3%的患者存在营养风险,SGA评估下有57.5%的患者为营养不良。与NRS2002相比,RFH-NPT与GLIM标准具有更高的相关性(r=0.764,P<0.001),更高的敏感度(94.9%)和NPV(87.1%),且具有更好的预测价值(AUC=0.872,95%CI:0.786~0.957)。GLIM标准下,SGA诊断肝硬化患者营养不良的特异度较高(88.2%),敏感度一般(77.2%),具有良好的相关性(r=0.607,P<0.001)和预测价值(AUC=0.827,95%CI:0.744~0.911)。GLIM标准、SGA、RFH-NPT评估下,营养风险或营养不良患者的住院时间更长(Z值分别为-3.301、-2.812、-3.813,P值均<0.05),再住院率更高(χ2值分别为3.957、6.922、6.766,P值均<0.05)。GLIM标准、NRS2002评估下有营养风险或营养不良的患者3个月内病死率明显增加(χ2值分别为4.511、0.776,P值均<0.05)。  结论  GLIM标准下,RFH-NPT比NRS2002更适合肝硬化患者的营养风险筛查,SGA在肝硬化患者的营养评估中具有较好的适用性。此外,GLIM标准、SGA、RFH-NPT分别与患者的临床结局相关。
肝硬化患者发生隐匿性肝性脑病的危险因素及预后分析
刘思琴, 王小梅, 李霞, 梁露文, 王可, 王瑞
2022, 38(2): 359-364. DOI: 10.3969/j.issn.1001-5256.2022.02.020
摘要(1237) HTML (510) PDF (1945KB)(95)
摘要:
  目的  探讨肝硬化患者发生隐匿性肝性脑病(CHE)的危险因素,并分析其对预后的影响。  方法  选择2019年9月—2020年6月重庆市某三甲医院的416例肝硬化患者为研究对象,根据是否发生CHE分为CHE组(n=212)和非CHE组(n=204),收集临床资料和实验室检查结果,并实施6个月随访。正态分布的计量资料两组间比较采用t检验,不服从正态分布的计量资料两组间比较采用Mann-Whitney U检验;计数资料两组间比较采用χ2检验、连续校正χ2检验或Mann-Whitney U检验。经单因素和多因素logistic回归分析发生CHE的危险因素。  结果  CHE的发生率为51%,单因素分析发现年龄、病程、HE病史、感染、腹水、电解质紊乱、肝肾综合征、Child-Pugh肝功能分级、凝血酶原时间、总胆红素、肌酐、血小板、凝血酶原活动度、白蛋白、MELD评分等是CHE的影响因素(P值均<0.05);多因素分析表明HE病史(OR=10.848,95%CI:4.971~23.674)、经颈静脉肝内门体分流术(TIPS)(OR=4.334,95%CI:1.203~15.621)、Child-Pugh肝功能分级(OR=4.968, 95%CI:1.299~18.992)、MELD评分(OR=1.253,95%CI:1.161~1.352)是CHE的独立预测因子(P值均<0.05);CHE组患者的中短期再入院、HE和死亡发生率均高于非CHE组(P值均<0.05)。  结论  CHE发生率较高,且影响患者预后,既往HE病史、TIPS术后、Child-Pugh分级C级和MELD评分较高的患者应警惕CHE的发生,早发现、早筛查、早干预,以最大限度改善肝硬化患者预后。
论著_肝脏肿瘤
经皮冷冻消融联合无水酒精注射治疗70岁以上老年肝细胞癌患者的效果及安全性分析
罗婧, 吕采红, 杨永平
2022, 38(2): 365-371. DOI: 10.3969/j.issn.1001-5256.2022.02.021
摘要(965) HTML (363) PDF (2738KB)(61)
摘要:
  目的  探讨经皮冷冻消融(CRYO)联合无水酒精注射(PEI)对早期老年肝细胞癌患者的疗效和安全性。  方法  回顾性纳入解放军总医院第五医学中心2014年1月—2018年1月收治的92例老年肝细胞癌患者,其中单一CRYO治疗组46例,CRYO联合PEI(联合治疗)组46例。比较两种治疗方式的效果,不良反应及治疗前后肝功能相关指标的变化,并随访患者肿瘤的复发及生存预后情况。正态分布的计量资料两组间比较用t检验;非正态分布的计量资料两组间比较采用Mann-Whitney U秩和检验。计数资料两组间比较采用χ2检验。两组的生存时间采用Kaplan-Meier方法进行生存分析,并用log-rank检验生存曲线的差异;通过Cox回归法确定影响生存预后的独立危险因素。  结果  联合治疗组和CRYO组初次消融的有效率分别为89.1%和73.9%,组间差异无统计学意义(P>0.05)。CRYO组和联合治疗组患者术后总生存率和无瘤生存率间的差异均无统计学意义(P值均>0.05),但联合治疗组患者术后第1、2和3年局部肿瘤进展率分别为20%、21%和21%,明显低于CRYO组的30%、46%、46%(χ2=4.187,P<0.05)。多因素Cox回归分析提示行单一CRYO治疗可能是局部肿瘤进展率的独立危险因素(HR=2.206,95%CI: 1.003~4.850, P=0.049)。在不良反应的发生率上两组间差异没有统计学意义(P>0.05),但CRYO组有3例严重不良反应,联合治疗组未出现严重不良反应。  结论  对于早期老年肝细胞癌患者,CRYO联合PEI治疗较单纯CRYO治疗安全有效,能明显降低局部肿瘤进展率。
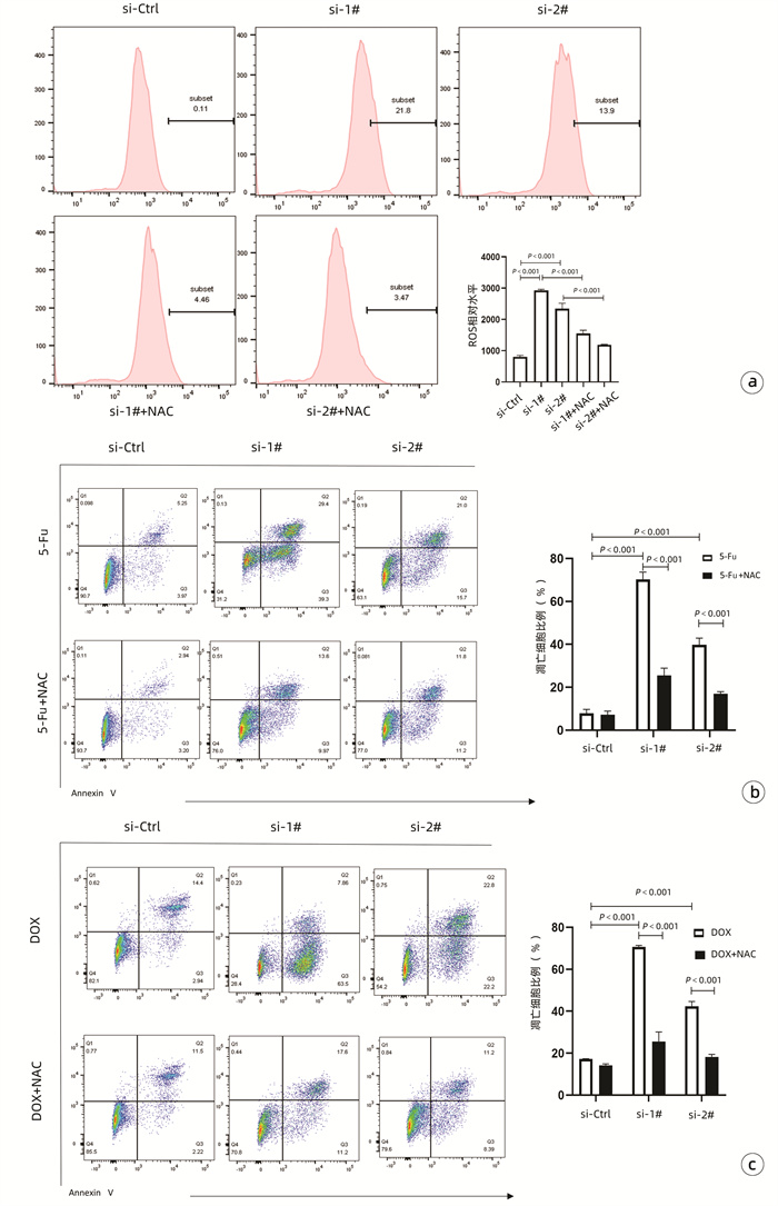
TXNRD1在肝细胞癌中活性氧相关细胞凋亡导致多药耐药性中的作用
李大志, 黄俊杰, 郑树森, 章爱斌
2022, 38(2): 372-380. DOI: 10.3969/j.issn.1001-5256.2022.02.022
摘要(1662) HTML (648) PDF (8489KB)(96)
摘要:
  目的  耐药性是肝细胞癌(HCC)化疗失败的主要原因,硫氧还蛋白还原酶1(TXNRD1)作为活性氧(ROS)代谢的主要影响因素,已被证明与HCC患者的不良预后有关。本研究探究TXNRD1在HCC多药耐药机制中的作用。  方法  选取BEL-7402细胞系的BEL/FU细胞作为多重耐药细胞株。siRNA用来干预细胞TXNRD1的表达;实时定量PCR和蛋白质印迹检测TXNRD1的表达;CCK-8法检测和流式细胞术检测用来评估TXNRD1对肝癌细胞ROS蓄积、5-氟尿嘧啶(5-Fu)和多柔比星(DOX)耐药性以及体外凋亡的影响;异种肿瘤移植模型的构建用来研究金诺芬(AUR)在体内对细胞耐药性的影响。计量资料两组间比较采用独立样本t检验。  结果  BEL/FU作为多重耐药HCC细胞系表现出TXNRD1 mRNA与蛋白水平的高表达(P值均<0.05)。AUR作为TXNRD1的抑制剂,联合化疗药物5-FU及DOX处理与单一化疗药物处理相比,细胞克隆集落形成数目明显减少(P值均<0.01),凋亡比例明显增加(P值均<0.001)。N-乙酰半胱氨酸(NAC)作为ROS的清除剂,可以明显削弱siRNA敲低TXNRD1表达对BEL/FU细胞耐药性的影响,应用NAC可以有效降低干扰后细胞的凋亡比例(P值均<0.001)。动物实验也证实,5-Fu与AUR联合治疗相对于单一5-Fu治疗,裸鼠的肿瘤质量更轻(P<0.001),体积更小(P<0.001)。  结论  TXNRD1在HCC耐药中扮演重要角色,抑制其在细胞水平作用可有效改善耐药性,AUR作为TXNRD1抑制剂在HCC综合治疗中也具备极大的应用前景。
论著_其他肝病
PLT水平及PLT参数对慢加急性肝衰竭患者预后的影响
司诺, 刘芳, 刘磊, 刘华, 曹颖颖, 李隽, 梁静
2022, 38(2): 381-386. DOI: 10.3969/j.issn.1001-5256.2022.02.023
摘要(1122) HTML (402) PDF (2578KB)(86)
摘要:
  目的  探讨PLT及PLT参数在不同分型、不同病因的慢加急性肝衰竭(ACLF)患者中的差异,评估PLT和PLT的动态变化对ACLF患者预后的影响。  方法  收集2014年1月—2018年12月在天津市第三中心医院就诊的364例ACLF患者的临床资料和肝功能、PLT及PLT参数,比较不同分型及病因的ACLF患者PLT水平与PLT参数(PLT分布宽度、平均PLT体积),分析其对于ACLF患者90 d死亡率的影响,分析基线、入院后7 d、14 d PLT动态变化与患者预后的关系。计数资料组间比较采用χ2检验,计量资料组间比较采用Kruskal-Wallis H检验或Mann-Whitney U检验,生存分析用Kaplan-Meier法,预后相关参数采用单因素及多因素Cox回归分析,PLT动态变化用重复测量方差分析。根据PLT水平及总生存情况绘制ROC曲线。  结果  C型ACLF患者PLT水平在明显低于A型及B型ACLF患者(P值均<0.001);相比于乙型肝炎组ACLF患者,自身免疫性肝病的ACLF患者平均PLT体积降低(P=0.035);根据ROC曲线得出临界值,PLT<60.5×109/L的患者死亡率大于PLT≥60.5×109/L组(P=0.006);PLT水平是ACLF患者90 d死亡的独立保护性因素(HR=0.995, 95%CI: 0.990~0.999,P=0.026),PLT水平越低病死率越高;C型患者死亡率明显高于A型患者(P<0.05),死亡组PLT水平减少更明显(P<0.05);ACLF患者90 d死亡组PLT下降幅度明显高于生存组(P=0.032)。  结论  不同分型ACLF患者PLT水平存在差异,PLT水平是影响ACLF患者90 d预后的重要指标,PLT动态下降幅度大的ACLF患者90 d死亡率高。
基于文本知识库的肝损伤药物不良反应大数据智能识别研究
葛斐林, 郭玉明, 牛明, 赵旭, 柏兆方, 王伽伯, 肖小河
2022, 38(2): 387-391. DOI: 10.3969/j.issn.1001-5256.2022.02.024
摘要(1306) HTML (448) PDF (3705KB)(76)
摘要:
  目的  本研究基于药物不良反应(ADR)文本知识库的探索性构建,尝试建立肝损伤相关ADR的大数据智能识别方法。  方法  以“药物性肝损伤”“药源性肝损伤”“肝功能异常”等为关键词,检索时间为2012年1月1日—2016年12月31日,检索并随机抽取药品不良反应监测系统数据库中5%(4152份)肝损伤相关ADR病例报告。结合医师临床再评价,分为“否定病例”“疑似病例”“确定病例”。在此基础上,进行关键要素的识别(不良反应名称、生化指标、临床症状),采用关键要素与临床再评价的相关性分析,以及ROC曲线确定评分阈值等构建肝损伤相关ADR智能识别方法,并采用交叉验证的方法评价该智能识别方法的效能。  结果  肝损伤相关ADR评价识别公式为:总分(M)=症状分数+指标分数+不良反应名称分数,“否定病例”与“疑似病例”“确定病例”在M=5分区分度最好(AUC=0.97),敏感度为99.57%,特异度为84.61%;“确定病例”与“疑似病例”“否定病例”在M=12分区分度最好(AUC=0.938),敏感度为87.93%,特异度为85.98%。  结论  该方法将为肝损伤相关ADR大数据智能识别评价提供参考和依据,有望有效减轻人工处理肝损伤相关ADR大数据的负担,为肝损伤相关ADR的早期风险信号识别及预警提供有效工具和方法学示范。
线粒体靶向抗氧化剂SS-31对脓毒症小鼠模型急性肝损伤的影响
满明银, 李娜娜, 卜月, 于凯江
2022, 38(2): 392-396. DOI: 10.3969/j.issn.1001-5256.2022.02.025
摘要(1888) HTML (677) PDF (3168KB)(82)
摘要:
  目的  探究线粒体靶向抗氧化剂SS-31对脓毒症小鼠模型急性肝损伤的作用。  方法  将24只C57BL/6J成年雄性小鼠随机分为control组、control+SS-31组、脂多糖(LPS)组(脓毒症组)、LPS+SS-31组,每组6只。小鼠腹腔注射LPS(10 mg/kg)制备脓毒症急性肝损伤模型或对照组腹腔注射等体积PBS液,继之腹腔注射SS-31(10 mg/kg)进行治疗或对照组腹腔注射等体积生理盐水,12 h后ELISA法检测ALT、AST、活性氧(ROS)、超氧化物歧化酶(SOD)、TNFα、IL-1β、IL-6水平,HE染色观察肝脏组织病理学。计量资料多组间比较采用单因素方差分析,进一步两两比较采用LSD-t检验。  结果  与LPS组相比,LPS+SS-31组小鼠血清中ALT[(140.05±12.22) U/L vs (102.64±8.75)U/L]、AST[(80.22±4.71)U/L vs (69.26±5.37)U/L],以及肝组织中ROS[(1 030.21±115.87) pg/mL vs (847.84±63.65) pg/mL]、TNFα[(767.18±60.60) ng/mL vs (698.89±16.99) ng/mL]、IL-1β[(29.97±1.37) ng/mL vs (26.70±3.09) ng/mL]、IL-6[(59.13±7.09) pg/mL vs (49.29±3.41) pg/mL)]均显著降低(P值均<0.05);与control组比较,LPS组小鼠肝组织切片HE染色显示出肝小叶结构破坏、炎性细胞浸润、细胞间隙模糊、肝细胞肿胀; LPS+SS-31组炎性细胞浸润减少,肝细胞肿胀减轻。  结论  线粒体靶向抗氧化剂SS-31可降低ROS水平,下调脓毒症时高表达的炎性因子,减轻小鼠脓毒症相关急性肝损伤。
Gilbert综合征与Crigler-Najjar综合征Ⅱ型患者UGT1A1基因多态性分析
刘念晨, 白洁, 梁晨, 白丽, 刘霜, 段钟平, 郑素军
2022, 38(2): 397-401. DOI: 10.3969/j.issn.1001-5256.2022.02.026
摘要(1335) HTML (867) PDF (2018KB)(109)
摘要:
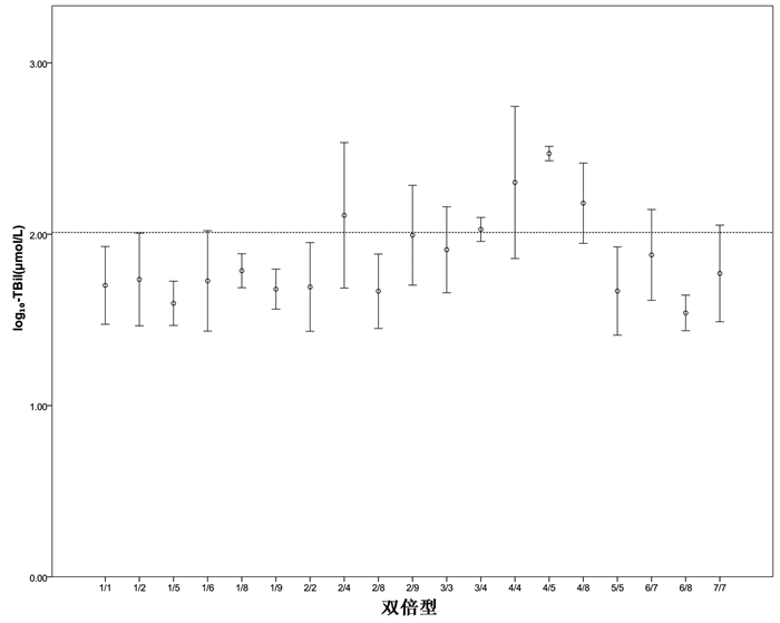
  目的  分析Gilbert综合征(GS)与Crigler-Najjar综合征Ⅱ型(CN-2)患者UGT1A1基因突变位点、单倍型及双倍型的差异。  方法  回顾性分析2010年1月1日—2019年12月31日就诊于首都医科大学附属北京佑安医院的138例GS与CN-2患者临床资料,其中GS组109例,CN-2组29例,分析两种表型在突变位点上的差异。计量资料两组间比较采用Mann-Whitney U检验。计数资料两组间比较采用χ2检验或Fisher精确检验。使用SNPStats软件对突变位点进行连锁不平衡(LD)分析及单倍型分析。强LD被定义为|D′|和r2均>0.8,中度LD被定义为|D′|>0.8且r2>0.4。  结果  138例患者均进行了UGT1A1基因检测,突变主要发生在启动子上游苯巴比妥反应增强元件(PBREM)区域-3279T>G突变(104例,75.36%)、-3152G>A突变(82例,59.42%)和启动子TATA盒TA插入突变(88例,63.77%),以及编码区1号外显子上的c.211 G>A突变(66例,47.83%)。GS组在PBREM区域-3279T>G位点(82.57% vs 48.28%,χ2=14.508,P<0.001)、-3152G>A位点(68.81% vs 24.14%,χ2=18.955,P<0.001)及启动子TATA盒(TA)6>(TA)7突变的比例(72.48% vs 31.03%,χ2=17.027,P<0.001)均明显高于CN-2组,而CN-2组在c.211位点(68.97% vs 42.20%,χ2=6.575,P=0.010)和c.1456位点(51.72% vs 7.34%,χ2=29.372,P<0.001)的突变比例显著高于GS组。对UGT1A1基因不同突变位点的LD分析发现,(TA)6>(TA)7与-3152G>A之间存在强LD(|D′|>0.8,r2>0.8),在(TA)6>(TA)7和-3279T>G、-3152G>A和-3279T>G、(TA)6>(TA)7和c.211G>A、-3279T>G和c.211G>A之间存在中度LD(|D′|均>0.8,r2均>0.4)。单倍型频率分析发现在GS组中单倍型-3279G—-3152A—(TA)7出现的频率高于CN-2组(45.72% vs 17.24%,χ2=7.833,P=0.005),而c.1456G(4.10% vs 16.48%,χ2=4.873,P=0.027)和c.211A—c.1456G(1.86% vs 24.90%,χ2=15.210,P<0.001)的频率低于CN-2组。双倍型分析发现单倍型c.1456G和c.211A—c.1456G参与组成的双倍型对应更高的TBil水平。  结论  GS和CN-2患者的常见UGT1A1基因突变位点以及主要单倍型不同,CN-2常见双倍型对应更高的TBil水平。
肝移植术后早期并发症风险预测模型的建立与评价
代星, 高犇, 张欣欣, 孙岩岩, 蒋文涛, 李江
2022, 38(2): 402-408. DOI: 10.3969/j.issn.1001-5256.2022.02.027
摘要(1309) HTML (625) PDF (2853KB)(90)
摘要:
  目的  探讨影响肝移植受者术后早期并发症发生的危险因素,建立并验证肝移植术后早期并发症风险预测模型。  方法  回顾性收集2016年1月—2018年12月于天津市第一中心医院肝移植科接受原位肝移植234例患者的临床资料。根据肝移植术后是否发生Clavien-Dindo 3级以上并发症,将所有患者分为并发症组(n=97)和无并发症组(n=137),比较2组年龄、性别、BMI、血型、腰大肌厚度/身高值(PMTH)、控制营养状态(CONUT)评分、MELD评分、血清总胆红素、血肌酐、凝血酶原时间国际标准化比值(PT-INR)、血尿素氮、血红蛋白、白细胞计数、血小板计数、术中输注红细胞量、输注冰冻血浆量、失血量、无肝期、手术时间以及供体年龄、BMI、供肝冷缺血时间和供肝热缺血时间等指标。符合正态分布的计量资料2组间比较采用独立样本t检验,非正态分布的计量资料2组间比较采用Mann-Whitney U检验,计数资料2组间比较采用χ2检验。采用单因素分析和二元logistic回归分析法分析肝移植术后早期并发症发生的危险因素,根据Framingham研究中心提供的logistic模型建立积分系统的方法建立肝移植术后并发症风险预测模型。采用一致性指数、受试者工作特征(ROC)曲线、模型校准曲线、Hosmer-Lemeshow检验对模型进行内部验证;采用决策曲线评价模型临床实用性。采用Kaplan-Meier法比较不同风险评分组患者肝移植术后早期并发症发生率。  结果  并发症组患者MELD评分、低PMTH比例、血清总胆红素、血肌酐、血尿素氮、CONUT评分、术中输注红细胞量、术中输注冰冻血浆量均明显高于无并发症组,血红蛋白水平明显低于无并发症组(P值均<0.1)。二元logistc多因素分析结果显示,MELD评分、PMTH、CONUT评分是肝移植术后早期3级以上并发症发生的独立危险因素(OR分别为1.104、2.858、1.481,95%CI分别为1.057~1.154、1.451~5.626、1.287~1.703,P值均<0.05)。将MELD评分、PMTH、CONUT评分纳入预测模型,该预测模型最高分为24分,一致性指数为0.828,ROC曲线下面积为0.812,P<0.001,敏感度为0.792,特异度为0.751,表明该预测模型具有良好的区分度;该预测模型校正曲线接近参考曲线,Hosmer-Lemeshow检验表明该预测模型具有良好的拟合度(χ2=8.525,P=0.382);决策曲线显示大部分患者均能从预测模型中获益,且净获益率较高,表明该预测模型具有良好的临床实用性。根据最佳约登指数0.507,选择11分为截点值,将所有患者分为低风险组(<8分,n=55)、中风险组(8~10分,n=63)、高风险组(11~14分,n=67)、极高风险组(≥15分,n=49),4组术后90 d累积并发症发生率分别为3.6%、28.6%、59.7%、75.5%,并发症发生率随着风险评分的上升而递增(P<0.001)。  结论  MELD评分、PMTH、CONUT评分是肝移植术后早期3级以上并发症发生的独立危险因素,以此建立的风险预测模型对高风险患者具有较高的预测价值。
论著_胰腺疾病
华东沿海地区多中心40例胰腺肿瘤患者基因组图谱分析
王晶, 谭斌, 赵志杰, 仲灏辰, 曲林林
2022, 38(2): 409-414. DOI: 10.3969/j.issn.1001-5256.2022.02.028
摘要(1245) HTML (372) PDF (3577KB)(62)
摘要:
  目的  探讨我国华东沿海地区胰腺癌患者的基因突变情况,为个体化治疗提供依据。  方法  选取2017年1月—2019年6月在青岛大学附属医院、青岛市立医院、烟台山医院、烟台中法友好医院收治并经手术治疗后诊断为胰腺恶性肿瘤的患者40例。采用下一代测序技术检测肿瘤组织和体细胞中的基因突变。绘制基因突变图谱,分析基因组改变。计数资料组间比较采用χ2检验或Fisher精确检验。采用Kaplan-Meier法绘制生存曲线,组间比较采用log-rank检验。  结果  40例患者中胰腺导管腺癌34例(85.0%),胰腺实性假乳头状肿瘤3例(7.5%),胰腺神经内分泌肿瘤1例(2.5%),分型不清2例(5.0%)。KRAS(80.0%,32/40)、TP53(70.0%,28/40)、CDKN2A(32.5%,13/40)、SMAD4(17.5%,7/40)和AKT2(17.5%,7/40)是最常见的突变。5种常见基因突变的生存时间差异均无统计学意义(P值均>0.05)。  结论  下一代测序技术能够提供全面、准确的基因组改变信息,可为胰腺癌的诊断和精确治疗提供新的潜在生物标志物。通过对突变基因进行分析,从而为胰腺癌的个体化治疗奠定基础。
短篇论著
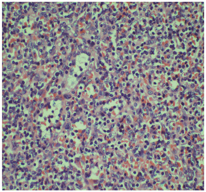
2例关节挛缩-肾功能不全-胆汁淤积综合征患儿的临床特征及遗传学分析
姜涛, 罗海燕, 欧阳文献, 唐莲, 谭艳芳, 张慧, 李双杰
2022, 38(2): 415-417. DOI: 10.3969/j.issn.1001-5256.2022.02.029
摘要(1062) HTML (333) PDF (2204KB)(65)
摘要:
病例报告
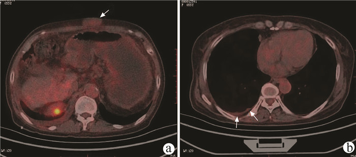
肝硬化失代偿期合并恶性胸膜间皮瘤并腹膜转移1例报告
卢利霞, 谢小青, 郑英, 刘鑫, 王建平, 王俊科, 王盼, 于晓辉
2022, 38(2): 418-419. DOI: 10.3969/j.issn.1001-5256.2022.02.030
摘要(913) HTML (261) PDF (2461KB)(58)
摘要:
伴肺动脉高压的系统性红斑狼疮患者肝损伤1例报告
李彦霖, 王一川, 吴剑华, 贾佩, 汪瑶, 樊万虎, 刘正稳, 罗静, 张松林, 刘小静
2022, 38(2): 420-422. DOI: 10.3969/j.issn.1001-5256.2022.02.031
摘要(1003) HTML (262) PDF (2037KB)(47)
摘要:
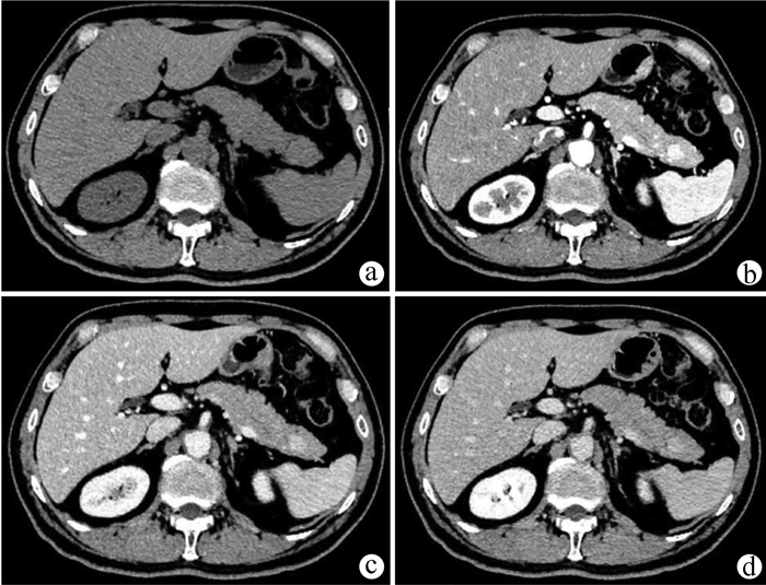
肝脏遗传性出血性毛细血管扩张症1例报告
王婷婷, 马亮, 陈建平
2022, 38(2): 423-425. DOI: 10.3969/j.issn.1001-5256.2022.02.032
摘要(1110) HTML (367) PDF (2696KB)(54)
摘要:
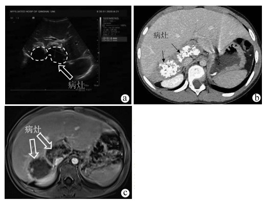
经正中裂联合左右侧入路完整切除肝尾状叶治疗小儿肝泡型包虫病1例报告
李汗, 侯立朝, 王海久, 王聪, 樊海宁
2022, 38(2): 426-429. DOI: 10.3969/j.issn.1001-5256.2022.02.033
摘要(1140) HTML (288) PDF (3527KB)(46)
摘要:
门静脉性胆道病1例报告
姜朋, 王树鹏, 刘亚辉
2022, 38(2): 430-432. DOI: 10.3969/j.issn.1001-5256.2022.02.034
摘要(715) HTML (239) PDF (2686KB)(52)
摘要:
希恩综合征合并重症急性胰腺炎1例报告
王秋, 耿争光, 傅小云, 付豹
2022, 38(2): 433-435. DOI: 10.3969/j.issn.1001-5256.2022.02.035
摘要(1069) HTML (472) PDF (2094KB)(62)
摘要:
胰腺内副脾误诊为胰腺神经内分泌肿瘤1例报告
夏旭翔, 吕国悦, 仇晓桐, 邱伟
2022, 38(2): 436-438. DOI: 10.3969/j.issn.1001-5256.2022.02.036
摘要(1186) HTML (864) PDF (2885KB)(59)
摘要:
综述
支链氨基酸在非酒精性脂肪性肝病发生发展中的作用
谢小青, 刘亚贤, 陈顺, 于晓辉
2022, 38(2): 439-442. DOI: 10.3969/j.issn.1001-5256.2022.02.037
摘要(1147) HTML (1364) PDF (3176KB)(114)
摘要:
非酒精性脂肪性肝病是常见慢性肝病,有进展为非酒精性肝炎、肝纤维化和肝癌的风险,发病机制多样,其中支链氨基酸代谢异常可引起肝细胞氧化应激、自噬、线粒体功能障碍等,是导致非酒精性脂肪性肝病发生发展的最主要机制,对其进展进行综述,分析支链氨基酸代谢异常对非酒精性脂肪性肝病发生与发展的可能作用,以期提高临床认知与诊治水平。
Wnt信号通路与肝纤维化的关系
范钦, 李红俊, 李晓霞, 杨尹, 陈海燕, 成家茂
2022, 38(2): 443-447. DOI: 10.3969/j.issn.1001-5256.2022.02.038
摘要(1781) HTML (779) PDF (2748KB)(98)
摘要:
在各种慢性肝损伤后,肝纤维化是生物体的一种自我修复性病理过程,并能引起肝硬化、肝癌等疾病。Wnt信号通路广泛存在于无脊椎动物和脊椎动物中,是一类在物种进化过程中高度保守的信号通路。许多研究已经证实Wnt信号通路与肝纤维化的发生发展有密切联系。主要从经典和非经典Wnt信号通路调控肝星状细胞、肝巨噬细胞、肝祖细胞的机制方面进行概述,为后续深入开展Wnt信号调控肝纤维化机制研究及探索可逆转肝纤维化的治疗靶点提供新思路。
斯特鲁普测试在轻微型肝性脑病中的应用进展
高晓红, 李培燕, 彭芳
2022, 38(2): 448-451. DOI: 10.3969/j.issn.1001-5256.2022.02.039
摘要(1351) HTML (360) PDF (1922KB)(69)
摘要:
轻微型肝性脑病(MHE)是肝性脑病的一个早期阶段,隐匿性强,临床漏诊率较高,早期诊断MHE并给予患者有效的临床干预至关重要。MHE的诊断方法有很多,目前常用的是肝性脑病心理学评分,由于操作繁琐、耗时长,限制了其在临床中的广泛应用,因此,临床亟待寻找简便、快速、有效的诊断方法。斯特鲁普测试(Stroop测试)是一种针对心理运动速度和认知灵活性的测试,其对MHE的诊断价值已在美国、韩国等多个国家得到验证。本文介绍了Stroop测试的发展及其在MHE中的应用进展。分析表明,基于移动设备的Stroop测试对诊断MHE具有较高的敏感度,且简便、可行,希望未来该测试能够在中国被广泛应用到筛查MHE的临床工作中。
肝性胸水临床研究进展与挑战
马博, 尚天玲, 黄剑洁, 涂芷馨, 王妍, 韩雨金, 温晓玉, 金清龙
2022, 38(2): 452-456. DOI: 10.3969/j.issn.1001-5256.2022.02.040
摘要(1533) HTML (493) PDF (1934KB)(122)
摘要:
肝性胸水(HH)是肝硬化与门静脉高压相关的一种极具挑战性的并发症,其发生机制及治疗措施仍不完全明确。总结评述了HH的发病机制、临床表现、诊断治疗等方面最新研究进展与挑战,并提供一个多学科的治疗策略,包括减少腹水的产生、防止积液进入胸腔、胸腔积液清除、胸膜腔闭塞和肝移植5部分,以期为更多临床医生提供参考。
肝脏驻留自然杀伤细胞在肝细胞癌发生发展中的作用
王俊旗, 徐锋
2022, 38(2): 457-460. DOI: 10.3969/j.issn.1001-5256.2022.02.041
摘要(1096) HTML (652) PDF (2117KB)(92)
摘要:
肝脏驻留自然杀伤(LrNK)细胞作为新近发现的组织驻留性自然杀伤细胞,具有较强的免疫杀伤功能。在肝细胞癌(HCC)的发生发展过程中,LrNK细胞功能受损,且可能通过上调相关免疫检查点的表达促进HCC进展。基于最新的相关研究,综述了LrNK细胞的免疫功能及其在HCC发生发展过程中的作用,以期探究该细胞在HCC免疫治疗中的应用前景。
鞘磷脂酶在肝细胞癌中的作用
姚春, 张广发, 乐滢玉, 毛德文, 张荣臻, 刘茵
2022, 38(2): 461-465. DOI: 10.3969/j.issn.1001-5256.2022.02.042
摘要(1310) HTML (811) PDF (1941KB)(87)
摘要:
鞘磷脂酶(SMase)是调节鞘磷脂类信号通路及其相关产物代谢的主要酶类,参与了鞘磷脂复杂代谢过程中的关键步骤。近年来,许多研究表明SMase参与了细胞周期停滞、细胞迁移和炎症等生物学过程,并通过调节肿瘤干细胞的凋亡和增殖来促进肝细胞癌的发生发展。SMase在肝细胞癌的发生发展及诊疗中具有重要潜在生物学价值。就SMase在肝细胞癌发生发展中的作用进行归纳和探讨,以期为其临床治疗和新型药物的开发提供新的思路和策略。
超声造影肝脏影像报告和数据管理系统发展现状及临床应用进展
丁建民, 秦正义, 王芳
2022, 38(2): 466-470. DOI: 10.3969/j.issn.1001-5256.2022.02.043
摘要(1551) HTML (394) PDF (1936KB)(84)
摘要:
肝细胞癌(HCC)是我国乃至世界较为高发的恶性肿瘤,早期诊断及治疗是改善患者预后的关键。为了方便不同中心、不同专业医生间的沟通交流,美国放射学会于2016年发布第一版超声造影肝脏影像报告和数据管理系统(CEUS LI-RADS),对肝脏影像术语、技术、解释、报告及数据收集进行规定,同时对不同肝脏局灶性病变进行HCC的风险分层,在临床应用中逐渐展露出优势。本文就CEUS LI-RADS的发展现状及临床应用进展进行综述,认为应用CEUS LI-RADS对HCC高危人群肝脏局灶性病变进行临床管理具有巨大的潜在价值,而且相信在不久的将来CEUS LI-RADS适用人群和适应证将会不断扩展,更好的服务于临床。
中医药成分防治肝缺血再灌注损伤的研究进展
李振, 曾意豪, 王科, 王凯强, 俞科贤
2022, 38(2): 471-476. DOI: 10.3969/j.issn.1001-5256.2022.02.044
摘要(1291) HTML (748) PDF (4623KB)(81)
摘要:
肝缺血再灌注损伤(HIRI)是肝移植、肝脏切除及休克等疾病的一种极为常见的并发症。目前对于HIRI的研究较多,但临床仍缺乏根治性的药物。相关细胞、分子机制及通路、活性氧及氧化应激反应、一氧化氮及线粒体等多种因素介导了HIRI的发生和发展,这不仅导致患者生活质量降低,且危及患者生命安全。在HIRI发生机制的基础上结合相关文献,总结中医药成分防治HIRI的研究进展,旨在为HIRI的基础实验及临床研究提供理论支持。
胆道菌群导致原发性肝内胆管结石形成机理的研究进展
任江平, 邱锦飞, 邹杨, 蔡晓蓓, 徐承雷, 李江
2022, 38(2): 477-482. DOI: 10.3969/j.issn.1001-5256.2022.02.045
摘要(1653) HTML (964) PDF (3084KB)(128)
摘要:
原发性肝内胆管结石(PIS)是我国西南地区高发和难治性疾病,在初始治疗后,部分患者仍需要再次甚至多次手术。近年来有大量研究发现部分特异性菌群能在肝内胆管定植,导致胆道系统慢性感染及炎症。这些特异菌群可产生β-葡萄糖醛酸苷酶等代谢产物,在色素性结石的形成中起着重要作用,被称为“致石菌群”。本文对PIS发病机理中致石菌群的作用研究进展予以分析探讨,以期为PIS患者提供更多的治疗方式。
胆道恶性肿瘤系统治疗与局部治疗的现状及进展
郑康炼, 王晓东
2022, 38(2): 483-488. DOI: 10.3969/j.issn.1001-5256.2022.02.046
摘要(1360) HTML (949) PDF (1961KB)(137)
摘要:
胆道恶性肿瘤是一种预后极差的消化系统恶性肿瘤,近年来随着各种治疗方法的进展,胆道恶性肿瘤患者的生存时间得以延长。本文就胆道恶性肿瘤的手术治疗、全身治疗、放射治疗以及介入治疗的现状和进展进行系统综述,以期为临床上胆道恶性肿瘤的治疗提供参考。
国外期刊精品文章简介
Journal of Hepatology|利用单细胞RNA测序发现在ErbB通路突变的胆囊癌中存在MDK依赖免疫抑制微环境
2022, 38(2): 281-281. DOI: 10.3969/j.issn.1001-5256.2022.02.gwjpwzjj1
摘要(550) HTML (346) PDF (863KB)(58)
摘要:
Hepatology|天麻素通过激活AMPK信号通路改善非酒精性脂肪性肝炎
2022, 38(2): 319-319. DOI: 10.3969/j.issn.1001-5256.2022.02.gwjpwzjj2
摘要(523) HTML (349) PDF (1389KB)(46)
摘要:
Hepatology|过氧化物酶体增殖物激活受体α通过YAP-TEAD信号通路促进肝脏增大和肝脏再生
2022, 38(2): 341-341. DOI: 10.3969/j.issn.1001-5256.2022.02.gwjpwzjj3
摘要(473) HTML (302) PDF (869KB)(45)
摘要:
Journal of Gastroenterology and Hepatology|利福平可改善持续性肝细胞分泌衰竭患者的胆汁淤积
2022, 38(2): 396-396. DOI: 10.3969/j.issn.1001-5256.2022.02.gwjpwzjj4
摘要(625) HTML (298) PDF (870KB)(98)
摘要:
Journal of Gastroenterology and Hepatology|PD-1抑制剂联合化疗较单纯化疗一线治疗可显著改善转移性或复发性胆管癌患者的中位无进展生存期
2022, 38(2): 401-401. DOI: 10.3969/j.issn.1001-5256.2022.02.gwjpwzjj5
摘要(564) HTML (282) PDF (871KB)(55)
摘要:
Hepatology|髓系细胞特异性IL-6信号通过促进富含microRNA-223外泌体释放缓解非酒精性脂肪性肝病相关的纤维化
2022, 38(2): 414-414. DOI: 10.3969/j.issn.1001-5256.2022.02.gwjpwzjj6
摘要(492) HTML (276) PDF (869KB)(49)
摘要:
Hepatology International|糖尿病与HBV感染相关慢加急性肝衰竭患者短期不良预后有关
2022, 38(2): 432-432. DOI: 10.3969/j.issn.1001-5256.2022.02.gwjpwzjj7
摘要(484) HTML (178) PDF (1392KB)(52)
摘要:
Hepatology|仑伐替尼通过靶向成纤维细胞生长因子受体4增敏抗PD-1治疗肝细胞癌
2022, 38(2): 435-435. DOI: 10.3969/j.issn.1001-5256.2022.02.gwjpwzjj8
摘要(507) HTML (433) PDF (869KB)(44)
摘要:
Journal of Gastroenterology and Hepatology|高水平血清铁蛋白增加慢性肝病相关的死亡风险
2022, 38(2): 438-438. DOI: 10.3969/j.issn.1001-5256.2022.02.gwjpwzjj9
摘要(551) HTML (238) PDF (868KB)(55)
摘要:
Hepatology International|富马酸丙酚替诺福韦片和富马酸替诺福韦二吡呋酯能够安全有效地阻断高病毒载量孕妇HBV的母婴垂直传播
2022, 38(2): 470-470. DOI: 10.3969/j.issn.1001-5256.2022.02.gwjpwzjj10
摘要(917) HTML (562) PDF (867KB)(64)
摘要:
读者·作者·编者
《临床肝胆病杂志》关于文章中实验动物描述的要求
2022, 38(2): 333-333.
摘要(244) HTML (193) PDF (858KB)(42)
摘要:
《临床肝胆病杂志》关于开放研究者与贡献者身份识别码(ORCID)的要求
2022, 38(2): 391-391.
摘要(430) HTML (199) PDF (868KB)(35)
摘要:
志谢
本期审稿专家
2022, 38(2): 263-263. DOI: 10.3969/j.issn.1001-5256.2022.02.zhixie1
摘要(480) HTML (189) PDF (1382KB)(48)
摘要:
于乐成 马苏美 王少扬 王 宇 王 凯 王凯旋 王俊平 王悦华 王朝霞 石 军 石 亮田 雨 朱坚胜 庄 岩 刘召波 刘宇斌 刘 沛 刘松梅 刘凯歌 刘 斌 江宇泳 许红梅纪文斌 李 旭 李秀惠 李贵星 李俊峰 李 磊 杨广顺 杨长青 杨向红 肖明兵 吴金明张明鑫 张 勇 张桂信 张锦生 陆忠华 陈 平 陈 刚 陈 熙 范春蕾 尚 东 周开伦周显礼 赵东强 赵雪珂 赵 攀 钟 崇 闻 炜 姜天俊 宣世英 耿嘉蔚 夏光涛 徐洪雨殷 涛 郭 伟 梅 俏 董育玮 蒋明德 程勇前 鲁玉辉 廖慧钰 潘修成