中文English
ISSN 1001-5256 (Print)
ISSN 2097-3497 (Online)
CN 22-1108/R

留言板

尊敬的读者、作者、审稿人, 关于本刊的投稿、审稿、编辑和出版的任何问题, 您可以本页添加留言。我们将尽快给您答复。谢谢您的支持!

姓名
邮箱
手机号码
标题
留言内容
验证码
2021年 第8期
“肝癌临床诊疗新实践”重点号
本期执行主编:陈东风 教授
陆军军医大学 陆军特色医学中心

显示方式:
述评
肝细胞癌的临床诊治:从指南到临床实践
王涛, 陈东风
2021, 37(8): 1745-1747. DOI: 10.3969/j.issn.1001-5256.2021.08.001
摘要(1497) HTML (379) PDF (1926KB)(296)
摘要:
肝细胞癌(HCC)发病隐匿,进展速度快,治疗效果差,是严重危害人民健康的常见恶性肿瘤。因此,国内外众多学术研究团体针对HCC筛查、诊断、治疗等方面的关键问题,发布了基于循证医学证据的多项肝癌诊治指南并不断进行更新。临床医生需在结合自身专业背景的基础上,对指南进行全面学习,以提高对肝癌领域相关进展的认识,进一步提高HCC患者的治疗效果。
专家论坛
非酒精性脂肪性肝病相关肝细胞癌的诊断和治疗
颜士岩, 范建高
2021, 37(8): 1748-1752. DOI: 10.3969/j.issn.1001-5256.2021.08.002
摘要(1267) HTML (507) PDF (2794KB)(196)
摘要:
全球大部分肝细胞癌(HCC)(>80%)主要因HBV或HCV慢性感染导致。在中国,高达80%的HCC是由HBV引起,但目前HBV相关HCC死亡率降低了30%。与此同时,肥胖、2型糖尿病和非酒精性脂肪性肝病正在取代肝炎病毒和酒精滥用成为HCC的重要致病因素,代谢功能障碍及其相关脂肪性肝病导致的HCC近年来有不断增加趋势。为此需要重视非酒精性脂肪性肝病相关HCC的诊断、治疗并探讨其可能的发病机制。
肝细胞癌的靶向治疗
张宁宁, 陆伟
2021, 37(8): 1753-1757. DOI: 10.3969/j.issn.1001-5256.2021.08.003
摘要(1538) HTML (661) PDF (1886KB)(255)
摘要:
近年来,随着肝细胞癌(HCC)分子机制研究深入,靶向治疗也得到了迅猛发展,在延缓和改善患者疾病进展和预后方面作出了巨大贡献。由于HCC的发病机制错综复杂,单一的分子靶向治疗总体临床收益并不理想。因此,近年来靶向联合其他治疗方式的新方案不断出新,并取得了令人鼓舞的成果。就HCC分子靶向治疗药物、研究现状及临床联合应用治疗进展予以简要总结。
免疫治疗在肝细胞癌中的应用价值
邹燕梅, 袁响林
2021, 37(8): 1758-1760. DOI: 10.3969/j.issn.1001-5256.2021.08.004
摘要(1394) HTML (331) PDF (1852KB)(186)
摘要:
免疫治疗为肝细胞癌(HCC)患者迎来了曙光。目前HCC单用免疫治疗药物已初显疗效,靶向和免疫联合治疗方案在HCC转化治疗、围术期治疗中展现了巨大潜力,探讨HCC靶向免疫治疗,以及治疗评价、预测体系和安全性等问题,系统阐述免疫治疗在HCC中的应用价值及未来的探索方向。
肝细胞癌血管介入治疗临床研究新认知
文良志, 肖潇, 颜綦先, 王军
2021, 37(8): 1761-1764. DOI: 10.3969/j.issn.1001-5256.2021.08.005
摘要(1491) HTML (316) PDF (1872KB)(154)
摘要:
肝细胞癌(HCC)血管介入治疗是不能手术切除HCC的最主要治疗方式,主要包括经肝动脉化疗栓塞术以及肝动脉灌注化疗等。随着新型材料和新术式的研发及应用,上述治疗方案也得到改良和优化,诸多临床研究探讨了各种不同方案对HCC的治疗效果并取得系列新进展,为临床HCC血管介入治疗提供新策略和理论基础。现探讨HCC血管介入治疗临床研究领域相关新认知。
肝细胞癌分子异质性与临床精准治疗
邹强, 王军, 文良志, 王斌, 张毅
2021, 37(8): 1765-1769. DOI: 10.3969/j.issn.1001-5256.2021.08.006
摘要(1787) HTML (315) PDF (2840KB)(251)
摘要:
肝细胞癌是我国最常见的肝癌类型,分子异质性显著,极大地制约了临床疗效,因此深入探索其异质性的分子分型,对于制订个体化诊疗策略极为重要。近年来多种高通量测序技术层出不穷,结合多组学特征提出了多种分子分型系统,使临床研究者对肝癌分子异质性有了更加深刻的认识。详细总结了肝细胞癌的分子分型,探讨其与临床病理特征的密切联系,分析分子靶向治疗和免疫治疗的干预新靶标,提出了肝癌精准诊断和个体化治疗的新思路。
指南与规范
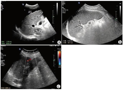
肝病超声诊断指南
中华医学会超声医学分会, 中国研究型医院学会肿瘤介入专业委员会, 国家卫生和健康委员会能力建设和继续教育中心超声医学专家委员会
2021, 37(8): 1770-1785. DOI: 10.3969/j.issn.1001-5256.2021.08.007
摘要(3068) HTML (6587) PDF (9311KB)(804)
摘要:
超声检查无创、实时、价廉,无辐射、便于反复进行,是最常用的肝脏影像学检查方法。近年来,超声检查新技术如超声造影、弹性成像发展迅速,可有效鉴别肝内占位性病变性质、评估肝纤维化和门静脉高压程度以及监测肝病治疗效果,在临床肝病及其介入治疗中发挥重要诊断价值。本指南规范了肝病多模态超声技术(灰阶超声、彩色多普勒超声、超声造影、弹性超声)检查的仪器调置、患者准备及医生检查方法;对肝脏弥漫性病变(炎性病变、纤维化、硬化)、多种占位性病变及肝病介入操作的多模态超声技术诊断标准进行了定义和规范,同时推荐了超声监测周期及肝脏疾病超声诊断报告书写规范。
《2021年瑞典国家指南:慢性胰腺炎》摘译
秦晓雨, 郭小燕, 石益海
2021, 37(8): 1786-1788. DOI: 10.3969/j.issn.1001-5256.2021.08.008
摘要(1198) HTML (256) PDF (1836KB)(179)
摘要:
论著_病毒性肝炎
ALT正常肝组织学轻度异常的慢性乙型肝炎患者经恩替卡韦抗病毒治疗的效果分析
刘志红, 江建宁, 苏明华, 李仕华, 胡伯斌, 付嘉鑫, 傅燕平, 李慧娇, 郭莉
2021, 37(8): 1789-1792. DOI: 10.3969/j.issn.1001-5256.2021.08.009
摘要(1433) HTML (341) PDF (1871KB)(135)
摘要:
  目的  对ALT正常肝组织学轻度异常的慢性乙型肝炎患者给予恩替卡韦治疗,探讨其抗病毒治疗的可行性。  方法  回顾性纳入2008年1月—2018年1月广西医科大学第一附属医院收治的HBV感染者181例。入组患者中基线ALT正常者归入研究组(n=61),基线ALT 1~2×ULN归入对照1组(n=62),基线ALT>2×ULN归入对照2组(n=58),经恩替卡韦抗病毒治疗至少1年,对比3组间临床疗效。采用寿命表法计算病毒学应答、HBeAg血清学应答和病毒学突破的累积进展率以及年发生率。计量资料多组间比较采用单因素方差分析,两两比较采用SNK法;计数资料多组间比较采用χ2检验。  结果  181例中男性124例(68.5%),HBeAg阳性80例(44.2%),平均随访时间3.63年。3组病毒学应答年均发生率分别为74.37%、71.89%、74.21%(χ2=2.91,P=0.371),3组病毒学突破年发生率分别为3.48%、5.17%、2.73%(χ2=1.72,P=0.097)。3组HBeAg阳性患者年均阴转率分别为9.79%、37.16%、38.24%(χ2=1.37,P=0.01),3组HBeAg年均转换率分别为9.10%、31.35%、36.74%(χ2=5.61,P=0.021),研究组HBeAg年均阴转率及HBeAg年均转换率均低于对照1组和2组(P值均<0.05)。  结论  ALT正常的HBV感染者经恩替卡韦抗病毒治疗可以获得理想的病毒学应答,但免疫学应答有待提高。
加用干扰素治疗核苷(酸)类似物经治的HBsAg低水平的慢性乙型肝炎患者获得临床治愈的效果观察
牛卫理, 王永素, 吴清山, 张林, 张中琴, 杨小军, 朱先彬, 肖文琴, 纪明平
2021, 37(8): 1793-1797. DOI: 10.3969/j.issn.1001-5256.2021.08.010
摘要(1324) HTML (331) PDF (1877KB)(136)
摘要:
  目的  探讨核苷(酸)类似物(NAs)经治的慢性乙型肝炎患者获得临床治愈的优势人群,为临床医生追求乙型肝炎临床治愈提供更多的方法。  方法  选取2017年10月—2019年10月在鹤壁市第三人民医院接受NAs治疗且HBsAg低水平的慢性乙型肝炎患者42例作为研究对象,分为联合治疗组(A组, n=22)和NAs单药治疗组(B组, n=20)。A组采用NAs联合聚乙二醇干扰素(PEG-IFN)抗病毒治疗48周,部分患者24周停用PEG-IFN继续NAs单药治疗。B组仅采用NAs抗病毒治疗,两组均观察至48周,通过乙型肝炎五项定量检测评估疗效。计量资料两组间比较采用t检验;计数资料两组间比较采用Fisher精确检验。影响因素相关分析采用logistic回归法。  结果  48周治疗终点A组的HBsAg清除率(45.5%)和HBsAg血清学转换率(31.8%)远高于B组(均为0)(P值均<0.01);HBsAg<1000 IU/ml、<500 IU/ml、<100 IU/ml、<10 IU/ml人群的HBsAg清除率分别为52.6%、61.5%、66.7%和100%;HBsAg在500~1000 IU/ml、100~500 IU/ml、10~100 IU/ml、<10 IU/ml区间人群的HBsAg清除率分别为33.3%、50%、40%和100%。4例基线HBsAg<10 IU/ml者(占联合治疗组18.2%),联合治疗12周取得临床治愈,观察至48周时2例抗-HBs>100 IU/ml,2例抗-HBs>1000 IU/ml。HBsAg清除的多因素logsitic回归分析结果显示:开始联合治疗时的年龄对HBsAg清除存在影响(OR=0.877,95%CI:0.781~0.985,P=0.026),HBsAg阴转患者的年龄集中在36~49(44.20±4.49)岁;基线HBsAg水平也对HBsAg清除存在影响(OR=0.996,95%CI:0.992~1.000,P=0.050)。  结论  加用IFN治疗核苷(酸)类似物经治的HBsAg低水平的慢性乙型肝炎患者能够显著提高临床治愈率,年龄越小、HBsAg水平越低,联合治疗时间越短,相较于NAs用药时间、种类,年龄和基线HBsAg水平更关键。
长期口服抗病毒药物的慢性乙型肝炎患者肾功能指标异常的影响因素分析
宁会彬, 靳慧鸣, 李宽, 彭真, 李威, 尚佳
2021, 37(8): 1798-1801. DOI: 10.3969/j.issn.1001-5256.2021.08.011
摘要(1295) HTML (374) PDF (1861KB)(131)
摘要:
  目的  探讨长期口服抗病毒药物的慢性乙型肝炎患者肾功能指标异常情况及影响因素。  方法  回顾性收集2019年1月— 2019年12月河南省人民医院就诊长期口服恩替卡韦(ETV)或富马酸替诺福韦(TDF)的681例慢性乙型肝炎患者的临床资料。所有患者均进行血液肾功能[尿素、肌酐、视黄醇结合蛋白(RBP)、血胱抑素C(Cys C)、β2微球蛋白(β2-MG)]、尿液肾功能[尿α1-微球蛋白(α1-MG)、尿Cys C、尿N-已酰-β-D-氨基葡萄糖苷酶(NAG)]及尿常规检测。分析患者肾功能指标异常发生率。计数资料组间比较采用McNemar’s检验。利用多因素logistic回归筛选慢性乙型肝炎患者尿液中肾指标异常发生的独立影响因素。  结果  681例患者平均年龄(39.8±11.0)岁,平均用药1.88(0.80~3.16)年;男性417例,女性264例;肝硬化发生率27.02%(184/681),ETV与TDF用药患者分别为442例、239例。血肾功能检测项目异常率分别为尿素6.9%(47/681)、肌酐0.15%(1/681)、RBP 0(0/681)、血Cys C 2.21%(15/681)、β2-MG 5.03%(30/681),尿蛋白异常情况为7.29%(49/672),尿肾功能检测项目异常率分别为α1-MG 38.62%(263/681)、NAG 37.74%(257/681)、尿Cys C 19.38%(132/681)。尿检异常率高于血检(P<0.001)。以尿α1-MG作为因变量进行多因素logistic回归分析结果显示,性别(OR=0.293, 95%CI:0.204~0.419)、年龄(OR=1.298, 95%CI:1.108~1.521)、核苷药物种类(OR=2.100, 95%CI:1.431~3.083)为其影响因素(P值均<0.05)。以尿NAG作为因变量进行多因素logistic回归分析结果显示, 年龄(OR=1.177, 95%CI:1.008~1.375,P=0.040)为其影响因素。  结论  尿肾功能检测指标(尤其是尿α1-MG和尿NAG)比血液检测指标更能早期发现慢性乙型肝炎患者肾损伤,老年男性患者及接受TDF治疗者更容易出现肾功能异常,未观察到用药时长及肝硬化增加慢性乙型肝炎患者肾损伤的发生风险。
成人乙型肝炎肝移植术后受者乙型肝炎疫苗主动免疫应答率与接种前CD4水平的相关性分析
王旭, 许姗姗, 荣义辉, 蔡焕静, 王贵强
2021, 37(8): 1802-1805. DOI: 10.3969/j.issn.1001-5256.2021.08.012
摘要(981) HTML (291) PDF (1859KB)(196)
摘要:
  目的  探究影响成人乙型肝炎肝移植术后受者乙型肝炎疫苗主动免疫应答率的主要临床影响因素。  方法  分析2019年5月—2020年11月北京大学国际医院15例乙型肝炎肝移植术后受者接种乙型肝炎疫苗的临床随诊资料,均为肝移植术后至少3年、接种前CD4水平300~800 cells/u的患者。每次予40 μg重组乙型肝炎疫苗(酿酒酵母),接种频次按0、1、6、8个月间隔。4剂接种结束后抗-HBs≥100 mIU/L,并持续12周不衰减视为应答成功。应用Pearson相关性分析、Kendall相关性分析对接种前CD4水平及疫苗应答率的相关性进行分析;应用线性回归分析评价接种前CD4水平是否可预测疫苗主动免疫后抗-HBs水平;并应用logistic回归分析评价接种前CD4水平是否可预测疫苗能否应答。  结果  监测12周时,15例患者中6例应答,其中1例抗-HBs>1000 mIU/L,5例抗-HBs≥100 mIU/L,继续监测至16周抗体滴度仍不衰减,乙型肝炎疫苗接种应答率为40%。6例应答者接种前CD4水平均≥592 cells/u,9例未应答者接种前CD4水平均≤500 cells/u。接种前CD4水平与乙型肝炎疫苗应答率呈强相关(Pearson相关性分析r=0.767,P=0.001;Kendall相关性分析r=0.717,P=0.001)。  结论  接种前的CD4水平是影响肝移植术后乙型肝炎疫苗应答率的关键因素。
基于微滴数字PCR技术建立HBV共价闭合环状DNA的检测方法
田原, 徐玲, 范子豪, 曹亚玲, 张向颖, 陈煜, 段钟平, 任锋
2021, 37(8): 1806-1810. DOI: 10.3969/j.issn.1001-5256.2021.08.013
摘要(1540) HTML (552) PDF (3144KB)(269)
摘要:
  目的  建立一种用于检测HBV共价闭合环状DNA(cccDNA)的微滴数字PCR(ddPCR)方法。  方法  构建HBV cccDNA标准品,利用HBV cccDNA和松弛环状DNA(rcDNA)在结构上存在的差异,设计HBV cccDNA引物和探针,通过扩增HBV质粒得到HBV cccDNA标准品,把梯度稀释后的标准品作为HBV cccDNA检测的模板,建立ddPCR检测方法,并分析此方法的检出限和重复性;收集2017年6月—2020年10月在首都医科大学附属北京佑安医院就诊的20例临床患者的肝组织样本,均诊断为HBV感染,提取样本的DNA,利用质粒安全性ATP依赖的DNA酶(PSAD)进行酶切,得到HBV cccDNA模板,对ddPCR检测方法进行临床样本的评价,并与实时荧光定量PCR(qPCR)检测方法作对比。计数资料两组间比较采用χ2检验。  结果  建立了基于ddPCR的HBV cccDNA检测方法,梯度稀释的HBV cccDNA标准品均能准确检出,检出限为1拷贝/μl,其中1×103、1×102、1×101拷贝/μl标准品的变异系数分别为4.41%、3.98%、5.09%;检测20例临床HBV患者样本的HBV cccDNA,ddPCR检测方法能检出17例,阳性率为85%,qPCR检测方法能检出11例,阳性率为55%,两组比较差异有统计学意义(χ2=4.286,P=0.038)。  结论  建立的ddPCR检测HBV cccDNA方法具有较低的检出限和较好的重复性,为进一步的临床检测提供了有效的工具。
论著_肝纤维化及肝硬化
病毒学应答状态对代偿期乙型肝炎肝硬化患者疾病进展的影响
陈博武, 朱晓骏, 张鑫, 孙学华, 李曼, 高月求
2021, 37(8): 1811-1816. DOI: 10.3969/j.issn.1001-5256.2021.08.014
摘要(975) HTML (405) PDF (2573KB)(102)
摘要:
  目的  研究是否获得持续性病毒学应答对接受核苷(酸)类似物(NAs)抗病毒治疗的代偿期乙型肝炎肝硬化患者疾病进展、肝癌发生的影响。  方法  纳入2013年1月1日—12月31日就诊于上海中医药大学附属曙光医院,随访5年以上、接受抗病毒治疗的代偿期乙型肝炎肝硬化患者542例,依据随访期间病毒学应答状态分为持续病毒学应答队列(n=496)和非持续病毒学应答队列(n=46),以患者疾病进展为终点事件,收集、整理患者5年随访期间一般资料及检验检查资料。符合正态分布的计量资料两组间比较采用t检验;不服从正态分布的计量资料两组间比较采用Mann-Whitney U检验。计数资料两组间比较采用χ2检验。多元分析采用logistic回归分析。用危险度测量因素与肝硬化疾病进展的相关程度,用风险比(HR)及95%CI表示。应用寿命表法计算患者1、3、5年疾病无进展生存率,Kaplan-Meier法绘制生存曲线;采用log-rank检验进行单因素分析,Cox模型进行多因素回归分析。  结果  542例患者的平均疾病无进展生存时间为62.50(95%CI:61.01~63.92)个月,1、3、5年疾病无进展生存率分别为94%、82%、71%。持续病毒学应答队列患者平均疾病无进展生存时间为63.10(95%CI:61.65~64.55)个月,较非持续病毒学应答队列[55.95(95%CI :50.19~61.71)个月]延长,两组5年疾病无进展生存率差异有统计学意义(χ2=12.058,P=0.001)。持续病毒学应答队列患者5年累积肝癌发生率低,两组差异有统计学意义(20.6% vs 34.8%,χ2=5.759,P=0.016);持续病毒学应答队列患者5年累积肝硬化失代偿发生率低,两组差异有统计学意义(5.0% vs 15.2%,χ2=8.239,P=0.004)。病毒学应答是影响疾病进展的独立危险因素[HR(95%CI)=2.32(1.45~3.72)]。  结论  持续病毒学应答可降低代偿期乙型肝炎肝硬化患者并发症及肝癌发生率,改善长期预后、延长生存时间。
乙型肝炎肝硬化患者发生慢性肾病的影响因素分析
杨莉, 时克, 高方媛, 冉崇平, 侯杰, 王宪波
2021, 37(8): 1817-1821. DOI: 10.3969/j.issn.1001-5256.2021.08.015
摘要(1033) HTML (326) PDF (2006KB)(89)
摘要:
  目的  探讨乙型肝炎肝硬化患者3年内发生慢性肾病(CKD)的影响因素。  方法  纳入2014年1月—2017年7月就诊于首都医科大学附属北京地坛医院的乙型肝炎肝硬化患者376例,随访3年,根据是否发生CKD分为CKD组(n=23)和非CKD组(n=353)。收集患者一般情况和实验室指标。计量资料两组间比较采用t检验或Mann-Whitney U检验。计数资料两组间比较采用χ2检验或Fisher精确概率法。采用多因素Cox逐步向前回归方法,分析乙型肝炎肝硬化患者3年内发生CKD的独立影响因素。采用受试者工作特征曲线下面积(AUC)评估影响因素对乙型肝炎肝硬化患者发生CKD的预测价值,Kalplan-Merier法进行生存分析,log-rank检验比较不同风险患者CKD累积发生率。  结果  Cox多因素分析显示,年龄(HR=1.078,95%CI:1.007~1.114,P=0.026)、Alb(HR=0.923,95%CI:0.860~0.989,P=0.024)、肾小球滤过率(eGFR)(HR=0.977,95%CI:0.955~0.999,P=0.037)是乙型肝炎肝硬化患者3年内发生CKD的独立影响因素。年龄、Alb、eGFR对CKD发生的预测价值较好(受试者工作特征曲线下面积分别为0.701、0.710、0.706)。Kalplan-Merier生存曲线显示,基线年龄≥55岁、Alb<32 g/L、60 ml·min-1·1.73m-2≤eGFR<76 ml·min-1·1.73m-2的患者发生CKD的风险高(χ2值分别为9.647、13.621、30.940,P值均<0.05)。  结论  高龄、低Alb水平及eGFR较低的患者建议密切监测肾功能。
人脐带血单个核细胞联合人脐带间充质干细胞疗法对乙型肝炎肝硬化患者肝功能、炎症程度及免疫功能的影响
韩霞, 云升
2021, 37(8): 1822-1828. DOI: 10.3969/j.issn.1001-5256.2021.08.016
摘要(1951) HTML (475) PDF (3361KB)(232)
摘要:
  目的  探讨人脐带血单个核细胞(hUCB-MNCs)联合人脐带间充质干细胞(hUC-MSCs)对乙型肝炎相关失代偿期肝硬化患者的肝功能、炎症程度及免疫功能的影响。  方法  选取2016年11月—2019年6月在内蒙古医科大学附属医院诊治的11例肝硬化患者,所纳入患者第1周输注1次hUCB-MNCs(>18×109/次),第2、3、4周每周输注1次hUC-MSCs,每次输注1×106/kg,在治疗结束的第4、8、12周进行复查,对比治疗前后肝功能、血氨、凝血因子、血清细胞因子及淋巴细胞亚群的变化,同时观察记录神经、精神症状的改变。计量资料组间比较采用单因素重复测量方差分析。  结果  hUCB-MNCs联合hUC-MSCs治疗后的11例患者其精神、神经症状与细胞输注前相比较有所改善;肝功能各项指标及凝血功能基本趋于正常(P值均<0.05);细胞联合输注后的第12周,血氨水平显著下降(P<0.05);炎性细胞因子IL-6、TNFα水平降低(F值分别为49.497、37.071,P值均<0.05);而抗炎细胞因子TGFβ和IL-10水平显著上升(F值分别为35.843、15.918,P值均<0.05);同时CD3+CD8+T淋巴细胞和CD19+B淋巴细胞均降低(F值分别为52.242、89.097,P值均<0.05);免疫调节性T淋巴细胞CD4+CD25+Treg明显升高(F=17.337,P<0.05)。  结论  hUCB-MNCs联合hUC-MSCs治疗肝硬化,与细胞输注前相比较,可改善肝功能,减少炎性细胞因子产生,减轻肝脏炎症反应以及肝细胞的破坏,升高免疫调节性T淋巴细胞,从而影响其自身免疫功能。
基于倾向性评分匹配分析门静脉血栓对肝硬化患者预后的影响
肖春桃, 李贤秋, 甘佩灵, 潘潇, 周贤
2021, 37(8): 1829-1835. DOI: 10.3969/j.issn.1001-5256.2021.08.017
摘要(1194) HTML (277) PDF (3155KB)(98)
摘要:
  目的  分析门静脉血栓(PVT)对肝硬化患者短期预后的影响并探讨肝硬化患者预后的危险因素。  方法  回顾性分析西南医科大学附属医院2018年9月—2020年3月的肝硬化住院患者临床资料,其中合并PVT患者58例为PVT组,随机选取同期无PVT患者116例为非PVT组,通过1∶ 1倾向性评分匹配(PSM)均衡组间协变量获取PVT组及非PVT组各44例。满足正态性计量资料2组间比较采用t检验,非正态性计量资料2组间比较采用Mann-Whitney U秩和检验;计数资料2组间比较采用χ2检验和Fisher确切概率法。利用Kaplan-Meier法及log-rank法分析PSM前后2组患者的生存情况及出血情况,并使用Cox风险模型分析PSM前后影响肝硬化患者预后的危险因素。  结果  PSM前非PVT组患者总体生存率明显高于PVT组(P=0.008),而PSM后2组患者总体生存率无明显差异(P=0.076)。PSM前非PVT组上消化道出血或再出血率明显低于PVT组(P<0.001),PSM后结果与PSM前一致(P=0.028)。PSM前肝硬化患者预后多因素分析显示,PVT(HR=2.944, 95%CI:1.364~6.441,P=0.007)和MELD评分≥15(HR=3.531,95%CI:1.630~7.650,P=0.001)是肝硬化患者短期死亡的危险因素。PSM后肝硬化患者预后多因素分析显示,MELD评分≥15是肝硬化患者短期死亡的危险因素(HR=3.312, 95%CI:1.049~10.457,P=0.041)。  结论  肝硬化合并PVT增加上消化道出血或再出血风险,但其不是肝硬化患者短期死亡的独立危险因素,MELD评分≥15是肝硬化患者短期死亡的独立危险因素。
论著_肝脏肿瘤
直接抗病毒药物改善HCV相关肝细胞癌患者远期预后效果的Meta分析
周荃, 杨丽晖, 蒋芳清
2021, 37(8): 1836-1840. DOI: 10.3969/j.issn.1001-5256.2021.08.018
摘要(1248) HTML (256) PDF (2573KB)(76)
摘要:
  目的  系统的评价全口服直接抗病毒药物(DAA)与无DAA(NDAA)方案对于丙型肝炎相关肝细胞癌(HCC)患者在无复发生存率、HCC复发率、全因死亡率、肝脏相关病死率方面的差异。  方法  检索中国知网、万方数据库、维普数据库、中国生物医学文献数据库、Pubmed、Embase、Cochrane Library七大数据库于2020年12月之前公开发表的DAA治疗丙型肝炎相关HCC患者的临床队列研究,并进行质量评价与Meta分析。  结果  本研究共纳入10个临床队列研究,共计3108例患者。Meta分析结果显示:与NDAA方案相比,DAA治疗能够显著提高丙型肝炎相关HCC患者的无复发生存率(RR=1.38,95%CI:1.10~1.72,P=0.005),降低HCC复发率(RR=0.52,95%CI:0.42~0.63,P<0.000 01)、全因死亡率(RR=0.42,95%CI:0.32~0.55,P<0.000 01)及肝脏相关病死率(RR=0.37,95%CI:0.18~0.76,P=0.007)。  结论  对于丙型肝炎相关HCC患者使用DAA治疗是有益且安全的。
CalliSpheres载药微球与传统经肝动脉化疗栓塞术治疗肝细胞癌效果和安全性比较的Meta分析
彭一晟, 何攀, 朱刚, 李昕楷, 谭顺德, 陈健飞, 凡军, 罗斌, 苏松, 李波, 杨小李
2021, 37(8): 1841-1847. DOI: 10.3969/j.issn.1001-5256.2021.08.019
摘要(1699) HTML (827) PDF (3201KB)(109)
摘要:
  目的  本研究旨在通过Meta分析比较CalliSpheres载药微球经肝动脉化疗栓塞术(CSM-TACE)与传统经肝动脉化疗栓塞术(cTACE)治疗肝细胞癌的有效性和安全性。  方法  系统的检索PubMed、Web Science、Cochrane Library、中国知网数据库、万方数据库和维普数据库, 比较CSM-TACE与cTACE在肝细胞癌中应用的所有中英文文献, 截止日期到2020年10月。对纳入文献进行质量学评价后, 采用Cochrane Library提供的RevMan 5.3软件进行分析。  结果  经筛选后共纳入15篇研究, 包括1535例患者。Meta分析显示, 接受CSM-TACE治疗的患者1年总生存率(OR=2.26, 95%CI: 1.63~3.13, P<0.000 01)、2年总生存率(OR=1.73, 95%CI: 1.20~2.50, P=0.003) 和2年无进展生存率(OR=1.60, 95%CI: 1.05~2.43, P=0.03)显著高于接受cTACE治疗的患者。而且在安全性方面, 接受CSM-TACE治疗的患者术后呕吐率(OR=0.65, 95%CI: 0.46~0.92, P=0.01)、骨髓抑制率(OR=0.17, 95%CI: 0.05~0.54, P=0.003)、粒细胞减少率(OR=0.18, 95%CI: 0.07~0.45, P=0.000 3)均明显低于接受cTACE治疗的患者, 在术后发热率、腹痛率、腹水率方面两组差异均无统计学意义(P值均>0.05)。  结论  CSM-TACE在提高1年和2年总生存率以及2年无进展生存率方面具有显著优势, 而且可明显降低患者术后呕吐率、骨髓抑制率、粒细胞减少率。因此, CSM-TACE是一种安全、有效的治疗方式。
基于网络药理学探析5种经典方剂治疗肝细胞癌的作用机制
程秋骆, 刘柳, 白长川, 丛庆伟, 朱英
2021, 37(8): 1848-1855. DOI: 10.3969/j.issn.1001-5256.2021.08.020
摘要(1986) HTML (440) PDF (5984KB)(135)
摘要:
  目的  运用网络药理学及分子对接技术探究逍遥散合四君子汤、茵陈蒿汤、龙胆泻肝汤合下瘀血汤、五皮饮合四君子汤、一贯煎治疗肝细胞癌的作用机制。  方法  运用TCMSP、TCMID、BATMAN-TCM、TCM-MESH等数据库筛选中药有效成分并预测其作用靶点, 通过TTD、Drugbank、Disgenet、Liverome、OncoDB.HCC、GEO等数据库挖掘肝癌相关靶点; 将药物和疾病靶点进行映射获得交集靶点, 通过可视化软件Cytoscape3.7.1构建核心成分-交集靶点网络以及蛋白相互作用网络, 筛选核心成分及关键基因并在GEPIA数据库进行生存分析, 将筛选出的活性成分和关键基因导入DockThor在线网站进行分子对接。此外, 利用David数据库对交集靶点进行基因本体(GO)富集分析以及基因组百科全书(KEGG)通路分析。  结果  经过筛选去重获得5种经典方剂活性成分分别为110、19、154、121、51个, 药物作用靶点分别为7426、1435、9544、6619、2427个。筛选去重后获得肝癌疾病靶点4001个。5种方剂经典方剂的成分靶点与肝癌疾病靶点的交集靶点分别为260、169、276、242、192个, 共同Hub基因在GEPIA在线网站生存分析结果为PIK3CA、SRC、MAPK1、MAPK3(P值均<0.05)、AKT1(P>0.05)。5种方剂共同活性成分是槲皮素, 其中3种经典方剂(逍遥散合四君子汤、龙胆泻肝汤合下瘀血汤、五皮饮合四君子汤)的共同活性成分是异补骨脂黄酮、Kanzonol W。分子对接结果从总体趋势来看3种成分与PIK3CA、SRC结合能力相对较好。GO富集分析显示这些靶点共同参与对药物的反应、蛋白质磷酸化、炎症反应、血管生成等生物学过程。KEGG富集分析显示共同参与的通路为癌症通路、PI3K-AKT通路、MAPK通路、Ras通路、HIF-1通路、乙型肝炎通路、丙型肝炎通路。  结论  槲皮素、异补骨脂黄酮和Kanzonol W抗肝癌具有多靶点、多通路的潜在作用机制。
葡萄糖-6-磷酸脱氢酶表达与肝细胞癌预后的关系
刘明君, 刘颖娟, 杨桂, 刘松梅
2021, 37(8): 1856-1860. DOI: 10.3969/j.issn.1001-5256.2021.08.021
摘要(1314) HTML (501) PDF (2593KB)(87)
摘要:
  目的  探究葡萄糖-6-磷酸脱氢酶(G6PD)基因在肝细胞癌(HCC)组织中的表达与患者预后的关系。  方法  收集2016年6月—2018年1月在武汉大学中南医院首诊的44例HCC患者癌组织及对应癌旁组织样本, RT-qRCR检测G6PD mRNA表达, 比较癌组织和癌旁组织G6PD表达水平差异。按照G6PD基因表达水平的中位数将HCC患者分为G6PD高表达组(n=22)和G6PD低表达组(n=22), 结合数据库数据进行分析, 用Kaplan-Meier法绘制生存曲线, 分析两组HCC患者总生存期和无进展生存期的差异。正态分布的计量资料2组间比较采用t检验, 偏态分布的计量资料2组间比较采用Mann-Whitney U检验, 计数资料2组间比较采用Fisher确切概率法; 相关性分析采用Spearman法。  结果  肝癌组织中G6PD mRNA表达水平是癌旁组织的2.09倍, 差异具有统计学意义(Z=-3.221, P=0.001)。G6PD高表达是影响HCC患者肝切除术后总生存期(HR=1.84, 95%CI: 1.30~2.61, P=0.000 52)和无进展生存期(HR=1.75, 95%CI: 1.27~2.42, P=0.000 54)的危险因素。在G6PD低表达组中淋巴细胞/单核细胞比值(LMR)明显高于G6PD高表达组(t=2.681, P=0.011), G6PD与LMR呈负相关(r=-0.439, P=0.005)。  结论  肝癌患者癌组织中G6PD表达升高可能会引起LMR降低, G6PD表达可能与肿瘤微环境炎症有关, G6PD的高表达对HCC的预后评估具有一定的临床价值。
转录组测序分析高尔基体蛋白73参与调控肝癌的作用机制
叶佩灵, 嘉红云, 彭亮
2021, 37(8): 1861-1866. DOI: 10.3969/j.issn.1001-5256.2021.08.022
摘要(1445) HTML (363) PDF (4393KB)(76)
摘要:
  目的  基于转录组分析技术, 探索高尔基体蛋白73(GP73)参与调控肝癌的作用机制。  方法  将肝癌细胞株Hep3B分为4组: GP73干扰组和对照组、GP73过表达组和对照组, 采用转录组测序技术检测4组样本mRNA的表达。根据测序数据筛选差异表达基因, 通过GO功能分析和KEGG富集分析差异表达基因。Western Blot实验验证信号通路相关蛋白的表达。符合正态分布的计量资料2组间比较采用t检验。  结果  通过分析Hep3B细胞干扰和过表达GP73后的差异表达基因, GO分析结果揭示了586个生物过程, GP73主要参与了细胞过程、单个组织的过程、生物调节等功能。KEGG分析表明GP73主要参与了PI3K-AKT、细胞因子/细胞因子受体相互作用、TNF、JAK-STAT等与肝癌密切相关的信号通路。Western Blot验证PI3K-AKT信号通路中的3个蛋白PI3K、p-AKT和AKT, 干扰组和过表达组的蛋白PI3K、p-AKT和对照组比较均有显著差异(P值均<0.05)。  结论  通过转录组测序和生物信息分析筛选到GP73主要参与调控肝癌的信号通路, 为阐明GP73对肝癌的作用机制提供了新的思路。
NCEH1基因在肝癌组织与细胞系中的表达及生物学作用
曾裕文, 张芳雍, 谭国钳, 吴帆
2021, 37(8): 1867-1872. DOI: 10.3969/j.issn.1001-5256.2021.08.023
摘要(1364) HTML (432) PDF (3035KB)(101)
摘要:
  目的  了解中性胆固醇酯水解酶1(neutral cholesterol ester hydrolase 1, NCEH1)基因在肝癌组织及人肝癌细胞系中表达水平, 观察NCEH1基因敲减对SMMC-7721人肝癌细胞系增殖、凋亡、侵袭及转移能力的影响。  方法  选取2013年1月—2019年6月在暨南大学附属广州红十字会医院手术治疗的32例肝癌患者标本及对应的癌旁组织, 采用实时荧光定量PCR方法检测NCEH1基因的相对表达量。从ICGC数据库下载截至2020年9月份的肝癌样本基因表达数据, 应用R软件整理数据, 筛选出每个样本中NCEH1基因表达量, 分别采用配对Wilcoxon符号秩检验和Wilcoxon秩和检验分析肝癌与癌旁组织间的差异。采用实时荧光定量PCR方法检测NCEH1基因在SMMC-7721、Bel-7402、HepG2、Hep3B人肝癌细胞系和HL7702正常人肝细胞系中的表达水平。通过慢病毒介导的小干扰RNA(siRNA)技术构建NCEH1基因敲减的SMMC-7721人肝癌细胞系, 分为NCEH1敲减组(KD组)和阴性对照组(NC组), 以实时荧光定量PCR法检测NCEH1基因的敲减效率, 再以MTT检测实验、Annexin V-APC单染法流式细胞仪检测、划痕愈合实验、Transwell实验和Transwell侵袭小室实验检测2组SMMC-7721肝癌细胞的增殖、凋亡、转移和侵袭能力, 采用t检验对两组间数据进行统计学分析。  结果  NCEH1基因在肝癌组织中的平均表达量高于癌旁组织(本院标本Z=2.263, P=0.024, ICGC数据库U=18 768, P<0.001)。NCEH1基因在中等侵袭转移潜能的SMMC-7721细胞系中的表达量最高; 在低侵袭转移潜能的Bel-7402和HepG2细胞系中的表达水平次之, 在无侵袭转移潜能的Hep3B细胞系中的表达水平最低。KD组SMMC-7721细胞中NCEH1基因的表达水平明显低于NC组(t=11.578, P=0.000 3), NCEH1基因的敲减效率高达74.0%。较之NC组, KD组细胞生长速度明显减缓(t=32.10, P<0.001);细胞凋亡率明显升高(t=27.303, P<0.001);迁移率、转移和侵袭细胞数均明显降低(t值分别为9.51、38.123、22.331, P值均<0.001)。  结论  NCEH1基因在肝癌组织及细胞系中的表达明显升高, 且可促进肝癌细胞的生长增殖及侵袭转移并抑制凋亡, 提示其可能是一个潜在的肝癌治疗靶点。
小干扰RNA沉默甲胎蛋白基因对HepG2细胞迁移及侵袭的影响
韩伟, 魏丰贤, 张有成
2021, 37(8): 1873-1877. DOI: 10.3969/j.issn.1001-5256.2021.08.024
摘要(1235) HTML (440) PDF (2480KB)(77)
摘要:
  目的  研究甲胎蛋白(AFP)对肝癌HepG2细胞迁移和侵袭能力的影响及其机制。  方法  应用合成的靶向沉默AFP小干扰RNA(siRNA)转染肝癌HepG2细胞, 分为空白对照、阴性对照组及AFP siRNA组, 各组细胞干预48 h后, 采用实时定量PCR(qRT-PCR)和ELISA法检测细胞转染后的沉默效率, Transwell小室实验检测沉默AFP基因后HepG2细胞的侵袭、迁移能力, 用Western blotting法观察沉默AFP基因的表达对上皮-间质转化(EMT)相关蛋白(N-cadherin、Vimentin和E-cadherin)、AKT和p-AKT蛋白表达的影响。计量资料多组间比较采用单因素方差分析, 进一步两两比较采用LSD-t检验。  结果  转染沉默后, 与空白对照组相比, AFP siRNA组中AFP mRNA的相对表达量明显降低(P<0.01), 抑制率达86.440%, 同时AFP siRNA组细胞上清液中AFP蛋白表达水平同样明显降低(P<0.01)。与空白对照组相比, AFP siRNA组的迁移细胞数和侵袭细胞数显著下降, 差异具有统计学意义(P值均<0.01)。沉默HepG2细胞中AFP基因的表达后, 与空白对照组比较, AFP siRNA组EMT相关蛋白E-cadherin蛋白的表达水平升高(P<0.01), 而N-cadherin及Vimentin表达水平均明显降低(P值均<0.05), 且PI3K/AKT信号通路相关蛋白p-AKT的表达水平明显降低(P<0.01)。  结论  沉默AFP可抑制肝癌细胞转移, 基于HepG2细胞株的机制研究可能与阻断PI3K/Akt通路抑制EMT相关。
论著_其他肝病
慢性肝病合并自身免疫性血液系统疾病的临床特征及应用糖皮质激素治疗效果分析
刘龙, 刘遥, 高方媛, 王宪波
2021, 37(8): 1878-1882. DOI: 10.3969/j.issn.1001-5256.2021.08.025
摘要(1248) HTML (307) PDF (1868KB)(105)
摘要:
  目的  分析慢性肝病合并免疫性血液系统疾病的临床特征, 探究糖皮质激素的疗效。  方法  回顾性分析2008年1月—2019年12月北京地坛医院收治的17例慢性肝病合并免疫性血液病患者的临床资料, 根据血液病种类分为3组: 自身免疫性溶血性贫血(AIHA)组、免疫性血小板减少症(ITP)组、Evans综合征组。进行糖皮质激素治疗及肝病相关治疗后, 比较3组治疗前后临床资料及实验室检查指标。计量资料两组间比较采用Mann-Whitney U检验。  结果  17例慢性肝病患者中有15例非病毒性肝炎患者, 其中自身免疫性肝病9例(占52.9%)。17例患者血液系统疾病分布: AIHA患者6例, ITP患者8例, Evans综合征患者3例。其中13例患者进行糖皮质激素治疗, 达到完全缓解或部分缓解者共12例, 总有效率92.3%。ITP组TBil、DBil治疗后较治疗前显著下降[35.8(14.3~58.0)μmol/L vs 165.6(21.3~374.3)μmol/L, Z=-2.205, P=0.027;24.9(7.0~43.3)μmol/L vs 121.9(11.7~279.9)μmol/L, Z=-2.205, P=0.027];AIHA组血红蛋白治疗后较治疗前显著上升[94.0(65.0~99.3)g/L vs 62.2(42.3~80.5)g/L, Z=-2.242, P=0.025]。  结论  多种类型慢性肝病均可合并免疫性血液系统疾病, 其中自身免疫性肝病合并免疫性血液系统疾病的发病率较高; 糖皮质激素是慢性肝病合并免疫性血液系统疾病安全有效的治疗方法。
IgG4相关硬化性胆管炎临床特征及诊疗过程分析
李丽, 刘晖, 宋文艳
2021, 37(8): 1883-1887. DOI: 10.3969/j.issn.1001-5256.2021.08.026
摘要(1342) HTML (585) PDF (2114KB)(99)
摘要:
  目的  观察IgG4相关硬化性胆管炎临床特点, 并对其诊疗过程进行分析。  方法  回顾性分析2014年1月—2020年9月在首都医科大学附属北京佑安医院诊断为IgG4-SC的25例患者的临床资料,通过电子病例系统采集患者基本信息、病史、诊疗经过、实验室检查、影像、病理资料。分析临床特征、确诊流程、误诊原因等。符合正态分布的计量资料用x ±s表示,非正态分布的计量资料用M(P最小值~P最大值)表示。  结果  25例IgG4-SC患者以男性为多见(21例,84%),平均年龄(57.61±9.73)岁,首发症状常见皮肤黄染和/或尿黄(18例,78.26%)、乏力(9例,39.13%)等。影像学分类:Ⅰ型16例(64%);Ⅱa型0例,Ⅱb型4例(16%);Ⅲ型1例(4%);Ⅳ型4例(16%),合并胰腺受累最多见(22例,88%)。治疗主要以糖皮质激素为主,2周内TBil平均下降67.48%。确诊的22例患者中,门诊拟诊“胆胰系统占位” 15例(68.18%),拟诊“梗阻性黄疸”5例(22.73%)。早期认识IgG4-SC疾病是通过术后病理,随后影像医师逐渐认识,最后通过多学科会诊方式使更多临床医生认识该病,患者得以更早确诊。  结论  对梗阻性黄疸的患者,临床医生需要结合临床表现尤其是影像学特点,对IgG4-SC进行鉴别。影像科、病理科、多学科会诊方式在帮助临床医师认识疾病、确定诊断方面发挥重要作用。
腹腔镜肝切除术难度评分系统的临床应用价值
史志龙, 徐浩, 柴长鹏, 杨思捷, 周文策
2021, 37(8): 1888-1893. DOI: 10.3969/j.issn.1001-5256.2021.08.027
摘要(952) HTML (516) PDF (2175KB)(69)
摘要:
  目的  探讨3种腹腔镜肝切除术难度评分系统(DSS)评估手术难度和预测短期术后结果的准确性。  方法  选取2015年6月—2020年5月于兰州大学第一医院行腹腔镜肝切除术的患者142例,收集患者术前、术中和术后临床资料。根据术前资料,用DSS-B评分、Hasegawa评分和Halls评分3种DSS对每个患者手术的难度进行评分并分为低、中、高难度3组,比较各组间术中资料的差异,以验证3种DSS的准确性;用术后资料评估DSS对短期术后结果的预测能力。正态分布的计量资料多组间比较采用方差分析,进一步两两比较采用LSD-t检验;非正态分布的计量资料多组间比较及进一步两两比较均采用Kruskal-Wallis H检验。计数资料组间比较采用χ2检验或Fisher精确概率法,两两比较的P值用Bonferroni法校正。通过绘制受试者工作特征曲线(ROC曲线)并计算曲线下面积(AUC),评价DSS对术后并发症的预测效能。  结果  142例患者中,DSS-B评分低、中、高难度组分别有37、56、49例;Hasegawa评分低、中、高难度组分别有70、47、25例;Halls评分低、中、高难度组分别有46、62、34例。DSS-B评分、Hasegawa评分和Halls评分在低、中、高难度组之间手术时间、术中出血量、肝门阻断率均随难度评分的升高而增高(P值均<0.001);术中输血率方面,DSS-B评分仅在中难度与高难度组间差异有统计学意义(P<0.017),Halls评分在低难度与高难度组间差异有统计学意义(P<0.017),而Hasegawa评分低难度与中难度、高难度组比较,差异均有统计学意义(P值均<0.017);中转开腹率方面,DSS-B评分中难度与高难度组间差异有统计学意义(P<0.017),Hasegawa评分、Halls评分可区分低难度与高难度组间差异(P值均<0.017)。术后住院时间方面DSS-B评分和Halls评分均只能区分低难度与高难度组间差异(P值均<0.05),Hasegawa评分则可区分低难度与中难度、高难度的组间差异(P值均<0.05);术后并发症发生率方面仅Hasegawa评分可有效区分高难度与低难度、中难度的组间差异(P值均<0.017)。DSS-B评分、Halls评分和Hasegawa评分预测术后并发症的AUC分别为0.636(95%CI:0.515~0.758)、0.557(95%CI:0.442~0.673)、0.760(95%CI:0.654~0.866),其中Hasegawa评分的预测效能最大。  结论  DSS-B评分和Hasegawa评分可较好地评估腹腔镜肝切除术难度,Hasegawa评分在预测短期术后结果方面具有优势。
论著_胰腺疾病
胸腺肽a1对老年患者腹腔镜胰十二指肠切除术后并发症的影响
李颖, 梁平
2021, 37(8): 1894-1897. DOI: 10.3969/j.issn.1001-5256.2021.08.028
摘要(1039) HTML (282) PDF (1868KB)(48)
摘要:
  目的  研究腹腔镜胰十二指肠切除术(LPD)围手术期老年患者的免疫状态与术后感染并发症发生的关系,并探讨胸腺肽a1应用对术后并发症的影响。  方法  收集2014年6月—2018年6月解放军陆军军医大学第二附属医院收治的43例行LPD的老年患者(66~83岁)的临床资料。随机分成围手术期应用胸腺肽a1组(联合组,n=22)和未使用胸腺肽a1组(对照组,n=21)。观察围手术期患者术前、术后第3天、术后第7天患者的免疫功能指标,包括血清IgG、IgA、IgM、外周血中性粒细胞/淋巴细胞比值(NLP)、CD3+、CD4+、CD8+及CD4+/CD8+变化情况,术后感染并发症(肺部感染、胰漏、腹腔感染)发生情况。此外,检测术前、术后第3天、术后第7天患者血清CRP和炎症因子水平(IL-2、IL-10、TNFα、IFNγ)。计量资料2组间比较采用t检验,同一组内不同时间点间比较采用重复测量资料方差分析,进一步两两比较采用Duncan’s新复极差法;计数资料组间比较采用χ2检验。  结果  术后第3天、术后第7天联合组血清IgG、IgA、IgM、CD3+、CD4+、CD8+及CD4+/CD8+水平显著高于对照组(P值均<0.05),NLR均显著低于对照组(P值均<0.05)。术后第7天,对照组血清IgG、IgA、IgM、CD3+、CD4+、CD8+及CD4+/CD8+水平较入院时均明显下降(P值均<0.05),NLR明显升高(P<0.05)。联合组术后肺部感染、腹腔感染发生率均明显低于对照组(χ2值分别为1.44、1.65,P值均<0.05)。与对照组术后第3天、第7天相比,联合组患者血清炎症因子IL-2、IL-10、IFNγ表达显著增高(P值均<0.05)。  结论  手术创伤可导致老年患者免疫功能进一步降低,围手术期应用胸腺肽a1可增强患者免疫功能,并降低术后感染并发症发生率。
短篇论著
4例先天性胆汁酸合成障碍2型患儿的临床特征及遗传学分析
姜涛, 欧阳文献, 谭艳芳, 唐莲, 张慧, 李双杰
2021, 37(8): 1898-1900. DOI: 10.3969/j.issn.1001-5256.2021.08.029
摘要(1089) HTML (442) PDF (1857KB)(59)
摘要:
肝移植供肝动脉变异与重建方式对术后早期动脉并发症的影响
何博, 王新, 王峰, 孙延东, 徐庆国, 关鸽, 臧运金
2021, 37(8): 1901-1904. DOI: 10.3969/j.issn.1001-5256.2021.08.030
摘要(1205) HTML (301) PDF (2761KB)(190)
摘要:
病例报告
聚乙二醇干扰素治疗慢性乙型肝炎致1型糖尿病1例报告
张婷婷, 赵珏, 杨彦, 康姚洁, 王煊
2021, 37(8): 1905-1906. DOI: 10.3969/j.issn.1001-5256.2021.08.031
摘要(865) HTML (374) PDF (1839KB)(92)
摘要:
拉莫三嗪致肝硬化并发癫痫患者严重药物超敏反应综合征1例报告
吴国志, 吴国宏, 张向磊, 丁广智, 王蕾
2021, 37(8): 1907-1908. DOI: 10.3969/j.issn.1001-5256.2021.08.032
摘要(1116) HTML (464) PDF (2142KB)(191)
摘要:
肝细胞癌合并胃肠间质瘤1例报告
杨旭, 史政荣
2021, 37(8): 1909-1910. DOI: 10.3969/j.issn.1001-5256.2021.08.033
摘要(897) HTML (273) PDF (2171KB)(69)
摘要:
原发性肝淋巴瘤伴贫血和低蛋白血症1例报告
李伟锋, 吴帆
2021, 37(8): 1911-1913. DOI: 10.3969/j.issn.1001-5256.2021.08.034
摘要(953) HTML (226) PDF (2390KB)(51)
摘要:
内镜逆行胰胆管造影术后并发肝包膜下血肿1例报告
罗宜辉
2021, 37(8): 1914-1915. DOI: 10.3969/j.issn.1001-5256.2021.08.035
摘要(765) HTML (249) PDF (1901KB)(53)
摘要:
胆囊十二指肠瘘合并胆石性肠梗阻术后瘘管自行闭合1例报告
张立晓, 叶智斌, 董建涛, 韩杰, 孙云, 梁巍, 赵红雨
2021, 37(8): 1916-1918. DOI: 10.3969/j.issn.1001-5256.2021.08.036
摘要(897) HTML (328) PDF (2281KB)(50)
摘要:
肺腺癌胆囊转移1例报告
张杰, 屈茜萍, 李红, 张绍华, 黄河, 李富贵
2021, 37(8): 1919-1920. DOI: 10.3969/j.issn.1001-5256.2021.08.037
摘要(1336) HTML (840) PDF (2844KB)(49)
摘要:
胆管癌合并原发性血小板增多症1例报告
陆尧, 傅磊, 沈磊, 卞建军, 葛书亚
2021, 37(8): 1921-1923. DOI: 10.3969/j.issn.1001-5256.2021.08.038
摘要(1066) HTML (346) PDF (2225KB)(64)
摘要:
综述
竞争性内源RNA在肝细胞癌发生发展中的作用
陈晓昊, 邓益斌
2021, 37(8): 1924-1928. DOI: 10.3969/j.issn.1001-5256.2021.08.039
摘要(1098) HTML (239) PDF (1880KB)(63)
摘要:
竞争性内源RNA (ceRNA)理论是解释基因表达调控和生物功能的关键理论之一。该机制联合了不同的RNA分子,为RNA之间相互作用和RNA调控网络提供了新的见解。越来越多的研究证实了ceRNA调控在肿瘤发生发展中具有重要作用,其中大多数以lncRNA-miRNA-mRNA和circRNA-miRNA-mRNA调控网络为主。研究证实,多种ceRNA调控网络参与肿瘤细胞增殖、侵袭和迁移、药物抗性、血管生成以及肿瘤免疫等,影响肿瘤发展进程。阐述了ceRNA的调控机制,搜集了ceRNA调控肝细胞癌发生发展过程的研究进展,讨论在此过程中发挥关键作用的ceRNA调控网络。
肝内胆管细胞癌淋巴结转移的预测和治疗
贺康丽, 刘宏, 李星悦
2021, 37(8): 1929-1933. DOI: 10.3969/j.issn.1001-5256.2021.08.040
摘要(2115) HTML (836) PDF (1895KB)(105)
摘要:
肝内胆管细胞癌(ICC)是第二大原发性肝癌,极易发生淋巴结转移。淋巴结转移的发生不仅影响患者的预后,还决定患者治疗方案的选择。归纳并总结近年国内外ICC的相关文献,阐述了预测ICC淋巴结转移的血清学指标及影像学指标;可接受根治性手术切除患者的在选择淋巴结切除术及术后辅助治疗方面存在的争议;不可手术的晚期ICC患者接受新辅助治疗的研究进展。以期为ICC患者的治疗及淋巴结转移的预测作好理论支持。
内镜超声在肝癌诊治中的应用进展
刘攀, 于守君, 成雨
2021, 37(8): 1934-1937. DOI: 10.3969/j.issn.1001-5256.2021.08.041
摘要(1296) HTML (759) PDF (1873KB)(78)
摘要:
肝癌是我国最常见的恶性肿瘤之一,其发病率呈逐年上升趋势。因此,肝癌的早期诊断和治疗显得尤为重要,在诸多检查中,内镜超声(EUS)可以对肝脏和胆道系统进行近距离的扫描,对肝癌的诊断、治疗和分期起着不可或缺的作用。现概述EUS在肝癌诊断和治疗中的应用现状及前景,以期为临床肝癌的诊治提供参考。
原发性肝癌常见动物模型的研究进展
夏猛, 孙玉浩, 王萌, 冷静
2021, 37(8): 1938-1942. DOI: 10.3969/j.issn.1001-5256.2021.08.042
摘要(4110) HTML (906) PDF (2333KB)(531)
摘要:
原发性肝癌是常见的恶性肿瘤之一,由于其治疗上的困难性和复杂性,采用动物模型来研究其发病机制和筛选药物是当前研究的热点,为研究者更清楚了解不同动物模型的特点及适用性。综述了小鼠、大鼠、兔、树鼩等常用的实验动物及建模方法,包括自发型、诱发型、移植型和基因修饰型等,综合文献研究可见,肝癌模型各有特点,当依据实际需要选用合适的模型,其中在中医药研究中,诱发型动物模型较为常用。在模拟人体遗传等因素发病方面,转基因模型无疑是一个很好的模式生物研究平台。为开展肝癌模型研究或者药物筛选研究提供文献参考依据。
酒精性肝病合并肌肉减少症的研究进展
王倩, 常春艳, 杨松
2021, 37(8): 1943-1947. DOI: 10.3969/j.issn.1001-5256.2021.08.043
摘要(1205) HTML (427) PDF (1886KB)(84)
摘要:
酒精性肝病是影响我国人民健康的主要肝脏疾病之一, 约有60%的酒精性肝病患者合并肌肉减少症。就酒精性肝病发生肌肉减少症的机制而言,除了肝病患者存在食欲下降、营养物质摄入不足、消化吸收障碍、体力活动减少、血氨升高等因素外,酒精及其代谢产物还可作用于多个信号通路影响骨骼肌蛋白合成,促进骨骼肌细胞自噬。酒精性肝病患者合并肌肉减少症发生肝性脑病、肝癌等不良预后风险增加。针对酒精性肝病患者肌肉减少症的干预措施有待深入研究。
非酒精性脂肪性肝炎新药临床试验的难度与挑战
黄樱硕, 董瑞华, 尤红
2021, 37(8): 1948-1952. DOI: 10.3969/j.issn.1001-5256.2021.08.044
摘要(1735) HTML (745) PDF (2745KB)(294)
摘要:
近年来非酒精性脂肪性肝炎(NASH)的发病率不断增长,且临床上缺乏有效的治疗药物。从NASH的异质性(如体质量、性别、年龄和代谢因素)、混杂因素的影响、量化指标的诊断一致性等方面分析了NASH新药临床试验开发的难度,提出可以通过分层分析、减弱混杂因素影响、提高诊断一致性等方式提高NASH新药临床试验的质量。包括生活方式改善在内的联合治疗可能是有效的NASH治疗策略,以改善NASH和抗纤维化及长期代谢获益为目标的治疗是未来药物研发的研究方向。
线粒体障碍在非酒精性脂肪性肝炎中的作用机制
蔡恬莹, 黄美州, 陈浩, 钱保林, 付文广
2021, 37(8): 1953-1956. DOI: 10.3969/j.issn.1001-5256.2021.08.045
摘要(1235) HTML (452) PDF (1872KB)(121)
摘要:
非酒精性脂肪性肝炎(NASH)是一种以肝脂肪变性、肝细胞炎症和肝纤维化为主要特征的常见慢性肝病。研究表明,线粒体内脂质代谢异常和活性氧生成、线粒体呼吸链受损、线粒体破裂以及线粒体自噬异常等线粒体障碍在NASH的发生、发展及转归过程中发挥重要作用。以NASH中肝脂肪代谢异常、肝炎发生和肝纤维化为主要线索,总结线粒体结构破坏、功能障碍以及线粒体自噬受损在NASH中的作用机制,以寻找相应靶点指导对NASH的治疗。
肝移植术后感染相关危险因素的研究进展
赵云, 赵礼金
2021, 37(8): 1957-1962. DOI: 10.3969/j.issn.1001-5256.2021.08.046
摘要(1362) HTML (494) PDF (1899KB)(120)
摘要:
随着外科技术的不断发展,肝移植术已趋于成熟,但术后感染依然是肝移植手术失败的主要原因之一。研究者们通过对术后感染相关危险因素的不断探索发现,除既往报道的危险因素外,一些尚未被发现和重视的危险因素也应当予以关注。从供体相关因素、受体相关因素及其他因素等方面,结合新近文献进展对肝移植术后感染相关危险因素作一总结,拟为临床上有效防治肝移植术后感染提供理论依据。
泡型肝包虫病的外科治疗现状
邓旭, 阳丹才让, 张灵强, 王志鑫, 王晶晶, 王凯强, 黄汉生, 杨小周
2021, 37(8): 1963-1965. DOI: 10.3969/j.issn.1001-5256.2021.08.047
摘要(1255) HTML (217) PDF (1853KB)(57)
摘要:
泡型肝包虫病(HAE)是由多房棘球蚴绦虫引起的一种人畜共患性疾病。目前其治疗方式主要以根治性手术切除为主,药物治疗为辅。介绍了根治性手术切除、消融技术及姑息性手术等在HAE治疗中的应用现状;总结了自体肝移植的主要适应证,为选择治疗HAE的策略提供了一定的经验和参考依据。
肝祖细胞与肝再生的关系
王俊俊, 陆伦根, 蔡晓波
2021, 37(8): 1966-1969. DOI: 10.3969/j.issn.1001-5256.2021.08.048
摘要(1510) HTML (1037) PDF (1868KB)(190)
摘要:
肝脏具有极强的再生能力,在急性肝损伤或肝大部分切除后残存的肝细胞迅速进入复制状态。而在慢性肝损伤或重症肝病时,肝祖细胞(LPC)介导的再生在肝再生中可能起到主要作用。目前已经通过谱系追踪和单细胞测序方法在动物和人方面均证实了双能LPC的存在。且多项研究显示LPC增殖程度与肝损伤严重程度有关。简述了LPC的起源与激活,以及LPC在不同类型肝损伤中介导肝再生的作用和调节机制。指出未来需要对LPC进行深入研究,以期为LPC移植重建肝实质和晚期肝病治疗提供依据。
脾酪氨酸激酶在肝脏疾病中的作用机制
乐滢玉, 张荣臻, 吴聪, 肖伟松, 覃小宾, 曾胜澜, 毛德文
2021, 37(8): 1970-1974. DOI: 10.3969/j.issn.1001-5256.2021.08.049
摘要(1568) HTML (356) PDF (1885KB)(56)
摘要:
脾酪氨酸激酶(Syk)是一种在大多数造血细胞和非造血细胞中表达的非受体酪氨酸激酶,在免疫和非免疫生物学反应中都起着至关重要的作用。Syk通过免疫受体酪氨酸激活基序(ITAM)依赖性的信号通路和ITAM半依赖性的信号通路等介导多种细胞反应。已有研究表明,Syk在肝实质细胞和非实质细胞中表达,并与肝纤维化、病毒性肝炎、酒精性肝病、非酒精性脂肪性肝炎和肝细胞癌等肝脏疾病的发病机制及防治密切相关。对Syk在慢性肝脏疾病中的作用特点及调控机制进行归纳总结,以期为肝脏疾病的治疗提供思路和依据。
沉默调节蛋白6在肝脏疾病中的作用及其机制
方欢, 钟晓琳
2021, 37(8): 1975-1978. DOI: 10.3969/j.issn.1001-5256.2021.08.050
摘要(1250) HTML (354) PDF (1877KB)(71)
摘要:
沉默调节蛋白6(SIRT6)具有去乙酰化酶、单ADP核糖基转移酶以及去脂肪酰化酶等多种功能, 在调控多种生理及病理过程中发挥重要作用。概述了SIRT6的结构及生物学功能,详细介绍了SIRT6在病毒性肝炎、非酒精性脂肪性肝病、酒精性脂肪性肝病、肝硬化、肝癌等不同类型的肝脏疾病中的研究进展及相关作用分子机制。了解SIRT6在肝脏疾病中的作用, 可能为肝病的治疗提供新思路及治疗靶点。
药物相关胆管消失综合征的研究进展
许姗姗, 仇丽霞, 宋静静, 张晶
2021, 37(8): 1979-1982. DOI: 10.3969/j.issn.1001-5256.2021.08.051
摘要(2519) HTML (415) PDF (2024KB)(207)
摘要:
据目前研究表明,药物性肝损伤已成为临床急性肝损伤的常见原因之一。胆管消失综合征(VBDS)是指肝内胆管局灶性或弥漫性消失,临床表现以胆汁淤积为特点的综合征,药物相关胆管消失综合征(D-VBDS)是其重要病因之一。多数D-VBDS患者预后较好,但部分患者可进展为肝硬化、肝衰竭。通过回顾分析D-VBDS的临床诊疗进展,认为D-VBDS诊断困难、治疗方法有限、部分患者预后较差,临床上需谨慎应用药物以减少其发病率和病死率。
经皮胆囊造瘘术治疗急性胆囊炎的研究进展
韩景钊, 脱红芳, 王泽普, 彭彦辉
2021, 37(8): 1983-1987. DOI: 10.3969/j.issn.1001-5256.2021.08.052
摘要(1660) HTML (838) PDF (1877KB)(89)
摘要:
急性胆囊炎是肝胆外科常见急腹症,腹腔镜胆囊切除术是其首选治疗方式。对不适合手术治疗的胆囊炎患者,经皮胆囊造瘘引流起着至关重要的作用。该技术具有良好安全性,可用作通向择期手术的桥梁或部分高危患者的最终治疗。但是,目前各单位对该技术管理经验不同。因此,综述了经皮胆囊造瘘术在适应证、治疗时机和管理方面研究进展,为临床规范使用提供依据。
腹腔镜在围肝门区肿瘤外科中的应用
刘辉, 黄长文
2021, 37(8): 1988-1992. DOI: 10.3969/j.issn.1001-5256.2021.08.053
摘要(1092) HTML (227) PDF (1887KB)(50)
摘要:
随着微创理念的推广,腹腔镜手术在肝胆外科的应用逐渐成为一种主流技术。但对于围肝门区胆管肿瘤,由于肝门区结构复杂、解剖变异多等原因,关于腹腔镜技术在围肝门区肿瘤中应用的报道较少。结合目前国内外相关报道,对腹腔镜在围肝门区肿瘤外科中的应用研究进展进行介绍,分析表明腹腔镜技术在围肝门区肿瘤的手术治疗上确有一定的优势,尤其是在Bismuth Ⅰ、Ⅱ型肝门胆管癌及早期的胆囊癌的治疗中,但由于腹腔镜手术对术者的要求较高,目前仅少数中心的专家能开展此项手术,对于手术患者也需要严格的筛选和评估,因此腹腔镜技术应用于围肝门区肿瘤外科尚处于初步探索阶段,还需要进一步的探索和学习。
国外期刊精品文章简介
简单无创评分系统和组织学评分预测非酒精性脂肪性肝病患者死亡风险:一项系统综述和Meta分
刘昌海, 唐红
2021, 37(8): 1866-1866.
摘要(410) HTML (272) PDF (824KB)(61)
摘要:
急性病毒性肝炎的全球负担及其与社会经济发展状态的关系(1990年—2019年)
朱月永
2021, 37(8): 1918-1918.
摘要(388) HTML (299) PDF (824KB)(47)
摘要:
超声造影可指导结直肠癌肝转移患者的治疗策略
隋明巍, 牛俊奇
2021, 37(8): 1928-1928.
摘要(350) HTML (248) PDF (824KB)(39)
摘要:
消息
《临床肝胆病杂志》继续入编《中文核心期刊要目总览》
2021, 37(8): 1877-1877.
摘要(298) HTML (189) PDF (816KB)(30)
摘要:
《临床肝胆病杂志》在743种医学科技核心期刊中排名第13位
2021, 37(8): 1893-1893.
摘要(264) HTML (180) PDF (818KB)(30)
摘要: