中文English
ISSN 1001-5256 (Print)
ISSN 2097-3497 (Online)
CN 22-1108/R

留言板

尊敬的读者、作者、审稿人, 关于本刊的投稿、审稿、编辑和出版的任何问题, 您可以本页添加留言。我们将尽快给您答复。谢谢您的支持!

姓名
邮箱
手机号码
标题
留言内容
验证码
2022年 第11期
“慢性乙型肝炎特殊人群的早诊早治策略”重点号
本期执行主编:窦晓光
中国医科大学附属盛京医院

显示方式:
述评
关注HBV感染特殊人群:早诊、早治、早获益
李艳伟, 窦晓光
2022, 38(11): 2441-2443. DOI: 10.3969/j.issn.1001-5256.2022.11.001
摘要(1354) HTML (387) PDF (1926KB)(243)
摘要:
HBV感染是世界范围内的主要公共卫生问题。随着新生儿乙型肝炎疫苗的广泛预防接种以及越来越多的患者接受抗病毒治疗,我国儿童HBV感染方面取得了显著成就。但我国成年人HBsAg阳性率仍然很高,特殊人群也越来越多,应做到对特殊人群及时筛查和诊断,以尽早抗病毒治疗,阻滞或者延缓HBV感染后进展至肝硬化、肝衰竭和肝细胞癌。治疗时机及药物的选择除了关注HBV病毒学、肝功能,还要考虑合并慢性基础疾病、母婴传播、接受化学治疗及免疫抑制剂的患者HBV再激活等问题。从而实现HBV高危和特殊人群应筛尽筛、及时诊断和治疗,以使更多患者获益。
专家论坛
不同人群抗HBV治疗的时机和药物选择
张烨琼, 罗秋敏, 王璐, 彭亮, 高志良
2022, 38(11): 2444-2447. DOI: 10.3969/j.issn.1001-5256.2022.11.002
摘要(1607) HTML (352) PDF (1871KB)(262)
摘要:
HBV感染仍是威胁人类健康的重大疾病,抗HBV治疗是极其重要的减少乙型肝炎威胁的手段。近年来,关于抗HBV治疗的时机以及药物选择仍无统一的意见。本文就不同人群抗HBV治疗的时机和药物的选择进行了综述。
慢性HBV感染孕妇和儿童的抗病毒治疗药物选择及疗效评价
崔傲雪, 窦晓光, 丁洋
2022, 38(11): 2448-2451. DOI: 10.3969/j.issn.1001-5256.2022.11.003
摘要(1270) HTML (215) PDF (2029KB)(267)
摘要:
加强慢性HBV感染孕妇及其所分娩婴儿的规范化管理是切断HBV母婴传播、确保母婴安全和降低儿童慢性HBV感染的最主要措施。孕妇和儿童是特殊人群,慢性HBV感染孕妇和儿童的抗病毒治疗不论药物选择和疗效评价都与一般人群不同。本文将对慢性HBV感染孕妇和儿童的抗病毒治疗的药物选择及疗效评价进行归纳和总结,以期对慢性HBV感染孕妇和儿童更好地进行管理和治疗。
HBV相关肝细胞癌患者抗病毒药物的选择
冯明洋, 王晖
2022, 38(11): 2452-2456. DOI: 10.3969/j.issn.1001-5256.2022.11.004
摘要(1479) HTML (270) PDF (1882KB)(154)
摘要:
HBV感染是肝细胞癌(HCC)发生和发展的主要危险因素,通过诱导肝纤维化、遗传和表观遗传改变以及活性病毒编码蛋白的表达来促进HCC的进展。多项研究证实病毒状态影响HCC预后,有效的抗病毒治疗有助于预防或延迟HBV相关HCC复发,提高患者接受根治性或系统性治疗后的总生存期,改善综合治疗预后。因此,正确选择抗病毒药物对于HBV相关HCC患者的抗病毒治疗至关重要。本文就HBV相关HCC患者抗病毒药物的选择进行简要综述,以供临床参考。
基础慢性肝脏疾病对接受免疫检查点抑制剂治疗的肿瘤患者的疗效及安全性的影响
刘丹, 姚甜甜, 张宇涵, 王贵强, 王艳
2022, 38(11): 2457-2461. DOI: 10.3969/j.issn.1001-5256.2022.11.005
摘要(1327) HTML (270) PDF (1885KB)(114)
摘要:
近年来免疫检查点抑制剂(ICI)已经被批准用于多种恶性肿瘤的治疗,与此同时,接受ICI治疗且具有慢性肝脏疾病背景的肿瘤人群大幅增加。慢性肝脏疾病是否影响ICI的疗效和安全性逐渐成为热点问题。本文简要概述合并不同类型慢性肝脏疾病(慢性病毒性肝炎、非酒精性脂肪性肝病、自身免疫性肝病、肝硬化等)基础的肿瘤(原发性肝癌、非小细胞肺癌、黑色素瘤)患者应用ICI的有效性和安全性,并对慢性乙型肝炎患者ICI治疗后HBV再激活的相关文献进行综述,以期对存在慢性肝脏疾病基础的肿瘤患者ICI使用诊疗规范的制订和完善提供依据。
指南与规范
改良式经皮肝动脉化疗药盒植入技术中国专家共识(2022版)
中国抗癌协会肿瘤介入学专业委员会, 中国抗癌协会肿瘤介入学专业委员会化疗与免疫治疗分委会
2022, 38(11): 2462-2469.
摘要(1321) HTML (1507) PDF (3146KB)(239)
摘要:
近年来,肝动脉灌注化疗(HAIC)作为介入治疗技术之一,应用于治疗进展期肝胆恶性肿瘤的效果逐渐受到认可。但不同临床中心的HAIC操作技术差别较大,缺乏行业规范,且多数以一次性穿刺留管形式完成。为了满足HAIC需长时间持续灌注、多次反复给药的特点,经皮肝动脉化疗药盒系统比一次性穿刺留管更具优势。改良式经皮肝动脉化疗药盒系统植入术采用管头固定技术、肝内外血流再分布术,具有创伤小、导管移位率低、实现全肝灌注、患者舒适性高、并发症少等优点,已在国内外多个临床中心得以证实。为了更好地规范HAIC治疗技术,通过回顾文献并经临床实践和充分讨论,参与本共识编写专家达成改良式经皮肝动脉化疗药盒植入术标准化操作流程、技术要点、HAIC方案、术后并发症防治、药盒系统维护及相关护理常规等共识。
论著_病毒性肝炎
基于经典测量理论和项目反应理论对慢性病毒性肝炎患者生命质量量表的评价
刘叶, 鲁杰, 李顶春, 李武, 陈一晖
2022, 38(11): 2470-2477. DOI: 10.3969/j.issn.1001-5256.2022.11.007
摘要(1095) HTML (271) PDF (1895KB)(78)
摘要:
  目的  基于经典测量理论(CTT)与项目反应理论(IRT)对慢性肝炎生命质量量表QLICD-CH(V2.0)的各个条目进行深入分析并评价。  方法  以2019年3月—2020年1月在昆明医科大学第一附属医院感染科住院的226例慢性肝炎患者为研究对象,使用QLICD-CH(V2.0)量表对其进行生命质量测量,采用CTT的变异系数法、因子分析法、克朗巴赫α系数法以及相关系数法,对量表结果进行宏观的统计学分析,并用IRT微观分析各个条目的信息量、区分度系数和难度参数,评价其质量的优劣。  结果  CTT分析结果提示:46个条目的QLICD-CH(V2.0)量表中有36个条目满足4种统计学方法里的3种;IRT分析结果显示:有36个条目的平均信息量>0.108;区分度在-0.387~3.574之间,有40个条目的区分度>0.30;各条目的难度系数在-14.805~9.057之间,符合范围在-4~4且从b1到b4呈单调递增趋势的有31个条目。  结论  QLICD-CH(V2.0)量表大部分条目性能较好,但仍有部分条目需要进一步改进优化或删除。
年龄和D-二聚体联合终末期肝病模型对HBV相关慢加急性肝衰竭患者预后的预测价值
董少雨, 孙长宇, 乔芳芳, 刘笑, 张建营
2022, 38(11): 2478-2482. DOI: 10.3969/j.issn.1001-5256.2022.11.008
摘要(1076) HTML (272) PDF (2124KB)(109)
摘要:
  目的  探讨年龄和D-二聚体(D-D)联合终末期肝病模型(MELD)评分对HBV相关慢加急性肝衰竭(HBV-ACLF)患者预后的预测价值。  方法  选取2019年12月—2021年10月在郑州大学第一附属医院住院治疗的111例HBV-ACLF患者,根据确诊后90 d预后分为生存组(n=49)和死亡组(n=62)。收集患者的临床资料,包括年龄、性别、基础肝病、ALT、AST、TBil、Alb、D-D、PT、纤维蛋白原(FIB)、PTA、INR、SCr、血清钠(Na),并计算MELD评分。采用免疫比浊法测定血浆D-D水平。计量资料两组间比较采用t检验或Mann-Whitney U检验;计数资料两组间比较采用χ2检验。采用二元Logistic回归分析影响患者预后的独立危险因素,受试者工作特征曲线(ROC曲线)用于评估预测变量的准确性。ROC曲线下面积(AUC)的比较采用Delong法。  结果  两组间年龄、TBil、D-D、PT、PTA、INR、SCr、Na、MELD评分比较差异均有统计学意义(P值均<0.05)。进一步二元Logistic回归分析发现,年龄(OR=1.088,95%CI:1.001~1.183,P=0.047)、D-D(OR=1.521,95%CI:1.078~2.145,P=0.017)和MELD评分(OR=1.892,95%CI:1.408~2.543,P<0.001)是影响HBV-ACLF患者预后的独立危险因素。年龄、MELD评分、D-D对HBV-ACLF预后预测的AUC分别为0.664、0.869、0.887,D-D联合年龄、年龄联合MELD评分、D-D联合MELD评分及三者联合的AUC分别为0.895、0.906、0.965、0.970,除D-D联合MELD评分外,三者联合的AUC较其他指标明显升高,差异均有统计学意义(P值均<0.05);三者联合的敏感度和特异度较高,分别是0.935、0.918。  结论  年龄、D-D、MELD评分是影响HBV-ACLF预后的独立危险因素,其中D-D和MELD评分对预后具有良好的预测价值,三者联合预测价值更高。
论著_自身免疫性肝病
T、B淋巴细胞自噬在自身免疫性肝炎患者外周血中的表达及临床意义
伍慧丽, 时红波, 刘燕敏, 严艳, 王玲玲, 丁美, 马正来, 刘晖, 段钟平
2022, 38(11): 2483-2487. DOI: 10.3969/j.issn.1001-5256.2022.11.009
摘要(1175) HTML (207) PDF (1886KB)(83)
摘要:
  目的  探讨自身免疫性肝炎(AIH)患者外周血T、B淋巴细胞自噬表达及其临床意义。  方法  选取2019年10月—2020年10月在首都医科大学附属北京佑安医院门诊或住院治疗的62例AIH患者及8例健康对照者外周血进行T、B淋巴细胞亚群自噬相关检测,根据治疗情况、诊断类型、是否合并肝硬化及肝衰竭进行分组分析。符合正态分布的计量资料两组间比较采用t检验,非正态分布计量资料多组间比较采用Kruskal-Wallis H检验,两组间比较采用Mann-Whitney U检验;计数资料组间比较采用χ2检验或Fisher精确概率法。  结果  AIH组CD4+T、CD8+T、CD19+B及CD4+CD25+T淋巴细胞自噬LC3B平均荧光强度(MFI)均显著高于健康对照组(P值均<0.05),以CD19+B淋巴细胞自噬LC3B MFI最显著。CD19+B淋巴细胞自噬MFI在未治疗组和治疗部分缓解组中高于治疗完全缓解组(P值分别为0.037、0.040),在特发性AIH组(I-AIH)和药物诱导的AIH组(DI-AIH)高于重叠综合征组(PBC-AIH)(P值分别为0.037、0.031),在无肝硬化组和失代偿期肝硬化组高于代偿期肝硬化组(P值分别为0.009、0.003),在肝衰竭组中高于无肝衰竭组(P=0.042);CD4+CD25+T淋巴细胞自噬MFI在PBC-AIH组高于I-AIH组和DI-AIH组(P值分别为0.042、0.044),在代偿期肝硬化组低于无肝硬化组(P=0.037),无肝衰竭组中高于肝衰竭组(P=0.043)。  结论  AIH患者较健康人外周血T、B淋巴细胞亚群自噬表达升高,其自噬水平与治疗、诊断类型、疾病严重程度有关。
论著_肝纤维化及肝硬化
声脉冲辐射力成像技术测量的肝脏硬度对肝硬化门静脉高压的诊断价值
王曦旋, 丁量子, 程洋, 韩浩, 杨建, 肖江强, 王轶, 张明, 张峰, 诸葛宇征
2022, 38(11): 2488-2492. DOI: 10.3969/j.issn.1001-5256.2022.11.010
摘要(897) HTML (199) PDF (2125KB)(77)
摘要:
  目的  评估肝脏硬度(LS)无创预测失代偿期肝硬化患者肝静脉压力梯度(HVPG)的准确性,探讨LS对失代偿期肝硬化的诊断价值。  方法  回顾性分析2013年4月—2021年6月于南京鼓楼医院消化内科同时接受HVPG测定及声脉冲辐射力成像技术(ARFI)测定LS的88例病毒性肝炎肝硬化失代偿期或酒精性肝硬化失代偿期患者的临床资料,根据HVPG值将患者分为严重门静脉高压(SPH)组(HVPG≥20 mmHg,n=24)和非SPH组(HVPG<20 mmHg,n=64),比较两组间LS、脾脏硬度、门静脉流速及相关生化指标差异。计量资料两组间比较采用t检验或Mann-Whitney U秩和检验;计数资料两组间比较采用χ2检验。不同无创指标与HVPG的相关性采用Pearson相关分析。采用Logistic回归分析不同无创检测指标与SPH发生风险之间的关系。绘制不同无创指标预测HVPG≥20 mmHg发生的受试者工作特征曲线并计算曲线下面积(AUC)、敏感度、特异度、最大约登指数及对应的临界值,以评估各指标对SPH的预测价值。  结果  88例患者中病毒性肝炎相关肝硬化失代偿期76例,酒精性肝硬化失代偿期12例。SPH组与非SPH组患者的年龄、性别、白细胞计数、血红蛋白、血小板计数、凝血酶原时间、谷丙转氨酶、谷草转氨酶、白蛋白、血钠、肌酐、Child-Pugh肝功能分级、脾脏硬度等比较,差异均无统计学意义(P值均>0.05);两组间LS比较差异有统计学意义(t=-3.970,P<0.01)。相关分析结果显示HVPG与LS呈正相关(r=0.458,P<0.001)。Logistic回归分析结果显示,LS为SPH发生的危险因素(OR=3.941,95%CI:1.245~12.476,P=0.020)。受试者工作特征曲线结果显示,LS预测SPH发生的AUC为0.751,最佳临界值为2.295 m/s,敏感度为54.17%,特异度为90.63%。  结论  在失代偿期肝硬化患者中,ARFI测得的LS与HVPG相关,对肝硬化失代偿期HVPG≥20 mmHg的无创诊断具有一定价值。
肝硬化食管胃底静脉曲张破裂出血患者再出血预测模型的建立
张群, 时克, 王宪波
2022, 38(11): 2493-2498. DOI: 10.3969/j.issn.1001-5256.2022.11.011
摘要(1198) HTML (311) PDF (2385KB)(710)
摘要:
  目的  构建可以用来预测肝硬化食管胃底静脉曲张破裂出血患者1年内再出血风险的预测模型。  方法  选取2008年8月—2017年10月于首都医科大学附属北京地坛医院住院的肝硬化食管胃底静脉曲张破裂出血患者441例,并对其进行为期1年的随访观察。以再出血作为研究终点,根据1年内是否发生再出血事件将患者分为再出血组(249例)和未再出血组(192例)。计数资料采用Fisher精确检验或者χ2检验。计量资料符合正态分布两组间比较采用t检验,不符合正态分布的两组间比较采用Mann-Whitney U检验。采用Cox单因素和多因素回归分析影响食管胃底静脉曲张破裂出血患者1年内再出血的独立影响因素,并构建预测模型,利用ROC曲线下面积评估该模型的预测性能。  结果  有249例(56.5%)患者在1年内发生食管胃底静脉曲张破裂再出血事件,Cox多因素分析显示:INR(AHR=1.566,95%CI:1.023~2.398,P=0.039)、NLR(AHR=1.033,95%CI:1.009~1.058,P=0.006)是1年内再出血的独立危险因素;而CHB(AHR=0.769,95%CI:0.597~0.991,P=0.042)、Na(AHR=0.967,95%CI:0.936~0.999,P=0.044)、内镜(AHR=0.829,95%CI:0.743~0.926,P=0.001)及手术治疗(AHR=0.246,95%CI:0.120~0.504,P<0.001)是保护因素。利用上述6个独立影响因素,成功构建了一个人工神经网络模型(https://wangxianbo.math.ink/PoRiEV-zq/index.html),其预测1年内再出血的ROC曲线下面积为0.782(95%CI:0.740~0.825),明显优于Cox回归模型的0.672(95%CI:0.622~0.722,P<0.001)、Child-Pugh评分的0.557(95%CI:0.504~0.610,P<0.001)和MELD评分的0.562(95%CI:0.509~0.616,P<0.001)。  结论  人工神经网络模型具有良好的个体化预测性能,可以作为临床食管胃底静脉曲张破裂再出血的风险评估工具。
第三代头孢菌素治疗社区获得性自发性细菌性腹膜炎的疗效预测模型
朱龙川, 吴蔚, 邹波, 甘达凯, 林学, 周炜, 熊墨龙
2022, 38(11): 2499-2504. DOI: 10.3969/j.issn.1001-5256.2022.11.012
摘要(771) HTML (212) PDF (2187KB)(72)
摘要:
  目的  探讨第三代头孢菌素(3rd GC)治疗社区获得性自发性细菌性腹膜炎(CASBP)疗效的预测因素,构建并验证3rd GC治疗CASBP的疗效预测模型。  方法  回顾性收集南昌市第九医院的肝硬化伴CASBP患者,均单用3rd GC进行初始治疗,依据疗效分为无效组与有效组。2013年—2018年住院的纳入建模库(无效组55例和有效组110例),2019年—2020年住院的纳入验证库(无效组17例和有效组43例)。在建模库中比较两组的一般资料、基础病、既往史、临床表现和实验室检查等指标,采用单因素分析(符合正态分布的计量资料组间比较采用t检验;不符合正态分布的计量资料组间比较采用Mann-Whitney U检验, 计数资料组间比较采用χ2检验或Fisher精确概率法)和二元Logistic回归分析识别疗效预测因素,根据Logistic回归方程构建疗效预测模型。采用受试者工作特征(ROC)曲线分别在建模库和验证库中对模型行内部验证和外部验证。  结果  全组以男性为主(占80.0%),平均(51.6±12.0)岁,肝硬化病因以乙型肝炎为主(66.7%),3rd GC总有效率为68.0%。建模库中,无效组的SBP首次发病占比、腹水多形核细胞(PMN)计数及腹水白细胞计数明显低于有效组(P值均<0.05),而无效组的广谱抗生素暴露占比与血小板均显著高于有效组(P值均<0.05);Logistic回归分析显示,SBP首次发病[比值比(OR)=0.158,95%置信区间(CI):0.064~0.392,P<0.001]、腹水PMN计数(OR=0.728,95%CI:0.530~0.998,P=0.046)、广谱抗生素暴露(OR=9.152,95%CI:1.513~55.351,P=0.016)及血小板(OR=1.012,95%CI:1.006~1.019,P<0.001)是3rd GC治疗无效的独立预测因素;疗效预测模型的ROC曲线下面积为0.840,依据约登指数最大原则,预测评分≥0.207是预测治疗无效的最佳界值,对应的约登指数为0.536,敏感度89.1%,特异度63.6%,阳性预测值55.1%,阴性预测值92.1%。验证库中,该模型的ROC曲线下面积为0.837。  结论  SBP首次发病和更高的腹水PMN计数是3rd GC治疗CASBP无效的保护因素,广谱抗生素暴露和更高的血小板是其危险因素,以此建立的3rd GC治疗CASBP的疗效预测模型具有良好的预测效能,具备临床应用潜能。
益生菌对轻微型肝性脑病患者显性肝性脑病发生率影响的Meta分析
姚俞昊, 张嘉鑫, 夏潇, 朱顺, 李小科, 叶永安
2022, 38(11): 2505-2509. DOI: 10.3969/j.issn.1001-5256.2022.11.013
摘要(924) HTML (329) PDF (3743KB)(104)
摘要:
  目的  评价使用益生菌干预对轻微型肝性脑病患者显性肝性脑病发生率的影响。  方法  本研究根据PRISMA指南完成,PROSPERO注册号为CRD42022303995。检索PubMed、Web of Science、Cochrane Library、知网、万方数据库,收集建库至2021年11月有关益生菌干预治疗轻微型肝性脑病的研究。用RevMan 5.4进行Meta分析,不能合并的数据采用描述性分析。选择危险比(RR)和95%CI作为汇总指标。  结果  共纳入6篇文献,均为随机对照研究,共404例轻微型肝性脑病患者。结果表明益生菌干预可使轻微型肝性脑病患者显性肝性脑病的发生率降低54%(RR=0.46,95%CI:0.26~0.81,P=0.007),并且能增加轻微型肝性脑病患者疾病的逆转率(RR=4.94,95%CI:2.82~8.66,P<0.000 01)。  结论  益生菌能够降低轻微型肝性脑病患者显性肝性脑病的发生率,增加轻微型肝性脑病的逆转率,对轻微型肝性脑病患者预防显性肝性脑病的发生具有积极意义,为益生菌治疗轻微型肝性脑病提供了新的证据。
论著_肝脏肿瘤
原发性肝癌经肝动脉化疗栓塞术后短期病死率及死因分析
刘钊, 李智, 杨凯仑, 李思茵, 朱晓黎, 倪才方
2022, 38(11): 2510-2513. DOI: 10.3969/j.issn.1001-5256.2022.11.014
摘要(1586) HTML (256) PDF (2070KB)(96)
摘要:
  目的  研究原发性肝癌行肝动脉化疗栓塞术(TACE)的短期病死率,分析死亡病例的特征,探讨可能的死亡原因。  方法  分析2015年1月—2020年12月苏州大学附属第一医院介入科完成的所有TACE病例,排除转移瘤、联合治疗等。收集患者的术前及术后30 d的临床及影像学资料,分析术后短期死亡患者的临床特征。术后30 d内的死亡定义为短期死亡。  结果  共纳入741例原发性肝癌患者,行1466例次TACE,术后30 d内死亡10例(1.35%),例次死亡率为0.68%。d-TACE的例次病死率为1.62%(3/185),c-TACE的例次病死率为0.55%(7/1281)。中国肝癌分期Ⅰ、Ⅱ、Ⅲ期患者的例次病死率分别为0.45%(2/448)、0.33%(2/599)、1.43%(6/419)。死亡病例最大病灶的平均直径为(10.1±0.8)cm。可能的死亡原因为肝功能衰竭4例、肿瘤破裂出血3例、骨髓抑制1例、肺栓塞1例、心衰1例。  结论  原发性肝癌TACE术后病死率低,术后短期死亡偶有发生,死亡病例的主要特征是肿瘤体积大,常见死因推测为肝功能衰竭和肿瘤破裂出血。
KRAS基因突变对经肝动脉化疗栓塞术治疗的中晚期原发性肝癌患者预后的预测价值
刘旭初, 覃世运, 陈丽君, 陈娟, 尤晓光
2022, 38(11): 2514-2519. DOI: 10.3969/j.issn.1001-5256.2022.11.015
摘要(1220) HTML (262) PDF (2594KB)(70)
摘要:
  目的  探讨KRAS基因状态对经肝动脉化疗栓塞(TACE)治疗中晚期肝癌患者预后的预测价值。  方法  选择2017年4月—2020年5月在海南省第三人民医院接受TACE治疗的中晚期肝癌患者97例为研究对象。检测患者KRAS基因突变状态,并分析KRAS基因突变状态与患者TACE治疗预后的关系。计量资料两组间比较采用t检验,计数资料两组间比较采用χ2检验,生存分析绘制Kaplan-Meier生存曲线,生存曲线比较采用Log-rank检验,对可能影响患者预后的各因素进行Cox回归分析。  结果  97例患者中共检出KRAS基因突变患者34例(35.05%),其中检出12号密码子突变患者21例(61.76%),13号密码子突变患者13例(38.24%)。KRAS基因突变与患者肝硬化、肝内转移、肿瘤数目均显著相关(χ2值分别为0.035、3.965、6.593,P值均<0.05)。Kaplan-Meier生存分析结果显示,KRAS基因野生型患者无进展生存期及总体生存时间均显著优于KRAS突变型(χ2值分别为4.465、4.280,P值均<0.05)。Cox分析结果显示,KRAS基因状态、肝内转移、肿瘤数目、BCLC分期进入回归模型为影响患者总体生存预后的重要因素(P值均<0.05)。  结论  KRAS基因突变在肝癌患者中较为常见,KRAS基因突变与患者TACE术后不良预后密切相关,可成为患者临床预后监测的潜在指标。
基于超声造影LI-RADS特征的肝细胞癌微血管侵犯列线图模型的构建及验证
奚静, 顾美琴, 包作伟
2022, 38(11): 2520-2525. DOI: 10.3969/j.issn.1001-5256.2022.11.016
摘要(882) HTML (345) PDF (2938KB)(63)
摘要:
  目的  基于肝细胞癌(HCC)患者的超声造影(CEUS)肝脏成像报告和数据系统(LI-RADS)特征建立预测微血管侵犯(MVI)的列线图模型并进行验证。  方法  选取2017年1月—2020年7月在江苏大学附属武进医院确诊的HCC患者共262例,按照1∶ 1比例随机分为建模组和验证组各131例,以术后镜下病理结果确诊MVI,其中建模组MVI 70例和验证组MVI 56例。采用超声造影评估两组的LI-RADS特征。两组间计量资料比较采用独立样本t检验;两组间计数资料比较采用χ2检验。采用单因素和多因素Logistic回归分析筛选建模组MVI的危险因素;绘制受试者工作特征曲线(ROC曲线),计算模型预测MVI的曲线下面积(AUC),评估预测准确度;应用决策曲线分析模型的一致性,比较模型预测MVI的校正曲线与标准曲线的离散度。  结果  建模组与验证组患者的临床资料和CEUS检查结果比较,差异均无统计学意义(P值均>0.05)。单因素分析显示,与MVI阴性患者相比,MVI阳性患者血清AFP水平显升高,肿瘤直径增大,LI-RADS显示LR-5“后出”和LR-M“先出”增多,LI-RADS分级较高,差异均有统计学意义(P值均<0.05)。多因素分析显示,AFP 20~400 ng/mL(OR=2.65,P<0.001)、AFP≥400 ng/mL(OR=3.98,P<0.001)、肿瘤直径≥30 mm(OR=2.12,P<0.001)和CEUS显示LR-M(OR=3.24,P<0.001) 是MVI的独立危险因素。ROC曲线显示,列线图预测建模组和验证组MVI的AUC分别为0.867和0.821。列线图模型的一致性指数C-Index为0.765(95%CI:0.701~0.834)。在建模组和验证组,列线图模型的预测校准曲线与标准曲线均接近。  结论  利用CEUS得出LI-RADS,并结合AFP和肿瘤直径建立的列线图模型有较好的应用价值,有助于指导临床术前筛选MVI高危患者,制订恰当的手术方案。
论著_其他肝病
小剂量血浆置换联合双重血浆分子吸附系统/血液灌流治疗慢加急性肝衰竭的效果分析
鲁杰, 李顶春, 刘叶, 袁琳娜, 段志文, 李武
2022, 38(11): 2526-2531. DOI: 10.3969/j.issn.1001-5256.2022.11.017
摘要(1079) HTML (367) PDF (1882KB)(98)
摘要:
  目的  研究小剂量血浆置换(PE)的组合人工肝治疗慢加急性肝衰竭(ACLF)的临床疗效以及对分层后病死率的影响。  方法  纳入2018年1月—2020年12月于昆明医科大学第一附属医院感染与肝病科收治的ACLF患者共272例,分为小剂量PE联合双重血浆分子吸附系统(DPMAS)/血液灌流(HP)组(n=190)和单纯内科治疗组(n=82)。收集两组患者治疗前、后的实验室指标,比较临床疗效;将两组患者按《肝衰竭诊治指南(2018年版)》分层(前期、早中期、晚期或A、B、C型),随访所有患者出院后12周(短期)、48周(长期)的一般情况及死亡。正态分布的计量资料两组间比较采用独立样本t检验,治疗前后比较采用配对样本t检验;不符合正态分布计量资料两组间比较用Mann-Whitney U检验,治疗前后比较采用Wilcoxon检验。计数资料组间比较采用χ2检验。  结果  小剂量PE联合DPMAS/HP与单纯内科治疗均能降低ACLF患者的ALT、AST、TBil、血氨水平,升高Alb水平,两组治疗前后差异均有统计学意义(P值均<0.05),但是小剂量PE联合DPMAS/HP治疗比单纯内科治疗组能更好地清除ALT、TBil和血氨,改善Alb,各指标治疗前后差值比较均有统计学意义(P值均<0.05)。小剂量PE联合DPMAS/HP治疗后能显著降低胆汁酸、INR、中性粒细胞/淋巴细胞比值、MELD评分,升高血小板与白细胞比率,治疗前后差异均有统计学意义(P值均<0.05),而单纯内科治疗不能改善以上指标,治疗前后差异无统计学意义(P值均>0.05)。与单纯内科治疗组相比,小剂量PE联合DPMAS/HP治疗能降低ACLF患者短期病死率,尤其是能显著降低前期、早中期、A型患者短期病死率,两组间差异均有统计学意义(P值均<0.05)。在小剂量PE联合DPMAS/HP治疗组中,前期患者短期/长期病死率均显著低于晚期,A型患者短期/长期病死率均显著低于C型,差异均有统计学意义(P值均<0.05)。  结论  小剂量PE联合DPMAS/HP治疗具有较好的临床疗效,能有效降低ACLF的短期病死率,尤其能显著降低前期、早中期和A型患者的短期病死率。
慢加急性肝衰竭急性静脉曲张出血的危险因素及预后分析
刘婉姝, 申力军, 翟庆慧, 辛绍杰, 游绍莉
2022, 38(11): 2532-2536. DOI: 10.3969/j.issn.1001-5256.2022.11.018
摘要(952) HTML (198) PDF (2154KB)(66)
摘要:
  目的  探讨慢加急性肝衰竭(ACLF)急性静脉曲张出血(AVB)的危险因素及对预后的影响。  方法  对解放军总医院第五医学中心2009年—2015年收治ACLF患者1409例随访6个月,根据是否出现AVB分为AVB组(n=167)和非AVB组(n=1242)。计量资料符合正态分布两组间比较使用Student t检验;不符合正态分布资料两组间比较采用Mann-Whitney U检验。Kaplan-Meier法绘制生存曲线,对随访过程中组间病死率及进展进行Log-rank检验。采用二元Logistic回归分析AVB发生的危险因素。  结果  1409例患者发生AVB 167例,占11.85%。AVB及非AVB患者30 d存活率分别为43.42%、67.79%(χ2=33.558,P<0.001);两组患者180 d存活率分别为18.91%、53.97%(χ2=76.881,P<0.001)。Log-rank检验显示AVB与非AVB患者30 d生存率、180 d生存率差异均有统计学意义(χ2值分别为40.950、89.320,P值均<0.05)。Logistic回归分析AVB发生的危险因素,胸腔积液(OR=1.522,95%CI: 1.071 ~2.162,P=0.019)、急性肾损伤(OR=2.201,95%CI: 1.415~3.426,P<0.001)、ACLF分型(OR=2.491,95%CI: 1.489~4.168,P=0.001)、ACLF分期(OR=2.403,95%CI: 1.687~3.421,P<0.001)及尿素(OR=2.567,95%CI:1.570~4.196,P<0.001)与ACLF患者AVB的发生独立相关。  结论  AVB是影响ACLF近期生存的重要因素,胸腔积液、急性肾损伤、ACLF分型BC型、ACLF晚期以及尿素是AVB发生的独立危险因素。
论著_胆道疾病
吲哚菁绿荧光显影在困难胆囊腹腔镜胆囊切除术中的应用价值
冯其柱, 王思雨, 张超
2022, 38(11): 2537-2541. DOI: 10.3969/j.issn.1001-5256.2022.11.019
摘要(1425) HTML (256) PDF (2744KB)(93)
摘要:
  目的  探讨吲哚菁绿(ICG)荧光显影在困难胆囊腹腔镜胆囊切除术(LC)中的应用价值。  方法  回顾性分析安徽医科大学第一附属医院2021年10月—12月行LC的患者临床资料,根据术中是否使用ICG荧光显影和是否为困难胆囊分为4组:A组为使用ICG荧光显影普通胆囊,B组为使用ICG荧光显影困难胆囊,C组为未使用ICG荧光显影普通胆囊,D组为未使用ICG荧光显影困难胆囊。比较各组手术时间、术中出血、住院时间、住院费用和术后并发症间的差异。正态分布的计量资料2组间比较采用t检验。计数资料2组间比较用χ2检验或Fisher确切概率法。  结果  A组与C组相比手术时间、术中出血、住院时间、住院费用和术中并发症,差异均无统计学意义(P值均>0.05)。B组手术时间和术中出血分别为(75.41±12.96)min和(18.27±6.97)mL,D组分别为(106.78±19.21)min和(23.99±8.43)mL,两组相比差异均有统计学意义(P值均<0.05);B组住院时间、住院费用和术后并发症与D组相比,差异均无统计学意义(P值均>0.05)。  结论  普通胆囊患者LC术中使用ICG荧光显影优势不明显;但在困难胆囊中,ICG荧光显影有利于胆道显露,可以缩短手术时间,减少术中出血。ZHANG Chao
超声引导下胆道系统引流管更换技术的应用分析
张安红, 张瑞昕, 马杰, 邱博, 伊鑫, 鲁志华, 郑立杰, 董汉光, 韩田, 张丽, 姜远辉, 徐钧
2022, 38(11): 2542-2545. DOI: 10.3969/j.issn.1001-5256.2022.11.020
摘要(1346) HTML (380) PDF (1987KB)(54)
摘要:
  目的  总结超声引导下胆道系统引流管更换的初步应用结果,提出相应的技术要点,探讨操作策略及临床应用价值。  方法  采用回顾性分析方法收集2014年8月—2020年8月山东大学齐鲁医院收治的60例通过超声引导下进行胆道系统引流管更换的患者的临床资料,对操作过程以及术后并发症进行分析,对操作技术和临床应用进行总结。  结果  60例患者中,沿原窦道成功完成引流管更换58例,成功率96.67%,其中扩张窦道置入粗级别引流管47例,置入原型号引流管11例。平均操作时间为15.8(12.0~19.0)min,需用局部麻醉剂。28例为PTCD引流,23例为胆囊引流,9例为T管引流,均引流胆汁。术后观察引流情况,均较前好转,有效率100%,术后回访未见明显异常。  结论  超声引导下引流管更换简便、安全、可行,为其在临床中进一步推广提供了数据支持。
曲美他嗪对胆管缺血再灌注损伤大鼠模型的影响及其机制
张锦锐, 吴昊, 白易, 张雅敏
2022, 38(11): 2546-2550. DOI: 10.3969/j.issn.1001-5256.2022.11.021
摘要(1036) HTML (288) PDF (3322KB)(66)
摘要:
  目的  探究曲美他嗪对大鼠缺血性胆管损伤的作用及其相关机制。  方法  雄性SD大鼠40只,随机分为假手术组(Sham组,n=10)、胆管缺血再灌注损伤组(BIRI组,n=10)、曲美他嗪预处理6 h组(TMZ-6h组,n=10)以及曲美他嗪预处理3 d组(TMZ-3d组,n=10)。缺血时间30 min,再灌注24 h后取材;HE染色病理切片观察各组胆管损伤情况,检测血清ALT、ALP、DBil水平,胆管组织内超氧化物歧化酶(SOD)酶活力和丙二醛(MDA)水平,Western Blot检测氧化应激和凋亡相关信号分子,如核因子红系2相关因子2(Nrf2)、血红素加氧酶-1(HO-1)、抗凋亡蛋白B细胞淋巴瘤-2(Bcl-2)和半胱天冬酶-3(Caspase-3)。计量资料多组间比较采用单因素方差分析,进一步两两比较采用Sidak t检验。  结果  HE染色示BIRI组大鼠胆管上皮细胞部分连续性中断、坏死脱落,TMZ-6 h组胆管组织无明显变化,TMZ-3 d组胆管上皮细胞边缘较清晰、少量坏死脱落细胞。与Sham组相比,BIRI组ALT、ALP、DBil、MDA水平均显著升高(P值均<0.05),TMZ-3 d组ALT、ALP、DBil、MDA水平与BIRI组相比均显著降低(P值均<0.05),TMZ-6 h组与BIRI组相比无明显变化(P值均>0.05)。与Sham组相比,BIRI组SOD酶活力显著下降(P<0.05),TMZ-3 d组与BIRI组相比显著增高(P<0.05),TMZ-6 h组与BIRI组相比无明显变化(P>0.05)。与Sham组相比,BIRI组Nrf2、HO-1、Caspase-3表达水平均显著升高(P值均<0.05),Bcl-2表达水平显著降低(P<0.05);TMZ-3 d组Nrf2、HO-1、Bcl-2表达水平与BIRI组相比显著增加(P值均<0.05),Caspase-3表达水平显著降低(P<0.05);TMZ-6 h组Nrf2、HO-1、Bcl-2、Caspase-3与BIRI组相比无明显变化(P值均>0.05)。  结论  曲美他嗪可降低大鼠胆管缺血再灌注损伤,其机制可能与抑制胆管细胞内氧化应激水平降低细胞凋亡有关。
论著_胰腺疾病
不同评分系统预测高脂血症性急性胰腺炎严重程度及预后的价值分析
金秋, 杨婧, 马红琳, 李苹菊, 胡绍山, 刘清清
2022, 38(11): 2551-2557. DOI: 10.3969/j.issn.1001-5256.2022.11.022
摘要(1193) HTML (250) PDF (3145KB)(96)
摘要:
  目的  通过对比APACHEⅡ、BISAP、MCTSI、MEWS、POP、SPS、PANC3评分,筛选出预测高脂血症性急性胰腺炎(HLAP)疾病严重程度及预后的最佳评分系统。  方法  回顾性收集昆明医科大学第二附属医院2017年10月—2022年1月住院治疗的123例HLAP患者资料,将患者分为轻症急性胰腺炎(MAP)组(n=24)、中度重症急性胰腺炎(MSAP)组(n=56)和重症急性胰腺炎(SAP)组(n=43),比较3组患者的基本资料和评分系统差异。非正态分布的计量资料多组间比较采用Kruskal-Wallis H检验;计数资料组间比较采用χ2检验。使用MedCalc软件绘制受试者工作特征(ROC)曲线,ROC曲线下面积(AUC)分析比较各评分系统对HLAP患者疾病严重程度、局部及全身并发症的预测价值。  结果  3组患者在糖尿病(χ2=6.880,P<0.05)、住院天数(H=26.494,P<0.001)、局部并发症、急性肾损伤(AKI)、急性呼吸窘迫综合征(ARDS)和多器官功能障碍综合征(MODS)之间存在明显差异(χ2值分别为52.211、38.247、79.201、45.032,P值均<0.001)。评分系统比较,3组患者的APACHEⅡ、BISAP、MCTSI、MEWS、POP、SPS、PANC3评分均有统计学差异(H值分别为47.525、42.662、53.545、31.664、49.233、48.543、9.443,P值均<0.05)。预测SAP发生,APACHEⅡ评分的预测价值高于MEWS评分(Z=2.090,P<0.05),余评分预测价值相同,其中POP评分的AUC最高为0.883。MCTSI评分对局部并发症的预测价值最高(AUC=0.886),当cut-off值为5分时,灵敏度为84.7%、特异度为74.5%。预测AKI发生,APACHEⅡ、POP评分AUC分别为0.911(95%CI:0.835~0.986,P<0.001)、0.920(95%CI:0.866~0.974,P<0.001),预测价值APACHEⅡ评分>MCTSI、MEWS评分,POP评分>MCTSI、MEWS、BISAP评分,SPS评分>MCTSI评分;预测ARDS发生,APACHEⅡ评分的AUC为0.914(95%CI: 0.854~0.973,P<0.001),预测价值大于BISAP、MEWS评分(Z值分别为2.152、3.015, P值均<0.05);预测MODS发生,APACHEⅡ、POP评分的AUC分别为0.969(95%CI:0.941~0.996,P<0.001)、0.932(95%CI:0.880~0.984,P<0.001),预测价值APACHEⅡ评分>SPS、BISAP、MEWS、MCTSI评分。  结论  POP评分预测SAP价值最高,但与除MEWS评分以外的各评分系统预测能力相当;MCTSI评分预测局部并发症能力良好;预测全身并发症,APACHEⅡ、POP评分是值得关注的,两者预测AKI、MODS具有高度准确性,APACHEⅡ评分预测ARDS具有高度准确性。
胰管结石治疗方案的选择分析与比较
董金斌, 方卫兵, 石益海
2022, 38(11): 2558-2564. DOI: 10.3969/j.issn.1001-5256.2022.11.023
摘要(887) HTML (968) PDF (2050KB)(104)
摘要:
  目的  收集并对比分析内镜逆行胰胆管造影(ERCP)、腹腔镜术和开腹手术三种方案治疗胰管结石(PDS)患者的临床资料及治疗效果,总结PDS治疗方案选择的经验,进一步研究探讨可行的使患者获益最大化、最优化的治疗方案。  方法  回顾性分析2014年6月—2018年12月海军军医大学附属公利医院治疗的131例PDS患者的临床资料。根据手术情况分为3组:ERCP组69例,腔镜组32例,开腹组30例。监测3组患者手术前后相关指标的变化;进一步对比分析腔镜组和开腹组的手术疗效。正态分布的计量资料两组间比较采用独立样本t检验;多组间比较采用单因素方差分析,进一步两两比较采用LSD-t检验或SNK-q检验。偏态分布的计量资料两组间比较采用Mann-Whitney U检验,多组间比较采用Kruskal-Wallis H检验。手术前后相关指标差异比较采用重复测量资料的方差分析和Friedman检验。计数资料组间比较采用χ2检验。  结果  131例PDS患者中Ⅰ型40例、Ⅱ型76例、Ⅲ型15例。腔镜组与开腹组主要手术方式的病例数比较差异无统计学意义(χ2=1.93,P>0.05)。腔镜组和开腹组血WBC、CRP、PCT、HOMA-IR在手术前后的动态变化存在明显差异(F=24.68、χ2=227.66、F=45.37、F=106.71,P值均<0.05)。腔镜组手术时长、术中出血量、术后首次排气时间、术后止痛药物应用频次、腹腔引流管拔除时间、术后近期并发症、术后平均住院时长等观察指标均较开腹组明显减少/缩短(t=-4.80、t=-9.43、Z=-6.78、t=-11.59、Z=-6.77、χ2=9.24、t=-3.60,P值均<0.05)。ERCP组、腔镜组、开腹组术后近期并发症发生率分别为24.64%、28.13%、66.67%,差异有统计学意义(χ2=17.12,P<0.05);ERCP组及腔镜组术后近期并发症发生率均显著低于开腹组(χ2值分别为15.78、9.24,P值分别为<0.05、0.02)。ERCP组、腔镜组、开腹组治疗有效率分别为91.30%、93.75%、73.33%,3组间有效率差异有统计学意义(χ2=7.70,P=0.02),ERCP组及腔镜组有效率均好于开腹组(χ2值分别为5.56、4.77,P值分别为0.02、0.03)。  结论  ERCP为临床微创治疗部分Ⅰ、Ⅱ型PDS的首选治疗方法,安全有效、严重并发症少。外科手术是治疗复杂型PDS的重要手段,但技术复杂、操作难度大。腹腔镜术较开腹术创伤小、严重并发症少,腹痛缓解率高,可以显著减少手术时长、降低术中出血量及缩短术后平均住院时长。针对复杂型PDS宜优先选择腹腔镜术治疗。
病例报告
自身免疫性肝炎不典型发作1例报告
周梦婷, 韩红梅
2022, 38(11): 2565-2567. DOI: 10.3969/j.issn.1001-5256.2022.11.024
摘要(1113) HTML (309) PDF (2703KB)(100)
摘要:
进行性家族性肝内胆汁淤积3型1例报告
张恬莹, 周超, 刘卫辉, 李贞茂, 李良平, 雷蕾
2022, 38(11): 2568-2570. DOI: 10.3969/j.issn.1001-5256.2022.11.025
摘要(1170) HTML (571) PDF (2717KB)(77)
摘要:
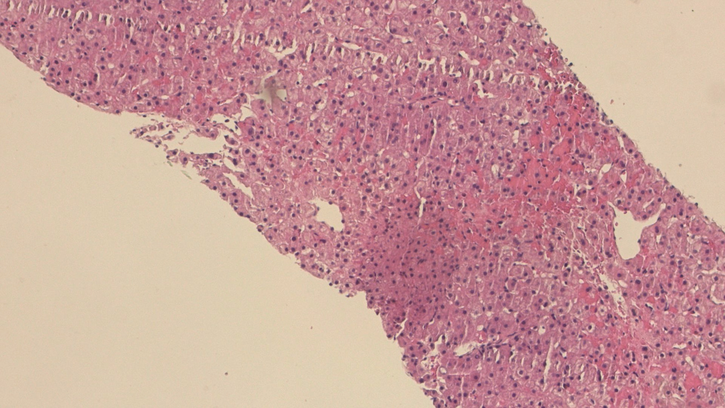
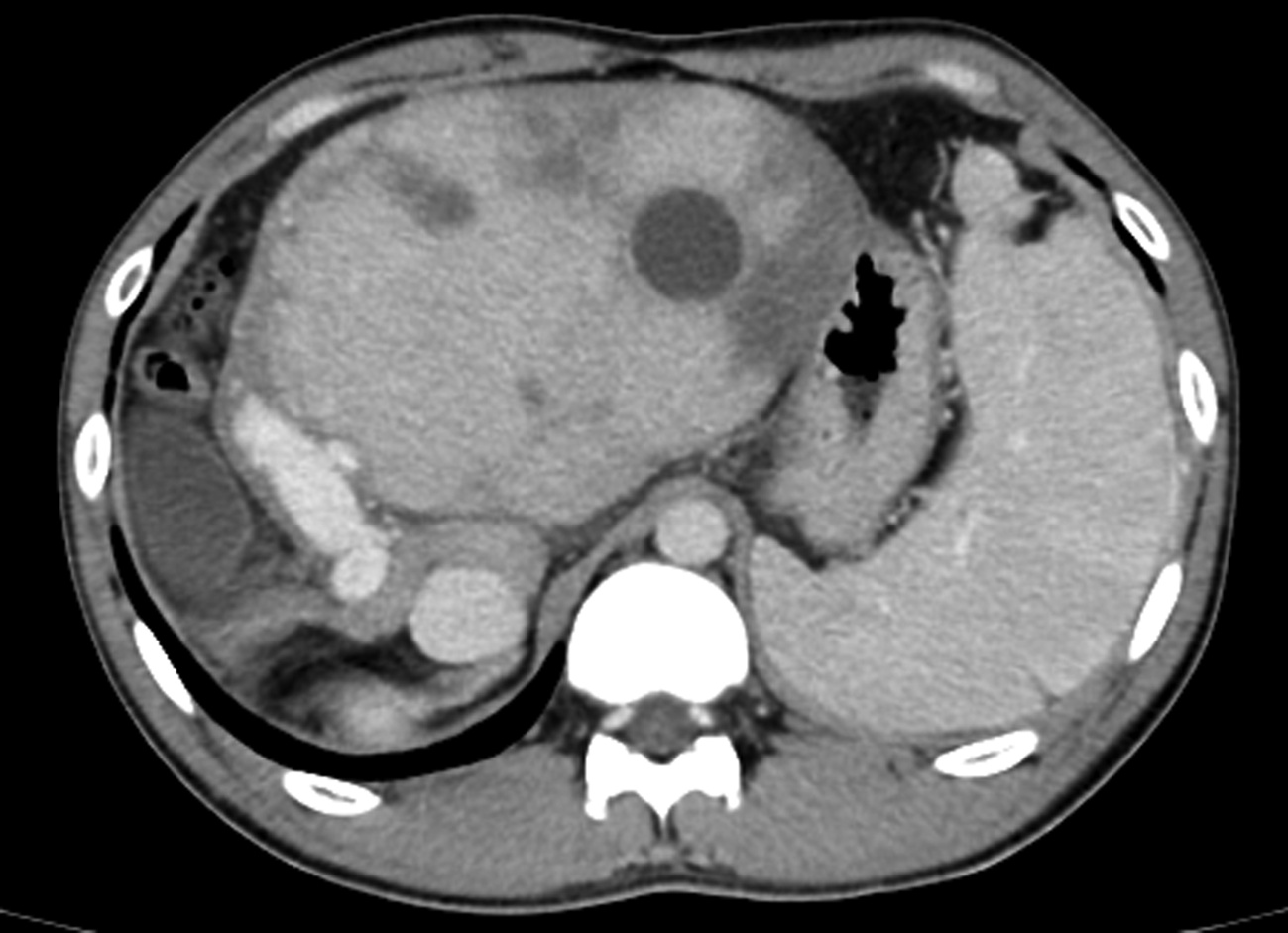
HJV基因突变致多器官损伤的成人遗传性血色病1例报告
吴树铎, 詹沂博, 李新华, 许长磊, 曹敏玲, 池晓玲
2022, 38(11): 2571-2574. DOI: 10.3969/j.issn.1001-5256.2022.11.026
摘要(967) HTML (354) PDF (3477KB)(65)
摘要:
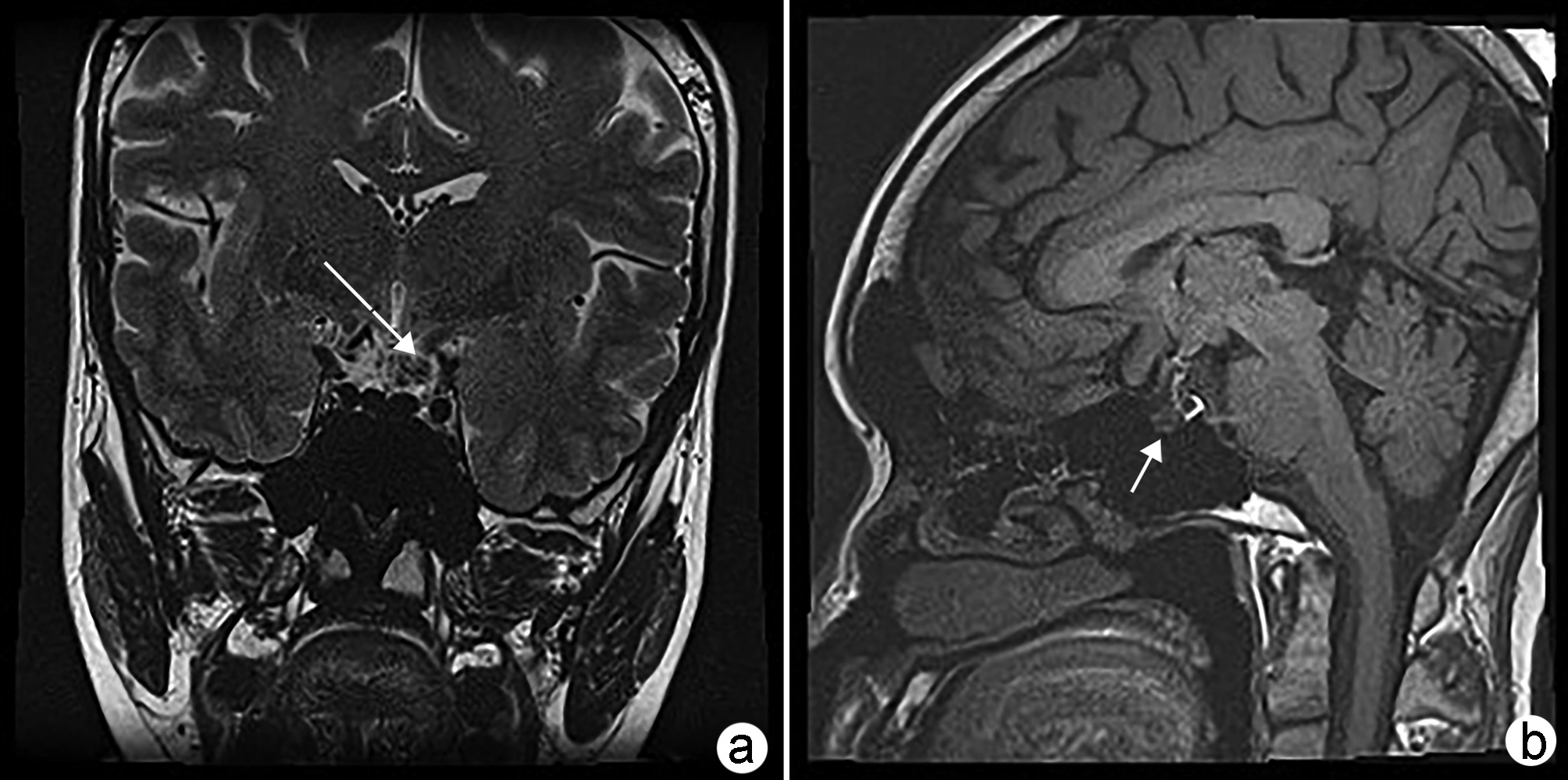
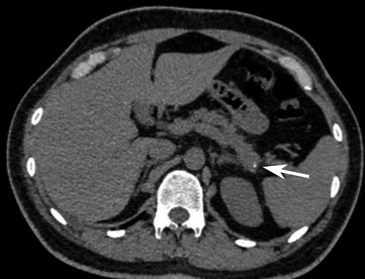
表现为进展性多发血管损伤的特发性嗜酸粒细胞增多综合征1例报告
熊清芳, 任浩, 周慧, 冯晓宁, 刘杜先, 钟艳丹, 杨永峰
2022, 38(11): 2575-2577. DOI: 10.3969/j.issn.1001-5256.2022.11.027
摘要(808) HTML (253) PDF (2289KB)(57)
摘要:
不完全性胰腺分裂致慢性胰腺炎1例报告
董美丽, 张瑞华, 李腾飞, 王阳, 温晓玉
2022, 38(11): 2578-2580. DOI: 10.3969/j.issn.1001-5256.2022.11.028
摘要(923) HTML (599) PDF (2085KB)(70)
摘要:
综述
慢性乙型肝炎患者HBeAg血清学转换影响因素的研究进展
顾子杨, 王安辉, 何文昌, 李佳玉, 黄长形
2022, 38(11): 2581-2585. DOI: 10.3969/j.issn.1001-5256.2022.11.029
摘要(2298) HTML (378) PDF (1886KB)(203)
摘要:
HBeAg血清学转换是指既往HBeAg阳性的慢性乙型肝炎(CHB)患者HBeAg消失,抗-HBe出现。HBeAg血清学转换标志着病毒复制降低、免疫耐受减弱和肝脏炎症减轻,是评估病情和评价CHB抗病毒治疗效果的重要监测指标,预示着治疗满意的终点。探索影响HBeAg血清学转换的不同因素,对CHB患者治疗方案的选择以及预后评估意义重大。本综述主要就HBV病毒学因素、宿主遗传因素、药物因素、免疫学因素等方面与CHB患者发生HBeAg血清学转换的关系展开阐述。
非酒精性脂肪性肝病与慢性肾病关系的研究进展
杨梦茹, 韩睿
2022, 38(11): 2586-2591. DOI: 10.3969/j.issn.1001-5256.2022.11.030
摘要(1405) HTML (674) PDF (2061KB)(104)
摘要:
越来越多的研究表明非酒精性脂肪性肝病(NAFLD)与慢性肾病(CKD)紧密相关。虽然其中的因果关联还未能阐明,但代谢失调、饮食-肠道菌群轴失调、氧化应激、血小板激活、遗传学与表观遗传学调控等机制在疾病交互网络中起到了重要作用。本文在综述NAFLD与CKD之间关联证据、NAFLD以及与NAFLD密切相关的因素可能增加CKD发生风险的潜在机制基础上,一并提出了患者管理建议及治疗策略。
非酒精性脂肪性肝病相关认知功能损伤的危险因素
周铖, 贾冉, 卫靖靖, 赵晨露, 尚东方, 赵文霞
2022, 38(11): 2592-2595. DOI: 10.3969/j.issn.1001-5256.2022.11.031
摘要(861) HTML (303) PDF (1863KB)(76)
摘要:
非酒精性脂肪性肝病(NAFLD)现已成为全球最常见的慢性肝病之一。近年研究发现,NAFLD疾病进展过程中可出现不同程度的中枢神经系统功能障碍,包括认知功能损伤、情绪失衡等。本文归纳了不同阶段下NAFLD相关认知功能损伤的主要危险因素,为该病的早期预防与临床治疗提供一定依据和思路。
抗病毒治疗对肝纤维化逆转的影响
罗昕, 曲颖, 蔡晓波, 陆伦根
2022, 38(11): 2596-2598. DOI: 10.3969/j.issn.1001-5256.2022.11.032
摘要(1947) HTML (1208) PDF (1849KB)(156)
摘要:
肝纤维化是各种慢性肝病进展的必经阶段,最终会演化至肝硬化甚至肝癌。病毒性肝炎是导致肝纤维化的最主要原因,抗病毒治疗对病毒性肝炎的血清学转化及肝纤维化的逆转有着重要作用。本文总结归纳了抗病毒治疗对肝纤维化病理学逆转的作用、相关的分子机制以及目前仍存在的局限,以期为后续的相关临床与基础研究提供一定的参考。
肝纤维化相关信号通路及中药活性成分靶向调节作用机制
范文艳, 郝君玉, 陈虹秀, 刘光伟
2022, 38(11): 2599-2605. DOI: 10.3969/j.issn.1001-5256.2022.11.033
摘要(1673) HTML (506) PDF (1916KB)(76)
摘要:
肝纤维化是许多慢性肝病的共同病理阶段,肝星状细胞的激活被认为是肝纤维化过程的关键环节。肝纤维化的发病受多种细胞因子及信号通路的调控,主要涉及NF-κB信号通路、TGFβ/Smad信号通路、Wnt/β-catenin信号通路、Hedgehog信号通路等。随着现代药理学及生物科技的发展,中药活性成分抗肝纤维化的作用机制被进一步阐明,本文对肝纤维化相关信号通路及中药活性成分抗肝纤维化的研究成果作一总结,以期为医治肝纤维化提供潜在候选药物,开拓肝纤维化治疗的新领域。
经颈静脉肝内门体分流术治疗肝硬化顽固性腹水的现状
王澜静, 姚欣, 秦建平, 汤善宏
2022, 38(11): 2606-2610. DOI: 10.3969/j.issn.1001-5256.2022.11.034
摘要(1134) HTML (227) PDF (1882KB)(80)
摘要:
顽固性腹水是肝硬化失代偿期门静脉高压的并发症之一,其治疗难度大,病死率高。目前经颈静脉肝内门体分流术(TIPS)作为顽固性腹水的二线治疗,能通过降低门静脉压力来改善腹水症状。国内外大量研究已经提出,使用覆膜TIPS支架,谨慎选择适用人群可以改善顽固性腹水患者的预后,因此有学者提出TIPS可作为顽固性腹水的一线治疗手段。本文将全面介绍国内外TIPS治疗肝硬化顽固性腹水的现状,并对相关研究进展进行阐述,旨在推动我国TIPS治疗顽固性腹水相关研究的发展。
NLRP3炎症小体激活促进肝星状细胞活化的机制
彭憬, 袁维, 银思涵, 孙克伟
2022, 38(11): 2611-2615. DOI: 10.3969/j.issn.1001-5256.2022.11.035
摘要(1654) HTML (1222) PDF (2985KB)(119)
摘要:
肝纤维化是慢性肝脏损伤的共同结果,可进展为肝硬化甚至是肝癌,目前尚无有效逆转肝纤维化的手段。在窦周隙中被激活的肝星状细胞转变为肌成纤维细胞并分泌胶原,是肝纤维化进程中的中心事件。NLRP3炎症小体可被各种损伤刺激激活,介导炎症反应和细胞焦亡。近年研究发现NLRP3炎症小体与肝星状细胞活化密切相关。介绍了在各种病理因素刺激下,NLRP3炎症小体在肝星状细胞内不同通路的激活,以及促进胞外炎症微环境的形成,从而介导肝星状细胞活化,在促肝纤维化中发挥重要作用。
循环肿瘤DNA在肝细胞癌中的研究现状及展望
侯志远, 刘源, 杨超然, 赵继森, 程树杰
2022, 38(11): 2616-2620. DOI: 10.3969/j.issn.1001-5256.2022.11.036
摘要(1132) HTML (631) PDF (1902KB)(88)
摘要:
肝细胞癌(HCC)是世界范围内最常见的恶性肿瘤之一,具有起病隐匿、手术切除率低、易早期转移和复发的特点。近年来,随着新的分子生物学技术的发展,一种液体活检技术——循环肿瘤DNA(ctDNA)检测取得了鼓舞人心的成果。本文综述了ctDNA作为HCC患者液体活检的关键成分的研究现状及未来展望,以期为HCC的临床治疗提供新思路。
肝细胞癌肿瘤免疫微环境中T淋巴细胞的功能与调控机制
韩孟奎, 李晋, 杨小华
2022, 38(11): 2621-2626. DOI: 10.3969/j.issn.1001-5256.2022.11.037
摘要(1323) HTML (1160) PDF (2540KB)(110)
摘要:
T淋巴细胞作为肿瘤免疫微环境中主要免疫细胞,能够通过产生细胞因子、细胞毒性酶(穿孔素、颗粒酶B)等途径影响肝癌细胞增殖、迁移从而控制肿瘤进展。同时,肿瘤免疫微环境中树突状细胞、髓样抑制细胞等免疫细胞可通过多种途径调控不同亚型T淋巴细胞的功能。本文综述了肿瘤免疫微环境中常见免疫细胞对T淋巴细胞功能的影响,以及涉及T淋巴细胞功能调节的关键信号通路在HCC中的作用机制,以期为HCC更优治疗策略的研发提供思路和线索。
肝细胞癌中细胞因子信号传导抑制因子1与调节性T淋巴细胞/辅助性T淋巴细胞17平衡的关系
宋瑞, 李静, 杨红菊, 李敏玥, 游晶
2022, 38(11): 2627-2631. DOI: 10.3969/j.issn.1001-5256.2022.11.038
摘要(1285) HTML (452) PDF (2152KB)(65)
摘要:
调节性T淋巴细胞(Treg)和辅助性T淋巴细胞17(Th17)在肝细胞癌(HCC)的肿瘤微环境中发挥重要作用,Treg/Th17失衡与HCC的侵袭和进展密切相关。同时,细胞因子信号传导抑制因子1(SOCS1)作为Janus激酶/信号转导和转录激活因子信号通路的负调控因子之一,参与调控Treg细胞和Th17细胞的增殖、分化。本文主要分析HCC中SOCS1与Treg/Th17平衡的关系,探究HCC发生发展过程中的免疫相关机制。
免疫检查点TIGIT/CD155对原发性肝癌免疫微环境的调控作用及应用展望
姚帆, 殷欣
2022, 38(11): 2632-2635. DOI: 10.3969/j.issn.1001-5256.2022.11.039
摘要(1556) HTML (385) PDF (2121KB)(113)
摘要:
随着免疫检查点抑制剂在各种实体瘤中得到了应用,耐药性和疗效不佳等问题随之而来,所以为了更好地改善患者的预后,探索更佳的免疫治疗方案刻不容缓。本文介绍了一种新兴的免疫检查点TIGIT及其高亲和力配体CD155,总结了TIGIT/CD155通路对肝癌免疫微环境的调控作用,并归纳了针对TIGIT的抑制剂在肝癌免疫治疗中的应用。认为TIGIT/CD155可以通过免疫细胞和基质细胞等改变肝癌的免疫微环境,从而造成免疫逃逸使病情恶化。分析表明,针对TIGIT的靶向治疗会成为将来肝癌治疗发展的新方向,并在免疫联合治疗中发挥重要作用。
中医药调控上皮-间质转化抑制肝癌转移的研究进展
王珏, 张春蕾, 汤凯悦, 郑培永, 宋海燕
2022, 38(11): 2636-2642. DOI: 10.3969/j.issn.1001-5256.2022.11.040
摘要(1232) HTML (619) PDF (2270KB)(81)
摘要:
转移是影响肝癌复发和死亡的主要原因,而上皮-间质转化(EMT)是肝癌转移的重要机制。EMT受TGFβ、Wnt/β-catenin、Notch等多种信号通路介导的转录因子Snail、Twist、ZEB等的调控。抑制肝癌EMT相关分子和信号通路是抑制肝癌侵袭转移的重要途径。近年来研究表明,多种中药复方或其有效成分具有抑制肝癌侵袭转移的作用,阻滞或逆转肝癌细胞EMT是其重要的作用机制。本文对EMT的作用和调控机制,以及近年来中药及其来源的天然化合物通过调控细胞EMT抑制肝癌侵袭转移的研究进行概述,以期为肝癌转移的中医药防治提供科学依据,为肝癌治疗提供新思路。
骨髓间充质干细胞及其外泌体治疗终末期肝病的研究进展
梁悦, 胡永红, 刘伟, 慕永平, 陈佳美, 刘平
2022, 38(11): 2643-2648. DOI: 10.3969/j.issn.1001-5256.2022.11.041
摘要(1412) HTML (372) PDF (2513KB)(105)
摘要:
终末期肝病是各种急慢性肝病的晚期阶段,病死率高,严重危害人民健康。目前有效的治疗方法是肝移植,但囿于供体短缺、费用高昂等因素极大地限制了其临床应用。近年来临床与基础研究表明,骨髓间充质干细胞及其外泌体在治疗终末期肝病上具有良好的临床应用前景。本文就骨髓间充质干细胞及其外泌体在终末期肝病治疗中的作用机制与临床应用研究概况作一综述,期冀为进一步研究提供参考。
巨噬细胞极化在非肿瘤性肝脏疾病中的作用机制及其靶向治疗
陈玮钰, 覃小宾, 乐滢玉, 王涵, 隆晓荣, 毛德文
2022, 38(11): 2649-2653. DOI: 10.3969/j.issn.1001-5256.2022.11.042
摘要(1349) HTML (592) PDF (1885KB)(68)
摘要:
巨噬细胞作为重要的免疫细胞,参与维持肝内微环境稳态的关键过程。近年研究发现不同肝脏疾病均可诱发巨噬细胞极化(MPP),形成功能互为拮抗的M1和M2表型,前者可促进清除病原体和抑制肿瘤进展,后者发挥抗炎和促进组织修复的作用。然而,MPP在不同肝脏疾病或疾病不同病理阶段中的作用机制及表型转换存在明显差异。本文着重介绍了肝内巨噬细胞的起源及其极化特性,归纳探讨MPP在病毒性肝炎、酒精性肝病、非酒精性脂肪性肝病、肝纤维化等非肿瘤性肝病中发病机制和治疗药物的研究进展,旨在挖掘MPP在调控肝脏疾病免疫应答和炎症反应方面的潜力。
肝细胞极性调控
毛元鹏, 魏红山
2022, 38(11): 2654-2658. DOI: 10.3969/j.issn.1001-5256.2022.11.043
摘要(1115) HTML (755) PDF (1881KB)(115)
摘要:
肝细胞是高度极化的细胞。肝细胞极性的建立和维持对肝细胞的诸多功能至关重要。肝细胞极性的动态稳定与诸多因素相关,包括细胞间连接、极性蛋白复合体以及多个信号通路。当极性受到破坏,肝细胞功能往往出现异常,最终可能导致各类肝脏疾病的发生。目前,关于肝细胞极性调控相关研究仍然较少,多种关键因素尚未得到完全阐明。本文简要介绍了近年来肝细胞极性调控相关研究进展。
竞争性内源RNA在胆管细胞癌发生发展中的作用
徐宝麟, 成雨, 魏勇
2022, 38(11): 2659-2662. DOI: 10.3969/j.issn.1001-5256.2022.11.044
摘要(817) HTML (246) PDF (1861KB)(46)
摘要:
竞争性内源RNA是能够竞争性结合miRNA的一类转录产物,主要包括长链非编码RNA及环状RNA等,参与多种肿瘤的发生过程。胆管癌恶性程度高,预后差,治疗手段有限,发病机制复杂。竞争性内源RNA,特别是长链非编码RNA和环状RNA,能够通过影响胆管癌细胞的生物学行为、细胞代谢、炎症过程、上皮-间质转化过程影响胆管癌的发生发展。本文对长链非编码RNA与环状RNA在胆管细胞癌发生中的作用进行综述,以期进一步阐明胆管癌的发病机制。
急性胰腺炎肝损伤的分子机制
徐文倩, 郭敏, 王晓, 吴瑶麒, 张近远, 李合国
2022, 38(11): 2663-2668. DOI: 10.3969/j.issn.1001-5256.2022.11.045
摘要(1764) HTML (786) PDF (4435KB)(159)
摘要:
急性胰腺炎进展十分迅速,如不及时控制,可能引发多脏器损伤,更有甚者会因器官功能衰竭而死亡。目前因肝衰竭而死亡的急性胰腺炎患者比例仍较大。肝脏与胰腺在生理上相互联系,在病理上相互影响。本文通过胰腺与肝脏的生理联系、细胞因子、炎症反应、氧化应激、微循环障碍及肠道菌群移位等6个方面对急性胰腺炎肝损伤的分子机制进行阐述。
系统免疫炎症指数与胰腺癌预后的相关性
周发权, 陈师, 孙红玉, 汤礼军
2022, 38(11): 2669-2672. DOI: 10.3969/j.issn.1001-5256.2022.11.046
摘要(853) HTML (587) PDF (1863KB)(64)
摘要:
炎症广泛参与肿瘤的发生与发展,对胰腺癌进展起着至关重要的作用。同时炎性细胞是构成肿瘤微环境的一部分, 在促进肿瘤细胞的增殖和侵袭性转移起着关键作用。近年来,越来越多的研究探讨以中性粒细胞、淋巴细胞和血小板为基础的系统免疫炎症指数与恶性肿瘤患者预后的关系,其中也包括对胰腺癌的研究。本文通过阐述系统免疫炎症指数与胰腺癌患者预后的关系,为制订适当的胰腺癌治疗策略提供参考。
国外期刊精品文章简介
Journal of Viral Hepatitis|不同肝病基础的乙型肝炎相关慢加急性肝衰竭患者的预后及可逆性研究
2022, 38(11): 2545-2545. DOI: 10.3969/j.issn.1001-5256.2022.11.gwjpwzjj1
摘要(501) HTML (198) PDF (860KB)(73)
摘要:
Hepatology|G蛋白偶联胆汁酸受体1和半胱氨酸白三烯受体1的相互作用揭示胆汁酸和白三烯在药物性肝损伤中的影响机制
2022, 38(11): 2550-2550. DOI: 10.3969/j.issn.1001-5256.2022.11.gwjpwzjj2
摘要(594) HTML (161) PDF (855KB)(57)
摘要:
Journal of Viral Hepatitis|马来酸恩替卡韦治疗以B或C型为主的中国慢性乙型肝炎患者240周的疗效
2022, 38(11): 2662-2662. DOI: 10.3969/j.issn.1001-5256.2022.11.gwjpwzjj3
摘要(631) HTML (215) PDF (860KB)(50)
摘要:
消息
《临床肝胆病杂志》2023年征稿征订启事
2022, 38(11): 2504-2504.
摘要(248) HTML (145) PDF (1008KB)(65)
摘要:
《临床肝胆病杂志》2023年1-5期重点号选题及各期执行主编
2022, 38(11): 2536-2536.
摘要(337) HTML (200) PDF (848KB)(70)
摘要:
《临床肝胆病杂志》对基金项目论文免费审理优先发表
2022, 38(11): 2580-2580.
摘要(335) HTML (204) PDF (847KB)(30)
摘要:
志谢
本期审稿专家
2022, 38(11): 2570-2570. DOI: 10.3969/j.issn.1001-5256.2022.11.zhixie1
摘要(333) HTML (132) PDF (1350KB)(51)
摘要: