中文English
ISSN 1001-5256 (Print)
ISSN 2097-3497 (Online)
CN 22-1108/R

留言板

尊敬的读者、作者、审稿人, 关于本刊的投稿、审稿、编辑和出版的任何问题, 您可以本页添加留言。我们将尽快给您答复。谢谢您的支持!

姓名
邮箱
手机号码
标题
留言内容
验证码
2022年 第10期
“异种肝移植的发展与创新”重点号
本期执行主编:窦科峰
空军军医大学西京医院

显示方式:
述评
突破供肝短缺难题:异种肝移植的发展与创新
李霄, 窦科峰
2022, 38(10): 2201-2205. DOI: 10.3969/j.issn.1001-5256.2022.10.001
摘要(1425) HTML (422) PDF (1836KB)(176)
摘要:
供肝短缺是目前影响肝移植发展的最大难题。以2-1,3-牛乳糖苷转移酶基因敲除小型猪为供体的肝移植,在非人灵长类动物体内最长存活近1个月,已初步具备进入临床试验的条件。综合异种肝移植特点及临床现实情况,将异种肝移植作为暴发性肝功能衰竭的“桥接移植”可能是目前异种肝移植进入临床的最佳切入点。本文试就异种肝移植的发展历程、目前的研究进展以及未来临床试验受体选择的标准进行综述和分析,希望对未来的临床异种移植研究提供参考。
专家论坛
异种肝移植手术的特点与难点
李霄, 陶开山
2022, 38(10): 2206-2209. DOI: 10.3969/j.issn.1001-5256.2022.10.002
摘要(1316) HTML (296) PDF (1788KB)(173)
摘要:
随着基因编辑技术的快速发展,以猪为供体的异种移植越来越接近临床实用。目前猪的心脏和肾脏在非人灵长类动物体内已实现长期存活,进行了初步的临床尝试并取得成功。而异种肝移植最长存活近1个月,也初步具备进入临床试验的条件。但与心脏和肾脏肝移植相比,异种肝移植因手术技术难度高、围手术期管理困难等原因,目前全世界仅有少数中心能够开展。本文试就目前已开展的异种肝移植术式进行综述,并分析其技术特点和难点,为未来开展此类手术试验提供经验与参考。
异种肝移植中的急性体液性排斥反应
章忠强, 梁硕洲, 司中洲, 齐海智
2022, 38(10): 2210-2213. DOI: 10.3969/j.issn.1001-5256.2022.10.003
摘要(1215) HTML (829) PDF (1978KB)(137)
摘要:
肝移植是各种终末期肝病最为有效的治疗手段。肝脏供体的严重短缺导致大量终末期肝病患者死亡。利用基因工程技术研发的基因工程猪作为供体,是目前最有可能解决肝脏供体短缺的办法之一。虽然,目前基因工程猪-非人灵长类动物异种肝移植术后发生的急性排斥反应、血小板减少症、凝血异常等问题阻碍了异种肝脏的临床应用,但基因工程技术的发展以及新型免疫抑制剂的应用,异种肝移植急性排斥反应在一定程度上得到了控制。目前,急性体液性排斥反应可能是导致较长时间存活的移植物失功的主要因素。因此,明确异种肝移植中的急性体液性排斥反应的机制及处理方法,对于目前我国今后开展异种肝移植研究具有重要的意义。
基因编辑猪用于急性肝衰竭治疗的路径探讨
淮国丽, 杜嘉祥, 潘登科
2022, 38(10): 2214-2218. DOI: 10.3969/j.issn.1001-5256.2022.10.004
摘要(1079) HTML (267) PDF (1769KB)(129)
摘要:
目前,我国肝移植需求巨大,然而却面临供体器官极度短缺的限制。异种(猪)肝移植是有望成为缓解供体紧缺的一个潜在途径。肝脏是具有合成功能的解毒器官,当使用基因编辑猪作为供体时,面临着需要克服免疫排斥和解决生理功能不匹配的双重问题。因此,从抑制固有免疫反应出发可以更好地减轻异种肝移植的免疫排斥。此外,利用人源化细胞肝脏的嵌合体可能解决生理功能不匹配的问题。随着基因编辑技术的发展,获得多基因编辑猪和嵌合体已成为可能。因此,从上述两方面着手探索和研究,有望解决异种肝移植目前存在的问题,从而推动异种肝移植领域进一步发展。
指南与规范
《2022年美国肝病学会实践指南:药物、草药和膳食补充剂诱导的肝损伤》摘译
景婧, 何婷婷, 柏兆方, 王伽伯, 王睿林, 肖小河
2022, 38(10): 2219-2223. DOI: 10.3969/j.issn.1001-5256.2022.10.005
摘要(1500) HTML (473) PDF (2404KB)(280)
摘要:
论著_病毒性肝炎
富马酸替诺福韦酯治疗的慢性乙型肝炎患者3年血清HBV DNA和HBsAg的动态变化
鲁瑞, 党双锁, 刘怡欣, 王怡恺, 刘晨瑞, 李亚萍, 吴凤萍, 李梅
2022, 38(10): 2224-2229. DOI: 10.3969/j.issn.1001-5256.2022.10.006
摘要(1815) HTML (459) PDF (2009KB)(214)
摘要:
  目的  观察慢性乙型肝炎(CHB)患者使用富马酸替诺福韦酯(TDF)抗病毒治疗3年HBV DNA和HBsAg的动态变化。  方法  回顾性收集2015年1月—2020年8月就诊于西安交通大学第二附属医院的单用TDF治疗≥3年157例的CHB患者的临床资料,按照基线HBeAg水平分为HBeAg阳性组(n=73)和HBeAg阴性组(n=84)。收集患者在治疗基线、1年、2年、3年时的血清HBV DNA定量、HBsAg定量资料并分析其动态变化。符合正态分布的计量资料两组间比较采用t检验;不符合正态分布的计量资料两组间比较采用Mann-Whitney U检验;不符合正态分布的重复测量资料先进行对数转换,组内或组间比较采用重复测量资料的方差分析;计数资料两组间比较采用χ2检验或Fisher确切概率法。  结果  TDF治疗第1年和2年时HBeAg阳性患者HBV DNA阴转率均显著低于HBeAg阴性患者(第1年:65.8% vs 81.0%,χ2=4.676,P<0.05;第2年:87.7% vs 98.8%,P<0.05),TDF治疗3年两组HBV DNA阴转率差异无统计学意义(97.3% vs 100%,P>0.05)。HBeAg阳性和HBeAg阴性患者的基线HBsAg水平分别为10 633.6(2 084.8~24 005.7)IU/mL和1 402.8(311.0~2 863.5)IU/mL,经过TDF治疗3年后HBsAg水平分别降至1 534.9(912.7~5 885.9)IU/mL和677.8(119.4~1 974.8)IU/mL,组间差异有统计学意义(F=25.456,P<0.001)。HBeAg阳性患者第1年中位HBsAg下降值[1 856.5(158.4~12 103.1)IU/mL]显著高于第2年[879.8(130.5~2 382.5)IU/mL]和第3年[479.9(95.0~1 662.4)IU/mL](F=10.972,P<0.001),HBeAg阴性患者HBsAg下降速度前后差异无统计学意义(F=0.513,P>0.05)。此外,TDF治疗3年,59.2%的患者达到HBsAg<1500 IU/mL,HBsAg转阴率为1.3%。  结论  TDF治疗3年,HBeAg阴性CHB患者HBV DNA定量全部转阴,而HBeAg阳性患者中97.3%实现HBV DNA转阴,仍然有2.7%的患者病毒定量可测及。HBsAg水平随着治疗时间延长均不断下降,且HBeAg阳性患者HBsAg水平下降速度呈现“先快后慢”的趋势特点。单用TDF治疗3年,59.2%的患者达到HBsAg<1500 IU/mL。
慢性乙型肝炎合并代谢相关性脂肪性肝病的临床特征及预后影响因素分析
刘伟鸿, 刘晖, 丁惠国, 李磊
2022, 38(10): 2230-2235. DOI: 10.3969/j.issn.1001-5256.2022.10.007
摘要(1192) HTML (581) PDF (2115KB)(215)
摘要:
  目的  分析慢性乙型肝炎(CHB)合并代谢相关性脂肪性肝病(MAFLD)患者的临床特征,并探讨影响此类患者预后的危险因素。  方法  选取2005年—2018年于首都医科大学附属北京佑安医院行经皮肝穿刺活检的CHB合并MAFLD患者101例,并以114例单纯CHB患者为对照组,以肝脏穿刺时间为基线,失代偿期肝硬化、肝癌、肝移植及肝脏疾病相关的死亡为临床终点事件,建立长期研究队列。对患者肝穿组织切片进行病毒性肝炎炎症活动度(G)及纤维化分期(S)计分,对合并MAFLD者进行NAS评分。根据纤维化分期分别将两组患者分为无显著纤维化组(S0~1)及显著纤维化组(S2~4),比较纤维化同期两组患者的临床特征及预后;将CHB合并MAFLD组患者根据NAS评分分为NAS<4分组及NAS≥4分组,分析NAS评分对合并患者临床及预后的影响。计量资料组间比较采用t检验/Wilcoxon秩和检验;计数资料采用χ2检验/Fisher检验。生存预后分析采用Log-rank检验、Kaplan-Meier生存分析及Cox多因素分析。  结果  各纤维化分期中CHB合并MAFLD组的BMI、血糖、TC均明显高于单纯CHB组(P值均<0.05);在无显著纤维化时,合并组的ALT(Z=-2.249,P=0.025)、AST(Z=-2.512,P=0.012)及GGT(Z=-5.261,P<0.001)均高于单纯CHB组。整个队列中位随访时间为8.0年,Kaplan-Meier生存分析显示,合并MAFLD显著增加CHB患者肝脏相关不良结局风险(χ2=7.607,P=0.006);Cox多因素分析发现,合并MAFLD[HR=5.76(95%CI:1.54~21.48),P=0.009]是CHB患者发生肝相关结局的独立危险因素。在合并组中,NAS≥4分的患者ALT(Z=-3.139, P=0.002)、AST(Z=-2.898,P=0.004)、GGT(Z=-2.260,P=0.024)均高于NAS<4分的患者;对其预后进行分析,发现显著纤维化[HR=4.83(95%CI:1.23~18.91),P=0.024]与CHB合并MAFLD患者的不良预后独立相关。  结论  CHB合并MAFLD患者在疾病早期时更易发生肝功能受损,加快疾病进展;合并MAFLD的CHB患者肝相关不良结局发生的风险增加,另外,显著纤维化是CHB合并MAFLD患者发生不良预后的独立危险因素。
慢性乙型肝炎患者肝纤维化程度与肾损伤的相关性分析
肖璐, 颜学兵, 费媛媛
2022, 38(10): 2236-2241. DOI: 10.3969/j.issn.1001-5256.2022.10.008
摘要(1125) HTML (287) PDF (2160KB)(120)
摘要:
  目的  分析慢性乙型肝炎(CHB)患者肝纤维化程度与肾功能损伤的关系。  方法  回顾性分析2010年5月—2019年10月798例CHB患者的肾功能,根据研究对象的肝纤维化4因子指数(FIB-4)水平将患者分为4组,Q1组(FIB-4≤0.74)200例,Q2组(0.74<FIB-4<1.13)199例,Q3组(1.13≤FIB-4<2.0)200例,Q4组(FIB-4≥2.0)199例。非正态分布计量资料多组间比较采用Kruskal-Wallis H检验。计数资料组间比较采用χ2检验。采用一元线性回归分析和Spearman偏相关分析确定FIB-4与估算肾小球滤过率(eGFR)之间的关系。采用多因素Logistic回归模型评估肾损伤的风险因素,计算优势比(OR)和95%CI。采用多分类Logistic回归分析不同分组的FIB-4与肾损伤的关系,计算OR和95%CI。绘制ROC曲线分析FIB-4在肾损伤诊断中的价值。  结果  FIB-4与年龄具有相关性(r值为0.650,P<0.001),因此采用Spearman偏相关分析对年龄、性别进行矫正。结果显示,FIB-4与ALT、AST、ALP、GGT、LDH、TBil、DBil、总蛋白、Alb、球蛋白、TBA、LAP、PLT、HBV DNA、AFP、eGFR仍有明显相关性(r值分别为0.202、0.354、0.292、0.287、0.222、0.377、0.361、-0.085、-0.412、0.168、0.422、0.247、-0.421、0.172、0.318、-0.359,P值均<0.05)。一元线性回归分析显示eGFR与FIB-4呈负相关(R2=0.1949)。多因素Logistic回归分析结果显示,HBV DNA、FIB-4是肾损伤的独立危险因素,(OR值分别为1.227、1.581,95%CI分别为1.038~1.452、1.359~1.839,P值分别为0.017、P<0.001)。多分类Logistic回归分析发现,FIB-4水平与可能的肾损伤发病呈正相关,随着FIB-4四分位数的降低,肾损伤发病率逐渐下降。FIB-4对肾损伤预测的ROC曲线下面积为0.74(95%CI: 0.67~0.82,P<0.001),敏感度为0.47,特异度为0.93,最佳截断值为3.48。  结论  CHB患者肝纤维化程度与肾损伤的风险相关。
aMAP评分评估门诊慢性HBV感染者肝细胞癌风险的价值分析
王丽旻, 张鸿飞, 甘雨, 谢思, 王静月, 黄缘
2022, 38(10): 2242-2246. DOI: 10.3969/j.issn.1001-5256.2022.10.009
摘要(1199) HTML (768) PDF (1845KB)(100)
摘要:
  目的  探索肝细胞癌(HCC)风险预测模型aMAP评分对门诊慢性HBV感染者肝细胞癌风险评估的应用价值。  方法  选取2018年1月—2021年12月于北京清华长庚医院门诊就诊的慢性HBV感染者709例,计算aMAP及进行HCC风险评估。符合正态分布的计量资料组间比较采用t检验,等级资料两组间比较采用Mann-Whitney U检验。  结果  709例慢性HBV感染者中,22.4%合并酒精性肝病,11.8%合并糖尿病。18.6%合并脂肪肝,19.0%合并肝硬化,9.7%合并肝癌。71.2%的患者服用口服抗病毒药物,28.8%未用抗病毒药物。aMAP最高为75.2分,HCC低、中和高风险人数分别占70.0%、23.1%和6.9%;合并酒精性肝病、糖尿病、肝硬化患者aMAP高风险的比例高于无酒精性肝病、糖尿病、肝硬化患者(9.4% vs 6.2%,11.9% vs 6.2%,19.3% vs 4.0%),高中低风险组成比较,差异有统计学意义(P值分别为<0.01, 0.01,<0.01)。抗病毒治疗组患者aMAP变化的年均值(-1.15±1.72)分,明显低于未用抗病毒治疗者的(0.93±2.05)分(t=39.36,P<0.01)。HCC患者确诊前3年内高风险的比例分别为38.4%、26.7%、33.3%。aMAP在确诊HCC前3年均>50分,早于AFP的升高。  结论  aMAP评分作为慢性HBV感染者HCC筛查管理的工具,简单快捷,便于门诊的应用。合并酒精性肝病、肝硬化的慢性HBV感染者aMAP评分的HCC高风险比例高于无合并疾病患者的比例,口服抗病毒治疗可降低aMAP。
论著_脂肪性肝病
心脏代谢指数与代谢相关脂肪性肝病的相关性分析
武云霞, 李程亮, 李晓磊, 罗钊晓, 任天顺
2022, 38(10): 2247-2251. DOI: 10.3969/j.issn.1001-5256.2022.10.010
摘要(1194) HTML (953) PDF (1815KB)(125)
摘要:
  目的  研究心脏代谢指数(CMI)与代谢相关脂肪性肝病(MAFLD)的相关性。  方法  随机纳入2018年1月—2020年12月西安医学院第一附属医院消化内科收治的480例受试者,分为MAFLD组(n=202)和非MAFLD组(n=278),比较两组CMI及相关生化指标、瞬时弹性成像技术(FibroScan)检测指标差异。计量资料符合正态分布的两组间比较采用t检验,不符合正态分布的两组间比较用Mann-Whitney U检验;计数资料两组间比较采用χ2检验。将CMI按四分位数水平分为4组(Q1 ~ Q4),采用Kruskal- Wallis H检验比较各组间脂肪衰减程度(CAP)和肝脏硬度(LSM)分布情况;采用Logistic回归分析计算不同CMI水平MAFLD发生风险。  结果  MAFLD组CMI、CAP、LSM、体质量、腰围、BMI、收缩压、舒张压、TG、TC、LDL-C、ALT、AST、GGT、尿酸(UA)、空腹血糖(FBG)水平均显著高于非MAFLD组,而高密度脂蛋白胆固醇(HDL-C)水平显著低于非MAFLD组(P值均<0.01)。不同CMI四分位水平分组中CAP程度差异有统计学意义(χ2=15.220,P=0.002)。多因素logistic回归显示,调整相关危险因素后,Q4组MAFLD发生风险为Q1组的3.521(95%CI:1.415~8.764)倍(P<0.01)。  结论  较高的CMI与MAFLD发生风险呈显著正相关,随着CMI四分位数水平的增加,MAFLD患者逐渐增多且发生纤维化的风险显著增加。此外,定期检查和评价CMI可能有助于控制MAFLD的发生。
论著_肝纤维化及肝硬化
慢性乙型肝炎和乙型肝炎肝硬化患者发生低病毒血症的影响因素及其与肝脏炎症、肝纤维化进展的关系
宣碧碧, 徐永红, 杜忠彩, 刘玉, 杨玉玲, 边城
2022, 38(10): 2252-2259. DOI: 10.3969/j.issn.1001-5256.2022.10.011
摘要(1225) HTML (368) PDF (1822KB)(148)
摘要:
  目的  研究接受抗病毒治疗的慢性乙型肝炎(CHB)和乙型肝炎肝硬化患者发生低病毒血症(LLV)的影响因素以及LLV与肝脏炎症、纤维化进展的关系。  方法  选取2020年7月1日—2021年11月30日就诊于青岛大学附属医院肝病门诊口服核苷(酸)类(NUC)药物抗病毒治疗疗程≥1年,且HBV DNA<2000 IU/mL的CHB和乙型肝炎肝硬化患者417例,根据HBV DNA水平将患者分为LLV组(10 IU/mL≤HBV DNA<2000 IU/mL)和完全病毒学应答(CVR)组(HBV DNA<10 IU/mL),比较两组患者抗病毒治疗前后一般资料、病毒学、生化学及肝纤维化指标等方面的差异,分析发生LLV的影响因素。此外,比较两组患者抗病毒治疗前、后肝脏炎症和纤维化指标变化程度,分析LLV与肝脏炎症、纤维化进展的关系。计量资料两组间比较采用独立样本t检验或Mann-Whitney U检验。计数资料两组间比较采用χ2检验。相关性检验采用Kendall’s tau-b分析。采用Logistic多因素回归分析LLV发生的影响因素。  结果  417例CHB和肝硬化患者中有173例发生LLV,LLV构成比为41.5%,且以10 IU/mL≤HBV DNA<1000 IU/mL为主,占比达94.8%。Logistic回归分析结果显示,抗病毒治疗前患者HBeAg阳性(OR=3.009,95%CI:1.346~6.729,P=0.007)、有肝硬化或HCC家族史(OR=2.929,95%CI:1.344~6.383,P=0.007)及HBV DNA水平>1.0×108 IU/mL(OR=10.790,95%CI:1.265~92.007,P=0.030)是LLV发生的危险因素,而AST>40 U/L(OR=0.355,95%CI:0.171~0.737,P=0.005)是LLV发生的保护因素。抗病毒治疗后HBeAg阳性(OR=4.394,95%CI:1.962~9.841,P<0.001)仍是LLV发生的危险因素;2年≤抗病毒治疗疗程<3年(OR=0.175,95%CI:0.046~0.674,P=0.010)和抗病毒治疗疗程≥3年(OR=0.170,95%CI:0.048~0.600,P=0.006)是LLV发生的保护因素。CVR组患者抗病毒治疗后AST、AFP、APRI、FIB-4变化程度(ΔAST、ΔAFP、ΔAPRI、ΔFIB-4)均较LLV组明显(P值均<0.05)。相关分析结果显示,ΔAST(τ=-0.192,P<0.001)、ΔAFP(τ=-0.192,P<0.001)、ΔAPRI(τ=-0.210,P=0.002)、ΔFIB-4(τ=-0.202,P=0.003)与LLV均呈负相关。  结论  高灵敏的HBV DNA检测方法有助于LLV的早期诊断。对于存在肝硬化或肝癌家族史、高水平HBV DNA、HBeAg阳性、低水平AST的患者应进行强效的抗病毒药物治疗,并监测HBV DNA、AST及HBeAg情况,尽早发现LLV。
肝硬化门静脉高压症患者脾切除后早期血栓形成与Janus激酶-信号转导和转录激活因子信号通路的关系
王欢, 申晓旭, 陈良琪, 龚天兰
2022, 38(10): 2260-2264. DOI: 10.3969/j.issn.1001-5256.2022.10.012
摘要(779) HTML (210) PDF (1970KB)(59)
摘要:
  目的  探讨肝硬化门静脉高压症患者脾切除后早期血栓形成因素,及其与Janus激酶(JAK)-信号转导和转录激活因子(STAT)信号通路的关系。  方法  选择2018年3月—2020年4月在贵州医科大学附属医院因肝硬化门静脉高压行脾切除断流术患者198例,根据患者术后3个月内是否发生门静脉血栓将其分为血栓组(n=41)和非血栓组(n=157)。检测两组患者术后外周血单个核细胞中JAK2 mRNA及STAT3 mRNA表达情况。计量资料组间比较采用t检验,计数资料组间比较采用χ2检验,对可能影响患者术后门静脉血栓形成的各因素进行单因素及多因素Logistic回归分析;采用受试者工作曲线(ROC曲线)分析术后JAK2mRNA、STAT3 mRNA相对表达量对门静脉血栓的预测价值。  结果  单因素结果显示,血栓组患者术前门静脉直径、术后门静脉直径、门静脉流速差、脾容积均显著高于非血栓组(t值分别为4.718、3.945、8.671、2.006,P值均<0.05)。术后两组患者外周血单个核细胞JAK2 mRNA及STAT3 mRNA相对表达量较术前均显著升高(t值分别为12.933、15.442、14.386、10.896,P值均<0.05),同时血栓组患者JAK2 mRNA及STAT3 mRNA相对表达量升高程度均明显高于非血栓组(P值均<0.05)。多因素logistic回归分析结果显示,门静脉流速差、术后JAK2 mNRA、术后STAT3 mRNA及术前门静脉直径为影响患者术后门静脉血栓发生的重要因素(P值均<0.05)。患者术后JAK2 mRNA、STAT3 mRNA相对表达量预测门静脉血栓的ROC曲线下面积分别为0.850、0.787。  结论  JAK/STAT信号通路激活参与了肝硬化门静脉高压患者脾切除后血栓形成过程,可能是患者术后门静脉血栓形成的重要机制之一,有望成为患者术后门静脉血栓预防和治疗的潜在生物学途径。
舒肝和络醒脾方对肝纤维化模型大鼠肝组织Wnt/β-Catenin信号通路的影响
王奎淞, 张秋菊, 魏书瑶, 殷世鹏, 李婕妠, 陈世玉, 郭嘉琪, 赵鲲鹏
2022, 38(10): 2265-2272. DOI: 10.3969/j.issn.1001-5256.2022.10.013
摘要(922) HTML (274) PDF (4203KB)(70)
摘要:
  目的  观察舒肝和络醒脾方对CCl4诱导的肝纤维化模型大鼠的治疗作用,并基于Wnt/β-Catenin信号通路探讨其作用机制。  方法  将60只雄性SPF级Wistar大鼠随机分为空白对照组,模型组,阳性对照组,舒肝和络醒脾方高、中、低剂量组,每组10只,模型和用药大鼠给予腹腔注射40% CCl4油溶液诱导肝纤维化模型。空白对照组和模型组给予10 mL/kg生理盐水灌胃,阳性对照组用水飞蓟宾葡甲胺溶液50 mg/kg灌胃,舒肝和络醒脾方高、中、低剂量组分别按12.42 g/kg、6.21 g/kg和3.11 g/kg(生药/体质量)灌胃,每日1次,持续8周。给药8周后处死,期间动态监测各组大鼠的生理状况。处死后取血清于碱水解比色法检测羟脯氨酸,于全自动生化分析仪检测AST、ALT、总蛋白和Alb水平;HE染色及Masson染色观察肝脏的病理学形态改变;RT-qPCR法、Western Blot法检测Wnt1、β-Catenin和Cyclin D1的mRNA和蛋白水平的表达。计量资料多组间比较采用one-way ANOVA分析,进一步两两比较采用LSD-t检验。  结果  与模型组比较,飞蓟宾葡甲胺溶液和舒肝和络醒脾方用药干预后的大鼠生理状况改善明显;血液学指标方面,与模型组比较,阳性对照组和舒肝和络醒脾方干预后大鼠血清中HYP、ALT、AST和Glo水平显著降低(P值均<0.05),总蛋白、Alb和A/G水平明显升高(P值均<0.05);与阳性对照组比较,舒肝和络醒脾方低剂量组的ALT、AST水平显著升高(P值均<0.05),总蛋白、Alb和A/G水平明显降低(P值均<0.05);肝组织学方面,HE染色显示阳性对照组可见门静脉轻度纤维化伴少量纤维间隔,肝细胞轻微脂肪变;舒肝和络醒脾方低剂量组可见明显门静脉纤维化伴少量纤维间隔;舒肝和络醒脾方中剂量组可见少量门静脉轻微纤维化;舒肝和络醒脾方高剂量组未观察到明显异常。Masson染色显示,舒肝和洛醒脾方高剂量组在胶原沉积的治疗效果方面优于水飞蓟宾葡甲胺组和舒肝和络醒脾方中、低剂量组(P值均<0.05),与舒肝和络醒脾方高剂量组基本等效。水飞蓟宾葡甲胺和舒肝和络醒脾方高、中剂量干预对Wnt1、β-Catenin和Cyclin D1的mRNA水平和蛋白表达的抑制作用更明显(P值均<0.05)。  结论  舒肝和络醒脾方能够发挥稳定的抗肝纤维化作用,高剂量作用效果较为显著,调节Wnt/β-Catenin信号通路可能为其抗肝纤维化的信号途径之一。
咖啡酸苯乙酯对肝星状细胞的作用及机制分析
杨宁, 邓江, 王怡恺, 常莎, 高宁, 王文俊, 党双锁, 石娟娟
2022, 38(10): 2273-2278. DOI: 10.3969/j.issn.1001-5256.2022.10.014
摘要(949) HTML (279) PDF (3612KB)(75)
摘要:
  目的  探讨咖啡酸苯乙酯(CAPE)对大鼠肝星状细胞(HSC)-T6的作用及作用机制。  方法  不同浓度CAPE(5、10、15 μmol/L) 分别作用于HSC-T6细胞,同时构建GFP-LC3质粒转染至HSC-T6细胞,自噬诱导剂雷帕霉素和自噬抑制剂3-Methyladenine(3-MA)进行干预,采用MTT方法检测CAPE对HSC-T6细胞增殖的影响,透射电镜观察CAPE对HSC-T6细胞超微结构的影响,细胞免疫荧光实验检测CAPE对HSC-T6细胞LC3表达的影响,qRT-PCR检测自噬相关基因ATG5、ATG7、ATG12、Beclin1和LC3 mRNA的表达情况,Western-Blot检测ATG7、Beclin1、LC3I/Ⅱ、p-AKT/AKT、p-mTOR蛋白的表达情况。计量资料组间比较采用单因素方差分析及Dunnett-t检验。  结果  CAPE干预组较对照组可抑制HSC-T6细胞增殖,且生长明显受到抑制,细胞质中可观察到脂滴和轮盘状自噬体散在分布。与对照组(13.34%±2.59%)相比,不同浓度CAPE 5 μmol/L (23.68%±3.76%,t=-5.553,P<0.001)、10 μmol/L(43.47%±3.83%,t=-15.958,P<0.001)、15 μmol/L(57.25%±2.78%,t=-28.334,P<0.001)的LC3荧光染色均显著增强,且呈正相关。CAPE干预组(10、15 μmol/L)ATG5、ATG7、ATG12、Beclin1和LC3 mRNA水平明显增加(P值均<0.05)。GFP-LC3质粒转染至HSC-T6细胞后,CAPE干预组(79.01%±6.69%)较对照组(67.06%±6.74%)LC3荧光染色明显增强(t=-3.083,P=0.012);同时给予自噬诱导剂雷帕霉素(86.88%±5.42%),LC3表达较CAPE组明显增强(t=-2.239,P=0.049);而给予自噬抑制剂3-MA(71.22%±4.29%),其表达则明显减低(t=-2.404,P=0.037);CAPE干预组和诱导剂雷帕霉素组ATG7、Beclin1和LC3 I/Ⅱ的蛋白表达水平增加,AKT/p-AKT、p-mTOR蛋白的表达水平降低;而抑制剂3-MA组则得出相反的结果。  结论  CAPE可能通过抑制AKT/mTOR信号通路诱导自噬形成,进而抑制HSC-T6细胞增殖。
黄芪汤含药血清对血管内皮生长因子诱导的大鼠肝窦内皮细胞增殖、迁移和成管能力的影响及其作用机制
王浩艺, 麦静愔, 平键, 成扬
2022, 38(10): 2279-2285. DOI: 10.3969/j.issn.1001-5256.2022.10.015
摘要(1654) HTML (464) PDF (3258KB)(94)
摘要:
  目的  基于蛋白激酶B(AKT)/哺乳动物雷帕霉素靶蛋白(mTOR)信号通路探讨黄芪汤含药血清对血管内皮生长因子(VEGF)诱导的大鼠肝窦内皮细胞(LSEC)增殖、迁移和成管能力的影响。  方法  制备黄芪汤含药血清,体外分离、培养SD大鼠LSEC,将大鼠LSEC随机分为空白组,VEGF组,血清对照组,低、中、高剂量黄芪汤含药血清组,利用噻唑蓝(MTT)比色法、Transwell实验、成管实验分别检测各组LSEC增殖、迁移和成管能力,通过Western Blot法检测血小板-内皮细胞黏附分子-1(CD31)、内皮素-1(ET-1)、内皮性一氧化氮合酶(eNOS) 和AKT/mTOR信号通路中AKT、磷酸化(p)-AKT、mTOR、磷酸化(p)-mTOR蛋白表达水平。计量资料多组间比较采用单因素方差分析,进一步两两比较采用Tukey’s检验。  结果  与空白组相比,VEGF组、血清对照组能够促进大鼠LSEC增殖、迁移和血管新生(P值均<0.05);Western Blot结果显示,CD31、ET-1、eNOS和AKT/mTOR信号通路相关蛋白表达显著升高(P值均<0.05)。VEGF组与血清对照组比较,上述指标差异均无统计学意义(P值均>0.05)。与血清组比较,黄芪汤中、高剂量组能显著抑制VEGF诱导的大鼠LSEC增殖、迁移和血管新生(P值均<0.05);Western Blot结果显示,CD31、ET-1、eNOS和AKT/mTOR信号通路相关蛋白表达均显著降低(P值均<0.05)。  结论  较高剂量黄芪汤含药血清能抑制VEGF诱导的大鼠LSEC增殖、迁移和成管能力,其作用机制可能与调控AKT/mTOR信号通路有关。
论著_肝脏肿瘤
肝动脉栓塞联合射频消融间隔时间对小肝癌临床疗效的影响
孙玉, 张洪海, 龙江, 生守鹏, 郑加生, 张永宏
2022, 38(10): 2286-2289. DOI: 10.3969/j.issn.1001-5256.2022.10.016
摘要(1078) HTML (284) PDF (1758KB)(66)
摘要:
  目的  研究肝动脉栓塞联合射频消融两种治疗时间间隔对小肝癌临床疗效的影响。  方法  选取2019年1月—2020年6月于首都医科大学附属北京佑安医院接受治疗的肝细胞癌患者70例。采用随机数字表法将患者分为观察组(肝动脉栓塞治疗当日或第2日序贯射频消融)和对照组(肝动脉栓塞治疗后1~2周序贯射频消融),每组各35例。计量资料两组间比较采用独立样本t检验,术前与术后观察指标比较采用配对t检验;计数资料两组间比较采用χ2检验。  结果  观察组住院时间短于对照组,差异有统计学意义[(7.80±2.76) d vs (14.31±2.19) d,t=-10.93,P<0.001}。观察组与对照组完全消融率(95.12% vs 95.00%,χ2 =0.001,P=0.980)、不良反应发生率(25.71% vs 20.00%,χ2 =0.324,P=0.569)及1年复发率(11.43% vs 14.29%,χ2 =0.128,P=0.721)比较,差异均无统计学意义。对照组术前术后实验室指标与观察组术前术后比较,差异均无统计学意义(P值均>0.05)。  结论  肝动脉栓塞短期序贯射频消融治疗小肝癌安全有效,可明显缩短患者住院时间,减少住院花费,值得临床推广。
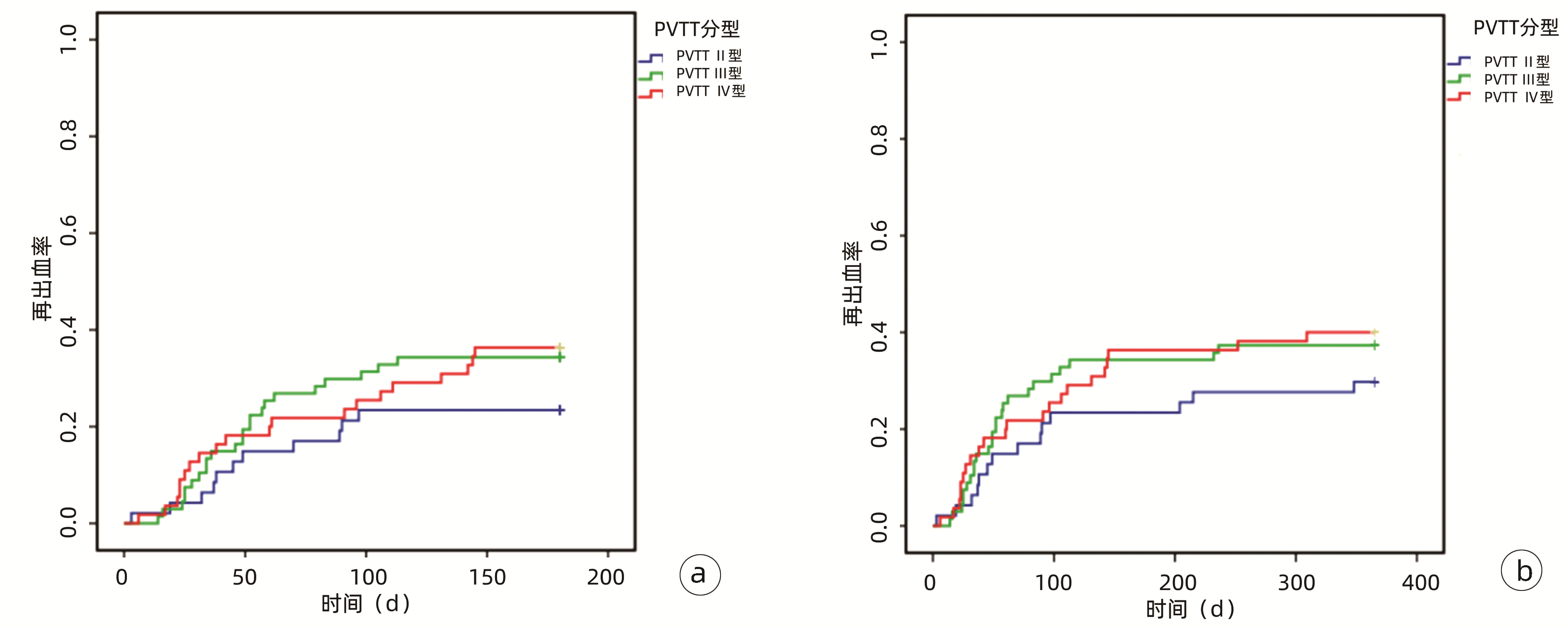
内镜治疗肝细胞癌合并门静脉癌栓患者食管胃静脉曲张出血后再出血的危险因素分析
梁秀霞, 何玲玲, 杨君茹, 张福阳, 马佳丽, 周玉玲, 胡居龙, 李坪, 魏红山
2022, 38(10): 2290-2295. DOI: 10.3969/j.issn.1001-5256.2022.10.017
摘要(1104) HTML (233) PDF (2924KB)(68)
摘要:
  目的  探讨合并门静脉癌栓(PVTT)的肝细胞癌(HCC)患者经内镜下治疗食管胃静脉曲张出血(EVB)后再出血的危险因素。  方法  回顾性分析2008年9月—2016年12月首都医科大学附属北京地坛医院消化内科收治的169例乙型肝炎相关HCC伴PVTT合并EVB经内镜治疗的患者资料,其中47例为PVTT Ⅱ型,67例为PVTT Ⅲ型,55例为PVTT Ⅳ型。比较不同PVTT分型患者的临床指标差异,计量资料多组间比较采用方差分析或Kruskal-Wallis H检验;计数资料组间比较采用χ2检验或校正Fisher检验。采用Kaplan-Meier方法绘制再出血及生存曲线,采用Log-rank检验法比较再出血率和生存率。采用Cox单因素和多因素分析影响患者1年再出血的危险因素。  结果  在不同PVTT分型患者的各项临床指标比较中,PVTT Ⅳ型比PVTT Ⅱ、Ⅲ型患者的直接胆红素水平更高(Z=6.153,P=0.046)。所有患者经内镜下治疗后均可成功止血,PVTT Ⅱ型、PVTT Ⅲ型、PVTT Ⅳ型患者的半年、1年的再出血率无显著差异,不同分型患者半年、1年、2年、3年的累积生存率无显著差异(P值均>0.05)。Cox多因素分析显示合并肝性脑病(HR=3.643, 95%CI:2.099~6.325,P<0.001)、GGT(HR=1.002, 95%CI:1.000~1.005,P=0.029)、AFP(HR=1.000, 95%CI:1.000~1.000,P=0.002)、肿瘤个数(HR=1.647, 95%CI:1.011~2.684,P=0.045)是影响PVTT合并EVB患者内镜治疗后1年内再出血的危险因素。  结论  伴有PVTT的HCC患者合并EVB可行内镜下止血治疗,不同PVTT分型的患者再出血率及生存率无显著差异。合并肝性脑病、γ-谷氨酰基移换酶、甲胎蛋白、肿瘤个数是影响PVTT合并EVB患者内镜治疗后1年再出血的独立危险因素。
论著_其他肝病
首乌制剂相关肝损伤伴或不伴自身抗体阳性患者临床特征比较
蔡静, 周桂琴, 刘亚兴, 李斌, 王晓静, 冯颖, 王宪波
2022, 38(10): 2296-2301. DOI: 10.3969/j.issn.1001-5256.2022.10.018
摘要(1088) HTML (287) PDF (1991KB)(81)
摘要:
  目的  基于倾向性评分匹配对比分析首乌制剂相关肝损伤伴自身抗体阳性患者与不伴自身抗体阳性患者的临床特征,探讨合并自身抗体对首乌制剂相关肝损伤患者预后的影响。  方法  选取首都医科大学附属北京地坛医院2008年8月—2021年6月首乌制剂相关肝损伤住院患者364例,根据是否检测到自身抗体分为自身抗体阴性组(H0组)和自身抗体阳性组(H1组),其中H0组157例,H1组207例,采用倾向性评分匹配方法进行混杂因素校正,比较两组患者肝损伤达峰值时生化指标、肝损伤严重程度、肝损伤分型及疾病转归情况的差异。正态分布的计量资料两组间比较采用t检验;非正态分布的计量资料两组间比较采用Mann-Whitney U秩和检验。计数资料或等级资料组间比较采用χ2检验或Mann-Whitney U秩和检验。应用Cox回归模型分析肝功能恢复的影响因素。通过Kaplan-Meier法绘制生存曲线,并用Log-rank检验进行比较。  结果  倾向性评分匹配后,成功匹配98对病例。两组肝损伤达峰值时生化指标比较结果显示,H1组ALP、球蛋白、总胆汁酸水平均高于H0组,Alb水平低于H0组,差异均有统计学意义(P值均<0.05)。两组患者肝损伤分型差异无统计学意义(P>0.05)。肝损伤严重程度方面两组比较差异有统计学意义(Z=1.710,P=0.045)。自身抗体以抗核抗体(ANA)阳性为主,占比49%;不同ANA抗体滴度患者肝损伤严重程度比较,差异有统计学意义(Z=20.252,P=0.001)。疾病转归以半年内肝功能恢复正常进行比较,H0、H1组半年肝功能复常率分别为90.8%和75.5%,H1组肝功能复常率偏低(χ2=8.199,P=0.004)。Cox回归分析显示自身抗体(HR=5.248,95%CI:1.554~17.718,P=0.008)和ALP(HR=1.013,95%CI:1.002~1.025,P=0.026)是肝功能恢复的独立危险因素。Kaplan-Meier生存曲线结果显示,半年后自身抗体阳性组患者肝功能未恢复的风险较自身抗体阴性组更高(χ2=8.802,P=0.003)。  结论  自身抗体对首乌制剂相关肝损伤分型无明显影响,与自身抗体阴性的首乌制剂肝损伤患者相比,伴自身抗体阳性的首乌制剂肝损伤患者有更加严重的肝损伤以及更明显的慢性化倾向。
糖皮质激素治疗重症药物性肝损伤的效果分析
严微, 黄会芳
2022, 38(10): 2302-2307. DOI: 10.3969/j.issn.1001-5256.2022.10.019
摘要(1201) HTML (408) PDF (1781KB)(150)
摘要:
  目的  探讨重症药物性肝损伤(DILI)患者应用糖皮质激素的治疗效果。  方法  回顾性分析2019年1月—2021年9月山西医科大学第一医院收治的重症DILI患者资料,统计人口特征、肝损伤药物、临床表现,比较使用糖皮质激素治疗患者(激素组)与未使用激素患者(对照组)的肝功能变化、疗效及不良反应。计量资料两组间比较采用独立样本t检验或Mann-Whitney U检验。计数资料组间比较采用χ2检验或Fisher精确检验。  结果  共纳入88例DILI患者,其中男33例,女55例,中位年龄49岁;对照组61例,激素组27例。临床分型以肝细胞损伤型为主;肝损伤药物中,中药和膳食补充剂最为常见。临床表现以黄疸、恶心、纳差居多,6例患者(6.82%,6/88)进展为4级DILI,其中激素组2例,对照组4例。激素组与对照组患者基线特征比较,AST、GGT、TBil及免疫指标阳性占比差异均有统计学意义(P值均<0.05)。两组治疗3 d时TBil、INR及TBA下降率比较,差异均有统计学意义(P值均<0.05);治疗7 d时,两组ALT、GGT、INR和TBA下降率差异均有统计学意义(P值均<0.05)。激素组治疗3 d(59.26% vs 29.51%,χ2=55.82,P=0.008)和治疗7 d(81.48% vs 29.51%,χ2=64.27,P<0.001)的累计有效率均明显高于对照组。激素组中2例4级重症DILI患者治疗均无效,而因常规保肝治疗后肝酶下降但胆红素持续升高或降低不明显而加用激素的患者中93.75%治疗有效。  结论  中药及膳食补充剂是最常见的肝损伤药物。对于常规治疗后胆红素降低不理想的3级DILI患者短期内使用激素可获益。
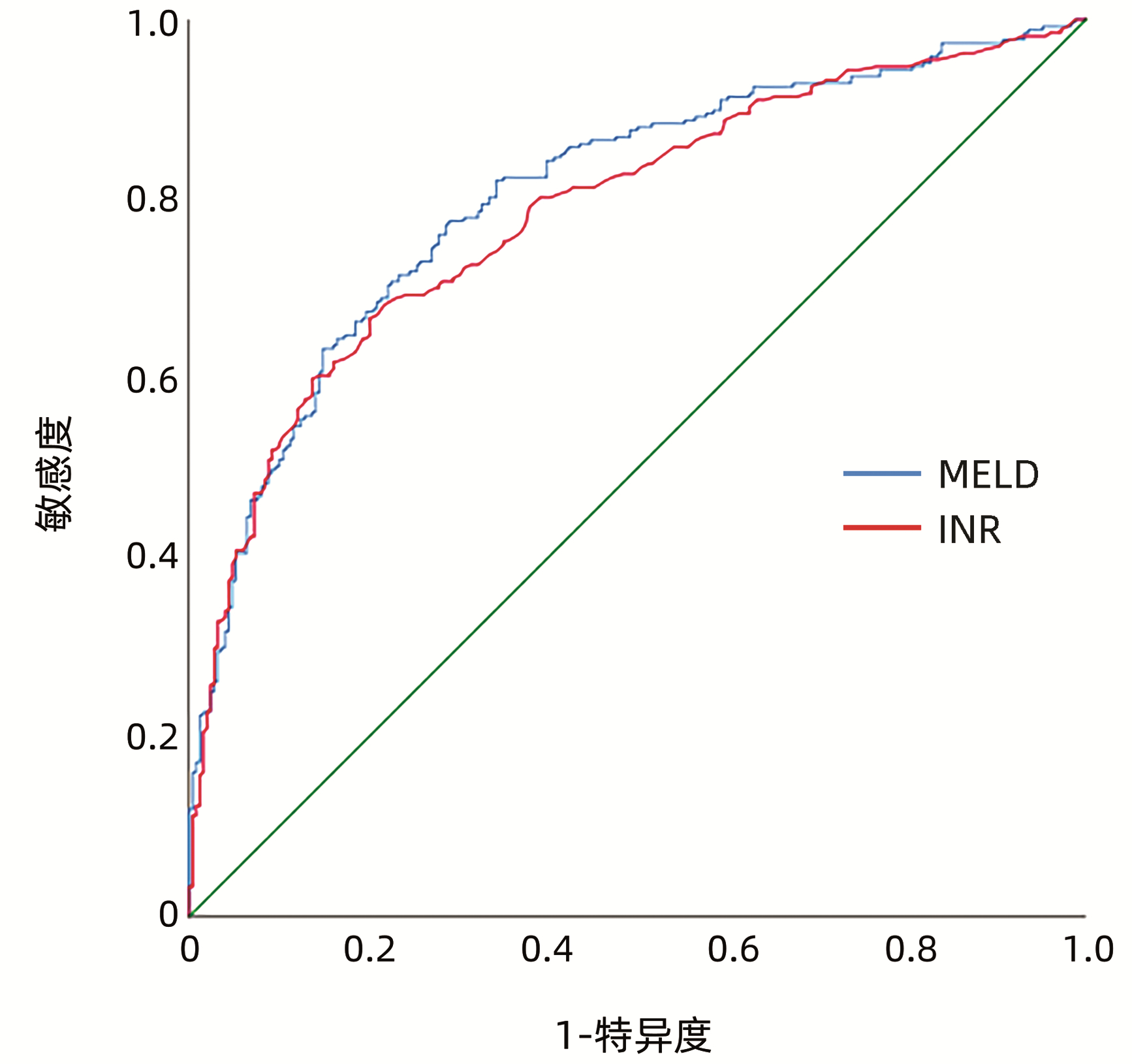
国际标准化比值不同分层的慢加急性肝衰竭患者行人工肝治疗的预后及不良反应观察
曾雨雨, 甘达凯, 谢能文, 万娇, 熊墨龙
2022, 38(10): 2308-2312. DOI: 10.3969/j.issn.1001-5256.2022.10.020
摘要(963) HTML (229) PDF (2000KB)(77)
摘要:
  目的  观察不同国际标准化比值(INR)水平的慢加急性肝衰竭(ACLF)患者人工肝治疗的预后及不良反应。  方法  选取2010年1月—2020年5月于南昌市第九医院重症肝病科行人工肝治疗的ACLF患者共515例,根据INR水平将其分为6组:A组(INR<1.5)20例,B组(1.5≤INR<1.9)115例,C组(1.9≤INR<2.6)179例,D组(2.6≤INR<3.2)61例,E组(3.2≤INR<4.2)75例,F组(INR≥4.2)65例。所有患者均经内科综合治疗联合人工肝治疗。计量资料多组间采用方差分析或Kruskal-Wallis H检验,计数资料多组间比较采用χ2检验,进一步两两比较均采用Bonferroni校正法。通过受试者工作特征曲线评估INR及MELD评分系统对ACLF患者预后的预测价值。  结果  INR不同分层ACLF患者90 d病死率比较差异有统计学意义(χ2=124.84,P<0.001),其中A组(25.0%)、B组(25.2%)、C组(39.7%)之间病死率差异无统计学意义(P>0.05);D组(65.6%)、E组(82.7%)、F组(92.3%)与A、B、C组病死率比较,差异均有统计学意义(P值均<0.05);D组与E组患者病死率差异无统计学意义(P>0.05);D组与F组病死率差异有统计学意义(P<0.05);E组与F组病死率差异无统计学意义(P>0.05)。6组间人工肝术中不良反应的发生率差异无统计学意义(χ2=8.956,P=0.111)。INR预测人工肝治疗ACLF患者预后的曲线下面积为0.786(95%CI:0.746~0.825,P<0.001),敏感度、特异度分别为66.7%、79.8%。  结论  INR对ACLF患者行人工肝治疗的预后具有较好的预测价值,人工肝安全性良好。
论著_胰腺疾病
内脏脂肪相关指数与急性胰腺炎严重程度的关系
黄河铭, 杨慧莹, 覃颖颖, 唐国都
2022, 38(10): 2313-2319. DOI: 10.3969/j.issn.1001-5256.2022.10.021
摘要(987) HTML (347) PDF (2160KB)(97)
摘要:
  目的  探讨内脏脂肪相关指数与急性胰腺炎(AP)严重程度之间的关系。  方法  选取2014年9月—2021年10月于广西医科大学第一附属医院住院的308例诊断为AP的患者作为研究对象,按AP分级诊断标准将其分为轻症急性胰腺炎(MAP)(n=186)、中度重症急性胰腺炎(MSAP)(n=60)和重症急性胰腺炎(SAP)(n=62),通过收集腰围、身高、体质量、血脂、生化等指标对比它们在年龄、住院费用及天数、评分系统和人体测量学指标等方面的差异。符合正态分布且方差齐性的计量资料组间比较采用单因素方差分析,方差不齐的组间及组内两两比较均采用Kruskal-Wallis H检验检验;不符合正态分布的计量资料组间及组内两两比较均采用Kruskal-Wallis H检验。分类资料和计数资料组间比较采用Kruskal-Wallis H检验。采用Spearman秩相关分析方法对各指标与AP的严重程度进行相关性分析;对各指标构建受试者工作特征曲线,并计算曲线下面积(AUC),比较AUC大小;用单因素及多因素Logistic回归分析方法找出MSAP和SAP发生的独立危险因素。  结果  住院费用及天数、TG、HDL-C、NLR、WBC、Alb、Cr、BUN、SIRS、BISAP、MEWS、Glasgow、PANC-3在3组间的差异均有统计学意义(P值均<0.05)。进一步两两比较发现,与MAP组相比,MSAP和SAP组的CMI、LAP、WTI、CVAI明显升高,差异均有统计学意义(P值均<0.05)。在相关性分析中,CMI与AP严重程度之间有一定相关性(r=0.352,P<0.001)。通过对各AUC大小的比较发现,CMI对预测MSAP和SAP发生的效能最大(AUC=0.708,95%CI:0.651~0.765,P<0.001)。单因素Logistic回归分析显示CMI、LAP、WTI、CVAI、WC是MSAP和SAP发生的危险因素(P值均<0.05),校正混杂因素后,CMI、CVAI是MSAP和SAP发生的独立危险因素(OR值分别为3.740、2.380, 95%CI分别为1.983~7.056、1.110~5.104,P值均<0.05)。  结论  内脏脂肪与AP病情严重程度有关;在4个内脏脂肪相关指数中(CMI、LAP、WTI、CVAI),以心脏代谢指数(CMI)在预测AP病情严重程度方面的价值最大,优于其他指数,两者呈正相关;CMI是MSAP和SAP发生的独立危险因素,或可作为预测和评估AP病情严重程度的潜在参考指标。
磁共振IDEAL-IQ技术对急性胰腺炎患者脂肪与铁沉积的诊断效能分析
范慧芳, 陈强, 原小军, 罗琳
2022, 38(10): 2320-2324. DOI: 10.3969/j.issn.1001-5256.2022.10.022
摘要(1308) HTML (528) PDF (2190KB)(85)
摘要:
  目的  利用IDEAL-IQ技术定量参数脂肪分量(FF)和弛豫率(R2*)对急性胰腺炎(AP)患者胰腺内脂肪沉积和铁沉积进行量化评估,评价其诊断AP的效能。  方法  纳入2020年10月—2021年10月于内蒙古科技大学包头医学院第一附属医院诊治的AP患者72例为AP组,以同期82例健康体检者为对照组。两组研究对象应用GE 3.0T MRI行腹部IDEAL-IQ序列检查,并在MR后处理工作站测量胰腺FF及R2*值。符合正态性分布的计量资料两组间比较采用t检验;不符合正态分布的计量资料两组间比较采用非参数Mann-Whitney U检验。差异有统计学意义的参数进行受试者工作特征曲线分析。以曲线下面积作为评价参数诊断效能的指标。  结果  病例组中FF值显著高于对照组(Z=-10.01,P<0.001),AP组中R2*值高于对照组,差异有统计学意义(Z=-3.73,P<0.001);而轻度与中重度AP间FF和R2*值的差异均无统计学意义(P值均>0.05);FF值和R2*值诊断AP的敏感度分别为100%、48.6%,特异度分别为90.2%、86.6%。  结论  磁共振IDEAL-IQ技术定量参数FF值诊断AP的灵敏度和特异度均较高,是诊断AP的特异性指标,具有很好的临床应用前景。
可切除胰腺癌术前评分分级体系的建立与应用
王成方, 王之江, 王伟林
2022, 38(10): 2325-2333. DOI: 10.3969/j.issn.1001-5256.2022.10.023
摘要(1021) HTML (589) PDF (2058KB)(81)
摘要:
  目的  探讨分析可切除胰腺癌早期复发的危险因素及评分分级体系的建立与应用。  方法  采用回顾性病例对照研究方法,纳入浙江大学医学院附属第二医院肝胆胰外科2015年3月—2021年6月行根治性切除手术的可切除胰腺癌患者303例,其中283例直接手术患者分为早期复发组(术后6个月内)(n=95)和非早期复发组(n=188);术前行新辅助治疗患者20例为新辅助治疗组。观察指标包括患者的一般资料及术前影像资料;患者术前实验室检验资料,血常规、血生化及衍生指标,肿瘤标志物及凝血指标;随访获得无复发生存情况。正态分布的计量资料两组间比较采用t检验;非正态分布的计量资料两组间比较采用Mann-Whitney U检验。计数资料两组间比较采用χ2检验。通过受试者工作特征曲线确定各指标的最佳临界值。采用多因素Logistic回归分析胰腺癌患者早期复发的危险因素。绘制Kaplan-Meier曲线并采用Log-rank检验比较各组患者的无复发生存期。  结果  单因素分析结果显示,与非早期复发组相比,早期复发组患者BMI、甘油三酯较低,CA19-9、CA242、CA125、血浆纤维蛋白原较高(P值均<0.05)。多因素Logistic回归分析结果显示,BMI(OR=1.150,95%CI:1.038~1.273,P=0.007)、血浆纤维蛋白原(OR=2.513,95%CI:1.355~4.663,P=0.003)和CA242(OR=2.482,95%CI:1.067~5.774,P=0.035)是可切除胰腺癌患者早期复发的独立危险因素。将BMI、CA242、血浆纤维蛋白原3项指标纳入评分分级体系,临界值分别为23.00 kg/m2、30.00 U/mL和4.00 g/L。BMI<23.00 kg/m2计为1分,否则计为0分;CA242≥30.0 U/mL计为1分,否则0分;血浆纤维蛋白原≥4.00 g/L计为1分,否则0分,总分为0~3分。对早期复发与非早期复发患者进行评分,结果显示早期复发组评分更高[2(0~3)分vs 1(0~3)分,Z=-5.339,P<0.001]。Kaplan-Meier曲线分析结果显示,不同评分组别的患者无复发生存时间比较差异有统计学意义(χ2=28.116,P<0.001),分值越高预期无复发生存时间越短。将3分定义为高危组,0~2分定义为低危组。高危组早期复发率为84.6%,低危组早期复发率为31.2%。  结论  基于BMI、血浆纤维蛋白原和CA242这3项指标建立的评分系统能够在一定程度上预测患者术后复发情况。
病例报告
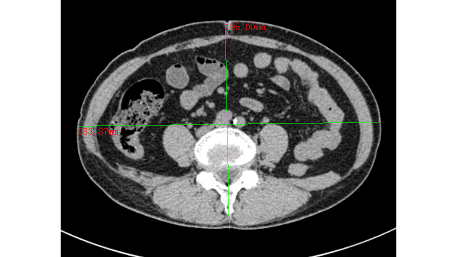
丙型肝炎合并弥漫大B细胞淋巴瘤1例报告
涂芷馨, 黄剑洁, 王妍, 马博, 韩雨金, 郭亮, 温晓玉, 金清龙
2022, 38(10): 2334-2336. DOI: 10.3969/j.issn.1001-5256.2022.10.024
摘要(658) HTML (304) PDF (2373KB)(74)
摘要:
老年肝硬化患者经颈静脉肝内门体分流术后菌血症1例报告
刘琴, 姚欣, 李英, 何胜, 汤善宏, 秦建平
2022, 38(10): 2337-2340. DOI: 10.3969/j.issn.1001-5256.2022.10.025
摘要(1100) HTML (250) PDF (2493KB)(79)
摘要:
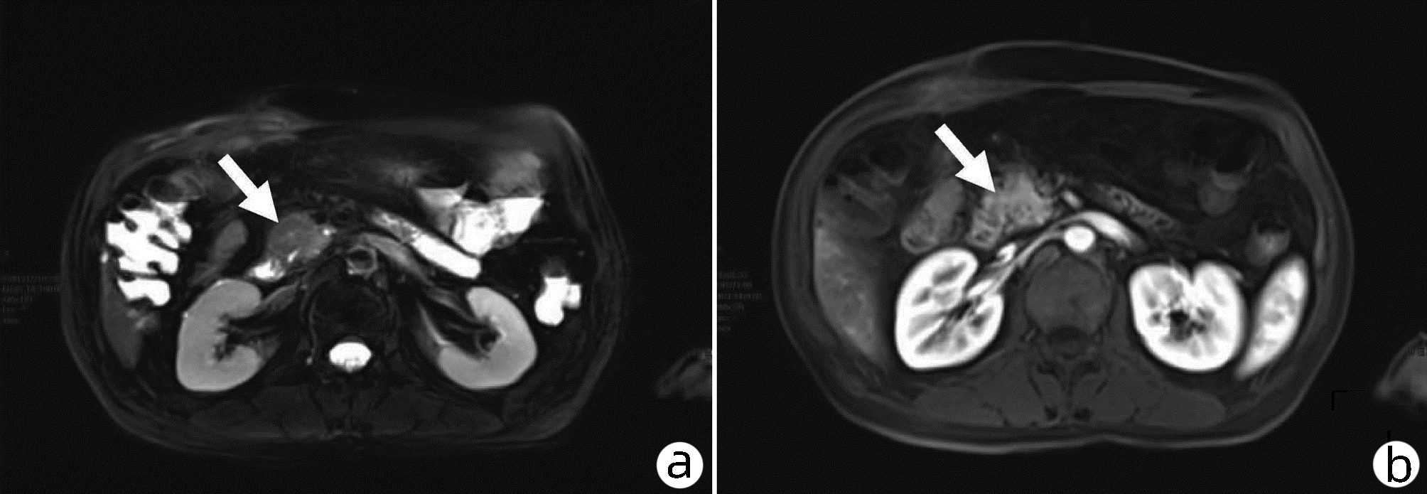
肝窦阻塞综合征合并胰周积液误诊为急性胰腺炎1例报告
陈佼舜, 张浩翔, 殷涛
2022, 38(10): 2341-2343. DOI: 10.3969/j.issn.1001-5256.2022.10.026
摘要(874) HTML (241) PDF (2266KB)(78)
摘要:
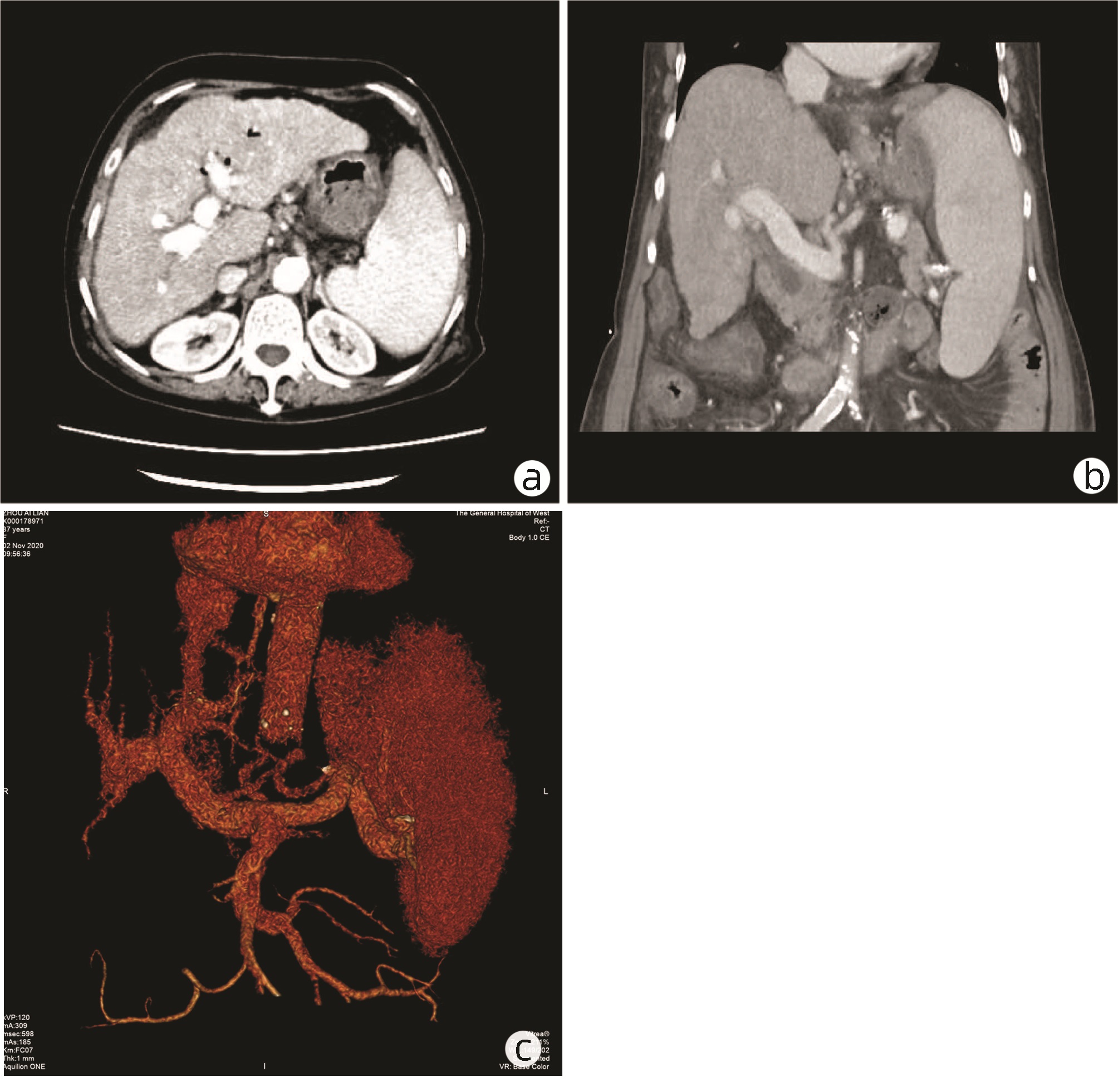
不可逆电穿孔消融术治疗不可切除壶腹部周围癌1例报告
扈彩霞, 赵鹏, 刘博君, 郑加生, 张永宏
2022, 38(10): 2344-2345. DOI: 10.3969/j.issn.1001-5256.2022.010.027
摘要(843) HTML (378) PDF (1924KB)(70)
摘要:
综述
炎性相关标志物判断HBV相关慢加急性肝衰竭预后的研究进展
邓婷婷, 李莉, 关瀛, 罗雪艳, 秦坤, 刘敏
2022, 38(10): 2346-2351. DOI: 10.3969/j.issn.1001-5256.2022.10.028
摘要(1092) HTML (315) PDF (1789KB)(113)
摘要:
慢加急性肝衰竭是一种短期急剧恶化、合并多器官功能衰竭且病死率高的临床综合症候群,是重症肝病研究领域的热点内容。早期、准确、快速判断临床预后,及时干预疾病进展对改善疾病转归具有重要意义。对近年来发现的HBV相关慢加急性肝衰竭炎性相关预后标志物进行了归纳,旨在完善现有预后指标,为临床医生评估慢加急性肝衰竭患者预后提供更多的依据。
人工智能及机器学习在非酒精性脂肪性肝病中的应用
冯巩, 王雪莹, 李珊珊, 贺娜, 郑皓允, 严琴琴, 弥曼
2022, 38(10): 2352-2356. DOI: 10.3969/j.issn.1001-5256.2022.10.029
摘要(1398) HTML (563) PDF (1869KB)(202)
摘要:
非酒精性脂肪性肝病(NAFLD)已成为全球第一大慢性肝病,并与心血管病、肾病发生风险密切相关。目前,NAFLD的诊断和治疗仍然面临诸多挑战,其中,提升诊断效能和优化个体化治疗途径是亟需明确和实现的主要目标。NAFLD严重程度的评估涉及多个临床参数,如何优化非侵入性评估方法是该领域的研究热点。人工智能(AI)在医学领域的应用日益广泛,也为NAFLD的临床诊疗带来新的启示。本文总结了近年来AI及机器学习在NAFLD领域的相关研究成果,阐述了多种相关临床诊断和预后新模型在NAFLD中的应用现状和前景。
去乙酰化酶Sirtuins家族与非酒精性脂肪性肝病的关系
宗也凯, 刘江凯
2022, 38(10): 2357-2361. DOI: 10.3969/j.issn.1001-5256.2022.10.030
摘要(879) HTML (328) PDF (1771KB)(83)
摘要:
去乙酰化酶Sirtuins家族广泛存在于人体细胞当中,通过作用于线粒体、内质网和细胞核调节多种蛋白的翻译后化学修饰,对生物代谢过程产生影响,其参与非酒精性脂肪性肝病中的多种病理生理反应。本文对去乙酰化酶Sirtuins家族与非酒精性脂肪性肝病关系的研究进展进行了综述,旨在为今后治疗非酒精性脂肪性肝病提供可能的潜在途径。
胆汁酸代谢在原发性胆汁性胆管炎发病机制中的作用
贾皖婷, 刘晓晓, 邰文琳
2022, 38(10): 2362-2367. DOI: 10.3969/j.issn.1001-5256.2022.10.031
摘要(1338) HTML (323) PDF (1789KB)(140)
摘要:
原发性胆汁性胆管炎(PBC)是一种胆汁淤积性自身免疫性肝病, 以中老年女性高发, 小胆管淋巴细胞浸润和胆汁淤积为主要特征。临床表现以疲惫和胆汁淤积造成的瘙痒为主。目前被批准的治疗药物熊去氧胆酸和奥贝胆酸, 主要是通过调节胆汁酸代谢,特异且有效的改善胆汁淤积而起作用。本文介绍了胆汁酸生理及疾病状态下的病理改变,归纳了胆汁酸代谢参与疾病发病机制的可能方式,总结了目前针对胆汁酸代谢的疾病治疗方法。指出PBC胆汁酸代谢改变主要与阴离子交换器2缺陷、胆汁酸代谢的转运体和核受体先天遗传变异及后天适应性改变、肠道菌群结构发生改变有关。
炎症在肝纤维化中的作用
李婷, 刘华宝, 胡文艳, 饶春燕
2022, 38(10): 2368-2372. DOI: 10.3969/j.issn.1001-5256.2022.10.032
摘要(2028) HTML (398) PDF (1986KB)(365)
摘要:
慢性肝损伤引起的炎症反应是肝纤维化发生发展的主要病理因素。在肝纤维化发展的过程中,大量炎症信号被激活,促使肝星状细胞向肌成纤维细胞转化,最终导致肝脏中细胞外基质的大量分泌和沉积,形成瘢痕组织。本文综述了肝星状细胞、Kupffer细胞、炎症小体、炎症信号通路等在肝纤维化过程中的作用,以对临床诊断和治疗提供参考。
肝纤维化发生机制及其中药逆转治疗的研究进展
刘世恒, 赵素贤, 张玉果
2022, 38(10): 2373-2377. DOI: 10.3969/j.issn.1001-5256.2022.10.033
摘要(1375) HTML (452) PDF (1774KB)(118)
摘要:
肝纤维化是指在各种病因作用下,肝星状细胞被激活,分泌大量的细胞外基质,最终导致肝脏纤维化。早期逆转肝纤维化可以阻止疾病进一步发展,减少终末期肝病和肝癌的发生,本文分别介绍了肝血窦内皮细胞(LSEC)、Notch信号通路、YAP/TAZ信号通路、细胞自噬在逆转肝纤维化方面的作用机制,并列举其各自机制下抗肝纤维化的中药治疗研究进展,以期为逆转肝纤维化提供新的研究思路及中药治疗方法。
肝门-窦血管疾病的研究进展
刘靓, 刘江凯, 刘甜恬, 张建文, 张雅儒, 李冰倩
2022, 38(10): 2378-2382. DOI: 10.3969/j.issn.1001-5256.2022.10.034
摘要(1562) HTML (1466) PDF (1768KB)(195)
摘要:
肝门-窦血管疾病(PSVD)于2017年被提议替代“特发性非肝硬化性门静脉高压症”,以描述在无肝硬化的情况下涉及门静脉或肝窦的典型组织学改变。根据PSVD的定义,存在肝病常见病因、门静脉血栓和无门静脉高压症的患者不再被排除在外。本文就PSVD的病因、临床表现、检查、诊断、治疗和预防等方面展开综述,以提高临床医生对该疾病的认识。
胆汁酸在肝硬化心肌病中的作用
梁世洋, 林强, 宋俊良, 王景杰
2022, 38(10): 2383-2386. DOI: 10.3969/j.issn.1001-5256.2022.10.035
摘要(1124) HTML (434) PDF (1756KB)(102)
摘要:
肝硬化心肌病(CCM)是肝硬化伴有的一种常见且容易被忽视的并发症, 其发病率较高, 且对肝移植和经颈静脉肝内门体分流术的预后有明显影响,近年来引起研究人员的高度关注。肝硬化患者常伴有血清总胆汁酸水平升高和胆汁酸组成改变, 而高浓度胆汁酸具有心脏毒性。基于文献证据,本文总结了肝硬化患者胆汁酸代谢的改变、胆汁酸对心脏功能的影响及熊去氧胆酸为CCM的潜在治疗药物3个方面内容,旨在为CCM的预防和治疗提供新思路。
嵌合抗原受体T淋巴细胞免疫疗法在原发性肝癌中的应用
李康伟, 尉丁, 张若涵, 李霄, 陶开山
2022, 38(10): 2387-2390. DOI: 10.3969/j.issn.1001-5256.2022.10.036
摘要(1054) HTML (251) PDF (1761KB)(81)
摘要:
原发性肝癌具有恶性程度高、进展快、易复发转移和病死率高等特点,因此大多数患者就诊时已发生肝内或肝外转移,失去手术治疗机会。嵌合抗原受体T淋巴细胞(CAR-T)免疫疗法已在B细胞急性淋巴性白血病治疗中取得了较好的效果,其在原发性肝癌、胰腺癌、胃癌以及前列腺癌等实体瘤中的应用也陆续开展了临床试验。本文综述了CAR-T免疫疗法在原发性肝癌临床试验中的疗效,并讨论了其在临床应用中需攻克的难题,如缺乏适宜的肿瘤靶点、肿瘤微环境对CAR-T的抑制作用以及CAR-T对肿瘤组织的浸润性差等,以期为临床研究提供参考。
肝内胆管癌的危险因素与发病机制
梁煜, 赵远红, 李正
2022, 38(10): 2391-2395. DOI: 10.3969/j.issn.1001-5256.2022.10.037
摘要(2289) HTML (458) PDF (2345KB)(135)
摘要:
肝内胆管癌(ICC)病因复杂,高度侵袭、预后不良,是仅次于肝细胞癌的第二大肝胆恶性肿瘤。早期手术切除仍是ICC的最佳治疗方案,但因其起病隐匿,恶性程度高,多数患者就诊时已处于中晚期,失去了最佳的手术时机。因此,临床上能够对ICC进行早期及时的识别和干预十分重要。目前已经有研究证实了原发性硬化性胆管炎、病毒性肝炎、肝内胆管结石等危险因素与ICC的密切关系,分子生物学和遗传学技术的迅速发展也为ICC发病机制的深入研究提供了更好的方法。现将近年来ICC的危险因素及发病机制相关研究作一综述,以期为其临床早期诊治提供更多有价值的信息。
人工肝治疗的抗凝剂应用进展及选择策略
马元吉, 杜凌遥, 白浪, 唐红
2022, 38(10): 2396-2401. DOI: 10.3969/j.issn.1001-5256.2022.10.038
摘要(2528) HTML (645) PDF (2107KB)(213)
摘要:
凝血功能异常是肝衰竭的特征之一,患者体内的凝血功能趋于不稳定且脆弱的“再平衡”状态,易受内外因素影响而被打破。人工肝治疗肝衰竭时常需要使用抗凝剂,这可能打破“再平衡”,导致出血事件发生。本文综述了肝衰竭的凝血状态评估方法、可用抗凝剂的特点及其在人工肝治疗中的应用进展,并结合四川大学华西医院的选用经验,探讨人工肝治疗的抗凝管理与选择策略。
氧化应激在急性肝损伤中的作用
廖月, 何毅怀, 罗亚文
2022, 38(10): 2402-2407. DOI: 10.3969/j.issn.1001-5256.2022.10.039
摘要(2581) HTML (2008) PDF (2490KB)(292)
摘要:
急性肝损伤常由病毒感染、酒精、药物、毒物、代谢异常等原因引起。氧化应激是急性肝损伤及其他肝病发生发展的共同病理生理机制。急性肝损伤发生后,肝细胞功能受损,引起氧化应激;而持续或高强度的氧化应激将增加肝细胞死亡的风险,导致一系列肝脏疾病。氧化应激主要与Nrf2、NF-κB等信号通路相关。因此,了解氧化应激参与肝损伤的发生发展机制及相关通路至关重要。本文介绍了氧化系统及抗氧化系统、氧化应激与损伤因素、氧化应激与肝损伤相关通路,以期为急性肝损伤的治疗靶点选择及相关临床研究提供参考。
终末期肝病血管活性物抵抗发生机制与诊疗关系的争议和对策
刘建军, 郑文凯, 王江红, 任燕军, 刘研, 赵利珍
2022, 38(10): 2408-2411. DOI: 10.3969/j.issn.1001-5256.2022.10.040
摘要(979) HTML (186) PDF (1753KB)(73)
摘要:
终末期肝病(ESLD)血管活性物(VS)抵抗是指患者对内、外源性VS反应性和心脏、血管兴奋性降低,周围循环功能障碍及诱发相关不良事件的现象。VS抵抗与ESLD相关并发症的发病机制、诊断和治疗密切相关,但仍存在较多争议问题,包括:(1)ESLD患者发生VS抵抗的原因和机制;(2)VS抵抗与ESLD多器官损伤的关系;(3)如何预防与缓解VS抵抗;(4)ESLD患者发生VS抵抗的血管活性药物使用问题等。本文就上述问题提出商榷,旨在探讨如何防止与缓解ESLD患者VS抵抗以及减少相关不良事件发生。
超声造影肝脏影像报告与数据系统分类标准在M类病变中的应用及进展
吴星霓, 唐少珊, 李想, 李梓楠
2022, 38(10): 2412-2415. DOI: 10.3969/j.issn.1001-5256.2022.10.041
摘要(1500) HTML (333) PDF (1762KB)(68)
摘要:
肝细胞癌(HCC)和非HCC肝恶性肿瘤在发病机制、生物学行为等方面存在显著差异,超声造影肝脏影像报告与数据系统(CEUS LI-RADS)中M类的存在为两者鉴别提供了新思路。本文介绍了CEUS LI-RADS分类标准在M类病变中的诊断应用情况及进展,认为应用CEUS LI-RADS可以帮助鉴别HCC和非HCC恶性肿瘤,但未来仍需进一步的改进和完善。
不可忽视的重症肝病——缺血性肝炎
祝凯, 许红梅
2022, 38(10): 2416-2421. DOI: 10.3969/j.issn.1001-5256.2022.010.042
摘要(2196) HTML (293) PDF (1782KB)(152)
摘要:
缺血性肝炎在ICU临床日益多见,预后往往较差。其发病机制复杂,临床表现缺乏特异性,辅助检查方法有限,诊断标准及治疗方法尚未统一。早期识别和治疗对缺血性肝炎尤为重要。本文总结了缺血性肝炎的流行病学、发病机制、临床表现、辅助检查、诊断、治疗及相关研究进展,以期提高临床医师对该病的认识,促进对该病的及时诊断和治疗。
胆囊运动亢进的研究进展
梁文平, 罗丹, 刘博, 薛东波, 马骉
2022, 38(10): 2422-2427. DOI: 10.3969/j.issn.1001-5256.2022.10.043
摘要(1260) HTML (624) PDF (2443KB)(101)
摘要:
近年来,消化系统疾病的发病率逐年升高,胆道运动障碍也愈发受到人们关注,特别是其中所包含的胆囊运动亢进。本文从国内外该领域研究现状出发,对胆囊运动亢进的基本概念、流行病学、发病机制、病理、临床与影像学表现、诊断与治疗相关临床研究进展进行了系统阐述,并在此基础上对未来相关研究方向给出建议。
胆管癌肿瘤微环境与免疫治疗
陈顺, 王俊
2022, 38(10): 2428-2432. DOI: 10.3969/j.issn.1001-5256.2022.10.044
摘要(1300) HTML (768) PDF (1923KB)(109)
摘要:
肿瘤微环境在胆管癌细胞增殖、促进肿瘤侵袭和转移过程中扮演重要角色,其复杂的作用机制,决定了胆管癌的异质性与恶性潜能,针对微环境中某些因子作为靶点进行抑制,重塑肿瘤微环境中免疫环境, 增强自然抗肿瘤免疫反应,经过改善的免疫环境和免疫功能在预测免疫治疗的反应性和确定新的治疗策略方面具有巨大的临床潜力,为胆管癌的定向治疗提供了潜在的研究方向。
国外期刊精品文章简介
Hepatology|基于人群分析发现1992年—2017年美国人群肝细胞癌疾病负担下降
2022, 38(10): 2259-2259. DOI: 10.3969/j.issn.1001-5256.2022.10.gwjpwzjj1
摘要(502) HTML (155) PDF (807KB)(75)
摘要:
Hepatology|经颈静脉肝内门体分流术联合自发性门体分流封堵可有效降低术后显性肝性脑病发病率
2022, 38(10): 2285-2285. DOI: 10.3969/j.issn.1001-5256.2022.10.gwjpwzjj2
摘要(566) HTML (189) PDF (972KB)(90)
摘要:
Journal of Clinical Oncology|新辅助放化疗方案可延长可切除和临界可切除胰腺癌患者的生存期
2022, 38(10): 2312-2312. DOI: 10.3969/j.issn.1001-5256.2022.10.gwjpwzjj3
摘要(482) HTML (392) PDF (819KB)(92)
摘要:
消息
《临床肝胆病杂志》2023年征稿征订启事
2022, 38(10): 2205-2205.
摘要(248) HTML (148) PDF (806KB)(75)
摘要:
志谢
本期审稿专家
2022, 38(10): 2223-2223. DOI: 10.3969/j.issn.1001-5256.2022.10.zhixie1
摘要(743) HTML (156) PDF (1247KB)(67)
摘要: