中文English
ISSN 1001-5256 (Print)
ISSN 2097-3497 (Online)
CN 22-1108/R

留言板

尊敬的读者、作者、审稿人, 关于本刊的投稿、审稿、编辑和出版的任何问题, 您可以本页添加留言。我们将尽快给您答复。谢谢您的支持!

姓名
邮箱
手机号码
标题
留言内容
验证码
2022年 第5期
“免疫治疗新时代下肝胆肿瘤治疗新进展”  重点号
本期执行主编:周俭
复旦大学附属中山医院

显示方式:
述评
免疫治疗新时代下肝胆恶性肿瘤治疗的机遇和挑战
黄晓勇, 施国明, 周俭
2022, 38(5): 977-979. DOI: 10.3969/j.issn.1001-5256.2022.05.001
摘要(1688) HTML (481) PDF (1944KB)(263)
摘要:
肝胆恶性肿瘤主要包括肝细胞癌(HCC)及胆道恶性肿瘤(BTC),是我国常见的恶性肿瘤,严重威胁我国人民的生命和健康。肝胆恶性肿瘤起病隐匿,大多数患者初诊即是晚期而失去手术机会。晚期HCC治疗主要依赖系统治疗如索拉非尼、仑伐替尼、多纳非尼以及瑞格非尼、阿帕替尼和全身化疗等治疗,但效果有限。晚期BTC则主要依赖全身化疗,效果差强人意。免疫治疗时代的到来,给晚期肝胆恶性肿瘤治疗带来新希望。阿替利珠单抗联合贝伐珠单抗、信迪利单抗联合贝伐珠单抗类似物(达攸同)相继被批准用于晚期HCC的一线治疗。以化疗为基础的联合免疫检查点抑制剂(ICI)或ICI联合靶向药物等方案在晚期BTC治疗中取得进展。这些方案显著改善患者的总体生存时,伴随明显的、甚至危及生命的不良反应,值得我们高度关注。另外,以ICI为基础的联合治疗在肝胆恶性肿瘤围手术期治疗中价值有待进一步评估。
专家论坛
肝癌围手术期的免疫治疗
徐彬, 李美龄, 孙惠川
2022, 38(5): 980-984. DOI: 10.3969/j.issn.1001-5256.2022.05.002
摘要(1581) HTML (773) PDF (1893KB)(235)
摘要:
肝细胞癌(以下简称肝癌)严重威胁我国人民的生命和健康。大多数肝癌患者在就诊时已处于中晚期,不适合接受根治性治疗;适合接受根治性治疗的早期肝癌患者仍然面临着术后较高的复发风险。鉴于以免疫检查点抑制剂为核心的免疫治疗方案在中晚期肝癌领域取得了重要进展,肝癌患者的围手术期免疫治疗也逐渐受到重视。在围手术期应用免疫治疗可以提高手术切除的可行性、降低手术切除后的复发率和延长患者生存。本文对以免疫检查点抑制剂为主的免疫治疗在肝癌围手术期中的应用和需要关注的问题进行探讨,希望能够为肝癌围手术期的免疫治疗提供新的思路。
肝癌免疫检查点抑制剂治疗相关不良反应及处理
王汉萍
2022, 38(5): 985-991. DOI: 10.3969/j.issn.1001-5256.2022.05.003
摘要(2700) HTML (665) PDF (1918KB)(323)
摘要:
免疫检查点抑制剂(ICI)通过增强机体自身的抗肿瘤免疫来治疗肝癌,已经成为肝癌领域的重要治疗手段。但是,ICI激活抗肿瘤的同时,也会带来一系列特殊的毒副作用,即免疫相关不良反应(irAE)。随着ICI的广泛使用,irAE已经成为临床实践种的一项重大挑战。irAE潜在的疾病谱广泛,包括70多种不同的病理状态,其中程序性死亡受体1(PD-1)/程序性死亡受体配体1(PD-L1)抑制剂相关的irAE最常见的类型为皮肤毒性、内分泌系统毒性、肺炎以及消化道毒性等,罕见的irAE包括中枢神经系统和心血管、肾脏、血液系统等。irAE疾病谱的广泛性要求对其进行多学科的协作管理,目前国内外也已经有多个学术机构或平台制定了多个irAE管理相关的指南。然而,irAE的管理目前尚缺乏高级别前瞻性试验结果的支持,在临床上也体现出不同于各系统原有免疫病的特点,尚需进一步优化其管理。本文对于肝癌免疫治疗中出现irAE的流行病学、风险及预测因素、各系统irAE的临床特点、治疗及管理注意事项等各个方面进行详细阐述。
中晚期肝细胞癌靶向联合免疫治疗进展
刘秀峰, 张珏, 姚琳, 杨朝旭
2022, 38(5): 992-997. DOI: 10.3969/j.issn.1001-5256.2022.05.004
摘要(2582) HTML (625) PDF (3145KB)(248)
摘要:
IMbrave 150研究开启了免疫治疗联合靶向治疗的大门,随之针对中国患者的Ⅲ期临床研究ORIENTAL-32结果公布,印证了免疫联合靶向的疗效,尤其针对中国患者,生存获益显著。目前诸多程序性死亡受体1/程序性死亡受体-配体1抑制剂联合小分子酪氨酸激酶抑制剂的研究正在进行中,其相应的早期数据提供了非常可观的客观缓解率,为不同病期、不同阶段肝细胞癌的转化治疗/序贯治疗提供了契机,也为新辅助/辅助治疗的深入探索提供了基础。免疫联合治疗已进入3.0版时代,在联合靶向药物的同时,可以在不同阶段实施合理的局部治疗,但目前尚无精准的疗效预测指标,需要缜密结合疾病的自然病程、临床病理学参数、基因组学、影像组学等特征综合考量。免疫联合治疗较之单药免疫或单药靶向治疗,不良反应谱相对复杂,相关性鉴别困难,需要多学科综合诊疗框架下的全程管理、综合判断和及时处置。
胆道系统恶性肿瘤免疫检查点抑制剂治疗
施国明, 裴晏梓, 陆品相, 曹军, 周俭, 樊嘉
2022, 38(5): 998-1001. DOI: 10.3969/j.issn.1001-5256.2022.05.005
摘要(1482) HTML (410) PDF (1877KB)(183)
摘要:
胆道系统恶性肿瘤起病隐匿、发展迅速,大多患者初诊时已丧失手术根治机会,预后不良。以吉西他滨为基础的化疗是胆道系统恶性肿瘤的一线治疗,但效果有限。二代测序技术的进步为胆道系统恶性肿瘤精准治疗提供了可能性,但靶点阳性率低及治疗药物可及性差限制了胆道系统恶性肿瘤精准治疗的应用和发展。以免疫检查点抑制剂程序性死亡受体及其配体单抗为代表的免疫治疗时代的到来,为恶性肿瘤包括胆道系统恶性肿瘤治疗提供了令人鼓舞的前景。以免疫检查点抑制剂为基础的联合化疗和/或靶向治疗已经在胆道系统恶性肿瘤治疗中显现良好的效果,是未来晚期胆道系统恶性肿瘤治疗的方向。
热点· 视点· 观点
肝硬化失代偿与“再代偿”
何志颖, 王冰琼, 尤红
2022, 38(5): 1002-1005. DOI: 10.3969/j.issn.1001-5256.2022.05.006
摘要(2732) HTML (2965) PDF (1882KB)(445)
摘要:
肝硬化分期评价体系从关注疾病进展规律到进一步细化急性失代偿时疾病状态分类,提出病因治疗后失代偿期肝硬化可再代偿的概念,系统补充了失代偿期肝硬化分期评价体系,其中门静脉高压、系统性炎症变化等多种因素可影响失代偿期肝硬化的临床转归。肝硬化再代偿这一新概念的提出,需要更多的临床证据去阐明包括病毒性肝炎等在内的病因治疗后获得“再代偿”患者的临床特征及其潜在的机制。
指南与规范
胰腺癌诊疗指南(2022年版)
国家卫生健康委办公厅
2022, 38(5): 1006-1015. DOI: 10.3969/j.issn.1001-5256.2022.05.007
摘要(5075) HTML (6584) PDF (2008KB)(1612)
摘要:
中国胰腺癌高危人群早期筛查和监测共识意见(2021,南京)
中华医学会消化内镜学分会胰腺疾病协作组
2022, 38(5): 1016-1022. DOI: 10.3969/j.issn.1001-5256.2022.05.008
摘要(3067) HTML (659) PDF (3080KB)(489)
摘要:
胰腺癌恶性程度高,5年生存率低,主要原因在于早期诊断困难。目前国内尚无胰腺癌早期筛查的规范化流程,本共识结合国内外研究进展,针对胰腺癌早期筛查的目标、高危人群、起始筛查年龄、随访间隔、筛查项目及手术时机等问题,共提出26条推荐意见,最终形成国内胰腺癌高危人群早期筛查和监测共识意见。
《2022年亚太肝病学会指南:妊娠期HBV感染》摘译
陈超, 王晨旭, 周冠伦, 鞠宇豪, 袁德平, 叶夏珺, 韩国荣
2022, 38(5): 1023-1026. DOI: 10.3969/j.issn.1001-5256.2022.05.009
摘要(1571) HTML (439) PDF (1871KB)(185)
摘要:
指南解读
《原发性肝癌诊疗指南(2022年版)》解读
李照, 朱继业
2022, 38(5): 1027-1029. DOI: 10.3969/j.issn.1001-5256.2022.05.010
摘要(2303) HTML (402) PDF (1893KB)(596)
摘要:
论著_病毒性肝炎
HBsAg水平对ALT正常的HBeAg阳性慢性HBV感染者肝脏炎症发生的预测价值
曾湛, 高媛娇, 毕潇月, 陈凤欣, 邓雯, 蒋婷婷, 林妍洁, 杨柳, 李明慧, 谢尧
2022, 38(5): 1030-1034. DOI: 10.3969/j.issn.1001-5256.2022.05.011
摘要(1377) HTML (339) PDF (1912KB)(102)
摘要:
  目的  探讨ALT正常且高病毒载量的HBeAg阳性慢性HBV感染者人群的肝炎发生情况及预测因素。  方法  本研究临床注册号为NCT04032275。回顾性选取2008年10月—2015年5月ALT正常、高病毒载量、HBeAg阳性的慢性HBV感染者183例,根据其肝穿刺活检结果分为肝炎组和无肝炎组。计量资料两组间比较采用t检验或Mann-Whitney U检验。计数资料两组间比较采用χ2检验。使用单因素二元logistics回归分析预测因素,使用逐步后退法进行多因素二元logistics回归,使用受试者工作特征曲线(ROC)和约登指数分析截断值。  结果  肝炎组37例(20.2%),无肝炎组146例(79.8%),肝炎组的男性比例低于无肝炎组(45.9% vs 68.5%, χ2=6.508, P=0.011)、AST高于无肝炎组[24(21.25~35.55) U/L vs 21.2(18.08~24.65) U/L, Z=-3.344, P=0.001]、HBsAg log值低于无肝炎组[4.4(4.28~4.49) vs 4.46(4.4~4.74), Z=-2.184,P=0.029]。HBsAg log值是肝炎发生的预测因素(OR=0.077, P=0.017)。HBsAg的截断值为33 884.4 IU/mL。  结论  ALT正常、高病毒载量的HBeAg阳性患者中有20.2%肝脏存在炎症,HBsAg或许是肝脏炎症发生的预测因素。
2种实时荧光定量聚合酶链式反应法检测HBeAg阳性慢性乙型肝炎患者血清HBV RNA的一致性分析
王扬, 廖昊, 邓中平, 卞丹丹, 任艳, 蒋莹莹, 刘霜, 陈煜, 鲁凤民, 段钟平, 郑素军
2022, 38(5): 1035-1040. DOI: 10.3969/j.issn.1001-5256.2022.05.012
摘要(1300) HTML (253) PDF (2241KB)(97)
摘要:
  目的  评价S(Shengxiang)公司、X(Xinbo)公司两种实时荧光定量聚合酶链式反应(real-time PCR)方法定量检测HBV RNA结果的一致性。  方法  从2007年7月—2008年8月组建的108例慢性乙型肝炎(CHB)前瞻性随访患者队列中,选取HBeAg血清学转换患者20例进行1∶ 1倾向性评分匹配未转换患者20例,采用S公司和X公司两种real-time PCR定量检测方法,回顾性检测基线、12周、24周及48周血清样本HBV RNA。符合正态分布的计量资料组间比较采用配对t检验;不符合正态分布的计量资料组间比较采用Mann-Whitney U检验。计数资料采用χ2检验。通过Pearson相关系数、组内相关系数(ICC)和Bland-Altman法评价检测结果的一致性。  结果  S试剂检测132份血清样本,X试剂检测154份血清样本,两种试剂对送检样本中HBV RNA检出率均为100%。两种试剂共同检测血清样本131份,在基线、随访12周、24周及48周分别检测34、29、35及33份血清,X试剂检测HBV RNA定量数据分别为(5.75±1.64、5.43±1.73、5.13±1.54、4.76±1.55)log10拷贝/mL,均高于S试剂(4.80±1.48、4.52±1.53、4.10±1.50、3.92±1.43)log10拷贝/mL,差异均有统计学意义(t=8.348、t=5.341、Z=-5.086、Z=-4.762, P值均<0.001)。两种方法相关性分析中,r及ICC值分别为0.915(95%CI:0.836~0.957)与0.771(95%CI:-0.021~0.931)、0.849(95%CI:0.701~0.927)与0.733(95%CI:0.138~0.902)、0.951(95%CI:0.905~0.975)与0.776(95%CI:-0.058~0.942)、0.933(95%CI:0.867~0.967)与0.804(95%CI:-0.014~0.944) (P值均<0.05)。Bland-Altman分析表明,两种方法检测结果中96.18%(126/131)的样本差异位于平均差±1.96标准差之间。  结论  X试剂的HBV RNA定量结果高于S试剂定量结果,但两种real-time PCR定量检测HBeAg血清学转换和未转换CHB患者HBV RNA结果的一致性良好。
慢性乙型肝炎患者骨量减少/骨质疏松的危险因素及CT值的诊断价值
张静怡, 唐映梅, 李嘉琦, 王倩, 张宸瑞
2022, 38(5): 1041-1047. DOI: 10.3969/j.issn.1001-5256.2022.05.013
摘要(1220) HTML (508) PDF (2526KB)(83)
摘要:
  目的  评价在慢性乙型肝炎患者腹部CT中通过测量胸、腰椎CT值,诊断骨量减少/骨质疏松的诊断价值。分析慢性乙型肝炎患者发生骨量减少/骨质疏松的危险因素。  方法  回顾性纳入2019年1月—2020年12月在昆明医科大学第二附属医院就诊的慢性乙型肝炎患者112例,所有患者均完善了腹部CT检查,部分患者完善了双能X线骨密度测定(DXA)。测量T12椎体至L3椎体的CT值,分析每一椎体CT值与DXA检查基于L1~L4椎体测得的T-score值相比诊断骨量减少/骨质疏松的诊断价值。以椎体CT值为诊断标准,将纳入的慢性乙型肝炎患者分为骨量减少/骨质疏松组(n=55)与骨量正常组(n=57),对比两组患者临床特征、生化指标,分析慢性乙型肝炎患者发生骨量减少/骨质疏松的危险因素。符合正态分布的计量资料两组间比较采用t检验;非正态分布的计量资料两组间比较采用Mann-Whitney U检验。计数资料组间比较采用χ2检验、Fisher确切检验、Bonferroni校正检验。相关性采用Pearson相关分析。多因素分析采用二元logistic回归分析。根据受试者工作特征曲线(ROC曲线)评估T12~L3椎体CT值诊断慢性乙型肝炎患者合并骨量减少/骨质疏松的诊断价值。一致性检验采用Kappa检验。  结果  分析46例在同次住院中完善了腹部CT和DXA检查患者的T12~L3椎体CT值,均分别与DXA检查结果中基于L1~L4椎体计算的T-score值有显著正相关性(rT12=0.694,rL1=0.661,rL2=0.781,rL3=0.685,P值均<0.001);经ROC曲线分析,L2椎体CT值ROC曲线下面积最大(0.863),诊断骨量减少/骨质疏松具有较好准确性,与DXA检查结果具有较好一致性(K=0.648,P<0.001)。分析112例慢性乙型肝炎患者临床特征、生化指标,提示高龄(比值比为1.108,95%CI:1.026~1.196,P=0.009)、合并肌少症(比值比为2.788,95%CI:1.009~7.707,P=0.048) 是骨量减少/骨质疏松发生的危险因素。  结论  慢性乙型肝炎患者常需定期复查腹部CT评估肝脏疾病进展情况,通过测量患者腹部CT图像中L2椎体CT值、L3椎体层面骨骼肌面积筛查是否存在骨量减少/骨质疏松、肌少症,及时干预,提高患者的预后、生活质量,具有较高临床意义。
HBV相关慢加急性肝衰竭TBil水平的合理界值分析
王红敏, 童晶晶, 许祥, 陈婧, 刘子凤, 陈静, 苏海滨, 刘晓燕, 胡瑾华
2022, 38(5): 1048-1052. DOI: 10.3969/j.issn.1001-5256.2022.05.014
摘要(1100) HTML (432) PDF (2361KB)(77)
摘要:
  目的  探讨HBV相关慢加急性肝衰竭(HBV-ACLF)患者的合理胆红素诊断阈值,以期更为精准地早期诊断。  方法  回顾性分析解放军总医院第五医学中心2008年9月—2018年9月收治的1232例HBV-ACLF患者,根据基线血清TBil水平分为A组(TBil<205.2 μmol/L)和B组(TBil ≥ 205.2 μmol/L),比较2组患者临床特征及28 d、90 d、1年及3年生存情况。计量资料两组间比较采用t检验或Mann-Whitney U秩和检验。计数资料组间比较采用χ2检验。使用Kaplan-Meier法分析2组患者的生存率,并应用log-rank检验进行比较。  结果  2组间年龄(t=3.188,P=0.001)、男性(χ2=33.833,P<0.001)、肝衰竭分型(χ2=39.987,P<0.001)、WBC(Z=6.586,P<0.001)、HGB(Z=4.272,P<0.001)、PLT(Z=3.680,P<0.001)、Cr(Z=4.505,P<0.001)、TC(Z=8.644,P<0.001)、Na(Z=2.335,P=0.020)、白蛋白(Z=2.592,P=0.010)、HBV DNA(Z=3.703,P<0.001)、MELD评分(Z=11.828,P<0.001)、MELD-Na评分(Z=8.410,P<0.001)比较差异均有统计学意义。基线时2组间腹水、GIB发生率比较差异均有统计学意义(χ2值分别为12.036、4.342,P值均<0.05)。28 d内最常见的新发并发症是感染, 其次为HE,2组间感染发生率比较差异有统计学意义(χ2=5.294,P<0.05)。A组和B组HBV-ACLF患者28 d无移植病死率分别为21.2%和29.5%[HR=1.473(95%CI:1.151~1.886),P=0.005],均符合ACLF患者短期高死亡率的临床特征(>15%)。尽管两组患者长期病死率存在差异,但生存曲线显示,两组患者无移植病死率在90 d后均无显著上升。  结论  在INR≥1.5的前提下,不建议将HBV-ACLF诊断标准中TBil水平的界值提高至205.2 μmol/L,确保更多ACLF患者早期诊断,从而获得更多救治机会,尽可能实现早期诊断增加救治机会。
人工肝治疗HBV相关慢加急性肝衰竭的血小板计数变化及其影响因素
王璐, 许文雄, 朱姝, 李学俊, 陈苑莉, 谢婵, 彭亮
2022, 38(5): 1053-1058. DOI: 10.3969/j.issn.1001-5256.2022.05.015
摘要(1428) HTML (347) PDF (2341KB)(88)
摘要:
  目的  探究乙型肝炎相关慢加急性肝衰竭(HBV-ACLF)患者接受人工肝治疗后PLT计数的变化趋势和影响因素。  方法  选取2018年1月—2021年11月在中山大学附属第三医院住院接受血浆置换治疗(n=102)和双重血浆分子吸附系统联合低剂量血浆置换(n=50)的152例HBV-ACLF患者,分析患者的临床资料和实验室指标。计量资料两组间比较采用独立样本t检验或Mann-Whitney U检验,计数资料两组间比较采用χ2检验;采用logisitic多因素分析影响人工肝治疗后PLT>50×109/L的危险因素, 采用ROC曲线分析基线PLT计数对人工肝治疗后PLT>50×109/L的预测价值。  结果  纳入患者以中年男性为主,70例(46.1%)患者在入院时合并肝硬化,114例(75.0%)患者接受3次人工肝治疗,基线PLT>50×109/L患者占比为88%。总体患者人工肝治疗后PLT计数较基线水平显著下降(79.5±47.7 vs 112.5±64.1, t=4.965, P<0.001),治疗后1周PLT计数升高至基线水平(97.2±50.7 vs 112.5±64.1, t=1.787, P=0.075)。进一步比较人工肝治疗后1周PLT计数较基线的变化量,发现肝硬化组PLT下降幅度显著高于非肝硬化组(U=1986.5,P=0.026),而在不同人工肝术式、治疗次数(3~5次)之间无显著差异(P值均>0.05)。通过logisitic多因素分析发现,合并肝硬化(OR=3.097,95%CI:1.255~7.645,P=0.014)和基线PLT>50×109/L(OR=0.019,95%CI:0.002~0.154,P<0.001)是影响人工肝治疗后PLT>50×109/L的独立危险因素。对基线PLT计数进行ROC曲线分析,发现基线PLT>80.5×109/L是影响治疗后PLT>50×109/L的最佳截断值,ROC曲线下面积为0.818。  结论  人工肝治疗对PLT的影响是暂时性的,但肝硬化患者的PLT生长能力弱于非肝硬化患者; 基线PLT>80.5×109/L是降低人工肝治疗后出血风险的最佳界值。
直接抗病毒药物治疗丙型肝炎失败的影响因素分析
杨宇晴, 尚佳, 卢诚震, 杨松, 陈宏宇, 潘家莉, 韩一凡, 席宏丽, 亢倩, 谭宁, 徐小元
2022, 38(5): 1059-1063. DOI: 10.3969/j.issn.1001-5256.2022.05.016
摘要(1133) HTML (276) PDF (2180KB)(92)
摘要:
  目的  从基线临床资料和基因测序寻找耐药相关替代突变(RAS)两个方面将抗病毒药物(DAA)治疗结束后HCV RNA复阳患者与DAA治疗成功的HCV感染者进行对比,旨在分析DAA治疗丙型肝炎失败的影响因素。  方法  纳入2019年11月—2021年10月来自多中心的13例DAA初治失败患者(治疗失败组)并对其复阳血清进行测序,与51例DAA初治成功患者(对照组)的基线临床资料及测序结果进行对比。非正态分布的计量资料组间比较采用Mann-Whitney U检验;计数资料组间比较采用χ2检验,进行单因素和多因素logistic回归分析计算比值比(OR)并分析治疗失败的影响因素。  结果  12例有完整疗程资料的患者全部于用药结束后1年内复发,男性治疗失败患者的基线TBil、DBil、Cr普遍高于女性(Z值分别为-2.517、-2.440、-2.132,P值分别为0.010、0.010、0.038),年龄在55岁及以下(OR=5.152, 95%CI: 1.116~23.790, P=0.036)、基因型为3b型(OR=9.726, 95%CI: 1.325~71.398, P=0.025)的患者治疗失败可能性更高。3种基因片段上的主要RAS发生率在治疗失败和治疗成功组间不同,治疗失败组检测到的共有RAS均未在治疗成功组检测出。  结论  DAA治疗失败的影响因素有年龄、基因型以及血清病毒基因序列上的RAS种类。
论著_脂肪性肝病
甘油三酯葡萄糖乘积指数与BMI对2型糖尿病合并非酒精性脂肪性肝病的预测价值
王东旭, 南楠, 邴浩, 林连捷
2022, 38(5): 1064-1068. DOI: 10.3969/j.issn.1001-5256.2022.05.017
摘要(1215) HTML (746) PDF (2162KB)(91)
摘要:
  目的  探讨甘油三酯葡萄糖乘积指数(TyG)与BMI对2型糖尿病(T2DM)合并非酒精性脂肪性肝病(NAFLD)的预测价值。  方法  回顾性分析2020年5月—2021年7月中国医科大学附属盛京医院诊治349例T2DM患者的临床资料,按照有无NAFLD分为T2DM合并NAFLD组(n=213)和单纯T2DM组(n=136)。计量资料两组间比较采用t检验或Mann-Whitney U检验;计数资料两组间比较采用χ2检验。采用logistic回归分析TyG及BMI与T2DM合并NAFLD的关系,受试者工作特征曲线(ROC曲线)评价TyG、BMI及TyG联合BMI对T2DM合并NAFLD的预测效能。采用Kappa系数分析预测结果的一致性。  结果  T2DM合并NAFLD组的BMI、舒张压、空腹血糖、糖化血红蛋白、ALT、AST、GGT、TG、TC、LDL-C、TyG均高于单纯T2DM组(P值均<0.05),T2DM合并NAFLD组的HDL-C低于单纯T2DM组(P<0.05),两组在收缩压、总胆红素、直接胆红素、间接胆红素间的差异均无统计学意义(P值均>0.05)。Logistic分析显示TyG(OR=6.513,95%CI:1.884~22.517,P=0.003)和BMI(OR=1.369,95%CI:1.191~1.575,P<0.001)为T2DM合并NAFLD的独立危险因素。ROC曲线显示,TyG预测T2DM合并NAFLD的曲线下面积(AUC)为0.875,最佳截断点9.41,敏感度、特异度、阳性预测值和阴性预测值分别为80.3%、80.1%、86.36%、72.19%;BMI预测T2DM合并NAFLD的AUC为0.787,最佳截断点24.22,敏感度、特异度、阳性预测值和阴性预测值分别为78.9%、64.0%、77.36%、64.23%;TyG联合BMI预测T2DM合并NAFLD的AUC、敏感度、特异度、阳性预测值和阴性预测值分别为0.910、81.2%、88.2%、91.53%、75.00%。TyG、BMI及TyG联合BMI预测T2DM合并NAFLD的Kappa系数分别为0.592、0.416、0.673。  结论  TyG和BMI可用来预测T2DM合并NAFLD的发生,二者联合可提高预测价值。
去脂软肝方对非酒精性脂肪性肝炎大鼠FXR-FGF19通路的影响
夏恩蕊, 田格格, 张素妍, 张顺贞
2022, 38(5): 1069-1074. DOI: 10.3969/j.issn.1001-5256.2022.05.018
摘要(1165) HTML (295) PDF (4176KB)(73)
摘要:
  目的  观察去脂软肝方对非酒精性脂肪性肝炎(NASH)模型大鼠法尼醇X受体(FXR)-成纤维细胞因子19(FGF19)通路的影响。  方法  雄性SD大鼠随机分为正常组(Control组,n=8)、模型组(HFD组,n=12)、辛伐他汀组(Simvastatin组,n=8)、去脂软肝方高剂量组(QH组,n=8)、去脂软肝方低剂量组(QL组,n=8),Control组给予普通饲料喂养,其余组高脂饲料喂养。10周末取材,观察大鼠肝脏病理切片变化,检测各组血清肝功能指标、肝脏与小肠FGF19、肝脏中胆汁酸(BA)。检测小肠FXR、肝脏胆固醇7α-羟化酶(CYP7A1)表达情况。多组间比较采用单因素方差分析,进一步两组间比较采用LSD-t检验。  结果  与Control组相比,HFD组病理表现出明显炎性病变和脂肪变性。与HFD组相比,各用药组的HDL-C显著升高,ALT、AST、TC、TG、LDL-C均显著下降(P值均<0.05)。与Control组相比,HFD组大鼠小肠FGF19显著下降、肝脏BA显著升高(P值均<0.05)。与HFD组相比,各用药组的小肠中FGF19显著升高,肝脏BA显著下降(P值均<0.05)。与Control组相比,HFD组大鼠小肠FXR mRNA显著下降,肝脏CYP7A1 mRNA显著升高(P值均<0.05)。与HFD组相比,QH组小肠FXR mRNA显著升高,QL组显著降低(P值均<0.05);QH组肝脏CYP7A1 mRNA显著下降(P<0.05)。与Control组相比,HFD组大鼠小肠FXR阳性率显著下降,肝脏CYP7A1阳性率显著上升(P值均<0.05)。与HFD组相比,Simvastatin组、QH组小肠FXR阳性率显著升高(P值均<0.05),Simvastatin组、QH组、QL组肝脏CYP7A1阳性率显著下降(P值均<0.05)。  结论  去脂软肝方可激活NASH大鼠FXR-FGF19通路,并可能通过该途径对NASH产生防治作用。
论著_肝纤维化及肝硬化
内镜结扎联合中医辨证论治对肝硬化食管静脉曲张破裂出血的二级预防效果
陈冲, 吕莹, 陈茜蕾, 刘成海, 刘平, 慕永平
2022, 38(5): 1075-1080. DOI: 10.3969/j.issn.1001-5256.2022.05.019
摘要(1615) HTML (463) PDF (1909KB)(76)
摘要:
  目的  观察内镜下结扎联合中医辨证论治防治肝硬化食管静脉曲张破裂出血(EVB)二级预防的疗效。  方法  选取2015年4月—2021年2月上海中医药大学附属曙光医院肝硬化科收治的行内镜下结扎治疗的EVB患者108例,对同时服用中药治疗的患者定义为中西医组(n=59),对未服用中药治疗的患者定义西医组(n=49)。比较两组患者的再出血发生率、病死率以及门静脉高压性胃病的改善率等。计量资料符合正态分布者采用t检验;不符合正态分布者采用Mann-Whitney U秩和检验;计数资料2组间对比采用χ2检验或Fisher确切概率法;并采用Cox回归分析评估影响再出血的危险因素。  结果  中西医组内镜结扎后13~24个月的再出血率显著低于西医组(2% vs 12%, P=0.045);中西医组再出血病死率显著低于西医组(2% vs 12%, P=0.045),且门静脉高压性胃病的总有效率显著高于西医组(90% vs 77%, P=0.04)。基础疾病(主要包括糖尿病、高血压、心脏病)及肝功能Child-Pugh分级是影响再出血的显著危险因素(P值均<0.05)。  结论  内镜结扎联合中医辨证论治可显著降低EVB的迟发性再出血发生率和病死率,改善门静脉高压性胃病的程度,为结扎联合中医药提高EVB二级预防的综合疗效提供了新策略。
乙型肝炎肝硬化上消化道出血的ΔCT特征性表现及预测模型的建立
李俊杰, 孙岩岩, 李将宏, 郑虹
2022, 38(5): 1081-1085. DOI: 10.3969/j.issn.1001-5256.2022.05.020
摘要(1053) HTML (308) PDF (2671KB)(64)
摘要:
  目的  本研究旨在寻找乙型肝炎肝硬化CT特征,建立肝硬化上消化道出血预测模型,预测出血风险。  方法  回顾性分析2015年1月—2021年6月天津市第一中心医院101例型肝炎肝硬化患者的数据,将其分为上消化道出血组(P=58)及非出血组(n=43)。比较两组间实验室检查以及强化CT检查测的平扫期、动脉期、门脉期以及静脉期的CT值,并计算各期间CT值的变化(ΔCT)。计量资料两组间的比较使用t检验或Mann-Whitney U检验;使用logistic回归分析方法,预测相关危险因素;通过计算受试者工作特征曲线下的面积评估模型辨别力,而模型校准则通过Hosmer-Lemeshow确定。在多变量logistic回归分析结果的基础上,使用Rstudio4.1.2软件的R包构建预测的列线图模型,并绘制相应的ROC曲线、校准曲线以及临床决策曲线。  结果  非出血组血清TBil、WBC、PLT水平与出血组比较,差异均有统计学意义(P值均<0.05);两组在肝-Plain、脾-P-Plain、脾-P-A ΔCT值存在统计学差异(P值均<0.05)。单因素logistic分析结果显示,白细胞(OR=0.770,95%CI:0.624~0952, P=0.016)、血小板(OR=0.979,95%CI:0.965~0.994, P=0.006)、肝脏平扫期(OR=1.142,95%CI:1.058~1.233, P=0.001)、脾脏门脉期-平扫ΔCT值(OR=0.979,95%CI:0.959~1.000, P=0.050)、脾脏门脉期-动脉期ΔCT值(OR=0.979,95%CI:0.944~0.994, P=0.015)在乙型肝炎肝硬化患者发生上消化道出血与未出血两者之间差异具有统计学意义。多因素logistic分析结果显示血小板(OR=0.968,95%CI:0.944~0.993, P=0.011)、肝脏平扫期(OR=1.148,95%CI:1.047~1.259, P=0.003)、脾脏门脉期-动脉期ΔCT值(OR=0.951,95%CI:0.908~0.995, P=0.030)为上消化道出血的独立危险因素。基于多因素logistic分析结果,构建了乙型肝炎肝硬化上消化道出血的预测模型并绘制校准曲线。该模型的受试者特征曲线下面积为0.801,cut-off值为0.433,其对应的敏感度是81.4%,特异度是77.6%。模型的校准曲线与理想曲线贴合良好。  结论  乙型肝炎肝硬化肝脏具有特殊的ΔCT变化,通过ΔCT构建的预测模型对于乙型肝炎肝硬化上消化道出血具有良好的预测能力。
论著_肝脏肿瘤
经肝动脉化疗栓塞术联合抗血管生成药基础上使用程序性死亡受体1抑制剂治疗中晚期肝细胞癌的有效性和安全性分析
丁晓鹏, 帖君, 余嘉豪, 任鹏伟, 宣国云, 马硕怡, 郭长存, 韩英, 周新民
2022, 38(5): 1086-1091. DOI: 10.3969/j.issn.1001-5256.2022.05.021
摘要(1167) HTML (400) PDF (2633KB)(90)
摘要:
  目的  探讨经肝动脉化疗栓塞术(TACE)联合抗血管生成药(TKI)的基础上后续使用程序性死亡受体1(PD-1)抑制剂与TACE+TKI两种方式治疗中晚期肝细胞癌(HCC)的有效性、安全性和预后影响因素。  方法  选取2018年6月—2021年7月在空军军医大学第一附属医院所有接受TACE+TKI+PD-1抑制剂和部分接受TACE+TKI治疗的患者。收集患者的临床资料,采用倾向性评分匹配法平衡组间基线特征。计数资料2组间比较采用χ2检验,TACE次数2组间比较采用Wilcoxon秩和检验,Kaplan-Meier法分析患者的总生存期,单因素和多因素Cox回归模型分析相关预后影响因素。  结果  共筛选到181例中晚期HCC患者,其中TACE+TKI+PD-1抑制剂治疗的患者为50例,倾向性评分匹配后,纳入40例TACE+TKI+PD-1抑制剂治疗患者(观察组)和40例TACE+TKI治疗患者(对照组)。至随访截止时间,中位随访时间为28.6个月(95%CI:22.1~35.1),观察组的中位生存期为15.9个月(95%CI:7.5~24.2),对照组中位生存期为11.2个月(95%CI:5.0~17.5)。Cox回归分析提示PD-1抑制剂的应用(HR=0.42,95%CI:0.23~0.80,P=0.008)、TACE次数(HR=0.67,95%CI:0.46~0.99,P=0.043)、Child-Pugh分级(HR=2.40,95%CI:1.15~5.00,P=0.019)和血管侵犯(HR=3.42,95%CI:1.11~9.42,P=0.031)是患者预后的独立影响因素。观察组与对照组的2级以上不良反应发生率均为40%,未见显著性差异(P=0.818)。  结论  TACE+TKI+PD-1抑制剂较TACE+TKI治疗中晚期HCC患者可以明显延长患者生存期,且不良反应相对可控。
肝癌生物样本库的标准化建立与信息化管理
喻晶晶, 肖巍, 李娅妮, 张必翔, 陈孝平, 舒畅
2022, 38(5): 1092-1096. DOI: 10.3969/j.issn.1001-5256.2022.05.022
摘要(1626) HTML (500) PDF (2538KB)(92)
摘要:
  目的  建立一个小型的拥有标准化操作流程和信息化管理功能的肝癌生物样本库。  方法  根据纳排标准,在患者签署知情同意书基础上,收集2012年8月—2020年12月就诊于华中科技大学同济医学院附属同济医院肝脏外科的肝癌患者血液、组织和粪便样本,并按照全血、血清、冻存组织、石蜡包埋组织和粪便等不同样本的标准流程进行出入库管理,同时采集患者临床信息及其随访信息。通过随机抽取不同年份的肝癌及癌旁冷冻组织样本,检测总RNA的浓度和完整性,确保样本库冷冻样本保存质量。  结果  101个自然月共收集4190例肝癌手术患者样本,其中包括41 718份冷冻组织样本、18 950份石蜡包埋组织样本、24 389份全血样本、20 060份血清样本和5392份粪便样本。所收集肝癌患者的年龄范围是13~88岁,男性占比85.1%,乙型肝炎和肝硬化的比例分别是83.3%和73.5%。根据样本的收集、处理、保存、应用及信息化管理,制定出一份标准的操作流程(SOP)和一套电子数据采集系统(EDC)。从样本库随机抽取的18份冷冻组织样本中,其中16份样本RNA质量较高,可满足后续实验需求。  结论  建立了标准化和信息化的肝癌生物样本库,为肝癌基础研究提供了高质量的样本保障,能挖掘样本更多的研究价值。
论著_其他肝病
药物性肝损伤外周血清免疫学特点的初步探析
王宇, 罗琼, 李书, 沈晓萍, 李爽, 陶艳艳, 刘成海
2022, 38(5): 1097-1100. DOI: 10.3969/j.issn.1001-5256.2022.05.023
摘要(917) HTML (237) PDF (1881KB)(85)
摘要:
  目的  探讨细胞免疫、细胞因子等外周血清免疫学指标在药物性肝损伤(DILI)中的特征性表现。  方法  回顾性分析2019年1月—2021年8月于曙光医院及宝山分院收集的219例DILI患者病历资料,按照药物损伤类别及损伤程度进行分组,就其临床特征、生化及外周血清免疫学特点进行分析。从健康体检者中选取29例作为肝功能正常组,从DILI病例中复核确认42例急性起病治疗前1周内做过细胞因子及细胞免疫评价的作为DILI对照组。符合正态分布的计量资料采用独立样本t检验,不符合正态分布的计量资料组间比较采用Mann-Whitney U检验;计数资料组间比较采用Fisher检验。  结果  219例DILI患者中女性122例(56%),男性97例(44%)。由中药、中成药或者保健品导致损伤89例(40%),由抗结核、抗肿瘤等西药导致损伤130例(60%)。其中临床分型肝细胞损伤型82例(37%),胆汁淤积型17例(8%),混合损伤型120例(55%)。潜伏期最长为180 d,最短为1 d,中位数天数为15 d。其主要症状表现中乏力占49%。细胞毒性T淋巴细胞(%) 及CD4/CD8比值在中药、中成药或保健品组与西药组之间差异均具有统计学意义(Z值分别为2.55、3.08,P值分别为0.011、0.002)。肝功能正常与DILI对照组比较,IL-6、IL-10在DILI的外周免疫血清分布中均具有统计学意义(Z值分别为3.828、2.695,P值分别为<0.001、0.007)。  结论  细胞毒性T淋巴细胞在中草药、中成药制剂或保健品和西药类两者的致病机制中或扮演不同角色;药物或药物-蛋白复合物或可影响炎症及免疫通路,释放相关的细胞因子如IL-6、IL-10参与DILI发病进程。
成体人肝源性干细胞外泌体对刀豆蛋白A诱导的小鼠急性肝损伤的作用
韩鲁祥, 唐慧昕, 赵振峰, 李珊珊, 王全义, 孔令斌, 毕慧莹, 舒振峰, 段钟平, 陈煜, 洪丰
2022, 38(5): 1101-1105. DOI: 10.3969/j.issn.1001-5256.2022.05.024
摘要(1071) HTML (338) PDF (4326KB)(69)
摘要:
  目的  探讨成体人肝源性干细胞外泌体(HLSC-exo)不同时间静脉注射对刀豆蛋白A(ConA)诱导的小鼠急性肝损伤的保护作用。  方法  差速离心法提取HLSC-exo,Western blot检测其标志蛋白CD9、CD63的表达,纳米颗粒跟踪分析粒径分布。将56只C57BL/6雄性小鼠随机分为3组,空白对照组、ConA模型组和HLSC-exo治疗组。根据给予磷酸盐缓冲液或HLSC-exo后再注射ConA间隔时间不同,分为3 h、6 h、12 h亚组;检测血清中ALT、AST、TNFα、IL-10水平;比较各组小鼠肝脏大体形态及病理组织变化。计量资料多组间比较采用单因素方差分析,进一步两两比较采用LSD-t检验。  结果  HLSC-exo是直径为90~110 nm的囊泡体,电镜下可见清晰的“茶托样”结构,其特异性标志蛋白CD9和CD63均有明显的表达;空白对照组小鼠ALT、AST水平分别为(31.81±6.74)U/L、(69.75±8.30)U/L。相较于空白对照组,ConA 3 h、6 h、12 h模型组小鼠ALT、AST水平明显升高(P值均<0.001);HLSC-exo 3 h、6 h治疗组ALT、AST水平较ConA 3 h、6 h模型组明显下降[(225.58±115.59)U/L vs (1989.32±347.67)U/L、(1174.71±203.30)U/L vs (2208.33±349.96)U/L,(303.53±126.68)U/L vs (2534.27±644.72)U/L、(1340.70±262.56)U/L vs (2437.13±288.13)U/L,P值均<0.001];与HLSC-exo 6 h治疗组相比,HLSC-exo 3 h治疗组下降更明显(P<0.001)。空白对照组小鼠IL-10、TNFα水平分别为(313.51±10.97)pg/mL,(476.05±7.31)pg/mL。相较于空白对照组,ConA3 h、6 h、12 h模型组IL-10水平均明显下降(P值均<0.001);HLSC-exo 3 h、6 h治疗组IL-10水平相较于ConA 3 h、6 h模型组明显升高[(331.61±10.46)pg/mL vs (266.20±8.15)pg/mL、(288.13±10.74)pg/mL vs (264.41±9.12)pg/mL,P值均<0.001];且与HLSC-exo 6 h治疗组相比,HLSC-exo 3 h治疗组升高更明显(P<0.001)。相较于空白对照组,ConA 3 h、6 h、12 h模型组TNFα水平较正常组明显升高(P值均<0.001);HLSC-exo 3 h、6 h治疗组TNFα水平相较于ConA 3 h、6 h模型组明显下降[(478.26±12.99)pg/mL vs (551.31±17.70)pg/mL、(515.58±7.18)pg/mL vs (556.21±11.15)pg/mL,P值均<0.001];且与HLSC-exo 6 h治疗组相比,HLSC-exo 3 h治疗组下降更明显(P<0.001)。小鼠肝脏大体形态及病理显示HLSC-exo 3 h、6 h治疗组肝细胞坏死程度较ConA 3 h、6 h模型组明显减轻,HLSC-exo 3 h治疗组肝小叶结构基本完整,仅可见散在点状坏死;HLSC-exo 12 h治疗组与ConA 12 h模型组相比,肝细胞坏死无明显改善。  结论  成体人肝源性干细胞外泌体静脉注射可以减轻ConA诱导的小鼠急性肝损伤,以提前3 h注射保护作用最显著。通过调控细胞因子是HLSC-exo减轻肝损伤的重要机制之一。
论著_胰腺疾病
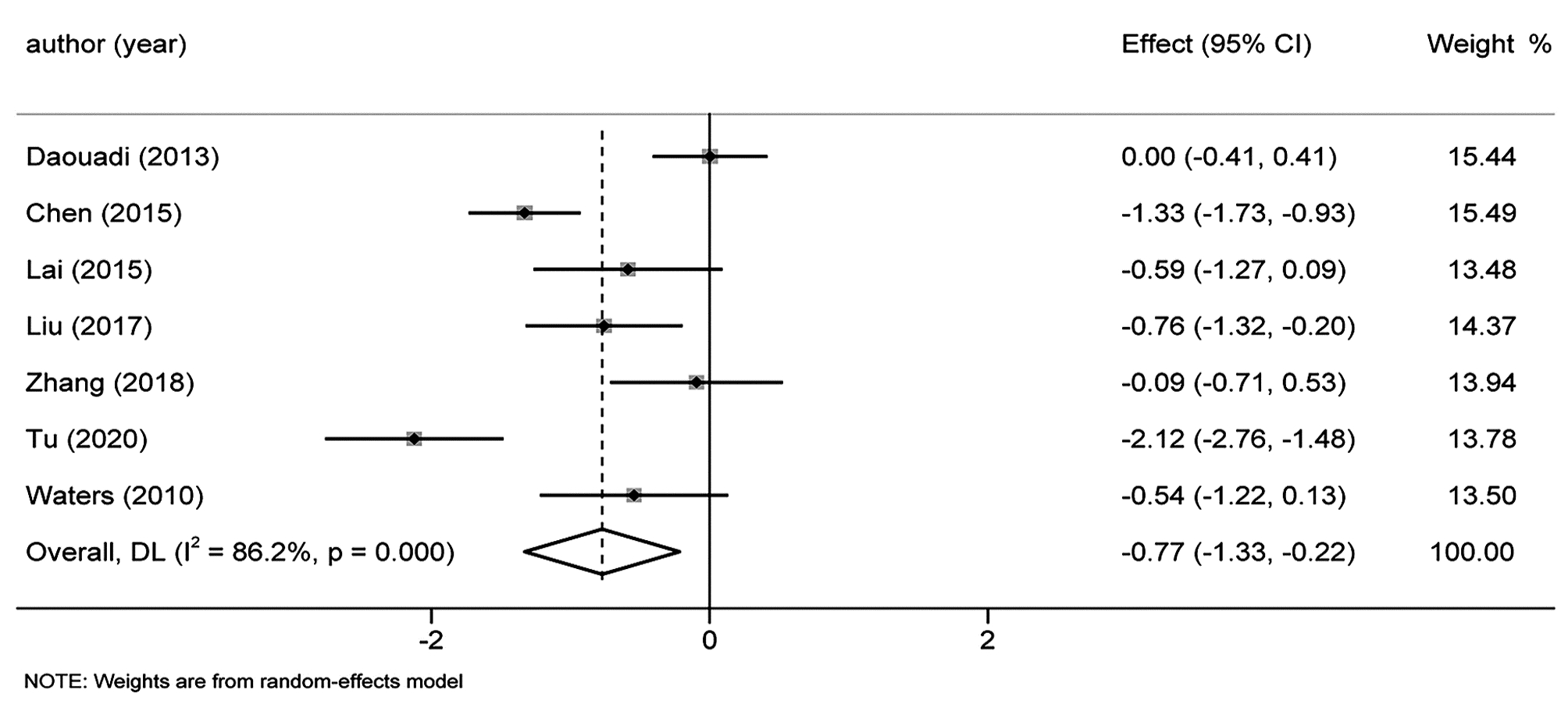
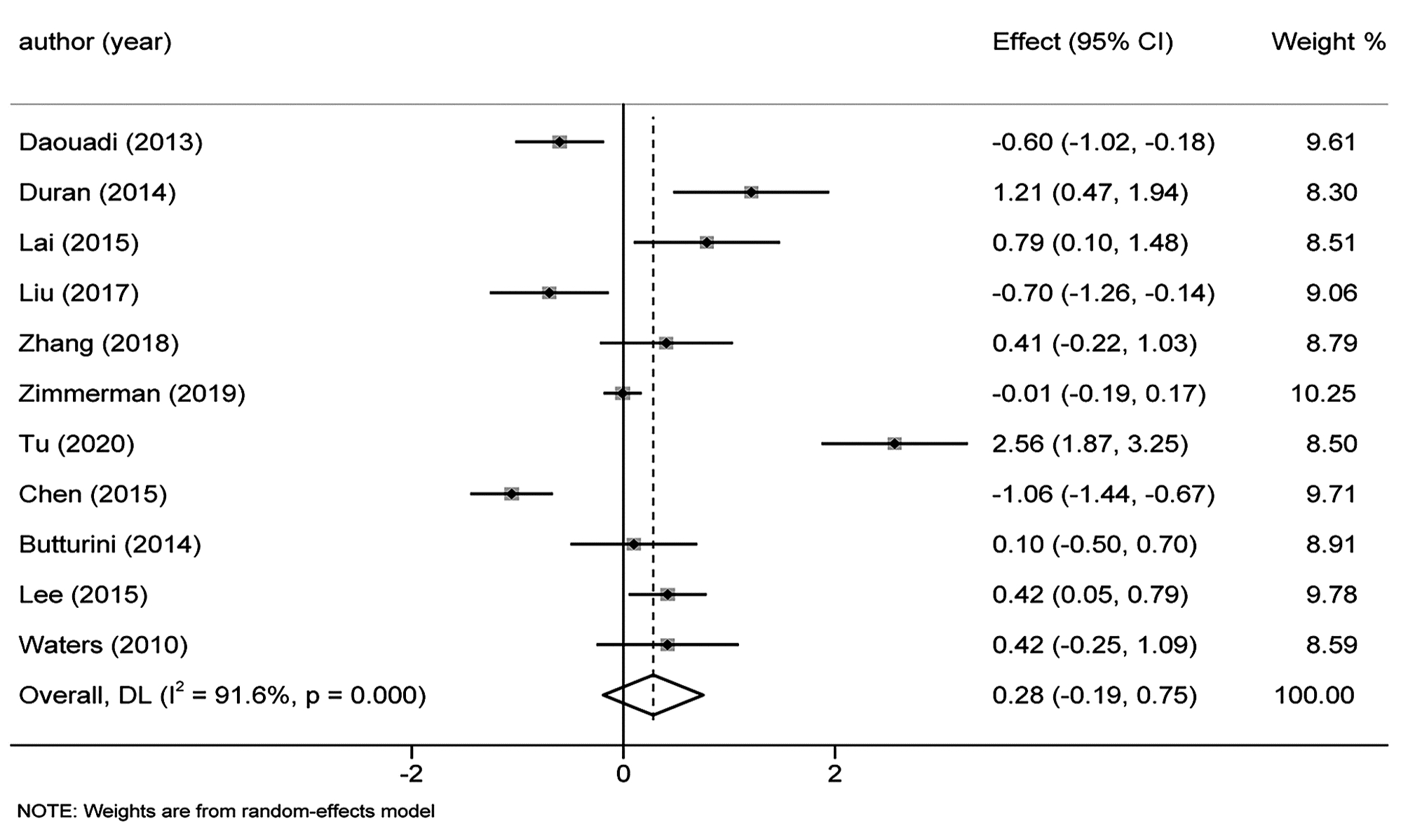
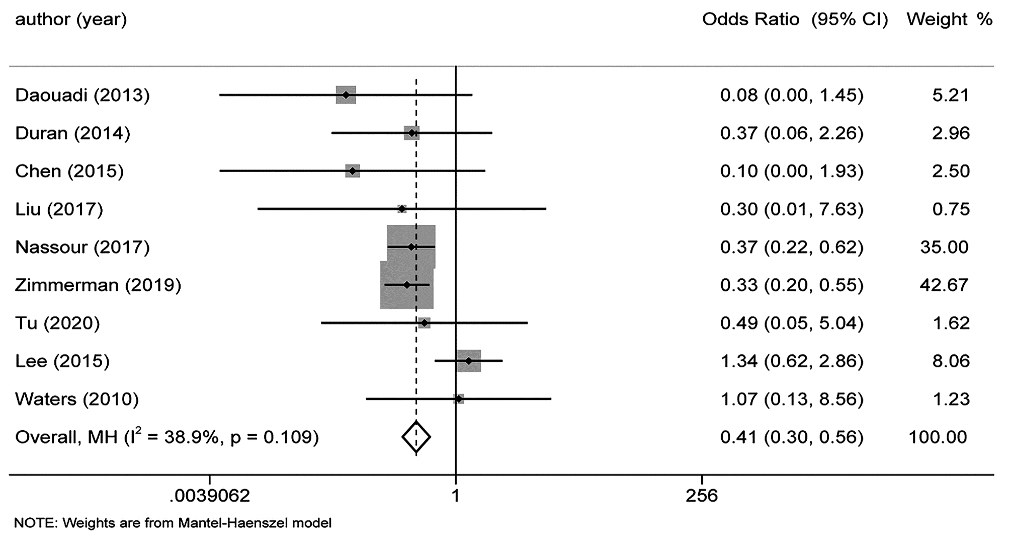
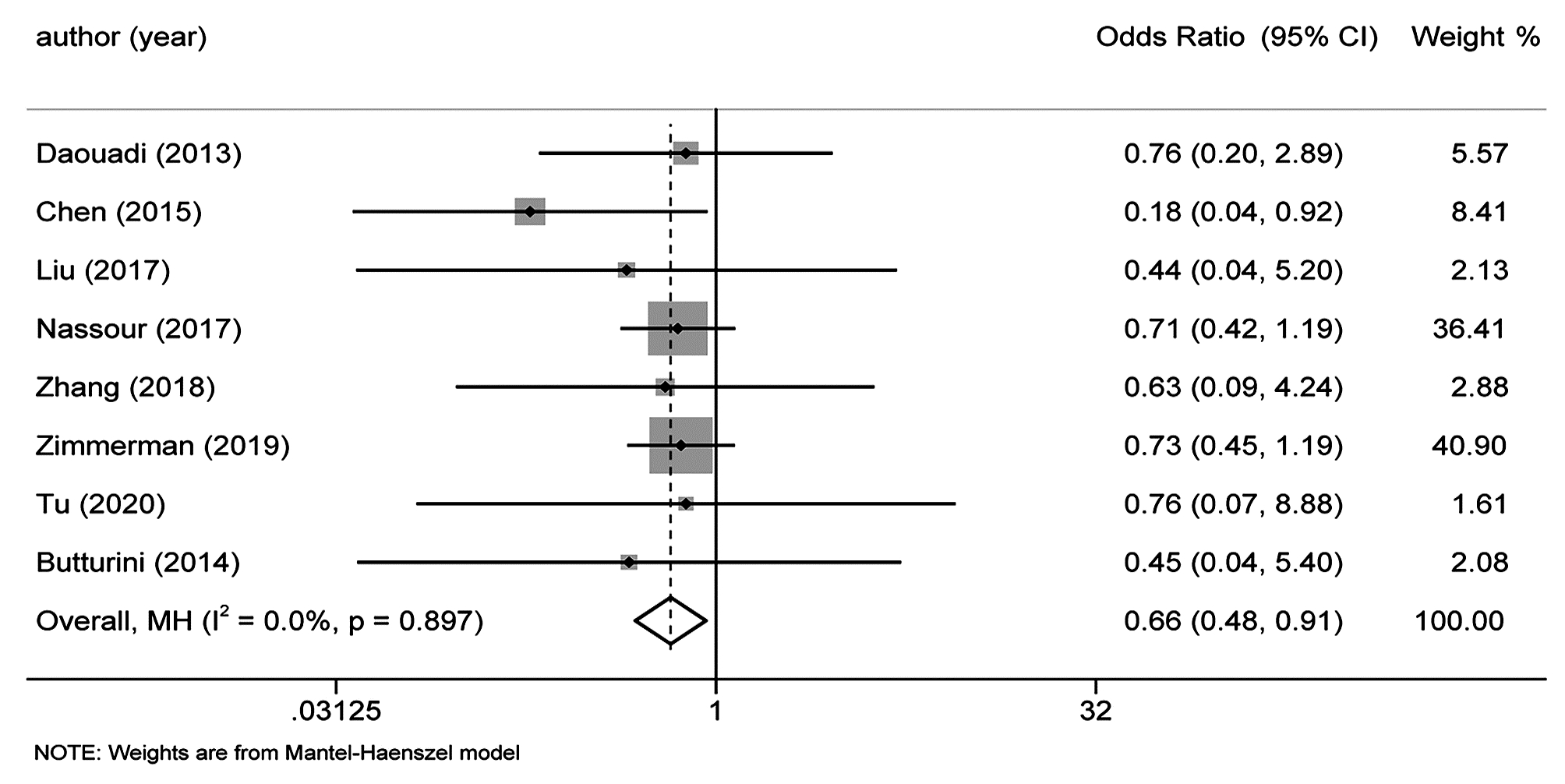
达芬奇机器人与传统腹腔镜胰十二指肠切除术近期疗效及安全性比较的Meta分析
代鑫, 刘汉林, 王强, 舒鹏, 程龙, 汪涛
2022, 38(5): 1106-1113. DOI: 10.3969/j.issn.1001-5256.2022.05.025
摘要(1715) HTML (477) PDF (3979KB)(74)
摘要:
  目的  本研究旨在系统评价机器人手术系统与传统腹腔镜手术在胰十二指肠切除术中应用的近期疗效与安全性,为临床研究与实践提供参考。  方法  计算机检索PubMed、Embase、Cochrane Library、中国知网、万方和维普等中英文期刊服务平台,纳入所有对比机器人辅助腹腔镜和传统腹腔镜应用于胰十二指肠切除术临床疗效的队列研究。按照Cochrane系统评价纳入文献的质量,使用Stata 15.1软件对提取的相关结局指标进行Meta分析。  结果  最终纳入12篇合格的队列研究,共计1630例患者,RPD(机器人胰十二指肠切除术)组患者683例,LPD(腹腔镜胰十二指肠切除术)组患者947例。Meta分析结果显示:RPD组与LPD组患者术后出血率(OR=0.66, 95%CI: 0.48~0.91)、中转开腹率(OR=0.41, 95%CI: 0.30~0.56)、预估手术出血量(WMD=-0.77, 95%CI: -1.33~-0.22)、术后住院时间(WMD=-0.45, 95%CI: -0.80~-0.11)比较,差异均具有统计学意义(P值均<0.05)。发表国家这一因素可能是术后总体并发症发生率亚组间异质性的来源之一(P<0.05)。  结论  达芬奇机器人手术系统相较于传统LPD,可降低术后出血率、术中出血量、中转开腹率,缩短术后住院时间,且不增加手术时间和术后总体并发症发生率,两种手术方式均同样安全可行。
病例报告
原发性胆汁性胆管炎合并巨幼细胞性贫血1例报告
陈梅, 马宁, 金敬波, 彭昱, 樊思桐, 王芳
2022, 38(5): 1114-1115. DOI: 10.3969/j.issn.1001-5256.2022.05.026
摘要(1301) HTML (306) PDF (2312KB)(78)
摘要:
肝组织病理学诊断肝肺吸虫病1例报告
刘洋, 李朝霞, 武彤, 时佳鹤, 于鸽, 辛桂杰
2022, 38(5): 1116-1118. DOI: 10.3969/j.issn.1001-5256.2022.05.027
摘要(926) HTML (473) PDF (2302KB)(74)
摘要:
肝豆状核变性合并肝细胞癌1例报告
罗绍轩, 李娅, 徐峰
2022, 38(5): 1119-1121. DOI: 10.3969/j.issn.1001-5256.2022.05.028
摘要(905) HTML (217) PDF (2067KB)(65)
摘要:
罕见基因型的肝豆状核变性姐妹及其家系报告
周洁, 廖金卯, 廖玲, 杨还春, 刘展
2022, 38(5): 1122-1125. DOI: 10.3969/j.issn.1001-5256.2022.05.029
摘要(1144) HTML (276) PDF (1871KB)(61)
摘要:
IgG4相关腹膜后纤维化1例报告
李朝霞, 刘洋, 李楠, 纪竹慧, 辛桂杰
2022, 38(5): 1126-1128. DOI: 10.3969/j.issn.1001-5256.2022.05.030
摘要(876) HTML (399) PDF (2161KB)(74)
摘要:
胆管扩张症自发破裂合并癌变1例报告
仇晓桐, 吴政奇, 曹禹石, 夏旭翔, 吕国悦
2022, 38(5): 1129-1130. DOI: 10.3969/j.issn.1001-5256.2022.05.031
摘要(996) HTML (340) PDF (2537KB)(50)
摘要:
胆囊穿孔合并胃穿孔1例报告
罗秀平, 彭鹏, 刘诗权, 覃蒙斌, 黄杰安
2022, 38(5): 1131-1133. DOI: 10.3969/j.issn.1001-5256.2022.05.032
摘要(1328) HTML (386) PDF (2333KB)(70)
摘要:
Vater壶腹神经内分泌瘤合并胃肠道间质瘤1例报告
吴政奇, 仇晓桐, 吕国悦
2022, 38(5): 1134-1136. DOI: 10.3969/j.issn.1001-5256.2022.05.033
摘要(1071) HTML (205) PDF (3096KB)(57)
摘要:
综述
肠道菌群与慢性乙型肝炎发生发展及预后的关系
郭紫薇, 张嘉鑫, 李硕, 李晓斌, 朱顺, 靳茜, 李小科, 叶永安
2022, 38(5): 1137-1142. DOI: 10.3969/j.issn.1001-5256.2022.05.034
摘要(1373) HTML (530) PDF (1908KB)(119)
摘要:
肠道菌群与慢性乙型肝炎(CHB)存在密切关系。近年研究表明,肠道菌群的失调与CHB病情的发生、发展及预后有关,且随着疾病的进展,肠道菌群环境也可能发生变化,二者相互影响,相互作用。本文综述了肠道菌群影响CHB及其相关肝病的病情发展和菌群的调节在CHB及其相关肝病诊治中的作用,以期为CHB的临床治疗提供新思路。
肠道菌群影响慢性乙型肝炎、慢性丙型肝炎及相关肝病的研究进展
邓辉, 张斌, 朱彬, 迪丽胡玛尔·扎依尔, 王伟仙, 郭春霞, 杨东亮, 郑昕, 王俊忠, 王宝菊
2022, 38(5): 1143-1147. DOI: 10.3969/j.issn.1001-5256.2022.05.035
摘要(1515) HTML (455) PDF (1968KB)(108)
摘要:
HBV、HCV感染常可进展为肝硬化、肝衰竭和肝细胞癌等终末期肝病,危及患者生命。近年来研究发现肠道菌群与慢性病毒性肝病关系密切。本文就肠道菌群与慢性乙型肝炎、慢性丙型肝炎及其相关肝病之间的相关性,以及靶向肠道菌群治疗慢性乙型肝炎及其相关肝病的研究进展进行了综述,以期为临床治疗慢性乙型肝炎、慢性丙型肝炎及其相关肝病提供更多思考。
IL-35在HBV感染所致疾病中的调控作用和相关机制
杨晓飞, 连建奇, 张野
2022, 38(5): 1148-1151. DOI: 10.3969/j.issn.1001-5256.2022.05.036
摘要(1074) HTML (317) PDF (2196KB)(80)
摘要:
IL-35主要是由调节性T淋巴细胞和调节性B淋巴细胞分泌的抑制性细胞因子,参与感染、肿瘤、自身免疫性疾病的发病。本文归纳了IL-35在HBV感染所致的乙型肝炎、肝硬化、肝衰竭和肝细胞癌中的免疫调节作用和机制。分析表明IL-35在HBV感染所致疾病中发挥双刃剑作用,促进感染慢性化和肝细胞癌疾病进展,也可降低肝脏炎症损伤,抑制肝纤维化。
铁死亡的发生机制及其在非酒精性脂肪性肝病/非酒精性脂肪性肝炎发生发展中的作用
刘鸣昊, 刘素彤, 张丽慧, 顾亚娇, 尚东方, 肖准, 赵文霞
2022, 38(5): 1152-1155. DOI: 10.3969/j.issn.1001-5256.2022.05.037
摘要(1877) HTML (3252) PDF (2497KB)(312)
摘要:
铁死亡是脂质过氧化驱动、铁依赖的细胞死亡。发生机制与铁稳态失衡、脂质过氧化及SLC7A11-GSH-GPX4抗氧化系统有关。在非酒精性脂肪性肝病(NAFLD)/非酒精性脂肪性肝炎(NASH)的发生发展中发挥关键作用。抑制铁死亡,几乎可以完全抑制NASH发生。通过对铁死亡发生机制及其在NAFLD/NASH疾病中的作用和进展进行综述,并提出铁死亡研究的策略和技术手段,以期为NAFLD/NASH机制研究提供参考。
运动诱导细胞自噬在非酒精性脂肪性肝病防治中的作用
廖粤生, 白莉莉
2022, 38(5): 1156-1160. DOI: 10.3969/j.issn.1001-5256.2022.05.038
摘要(1297) HTML (409) PDF (2114KB)(83)
摘要:
非酒精性脂肪性肝病(NAFLD)是一种以慢性肝损伤为主要特征的代谢性疾病。流行病学调查显示,NAFLD的发病率呈现不断上升的趋势,已严重威胁人类的生命健康。研究表明,自噬失调是NAFLD的重要病理生理机制,运动作为一种重要的非药物治疗手段,可通过诱导细胞自噬起到防治NAFLD的作用,但其确切机制尚不清楚。本文梳理与总结自噬与NAFLD的关系、运动诱导细胞自噬对NAFLD的影响以及其潜在分子机制的相关理论研究和应用成果,以期为NAFLD的预防与治疗提供理论参考。
肝纤维化相关信号通路及其相应的抗肝纤维化药物研究进展
鲁苏日古嘎, 刘霆, 朱单单, 余思佳, 卢礼卿, 丁俊杰
2022, 38(5): 1161-1164. DOI: 10.3969/j.issn.1001-5256.2022.05.039
摘要(2003) HTML (1554) PDF (2927KB)(158)
摘要:
肝纤维化是肝脏长期受到各种急、慢性损伤导致肝星状细胞激活、细胞外基质生成与降解失衡并在肝脏沉积的一种病理学过程,受多条细胞信号转导通路和一系列细胞信息分子网络共同控制。如未行有效的治疗干预,随着病情的发展形成肝纤维结节并破坏正常的肝脏结构与功能,最终发展为肝硬化,出现肝功能的衰退,甚至演变为肝癌。本文着重介绍目前研究较明确和相对热点的肝纤维化信号通路、受体、非编码RNA及其对应的抗肝纤维化药物/分子的研究进展。
不同抗病毒药物降低HBV相关肝细胞癌风险的作用
吴丽贤, 郑伟强, 韩焕钦
2022, 38(5): 1165-1168. DOI: 10.3969/j.issn.1001-5256.2022.05.040
摘要(1358) HTML (364) PDF (1886KB)(123)
摘要:
抗病毒治疗可降低慢性乙型肝炎患者肝细胞癌(HCC)发生的风险。在一线抗病毒药物中,更多的研究显示富马酸替诺福韦酯降低HCC风险的作用可能优于恩替卡韦,尤其在亚裔患者当中; 极有限的研究表明富马酸丙酚替诺福韦酯降HCC风险的作用可能优于富马酸替诺福韦酯; IFN降HCC风险的效果优于单用核苷(酸)类似物。现有可及的药物中,IFN联合核苷(酸)类似物或是HCC高风险患者降低HCC风险的最佳选择。但上述不同药物降HCC风险作用的比较,循证证据级别偏弱,均有赖于随机对照研究进一步阐明。临床实践中,需根据患者实际情形、基础情况,权衡患者HCC发生风险、对药物的耐受性和经济的可承受性,制订个体化的抗病毒策略。
肝豆状核变性动物模型的研究进展
杨玉龙, 魏涛华, 杨文明, 郝文杰, 杨悦, 钱南南, 李祥, 江海林
2022, 38(5): 1169-1174. DOI: 10.3969/j.issn.1001-5256.2022.05.041
摘要(1791) HTML (385) PDF (1905KB)(159)
摘要:
肝豆状核变性(WD)是一种罕见的常染色体隐性遗传病,其发病机制复杂,涉及多系统多脏器及体内复杂的铜稳态调节系统,其中肝脏是铜离子最常沉积的器官,肝损伤也是WD最早和最常见的表现,因此寻找一种理想的动物模型在WD研究中非常重要。本文通过对目前国际上常用的WD动物模型进行综述,系统地归纳了不同模型的背景,肝脏、神经等系统表现以及模型应用,并对不同动物模型的特点进行了比较,为各类WD动物模型的应用提供借鉴。
胸腺基质淋巴细胞生成素在肝脏疾病中的作用
陈文赏, 朱继金, 李仕来
2022, 38(5): 1175-1178. DOI: 10.3969/j.issn.1001-5256.2022.05.042
摘要(1549) HTML (305) PDF (1896KB)(78)
摘要:
胸腺基质淋巴细胞生成素(TSLP)是一种由四条短链的α螺旋束组成的Ⅰ型IL-2家族细胞因子,与IL-7具有同源性。TSLP在很多过敏性疾病或自身免疫性疾病如哮喘、特应性皮炎、嗜酸性食管炎、炎症性肠病等具有重要作用,且促进了这些疾病的发展。目前,也有一些关于TSLP与肝脏疾病的研究报道。关于它在肝脏疾病中作用,有报道其能促进肝脏疾病的发生发展,但也有研究表明其在肝脏疾病中起到保护性的作用。现从TSLP的分子组成及其生物学特性、TSLP与良性肝病、TSLP与肝脏肿瘤三个方面做一综述,阐述TSLP在肝脏疾病中作用的研究进展。
钠牛磺胆酸共转运多肽在肝胆疾病中的研究进展
高小强, 左石, 贾晓东, 陆荫英
2022, 38(5): 1179-1182. DOI: 10.3969/j.issn.1001-5256.2022.05.043
摘要(2177) HTML (805) PDF (2054KB)(149)
摘要:
钠牛磺胆酸共转运多肽(NTCP)既是胆汁酸吸收入肝的重要转运体,又是HBV、HDV的功能性受体; 其结构、功能、基因特点、表达调控机制等已得到广泛研究; 且NTCP与慢性病毒性肝炎、非酒精性脂肪性肝病、肝纤维化、原发性胆汁性胆管炎、肝细胞癌相关,本文系统阐述了NTCP在各种肝胆疾病中的作用,为相关疾病的诊断及治疗提供新方向。
中药相关肝损伤的风险因素
杨燕, 葛斐林, 黄倩, 曾锐, 张馨月, 孙琴
2022, 38(5): 1183-1187. DOI: 10.3969/j.issn.1001-5256.2022.05.044
摘要(1813) HTML (545) PDF (1903KB)(140)
摘要:
药物性肝损伤是常见的药物不良反应之一,是引起上市后药品撤市的主要原因,越来越引起公众的关注,而中药相关肝损伤(HILI)是其中比较特殊的一种。近年来,HILI事件频发,不仅严重危害患者的健康,而且使得中医药的安全性受到了严重争议。本文将重点从“人”、“药”、“用”三个方面对于HILI的潜在风险因素进行综述,以期为客观厘定和防控HILI提供依据,为构建以肝损伤为代表的中药药物警戒体系提供参考。
肝移植治疗慢加急性肝衰竭的临床研究进展
李江, 代星, 田大治, 蒋文涛, 沈中阳
2022, 38(5): 1188-1191. DOI: 10.3969/j.issn.1001-5256.2022.05.045
摘要(1509) HTML (228) PDF (1897KB)(71)
摘要:
慢加急性肝衰竭是一种慢性肝脏疾病急性加重导致的肝功能急剧恶化的疾病,其通常会伴随多个器官功能衰竭且预后比普通肝硬化差。许多研究认为慢加急性肝衰竭患者若能及时行肝移植手术可以显著提高生存率,然而目前没有可靠的指南指出患者肝移植手术的适应证。本文归纳了近年相关研究并对慢加急性肝衰竭肝移植的指征、时机、预后进行探讨。
急性胰腺炎发生急性肾损伤的早期预测指标
王岩, 李明政, 刘玉凤, 王世明
2022, 38(5): 1192-1197. DOI: 10.3969/j.issn.1001-5256.2022.05.046
摘要(1642) HTML (460) PDF (1924KB)(112)
摘要:
急性胰腺炎(AP)是消化系统常见的急腹症之一,尽早治疗避免加重至重症急性胰腺炎(SAP)是保证预后的关键,AP合并急性肾损伤(AKI),使胰腺炎死亡率显著增加。早诊断AP并发AKI,是降低病死率的重中之重。本文综述了现有关于AP发生AKI早期预测指标的相关研究,相互比较,简述了中性粒细胞与淋巴细胞比率、胱抑素C、肾血管阻力指数、中性粒细胞明胶酶相关性脂质运载蛋白等常用指标以及其他有价值的指标,认为依据不同标志物的敏感度和特异度,多标志物联合诊断AP早期AKI是一大前景。
急性胰腺炎胰酶异常活化和分泌的分子机制
崔恬玉, 刘瑞霞, 阴赪宏
2022, 38(5): 1198-1202. DOI: 10.3969/j.issn.1001-5256.2022.05.047
摘要(1386) HTML (400) PDF (2620KB)(91)
摘要:
胰腺腺泡细胞内胰酶异常活化和分泌是急性胰腺炎(AP)的重要发病机制之一,可直接损伤胰腺组织加速疾病进程,诱发重症急性胰腺炎。目前临床抑制胰酶异常活化和分泌的药物效果欠佳,探寻新的治疗靶点十分重要。本文归纳了AP胰酶异常活化和分泌的病理事件(胞浆钙离子超载、溶酶体与酶原颗粒的共定位、细胞器损伤、胰酶顶端侧分泌受阻和基底侧分泌增加等),搜集了相关事件的分子机制,讨论了胰酶异常活化和分泌在AP早期的作用过程,为未来靶向药物的研发提供思路。
肿瘤相关成纤维细胞在胰腺癌治疗耐药中的作用
闫毅, 贾军梅, 郭亚荣
2022, 38(5): 1203-1208. DOI: 10.3969/j.issn.1001-5256.2022.05.048
摘要(1900) HTML (725) PDF (3024KB)(120)
摘要:
胰腺癌是致命的恶性肿瘤之一,其致密的间质,占胰腺肿瘤体积的90%,是胰腺癌生存率低的主要原因。肿瘤相关成纤维细胞(CAF)是存在于胰腺癌肿瘤间质中的一类重要细胞群,激活后的CAF引起强烈的促结缔组织间质反应,并分泌多种可溶性分子重塑细胞外基质,形成一个更有利于胰腺癌增殖、侵袭转移的微环境。目前越来越多的证据表明CAF在胰腺癌治疗耐药中扮演着重要的角色,尤其是在化疗和免疫治疗方面,CAF通过干扰抗肿瘤药物的代谢、参与耐药相关信号通路、形成免疫抑制微环境等机制,造成胰腺癌治疗的有效率低。本文将从化疗和免疫治疗两个方面论述CAF参与胰腺癌治疗耐药的具体机制,以期为寻找胰腺癌新的治疗靶点,提高胰腺癌治疗有效率提供新的思路。
国外期刊精品文章简介
Hepatology|PAK4抑制保护肝脏缺血/再灌注损伤: Nrf2磷酸化的作用
2022, 38(5): 1022-1022. DOI: 10.3969/j.issn.1001-5256.2022.05.gwjpwzjj1
摘要(510) HTML (184) PDF (938KB)(58)
摘要:
Hepatology|整合HBV定量与慢性乙型肝炎患者病毒活性的关系
2022, 38(5): 1068-1068. DOI: 10.3969/j.issn.1001-5256.2022.05.gwjpwzjj2
摘要(469) HTML (228) PDF (853KB)(47)
摘要:
读者·作者·编者
勘误
2022, 38(5): 1074-1074.
摘要(302) HTML (260) PDF (846KB)(35)
摘要:
消息
《临床肝胆病杂志》关于不法人员冒用本刊名义实施邮件诈骗的严正声明
2022, 38(5): 1029-1029.
摘要(217) HTML (220) PDF (846KB)(31)
摘要:
《临床肝胆病杂志》2022年1-12期重点号选题及各期执行主编
2022, 38(5): 1128-1128.
摘要(324) HTML (296) PDF (850KB)(37)
摘要:
《临床肝胆病杂志》2023年1-2期重点号选题及各期执行主编
2022, 38(5): 1133-1133.
摘要(382) HTML (221) PDF (1353KB)(63)
摘要:
《临床肝胆病杂志》对基金项目论文免费审理优先发表
2022, 38(5): 1136-1136.
摘要(301) HTML (138) PDF (847KB)(32)
摘要:
志谢
本期审稿专家
2022, 38(5): 1174-1174. DOI: 10.3969/j.issn.1001-5256.2022.05.zhixie1
摘要(459) HTML (169) PDF (849KB)(50)
摘要: