中文English
ISSN 1001-5256 (Print)
ISSN 2097-3497 (Online)
CN 22-1108/R

留言板

尊敬的读者、作者、审稿人, 关于本刊的投稿、审稿、编辑和出版的任何问题, 您可以本页添加留言。我们将尽快给您答复。谢谢您的支持!

姓名
邮箱
手机号码
标题
留言内容
验证码

第41卷 第2期(总292期) 2025年2月
“中国病毒性肝炎防治现状与展望” 重点号
执行主编:王宇
中国肝炎防治基金会

显示方式:
述评
建立公共卫生管理模式,促进消除病毒性肝炎危害
王宇
2025, 41(2): 201-204. DOI: 10.12449/JCH250201
摘要(2382) HTML (217) PDF (534KB)(125)
摘要:
本文对2020年全国慢性病毒性肝炎流行病学的调查结果及公共卫生意义进行了述评,并探讨了慢性病毒性肝炎规范治疗管理率与艾滋病和结核病公共卫生管理模式的差异。最后提出了为加速消除病毒性肝炎及相关疾病危害,应建立公共卫生管理模式。
专家论坛
中国慢性乙型肝炎治疗的进展与挑战
单姗, 贾继东
2025, 41(2): 205-209. DOI: 10.12449/JCH250202
摘要(3201) HTML (377) PDF (630KB)(351)
摘要:
我国自1992年开始实行了以新生儿普遍接种乙型肝炎疫苗为核心的综合预防策略,极大地降低了人群(特别是低年龄组人群)中乙型肝炎病毒表面抗原阳性率。抗病毒治疗不仅可以改善肝脏组织学,而且还可以减少肝硬化及门静脉高压相关并发症及肝细胞癌的发生风险,从而改善临床预后。随着临床指南不断更新以及一线抗病毒药物价格大幅下降,治疗的可及性和可负担性大幅提高。但由于我国人口基数大、既往乙型肝炎流行率高,现存乙型肝炎感染人数仍然众多,诊断率和治疗率仍然偏低,乙型肝炎相关肝硬化和肝癌人群死亡率仍较高。因此,应通过积极的社会动员并采取医防结合的策略,开展大规模检测和治疗慢性乙型肝炎,助力实现世界卫生组织提出的2030年消除病毒性肝炎公共卫生危害的目标。
中国乙型肝炎疫苗免疫策略及接种进展
唐林, 许侠, 周泽玫, 王晓琪, 李继贞, 尹遵栋, 王富珍
2025, 41(2): 210-215. DOI: 10.12449/JCH250203
摘要(3576) HTML (579) PDF (1327KB)(241)
摘要:
乙型肝炎是全球重要的公共卫生问题。我国通过实施以乙型肝炎疫苗为核心的综合防控策略,在乙型肝炎防控方面取得了显著成效,但仍存在诸多问题和挑战。本文回顾了我国乙型肝炎免疫策略的发展历程,分析了不同人群的疫苗接种目标与进展,以及存在的问题及挑战,为进一步优化免疫策略和提升防控水平提供参考。
中国消除丙型肝炎公共卫生危害行动进展、成效与挑战
李健, 刘中夫
2025, 41(2): 216-220. DOI: 10.12449/JCH250204
摘要(3008) HTML (362) PDF (630KB)(128)
摘要:
自2016年世界卫生组织提出2030年消除病毒性肝炎公共卫生威胁的愿景以来,我国积极推进消除丙型肝炎危害工作,制定政策、明确主要任务、聚焦重点问题、落实防治措施,各项工作均取得了积极进展。本文回顾了2016年以来中国消除丙型肝炎危害行动进展以及所取得的工作成效,剖析目前存在的主要问题和挑战,并对未来的防治策略提出建议,旨在为实现2030年消除病毒性肝炎公共卫生威胁的目标提供参考。
中国病毒性肝炎疾病负担研究进展
李健, 王富珍, 陈仲丹, 齐金蕾, 王爱玲, 赵方辉, 孔媛媛, 孙静, 康家琦, 尹遵栋, 刘中夫, 贾继东, 王宇
2025, 41(2): 221-227. DOI: 10.12449/JCH250205
摘要(2520) HTML (414) PDF (2377KB)(301)
摘要:
在过去的30年,中国在病毒性肝炎防控领域取得显著成效,儿童新发HBV感染率、人群急性病毒性肝炎发病率均降至较低水平,但是中国慢性病毒性肝炎疾病负担仍然沉重,严重影响人群健康。本研究系统分析了中国病毒性肝炎预防控制所取得的工作成效,剖析目前存在的主要问题和挑战,结合中国国情,提出消除病毒性肝炎公共卫生危害的综合防控策略和措施,以期为助力推动中国相关部门就如何实现2030年消除病毒性肝炎公共卫生危害行动目标提供参考依据。
海南省消除病毒性肝炎公共卫生危害工作实践
李维华, 熊昌富, 陈太梵, 何滨, 殷大鹏, 曾雪霞, 林锋, 陈碧玉, 曾小妹, 吴彪, 江娟, 钟璐, 张毓辉
2025, 41(2): 228-233. DOI: 10.12449/JCH250206
摘要(2810) HTML (352) PDF (1009KB)(98)
摘要:
2022年海南省政府启动了病毒性肝炎防治项目,其目标为:到2025年底18岁以上人群乙型肝炎筛查率达到90%,诊断率达到90%,治疗率达到80%;其主要干预措施为“人群预防、病例筛查、抗病毒治疗和健康管理”。截至2024年12月31日,累计筛查乙型肝炎大众人群687.5万人,筛查率为95.6%;发现HBsAg阳性者184 710例,其中确诊复核检测156 772例,诊断率为84.9%;发现慢性乙型肝炎患者50 742例,其中建立乙型肝炎专病档案进行健康管理42 921例,建档率84.6%;抗病毒治疗31 553例,治疗率62.2%。累计筛查丙型肝炎重点人群250.3万人,其中抗-HCV阳性4 870例,HCV RNA检测3 858例,诊断率为79.2%;发现HCV RNA阳性1 824例,其中接受抗病毒治疗1 194例,治疗率65.5%。对HBsAg和抗-HBs阴性、年龄在20~40岁人群免费接种乙型肝炎疫苗159 301人。通过病毒性肝炎防治项目的实施,海南省短期内发现、治疗和管理了一大批病毒性肝炎患者,明显加快了消除病毒性肝炎危害行动步伐。
指南与规范
《2024年欧洲肝病学会临床实践指南:肝细胞癌管理》摘译
杨嘉睿, 江建新
2025, 41(2): 234-239. DOI: 10.12449/JCH250207
摘要(3196) HTML (361) PDF (609KB)(234)
摘要:
肝癌是全球癌症相关死亡的第三大原因,其中肝细胞癌(HCC)约占原发性肝癌的90%。诊断和治疗技术的进步,以及对其临床应用的更深入理解,正在改变患者的治疗方式。将这些创新技术应用于临床实践中存在诸多挑战,亟需基于循证医学的规范化指导。新版临床实践指南通过系统评估最新研究数据,为HCC的诊疗管理提供了最新的建议。2024年欧洲肝病学会指南建议组建涵盖多学科专家的诊疗团队,通过多参数评估,从患者个体化需求出发,全面权衡治疗风险与临床获益。
《2024年欧洲肝病学会临床实践指南:肝移植》摘译
倪彦彬, 朱继业
2025, 41(2): 240-246. DOI: 10.12449/JCH250208
摘要(3176) HTML (462) PDF (636KB)(179)
摘要:
2024年7月,欧洲肝病学会发布了最新版 《欧洲肝病学会临床实践指南:肝移植》。该指南并未涵盖肝移植的所有方面,而是侧重于2016版指南发布以来的重要进展。本文对指南中的推荐意见进行摘译。
脂肪性肝病
基于限制性立方样条模型分析绝经时间、绝经年龄与非酒精性脂肪性肝病的关系
赵晨露, 马素平, 尚东方, 刘素彤, 刘晓彦, 郑瑗瑗, 赵文霞
2025, 41(2): 247-253. DOI: 10.12449/JCH250209
摘要(2789) HTML (324) PDF (1241KB)(69)
摘要:
  目的  探讨绝经时间、绝经年龄与非酒精性脂肪性肝病(NAFLD)发病风险的关系,为临床早期防治NAFLD提供依据。  方法  收集2017年1月—2021年12月就诊于河南中医药大学第一附属医院脾胃肝胆病科门诊的373例绝经后女性患者的基本信息、绝经年龄、绝经时间及是否患有NAFLD。计数资料组间比较采用χ2检验;符合正态分布的计量资料两组间比较采用成组t检验,不符合正态分布的计量资料两组间比较采用Wilcoxon秩和检验;采用Logistic回归分析绝经时间、年龄与NAFLD风险的关联强度(OR)及95%CI,采用限制性立方样条法(RCS)分析绝经时间、年龄与NAFLD患病风险的剂量反应关系。  结果  与正常绝经和晚期绝经者相比,早期绝经者的NAFLD患病率、肝脂肪变性和肝纤维化分级程度均较高(P值均<0.05)。调整年龄、初潮年龄等混杂因素后,与绝经时间≤3年相比,绝经时间>3年者NAFLD患病风险为前者的4.80倍(95%CI:1.93~11.95,P=0.001);与正常绝经年龄者相比,早期绝经年龄者和晚期绝经年龄者NAFLD患病风险分别为前者的8.14倍(95%CI:1.77~37.58,P=0.007)和0.09倍(95%CI:0.03~0.32,P<0.001)。绝经时间、绝经年龄与NAFLD患病风险呈现剂量-反应关系,绝经时间与NAFLD患病关联强度呈正相关,而绝经年龄与NAFLD患病关联强度呈负相关。  结论  绝经时间越长、绝经年龄越早者患NAFLD风险越高。
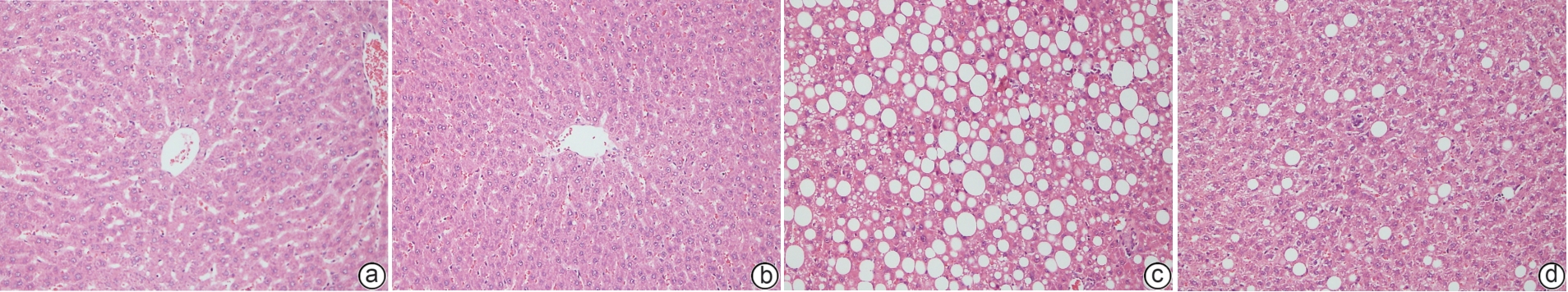
1,25(OH)2D3改善胆碱缺乏氨基酸饮食诱导的非酒精性脂肪性肝炎大鼠模型肝脏炎症的机制分析
朱海洋, 崔京淑, 杨柳, 周梦婷, 童戬, 韩红梅
2025, 41(2): 254-262. DOI: 10.12449/JCH250210
摘要(691) HTML (215) PDF (4284KB)(44)
摘要:
  目的  分析1,25(OH)2D3对非酒精性脂肪性肝炎(NASH)大鼠模型肝脏过氧化物酶体增殖物激活受体γ(PPAR-γ)水平以及肝巨噬细胞表型、肝脏炎症的影响,初步探讨1,25(OH)2D3改善NASH肝脏炎症的相关机制。  方法  将24只SPF级Wistar大鼠适应性喂养1周后,随机分为4组。正常组(n=6):给予胆碱充足的氨基酸(CSAA)饮食;正常+1,25(OH)2D3组(n=6):给予CSAA饮食+1,25(OH)2D3干预;模型组(n=6):给予胆碱缺乏的氨基酸(CDAA)饮食;模型+1,25(OH)2D3组(n=6):给予CDAA饮食+1,25(OH)2D3干预。1,25(OH)2D3剂量为5 μg/kg,经腹腔注射,每周2次,共12周。检测每组大鼠血清AST、ALT水平;观察肝组织病理学严重程度,评估SAF评分。检测肝组织M1型、M2型肝巨噬细胞,分析肝巨噬细胞表型变化;并检测肝组织TNF-α、IL-1β、IL-4、IL-10水平以及PPAR-γ的mRNA水平。组间比较采用双因素方差分析,进一步比较采用LSD-t多重检验,相关性分析采用Pearson相关法。  结果  与正常组比较,CDAA饮食诱导的NASH模型AST和ALT水平均升高(P值分别为0.019、<0.001),肝组织病理学SAF评分(P<0.001)、M1型肝巨噬细胞表达水平(P<0.001)、M1/M2表型比值(P=0.001)、TNF-α表达水平显著增加(P<0.001),IL-4表达水平降低(P=0.025);1,25(OH)2D3显著降低了CDAA饮食诱导NASH大鼠血清ALT水平(P<0.001)、肝组织病理学SAF评分(P<0.001)、M1型肝巨噬细胞水平(P<0.001)、M1/M2型比值(P=0.001)、IL-1β水平(P<0.001),增加了M2型肝巨噬细胞水平(P=0.017)、IL-10水平(P=0.039)、IL-4水平(P<0.001)、PPAR-γ水平(P=0.016)。CDAA饮食诱导的NASH模型和1,25(OH)2D3在大鼠血清AST和ALT水平(P值分别为0.007、0.008)、肝组织病理学SAF评分(P<0.001)、M1型肝巨噬细胞水平(P<0.001)、M2型肝巨噬细胞水平(P=0.008)、M1/M2表型比值(P=0.005)、TNF-α水平(P<0.001)、IL-10水平(P=0.038)、IL-4水平(P<0.001)、PPAR-γ水平(P=0.009)中有显著交互作用。相关性分析结果示:PPAR-γ与肝巨噬细胞M1/M2表型比值呈负相关(r=-0.415,P=0.044);与M2型肝巨噬细胞、IL-10、IL-4均呈正相关(r值分别为0.435、0.433、0.532,P值分别为0.033、0.035、0.007)。  结论  1,25(OH)2D3激活PPAR-γ调控肝巨噬细胞表型转变,改善NASH肝脏炎症。
肝纤维化及肝硬化
不同无创诊断模型对代偿期乙型肝炎肝硬化显著门静脉高压食管胃静脉曲张的诊断价值
刘诚, 曾嘉旖, 方梦冰, 陈智恒, 桂蓓, 赵凤鸣, 袁靖凯, 张朝臻, 施梅姐, 谢玉宝, 池晓玲, 萧焕明
2025, 41(2): 263-268. DOI: 10.12449/JCH250211
摘要(2206) HTML (318) PDF (919KB)(67)
摘要:
  目的  代偿期乙型肝炎肝硬化显著门静脉高压患者发生食管胃静脉曲张(GOV)风险较大,通过评价不同无创诊断模型对GOV的诊断价值,为早期诊断GOV提供依据。  方法  选取2017年11月—2023年11月广东省中医院就诊的代偿期乙型肝炎肝硬化显著门静脉高压患者108例,根据胃镜下是否伴发GOV将患者分为GOV组和非GOV组(NGOV组)。收集患者的年龄、性别、影像学、实验室指标等结果。计数资料组间比较采用χ2检验;正态分布的计量资料两组间比较采用成组t检验;非正态分布的数据两组间比较采用Mann-Whitney U检验。采用受试者操作特征曲线(ROC曲线)评估FIB-4、LOK指数、LPRI、APRI、AAR等5种评分模型的诊断价值;利用二元Logistic回归构建联合模型,将联合模型与5种评分模型单独应用时的ROC曲线下面积(AUC)比较;采用Delong检验对各无创诊断模型的AUC值进行两两比较。  结果  GOV组55例,NGOV组53例。GOV组的年龄高于NGOV组[(52.64±1.44)岁 vs(47.96±1.68)岁],ALT[42.00(24.00~117.00) U/L vs82.00(46.00~271.00) U/L]、AST[44.00(32.00~96.00) U/L vs62.00(42.50~154.50) U/L]、PLT[100.00(69.00~120.00)×109/L vs119.00(108.50~140.50)×109/L]低于NGOV组,差异均有统计学意义(统计值分别为3.230、-3.065、-2.351、-3.667,P值均<0.05)。ROC曲线分析显示,FIB-4、LOK指数、LPRI、AAR单独诊断GOV的AUC分别为0.667、0.681、0.730、0.639(P值均<0.05),GOV阳性诊断率分别为69.97%、65.28%、67.33%、58.86%,AUC值比较差异均无统计学意义(P值均>0.05),APRI单独应用无诊断价值(P>0.05)。利用二元Logistic回归构建联合模型LAF,AUC为0.805,GOV阳性诊断率为75.80%,明显高于FIB-4、LOK指数、LPRI、AAR单独应用时的AUC值(Z值分别为-2.773、-2.479、-2.206、-2.672,P值均<0.05)。  结论  FIB-4、LOK指数、LPRI、AAR对代偿期乙型肝炎肝硬化显著门静脉高压患者发生GOV诊断价值相似,APRI单独应用无诊断价值,联合模型LAF的诊断效能最佳,对临床推广和应用具有一定参考价值。
丙型肝炎肝硬化失代偿患者再代偿的影响因素分析
许丹青, 木唤, 张映媛, 常丽仙, 王远珍, 李卫昆, 董智坚, 张丽华, 程怡菁, 刘立
2025, 41(2): 269-276. DOI: 10.12449/JCH250212
摘要(877) HTML (508) PDF (1211KB)(86)
摘要:
  目的  研究丙型肝炎肝硬化失代偿期患者再代偿发生的影响因素,建立预测模型。  方法  选取2019年1月—2022年12月在昆明市第三人民医院住院诊断为丙型肝炎肝硬化失代偿的患者217例,至少1年之内再住院无门静脉高压相关并发症即再代偿组(n=63),未再代偿者为对照组(n=154)。收集相关临床资料,对可能影响再代偿发生的因素进行单因素及多因素分析。计量资料符合正态分布的两组间比较采用成组t检验,不符合正态分布的两组间比较采用Mann-Whitney U检验。计数资料两组间比较采用χ²检验或Fisher’s确切概率法。运用二元Logistic回归模型分析丙型肝炎肝硬化失代偿患者再代偿发生的影响因素,采用受试者操作特征曲线(ROC曲线)评价模型的预测效能。  结果  217例丙型肝炎肝硬化失代偿期患者中63例发生再代偿(29.03%)。再代偿组与对照组相比,HIV史(χ²=4.566,P=0.034)、部分脾栓塞史(χ²=6.687,P=0.014)、Child-Pugh 评分(χ²=11.978,P=0.003)、腹水分级(χ²=14.229,P<0.001)、Alb(t=4.063,P<0.001)、前白蛋白(Z=-3.077,P=0.002)、HDL(t=2.854,P=0.011)、超敏C反应蛋白(Z=-2.447,P=0.014)、凝血酶原时间(Z=-2.441,P=0.015)、CEA(Z=-2.113,P=0.035)、AFP(Z=-2.063,P=0.039)、CA125(Z=-2.270,P=0.023)、三碘甲状腺素原氨酸(Z=-3.304,P<0.001)、甲状腺素(Z=-2.221,P=0.026)、CD45+Z=-2.278,P=0.023)、IL-5(Z=-2.845,P=0.004)、TNF-α(Z=-2.176,P=0.030)、门静脉宽度(Z=-5.283,P=0.005)差异均有统计学意义。多因素分析结果显示,部分脾栓塞史(OR=3.064,P=0.049)、HIV史(OR=0.195,P=0.027)、少量腹水(OR=3.390,P=0.017)、AFP(OR=1.003,P=0.004)及门静脉宽度(OR=0.600,P<0.001)为丙型肝炎肝硬化失代偿期发生再代偿的独立影响因素。ROC曲线结果显示HIV史、腹水分级、部分脾脏栓塞史、AFP、门静脉宽度、联合预测模型的曲线下面积依次为0.556、0.641、0.560、0.589、0.745、0.817。  结论  部分脾栓塞史、少量腹水及AFP水平升高的丙型肝炎肝硬化失代偿期患者更容易出现再代偿,有HIV史、门静脉宽度增加的患者不易出现再代偿。
合并肝细胞癌对肝硬化食管胃静脉曲张出血患者急诊内镜治疗预后的影响
朱小琴, 韦娜, 肖勇, 余保平
2025, 41(2): 277-283. DOI: 10.12449/JCH250213
摘要(2492) HTML (313) PDF (1277KB)(61)
摘要:
  目的  探究合并肝细胞癌(HCC)对肝硬化食管胃静脉曲张出血患者急诊内镜治疗预后的影响,并分析肝硬化食管胃静脉曲张出血未合并HCC患者急诊内镜治疗预后的独立影响因素。  方法  选取武汉大学人民医院2017年1月—2023年7月肝硬化食管胃静脉曲张出血经急诊内镜治疗且未合并HCC患者117例,合并HCC患者119例。收集患者年龄、性别等基本信息;是否合并高血压、糖尿病、冠心病等慢性疾病情况;入院后行急诊内镜时间,INR、Alb、肌酐、钠、TBil、ALT、AST等肝功能相关指标。正态分布的连续型变量两组间比较采用成组t检验;非正态分布连续型变量两组间比较采用Wilcoxon秩和检验。分类变量组间比较采用χ²检验。用协方差分析及多因素Logistic回归分析控制基线变量再对结局变量进行比较,并绘制两组生存时间的Kaplan-Meier曲线;对未合并HCC组生存时间进行单因素及Cox多因素回归分析,分析生存时间的独立影响因素,并进一步分组进行Kaplan-Meier曲线绘制及Log-rank检验,验证独立影响因素,并分析次要结局的独立影响因素。  结果  合并HCC组红细胞输注单位明显高于未合并HCC组[6.00(2.00~9.00) vs 4.00(1.75~7.00), Z=-2.050, P=0.040,F=4.869,调整P=0.028],生存时间明显低于未合并HCC组[(29.77±16.01)d vs (38.07±11.43)d,t=4.574,P<0.001,F=17.294,调整P<0.001],5 d再出血情况明显高于未合并HCC组(22.69% vs 6.84% ,χ2=11.736,P<0.001,调整P=0.021);Kaplan-Meier曲线显示合并HCC组42 d死亡风险是未合并HCC组的3.897倍(95%CI:2.338~6.495,P<0.001);对未合并HCC组进行Cox多因素回归分析显示,住院总时长(HR=0.793,95%CI:0.644~0.976,P=0.029)是此类患者42 d生存情况的独立保护因素;Kaplan-Meier曲线显示住院时长>9 d,有利于患者预后(HR=4.302,95%CI:1.439~12.870,P=0.037);血Na水平(OR=0.523,95%CI:0.289~0.945,P=0.032)及MELD-Na评分(OR=0.495,95%CI:0.257~0.954,P=0.036)是5 d再出血情况的独立保护因素,AST水平是5 d再出血情况(OR=1.023,95%CI:1.002~1.043,P=0.028)及院内死亡的独立危险因素(OR=1.036,95%CI:1.001~1.073,P=0.045)。  结论  合并HCC的肝硬化静脉曲张出血患者预后更差;AST水平越高,未合并HCC组院内病死率更高;住院总时长是未合并HCC组生存时间的独立保护因素,建议适当延长此类患者的住院时长。
肝脏肿瘤
线粒体翻译起始因子(MTIF2)基因甲基化的特征及其与肝细胞癌发生的相关性分析
谢华杰, 常凯, 王艳艳, 那琬琳, 蔡欢, 刘霞, 江忠勇, 胡宗海, 刘媛
2025, 41(2): 284-291. DOI: 10.12449/JCH250214
摘要(802) HTML (236) PDF (3131KB)(51)
摘要:
  目的  结合生物信息学分析方法对线粒体翻译起始因子(MTIF2)基因的甲基化特征进行分析,并探讨其与肝细胞癌发生发展的关系。  方法  应用MethSurv、EWAS Data Hub软件对MTIF2甲基化样本进行标准化分析和聚类分析,内容包括生存曲线分析、甲基化特征分析、肿瘤信号通路相关性及泛癌数据库比对分析。计量资料两组间比较采用成组t检验;多组间比较采用单因素方差分析,进一步两两比较采用LSD-t检验。使用Cox比例风险模型基于患者CpG部位的甲基化水平执行单变量和多变量生存分析。通过Kaplan-Meier图标识较低和较高甲基化患者组之间的生存差异。Log-likelihood ratio法用于组间生存差异分析。  结果  MTIF2甲基化整体聚类表明在种族、人种、BMI、年龄等特征间MTIF2基因甲基化水平没有明显差异。Kaplan-Meier生存曲线分析发现,MTIF2基因N-Shore高甲基化的患者预后明显好于低甲基化患者(HR=0.492,P<0.001),而CpG island和S-Shore甲基化的高低与生存率无明显差异(P值均>0.05)。基于不同年龄、性别、BMI、人种、种族、临床分期绘制MTIF2基因甲基化谱发现,随年龄增长会降低MTIF2基因N-Shore和CpG island的甲基化水平,白种人的MTIF2基因N-Shore的甲基化水平明显低于亚洲人(P<0.05),临床分期Ⅳ期患者MTIF2基因N-Shore和CpG island的甲基化水平明显低于Ⅰ/Ⅱ期患者(P值均<0.05)。临床验证试验表明,Ⅲ/Ⅳ期肝细胞癌患者MTIF2甲基化水平明显低于Ⅰ/Ⅱ期患者(P<0.05),且低于健康人群(P<0.05)。  结论  MTIF2基因N-Shore低甲基化是肝细胞癌发生发展的危险因素。
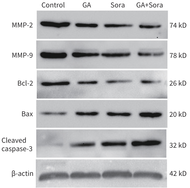
五倍子酸对肝癌HepG2细胞索拉非尼化疗增敏作用
刘百坤, 王志茹, 赵文静
2025, 41(2): 292-299. DOI: 10.12449/JCH250215
摘要(835) HTML (395) PDF (2972KB)(50)
摘要:
  目的  观察五倍子酸(GA)联合索拉非尼(Sora)对HepG2细胞的化疗增敏作用,并探讨其作用机制。  方法  将肝癌HepG2细胞分为对照组、GA组、Sora组和GA+Sora组。CCK8法检测细胞活力,CompuSyn软件分析联合用药指数(CI值);平板克隆形成实验检测细胞克隆形成能力;流式细胞术检测细胞凋亡;细胞划痕和Transwell小室侵袭实验检测细胞迁移和侵袭能力;Western Blot法检测基质金属蛋白酶(MMP)2、MMP-9和凋亡相关蛋白表达。肝癌HepG2细胞接种于裸鼠背部右下方,植瘤6 d后分为4组:对照组(Control)、GA组、Sora组和GA+Sora组,每周测量1次肿瘤大小和质量,药物干预21 d,处死裸鼠,取肿瘤称重。计量资料多组间比较采用单因素方差分析,进一步两两比较采用LSD-t检验。  结果  GA和Sora作用HepG2细胞48 h的IC50值分别为(123.47±5.16)μmol/L和(9.87±0.98)μmol/L,Sora与70 μmol/L GA(IC30)联用后,IC50降至(2.06±0.35)μmol/L,不同浓度Sora与70 μmol/L GA联合用药CI值均<1;各组细胞克隆形成数分别为234.0±20.4、147.0±12.1、129.3±13.3、73.0±7.6,GA+Sora组细胞克隆数明显低于对照组、GA组和Sora组(P值均<0.05);处理48 h后,各组细胞凋亡率分别为(1.98±0.29)%、(15.17±1.56)%、(18.65±1.48)%和(34.60±5.36)%,GA+Sora组细胞凋亡率明显高于对照组、GA组和Sora组(P值均<0.05);处理24 h后,各组细胞迁移率分别为(55.59±5.08)%、(29.34±4.36)%、(21.80±5.16)%和(6.47±2.75)%,GA+Sora组细胞迁移率明显低于对照组、GA组和Sora组(P值均<0.05);处理48 h后,各组穿膜细胞数分别为223.7±13.0、168.3±10.9、155.3±29.1和62.7±19.7,GA+Sora组穿膜细胞数低于对照组、GA组和Sora组(P值均<0.05);与对照组比较,GA组、Sora组和GA+Sora组细胞中MMP-2、MMP-9、B淋巴细胞瘤2(Bcl-2)蛋白表达水平均明显降低(P值均<0.05),Bcl-2关联X蛋白(Bax)、裂解的半胱氨酸天冬氨酸蛋白酶3(Cleaved caspase-3)蛋白表达水平均明显升高(P值均<0.05)。GA组、Sora组和GA+Sora肿瘤体积和瘤重均比对照组减小(P值均<0.05);与Sora组比较,GA+Sora组裸鼠肿瘤的体积和质量均明显减少(P值均<0.05)。  结论  GA对Sora化疗有增敏作用,其机制可能与GA和Sora联用后促进HepG2细胞凋亡及抑制细胞迁移、侵袭有关。
鳖甲煎丸调控AKT/mTOR信号通路在肝癌细胞有氧糖酵解中的作用
谭钦文, 黄晶晶, 钟瑞熙, 杜沅沁, 徐健, 农金丽, 彭玉姣
2025, 41(2): 300-306. DOI: 10.12449/JCH250216
摘要(924) HTML (252) PDF (2065KB)(41)
摘要:
  目的  利用细胞实验探索鳖甲煎丸对肝细胞癌增殖、迁移及有氧糖酵解的抑制作用,并探索其内在机制。  方法  选取人肝癌细胞株(Huh7)作为研究对象,随机将SD大鼠分为空白血清组、鳖甲煎丸高、中、低剂量组及抑制剂组,制备含药大鼠血清,用以孵育Huh7细胞。CCK-8、划痕实验探索鳖甲煎丸对肝癌细胞的增殖、迁移的影响,糖酵解限速酶及代谢产物检测探索鳖甲煎丸对肝癌细胞有氧糖酵解的影响,RT-qPCR、Western Blot实验探索鳖甲煎丸对AKT/mTOR信号通路的mRNA、相关蛋白及磷酸化的表达。多组间比较采用单因素方差分析,进一步两两比较采用LSD-t或Dunnettg T3检验。  结果  与空白血清组相比,鳖甲煎丸组的OD值、不同时间段的迁移率、糖酵解限速酶(己糖激酶、磷酸果糖激酶、丙酮酸激酶)及糖酵解代谢产物(丙酮酸、乳酸、ATP)检测均显著降低(P值均<0.05);RT-qPCR结果显示,与空白血清组比较,鳖甲煎丸高、中、低剂量组的mTOR mRNA表达水平均下调,高、低剂量组的AKT mRNA表达水平下调(P值均<0.05);Western Blot 结果显示,与空白血清组比较,鳖甲煎丸高、中、低剂量组的mTOR相关蛋白及磷酸化蛋白表达水平均下调,高、中剂量组的AKT相关蛋白及磷酸化蛋白表达水平均下调(P值均<0.05)。  结论  初步验证了鳖甲煎丸含药血清可以抑制人肝癌细胞Huh7细胞的有氧糖酵解,从而抑制其增殖、迁移,其机制可能与抑制AKT/mTOR信号通路的相关蛋白表达有关。
其他肝病
62例不明原因肝内胆汁淤积的病因谱、临床特征及基因突变分析
王嘉洛, 郑玉凤, 熊清芳, 杨永峰
2025, 41(2): 307-313. DOI: 10.12449/JCH250217
摘要(2957) HTML (499) PDF (1558KB)(109)
摘要:
  目的  回顾性分析62例不明原因肝内胆汁淤积患者的病史、病理结果、基因测序结果,了解其病因、临床特征,以及全外显子组测序(WES)对该类疾病的诊断价值。  方法  回顾性分析2017年1月—2023年12月因不明原因肝功能异常于南京市第二医院行WES的480例患者的临床资料,并根据患者的实验室资料筛选出不明原因肝内胆汁淤积患者62例,通过影像学资料、病理表现及基因测序明确诊断。分析不明原因肝内胆汁淤积患者的人口学特征、临床表现、病因谱和基因谱。  结果  纳入患者中男35例,女27例,中位年龄42(7~77)岁。通过WES明确诊断21例(33.87%),其中家族性肝内胆汁淤积症占比最高(52.38%,11/21);通过WES排除遗传代谢相关疾病共34例,占比最高的为药物性肝损伤和脓毒症肝损伤(55.88%,19/34),原发性胆汁性胆管炎、原发性硬化性胆管炎占20.59%(7/34),肝内胆管结石占17.65%(6/34),仍无法明确诊断占11.29%(7/62)。共发现21个既往未见报道的突变位点。  结论  遗传代谢相关疾病占不明原因肝内胆汁淤积的重要部分。WES对诊断不明原因肝内胆汁淤积有重要意义。
基于CT图像的腹部肌肉内部分层分析对原位肝移植术后并发症的预测价值
石鑫, 梁重霄, 张蓓, 王继萍
2025, 41(2): 314-321. DOI: 10.12449/JCH250218
摘要(706) HTML (336) PDF (3265KB)(40)
摘要:
  目的  本文旨在肌肉脂肪浸润的基础上,利用分层分析的方法将肌肉内部按照不同的密度范围划分成不同的亚分区,进一步研究肌肉密度改变对原位肝移植术(OLT)后并发症(Clavien-Dindo≥Ⅲ)的影响。  方法  回顾性分析2013年5月—2020年9月于吉林大学第一医院行OLT的145例患者,以患者腰3椎体水平最大层面的CT平扫图像作为原始数据,利用Neusoft Fatanalysis软件对图像进行相关肌肉参数的测量。符合正态分布的计量资料组间比较采用成组t检验;不符合正态分布的组间比较采用Mann-Whitney U秩和检验。计数资料组间比较采用χ2或Fisher检验。利用RIAS软件进行临床特征提取及分析建模,分别建立逻辑回归(LR)、支持向量机(SVM)、随机森林(RFC)3种机器学习模型,并绘制不同模型的受试者操作特征曲线(ROC曲线)、校正曲线、决策分析曲线,计算ROC曲线下面积(AUC)、灵敏度、特异度、精确率、F1分数、准确率。  结果  采用肌肉分层分析前的7种临床特征建立LR-C、SVM-C、RFC-C 3种机器学习模型,其中RFC-C模型测试集的AUC值为0.803、灵敏度0.588,特异度0.778。采用肌肉分层分析后的16种临床特征建立的LR-CS、SVM-CS、RFC-CS模型中,LR-CS及SVM-CS模型测试集的AUC值较高,均为0.852,灵敏度分别为0.765、0.706,特异度分别为0.889、0.926,通过对比肌肉分层分析前后各模型测试集的AUC、灵敏度、特异度、精确率、F1分数、准确率后发现,肌肉分层分析后预测模型的参数均有所提升。通过对比各预测模型的决策分析曲线和校正曲线,发现LR-CS及SVM-CS模型对于预测OLT患者术后并发症(Clavien-Dindo≥Ⅲ)具有良好效能。  结论  在肌肉脂肪浸润的基础上,利用分层分析的方法将肌肉内部按照不同的密度划分成不同子区,对于OLT患者术后并发症有一定预测价值。
胰腺疾病
层粘连蛋白α3亚基(LAMA3)对胰腺癌上皮间质转化、侵袭和转移能力的影响
杨能红, 任笠坤, 田舍, 韩民, 李铸, 赵宇翔, 刘鹏
2025, 41(2): 322-332. DOI: 10.12449/JCH250219
摘要(713) HTML (363) PDF (4709KB)(42)
摘要:
  目的  探索层粘连蛋白α3亚基(LAMA3)对胰腺癌(PC)上皮间质转化(EMT)、侵袭和转移能力的影响。  方法  综合分析肿瘤和EMT相关数据库,筛选出与PC相关的EMT基因LAMA3。通过qRT-PCR和Western Blot检测LAMA3在PC组织和细胞系中的表达水平,免疫荧光确定LAMA3在PANC-1细胞中的定位,Transwell实验评估LAMA3对PC细胞侵袭和迁移能力的影响。计量资料组间比较采用t检验。  结果  利用TCGA数据库筛选出3个EMT相关PC致癌因子LAMA3、AREG和SDC1。LASSO-Cox回归模型显示,LAMA3对PC预后影响最为显著(风险评分=0.256 1×LAMA3+0.043 1×SDC1+0.071 4×AREG)。Cox回归模型和列线图显示,LAMA3的高表达是PC不良预后的独立危险因素(HR=1.32,95%CI:1.07~1.62,P<0.01)。实验结果显示,相对于正常胰腺组织,LAMA3在PC组织中的表达显著上调。相对于HPDE细胞株,LAMA3在PC细胞株AsPC-1、BxPC-3、PANC-1、MIA PaCa-2、SW1990中的表达均有不同程度的升高,其中在PANC-1细胞中的表达最高。富集分析表明,LAMA3与EMT、胶原代谢、细胞外基质降解、TGF-β通路和PI3K通路等生物过程和信号通路相关。敲低LAMA3后,N-Cadherin、Vimentin和Snail的表达水平下降,而E-Cadherin的表达水平上升。Transwell实验结果显示,LAMA3敲低后,PANC-1细胞的侵袭和迁移能力明显减弱。  结论  LAMA3在PC中高表达,促进PC细胞EMT、侵袭和迁移,可能是PC的新型诊断标志物和基因治疗靶点。
病例报告
经口胆道镜联合经皮胆道穿刺引流会师术治疗Beger术后胆瘘1例报告
王语馨, 顾伟刚, 金正, 张筱凤
2025, 41(2): 333-336. DOI: 10.12449/JCH250220
摘要(705) HTML (219) PDF (4794KB)(35)
摘要:
保留十二指肠胰头局部切除术(Beger术)术后胆管损伤发生率较高,而胆管损伤的治疗方式取决于损伤严重程度,内镜治疗在胆管损伤严重的情况下较困难。近期西湖大学附属杭州市第一人民医院收治1例因Beger术后出现胆瘘的患者,通过经口胆道镜联合经皮胆道穿刺引流会师术成功诊治,取得良好效果。
综述
幽门螺杆菌感染与HBV感染相关肝病的关系
赵小诺, 马素平, 肖准
2025, 41(2): 337-342. DOI: 10.12449/JCH250221
摘要(2719) HTML (450) PDF (700KB)(92)
摘要:
慢性乙型肝炎作为我国常见传染病,是通过感染HBV引起机体的免疫应答而导致肝细胞损伤及炎症坏死。幽门螺杆菌‍(‍Hp)‍是一种革兰阴性螺杆菌,能够在人胃黏膜定植并持续生存。近年来,有关Hp感染与HBV感染相关肝病之间的密切联系被越来越多的研究所证实。本文通过回顾近年来有关Hp感染与HBV感染相关肝病的文献,对其相关性进行探讨,分析表明Hp感染与HBV感染相关肝病之间存在相关性。慢性乙型肝炎患者对Hp的易感性会随着乙型肝炎的疾病进展而增加。同时Hp感染也可能会增加乙型肝炎肝硬化患者出现食管等静脉曲张破裂出血的发生率、提高肝性脑病的发生风险。因此,在临床中,对于HBV感染相关肝病患者,应重视Hp感染的筛查与治疗。
HBV感染与线粒体稳态相互作用的分子机制
李兴统, 周太成
2025, 41(2): 343-348. DOI: 10.12449/JCH250222
摘要(928) HTML (419) PDF (632KB)(62)
摘要:
HBV感染可造成急性或慢性感染,未经治疗的患者可发展为肝硬化、肝癌而死亡。线粒体作为重要的细胞器之一,其正常形态和功能的维持是保证细胞进行各种生理活动的主要基础,线粒体动力学、线粒体自噬、损伤、氧化磷酸化等生理活动均可影响线粒体稳态的维持。HBV感染可影响线粒体稳态,本文从线粒体动力学、线粒体自噬、线粒体氧化磷酸化及线粒体损伤4个方面总结线粒体稳态与HBV感染的研究进展,深入探讨线粒体稳态的维持与HBV感染的关系,以期为理解HBV感染的分子机制,甚至寻找HBV潜在治疗靶点提供一定的理论依据。
中药调控免疫细胞治疗肝细胞癌的研究进展
龙丽娟, 王宗玉, 赵雅丽, 覃川福, 邱华
2025, 41(2): 349-358. DOI: 10.12449/JCH250223
摘要(1576) HTML (758) PDF (1707KB)(111)
摘要:
肝细胞癌(HCC)是一种常见且死亡率较高的恶性肿瘤,其起病隐匿,病理机制复杂。在肿瘤微环境中,促肿瘤免疫细胞保护肿瘤细胞免受免疫攻击,抗肿瘤免疫细胞发生功能障碍使免疫反应被抑制,最终导致癌症持续恶化。近年来中医药在治疗HCC方面显示出良好的疗效,中药能够调控免疫细胞进而抑制癌细胞增殖与转移。本文通过分析汇总近年来国内外相关文献,总结免疫细胞如何通过免疫抑制途径影响HCC进展以及中药如何调控免疫细胞发挥抗HCC作用,以期为HCC治疗的优化提供理论依据与参考。
肝细胞癌合并胆管癌栓的诊疗进展
郭玉祥, 王茂森, 刘中原, 张旭东, 马鹏飞, 王向坤, 李仁锋
2025, 41(2): 359-364. DOI: 10.12449/JCH250224
摘要(876) HTML (351) PDF (701KB)(65)
摘要:
肝细胞癌合并胆管癌栓目前在临床上并不多见,且容易误诊,以往认为其是疾病进展至晚期的表现,且预后不佳,治疗常具有挑战性。然而,随着研究的不断深入,近年来对该疾病的认识不断深化,诊断和治疗理念也发生了显著变化,目前主要采取以手术为主的综合治疗,但在临床治疗策略选择方面仍存在争议。本文就该病的手术治疗方式以及预后进行详细探讨,以期为临床治疗选择提供参考。
慢性胆汁淤积性肝病基础上发生药物性肝损伤的新见解与展望
余思邈, 王伽伯, 肖小河, 王睿林
2025, 41(2): 365-369. DOI: 10.12449/JCH250225
摘要(2747) HTML (278) PDF (598KB)(75)
摘要:
慢性胆汁淤积性肝病患者发生疑似药物性肝损伤(DILI)的检测、评估和管理等方面存在诸多挑战,尤其是胆汁淤积性DILI在临床和组织学上可能与潜在的胆汁淤积性肝病的进展难以区分。目前,缺乏慢性胆汁淤积性肝病合并DILI的相关研究与管理规范。本文对慢性胆汁淤积性肝病合并DILI的潜在风险、因果关系及分型标准进行了探讨,以期提高临床工作者对该类疾病的认识,为其防治及管理策略提供参考。
肝性脑病中医/壮医“浊毒致病”理论及防治策略的构建与实践
吴智鹏, 张钰琴, 姚春, 王明刚, 王娜, 彭梦如, 磨宁芳, 郑娅晴, 张荣臻, 毛德文
2025, 41(2): 370-374. DOI: 10.12449/JCH250226
摘要(2123) HTML (437) PDF (923KB)(34)
摘要:
肝性脑病为肝病领域的疑难危重疾病,进展迅速、治疗手段有限、发病机制亟待突破。选择合适的防治策略,对于延缓疾病进展、降低发病率和病死率起到重要作用。本文就中医/壮医肝性脑病“浊毒致病”理论及防治策略进行述评,提出肝性脑病中医/壮医“浊毒致病”新学说,解析“浊”“毒”及“浊毒致病”理论的科学内涵,构建肝性脑病“四步曲”防治策略,并以此为基础延伸出以“四方两技法”为代表的肝性脑病临床防治新方案,继而阐明核心方药与技法防治肝性脑病的效应机制与生物学基础,以期为肝性脑病的防治提供参考。
生物碱类化合物调控慢性肝病的作用及其机制
郑伊惠, 王佳慧, 赵铁建, 段雪琳, 汪磊, 郑洋, 杨仕权
2025, 41(2): 375-382. DOI: 10.12449/JCH250227
摘要(775) HTML (290) PDF (1695KB)(45)
摘要:
慢性肝病的常见原因包括病毒感染、乙醇滥用和自身免疫性疾病等。生物碱类化合物作为一类来源于植物的化合物,在调控慢性肝病方面展现出了重要潜力。近年来研究表明,生物碱类化合物能够通过多种途径发挥对慢性肝病的治疗作用。这些化合物对肝纤维化、炎症反应、氧化应激和细胞凋亡等关键病理过程具有调节作用,还通过调控多个信号通路来调节肝细胞代谢稳态,起到了调控慢性肝病的作用。本文对生物碱类化合物在慢性肝病治疗中的作用及其机制进行了综述,为慢性肝病治疗提供了新的思路和方向。
髓系细胞触发受体2(TREM2)在急慢性肝病中的作用
崔馨月, 孙全昊, 郑丽红, 王海强
2025, 41(2): 383-388. DOI: 10.12449/JCH250228
摘要(639) HTML (409) PDF (634KB)(53)
摘要:
在肝脏中髓系细胞触发受体2(TREM2)表达于常驻非实质细胞,参与肝脏炎症、免疫调控等病理过程。近年来,TREM2在急慢性肝病研究领域中受到关注,且越来越多的研究表明TREM2是治疗急慢性肝病的潜在靶点,然而其在急慢性肝病中的作用机制缺乏系统性的总结。本文综述了TREM2在急慢性肝病中调控作用的最新研究进展,以期为临床防治急慢性肝病提供新思路。
自噬在对乙酰氨基酚诱导肝损伤中的作用
邢国静, 王丽菲, 罗龙龙, 郑晓凤, 高春, 于晓辉, 张久聪
2025, 41(2): 389-394. DOI: 10.12449/JCH250229
摘要(949) HTML (554) PDF (1117KB)(62)
摘要:
对乙酰氨基酚(APAP)是临床上常用的解热镇痛药,过量服用则会造成严重肝损伤甚至死亡。近年来,APAP诱导的肝损伤(AILI)发生率呈上升趋势,已成为全球肝移植的第二大常见原因。自噬是一种高度保守的分解代谢过程,通过溶酶体降解去除不需要的胞质蛋白和细胞器,以实现细胞本身的代谢需要和细胞器的更新。大量研究表明,自噬在AILI的病理生理中起着关键作用,其机制涉及APAP蛋白加合物、氧化应激、JNK活化、线粒体功能障碍、炎症反应和细胞凋亡等。本文通过阐述自噬在AILI中的生物学机制,为AILI的治疗和自噬调节剂的开发提供理论依据。
自身免疫性胰腺炎合并胰腺外分泌功能不全的研究进展
敖翔, 刘辰晓, 张贤达, 冉桃菁, 周春华, 邹多武
2025, 41(2): 395-400. DOI: 10.12449/JCH250230
摘要(1118) HTML (424) PDF (1001KB)(74)
摘要:
自身免疫性胰腺炎(AIP)是一种特殊类型的慢性胰腺炎,会导致患者胰腺外分泌功能出现异常。AIP合并胰腺外分泌功能不全的发病机制复杂,相关研究较少,导致对这类患者的临床认识不足。本文介绍了AIP的流行病学,简单描述了AIP导致胰腺外分泌功能不全的发病机制,归纳总结了胰腺外分泌功能的各种检测方法、营养评估、生活管理及药物治疗等方面的内容。以期加强对AIP合并胰腺外分泌功能不全的认识,并提高胰腺外分泌功能不全的临床诊治水平。
国外期刊精品文章简介
Hepatology|多中心、回顾性研究比较TACE与TACE联合TKI和ICI作为不可切除肝细胞癌的转化治疗方案(GUIDANCE001)
2025, 41(2): 299-299. DOI: 10.12449/JCH2502.gwqkjpwzjj1
摘要(332) HTML (175) PDF (898KB)(41)
摘要:
Journal of Hepatology|蛋白磷酸酶PPP6C通过mTORC1调节肝纤维化与代谢功能障碍相关脂肪性肝炎
2025, 41(2): 364-364. DOI: 10.12449/JCH2502.gwqkjpwzjj2
摘要(401) HTML (123) PDF (900KB)(31)
摘要:
Journal of Hepatology|GRINA通过促进HRD1介导的ATF6泛素化减轻肝脏缺血再灌注损伤引发的细胞凋亡和内质网自噬
2025, 41(2): 382-382. DOI: 10.12449/JCH2502.gwqkjpwzjj3
摘要(334) HTML (153) PDF (935KB)(29)
摘要:
Liver International|代谢功能障碍相关脂肪性肝病、高危代谢功能障碍相关脂肪性肝炎和肝脏硬度增加与青年期肥胖相关,减肥后无残留风险
2025, 41(2): 400-400. DOI: 10.12449/JCH2502.gwqkjpwzjj4
摘要(344) HTML (125) PDF (1294KB)(30)
摘要:
读者·作者·编者
《临床肝胆病杂志》关于利益冲突声明和作者贡献声明的要求
2025, 41(2): 253-253.
摘要(227) HTML (155) PDF (880KB)(20)
摘要:
《临床肝胆病杂志》关于伦理审查的要求
2025, 41(2): 268-268.
摘要(166) HTML (183) PDF (878KB)(21)
摘要:
消息
《临床肝胆病杂志》入选“中国科技期刊卓越行动计划·中文领军期刊(2024—2028)”
2025, 41(2): 204-204.
摘要(200) HTML (178) PDF (1269KB)(17)
摘要:
《临床肝胆病杂志》2025年1~7期重点号选题及执行主编
2025, 41(2): 209-209.
摘要(222) HTML (159) PDF (1276KB)(18)
摘要:
《临床肝胆病杂志》入选“全球OA期刊索引(OAJ)”首批收录期刊
2025, 41(2): 283-283.
摘要(212) HTML (155) PDF (898KB)(15)
摘要:
《临床肝胆病杂志》入选“中国开放阅读科技期刊目录(DCORJ)
2025, 41(2): 332-332.
摘要(201) HTML (176) PDF (1285KB)(15)
摘要:
《临床肝胆病杂志》入选“学术诚信与出版新媒体矩阵”首批成员单位
2025, 41(2): 388-388.
摘要(182) HTML (128) PDF (879KB)(14)
摘要:
致谢
本期审稿专家
2025, 41(2): 306-306. DOI: 10.12449/JCH2502.zhixie
摘要(205) HTML (113) PDF (910KB)(19)
摘要: