中文English
ISSN 1001-5256 (Print)
ISSN 2097-3497 (Online)
CN 22-1108/R

留言板

尊敬的读者、作者、审稿人, 关于本刊的投稿、审稿、编辑和出版的任何问题, 您可以本页添加留言。我们将尽快给您答复。谢谢您的支持!

姓名
邮箱
手机号码
标题
留言内容
验证码
2022年 第8期
“从基础的视角看慢性乙型肝炎治愈及在研新药临床试验评价”  重点号
本期执行主编:鲁凤民
北京大学人民医院

显示方式:
述评
衣壳组装调节剂联合核苷(酸)类似物治疗慢性乙型肝炎临床试验中亟待解决的科学问题
鲁凤民, 黄鸿鑫, 毛天皓, 陈香梅, 庄辉
2022, 38(8): 1705-1709. DOI: 10.3969/j.issn.1001-5256.2022.08.001
摘要(1524) HTML (471) PDF (2576KB)(215)
摘要:
慢性HBV感染是病毒性肝炎、肝硬化和原发性肝癌的主要病因。目前临床应用的核苷(酸)类似物(NUC)和聚乙二醇干扰素α(PEG-IFNα)均无法直接靶向共价闭合环状DNA,难以实现慢性乙型肝炎患者(CHB)的临床治愈。因此,亟需研发靶向HBV复制周期各阶段的直接抗病毒药物。衣壳组装调节剂(CpAM)通过不同机制靶向病毒衣壳的组装,进而发挥直接抗病毒作用,其与NUC联用本应发挥良好的协同抗病毒作用,但现有临床试验结果均表明,接受有限疗程CpAM与NUC联合抗病毒治疗的慢性乙型肝炎患者均发生停药后病毒学反弹。本文根据两类药物的作用机制,对上述临床试验结果进行了合理解释,并提出在未来以安全停药为观察终点的临床试验中,可能需要更长时间的CpAM与NUC联合抗病毒治疗,以耗竭或沉默共价闭合环状DNA池,从而提高CHB患者安全停药的可能性。此外,多靶点的联合抗病毒治疗策略仍需进一步研究。
专家论坛
细胞因子在慢性乙型肝炎治疗中的研究进展
高子翔, 沈忠良, 刘晶, 谢幼华
2022, 38(8): 1710-1715. DOI: 10.3969/j.issn.1001-5256.2022.08.002
摘要(1732) HTML (430) PDF (1905KB)(221)
摘要:
目前,全球范围内仍有约2.5亿人慢性感染HBV,严重威胁人类的生命健康。慢性乙型肝炎(CHB)可进一步发展为肝纤维化、肝硬化和肝细胞癌等肝脏疾病,而现有的临床抗病毒治疗药物有限,治愈率很低,急需研发新型抗病毒药物。HBV具有强嗜肝性,自然情况下只感染人、黑猩猩等少数灵长类动物。免疫反应(固有免疫与适应性免疫)能否有效识别并清除或抑制HBV是导致病毒感染后不同结局的重要因素。其中,细胞因子发挥了重要的免疫调节作用。本文就一些关键细胞因子在CHB感染及治疗中的研究进展进行了总结与讨论。
从HBV cccDNA角度谈乙型肝炎的功能性治愈
陈娟, 黄爱龙
2022, 38(8): 1716-1720. DOI: 10.3969/j.issn.1001-5256.2022.08.003
摘要(1737) HTML (732) PDF (1895KB)(318)
摘要:
HBV共价闭合环状DNA(cccDNA)是HBV转录和复制的模板,以微染色体的形式长期稳定存在于肝细胞内。笔者围绕cccDNA失活或清除机制及药物研发,介绍了对cccDNA形成、转录和降解等功能性事件的认识,并综述了cccDNA靶向药物及生物技术相关的研究进展。
影响慢性乙型肝炎功能性治愈的因素及其机制
郭艺飞, 张继明
2022, 38(8): 1721-1725. DOI: 10.3969/j.issn.1001-5256.2022.08.004
摘要(1722) HTML (236) PDF (1897KB)(314)
摘要:
慢性乙型肝炎(CHB)功能性治愈,即表面抗原(HBsAg)阴转伴有或不伴有表面抗体(抗-HBs)的出现,被视为目前CHB治疗的理想终点。研究表明HBsAg阴转可以降低肝硬化、肝细胞癌等HBV并发症的发生风险。但是HBsAg的阴转率较低,这可能与HBV感染造成的机体免疫耐受状态有关。HBsAg的阴转和/或抗-HBs的出现提示机体针对HBV免疫功能的部分恢复。本文将对影响CHB功能性治愈的因素及其机制进行讨论。
乙型肝炎病毒核心蛋白变构调节剂的作用机理及临床研发和应用前景
刘慧, 鲁凤民, 郭巨涛
2022, 38(8): 1726-1732. DOI: 10.3969/j.issn.1001-5256.2022.08.005
摘要(2091) HTML (328) PDF (3109KB)(247)
摘要:
HBV感染是导致慢性肝炎的主要致病因素,若不及时、有效地规范治疗,将有进一步发展为肝硬化、肝细胞癌等终末期肝病的风险。临床现有的两类抗病毒药物皆无法彻底抑制病毒复制和清除病毒转录模板,即感染肝细胞内长期存在的共价闭合环状DNA(cccDNA),因而,慢性乙型肝炎患者需长期甚至终身服药。因此,研发新型抗HBV药物显得尤为重要。核心蛋白变构调节剂(CpAM)是一类新型抗HBV药物,其干扰HBV核衣壳装配过程,并对成熟核衣壳解聚、cccDNA形成和HBeAg的产生及分泌发挥抑制作用。因其广泛作用于病毒复制的多个环节,具备较大的应用潜力。本文主要阐述CpAM靶蛋白-核心蛋白的功能、CpAM分类、作用靶点及抗HBV机理、CpAM临床试验现状及进一步研发和应用前景。
指南与规范
特利加压素在肝硬化并发症临床应用的实践指导(2021版)
中华医学会消化病学分会肝胆疾病学组, 中国研究型医院学会肝病专业委员会
2022, 38(8): 1733-1738. DOI: 10.3969/j.issn.1001-5256.2022.08.006
摘要(2020) HTML (855) PDF (2431KB)(430)
摘要:
肝硬化患病人数多、死亡风险高,是全球疾病负担的重要组成部分之一。近年来,特利加压素在肝硬化相关并发症中的作用已逐渐得到认可。中华医学会消化病学分会肝胆疾病学组和中国研究型医院学会肝病专业委员会组织国内消化内科、肝病、感染性疾病、外科, 以及临床药学领域的专家,在系统回顾当前循证医学证据的基础上,结合各位专家的临床经验,共制定了10条有关特利加压素在肝硬化并发症中临床应用的实践指导声明。特利加压素可使肝硬化伴急性静脉曲张出血或肝肾综合征患者获益,但在肝硬化伴腹水、穿刺后循环功能障碍、细菌感染, 以及接受肝切除或肝移植术的患者中的应用证据仍不充分;此外,使用特利加压素时应密切监测不良事件的发生,主要包括胃肠道症状、电解质紊乱,以及心血管和呼吸系统不良事件。本部临床实践指导推荐特利加压素用于治疗肝硬化静脉曲张出血和肝肾综合征;但也指出,有待更多高质量的研究进一步探讨特利加压素对其他肝硬化相关并发症的疗效及安全性。
中国人群肝癌筛查指南(2022,北京)
赫捷, 陈万青, 沈洪兵, 李霓, 曲春枫, 石菊芳, 孙凤, 姜晶, 曹广文, 庄贵华, 彭绩, 中国人群肝癌筛查指南制定专家组, 中国人群肝癌筛查指南制定工作组
2022, 38(8): 1739-1758. DOI: 10.3969/j.issn.1001-5256.2022.08.007
摘要(6413) HTML (1589) PDF (2742KB)(1446)
摘要:
中国人群的肝癌存在生存率低、死亡率高的情况,如何有效降低肝癌相关负担仍是中国公共卫生和慢性病防控领域亟待解决的重大问题,而肝癌人群筛查策略优化是值得持续探索的重要抓手和方向。中国人群肝癌筛查指南受国家卫生健康委员会疾病预防控制局委托,由国家癌症中心发起,联合多学科专家,根据世界卫生组织推荐的指南制定原则和方法,整合肝癌人群筛查领域的国内外研究新证据,兼顾中国国情及实践经验,针对肝癌筛查过程中的筛查人群、筛查技术、监测方案等呈现循证推荐,以期为中国人群肝癌筛查实践的规范提供参考。
指南解读
美国食品药品监督管理局《慢性乙型肝炎病毒感染: 治疗药物的开发行业指南》的更新要点解读(临床部分)
沙迪, 吴艺迪, 牛俊奇, 王美霞
2022, 38(8): 1759-1762. DOI: 10.3969/j.issn.1001-5256.2022.08.008
摘要(1414) HTML (271) PDF (1883KB)(180)
摘要:
2018年11月美国食品药品监督管理局(FDA)发布了关于《慢性乙型肝炎病毒感染药物研发的指导意见(征求意见稿)》(以下简称:征求意见稿), 2022年4月, FDA发布了《慢性乙型肝炎病毒感染: 治疗药物的开发行业指南》, 本指南在征求意见稿的基础上, 对一些细节进行了更新。本指南进一步强调了HBsAg清除在临床试验中的重要性, 将持续抑制治疗分为两类, 即对照核苷(酸)类似物的非劣效性(NI)或优效试验和对照核苷(酸)类似物的Add-on优效试验, 后者已经不推荐将HBV DNA作为试验的主要治疗终点, 对以HBV DNA为靶点的创新药研发提出了巨大的挑战。新的有限持续时间治疗, 应该以HBsAg清除、停止治疗期间降低病毒学复发和肝脏疾病进展风险作为主要目的和诉求。不推荐HBsAg较基线值的下降作为Ⅲ期临床试验的主要治疗终点, 因为下降值与临床应答的相关性尚不明确。此外, 本指南对停止治疗、治疗巩固期的持续时间, 以及核苷(酸)类似物停药标准进行了规定。
论著_病毒性肝炎
妊娠期肝内胆汁淤积症对HBV感染孕妇妊娠不良结局的影响
熊霞鹂, 朱云霞, 魏宏, 赵志强, 孟君, 邹怀宾, 段钟平
2022, 38(8): 1763-1767. DOI: 10.3969/j.issn.1001-5256.2022.08.009
摘要(1045) HTML (261) PDF (1899KB)(99)
摘要:
  目的  探讨妊娠期肝内胆汁淤积症(ICP)对HBV感染孕妇不良妊娠结局的影响。  方法  回顾性选取2018年3月—2021年3月首都医科大学附属北京佑安医院收治的232例慢性HBV感染孕妇。按照孕期是否存在ICP,分为单纯HBV感染组(n=100)和HBV+ICP组(n=132);根据ICP严重程度将HBV+ICP组进一步分为HBV+轻度ICP组(n=86)和HBV+重度ICP组(n=46)。比较各组妊娠期母体并发症发生率情况,如早产、胎膜早破、妊娠期糖尿病、妊娠期高血压疾病、产后出血(PPH)发生率情况;以及分别比较各组胎儿/新生儿不良结局情况,如胎死宫内、新生儿窒息、羊水Ⅲ度污染(AFⅢ)、新生儿呼吸窘迫综合征、小于胎龄儿(SGA)、转入新生儿重症监护病房、肺炎以及HBV母婴传播(MTCT)发生情况。计量资料多组间比较采用单因素方差分析;计数资料组间比较采用χ2检验、连续校正χ2检验或Fisher精确概率法。  结果  HBV+ICP组孕妇在孕晚期母体并发症方面,早产、PPH发生率较单纯HBV感染组增加,差异均有统计学意义(χ2值分别为4.169、5.448,P值分别为0.041、0.020);HBV+ICP组孕妇所分娩新生儿在不良妊娠结局方面,新生儿窒息、AFⅢ及SGA发生率较单纯HBV感染组均增加,差异有统计学意义(χ2值分别为5.448、16.567、11.053,P值分别为0.020、<0.001、0.002)。HBV+重度ICP组孕妇所分娩新生儿在不良妊娠结局方面,AFⅢ及SGA发生率较HBV+轻度ICP组增加,差异均有统计学意义(χ2值分别为4.200、4.511,P值分别为0.040、0.034)。  结论  HBV感染合并ICP孕妇母体及新生儿不良妊娠结局的发生率相较于单纯HBV感染明显升高,且ICP程度越重,新生儿分娩不良结局发生率越高,但ICP对HBV-MTCT未见影响。
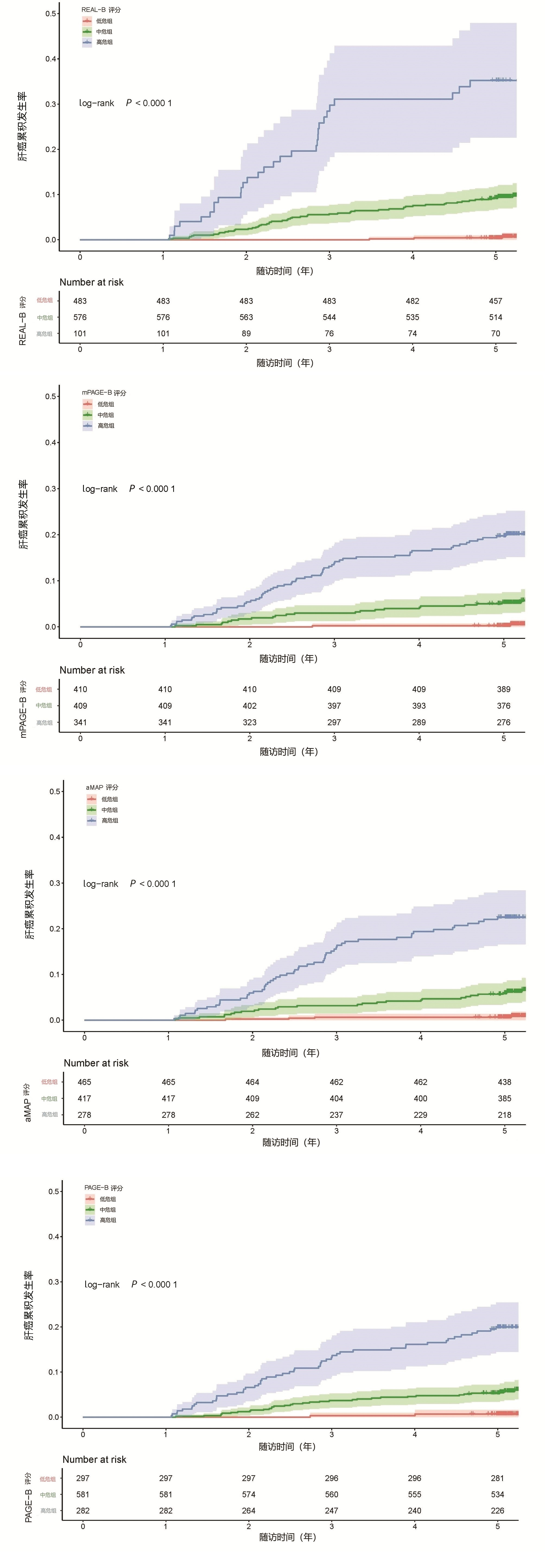
外部验证REAL-B评分对抗病毒治疗的慢性乙型肝炎患者肝细胞癌发生风险的预测价值
吴雪, 楚伟可, 周辉, 牛斌, 张鹏, 冯婧, 宓余强, 李萍
2022, 38(8): 1768-1773. DOI: 10.3969/j.issn.1001-5256.2022.08.010
摘要(1261) HTML (372) PDF (2834KB)(111)
摘要:
  目的  探究肝细胞癌(HCC)预测模型REAL-B评分对抗病毒治疗的慢性乙型肝炎患者HCC风险的预测性能,并与mPAGE-B、aMAP、PAGE-B评分进行比较。  方法  回顾性收集2013年1月—2015年12月天津市第二人民医院1160例接受1年以上恩替卡韦(ETV)或替诺福韦(TDF)治疗的慢性乙型肝炎患者的临床资料,并记录肝癌事件的发生。通过受试者工作特征曲线下面积(AUC)评估REAL-B、mPAGE-B、aMAP、PAGE-B评分对HCC的预测性能。采用Kaplan-Meier方法评估不同时间点HCC累积发生率,并通过log-rank检验比较不同评分分组间肝癌发生的差异。符合正态分布的计量资料2组间比较采用独立样本t检验;不符合正态分布的计量资料2组间比较采用Mann-Whitney U检验;计数资料2组间比较采用χ2检验。  结果  1160例慢性乙型肝炎患者中,有108 (9.8%)例患者在中位随访5.3(5.0~6.3)年内进展为HCC。REAL-B评分预测5年内HCC发生的AUC及其95%CI为0.848 (0.816~0.880),其次为aMAP评分[0.823(0.786~0.860)]、mPAGE-B评分[0.822(0.788~0.857)]和PAGE-B评分[0.780(0.736~0.824)]。在REAL-B评分低危组(0~3分)中,5年内肝癌累积发生率为0.8%, 低于中危组(4~7分)11.8%和高危组(8~13分)35.6%(P < 0.05)。REAL-B评分低危组中,3年和5年发生HCC的阴性预测值分别为100%和99.67%。  结论  REAL-B评分准确地预测了接受抗病毒治疗的慢性乙型肝炎患者HCC风险,并在抗病毒治疗3年中的预测价值优于其他风险模型。
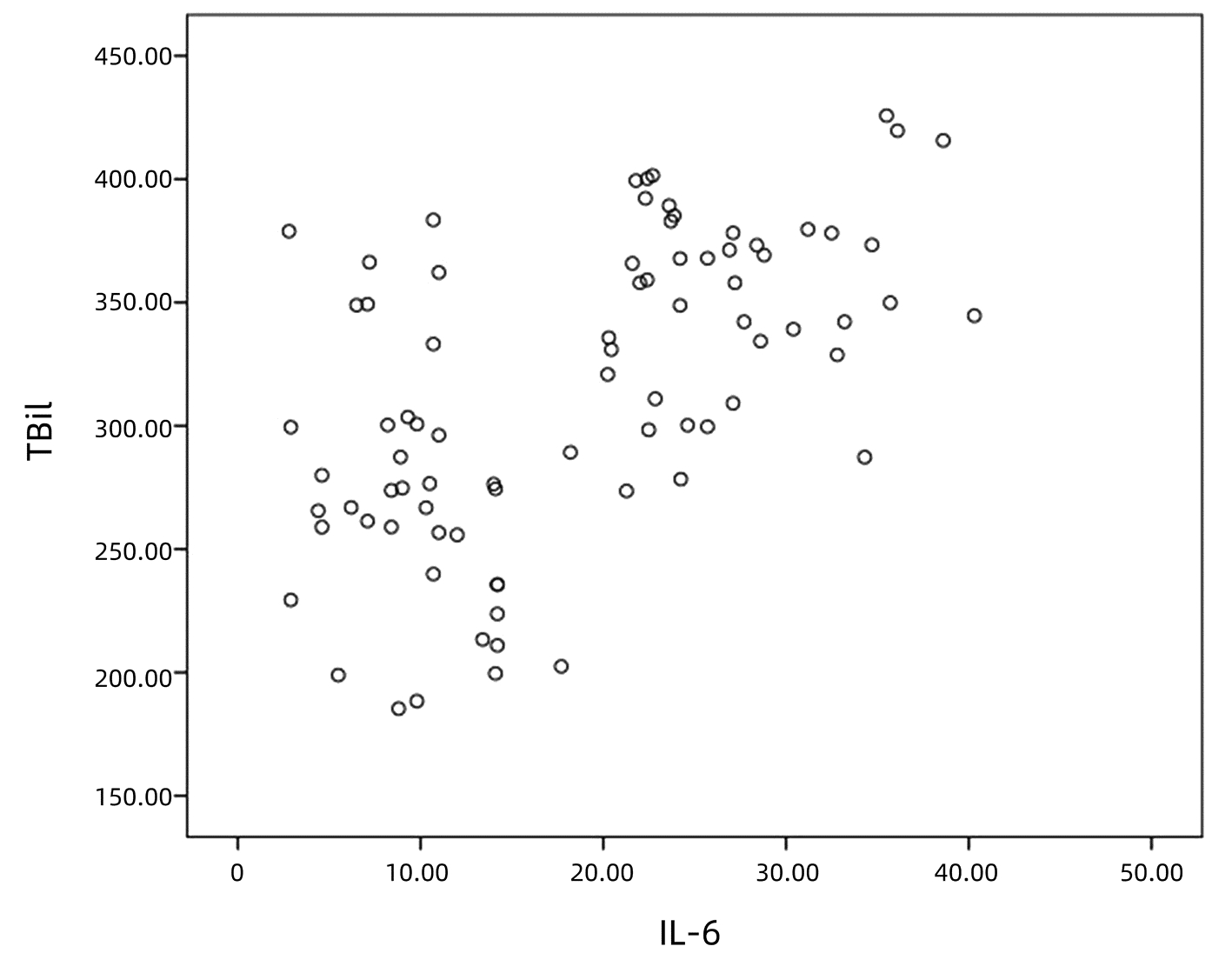
IL-6联合终末期肝病模型评分对HBV相关慢加急性肝衰竭预后的预测价值
王艳, 徐英, 孙蔚, 陈丽, 甘建和, 顾静
2022, 38(8): 1774-1779. DOI: 10.3969/j.issn.1001-5256.2022.08.011
摘要(1107) HTML (273) PDF (2320KB)(100)
摘要:
  目的  探讨IL-6联合终末期肝病模型(MELD)评分对HBV相关慢加急性肝衰竭(HBV-ACLF)患者预后的预测价值。  方法  选取2015年1月—2018年12月于苏州大学附属第一医院住院的86例HBV-ACLF患者,根据随访90 d的生存情况分为死亡组(n=50)和存活组(n=36)。采用ELISA法测定血清IL-6水平,统计患者的一般资料。符合正态分布的计量资料两组间比较采用t检验,不符合正态分布的计量资料两组间比较采用Mann-Whitney U检验;分类计数资料两组间比较采用χ2检验。IL-6与其他变量行Pearson相关性分析,采用二元logistic回归分析影响HBV-ACLF患者预后的独立危险因素,利用ROC曲线评价IL-6联合MELD评分对HBV-ACLF预后的预测价值。  结果  死亡组与存活组红细胞比积(Hct)(t=2.413)、PLT(t=6.584)、TBil(t=-8.070)、PT(U=77.500)、国际标准化比值(INR)(U=102.000)、HBV DNA(t=-2.767)、IL-6(t=-16.543)、MELD评分(t=-8.192)组间差异有统计学意义(P值均<0.05);死亡组IL-6水平高于存活组[(27.13±12.18) pg/mL vs (9.72±5.56) pg/mL,P < 0.001]。Pearson相关性分析结果显示,IL-6与TBil、PT呈显著正相关(r值分别为0.579、0.681,P值均<0.001)。运用二元logistic回归分析结果显示,IL-6(OR=1.480,95%CI:1.196~1.833,P=0.007)、MELD评分(OR=1.128,95%CI:1.033~1.231,P < 0.001)是HBV-ACLF患者90 d死亡的独立预测因子。IL-6联合MELD评分模型的AUC(AUC=0.891,95%CI: 0.778~0.999)高于IL-6(AUC=0.838,95%CI: 0.687~0.989)、MELD评分(AUC=0.783,95%CI: 0.634~0.933)。IL-6联合MELD评分模型对HBV-ACLF预后的预测价值高于IL-6(Z=-2.257,P=0.024)。  结论  IL-6联合MELD评分模型可作为评估HBV-ACLF患者短期预后较好的预测模型。
论著_脂肪性肝病
化痰祛湿活血方对非酒精性脂肪性肝炎大鼠模型肝细胞线粒体超微结构的影响
刘素彤, 张丽慧, 顾亚娇, 刘鸣昊, 郭敏, 赵晨露, 赵文霞
2022, 38(8): 1780-1783. DOI: 10.3969/j.issn.1001-5256.2022.08.012
摘要(1426) HTML (563) PDF (2843KB)(93)
摘要:
  目的  探讨化痰祛湿活血方对非酒精性脂肪性肝炎大鼠模型肝细胞形态的影响。  方法  48只雄性SD大鼠随机分为空白组、模型组、易善复组、化痰祛湿活血方组,每组12只。模型组和药物组大鼠第2周开始给药及造模,空白组给予普通饲料,另外3组给予高脂饲料。依据人与动物剂量折算法:化痰祛湿活血方等效剂量为1.26 g/100 g体质量,多烯磷脂酰胆碱胶囊(易善复)等效剂量为0.014 18 g/100 g体质量。模型组灌胃0.9% 氯化钠溶液,易善复组灌胃多烯磷脂酰胆碱混悬液,中药组给予灌胃化痰祛湿活血方颗粒混悬液,1次/d,连续10周。透射电子显微镜观察各组大鼠肝脏超微结构级定量分析。计量资料多组间比较采用单因素方差分析,进一步两两比较,方差齐者采用LSD-t检验,方差不齐者采用Dunnett’s T3检验。  结果  模型组可见肝细胞内有大量脂滴积累,线粒体形态和结构改变,数量减少,内质网数量减少。化痰祛湿活血方组肝细胞内脂滴明显减少,线粒体和内质网数量较模型组明显增加,线粒体膜及结构完整。易善复组肝细胞脂滴相对减少,线粒体数量增加,内质网数量减少,线粒体膜及结构相对完整。定量分析结果显示,与空白组相比,模型组脂滴面积明显增多,线粒体减少,体密度比较差异均有统计学意义(P值均<0.01);药物干预后,易善复组脂滴面积减少、线粒体数目增多,与模型组体密度比较差异均有统计学意义(P值均<0.01);中药组较易善复组脂滴面积减少更多、线粒体数目明显增加,体密度比较差异均有统计学意义(P值均<0.05)。  结论  化痰祛湿活血方可改善脂质积累,增加线粒体体密度,保护线粒体结构和功能且疗效高于易善复。
Pnpla3 I148M和Tm6sf2 E167K双突变纯合小鼠模型的构建
王孟轲, 刘守胜, 褚雪汝, 王艺奋, 辛永宁
2022, 38(8): 1784-1789. DOI: 10.3969/j.issn.1001-5256.2022.08.013
摘要(1976) HTML (497) PDF (6045KB)(95)
摘要:
  目的  利用Pnpla3148M/M纯合小鼠与Tm6sf2167K/K纯合小鼠杂交方法构建Pnpla3148M/M Tm6sf2167K/K双突变小鼠模型。  方法  利用Pnpla3 Ⅰ 148M和Tm6sf2 E 167K单突变纯合小鼠交配出Pnpla3148M/M Tm6sf2167K/K双突变杂合小鼠,再通过自交得到Pnpla3148M/M Tm6sf2167K/K双突变纯合小鼠。选取同窝的Pnpla3148M/M Tm6sf2167K/K(n=6)、Pnpla3148M/M Tm6sf2167E/E(n=6)、Pnpla3148I/I Tm6sf2167K/K(n=6)和野生(Wt)(n=6)雄性小鼠普通饮食喂养8周,在第8周检测小鼠葡萄糖及脂质代谢等指标。多组间比较采用方差分析,进一步两两比较采用LSD-t检验。  结果  琼脂糖凝胶电泳和核酸测序结果表明Pnpla3148M/M Tm6sf2167K/K双突变小鼠模型构建成功。Pnpla3148M/M Tm6sf2167K/K小鼠体质量与其他3种基因型小鼠比较,差异无统计学意义(P值均>0.05),Pnpla3148M/M Tm6sf2167K/K小鼠肝湿重高于Wt小鼠(P<0.05)。Pnpla3148M/M Tm6sf2167K/K小鼠的空腹血糖低于Tm6sf2167K/K单突变小鼠和Wt小鼠(P值均<0.05),Pnpla3148M/M Tm6sf2167K/K小鼠葡萄糖耐受能力较Tm6sf2167K/K单突变小鼠有所下降(P<0.05),四组基因型小鼠的胰岛素水平无明显差异(P值均>0.05)。Pnpla3148M/M Tm6sf2167K/K双突变小鼠的血浆生化指标与其他三种基因型小鼠比较,差异均无统计学意义(P值均>0.05)。肝脏油红O切片染色结果显示Pnpla3148M/M Tm6sf2167K/K双突变小鼠的肝脏较Pnpla3148M/M单突变小鼠和Wt小鼠更容易发生脂质积累。  结论  Pnpla3148M/M Tm6sf2167K/K双突变小鼠模型构建成功,Pnpla3 Ⅰ 148M和Tm6sf2 E 167K双突变可引起小鼠葡萄糖代谢异常。
论著_肝纤维化及肝硬化
基于LASSO回归的慢性乙型肝炎肝纤维化无创诊断模型的构建及验证
壮健, 朱韦文, 张超
2022, 38(8): 1790-1795. DOI: 10.3969/j.issn.1001-5256.2022.08.014
摘要(1725) HTML (365) PDF (3265KB)(107)
摘要:
  目的  利用血清学指标建立基于LASSO回归的慢性乙型肝炎(CHB)肝纤维化的无创诊断模型,并评估该模型对CHB肝纤维化的诊断价值。  方法  纳入2019年9月—2021年9月南京医科大学附属常州第二人民医院诊断为CHB的240例患者为研究对象,根据肝穿刺活检和病理结果将其分为显著纤维化组175例(F2~4期)和无显著纤维化组65例(F0~1期)。比较两组患者性别、年龄、血生化指标和二维剪切波弹性成像测量肝脏硬度值(LSM),根据LASSO回归和多因素logistic回归分析筛选肝纤维化的危险因素,建立列线图模型并绘制受试者工作特征曲线(ROC曲线)、Calibration曲线和Decision曲线进行验证。符合正态分布的计量资料多组间比较采用单因素方差分析,两两比较采用LSD-t检验;不符合正态分布的计量资料多组间比较采用Kruskal-Wallis H检验;计数资料多组间比较用χ2检验。  结果  F3、F4期与F2、F0~1期患者年龄、ALT、AST、ALP、GGT、TBil、PLT、Ⅲ型前胶原、Ⅳ型胶原、透明质酸和LSM比较,差异均有统计学意义(P值均<0.05)。采用LASSO回归筛选出5个重要变量,logistic回归分析显示,透明质酸(OR=1.432)、Ⅳ型胶原(OR=1.243)、Ⅲ型前胶原(OR=1.146)和LSM(OR=1.656)是肝纤维化的独立危险因素,而PLT(OR=0.567)是保护因素(P值均<0.05)。F3和F4期患者列线图模型评分、LSM、APRI指数、King评分、Forns指数和FIB-4指数显著高于F2和F0~1期患者,差异均有统计学意义(P值均<0.05)。ROC曲线分析列线图模型的预测价值,其AUC为0.876,显著高于LSM、APRI、King评分、Forns指数和FIB-4,差异均有统计学意义(P值均<0.05)。Calibration曲线和Decision曲线显示列线图模型的一致性和获益性尚可。  结论  利用血清学指标透明质酸、Ⅳ型胶原、Ⅲ型前胶原、PLT和LSM,基于LASSO回归建立无创列线图模型作为临床诊断CHB肝纤维化的量化工具,具有较高的诊断效能,值得推广应用。
首次失代偿期乙型肝炎肝硬化患者获得再代偿的影响因素分析
阮佳佳, 温世飞, 王霞, 李丽, 傅涓涓, 潘修成
2022, 38(8): 1796-1800. DOI: 10.3969/j.issn.1001-5256.2022.08.015
摘要(1259) HTML (440) PDF (2119KB)(170)
摘要:
  目的  分析实现再代偿的失代偿期乙型肝炎肝硬化患者的影响因素。  方法  纳入2011年9月1日—2019年12月31日就诊于徐州医科大学附属医院的初次失代偿乙型肝炎肝硬化患者438例,所有患者均接受包括抗病毒治疗在内的综合治疗。根据随访结束时患者的结局分为再代偿组和持续失代偿组,分析再代偿的独立影响因素。比较不同代偿状态的患者长期生存率方面的差异。计量资料两组间比较采用Mann-Whitney U检验;计数资料两组间比较采用χ2检验。采用多因素Cox风险比例回归模型分析再代偿的影响因素。采用Kaplan-Meier法绘制生存曲线,log-rank检验生存曲线。  结果  438例失代偿期乙型肝炎肝硬化患者经过抗病毒治疗后最终有199例实现再代偿(45.4%),与持续失代偿患者比较,持续病毒学应答(χ2=72.093,P<0.001)、单个或多个并发症(χ2=9.834,P=0.002)、是否消化道出血(χ2=6.346,P=0.012)、血清肌酐(Z=-1.035,P=0.011)、血钠浓度(Z=-1.606,P=0.019)、Hb(Z=1.455,P=0.006)及ALT水平(Z=-2.194,P<0.001)差异均有统计学意义。基线ALT水平(OR=1.002,95%CI:1.000~1.003,P=0.009),是否获得SVR(OR=5.760,95%CI:3.634~9.129,P<0.001)及血清肌酐(OR=0.990,95%CI:0.981~1.000,P=0.047)是再代偿的独立影响因素。再代偿患者的5年存活率显著高于持续失代偿患者(87.9% vs 72.0%,χ2=9.886, P=0.025)。  结论  经过抗病毒治疗等综合治疗后,大约有45.4%的患者可以实现再代偿。基线ALT升高及实现SVR的患者更容易实现再代偿,基线血清肌酐升高的患者难以实现再代偿,再代偿患者的长期预后较持续失代偿患者更好。
肝硬化食管静脉曲张急诊套扎术后再出血的影响因素
贺庆娟, 房英霞, 刘旭臣, 李忠斌
2022, 38(8): 1801-1805. DOI: 10.3969/j.issn.1001-5256.2022.08.016
摘要(1345) HTML (620) PDF (2091KB)(91)
摘要:
  目的  探讨影响肝硬化食管静脉曲张急诊套扎术后再出血的危险因素。  方法  回顾性分析2016年1月—2019年12月解放军总医院第五医学中心290例行急诊食管静脉套扎术治疗的肝硬化患者的临床和实验室资料,根据患者随访1年时有无再出血,分为再出血组和未出血组各145例。符合正态分布的计量资料两组间比较采用t检验,不符合正态分布的计量资料两组间比较采用Wilcoxn秩和检验,计数资料两组间比较采用χ2检验,以筛选出的有统计学意义的因素为自变量进行多因素logistic回归分析,筛选出急诊食管静脉套扎术后再出血的独立相关因素,通过绘制受试者工作特征曲线,获得预测再出血概率的指标并建立模型。  结果  单因素分析显示两组间血小板计数(PLT)(t=-1.888,P=0.047)、Child-Pugh评分(χ2=5.975,P=0.049)、白蛋白(Alb)水平(t=-2.229,P=0.029)、脾静脉直径(DSV)(t=3.808,P=0.001)比较,差异均有统计学意义。多因素logistic回归分析结果显示,Child-Pugh评分[比值比(OR)=0.280,95%CI: 0.108~0.729,P=0.009]、DSV(OR=1.549,95%CI: 1.197~2.005, P=0.001)和Alb(OR=0.832, 95%CI: 0.729~0.949,P=0.006)是食管静脉套扎术后再出血的影响因素。3个因素联合建立预测模型的受试者工作特征曲线下面积0.796,敏感度为83.7%,特异度为74.5%,界值为-0.086。  结论  Child-Pugh评分、Alb水平、DSV为急诊食管静脉套扎术后再出血的独立相关因素,三者联合预测再出血的敏感度和特异度最高。
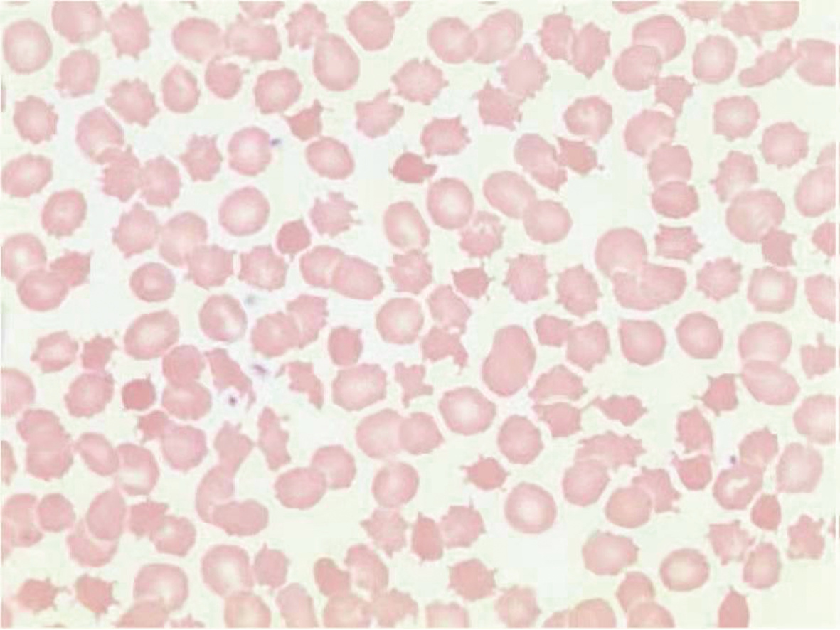
酒精性肝硬化患者贫血特征分析
闫旭, 王文静, 赵丹彤
2022, 38(8): 1806-1812. DOI: 10.3969/j.issn.1001-5256.2022.08.017
摘要(1478) HTML (746) PDF (2081KB)(117)
摘要:
  目的  探讨酒精性肝硬化患者贫血的实验室及临床特征。  方法  对2020年12月—2021年5月于首都医科大学附属北京佑安医院进行网织红细胞及全血细胞分析检测且贫血的住院患者进行研究,筛选出院诊断为酒精性肝硬化且无上消化道出血史及输血史的患者共106例作为研究对象,根据贫血的严重程度、贫血的细胞形态学分类、网织红细胞血红蛋白含量(Ret-He)回顾性分析其临床特征及影响因素。正态分布计量资料两组间比较采用独立样本t检验,多组间比较采用单因素方差分析,进一步两两比较采用SNK-q检验和LSD-t检验。偏态分布计量资料两组间比较采用Mann-Whitney U检验,多组间采用Kruskal-Wallis H检验。计数资料组间比较采用χ2检验。不同贫血分类标准与实验室指标及临床特征相关性采用Spearman相关分析。  结果  (1) 患者中男性103例(97.2%),平均年龄(55.07±10.18)岁,平均血红蛋白(Hb)(87.16±18.55)g/L,轻度贫血49例(46.2%)、中度贫血49例(46.2%)、重度贫血8例(7.5%);Ret-He为33.65(13.3~46.4)pg,≤29 pg者33例(31.1%),>29 pg者73例(68.9%);大细胞性贫血46例(43.4%)、正常细胞性贫血34例(32.1%)、单纯小细胞性贫血2例(1.9%)、小细胞低色素性贫血24例(22.6%)。腹水和/或腹腔感染87例(82.1%)、脾大和/或脾功能亢进82例(77.4%)、食管胃底静脉曲张65例(61.3%)、肝性脑病31例(29.2%)。(2)轻度贫血组Ret-He、平均红细胞体积(MCV)、平均红细胞血红蛋白含量(MCH)、平均红细胞血红蛋白浓度(MCHC)、血清铁(SI)、转铁蛋白饱和度(TS)明显高于对照组(中/重度贫血组)(P值均<0.05);Ret-He>29 pg比例(83.7% vs 56.1%)、正常细胞性贫血比例(44.9% vs 21.1%)均明显高于对照组(P值均<0.05);未饱和铁结合力(UIBC)、小细胞低色素性贫血比例(6.1% vs 36.8%)均明显低于对照组(P值均<0.05)。(3)大细胞性贫血组ALT、Hb、腹水和/或腹腔感染比例(91.3% vs 65.4%)均高于小细胞性贫血组,而重度贫血比例(2.2% vs 19.2%)、食管胃底静脉曲张比例(52.2% vs 84.6%)明显低于小细胞性贫血组(Pc值均<0.05);大细胞性贫血组AST、AST/ALT明显高于小细胞性贫血组及正常细胞性贫血组(Pc值均<0.05);小细胞性贫血组轻度贫血比例明显低于大细胞性贫血组及正常细胞性贫血组,而中度贫血比例明显高于正常细胞性贫血组(Pc值均<0.05)。大细胞性贫血组Ret-He、MCV、MCH、MCHC、SI、TS明显高于其他两组(Pc值均<0.05),而总铁结合力(TIBC)、UIBC明显低于其他两组(Pc值均<0.05)。(4)Ret-He≤29.00 pg患者组Hb、MCV、MCH、MCHC、SI、TS、轻度贫血比例、腹水和/或腹腔感染比例明显低于Ret-He>29 pg组(P值均<0.05),而UIBC、小细胞低色素性贫血比例、食管胃底静脉曲张比例明显高于Ret-He>29 pg组(P值均<0.05)。(5)Hb、Ret-He、MCV、MCH、MCHC、UIBC、SI、TS与贫血的严重程度、贫血的细胞形态学分类及铁缺乏有相关性(P值均<0.05);食管胃底静脉曲张、腹水和/或腹腔感染与贫血的细胞形态学分类及铁缺乏相关(P值均<0.05)。  结论  酒精性肝硬化失代偿期贫血程度以轻度、中度为主,大细胞性贫血和正常细胞性贫血常见。随着贫血程度的加深,铁缺乏的发生率增加;食管胃底静脉曲张、腹水和/或腹腔感染与贫血的细胞形态学分类及铁缺乏相关,临床应加强对此类患者缺铁性贫血的排查。
论著_肝脏肿瘤
仑伐替尼联合信迪利单抗二线治疗肝内胆管癌的效果和安全性
丁晓燕, 孙巍, 申燕军, 滕颖, 许雅文, 李文东, 陈京龙
2022, 38(8): 1813-1818. DOI: 10.3969/j.issn.1001-5256.2022.08.018
摘要(2289) HTML (1726) PDF (2697KB)(159)
摘要:
  目的  初步探索仑伐替尼联合信迪利单抗在肝内胆管癌二线治疗中的疗效和安全性。  方法  回顾性分析北京地坛医院医院2019年10月31日—2021年10月31日收治的无法手术根治的肝内胆管癌二线治疗患者的临床资料,患者使用仑伐替尼联合信迪利单抗治疗。随访患者,采用RECIST1.1标准评价疗效。主要观察终点为至疾病进展时间(TTP),次要观察终点为肿瘤客观缓解率(ORR)、疾病控制率(DCR)、总生存期(OS)和安全性。Kaplan-Meier法绘制生存曲线,组间差异采用log-rank检验。  结果  共27例患者入组,其中男15例(55.6%),女12例(44.4%),中位年龄58岁(33~73岁)。患者中位TTP为5.5个月(95%CI:1.7~9.3),13例(48.1%)患者因疾病死亡,中位OS为11.2个月(95%CI:5.0~17.4)。总体ORR为40.7%,DCR为70.3%。66.7%发生了不同程度的不良事件。ALT和AST升高分别为44.4%,高血压37.0%,胆红素升高为29.6%,腹泻29.6%;尿蛋白、食欲下降和乏力分别为25.9%。无治疗相关的死亡;仅有1例发生Ⅳ度免疫相关性肝脏毒性,经激素治疗后缓解,无后遗症,导致信迪利单抗永久性停药。合并淋巴结转移的患者中位TTP与无淋巴结转移患者比较显著缩短(4.5个月 vs 18.8个月,P=0.035), 获得疾病缓解的患者,中位TTP显著延长[11.6个月(95%CI:5.6~17.6) vs 2.8个月(95%CI:1.8~3.8),P<0.001];合并淋巴结转移的患者中位OS有缩短趋势[9.6个月(7.9~11.3)vs 21.9个月(95%CI:0~44.9),P=0.053], 疾病获得缓解的患者中位OS显著延长[16.6个月(95%CI:9.0~24.2) vs 6.9个月(95%CI:3.6~10.2),P=0.011]。  结论  仑伐替尼联合信迪利单抗二线治疗肝内胆管癌临床效果显著,严重不良事件发生率低,是一种安全、有效的治疗方案。
柚皮素对人自然杀伤细胞杀伤肝癌细胞的影响及其机制
马利节, 于畅, 王芳, 唐亦非, 邬海龙, 孙学华, 高月求
2022, 38(8): 1819-1824. DOI: 10.3969/j.issn.1001-5256.2022.08.019
摘要(1048) HTML (292) PDF (3514KB)(90)
摘要:
  目的  将人外周血单个核细胞体外扩增为自然杀伤(NK)细胞,与肝癌细胞1∶ 1共培养。观察柚皮素对NK细胞杀伤率的影响并初步研究相关机制。  方法  淋巴细胞分离液分离人外周血单个核细胞,在体外经重组人白细胞介素2诱导培养NK细胞;0、3.125、6.25、12.5、25、50 μmol/L浓度柚皮素作用于人肝癌细胞0、24、48 h后CCK8检测肝癌细胞增殖情况;不同浓度柚皮素作用于人NK细胞24 h后,CCK8检测NK细胞增殖情况;柚皮素作用于NK-肝癌细胞1∶ 1共培养体系24 h后,CellTiter-LumiTM检测NK细胞杀伤率;实时荧光定量PCR法检测NK细胞中激活型受体NKG2D的基因表达,以及肝癌细胞中NKG2D配体的基因表达。计量资料多组间比较采用单因素方差分析,进一步两两比较采用LSD-t检验。  结果  经重组人白细胞介素2诱导培养后,NK细胞可扩增至人外周血单个核细胞的82.33%±0.70%;柚皮素作用24 h后,所有质量浓度组CLC5肝癌细胞的增殖率无明显差异(P值均>0.05),25及50 μmol/L质量浓度组柚皮素对NK细胞的增殖有较明显的促进作用(P值均<0.000 1);柚皮素作用NK-肝癌细胞1∶ 1共培养体系24 h后,25、50 μmol/L浓度组对NK细胞杀伤率均有明显提高(P值均<0.000 1);柚皮素作用于NK-肝癌细胞1∶ 1共培养体系24 h后,25、50 μmol/L浓度组柚皮素对NK细胞中NKG2D的表达均无影响,对肝癌细胞中MICB、ULBP2的表达亦无影响(P值均>0.05),对肝癌细胞中ULBP1、ULBP3等NKG2D配体的表达有明显上调作用(P值均<0.001)。  结论  柚皮素可能通过上调肝癌细胞中NKG2D配体表达,从而增加NK细胞的杀伤活性。
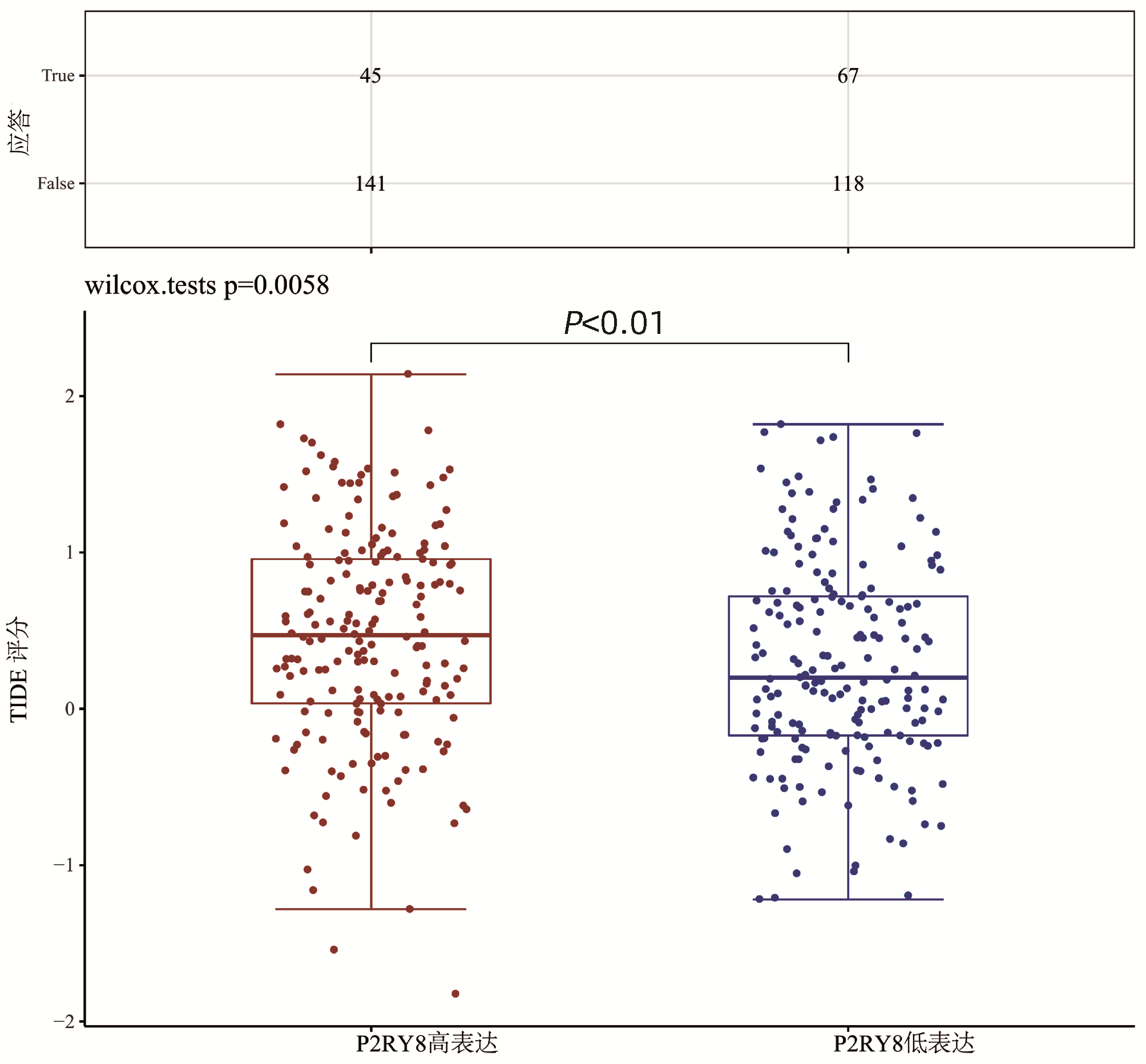
P2RY8在肝细胞癌组织中表达的生物信息学分析及其临床意义
梅儒齐, 鞠倩, 李曰平, 刘诚聪
2022, 38(8): 1825-1833. DOI: 10.3969/j.issn.1001-5256.2022.08.020
摘要(1157) HTML (402) PDF (5237KB)(114)
摘要:
  目的  本研究旨在探讨人B淋巴细胞限制受体P2RY8在肝细胞癌(HCC)诊断和预后中的应用价值,并分析了其与肿瘤免疫的关系。  方法  利用肿瘤基因组图谱(TCGA)数据库比较P2RY8的表达情况。采用R软件包分析P2RY8与肿瘤分期的相关性,建立诊断及生存的受试者工作特征(ROC)曲线和Nomogram模型。利用肿瘤免疫评估资源(TIMER)分析免疫细胞浸润、免疫细胞生物标志物和免疫检查点。使用STRING数据库分析蛋白质-蛋白质相互作用网络信息。通过基因本体论(GO)分析和京都基因与基因组百科全书(KEGG)分析P2RY8及其互作基因的功能。收集2007年6月—2008年11月行肝癌根治性手术的64例患者HCC组织及其中35例对应的癌旁组织(组织芯片购自上海芯超生物科技有限公司)进行验证,统计其临床资料及随访资料,采用免疫组化法检测HCC及癌旁组织标本中P2RY8的表达情况。符合正态分布的计量资料两组间比较采用t检验;非正态分布的计量资料两组间比较采用Mann-Whitney U检验,多组间比较采用Kruskal-Wallis H检验。计数资料两组间比较采用χ2检验。两变量间的相关性采用Spearman相关分析。应用Kaplan-Meier绘制生存曲线,log-rank检验计算生存率。  结果  P2RY8在HCC中过表达,可通过P2RY8的表达水平准确鉴别肿瘤与正常组织(ROC曲线下面积为0.794)。P2RY8高表达的患者预后较好(P=0.005)。64例临床样本数据同样证实P2RY8高表达的肝癌患者术后3年生存率(78.9% vs 46.2%,P=0.007)、5年生存率(76.3% vs 38.5%,P=0.002)和OS[92.5(48.8~102.0)个月vs 33.0(25.0~95.5)个月,P=0.022]显著高于低表达者,Kaplan-Meier生存曲线进一步表明P2RY8表达水平与HCC患者预后相关。此外,P2RY8在HCC中与免疫细胞浸润和免疫检查点呈正相关。GO/KEGG通路富集分析显示P2RY8在体液免疫、细胞免疫等信号转导通路中均有富集。  结论  P2RY8不仅参与了HCC的发生发展,还参与其免疫调节。因此,P2RY8可以作为一个潜在的HCC诊断和预后的生物标志物和治疗靶点。
论著_其他肝病
妊娠女性药物相关肝损伤风险的识别及分析
母光頔, 李佳怡, 高云娟, 赵旭, 王伽伯, 柏兆方, 肖小河, 郭玉明
2022, 38(8): 1834-1838. DOI: 10.3969/j.issn.1001-5256.2022.08.021
摘要(1422) HTML (348) PDF (2634KB)(117)
摘要:
  目的  通过对妊娠女性药物相关肝损伤不良反应(ADR)特征识别与分析,警示其潜在用药风险。  方法  收集中草药肝损伤云系统(hilicloud.net)中2012年1月1日—2016年12月31日妊娠女性药物相关肝损伤ADR报告进行回顾性研究,分析其主要临床特征及用药规律,并采用报告比值比(ROR)对相关药物进行相对风险分析。计量资料组间比较采用t检验。  结果  妊娠女性药物相关肝损伤报告的高频药物有甲氨蝶呤、米非司酮、利托君等,主要用于终止异位妊娠及葡萄胎等疾病的治疗。药物相关肝损伤相对风险分析发现,妊娠女性使用甲氨蝶呤(ROR=37.52,95%CI:31.35~44.89)、黄体酮(ROR=7.33,95%CI:2.75~19.59)、地屈孕酮(ROR=6.58,95%CI:2.20~19.69)与肝损伤风险相关性较强,其中妊娠女性(ROR=37.52,95%CI:31.35~44.89)使用甲氨蝶呤比非妊娠女性(ROR=1.71,95%CI:1.47~4.36)使用发生肝损伤的风险相关性强。  结论  应重视甲氨蝶呤、黄体酮等药物在妊娠女性人群中发生肝损伤的潜在风险,避免严重不良反应的发生。
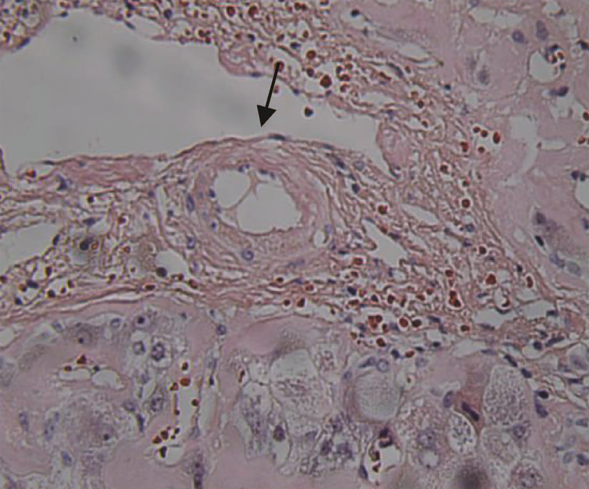
10例儿童肝糖原累积病临床及病理学分析
赵素贤, 刘世恒, 李文聪, 韩芳, 刘树红, 张庆山, 任伟光, 孔令波, 付娜, 王荣琦, 孔丽, 南月敏, 赵景民
2022, 38(8): 1839-1842. DOI: 10.3969/j.issn.1001-5256.2022.08.022
摘要(1409) HTML (513) PDF (2394KB)(109)
摘要:
  目的  探讨儿童糖原累积病(GSD)的临床及病理学特点。  方法  选择2002年1月—2022年1月河北医科大学第三医院及解放军第五医学中心经病史、肝脏生化及肝活组织检查确诊的GSD 10例,对比分析人群特征、临床表现、生化指标、肝组织病理学特点。  结果  10例患儿发育迟缓,矮小,均表现为肝功能异常,轻度乏力、纳差、尿黄、眼黄,4例患者肝脾肿大。6例患者有低血糖的临床表现;1例患儿双侧腓肠肌肥大,Gower征阳性。2例患儿巨细胞病毒IgG阳性。肝组织病理学表现肝细胞弥漫性肿大,胞浆空淡,核小居中似植物细胞状,伴或不伴纤维组织增生。  结论  GSD患者多数有发育迟缓、转氨酶异常,肝组织病理检查有其特异性病理特征。
83例肝豆状核变性患者的临床特征分析
纪雷, 张莹, 孔丽, 赵素贤, 崔坡, 张庆山, 孔令波, 任伟光
2022, 38(8): 1843-1846. DOI: 10.3969/j.issn.1001-5256.2022.08.023
摘要(1690) HTML (230) PDF (1880KB)(120)
摘要:
  目的  总结肝豆状核变性患者的临床特征。  方法  回顾性分析2013年4月—2021年8月河北医科大学第三医院收治的83例肝豆状核变性患者的临床表现、实验室/影像学/肝组织病理学检查、ATP7B基因检测结果。根据损伤部位不同区分临床类型。多组间比较采用单因素方差分析。  结果  83例WD患者中,男女比例1∶ 1.075;发病年龄最小为3岁,平均(21.16±14.87)岁,其中≤18岁者39例(46.99%);以肝损伤为首发表现者(肝型)为主(63.86%),31例(37.35%)患者就诊时已进展为肝硬化,5例(6.2%)患者以急性或慢加急性肝衰竭就诊。角膜K-F环阳性62例(74.69%),其中肝型患者K-F环阳性率为66.04%;血铜蓝蛋白下降79例(95.18%),24 h尿铜升高73例(87.95%)。25例肝组织病理结果显示,肝组织均有不同程度的炎症、纤维化及脂变,以及铜颗粒沉积。25例ATP7B基因检测结果中,突变位点以外显子8的c.2333G>T/p.R778L最为常见。  结论  肝豆状核变性患者以肝病表现为主,角膜K-F环、血清铜蓝蛋白、24 h尿铜指标均有一定局限性。诊断不明时,应行肝组织病理学检查和ATP7B基因检测联合分析。
论著_胆道疾病
急性重症胆管炎的影响因素分析及风险预测评分模型的建立与评价
向泓宇, 党政, 许树林, 牛刚, 李月胜, 缪佰纹, 庞耀平, 范瑞芳, 秦建伟
2022, 38(8): 1847-1853. DOI: 10.3969/j.issn.1001-5256.2022.08.024
摘要(1052) HTML (370) PDF (2651KB)(89)
摘要:
  目的  探讨急性重症胆管炎的独立危险因素与保护因素,构建急性重症胆管炎风险预测评分模型。  方法  回顾性分析中国人民解放军联勤保障部队第九四〇医院肝胆外科2016年1月—2021年7月收治的381例急性胆管炎患者的临床资料,其中非重症胆管炎患者273例,重症胆管炎患者108例。通过单因素及logistic回归分析筛选出急性重症胆管炎的独立危险因素与保护因素,并构建logistic回归模型。采用受试者工作特征曲线(ROC曲线)评估模型的区分度,校准曲线评估模型的预测精度,决策曲线分析评估模型的临床价值。运用加强Bootstrap法对模型进行内部验证,并评估模型在内部验证中的表现。通过构建网页计算器、列线图与评分系统,对模型进行可视化呈现。符合正态分布的计量资料两组间比较采用两独立样本t检验;不符合正态分布的计量资料两组间比较采用Mann-Whitney U检验;计数资料两组间比较采用χ2检验。  结果  单因素及logistic回归分析结果显示TBil(OR=1.014,95%CI:1.009~1.020,P<0.001)、中性粒细胞百分比(OR=1.128,95%CI:1.088~1.175,P<0.001)、年龄(OR=1.053,95%CI:1.027~1.082,P<0.001)为独立危险因素,Alb(OR=0.871,95%CI:0.817~0.924,P<0.001)为保护因素。将上述独立危险因素与保护因素再次纳入logistic回归进行模型拟合,得到预测模型的ROC曲线下面积为0.925(95%CI:0.897~0.952),其最佳截断值为0.245(特异度为0.817,灵敏度为0.935)。绘制校准曲线见模型预测概率近似等于实际概率,Brier值为0.098。决策曲线分析见模型在阈概率为0.1~0.9内有更高的净收益。通过内部验证,结果显示ROC曲线下面积内部验证为0.915,Brier值内部验证为0.106。  结论  TBil、中性粒细胞百分比、年龄为急性重症胆管炎的独立危险因素,Alb为保护因素,构建的风险预测评分模型有良好的区分度、校准度与临床价值,可早期对急性重症胆管炎患者进行识别,为后续的诊疗提供一定的参考。
内镜逆行胰胆管造影联合SpyGlass系统治疗胆总管结石继发急性胆囊炎的效果观察
陶丽莹, 王宏光, 郭享, 周舰, 郭庆梅, 王曼彤
2022, 38(8): 1854-1858. DOI: 10.3969/j.issn.1001-5256.2022.08.025
摘要(1313) HTML (499) PDF (2754KB)(75)
摘要:
  目的  比较内镜逆行胰胆管造影(ERCP)+SpyGlass系统和经皮胆囊穿刺引流术(PTGD)+ERCP治疗胆总管结石继发急性胆囊炎的安全性和有效性。  方法  回顾性分析2019年12月—2021年9月吉林市人民医院消化内科胆总管结石继发急性胆囊炎患者的临床资料,其中ERCP+SpyGlass组23例,PTGD+ERCP组19例,比较两组手术技术成功、手术操作时间、手术临床成功、手术后恢复情况、住院天数、并发症等指标。服从正态分布的计量资料组间比较采用两独立样本t检验;不符合正态分布组间比较采用Wilcoxon秩和检验。计数资料组间比较采用χ2检验或Fisher确切概率法。  结果  ERCP+SpyGlass组较PTGD+ERCP组在术后CRP下降明显(Z=2.999, P=0.003);两组的技术成功率(χ2=1.735,P=0.188)、临床成功率(χ2=0.846,P=0.358)、整体手术时间(t=1.667,P=0.113)、术后1 d白细胞计数(t=1.075,P=0.289)、术后住院天数(t=1.560,P=0.127),以及并发症发生率比较,差异均无统计学意义(P值均>0.05)。  结论  ERCP+SpyGlass系统治疗对比PTGD+ERCP治疗胆总管结石继发急性胆囊炎,不增加手术相关不良事件和风险,治疗效果相当,安全有效,且一次性经内镜自然腔道解决胆道和胆囊问题,体表无瘢痕,术后护理便捷,值得临床进一步推广。
南疆地区胆囊结石与代谢综合征的关联性分析
多小勇, 张示杰, 张宏伟, 杨婧, 王文强, 余林知, 张宝财, 卓怡呈, 贾云超, 彭妍, 胡帅
2022, 38(8): 1859-1864. DOI: 10.3969/j.issn.1001-5256.2022.08.026
摘要(930) HTML (247) PDF (1899KB)(52)
摘要:
  目的  通过研究南疆地区胆囊结石(GS)与代谢综合征(MS)的相关性,为南疆地区代谢性疾病的预防与控制提供经验。  方法  通过整群抽样收集2015年3月—2019年3月于新疆生产建设兵团第一师医院、第二师库尔勒医院、新疆生产建设兵团第三师医院就诊的GS患者作为病例组。通过整群抽样收集同期于第三师五十一团医院体检人群为对照组。通过纳入排除标准及按年龄、性别进行一比一配对,最终病例组、对照组均纳入1140例。计量资料2组间比较采用t检验,计数资料2组间比较采用χ2检验;采用logistic回归探讨GS的影响因素。通过logistic回归纳入哑变量的方法评价MS组分间的相乘交互作用;借用logistic回归模型的参数估计值和协方差矩阵(相关系数矩阵)及交互作用计算表,计算和评价MS组分之间的相加交互作用。  结果  MS患者GS的患病风险是非MS患者的2.33倍(OR=2.33,95%CI:1.86~2.92)。且MS的各组分:血糖(OR=2.94,95%CI:2.36~3.68)、血压(OR=1.50,95%CI:1.26~1.80)、血脂(OR=1.48,95%CI:1.25~1.75)、BMI(OR=1.44,95%CI:1.21~1.70)也增加了GS的患病风险。经多因素调整后,随着代谢异常数目:一项异常(OR=1.55,95%CI:1.22~1.99)、两项异常(OR=2.13,95%CI:1.66~2.72)、三项异常(OR=3.48,95%CI:2.59~4.69)、四项异常(OR=4.65,95%CI:2.79~7.84)的增加,GS的患病风险逐渐增加。MS各组分之间未发现存在相加、相乘交互作用。  结论  南疆地区GS与MS密切相关,且随着MS组分的增加,GS的发病风险逐渐增高,GS与MS各组分之间无相加交互及相乘交互作用。
论著_胰腺疾病
84例肿瘤相关性急性胰腺炎的发病特征及预后分析
郑琳琳, 何辉, 孔笑华, 周耘辉, 刘宁宁, 周琳
2022, 38(8): 1865-1871. DOI: 10.3969/j.issn.1001-5256.2022.08.027
摘要(927) HTML (271) PDF (1935KB)(71)
摘要:
  目的  通过回顾性分析肿瘤相关性急性胰腺炎(AP)患者的临床资料,评估胆胰及壶腹部肿瘤与AP发病之间的关系,探讨肿瘤相关性AP的临床特点。  方法  收集2013年1月—2021年8月郑州大学第一附属医院收治的AP患者病例资料。分析AP病因构成及肿瘤相关AP的发病率变化;对比分析肿瘤及非肿瘤AP,以及不同肿瘤部位AP的临床特征差异,探讨肿瘤相关AP的发病特点。正态分布的计量资料两组间比较采用t检验,多组间比较采用单因素方差分析,进一步两两比较采用SNK-q检验;非正态分布的计量资料两组间比较采用Mann-Whitney U检验,多组间比较采用Kruskal-Wallis H检验,进一步两两比较采用Wilcoxon秩和检验;计数资料二分类组间采用χ2检验或Fisher’s精确检验法比较,多分类组间比较采用拟合优度检验。应用受试者工作特征曲线(ROC曲线)评估胰腺肿瘤相关AP的鉴别因素;采用logistic多因素回归分析肿瘤相关性AP的独立影响因素。  结果  共入组AP患者8106例,肿瘤相关性AP患者84例,占1.04%。84例肿瘤相关AP患者平均年龄显著大于非肿瘤组(t=6.050, P<0.001)。初发AP至确诊肿瘤平均时间为7.38个月;轻症急性胰腺炎(MAP)75例(89.2%),中度重症急性胰腺炎(MSAP)8例(9.5%), 重症急性胰腺炎(SAP)1例(1.2%)。肿瘤来源于胆道下段11例(13.1%),壶腹部13例(15.5%),胰腺60例(71.4%)。AP反复发作(RR=8.362, 95%CI: 3.162~22.115)、胰管扩张(RR=10.996, 95%CI: 3.871~31.236)、胆管扩张(RR=7.738, 95%CI: 2.521~23.752) 和白细胞计数(RR=0.766, 95%CI: 0.666~0.881)是肿瘤相关性AP的独立影响因素(P值均<0.001)。  结论  肿瘤相关AP以中老年男性多发,临床多表现为MAP、易反复,多伴胰胆管扩张,肿瘤标志物CA19-9持续性升高等。具有上述特征且无明显诱因的AP需完善胆胰及壶腹部的影像学精查,并加强随访,避免肿瘤漏诊影响预后。
病例报告
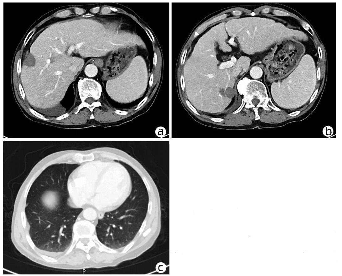
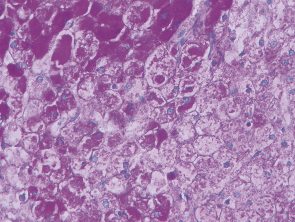
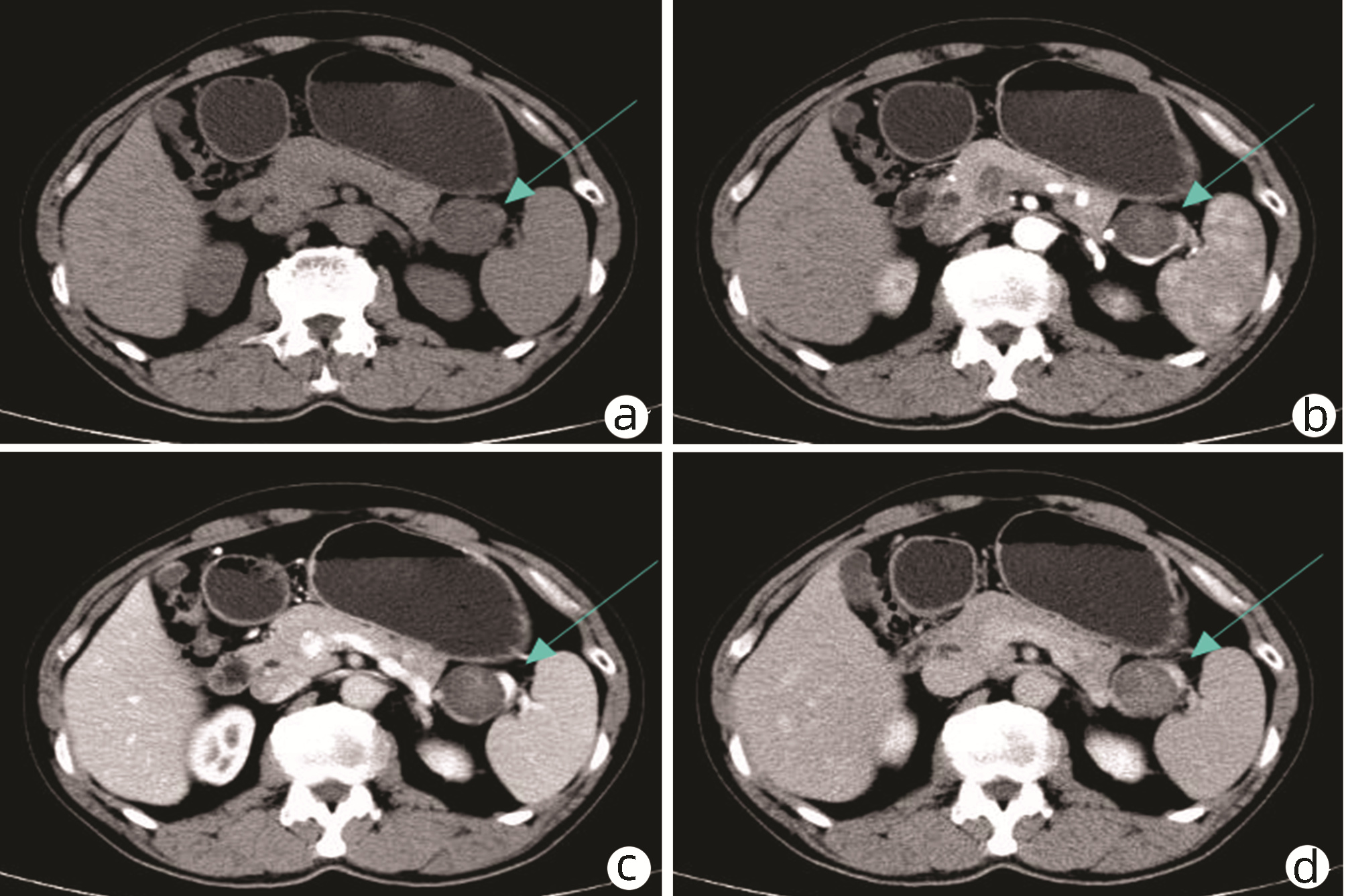
肝细胞癌合并胆管癌栓1例报告
鲁人竭, 孙芳芳, 杜杰, 赵丽荣
2022, 38(8): 1872-1874. DOI: 10.3969/j.issn.1001-5256.2022.08.028
摘要(803) HTML (455) PDF (3665KB)(82)
摘要:
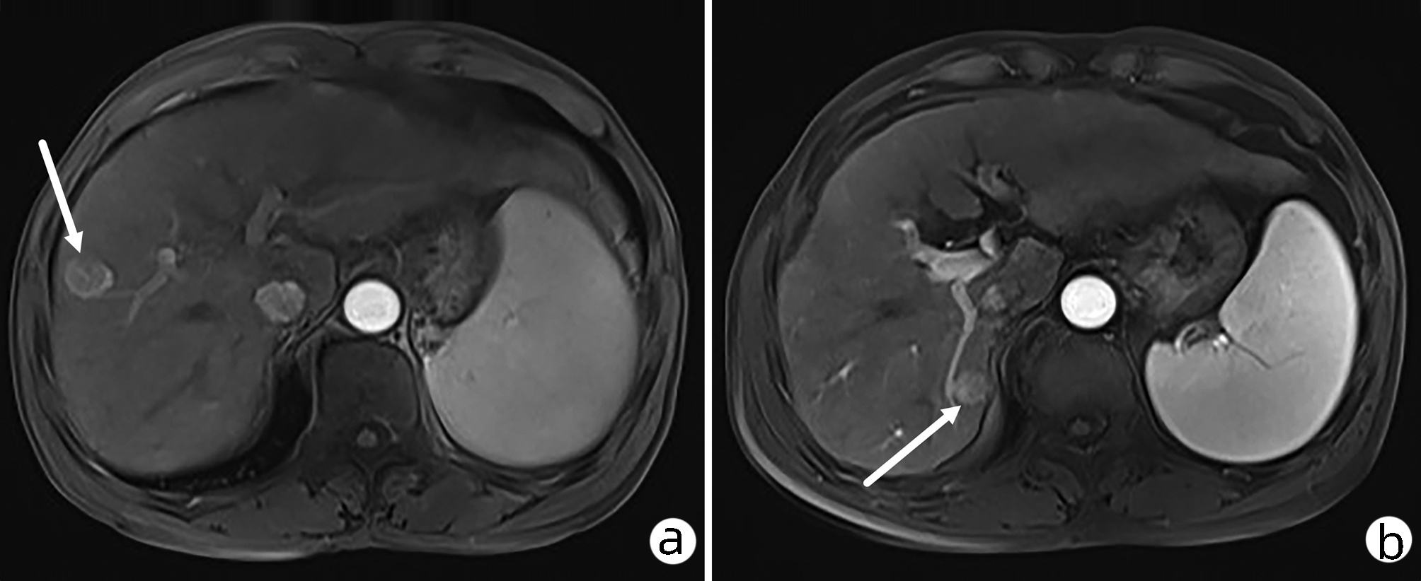
肝细胞癌微波消融术后迟发性膈疝1例报告
王晓栋, 张玉蓉, 朱晓宁, 郑丁, 汪静
2022, 38(8): 1875-1877. DOI: 10.3969/j.issn.1001-5256.2022.08.029
摘要(877) HTML (328) PDF (2572KB)(61)
摘要:
胰尾部神经鞘瘤1例报告
章家超, 唐荣, 张震生, 陈平平, 曾勇超
2022, 38(8): 1878-1879. DOI: 10.3969/j.issn.1001-5256.2022.08.030
摘要(667) HTML (273) PDF (3067KB)(65)
摘要:
肝脾肿大伴β脂蛋白缺乏症1例报告
郭海军
2022, 38(8): 1880-1882. DOI: 10.3969/j.issn.1001-5256.2022.08.031
摘要(665) HTML (250) PDF (2351KB)(72)
摘要:
系统性轻链型淀粉样变性并发致命性自发性脾破裂1例报告
李朵, 赵英仁, 陈红梅
2022, 38(8): 1883-1885. DOI: 10.3969/j.issn.1001-5256.2022.08.032
摘要(704) HTML (254) PDF (2823KB)(61)
摘要:
综述
中医药在核苷(酸)类似物治疗慢性乙型肝炎中的作用
王晗笑, 陈欣菊, 赵晴, 赵文霞
2022, 38(8): 1886-1891. DOI: 10.3969/j.issn.1001-5256.2022.08.033
摘要(1394) HTML (373) PDF (2126KB)(138)
摘要:
核苷(酸)类似物可抑制HBV复制,有效治疗慢性乙型肝炎,却无法彻底根除HBV,无法阻止低病毒载量下乙型肝炎肝硬化、肝癌的发展。近年来中药在慢性乙型肝炎的治疗中应用广泛,阐述了中药抑制HBV复制,降低HBeAg含量,延缓乙型肝炎肝硬化、肝癌发展等方面的应用及机制,提出中医药可提高核苷(酸)类似物治疗慢性乙型肝炎的疗效。
自身免疫性肝炎在孕前-妊娠-产后期的管理
李春燕, 徐文娇, 邵利梅, 汤善宏
2022, 38(8): 1892-1895. DOI: 10.3969/j.issn.1001-5256.2022.08.034
摘要(1274) HTML (475) PDF (1874KB)(130)
摘要:
自身免疫性肝炎是由自身免疫系统攻击肝细胞导致的慢性进行性肝脏炎症性疾病,以血清自身抗体阳性、高IgG和/或γ-球蛋白血症为特征。目前对自身免疫性肝炎患者妊娠的研究大多集中于分娩并发症,而对于孕前期、妊娠期、产后疾病的评估、治疗以及管理缺少系统的建议。虽然孕妇免疫会受到抑制,但如果在孕前1年疾病控制不佳或妊娠期自行停用药物会显著增加妊娠不良结局,故本文旨在叙述如何开展多学科协作及围绕妊娠期开展全周期的共同管理以提高母胎安全。
外泌体在原发性胆汁性胆管炎中作用的研究进展
马海涛, 唐映梅
2022, 38(8): 1896-1900. DOI: 10.3969/j.issn.1001-5256.2022.08.035
摘要(1215) HTML (280) PDF (2269KB)(107)
摘要:
原发性胆汁性胆管炎(PBC)是一种以胆汁淤积为特征的自身免疫性疾病。近年来国内外多项研究表明,外泌体在PBC疾病的发生发展中发挥重要作用,是目前医学研究领域的一大热点。本文主要从外泌体在PBC发病中的作用及其在PBC诊断和治疗中的研究进展等方面展开综述。外泌体在PBC疾病中的应用前景十分广阔,深入研究外泌体也将为PBC的诊疗带来新的机遇。
肝硬化患者门静脉血栓形成合并消化道出血的研究进展
申艳, 陈欣, 武涛, 陈琳
2022, 38(8): 1901-1905. DOI: 10.3969/j.issn.1001-5256.2022.08.036
摘要(1156) HTML (520) PDF (1890KB)(118)
摘要:
肝硬化患者门静脉血栓形成(PVT)近年来逐渐被重视,可导致肝硬化患者门静脉压力升高,加重食管胃底静脉曲张,甚至破裂出血。本文回顾了国内外肝硬化患者PVT合并消化道出血的流行病学、机制及不同情况下的治疗进展。PVT合并消化道出血的具体治疗方法及抗凝药的使用剂量及疗程等方面国内外仍存在争议,未来仍需大量高证据级别研究来明确其详细治疗方法。
纳米载药系统在肝癌治疗中的研究进展
王淼东, 陈泽山, 彭佩纯, 邓鑫
2022, 38(8): 1906-1912. DOI: 10.3969/j.issn.1001-5256.2022.08.037
摘要(1620) HTML (545) PDF (2076KB)(133)
摘要:
传统手术切除、放疗、化疗在肝癌治疗中占据主导地位。然而,化疗药物的毒副作用、疗效不稳定以及靶点不明确常限制了其在肝癌患者中的应用。因此,为了提高药物在肝癌治疗中的疗效,近些年在生物医学领域发展起来的纳米医学进入了人们的视野。纳米载药系统以低毒、生物利用度广、药物释放可控、稳定性好等优势被逐渐应用于临床研究,本文将着重介绍纳米载药系统在肝癌治疗中的最新进展。
肝癌微环境靶向与免疫治疗的研究现状
朱明强, 丁佑铭
2022, 38(8): 1913-1917. DOI: 10.3969/j.issn.1001-5256.2022.08.038
摘要(1374) HTML (470) PDF (1898KB)(137)
摘要:
肿瘤微环境是指肿瘤细胞及其所处的内外环境组成,组成成分因肿瘤类型而略有不同。肝癌微环境是由肝癌细胞、免疫细胞等共同构建的促癌微环境,通过招募炎症细胞、抑制抗肿瘤免疫反应、促进血管生成和促进肿瘤耐药导致肝癌的发生,并导致侵袭和转移。本文讨论了肝癌微环境特征、肝癌微环境的组成和作用以及靶向肝癌微环境肝癌治疗的新进展。
转录因子阴阳1在肝细胞癌中的作用
周洁, 华芸豪, 王晓美, 牛俊奇
2022, 38(8): 1918-1922. DOI: 10.3969/j.issn.1001-5256.2022.08.039
摘要(1349) HTML (810) PDF (3288KB)(80)
摘要:
肝细胞癌(HCC)起病隐匿,大多数患者确诊时进展至中晚期,错过了最佳治疗时机,往往预后不良。转录因子阴阳1(YY1)是一种多功能转录因子,可调节多种重要基因的转录,在多种肿瘤中发挥重要作用。既往研究显示,YY1影响HCC许多生物学行为,如增殖、凋亡、迁移和血管生成,还与HCC的耐药性及不良预后密切相关。本文系统总结了YY1在HCC发生发展中的作用相关研究进展,为HCC的治疗提供一定的理论依据。
间接药物性肝毒性的预防与治疗
郭津生
2022, 38(8): 1923-1926. DOI: 10.3969/j.issn.1001-5256.2022.08.040
摘要(1111) HTML (347) PDF (1873KB)(107)
摘要:
间接药物性肝毒性(IDLT)指一些药物的使用可诱发新的肝脏疾病或加重原有肝病病情,表型是那些潜在的肝脏疾病或易患病。IDLT可导致持续性肝损伤甚至急性肝衰竭,还可影响肿瘤或其他共存疾病的药物治疗,导致正在进行的化疗、免疫和靶向治疗暂停或终止,应引起重视和识别。本文针对几种IDLT机制及防治策略进行了阐述。
炎症反应在慢加急性肝衰竭中的作用及治疗策略
徐华谦, 李雪, 汤善宏
2022, 38(8): 1927-1930. DOI: 10.3969/j.issn.1001-5256.2022.08.041
摘要(1405) HTML (302) PDF (1872KB)(115)
摘要:
慢加急性肝衰竭(ACLF)是在慢性肝病基础上,由一系列诱因导致肝功能迅速恶化的临床综合征,以多器官衰竭和短期高病死率为突出特征。系统性炎症的发生是ACLF疾病进展的重要影响因素之一,是机体对感染的自然防御,但当炎症介质过度释放打破原有的“促炎和抗炎”动态平衡,反而会加重肝损伤甚至发生失代偿。因此,炎症反应的强度与ACLF患者预后密切相关,但目前对于炎症反应对ACLF患者的影响以及如何应对炎症风暴的关注度还不够,故本文归纳了目前炎症反应对ACLF的影响及其治疗进展,为临床中ACLF的诊疗提供思路。
糖酵解与线粒体功能障碍的关系及其在肝脏疾病中的潜在价值
颜耿杰, 林镛, 苏会吉, 陈含笑, 班少群, 韦艾凌, 毛德文, 龙富立
2022, 38(8): 1931-1936. DOI: 10.3969/j.issn.1001-5256.2022.08.042
摘要(2647) HTML (2218) PDF (2522KB)(205)
摘要:
糖酵解在肝脏疾病的发生发展中发挥着重要作用。在不同肝脏疾病中,糖酵解活性显示出不同程度的增强,并与线粒体功能障碍(氧化磷酸化功能缺陷和活性氧产生)密切相关,这有助于填补由氧化磷酸化受损而导致的能量产生缺陷。因此,或可通过靶向调节有氧糖酵解中的关键因素,例如抑制酶己糖激酶2、M2型丙酮酸激酶或其他调节途径,寻求肝脏疾病的潜在治疗新方法。本文从糖酵解与肝脏疾病的相互关系出发,阐述糖酵解在肝脏疾病中的治疗意义和潜在价值,以期为肝脏疾病治疗提供新思路。
不同类型慢性肝病糖脂代谢紊乱研究进展
王倩, 张宸瑞, 唐映梅
2022, 38(8): 1937-1940. DOI: 10.3969/j.issn.1001-5256.2022.08.043
摘要(987) HTML (371) PDF (1883KB)(91)
摘要:
肝脏是机体重要的代谢器官,研究表明慢性肝病与糖脂代谢障碍密切相关,不同类型肝病之间往往表现出不同的糖脂代谢特点。本文综述了不同类型慢性肝病糖脂代谢特点的流行病学特点、疾病严重程度、发病机制及治疗方法,旨在提高临床医生的相关认识。
远端胆管良性狭窄的内镜治疗进展
徐金杰, 郭洪雷, 胡良皞
2022, 38(8): 1941-1944. DOI: 10.3969/j.issn.1001-5256.2022.08.044
摘要(1245) HTML (279) PDF (2029KB)(84)
摘要:
远端胆管良性狭窄是由医源性损伤、慢性炎症、胆管结石等非肿瘤性因素所引起,受累胆管长期受到刺激导致纤维组织增生、胆管腔狭窄,进而出现反复发作的胆管炎、梗阻性黄疸和肝功能受损。缓解远端胆管梗阻并保持胆道长期通畅是远端胆管良性狭窄的治疗核心。随着内窥镜下逆行胰胆管技术的不断革新,内镜下狭窄扩张术、支架植入术以及磁压吻合术等新技术逐渐成为远端胆管良性狭窄的有效治疗手段。本文就远端胆管良性狭窄的内镜治疗进展进行阐述,以期为临床研究提供参考。
国外期刊精品文章简介
Journal of Viral Hepatitis|血清HBV RNA可预测经NUC治疗的慢性乙型肝炎患者的HBeAg清除和转换
2022, 38(8): 1882-1882. DOI: 10.3969/j.issn.1001-5256.2022.08.gwjpwzjj1
摘要(492) HTML (318) PDF (852KB)(83)
摘要:
Hepatology|巨噬细胞特异性成纤维细胞生长因子12促进小鼠肝纤维化进展
2022, 38(8): 1885-1885. DOI: 10.3969/j.issn.1001-5256.2022.08.gwjpwzjj2
摘要(613) HTML (309) PDF (841KB)(79)
摘要:
读者·作者·编者
Meta分析中的异质性检验
2022, 38(8): 1833-1833.
摘要(418) HTML (1580) PDF (840KB)(82)
摘要:
本刊对形态学图片的质量和制作要求
2022, 38(8): 1853-1853.
摘要(288) HTML (182) PDF (829KB)(53)
摘要:
本刊常见异形词
2022, 38(8): 1871-1871.
摘要(309) HTML (225) PDF (829KB)(118)
摘要:
消息
撤稿声明
2022, 38(8): 1900-1900.
摘要(482) HTML (268) PDF (832KB)(81)
摘要:
志谢
本期审稿专家
2022, 38(8): 1891-1891. DOI: 10.3969/j.issn.1001-5256.2022.08.zhixie1
摘要(507) HTML (171) PDF (834KB)(79)
摘要: