显示方式:
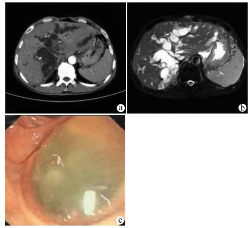
2021, 37(12): 2848-2848.
摘要:
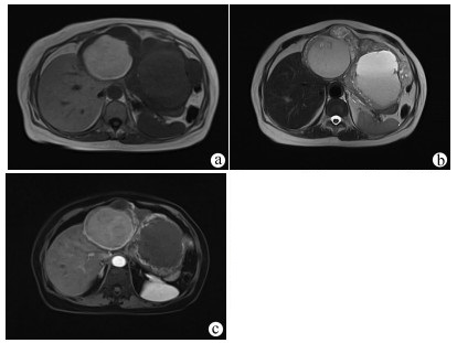
2021, 37(12): 2892-2892.
摘要:
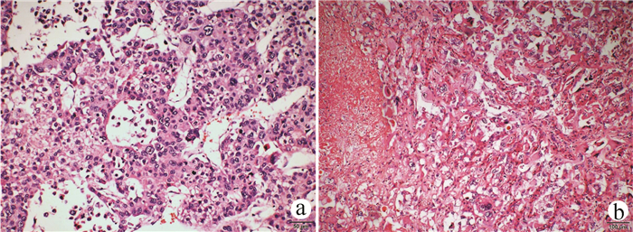
2021, 37(12): 2927-2927.
摘要:
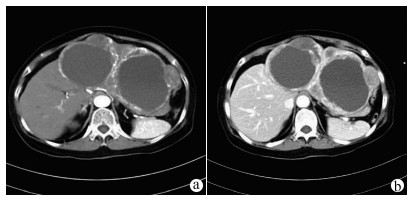
2021, 37(12): 2755-2755.
摘要:


摘要
HTML
PDF (1934KB)





